МРТ артрограмма при подвздошно-поясничном импинджменте
Добавил пользователь Евгений Кузнецов Обновлено: 08.01.2026
Одной из причин появления болевого синдрома в пояснично-крестцовой зоне является мышечно- тонический синдром, то есть перенапряжение или спазм мышц. В первую очередь во время осмотра при любых проблемах с поясницей обращают внимание на следующие мышцы:
- квадратная мышца поясницы;
- длиннейшая мышца спины;
- большая и средняя ягодичная мышца;
- грушевидная мышцы.
Но при этом, часто не обращают внимания на состояние подвздошно-поясничной мышцы.
По статистическим данным, приведённым профессором А.И.Капанджи, спазм подвздошно-поясничной мышцы является виновником стойких болей в пояснице не менее чем у 30% больных.
Кроме того, у 40% больных с заболеваниями тазобедренных суставов встречается psoas-syndrom (синдром поясничной мышцы).
Смею предположить, что процент этот несколько выше, поскольку при заболеваниях тазобедренного сустава делаются лишь мрт и рентген, при этом подвздошно- поясничная мышца не обследуется вовсе. Как самостоятельное заболевание psoas-syndrom встречается лишь у 2,5% больных.
На приеме пациенты жалуются на боль в области головки бедренной кости с иррадиацией в коленный сустав. На момент осмотра бедро ротировано кнаружи (супинированно), согнуто и приведено, а активное сгибание и разгибание в тазобедренном суставе резко ограничено. Присутствует перекос таза, что приводит к функциональному укорочению нижней конечности и гиперлордозу поясничного отдела позвоночника.
Гиперлордоз в свою очередь приводит к растяжению передней продольной связки поясничного отдела позвоночника, а также суживает просвет межпозвонковых отверстий, где располагаются периферические нервные корешки. Спазм подвздошно-поясничной мышцы напрямую воздействует на состояние фиброзных колец межпозвоночных дисков, так как волокна мышцы прикрепляются не только к телам поясничных позвонков. Чаще всего пациенты с psoas-syndrom предъявляют жалобы на пояснично-крестцовую боль с иррадиацией в пах и по передней поверхности бедра.
Методика устранения psoas-syndrom.
На ранних стадиях достигается методом постизометрической релаксации (ПИР). Для достижения терапевтического эффекта рекомендуют комплексное лечение. Схема лечения включает в себя методы стабилизации поясничного отдела позвоночника (режим разгрузок, лечебную гимнастику с целью укрепления мышц туловища), общеукрепляющую, противовоспалительную медикаментозную терапию, миорелаксанты и физиотерапию. При неэффективности или в случае резко выраженного болевого синдрома проводят лекарственные блокады m.iliopsoas.
На мр-изображении видно, что большая поясничная мышца находится в состоянии отека, о чем свидетельствует изменение сигнальных характеристик. (гиперинтенсивная, яркая по t2)
А.И. Капанджи "Физиология суставов. Позвоночник",
К. Левит "Мануальная терапия",
Д.С. Вальтер "Прикладная кинезиология".





Мёд! Натуральный, сладкий и очень полезный продукт, сфера влияния которого расширяется с развитием косметологии. О чудодейственности меда известно уже несколько тысяч лет. Женщины издавна использовали мед в домашних косметических процедурах, составляя бальзамы, очищающие скрабы и пилинги.
Массаж шейно-воротниковой очень хорошо снимает негативные ощущения и придаёт подвижность шеи. Как следствие улучшает сон, самочувствие и работоспособность (производительность).
Инфаркт миокарда, стенокардия, гипертоническая болезнь, инсульт мозга в современном обществе очень сильно «молодеет». На сегодняшний момент не нонсенс встретить в больнице пациента с одним из этих диагнозов в возрасте до 30-40 лет.
с 15:30 до 21:30
м. Таганская
Осталось 3 места
с 15:30 до 21:30
м. Таганская
Осталось 2 места
с 15:30 до 21:30
м. Таганская
Осталось 5 мест
Copyright © 2022 Институт Массажа и Косметологии
МРТ артрограмма при подвздошно-поясничном импинджменте
МРТ артрограмма при подвздошно-поясничном импинджменте
а) Определения:
• Соударение подвздошно-поясничной мышцы и ее сухожилия с головкой бедренной кости:
о В небольшом числе случаев выявляется синдром «щелкающего бедра» («соха saltans»):
- При движении сухожилие подвздошно-поясничной мышцы резко соскальзывает вдоль головки бедренной кости
- Пациенты ощущают «щелчок» при движении, который может быть довольно болезненным
б) Визуализация:
1. МРТ:
• Разрыв вертлужной губы в экваториальной области (в положении «на 3 часа»):
о Место разрыва располагается ниже такового при бедренно-вертлужном импинджменте (БВИ)
• Подвздошно-поясничный импинджмент может сочетаться с подвздошно-поясничным бурситом
2. Динамическая тендовагинография при синдроме «щелкающего бедра»:
• Иглу продвигают во влагалище сухожилия
• Вводят контрастный препарат, иглу извлекают
• Оценивают тазобедренный сустав в движении: сухожилие должно резко «соскользнуть»

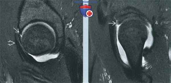
(Слева) МР-артрография в режиме Т1ВИ FS, аксиальный срез: выявляется подвздошно-поясничный импинджмент. В положении «на 3 часа» определяется неровный контур передней суставной губы, в толще которой отмечается контрастный препарат. Сухожилие подвздошно-поясничной мышцы в этом месте перекидывается через суставную губу и располагается спереди от нее.
(Справа) МР-артрография в режиме Т1ВИ FS, аксиальный срез, этот же пациент: в положении «на 1 час» суставная губа выглядит интактной. Подвздошно-поясничная мышца проходит кпереди от вертлужной впадины.
в) Дифференциальная диагностика подвздошно-поясничного импинджмента:
1. Подвздошно-поясничный бурсит:
• Обусловлен избыточной нагрузкой или ревматоидным артритом
2. Бедренно-вертлужный импинджмент:
• Обычно разрыв суставной губы локализуется выше
3. Пубалгия спортсменов:
• Также может проявляться болями в переднем отделе паховой области
4. Остеоартроз:
• Может проявляться болями в переднем отделе паховой области, ощущением заклинивания
5. Травматический разрыв вертлужной губы:
• Может проявляться болями в переднем отделе паховой области, ощущением заклинивания

(Слева) МР-артрография в режиме PD FS, сагиттальный срез, этот же пациент: в положении «на 3 часа» визуализируется разрыв суставной губы. Спереди ее пересекает сухожилие подвздошно-поясничной мышцы.
(Справа) МР-артрография в режиме PD FS, сагиттальный срез, этот же пациент: отмечается, что верхняя часть суставной губы интактна. При ее разрыве следовало бы заподозрить скорее бедренно-вертлужный, чем подвздошно-поясничный импинджмент.
г) Клинические особенности:
1. Проявления:
• Типичные признаки:
о Боли по передней поверхности бедра
о Локальная болезненность при пальпации
• Прочие симптомы:
о Временное ослабление боли после введения лекарственных препаратов в синовиальную сумку или полость тазобедренного сустава
2. Демография:
• Пациенты молодого возраста
• Чаще спортсменки
• Может являться причиной боли после коррекции БВИ
• Может возникать после эндопротезирования тазобедренного сустава:
о Подвздошно-поясничный импинджмент может возникать за счет выступающего вертлужного компонента
о Введение анестетиков и кортикостероидных препаратов позволяет подтвердить диагноз и на время уменьшить интенсивность боли
3. Течение и прогноз:
• В настоящее время получено мало данных относительно исхода
• Резекция сухожилия может привести к атрофии и слабости подвздошно-поясничной мышцы
4. Лечение:
• Если эндопротезирование не проводилось, то с целью лечения выполняется резекция сухожилия подвздошно-поясничной мышцы
• Если импинджмент возник после эндопротезирования, обычно проводится ревизия
д) Список использованной литературы:
1. Brandenburg JB et al: The functional and structural outcomes of arthroscopic iliopsoas release. Am J Sports Med. 44(5): 1286-91, 2016
2. Bardakos NV: Hip impingement: beyond femoroacetabular. J Hip Preserv Surg. 2(3):206-23, 2015
3. Sutter R et al: Atypical hip impingement. AJR Am J Roentgenol. 201(3):W437-42, 2013
4. Blankenbaker DG et al: Labral injuries due to iliopsoas impingement: can they be diagnosed on MR arthrography? AJR Am J Roentgenol. 199(4):894-900, 2012
5. Domb BG et al: Iliopsoas impingement: a newly identified cause of labral pathology in the hip. HSSJ. 7(2):145-50, 2011
Синдром подвздошно-поясничной мышцы
Подвздошно-поясничная мышца – одна из самых коварных мышц нашего тела. Участвуя во множестве движений, она часто становится причиной боли. При этом ей удаётся оставаться вне подозрений и ускользать из поля зрения врачей. Из-за этой особенности её прозвали – тайная проказница [Дж. Трэвелл Д. Симонс. Миофасциальные боли и дисфункции. Том II. С. 101]. Почему про подвздошно-поясничную мышцу часто забывают? Как понять, что боль вызвана именно ей? Какой врач вам поможет? И многое другое – в нашей статье.

Автор статьи: Власенко Александр Адольфович
Главный врач, невролог, мануальный терапевт
Образование: Российский национальный исследовательский медицинский университет им. Н.И. Пирогова, Ставропольский государственный медицинский университет
Специализация: лечение мышечно-скелетных болей, миофасциального болевого синдрома, заболеваний позвоночника и суставов, в том числе грыжи диска, протрузии, сколиоза, кифоза, артроза; последствий травм позвоночника и опорно-двигательной системы в целом, последствий травм головы и головного мозга.
Оглавление
Что такое синдром подвздошно-поясничной мышцы
Синдром подвздошно поясничной мышцы или, точнее говоря, миофасциальный синдром подвздошно поясничной мышцы - это патология, которая развивается в толще мышечной ткани. Под влиянием ряда патологических факторов возникает спазм небольшого участка мышечных волокон. Этот микроскопически маленький участок спазмированных мышечных волокон получил название пусковая или триггерная точка. При определённых условиях триггерная точка активируется и запускает болезненный спазм всей мышцы. Таким образом, миофасциальный синдром подвздошно поясничной мышцы – это наличие в ней одной или нескольких триггерных точек, которые могут вызвать очень болезненный спазм подвздошно поясничной мышцы.
Нередко синдром подвздошно поясничной мышцы развивается на фоне остеохондроза, протрузии или грыжи диска. В этих случаях, боль, которую в реальности вызывает спазм подвздошно поясничной мышцы, ошибочно считают действием грыжи, остеохондроза или протрузии. Столкнувшись с такой ситуацией, действительно, можно ошибиться и уйти в сторону от правильного диагноза, если не иметь хорошей теоретической и практической подготовки. Миофасциальный синдром подвздошно поясничной мышцы – это коварное и непростое заболевание, требующее от врача опыта и знаний.
Расположение и строение подвздошно-поясничной мышцы

Симптомы синдрома подвздошно поясничной мышцы
При синдроме подвздошно поясничной мышцы - симптомом, чаще всего, является боль в пояснице, которая имеет ряд особенностей:
- во-первых, эта боль распределяется вертикально - вдоль позвоночника.
- во-вторых, если болит одна подвздошно поясничная мышца – симптомы боль ощущается с одной стороны, а если обе мышцы, то болит вся поясница сверху донизу.
- в-третьих, боль усиливается в вертикальном положении - стоя и при ходьбе, а снижается – лёжа с согнутыми ногами. Причём, лежать можно и на спине, и на боку, главное, чтобы ноги были согнуты. Но удобнее всего – на боку, в позе эмбриона.
Второй зоной боли, после поясницы, является бедро-пах и низ живота. Если такая боль ощущается справа, важно не перепутать это с аппендицитом, особенно с хронической его формой. И, если уж мы заговорили о взаимосвязи с внутренними органами, стоит отметить, что когда болит подвздошно поясничная мышца - симптомы боли могут усиливаться из-за воздействия на мышцу кишечника. Например, у пациентов страдающих запорами. Также описана чёткая взаимосвязь между болевыми ощущениями женских внутренних половых органов и подвздошно поясничной мышцы [Там же. Том II. С.110].
Следующий типичный симптом синдрома подвздошно поясничной мышцы – боль при вставании, особенно с низкого дивана или кресла. Такие же ощущения возникают при попытке сесть из положения лёжа. В самых тяжёлых случаях пациент, вообще, не может встать вертикально, а передвигается только на четвереньках.
Ещё одним симптомом синдрома подвздошно поясничной мышцы может быть сколиоз. Это объясняется односторонним укорочением поражённой мышцы, приводящим к временному боковому искривлению позвоночника.
Нарушение разгибания в тазобедренном суставе проявляется тем, что пациенту тяжело отвести ногу назад. Такое состояние также является типичным симптомом синдрома подвздошно поясничной мышцы.
Как видите, все симптомы достаточно чёткие, однако, некоторые из них характерны и для других мышц. В медицине важно уметь различать – дифференцировать – между собой ситуации, когда симптомы схожие, а причины разные. Это так и называется – дифференциальная диагностика. В общем, имейте в виду, что некоторые мышцы дают картину боли схожую с симптомами синдрома подвздошно поясничной мышцы. Например, схожую боль даёт квадратная мышца поясницы. Отличие в том, что при поражении квадратной мышцы боль усиливается при кашле и глубоком вдохе, чего не бывает при поражении подвздошно поясничной мышцы. Второе отличие: подвздошно поясничная мышца даёт вертикальную боль в пояснице, в то время как квадратная – горизонтальную, поперечную боль. Такую же, поперечную боль в пояснице, может вызвать поражение мышц живота. В общем, когда вы думаете, что болит подвздошно поясничная мышца - симптомы всегда нужно дифференцировать с другими возможными причинами, а сделать это самому, без грамотного врача и квалифицированной мануальной диагностики, весьма непросто.
Подвздошно поясничная мышца. Анатомия. Зоны боли.
Подвздошно-поясничных мышц у нас две – левая и правая. Они расположены внутри тела. Представьте позвоночник. У позвоночника есть задняя часть, которую можно потрогать со стороны спины и передняя – которая обращена к животу, точнее, к нашим внутренним органам. Так вот, подвздошно-поясничные мышцы располагаются на позвоночнике со стороны живота. Начинаясь вверху, у диафрагмы и рёбер, они тянутся внутри тела, вдоль всего поясничного отдела позвоночника и крестца; затем через таз выходят в области паха на бедро и прикрепляются там небольшим участком, каждая со своей стороны. Теперь давайте это представим немного в ином ракурсе. Перед нами живот человека - передняя брюшная стенка. Внутри, под ней, расположен кишечник. Под ним, в глубине – почки, а под почками расположены подвздошно-поясничные мышцы, которые лежат на передней поверхности позвоночника. Представили? Таким образом, подвздошно-поясничные мышцы прикрепляются к позвоночнику и тазу своей б0льшей стороной, а к бедру – лишь небольшим участком.
Эти детали очень важны. Поняв, как расположены и, где прикрепляются подвздошно-поясничные мышцы, вам будет легко понять, почему они, чаще всего, вызывают боль именно в пояснице.
Что такое «Принцип волоса»?
Если потянуть человека за волос, то он почувствует боль не в самом волосе, а, там, где волос крепится к голове - у его корня. Этот принцип мы называем – принцип волоса. Схожая картина возникает при спазме подвздошно поясничной мышцы – боль возникает там, где крепится мышца. А, как мы сказали, б0льшая часть подвздошно-поясничной мышцы крепится к пояснично-крестцовому отделу позвоночника. Поэтому именно в пояснице возникает болевой приступ у 85% пациентов. У остальных 15% боль возникает там, где крепится второй конец мышцы – в зоне пах - бедро - низ живота.

Диагностика и лечение синдрома подвздошно поясничной мышцы.
Лечением синдрома подвздошно поясничной мышцы занимается врач мануальный терапевт. Но, чтобы приступить к лечению, нужно удостовериться, что боль вызвана именно мышцей, а не иной проблемой. Следовательно, необходима диагностика. И здесь хочется обратить ваше внимание вот на что. Если было бы так, что пока человек болеет одной болезнью, то другая к нему не «цепляется» – врачам было бы легко и просто ставить диагнозы. Но, к сожалению, всё гораздо сложнее. Одновременно с синдромом подвздошно поясничной мышцы у человека может быть и остеохондроз, и протрузия, и грыжа диска, и артроз тазобедренного сустава, и целый букет других болезней. Попробуйте правильно определить причину боли и поставить точный диагноз при такой ситуации. И здесь поистине незаменимым методом диагностики является мышечное тестирование. Про него с уверенностью можно сказать, что он безошибочно выявляет больные и поражённые мышцы. Наши врачи в совершенстве владеют этим методом и смогут чётко определить синдромом подвздошно поясничной мышцы. А когда диагноз установлен – можно смело приступать к лечению.
- Выясним, чем вызваны симптомы — синдромом подвздошно-поясничной мышцы, остеохондрозом, протрузией или грыжей диска. Проведем мануальное мышечное тестирование.
- Продолжительность диагностики — 30 минут. Это полноценное обследование, а не 2-х минутные «ощупывания» для галочки.
- Диагностику проводит лично доктор Власенко А.А., врач с 30-летним опытом, эксперт в области лечения миофасциального и корешкового синдромов.
Лечение синдрома подвздошно поясничной мышцы состоит из основного и вспомогательных методов. Основным видом лечением синдрома подвздошно поясничной мышцы является мягкая мануальная терапия, вспомогательным – медикаменты, физиотерапия, ЛФК и пр. Мягкая мануальная терапия кардинально отличается от обычной мануальной терапии. Уже в самом её названии есть ответ на вопрос: «Чем отличается?». Она – мягкая. Мягкая мануальная терапия очень похожа на остеопатию и на массаж при синдроме пояснично подвздошной мышцы, но существенно превосходит их по эффективности.
Помимо мануального воздействия, лечение синдрома подвздошно поясничной мышцы может потребовать вспомогательного медикаментозного сопровождения. Обычно это требуется для запущенных и хронических форм синдрома подвздошно поясничной мышцы. По сложившейся в нашей клинике традиции и будучи приверженцами экологии внутренней среды организма, мы стараемся не назначать лекарства без веских на то оснований.
Мягкая мануальная терапия позволяет расслабить подвздошно поясничную мышцу эффективно и безопасно. С помощью глубокой проработки она снимет перенапряжение и спазм и надёжно устранит болевой синдром.
Артроскопия - Arthroscopy
Боковой мениск расположен между бедренной костью (бедренная кость, вверху) и кость голени (большеберцовая кость ниже). Большеберцовая хрящ показывает трещину (кончик инструмента-задиры).
Артроскопия (также называемый артроскопический или же замочная скважина хирургия) является минимально инвазивный хирургическая процедура на совместный при котором обследование и иногда лечение повреждений проводится с использованием артроскоп, эндоскоп который вводится в сустав через небольшой разрез. Артроскопические процедуры можно проводить во время ACL реконструкция.
Преимущество перед традиционными открытая операция состоит в том, что сустав не нужно открывать полностью. При артроскопии коленного сустава делаются только два небольших разреза: один для артроскопа, а другой - для хирургических инструментов, которые будут использоваться в полости колена. Это снижает восстановление время и может увеличить вероятность успеха за счет меньшего травмирования соединительная ткань. Он приобрел популярность благодаря более быстрому восстановлению и меньшему количеству рубцов из-за меньшего размера разрезов. [1] Оросительная жидкость (чаще всего нормальная) физиологический раствор ) используется для растяжения сустава и создания хирургического пространства.
Хирургические инструменты меньше традиционных. Хирурги просматривают область сустава на видеомониторе и могут диагностировать и восстанавливать разорванные ткани сустава, например: связки. Технически возможно провести артроскопическое исследование почти каждого сустава, но чаще всего это исследование колена, плеча, локтя, запястья, голеностопного сустава, стопы и бедра.
Содержание
Колено
Артроскопия коленного сустава, или артроскопическая хирургия колена, это операция, в которой используются артроскопические методы.
Во многих случаях он заменил классическую открытую операцию (артротомия ), который выполнялся в прошлом. Артроскопическая операция на колене - одна из самых распространенных ортопедических процедур, которая выполняется примерно 2 миллиона раз во всем мире каждый год. [2] Эти процедуры чаще выполняются для лечения травма мениска и выполнять передняя крестообразная связка реконструкция. [3]
В то время как артроскопия коленного сустава обычно используется для частичной менискэктомии (обрезки разорванного мениска) у людей среднего и пожилого возраста с болью в колене, заявленные положительные результаты, похоже, не имеют научных доказательств. [4] Многие исследования показали, что результаты артроскопической хирургии коленного сустава по поводу остеоартрита и дегенеративных разрывов мениска не лучше, чем результаты плацебо-хирургии или других методов лечения (например, лечебной физкультуры). [5] [6] [7] [8] [9] [10]
Во время средней артроскопии коленного сустава небольшая оптоволоконная камера ( артроскоп ) вводится в сустав через небольшой разрез шириной около 4 мм (1/8 дюйма). Можно сделать больше разрезов, чтобы визуально проверить другие части колена и вставить миниатюрные инструменты, которые используются для выполнения хирургических процедур.
Остеоартроз коленного сустава
Группа быстрых рекомендаций BMJ дает сильные рекомендации против артроскопии при остеоартрите на основании того, что есть высококачественные доказательства отсутствия долгосрочной пользы и менее 15% людей имеют небольшую краткосрочную пользу. [11] Возможны редкие, но серьезные побочные эффекты, включая венозную тромбоэмболию, инфекции и повреждение нервов. [11] [12] Экспресс-рекомендация BMJ включает в себя инфографику и общие инструменты для принятия решений, чтобы облегчить диалог между врачами и пациентами о рисках и преимуществах артроскопической хирургии. [11]
Два крупных исследования артроскопических операций по поводу остеоартрита коленного сустава не обнаружили положительного эффекта от этих операций. [13] [14] Несмотря на то, что рандомизированные контрольные испытания продемонстрировали, что это процедура, которая сопряжена с риском хирургического вмешательства с сомнительной или не очевидной долгосрочной пользой, страховые компании (государственные и частные) во всем мире в целом чувствовали себя обязанными продолжать ее финансирование. Исключением является Германия, где прекращено финансирование по показаниям на остеоартрит коленного сустава. Утверждается, что немецкие хирурги продолжают проводить артроскопию коленного сустава и вместо этого требуют скидки на основании субдиагноза, такого как разрыв мениска. [15]
Мета-анализ 2017 года подтвердил, что наблюдается лишь очень небольшое и обычно неважное уменьшение боли и улучшение функции через 3 месяца (например, среднее уменьшение боли примерно на 5 баллов по шкале от 0 до 100). [12] Отдельный обзор показал, что большинство людей сочли бы важным уменьшение боли примерно на 12 баллов по той же шкале от 0 до 100 - предполагая, что для большинства людей уменьшение боли через 3 месяца не имеет значения. [16] Артроскопия не уменьшила боль, не улучшила функции или качество жизни в течение одного года. [12] Есть важные побочные эффекты. [12]
Менисковые слезы
Одна из основных причин проведения артроскопии - восстановление или обрезка болезненного, разорванного или поврежденного мениска. [17] Технические термины операции - артроскопическая частичная менискэктомия (АРМ). Однако артроскопическая хирургия, по-видимому, не приносит пользы взрослым, если проводится по поводу боли в коленях у пациентов с остеоартроз у кого есть разрыв мениска. [18] [12] [19] Это может быть связано с тем, что порванный мениск часто не вызывает боли и симптомов, которые могут быть вызваны только остеоартритом. [20] Некоторые группы сделали строгие рекомендации против артроскопической частичной менискэктомии почти у всех пациентов, заявив, что единственная группа пациентов, которая может - или не может - получить пользу, - это те, у кого действительно заблокировано колено. [2] Однако профессиональные сообщества коленного сустава подчеркивают другие симптомы и связанные с ними факторы, которые, по их мнению, являются важными, и продолжают поддерживать ограниченное использование артроскопической частичной менискэктомии у тщательно отобранных пациентов. [21] [22]
Бедро
Артроскопия тазобедренного сустава первоначально использовался для диагностики необъяснимой боли в бедре, но в настоящее время широко используется для лечения состояний как внутри, так и за пределами тазобедренного сустава. Наиболее частым показанием в настоящее время является лечение бедренно-ацетабулярный удар (FAI) и связанные с ней патологии. Состояния тазобедренного сустава, которые можно лечить артроскопически, также включают разрывы губной губы, расшатывание / удаление инородного тела, промывание тазобедренного сустава (при инфекции) или биопсию, хрящевые (хрящевые) поражения, рассекающий остеохондрит, травмы круглой связки (и реконструкцию), тендинопатию подвздошно-поясничной мышцы поясничная), синдром вертела боли, щелкая Iliotibial группы, остеоартрит (спорный), сжатие нерва (синдром грушевидных седалищного), ischiofemoral соударения и прямую оценку замены тазобедренного сустава.
Артроскопия тазобедренного сустава является широко распространенным методом лечения целого ряда состояний, включая разрыв губ, ущемление бедра, рассекающий остеохондрит. [23]
Плечо
Артроскопия обычно используется для лечения заболеваний плеча, включая субакромиальный импинджмент, акромиально-ключичный остеоартрит, разрыв ротаторной манжеты, замороженное плечо (адгезивный капсулит), хронический тендинит, удаление рыхлых тел и частичных разрывов сухожилия длинной двуглавой мышцы плеча, SLAP поражения и нестабильность плеча. Наиболее частые показания включают субакромиальную декомпрессию, восстановление поврежденных участков и восстановление вращающей манжеты. Все эти процедуры выполнялись путем открытия сустава через большие разрезы до появления артроскопии. В последнее десятилетие все большее распространение получили артроскопические операции на плече. "Хирургия замочной скважины"плеча", как это широко известно, сокращает время пребывания в стационаре и потребности в реабилитации и часто является процедурой дневного ухода.
Запястье

Артроскопия запястье используется для исследования и лечения симптомов травма от повторяющихся деформаций, переломы запястья и разрыв или повреждение связок. Его также можно использовать для определения повреждений суставов, вызванных: остеоартроз запястья.
Позвоночник
Многие инвазивные процедуры на позвоночнике включают удаление костей, мышц и связок для доступа и лечения проблемных областей. В некоторых случаях, грудной При заболеваниях (средней части позвоночника) хирург должен получить доступ к проблемной области через грудную клетку, что значительно увеличивает время восстановления.
Артроскопические процедуры (также эндоскопические процедуры на позвоночнике ) обеспечивают доступ и лечение заболеваний позвоночника с минимальным повреждением окружающих тканей. Время восстановления значительно сокращается из-за относительно небольшого размера разрезов, и многие пациенты проходят лечение амбулаторно. [24] Скорость и время восстановления зависят от тяжести состояния и общего состояния здоровья пациента.
Артроскопические процедуры лечить
- и дегенеративные диски
- деформация позвоночника
- общий позвоночник травма
Височно-нижнечелюстного сустава
Артроскопия височно-нижнечелюстного сустава иногда используется как диагностическая процедура для симптомов и признаков, связанных с этими суставами, или как терапевтическая мера при таких состояниях, как дисфункция височно-нижнечелюстного сустава. Артроскопия ВНЧС может быть чисто диагностической процедурой, [25] или он может иметь свои собственные положительные эффекты, которые могут возникать в результате вымывания сустава во время процедуры, которое, как считается, удаляет мусор и медиаторы воспаления, и может позволить смещенному диску вернуться в правильное положение. Артроскопия также используется для визуализации внутренней части сустава во время определенных хирургических процедур с вовлечением суставного диска или суставных поверхностей, как и лапароскопия. [26] Примеры включают высвобождение спаек (например, тупым рассечением или лазером) или высвобождение диска. Во время артроскопии также можно выполнить биопсию или репозицию диска. [25] Проводится под общим наркозом. [27]
История
Профессор Кенджи Такаги в Токио традиционно приписывают проведение первого артроскопического исследования коленного сустава в 1919 году. Для своих первых артроскопий он использовал цистоскоп 7,3 мм. Недавно [ когда? ] это было обнаружено [ кем? ] что датский врач Северин Нордентофт сообщил об артроскопии коленного сустава в 1912 году на Слушаниях 41-го Конгресса Немецкого общества хирургов в Берлине. [28] Он назвал процедуру (на латыни) артроскопия genu, и использовали стерильный физиологический раствор или борная кислота решение в качестве его оптического носителя и вход в стык через портал на внешней границе надколенник. Неясно, проводились ли эти обследования умерших или живых пациентов.
Новаторская работа началась еще в 1920-х годах с работ Ойген Бирчер. В 1920-х он опубликовал несколько статей об использовании артроскопии колена в диагностических целях. [29] После диагностики разрыва ткани он использовал открытую операцию по удалению или восстановлению поврежденной ткани. Первоначально он использовал электрический тораколапароскоп Якобея для своих диагностических процедур, которые позволили получить нечеткое изображение сустава. Позже он разработал метод двойного контраста для улучшения видимости. [30] Он отказался от эндоскопии в 1930 году, и в течение нескольких десятилетий его работа оставалась без внимания.
Хотя его часто считают изобретателем артроскопии колена, [31] японский хирург Масаки Ватанабэ, Доктор медицины, получает первоочередное внимание за использование артроскопии в интервенционной хирургии. [32] [33] Ватанабе был вдохновлен работой и обучением доктора Ричарда О'Коннора. Позже доктор Хешмат Шахриари начал экспериментировать со способами удаления фрагментов менисков. [34]
Они разработали первый операционный артроскоп, и вместе они создали первую высококачественную цветную внутрисуставную фотографию. [35] В этой области значительно выросли технологические достижения, особенно в области гибкой волоконной оптики в 1970-х и 1980-х годах.
Считается, что канадский врач Роберт Джексон принес эту процедуру в западный мир. [36] В 1964 году Джексон был в Токио, где проходил годичную стажировку и работал врачом в олимпийской сборной Канады. Находясь там, он провел время в клинике доктора Ватанабе, изучая процедуру тридцатилетней давности, которая использовалась только для исследования артрита у пожилых людей. Доктор Джексон вернулся в Торонто, где продолжил практиковать эту технику, в конечном итоге став «ведущим в мире экспертом по артроскопии». [37]
Согласно с Sports Illustrated «Особый гений Джексона заключался в том, чтобы распознать более широкое применение процедуры, чем когда-либо делал Ватанабэ». [38] Доктор Джексон понял, что эту технику можно использовать для молодых атлетичных пациентов, получивших травмы. Ранее разорванный хрящ или связки коленного сустава требовал процедуры артротомии и мог означать год или более реабилитации или конец карьеры. Доктор Джексон считал, что менее инвазивная процедура с меньшими разрезами может спасти карьеру травмированных спортсменов. [39] Хотя поначалу многие были настроены скептически, усилия доктора Джексона по разработке, обучению и популяризации этой процедуры помогли продлить карьеру таких спортсменов, как Бобби Орр, Уиллис Рид, Джоан Бенуа и Мэри Лу Реттон. За это доктор Джексон был назван одним из сорока самых влиятельных людей в истории спорта Sports Illustrated, заняв 37-е место и единственным доктором в списке. [40]
Хирургическое обучение
Хирургическим навыкам артроскопии традиционно обучают в трупных лабораториях, хотя переход к операциям in vivo варьируется от страны к стране. [41] Международное общество артроскопии, хирургии коленного сустава и спортивной ортопедической медицины (ИСАКОС ) имеет список утвержденных курсов для приобретения хирургических навыков.
Новая методика обучения использует медицинское моделирование как альтернатива дрессировке трупа. Симуляторы высокой точности варьируются от тех, которые используют настоящие хирургические инструменты и пассивные тактильные устройства, такие как ВиртаМед с ArthroS ™, тем, кто полагается на активную тактильную обратную связь, например, Arthro Mentor из Симбионикс. При изучении пассивная тактильная чувствительность показала «высокие баллы с точки зрения реализма» и способность различать «различные уровни артроскопического опыта». [42] Справочные материалы, такие как приложение, разработанное Touch Surgery, также содержат визуализацию минимально инвазивных методов.
Осложнения
Артроскопия считается процедурой с низким риском и очень низким уровнем серьезных осложнений. [43] [44] [45] Обычно ирригационная жидкость может протекать (экстравазирует ) в окружающие мягкие ткани, вызывая отек что обычно является временным явлением, для полного урегулирования требуется от 7 до 15 дней. В редких случаях эта жидкость может стать причиной серьезного осложнения, синдром компартмента. [46] Однако, Постартроскопический хондролиз плечевого сустава (PAGCL) - редкое осложнение артроскопическая хирургия и включает хондролиз при этом суставной хрящ из плечо претерпевает быстрые дегенеративные изменения вскоре после артроскопической операции. [47]
Антелистез позвонка

В медицинской практике воспаление подвздошно-поясничной мышцы встречается часто. Обычно патология проявляется у людей, применяющих серьезные физические нагрузки во время занятий спортом или на работе. Илеопсоит проявляется болями в поясничной области. Патология не дает человеку нормально сгибать или разгибать туловище, передвигаться и наклоняться в стороны.
Нарушения начинаются с острого болевого синдрома, после чего воспаленную мышцу охватывает спазм. При прощупывании чувствуется сильный дискомфорт, тело напряжено. Если воспаление хоть раз проявило себя в прошлом, то при неблагоприятном стечении обстоятельств и воздействии агрессивных факторов среды патология снова даст о себе знать. При любой стрессовой для организма ситуации (переохлаждение, чрезмерная физическая активность) появляется ощущение спазма, которое серьезно ухудшает качество жизни человека.
Риски в постановке диагноза
Распознать воспаление подвздошно-поясничной мышцы можно по характеру и месту локализации боли. В отличие от остеохондроза болевой симптом захватывает паховую область. При ходьбе неприятные ощущения усиливаются. Иногда боль уходит в колено, а при попытке отставить ногу в сторону она переходит в бедро.
В период острого воспаления могут появляться симптомы интоксикации организма:
- Человек начинает плохо себя чувствовать, у него снижается активность, работоспособность, появляется ощущение полной опустошенности.
- Возможен подъем температуры, но, как правило, до невысоких значений.
- Тело начинает ломить, мышцы болят, усиливается общая слабость, больного начинает бросать в жар, более интенсивным становится потоотделение.
В подавляющем большинстве случаев илеопсоит развивается в правой части тела из-за повышенной нагрузки на эту область. Иначе обстоит дело у левшей, ведь, компенсируя данный природой механизм, они переносят основную нагрузку на левую сторону, за счет чего она страдает больше.
Диагностика воспаления подвздошно-поясничной мышцы вызывает сложности из-за ее близкого расположения к позвоночнику. Дифференцировать точную локацию боли трудно, так как рядом еще проходит нервное сплетение. Болезнь часто путают с проявлениями остеохондроза или плексита. Некорректное назначение противовоспалительных и обезболивающих средств способно снизить дискомфорт, однако отсутствие грамотного лечения спровоцирует переход болезни в хроническую форму с регулярным проявлением рецидивов. Это означает, что выбор врача ― важный шаг на пути к восстановлению здоровья.
Анатомия подвздошно-поясничной мышцы
Анатомическое строение этой области предполагает соединение малой и большой поясничной, а также подвздошной мышц. В дистальных отделах происходит расщепление мускул на пучки, образующие новую мышцу, входящую в структуру внутренней мускулатуры таза. Близость к позвоночнику обеспечивает диффузное питание хрящевых элементов межпозвоночного пространства.
Физиологически подвздошно-поясничная мышца огибает тазобедренный сустав, фиксируясь сухожильным волокном в передней части вертела бедренной кости. Такое расположение обуславливает участие этой структуры в движениях нижней конечности. В результате воспалительного процесса появляется сильная боль при движениях ногой: во время шага, приседания, отведения ноги в сторону.
К чему приводит повреждение мышцы
Повредить мышцу можно при травме (ударе, ушибе, аварии), воспалительном процессе в близко расположенных структурах, при нарушении кровотока и сбое в поступлении питательных веществ. Воспаление может стать реакцией на растяжение или воздействие остеофитов, сформированных на позвонках и разделяющих их дисках.
Еще один вариант травмы ― это компрессия из-за отечности окружающих тканей. Не стоит чрезмерно перегружать тело физическими нагрузками, следует тщательно рассчитывать свои силы. С осторожностью нужно подходить к таким упражнениям, как шпагат и растяжка, особенно тем людям, кто впервые учится этим техникам. При разрыве мышечных волокон в подвздошно-поясничной мышце восстанавливаться придется долго.
Причины воспаления в подвздошно-поясничной мышце
Распространенной причиной развития воспалительного процесса становится инфекция. В числе наиболее вероятных возбудителей медики отмечают золотистый стафилококк, кишечную палочку, стрептококк и другие патогенные микроорганизмы. Инфекция лучше всего приживается в организме человека с ослабленным здоровьем и низким иммунитетом.
Способствуют развитию патологического состояния следующие факторы:
- хронические воспаления по женскому профилю, затрагивающие органы малого таза;
- воспаление простаты хронического течения;
- нарушенная микрофлора кишечника, запоры, колиты;
- патологии почек, мочевого пузыря;
- фурункулез на нижних конечностях и в тазобедренной области;
- воспаление лимфоузлов в паху, болезни кишечника.
Патологию может спровоцировать неблагоприятная микрофлора, которая разносится с током крови и поступает в жизненно важные центры.

Успех лечения на 90% зависит от опыта и квалификации врача.
Бесплатная консультация и диагностика врача
- Мануальный терапевт
- Вертебролог
- Остеопат
- Невролог
На консультации мы проводим тщательную диагностику всего позвоночника и каждого сегмента. Мы точно определяем какие сегменты и нервные корешки вовлечены и вызывают симптомы боли. По итогам консультации даем подробные рекомендации по лечению и если необходимо назначаем дополнительную диагностику.
Проведем функциональную диагностику позвоночника
Выполним манипуляцию, существенно облегчающую боль
Составим индивидуальную программу лечения
Симптомы болезни
Применив неправильную тактику при лечении воспаления подвздошно-поясничной мышцы и отложив посещение врача до лучших времен, пациент рискует перевести острый воспалительный процесс в хронический. При возникновении воспаления или травмы симптомы патологии ярко выражены и сразу же обращают на себя внимание:
- повышается температура тела, наблюдается недомогание (если нарушение сопровождается абсцессом, то температура высокая);
- появляется сильная боль в месте воспаления, которая имеет пульсирующий характер;
- при серозной форме заболевания возникает мышечный спазм;
- при серозно-гнойной форме в волокнах мышцы появляется нагноение, выпустить гнойное содержимое можно лишь через хирургический разрез;
- гнойная форма развивается стремительно, без оказания медицинской помощи инфицируются близлежащие ткани, включая позвоночник и спинной мозг.
При хроническом течении заболевания соединительная ткань формирует внутри мышцы тяжи, которые препятствуют ее нормальной работе. Какие симптомы свидетельствуют о необходимости обратиться к врачу:
- боль разливается по телу от поясничной области к бедру;
- болезненность захватывает колено (при выполнении движений это чувствуется особенно сильно);
- продолжительные прогулки вызывают дискомфорт, и человек при ходьбе начинает прихрамывать;
- в положении сидя больной непроизвольно старается перенести центр тяжести на здоровую сторону тела;
- при отведении ноги в сторону боль становится сильнее и ощутимее.
Поскольку подвздошно-поясничная мышца пролегает глубоко, прощупать ее достаточно сложно. Сделать это правильно способен грамотный врач при обследовании в районе наружного вертела бедренной кости. Для постановки точного диагноза также применяются методы визуальной диагностики: УЗИ, рентген, МРТ. При подозрении на наличие гнойного очага берется пункция.
Лечение воспаления подвздошно-поясничной мышцы
Лечебные мероприятия подбираются индивидуально с учетом особенностей клинической картины. При развитии гнойного воспалительного процесса проводится санация вскрытой полости, затем назначается антибактериальная терапия. Эффективный результат показывают следующие методики:
- Массаж, мануальная терапия и остеопатия ― стабилизируют мышечно-костный баланс, восстанавливают нормальную циркуляцию крови и лимфы.
- Кинезиотерапия помогает купировать спастические проявления.
- Рефлексотерапия способствует повышенной регенерации клеточных структур, усиливает иммунную защиту.
На время лечения воспаления пояснично-подвздошной мышцы следует ограничить физическую активность. Восстановительные процедуры назначаются курсами.
Для прохождения обследования запишитесь на прием к врачу по телефону горячей линии или через наш сайт. Укажите удобное время для посещения клиники. Первая консультация и обследование проводятся бесплатно. В клинике доктора Длина используются лучшие методики лечения, авторские и традиционные техники восстановления пациентов, учитывается опыт российских и зарубежных коллег. Пациенты проходят лечение под контролем мануальных терапевтов, ортопедов, вертебрологов и других специалистов.
Читайте также:
