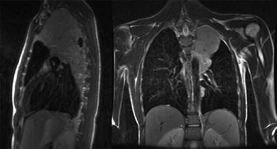
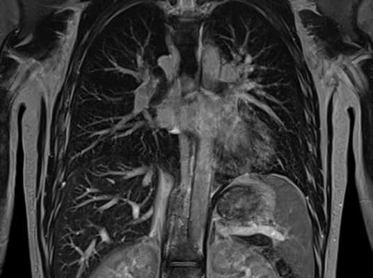
МРТ анатомия грудной клетки в норме
Добавил пользователь Владимир З. Обновлено: 29.01.2026
Эта область организма человека хорошо защищена со всех сторон и добраться до ее органов не так просто. Средостение и проблемы, с ним связанные - об этом мы говорим сегодня с врачом-рентгенологом ООО «МРТ Эксперт Владивосток» Хе Сергеем Мансиковичем.
- Сергей Мансикович, скажите, что представляет собой средостение и какие органы в нём располагаются?
Это часть грудной полости, ограниченная спереди грудиной, сзади позвоночником, а по бокам - внутренними поверхностями легких и плевральными полостями. Средостение содержит комплекс органов, куда входят, в частности, сердце с входящими и выходящими из него крупными сосудами (полые вены, аорта), пищевод, трахея, главные бронхи, тимус, крупные нервные стволы, лимфатические узлы и некоторые другие анатомические образования.
- Вы могли бы привести примеры заболеваний органов средостения?
Они многочисленны. К ним можно отнести пороки развития, открытые и закрытые повреждения, доброкачественные и злокачественные опухоли.
- Как их можно заподозрить? Какими симптомами обычно проявляются болезни средостения?
Признаки, так же как и сами патологии, разнообразны. Это боли, кашель, одышка, общая слабость, повышенная температура тела, потливость, похудание.
- Какие методы диагностики образований средостения находятся в распоряжении врача? Как он может подтвердить или исключить предполагаемый диагноз?
Перечисленные методы являются неинвазивными. Несмотря на их широкие диагностические возможности, ответить на все вопросы состояния органов средостения с их помощью невозможно. Например, на КТ был выявлен онкологический процесс органа средостения. Какое именно это новообразование? С помощью томографии ответить на этот вопрос затруднительно. В таких случаях может применяться инвазивный метод исследования - медиастиноскопия. Он заключается в непосредственном осмотре органов средостения с помощью специального прибора - эндоскопа. При медиастиноскопии, можно, к примеру, взять кусочек опухоли, обнаруженной при компьютерной томографии, с целью уточнения разновидности новообразования. Кроме того, можно проводить некоторые лечебные манипуляции.
Решение о том, какое именно исследование необходимо человеку, принимается лечащим врачом.
- Скажите, а МРТ органов грудной клетки и средостения – это одно и то же или это разные исследования?
Они не идентичны. Комплекс органов средостения - лишь часть грудной клетки. Иными словами, если мы говорим о томографии ее органов, то это, соответственно, само средостение плюс легкие, части плевральных полостей.
Еще один важный момент. Магнитно-резонансная томография применительно к легким недостаточно информативна, поскольку легкие содержат воздух. «Золотым стандартом» в этом плане является компьютерная томография.
- Сергей Мансикович, когда назначают МРТ средостения?
Она используется во всех случаях, когда нужно уточнить диагноз. Например, у больного были найдены изменения на флюорограмме или рентгенограмме грудной клетки, когда с уверенностью поставить диагноз затруднительно. В этом случае, в зависимости от того, где на снимке располагается подозрительная область, врач может порекомендовать провести либо магнитно-резонансную, либо компьютерную томографию.
- Что включает в себя МРТ органов средостения?
Она предполагает исследование всех анатомических образований, входящих в него, и их возможных изменений. О них мы говорили ранее.
- С какой целью проводят магнитно-резонансную томографию средостения вместе с МРТ брюшной полости?
Это делается в тех случаях, когда патологический процесс находится на границе между грудной и брюшной полостями, или же когда по результатам исследования органов средостения врач видит, что процесс также может распространяться и в брюшную полость. В этом случае целесообразно такое совместное исследование двух полостей.
- Расскажите, пожалуйста, как проводится МРТ средостения?
Никаких особенностей в проведении исследования этой области нет. В обязательном порядке уточняются все противопоказания к проведению МРТ, в том числе и к исследованию с контрастным веществом. Также выясняется, какие заболевания переносил человек, а также имеющиеся на момент исследования. В целом особых ограничений по режиму дня, питанию или приему медикаментов нет (если лечащий врач не оговорил иное).
Пациента размещают на специальному столе аппарата МРТ, тело фиксируется специальными ремнями для сохранения неподвижности. В связи с тем, что аппарат в процессе работы издает достаточно ощутимый шум, на голову человека надеваются специальные наушники или ему предлагаются беруши. После этого выполняется диагностическая процедура. В зависимости от объема исследований она продолжается от 30 минут и дольше.
Хе Сергей Мансикович
Выпускник Тихоокеанского государственного медицинского университета 2013 года.
В 2014 году окончил интернатуру по специальности «Хирургия».
В 2015 - интернатуру по специальности «Рентгенология».
Прошел усовершенствование по магнитно-резонансной томографии.
В настоящее время работает врачом-рентгенологом в ООО «МРТ Эксперт Владивосток».
МРТ анатомия грудной клетки в норме
Лучевая анатомия (КТ, МРТ анатомия) грудной стенки
а) Анатомия грудной стенки:
• Кожа, подкожная жировая клетчатка
• Кровеносные сосуды, лимфатические сосуды, нервы
• Кости, хрящи
• Мышцы
• Внутригрудная фасция, фиброэластическая соединительная ткань между внутренней поверхностью грудной клетки и реберной плеврой
б) Функция:
• Скелетно-мышечный каркас (клетка): окружает сердечно-легочную систему; обеспечивает дыхательные движения путем расширения и сжатия в процессе вентиляции
в) Поверхностные ориентиры:
• Надгрудинная (яремная) вырезка: на верхней части рукоятки грудины; между грудинными концами ключиц
• Грудинный угол: является ориентиром для внутренней анатомии грудной клетки: спереди проецируется на уровне реберного хряща второго ребра
• Реберный край: нижние края нижних ребер и реберных хрящей
Костные структуры
а) Грудные позвонки:
• 12 позвонков (Т1-Т12); нормальный кифоз
• Суставные поверхности на позвонках для сочленения с ребрами и поперечные отростки (кроме Т11-Т12)
• Широкие пластинки дуг позвонков и остистые отростки (направлены книзу) перекрывают соответствующие структуры нижележащих позвонков
б) Плечевой пояс:
• Три сустава между ключицей, лопаткой и проксимальным концом плечевой кости: акромиально-ключичный, грудино-ключичный, лопаточно-плечевой суставы
• Одно функциональное сочленение (лопаточно-грудной «сустав»):
о Мобильная лопатка подвешена на ребрах за счет мышц
в) Грудина:
• Плоская широкая кость, которая формирует переднюю стенку грудной клетки, состоит из трех частей (рукоятка, тело, мечевидный отросток)
• Рукоятка: формирует верхнюю часть грудины
• Тело: сочленяется с рукояткой вверху и мечевидным отростком внизу, с обеих сторон от нее расположены хрящи 2-7 ребер
• Мечевидный отросток: вариабельные размеры, форма, степень оссификации; сверху сочленяется с телом грудины
г) Ключица:
• Узкая S-образная кость, соединяет грудину с лопаткой
д) Лопатка:
• Крупная плоская кость треугольной конфигурации; располагается параллельно верхнезадним отделам грудной клетки на уровне 2-7 ребер
• Суставная ямка плечевого сустава
КТ с контрастированием (мягкотканное окно), первое из шести аксиальных изображений: нормальные структуры грудной стенки. На первом срезе визуализируются мышцы грудной стенки в надключичной области. КТ с контрастированием, аксиальный срез через верхушки легких: визуализированные структуры включают нормальные подключичные и подмышечные сосуды. КТ с контрастированием, аксиальный срез через медиальные отделы ключиц: мышцы, прикрепляющиеся к лопатке. КТ с контрастированием, аксиальный срез на уровне ветвей дуги аорты. КТ с контрастированием, аксиальный срез на уровне дуги. КТ с контрастированием, аксиальный срез через субкаринальную область. На первом из шести аксиальных Т1-взвешенных МР-томограмм представлены нормальные структуры грудной стенки. Первый срез выполнен через надключичную область. МРТ, аксиальное Т1-ВИ через верхушки легких. МРТ, аксиальное Т1-ВИ на уровне дуги аорты. МРТ, аксиальное Т1-ВИ на уровне аортолегочного окна. МРТ, аксиальное Т1-ВИ через легочные артерии. МРТ, аксиальное Т1-ВИ через нижние доли легких и нижние легочные вены. КТ с контрастированием (костное окно), первое из шести корональных изображений спереди назад: мышцы грудной стенки в норме. Первый срез получен на уровне грудино-ключичных суставов. КТ с контрастированием, корональный срез на уровне легочных артерий. КТ с контрастированием, корональный срез на уровне киля трахеи. КТ с контрастированием, корональный срез на уровне нисходящего отдела грудной аорты. КТ с контрастированием, корональный срез на уровне грудного отдела позвоночного канала. КТ с контрастированием, корональный срез на уровне задних отрезков ребер и остистых отростков. Первая из шести корональных Т1-взвешенных МР-томограмм: нормальные структуры грудной стенки (спереди назад). Первый срез получен через медиальные отделы ключиц. МРТ, корональное Т1-ВИ на уровне подключичной вены. МРТ, корональное Т1-ВИ на уровне подключичных артерий и переднего отдела плечевого сплетения. МРТ, аксиальное Т1-ВИ через плечевое сплетение и превертебральные структуры. МРТ, аксиальное Т1-ВИ через грудной отдел позвоночного канала. МРТ, аксиальное Т1-ВИ через задние отрезки ребер. Рентгенограмма, фокусированный вид, заднепередняя проекция: частично визуализируемая рукоятка грудины, грудино-ключичные суставы, характерный ход первых ребер и их сочленения с латеральными краями рукоятки грудины. КТ с контрастированием (костное окно), сагиттальный срез: у мужчины 25 лет определяется нормальная анатомия грудины, визуализированы рукоятка, тело и мечевидный отросток.
Мышцы грудной стенки
а) Грудные:
• Большая грудная: наиболее крупная в грудной области; начинается от передней грудной стенки, грудины и ключицы; обеспечивает приведение, сгибание и медиальную ротацию верхней конечности
• Малая грудная: залегает глубже большой грудной мышцы; начинается от грудной стенки, крепится к клювовидному отростку лопатки; стабилизирует лопатку
б) Межреберные мышцы:
• Наружные: находятся в 11-ти межреберных промежутках; начинаются от бугорков ребер и идут к реберно-хрящевым сочленениям
• Внутренние: средний слой; занимают 11 межреберных промежутков; начинаются от границы грудины и идут к углам ребер
• Самые внутренние: формируют внутренний мышечный слой грудной стенки вместе с подреберными мышцами и поперечной мышцей груди
г) Группа задних мышц:
• Поверхностные наружные мышцы (соединяют верхние конечности с туловищем, осуществляют движения конечностей); трапециевидная, широчайшая мышцы, мышца, поднимающая лопатку, ромбовидные мышцы
• Промежуточные наружные мышцы (поверхностные дыхательные мышцы); задняя зубчатая мышца
• Глубокие внутренние мышцы (позадипозвоночные мышцы; контролируют позу, осуществляют движения позвоночника и головы); ременная мышца, мышца, разгибающая позвоночник, глубокие поперечно-остистые мышцы
Сосуды грудной стенки
а) Артерии:
• Внутренняя грудная: ветвь подключичной артерии; спускается позади реберных хрящей с 1-6 ребер; снабжает верхнюю часть передней грудной стенки
• Снабжает передние межреберные артерии 1-6 межреберий Вены
• В непарную вену впадают задние межреберные вены, полунепарная и добавочная полунепарная вены
б) Лимфатические сосуды:
• От грудной клетки отток лимфы происходит через грудной проток (правая верхняя конечность, правые отделы лица и шеи дренируются правым лимфатическим протоком)
Мягкие ткани грудной стенки
а) Кожа и подкожные ткани:
• Сосок: расположен поверхностно на уровне 4-го межреберья (у мужчин и у женщин в препубертатном периоде)
б) Нервы:
• Передние ветви грудных спинномозговых нервов (Т1—Т11) иннервируют кожу, ткани грудной стенки; формируют межреберные нервы
• Межреберные нервы проходят в борозде ребра между внутренними и самыми внутренними межреберными мышцами
• Плечевое сплетение: разветвляющаяся сеть нервных корешков, стволов, разделений, пучков и ветвей
• Спинномозговые корешки формируют три ствола; позади ключиц каждый ствол подразделяется на переднее и заднее разделения
Анатомические области грудной стенки
б) Выход из грудной клетки:
• Открывается книзу от нижнего края грудной клетки; в нем проходят структуры грудной клетки, выходящие из нее
• Граница образована телом Т12 позвонка, правым и левым ребрами 12-й пары, хрящами 7-12 ребер, симфизом мечевидного отростка грудины
в) Надключичная область:
• Надключичные лимфатические узлы располагаются внутри и кнаружи от сонного влагалища
• Лимфатический отток от молочной (грудной) железы осуществляется кверху в надключичные и нижние глубокие лимфатические узлы, латерально- в подмышечные лимфатические узлы, медиально - в окологрудинные (внутренние грудные) и средостенные лимфатические узлы, книзу - в диафрагмальные лимфатические узлы
г) Подмышечная область:
• Пространство пирамидальной формы между грудной клеткой латерально и верхней конечностью; граничите грудными мышцами (спереди), подлопаточной мышцей, широчайшей мышцей спины и большой круглой мышцей (сзади), схождением мышц подмышечной ямки (латерально) и ключицей, лопаткой и наружным краем первого ребра (на верхушке)
• Подмышечные лимфатические узлы дренируют молочную (грудную) железу, грудную и брюшную стенки вокруг пупка и верхнюю конечность
д) Молочная (грудная) железа и грудная область:
• Передняя и верхняя часть грудной клетки; мышцы и фасции принимают участие в движениях верхней конечности; молочные (грудные) железы
Визуализация грудной стенки
а) Рентгенография:
о Имеет ограниченные возможности; может позволить выявить врожденные деформации, мягкотканные изменения, деструктивные изменения костей
б) Компьютерная томография:
о Спиральная КТ и мультипланарные реформации оптимальны для визуализации костных и мягкотканных повреждений
в) Магнитно-резонансная томография:
о Возможность исследования в разных плоскостях; продвинутые импульсные последовательности для оценки опухолевого поражения структур грудной клетки
Особенности визуализации при патологических изменениях
На заднепередней рентгенограмме грудной клетки определяется выраженное просветление в левом гемитораксе. КТ с контрастированием (мягкотканное окно), аксиальный срез: у этого же пациента визуализируются нормальные правые большая и малая грудные мышцы, однако имеется врожденное отсутствие левых большой и малой грудных мышц, что соответствует синдрому Поланда. Рентгенограмма, заднепередняя проекция: у пациента с воронкообразной деформацией грудной клетки определяются неотчетливая правая граница сердца и чрезмерно вертикальный ход передних отрезков ребер. Рентгенограмма грудной клетки, боковая проекция: у этого же пациента определяется заднее смещение грудины с соответствующим уменьшением переднезаднего размера между грудиной и грудными позвонками. КТ с контрастированием (мягкотканное окно), аксиальный срез: у этого же пациента определяется смещение кзади нижней части грудины и вдавление передней стенки грудной клетки. КТ, сагиттальный срез (костное окно), другой пациент: воронкообразная грудная клетка со смещением кзади нижнего полюса грудины. Рентгенограмма, заднепередняя проекция: у пациента с килевидной деформацией грудной клетки грудная клетка выглядит нормальной. Рентгенограмма грудной клетки, боковая проекция: у этого же пациента определяется выпячивание грудины и смежных реберно-хрящевых элементов кнаружи. Также отмечается увеличение расстояния между верхней частью грудины и грудными позвонками. Рентгенограмма органов грудной клетки, заднепередняя проекция: у пациента с выраженным кифосколиозом определяются правосторонний сколиоз в сочетании с потерей объема полости левого гемиторакса на уровне вогнутого компонента деформации грудного отдела позвоночника, что проявляется элевацией левой половины диафрагмы. Рентгенограмма органов грудной клетки, боковая проекция: определяются выраженная кифотическая деформация грудного отдела позвоночника и элевация левой половиной диафрагмы. КТ с контрастированием (мягкотканное окно), аксиальный срез: у героинозависимого пациента 34 лет определяется инфекционное поражение правого грудино-ключичного сустава в виде деструкции кости и мягкотканного объемного образования, распространяющегося на окружающие ткани и смещающего правую подключичную вену кзади. При культуральном исследовании был выявлен Staphylococcus aureus. КТ с контрастированием (мягкотканное окно), аксиальный срез: у иммунокомпрометированного мужчины 53 лет с инфекционным поражением (Alcaligenes faecalis) левого легкого и левой плевральной полости определяется распространение процесса в левые передние и латеральные отделы грудной стенки, что проявляется отеком и набуханием подкожных тканей. КТ с контрастированием (мягкотканное окно), аксиальный срез: у мужчины 77 лет определяется крупное мягкотканное объемное образование с центральной зоной кальцификации, исходящее из передних левых отделов грудной стенки. При биопсии была выявлена хондросаркома. КТ с контрастированием (мягкотканное окно), аксиальный срез: у женщины 21 года с остеосаркомой визуализируется крупное мягкотканное объемное образование с внутренними очагами оссификации, исходящее из левых латеральных отделов грудной стенки и инфильтрирующее левый гемиторакс. Также отмечается плевральный выпот. КТ с контрастированием (костное окно), сагиттальный срез: у женщины 64 лет, страдающей раком молочной железы, определяется распространенное метастатическое поражение рукоятки и тела грудины, имеющее преимущественно склеротический характер. КТ с контрастированием (костное окно), аксиальный срез: у мужчины с раком предстательной железы визуализируются склеротические метастазы в нескольких ребрах справа с экспансивным характером роста. Также наблюдается утолщение смежной плевры. КТ с контрастированием (мягкотканное окно), аксиальный срез: в левых отделах грудной клетки визуализируется объемное образование, содержащее жировую ткань, представляющее собой липому. Также представлена единичная тонкая внутренняя перегородка. КТ с контрастированием (мягкотканное окно), аксиальный срез: у пациента, поступившего в лечебное учреждение с жалобами на боль в левой половине грудной стенки, в структуре левой грудной стенки определяется крупное объемное образование неоднородной структуры, содержащее мягкотканный и жировой компоненты. При биопсии была диагностирована липосаркома.
а) Врожденные и приобретенные аномалии:
• Воронкообразная деформация грудной клетки («грудь сапожника»): аномальный рост реберных хрящей, опущение и ротации ребер, сжатие, затемнение правой границы сердца на рентгенограмме в прямой проекции
• Килевидная деформация грудной клетки («куриная грудь»): аномальный рост реберных хрящей; протрузия грудины
• Добавочное шейное ребро: добавочное ребро, обычно отходящее от 7-го шейного позвонка
• Синдром Поланда: встречается нечасто; частичное или полное отсутствие большой и малой грудных мышц; сочетается с мальформациями ипсилатеральных ребер (2-5) и ключицы; врожденное отсутствие ткани ипсилатеральной молочной (грудной) железы
б) Воспалительные и инфекционные заболевания:
• Этиология:
о Первичные инфекции грудной стенки встречаются редко:
- Связаны с иммуносупрессией, сахарным диабетом
- Осложнение травмы, хирургического вмешательства
о Более часто встречается вторичное поражение:
- Инфекционное заболевание легких (туберкулез, грибковые заболевания)
- Эмпиема плевры (самопроизвольный прорыв гнойника за пределы париетальной плевры)
• Внутривенные потребители наркотических средств склонны к развитию септического артрита грудино-ключичного и грудино-хрящевых сочленений
• Другие возбудители:
- Актиномикозы (стоматологическая инфекция)
- Нокардиоз
- Легочный стрептококк
- После стернотомии
- Staphylococcus aureus, Streptococcus epidermidis, Pseudomonas aeruginosa
• Ключевые рентгенологические признаки:
о Консолидация легочной ткани с вовлечением грудной стенки
о Мягкотканное объемное образование
о Костная деструкция, периостит, остеомиелит
о Сопутствующие изменения
о Плевральный выпот, бронхоплевральный свищ, подкожная эмфизема
в) Новообразования:
• Доброкачественные:
о Липома: преимущественно состоит из жировой ткани; включает в себя минимальное количество мягкотканных компонентов
о Эрозия костной ткани вследствие давления с формированием гладких контуров отражает медленный рост опухоли (например, нейрофиброма)
• Злокачественные:
о Хондросаркома: ребра (11%), чаще поражаются передние отрезки ребер около реберно-хрящевого сочленения; имеет литический экспансивный характер роста, часто с толстым склеротическим краем; кальцификация хряща (60-75%)
о Остеосаркома: внутренняя оссификация
о Миелома: часто манифестирует реберной деструкцией в сочетании с мягкотканным объемным образованием
о Метастатическое поражение: деструкция ребер, грудных позвонков, лопаток, ключиц, грудины
о Липосаркома: содержит жировую ткань и выраженные мягкотканные компоненты; может иметь агрессивное течение
КТ анатомия грудной клетки в норме

Поперечное сечение на уровне среднего отдела грудной клетки, показывающее характер визуализации и положения различных органов и тканей на поперечном сечении. Визуализация поперечного сечения позволяет оценить органы, структуры и ткани грудной клетки. Мягкие ткани стенки грудной клетки состоят из кожи, подкожно-жировой клетчатки и мышц грудной клетки. Совместно со скелетными структурами мягкие ткани грудной клетки окружают и защищают полость грудной клетки и расположенные в ней органы и ткани. Противоположные поверхности плевры образуют потенциальное плевральное пространство. Легочные артерии и вены проходят через легкие. Также показаны жировая клетчатка и сосудистые структуры средостения, пищевод, центральные отделы трахеобронхиального дерева и лимфатические узлы.
а) Общие принципы:
• Визуализация основана на поглощении рентгеновских лучей тканями с различными атомными числами
• Отражает различия в поглощении рентгеновских лучей в перекрестном формате
• Отличное пространственное разрешение
• Улучшенная визуализация структур с различной плотностью тканей, основанная на отображении широкого диапазона измеряемых единиц Хаунсфилда (ЕХ):
о Ширина окна-число отображаемых ЕХ
о Уровень окна - медиана (центральное значение) диапазона ЕХ
о Уровень и ширина окна для КТ органов грудной клетки:
- Легочное окно (ширина 1 500 ЕХ, уровень -650 ЕХ):
Оценка легких, дыхательных путей и наполненных воздухом структур ЖКТ
Определение воздуха в средостении, брюшине и мягких тканях
- Мягкотканное (средостенное) окно (ширина 400 ЕХ, уровень 40 ЕХ):
Оценка сосудистых структур и мягких тканей средостения и грудной клетки
- Костное окно (ширина 2000 ЕХ, уровень 400 ЕХ):
Оценка скелетных и кальцифицированных структур
Оценка металлических объектов и медицинских инструментов
- Печеночное окно (ширина 1 50 ЕХ, уровень 50 ЕХ без контрастного усиления и 100 ЕХ с контрастным усилением):
Оценка верхнего отдела брюшной полости: печень, почки
Оценка плеврального выпота на наличие твердых плевральных узелков
КТ с контрастированием, аксиальный срез (легочное окно): исследование позволяет оценить легкие, легочные сосуды, центральные структуры трахеобронхиального дерева и поверхности плевры. При этих параметрах окна средостение и стенка грудной клетки визуализируются плохо. Бесконтрастная КТ, аксиальный срез (мягкотканное или средостенное окно): исследование позволяет оценить мягкотканные структуры средостения и мягкотканные и скелетные структуры стенки грудной клетки. Легочные ткани, плевра и центральные структуры трахеобронхиального древа оцениваются плохо. КТ с контрастированием, аксиальный срез (костное окно): исследование позволяет оценить скелетные структуры с визуализацией кортикального и мозгового вещества кости. Обратите внимание на улучшенную визуализацию скелетных структур по сравнению с предыдущим изображением с параметрами мягкотканного окна. Первый из двух срезов, полученных при КТ грудной клетки у одного и того же пациента, на уровне сердца. Бесконтрастная КТ (мягкотканное окно): визуализируются сердце, перикард и расположенная между ними субперикардиальная жировая клетчатка. Нижние легочные вены визуализируются с двух сторон. Обратите внимание, что без контрастного усиления невозможно полностью визуализировать отдельные камеры сердца. КТ с контрастированием, аксиальный срез (мягкотканное окно): превосходная визуализация нижних легочных вен, легочных артерий и камер сердца. Хорошо визуализируются межжелудочковая перегородка и миокард левого желудочка.
б) Бесконтрастная КТ:
• Оценка, локализация и характеристика аномалий, обнаруженных при рентгенографии
• Локализация поражений при подготовке к биопсии/дренированию под контролем КТ
в) КТ с контрастным усилением:
• Внутривенное введение контрастного вещества:
о Оценка сосудистых структур
о Оценка патологии сосудов
о Дифференцировка сосудистых структур и прилегающих мягких тканей (например, лимфатических узлов)
о Определение поражений/контрастирования тканей
• Введение контрастного вещества внутрь:
о Оценка желудочно-кишечного тракта на наличие перфорации/ протечек
г) КТ-ангиография:
• Визуализация сосудистых структур:
о Одновременно с боллюсным введением контрастного железа
о Визуализация специфических сосудистых структур:
- КТ-ангиография легочных сосудов для диагностики тромбоэмболий легочных артерий
- КТ-аортография для диагностики травмы или аневризмы аорты
- КТ-аортография для диагностики острого аортального синдрома:
Для обнаружения внутритканевых гематом необходимо получение базовых бесконтрастных изображений
Первое из двух изображений, полученных при нормальной КТ грудной клетки с контрастным усилением. Традиционная КТ с контрастированием (легочное окно), толщина среза 5 мм: адекватная визуализация легочной ткани, легочных сосудов и трахеобронхиального дерева. Большие щели визуализируются в виде бессосудистых тяжей, идущих через легкие в косом направлении. КТ с высоким разрешением, толщина среза 1,2 мм, аксиальный срез (легочное окно): на этом же уровне, что и на предыдущей томограмме, определяется значительное улучшение визуализации особенностей легочной ткани. Большая щель левого легкого в этом случае визуализируется в виде отграниченной линии. Наблюдается улучшенная визуализация стенок бронхов и более четкие контуры легочных сосудов. Первое из двух изображений, полученных при КТ с высоким разрешением у пациента с легкой степенью диспноэ. КТ с высоким разрешением (легочное окно), положение лежа на спине, аксиальный срез: в задней части легких определяется затенение по типу матового стекла, вызывающее больше подозрений справа. Смещения архитектуры или других аномалий не определяется. КТ с высоким разрешением (легочное окно), положение лежа на животе, аксиальный срез: очищение визуализированных ранее субплевральных затенений по типу матового стекла в основаниях легких, что подтверждает их связь с гравитационным ателектазом или ателектазом в положении лежа. Первое из двух изображений, полученных при бесконтрастной КТ органов грудной клетки с высоким разрешением. КТ с высоким разрешением (легочное окно), вдох: определяется нормальная однородная плотность легочной ткани. Обратите внимание на превосходную визуализацию сосудистых структур, центральных бронхов и междолевых щелей. КТ с высоким разрешением (легочное окно), выдох, корональный срез: на том же уровне, как и на предыдущей томограмме, определяется приподнятость куполов диафрагмы, снижение объема легких и неоднородное повышение плотности легочной ткани. Хотя плотность легочной ткани неоднородна, воздушных «ловушек» не наблюдается. В этом случае правое легкое выглядит более прозрачным по отношению к левому легкому при визуализации на выдохе. КТ с контрастированием (легочное окно), проекция максимальной интенсивности (ПМИ), косой корональный срез: определяется артериовенозная мальформация. Обратите внимание на питающую артерию, дренирующую вену и сложный клубок мелких сосудов, окружающих патологический очаг. ПМИ-изображения полезны при визуализации сосудистых образований и помогают уточнить характер узелков в легочной ткани. КТ с контрастированием (легочное окно), проекция минимальной интенсивности (ПминИ), косой корональный срез: ветвление центральных отделов трахеобронхиального дерева. Обратите внимание на смещение сегментарного бронха верхушечной доли, расположенного кпереди и выше артерии, идущего от верхнего правого главного бронха и проходящего в краниальном направлении с кровоснабжением верхушечного сегмента верхней доли правого легкого. ПминИ-изображения полезны для визуализации центральных воздухоносных путей и воздушных «ловушек» в легочной ткани.
д) КТ с высоким разрешением:
• Методика:
о Тонкие срезы с минимализацией эффекта частичного объема
о Алгоритм реконструкции изображения с высоким разрешением
• Показания:
о Оценка диффузных инфильтративных заболеваний легких
о Оценка пациентов с диспноэ неясной этиологии и нормальной картиной при рентгенографии
• Специальные методики:
о Визуализация в положении лежа на животе для диагностики периферического базиллярного рака легкого
о Визуализация на выдохе для диагностики заболеваний мелких дыхательных путей
Первое из двух изображений, полученных при КТ-ангиографии органов грудной клетки в норме. КТ с контрастированием (мягкотканное окно), корональный срез: исследование позволяет визуализировать и оценить камеры сердца и просвет крупных сосудов грудной клетки. КТ-ангиография также позволяет оценить периферические сосуды легких для исключения тромбоэмболий легочных артерий. КТ с контрастированием (мягкотканное окно), сагиттальный срез: исследование позволяет визуализировать нисходящий отдел грудной аорты и ее ветви. Обратите внимание на визуализацию правого желудочка, выносящего протока правого желудочка и правой и левой легочных артерий. Многослойная реконструкция изображений, полученных при КТ-ангиографии, позволяет полностью визуализировать просвет сосудов и камеры сердца (для оценки увеличения просвета сосудов), тромбоз или опухоль внутри просвета сосудов, разрыв сосудов и врожденные аномалии. Первое из двух изображений, полученных при КТ органов грудной клетки с объемной реконструкцией. КТ, объемная реконструкция, передняя корональная проекция: определяются сосуды легких и верхняя граница складки перикарда. КТ, объемная реконструкция, задняя корональная проекция: исследование позволяет отличить легочные вены от легочных артерий и визуализировать часть нисходящего отдела грудной аорты. Виртуальная бронхоскопия нормальных центральных воздухоносных путей: определяется киль трахеи и ее разделение на два основных бронха. Обратите внимание на отображение просвета трахеи и визуализацию отдельных хрящей трахеи. КТ с контрастированием (мягкотканное окно), аксиальный срез: у женщины 30 лет с тяжелым диспноэ, развившимся через два недели после пластики живота и установки грудного импланта, определяется крупная тяжелая тромбоэмболия легочных артерий в сочетании с оккпюзирующим тромбозом правой легочной артерии и левой междолевой легочной артерии. КТ с контрастированием (мягкотканное окно), аксиальный срез: у этой же пациентки определяется распространенная тромбоэмболия легочных артерий: тромбоз правой легочной артерии с распространением в правую междолевую легочную артерию и тромбоз левой нижнедолевой легочной артерии. КТ с контрастированием (мягкотканное окно), корональный срез: определяется крупный окклюзирующий тромб в правой легочной артерии. Пациент обследовался перед выполнением тромболизиса. Рентгенография органов грудной клетки в ЗП проекции: у мужчины 64 лет определяется случайно обнаруженный узел легочной ткани, проецирующийся над средним полем левого легкого. Бесконтрастная КТ (легочное окно), корональный срез: у этого же пациента определяется расположение узла в верхней доле левого легкого, звездчатая форма образования и метастазы в плевре. Эти признаки характерны для первичного рака легкого. Бесконтрастная КТ (костное окно), аксиальный срез: у этого же пациента определяется литическое поражение заднего отдела левого ребра, что также вызывает серьезные подозрения в отношении опухолевого поражения при гематогенном метастазировании. Смешанное ФДГ ПЭТ/КТ, аксиальный срез: у этого же пациента определяется очень интенсивное поглощение ФДГ узлом в верхней доле левого легкого. Кроме того, поглощение ФДГ наблюдается также и в левом воротном и подкилевом лимфатических узлах, что согласуется с метастатическим поражением лимфатических узлов. Наконец, в литическом поражении заднего отдела ребра, выявленном на КТ, также наблюдается интенсивное накопление ФДГ, что согласуется к гематогенным метастазированием. ФДГ ПЭТ/КТ полезно для определения клинической стадии опухоли у пациентов с первичным раком легких. В этом случае биопсия костного очага позволила определить хирургическую стадию опухоли этого первичного рака легкого. Бесконтрастная КТ (легочное окно), аксиальный срез: у пациента 86 лет в критическом состоянии, поступившего с диспноэ, лихорадкой и лейкоцитозом, определяется крупный многоочаговый плевральный выпот слева, обусловливающий компрессионный ателектаз левого легкого. Обратите внимание на небольшой свободный плевральный выпот справа. Бесконтрастная КТ (мягкотканное окно), корональный срез: у этого же пациента определяется крупный многокамерный плевральный выпот слева, что с учетом рентгенографической и клинической картины вызывает подозрения в отношении эмпиемы. УЗИ грудной клетки, поперечная плоскость: у этого же пациента определяется многокамерный плевральный выпот слева с наличием нескольких эхогенных перегородок. УЗИ было выполнено для визуализационного контроля при установки дренажной трубки. В наиболее крупное отграниченное скопление жидкости были введены две дренажные трубки, после чего состояние пациента значительно улучшилось. Тем не менее на фоне сохраняющегося лейкоцитоза потребовалось выполнение торакотомии.
е) Методы постобработки:
• Многосрезовые реконструкции:
о Оценка аксиально ориентированных структур и аномалий на множестве срезов
о Оценка анатомической локализации образований легких относительно междолевых щелей
о Оценка вовлеченности стенки грудной клетки и средостения расположенными вблизи образованиями легких
о Измерение образований в корональной и сагиттальной плоскостях
• Проекция максимальной интенсивности (ПМИ):
о Оценка сосудистых структур
о Подчеркиваются легочные узелки
• Проекция минимальной интенсивности (ПминИ):
о Оценка центральных дыхательных путей воздушных ловушек
• Рендеринг поверхностей
• Методы объемного рендеринга используются для решения задач и образования:
о Виртуальная бронхоскопия
Цифровая субтракционная ангиография (ЦСА) легочных артерий в ПЗ проекции: у этого же пациента подтвержден крупный, почти окклюзивный тромбоз правой легочной артерии. ЦСА в ПЗ проекции: у этого же пациента определяется дренажный катетер, введенный в дистальный отдел правой легочной артерии для механической аспирационной тромбэктомии и порционного введения тканевого активатора плазминогена. Обратите внимание на уменьшение тяжести тромбоза. ЦСА в ПЗ проекции: у этого же пациента в конце процедуры определяется значительное уменьшение тяжести тромбоза с сохранением тромба в переднем стволе легочной артерии. Давление в легочной артерии в начале процедуры составляло 32 мм рт. ст., а к концу процедуры снизилось до 18 мм рт. ст.
ж) Ангиография легочных сосудов:
• Установка венозного катетера
• Канюлирование системы легочной артерии
• Показания:
о Оценка врожденных и приобретенных патологий легочных сосудов
о Лечение некоторых форм тромбоэмолий
з) Аортография:
• Установка катетера в артерию
• Канюлирование проксимального отдел аорты
• Показания:
о Оценка травматических поражений аорты и крупных сосудов
о Диагностика врожденных аномалий развития артериальных сосудов
о Оценка диаметра и целостности просвета аорты и крупных сосудов
и) Артериография бронхиальных и межреберных артерий:
• Катетеризация артерий
• Избирательное канюлирование бронхиальных/межреберных артерий
• Показания
о Диагностика и лечение кровохарканья
Рентгенография органов грудной клетки в ПЗ проекции: у беременной женщины 35 лет с подозрением на тромбоэмболию легочной артерии: нормальная картина. У беременных пациенток с подозрением на тромбоэмболию легочной артерии рентгенография органов грудной клетки должна выполняться в первую очередь из всех лучевых методов диагностики. Поскольку при рентгенографии органов грудной клетки изменения не были выявлены, была назначена вентиляционно-перфузионная сцинтиграфия. После вдыхания аэрозоля с Tc-99m DTPA проведено вентиляционное исследование, определяется нормальное распределение активного вещества по всему объему легких. Сцинтиграфия после внутривенного введения Tc-99m МАА, определяется отсутствие нарушений перфузии и нормальное распределение активного вещества по всему объему легких, что исключает тромбоэмболию легочной артерии. У беременных с подозрением на тромбоэмболию легочной артерии и нормальной картиной при рентгенографии органов грудной клетки следующим диагностическим исследованием должна быть именно сцинтиграфия легких, а не КТ-ангиография легких.
к) Сцинтиграфия:
• Позитронно-эмиссионная томография:
о Определение метаболической активности образований
о Определение стадии злокачественных новообразований
о Используется одновременная ПЭТ/КТ визуализация
• Вентиляционно-перфузионная визуализация:
о Диагностика тромбоэмболических заболеваний:
- Метод выбора при исследовании беременных пациенток
о Оценка функции легких в пред- и послеоперационном периоде
л) УЗИ:
• Выявление плеврального выпота:
о Свободный или отграниченный
о Планированиеторакоцентеза/биопсии и установкиторакостомы
• Оценка движений диафрагмы при подозрении на паралич
Что показывает МРТ органов грудной клетки
В грудной клетке расположено множество жизненно важных органов, патологии которых сложно диагностировать классическими способами: они скрыты за костями грудины, ребрами, позвоночником, мягкими тканями. Информативным способом, который способен показать структуру, а также функциональность органов, расположенных здесь, врачи называют МРТ — магнитно-резонансную томографию с контрастом или без него. Метод идеально подходит для исследования находящихся внутри грудины органов, сосудов, желез, лимфоузлов, но наиболее эффективным его считают в диагностике опухолевых процессов.
Какие органы проверяют на МРТ грудной клетки?
Чтобы понять, что показывает МРТ грудной клетки, важно понимать суть метода. Он состоит в способности мощного магнитного поля провоцировать резонанс молекул водорода, который в больших количествах содержится в органах грудной клетки (сокращенно ОГК). Магнитно-резонансный томограф улавливает резонансные колебания и отображает их на теле-экране в виде серии монохромных снимков, представляющих собой срезы обследуемой области определенной толщины: чем мощнее МР-аппарат, тем «тоньше» срезы и точнее результаты. Также на основе полученных данных можно сделать трехмерную модель любой структуры, находящейся в полости груди.

Магнитно-ядерная томография не очень информативна при исследовании костных тканей. Плохо видны на снимках и легкие, в которых слишком много воздуха. В процессе дыхания они двигаются, что не позволяет получить четкие изображения легочных тканей. Чтобы повысить четкость картинки, врач может попросить пациента во время сканирования периодически задерживать дыхание на вдохе. Та же проблема наблюдается при попытке проверить сердечную мышцу — ее ритмичные сокращения мешают обследовать миокард на патологии. Однако временно остановить сердце невозможно, поэтому оно фактически является единственным органом в груди, который проверяют с помощью так называемой синхронизации с пульсом/ЭКГ.
В медицинской практике МРТ грудной клетки делают, чтобы визуализировать следующие органы:
- плевру и ее полость;
- среднюю и нижнюю часть трахеи;
- легкие;
- перикард и сердце;
- диафрагму;
- лимфатические сосуды и узлы средостения;
- вилочковую железу;
- межпозвоночные диски грудного отдела позвоночника;
- спинной мозг в области грудного отдела позвоночника.
При использовании контрастного вещества список диагностируемых органов и структур расширяется за счет крупных и мелких кровеносных сосудов. С помощью этого дополнения МР-сканирование показывает не только строение кровеносной сети, но также особенности ее функционирования и изменения в скорости и направлении кровотока. Благодаря тому, что контраст хорошо накапливается в патологических новообразованиях, контрастное МРТ обладает высокой информативностью в диагностике опухолей органов средостения, включая легкие и лимфатическую систему.
Когда назначают МРТ органов грудной клетки?
Показаниями к проведению МРТ ОГК является подозрение на возникновение в этой области патологических процессов: воспалений, дегенеративных и атрофических изменений, опухолей, нарушений кровоснабжения и очагов инфекций, травм и врожденных пороков развития. Чаще всего магнитно-ядерное сканирование является очередным этапом диагностики, когда проведенные ранее исследования (УЗИ, КТ или рентгенография) выявили аномалии, но не помогли врачу определить конкретное заболевание.
В число прямых показаний к проведению диагностики этим методом включены:
- состояния, указывающие на пороки клапанной системы сердца, атрофию или дистрофию миокарда, прочие врожденные или приобретенные кардиопатологии;
- явные гемодинамические нарушения, которые являются симптомом атеросклероза крупнейших артерий, аневризмы аорты и других сосудистых заболеваний;
- симптомы воспалительных и инфекционных процессов в дыхательной системе — хронический кашель, отхаркивание мокроты с кровью или гноем, затрудненное дыхание, одышка или приступы удушья;
- симптомы опухолевых процессов в грудной клетке — тупые хронические боли, затрудненное дыхание, сухой хронический кашель, резкая потеря веса и т. д.;
- признаки патологий спинного мозга в грудном отделе позвоночника — нарушение чувствительности и двигательной активности верхнего плечевого пояса, хронические головные боли, опоясывающие боли в области груди, нарушения дыхания, не связанные с заболеваниями легких;
- подозрение на заболевания лимфатической системы в области исследования.
В ряде случаев даже при наличии показаний МРТ груди из-за противопоказаний. К абсолютным относятся:
- наличие в организме несъемных металлических элементов — кардиостимулятора, инсулиновой помпы, стентов и клипс на сосудах;
- несъемные металлические зубные протезы из ферромагнитных сплавов;
- первая треть беременности;
- психические нарушения, при которых человек не может соблюдать неподвижность или находиться в замкнутом пространстве;
- вес обследуемого больше 120 кг.
В число относительных противопоказаний включены клаустрофобия, состояние сразу после получения травмы, когда больного беспокоит сильная боль, не дающая соблюдать спокойствие. Чтобы боль прошла, а пациент смог расслабиться и сохранять неподвижность, перед проведением процедуры ему вводят седацию или наркоз. Есть у метода и другие относительные противопоказания. Узнать, делают ли МРТ органов грудной клетки при имеющихся проблемах со здоровьем, можно у рентгенолога накануне исследования.
Подготовка к МРТ грудной полости
Стандартное обследование без контрастирования не требует специальной подготовки. Достаточно консультации с врачом, который будет проводить диагностику. Во время нее ему необходимо проверить, есть ли у пациента безусловные или относительные противопоказания к проведению сканирования. Женщинам дополнительно рекомендуется сделать незадолго до МРТ тест на беременность, чтобы убедиться в ее отсутствии. Пациентам с неуравновешенной психикой, страхом замкнутого пространства, повышенной тревожностью врач посоветует за 1-2 часа до МРТ принять успокоительное средство.

В отличие от описанного выше случая, подготовка к контрастной томографии выглядит не так просто. Так как вводимый препарат может спровоцировать тошноту, за несколько часов до диагностики пациентам рекомендуется воздержаться от еды и питья. Также следует проконсультироваться с рентгенологом относительно постоянно принимаемых лекарств: некоторые препараты могут быть несовместимыми с контрастирующими веществами.
Непосредственно перед процедурой специалист расскажет, как проходит МР-сканирование, сколько по времени оно занимает, что можно почувствовать во время работы томографа. Также он попросит снять сковывающую движения, имеющую металлическую фурнитуру одежду, аксессуары, украшения и пирсинг, оставить в раздевалке телефон, часы и другие устройства.
Как делают МРТ грудной клетки?
Если в процессе подготовки не выявлено противопоказаний, приступают к проведению МР-сканирования. Пациента укладывают на подвижный стол томографа и фиксируют его в нужном положении с помощью ремней и мягких валиков. При необходимости обследуемому вводят необходимое количество контраста (рассчитывается исходя из массы тела).
Медсестра подтверждает, что посмотрела и убедилась в отсутствии на теле пациента металлических предметов, после чего она с врачом покидает помещение с томографом. Общение с обследуемым с этого момента продолжается по громкой связи. Врач включает томограф, стол задвигается в кольцо аппарата и начинается сканирование.
Диагностика без контрастирования длится около получаса. При введении контраста МРТ грудной клетки продолжается на 15 минут дольше. В редких случаях врачу потребуется сделать повторное сканирование, если снимки получились смазанные, что удлинит время процедуры еще на 10-15 минут.
После окончания сканирования пациент может сразу встать, одеться и покинуть кабинет. Заключение и расшифровка МРТ патологий в области грудной клетки обычно занимают около часа. Получить их можно в электронном виде на флешке или в распечатанном виде. Получить их можно как на руки, так и по электронной почте.
Что лучше МРТ или КТ грудной клетки?
Однозначно назвать один из методов — МРТ или КТ — лучшим для диагностики патологий органов грудной клетки, нельзя. Они имеют принципиальные отличия и используются для обследования разных по структуре тканей и органов.
МРТ идеально определяет отклонения мягких тканей и находящихся в грудной клетке органов. Наиболее информативен этот метод для выявления опухолей, особенно злокачественных, нарушений гемодинамики. Преимуществами метода врачи называют:
- отсутствие лучевой нагрузки, благодаря чему метод можно использовать несколько раз подряд, например, для отслеживания динамики после курса лечения и операции;
- высокая четкость картинки;
- возможность дифференцировать доброкачественные и злокачественные опухоли.
В список недостатков МРТ при обследовании грудной клетки входят неэффективность метода при диагностике патологий костных тканей (ребер и позвоночника), а также легких — на снимках не видны признаки пневмонии, переломы и трещины костей. При подозрении на наличие аномалий в этих структурах лучше делать компьютерную томографию.
Что показывает МРТ грудного отдела
МРТ грудного отдела - это не лучевое томографическое сканирование с использованием высокотехнологичного оборудования - магнитно-резонансного томографа. В результате сканирования врач рентгенолог получает многочисленные снимки серединной части позвоночника и осуществляет их расшифровку. Послойные сканы грудного отдела позволяют неврологам, хирургам, вертебрологам детально визуализировать отклонения в строении позвонков, наличие патологических процессов в спинном мозге, нарушение кровообращения в зоне спины, наличие новообразований или метастазов в позвоночнике. Безопасность метода для пациентов позволяет проводить исследование часто, что дает возможность следить за динамикой лечения. Это выгодно отличает МРТ позвоночника от рентгенографии или КТ позвоночника.
Показания
МРТ грудного отдела позвоночника показано в следующих случаях:
- боли в спине, в области груди;
- ощущение онемения конечностей;
- ограниченная подвижность в грудном отделе, скованность движений;
- подозрение на остеохондроз;
- межпозвоночные грыжи, болезнь Шойермана;
- наличие признаков кисты и опухоли (остеохондрома, остеосаркома, глиомы, нейрофибромы, менингиомы);
- механические травмы позвоночного столба, расщепление позвоночника;
- аномалии внутриутробного развития позвоночника.
Бесплатная консультация о диагностике
Если сомневаетесь, запишитесь на бесплатную консультацию.
Или проконсультируйтесь по телефону
Что видно на МРТ грудного отдела позвоночника
По ходу получения томографических снимков врач-рентгенолог проводит детальную проверку анатомических структур грудного отдела. Пристальное внимание в ходе расшифровки результатов сканирования уделяется следующим аспектам:
- Статика позвоночника: грудной кифоз сохранен, выпрямлен, усилен; есть ли признаки правостороннего или левостороннего сколиоза.
- Отклоняются ли от нормы соотношения позвонков.
- Каковы показатели высоты и формы тел позвонков, суставных щелей.
- Есть ли симптомы костных дегенеративных изменений остеофитов.
- Есть ли патологические перестройки костного мозга.
- Имеется ли унковертебральный артроз.
- Насколько заострены фасетки дугоотросчатых и реберно-позвонковых суставов.
- Качество тканей желтой связки и паравертебральных тканей.
- Локация, высота и гидрация межпозвонковых дисков
- Наличие протрузий, грыжевых образований, пролапса компрессией нервных корешков, стеноза межпозвонковых отверстий.
- Признаки миелопатии и структурных изменений в спинном мозге
ПРИМЕР МРТ ЗАКЛЮЧЕНИЯ - грудной отдел позвоночника
На серии МР-изображений, взвешенных по Т1 и Т2 в трех плоскостях, определяются дегенеративно-дистрофические изменения межпозвонковых дисков, характеризующиеся снижением высоты и интенсивности МР-сигнала от них на Т2-ВИ. Кифоз сохранен.
Отмечается дорзальная левосторонняя парамедианная грыжа межпозвонкового диска Th10-Th11, размером до 3 мм, которая компримирует переднюю стенку дурального мешка. Корешки интактны. Срединный сагиттальный размер позвоночного канала 15 мм. Определяется дорзальная медианная грыжа межпозвонкового диска Th11-Th12 с тенденцией краниальной миграции до 3 мм, размером до 5 мм, которая компримирует переднюю стенку дурального мешка. Убедительных данных за компрессию корешков не получено.
Срединный сагиттальный размер позвоночного канала 13 мм. На уровне межпозвонкового диска Th12-L1 определяется медианная дорзальная грыжа, сагиттальным размером до 5 мм, компримирующая переднюю стенку дурального мешка. Корешки интактны. Срединный сагиттальный размер позвоночного канала 16 мм.
Как подготовиться к процедуре
Обратившись в информационную службу Общегородского центра записи на диагностику, пациент узнает все детали подготовки и прохождения процедуры в его конкретной ситуации. В общем и целом для МР обследования грудного отдела позвоночника подготовительный этап отсутствует, и период восстановления тоже не нужен – после МРТ пациент может продолжить заниматься своими обычными делами.
Следует только иметь ввиду, что если в Вашем теле есть любые импланты, эндопротезы, у Вас должна обязательно быть документация, в которой указан точный состав материала их изготовления. Его обязательно попросят предъявить перед началом процедуры.
Как делают МРТ грудного отдела
В диагностических клиниках Санкт-Петербурга МРТ проводится следующим образом:
- человек снимает с тела все предметы из металла;
- ложится на платформу аппарата;
- оператор фиксирует на груди пациента специальную МРТ катушку;
- платформа перемещается внутрь томографа;
- сканирование сопровождается шумом работающего томографа.
По длительности исследование без введения контрастного вещества занимает примерно 15-20 минут, если требуется контрастное вещество, то время исследования увеличивается до 40-60 минут.
Одним из ограничений к томографической процедуре является сильная форма клаустрофобии. Если данная проблема присутствует у пациента, мы поможем подобрать клинику, где установлен аппарат МРТ открытого типа. Также Общегородской единый центр записи на диагностику сориентирует, в каком медицинском центре можно пройти МРТ грудного отдела с контрастом, и где можно сделать МРТ позвоночника на сверхмощном аппарате в 3 Тесла.
где и Как сделать качественно МРТ в СПб
- После сканирования Вы должны получить МРТ снимки в электронном виде в формате DICOM, записанные на CD диск или флешку. Одной печати томографических изображений на рентгенологической пленке недостаточно для качественного анализа результатов магнитно-резонансной томографии. должна быть проведена в соответствии с техническими требованиями по минимальному срезу сканирования. Он не должен превышать 2-4 мм в зависимости от модели томографа. Уточнить толщину среза можно в заключении, которое рентгенолог Вам выдаст после окончания диагностики. Помните, чем меньше шаг сканирования, тем детальнее точнее будут результаты томографии.
- При проведении онкоскрининга обязательно нужно осуществлять МРТ с болюсным или динамическим контрастным усилением. Кроме того, существуют минимальные требования к мощности самого томографа. При подозрении на онкологическое заболевание исследование следует осуществлять на МРТ аппарате с индукцией магнитного поля не менее 1.5 Тесла!
- Если МРТ исследование проводится повторно, в протоколе обследования обязательно должна быть отмечена динамика изменений по отношению к предыдущим снимкам.
- Сами МРТ снимки должны быть четкими без зернистости и размывов от артефактов движения!
Результаты магнитно-резонансной томографии
Чаще всего по завершении процедуры пациент получает на руки письменное заключение врача и CD диск со снимками. Подождать результат нужно будет в течение часа. После получения результатов нужно обратиться за консультацией к своему лечащему врачу, который выставляет окончательный диагноз и назначает тактику лечения.
Ведущие врачи Санкт-Петербурга

профессор кафедры лучевой диагностики

врач-рентгенолог высшей категории
кандидат медицинских наук

Противопоказания
Магнитно-резонансное исследование выгодно отличается от компьютерной томографии и рентгенографии своей безопасностью и безвредностью. В ходе сканирования организм человека не получает никакой радиационной нагрузки. Однако у этой формы томографии тоже есть ряд ограничений. Поскольку томограф - это большой магнит, эту процедуру нельзя проводить:
- лицам с имплантированными электронными приборами в теле (например, кардиостимулятор, нейростимулятор, импланты внутреннего уха, инсулиновые помпы);
- людям с металлом в организме (намагничивающиеся осколки, пластины, шунты, штифты, скобы, аппарат Илизарова).
Необходимость спокойно лежать в замкнутой камере может помешать лицам с клаустрофобией и синдромом навязчивых движений пройти данное обследование без применения успокоительных препаратов.
Остальные ограничения носят относительный характер и могут быть разрешены в ходе консультации с рентгенологом перед диагностикой.
Советы, как сделать МРТ недорого в СПб
Для записи на МРТ обследование лучше заранее уточнить все моменты, которые могут повлиять на качество и стоимость диагностики: класс оборудования, квалификацию специалистов, необходимость применения контрастирования, стоимость услуги в выбранной медицинской клинике, и что входит в эту услугу. Вот несколько практических советов, как возможно сделать МРТ по адекватной цене:
- Самый недорогой способ сканирования - это услуга МРТ в ночное время, когда действуют максимальные скидки. Ее предоставляют многие частные круглосуточные клиники. Самые большие скидки обычно предлагают на обследование в период с 24.00 до 7.00.
- В СПб отмечается общий сезонный спад спроса на медицинские услуги в январе и августе. Поэтому некоторые медицинские центры для активного привлечения клиентов снижает стоимость на МРТ в это время.
- Ряд клиник СПб предоставляют льготы на МРТ определенным категориям пациентов: ветеранам, инвалидам, многодетным семьям, студентам, что позволяет сэкономить на стоимости. Данные о таких дисконтных программах можно уточнить при записи на обследование.
- МРТ входит в перечень медицинских услуг, которые жители Санкт-Петербурга могут получить по полису обязательного медицинского страхования. Бесплатная МРТ по ОМС потребует от пациента получения направления от лечащего врача и сопряжена с ожиданием квоты на диагностику. Среднее время ожидания составляет 2 месяца. Если стоит под вопросом онкологический диагноз, сканирование проводят в срочном режиме в течение 14 дней.
Почему МРТ процедура считается безопасной
Магнитно-резонансная томография не несет в себе вредной лучевой нагрузки, не облучает человека и не оказывает какого-либо вредного воздействия на организм.
Магнитно-резонансная томография является совершенно безболезненной. При прохождении диагностики отсутствует какое-либо хирургическое вмешательство. Если применяется введение контрастного вещества, то возможен небольшой дискомфорт, поскольку препарат вводится внутривенно. Перед введением контрастного вещества пациент должен сообщить врачу, нет ли у него аллергических реакций на препараты.
Так как процедура абсолютно безвредна, ее можно делать неограниченное количество раз и совмещать с любыми другими формами диагностики - УЗИ, КТ, рентгеном.
Что лучше делать - магнитно-резонансную томографию или компьютерную томографию грудного отдела позвоночника
МРТ грудного отдела и КТ грудного отдела активно используется для диагностики патологий средней части спины. В целом они дополняют друг друга. Благодаря процедуре МРТ грудного отдела позвоночника можно хорошо визуализировать межпозвоночные диски, спинной мозг и нервные корешки. С ее помощью выявляются новообразования, сильные ушибы, грыжи, протрузии. Посредством КТ грудного отдела можно хорошо оценить костные структуры, размеры позвоночного канала, его сужение или деформацию. На КТ снимках будут видны даже самые минимальные изменения в структуре позвонков. При вопросе об оперативном вмешательстве магнитно-резонансная и компьютерная томография играют решающую роль. Комплексные результаты КТ и МРТ позвоночника покажут, точно ли нужна операция и позволят разработать план оперативного вмешательства.
Поскольку физика получения изображения на МРТ и КТ отличается - магнитно-резонансная томография работает на прицепе ядерного магнитного резонанса, а компьютерная томография использует рентгенологической излучение, то эти обследования имеют разный перечень противопоказаний.
При магнитно-резонансной томографии нет опасного излучения для организма человека, в то время как в КТ исследовании присутствуют рентгеновские лучи. Поэтому компьютерная томография категорически запрещена беременным и не желательна для детей малого возраста. МРТ из-за использования сильного магнитного поля не применяется для обследования пациентов с металлическими имплантами в теле и электронными приборами жизнеподдержания.
Читайте также:
- Источники и дозы ионизирующего облучения
- Психологическое (конверсионное) нарушение зрения
- Подмыщелковые и эпифизарные переломы большеберцовой кости. Диагностика и лечение
- Показания для операции при нейропатии надлопаточного нерва
- Костный мозг при острой лучевой болезни. Морфология лучевого поражения костного мозга
