Четвертая малоберцовая мышца на МРТ
Добавил пользователь Евгений Кузнецов Обновлено: 27.01.2026
Publication number RU2430696C1 RU2430696C1 RU2010106605/14A RU2010106605A RU2430696C1 RU 2430696 C1 RU2430696 C1 RU 2430696C1 RU 2010106605/14 A RU2010106605/14 A RU 2010106605/14A RU 2010106605 A RU2010106605 A RU 2010106605A RU 2430696 C1 RU2430696 C1 RU 2430696C1 Authority RU Russia Prior art keywords tendon knee joint fibular muscle anterior cruciate Prior art date 2010-02-24 Application number RU2010106605/14A Other languages English ( en ) Inventor Евгений Владимирович Кожевников (RU) Евгений Владимирович Кожевников Павел Александрович Баженов (RU) Павел Александрович Баженов Original Assignee Государственное образовательное учреждение высшего профессионального образования "Алтайский государственный медицинский университет Федерального агентства по здравоохранению и социальному развитию" Priority date (The priority date is an assumption and is not a legal conclusion. Google has not performed a legal analysis and makes no representation as to the accuracy of the date listed.) 2010-02-24 Filing date 2010-02-24 Publication date 2011-10-10 2010-02-24 Application filed by Государственное образовательное учреждение высшего профессионального образования "Алтайский государственный медицинский университет Федерального агентства по здравоохранению и социальному развитию" filed Critical Государственное образовательное учреждение высшего профессионального образования "Алтайский государственный медицинский университет Федерального агентства по здравоохранению и социальному развитию" 2010-02-24 Priority to RU2010106605/14A priority Critical patent/RU2430696C1/ru 2011-10-10 Application granted granted Critical 2011-10-10 Publication of RU2430696C1 publication Critical patent/RU2430696C1/ru
Links
- Espacenet
- Global Dossier
- Discuss
- 210000004439 Collateral Ligaments Anatomy 0.000 title claims abstract description 14
- 210000002435 Tendons Anatomy 0.000 claims abstract description 39
- 210000000629 knee joint Anatomy 0.000 claims abstract description 36
- 210000003205 Muscles Anatomy 0.000 claims abstract description 31
- 210000002303 Tibia Anatomy 0.000 claims abstract description 12
- 210000001264 Anterior Cruciate Ligament Anatomy 0.000 claims abstract description 7
- 210000000689 upper leg Anatomy 0.000 claims description 12
- 210000002082 Fibula Anatomy 0.000 claims description 11
- 210000003041 Ligaments Anatomy 0.000 claims description 5
- 229920003023 plastic Polymers 0.000 claims description 4
- 239000004033 plastic Substances 0.000 claims description 4
- 230000015572 biosynthetic process Effects 0.000 claims 1
- 238000005755 formation reaction Methods 0.000 claims 1
- 210000000988 Bone and Bones Anatomy 0.000 abstract description 3
- 239000003814 drug Substances 0.000 abstract description 3
- 238000011084 recovery Methods 0.000 abstract 1
- 239000000126 substance Substances 0.000 abstract 1
- 238000001356 surgical procedure Methods 0.000 description 6
- 210000003491 Skin Anatomy 0.000 description 4
- 239000002775 capsule Substances 0.000 description 3
- 238000002316 cosmetic surgery Methods 0.000 description 3
- 230000005499 meniscus Effects 0.000 description 3
- 229920003258 poly(methylsilmethylene) Polymers 0.000 description 3
- 210000003423 Ankle Anatomy 0.000 description 2
- 230000001684 chronic Effects 0.000 description 2
- 238000003745 diagnosis Methods 0.000 description 2
- 238000002595 magnetic resonance imaging Methods 0.000 description 2
- 201000008482 osteoarthritis Diseases 0.000 description 2
- 239000011505 plaster Substances 0.000 description 2
- 210000001015 Abdomen Anatomy 0.000 description 1
- 208000004120 Athletic Injury Diseases 0.000 description 1
- 230000036826 Excretion Effects 0.000 description 1
- 210000003195 Fascia Anatomy 0.000 description 1
- 210000002683 Foot Anatomy 0.000 description 1
- 208000002085 Hemarthrosis Diseases 0.000 description 1
- 210000000281 Joint Capsule Anatomy 0.000 description 1
- 208000009883 Joint Disease Diseases 0.000 description 1
- 210000003127 Knee Anatomy 0.000 description 1
- 206010041738 Sports injury Diseases 0.000 description 1
- 208000002847 Surgical Wound Diseases 0.000 description 1
- 210000003484 anatomy Anatomy 0.000 description 1
- 238000005452 bending Methods 0.000 description 1
- 239000002537 cosmetic Substances 0.000 description 1
- 201000010099 disease Diseases 0.000 description 1
- 230000029142 excretion Effects 0.000 description 1
- 235000019867 fractionated palm kernal oil Nutrition 0.000 description 1
- 230000001264 neutralization Effects 0.000 description 1
- 230000000399 orthopedic Effects 0.000 description 1
- 230000002980 postoperative Effects 0.000 description 1
- 239000003381 stabilizer Substances 0.000 description 1
Images
Abstract
Изобретение относится к области медицины, а именно к травматологии и ортопедии. Формируют каналы в большеберцовой и бедренной костях. Выделяют свободный сухожильный аутотрансплантат из сухожилия длинной малоберцовой мышцы, причем 2/3 длины трансплантата в виде дупликатуры используют для внутрисуставной пластики передней крестообразной связки с фиксацией в мыщелках бедра и большеберцовой кости интерферентными шурупами, а 1/3 трансплантата используют для внесуставной пластики наружной боковой связки с трансоссальной фиксацией в головке малоберцовой кости. Способ обеспечивает восстановление биомеханики коленного сустава, исключение ослабления капсульно-связочного аппарата коленного сустава при взятии сухожильного аутотрансплантата. 9 ил.
Description
Изобретение относится к медицине, а именно к травматологии и ортопедии, и может быть использовано при лечении посттравматической переднелатеральной нестабильности коленного сустава, при сочетанном повреждении передней крестообразной связки (ПКС) и наружной боковой связки (НБС).
Переднелатеральная нестабильность коленного сустава развивается при сочетанном повреждении передней крестообразной связки (ПКС) и наружной боковой связки (НБС) коленного сустава. Оперативное лечение латеральной нестабильности как одного из элементов при хронической посттравматической нестабильности является крайне сложной проблемой, что объясняется отсутствием достаточного количества дублеров-стабилизаторов в данной анатомической области (С.П.Миронов, А.К.Орлецкий, М.Б.Цыкунов. Повреждение связок коленного сустава. Москва, 1999 г., стр.136), оперативная ситуация осложняется дополнительной передней нестабильностью при повреждении ПКС.
Актуальность заявляемого изобретения заключается в возможности одновременного восстановления ПКС и НБС свободным сухожильным аутотрансплантатом из сухожилия длинной малоберцовой мышцы, которая является парной (мышца синергист короткая малоберцовая мышца) и располагается вне проекционной области коленного сустава, что не приводит к ослаблению капсульно-связочного аппарата коленного сустава при взятии сухожильного аутотрансплантата.
Известен способ хирургического лечения переднелатеральной нестабильности коленного сустава при сочетаннм повреждении ПКС и НБС свободным аутотрансплантатом из илиотибиального тракта по D.L.McIntosh (1974). D.McIntosh при антеролатеральной нестабильности использовал аутотрансплантат из илиотибиального тракта с отсечением в проксимальном отделе, проведением через внутрикостный туннель в большеберцовой кости и над верхушкой наружного мыщелка бедренной кости. Затем данный трансплантат дополнительно укрепляют и фиксируют на большеберцовой кости (С.П.Миронов, А.К.Орлецкий, М.Б.Цыкунов. Повреждение связок коленного сустава. Москва, 1999 г., стр.24).
Недостатком известного способа является низкая эффективность, заключающаяся в слабости на разрыв и растяжимости трансплантата из илиотибиального тракта.
Наиболее близким по достигаемому техническому результату является способ восстановления передней крестообразной и наружной боковой связок коленного сустава, предложенный Д.З.Хабибуллиным (Патент №2217089 от 16.06.1998). Способ восстановления передней крестообразной и наружной боковой связок коленного сустава при растянутой капсуле, включающий формирование каналов в большой берцовой и бедренной костях, проведение через них трансплантата, отличающийся тем, что выкраивают лоскут из всех слоев капсулы коленного сустава, причем основанием лоскута является бугристость большой берцовой кости, придают лоскуту округлую форму, проводят его через канал в большой берцовой кости в полость сустава, выводят его на поверхность бедра через канал в бедренной кости и фиксируют чрескостными швами, затем выводят на поверхность капсулы в проекции головки малой берцовой кости и также фиксируют чрескостным швом.
Однако известный способ имеет низкую эффективность в связи с тем, что трансплантат выкраивают из капсулы сустава, что неизбежно ведет к деформации и нарушению биомеханики коленного сустава.
Авторы предлагают высокоэффективный способ восстановления передней крестообразной и наружной боковой связок коленного сустава при сочетанном их повреждении путем одновременной пластики данных связок свободным сухожильным аутотрансплантатом из сухожилия длинной малоберцовой мышцы.
Техническим результатом заявляемого способа является повышение эффективности лечения за счет малоинвазивности метода и использования длинного и крепкого сухожилия длинной малоберцовой мышцы, которая является парной (мышца синергист короткая малоберцовая мышца) и располагается вне проекционной области коленного сустава, что не приводит к ослаблению капсульно-связочного аппарата коленного сустава при взятии сухожильного аутотрансплантата.
Технический результат достигается тем, что используют свободный сухожильный аутотрансплантат из сухожилия длинной малоберцовой мышцы, 2/3 длины трансплатата в виде дупликатуры используют для внутрисуставной пластики ПКС с фиксацией в мыщелках бедра и большеберцовой кости интерферентными шурупами, а 1/3 трансплантата используют для внесуставной пластики НБС с трансоссальной фиксацией в головке малоберцовой кости.
Способ проиллюстрирован чертежами, поясняющими сущность и эффективность заявляемого способа. На фиг.1 - оперативный доступ к сухожилию длинной малоберцовой мышцы в области наружной лодыжки; на фиг.2 - чрезоперативный доступ, теновыделителем проксимально отсекают сухожилие длинной малоберцовой мышцы от мышечного брюшка и выводят сухожилие в область операционной раны; на фиг.3 - отсеченное сухожилие длинной малоберцовой мышцы на препаровочном столике; на фиг.4 - схематично представлено направление проведения каналов, сухожилия и его крепление интерферентными шурупами в мыщелках большеберцовой и бедренной костях, трансоссальная фиксация в головке малоберцовой кости;
на фиг.5 - рентгенограмма коленного сустава в прямой и боковой проекции больного с начальными признаками остеоартроза; на фиг.6 - магнитно-резонансная томография коленного сустава больного, где отсутствует передняя крестообразная связка и наружная боковая связка; на фиг.7 - магнитно-резонансная томография коленного сустава больного, где показана восстановленная передняя крестообразная связка и наружная боковая связка; на фиг.8 - полное сгибание коленного сустава через три месяца после операции; на фиг.9 - стабильность коленного сустава через три месяца после операции.
В асептических условиях операционной проводят диагностическую артроскопию коленного сустава. После иссечения культи ПКС, под контролем артроскопа, чрез кожные доступы по тибиальному направителю выполняют канал во внутреннем мыщелке большеберцовой кости и наружном мыщелке бедра.
Выделяют свободный трансплантат сухожилия длинной малоберцовой мышцы. Для этого рассекают кожу по задненаружной поверхности наружной лодыжки 2-3 см. Выделяют сухожилие длинной малоберцовой мышцы и берут на держалку (Фиг.1), где 1 - сухожилие короткой малоберцовой мышцы, 2 - сухожилие длинной малоберцовой мышцы. Теновыделителем в проксимальном направлении выделяют, отсекают и выводят в рану проксимальный отрезок сухожилия длинной малоберцовой мышцы (Фиг.2), где 3 - отсеченное стриппером в проксимальном направлении сухожилие длинной малоберцовой мышцы. В нейтральном положении стопы дистальный фрагмент сухожилия длинной малоберцовой мышцы двумя узловыми швами подшивают к сухожилию короткой малоберцовой мышцы и отсекают. Узловые швы на собственную фасцию и кожу. Полученный сухожильный аутотрансплантат из сухожилия длинной малоберцовой мышцы имеет длину не менее 24 см. (Фиг.3), где 4 - свободный сухожильный трансплантат из сухожилия длинной малоберцовой мышцы.
2/3 длины свободного трансплантата сухожилия длинной малоберцовой мышцы сгибают вдвое, прошивают, проводят под контролем артроскопа внутрисуставно через наружный мыщелок бедра, трансплантат натягивают и фиксируют во внутреннем мыщелке большеберцовой кости и наружном мыщелке бедра интерферентными шурупами.
Кожный разрез в области наружного мыщелка бедра продлевают в дистальном направлении до головки малоберцовой кости, в которой формируют сквозной костный канал в сагиттальной плоскости и 1/3 наружной части сухожильного трансплантата длинной малоберцовой мышцы, трансоссально петлей фиксируют в головке малоберцовой кости (Фиг.4). На фиг.4 представлена фронтальная проекции коленного сустава, где 5 - свободный сухожильный трансплантат длинной малоберцовой мышцы, 6 - интерферентные шурупы 7 - головка малоберцовой кости, 8 - сформированная ПКС, 9 - сформированная НБС.
Больной Б. 25 лет (11.08.1984 г.р.) поступил в клинику 16.09.2009 г., история болезни №1559, на плановое оперативное лечение с диагнозом: Застарелый разрыв передней крестообразной связки, малоберцовой коллатеральной связки, повреждение наружного мениска, передненаружная нестабильность левого коленного сустава А3Л3-декомпенсированная форма, (классификация С.П.Миронов, А.К.Орлецкий, М.Б.Цыкунов. Повреждение связок коленного сустава. Москва, 1999 г.).
Анамнез заболевания: травма спортивная в декабре 2004 г. - с диагнозом гемартоз левого коленного сустава, лечение консервативное - иммобилизация гипсовым лонгетом в течение 3 недель. В феврале 2005 г. - операция - артротомия, менискэктомия внутреннего мениска левого коленного сустава.
На МРТ левого коленного сустава до операции в боковой и фронтальной проекциях - отсутствие ПКС и дефект НБС (Фиг.6).
18.09.2009 г. выполнена операция по предлагаемому способу - Пластика ПКС и наружной боковой связки левого коленного сустава сухожилием длинной малоберцовой мышцы интерферентными шурупами bio-inrafix фирмы de pui mitek, трансоссальной фиксацией в головке малоберцовой кости, парциальная менискэктомия наружного мениска. В послеоперационном периоде иммобилизация гипсовым тутором в течение 6 недель.
На МРТ левого коленного сустава после операции в боковой и фронтальной проекциях: 10 - пластическое восстановление ПКС дупликатурой сухожилия длинной малоберцовой мышцы, 11 - пластическое восстановление малоберцовой коллатеральной связки сухожилием длинной малоберцовой мышцы, 12 - интерферентные шурупы (Фиг.7).
При осмотре 13.01.2010 г. - Больной жалоб не предъявляет. Объем движения в левом коленном суставе в полном объеме (Фиг.8). При обследовании определяется компенсированная форма нестабильности А0Л1 (Фиг.9). Результат оперативного лечения оценен как удовлетворительный.
Заявляемый способ малоинвазивен, прост в выполнении, обладает высокой эффективностью, дает хороший косметический результат.
Высокая эффективность заявляемого способа заключается в том, что для пластики ПКС и НБС используется длинное и крепкое сухожилие длинной малоберцовой мышцы, которая является парной (мышца синергисткороткая малоберцовая мышца) и располагается вне проекционной области коленного сустава, что не приводит к ослаблению капсульно-связочного аппарата коленного сустава при взятии сухожильного аутотрансплантата.
Заявляемый способ найдет широкое применение при оперативном восстановлении передней крестообразной и наружной боковой связок коленного сустава.
Claims ( 1 )
Способ восстановления передней крестообразной и наружной боковой связок коленного сустава, включающий формирование каналов в большеберцовой и бедренной костях, проведение через них трансплантата, отличающийся тем, что используют свободный сухожильный аутотрансплантат из сухожилия длинной малоберцовой мышцы, 2/3 длины трансплантата в виде дупликатуры используется для внутрисуставной пластики передней крестообразной связки с фиксацией в мыщелках бедра и большеберцовой кости интерферентными шурупами, а 1/3 трансплантата используют для внесуставной пластики наружной боковой связки с трансоссальной фиксацией в головке малоберцовой кости.
RU2010106605/14A 2010-02-24 2010-02-24 Способ восстановления передней крестообразной и наружной боковой связок коленного сустава RU2430696C1 ( ru )
Что показывает МРТ голеностопного сустава

приходится до 25% от общего количества травм опорно-двигательного аппарата и 40-60% от числа повреждений нижней конечности. Диагностировать патологии области сочленения ноги и ступни можно с помощью рентгена, КТ и МРТ. Данные рентгенографии и компьютерной томографии в большей степени сфокусированы на визуализации костных тканей. Магнитно-резонансная томография явилась методом комплексной оценки повреждений голеностопного сустава и стопы. Её чувствительность в диагностике травматических повреждений и дегенеративных патологии в среднем составляет 98%, специфичность - 89%, точность - 94%. МРТ голеностопа позволяет получить четкие послойные снимки костей голеностопного сустава, хрящей, связочного аппарата, сухожилий, сосудов и окружающих их мягких тканей.
Что покажет МРТ голеностопного сустава?
Магнитно-резонансная томография дает прекрасную возможность врачам диагностировать такие сложные заболевания, как:
- бурситы, фасцииты;
- невралгию заднего большеберцового нерва;
- энтезопатию ахиллова сухожилия;
- атрофию сухожилия;
- вальгусную деформацию стопы;
- отрывы, разрывы, надрывы мышц и сухожилий.
Ее данные играют важную роль в разработке плана оперативного вмешательства на ноге и ступне или медикаментозного лечения.
Что видно на МРТ голеностопа?
В ходе томографии голеностопного сустава оцениваются следующие анатомические аспекты:
- Взаимоотношения суставных поверхностей в голеностопном суставе и выпот стопы.
- Состояние подтаранного сустава.
- Проверяется, что медиальная и латеральная лодыжки не повреждены. Сухожилия задней и передней большеберцовых мышц, длинного сгибателя пальцев, длинной и короткой малоберцовых мышц не изменены или воспалены.
- Нет ли деформации и воспаления по ходу сухожилия задней б/берцовой мышцы.
- Дельтовидная связка носит целостный характер.
- Перонеальный удерживатель сухожилий не изменен.
- Передняя и задняя межберцовые связки не повреждены, щель межберцового синдесмоза равномерна и не расширена.
- Передняя малоберцово-таранная связка не определяется за счет отрыва от наружной лодыжки.
- Задняя малоберцово-таранная связка утолщена и разволокнена за счет растяжения и определяется на всем протяжении.
- Задний край таранной кости не деформирован.
- Пяточное (Ахиллово) сухожилие без патологических особенностей. Подошвенная фасция равномерно утолщена, а тарзальный канал не изменен.
- Собственно голеностопный и подтаранный суставы не деформированы.
- Мышцы не деформированы и однородны по интенсивности МР-сигнала.
МРТ плечевого сплетения (МРТ шейный отдел позвоночника и плечевого сустава)
ПОДГОТОВКА К ПРОЦЕДУРЕ
МРТ голеностопного сустава чаще всего проводится без контраста и не требует никакой специальной подготовки. В диагностических клиниках Санкт-Петербурга для томографии голеностопного сустава применяют томографы закрытого и открытого типов. Такое исследование в комфортных условиях занимает около 30 минут. Перед МРТ пациенту необходимо снять с себя все металлические предметы. Для получения качественных МРТ снимков диагностируемый не должен двигаться. Поэтому перед началом обследования необходимо принять комфортное положение. Заключение выдается через час после исследования или высылается по электронной почте.
В большинстве медицинских центров СПб в стоимость томографии голеностопа входит сканирование, запись снимков на электронный носитель и письменное заключение врача-рентгенолога. Некоторые центры в качестве бесплатного бонуса предлагают пройти консультацию у врача-ортопеда по результатам МРТ голеностопного сустава.
Расшифровка
На серии МР-томограмм визуализированы структуры левого голеностопного сустава. Соотношения в голеностопном, подтаранном суставах не нарушены, патологического выпота в полости голеностопного сустава не выявлено. Синовиальная оболочка не дифференцируется. Хрящевое покрытие голеностопного, подтаранного и таранно-ладьевидного суставов неравномерно истончено. Суставные полости голеностопного, подтаранного и таранно-ладьевидного суставов слева умеренно неравномерно сужены.
Медиальные отделы: патологических сигналов от медиальной лодыжки не выявлено. В краевых медиальных отделах блока таранной кости субхондрально отмечается локальный участок эрозирования размером ~ 2-3мм, без патологических изменений в смежных трабекулярных отделах. Дельтовидная связка определяется на всем протяжении, сигнал от связки неоднородный, общее натяжение связки сохранено. Сухожилия длинного сгибателя большого пальца, длинного сгибателей пальцев, задней большеберцовой мышцы однородной структуры.
Латеральные отделы: патологических сигналов от латеральной лодыжки не выявлено. Передняя и задняя нижние межберцовые связки сохранены, межберцовый синдесмоз равномерный на всем протяжении. Передняя таранно-малоберцовая связка определяется на всем протяжении, истончена, отмечается слабоинтенсивное повышение сигнала от связки, общая целостность сохранена. Задняя таранно-малоберцовая связка не изменена. Пяточно-малоберцовая связка прослеживается на всем протяжении, типичной структуры. Структура сухожилий малоберцовых мышц однородная, определяется скопление жидкости перитендинозно сухожилиям короткой и длинной малоберцовой мышц.
Задние отделы: определяется удлинение латерального бугорка заднего отростка таранной кости, без патологических изменений сигнала от прилежащих отделов жировой клетчатки, отмечается локальное скопление однородной жидкости в данной зоне. В задних отделах пяточной кости, в области пяточного бугра, субкортикально отмечается локальный участок эрозирования размером ~ 3-4мм, без патологических изменений в смежных трабекулярных отделах. Определяется шиповидное костное разрастание в задненижних отделах пяточной кости, на уровне прикрепления подошвенной фасции и короткого сгибателя пальцев, без патологических изменений сигнала от данной фасции. Пяточное сухожилие однородной структуры. Клетчатка Кагера без особенностей. Тарзальный канал не изменен.
Передние отделы: сухожилия передней большеберцовой мышцы, разгибателей пальцев стопы и большого пальца равномерны по толщине и интенсивности сигнала. Плюсневая пазуха без особенностей.
Заключение: МР-картина частичного повреждения дельтовидной и передней таранно-малоберцовой связок. МР-признаки деформирующего артроза голеностопного, подтаранного и таранно-ладьевидного суставов 1-2ст. Теносиновит сухожилий малоберцовых мышц.
Противопоказания
МРТ голеностопа чаще всего запрещено делать людям с:
- кардиостимулятором, металлическими клапанами сердца;
- имплантами кохлеарного типа;
- суставными эндопротезами из стали;
- помповыми имплантами и стимуляторами;
- металлическими винтами, стентами, штифтами и пластинами;
- клипсами и стентами в сосудах.
Если МРТ голеностопного сустава с контрастом, то противопоказанием может стать:
- поливалентная лекарственная аллергия;
- побочные реакции на препарат с содержанием гадолиния;
- почечная недостаточность;
- тяжелая форма бронхиальной астмы;
- выполнение другого исследования с введением контрастного вещества менее, чем за 36 часов до процедуры; .

Специализация: Врач МРТ и КТ
Где ведет прием: Центр МРТ Мирт
- Брюханов А.В. Магнитно-резонансная томография в диагностике заболеваний суставов. // Дисс. д-ра мед. наук. -Обнинск.-1998.
- Громак Г.Б. Диагностика и лечение повреждений в области голеностопного сустава: Метод, рекомендации. Рига, 1981.
- Жаданова О.А. МРТ диагностика лимфедемы нижних конечностей // Дисс. канд. мед. наук. М. 1996.
- Витько Н.К. Магнитно-резонансная томография в диагностике повреждений сухожильно-связочного аппарата голеностопного сустава и стопы / Н.К. Витько, А.Г. Зубанов, Н.Ю. Маркина // Медицинская Визуализация. - № 4. - 2002.
- Исакова, Т.М. Алгоритм лучевой диагностики застарелых повреждений голеностопного сустава / Т.М. Исакова [и др.] // Вестник травматологии и ортопедии Урала. - 2012. - 'Г.5, №1-2.
- Косинская Н.С. Дегенеративно-дистрофические поражения костно-суставного аппарата. -Л., Медгиз, 1961.
Последние статьи о диагностике

Что показывает МРТ коленного сустава
МРТ коленного сустава (МРТ колена) считается одним из самых надежных медицинских исследований, позволяющих оперативно выявить большинство проблем с коленными структурами. Коленный сустав часто

Что показывает МРТ плечевого сустава
Как правило, МРТ плечевого сустава назначается врачом-ортопедом пациентам для исследования таких состояний, как переломы, дегенеративные изменения, суставные повреждения травматического характера, разрывы вращательной манжеты, травмы рабочего характера (например, связанные с вибрацией), травмы спортивного характера, инфекционные и воспалительные процессы, новообразования в мягких тканях и в костях, отеки, болевой синдром, кровотечения вокруг сустава и в мягких тканях, уменьшения возможности движения плеча.

Противопоказания к МРТ
Магнитно-резонансная томография - это безопасное обследование без лучевой нагрузки, но и она имеет ряд противопоказаний в зависимости от модели томографа и протокола обследования - с контрастом или без. Томография нашла широкое применение в нейрохирургической, онкологической, ортопедической и неврологической практике для исследования позвоночника, головного мозга, сосудов, суставов, внутренних органов и мягких тканей.

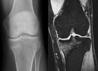
МРТ или КТ коленного сустава
МРТ или КТ коленного сустава - это два высокоэффективных метода диагностики организма человека, а вот какой из них и в чем лучше, давайте попробуем разобраться. В зону колена входят ткани разного характера: костные ткани - бедренная кость, малая и большая берцовая кость, хрящи суставной поверхности, мениски; мягкие ткани - связки, мышцы сухожилия, сосудисто-нервные пучки, жировое тело. Из-за физики получения изображения кость лучше всего визуализируется на
МРТ – ведущий метод диагностики при травматических повреждениях суставов
При травмах различных суставов важно получить наиболее точную информацию о целостности связок, менисков, наличии отека и воспаления. Лучше всего с поставленной задачей справляется магнитно-резонансная томография. МРТ выполняется для оценки повреждений, полученных в результате спортивных травм и в быту. МРТ также проводится для диагностики в тех случаях, когда у пациента не было травмы, но присутствует болевой синдром.
Главная задача для МРТ – выявление повреждения связок и оценка мягкотканных структур. Диагностика артроза при выполнении МРТ также возможна. Томография позволяет выявить отек мягких тканей и определить его выраженность. Также МРТ видит изменения в тканях вокруг суставов.
Для диагностики травматических изменений применяются и другие исследования. Компьютерная томография и рентгеновское исследование превосходят МРТ в возможности выявления переломов костей, но существенно уступают в возможности оценки мышц, связок, менисков, отека и воспаления. По этой причине при острых травмах иногда возникает необходимость, выполнения как КТ для оценки целостности костей, так и МРТ для диагностики повреждений мягкотканных структур.
Для выполнения процедуры исследуемый сустав помещается внутрь томографа таким образом, чтобы центр сустава находился в середине магнита. МР-томограф для наилучших результатов исследования должен иметь напряженность магнитного поля 1,5 Тесла или 3,0 Тесла. МРТ суставов не требует предварительной подготовки, выполняется вне зависимости от приема пищи. Важно сообщить врачу перед исследованием, если у Вас в теле есть металл (например, осколки от ранения или имплантированные металлические протезы или устройства). В большинстве случаев это не препятствует выполнению процедуры. Противопоказанием к томографии будет наличие кардиостимулятора или наличие металла вблизи от головного мозга или глаза.
Чаще всего МРТ суставов выполняется по-отдельности: либо правый, либо левый сустав. Это обусловлено тем, что катушка МР-томографа, куда помещается сустав при исследовании, рассчитана как раз только для одного сустава. Исключением является МРТ тазобедренных суставов, потому что при их обследовании используется катушка для таза, которая позволяет одновременно обследовать оба сустава.
Наиболее часто выполняется МРТ для обследования коленного сустава. Метод также позволяет исследовать плечевой, тазобедренных, голеностопный и лучезапястный суставы.
При МРТ коленного сустава оцениваются передняя и задняя крестообразный связки, медиальный и латеральный мениски, коллатеральные связки и собственная связка надколенника. Изучаются изменения в мыщелках бедренной и большеберцовой костей, в головке малоберцовой кости. Отдельно оценивается капсула сустава и скопление жидкости в ней.
Главной задачей при МРТ плечевого сустава – выявить повреждения сухожилий мышц вращательной манжеты (наиболее важные из них – надостная, подостная и подлопаточная мышцы) и суставной губы. МРТ показано при затруднении движений в суставе и при наличии нестабильности.
Повреждение связок тазобедренного сустава в результате травм встречается реже. В этом суставе чаще всего оценивается артроз или воспаление.
МРТ локтевых, голеностопных и лучезапястных суставов выполняется не так часто как коленных. При этих исследованиях также изучается повреждение связок, мышц, костей, оценивается выраженность отека и воспаления.
Исследование суставов в Национальном медицинском исследовательском центре кардиологии выполняется с того самого времени, когда в центре был установлен первый в СССР МР-томограф. Начиная с 1984 г. сотрудники отдела выполняют исследования суставов, накопив за это время колоссальный практический опыт.
Что покажет магнитно-резонансная томография голеностопного сустава

Магнитно-резонансное обследование имеет целый ряд диагностических преимуществ, среди которых:
- высокая информативность и контрастность послойных снимков;
- процедура позволяет получить результаты обследования в этот же день (обычно снимки и заключение врача готовы через 30-40 минут после прохождения процедуры);
- сканирование проходит без боли;
- нет Rg лучевого влияние на здоровье человека (чего не скажешь про такие методы, как рентген или КТ);
- большой выбор медицинских клиник в Санкт-Петербурге, где можно пройти МРТ как днем, так и ночью.
Когда нужно сделать томографию голеностопного сустава?
- повторяющихся вывихах сустава;
- онемении пяточной части стопы;
- боли в суставных мышцах и сухожилиях;
- подозрении на воспалительный процесс;
- наличии инфекции;
- травме голеностопа;
- аномалиях строения сустава.
от 3350 руб. + консультация ортопеда
от 3350 руб. + консультация ортопеда
от 3350 руб. + консультация ортопеда
от 3350 руб. + консультация ортопеда
от 3350 руб. + консультация ортопеда
МРТ сакроилеальных сочленений
от 3350 руб. + консультация невролога
МРТ плечевого сплетения (МРТ шейный отдел позвоночника и плечевого сустава)
от 4600 руб. + консультация ортопеда
Что покажет МРТ голеностопного сустава?
Ортопеды-травматологи обычно рекомендуют пройти процедуру МРТ голеностопна пациентам, страдающим артритом, остеопорозом, перенесшим тяжелые инфекционные заболевания, поражающие костную ткань, а также всем, кто жалуется на часто повторяющиеся подвывихи или растяжение связок в области сустава. Томография голеностопна хорошо покажет:
- причины и локализацию пяточной шпоры;
- надрыв, разрыв или полный отрыв мышц;
- задний пяточный брусит;
- брусит ахиллова сухожилия;
- синдром тарзального канала.
При сканировании диагност обращает особое внимание на структуру кости и хрящевой ткани, они должна быть ровными. Оценивает состояние выступов на поверхности мыщелков, дает оценку состоянию сухожилий и нервов. Замеряет толщину хряща и оценивает его структуру. Замеряет количество жидкости и нетронутости нервных окончаний.
Что входит в МРТ голеностопного сустава
В стандартный протокол МРТ голеностопного сустава входит обследование следующих структур:
- стопа
- подтаранный сустав
- медиальная лодыжка
- сухожилия задней болше-берцовой мышцы
- дельтовидная связка
- ахиллово сухожилие
- лотеральная лодыжка
- сухожилия длинной малоберцовой мышцы
- сухожилия короткой малоберцовой мышцы
- передняя межберцовая связка
- задняя межберцовая связка
- передняя малоберцовая-таранная связка
- задняя малоберцовая-таранная связка
- пяточно-малоберцовая связка
- таранная кость
- сухожилия передней болше-берцовой мышцы
Что такое МРТ голеностопна с контрастом?
Сама по себе магнитно-резонансная томография сустава является одним из самых информативных диагностических методов. Однако иногда для постановки точного диагноза врачу может потребоваться более четко визуализировать область голеностопа. Для этого проводят МРТ голеностопного сустава с контрастированием. В ходе такой процедуры пациенту внутривенно вводят контрастное вещество перед началом диагностического сеанса. Для контрастирования используются нетоксичные препараты, которые не вызывают побочных эффектов и быстро выводятся из организма естественным образом.
В медицинских центрах Санкт-Петербурга МРТ голеностопна с контрастом обычно проводят по направлению врача. Контрастирование назначается исходя из анамнеза и целей обследования. Чаще всего МРТ с контрастом проводят при подозрении на опухоль и сложные воспалительные процессы.
Как подготовиться?
МРТ голеностопного сустава не требует подготовки и не причиняет пациенту никакой боли. Перед сканированием человека попросят снять с себя весь металл и оставить за пределами диагностического кабинета все электронные устройства. В томографе на пациента оказывают влияние мощное магнитное поле. По этой причине в МРТ кабинет не допускаются люди, у которых есть часы, металлические элементы на одежде, телефон, магнитные карты. Металла также не должно быть ни в теле, ни на теле пациента. Несоблюдение данного правила может привести к поломке оборудования или травмированию пациента.
Противопоказаны при МР томографии сустава также некоторые электронные предметы (например, слуховой аппарат, кардиостимулятор), поэтому о наличии любого импланта в организме следует сказать врачу.
Как делают томографию голеностопа?
В диагностическом кабинете пациента располагают на специальном томографическом столе в горизонтальном положении. На зону голеностопа надевают специальную пластиковую усилительную катушку. Затем стол задвигают внутрь сканирующей части томографа и запускают программу скрининга. О том, что аппарат начал свою работу, пациент может понять по характерным громким звукам, напоминающим звуки постукивания. В ходе процедуры пациенту нужно просто полежать на спине 20-30 минут без движения. От неподвижности ног во многом будет зависеть качество получаемых томограмм.
Расшифровка
Все данные обследования диагност фиксирует в заключении после расшифровки томограмм голеностопного сустава. Письменное заключение и томографические снимки по окончании исследования отдаются пациенту на руки. В расшифровке обязательно будут указаны и подробно описаны все патологии, которые обнаружит рентгенолог во время сканирования. Это поможет лечащему врачу выставить правильный диагноз и своевременно начать лечение. В некоторых диагностических центрах СПб по окончании МРТ исследования пациентам предлагают пройти бесплатную консультацию у врача-ортопеда, который понятным языком объясняет пациенту результаты томографии и дает рекомендации по дальнейшим шагам.
Какие есть противопоказания?
Как и любая медицинская процедура, МРТ имеет ряд противопоказаний. Врачи медицинских центров Санкт-Петербурга настоятельно рекомендуют воздержаться от ее прохождения в следующих ситуациях у пациента:
Наличие металлических имплантов из магнитящихся сплавов и металлических осколков;
Наличие электронных имплантатов, помп у диабетиков.
Неустойчивое психическое состояние, склонность к паническим атакам, вызванным клаустрофобией, может стать ограничением к исследованию. В таком положении очень трудно долго сохранять неподвижность, необходимую для получения точных результатов.
Если вес пациента превышает 150 кг, ему трудно будет найти модель томографа с большой грузоподъемностью стола. При тучном телосложении человек может не поместиться в томограф.
Как правило, в случае невозможности прохождения процедуры МРТ, пациентам назначают компьютерную томографию (КТ) голеностопа, которая также позволяет получить точные изображения исследуемой области, но в отличие от магнитно-резонансной томографии сопряжена с лучевым излучением.
КТ или МРТ голеностопного сустава - что лучше?
На сегодняшний день магнитно-резонансная томография считается одной из самых точных видов аппаратной диагностики состояния составов наряду с компьютерной томографией (КТ), рентгеном и УЗИ. Она позволяет пациентам получить точные, достоверные и исчерпывающие результаты состояние как костных, так и мягких тканей сразу после сканирования. К тому же, этот метод совершенно безвреден и безопасен для человеческого организма, в отличие от КТ голеностопна и рентгенографии. Поэтому, если Ваш лечащий врач порекомендовал сделать томографию голеностопного сустава, Вам следует прислушаться и обратиться в медицинский центр СПб, оборудованный томографом.
Как сделать качественную МРТ в Санкт-Петербурге
МРТ изображения должны быть выполнены в электронной форме в формате DICOM и обязательно записаны на электронный носитель - CD диск или флешку!
МРТ исследование должно быть проведено в соотвествии с техническим стандартом и минимальным шагом сканирования 2-4 мм!
При подозрении на онкологию обязательно должно быть проведено МРТ с контрастным усилением на аппарате мощностью не менее 1,5 Тесла!
На МРТ снимках не должно быть артефактов от металла и движения!
Низкопольный аппарат - Напряженность томографа составляет 0,3 – 0,5 Тесла
- удобен для пациента, поскольку это аппарат открытого типа
- исследование стоит дешево
Высокопольный аппарат - Напряженность томографа 1,0 – 1,5 Тесла
- высокое качество снимков
- обширный список исследований
- возможность онкопоиска
- данные МРТ очень информативны и позволяют принимать правильные решения в области хирургии и нейрохирургии.
- более высокая стоимость исследования
- шумный аппарат закрытого типа, поэтому и не всегда подходит клаустрофобам и детям
- томограф очень чувствителен к движению, поэтому не всегда подходит пациентам с гиперподвижностью.
Сверхвысокопольный аппарат - Напряженность томографа 3,0 Тесла и выше
Это очень высокоточный МРТ аппарат, который применяется в научно–исследовательской деятельности, передовой диагностике и хирургии для разработки точного плана операционного вмешательства.
МРТ суставов
Интерес ортопедов и ревматологов к МРТ суставов продолжает растёт год от года, что обусловлено огромным потенциалом данной методики, все увеличивающимся благодаря ее быстрому развитию в последние годы.
Это особенно ценно при планировании операции, при диагностике травм и новообразований (опухолей). С помощью снимков МРТ врач может выявить все структурные изменения в костной и хрящевой тканях, в связках задолго до того, как это можно будет «увидеть» с помощью других методов исследования. Кроме того, отсутствие лучевой нагрузки дает возможность использовать МРТ для контроля за эффективностью проводимого лечения.
В отличие от других методов диагностики, магнитно-резонансная томография позволяет получить четкое изображение не только костных структур и хрящевых тканей, но и мягких тканей вокруг состава. Поэтому наиболее часто проводится МРТ коленного сустава и других крупных суставов.
МРТ коленного сустава
Особая диагностическая ценность МРТ коленного сустава состоит в получении исчерпывающей картины дегенеративно-дистрофических изменений (хронические артриты и остеоартрозы, повреждения суставных поверхностей) и возможности визуализации самых мелких травм (разрывы связок, сухожилий, переломы), визуализация хряща с последующим его картированием для определения дистрофических и травматических изменений.


Дистрофические изменения суставного хряща надколенника (с использованием опции «картирования хряща»)
МРТ помогает с большой точностью установить полный или же частичный разрыв мениска, прекрасно и наглядно отображает состояние связок коленного сустава. При диагностировании передней крестообразной связки МРТ показывает разрывы ясно и четко в 96%. Магнитно-резонансная томография наглядно демонстрирует не только разрывы сухожилий, но и гораздо более тонкие проблемы, возникающие во внутренней структуре, сопряженные с воспалением или рубцеванием тканей, которые при неблагоприятном прогнозе могут вызвать определенные хронические заболевания.
Кроме того, МРТ коленного сустава и других крупных суставов оказывает большую помощь для планирования хирургических операций (протезирования, артроскопии), а также в период послеоперационного мониторинга состояния.
МРТ коленного и других крупных суставов проводится при следующих общих показаниях:
- травма сустава (повреждение внутрисуставных и наружных связок, суставных хрящей);
- переломы в области суставов (в том числе рентгенологически скрытые);
- частичный или полный разрыв мениска;
- дистрофические изменения сустава (остеоартроз);
- хронический артрит;
- выраженный болевой синдром в суставе или в мягких тканях вокруг него;
- припухлость сустава;
- наличие жидкости в полости сустава.
МРТ плечевого сустава
Плечелопаточный периартрит (периартроз, периартикулярные поражения области плечевого сустава) - собирательный термин всех периартикулярных поражений области плечевого сустава. Нередко боли в области плечевого сустава вызваны не поражением самого сустава, а околосуставных мягких тканей. Наиболее частой причиной острой или хронической боли в области плечевого сустава является дегенеративно-воспалительное поражение сухожилий мышц, участвующих в движениях плеча (тендиниты). От чрезмерной физической нагрузки (у маляров, спортсменов и людей других профессий) сухожильные волокна растягиваются и надрываются. В конечном итоге развивается воспалительный процесс. Острый период с резкими болевыми ощущениями у таких пациентов длится обычно несколько недель, и при эффективном лечении интенсивность болей в плече снижается, функция сустава восстанавливается. Однако благоприятное течение заболевания с полным выздоровлением заканчивается далеко не у всех. У многих больных при неблагоприятном развитии патологического процесса боли в плече не проходят, а подчас усиливаются не только при физической нагрузке, но и в покое, приобретают постоянный характер. Движения в суставе, как правило, сопровождаются хрустом различной интенсивности. В далеко зашедших случаях может возникнуть тугоподвижность сустава, атрофия мышц и остеопороз головки плечевой кости. При рентгеновском исследовании чаще всего определяется кальцификация (отложение солей) в суставных сумках и в окружающих сустав тканях. МРТ дает полную картину патологических изменений в периартикулярных тканях на ранних этапах заболевания - это отек в области сухожилий, их истончение или неполный разрыв, наличие выпота в суставных синовиальных сумках, атрофия отдельных групп мышц и др. Среди основных показаний к МРТ исследованию плечевого сустава являются нестабильности в суставе и разрывы вращательной манжеты плеча.
Нестабильность плечевого сустава отмечается при слабой фиксации головки плечевой кости в суставной впадине лопатки, которая приводит к повышенной подвижности в суставе и часто к развитию вывихов и подвывихов при травмах, определенных положениях руки (например, при бросании предметов из-за головы вперед). Если диагностика вывихов не представляет особых затруднений при обычном рентгенологическом исследовании, то подвывихи не всегда четко визуализируются при данном методе лучевой диагностики. МРТ диагностика в этих случаях позволяет визуализировать даже незначительные нарушения взаимоотношений головки плечевой кости и суставной впадины лопатки.
Разрывы вращательной манжеты плеча являются наиболее частой причиной болевого синдрома в плечевом суставе во всех возрастных группах взрослого населения и невозможности поднять или отвести руку. МРТ диагностика при данной травме позволяет визуализировать как полный разрыв связок, так и частичное их повреждение. Как правило, сопутствующими осложнениями повреждений вращательной манжеты плеча является скопление жидкости в субакромиальной и поддельтовидной сумках (находятся между мышцами), что также хорошо выявляется при МРТ исследовании. А восстановление разрыва сухожилий вращательной манжеты является сложной хирургической операцией.

МРТ признаки повреждения акромиально-ключичного сочленения на уровне плечевого сустава

МРТ плечевого сустава
МРТ локтевого сустава
Травма в области локтевого сустава чаще, чем в других местах, осложняется нарушением кровообращения, при котором руку может спасти только раннее оперативное вмешательство. Диагностика заболеваний локтевого сустава обычно не вызывает затруднений, поскольку он хорошо доступен для обследования. Среди всех поражений локтевого сустава чаще всего встречаются травматические повреждения (особенно у спортсменов). Переломы костей, образующих локтевой сустав, хорошо диагностируются при рутинном рентгенологическом исследовании. Применение МРТ необходимо для визуализации повреждений суставной капсулы, связок и сумок локтевого сустава. Разрывы локтевой боковой связки представляют собой один из наиболее характерных видов спортивных травм и часто сочетаются с разрывами капсулы сустава, переломами внутреннего надмыщелка и венечного отростка локтевой кости. Прямыми МРТ признаками разрыва локтевой боковой связки являются прерывистость хода ее волокон, наличие жидкости в полости сустава и отек мягких тканей вокруг. Часто, как следствие острой или хронической травмы, развивается бурсит в области локтевого отростка с наличием выпота в поверхностной сумке, который отчетливо виден при осмотре пациента. Другим характерным повреждением локтевого сустава является эпикондилит - хроническое дегенеративно-дистрофическое заболевание, обусловленное постоянной травматизацией сустава у спортсменов (теннисистов, бейсболистов, игроков в гольф, боулинг и др.), а также у людей определенных профессий (каменщиков, маляров, швей и др.). На МРТ изображениях определяется утолщение или истончение сухожилий мышц, прикрепляющихся к надмыщелкам плечевой кости, частичные разрывы этих связок с выпотом и отеком вокруг.

Посттравматическая энтезопатия общего сухожилия мышц-разгибателей («латеральный эпикондилит»)
МРТ кисти и лучезапястного сустава — самый информативный метод диагностики, дающий возможность оценки состояния костно-суставных и мягких тканей.
Показания к МРТ кисти и лучезапястного сустава: спортивные, производственные и бытовые травмы кисти и лучезапястного сустава, в том числе повреждения связочного аппарата кисти, хрящей, разрывы капсулы лучезапястного сустава и связок запястья, инородные тела, ущемление сухожилий, а также ущемление нервов (карпальный туннельный синдром), заболевания связочно-мышечного аппарата кисти и лучезапястного сустава различной природы (теносиновиты, гигромы, контрактура Дюпюитрена, флегмона и др.), заболевания суставов различной природы (артриты, артрозы, поражение суставов при коллагенозах, сахарном диабете, подагре, остеомиелите и т.д.) – все эти виды патологии кисти и лучезапястного сустава с высокой степенью достоверности можно установить с помощью МРТ. Показаниями к проведению МРТ являются противоречивость клинических данных и неясность или отсутствие характерных рентгенологических признаков повреждений области лучезапястного сустава, болевой синдром и нарушение функции кистевого сустава неясного генеза, в том числе при отсутствии травмы в анамнезе. Магнитно-резонансная томография является эффективным методом диагностики не только повреждений кистевого сустава и их последствий, но и мониторинга результатов проводимого лечения, так как обеспечивает возможность комплексной визуализации костных и мягкотканных структур этой области. МРТ кистевого сустава целесообразно проводить всем пациентам на начальном этапе лучевого обследования после рентгенологического исследования при травме кистевого сустава и неясной клинико-лучевой картине, а также при тяжелой травме со значительными повреждениями костных и мягкотканных структур, либо при болевом синдроме и нарушении функции в суставе неясного генеза при отсутствии травмы в анамнезе.

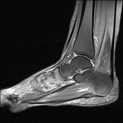
МРТ голеностопного сустава
Минимальные костные повреждения, обычно не выявляемые при рентгене, хорошо визуализируются при МРТ и КТ.
Для выявления изменений внесуставных стабилизаторов голеностопного сустава УЗИ и МРТ имеют примерно одинаковую диагностическую информативность. Оптимальным видом лучевого исследования для выявления изменений внутрисуставных структур голеностопного сустава является МРТ.
МРТ является наиболее универсальным методом визуализации повреждений всех структур голеностопного сустава. КТ позволяет детализировать (оценить степень и распространенность) выявленных при МРТ минимальных костных переломов. Повреждение связок по данным некоторых авторов в 16-21% случаев сопровождает спортивные травмы голеностопного сустава. При острой травме чаще всего повреждается передняя таранно-малоберцовая связка, реже - пучки дельтовидной связки.
Поскольку острые повреждения связок редко лечатся хирургически, магнитно-резонансная томография чаще всего назначается при наличии клинических признаков нестабильности сустава для решения вопроса о тактике ведения пациента и профпригодности.
МРТ критерии диагностики острых разрывов включают изменение интенсивности сигнала внутри и вокруг связок, прерывистость волокон, исчезновение жировых включений в структуре связки, признаки отека окружающих мягких тканей, контузию сочленяющихся костей.
По данным P.W. Bearcroft и соавт. чувствительность МРТ в выявлении острых повреждений связок голеностопного сустава составляет 94-96%, для хронических разрывов – 82-90%. МРТ обладает наибольшей чувствительностью (96-97%) и специфичностью (98%) в выявлении стрессовых переломов на ранней стадии.

Патологическое образование сухожилия подошвенной фасции
Остеохондральные повреждения в суставах (малые и крупные повреждения кости и хряща) - по существу МРТ является единственным методом, дающим исчерпывающую информацию о размере и локализации повреждения, состоянии покровного суставного хряща, конгруэнтности суставных поверхностей, жизнеспособности костного фрагмента, стабильности или степени восстановления между остеохондральным фрагментом и местом-донором, локализации костного фрагмента при его смещении в полость сустава.
Нейропатии периферических нервов конечностей, возникающие вследствие ущемления нервов конечности, обычно не всегда диагностируются из-за несовершенства техники клинического исследования, а результаты электрофизиологического анализа не надежны. Магнитно-резонансная томография дает детальную информацию о ходе и морфологии периферического нерва, а также точную дифференцировку окружающих мягкотканных структур и костных тканей, которые могут привести к ущемлению нерва.

Туннельная невропатия локтевого нерва
Таким образом, магнитно-резонансная томография по сравнению с другими методами лучевой диагностики дает лучшую визуализацию мягких тканей, а также позволяет определить костные изменения на ранней стадии, дополняя и превосходя рентгенологические данные:
Читайте также:
