Мезотелиома
Добавил пользователь Владимир З. Обновлено: 23.11.2025
Мезотелиома плевры представляет собой злокачественное или доброкачественное новообразование, которое произрастает из мезотелия. Это соединительная ткань, которой покрыты все внутренние органы. В большинстве случаев опухоль появляется на плевре, но может быть также мезотелиома легкого, перикарда, брюшины, яичка. Это достаточно редкая болезнь, которая появляется из-за частого контакта с канцерогенными соединениями (особенно это касается асбеста). Может протекать бессимптомно или с выраженной кинической картиной в виде кашля, боли, дискомфорта, жара.
Классификация
Выделяют несколько классификацией мезотелиомы по различным характеристикам. В зависимости от патогенеза выделяют 2 основные формы – доброкачественную и злокачественную. Первая еще называется фиброзной. Она отличается тем, что не распространяет по всему организму метастазы. Что касается злокачественной опухоли, то она еще называется целомической или эндотелиомой саркоматозной. Это инфильтрирующее образование, которое быстро распространяет метастазы.
В зависимости от морфологического признака выделяют локализованные и диффузные мезотелиомы. Первая образуется в виде узлов, которые имеют узкое или широкое основание. Имеет размеры от 6 до 20 см. Может быть как доброкачественной, так и злокачественной. Что касается диффузной мезотелиомы, то она выглядит как серозное утолщение размером от 3 см. Четких контуров не имеет. Может давать метастазы в рядом расположенные лимфатические узлы. Иногда имеет сосочковые разрастания. Характерная особенность – выделяет мукоидное вещество.
Причины заболевания
Главный фактор появления и увеличения мезотелиомы – контакт с канцерогенными минералами, особенно с асбестом. Это происходит на рудниках, в производственных цехах по выпуску строительных материалов и изготовлению стекла. Асбест скапливается в серозных прослойках еще в молодом возрасте у человека, а вот вызвать образование опухоли может спустя несколько десятилетий.
На это могут повлиять на факторы:
- генетическая предрасположенность к болезни;
- облучение во время терапии при других раковых болезнях;
- контакт с химическими веществами на производстве (никель, медь, полиуретан, бериллий и прочее).
Из-за этого у мужчин заболевание встречается в 8 раз чаще, чем у женщин. Это объясняется тяжелыми условиями труда.
Симптомы мезотелиомы
Симптомы мезотелиомы не проявляются на первых стадиях. Могут пройти годы, пока опухоль не достигнет больших размеров, после чего и начнут возникать характерные признаки:
- проблемы с дыханием;
- сильный кашель, кровохарканье;
- боли в груди;
- одышка;
- слабость, быстрая утомляемость;
- повышенная температура тела.
Симптомы могут отличаться в зависимости от места расположения опухоли.
Когда следует обратиться к врачу
Симптомы мезотелиомы обычно не проявляются на ранних стадиях. Из-за этого человек не обращается в больницу. Когда уже появляются выраженные осложнения, то это указывает на то, что процесс запущен. Вот почему необходимо как можно раньше обратиться к онкологу. Стоит обращать внимание на такие тревожные признаки: постоянная слабость, быстрая утомляемость, апатия, колики, повышенная температура тела, тошнота, рвота, дисбактериоз, накопление жидкости в животе.
Мезотелиома брюшной полости
Мезотелиома брюшины вызывает дискомфорт в животе и боли неясного характера. Также мучает метеоризм, икота, отрыжка, проблемы с пищеварением (диарея или понос). Из-за опухоли накапливается жидкость в брюшной полости, что называется асцитом. Его можно определить по тому, как быстро увеличивается живот. Крупные новообразования можно найти при пальпации.
Мезотелиома перикарда
Мезотелиома перикарда провоцирует появление болей в сердце, геморрагический перикардит. Из-за него увеличивается в размерах сердце, появляются нарушения в функционировании. Также не исключается тахикардия, стенокардия, гипотония. Со временем развивается сердечная недостаточность, которая является крайне опасной. Характерными признаками являются усиление выделения пота, отечность нога, бледность кожных покровов, потери сознания, удушье. Болезнь может привести к инфаркту или тампонаде перикарда.
Мезотелиома яичка
Мезотелиома яичка протекает незаметно. Среди всех признаков выделяют только незначительную боль, увеличение органа и гидроцеле. Во время пальпации чувствуется характерная шероховатость. Боль может отдавать в пах, бедро, поясницу. Опухоль быстро переходит на мошонку через кровеносные и лимфатические сосуды. Также возможно развитие мезотелиомы брюшины из-за этого.
Диагностика мезотелиомы
Диагностика мезотелиомы включает осмотр пациента и пальпацию проблемной области. После этого его отправляют на обследование:
- рентгенографию органов грудной клетки. Благодаря этой процедуре можно выявить мезотелиому плевры, перикарда, легких или обнаружить накопление жидкости. Также процедура позволяет определить размеры опухоли;
- компьютерную и магнитно-резонансную томографию. Благодаря им получается выявить метастазы в других органах;
- УЗИ брюшной полости;
- забор пункции – осуществляется сбор жидкости для дальнейшего проведения биопсии и анализа материала, чтобы уточнить стадию заболевания.
Лечение мезотелиомы
Лечение мезотелиомы легкого, плевры, яичка, брюшной полости проводится несколькими методами:
- операционное иссечение. Не всегда получается удалить полностью опухоль из-за труднодоступного расположения. Если же это удается сделать, то отделяют и часть здоровых тканей, чтобы уменьшить риск рецидива. Если у пациента доброкачественная или злокачественная мезотелиома плевры, то ее убирают на ранних стадиях. На более поздних понадобится убрать еще и часть перикарда, диафрагмы, легкого;
- химиотерапия. Она считается самой распространенной методикой. На новообразование воздействуют смесью сильнодействующих медикаментов, которые вводят через вену либо в саму плевру. Методика используется в качестве дополнения к хирургическому вмешательству.
Эффективное лечение мезотелиомы проводится в онкологическом центре «София». Врачи подбирают терапию индивидуально для каждого пациента. Она должна быть комплексной и проводится с учетом стадии болезни, общего состояния больного.
Прогноз заболевания – сколько живут
Прогнозы при мезотелиоме зависят от множества факторов. Особенно это касается стадии болезни, места расположения опухоли, возможности ее удалить хирургическим путем. Сколько живут при мезотелиоме? Чем раньше диагностирована патология и начато лечение, тем благоприятнее прогнозы. Если игнорировать новообразование, то продолжительность жизни на 4 стадии не более полугода. Поддерживания терапия помогает продлить на 2 года максимум.
Профилактика мезотелиомы
Чтобы предотвратить появление мезотелиомы, необходимо избегать контакта с канцерогенными веществами. Особенно это касается асбеста и другим вредных минералов. Тем людям, у которых работа связана с добычей этих веществ, работой на производстве, необходимо минимум раз в год проходить медицинский осмотр, сдавать анализы. То же самое касается и тех, кто проживает в промышленных районах.
Как записаться к врачу-онкологу
Онкологический центр предлагает помощь лучших врачей
Мы являемся партнером передовых американских и израильских центров. Наши врачи повышали квалификацию в лучших онкоцентрах мира, благодаря чему наши клиенты получают качественное лечение по зарубежным стандартам, не покидая пределов Российской Федерации.
Врач-онколог, член Российского общества маммологов, член RUSSCO (Профессиональное общество онкологов-химиотерапевтов), член Европейского онкологического общества ESMO, Американского общества исследования меланомы –SMR
Профессор, директор онкогематологической клиники университета Мартина Лютера (Галле, Германия), автор более 355 публикаций по проблемам лекарственного лечения опухолей
Заведующий отделением радиотерапии - врач- радиотерапевт.
Онколог, радиолог, заведующий отделением радиотерапии и радиохирургии, профессор медицины и исследователь.
Мезотелиома плевры
Мезотелиома плевры растет из клеток серозной оболочки легких, встречается очень редко: в 100-200 раз реже, чем рак легких. В большинстве случаев причина развития заболевания — вдыхание асбеста, поэтому обычно болеют люди, работающие с этим минералом.
Для лечения мезотелиомы плевры наши врачи применяют все современные технологии: высокоточные хирургические методики удаления опухоли, химиотерапию новейшими препаратами, иммунотерапию, таргетную терапию. Это позволяет максимально сохранить функции дыхательной системы и облегчить состояние пациента.
Мы понимаем, как важно начать лечение в короткие сроки: прием онкологических пациентов ведется по записи без ожидания в очереди. Вы можете попасть к онкологу уже на следующий день после звонка, в течение 5-7 дней начать терапию при наличии необходимых анализов. С каждым пациентом работает команда онкологов, радиологов, химиотерапевтов, реабилитологов.
Признаки мезотелиомы плевры
Первыми симптомами мезотелиомы плевры могут быть общая слабость, небольшое повышение температуры, похудение. Когда уже затронуты ткани легкого, появляется кашель, иногда с кровянистой мокротой, при плеврите — одышка, боли в области груди. Также мезотелиома часто сопровождается поражением суставов, болями в костях.
В этих случаях стоит как можно скорее обратиться к врачу, чтобы уточнить диагноз. В Клинике Онкологии вы сможете в короткие сроки пройти нужные обследования: от первого визита к врачу до постановки диагноза обычно проходит не более 7 дней.
Стадии и виды мезотелиомы плевры
Выделяют три типа новообразования:
- эпителиоидный — встречается чаще всего, до 70% случаев;
- саркоматозный — около 10% случаев;
- смешанный — примерно 20-25%.
По распространенности процесса различают четыре стадии мезотелиомы плевры и легких: на первой она поражает только одну сторону наружного листка органа, на последней распространяется по всей грудной клетке и дает метастазы в отдаленные органы.
Мы лечим мезотелиому плевры любого типа и на любой стадии, подбирая эффективное лечение на консилиуме с участием врачей профильных специализаций. Даже сложные случаи в настоящее время поддаются лечению, если использовать современные методики химиотерапии и хирургии.
Как мы можем помочь при мезотелиоме плевры
Предлагаем лечение по ОМС в соответствии с мировыми стандартами. В каждом случае проводим консилиум с участием онкологов, хирургов, рентгенологов и химиотерапевтов.
Мы сочетаем хирургическое лечение с полихимиотерапией и иммунотерапией, чтобы достичь максимально возможного результата и улучшить качество жизни пациента.
Последствия мезотелиомы плевры
Диагностика мезотелиомы плевры
Рентгенография грудной клетки позволяет только ориентировочно заподозрить наличие опухоли. Мы используем современные методики диагностики мезотелиомы плевры для постановки точного диагноза:
- МРТ, КТ — основные методы обследования для оценки формы и размера опухоли, изменения тканей.
- ПЭТ/КТ — детальное исследование новообразования и обнаружение метастазов от 2 мм.
- Торакоцентез или чрескожная биопсия с гистологией — забор плевральной жидкости или ткани опухоли для определения типа раковых клеток и их злокачественности.
- Диагностическая торакоскопия — осмотр полости плевры с помощью эндоскопа. Позволяет прицельно взять биопсию, оценить размер опухоли и ее операбельность.
Врач-онколог может назначить вам и другие анализы или обследования: каждый случай уникален, для постановки точного диагноза нужна индивидуальная схема диагностики.
Лечение мезотелиомы плевры
Лечение подбираем с учетом тяжести болезни и состояния пациента. Мы не только лечим болезнь, но и сохраняем качество жизни наших пациентов после терапии:
- Хирургическое лечение — объем вмешательства зависит от стадии рака. Удаляют пораженную часть плевры и легкого, иногда лимфоузлы средостения, часть диафрагмы и перикарда.
- Химиотерапия — обязательный компонент комплексного лечения, позволяет улучшить прогноз.
- Паллиативное лечение — удаление экссудата из плевральной полости, плевродез и другие методики, помогающие улучшить качество жизни пациента.
Чем отличается лечение мезотелиомы плевры в «Клинике Онкологии XXI века»
- Многопрофильный стационар с возможностью лечения сопутствующих заболеваний.
- Новейшее хирургической оборудование позволяет проводить сложнейшие вмешательства на грудной клетке.
- Современные препараты для полихимиотерапии с низкой токсичностью.
Реабилитация после операции
Реабилитация после сложных операций по удалению опухолей плевры нужна для возвращения к активной жизни. В отделении реабилитации разработана комплексная методика восстановления, основанная на дыхательной гимнастике, ЛФК и физиотерапии.
Преимущества обращения в «Клинику Онкологии XXI века»
- Индивидуальный подбор лечения с учетом диагноза и состояния пациента
- Лечение по международным стандартам: NCCN, UpToDate, ESMO, NCI.
- Более 1000 пациентов, довольных качеством и лечением
- Последующее наблюдение у онколога в поликлиническом отделении
Комфорт на уровне частных клиник: одно- и двухместные палаты с туалетом и душем, трехразовое питание.
Fatal error: Cannot redeclare my_crop() (previously declared in /home/a/alekseye12/public_html/bitrix/templates/.default/components/bitrix/news.list/widget_nap_review/result_modifier.php:3) in /home/a/alekseye12/public_html/include/static/widget_testimonials.php on line 15
Мезотелиома
Московский научно-исследовательский онкологический институт им. П.А. Герцена Росмедтехнологий, Москва
Московский научно-исследовательский онкологический институт им. П.А. Герцена Росмедтехнологий, Москва
ФГБУ "Московский научно-исследовательский онкологический институт им. П.А. Герцена" Минздрава РФ
Военная медицинская часть, Голицыно, Московская область, Россия, Московский научно-исследовательский онкологический институт им. П.А. Герцена, филиал ФГБУ «Национальный медицинский исследовательский центр радиологии» Минздрава России, Москва, Россия
ФГУ Московский научно-исследовательский онкологический институт им. П.А. Герцена Минздравсоцразвития России, Москва
ФГБУ "Московский научно-исследовательский онкологический институт им. П.А. Герцена" Минздравсоцразвития России
Московский научно-исследовательский онкологический институт им. П.А. Герцена, филиал ФГБУ НМИЦ радиологии Минздрава России, Москва, Россия
ГБУ «Республиканский онкологический диспансер», Грозный, Чеченская Республика, Россия
Случай успешного комбинированного лечения больной злокачественной эпителиоидной мезотелиомой брюшины
Журнал: Онкология. Журнал им. П.А. Герцена. 2017;6(6): 52‑54
Московский научно-исследовательский онкологический институт им. П.А. Герцена Росмедтехнологий, Москва
Представлен случай успешного лечения больной с мезотелиомой брюшины, которое включало комбинацию циторедуктивных вмешательств и интраоперационной фотодинамической терапии как в самостоятельном лапароскопическом варианте, так и в сочетании с операцией. Использование высокотехнологичных фотодинамических методик и агрессивной хирургии позволило добиться уникальной для этого заболевания продолжительности жизни — более 13 лет.
Московский научно-исследовательский онкологический институт им. П.А. Герцена Росмедтехнологий, Москва
Московский научно-исследовательский онкологический институт им. П.А. Герцена Росмедтехнологий, Москва
ФГБУ "Московский научно-исследовательский онкологический институт им. П.А. Герцена" Минздрава РФ
Военная медицинская часть, Голицыно, Московская область, Россия, Московский научно-исследовательский онкологический институт им. П.А. Герцена, филиал ФГБУ «Национальный медицинский исследовательский центр радиологии» Минздрава России, Москва, Россия
ФГУ Московский научно-исследовательский онкологический институт им. П.А. Герцена Минздравсоцразвития России, Москва
ФГБУ "Московский научно-исследовательский онкологический институт им. П.А. Герцена" Минздравсоцразвития России
Московский научно-исследовательский онкологический институт им. П.А. Герцена, филиал ФГБУ НМИЦ радиологии Минздрава России, Москва, Россия
ГБУ «Республиканский онкологический диспансер», Грозный, Чеченская Республика, Россия
Мезотелиома является первичной опухолью, растущей из мезотелиальных клеток серозных оболочек. Впервые была описана в 1908 г. Miller и Wynn, частота встречаемости в мире — 1—2 случая на 1 млн. Ежегодно в США выявляют около 800 больных с этим диагнозом [1]. В зависимости от локализации различают мезотелиому брюшины, плевры, реже — перикарда. Среди опухолей этого типа поражение брюшины составляет 10—20% случаев. Развивается она преимущественно у мужчин старше 40 лет [2]. В зависимости от типа роста мезотелиома брюшины может иметь локализованную (узловую) или диффузную форму. В первом случае опухоль имеет вид ограниченного узла, исходящего из париетального или висцерального листка серозы. Мезотелиома брюшины имеет инфильтративный рост без четких границ и распространяется по всей ее поверхности. По гистологическому строению выделяют эпителиоидную (50—70%), саркоматоидную (7—20%) и смешанную (20—35%) формы. К редким типам мезотелиомы относится мультикистозная форма, которая встречается у женщин и поражает брюшину, главным образом, в области дугласова пространства [3]. Считается, что развитие мезотелиомы брюшины и других локализаций напрямую связано с длительным и интенсивным контактом больного с асбестом. При этом от момента контакта до начала болезни могут пройти десятки лет. Среди других факторов не исключается влияние ионизирующего излучения, вирусной инфекции, контакта с силикатами, парафинами [4]. Медиана выживаемости на всю группу не превышает 12 мес. При невозможности хирургического лечения выживаемость при первой линии химиотерапии составляет около 7 мес. При начальных стадиях заболевания циторедуктивная операция с гипертермической химиотерапией позволяет в специализированных центрах добиться медианы выживаемости от 3 до 5 лет [5].

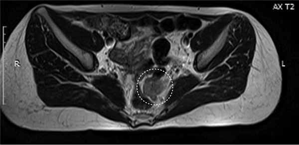
Клиническое наблюдение. Больная Т. в 2004 г. в возрасте 16 лет оперирована в РНЦРР с подозрением на опухоль яичников. При ревизии было выявлено поражение яичников, матки, тазовой брюшины, большого сальника. Произведена экстирпация матки с придатками, резекция большого сальника. При пересмотре стекол и ИГХ-исследовании установлен диагноз: злокачественная эпителиоидная мезотелиома. В послеоперационном периоде проведено 6 курсов ПХТ (гемзар/цисплатин, таксотер/цисплатин). В июне 2005 г. выявлено прогрессирование процесса. Больная обратилась в МНИОИ им. П.А. Герцена. При К.Т. выявлены опухолевые узлы на диафрагмальной поверхности брюшины справа до 1—3,5 см с прорастанием в ткань печени. В полости таза признаков рецидива не выявлено. Уровень СА125 в пределах нормы. 24.08.05 выполнена циторедуктивная перитонэктомия с удалением брюшины правого купола диафрагмы и правого латерального канала, атипичная резекция правой доли печени. Операция дополнена фотодинамической терапией (ФТД) брюшины с фотосенсибилизатором фотогем. В июне 2006 г. выполнена плановая флюоресцентная лапароскопия. При видеоревизии в режимах ауто- и аллофлюоресценции в нижних отделах передней брюшной стенки справа определяется несколько выбухающих очагов флюоресценции, при осмотре в белом свете рубцово-жировая ткань (рис. 1). Рис. 1. Очаги мезотелиомы на диафрагме. Проведен курс ФДТ брюшины с иссечением фрагмента измененной брюшины в зоне флюоресценции. При плановом гистологическом исследовании иссеченных фрагментов — инфильтративный рост эпителиодноклеточной мезотелиомы в фиброзно-жировой основе с эмболами в сосудах.

С марта 2007 г. по август 2009 г. больной проведено 6 лапароскопических вмешательств — флюоресцентная ревизия, множественная биопсия брюшины и интраоперационная ФТД. Во всех случаях использовали фотосенсибилизатор фотогем, вводимый внутривенно за 48 ч до операции. Использовали цилиндрический диффузор с экранирующим устройством — трансдьюсер. Последовательно облучали доступные отделы париетальной брюшины: 20 позиций по 2 мин. Мощность лазера 600 мВт, плотность энергии 6 Дж/см 2 . В 2 случаях стандартную методику дополняли проведением ФДТ в жидкой среде после заполнения брюшной полости 4 л изотонического раствора натрия хлорида. Начиная с 7-й лапароскопии при ревизии и биопсии микроочаги мезотелиомы не выявлялись. При обследовании в апреле 2010 г. больной выполнено КТ и УЗИ брюшной полости и малого таза, а также МРТ, при которой обнаружили опухолевые узлы в области ректосигмоидного и верхнеампулярного отделов толстой кишки (рис. 2). Рис. 2. Опухолевый узел в мезоректальной клетчатке.
Больной выполнена циторедуктивная операция — флюоресцентная лапароскопия, удаление рецидивной опухоли малого таза, интраоперационная ФДТ. При лапароскопической ревизии в режиме обычного света и в AF-режиме изменений со стороны париетальной и висцеральной брюшины не выявлено. Произведена нижнесреднесрединная лапаротомия. Установлено, что сигмовидная кишка удлинена, дистальный ее отдел уходит в созданную после экстирпации за счет перитонизации диафрагму таза. Произведено рассечение париетальной брюшины. Брыжейка кишки расправлена до истинной тазовой брюшины. При этом в ней определяется образование размером около 2,5×1,5 см. Удалено в пределах здоровых тканей. Произведена мобилизация ректосигмоидного и верхнеампулярного отдела толстой кишки. После этого установлено, что имеется опухолевый узел неправильной формы, состоящий как бы из двух сегментов, интимно прилежащий к передней стенке прямой кишки и мочевому пузырю. Произведено его удаление острым путем с частичной резекцией серозы. Морфологический диагноз: эпителиоидно-клеточная мезотелиома брюшины. Динамическое наблюдение в течение 7 лет не выявило прогрессирования заболевания. К настоящему времени продолжительность жизни составляет 156 мес.
Заключительный диагноз: злокачественная эпителиоидно-клеточная мезотелиома брюшины. Комбинированное лечение в 2004 г. (Экстирпация матки с придатками, резекция большого сальника + 6 курсов ПХТ). Прогрессирование процесса. Циторедуктивная операция + ФДТ брюшины 24.08.05. Прогрессирование процесса. Лапароскопическая ФДТ брюшины 12.07.06, 09.11.06, 07.03.07, 04.07.07, 22.11.07, 09.04.08, 26.11.08, 19.08.2009. Прогрессирование. Циторедуктивная операция + ИОФДТ 05.05.2010. Ремиссия.
Заключение
Нам не удалось в специальной литературе найти подобный пример такого длительного контроля и наблюдения при мезотелиоме брюшины. Произведены 3 циторедуктивные операции, 9 лапароскопических вмешательства и в общей сложности 11 сеансов интраоперационной ФТД, что потребовало значительных физических и эмоциональных затрат от хирургов и от самой пациентки. Циторедукция в комбинации с ФДТ позволили обеспечить локальный контроль в брюшной полости, в то время как в малом тазу внебрюшинно, вне зоны фотодинамического воздействия происходил рост рецидивной опухоли.
Авторы заявляют об отсутствии конфликта интересов.
Сведения об авторах
Мезотелиома плевры

Мезотелиома плевры (эндотелиома, рак плевры) — редко встречающаяся опухоль, существует в злокачественной и доброкачественной форме. Может развиваться в любом возрасте, однако чаще всего подобный диагноз ставят пациентам после 40-45 лет, преимущественно, мужчинам.
При доброкачественной форме заболевания выздоровление наступает в 90% случаев после оперативного лечения.
При злокачественной форме мезотелиома достаточно быстро растет и проявляется в виде узелков или хлопьев на плевре. Опухоль может иметь вид плотного скопления клеточных элементов на серозной оболочке с примесью крови и лимфы, или распространяться на всю плевру, окружая легкое наподобие панциря. По мере роста опухоль прорастает в сердечную сумку, сердце, печень, легкое.
Мезотелиома может быстро распространяться по лимфатическим путям в лимфатические узлы, гематогенные метастазы встречаются редко.
Лечение

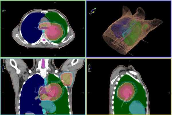
Радиохирургическая система КиберНож
Если злокачественная опухоль выявлена на ранней (бессимптомной) стадии, и еще не достигла значительных размеров, высокого эффекта можно добиться при применении радиохирургического лечения мезотелиомы плевры на КиберНоже.
Преимуществом такого выбора является высочайшая точность подачи губительного для опухоли ионизирующего излучения. При этом требуемая доза будет равномерно доставлена КиберНожом в каждую точку небольшой опухоли, не допуская недостаточного облучения, что довольно часто становится причиной радиорезистентности опухоли (наблюдается при лучевом лечении на устаревших кобальтовых аппаратах либо при недостаточном внимании к планированию лечения на линейных ускорителях).

Радиохирургическое лечение мезотелиомы плевры на системе КиберНож. План лечения — зона подведения высокой дозы ионизирующего излучения оконтурена красным цветом
При большей распространенности процесса в качестве радикального метода лечения мезотелиомы чаще всего применяется хирургическое вмешательство, которое комбинируется с химиотерапией и лучевой терапией.

Лечение мезотелиомы плевры на современном лийнейном ускорителе в Киеве: план лечения. Высокая доза ионизирующего излучения после проведения хирургического удаления опухоли и пораженных элементов лимфатической системы будет подведена внутрь двух зон, выделенных розовым контуром
В каждом отдельном случае принимается индивидуальная тактика лечения на основе международных протоколов, которую определяет междисциплинарный консилиум врачей.
Основным фактором развития рака плевры является контакт с асбестом. Однако у людей, которые имели контакт с асбестом, мезотелиома плевры развивается не сразу, а лишь спустя 20–50 лет. Кроме асбеста на развитие опухоли также могут влиять прочие химические канцерогенные вещества (силикаты, бериллий, жидкий парафин), а также ионизирующее излучение, генетическая предрасположенность.
Диагностика
Для того, чтобы поставить диагноз, необходимо провести ряд диагностических процедур. Кроме того, для того, чтобы диагностировать мезотелиому, необходимо выяснить был ли у пациента контакт с асбестом, так как это вещество является одним из веществ, провоцирующих новообразование. В ходе диагностики выполняется рентген органов грудной клетки.
Как правило, первичные жалобы требуют проведения КТ- и МРТ-исследований, а окончательный диагноз ставится после биопсии плевры и иммуногистохимического исследования. Также определяется мезотелиома с помощью онкоскрининга всего тела.
Симптомы
Основными симптомами заболевания являются следующие проявления:
- появление тяжести в области груди
- одышка
- боли в грудной клетке разной степени и локации
- сухой кашель
- значительная потеря веса — до 10-15 кг, без диет и занятий спортом
- повышение температуры тела до 37 градусов и выше
- общая слабость
- повышенное потоотделение
- боли в суставах и мышцах
Если вы заметили у себя или кого-либо из близких как минимум два из вышеперечисленных симптомов, обратитесь к врачу для исключения возможности заболевания или подтверждения диагноза и начала лечения новообразования. Ранняя диагностика всегда повышает шансы успешного лечения.
Заполните всего три поля
и наш специалист Вам перезвонит!
Ваши данные успешно отправлены! Ожидайте нашего звонка.
РАДИОХИРУРГИЯ КИБЕРНОЖ
Инновационный метод лечения,
радиохирургия на системе
"КиберНож" , применяется в
Клинике Спиженко для
дистанционного лечения
опухолей
ЛУЧЕВАЯ ТЕРАПИЯ IMRT
Лучевая терапия опухолей
в Клинике Спиженко
проводится на линейном
ускорителе последнего
поколения Elekta с
функцией IMRT
(максимальной защиты
здоровых тканей)
МАЛОТРАВМАТИЧНАЯ ХИРУРГИЯ - ЛАПАРОСКОПИЯ
Современные методы хирургического лечения онкологических пациентов применяются в Центре
хирургии Клиники Спиженко на постоянной основе, в том числе, малотравматичая лапароскопия
Мезотелиома плевры

«Мезотелиома плевры — это единственное онкозаболевание плевры. Мезотелиальные клетки висцерального и париетального листков плевры перерождаются и создают первичную злокачественную опухоль. При таком диагнозе лучевая терапия является частью комплескного лечения, которая назначается во время операционного периода или после него, а также для снижения болей».
Что такое мезотелиома?
Мезотелиома (эндотелиома) — рак серозных оболочек легких. На рак плевры приходится около 1% всех онкологических заболеваний дыхательной системы, включительно с раком легких. Заболевание распространено преимущественно среди мужчин в возрасте старше 50 лет. Развитию опухоли предшествует длительный контакт с асбестом (заболевание может развиться через 5-20 лет).
В категориях риска находятся:
- рабочие промышленных предприятий, использующих асбест;
- люди, проживающие поблизости от таких производств;
- работники и жители окрестностей асбестодобывающих предприятий.
Риск развития плевральной мезотелиомы после продолжительной работы с асбестом составляет 10%. В плевральную полость микроволокна асбеста попадают через дыхательные пути, а затем разносятся по лимфатической системе. Курение не является причиной развития мезотелиомы плевры, но считается усугубляющим фактором. Начальная стадия болезни характеризуется появлением узелков на висцеральной или париетальной плевре.

Причины
Главной причиной мезотелиомы плевры является контакт с асбестовой пылью. С момента первого контакта до появления онкологического заболевания может пройти не одно десятилетие. Контакт мог произойти в любом возрасте, потому многие пациенты не могут найти причины заболевания и вспомнить, когда произошло проникновение пыли в дыхательные пути. Минеральные волокна асбеста являются канцерогенами и сохраняются неизменными в тканях организма в течение долгих лет. Впоследствии они становятся очагами плеврального развития новообразований в виде узелков.
Также существует ряд других факторов, способствующих развитию злокачественной мезотелиомы:
- контакт с химическими веществами (жидкий парафин, бериллий, медь, никель, силикаты и другие канцерогены);
- генетическая предрасположенность;
- курение;
- лучевая терапия других раковых заболеваний (ионизирующее излучение).
Также в среде исследователей онкологических заболеваний бытует версия о непосредственной связи возникновения мезотелиомы с обезьяньим вирусом SV-40. В середине ХХ столетия вирусом была заражена значительная часть населения Северной Америки и Европы посредством вакцины от полиомиелита.
Симптомы
Симптоматика рака плевры затруднена ввиду того, что большинство симптомов мезотелиомы схожи с признаками других заболеваний дыхательных путей. Потому значительный процент обнаружения онкологии плевры приходится на ее поздние стадии. От момента появления опухоли до проявления клинических признаков и ее последующего диагностирования может пройти от нескольких месяцев до 4-5 лет.
Большинством больных предъявляются жалобы на:
- общую слабость;
- субфебрильную температуру (37-37,9 о C);
- потливость;
- потерю веса.
С развитием новообразований к симптомам добавляются боли в грудной клетке (слева или справа, в зависимости от стороны поражения), сухой надсадный кашель (при прорастании в легкое может отмечаться кровянистая мокрота), одышка, остеоартропатия (искривление пальцев рук, припухлость суставов, боли в костях, артралгия). Одышка и боли не исчезают после откачивания экссудата плевральной полости. На ранних стадиях при ограниченной плевральной опухоли может присутствовать локальный болевой синдром. Запущенные стадии мезотелиомы плевры с метастазами в регионарные лимфоузлы и ткани характеризуются появлением тахикардии, дисфонии, дисфагии, синдрома верхней полой вены. Плевральный выпот накапливается высокими темпами и в большом количестве. Имеет геморрагический или серозный характер. Диффузная форма заболевания иногда сопровождается лихорадкой и интоксикациями.

Стадии
Для подбора оптимального и наиболее эффективного метода лечения мезотелиома плевры классифицируется по стадиям. Различным стадиям характерны свои особенности, позволяющие консилиуму онкологов назначить только те необходимые процедуры комбинированного лечения, которые будут уместны для каждой формы мезотелиомы.
- I — распространение опухоли ограничено одной стороной париетальной плевры, метастазы в регионарных и отдаленных лимфатических узлах отсутствуют.
- IB — к основной опухоли добавляется очаговое поражение висцеральной плевры.
- II — опухоль распространяется на любую поверхность со стороны париетальной плевры, отмечается прорастание в мышцу диафрагмы или паренхиму легкого.
- III — поражаются как висцеральная, так и париетальная плевры, происходит опухолевая инвазия мягких тканей грудной стенки, перикарда, лимфоузлов и жировой клетчатки средостения.
- IV — новообразование поражает ребра, позвоночник, противоположную плевральную полость, брюшину, перикард, миокард, органы средостения и плечевое сплетение. Диагностируются отдаленные метастазы.
Дополнительной классификацией выделяются мезотелиомы плевры трех гистологических типов: саркоматозного, эпителиоидного и смешанного.
Диагностика
Диагностика мезотелиомы плевры включает в себя ряд исследований, позволяющих точно определить тип и стадию развития опухоли. После чего назначается соответствующий метод лечения. Диагностирование включает в себя:
- Физикальное обследование — перкуссия грудной клетки, пальпация, аускультация легких.
- Лабораторные исследования. Биохимический анализ крови позволяет разграничить проявления плеврита и мезотелиомы. Также дополнительным подтверждением диагноза послужит анализ крови на онкомаркеры. Рекомендована коагулограмма крови, определяющая склонность к гиперкоагуляции (сокращение времени свертывания крови).
- Инструментальные исследования: рентгенография грудной клетки в боковой и прямой проекциях, компьютерная томография, УЗИ (плевральной полости, надключичных лимфоузлов, забрюшинного пространства, брюшной полости), прицельная биопсия плевральной опухоли (проводится путем трансторакальной пункции, а также торакоскопического исследования — открытой биопсии посредством торакотомии), видеобронхоскопия — оценивается состояние трахей и бронхов.
- МРТ позволяет окончательно подтвердить диагноз и определить стадию распространения опухоли. МРТ всего тела проводится для обнаружения метастазов. МРТ головного мозга и органов брюшной полости проводится для исключения метастазирующего процесса.
Также возможно проведение дополнительных исследований и дифференциального анализа для исключения других заболеваний:
- фиброгастродуоденоскопия — оценка состояния желудка;
- сцинтиграфия печени — оценка функционирования печени, уточнение размера пораженной области;
- ангиографическое исследование — определение связи с магистральными сосудами и ангиоархитектоники новообразования.
Лечение
Для лечения мезотелиомы применяются практически все известные методы противоопухолевого воздействия. Несмотря на обширную базу данных и современные технологии, их эффективность остается на достаточно низком уровне. Быстрое скапливание плеврального выпота устраняется внутриплевральным введением микрокатетера и разгрузочными пункциями (плевроцентез).
Хирургическое лечение показано при локальном расположении опухоли. На дальнейших стадиях хирургическое вмешательство заключается в выполнении экстраплевральной пневмонэктомии (удалении одного легкого). Также вместе с ним нередко удаляются лимфоузлы средостения и проводится резекция перикарда и диафрагмы с их последующей пластикой. После такого вмешательства летальность остается достаточно высокой, на уровне 25-30 %.
Через 4-6 недель после пневмонэктомии проводится около 6 курсов полихимиотерапии с использованием противоопухолевых препаратов платины. Возможно внутриплевральное применение препаратов. После чего назначается лучевая терапия (томотерапия). Ионизирующей радиацией облучается область удаленного легкого и средостение.
Химиотерапия
Эффективность современных химиотерапевтических препаратов при мезотелиоме плевры практически не превышает 20%. Отмечается регрессия опухоли и объективное улучшение общего состояния при применении таких лекарственных средств, как: винорельбин, гемцитабин, пеметрексед, цисплатин, ралтитрексид, митомицин, этопозид, карбоплатин, циклоплатам, ифосфамид. Химиопрепараты применяются исключительно при комбинированном лечении. Схема выстраивается в соответствии с индивидуальными показаниями для каждого пациента. Обязательно дополнение адъювантной химиотерапии лучевой терапией для исключения рецидивов и метастазирования.
Читайте также:
