Мезотелиома. Злокачественная мезотелиома.
Добавил пользователь Евгений Кузнецов Обновлено: 29.01.2026
Мезотелиома плевры представляет собой злокачественное или доброкачественное новообразование, которое произрастает из мезотелия. Это соединительная ткань, которой покрыты все внутренние органы. В большинстве случаев опухоль появляется на плевре, но может быть также мезотелиома легкого, перикарда, брюшины, яичка. Это достаточно редкая болезнь, которая появляется из-за частого контакта с канцерогенными соединениями (особенно это касается асбеста). Может протекать бессимптомно или с выраженной кинической картиной в виде кашля, боли, дискомфорта, жара.
Классификация
Выделяют несколько классификацией мезотелиомы по различным характеристикам. В зависимости от патогенеза выделяют 2 основные формы – доброкачественную и злокачественную. Первая еще называется фиброзной. Она отличается тем, что не распространяет по всему организму метастазы. Что касается злокачественной опухоли, то она еще называется целомической или эндотелиомой саркоматозной. Это инфильтрирующее образование, которое быстро распространяет метастазы.
В зависимости от морфологического признака выделяют локализованные и диффузные мезотелиомы. Первая образуется в виде узлов, которые имеют узкое или широкое основание. Имеет размеры от 6 до 20 см. Может быть как доброкачественной, так и злокачественной. Что касается диффузной мезотелиомы, то она выглядит как серозное утолщение размером от 3 см. Четких контуров не имеет. Может давать метастазы в рядом расположенные лимфатические узлы. Иногда имеет сосочковые разрастания. Характерная особенность – выделяет мукоидное вещество.
Причины заболевания
Главный фактор появления и увеличения мезотелиомы – контакт с канцерогенными минералами, особенно с асбестом. Это происходит на рудниках, в производственных цехах по выпуску строительных материалов и изготовлению стекла. Асбест скапливается в серозных прослойках еще в молодом возрасте у человека, а вот вызвать образование опухоли может спустя несколько десятилетий.
На это могут повлиять на факторы:
- генетическая предрасположенность к болезни;
- облучение во время терапии при других раковых болезнях;
- контакт с химическими веществами на производстве (никель, медь, полиуретан, бериллий и прочее).
Из-за этого у мужчин заболевание встречается в 8 раз чаще, чем у женщин. Это объясняется тяжелыми условиями труда.
Симптомы мезотелиомы
Симптомы мезотелиомы не проявляются на первых стадиях. Могут пройти годы, пока опухоль не достигнет больших размеров, после чего и начнут возникать характерные признаки:
- проблемы с дыханием;
- сильный кашель, кровохарканье;
- боли в груди;
- одышка;
- слабость, быстрая утомляемость;
- повышенная температура тела.
Симптомы могут отличаться в зависимости от места расположения опухоли.
Когда следует обратиться к врачу
Симптомы мезотелиомы обычно не проявляются на ранних стадиях. Из-за этого человек не обращается в больницу. Когда уже появляются выраженные осложнения, то это указывает на то, что процесс запущен. Вот почему необходимо как можно раньше обратиться к онкологу. Стоит обращать внимание на такие тревожные признаки: постоянная слабость, быстрая утомляемость, апатия, колики, повышенная температура тела, тошнота, рвота, дисбактериоз, накопление жидкости в животе.
Мезотелиома брюшной полости
Мезотелиома брюшины вызывает дискомфорт в животе и боли неясного характера. Также мучает метеоризм, икота, отрыжка, проблемы с пищеварением (диарея или понос). Из-за опухоли накапливается жидкость в брюшной полости, что называется асцитом. Его можно определить по тому, как быстро увеличивается живот. Крупные новообразования можно найти при пальпации.
Мезотелиома перикарда
Мезотелиома перикарда провоцирует появление болей в сердце, геморрагический перикардит. Из-за него увеличивается в размерах сердце, появляются нарушения в функционировании. Также не исключается тахикардия, стенокардия, гипотония. Со временем развивается сердечная недостаточность, которая является крайне опасной. Характерными признаками являются усиление выделения пота, отечность нога, бледность кожных покровов, потери сознания, удушье. Болезнь может привести к инфаркту или тампонаде перикарда.
Мезотелиома яичка
Мезотелиома яичка протекает незаметно. Среди всех признаков выделяют только незначительную боль, увеличение органа и гидроцеле. Во время пальпации чувствуется характерная шероховатость. Боль может отдавать в пах, бедро, поясницу. Опухоль быстро переходит на мошонку через кровеносные и лимфатические сосуды. Также возможно развитие мезотелиомы брюшины из-за этого.
Диагностика мезотелиомы
Диагностика мезотелиомы включает осмотр пациента и пальпацию проблемной области. После этого его отправляют на обследование:
- рентгенографию органов грудной клетки. Благодаря этой процедуре можно выявить мезотелиому плевры, перикарда, легких или обнаружить накопление жидкости. Также процедура позволяет определить размеры опухоли;
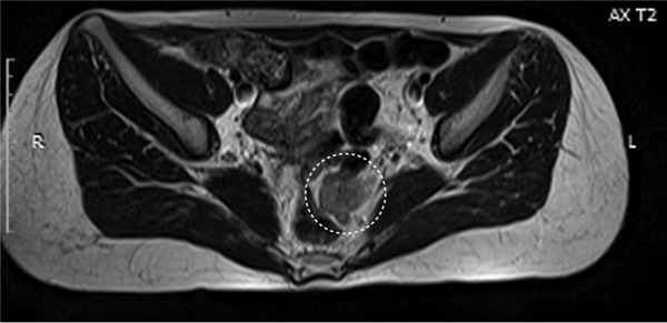
- компьютерную и магнитно-резонансную томографию. Благодаря им получается выявить метастазы в других органах;
- УЗИ брюшной полости;
- забор пункции – осуществляется сбор жидкости для дальнейшего проведения биопсии и анализа материала, чтобы уточнить стадию заболевания.
Лечение мезотелиомы
Лечение мезотелиомы легкого, плевры, яичка, брюшной полости проводится несколькими методами:
- операционное иссечение. Не всегда получается удалить полностью опухоль из-за труднодоступного расположения. Если же это удается сделать, то отделяют и часть здоровых тканей, чтобы уменьшить риск рецидива. Если у пациента доброкачественная или злокачественная мезотелиома плевры, то ее убирают на ранних стадиях. На более поздних понадобится убрать еще и часть перикарда, диафрагмы, легкого;
- химиотерапия. Она считается самой распространенной методикой. На новообразование воздействуют смесью сильнодействующих медикаментов, которые вводят через вену либо в саму плевру. Методика используется в качестве дополнения к хирургическому вмешательству.
Эффективное лечение мезотелиомы проводится в онкологическом центре «София». Врачи подбирают терапию индивидуально для каждого пациента. Она должна быть комплексной и проводится с учетом стадии болезни, общего состояния больного.
Прогноз заболевания – сколько живут
Прогнозы при мезотелиоме зависят от множества факторов. Особенно это касается стадии болезни, места расположения опухоли, возможности ее удалить хирургическим путем. Сколько живут при мезотелиоме? Чем раньше диагностирована патология и начато лечение, тем благоприятнее прогнозы. Если игнорировать новообразование, то продолжительность жизни на 4 стадии не более полугода. Поддерживания терапия помогает продлить на 2 года максимум.
Профилактика мезотелиомы
Чтобы предотвратить появление мезотелиомы, необходимо избегать контакта с канцерогенными веществами. Особенно это касается асбеста и другим вредных минералов. Тем людям, у которых работа связана с добычей этих веществ, работой на производстве, необходимо минимум раз в год проходить медицинский осмотр, сдавать анализы. То же самое касается и тех, кто проживает в промышленных районах.
Как записаться к врачу-онкологу
Онкологический центр предлагает помощь лучших врачей
Мы являемся партнером передовых американских и израильских центров. Наши врачи повышали квалификацию в лучших онкоцентрах мира, благодаря чему наши клиенты получают качественное лечение по зарубежным стандартам, не покидая пределов Российской Федерации.
Врач-онколог, член Российского общества маммологов, член RUSSCO (Профессиональное общество онкологов-химиотерапевтов), член Европейского онкологического общества ESMO, Американского общества исследования меланомы –SMR
Профессор, директор онкогематологической клиники университета Мартина Лютера (Галле, Германия), автор более 355 публикаций по проблемам лекарственного лечения опухолей
Заведующий отделением радиотерапии - врач- радиотерапевт.
Онколог, радиолог, заведующий отделением радиотерапии и радиохирургии, профессор медицины и исследователь.
Злокачественная мезотелиома. Опыт клинических наблюдений Текст научной статьи по специальности «Клиническая медицина»
Аннотация научной статьи по клинической медицине, автор научной работы — Козлова Наталья Александровна, Козлов Александр Александрович
Злокачественная мезотелиома – это редкая опухоль, возникающая из мезотелия – клеточного слоя, покрывающего внутренние поверхности серозных листков. Основным этиологическим фактором является контакт с асбестом . Прогноз в большинстве случаев неблагоприятный. Представлены наблюдения клинических случаев мезотелиомы.
Похожие темы научных работ по клинической медицине , автор научной работы — Козлова Наталья Александровна, Козлов Александр Александрович
Дифференциальная диагностика злокачественных новообразований по клеточному составу плевральной жидкости
MALIGNANT MESOTHELIOMA. EXPERIENCE OF CLINICAL OBSERVATIONS
Malignant mesothelioma is a rare tumor arising from the mesothelioma – the cell layer that covers the inner surface of the serous layers. The main etiologic factor is exposure to asbestos . The prognosis in most cases is poor. The observations of clinical cases of mesothelioma are presented.
Текст научной работы на тему «Злокачественная мезотелиома. Опыт клинических наблюдений»
ЗЛОКАЧЕСТВЕННАЯ МЕЗОТЕЛИОМА. ОПЫТ КЛИНИЧЕСКИХ НАБЛЮДЕНИЙ
© Н.А. Козлова, А.А. Козлов
Ключевые слова: злокачественная мезотелиома; асбест; клинические наблюдения.
Злокачественная мезотелиома - это редкая опухоль, возникающая из мезотелия - клеточного слоя, покрывающего внутренние поверхности серозных листков. Основным этиологическим фактором является контакт с асбестом. Прогноз в большинстве случаев неблагоприятный. Представлены наблюдения клинических случаев мезотелиомы.
Мезотелиома - первичная опухоль, возникающая из мезотелия - клеточного слоя, покрывающего внутренние поверхности серозных листков. Источником мезотелиомы могут быть плевра, брюшина, перикард, а также влагалищная оболочка яичка (мезотелиома яичка). Основным этиологическим фактором является контакт с асбестом. Мезотелиома развивается в течение 20-40 лет после того, как человек подвергался действию асбеста (латентный период). В настоящее время значительно сократилось число людей, в легких которых обнаруживаются следы сильного воздействия асбеста. Однако количество тех, на кого асбест действовал слабо и умеренно, не уменьшается. А развитие ме-зотелиомы может быть вызвано даже незначительным воздействием асбеста. Поэтому, несмотря на меры, принятые в большинстве стран ЕС, люди по-прежнему будут умирать от воздействия асбеста. Исследуются также и другие канцерогены: вирус SV40, воздействие ионизирующего излучения в анамнезе, генетическая предрасположенность. Кампания по замене асбеста более безопасными материалами проводится с конца ХХ в. В настоящее время применение асбеста запрещено в США, Австралии, Новой Зеландии, Великобритании, Италии, Франции и Японии. В марте 2011 г. Минздравсоцразвития РФ совместно с Международным агентством по исследованиям рака ВОЗ приступил
к оценке безопасности использования хризолитового асбеста в рамках федеральной программы «Национальная система химической и биологической безопасности РФ». 8 марта 2011 г. Президент РФ Дмитрий Медведев подписал федеральный закон о присоединении России к Роттердамской конвенции, регулирующей мировой оборот опасных химических веществ и пестицидов. Документ запрещает производство амфиболового асбеста, короткие волокна которого не выводятся из организма. Длинноволокнистый хризолит-асбест, производимый в России, имеет существенно более низкие показатели токсичности.
Патогенез мезотелиомы изучен недостаточно, однако установлено, что волокна асбеста имеют троп-ность к серозным оболочкам. Из дыхательных путей они мигрируют в плевру, где могут накапливаться в значительных количествах и служить пусковым механизмом для развития опухоли. Благодаря лимфотоку, направленному в сторону париетальной плевры, опухолевые клетки имплантируются в ней и постепенно распространяются по всей поверхности. Таким образом, в опухолевый процесс вовлекаются как висцеральный, так и париетальный листки плевры, что приводит к нарушению циркуляции лимфы, быстрому накоплению экссудата в плевральной полости. Мезотелиома плевры характеризуется агрессивной формой роста, быстро поражает подлежащие ткани.
ГИСТОЛОГИЧЕСКАЯ КЛАССИФИКАЦИЯ ВОЗ (1999 г.)
Эпителиоидный тип поражает покрытые мезотели-ем органы и поверхности и является наиболее частым (50-70 % случаев), имеет наилучший прогноз. Саркомоподобный тип (7-20 %) поражает глубокие ткани кости, хрящи, мышцы и/или жировую ткань и имеет самый неблагоприятный прогноз. Смешанный (бифазный) тип составляет приблизительно 20-35 % случаев.
Симптомы заболевания: одышка (у 60-80 % пациентов), боли в грудной клетке (40-70 %), кашель (10 %), снижение массы тела (30 %), лихорадка (30 %), реже осиплость голоса, дисфагия, синдром Горнера, синдром верхней полой вены и т. д. По данным C. Boutin, у 92 % пациентов заболевание манифестирует
развитием гидроторакса, выявляемого объективными и рентгенологическими методами.
Обзорная рентгенография считается ориентировочным методом, позволяющим лишь заподозрить наличие гидроторакса, уменьшение объема гемиторакса, смещение средостения в сторону поражения.
Компьютерная томография (КТ) является основным методом в диагностике и стадировании. Наиболее характерными признаками считаются: выпот в плевральной полости, узловое утолщение париетальной плевры, опухолевые массы, окружающие и сдавливающие легкое. По данным J. Hierholzer, указанные КТ признаки позволяют выявить злокачественную мезоте-лиому плевры с чувствительностью 93 % и специфичностью 87 % . Кроме того, КТ используется и для оценки гематогенного метастазирования. КТ диагностика может быть затруднена, особенно если речь идет о необходимости разграничить опухоль и плевральный фиброз, т. к. диффузное утолщение плевры может быть следствием как злокачественного, так и доброкачественного процесса.
Ультразвуковое исследование. У 80 % пациентов при первичном обращении определяется плевральный выпот. Ультразвуковое исследование позволяет определить помимо наличия плеврального выпота также распространенность опухоли и проникновение ее в близлежащие органы (диафрагму, брюшную полость).
Магнитно-резонансная томография превосходит по точности КТ при оценке таких параметров, как прорастание мягких тканей грудной клетки и степень поражения диафрагмы. По данным D. Stewart et al., МРТ позволяет исключить Т4 с чувствительностью 85 % и специфичностью 100 %.
Роль позитронно-эмиссионной томографии (ПЭТ) - дифференцировать опухоль от фиброза, определить оптимальную мишень для биопсии, диагностировать рецидив, оценить ответ на терапию. Точность метода достигает 92 %, однако дифференцировать мезотелио-му от метастатического поражения плевры невозможно. Все случаи злокачественной мезотелиомы, диагностированные клиническими и лучевыми методами исследования, требуют морфологической верификации диагноза, а для повышения точности стадирования у пациентов, которым запланировано оперативное лечение, целесообразно использовать инвазивные методы стадирования.
Цитологическое исследование плевральной жидкости в большинстве случаев является первым этапом морфологического подтверждения диагноза, т. к. у многих пациентов имеется выпот в плевральной полости. Однако чувствительность этого метода составляет 26-50 %
Гистологическая верификация диагноза. Биопсия париетальной плевры по чувствительности (в среднем 50 %) не намного превосходит цитологическое исследование. Чувствительность тонкоигольной биопсии составляет 52-57 %, а чувствительность игловой биопсии под контролем КТ/УЗИ - 86 %. Кроме низкой чувствительности, указанные выше методы биопсии характеризуются также недостаточным количеством
получаемого материала, что приводит к затруднениям в определении гистологического варианта опухоли.
Поэтому основными методами морфологической верификации следует считать: торакоскопическую
Медиастиноскопия - наиболее точный метод оценки N-стадии, которая является одним из основных прогностических факторов в оценке лимфогенного мета-стазирования.
Лапароскопия используется для исключения отдаленных метастазов в брюшной полости (М^, а также обеспечивает тщательную оценку ипсилатерального купола диафрагмы.
Дифференциальная диагностика проводится с диссеминированным по плевре раком легкого, экссудативным плевритом неспецифической и туберкулезной этиологии, при ограниченной форме - с опухолями и кистами средостения и грудной стенки, с периферическим раком легкого.
Эффективность лечения больных мезотелиомой остается низкой даже в сравнении с другими злокачественными опухолями. Неслучайно вместо традиционной 5-летней выживаемости используют параметр «медиана выживаемости», которая в среднем составляет 13-15 месяцев, а до 5 лет доживают лишь единичные пациенты.
Хирургические методы: паллиативные (плевродез, шунты), циторедуктивные (плеврэктомия/декортика-ция), относительно радикальные (экстраплевральная пневмонэктомия). Хирургическое лечение в объеме плеврэктомии или плевропневмонэктомии проводится редко, при локализованных формах лишь у 7-10 % больных. После плевропневмонэктомий операционная смертность достигает 14-15 %. Показатели продолжительности жизни: медиана выживаемости соответствует 9-21 месяцам; двухлетняя выживаемость составляет 11-45 % (G. Giaccone, 2002; M. Rahman еt al., 2003). Улучшение отдаленных результатов хирургического лечения (прежде всего, плевропневмонэктомий) связывается с проведением адъювантной химиотерапии. Окончательно определить значение хирургического метода лечения поможет первое многоцентровое, рандомизированное, контролированное исследование MARS (Mesothelioma and Radical Surgery), которое стартовало в Великобритании в 2006 г.
Лучевая терапия. Невысокая эффективность лучевой терапии (ЛТ) как самостоятельного метода лечения при мезотелиоме обусловлена диффузным распространением опухоли по серозным оболочкам, невозможностью использования адекватных доз из-за высокого риска осложнений. Лучевую терапию применяют с паллиативной целью, чтобы снизить вероятность рецидива опухоли в зоне после оперативного вмешательст-
ва. Но при этом не изменяется риск отдаленного мета-стазирования.
Химиотерапия. Эффективность современных химиопрепаратов при мезотелиоме плевры редко превышает 20 %. Отмечена регрессия опухоли и объективное улучшение при применении цисплатина, циклоплатама, митомицина, ралтитрексида (томудекса), этопозида, карбоплатина, ифосфамида, винорельбина, гемцитаби-на (гемзара), пеметрекседа (алимты).
Прогноз. Медиана выживаемости больных с впервые выявленным заболеванием составляет от 6 до 18 мес. Кроме того, ухудшает прогноз наличие синдрома системной воспалительной реакции на мезотелиому, что проявляется лейкоцитозом и тромбоцитозом.
Больная К., 1934 г. р., 2007-2009 гг. (находилась в ГБУЗ «Тамбовская психиатрическая клиническая больница»). Апрель 2007 г. - выявлена инфильтрация в нижних отделах правого легкого, ФБС - без особенностей. Осмотрена областной пульмонологической комиссией - данных за онкологический процесс не выявлено. Май 2007 г. - обратилась с новообразованием кожи лба. Цитологическое исследование. меланома, выполнена криотерапия. Январь 2008 г. - выявлен правосторонний плеврит. Цитологическое исследование. метастатический экссудат - клетки меланомы. Март 2009 г. - обнаружена опухоль мягких тканей грудной клетки справа диаметром 10 см. Цитологическое исследование - цитограмма более вероятна для меланомы. 24 августа 2009 г. в психиатрической больнице выполнена плевральная пункция справа, в этот же день наступила смерть пациентки. Патологоанатомический диагноз - меланома лба с метастазами в мягкие ткани щеки (на аутопсии), эпителиоидная мезотелиома плевры и перикарда с прорастанием ребер и мягких тканей передней грудной стенки, двусторонний метастатический плеврит.
Больная Р., 1951 г. р., август 2011 г. - настоящее время. Обратилась с жалобами на боли в правой половине грудной клетки, снижение веса, одышку инспира-торного характера. Цитологическое исследование плевральной жидкости - цитограмма злокачественного заболевания, вероятнее мезотелиомы. КТ ОГК - картина мезотелиомы плевры с метастазами в легкие. Получает химиотерапевтическое лечение.
Больная М., 1955 г. р., март 2009 г. - настоящее время. В 2009 г. при профосмотре выявлена опухоль средостения. Апрель 2009 г. - операция. удаление опухоли средостения, сублобарная атипичная резекция верхней доли правого легкого. Гистологическое исследование - опухоль неясного генеза. В марте 2012 г. на КТ ОГК выявлено прогрессирование заболевания. в заднем средостении на уровне Th4-6 образование 62x44x55 мм, сдавливает нижнюю часть трахеи, правый главный бронх. Получает химиотерапевтическое лечение.
Больная М., 1955 г. р., декабрь 2011 г.- настоящее время. Консультирована в РОНЦ им Н.Н. Блохина в г. Москве. Диагноз. эпителиоидная мезотелиома
плевры. Проведено 4 курса по схеме паклитаксел, кар-боплатин - стабилизация процесса, 4 курса по схеме гемцитовер, платидиам - умеренно отрицательная динамика. 3 курса: алимпта 900 мг.
Больная П., 1948 г. р., 28 сентября 2009 г. Пациенка умерла в день поступления в кардиологическое отделение ГБУЗ «Тамбовская областная клиническая больница». Заключительный диагноз: мезотелиома плевры справа с метастазами в левое легкое и тело поджелудочной железы, правосторонний серозный плеврит, тромбоэмболия легочной артерии.
Мезотелиома брюшины. Больная С., 1987 г. р., июль 2006 г. - настоящее время. Июль 2006 г. - экс-плоративная лапаротомия, биопсия опухоли. Консультирована в РОНЦ им Н.Н. Блохина в г. Москве. Гистологическое исследование - злокачественная эпителио-идноклеточная мезотелиома. Проведено 8 курсов химиотерапии: таксол, доксорубицин с оценкой эффекта по уровню маркеров (СА 125). Октябрь 2008 г. - операция: субтотальная перитонэктомия, резекция малого и большого сальника, гипертермической интраопера-ционная интраперитонеальная химиотерапия (циспла-тин). В РОНЦ им Н.Н. Блохина получала лечение алимптой. Находится под динамическим наблюдением.
Больная С., 1966 г. р., ноябрь 2006 г. - настоящее время. Ноябрь 2006 г. операция - удаление опухоли забрюшинного пространства (ГКБ им. архиепископа Луки г. Тамбова). Гистологическое исследование -фибросаркома. Консультация в РОНЦ им Н.Н. Блохина в г. Москве в 2007 г. - выявлен продолженный рост опухоли. Пересмотр блоков: внеорганная гист-опухоль. Проводилась предоперационная терапия гливеком с незначительным эффектом. Апрель 2007 г. - операция: резекция сигмовидной кишки, удаление опухолевых узлов малого таза. Гистологическое исследование -картина злокачественной бифазной мезотелиомы брюшины. Находится под динамическим наблюдением - в малом тазу сохраняются солидные образования небольших размеров без отрицательной динамики.
Злокачественная мезотелиома - редко встречающаяся опухоль, поэтому каждый случай ее клинического наблюдения представляет научный интерес.
Обобщение клинических данных позволит улучшить стратегию диагностики и лечения этой патологии.
Поступила в редакцию 19 октября 2012 г.
Kozlova N.A., Kozlov A.A. MALIGNANT MESOTHELIOMA. EXPERIENCE OF CLINICAL OBSERVATIONS
Malignant mesothelioma is a rare tumor arising from the mesothelioma - the cell layer that covers the inner surface of the serous layers. The main etiologic factor is exposure to asbestos. The prognosis in most cases is poor. The observations of clinical cases of mesothelioma are presented.
Мезотелиома. Злокачественная мезотелиома.
Московский научно-исследовательский онкологический институт им. П.А. Герцена Росмедтехнологий, Москва
Московский научно-исследовательский онкологический институт им. П.А. Герцена Росмедтехнологий, Москва
ФГБУ "Московский научно-исследовательский онкологический институт им. П.А. Герцена" Минздрава РФ
Военная медицинская часть, Голицыно, Московская область, Россия, Московский научно-исследовательский онкологический институт им. П.А. Герцена, филиал ФГБУ «Национальный медицинский исследовательский центр радиологии» Минздрава России, Москва, Россия
ФГУ Московский научно-исследовательский онкологический институт им. П.А. Герцена Минздравсоцразвития России, Москва
ФГБУ "Московский научно-исследовательский онкологический институт им. П.А. Герцена" Минздравсоцразвития России
Московский научно-исследовательский онкологический институт им. П.А. Герцена, филиал ФГБУ НМИЦ радиологии Минздрава России, Москва, Россия
ГБУ «Республиканский онкологический диспансер», Грозный, Чеченская Республика, Россия
Случай успешного комбинированного лечения больной злокачественной эпителиоидной мезотелиомой брюшины
Журнал: Онкология. Журнал им. П.А. Герцена. 2017;6(6): 52‑54
Московский научно-исследовательский онкологический институт им. П.А. Герцена Росмедтехнологий, Москва
Представлен случай успешного лечения больной с мезотелиомой брюшины, которое включало комбинацию циторедуктивных вмешательств и интраоперационной фотодинамической терапии как в самостоятельном лапароскопическом варианте, так и в сочетании с операцией. Использование высокотехнологичных фотодинамических методик и агрессивной хирургии позволило добиться уникальной для этого заболевания продолжительности жизни — более 13 лет.
Московский научно-исследовательский онкологический институт им. П.А. Герцена Росмедтехнологий, Москва
Московский научно-исследовательский онкологический институт им. П.А. Герцена Росмедтехнологий, Москва
ФГБУ "Московский научно-исследовательский онкологический институт им. П.А. Герцена" Минздрава РФ
Военная медицинская часть, Голицыно, Московская область, Россия, Московский научно-исследовательский онкологический институт им. П.А. Герцена, филиал ФГБУ «Национальный медицинский исследовательский центр радиологии» Минздрава России, Москва, Россия
ФГУ Московский научно-исследовательский онкологический институт им. П.А. Герцена Минздравсоцразвития России, Москва
ФГБУ "Московский научно-исследовательский онкологический институт им. П.А. Герцена" Минздравсоцразвития России
Московский научно-исследовательский онкологический институт им. П.А. Герцена, филиал ФГБУ НМИЦ радиологии Минздрава России, Москва, Россия
ГБУ «Республиканский онкологический диспансер», Грозный, Чеченская Республика, Россия
Мезотелиома является первичной опухолью, растущей из мезотелиальных клеток серозных оболочек. Впервые была описана в 1908 г. Miller и Wynn, частота встречаемости в мире — 1—2 случая на 1 млн. Ежегодно в США выявляют около 800 больных с этим диагнозом [1]. В зависимости от локализации различают мезотелиому брюшины, плевры, реже — перикарда. Среди опухолей этого типа поражение брюшины составляет 10—20% случаев. Развивается она преимущественно у мужчин старше 40 лет [2]. В зависимости от типа роста мезотелиома брюшины может иметь локализованную (узловую) или диффузную форму. В первом случае опухоль имеет вид ограниченного узла, исходящего из париетального или висцерального листка серозы. Мезотелиома брюшины имеет инфильтративный рост без четких границ и распространяется по всей ее поверхности. По гистологическому строению выделяют эпителиоидную (50—70%), саркоматоидную (7—20%) и смешанную (20—35%) формы. К редким типам мезотелиомы относится мультикистозная форма, которая встречается у женщин и поражает брюшину, главным образом, в области дугласова пространства [3]. Считается, что развитие мезотелиомы брюшины и других локализаций напрямую связано с длительным и интенсивным контактом больного с асбестом. При этом от момента контакта до начала болезни могут пройти десятки лет. Среди других факторов не исключается влияние ионизирующего излучения, вирусной инфекции, контакта с силикатами, парафинами [4]. Медиана выживаемости на всю группу не превышает 12 мес. При невозможности хирургического лечения выживаемость при первой линии химиотерапии составляет около 7 мес. При начальных стадиях заболевания циторедуктивная операция с гипертермической химиотерапией позволяет в специализированных центрах добиться медианы выживаемости от 3 до 5 лет [5].

Клиническое наблюдение. Больная Т. в 2004 г. в возрасте 16 лет оперирована в РНЦРР с подозрением на опухоль яичников. При ревизии было выявлено поражение яичников, матки, тазовой брюшины, большого сальника. Произведена экстирпация матки с придатками, резекция большого сальника. При пересмотре стекол и ИГХ-исследовании установлен диагноз: злокачественная эпителиоидная мезотелиома. В послеоперационном периоде проведено 6 курсов ПХТ (гемзар/цисплатин, таксотер/цисплатин). В июне 2005 г. выявлено прогрессирование процесса. Больная обратилась в МНИОИ им. П.А. Герцена. При К.Т. выявлены опухолевые узлы на диафрагмальной поверхности брюшины справа до 1—3,5 см с прорастанием в ткань печени. В полости таза признаков рецидива не выявлено. Уровень СА125 в пределах нормы. 24.08.05 выполнена циторедуктивная перитонэктомия с удалением брюшины правого купола диафрагмы и правого латерального канала, атипичная резекция правой доли печени. Операция дополнена фотодинамической терапией (ФТД) брюшины с фотосенсибилизатором фотогем. В июне 2006 г. выполнена плановая флюоресцентная лапароскопия. При видеоревизии в режимах ауто- и аллофлюоресценции в нижних отделах передней брюшной стенки справа определяется несколько выбухающих очагов флюоресценции, при осмотре в белом свете рубцово-жировая ткань (рис. 1). Рис. 1. Очаги мезотелиомы на диафрагме. Проведен курс ФДТ брюшины с иссечением фрагмента измененной брюшины в зоне флюоресценции. При плановом гистологическом исследовании иссеченных фрагментов — инфильтративный рост эпителиодноклеточной мезотелиомы в фиброзно-жировой основе с эмболами в сосудах.

С марта 2007 г. по август 2009 г. больной проведено 6 лапароскопических вмешательств — флюоресцентная ревизия, множественная биопсия брюшины и интраоперационная ФТД. Во всех случаях использовали фотосенсибилизатор фотогем, вводимый внутривенно за 48 ч до операции. Использовали цилиндрический диффузор с экранирующим устройством — трансдьюсер. Последовательно облучали доступные отделы париетальной брюшины: 20 позиций по 2 мин. Мощность лазера 600 мВт, плотность энергии 6 Дж/см 2 . В 2 случаях стандартную методику дополняли проведением ФДТ в жидкой среде после заполнения брюшной полости 4 л изотонического раствора натрия хлорида. Начиная с 7-й лапароскопии при ревизии и биопсии микроочаги мезотелиомы не выявлялись. При обследовании в апреле 2010 г. больной выполнено КТ и УЗИ брюшной полости и малого таза, а также МРТ, при которой обнаружили опухолевые узлы в области ректосигмоидного и верхнеампулярного отделов толстой кишки (рис. 2). Рис. 2. Опухолевый узел в мезоректальной клетчатке.
Больной выполнена циторедуктивная операция — флюоресцентная лапароскопия, удаление рецидивной опухоли малого таза, интраоперационная ФДТ. При лапароскопической ревизии в режиме обычного света и в AF-режиме изменений со стороны париетальной и висцеральной брюшины не выявлено. Произведена нижнесреднесрединная лапаротомия. Установлено, что сигмовидная кишка удлинена, дистальный ее отдел уходит в созданную после экстирпации за счет перитонизации диафрагму таза. Произведено рассечение париетальной брюшины. Брыжейка кишки расправлена до истинной тазовой брюшины. При этом в ней определяется образование размером около 2,5×1,5 см. Удалено в пределах здоровых тканей. Произведена мобилизация ректосигмоидного и верхнеампулярного отдела толстой кишки. После этого установлено, что имеется опухолевый узел неправильной формы, состоящий как бы из двух сегментов, интимно прилежащий к передней стенке прямой кишки и мочевому пузырю. Произведено его удаление острым путем с частичной резекцией серозы. Морфологический диагноз: эпителиоидно-клеточная мезотелиома брюшины. Динамическое наблюдение в течение 7 лет не выявило прогрессирования заболевания. К настоящему времени продолжительность жизни составляет 156 мес.
Заключительный диагноз: злокачественная эпителиоидно-клеточная мезотелиома брюшины. Комбинированное лечение в 2004 г. (Экстирпация матки с придатками, резекция большого сальника + 6 курсов ПХТ). Прогрессирование процесса. Циторедуктивная операция + ФДТ брюшины 24.08.05. Прогрессирование процесса. Лапароскопическая ФДТ брюшины 12.07.06, 09.11.06, 07.03.07, 04.07.07, 22.11.07, 09.04.08, 26.11.08, 19.08.2009. Прогрессирование. Циторедуктивная операция + ИОФДТ 05.05.2010. Ремиссия.
Заключение
Нам не удалось в специальной литературе найти подобный пример такого длительного контроля и наблюдения при мезотелиоме брюшины. Произведены 3 циторедуктивные операции, 9 лапароскопических вмешательства и в общей сложности 11 сеансов интраоперационной ФТД, что потребовало значительных физических и эмоциональных затрат от хирургов и от самой пациентки. Циторедукция в комбинации с ФДТ позволили обеспечить локальный контроль в брюшной полости, в то время как в малом тазу внебрюшинно, вне зоны фотодинамического воздействия происходил рост рецидивной опухоли.
Авторы заявляют об отсутствии конфликта интересов.
Сведения об авторах
Уважаемый посетитель!
Уведомляем Вас о том, что на данном сайте содержится информация, предназначенная для медицинских специалистов (дипломированных медицинских работников, студентов медицинского образовательного учреждения или представителей компании, работающей в сфере здравоохранения)
Если Вы не являетесь специалистом здравоохранения, администрация не несет ответственности за возможные отрицательные последствия, возникшие в результате самостоятельного использования Вами информации с сайта без предварительной консультации с врачом.
Вы являетесь сотрудником сферы здравоохранения?
Злокачественная мезотелиома
Мезотелиальные клетки выстилают изнутри грудную и брюшную полости, а также сердечную сумку - полость вокруг сердца. Эти клетки также выстилают поверхности большинства внутренних органов.
Ткань, образованная мезотелиальными клетками, носит название мезотелия. Мезотелий грудной клетки называется плеврой, брюшной полости - брюшиной и полости сердца - перикардом.
Опухоли мезотелия бывают доброкачественными и злокачественными, причем обычно возникают злокачественные опухоли, которые называют мезотелиомами.
РАЗЛИЧАЮТ ТРИ ТИПА ЗЛОКАЧЕСТВЕННЫХ МЕЗОТЕЛИОМ:
1. Эпителиоидный тип, составляющий 50-70% среди всех мезотелиом и имеющий наилучший прогноз (исход).
2. Саркоматоидный тип (7-20%).
3. Смешанный тип (20-35%).
Почти 3/4 мезотелиом возникает в грудной полости и носят название мезотелиом плевры. В 10-20% случаев опухоль развивается в животе - мезотелиомы брюшины. Мезотелиомы перикарда встречаются очень редко.
Как часто встречаются злокачественные мезотелиомы?
Мезотелиома является редкой опухолью, которая чаще встречается у мужчин после 50 лет. Ежегодно выявляется 2-3 тысячи новых случаев заболевания. Опухоль длительное время может протекать бессимптомно и поэтому нередко выявляется в поздних стадиях, что отрицательно влияет на прогноз (исход) болезни. Средняя выживаемость больных обычно составляет всего 1-2 года.
Факторы риска возникновения злокачественной мезотелиомы
Контакт с асбестом является основным фактором риска развития мезотелиомы. Асбест используется при изготовлении изоляционных и огнеупорных материалов, кафеля, тормозных колодок и пр. После установления взаимосвязи контакта с асбестом и развитием мезотелиомы использование этого вещества резко сократилось.
Риск развития мезотелиомы зависит от интенсивности и длительности контакта с асбестом. Длительный контакт в молодом возрасте значительно повышает риск возникновения мезотелиомы. Период времени от момента первого контакта с асбестом до диагностики опухоли составляет 20-50 лет.
Курение само по себе не влияет на увеличение частоты развития мезотелиомы, однако сочетание курения и контакта с асбестом значительно повышает риск развития рака легкого. У курящих людей, контактирующих с асбестом, риск развития рака легкого повышен в 50-90 раз по сравнению с общей популяцией.
Для профилактики (предотвращения) развития мезотелиомы необходимо избегать контактов с асбестом дома и на производстве.
Диагностика мезотелиомы
Ранние симптомы мезотелиом не являются специфическими. Они нередко игнорируются больными или принимаются за проявления обычных неопухолевых заболеваний. У большинства больных мезотелиомой симптомы появляются за 2-3 месяца до выявления опухоли.
У ряда больных симптомы могут сохраняться в течение 6 и более месяцев.
50% больных мезотелиомой плевры отмечают боли внизу грудной клетки на боковой или задней поверхности. Многие больные жалуются на одышку. В некоторых случаях имеется затруднение глотания, кашель, потливость, слабость, похудение и повышение температуры.
Из других симптомов можно указать на осиплость голоса, кровохарканье, отек лица и верхних конечностей.
У больных мезотелиомой брюшины возможна боль в животе, тошнота, рвота, похудение. У некоторых больных может появиться жидкость в животе (асцит) и/или опухоль.
При подозрении на мезотелиому необходимо срочно обратиться к врачу, который выяснит наличие факторов риска и назначит обследование. Во время осмотра врач может обнаружить наличие жидкости в плевральной полости (плеврит), животе (асцит) или перикарде (перикардит), которая возникает в результате развития опухоли.
Рентгенография грудной клетки позволяет обнаружить утолщение плевры, наличие кальцификатов (минеральных отложений) в плевре и жидкость в плевральной полости.
Компьютерная томография (КТ) дает возможность поставить диагноз мезотелиомы и определить распространенность процесса (стадию).
Магнитно-резонансная томография (МРТ) может помочь в выявлении поражения диафрагмы - мышечной ткани, которая разделяет грудную и брюшную полость.
Торакоскопия (осмотр плевральной полости с помощью специального аппарата) позволяет не только выявить опухоль, но и сделать биопсию (взять кусочек ткани для исследования) или получить жидкость для микроскопического исследования с целью уточнения диагноза.
Лапароскопия (осмотр брюшной полости с помощью аппарата) позволяет обследовать брюшную полость, взять кусочек опухоли или жидкость для исследования.
Стадии (распространенность) мезотелиомы
В настоящее время различают лишь стадии мезотелиомы плевры, так как встречается значительно чаще других локализаций.
Выделяют 4 стадии мезотелиомы плевры.
I стадия - опухоль поражает плевру слева или справа, при этом лимфатические узлы в процесс не вовлечены.
II стадия - одностороннее поражение плевры и распространение опухоли на диафрагму или легочную ткань.
III стадия - одностороннее поражение плевры и распространение процесса на переднюю грудную стенку, или на жировую ткань средостения, или перикард, или лимфатические узлы на стороне мезотелиомы.
IV стадия - мезотелиома вовлекает в процесс мышцы или ребра, или прорастает диафрагму, или пищевод, трахею, вилочковую железу, крупные кровеносные сосуды, или позвоночник, или переходит на другую сторону, или распространяется через кровоток на отдаленные органы.
Лечение злокачественной мезотелиомы
Выбор тактики лечения зависит от ряда факторов, включающих стадию опухоли, общего состояния больного и его мнения. Учитывая редкость мезотелиомы, целесообразно проводить лечение в специализированных онкологических учреждениях, имеющих опыт лечения таких больных.
ХИРУРГИЧЕСКОЕ ЛЕЧЕНИЕ
Операция может быть выполнена как с паллиативной, так и лечебной целью. Под паллиативной операцией подразумевают хирургическое вмешательство, с помощью которого можно устранить или уменьшить боль или дискомфорт, вызванный ростом опухоли.
Такие операции применяются при невозможности удаления опухоли из-за распространенности процесса или тяжелого состояния больного.
Плевроэктомия/декортикация является, как правило, паллиативной операцией и заключается в удалении плевры, что препятствует накоплению жидкости и уменьшению боли.
Торакоцентез - процедура, при которой с помощью иглы удаляется жидкость из плевральной полости для облегчения состояния больного.
Введение талька или антибиотика в плевральную полость с целью временного предотвращения накапливания в ней жидкости эффективно у 90% больных мезотелиомой плевры.
Прокол передней брюшной стенки позволяет удалить накопившуюся жидкость в животе у больных мезотелиомой брюшины.
У больных мезотелиомой перикарда выполнение пункции перикарда дает возможность удалить жидкость и улучшить сердечную деятельность.
У больных в удовлетворительном состоянии, имеющих локализованную опухоль, выполняют радикальную операцию, т.е. полное удаление мезотелиомы.
Следует иметь в виду, что нередко после предполагаемых радикальных операций остаются микроскопические очаги опухоли. В связи с этим значение радикальных операций у больных мезотелиомой оспаривается.
Внеплевральная пневмонэктомия заключается в удалении плевры, диафрагмы, перикарда и легкого на стороне поражения. Такая расширенная операция может быть выполнена только высоко квалифицированными хирургами-онкологами у больных с хорошим общим состоянием без серьезных сопутствующих заболеваний.
У больных с локализованной мезотелимой брюшины может быть предпринята попытка удаления опухоли вместе с частью брюшной стенки. К сожалению, у большинства больных мезотелиомой брюшины выполнение радикальных операций невозможно в связи с распространенностью процесса.
В случае локализованного поражения перикарда выполняется его удаление, а при распространенном процессе - паллиативные вмешательства, препятствующие накоплению жидкости.
ЛУЧЕВАЯ ТЕРАПИЯ
Наружное облучение используется у больных мезотелиомой наиболее часто.
При внутреннем облучении радиоактивный материал подводится непосредственно к опухоли.
Этот вид лучевой терапии применяется как основной метод лечения у пациентов в тяжелом состоянии, когда они не могут перенести серьезную операцию.
Вспомогательная лучевая терапия назначается после нерадикальных операций для уничтожения оставшихся опухолевых клеток.
Паллиативное облучение применяется для облегчения симптомов, вызванных ростом опухоли: одышки, боли, кровотечения и затруднения глотания.
Лучевая терапия может вызвать побочные реакции и осложнения в виде ожога кожи, слабости, тошноты, рвоты, жидкого стула, повреждения легочной ткани, затруднения дыхания.
Большинство побочных реакций проходит после завершения курса облучения.
Следует знать, что лучевая терапия может усугубить побочные действия химиотерапии.
Химиотерапия
При лечении больных злокачественной мезотелиомой химиопрепараты могут вводиться не только внутривенно, но и внутриплеврально и внутриперитонеально (в брюшную полость).
В зависимости от стадии опухоли химиотерапия может быть как основным, так и вспомогательным методом лечения. Причем химиотерапия используется лишь как паллиативное средство, дающее лишь временный эффект.
Из противоопухолевых препаратов применяют: доксорубицин, цисплатин, метотрексат, винорелбин и др. в различных сочетаниях.
К побочным реакциям химиотерапии относят: тошноту, рвоту, потерю аппетита, облысение, появление язв во рту, повышенную восприимчивость к инфекциям, кровоточивость.
Большинство побочных реакций проходит после завершения лечения.
Мероприятия 2022 года
Архив мероприятий
Противораковое общество РОССИИ создано по инициативе ученых-онкологов и главных врачей онкологических диспансеров, представляющих более 50 регионов России, с целью претворения в жизнь программы профилактики рака в России
Рубрики
Контакты
Злокачественная мезотелиома
Эта информация поможет вам получить представление о злокачественной (раковой) мезотелиоме, а также о факторах риска, диагностике, хирургическом удалении и лечении.
О мезотелиоме
Мезотелиома — это редкая форма рака тканей, выстилающих внутренние органы. Существует несколько видов мезотелиомы.
- Мезотелиома плевры поражает плевру — сумку, окружающую легкие (см. рисунок 1). Это наиболее распространенный вид мезотелиомы.

Рисунок 1. Грудная клетка и плевральная полость
- Мезотелиома брюшины (peritoneal) поражает перитонеальную мембрану — ткань, окружающую органы брюшной полости (живота).
- Мезотелиома перикарда (pericardial) поражает перикард — окружающую сердце сумку (см. рисунок 1). Это редкий вид мезотелиомы.
- Мезотелиома яичек поражает внутреннюю оболочку яичек. Это редкий вид мезотелиомы.
Факторы риска развития мезотелиомы
Основным фактором риска развития мезотелиомы является воздействие асбеста. Асбест — это минеральное волокно, которое встречается в некоторых старых зданиях.
Люди, занятые в горнодобывающей отрасли, в металлургии и строительстве, выполняющие слесарные, теплотехнические, изоляционные, плотницкие и электромонтажные работы или работающие на судостроительных предприятиях, обычно больше других контактируют с асбестом. Эти люди подвергаются более высокому риску развития мезотелиомы. Родственники таких людей также входят в группу повышенного риска, так как могут контактировать с асбестом, находящимся в одежде и волосах работающих. Однако у людей, не имеющих отношение к этим профессиям, тоже может развиться мезотелиома.
Диагностика мезотелиомы
Чтобы проверить наличие мезотелиомы, вам проведут биопсию. В ходе биопсии медицинский сотрудник возьмет небольшой фрагмент ткани из той области, где может находиться раковая опухоль. Патологоанатом исследует образец ткани под микроскопом и проверит его на наличие рака.
Существует несколько способов проведения биопсии: плевроцентез, видеоторакоскопическая операция (VATS) или открытая биопсия легкого. Медицинский сотрудник обсудит с вами, какой вариант биопсии будет для вас наиболее подходящим.
Плевроцентез
Плевроцентез — это процедура, в ходе которой с помощью иглы извлекается жидкость из пространства между слоями плевры. Она проводится в кабинете вашего медицинского сотрудника или в больнице.
Видеоторакоскопическая операция (VATS)
VATS — это малоинвазивная операция. В ходе VATS медицинский сотрудник сделает от 1 до 3 небольших надрезов (хирургических разрезов) на грудной клетке. Они необходимы для введения в разрезы лапароскопа (длинной тонкой видеокамеры) и двух длинных тонких хирургических инструментов. С помощью лапароскопа и инструментов будет взят образец ткани для исследования.
VATS обычно проводится в операционной.
Открытая биопсия легкого
В ходе открытой биопсии легкого медицинский сотрудник сделает небольшой разрез между ребрами и извлечет небольшой образец плевры. Эта процедура проводится в операционной.
Диагностическая лапароскопия
Диагностическая лапароскопия — это малоинвазивная операция. В ходе диагностической лапароскопии медицинский сотрудник сделает от 1 до 3 небольших разрезов на животе. Он введет в разрезы лапароскоп и два длинных тонких хирургических инструмента. С помощью лапароскопа и инструментов он сможет исследовать изменение злокачественной опухоли, определить, возможно ли проведение операции по удалению опухоли, и сделать биопсию.
Диагностическая лапароскопия проводится в операционной как амбулаторная процедура с применением общей анестезии.
Парацентез
Парацентез — это процедура, в ходе которой с помощью иглы извлекается жидкость из пространства между слоями перитонеальной мембраны. Она проводится в кабинете вашего медицинского сотрудника или в больнице.
Другие исследования
Ваш медицинский сотрудник может попросить вас сделать другие исследования, например:
- исследование методом компьютерной томографии (КТ) или позитронно-эмиссионной томографии (ПЭТ), чтобы выяснить, не распространился ли рак;
- исследование функции легких (PFT), вентиляционно-перфузионную сцинтиграфию легких или оба эти исследования, чтобы оценить интенсивность работы ваших легких;
- кардиограмму с нагрузкой, позволяющую оценить состояние сердечной мышцы;
- анализы крови, чтобы посмотреть, как работают ваши органы.
Если вам потребуется пройти любые другие исследования, ваш медицинский сотрудник обсудит это с вами. Все эти исследования помогут медицинскому сотруднику составить наиболее эффективный план вашего лечения.
Лечение
Лечение может включать операцию, радиотерапию и химиотерапию. Лечащая команда составит вместе с вами план лечения исходя из стадии рака и общего состояния вашего здоровья.
Операция
Цель операции по удалению мезотелиомы состоит в том, чтобы удалить все пораженные раком ткани. Количество ткани, удаляемой во время операции, зависит от локализации рака и вида мезотелиомы. Лечащая команда обсудит с вами, чего следует ожидать после операции, если вы предпочтете этот метод.
Радиотерапия
Радиотерапия предполагает использование мощного излучения для уничтожения раковых клеток и снижения риска рецидива (возвращения рака). Ваша медицинская бригада ознакомит вас с процессом планирования радиотерапии, с прохождением лечения и возможными побочными эффектами.
Химиотерапия
Химиотерапия — это лекарство или сочетание лекарств, применяемых для лечения рака. К двум самым распространенным препаратам химиотерапии для лечения мезотелиомы относятся pemetrexed (Alimta ® ) и cisplatin. Специалисты вашей медицинской бригады обсудят с вами преимущества и риски химиотерапии.
Медицинский сотрудник также может посоветовать вам другие лекарства, иммунотерапию или предложить принять участие в клиническом исследовании.
Устранение плеврального выпота
Плевральный выпот — жидкость, накапливающаяся между слоями ткани вокруг легких. Она может ограничивать расширение легких и вызывать одышку. Одышка — один из симптомов плеврального выпота.
При наличии у вас плеврального выпота медицинский сотрудник может провести процедуру, которая называется плевроцентезом. В ходе этой процедуры он введет иглу в грудную клетку, чтобы удалить жидкость. После этого вам станет легче дышать, и вы почувствуете себя более комфортно.
Если это не поможет, возможно, вам потребуется ввести в плевральное пространство дренажный катетер PleurX ® . В случае необходимости медсестра/медбрат предоставит вам дополнительную информацию о катетерах PleurX.
Способы избавления от асцита
Асцит — это скопление жидкости между слоями ткани, окружающей органы в брюшной полости. Он может вызывать боль и отек. Асцит — один из симптомов мезотелиомы брюшины.
При наличии у вас асцита медицинский сотрудник может провести процедуру, называемую парацентезом. В ходе этой процедуры он введет иглу в брюшную полость, чтобы удалить жидкость. Это поможет уменьшить боль и отек.
Если это не поможет, возможно, вам потребуется ввести в брюшную полость дренажный катетер. При необходимости медсестра/медбрат предоставит вам дополнительную информацию о нем.
Ресурсы MSK
Эмоциональная поддержка
Диагноз и лечение рака могут очень тяжело переноситься и оказывать угнетающее действие. Вы можете находиться в подавленном состоянии, испытывать тревогу, растерянность, страх или злость. Вам может быть непросто смириться с необратимыми изменениями. Эти изменения могут негативно сказаться на вашем эмоциональном здоровье. Вы всегда можете обратиться за помощью. Если вы хотите получить консультацию, медсестра/медбрат может дать вам направление к социальному работнику, психиатру или специальному консультанту.
Вас также может поддержать беседа с перенесшим рак пациентом или лицом, ухаживавшим за больным, который проходил подобное лечение. Благодаря нашей программе поддержки пациентов и ухаживающих за ними лиц (Patient and Caregiver Support Program) у вас есть возможность пообщаться с бывшими пациентами и с теми, кто ухаживал за больными. Чтобы подробнее узнать об этой программе, позвоните по номеру 212-639-5007.
Служба по вопросам питания (Nutrition Service)
212-639-7312
Служба по вопросам питания (Nutrition Service) центра MSK предлагает консультации по вопросам питания с одним из наших клинических врачей-диетологов. Специалист по питанию рассмотрит ваши текущие привычки в еде и посоветует, что следует употреблять в пищу во время лечения и после него.
Анестезиологическая служба (Anesthesia Pain Service)
212-639-6850
Врачи анестезиологической службы центра MSK помогут вам контролировать боль во время пребывания в больнице и после выписки.
Читайте также:
