Методы обследования внутриматочной спирали (ВМС)
Добавил пользователь Владимир З. Обновлено: 26.11.2025
Исследование, направленное на выявление качественных и количественных характеристик клеток, их ядер (размера, формы, степени окрашивания), клеточных включений и желез эндометрия для диагностики доброкачественных заболеваний, предраковых состояний и рака эндометрия.
Синонимы русские
Цитологическое исследование; внутриматочная спираль.
Синонимы английские
Cytological examination; intrauterine contraceptive device.
Метод исследования
Какой биоматериал можно использовать для исследования?
Отпечаток с внутриматочной спирали.
Общая информация об исследовании
Цитологическое исследование мазков-отпечатков с внутриматочной спирали позволяет выявить патологические процессы полости матки и эндометрия. В настоящее время существует несколько способов лабораторной диагностики заболеваний эндометрия. Основным является гистологическое исследование материала, полученного с помощью диагностического выскабливания (кюретажа полости матки). Это инвазивная процедура, в ходе которой с помощью специального хирургического инструмента могут быть получены фрагменты ткани матки.
Цитологическое исследование является дополнительным к гистологическому исследованию. Это метод лабораторной диагностики, позволяющий выявить качественные и количественные изменения клеток, их ядер (размера, формы, степени окрашивания), внутри- и внеклеточных включений, наличие атипичных клеток. Основными способами получения биоматериала для цитологической диагностики являются аспирационная биопсия эндометрия и взятие мазков-отпечатков с внутриматочной спирали. Преимуществами данных видов исследования являются максимально безболезненное и щадящее взятие биоматериала, быстрый способ подготовки материала для оценки врачом-цитологом и, соответственно, более быстрое получение результатов.
Исследование отпечатков с внутриматочной спирали позволяет своевременно выявлять патологические процессы матки, доброкачественные заболевания, предраковые состояния и сам рак. Следует отметить, что при длительном использовании в целях контрацепции внутриматочная спираль может вызывать повреждения и истончение эндометрия, а также провоцировать развитие воспалительных процессов в полости матки. Поэтому рекомендуется проводить исследование не только целях выявления клеточной атипии и признаков онкологических процессов, но и при признаках осложнений вследствие длительного использования внутриматочной спирали. К данным осложнениям относятся дисфункциональные маточные кровотечения, выделения из полости матки, боли в нижней части живота, болезненные менструации.
Цитологический метод при выявлении патологических процессов эндометрия обладает достаточно высокими показателями диагностической чувствительности и специфичности. Он может быть рекомендован в качестве первого этапа диагностики, а кюретаж и гистологическое исследование – в качестве второго этапа диагностики у женщин с патологическим результатом цитологического исследования. Такой подход, однако, не является универсальным и может быть учтен специалистами в качестве рекомендованного.
Для чего используется исследование?
- Для диагностики доброкачественных заболеваний, предраковых состояний и рака эндометрия;
- для оценки состояния эндометрия, степени пролиферации эндометрия, наличия и выраженности атипии клеток, признаков и степени злокачественности;
- для выявления воспалительных процессов и других осложнений, обусловленных использованием внутриматочной спирали.
Когда назначается исследование?
- При наличии у пациентки нарушений менструального цикла, дисфункционального маточного кровотечения, выделений из полости матки, болей в нижней части живота, болезненных менструаций;
- при наличии у пациентки миомы матки, эндометриоза, гиперпластических процессов в эндометрии, бесплодия, подозрений на злокачественный процесс в эндометрии;
- женщинам из групп риска развития рака эндометрия с периодичностью один раз в пять лет.
Что означают результаты?
Отсутствие патологических признаков - результат цитологического исследования в пределах нормы:
- нормальный эндометрий в фазе пролиферации;
- нормальный эндометрий в фазе секреции;
- нормальный эндометрий в фазе менструации.
Обнаружение патологических признаков - при оценке характеристики клеточного материала и особенностей желез эндометрия могут быть получены следующие заключения:
- атрофия эндометрия;
- гиперплазия эндометрия без атипии и другие доброкачественные нарушения пролиферации; цитологических критериев дифференцировки "простой" и "комплексной" гиперплазии, подобно гистологической классификации ВОЗ, нет;
- эндометрит;
- эпителиальная метаплазия эндометрия (плоскоклеточная, синцитиальная, морулярная и другие);
- гиперплазия эндометрия с атипией, другие предраковые состояния и рак эндометрия.
Важные замечания
- Цитологическое исследование является дополнением к гистологическому.
- Результат цитологического исследования следует оценивать с учетом дополнительных клинических, инструментальных и лабораторных данных.
Также рекомендуется
15 Цитологическое исследование мазков (соскобов) с поверхности шейки матки (наружного маточного зева) и цервикального канала - окрашивание по Папаниколау (Рар-тест)
Внутриматочные спирали, введение и удаление (ВМС)

Обследование перед введением внутриматочной спирали
Внутриматочные спирали, введение и удаление (ВМС)
Обследование перед удалением
Виды спиралей (ВМС)
В мире внутриматочная контрацепция занимает второе место среди методов предохранения от беременности.
В настоящее время наиболее часто используются медные внутриматочные средства третьего поколения, с длительностью использования до 5 лет.
Multiload Cu 375 – выпускается 2х типов: стандартный и мини-тип. ВМС имеет форму полуовала с шиповидными выступами, которые, фиксируя контрацептив в максимально высоком положении, уменьшают процент экспульсий.
T Cu 380 A – "золотой стандарт" контрацепции. Одно из наиболее эффективных когда-либо разработанных средств контрацепции. Это контрацептив Т-образной формы с высоким содержанием меди. Срок его использования не более 6 лет.
Nova - T – это ВМС, похожее на Т-образное, но с мягкими, гибкими горизонтальными ветвями, легко при введении.
T de Plata 380 NOVAPLUS – это ВМС из меди и серебра. Кроме достаточно высого контрацептивного эффекта обладает и противовоспалительным, за счет содержания ионов серебра..
T de Oro 375 Gold – это внутриматочная спираль, содержащая золотой сердечник 99/000 пробы. С
Внутриматочная спираль Мирена– это внутриматочная гормональная система. Спираль содержит вертикальный стержень-резервуар, содержащий левоноргестрел, который ежедневно высвобождается в полость матки в дозе 20 мкг. в течение 5 лет.
В настоящее время в наличии имеются спирали испанского производства (серебряные и золотые).
Внутриматочные спирали
Идейными отцами такого способа контрацепции, как спираль внутриматочная, могут считаться арабские кочевники-погонщики верблюдов. Они учитывали, что беременное животное не способно вынести все трудности перехода через пустыню, поэтому вводили в матки самок гладкие камни, тем самым не допуская наступления беременности.
В 20-ых годах прошлого века немецкий доктор изобрел средство контрацепции, представляющее собой конструкцию из козьей кишки и серебряной проволоки, удобство и надежность исключения беременности которой высоко оценили его пациентки.
Но все-таки по-настоящему широкую популярность внутриматочные спирали обрели в 80-ых годах прошедшего века. Объясняется это прежде всего тем, что внутриматочные спирали удовлетворяют требованиям большинства женщин, ищущих надежный и высокоэффективный метод контрацепции, который бы не требовал с их стороны регулярных активных действий.
На сегодняшний день наиболее распространены два вида внутриматочных спиралей – с медью и прогестероном.
Внутриматочные спирали вызывают локальное воспаление стенки матки в месте соприкосновения с ней усиков устройства. В результате этого воспаления образуется кислая среда и повышенное число лейкоцитов, которые и убивают проникшие в матку сперматозоиды как инородные тела. И даже в случае, если сперматозоид выживет и осуществит оплодотворения яйцеклетки, последняя не сможет прикрепиться к стенке матки и выходит наружу. Часто установка таких внутриматочных спиралей назначается тем женщинам, для которых противопоказан прием оральных контрацептивов.
В дополнение к этому, содержащие прогестерон внутриматочные спирали оказывают тот же эффект, что и оральные контрацептивы ввиду одного и того же действующего вещества.
Установка внутриматочной спирали традиционно считается надежным средством контрацепции несмотря на тот факт, что иногда спирали выпадают. Согласно статистике, это происходит приблизительно в 7% случаев, причем подавляющее большинство из них приходится на первые 3 месяца после установки внутриматочного контрацептива.
Для содержащих медь внутриматочных спиралей надежность предохранения от зачатия превышает 99%, прогестерон-содержащих спиралей – еще выше. Но аргументов в пользу первого вида внутрематочной контрацепции может послужить тот факт, что спираль внутриматочная с медью служит без необходимости замены на протяжении 4 лет, в то время как вторые требуют ежегодной замены из-за истощения концентрации прогестерона.
Наибольшую опасность для здоровья женщин представляет сама установка внутриматочной спирали – в ходе этого процесса есть риск прободения стенки матки. Поэтому стоит озаботиться поиском опытного и квалифицированного гинеколога, который осуществляет подобную процедуру. Удаление внутриматочной спирали возможно в любой момент по желанию женщины.
Также при использовании внутриматочных спиралей наблюдается ряд других неприятных явлений. В частности, при использовании контрацептивных приспособлений с содержанием меди менструации могут проходить с болевыми ощущениями, которых ранее не наблюдалось, а кровяные выделения при этом становятся более обильными. Также кровянистые выделения могут появиться и в промежутках между менструациями – если подобные явления имеют место на протяжении более 3-х месяцев, стоит отказаться от внутриматочной спирали и избрать другой вид контрацепции.
Помимо этого, спираль внутриматочная почти вчетверо увеличивает риск воспалений органов мочеполовой системы, поэтому ее использование требует строжайшего соблюдения всех правил гигиены половой жизни.
И последний недостаток, которым обладают внутриматочные спирали по сравнению с некоторыми другими способами контрацепции – они не только не защищает от риска заражения СПИДом и иными передающимися половым путем заболеваниями, но и даже увеличивают такую вероятность. Поэтому женщинам, имеющим несколько половых партнеров или часто их меняющим, а также неоднократно перенесшим заболевания, передающиеся половым путем, следует отказаться от внутриматочной спирали и избрать для себя другой способ контрацепции.
Внутриматочные спирали не рекомендуется применять при инфекционных заболеваниях мочеполовой системы и хронических воспалительных заболеваниях, обильных кровотечениях при менструации и при имуннодепрессии.
Спираль как метод контрацепции
Какие обследования необходимо произвести, перед тем как ввести маточную спираль?
- Беседа с пациенткой позволяет врачу выявить имеющиеся у нее хронические гинекологические заболевания.
- Бактериологический анализ мазков из влагалища и шейки матки.
- Общий анализ крови и мочи.
- Тщательное обследование на инфекции, передающиеся половым путем: сифилис, ВИЧ, гепатит В и С.
- Проведение кольпоскопии (инструментальное обследование полости влагалища и слизистой шейки матки).
- УЗИ органов малого таза.
Показания к удалению внутриматочных контрацептивов
- Желание женщины.
- Истечение срока использования.
- Менопауза (год спустя после последней менструации).
- Медицинские показания:
- Беременность.
- Боли.
- Кровотечение, угрожающее жизни женщины.
- Воспалительные заболевания органов малого таза острые или обострение хронических.
- Онкология тела матки или шейки матки.
Когда и как вводится спираль?
Спираль можно вводить непосредственно после или в течение 4 дней после искусственного прерывания беременности или выкидыша (самопроизвольное прерывание беременности) при условии отсутствия признаков воспаления или кровотечения. Если в данный период имплантация ВМК не произведена, то ее введение необходимо производить при наступлении очередной менструации.
Практикуется одномоментное прерывание беременности и имплантация ВМК в полость матки. Введение ВМК непосредственно после родов или в послеродовом периоде (в течение 48 часов после родов) многократно повышает риск экспульсии (выпадения) контрацептива. Если в указанный период ВМК не введён, то процедуру можно произвести спустя 4-6 недель после родов.
Этапы введения внутриматочного контрацептива
Строение внутриматочной спирали и расположение в полости матки:
1 - горизонтальные гибкие плечики, 2 - ножка спирали с медной проволокой, 3 - нити для извлечения спирали,
- Перед введением производится в обязательном порядке влагалищное исследование и зондирование полости матки.
- Установка ВМК производится в специальном помещении в асептических условиях. Как правило, введение ВМК безболезненно и не нуждается в обезболивании.
- Введение спирали возможно лишь при I и II степени чистоты влагалища. В том случае если обнаружено инфекционно-воспалительное заболевания внутренних половых органов или чистота влагалища соотвествтует III или IV степени, то необходимо углубленное гинекологическое обследование, с последующим антимикробным лечением. По завершению лечения необходимо контрольное обследование его эффективности. После проведения эффективного антимикробного лечения инфекционно-воспалительного заболевания органов малого таза, при условии полного выздоравливания, необходим 6-10 месячный перерыв для полного восстановления и исключения перехода заболевания в хроническую форму, перед введением ВМК.
Необходимо ли наблюдение за пациентками, использующими внутриматочные контрацептивы?
- В течение первой недели после введения ВМК рекомендуется воздержаться от половой жизни и интенсивной физической нагрузки.
- Первый контрольный осмотр должен быть произведен врачом гинекологом через 7-10 дней. При осмотре доктора интересует наличие в полости влагалища нитей – это необходимо, чтобы убедиться, что ВМК установлен правильно. Теперь – после первого гинекологического осмотра разрешена половую жизнь без использования дополнительного метода контрацепции. Также проводится УЗИ органов малого таза для того, чтобы уточнить расположение ВМК в полости матки.
- Следующий осмотр проводят через один месяц, в течение первого года - не реже одного раза в 6 месяцев, далее - ежегодно с выполнением бактериоскопического исследования отделяемого шейки матки. УЗИ рекомендуют производить по показаниям.
- Необходимо обучение женщины после каждой менструации пальпаторно проверять наличие нитей спирали, чтобы вовремя обнаружить выпадение спирали. При отсутствии нитей в полости влагалища необходим гинекологический осмотр и УЗИ органов малого таза для уточнения расположения спирали.
Возможные побочные реакции и осложнения при использовании внутриматочных контрацептивов
Осложнения, связанные с имплантацией ВМК, чаще наблюдают у пациенток с нарушениями менструального цикла в прошлом, хроническими воспалительными заболеваниями малого таза (ВЗОМТ) в стадии ремиссии и при игнорировании доктором противопоказаний к введению ВМК. Осложнения возникающие при внутриматочной контрацепции принято делить на 3 группы: осложнения, вызванные введением ВМК, в процессе нахождения спирали в полости матки и возникающие во время или после извлечения контрацептива. Чаще всего наблюдаются следующие осложнения: болевой синдром, выпадение ВМК, воспалительные заболевания органов малого таза и кровотечения.
Методы обследования внутриматочной спирали (ВМС)
а) Терминология:
1. Аббревиатуры:
• Внутриматочная система (ВМС)
• Левоноргестрел-высвобождающая внутриматочная система (ЛНГ-ВМС)
2. Определение:
• ВМС:
о Устройство устанавливается в полость матки с целью предупреждения беременности
о Т-образная полиэтиленовая основа с полиэтиленовыми однонитевыми усиками
о В США представлены два типа ВМС:
- Медьсодержащие (Paragard, Ortho-McNeil Pharmaceutical, Раритан, Нью-Джерси, США):
Медная проволока накручена на ножку ВМС
- Левоноргестрел-высвобождающие (Mirena, Shering, AG Pharmaceutical, Германия):
Левоноргестрел-содержащий резервуар окружает ножку ВМС
о Другие ВМС:
- Пластиковые ВМС и Липпес Луп (Lippes loop) ВМС (системы старого образца)
- Круглые ВМС, представляющие собой кольцо из нержавеющей стали, расположенное в дне матки, с прямым стержнем в нижнем отделе полости матки (обычно применяются в Китае)
о Механизм действия: первичная профилактика оплодотворения:
- Также обладают спермицидным эффектом и эффектом ингибирования имплантации
- Частично подавляют овуляцию (только Мирена)
- Медные устройства повышают уровень меди — изменения цервикальной слизи, влияющие на подвижность сперматозоидов и раздражающие эндометрий
б) Визуализация:
1. Общая характеристика:
• УЗИ:
о Изображение в продольной плоскости:
- Ножка ВМС прямая и связана с полостью матки
- - Медьсодержащие ВМС являются эхогенными и легко визуализируются в виде линейного эхопозитивного сигнала
- Левоноргестрел-содержащие ВМС визуализировать сложнее, часто наблюдается акустическая тень между эхогенными проксимальным и дистальным концами
о Изображение в поперечной плоскости:
- Плечики/перекладины ВМС простираются в дне матки латерально по направлению к рогам матки
о Усики могут визуализироваться в виде линейного эхопозитивного сигнала или участка реверберации в шейке матки
• Рентгенография:
о Рентгеноконтрастностъ: получение изображения от диафрагмы до малого таза
о Дифференцирование экспульсии и перфорации в случае, когда по данным ультрасонографии ВМС в матке не визуализируется
о Перфорация:
- Расположение ВМС над входом в малый таз, латерально или кпереди/кзади от матки
- Поворот на 90° или 180° менее специфичен для ВМС
• КТ: может использоваться в отдельных случаях для оценки осложнений, связанных с перфорацией и внутрибрюшным расположением ВМС
• МРТ: ВМС может визуализироваться как зона отсутствия сигнала, однако МРТ не следует использовать как первичный метод оценки положения ВМС
2. Рекомендации по визуализации:
• Лучший метод визуализации:
о Трансвагинальное УЗИ для установки ВМС
о Обзорная урография для выявления экспульсии/перфорации ВМС
• Советы по протоколу исследования:
о Ультрасонография ВМС:
- Если визуализация затруднена, следует выявить акустическую тень
- Задняя акустическая тень лучше всего визуализируется при сканировании перпендикулярно длинной оси ВМС
- Трехмерная ультрасонография используется для диагностирования частичной перфорации и смещения ВМС
- Трехмерная ультрасонография используется для реконструкции изображения матки в истинной коронарной плоскости
(Слева) ТВУЗИ шейки матки в продольной плоскости: в цервикальном канале определяется узкая эхогенная линия с реверберацией. Это нормально расположенные усики ВМС, которые могут визуализироваться, и их не следует путать с неправильно расположенным устройством.
(Справа) Трехмерная ультрасонография в коронарной плоскости: в нижнем сегменте и шейке матки визуализируется неправильно расположенная медьсодержащая ВМС с плечиками, проникающими в миометрий. (Слева) ТВУЗИ в продольной плоскости: у пациентки 28 лет с потерянными усиками ВМС и тазовой болью: пустая полость матки без ВМС.
(Справа) ТВУЗИ придатков матки слева в продольной плоскости: у этой же пациентки рядом с левым яичником определяется эхогенная линейная структура, представляющая собой ножку ВМС. (Слева) Рентгенограмма брюшной полости: у этой же пациентки подтверждается перфорация матки ВМСв области левых придатков. Обратите внимание, что ВМС расположена чрезмерно латерально и слишком высоко над входом в малый таз.
(Справа) На интраоперационной фотографии, сделанной во время лапароскопии в каудальном направ -лении, у этой же пациентки виден зажим, захватывающий медную ВМС в области придатков матки слева. Обратите внимание на заживленное место перфорации на задней поверхности тела матки и на воспаленную широкую связку матки. (Слева) ТВУЗИ в продольной плоскости: визуализируется ВМС, проникающая в миометрий задней поверхности тела матки, при этом только дистальная часть ножки, остается внутри полости матки. Акустическая тень от ВМС может помочь определить ее локализацию в случае, когда ножка плохо визуализируется.
(Справа) Трансабдоминальное УЗИ: визуализируется ВМС, находящаяся в полости матки с синхронной внутриматочной беременностью на раннем сроке. ВМС можно оставить на месте или удалить; вопрос о том, какая тактика на данный момент была бы лучше, является спорным. (Слева) ТВУЗИ в продольной плоскости: определяется ретровертированная матка с рубцом после кесарева сечения. ВМС не визуализируется в полости матки. Рядом с рубцом и серозной оболочкой матки визуализируются два незначительных эхо-генных очага с акустической тенью.
(Справа) УЗИ нижнего сегмента матки в поперечной плоскости: у этой же пациентки лучше визуализируется ножка ВМС, перфорирующая матку сквозь рубец после кесарева сечения. Предполагается, что предшествующее кесарево сечение не увеличивает риск перфорации, но она имеет склонность происходить во время установки ВМС. (Слева) ТВУЗИ в продольной плоскости: у пациентки с установленной ВМС, определяется внутриматочная беременность на раннем сроке. При физикальном осмотре усики ВМС выявлены не были. В дугласовом пространстве визуализируется эхогенный очаг с реверберацией.
(Справа) ТВУЗИ дугласова пространства в продольной плоскости: у этой же пациентки определяется перфорация матки BMC. В случае потерянной ВМС необходимо провести тщательное сканирование, чтобы найти ее. Если ВМС не будет найдена, необходимо выполнить обзорную урографию, т. к. ВМС может располагаться за пределами области сканирования датчика.
в) Клинические особенности:
1. Проявления внутриматочной спирали (ВМС):
• ВМС:
о Боль и аномальные кровотечения часто встречаются в течение первых нескольких месяцев после установки устройства
о Показания для визуализации
- Усики не обнаруживаются при осмотре
- Длительная боль/диспареуния:
Неправильное расположение или перфорация
- Нерегулярная менструация/дисменорея
- Инфицирование
• Осложнения, связанные с использованием ВМС:
о Смещение (25%):
- Низкорасположенные ВМС могут самопроизвольно занимать более подходящее положение
о Экспульсия (10%):
- Экспульсия подтверждается с помощью обзорной урографии
о Частичная перфорация (18%):
- ВМС проникает в эндометрий и миометрий, но не прободает серозную оболочку матки
о Полная перфорация (0,1 %):
- ВМС прободает серозную оболочку матки и частично или полностью располагается в брюшной полости
2. Демография:
• Эпидемиология:
о ВМС является наиболее часто используемым методом обратимой контрацепции во всем мире:
- Используется в 23% случаев
о В США метод менее распространен:
- Используется в 7,7% случаев
о Синхронное наступление беременности:
- Ежегодно выявляется у 2/100 женщин, использующих ВМС
г) Список использованной литературы:
1. Boortz НЕ et al: Migration of intrauterine devices: radiologic findings and implications for patient care. Radiographics. 32(2):335-52, 2012
2. Benacerraf BR et al: Three-dimensional ultrasound detection of abnormally located intrauterine contraceptive devices which are a source of pelvic pain and abnormal bleeding. Ultrasound Obstet Gynecol. 34(1):110-5, 2009
Ультразвуковая картина различных форм внутриматочных противозачаточных средств
Внутриматочные средства (ВМС) являются одними из наиболее часто используемых средств контрацепции в мире. Известно около 50 разновидностей ВМС (рис. 1) и различают 3 основных типа этих средств: инертные, медьсодержащие (первого и второго поколения) и гормонсодержащие.

Большинство современных ВМС являются Т-образной формы, либо медьсодержащей, либо на гормональной основе. Из ВМС на основе гормонов доступной в настоящее время является левоноргестрел-высвобождающая внутриматочная система Мирена.
Применение метода внутриматочной контрацепции наряду с известным рядом положительных сторон имеет и ряд осложнений, таких как аномальная установка, экспульсия, прободение стенки полости матки, перфорация стенки матки [1].
Разнообразие форм и наличие осложнений требует при ведении женщин с ВМС визуального контроля корректной установки и расположения средств в полости матки. Основным методом диагностики на сегодняшний день является ультразвуковое исследование (УЗИ). Классическое двумерное УЗИ (2D-УЗИ) позволяет оценить нахождение и расположение стержня ВМС в полости матки [2]. В то же время для полной оценки соотношения ВМС и полости матки с визуализацией расположения плечиков требуется 3D-УЗИ с реконструкцией коронального среза матки [3, 4]. Кроме того, этот метод позволяет оценить и разновидность установленного средства. N.K. Kerr и соавт. [5] утверждают, что 3D-УЗИ следует использовать во всех случаях, когда проводится оценка ВМС.
Ультразвуковая картина зависит от формы ВМС, знание которой является фактором корректной оценки положения ВМС.
В данном исследовании мы представляем ультразвуковую картину различных видов ВМС при нормальном расположении и некоторых осложнениях.
Материал и методы
Исследование носило ретроспективный характер. Проведен анализ 46 протоколов УЗИ внутренних половых органов, проведенных у пациенток с наличием ВМС. Во всех случаях обследование начиналось с трансабдоминального ультразвукового исследования (ТАУЗИ) с переходом на трансвагинальное (ТВУЗИ). Всем пациенткам проводилась трехмерная реконструкция коронального среза с целью оценки формы полости матки и визуализации ВМС.
УЗИ проводилось как по желанию пациенток, так и для уточнения диагноза при направлении пациенток с различными проблемами. Использовались современные ультразвуковые приборы с конвексным (2–5 МГц) и трансвагинальным (5–9 и 6–12 МГц) датчиками.
Во всех случаях проводили архивирование объемных изображений с последующим мультиплоскостным анализом. При этом применялись методики трехмерного реконструирования изображения, объемного контрастного изображения (VCI), томографического исследования (TUI). Обработка сохраненных объемных данных была выполнена с использованием программы 4D View версия 9.0.
Результаты и обсуждение
Протоколы УЗИ органов малого таза 46 пациенток, у которых имелось ВМС, были проанализированы в этом исследовании. В 34 случаях были установлены медьсодержащие Т-образные ВМС, в 4 – Мирена, в 7 – кольцевидная и в 1 – петля Липпеса.
2D-УЗИ позволяет оценить наличие ВМС в полости матки, а при некоторых видах ВМС определить и форму. При этом в зависимости от формы ВМС можно получить характерные картины.
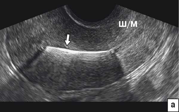
На рис. 2 отражена картина различных ВМС на среднесагиттальном срезе матки при 2D-УЗИ. Для всех Т-образных форм ВМС (включая Мирену) и Multiload стандартной картиной является визуализация гиперэхогенной линейной структуры в проекции полости (рис. 2а). В отличие от Т-образных, Multiload при исследовании в парасагиттальном сечении дает дополнительную специфическую ультразвуковую картину в виде 3–4 продольно расположенных одинаковых гиперэхогенных включений (рис. 2в). Также характерную картину на сагиттальном срезе дают кольцевидные ВМС в виде проксимальной короткой линейной структуры и дистальной отдельной точечной (рис. 2б) и петля Липпеса в виде 4–5 отдельных эхогенных фрагментов (рис. 2г). Кольцевидные ВМС и петля Липпеса в настоящее время практически вышли из употребления.

а) Гиперэхогенная картина стержня ВМС (стрелка) в проекции полости матки.
Внутриматочная спираль (ВМС) — удобная контрацепция до 10 лет

Внутриматочной контрацепцией называют эффективный метод предохранения, при котором в полость матки вводятся специальные внутриматочные средства. Внутриматочная спираль — ВМС — отличный способ долговременной контрацепции, используемый тысячами женщин во всем мире.
Прием гинеколога — 1000 руб. Консультация врача по результатам УЗИ, анализов — всего 500 руб. (по желанию пациента).
Существует несколько десятков видов ВМС, хорошие спирали дают гарантированную защиту на 98%. Подбирать и устанавливать устройство должен гинеколог. Обязательное условие при установке спирали — регулярный (раз в полгода) гинекологический осмотр.

Как внутриматочная спираль предотвращает беременность
Типы внутриматочных спиралей
В аптеках продаются до 50 моделей ВМС, относящихся к четырем поколениям. В их числе:
- Инертные пластиковые устройства. Сегодня практически не применяются из-за частых выпадений и низкого уровня защиты от нежелательной беременности. Такие модели простоят не более 2-5 лет.
- Медьсодержащие спирали. Второе поколение ВМС. Они механически препятствуют оплодотворению и создают кислую среду, уничтожающую сперматозоиды, попавшие в матку. Такие спирали устанавливаются на 5-7 лет. Уровень их защиты выше, чем у инертных ВМС.
- Серебросодержащие спирали. Это следующее поколение внутриматочных контрацептивов. Благородный металл губительно действует на сперматозоиды и не дает яйцеклетке имплантироваться в маточную оболочку. Ионы серебра обладают выраженным дезинфицирующим действием, за счет чего борются с половыми инфекциями. Эти спирали гипоаллергенны. Серебряные ВМС стоят без замены 5-7 лет, показывая действительно высокий уровень защиты.
- Гормоносодержащие спирали «Мирена». Обладают отличным противозачаточным действием, хорошо влияют на половую функцию и препятствуют развитию воспалений в органах малого таза. Содержащиеся в контрацептиве гормоны уплотняют шеечную пробку, затрудняя оплодотворение и препятствуя проникновению в матку микробов. «Мирена» соединила в себе положительные свойства внутриматочных и оральных (противозачаточных таблеток) контрацептивов. ВМС устанавливают на срок до 7-10 лет.
Отличаться спирали могут также по форме, жесткости и размерам. Тип и модель устройства подбираются гинекологом индивидуально для каждой пациентки. Только тогда контрацептив даст максимальную защиту и минимум осложнений.
Наиболее распространены Т-образные модели, они подходят практически всем пациенткам. Альтернатива т-образным ВМС — полукруглые спиральки с закрепляющими выступами.
Преимущества внутриматочной контрацепции: ВМС рулят!
Внутриматочная спираль – удобный и надежный метод контрацепции, который позволит забыть о ежедневном приеме противозачаточных таблеток и использовании презервативов, снижающих чувствительность во время секса.
Этот способ контрацепции обладает рядом преимуществ. Достоинства применения внутриматочных спиралей:
- Отличная мера предохранения — вероятность возникновения беременности сводится к десятым долям процента.
- Безопасность — при правильном подборе спирали негативное влияние на обменные процессы в организме женщины отсутствуют.
- Возможность контролировать зачатие — после извлечения внутриматочных контрацептивов быстро наступает беременность.
- Отсутствие влияния на либидо — за редким исключением, у женщин, решивших поставить спираль, половое влечение не снижается.
- Возможность применения в период кормления грудью — даже ВМС, содержащие гормоны, никак не влияют на процесс лактации.
- Доступная цена — стоимость спирали, устанавливаемой на 5-7 лет, стартует от 600 руб.
- Продолжительная защита — некоторые ВМС можно не менять до 10 лет при условии регулярного наблюдения у гинеколога.
Недостатки внутриматочной контрацепции: не ставьте что попало и где попало
Конечно же, как и любой другой метод, внутриматочные спирали не лишены недостатков и осложнений:
- Первое время после установки ВМС у некоторых пациенток наблюдаются умеренные боли в области матки.
- Кровевыделение при менструациях может становиться более обильным.
- Есть вероятность возникновения воспалительных процессов в матке — избежать этого можно своевременно пролечивая любые инфекции.
- Есть ограничение по установке женщинам, которые не имеют детей, но планируют беременность в ближайшие годы.
- Необходимость регулярного посещения гинеколога, для проверки, не сдвинулись ли контрольные нити внутриматочного контрацептива.
Противопоказания для установки ВМС
Установка спирали имеет ряд противопоказаний, к которым относят патологические состояния. Не рекомендуется использовать внутриматочный способ контрацепции при наличии воспалительных процессов, хронических заболеваний матки, яичников, маточных труб, раковых опухолей, а также доброкачественных новообразований.
Беременность и недавно перенесенный аборт также выступают однозначными противопоказаниями для установки внутриматочных средств контрацепции.
Подготовка к введению спирали
Как устанавливается внутриматочная спираль
Внутриматочный контрацептив вводят в период между четвертым и восьмым днем менструального цикла, так как в этот период церквиальный канал приоткрыт, и процедуру провести проще. Введение внутриматочного контрацептива проводится после дезинфекции внутренних стенок влагалища. Шейку матки захватывают при помощи пулевых щипцов, после чего контрацептив, при помощи специального шприца, вводят в полость органа.
Через неделю-полторы после проведения процедуры пациентке следует вновь посетить гинеколога для профилактического гинекологического осмотра . Следующее посещение назначается через месяц. А после этого пациентка может посещать врача раз в полгода.
Незначительные мажущие кровотечения и болезненность считаются нормальными послепроцедурными проявлениями. При этом риск развития негативных последствий напрямую зависит от профессионализма и опыта врача. В медицинском центре Диана процедуру установки внутриматочной спирали проводят высококлассные специалисты, обладающие навыками и знаниями относительно внутриматочной контрацепции.
Удаление и установка ВМС «Мирена»
Одна из самых эффективных и безопасных гормональных спиралей – ВМС «Мирена», которая обеспечивает контрацепцию путем медленного выделения гормона левоноргестрела. Этот активный гормональный фактор обеспечивает невозможность прикрепления эмбриона к стенке матки, даже в случае оплодотворения яйцеклетки.
Установка и удаление спирали «Мирена» должна производиться только опытным и квалифицированным гинекологом. Ни в коем случае нельзя предпринимать попытки самостоятельного введения и извлечения спирали в матку, в связи с высоким риском травмирования тканей и выпадения средства контрацепции.
Как устанавливается спираль «Мирена»
Перед установкой спирали необходимо сдать мазок на онкоцитологию с шейки матки (желательно жидкостная о/ ц). Если все в порядке, доктор устанавливает спираль.
Внутриматочная спираль имеет форму буквы «Т» и изготовлена из мягкого пластика. Установка данного средства контрацепции происходит на гинекологическом кресле. При этом не потребуется анестезия, поскольку опытный врач проведет процедуру безболезненно для пациентки. Спираль аккуратно, через немного расширенную шейку матки вводится в полость органа и фиксируется при помощи спинки. В редких случаях процедура установки может вызывать минимальный дискомфорт.
В случае правильной установки спираль не ощущается ни женщиной, ни ее половым партнером. При этом женщина должна посетить гинеколога через месяц после процедуры, чтобы в дальнейшем ходить на прием не чаще одного раза в полгода. Преимущества использования внутриматочной спирали «Мирена» заключаются в следующих ее свойствах:
- высокий уровень надежности – нежелательная беременность при использовании спирали «Мирена» наступает 1 раз на 500 случаев применения, что демонстрирует более высокую эффективность, нежели противозачаточные таблетки;
- лечебный эффект — доктор может рекомендовать установку именно этой спирали при миоме матки и эндометриозе ;
- спираль не нужно часто менять – установив спираль, забыть о ее замене можно на 5 лет, не заботясь при этом о ежедневной контрацепции;
- гормоны не оказывают системного действия – левоноргестрел, выделяющийся спиралью, практически не всасывается в кровь, ограничивая зону своего действия полостью матки. Это является главным залогом безопасности использования такого способа контрацепции. Кроме того, в отличие от большинства противозачаточных таблеток, после установки спиралей женщина не ощутит гормональных перестроек, повышения аппетита и бесконтрольного набора веса.
Нормальным последствием установки внутриматочной спирали считаются незначительные кровянистые мажущие выделения на протяжении нескольких недель после процедуры, отсутствие менструации на протяжении 2-3 месяцев.
Удаление ВМС «Мирена»
Извлекается спираль по окончанию срока ее действия или преждевременно, при возникновении у женщины желания забе ременеть. При этом гинеколог использует специальные нити, что делает этот процесс быстрым и безболезненным. После удаления, спираль обязательно показывают женщине, чтобы подтвердить факт извлечения.
После удаления спирали менструальный цикл восстанавливается обычно в течение ближайших 2-3 месяцев. По истечении этого срока, женщина может планировать беременность.
Где поставить спираль в Санкт-Петербурге
Привести установку и удаление внутриматочной спирали, а также получить полноценную консультацию опытного гинеколога по средствам контрацепции можно, записавшись на прием в медицинский центр Диана . Наши гинекологи применяют спирали 3 и 4 поколения — они обеспечивают лучшую защиту от беременности, предупреждают воспаление, и не врастают.
Читайте также:
