Миоклония
Добавил пользователь Владимир З. Обновлено: 03.11.2025
Казанский государственный медицинский университет
Кафедра неврологии и реабилитации Казанского государственного медицинского университета
Межрегиональный клинико-диагностический центр, Казань
Казанский государственный медицинский университет
Кафедра неврологии, нейрохирургии и медицинской генетики Казанского государственного медицинского университета
Республиканская клиническая больница №2, Казань
Спинальная сегментарная миоклония при рассеянном склерозе (наблюдение из практики)
Журнал: Журнал неврологии и психиатрии им. С.С. Корсакова. Спецвыпуски. 2014;114(2‑2): 48‑54
Хафизова И.Ф., Залялова З.А., Баранова Е.А., Хакимова А.Р., Якупов Э.З., Гафуров М.С. Спинальная сегментарная миоклония при рассеянном склерозе (наблюдение из практики). Журнал неврологии и психиатрии им. С.С. Корсакова. Спецвыпуски. 2014;114(2‑2):48‑54. 
Khafizova IF, Zalialova ZA, Baranova EA, Khakimova AR, Iakupov ÉZ, Gafurov MS. Spinal segmental myoclonus in multiple sclerosis (case report). Zhurnal Nevrologii i Psikhiatrii imeni S.S. Korsakova. 2014;114(2‑2):48‑54. ().
Казанский государственный медицинский университет
Рассеянный склероз (РС) характеризуется развитием множества очагов демиелинизации в мозге, обусловливающих соответствующую клиническую симптоматику. Некоторые симптомы могут быть нетипичными и затруднять диагностику заболевания. Гиперкинезы в виде спинальных миоклоний - крайне редкое проявление РС. Причиной их возникновения служат очаговые поражения спинного мозга. Очаги демиелинизации также могут служить причиной развития спинальных подергиваний. В статье описан случай необычного проявления РС с клинической картиной спинальной сегментарной миоклонии. Высказано предположение, что причиной возникновения гиперкинезов послужили очаги в шейном отделе спинного мозга.
Казанский государственный медицинский университет
Кафедра неврологии и реабилитации Казанского государственного медицинского университета
Межрегиональный клинико-диагностический центр, Казань
Казанский государственный медицинский университет
Кафедра неврологии, нейрохирургии и медицинской генетики Казанского государственного медицинского университета
Республиканская клиническая больница №2, Казань
Больной А., 33 лет, работает инженером, левша. Из анамнеза жизни: наследственность пациента не отягощена. В 10-летнем возрасте отмечал развитие слабости и чувства онемения в левых конечностях, по поводу чего был госпитализирован в неврологическое отделение детской больницы с диагнозом «Острое нарушение спинномозгового кровообращения». На фоне проведенного лечения симптоматика в течение полугода полностью регрессировала, после чего больного ничего не беспокоило.
Около 3 лет назад, в возрасте 30 лет, пациент обратил внимание на периодические «подергивания» в левых кисти, предплечье и плече. Такие подергивания отмечались 2-3 раза в неделю, при целенаправленных движениях, носили спонтанный характер и учащались при волнении. Пациент не мог сдержать или уменьшить эти насильственные движения какими-либо приемами или усилием воли. Яркий свет и громкие звуки также не оказывали на подергивания никакого влияния. Поскольку выраженность насильственных движений, по оценке пациента, не была значительной, то он не обращался за медицинской помощью. С течением времени подергивания в левой руке стали возникать чаще, иногда вне зависимости от активных движений, они уже беспокоили больного в покое и сохранялись во сне. Увеличение амплитуды насильственных движений заставило пациента оставить работу и обратиться за медицинской помощью. Подергивания усиливались при эмоциональных нагрузках и уменьшались после приема алкоголя. Другие внешние факторы влияния на них не оказывали. Приступов с потерей сознания у пациентов не было.
При обследовании больного в соматическом статусе патологии обнаружено не было. При неврологическом осмотре регистрировалось легкое нарушение ассоциированных движений глазных яблок без двоения и нистагма, наблюдалась легкая сглаженность правой носогубной складки. Выявлялась гиперестезия стоп с двух сторон с уровня голеностопных суставов, гипестезия левого мизинца кисти и нижней трети внутренней поверхности левого предплечья, причем активных жалоб на изменение чувствительности пациент не предъявлял. Вибрационное и мышечно-суставное чувство было сохранно, мышечная сила - достаточной. Сухожильные рефлексы с верхних конечностей носили обычный характер, с нечетким преобладанием слева, коленные и ахилловы рефлексы были оживлены. Подошвенные рефлексы имели сгибательный тип, брюшные отсутствовали. Пальценосовую пробу слева пациент выполнял с кинетическим тремором, без интенционного компонента. Тандемная ходьба не была нарушена. Дисдиадохокинез, асинергия Бабинского и тазовые нарушения не выявлялись.
В плечевом поясе слева и левой руке фиксировались насильственные движения - толчкообразные подергивания в виде резкого попеременного сокращения мышц плеча, предплечья, разгибателей кисти и сгибателей пальцев кисти, что приводило к периодическому возникновению то умеренного (на 20-25°) разгибания в плечевом, то сгибания в локтевом (на 10-15°), то к одновременному разгибанию в лучезапястном суставах и сгибанию пальцев кисти. Особенно ярко гиперкинез проявлял себя при вытягивании рук вперед и удержании их в данном положении, с частотой до 10 в минуту. В покое выявлялись редкие гиперкинезы вышеописанного характера, но значительно меньшей амплитуды. Гиперкинез мешал пациенту совершать точные движения - он не смог написать свою фамилию. Резкий шум (хлопанье в ладоши), постукивание (по мышцам, сухожилиям) и свет не вызывали усиления миоклоний.

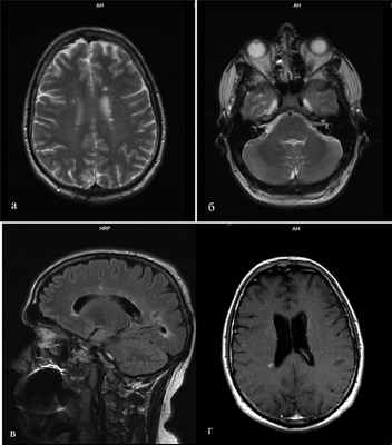
Лабораторные анализы крови и мочи были в норме. По результатам магнитно-резонансной томографии (МРТ) головного и спинного мозга были выявлены множественные очаги демиелинизации величиной 3-7 мм, гиперинтенсивные на Т2-взвешенных изображениях (Т2-ВИ) и гипоинтенсивные на Т1-взвешенных изображениях (Т1-ВИ), локализующиеся в белом веществе больших полушарий мозга, перивентрикулярных и подкорковых отделах, мозолистом теле. Аналогичный единичный очаг наблюдался в правом полушарии мозжечка (рис. 1). Рисунок 1. МРТ головного мозга. Множественные очаги демиелинизации, гиперинтенсивные на Т2-ВИ. a - локализующиеся в белом веществе больших полушарий мозга, перивентрикулярных и подкорковых отделах; б - аналогичный единичный очаг регистрируется в правом полушарии мозжечка; в - очаги перивентрикулярно и в мозолистом теле; г - МРТ через 3 мес, по сравнению с предшествующими результатами выявлено появление новых очагов демиелинизации; очаг у заднего рога правого бокового желудочка накапливает контрастное вещество.

На уровне сегмента С2 определялись 2 интрамедуллярных очага без четких контуров, слабогиперинтенсивные на Т2-ВИ и изоинтенсивные на Т1-ВИ, размерами 4×6 и 4×7 мм. Не исключалось наличие аналогичного очага на уровне сегментов С4-С5 и С5-С6 шейного отдела спинного мозга (рис. 2). Рисунок 2. МРТ спинного мозга. На уровне сегмента С2 определяется 2 интрамедуллярных очага без четких контуров, слабо гиперинтенсивные на Т2-ВИ; не исключается наличие аналогичных очагов на уровне сегментов С4-С5 и С5-С6 шейного отдела спинного мозга (указано стрелками).

При электроэнцефалографии патологии выявлено не было. Во время непроизвольных сокращений мышц левой руки патологических изменений на ЭЭГ не регистрировалось. Игольчатая электромиограмма (ЭМГ) выявила разряды из нескольких двигательных единиц m. extensor dig. com. слева (сегмент С7), продолжительность разряда 70 мс и амплитуда 1400 мкВ. При проведении исследования в других мышцах, иннервируемых другими сегментами, ответы не были получены (рис. 3). Рисунок 3. Игольчатая ЭМГ. Разряд с m. extensor dig. сom. продолжительностью 70 мс и амплитудой 1400 мкВ (в других мышцах из других сегментов ответы не были получены). При стимуляционной ЭМГ было выявлено нарушение проведения по моторным волокнам левой руки на уровне локтя (туннельный синдром), по нервам левой руки изменений обнаружено не было.
Для верификации диссеминации патологического процесса во времени и установления достоверного диагноза РС пациенту было проведено повторное МРТ-исследование головного мозга через 3 мес. По сравнению с предшествующими результатами МРТ отмечалось появление новых очагов демиелинизации слева в перивентрикулярном отделе и у заднего рога правого бокового желудочка; при введении контраста последний очаг накапливал контрастное вещество (омнискан) (см. рис. 1). Согласно критериям Макдональда [13], пациенту был выставлен диагноз: РС, ремиттирующее течение. Через 3 мес гиперкинезов в руке выявлено не было.
Рассматривая представленное наблюдение, следует еще раз отметить, что спинальные миоклонии (СМ) - довольно редкие формы гиперкинезов. Они могут быть разделены на сегментарные и проприоспинальные 19. Это разделение основывается на сегментарном строении спинного мозга и связях сегментов посредством проприоспинального пути. Спинальные сегментарные миоклонии (ССМ) представляют собой непроизвольные движения, вовлекающие в гиперкинез мышцы, которые иннервируются одним или несколькими соседними сегментами спинного мозга [17, 20-22].
В приведенном наблюдении миоклонии локализовались в одной руке. Если проанализировать всю кинетику имевшегося гиперкинеза, то движения, составлявшие гиперкинез, а именно разгибание плеча (m. deltoideus, m. supraspinatus); сгибание в локтевом суставе (m. biceps brachii, m. brachialis, m. brachiradialis); разгибание кисти (m. extensor carpi radialis longus, m. extensor carpi radialis brevis, m. extensor dig. com.); сгибание пальцев кисти (m. flexor digitorum superficialis) обеспечивались мышцами, иннервация которых осуществляется несколькими соседними сегментами С5-С7 [23]. Соответственно у пациента наблюдались ССМ.
В большинстве случаев ССМ являются симптоматическими, и в их основе лежат очаги в спинном мозге, обусловленные каким-либо первичным заболеванием - инфекцией 26, опухолью [27], артериовенозной мальформацией [28], сирингомиелией [16], острым рассеянным энцефаломиелитом [29], вертебральной патологией [28], ятрогенией [125] и т.д. [10, 30-35]. Напомним, что у наблюдаемого больного обнаруживались очаги демиелинизации на уровне сегментов С2, С4, С5, С6 шейного отдела спинного мозга, и именно эти очаги могли служить причиной возникновения миоклонических подергиваний сегментарного характера (см. рис. 2).
Клинически ССМ чаще всего нерегулярные или же могут быть ритмичными с частотой 0,2-8 Гц и интенсивностью 1-600 в минуту [10, 16, 22, 30, 32, 36]. Амплитуда также разнообразна - от едва заметных сокращений отдельных мышц или группы мышц до интенсивных движений в суставах [8]. Тема сегментарных миоклоний при РС освещена в литературе очень скудно ввиду редкости данного состояния. J. Jankovic и R. Pardo [10] приводят описание 5 больных РС, у которых обнаруживался сегментарный гиперкинез стволового происхождения в виде небной миоклонии. Миоклонический гиперкинез у пациента с РС в наблюдаемом нами случае носил периодический, неритмичный характер, с интенсивностью до 10 раз в минуту и приводил к визуальному насильственному движению в суставах левой руки.
Проприоспинальные миоклонии (ПСМ) - второй вид СМ, который отличается от ССМ вовлечением в гиперкинез большего количества мышечных групп - наряду с конечностями подергивания наблюдаются и в туловище [15-19, 32]. Происходит это ввиду распространения патологической импульсации по проприоспинальному пути, и в гиперкинез последовательно вовлекается множество сегментов спинного мозга [14, 19]. В отличие от СCМ проприоспинальные подергивания чаще не имеют определенной этиологии. Некоторые авторы [17] связывают их возникновение с травмой шеи, опухолью, вирусным миелитом и психогенными факторами. В литературе описан случай лайм-боррелиоза, проявившегося клинически в форме ПСМ [37]. При ПСМ наблюдаются ритмичные или неритмичные аксиальные сгибательные движения, вовлекающие в гиперкинез шею, тело, конечности, с частотой около 1-6 Гц. Гиперкинезы обычно возникают спонтанно, в горизонтальном положении на спине и могут провоцироваться кожной стимуляцией области живота или при вызывании сухожильных рефлексов [17, 19]. У описываемого пациента в гиперкинез была вовлечена только одна рука, туловище и нижние конечности оставались интактными, что говорит скорее о сегментарном характере поражения, без массивного вовлечения проприоспинального пути.
Имеется единичное описание ПСМ при РС [11]. У больной РС периодически, после предшествующих чувствительных ощущений на шее (покалывание), развивались спонтанные нерегулярные подергивания в правых плече и руке. Насильственные подергивания распространялись на туловище и сгибатели бедра с правой стороны. На МРТ авторами были выявлены очаги в шейных сегментах С2, С3, С4. Развитие ПСМ авторы объясняли тем, что очаги в белом веществе могли привести к расторможению спинальной активности, но допускали, что причиной могла быть и гипервозбудимость демиелинизированного аксона, который в таком поврежденном состоянии способен спонтанно или рефлекторно генерировать импульсы патологической мышечной активности.
Для обеих разновидностей СМ характерны сохранение гиперкинезов во сне и относительная устойчивость к внешним стимулам - они не усиливаются под воздействием слуховых, зрительных, тактильных раздражителей и при двигательной активности [10, 14, 16, 27, 30], хотя в литературе и имеются описания случаев ССМ с исчезновением во сне и чувствительностью к внешним раздражителям [22, 31, 32]. Считается, что по мере прогрессирования заболевания может появиться реакция на внешние воздействия [15]. Для СМ более патогномоничен постуральный компонент - усиление гиперкинеза в определенном положении, а также усугубление подергиваний при утомлении и эмоциональных нагрузках [31, 32]. ССМ, наблюдавшиеся у изучаемого пациента, сохранялись во сне, не имели зависимости от слуховых и зрительных стимулов, однако усиливались от эмоциональных нагрузок и утомления, уменьшались на фоне приема алкоголя.
Следующей важной отличительной чертой СМ является отсутствие патологической активности на ЭЭГ. Совместное выполнение ЭЭГ-ЭМГ должно исключить наличие предшествующей мышечному сокращению гипервозбудимости коры [10, 16, 30]. В рассматриваемом случае ЭЭГ не показала очагов гипервозбудимости, что позволило с большой вероятностью исключить корковый характер гиперкинезов.
Поверхностная ЭМГ при СМ позволяет выявить ритмичные или полуритмичные разряды, которые обычно синхронны, со стереотипной продолжительностью и частотой. ЭМГ-исследование при ССМ демонстрирует разряды продолжительностью более 100 мс (до 1000 мс) и ограниченные одним или двумя соседними миотомами. При ПСМ миоклонические разряды могут длиться от 50 мс до 4 с, формируются они из абдоминальных и шейных сегментов и распространяются медленно рострально и каудально, при этом краниальные мышцы остаются интактными. Для ПСМ характерны задержка между разрядами и последовательное их распространение, что обусловлено медленным проведением импульса по проприоспинальному пути [17, 30]. В описываемом нами случае продолжительность разряда составляла 70 мс, что не очень соответствует представленному в литературе описанию сегментарных миоклоний, а больше характерно для проприоспинальных. Однако ни клинически, ни нейрофизиологически мы не наблюдали распространения насильственных сокращений мышц, что с большой вероятностью исключает проприоспинальный характер миоклоний.
Описанное нами наблюдение демонстрирует яркую картину ССМ при РС. Отсутствие эпилептической активности на ЭЭГ, наличие разрядов в мышцах левой руки (сегмент С7), вовлечение в гиперкинез мышц левой верхней конечности, иннервация которых обеспечивается 3-4 соседними сегментами, и, наконец, регистрация очагов демиелинизации в спинном мозге, а именно на уровне сегментов С2, С4, С5, С6 шейного отдела, - все это подтверждает спинальный сегментарный характер миоклоний. Причиной возникновения ССМ, скорее всего, послужили очаги демиелинизации в спинном мозге. Исчезновение гиперкинеза после терапии гормонами укрепляет наше предположение о генезе насильственных движений.
Таким образом, основными опорными пунктами диагностики ССМ в приведенном наблюдении могут служить: 1) вовлечение в гиперкинез ограниченной группы мышц, иннервируемых несколькими соседними сегментами спинного мозга; 2) отсутствие влияния внешних раздражителей (слуховых, зрительных, тактильных) и активных движений на степень выраженности гиперкинеза; 3) сохранность гиперкинезов во сне, усиление их под влиянием утомления и эмоций, появление миоклоний в определенном положении; 4) отсутствие гипервозбудимости на ЭЭГ; 5) патологическая ЭМГ-активность мышц в ограниченных миотомах интенсивностью 70 мс.
Лечение ССМ, в частности при РС, предусматривает терапию основного заболевания - купирование обострения применением глюкокортикостероидов. В случае отсутствия эффекта препаратом выбора считается клоназепам в дозе до 6 мг в сутки [10, 17, 18, 22, 30]. Терапия баклофеном может улучшить ночные миоклонии в ногах [10]. В литературе имеется упоминание об эффективности при СМ топирамата и леветирацетама. Тетрабеназин применяется при отсутствии эффекта от других препаратов [10, 30]. Возможно комплексное применение препаратов, например тизанидина, клоназепама и баклофена [38]. В литературе имеются описания позитивного эффекта ботулинотерапии при СМ [17, 18, 30].
В заключение отметим, что приведенное наблюдение демонстрирует ССМ, как одно из редчайших проявлений РС. Основу этого «нетипичного» симптома РС составлял очаг демиелинизации, расположенный в спинном мозге шейного отдела.
Миоклония
Миоклония – это кратковременное быстрое сокращение мышцы или группы мышц. Диагноз устанавливают на основании клинических проявлений и иногда подтверждают результатами электромиографического исследования. Лечение включает в себя коррекцию обратимых патологических состояний, и при необходимости пероральную симптоматическую терапию.
Классификация миоклонуса
Физиологическая миоклония может наблюдаться во время засыпания и ранних фаз сна (гипнагогическая миоклония). Гипнагогические миоклонии могут быть очаговыми, мультифокальными, сегментарными, или генерализованными (см. ниже), и могут напоминать реакцию испуга. Другой тип физиологических миоклоний - икота (диафрагмальные миоклонии).
Патологические миоклонии могут развиваться при различных заболеваниях, а также при применении лекарственных препаратов (см. таблицу Некоторые причины миоклонуса [Some Causes of Myoclonus] Некоторые причины миоклонуса ). Самыми частыми причинами являются:
Другие причины патологического миоклонуса включают дегенеративные заболевания с поражением базальных ганглиев и некоторые виды деменции.
Выделяют следующие типы амнезий:
По распределению: фокальные, сегментарные (смежные области), мультифокальные (несмежные области) или генерализованные
По месту происхождения: кортикальные, подкорковые, сегментарные или периферические
По клиническим проявлениям: положительные или отрицательные
По своей этиологии: эссенциальные (первичные), приобретенные или идиопатическые
По триггерному фактору: сенсорные или спонтанные
Миоклонус классифицируется по месту возникновения следующим образом:
Кортикальный: кортикальный миоклонус связан с повреждением коры головного мозга или эпилепсией. Световые зрительные раздражители или прикосновения могут спровоцировать миоклонические судороги, которые могут вызвать появление отклонений на электроэнцефалограмме (например, очаговые или генерализованные комплексы пик-волна или множественные эпилептиформные разряды полипик-волна, гигантские соматосенсорные вызванные потенциалы). Миоклонические подергивания могут быть менее явными в состоянии покоя, но усугубляться во время двигательной активности. Этот тип миоклонуса может серьезно ухудшить речь и походку.
Сегментарные и периферические: формы сегментарного или периферического миоклонуса встречаются относительно редко. Сегментарный миоклонус включает спинальный сегментарный и проприоспинальный миоклонус. Спинальный сегментарный миоклонус относится к миоклонусу в спинных мышцах одного или нескольких смежных сегментов спинного мозга. Проприоспинальный миоклонус характеризуется медленно распространяющимися движениями, щадящими лицо, часто внезапными, напоминающими удар, что не характерно для других типов миоклонуса. Нёбный миоклонус, который в настоящее время в основном считается ошибочным обозначением, был классифицирован как тремор неба. Наиболее распространенным периферическим миоклонусом является гемифациальный спазм Гемифациальный спазм Гемифациальный спазм – односторонние безболезненные синхронные сокращения мышц лица вследствие повторяющихся непроизвольных электрических импульсов 7 черепного (лицевого) нерва и/или его двигательного. Прочитайте дополнительные сведения , он возникает в основном из-за сосудистого сдавливания лицевого нерва при его выходе из ствола мозга или при опухолях мосто-мозжечкового угла. Полугемифациальный спазм встречается гораздо реже; он характеризуется односторонними пароксизмальными сокращениями мышц челюсти. Он может быть вызван компрессией моторной ветви тройничного нерва.
Классификация миоклонуса, основанная на месте возникновения, считается наиболее целесообразной при выборе наиболее эффективной терапии.
Клиническая картина пациентов с миоклонусом может быть классифицирована как положительная или отрицательная:
Положительный: у пациентов наблюдается активные подергивания мышц, приводящие к резкому движению.
Негативный: внезапно падает мышечный тонус (биоэлектрическое молчание на электромиографии); когда мышечный тонус теряют опорные (антигравитационные) мышцы, пациент может упасть. К негативному миоклонусу относится астериксис (трепетание рук, которое возникает у пациентов с тяжелой печеночной недостаточностью).
У одного и того же пациента часто могут наблюдаться как позитивный, так и негативный миоклонусы.
Этиология миоклонии может быть эссенциальной (первичной), приобретенной (наиболее распространенной) или идиопатической.
При эссенциальном (первичном) миоклонусе идентифицируемая причина отсутствует и/или предполагается наличие генетических факторов.
Приобретенный миоклонус имеет несколько причин, в том числе многие метаболические нарушения (см. таблицу Некоторые причины миоклонуса Некоторые причины миоклонуса ). Большинство случаев миоклонуса являются приобретенными.
Идиопатический миоклонус является миоклонусом, наличие которого полностью необъяснимо.
Миоклония может иметь триггерный фактор или же он может отсутствовать:
Сенсорно-чувствительный: миоклония вызывается внешним стимулом (например, внезапным шумом, движением, светом, визуальной угрозой), как это происходит, когда человек внезапно напуган (реакция испуга).
Спонтанный: миоклония возникает без триггерного фактора, как это часто бывает, когда причиной является метаболизм.
Миоклония
Миоклония - это недуг, который сопровождается непроизвольными сокращениями отдельных групп мышц. Чаще всего в патологический процесс вовлекается мускулатура, расположенная в области туловища или конечностей. Миоклония может быть как патологической, так и физиологической. Появление непроизвольных мышечных сокращений связывают с инфекционными заболеваниями, эпилепсией. Диагностика патологии предполагает применение инструментальных и лабораторных методик. В отдельных случаях в рамках комплексной терапии миоклонии проводится поддерживающая терапия.
Причины развития
Кортикальная миоклония может быть следствием поражения коры мозга. Такая форма болезни отличается особой быстротой судорог. По ощущениям подобные непроизвольные сокращения мышц сравнимы с ударом током.

- уремия;
 - гипоксия;
 - гиперсмолярная кома;
 - кетоацидоз.
 
При указанных выше состояниях наблюдается повреждение коры головного мозга кетоновыми телами или азотистыми основаниями. Миоклонические судороги могут диагностироваться и у новорождённых. Они обусловлены нейродегенеративными изменениями. Миоклонические судороги у детей грудного возраста возникают при болезни Тея-Сакса, болезни Альперса.
Миоклония может возникать при прогрессировании разнообразных неврологических патологий у взрослых. Она развивается и при диффузном поражении головного мозга, которое наблюдается при лейкодистрофии и амилоидозе.
Симптомы и первые признаки
- локальная;
 - региональная;
 - генерализованная.
 
Такая классификация ведётся по степени вовлечённости различных групп мышц в патологический процесс. При генерализованной форме патологии судороги охватывают несколько групп мышц. При этом припадок усиливается на фоне эмоциональных переживаний.
Важно! При локальной миоклонии чаще всего наблюдаются резкие мышечные сокращения лица в районе языка и мягкого нёба.
Методы диагностики

- Выполнение лабораторной диагностики. При проведении биохимического исследования крови оценивают уровень острофазовых белков и электролитов. Для установления природы энцефалитических реакций оценивается состояние ликвора. При помощи серологического исследования выявляется наличие соответствующих антител к инфекциям;
 - Применение методов нейровизуализации. Наиболее информативной для выявления состояния мозгового вещества является магнитно-резонансная томография;
 - Выполнение электроэнцефалографии. Диагностическая процедура может дополняться провокационными пробами. К их числу относят гипервентиляцию и фотостимуляцию.
 
Лечение
При возникновении непроизвольных сокращений мышц на фоне вирусной инфекции прибегают к этиотропному лечению.
Симптоматическое лечение предполагает применение антиконвульсантов. В отдельных случаях для устранения симптомов миоклонии прибегают к нейрохирургическому вмешательству в виде функциональной гемисферэктомии. При наличии у больного синдрома Леннокса-Гасто выполняется стимуляция блуждающего нерва.
Россия, Краснодарский край, 
г. Сочи, ул. Старонасыпная, 22. 
Размещенная на сайте информация и прейскурант не являются публичной офертой.
Миоклония
Миоклония — судорожные мышечные сокращения, которые могут возникнуть у человека как при бодрствовании, так и во сне. При этом могут быть задействованы как отдельные мышцы, так и все крупные мышечные группы тела. Часто проявляется в виде непроизвольного вздрагивания в процессе засыпания, обычно выступая признаком переутомления.
Причины
Миоклония сама по себе не является заболеванием, но может свидетельствовать о более серьезных патологических состояниях, среди которых:
- наследственные патологии аутосомно-доминантного типа, (гепатолентикулярня дегенерация),
 - болезнь Унферрихта-Лундборга (прогрессирующий миоклонус),
 - болезнь Рамсая Ханта (поражение коленчатого ганглия),
 - почечная энцефалопатия,
 - недостаточность печени,
 - туберозный склероз,
 - отравление металлами или опасными органическими соединениями, ,
 - коровье бешенство, ,
 - травмы и гипоксия головного мозга.
 
Как видно из перечня причин, многие из них связаны с работой центральной нервной системы, поэтому миоклонию часто называют кортикальной. Спутниками этого явления могут стать эпилептические припадки, повреждения неокортекса, вызванные инфекцией или опасными веществами, опухоли и болезни по аутосомно-рецессивному типу.

Проявление миоклонии
Миоклония бывает двух основных видов:
Физиологическая миоклония проявляется у человека во время засыпания, когда его тело может резко вздрогнуть.
Патологическая миоклония, в свою очередь, подразделяется на неэпилептическую и эпилептическую.
Также различают миоклонии спонтанные и провоцируемые. Провоцируемая миоклония – внезапные и хаотические сокращения мышц, как ответная реакция на резкий звук, свет, цвет или прикосновение.
Миоклония по степени вовлеченности в процесс различных групп мышц подразделяется на:
- генерализованную, которая характеризуется резкими сокращениями одновременно нескольких групп мышц,
 - региональную, которая характеризуется резкими сокращениями только одной группы мышц,
 - локальную, которая характеризуется быстрыми сокращениями мышц лица, языка, мягкого неба и нарушениями артикуляции.
 
Гиперкинезы миоклонического типа подразделяются на четыре основные группы:
- миоклонические велопалатинные сокращения, которые характеризуются ритмичным характером, они относятся к мышцам мягкого нёба, языка и глотки;
 - миоклонические сокращения действия, которые характеризуются поражением любых групп мышц, они являются следствием и ответом на движения;
 - постуральные миоклонические сокращения, которые характеризуются поражением любых мышц, она являются ответной реакцией на стремление сдержать туловище в нормальном положении;
 - ритмические миоклонические сокращения, которые характеризуются волнообразными и ритмичными сокращениями конкретно взятого участка мышц.
 
Симптомы
Общие симптомы при миоклонии:
- очень частые судороги;
 - ухудшением психологического и физического состояния;
 - очень быстрое сокращение мышц;
 - спазмы мимических мышц, мышц мягкого неба и языка;
 - кратковременное нарушение речи;
 - припадки.
 

Диагностика миоклонии
Диагностика
- Прежде, чем начать лечение миоклонии, врач-невролог устанавливает точный диагноз пациента на основе трёх основных критериев:
 - непосредственно самих жалоб пациента на временные и быстрые сокращения различных мышц;
 - клинически проявленного состояния
 - результатов проведенной электромиографии (для уточнения диагноза).
 
Пациенту также необходимо сдать анализы, чтобы врач-невролог смог точно определить причину возникших судорог:
- определить уровень креатинина и мочевины крови,
 - определить уровень сахара крови.
 
Врач назначает пациенту для обследования пройти и такие аппаратные осмотры, как:
- рентгенографию черепа,
 - компьютерную или магнитно-резонансную томографию головного мозга.
 
Лечение
Лечением миоклонии занимается врач-невролог. План лечения миоклонии во многом составляется и зависит от типа заболевания и вызвавших его причин. Для каждого типа мышечных сокращений – своя методика лечения.
Первый этап лечения – устранение причины, которая вызвала миоклонию. На втором этапе врач-невролог назначает пациенту употребление пероральным способом или посредством внутримышечного вливания лекарственных препаратов. Также врач-невролог может приписать больному противосудорожные и бензодиазепиновые препараты, кортикостероиды или нейролептики.
На время лечения пациент должен придерживаться особой диеты. Употребляемая пища должна быть богата витаминами, микро- и макроэлементами.
Если миоклония находится на ранней стадии, то у пациента наблюдается ритмичные вздрагивания тела. Если же болезнь запущена, то у пациента могут даже резко начинать выгибать кисти или стопы.
Профилактика
Основная рекомендация по предупреждению развития миоклонии – избежание стрессовых ситуаций.
Миоклония
Физиологическая миоклония проявляется у человека во время засыпания, когда его тело может резко вздрогнуть.
Патологическая миоклония, в свою очередь, подразделяется на неэпилептическую и эпилептическую.
Также различают миоклонии спонтанные и провоцируемые. Провоцируемая миоклония – внезапные и хаотические сокращения мышц, как ответная реакция на резкий звук, свет, цвет или прикосновение.
Миоклония по степени вовлеченности в процесс различных групп мышц подразделяется на:
- генерализованную, которая характеризуется резкими сокращениями одновременно нескольких групп мышц,
 - региональную, которая характеризуется резкими сокращениями только одной группы мышц,
 - локальную, которая характеризуется быстрыми сокращениями мышц лица, языка, мягкого неба и нарушениями артикуляции.
 
Гиперкинезы миоклонического типа подразделяются на четыре основные группы:
- миоклонические велопалатинные сокращения, которые характеризуются ритмичным характером, они относятся к мышцам мягкого нёба, языка и глотки;
 - миоклонические сокращения действия, которые характеризуются поражением любых групп мышц, они являются следствием и ответом на движения;
 - постуральные миоклонические сокращения, которые характеризуются поражением любых мышц, она являются ответной реакцией на стремление сдержать туловище в нормальном положении;
 - ритмические миоклонические сокращения, которые характеризуются волнообразными и ритмичными сокращениями конкретно взятого участка мышц.
 
Причины
Основные причины миоклонии:
- заболевания с аутосомно-доминантным типом наследования;
 - гепатолентикулярная дегенерация;
 - гипоксия мозга;
 - печеночная недостаточность или почечная энцефалопатия;
 - интоксикация органическими веществами или тяжелыми металлами (например, свинцом); ; ;
 - полученная травма мозга; ;
 - болезнь Крейтцфельдта-Якоба;
 - болезнь Унферрихта-Лундборга;
 - мозжечковая миоклоническая диссенергия (болезнь Рамзая Хунта);
 - туберозный склероз.
 
Основным фактором, вызывающим миоклонию, врачи считают поражения коры головного мозга, а сокращения мышц вследствие этого называется кортикальной миоклонией.
Миоклония очень часть сопровождается эпилепсией, инфекционным или токсическим поражением коры головного мозга, аутосомно – рецессивными болезнями, опухолями.
Симптомы
Общие симптомы при миоклонии:
- очень частые судороги;
 - ухудшением психологического и физического состояния;
 - очень быстрое сокращение мышц;
 - спазмы мимических мышц, мышц мягкого неба и языка;
 - кратковременное нарушение речи;
 - припадки.
 
Диагностика
Прежде, чем начать лечение миоклонии, врач-невролог устанавливает точный диагноз пациента на основе трёх основных критериев:
- непосредственно самих жалоб пациента на временные и быстрые сокращения различных мышц;
 - клинически проявленного состояния
 - результатов проведенной электромиографии (для уточнения диагноза).
 
Пациенту также необходимо сдать анализы, чтобы врач-невролог смог точно определить причину возникших судорог:
- определить уровень креатинина и мочевины крови,
 - определить уровень сахара крови.
 
Врач назначает пациенту для обследования пройти и такие аппаратные осмотры, как:
Лечение
Лечением миоклонии занимается врач-невролог. План лечения миоклонии во многом составляется и зависит от типа заболевания и вызвавших его причин. Для каждого типа мышечных сокращений – своя методика лечения.
Первый этап лечения – устранение причины, которая вызвала миоклонию. На втором этапе врач-невролог назначает пациенту употребление пероральным способом или посредством внутримышечного вливания лекарственных препаратов. Также врач-невролог может приписать больному противосудорожные и бензодиазепиновые препараты, кортикостероиды или нейролептики.
На время лечения пациент должен придерживаться особой диеты. Употребляемая пища должна быть богата витаминами, микро- и макроэлементами.
Если миоклония находится на ранней стадии, то у пациента наблюдается ритмичные вздрагивания тела. Если же болезнь запущена, то у пациента могут даже резко начинать выгибать кисти или стопы.
Профилактика
Основная рекомендация по предупреждению развития миоклонии – избежание стрессовых ситуаций.
Читайте также:
