Мезиальный прикус: причины, симптомы и лечение
Добавил пользователь Владимир З. Обновлено: 16.01.2026
Мезиальный прикус – аномалия окклюзии, характеризующаяся выдвижением вперед нижнего зубного ряда по отношению к верхнему при сомкнутом положении челюстей. Внешними проявлениями мезиального прикуса служат массивный, выступающий подбородок, вогнутый профиль лица, западающая верхняя губа; ротовые признаки включают мезиальную окклюзию моляров и клыков, прямую или обратную резцовую окклюзию; функциональные изменения – нарушения жевания и речи. Диагностике мезиального прикуса помогают данные антропометрических измерений, телерентгенографии, ортопантомографии, анализа диагностических моделей, рентгенографии ВНЧС. Коррекция мезиального прикуса включает миофункциональную гимнастику, массаж альвеолярного отростка, ортодонтическое лечение.

Общие сведения
Мезиальный прикус – разновидность неправильного прикуса, обусловленная сдвигом нижней челюсти вперед по отношению к верхней. Наряду с дистальным прикусом (прогнатией), мезиальная окклюзия зубных рядов относится к аномалиям прикуса в сагиттальном направлении. Распространенность мезиального прикуса в популяции колеблется от 1 до 12%. В числе прочих зубочелюстных аномалий удельный вес мезиального прикуса составляет 2-6%. В стоматологии мезиальный прикус также обозначается понятиями «III класс смыкания по Энглю», «прогения», «прогенический прикус», «нижняя прогнатия», «антериальный прикус» и др. Мезиальный прикус может сочетаться с открытым и перекрестным прикусом.

Причины мезиального прикуса
Мезиальный прикус формируется под влиянием генетических, врожденных и приобретенных факторов. Генетические формы мезиального прикуса связаны с наследственными особенностями строения лицевого черепа и регистрируются в 20-40% случаев аномалии. В период антенатального онтогенеза к мезиальному прикусу могут привести заболевания беременной, родовые травмы новорожденного, гипоплазия межчелюстной кости и др. В числе факторов, способствующих формированию мезиального прикуса, большую роль играют сопутствующие аномалии зубов и полости рта: сверхкомплектные зубы на нижней челюсти, частичная и множественная адентия в области верхней челюсти, микродентия верхних зубов или микродентия нижних зубов, короткая уздечка языка, макроглоссия.
Среди причинно значимых постнатальных факторов следует отметить искусственное вскармливание ребенка, заболевания раннего возраста (рахит), ротовое дыхание вследствие ЛОР-патологии (искривления носовой перегородки, гипертрофии небных миндалин) и др. Отдельную группу причин составляют различные поведенческие факторы, способствующие возникновению мезиального прикуса: сосание верхней губы, пальцев и различных предметов; сон с опущенной на грудь головой; привычка подкладывать кулак или кисть руки под подбородок в положении сидя. К развитию мезиального прикуса могут приводить нарушения в сроках и последовательности прорезывания зубов, а именно – ретенция верхних зубов и раннее прорезывание зубов нижней челюсти.
Недоразвитию верхней челюсти и формированию мезиального прикуса в отдельных случаях может способствовать остеомиелит челюстей, последствия коррекции нёбной расщелины, опухоли челюстей, акромегалия.
Классификация мезиального прикуса
С учетом размеров и положения челюстей выделяют следующие виды мезиального прикуса:
1. Мезиальный прикус, обусловленный нижней макрогнатией:
- при нормальных размерах верхней челюсти
- при недоразвитии или дистальном положении верхней челюсти
2. Мезиальный прикус, обусловленный нижней прогнатией:
- при увеличении базального отдела нижней челюсти
- при увеличении подбородочного отдела нижней челюсти
3. Мезиальный прикус, обусловленный верхней микрогнатией.
4. Мезиальный прикус, обусловленный верхней ретрогнатией.
5. Мезиальный прикус, обусловленный сочетанием:
- верхней микрогнатии и нижней макрогнатии;
- верхней ретрогнатии и нижней прогнатии;
- верхней микрогнатии и нижней прогнатии;
- верхней ретрогнатии и нижней макрогнатии.
Первый и второй варианты мезиального прикуса в ортодонтии расцениваются как истинная прогения; третий и четвертый вариант – как ложная прогения, при которых нижняя челюсть имеет нормальные размеры, а мезиальный прикус обусловлен недоразвитием верхней челюсти или ее ретропозицией.
С учетом нарушения окклюзии в сагиттальном направлении и величины и нижнечелюстного угла выделяют три степени мезиального прикуса:
- I степень - сагиттальная щель между передними зубами до 2 мм; нарушение соотношения между первыми молярами в сагиттальном направлении до 5 мм; нижнечелюстной угол до 131°.
- II степень – сагиттальная щель между передними зубами до 10 мм; нарушение соотношения между первыми молярами в сагиттальном направлении до 10 мм; нижнечелюстной угол до 133°.
- III степень - сагиттальная щель между передними зубами больше 10 мм; нарушение соотношения между первыми молярами в сагиттальном направлении 11-18 мм; нижнечелюстной угол до 145°.
Также различают зубоальвеолярную и гнатическую форму мезиального прикуса: в первом случае возможно произвольное смещение нижней челюсти назад до достижения правильной окклюзии боковых зубов; при второй форме смещение невыполнимо.
Симптомы мезиального прикуса
При мезиальном прикусе может отмечаться сочетание тех или иных лицевых и внутриротовых признаков, а также обусловленных ими различных функциональных нарушений. Внешне мезиальный прикус проявляется выдвижением подбородка и нижней губы вперед, западением верхней губы, нередко – зиянием ротовой щели. При этом средняя треть лица в профиль выглядит запавшей, вогнутой. В целом выражение лица пациента с мезиальным прикусом характеризуется как «сердитое».
Внутриротовые признаки мезиального прикуса характеризуются обратным резцовым перекрытием или прямой окклюзией зубов в переднем отделе; наличием мезиальной ступеньки при смыкании жевательных зубов. Возможен оральный наклон зубов на нижней челюсти, образование диастем и трем, наличие дистопированных зубов. Скученное положение зубов на нижней челюсти может обусловливать отложение зубного камня, развитие гингивита и пришеечного кариеса.
Функциональные нарушения при мезиальном прикусе могут включать дефекты речи (межзубный сигматизм – разновидность механической дислалии), затруднения откусывания и пережевывания пищи, дисфункцию ВНЧС. Неправильное распределение жевательной нагрузки в области передних зубов сопровождается перегрузкой тканей пародонта, развитием пародонтоза и ранней потерей зубов. Мезиальный прикус может препятствовать проведению протезирования и дентальной имплантации.
Диагностика
Для распознавания мезиального прикуса, правильной оценки его вида и степени необходима консультация ортодонта. Обследование пациента начинается с осмотра лица в фас и профиль, снятия антропометрических показателей, визуальной оценки окклюзии в полости рта, проведения функциональной пробы, позволяющей отличить истинную прогению от ложной.
Степень выраженности мезиального прикуса оценивается по результатам определения прикуса с помощью прикусных валиков, изучения диагностических моделей, ортопантомографиии, телерентгенографии в боковой проекции, рентгенографии и томографии ВНЧС. Для выявления функциональных нарушений производится электромиография жевательных и височных мышц; консультация логопеда и отоларинголога.
Лечение мезиального прикуса
В дошкольном возрасте, когда челюсти ребенка находятся в процессе роста, для коррекции мезиального прикуса назначается миофункциональная гимнастика и массаж альвеолярного отростка верхней челюсти; при необходимости проводится пластика уздечки языка. Для отучения ребенка от вредных оральных привычек рекомендуется использование вестибулярных пластинок. Ортодонтическое лечение на данном этапе по показаниям может проводиться с помощью аппарата Брюкля, каппы Бынина. Существует мнение, что наилучшие результаты лечения мезиального прикуса в период молочного и раннего сменного прикуса достигаются в случае использования лицевой маски.
В период сменного прикуса лечение мезиальной окклюзии проводится с использованием активаторов Андрезена-Гойпля, Кламмта, Френкеля, аппаратов Вундерера или Персина. С установлением постоянного прикуса для коррекции аномальной окклюзии применяется несъемная ортодонтическая техника – брекет-системы. Одновременно с ортодонтическим этапом проводятся логопедические занятия по коррекции дислалии.
Протетическое лечение мезиального прикуса может включать избирательное пришлифовывание зубов, съемное или несъемное протезирование для нормализации окклюзионных контактов. Иногда при чрезмерном развитии нижней челюсти возникает необходимость предварительного хирургического лечения - удаления зубов, остеотомии ветви нижней челюсти.
Прогноз и профилактика
Наилучшие результаты коррекции мезиального прикуса достигаются при начале лечения в период молочного или сменного прикуса. Несмотря на все сложности, коррекция эстетических и функциональных нарушений возможна даже во взрослом возрасте. Однако в этом случае увеличиваются сроки лечения, нередко требуется поэтапное лечение с участием стоматологов-хирургов, ортодонтов, ортопедов.
Важную роль с точки зрения профилактики мезиального прикуса играет нормальное течение беременности и родов, грудное вскармливание, отучение ребенка от вредных привычек, правильное положение во время сна. Необходимо своевременное лечение заболеваний, замедляющих или нарушающих рост челюстных костей, коррекция аномалий отдельных зубов.
Дистальный прикус
Дистальный прикус – нарушение окклюзии, обусловленное выдвижением верхнего зубного ряда вперед по отношению к нижнему при сомкнутых челюстях. Лицевые признаки дистального прикуса включают выступание верхней челюсти, скошенность подбородка («птичье лицо»), укорочение верхней губы и западение нижней; ротовые признаки представлены несмыканием верхних и нижних фронтальных зубов, неправильным смыканием боковых зубов. Могут иметь место нарушения дыхания, жевания, глотания, речи. Дистальный прикус диагностируется на основании клинического осмотра, изучения лицевого профиля, моделей челюстей, цефалометрических данных телерентгенографии, рентгенографии или томографии ВНЧС. Лечение дистального прикуса проводится с помощью ортодонтических приспособлений (функциональных аппаратов, брекетов и др.).
Дистальный прикус – вариант неправильного прикуса, характеризующийся сдвигом нижнего зубного ряда назад по отношению к верхнему, резцовой дизокклюзией и нарушением взаимоотношения боковых зубов в сагиттальном направлении. В детском и подростковом возрасте дистальный прикус встречается у 6,5-15% обследуемых. В общей структуре зубочелюстных аномалий доля дистального прикуса составляет 31%. Наряду с мезиальным прикусом (прогенией), дистальная окклюзия зубных рядов относится к сагиттальным аномалиям прикуса. Понятию дистальный прикус в стоматологии также соответствуют термины «постериальный прикус», «прогнатический прикус» или «прогнатия».
Причины дистального прикуса
Следует отметить, что в норме у всех новорожденных нижняя челюсть имеет дистальное положение: она располагается на расстоянии 1-10 мм позади верхней, в результате чего между челюстями образуется сагиттальная щель. В дальнейшем, в процессе грудного вскармливания, прорезывания зубов и развития функции жевания положение нижней челюсти постепенно выравнивается, она занимает нормальное положение относительно верхней, а дистальный прикус переходит в ортогнатический. Таким образом, одной из причин формирования дистального прикуса выступает искусственное вскармливание, не требующее от ребенка особых усилий при сосании и, следовательно, не стимулирующее рост нижней челюсти.
Аномалии зубов и прикуса (в т. ч. дистальная окклюзия) встречаются у 60% детей, переболевших рахитом; у 34% детей, страдающих заболеваниями носоглотки с нарушением носового дыхания (аденоидами, хроническим гипертрофическим ринитом, искривлением носовой перегородки и др.). Свой негативный вклад в формирование дистального прикуса вносят вредные привычки, такие как длительное сосание пустышки, пальца, игрушек и других посторонних предметов, закусывание губы.
Также среди причинно значимых факторов следует отметить дефицит кальция и фтора в организме, отсутствие или недостаточное количество в рационе ребенка раннего возраста твердой пищи, раннее удаление молочных зубов и отсутствие протезирования. Кроме этого, дистальный прикус может являться следствием врожденных аномалий развития челюстей, родовой травмы, травм челюстей, нарушений осанки.
Классификация
В ортодонтии предложено несколько классификаций дистального прикуса (по Е. Энглю, А.И. Бетельману, Ф.Я. Хорошилкиной, Л.С. Персину, Ю.М.Малыгину и др.).
Так, Е. Энгль, относивший дистальную окклюзию к II классу смыкания зубных рядов, выделил 2 в нем подкласса:
- 1 подкласс – веерообразный наклон верхних резцов, сужение зубных рядов в боковых участках
- 2 подкласс - небный наклон центральных верхних резцов; отклонение боковых резцов в сторону губы и поворот по оси; отсутствие сагиттальной щели между верхними и нижними резцами
А.И. Бетельман различает несколько клинических разновидностей дистального прикуса:
- верхнюю макрогнатию при нормально развитой нижней челюсти;
- нижнюю микрогнатию при нормально развитой верхней челюсти;
- верхнюю макрогнатию в сочетании с нижней микрогнатией;
- прогнатию со сжатием верхней челюсти в боковых отделах.
На основании морфологических изменений, определяемых при анализе телерентгенограмм, Ф.Я. Хорошилкина выделяет гнатическую, зубоальвеолярную и сочетанную формы дистального прикуса.
Симптомы дистального прикуса
Как и в случае с глубоким прикусом, характерные признаки дистального прикуса могут быть условно поделены на лицевые и ротовые, которые приводят к эстетическим и функциональным нарушениям. Наличие дистального прикуса сопровождается изменением профиля и пропорций лица за счет выдвижения вперед верхней челюсти, недоразвития или скошенной формы подбородка, отчего лицо пациента иногда приобретает так называемый «птичий» вид. Верхняя губа вздернута; центральные верхние резцы выступают вперед, нижняя губа находится позади них. Рот у пациента с дистальным прикусом слегка приоткрыт, губы не смыкаются, подбородочная складка резко очерчена.
Определяющими внутриротовыми признаками дистального прикуса служат выдвижение вперед верхних фронтальных зубов; несмыкание верхних и нижних резцов с наличием между ними сагиттальной щели; нарушение взаимного расположения боковых зубов в переднезаднем направлении. В чистом виде дистальный прикус встречается редко; гораздо чаще он сочетается с аномалиями положения зубов, диастемой, тремами, глубоким, открытым или перекрестным прикусом, готическим нёбом.
Дистальный прикус неблагоприятно отражается не только на внешнем виде пациента, но и на функционировании зубочелюстного аппарата, органов дыхания и артикуляции. При дистальном прикусе затрудняется откусывание, пережевывание и глотание пищи, нарушается носовое дыхание, отмечаются болевые ощущения в височно-нижнечелюстном суставе. У детей с дистальным прикусом, чаще, чем у их сверстников, имеются нарушения речи (дислалия), требующие логопедической коррекции.
Дистальный прикус несет в себе повышенный риск развития кариеса, заболеваний пародонта (пародонтита, пародонтоза) задних зубов, испытывающих чрезмерную жевательную нагрузку, дисфункции ВНЧС. Наличие дистального прикуса сопряжено с техническими трудностями проведения протезирования и дентальной имплантации.
Диагностика дистального прикуса
Опытный ортодонт уже по внешним признакам может определить наличие у пациента дистального прикуса. При клиническом осмотре обращается внимание на размеры челюстей, взаимное расположение зубных рядов, наличие сагиттальной щели, форму челюстей и альвеолярного отростка и т. д.
Для дифференциальной диагностики разновидности дистального прикуса проводится телерентгенография с последующим анализом и расчетом рентгенцефалометрических показателей; определение конструктивного прикуса; изготовление и исследование диагностических моделей челюстей. С целью оценки состояния элементов височно-нижнечелюстного сустава и жевательных мышц используется рентгенография или томография ВНЧС, электромиография, реография.
Лечение дистального прикуса
Исправление дистального прикуса должно начинаться еще до смены временных зубов постоянными. В этот период показано лечение, направленное на сдерживание роста верхней и стимуляцию развития нижней челюсти, которое осуществляется с помощью съемной ортодонтической аппаратуры (регулятора функции Френкеля, съемной пластинки Катца, активатора Андрезена-Гойпля, LM-активатора и др.). Комплекс лечебных мероприятий может включать в себя миогимнастику, избирательное пришлифовывание зубов, удаление сверхкомплектных зубов на верхней челюсти, устранение вредных привычек, нормализацию носового дыхания и пр.
В периоде сменного прикуса основной целью лечебного воздействия является исправления формы и соотношения зубных дуг, для чего применяются съемные пластиночные аппараты, аппараты Хургиной, Гуляевой, Курляндского, Энгля, небный расширитель, преортодонтические трейнеры и пр.
После завершения роста челюстных костей лечение дистального прикуса может проводиться с использованием брекет-систем, иногда в сочетании с аппаратурным методом (аппаратом Гербста, лицевой дугой или пружиной Саббаха и пр.). Для исключения рецидива дистального прикуса после курса активной терапии длительностью 3-4 года показано ношение ретенционных аппаратов (съемных или несъемных ретейнеров) в течение 1,5-2 сроков основного лечения. При некоторых формах дистального прикуса предварительно требуется проведение хирургического лечения (удаление нескольких зубов, компактостеотомия).
Для устранения сопутствующих дистальному прикусу нарушений может возникнуть потребность в помощи стоматолога-терапевта, хирурга, пародонтолога, логопеда, отоларинголога.
Соблюдение всех рекомендаций ортодонта в процессе лечения дистального прикуса у детей и подростков позволяет рассчитывать на благоприятный эстетический и функциональный результат. Во взрослом возрасте коррекция дистального прикуса представляет большие сложности и занимает более длительное время.
Предотвращение формирования дистального прикуса диктует необходимость грудного вскармливания ребенка, своевременного перевода малыша на твердую пищу, отучение его от вредных привычек, проведение профилактики рахита, воспалительных заболеваний носоглотки и нарушений осанки.
Неправильный прикус
Неправильный прикус - аномальное смыкание зубных рядов, обусловленное челюстно-лицевой деформацией. Проявляется эстетическими недостатками внешнего вида, нарушением дыхания, мимики, жевания, речи. Может являться риск-фактором развития частых респираторных заболеваний, болезней ЖКТ, кариеса. Диагностируется в ходе ортодонтического обследования, включающего изготовление и анализ диагностических моделей, ТРГ, ортопантомографию, КТ челюстей. Коррекция неправильного прикуса может проводиться при помощи специальных аппаратов и капп, ретейнеров и брекет-систем.
МКБ-10


Прикус является основным параметром нормального развития и функционирования зубочелюстной системы. Ортогнатический прикус, при котором верхние зубы слегка прикрывают нижние, считается нормой, такой прикус встречается у большинства людей. Неправильный прикус развивается в силу генетической детерминированности, при наличии привычки сосать палец, вследстивие хронического нарушения носового дыхания. Коррекцией прикуса занимается ортодонт.
Причины неправильного прикуса
Основной причиной формирования неправильного прикуса является наследственная предрасположенность. Неправильный уход за ребенком в период формирования прикуса может привести к различным дефектам зубочелюстной системы. В период новорожденности верхняя челюсть ребенка больше, чем нижняя. За счет естественного вскармливания к концу первого года жизни челюсти выравниваются. Если во время сосания груди ребенок малоактивен, то выравнивание челюстей произойдет не в полном объеме, что чревато развитием неправильного прикуса.
Испорченная осанка может повлиять на формирование прикуса в дошкольном и младшем школьном возрасте. Из-за неправильного положения голова уходит вперед туловища, что может спровоцировать деформацию челюсти и формирование неправильного прикуса.
Частые заболевания, протекающие с нарушением носового дыхания, в сочетании с другими факторами увеличивают риск развития одного из типов неправильного прикуса. Мягкие ткани губ, языка и щек принимают участие в формировании челюстей, и, если носовое дыхание нарушено, а рот постоянно приоткрыт, развитие челюстей происходит с отклонениями.
Патогенез
Существует пять периодов формирования правильного ортогнатического прикуса, если имеются отклонения в каком-либо из периодов, то возможно формирование неправильного прикуса и других аномалий зубочелюстной системы:
- Первый период с рождения до полугода;
- С 6 месяцев до трех лет происходит формирование временного прикуса – это второй период на протяжении которого прорезываются все временные зубы.
- Третий период от 3 до 6-ти лет является подготовительным, так как начинается активный рост челюстей для дальнейшего прорезывания постоянных зубов.
- С 6-ти до 12-ти лет наблюдается активный рост челюстей и параллельно прорезываются постоянные зубы, поэтому этот период называется смешанным.
- И пятый период с 12-ти до 16-ти лет характеризуется окончательным формированием прикуса и заменой всех временных зубов на постоянные.
Если имеются нарушения роста челюстей или нарушения в прорезывании зубов, то это может привести к формированию неправильного прикуса. Например, к скученности зубов, это происходит, если постоянные зубы прорезывались вовремя и крупные, а рост челюсти приостановился. Иногда нарушение роста челюсти может закончиться отсутствием клыков, резцов или премоляров или же формированием промежутков и диастем.
Неправильный прикус из-за нарушения роста челюстей может проявляться отклонением от нормального расположения зубов и повороту части зубов на одной из челюстей. Иногда резцы одной челюсти значительно перекрывают другую; в редких случаях формируется открытый неправильный прикус, когда резцы не смыкаются совсем. Виды неправильного прикуса:
- При дистальном неправильном прикусе верхняя челюсть чрезмерно развита или наоборот отмечается недоразвитие нижней челюсти.
- При мезиальном прикусе вперед выдвинута нижняя челюсть.
- При глубоком прикусе верхние зубы закрывают нижнее более чем на половину.
- Открытый неправильный прикус формируется, если большая часть зубов при соприкосновении челюстей не смыкается.
- Если формируется одностороннее недоразвитие одного из зубных рядов, то такой прикус называют перекрестным.
- Дистопией называют неправильный прикус, при котором зубы занимают не свое место в ряду.

КТ черепа (3D-рендеринг). Прогнатический прикус, зубы верхней челюсти (красная стрелка) выстоят кпереди, отсутствует контакт резцовых краев при смыкании.
Симптомы неправильного прикуса
Неправильный прикус является как эстетическим недостатком, так и причиной нарушения носового дыхания, речевых и мимических нарушений. Иногда неправильный прикус ведет к развитию ЛОР-заболеваний и частым респираторным вирусным инфекциям, что заканчивается формированием хронических отитов, гайморитов, синуситов и фарингитов.
При неправильном прикусе пища плохо пережевывается, так как зубы смыкаются не полностью или же вообще отсутствует контакт между ними. Это может стать причиной заболеваний желудочно-кишечного тракта и кариеса, так как должный уход за полостью рта невозможен.
Диагностикой и коррекцией неправильного прикуса занимается ортодонтия. На первом этапе происходит подготовка к ортодонтическому лечению, которая включает в себя комплекс диагностических мероприятий, по результатам которых и определяется степень сложности терапии. Для этого делают ортопантомограмму (панорамный снимок), радиовизиографию или же используют данные компьютерной томографии. Снимки позволяют увидеть и оценить степень изменений в зубочелюстной системе.

КТ черепа. Прогнатический прикус, зубы верхней челюсти (красная стрелка) выстоят кпереди (этот же пациент).
Коррекция неправильного прикуса
Перед основным лечением проводят санацию полости рта: лечение кариеса и профессиональную гигиену полости рта. Важно лечение сопутствующих заболеваний, которые могут обостриться в процессе установки брекетов. На период коррекции неправильного прикуса необходимо отказаться от газированных напитков, вязкой пищи, жевательной резинки, орехов, конфет и меда, так как эти продукты трудно счищаются с зубной эмали и могут повредить брекет-систему.
Длительность ортодонтического лечения - от полугода до 2-х лет. Все это время необходимо уделять особое внимание уходу за ортодонтическими аппаратами. Эффективность коррекции неправильного прикуса зависит от того, насколько качественно и регулярно производился уход за ними.
Установка брекетов
Во время основного этапа коррекции неправильного прикуса производят установку брекетов, для их фиксации используются клеевые композиты. Однако, в зависимости от типа брекетов используются разные методики установки. Каждый вестибулярный брекет наклеивают на переднюю поверхность зубов, которые нуждаются в коррекции, далее на них крепят опорные кольца, а в замочки продевают силовую дугу. Дуга изготавливается из материалов, обладающих эластичностью и упругостью, за счет чего она стремиться занять ту форму, которую ей придали первоначально.
Лингвальные брекеты установить сложнее, так как внутренний рельеф зубного ряда разнообразнее. Вначале делается слепок зубных рядов, после чего брекет-система отрабатывается на данной конструкции и только потом фиксируется клеем на внутренней поверхности зубов.
Процесс установки брекетов безболезненный и редко сопровождается неприятными ощущениями. Однако в течение недели у пациента может наблюдаться болевой синдром, который рекомендуется купировать анальгетиками, в случае же сильных болей необходимо обратиться к врачу, который занимается коррекцией неправильного прикуса.
При ношении брекет-систем доступ к зубам затруднен, что может способствовать развитию кариеса. Чистку зубов необходимо производить после каждого приема пищи и использовать специальные щетки для пациентов, проходящих курс коррекции неправильного прикуса. Использование суперфлоссов, которые благодаря твердому кончику, легко продеваются между зубами у края десны, помогает удалить остатки пищи с участков, которые недоступны для чистки зубной щеткой и ершиком.
Ретенционный период
Третий период является восстановительным, или ретенционным. Мероприятия, проводящиеся в этот период направлены на закрепление полученного с помощью брекетов результатов. При неправильном прикусе после резкого снятия брекетов зубы через некоторое время вновь займут свое положение, во избежание чего используют ретейнеры, период ношения которых в 2 раза дольше, чем период ношения брекетов.
Длительность ношения ретейнеров зависит от общего состояния зубочелюстной системы, от возраста пациента и от наличия у него системных заболеваний. Ретейнеры могут быть съемными и несъемными, несъемные аппараты крепятся аналогично брекетам на лингвальную поверхность зубов, что делает их незаметными для окружающих. Съемные же ретейнеры представляют собой ортодонтические пластинки, которые крепятся на ночь. Давление, смещающее нижнюю челюсть, создается за счет пластиковых дуг и капп. Силиконовые ретейнеры становятся более популярными, так как практически не заметны во время разговора и при улыбке.
Профилактика
При искусственном вскармливании дырочка в соске должна быть маленькой, чтобы ребенок прилагал усилия для высасывания, чрезмерно большая дырочка не требует активных жевательных и сосательных движений, поэтому челюсть не развивается.
Ребенок не должен все время спать в одной позе, поэтому родителям необходимо контролировать положение ребенка во время сна. В целом же постель должна быть удобной, но не чрезмерно мягкой, тело ребенка во сне расслабленным, кроме этого ребенок не должен подкладывать под щеку кулачок или игрушки. Необходимо пресекать у ребенка вредные привычки сосать палец, пустышку и посторонние предметы. Это приводит к тому, что зубы отодвигаются так далеко, как позволяет размер пустышки. В результате формируется щель между верхним и нижним зубным рядом.
Мезиальный прикус
Мезиальный прикус или по-другому мезиальная окклюзия – одна из наиболее распространенных зубочелюстных аномалий.
Признаки мезиальной окклюзии
1. Признаки на уровне зубов:
– нижние передние зубы выступают кпереди , относительно верхних передних зубов (или имеют тенденцию таким образом выступать).
Нижние передние зубы выступают кпереди.
Такое соотношение зубных рядов может варьироваться от так называемого прямого смыкания (прямого прикуса), когда передние верхние и нижние зубы смыкаются буквально «стык в стык», до обратной дизокклюзии, когда нижние зубы довольно сильно «выпирают» по отношению к верхним, с образованием сагиттальной щели.
- Нижний зубной ряд удлинен из-за:
- крупных нижних зубов (нижняя макродентия)
- лишнего (сверхкомплектного) нижнего зуба нижних зубов (например, из-за неправильной позиции языка)
- Верхний зубной ряд укорочен из-за:
- его деформации (скученности зубов)
- мелких верхних зубов (нижняя микродентия)
- адентии (недостаточного количества) верхних зубов
– смыкание верхних и нижних боковых зубов по третьему классу:

- соотношение челюстей по третьему классу
- деформация нижнего зубного ряда – мезиальное смещение (смещение вперёд) нижних боковых зубов
2. Признаки на уровне челюстей:
– cоотношение челюстей на ТРГ (боковой телерентгенограмме) по третьему классу (нижняя челюсть определяется в более передней позиции по отношению к верхней).
- Большая (длинная) нижняя челюсть
- Нижняя челюсть спозиционирована кпереди (например, в результате ротации височных костей). Или же, как адаптация к осанке («балансир» при переднем постуральном типе осанки).
Часто такая передняя позиция нижней челюсти является вынужденной. Деформированные зубные ряды или особое взаиморасположение челюстей не позволяют верхним и нижним зубам нормально смыкаться. Становится просто неудобно (и потому невозможно) правильно их сомкнуть. Поэтому пациент вынужденно выдвигает нижнюю челюсть вперед. Особенно часто такое бывает у детей, когда нижние молочные клыки блокируют верхнюю челюсть. Тем самым, с одной стороны, блокируют её рост, а с другой стороны, клыки создают неудобства (условия) для вынужденного переднего положения нижней челюсти.
Соотношение челюстей по III классу на телерентгенограмме.
Нижние молочные клыки блокируют рост верхней челюсти.
3. На уровне лица (лицевые признаки):

Характерный профиль при мезиальном прикусе.
- – увеличение высоты нижней трети лица.
- – выступающая вперёд нижняя челюсть.
- – снижение высоты средней зоны лица.
- – «впуклая» (запавшая) верхняя губа
4. На уровне осанки:
– передний постуральный тип осанки

Характерная осанка при мезиальном прикусе.
Расположенная кпереди нижняя челюсть является
неким «балансиром» в контексте общего построения осанки.
- Общескелетные особенности (нарушения), нарушения осанки
Диагностика мезиальной окклюзии
Как видно из сказанного выше, у мезиальной окклюзии есть признаки. А есть причины. И эти понятия не стоит путать. Т.е. не стоит лечить признаки («третий класс смыкания» или «выступающую нижнюю челюсть»). Лечить нужно причину. До того, разумеется, её определив диагностически.
Кроме того, причины мезиального прикуса, как видно из текста выше, можно условно разделить на зубные и скелетные. А скелетные причины можно разделить на челюстные и постуральные (связанные с оcанкой). И все эти причины могут меж собой различным образом сочетаться.
В общем, для того, чтобы четко понимать, причину мезиального прикуса, в каждом конкретном случае, нужна диагностика. Только после анализа диагностических данных станет понятно, как и чем лечить мезиальную окклюзию у данного конкретного пациента.
Основными видами диагностических исследований при мезиальном прикусе являются:
- анализ боковой ТРГ (телерентгенограммы) . Он позволяет выявить челюстные факторы (размер и позиция челюстей) мезиальной окклюзии
- анализ моделей челюстей (зубных рядов) . Он позволяет выявить «зубные» причины мезиального прикуса
Анализ боковой ТРГ.
Анализ моделей челюстей.
Лечение мезиальной окклюзии
Главное в лечении мезиального прикуса – это соответствие причины возникновения мезиальной окклюзии и проводимой терапии. А причина определяется диагностически, ни в коем случае не «на глазок», не визуально. Поскольку внешние проявления (лицевые признаки) во всех случаях мезиального прикуса практически выглядят одинаково, но при этом причины могут быть разные (см.выше). А значит и лечение в разных случаях должно различаться.
Если в излишне выпирающем вперед подбородке виновата верхняя челюсть, то не стоит удалять нижние зубы. Или не стоит делать операцию на челюсти нижней, её уменьшая. Необходимо, адекватно причине, развить верхнюю челюсть (если она недоразвита).
Несъемный аппарат для развития верхней челюсти с винтом (1) и «ушками» для крепления тяги к лицевой маске (2). До активации.
Несъемный аппарат для развития верхней челюсти с винтом (1) и «ушками» для крепления тяги к лицевой маске (2). После активации.
Зубной ряд до развития.
Результат развития верхней челюсти (в данном случае промежуткт между зубами возникли из-за мелких зубов).

И (или) выдвинуть верхнюю челюсть вперёд (если она находится в задней позиции) с помощью лицевой маски.
Бывает, что причиной мезиального прикуса является укороченный верхний зубной ряд. К примеру, в нём не хватает одного или нескольких зубов (адентия), или же просто имеется скученность верхних зубов (что является следствием укорочения верхнего зубного ряда). Тогда необходимо развить верхний зубной ряд. Получив при этом место для отсутствующих зубов или исправление той самой скученности зубов.
Укороченный верхний зубной ряд (в результате укорочения не хватило места правому клыку). Вид снизу.
Динамика развития (удлинения) верхней челюсти с помощью несъемного аппарата.
Укороченный верхний зубной ряд (в результате укорочения не хватило места правому клыку). Вид сбоку.
Динамика развития (удлинения) верхней челюсти и нормализации сагиттальных соотношений зубных рядов. Вид сбоку.
А при нормализации длины верхнего зубного ряда нормализуется и смыкание фронтальных зубов (оно из обратного или прямого превращается в нормальное, устраняется сагиттальная щель).
Если в укорочении длины верхнего зубного ряда виноват размер верхних зубов (он более мелкий, чем нужен для нормального смыкания с нижними зубами), то исправление мезиального прикуса в данном случае осуществляется при помощи стоматологического протезирования (увеличения размера верхних зубов). При этом верхний зубной ряд, так же, предварительно должен быть развит до нормального (индивидуально высчитанного) размера. А, образовавшиеся при этом, межзубные промежутки (из-за мелких по размеру зубов), должны быть закрыты ортопедическими конструкциями (коронками, винирами и пр.).

Пример лечения с удалением нижних премоляров.
Если причиной смыкания зубных рядов по третьему классу является нижний зубной ряд (он удлинён) - напрашивается адекватный ответ - уменьшить его длину.
Сократить длину нижнего зубного ряда можно следующими способами:
- Переместить назад нижние зубы. Для того, чтобы было куда перемещать – обычно удаляют нижние зубы мудрости.
- Сделать сепарацию нижних зубов.
- Удалить нижние зубы (премоляры к примеру) и сократить длину нижнего зубного ряда за счёт закрытия промежутков от них.
Ведь удаление нижних премоляров не приведёт к таким осложнениям, как при удалении премоляров верхних (см. «О лечении с удалением»). При условии формирования нормальных межзубных контактов в конце лечения, разумеется.
Если в удлинении нижнего зубного ряда виновен лишний (сверхкомплектный) зуб – его удаляют, а промежуток от него закрывают при помощи брекетов (нижний зубной ряд укорачивается на один зуб).
Когда в мезиальной окклюзии виновата, находящаяся в передней позиции, нижняя челюсть, действовать надо очень вдумчиво и аккуратно: не «задвигать» нижнюю челюсть кзади и не лечить мезиальную окклюзию, уповая лишь на «волшебство» брекетов и эластиков.
Нижнюю челюсть задвигают кзади.
Рекламный ролик. Лечение мезиальной окклюзии лишь с помощью брекетов и эластиков.
«Орто-Артель» предупреждает! Будьте осторожны! Не путайте рекламу и реалии! Это опасно для здоровья!
Такое незамысловатое, и очень упрощённое, лечение может привести к компрессии элементов височно-нижнечелюстного сустава (ВНЧС). Со всеми вытекающими осложнениями (см. «Дисфункции ВНЧС»). Поэтому, опять надо искать причину (причину почему нижняя челюсть сдвинулась вперёд).
Если причиной передней позиции нижней челюсти является блок на фронтальных зубах, то перво-наперво надо этот блок убрать.
Если переднюю позицию нижней челюсти определяет внутренняя ротация височных костей (а именно в ямку височной кости «вставлена» суставная головка нижней челюсти), то здесь уже надо дать поработать остеопату. Поработать именно с черепом, приведя в порядок позицию височных костей.
В процессе непосредственного осмотра специалистом вы сможете узнать свой точный диагноз, а также получить направление на диагностику или план лечения.
Хирургическое лечение мезиального прикуса
Единственным показанием для лечения мезиальной окклюзии оперативным путём является нижняя макрогнатия. Т.е. когда в соотношении челюстей по третьему классу диагностически доказана вина большой по размеру нижней челюсти. И здесь, действительно, можно задуматься об операции. И то - только задуматься. Поскольку, наверняка в третьем классе межчелюстных взаимоотношений виновата не только нижняя челюсть. Наверняка, (и как правило) большой нижней челюсти сопутствует маленькая (недоразвитая) и (или) кзади расположенная челюсть верхняя. Тогда можно путём развития или переднего смещения верхней челюсти попытаться сократить «расхождение» челюстей по сагиттали. Идеально возможно и не получится, но как альтернатива операции, частенько получается хороший компромиссный результат лечения. Компромисс, устаивающий и пациента, и доктора. И потому, с хирургией торопиться не стоит.
Хирургическая коррекция мезиального прикуса.
Только если исчерпаны все средства и методы консервативного лечения (развитие и тракция верхней челюсти, нормализация позиции нижней челюсти), а расхождение по челюстям остается довольно внушительным и портит эстетику лица – тогда следует идти на операцию (уменьшить длину нижней челюсти).
Но здесь крайне важно, чтобы подобный поворот событий был просчитан и согласован с пациентом еще на этапе диагностики.
Ошибки в лечении мезиальной окклюзии
Все ошибки совершаются из-за неправильного планирования лечения.
Чаще всего это выражается в несоответствии уровня проведения лечения уровню причины мезиального прикуса. Например, виновата верхняя челюсть – оперируют нижнюю. Или виноваты челюсти (проблема скелетная), а решить проблему пытаются «на зубах» (только брекетами). Неправильное определение уровня проблемы случается при недостаточной по объему диагностике или неверной трактовке диагностических данных. Т.е. когда мезиальный прикус пытаются лечить лишь на основании внешних признаков (по сути «на глазок»). Не учитывая истинную причину.
Попытка сдержать рост нижней челюсти с помощью пращи.
Очень распространённой ошибкой в лечении мезиальной окклюзии у детей является попытка сдержать рост нижней челюсти с помощью специальной пращи.
Многие пробуют, но ни у кого пока не получилось что-то «сдержать». Потому как, против природы не попрешь. Она (природа) всё равно своё возьмет. Сколько заложено генетически – столько и вырастет. А вот получить осложнения при применении такой пращи можно запросто.
Клиника "Орто-Артель" предлагает рассрочку на весь процесс лечения любых заболеваний.
Персональные условия рассматриваются в индивидуальном порядке.
Мезиальный прикус. Лечение брекетами
Брекет-система очень эффективный аппарат для расстановки зубов на челюсти. В этом деле никакой другой аппарат не может сравниться с брекетами. Но! Как видим из перечисленных выше причин мезиального прикуса, большинство из них имеет отнюдь не зубную природу. А скелетную (челюсти, осанка). И потому, лечить мезиальный прикус брекетами (только одними брекетами под ключ), в абсолютном большинстве случаев, малоэффективно.
Как лечат мезиальный прикус в клинике «Орто-Артель»
В нашей клинике все случаи мезиальной окклюзии лечатся продуманно и комплексно:
- мы никогда не пренебрегаем диагностикой . В результате:
- мы всегда знаем, что является причиной мезиальной окклюзии у каждого конкретного пациента .
- зная причину (что лечить), мы всегда знаем, как это лечится и чем .
- у нас огромный арсенал аппаратуры и множество методов лечения мезиального прикуса для взрослых . И каждому пациенту индивидуально подбирается, именно для него эффективные, аппарат и технология.
- мы никогда не начинаем с брекетов (с уровня зубов) . Поскольку, чаще всего, мезиальный прикус имеет скелетную причину. Мы всегда прежде приводим в порядок осанку. А так же размеры и позиции челюстей. А зубами (с помощью тех же брекетов) мы, на завершающей стадии лечения, «закупориваем» полученный ортопедический эффект. В результате:
- наши пациенты, в абсолютном большинстве случаев, лечатся (а точнее вылечиваются) без операций и удалений зубов. И не потому что мы очень добрые. Просто продуманность лечебных действий и комплексный подход в деле исправления любой аномалии прикуса позволяют нам, в большинстве случаев, найти разумный выход. Без деструктивных, а главное, непродуманных решений.
- наши пациенты не имеют осложнений и рецидивов.
Если у Вас и Вашего ребёнка есть признаки мезиального прикуса (см.выше) – не стоит ждать чуда. Лучше обратиться к специалистам. А в деле лечения мезиальной окклюзии у взрослых специалистам-ортодонтам клиники «Орто-Артель» нет равных. Будем рады помочь!

Мезиальный прикус - нарушение смыкания челюсти, когда нижняя больше выступает вперед и идет перекрытие верхних резцов. Это доставляет пациенту не только проблемы психологического характера, нет должной эстетики, возможные обсуждения дефекта со стороны, но и влияет на здоровье в целом. А лечение мезиального прикуса у взрослого, ребенка долгое и непростое. Предстоит работа со всех сторон: миофункциональная гимнастика, массаж альвеолярного отростка, использование ортодонтических конструкций и периодические посещение специалистов стоматологии.
Что такое мезиальный прикус
Мезиальный (медитальный) прикус - аномалия окклюзии, когда челюсти неправильно смыкаются. Выдвинутое вперед расположение нижнего зубного ряда к верхнему заметно даже визуально.

Мезиальная челюсть встречается у населения до 10 % от всего количества (довольно часто патология наблюдается у монголоидной расы). И в отличие от дистального прикуса, мезиальная окклюзия диагностируется реже. Однако ей подвержены все возраста.
Мезиальное смещение зуба иногда сочетается с другими видами аномалий - открытым, перекрестным прикусом.
Признаки
Прогения челюсти, как еще называют мезиальный прикус, выражается следующими признаками:
- верхние резцы на треть перекрыты нижними антагонистами;
- выдающийся вперед “волевой подбородок”, выражение кажется сердитым;
- ⅓ низа лица визуально более массивная;
- нижняя губа утолщенная;
- профиль вогнутый, “месяцеподобный”;
- смена молочных зубов начинается с нижних зубиков и происходит достаточно рано;
- асимметрия височно-челюстного сустава из-за мезиальной окклюзии;
- щелканье челюсти, звуки при зевании, жевании.

Кроме внешних, лицевых признаков внутриротовые симптомы могут проявляться не только обратным перекрытием резцов, но и прямым прикусом. Зубы нижней челюсти направлены в сторону ротовой полости, возможно наличие трем и диастем, щелей. Часто диагностируется хронические заболевания пародонта.
Сопровождается патология мезиальной челюсти дефектом речи. Пациент жалуется на трудности в откусывании пищи, проблем ЖКТ.
Причины возникновения
Этиология причин мезиального прикуса различна. Они могут быть врожденными, приобретенными, генетическими:
- наследственность, особенность строения черепа, лицевого скелета в поколении;
- патологии во внутриутробном развитии, когда беременная женщина принимала сильные лекарства или перенесла тяжелую болезнь;
- короткая уздечка;
- недоразвитая челюсть (верхняя) или межчелюстная кость;
- вредные привычки (сосание пальца, верхней губы, например);
- раннее прорезывание нижних молочных зубов (впрочем, любые отклонения в прорезывании могут быть причиной мезиальной окклюзии);
- остеомиелит и другие болезни костной ткани;
- макроглоссия (большой язык);
- удаление молочных зубов раньше срока;
- перенесенный рахит;
- сверхкомплектные зубы.
В последние годы процент выявления мезиальной окклюзии увеличивается, ученые видят проблему в генетической предрасположенности.
Повлиять на аномалию прикуса может неправильное положение во время сна (голова опущенная на грудь), привычка держать кулак, кисти под подбородком (сидя).
В стоматологии классификация мезиального прикуса достаточно расширена и дополнялась за последнее столетие. Даже в недалеком 2004 году Персин Л.С. предложил свою систему из 9 классов, основанную на опыте предыдущих лет.
- нижняя макрогнатия ( гиперразвитие челюсти);
- нижняя прогнатия (челюсть значительно выступает вперёд);
- верхняя микрогнатия (недоразвитие челюсти);
- верхняя ретрогнатия (смещение челюсти вглубь черепа);
- верхняя микрогнатия и нижняя макрогнатия;
- верхняя ретрогнатия и нижняя прогнатия;
- верхняя микрогнатия и нижняя прогнатия;
- верхняя ретрогнатия и нижняя макрогнатия;
- привычное выдвижение нижней челюсти вперёд.
Мезиальную окклюзию выделяют по прогнатии, которая может быть:
Истинная - ярко выраженная асимметрия лица, сильный дефект речи. Проявляется уже в раннем возрасте. Это макрогнатия нижней челюсти и/или ее прогнатия. Исправление мезиального прикуса требуется начинать уже с 5-7 лет, пока в виде терапии.
Ложная - нижняя челюсть нормального размера, а верхняя недоразвита и/или углублена в череп. Не всегда этот вид прогении челюсти можно заметить с первого взгляда. Но рентген снимок и компьютерная томография дает четкое понимание патологии.
Классификация степени искривления:
- Первая степень - визуально незаметно аномалий, размер щели между зубами до 2 мм, нижние резцы слегка выдаются.
- Вторая степень - появляется “волевой подбородок”, щель увеличивается до 10 мм, клыки нижней челюсти постоянно прикасаются со слизистой верхней губы.
- Третья степень - нижняя челюсть выражено подается вперед и хорошо заметно, что он больше верхней, щель более 10 мм между зубами, резцы не соприкасаются друг с другом. Могут присутствовать другие аномалии - скученность зубов одна из них.
Еще один из видов разделения смещения по форме:
- зубоальвеолярная - нижняя челюсть может сама встать на место, сместиться назад с нормальным смыканием боковых зубов;
- гнатическая - в этом случае сдвига самопроизвольного невозможно;
- смешанная.
Мы описали не все типы, в медицинской литературе встречается очень много классификаций, как и клинических случаев.
Начинается диагностика с визуального осмотра врача, и это должен быть ортодонт. Чтобы определить степень мезиального прикуса понадобятся следующие исследования и действия:
- оценка аномалии лица, асимметрии;
- замер пропорций челюсти с помощью измерительных приборов;
- рентген, телерентгенография, ортопантомография;
- компьютерная томография;
- на артикуляторах уточнить наклон резцов к височной области;
- использовать прикусные валики;
- снятие слепков челюсти.
Особенности, методы, этапы лечения
На выбор способа коррекции влияет возраст пациента и степень патологии.
Исправление мезиального прикуса у детей
Лучший период для исправления любой аномалии прикуса - детский возраст. Начинается все с массажа альвеолярных отростков, потом:
Миогимнастика - для самых маленьких, до 5-6 лет. Специальные ротовые упражнения позволят гармонично расти челюстям. Для деток постарше миотерапия назначается в дополнение к основному лечению.
Трейнеры для пациентов 5-8 лет помогают скорректировать прикус. В течение 4-8 месяцев надеваются на ночь. Представляет собой силиконовую двухчелюстную капу. Действует на мышцы челюсти.
Пластинка. От 8 лет предлагается ортодонтическая пластинка. Пластмассовая основа с металлическими дугами корректирующие мезиальную окклюзию. Существуют много видов, модификаций: активатор Френкеля, аппарат Брюкля, Активатор Андрезена-Гойпля и др. Выбор, будет ли это классическая пластинка, с пружинами или иная, зависит от степени патологии.
Ортодонтическая шапочка. В ней придется ребенку быть 6-8 часов. Выглядит как корсаж с эластичными бинтами делающий напряжение, натяжение на затылок и подбородок.

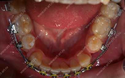
Брекеты с лигатурами и без для исправления прикуса
Лечение мезиального прикуса у взрослого
При тяжелой патологии приходится прибегать к хирургическому вмешательству. Выделяют 2 вида:
- щадящий. Для эффективной коррекции необходимо удалить зубы.
- травматичный. Это операция непосредственно на челюсти. Ее иссечение и принудительная фиксация правильного положения с помощью конструкции из титановых пластин и винтов. Накладываются швы и гипсовые шины, которые надо носить 2 недели. Для закрепления результата используются или брекеты или ретейнеры.

Последствия
Если не заниматься исправлением мезиального прикуса, можно ожидать неприятные последствия:
- периодические мигрени;
- щелкание челюсти при зевании и разговоре;
- появляется боль при широком открывании рта;
- судороги мышц лица;
- проблемы с пищеварением;
- дефекты речи становятся сильнее;
- теряется эстетика, внешний вид, лицо меняется не в лучшую сторону.
Со стороны зубов:
- повышенная стираемость эмали (даже на молочных зубах);
- межзубный кариес;
- бруксизм;
- открытый прикус.
Запущенное состояние зубов, костной ткани из-за мезиального прикуса непосредственно влияет на невозможность или сложности в имплантаци. Нельзя оставлять без внимания данную патологию и начинать коррекцию как можно раньше
Прогноз и сроки
У взрослых пациентов возможно потребуется консультация нескольких врачей: стоматолога-терапевта, ортодонта, ортопеда. Лечение будет не быстрым - 1,5-4 года. И лишь соблюдение рекомендаций врача поможет не только добиться результата, но и закрепить его.
Большое внимание стоит уделить периоду беременности. На внутриутробное развитие ребенка, формировании костей, в том числе челюстно-лицевых влияет здоровье мамы, ее питание, лекарства, стресс.
За детьми, конечно, следят родители. Необходимо придерживаться несложных правил:
- с самого раннего возраста надо отучать ребенка от вредных привычек - сосать палец долго, держать во рту что-либо по привычке;
- в приоритете грудное вскармливание;
- использовать анатомические соски;
- следить за появлением первых зубок и их сменой постоянными;
- следить за осанкой школьника, при неправильном расположении тела нижняя челюсть выдается вперед.
Для старшего возраста:
- еду пережевывать с одинаковой нагрузкой на зубы;
- следить за прорезыванием “восьмерок”;
- сбалансированно питаться и следить за здоровьем.
Иметь открытую улыбку и красивые зубы после лечения мезиального прикуса реально. В Москве много стоматологий решающие эти проблемы. Можно найти оптимальную по стоимости и хорошим отзывам.
[1] Персин Л.С. Виды зубочелюстных аномалий и их классификация. — М.: Издательство МГМСУ, 2006. — 25 с.
Читайте также:
- Лучевая диагностика рака надпочечника
- Создание анастомоза при субтотальной резекции желудка. Методика анастомозирования культи желудка.
- Контрольный паралич диафрагмы. Искусственный паралич в дополнение к торакопластике
- Психотерапия - показания, побочные эффекты
- Лучевая диагностика карциноида (карциноидной опухоли) желудочно-кишечного тракта
