Миксоидная хондросаркома. Эмбриональная хондросаркома.
Добавил пользователь Евгений Кузнецов Обновлено: 27.01.2026
Хондрома мягких тканей — редкая внескелетная и в несиновиальная доброкачественная опухоль, возникающая на пальцах кистей, стоп, реже на голове, шее и туловище, как правило, вблизи сухожилий и суставов. Среди больных преобладают мужчины среднего возраста. Плотные, четко отграниченные» часто дольчатые, сероватые узелки диаметром 0,2—6 см могут содержать мелкие кисты. Они рецидивируют в 15—20 % случаев, но никогда не малигнизируются. Под микроскопом в ткани опухоли определяется большое количество зрелого гиалинового хряща и разное количество фиброзной и миксоидной стромы. Почти всегда видны кальцификаты, с которыми могут соседствовать скопления эпителиоидных клеток и гигантские многоядерные клетки. Это напоминает гранулематозную реакцию при гигантоклеточной опухоли сухожильного влагалища. Большинство хондроцитов имеют мелкие размеры, но могут варьировать по форме и величине, проявляя нуклеомегалию и гиперхроматоз ядер. Это не должно быть причиной заблуждений относительно малигнизации. Если округлые или веретеновидные оксифильные хондробласты, лежащие в миксоидном и богатом сосудами матриксе, преобладают над хондроцитами, опухоль называют хондробластной хондромой. По доминированию соответствуюших компонентов выделяют также фиброхондрому и миксохондрому.
Миксоидная хондросаркома
Миксоидная хондросаркома — довольно редкое злокачественное новообразование, развивающееся в глубоких мягких тканях конечностей (кроме кистей и стоп). Поражаются взрослые лица обоего пола. Мягкий, иногда студневидный или слизистый узел диаметром до 8—10 см может содержать кровоизлияния. Миксоидная хондросаркома часто отличается очень медленной прогрессией. В 75 % случаев в легких, мягких тканях, костях и лимфатических узлах обнаруживаются метастазы этой опухоли, иногда спустя 10 лет и более после удаления первичного узла. Под микроскопом хорошо определяется разделение опухолевой ткани на дольки узкими фиброзными прослойками. Сами дольки заполнены миксоидным матриксом и разным количеством мелких довольно однотипных, веретеновидных и/или округлых клеток, то собранных в узкие трабекулы, тяжи и пучки, то лежащих разрозненно. Клетки дают положительную реакцию на S1OO-протеин, Leu-7 и эпителиальный мембранный антиген. В них выявлены неслучайные реципрокные транслокации t(9:22)(q22-31;q11-12). Эту опухоль следует дифференцировать от миксоидной липосаркомы, миксоидной злокачественной фиброзной гистиоцитом ы, миксоидной хондромы и невральных опухолей с миксоматозом.

Остеосаркома
Внескелетная мезенхимальная хондросаркома
Внескелетная мезенхимальная хондросаркома — весьма редкое новообразование, возникающее в мозговых оболочках, орбите, повоночнике, на шее и нижних конечности, иногда в других местах. Пол и возраст больных значения не имеют. Узел разной величины обычно содержит фрагменты хряща и кальцификаты. Под микроскопом отмечается бифазная дифференцировка: зоны зрелого хряща и хондроида окружены и/ или пронизаны мелкими круглыми «синими» клетками, местами формирующими солидные поля. Клетки позитивны к S100-протсину, CD57, CD99. Опухоль следует дифференцировать от опухолей из группы примитивной нейроэктодермальной опухоли — саркомы Юинга. гемангиоперицитомы, синовиальной саркомы, фиброзной гистиоцитомы.
Оссифицирующий миозит
Оссифицирующий миозит (син.: травматический миозит травматическая гетсротопическая оссификация, очаговая параоссальная оссификация. оссифииирующаяся гематома, оссифицирующий панникулит, оссифицирующий фасциит, флоридный реактивный периостит, фибро-оссифицированная псевдоопухоль пальца) — внутримышечное опухолеполобнос образование реактивной природы, имеющее в половине случаев травматическую этиологию и встречающееся чаще у лиц до 35 лет. Локализация; мышцы бедра, плеча, других отделов конечностей, иногда подкожные (panniculitis ossificans) или более глубокие мягкие ткани (оссифицирующий фасциит, фибро-оссифицированная псевдоопухоль пальца). Макроскопически представляет собой желтовато-белый узел, содержащий мелкие кал ьцифи каты, а в центре миксоидные или кистозные структуры, редко превышает в поперечнике 6 см. Оссифицирующий миозит не озлокачествляется. Под микроскопом на ранних стадиях картина может включать в себя организующуюся гематому, очаговую хонлропластику, миксоматоз, ангиоматоз. зоны обызвествления; на поздних стадиях — выраженный фиброз, разные этапы метаплазии в кость, вплоть до появления надкостницы, зрелых костных балок и пластин и даже элементов экстрамедуллярного кроветворения. Обычно хорошо определяется зональное строение: в центре поражения видны структуры нодулярного фасциита, промежуточную зону занимают трабекулы остеоила, а на периферии лежат балки кальцифицированной кости.
Фигуры митоза остеобластов обрамляющих трабекулы и балки, могут быть довольно многочисленными. Кроме того, отмечаются ветвящиеся сосуды, воспалительный инфильтрат, иногда с фибрином, а также гигантские многоядерные клетки типа остеокластов. Опухоль следует дифференцировать от остеосаркомы мягких тканей» остеомы и фибросаркомы.
Миксоидная хондросаркома. Эмбриональная хондросаркома.
Миксоидная хондросаркома. Эмбриональная хондросаркома.
Миксоидная хондросаркома одна из редких форм злокачественных опухолей мягких тканей, впервые описанная F. M. Enzinger и М. Chiraki в 1972 г.
Преобладают мужчины. Преимущественно поражает взрослых [средний возраст больных в наблюдениях F. М. Enzinger и М. Chiraki (1972) 48,7 гoда), встречается у детей
Новообразование представляет собой одиночный, медленно растущий, поверхностный или чаще глубокорасположенный узел 5-10 см в диаметре, нередко существующий несколько лет. В подавляющем большинстве случаев опухоль локализуется на нижней конечности, преимущественно на бедре и в подколенной ямке. Как правило, хорошо отграничен, имеет желатинозный вид, часто с участками кровоизлияний.
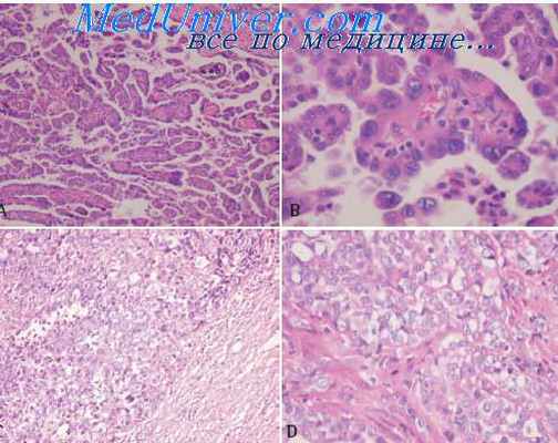
Микроскопически опухоль образована мелкими округлыми и более крупными клетками с эозинофильной цитоплазмой, напоминающими хондробласты. Часто они имеют вид эпителноидных, встречаются также звездчатые клетки гипа низкодифференцированных мезенхимных. Изредка опухолевые клетки вызревают до хряшевых элементов. Характер клеток опухоли, но мнению Е В Chung и F M. Enzinger (1978), может быть выяснен при электронной микроскопии Клетки располагаются в обильной миксоидной промежуточной субстанции, которая дает отрицательную реакцию на сульфатированные гликозамииогликаны, резистентны к гиалуронидазе, что характерно и для хрящевой ткани. Клетки опухоли имеют выраженную тенденцию располагаться рядами, цепочками, полосами, мелкими солидными группами, причем эти клеточные скопления часто ориентированы в радиарном направлении. Опухать содержит много фиброзных прослоек, что придает ей дольчатый вид.
Рецидивы наблюдаются более чем у 1/3 больных, а метастазы более чем у половины. Следует отметить медленное течение заболевания, нередко позднее развитие рецидивов и метастазов, что требует длительного наблюдения за больными.

F. M. Enzinger и М. Chiraki (1972) считают, что на прогноз не влияют ни локализация, ни размер опухоли, но отмечают зависимость от гистологической структуры. Считают, что опухоли более клеточные, с менее дифференцированными клеточными формами и менее выраженным мукондным матриксом прогностически менее благоприятны.
Миксоидную хондросаркому необходимо отличать от миксоидной липосаркомы, а также от рака потовых желез. Опухоль следует рассматривать как один из вариантов экстраскелетной хондросаркомы, отождествляя ее с так называемой хордоидной саркомой.
Эмбриональная хондросаркома — крайне редкая опухоль детского возраста, впервые описана J. Albores-Saavedra и соавт.
Макроскопически — крупный дольчатый узел слизистого вида.
Микроскопически опухоль образована мелкими преимущественно недифференцированного вида клетками, располагающимися в миксоматозном основном веществе, часто в виде солидных гнездных скоплений. При ультраструктурном исследовании подтвержден недифференцированный мезенхимальный тип клеток, но в некоторых более крупных клетках обнаружены признаки их сходства с хондроцитами.
От миксоидной хондросаркомы эмбриональная хондросаркома отличается еще менее выраженной хондроцитарной диффереицировкой.
Парахордома — «миксоматозная» опухоль, обычно связанная с сухожильными влагалищами или слизистыми сумками Локализуется обычно паравер-тебрально, чаще в области поясницы, встречается в большинстве случаев у мужчин в 3-й декаде жизни
Микроскопически характеризуется преобладанием мелких, бедных эозинофильиой цитоплазмой округлых клеток, с четкими ядрышками. Клетки складываются в комплексы узловатого вида. Межуточная субстанция представлена миксоидным веществом, чувствительным к гиалуронидазе, PAS- и альцианоположительным. Опухоль отличается низкой степенью злокачественности. Ее следует дифференцировать с миксондной хондросаркомой, плеоморфиой аденомой, «смешанной опухолью» кожи, а при локализации в области блюмбенбахова ската или крестца — с хордомой.
Злокачественная зернисто-клеточная опухоль (злокачественная миобластома, злокачественная неорганоидная зернисто-клеточная «миобластома»). Является злокачественным аналогом зернисто-клеточной опухоли (опухоли Абрикосова). Другие авторы рассматривают эту опухоль как злокачественную рабдомиому, которую можно выделить из общей группы злокачественных мышечных опухолей только при наличии клеток с зернистой цитоплазмой. Исчерченность в клетках опухоли, как правило, не определяется
Исследователи указывают на большую редкость этих опухолей и на преимущественную локализацию их в языке. Выделяют две их разновидности а) наиболее редкую форму (по-видимому, близкую к четвертому типу миобластомиом Абрикосова), сходную с доброкачественной миобластомой, отличающуюся от нее большим размером ядра зернистых клеток и выраженным инфильтративным ростом; б) менее редкую опухоль, характеризующуюся тем, что клетки ее складываются в альвеолы, окруженные тонкой соединительнотканной стромой. Клетки имеют гиперхромиые ядра, цитоплазма их зерниста, с вакуолями, частью жировыми. Принадлежность этой последней разновидности к данной группе опухолей многими оспаривается Возможно, в таких случаях имеет место альвеалярная саркома мягких тканей.
- Вернуться в оглавление раздела "гистология"
Информация на сайте подлежит консультации лечащим врачом и не заменяет очной консультации с ним.
См. подробнее в пользовательском соглашении.
Миксоидная хондросаркома. Эмбриональная хондросаркома.
Список сокращений
АВМ — артерио-венозная мальформация
ВСС — верхний сагиттальный синус
ТМО — твердая мозговая оболочка
Хондросаркома (ХС) — редкая и медленно растущая злокачественная опухоль, происходящая из хрящевой ткани. Почти 75% внутричерепных ХС обнаруживают на основании черепа, где местом их роста являются синхондрозы костей. Другие, более редкие локализации опухоли — большой серповидный отросток, намет мозжечка, сосудистые сплетения желудочков, IV желудочек, конвекситальная поверхность мозга и др. Дифференциальную диагностику проводят со злокачественными менингиомами, гемангиоперицитомами, хондромиксоидными фибромами, метастазами опухолей других органов и артериовенозными мальформациями (АВМ).
Несмотря на имеющееся сходство клинико-визуализационных данных с описанными новообразованиями, ряд особенностей позволяют отличить ХС от других опухолей. В нашей статье представлено клиническое наблюдение лечения пациентки с хондросаркомой большого серповидного отростка (falx cerebri), или фалькс-хондросаркомой.
Клинический случай
Пациентка М., 31 год, в течение 3 лет отмечает ощущение «приливов жара» в заднелобной области с обеих сторон, снижение памяти на текущие события. В июне 2018 г. появилась интенсивная головная боль. По настоянию пациентки выполнена магнитно-резонансная томография головного мозга, обнаружено объемное образование, прилегающее к большому серповидному отростку и верхнему сагиттальному синусу (ВСС). Обратилась к нейрохирургу. При первичном осмотре отчетливой неврологической симптоматики не было. Дифференциальную диагностику проводили между гистиоцитомой, гистиоцитозом Лангерганса, хондромой, менингиомой, астроцитомой. С учетом необходимости гистологической верификации, а также размеров опухоли 06.08.18 г. проведена операция удаления этого новообразования с ультразвуковой навигацией в ФГАУ «Национальный медицинский исследовательский центр нейрохирургии им. акад. Н.Н. Бурденко».
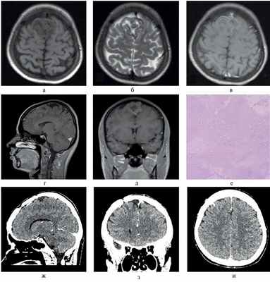
Трепанация в заднелобной области размерами 6×8 см. Твердая мозговая оболочка (ТМО) не повреждена, инфильтрирована опухолью. Произведен дугообразный разрез ТМО справа от ВСС. С другой стороны ТМО вскрыта крестообразно. С обеих сторон обнаружено твердое патологическое образование. Опухоль имела внемозговой характер роста, исходила из боковой стенки ВСС и большого серповидного отростка, была светло-серого цвета, с неровной поверхностью и имела хрящевидно-костную плотность. Опухоль отделили от окружающей мозговой ткани тупым путем и удалили кускованием при помощи высокоскоростного бора и костных кусачек. Образовавшиеся в процессе удаления вследствие инфильтративного роста опухоли в ТМО дефекты стенки синуса ушиты, стенки ВСС дополнительно смоделированы при помощи прилегающей ТМО. Проходимость ВСС сохранена. Участки пораженной опухолью конвекситальной ТМО иссечены. Пластика образовавшихся здесь дефектов выполнена свободными надкостничными лоскутами. Неизмененный костный лоскут уложен на место, фиксирован швами. Объем кровопотери — около 600 мл.
Послеоперационный период протекал гладко, пациентка выписана в удовлетворительном состоянии на 9-е сутки после операции (см. рисунок).

Предоперационные магнитно-резонансные томограммы в T1 (а); T2 (б); T1 с контрастным усилением (в—д). Гистологическая картина микропрепарата (е), окраска гематоксилином и эозином, увеличение ×100. Компьютерные томограммы с контрастным усилением через 6 мес после операции (ж—и).
Результат патологоанатомического исследования биопсийного материала — атипическая хрящевая опухоль/ХС WHO Grade I (ICD-0 code 9220/1).
ХС — редкая и медленнорастущая злокачественная опухоль, происходящая из хрящевой ткани. Обычно ХС локализуется в эпифизах трубчатых костей и костей таза [1]. Она является третьей по частоте среди первичных злокачественных новообразований костей после миелом и остеосарком [2]. Первичные внутричерепные ХС крайне редки и составляют около 0,15% всех внутримозговых опухолей, при этом частота их выявления составляет 0,02 на 100 тыс. населения в год [3—5]. Почти 75% внутричерепных ХС происходят из синхондрозов костей основания черепа [5]. Другими, более редкими локализациями могут быть большой серповидный отросток, намет мозжечка, сосудистые сплетения желудочков, IV желудочек, конвекситальная поверхность мозга, таламус [5—7], орбита [8, 9]. Большой серповидный отросток является наиболее редкой локализацией для ХС, не связанных с основанием черепа [6]. При этом у детей и взрослых ХС указанных, наиболее часто встречающихся внескелетных локализаций, выявляются с одинаковой частотой, кроме позвоночного канала и орбит. Опухоли этих образований встречаются чаще у детей, с одинаковой частотой у мальчиков и девочек [10].
Пик выявления приходится на 2—3-ю декады жизни с наибольшим преобладанием частоты у женщин [11], в 4-й и 5-й декадах жизни опухоль встречается с одинаковой частотой у мужчин и женщин [1, 12].
Несмотря на то что большинство ХС — первичны, эти опухоли также часто встречаются у пациентов с болезнями Оллье и Педжета, синдромом Маффуччи и остеохондромами [5, 13]. Синдром Маффуччи часто путают с болезнью Оллье, синонимично названной «множественным энхондроматозом», составляющими которой являются множественные энхондромы без гемангиом [14].
Гистогенез ХС до сих пор не до конца ясен. Предполагается, что ХС основания черепа происходят из низкодифференцированных клеток или хондроцитов синхондрозов основания черепа [13], а опухоли более редких внескелетных локализаций (большой серповидный отросток, сосудистые сплетения) — из плюрипотентных клеток ТМО [5, 15] или из фибробластов ТМО [16]. Некоторые авторы считают, что источником возникновения первичных паренхиматозных ХС могут быть эктопированные эмбриональные предшественники хондроцитов или примитивные мультипотентные мезенхимальные клетки в оболочке или стенке сосудов [7, 16]. В целом клиническая картина ХС не отличается от других внемозговых опухолей и может быть представлена общемозговой (головная боль, головокружение) [4, 13] и очаговой неврологической симптоматикой (глазодвигательные нарушения, парезы, эпилептические приступы и др.) [4, 6, 13, 17—19].
По данным нейровизуализации можно отметить несколько отличительных признаков ХС. На компьютерных томограммах эти опухоли выглядят изоденсными или иногда гиперденсными с различной гетерогенностью сигнала [5, 6].
Согласно данным литературы, на магнитно-резонансных томограммах эти опухоли чаще всего имеют гипоинтенсивный сигнал на T1 и гиперинтенсивный на T2-взвешенных изображениях с очагами низкого сигнала. Окружающий вазогенный отек, как правило, умеренно выражен. На снимках, выполненных с контрастным усилением, имеется характерная картина отчетливого гетерогенного контрастирования, которое большинство авторов описывают как вид «пчелиных сот» [3, 5, 7, 15, 16, 20—23].
Для ХС характерно наличие очагов кальцификации, видимых при нейровизуализации, однако у ХС большого серповидного отростка они могут быть менее выражены [15]. В соответствии с полученными клиническими и рентгенологическими данными, дифференциальный диагноз ХС проводится со злокачественными менингиомами, гемангиоперицитомами, хондромиксоидными фибромами, метастазами опухолей других органов и АВМ [5, 6]. Мезенхимальные ХС хорошо васкуляризованы и могут потребовать предварительной эмболизации [16].
Несмотря на имеющееся сходство с описанными новообразованиями, ряд конкретных признаков позволяют отличить ХС большого серповидного отростка от других опухолей. В частности, ХС имеют неоднородно интенсивный сигнал на T2-взвешенных изображениях с очагами низкого сигнала в зонах высокой дифференцированности хрящевой ткани (несмотря на отсутствие кальцификации), видимую границу с мягкой мозговой оболочкой, вид «пчелиных сот» и низкую перфузию. Эти признаки отличают ХС от менингиом и гемангиоперицитом. Невыраженный вазогенный отек позволяет отличить их от глиобластом и метастазов, для которых он характерен, а низкая васкуляризация или практически полное ее отсутствие у типичных ХС — от АВМ [5, 19, 21, 23—25].
Хирургическое лечение является приоритетным методом лечения ХС. Его цель — максимально радикальное удаление и гистологическая верификация с определением степени злокачественности опухоли, что является важным прогностическим фактором. Большинство авторов рекомендуют проводить адъювантное лучевое лечение (стереотаксическую радиохирургию, протонную терапию, радиохирургию с использованием установки Гамма-нож), что доказанно увеличивает безрецидивную выживаемость, особенно у пациентов, у которых не достигнуто полное удаление опухоли [5, 15, 16, 20, 22]. Химиотерапевтическое лечение не проводится вследствие нечувствительности опухоли к нему [10].
Согласно более ранней классификации, гистологически ХС разделяли на классический, мезенхимальный и миксоидный подтипы [7]. В современных публикациях выделяют 4 подтипа этой опухоли: типичный, мезенхимальный, светлоклеточный и дедифференцированный (conventional, mesenchymal, clear cell и dedifferentiated в иностранной литературе) [26].
Типичный подтип содержит гиалиновые или миксоидные зоны или их комбинации. Гиалиновый компонент описывается как новообразованные хондроциты, которые находятся в лакунарных пространствах, окруженных гиалиновым матриксом. Миксоидный компонент включает в себя области, окруженные пенисто-муцинозным матриксом [27, 28]. Мезенхимальный и дедифференцированный подтипы более редкие, характеризуются большей анаплазией и являются более агрессивными. Светлоклеточный подтип («злокачественная хондробластома») выявляется чрезвычайно редко (описано всего несколько клинических случаев опухолей головы и шеи, которые чаще встречались у мужчин среднего возраста) [26, 28—30].
ХС в зависимости от их плотноклеточности и ядерной атипии разделяются на 3 категории (Grade): Grade I — высоко дифференцированные, Grade II — умеренно дифференцированные и Grade III — низко дифференцированные [26, 28].
ХС с различной частотой могут давать локальные рецидивы. Частота и выживаемость зависят от подтипа опухоли. Так, по данным некоторых обзоров, у пациентов с мезенхимальным подтипом ХС 5-летняя летальность выше, чем у пациентов с типичным подтипом. Показатели 1-, 3- и 5-летней безрецидивной и общей выживаемости при типичном подтипе ХС составили 86, 53, 42% и 93, 70, 56% соответственно [20]. Это совпадает с данными других авторов, которые указывают на 5-летнюю общую выживаемость 42—68%, а 10-летнюю — от 28 до 32% [16].
Описанная выше классификация ХС по степени злокачественности очень важна, поскольку отражает прогноз заболевания, основанный на совокупности данных о биологии опухоли. Наименее часто локальные рецидивы встречаются у опухолей Grade I (15%), наиболее часто — у опухолей Grade III (33%). Частота рецидивов опухолей Grade II составляет 16% [16, 31].
Пятилетняя безрецидивная выживаемость у пациентов, получивших стереотаксическое радиохирургическое лечение после хирургического удаления опухоли, составила 88,9%, что выше, чем у пациентов, получивших после операции радиотерапию в стандартном режиме (58,3%) и не получавших ее (51,7%) [3]. При сравнении групп пациентов, получивших только лучевое лечение и комбинированное лечение (хирургическое и лучевое), выявлено, что частота рецидивов статистически значимо выше в первой из них (44% по сравнению с 9%) [31]. Отмечено, что ХС чрезвычайно редко дают отдаленные метастазы. При этом существуют описания этих редких клинических случаев, в которых обнаруживались дистантные метастазы в поясничные позвонки, ребра, сердце, органы брюшной полости. Предполагается, что метастазирование возможно по экстракраниальным кровеносным сосудам, поврежденным в процессе операции. Не исключена и возможность метастазирования по венозным синусам при их повреждении. Описан также случай лептоменингеальной диссеминации опухоли после лечения [12, 16, 32].
В таблице представлен список публикаций в мировой литературе, включающих описание клинических случаев ХС большого серповидного отростка [1, 5, 6, 15, 16, 23, 33—46].
Публикации в мировой литературе, включающие описание клинических случаев фалькс-хондросаркомы
Миксоидная хондросаркома. Эмбриональная хондросаркома.
М.Д. Алиев
Российский онкологический научный
центр им. Н.Н. Блохина РАМН, г. Москва
Онкологическая ортопедия — мультидисциплинарная наука, появившаяся в конце XX в. и объединившая в себе новейшие достижения онкологии. Научные и практические достижения школы академика Трапезникова Н.Н. послужили всеобщему признанию онкоортопедии. Химиотерапия, радиотерапия, ортопедия, травматология, общая хирургия, микро- и сосудистая хирургия, реконструктивная восстановительная хирургия, нейрохирургия, патоморфология, лучевая диагностика – это далеко не весь перечень специальностей составляющих онкологическую ортопедию. Специалисты, занимающиеся диагностикой и лечением опухолей опорно-двигательного аппарата, должны владеть широкими знаниями и навыками в различных разделах фундаментальной и прикладной медицинской науки.
Отличительной особенностью современной онкоортопедии является тесное сотрудничество клиницистов различных специальностей – хирургов, патоморфологов, радиологов, нейрохирургов, химиотерапевтов, ортопедов, и именно это позволяет в результате мультидисциплинарного подхода получить хорошие результаты всего лечения.
В течение последних 20 лет тактика лечения сарком костей и мягких тканей претерпела значительные изменения. Использование современных методов лекарственной, лучевой терапии и расширенных хирургических вмешательств при метастатическом поражении костей, наряду с первичными опухолями, привело к резкому увеличению контингента пациентов, нуждающихся в онкоортопедическом пособии. С применением комбинированных методов лечения с использованием химиотерапии и лучевой терапии удалось значительно увеличить результаты общей и безрецидивной выживаемости у этой группы больных. Реальное улучшение качества жизни пациентов с вторичными поражениями длинных трубчатых костей, позвоночного столба, костей таза приводит к расширению возможностей дальнейшей терапии больных раком молочной железы, почки, легких, колоректального рака, лимфом и т. д.
В то же время прослеживается тесное сотрудничество клиницистов с представителями фундаментальных наук.
Только совместные усилия единой команды специалистов – патологи, биохимики, диагносты, химиотерапевты, ортопеды, микрохирурги, пластические хирурги, неврологи, нейрохирурги, лучевые терапевты и т. д., могут привести к улучшению результатов лечения сарком костей и мягких тканей.
Для дальнейшего кооперирования разных специалистов в различных клиниках нашей страны в 2009 г. создана «Восточно-европейская группа по изучению сарком». Основной задачей единомышленников является улучшение качества оказания высокотехнологичной медицинской помощи больным саркомами костей, мягких тканей и опухолями кожи на территории Российской федерации и стран СНГ, а также научная и образовательная деятельность в этой сфере.
Стандартизация диагностических и лечебных походов позволит резко улучшить качество оказания медицинской помощи больным с злокачественными опухолями костей, мягких тканей и кожи. Использование единых систем классификации, стадирования, шкал оценок эффективности лечения, показаний к различным методам лечения, онкологических, функциональных эстетических результатов существенно облегчит коммуникацию различных клиник. Все это позволит грамотно и на одном языке излагать резуль таты терапии, проводить совместные научные, клинические исследования.
Злокачественные опухоли мягких тканей
Саркомы – сравнительно редкая группа опухолей. В России регистрируется около 10 000 новых случаев, что составляет 1% всех злокачественных новообразований. Заболеваемость составляет 30 случаев на 1 000 000 населения и 80% составляют саркомы мягких тканей. В детском возрасте частота выше и составляет 6,5%.
Гистологический спектр сарком очень широк, это объясняется тем, что они происходят из эмбриональных мезенхимальных клеток, которые впоследствии могут дифференцироваться в клетки поперечно-полостатой, гладкой мускулатуры, жировую или соединительную ткань, кости или хрящи. К саркомам мягких тканей принято также относить опухоли периферических нервов, которые имеют эктодермальное происхождение, но схожи по тактике лечения, клинике и прогнозам с саркомами мягких тканей.
В настоящее время выделяется более 50 различных гистологических подвидов, обладающих вариабельной чувствительностью к многокомпонентному лечению, что требует кардинально отличающихся лечебных подходов и алгоритмов. Саркомы, объединенные в одном гистологическом варианте, но имеющие разную степень злокачественности G1–G3, представляют собой три абсолютно разные по течению, прогнозу и лечебной тактике опухоли.
С конца прошлого века верифицированный диагноз «диссеминированная саркома мягких тканей» для большинства химиотерапевтов означал, что необходимо следовать определенному алгоритму лечебных мероприятий, в наши дни эта концепция полностью изменилась. Сейчас без гистологического и иммуногистохимического определения типа саркомы с указанием степени злокачественности построение лечебной тактики просто невозможно.
В табл. 1 представлены данные по частоте встречаемости различных гистологических подтипов за последние 20 лет.
Важное место в изучении мягкотканых сарком занимает гистологическая техника. Идентификация гистиопринадлежности опухоли в ряде случаев возможна только с исправлением электронной микроскопии, иммуноморфологических методов, исследовании некоторых маркеров к элементам цитоскелета.
Опухоли из жировой ткани
- Дедифференцированная липосаркома
- Миксоидная липосаркома
- Плеоморфная липосаркома
- Круглоклеточная липосаркома
- Смешанная липосаркома
Опухоли фиброгистиоцитарного ряда
- Плеоморфоная злокачественная фиброзная гистиоцитома/недифференцированная плеоморфная саркома
- Гигантоклеточная злокачественная фиброзная гистиоцитома/дедифференцированная плеоморфная саркома с гигантскими клетками
- Злокачественная фиброзная гистиоцитома с выраженным воспалительным компонентом/недифференцированная плеоморфная саркома с выраженным воспалительным компонентом

ЗФГ - злокачественная фиброзная гистиоцитома
Хондросаркома

Среди злокачественных новообразований, которые поражают человеческий скелет, хондросаркома является наиболее распространенным случаем. Состоит такая опухоль из хрящевой ткани. Чаще всего опухоли появляются в плечевом поясе, а также в тазобедренной части. Она поражает ключицу, лопатку, а затем переходит и на трубчатые кости. Повреждает целые кости, и иногда развивается из доброкачественного образования. На участке с онкопроцессом появляется припухлость, возникают болевые ощущения. В процессе развития заболевания возникает покраснение, повышается температура на поражённом участке и развивается расширение вен, сустав частично теряет способность двигаться.
Развитие заболевания происходит у каждого человека индивидуально. Иногда процесс происходит медленно и связан с процессами неонкологической природы, а иногда - быстро, с развитием метастазов.
Удаляют путем хирургического вмешательства вместе с соседствующими с опухолью тканями.
Прогрессирует заболевание чаще всего у людей после 40 лет. Больше этому виду рака подвержены мужчины. Код болезни С41 по классификации МКБ10.
Разновидности и степени
Хондросаркома может быть двух типов:
Первичный. В этом случае развивается центральный очаг (1а) и болезнь поражает скелет изнутри. Если очаг периферический, костная ткань поражается на поверхности (1b). Практически в абсолютном большинстве случаев заболевание можно выявить.
Вторичный. Это случаи, когда доброкачественное образование перерастает в злокачественное. Это препятствует выявлению болезни.
Ткани опухоли берут на анализ, после чего определяется степень развития болезни:
1 степень. Хрящеподобные ткани с содержанием хондроцитов преобладают в составе межклеточного вещества. Клетки не делятся. Код T1bNOMO.
2 стадия. Происходит скопление злокачественных клеток в области периферии долек. В этом случае межклеточное вещество становится миксоидного вида.
3 стадия. На этом этапе межклеточное вещество такого типа, как на второй стадии развития. Его клетки группируются, их форма становится неправильной, как правило, звездчатой. Клеточные ядра увеличиваются в размерах. В каждой клетке их несколько, они делятся. Происходит отмирание ткани, развитие и распространение метастазов.
Юкстакортикальная хондросаркома чаще всего формируется в кости бедра, но иногда и в плечевой. Может быть в костях стопы или же в рёбрах. Опасность заключается в том, что симптомы не проявляются. Происходит разрушение кортикальной пластинки. Постепенно склеротическая ткань заменяет здоровую. Иногда возникают боли. Костный мозг опухолью не поражается.
Чаще всего встречаются случаи хондросаркомы на бедренной кости. Развивается эта проблема медленно. Обычно человек считает, что это боль от какого-либо неонкологической заболевания, и в результате обращается за медицинской помощью поздно. В течение этого периода в тканях сустава происходят процессы разрушения. Это приводит к возникновению боли при движении. Органы малого таза также могут поражаться онкологией. Если новообразование давит на мочевой пузырь, выведения мочи становится более проблемным.Это приводит к воспалению ткани и иным проблемам.
У людей после 40 могут встречаться случаи онкологии челюсти. При расположении опухоли в верхней челюсти операцию провести гораздо сложнее, так как высока вероятность повредить близко расположенные органы. Носоглотка и небо попадают под влияние.
Этот вид рака устойчив к лечению методом химиотерапии. Лечат его путем андротерапии. В результате воздействия тяжёлых частиц раковые клетки начинают разрушаться.
Если новообразования формируются в позвоночнике, наблюдается длительное постепенное нарастание болей. В пораженном месте просматривается припухлость. Если новообразование находится внизу позвоночника, человек ощущает боль в процессе ходьбы. Иногда оно переходит и на ребра.
При появлении злокачественного образования в грудном отделе происходит сдавливание нервов. Ощущается боль в районе сердца. Это приводит к тому, что человек предполагает заболевание сердца, в то время как настоящее заболевание прогрессирует. Злокачественную опухоль можно рассмотреть на обычном рентгеновском снимке.
Мазензимальное новообразование на позвоночнике является редким явлением. Это видоизменение хрящевых участков, которое представляет опасность для костной ткани. В этом случае чувствуется ярко выраженная боль.
При развитии опухоли в гортани происходит нетипичный процесс. Опухоль нелегко выявить и вылечить. В районе щитовидного хряща и шеи развивается узел. Человек во время глотания испытывает болевые ощущения.
При новообразовании в носу человеку трудно дышать. С внешней стороны формируется уплотнение, которое выглядит не эстетично. В носу образуется гной с содержанием крови.
Если же опухоль развивается в грудине, возможна онкология лёгких. Если проблема будет вовремя диагностирована, то в случае правильного лечения ближайшие органы не будут задеты.
У детей заболевание проявляется так же.
Сиптомы
В зависимости от стадии заболевания проявляются различные симптомы. В случае высокого дифференцирования в пораженной области клеток болезнь может прогрессировать в течение нескольких лет. Чаще всего страдают люди возрастом от 30 лет. Долгое время человек ощущает незначительную боль в районе возникновения опухоли, которая постепенно прогрессирует. Особенностью являются боли в ночное время, которые не затухают во время отдыха. Боль утихает после приема обезболивающего, но затем возвращается снова.
В процессе развития размер опухоли увеличивается, и постепенно она становится более заметной в области поражения. На ощупь это место становится горячим. Во время пальпации пациент испытывает дискомфорт.
Низкодифференцированное онкологическое заболевание быстро прогрессирует. Уже через несколько месяцев человек вынужден обратиться за медицинской помощью. Симптомы схожи с дифференцированным заболеванием. Обезболивающие препараты не помогают уменьшить боль, которая постепенно нарастает. Опухоль увеличивается быстрее по сравнению с первым вариантом развития. В результате сустав становится менее подвижным. От этого вида саркомы могут страдать молодые люди. Высока вероятность рецидива болезни.
Опухоль растет, оказывая влияние на близко расположенные ткани. К примеру, при саркоме крестца новообразование оказывает давление на находящиеся в этой области седалищные нервы. При этом человеку больно ходить. Опухоль разрастается до копчиковой кости, и боль чувствуется на ягодице и в задней области бедра.
Особенности распространения метастаз
Если новообразование развивается продолжительное время, клетки рака проникают в кровь. В разных органах могут появляться метастазы, в том числе мозге и печени. В результате развивается внескелетная форма онкологического заболевания.
Когда поражаются мягкие ткани в организме, происходит внедрение онкологического заболевания, от которого будет непросто избавиться. Метастазы по организму распространяться стремительно, отрицательно сказываясь на работе органов.
Методы исследования
Когда человек обращается к врачу, рассказывая подробно о своих симптомах, назначается рентгенологическое обследование. На рентгенограмме можно рассмотреть очаги новообразования. На снимке видна опухоль, как правило, неправильной формы. Неравномерно плотную область тканей соединяет кость с опухолью.
Из разных мест опухоли берут материал для исследования. Степень развития можно определить путем гистологии.
После проведения КТ и исследования МРТ можно выявить очаги заболевания и видоизменения кости.
Проводится рентген области грудной клетки, чтобы исключить наличие в легких метастаз. Такие исследования назначаются и детям.
Методики лечения
Лечение назначает онколог. Этот вид рака очень плохо поддается лучевой и химиотерапии. Новообразование удаляют только хирургическим путем с последующей поддерживающей терапией.
Например, при поражении болезнью правого бедра производится иссечение ткани новообразования, а также соседних тканей. Это необходимо для профилактики рецидивов.
В месте локализации ставят протез или пластину. Такое лечение назначается на 1-й и 2-й стадии. В более сложной ситуации ампутируют ногу.
Хирурги удаляют опухолевые клетки полностью. Чтобы операция была максимально результативной, иссекаются также и здоровые участки тканей, расположенные около опухоли.
После хирургического вмешательства назначается терапия, стимулирующая иммунитет, а также химиотерапия. Выживаемость после операции составляет 90% в случае первой стадии заболевания. При более тяжёлых стадиях прогнозируют 30-60%.
Не существует рекомендаций по профилактике этого вида онкологических заболеваний. Считается, что болезнь начинает развиваться в результате нарушений в ДНК. Чтобы восстановить здоровье, необходимо своевременно обращаться за медицинской помощью, не надеяться на самолечение.
Методики лечения хондросаркомы в Израиле
Основной метод борьбы с раком хрящевых тканей – хирургическое вмешательство. Путем операции удаляют опасную опухоль. Это предотвращает ее развитие и распространение заболевания по организму. Хирург при операции иссекает не только новообразование, но и окружающие не пораженные ткани.Это необходимо, чтобы отдельные клетки рака не попали в рану. Это уменьшит риск повторного развития заболевания.
В случае расположения очага внутри трубчатой кости, как правило, выполняется также резекция ее концов.
Такие операции выполняют с использованием эндоскопического оборудования. Делается несколько проколов небольшого размера. Это позволяет уменьшить область повреждённых тканей, предотвратить осложнения при операции и после нее. Кроме того, период восстановления проходит быстрее, а поражённая кость остаётся целой.
Участки кости, которые были удалены вместе с новообразованием, заменяются какими-либо трансплантатами. Это могут быть как собственные кости человека, так и качественные имплантаты, отличающиеся высокой прочностью и долговечностью, а также хорошей биосовместимостью, или эндопротезы.
Читайте также:
