МРТ крестообразных связок коленного сустава в норме
Добавил пользователь Евгений Кузнецов Обновлено: 28.11.2025
МРТ коленного сустава стала повсеместно принятым диагностическим исследованием и резко сократила число артроскопий. В то же время, задача МРТ оценки состояния структур после операции на связках и менисках остается весьма непростой для многих центров МРТ СПб . МРТ в СПБ, проводимая профессором Холиным А.В., с успехом справляется с этой задачей не только в высоком поле, но и в том числе и на аппаратах открытого типа.
После операции частичного удаления мениска нередко возникают боли в оперированном суставе. тогда стоит вопрос о повторном разрыве. Задача МРТ коленного сустава состоит в дифференциальной диагностика следа восстановления мениска после операции от повторного разрыва. Повышенный сигнал в мениске на Т2-взвешенных МРТ очень схож при заживлении мениска и при разрыве, однако, разрывы обычно линейной формы и связаны с замечательной пластинкой. После операции могут быть также трабекулярные отеки костного мозга, что может отражать остеонекроз.
МРТ коленного сустава. Корональная Т2-взвешенаая МРТ. Нормальное состояние мениска после частичной менискэктомии.
МРТ коленного сустава. Сагиттальная МРТ, отражающая протонную плотность. Нормальная послеоперационная потеря контура сустава.
МРТ коленного сустава. Сагиттальная Т2-взвешенная МРТ. Повторный разрыв оперированного мениска.
МРТ коленного сустава. Корональная Т2-взвешенная томограмма с подавлением сигнала от жира. Остеонекроз после операции.
После восстановления передней крестообразной связки (ПКС) важно оценить по МРТ ее состоятельность в поддержании стабильности коленного сустава, послеоперационные повреждения структур коленного сустава, оценить послеоперационные контракты в связи с фиброзом и импинджментом. Чаще всего для восстановление целостности ПКС используется аутотрансплантация. Ход костных тоннелей в дистальной части бедренной кости и проксимальном отделе большеберцовой кости имеют решающее значение для правильного функционирования трансплантата ПКС , и важно, чтобы при МРТ коленного сустава оценить положение этих туннелей. Правильное положение бедренного туннеля имеет решающее значение которое позволяет сохранять постоянную длину и натяжение трансплантата при сгибании и разгибании коленного сустава. Если бедренный туннель расположен слишко кпереди это будет вызывать удлинение трансплантата и приводить к нестабильности коленного сустава. Положение бедренного туннеля должно соответствовать задней межмыщелковой крыше на сагиттальных МРТ коленного сустава. На коронарных МРТ коленного сустава, бедренный туннель должен быть на 11 часов для правого коленного сустава и 1 час для левого коленного сустава. Правильное положение большеберцового туннеля важно для предотвращения соударений трансплантата. Положение большеберцовой туннеля должно быть параллельно, но позади склона межмыщелковой крыши (линии Blumensaat), что видно на сагиттальных МРТ. На корональных МРТ, большеберцовый туннель должен открываться на межмыщелковом возвышении. Интактные трансплантаты имеют либо низкую интенсивностью сигнала или промежуточную интенсивность сигнала на Т1-взвещенных МРТ коленного сустава. На Т2-взвешенных МРТ, в трансплантате могут быть участки с промежуточной интенсивностью сигнала, но не должно быть никакого жидкостного сигнала, проходящего через всю толщину трансплантата.Поскольку оба неповрежденные и порванные трансплантаты ПКС могут иметь промежуточную интенсивность сигнала на Т1-взвешенных МРТ коленного сустава, результаты визуализации на T2-взвешенных МРТ имеют решающее значение для выявления нарушения трансплантата. На Т2-взвешенных МРТ не должно быть разрушения трансплантата в виде увеличение интенсивности сигнала. Потеря разгибания или контрактура сгибания является осложнением функции после реконструкции ПКС, который обычно вызвано соударениями (импинджмент) или локальным передним фиброзом. Клинически трудно провести различие между этими двумя состояниями, но каждый из них имеет отличительные черты при МРТ. Соударения наиболее часто происходят, когда туннель большеберцовой кости расположен впереди пересечении склона межмыщелковой крыши с проксимальным отделом большеберцовой кости. Как обсуждалось ранее, большеберцовый туннель должен быть полностью позади пересечении межмыщелковой крыши и большеберцовой кости. МРТ коленного сустава позволяет визуализацировать большеберцовый туннель и его отношение к линии Blumensaat и отношение трансплантата ПКС к межмыщелковой крыше. Локальный передний фиброз – вторая важная причина потери функции разгибания. Он представляет собой локальное поражение, которое находится кпереди от трансплантата ПКС и может быть к его дистальной части. Это участок фиброза захватывается между бедром и голенью, когда колено разгибается, что приводит к механическому блокаде разгибания. Патогенез локального переднего фиброза является неясным. На T1-взвешенных МРТ коленного сустава участок поражения низкой интенсивности сигнала, который расположен кпереди от трансплантата в межмыщелковой выемке. На Т2-взвешенных МРТ коленного сустава, фиброз неоднородный, но преимущественно низкой интенсивности сигнала и хорошо дифференцируется от высокого сигнала суставной жидкости.
МРТ коленного сустава. Сагиттальная Т1-взвешенная МРТ. Нормальный ход трансплантата ПКС.
МРТ коленного сустава. Сагиттальная Т2-взвешенная МРТ. Разрыв трансплантата.
МРТ разрыва связок коленного сустава

Схема. Механизм травмы с разрывом крестообразных связок.
Основными связками коленного сустава служат передняя крестообразная (ПКС), задняя крестообразная (ЗКС), медиальная коллатеральная (МКС) и латеральная коллатеральная (ЛКС). Кроме них еще есть ряд вспомогательных связок, имеющих второстепенное значение.
Передняя крестообразная связка
При МРТ коленного сустава в сагиттальной плоскости ПКС прямая, может состоять из пучков (до 4) и светлее ЗКС. На МРТ в корональной плоскости ПКС расположена латеральнее ЗКС в межмыщелковой вырезке бедренной кости. На МРТ коленного сустава в аксиальной плоскости ПКС прилежит к латеральной стенке верхней межмыщелковой вырезки и уходит вниз и медиально.
Разрыв ПКС в 90% ставится клиническими методами, травмы ЗКС выявляются клиническими методами хуже. МРТ коленного сустава при подозрении на травму ПКС необходима для выявления сопутствующих травматических изменений. С помощью МРТ коленного сустава можно увидеть прямые и непрямые признаки разрыва ПКС
Прямые:
отсутствие визуализации связки (следствие отёка и кровоизлияния)
угловой, извитой или горизонтальный ход (<45º)

МРТ коленного сустава. Полный разрыв ПКС с “невизуализацией” связки.
МРТ коленного сустава. Разрыв ПКС и искривление хода ЗКС.
Косвенные:
субхондральное повреждение мыщелка бедренной кости и/или плато большеберцовой кости;
смещение большеберцовой кости кпереди (5 мм по отношению к заднему краю бедренной кости);
перелом межмыщелкового выступа большеберцовой кости
Перелом Сегонда – вертикальный костный фрагмент большеберцовой кости на 4 мм дистальнее плато и параллельный латеральному кортикальному слою
Задняя крестообразная связка
Частота разрывов ЗКС составляет 3-20% от повреждений коленного сустава. Примерно половина случаев спортивная травма. Изолированные разрывы наблюдаются только в 3%. случаев. В 65% разрыв ЗКС сочетается с разрывом ПКС, 30% – с медиальным мениском и медиальной коллатеральной связкой.
При МРТ коленного сустава видно, что ЗКС отходит от латеральной поверхности медиального мыщелка бедренной кости. Оканчивается ЗКС прикреплением к суставной поверхности плато большеберцовой кости. Аналогично ПКС, ЗКС проходит внутри коленного сустава. Иногда при МРТ видно, что ЗКС состоит из 2 пучков – передне-латерального и задне-медиального. На сагиттальных МРТ коленного сустава отчетливо прослеживается, что ЗКС в заметно толще ПКС и плотно связана с мениско-феморальными связками (Ризберга и Хамфри). На Т2-взвешенных МРТ коленного сустава в любой плоскости ЗКС визуализируется темнее и однороднее ПКС. При МРТ коленного сустава можно определить полный разрыв – 40% (степень III), частичный – 55% или отрыв ЗКС– 7%.
Коллатеральные связки
Коллатеральные связки играют вспомогательную роль в поддержании стабильности сустава. При МРТ коленного сустава можно определить следующие степени разрыва МКС и ЛКС:
Степень I – повышенный сигнал от связки на МРТ вследствие отёка
Степень II – повышенный сигнал от связки на МРТ и ее утолщение и/или частичный ее разрыв
Степень III – полный разрыв ЗКС на МРТ коленного сустава с окружающим отёком тканей и кровоизлиянием
При МРТ в СПб в наших клиниках (Нв частности в ЦМРТ на аппарате открытого типа) визуализация травмы занимает большое место. Оценка состояния крестообразных связок принципиально для вопроса о дальнейшей тактики лечения. Результаты МРТ коленного сустава описаны в другой популярной статье нашего сайта.
МРТ крестообразных связок коленного сустава в норме
а) Аббревиатуры:
• Передняя крестообразная связка (ПКС)
• Задняя крестообразная связка (ЗКС)
Первая из двух продольных МР-томограмм в режиме Т2 с подавлением сигнала от жира, полученная через межмыщелковую вырезку в ее более медиальном отделе: начало ЗКС в переднем отделе медиальной части межмыщелковой вырезки, а также место ее прикрепления на задней поверхности большеберцовой кости на 1 см ниже линии сустава. ЗКС выглядит как толстый единый тяж обычно не менее, чем на двух последовательных изображениях. Непосредственно позади проксимальной порции ЗКС расположена жировая ткань. Дистальнее к ЗКС примыкает задний заворот сустава. Капсула сустава находится позади жировой ткани и заворота. В данном случае имеется мениско-бедренная связка Хамфри (Hamphrey), а связка Врисберга (Wrisberg) отсутствует. Эта томограмма получена немного латеральнее предыдущей—через межмыщелковую вырезку. Передняя крестообразная связка берет свое начало в заднем отделе латерального мыщелка бедренной кости в межмыщелковой вырезке. Визуализируется широкое прикрепление связки к плато большеберцовой кости. Первая из двух фронтальных томограмм в режиме Т2 с подавлением сигнала от жира: визуализируются крестообразные связки. На этом более заднем срезе визуализируется задняя крестообразная связка возле места своего прикрепления в заднем отделе плато большеберцовой кости. Передняя крестообразная связка не визуализируется. Обратите внимание, что в то время как мы ожидаем полной визуализации ПКС на более передних фронтальных изображениях, ЗКС на фронтальных срезах отображается не полностью. На этом более переднем срезе также визуализируются крестообразные связки: передне-внутренний и задненаружный пучки ПКС, берущие свое начало от латерального мыщелка бедренной кости и прикрепляющиеся к плато большеберцовой кости сопредельно медиальному бугорку межмыщелкового возвышения. Поскольку фронтальные срезы выполняются под углом, оба пучка визуализируются на одном и том же изображении. Задненаружный пучок натянут, так как конечность разогнута. Первая из трех аксиальных МР-томограмм в режиме Т2 с подавлением сигнала от жира, полученная через верхнюю часть межмыщелковый вырезки. В верхней части вырезки визуализируется ПКС, отходящая от заднего отдела латерального мыщелка бедренной кости. Остальная часть вырезки заполнена жировой тканью и представляет собой потенциальное пространство (сумка задней крестообразной связки). Аксиальный срез на уровне средней части межмыщелковой вырезки. ПКС проходит косо к месту своего прикрепления на плато большеберцовой кости. Визуализируется начало ЗКС в переднем отделе медиального мыщелка бедренной кости в пределах межмыщелковой вырезки. Кпереди от ПКС, а также кзади и кнутри от ЗКС определяются заполненные жидкостью завороты. В нижней части межмыщелковой вырезки визуализируется ПКС, которая приблизилась к месту своего прикрепления на плато большеберцовой кости. ЗКС все еще находится внутри капсулы, но начинает сливаться с ней по мере приближения к месту прикрепления на задней поверхности большеберцовой кости. Крестообразные связки хорошо визуализируются в аксиальной плоскости. Аксиальная МР-томограмма, взвешенная по протонной плотности, с подавлением сигнала от жира, полученная через мыщелки бедренной кости: косая мениско-менисковая связка. Эта редко встречающаяся структура соединяет передний рог одного мениска с задним рогом противоположного. Она проходит между передней и задней крестообразными связками. Продольная МР-томограмма, взвешенная по протонной плотности, полученная через межмыщелковую вырезку: непостоянная поднадколенниковая складка. Складка начинается от надколенника, проходит через жировое тело Гофа (Hoffa) и идет вдоль передней поверхности передней крестообразной связки. Ее не следует путать с продольным расщеплением ПКС. Продольная МР-томограмма, взвешенная по протонной плотности, полученная через межмыщелковую вырезку: визуализируется поднадколенниковая складка, проходящая через жировое тело Гофа, параллельно изгибу мыщелка бедренной кости, и затем параллельно передней крестообразной связке. Продольная МР-томограмма, взвешенная по протонной плотности, полученная через межмыщелковую вырезку: мениско-крестообразная связка. Связка проходит от переднего рога медиального мениска вдоль передней поверхности передней крестообразной связки к мыщелку бедренной кости. Она может быть ошибочно расценена как признак продольного разрыва крестообразной связки. Продольная МР-томограмма, взвешенная по протонной плотности, с подавлением сигнала от жира: другой вариант мениско-крестообразной связки. Связка начинается от поперечной связки и, поскольку проходит параллельно и кпереди от передней крестообразной связки, может имитировать ее продольный или частичный разрыв. Первая из двух фронтальных МР-томограмм, взвешенных по протонной плотности, с подавлением сигнала от жира: непостоянный передний менисковый пучок, проходящий к передней крестообразной связке. Пучок начинается от переднего рога латерального мениска и его корня. Затем он уходит кверху и сливается с синовиальной оболочкой передней крестообразной связки. На этом переднем срезе пучок выглядит как отдельное волокно. Передняя крестообразная связка занимает обычное положение, проходя от латерального мыщелка бедренной кости к месту своего прикрепления, сопряженному с медиальным бугорком межмыщелкового возвышения большеберцовой кости. Срез получен немного кзади относительно предыдущего. Визуализируется менисковый пучок, проходящий снизу вверх и снаружи внутрь, в направлении, противоположном передней крестообразной связке. Такая картина может ввести в заблуждение и не должна расцениваться как признак патологического изменения крестообразной связки.
б) Общие сведения:
• Крестообразные связки расположены экстрасиновиально, но внутрикапсулярно:
о Между крестообразными связками лежит жировая ткань
о Синовиальная оболочка окружает крестообразные связки спереди, снаружи и изнутри, однако сзади она отклоняется от ЗКС, чтобы примкнуть к капсуле
в) Передняя крестообразная связка:
• Множественные отдельные волокна, которые спирально проходят от бедренной кости к большеберцовой (волокна ротируются кнаружи на 90°); жировая ткань между волокон:
о Волокна на протяжении устойчивы к различному натяжению во время движений в коленном суставе
о Передне-внутренний пучок: натянут при сгибании, расслаблен при разгибании
о Задненаружный пучок: натянут при разгибании, расслаблен при сгибании
• Начало ПКС: в заднем отделе латерального мыщелка бедренной кости в межмыщелковой вырезке (на рентгенограммах выглядит как соединение заднего кортекса бедренной кости и линии Блу-менсаата (Blumensaat))
• Прикрепление ПКС: передний отдел медиального межмыщелкового бугорка большеберцовой кости и участок ее сопредельного плато; пучки распускаются в зоне прикрепления к большеберцовой кости, формируя «ножку»
• Функция:
о Основная: противодействие переднему смещению большеберцовой кости
о Второстепенная: преобладающая-противодействие внутренней ротации; дополнительная-противодействие наружной ротации
о Незначительная: противодействие варусной/вальгусной нагрузке при полном разгибании
• МРТ: хорошо визуализируется в трех плоскостях, сигнал низкой интенсивности с прослойкой жира между пучками
• Кровоснабжение: средняя коленная артерия (прободает задний отдел капсулы, ответвляясь от подколенной артерии); в меньшей степени от жировых тел (медиальная и латеральная нижние коленные артерии)
• Иннервация: задняя суставная ветвь большеберцового нерва
г) Задняя крестообразная связка:
• Представляет собой единую связку, состоящую из двух основных порций; ротируется на 90°, меняя передне-заднее расположение в месте начала на бедренной кости на наружно-внутреннее в месте прикрепления к большеберцовой кости:
о Передне-наружный пучок: основная часть связки; натянут при сгибании, расслаблен при разгибании
о Задневнутренний (косой) пучок: натянут при разгибании, расслаблен при сгибании
• Начало ЗКС: средняя часть медиального мыщелка бедренной кости в межмыщелковой вырезке
• Прикрепление ЗКС: средняя часть заднего отдела большеберцовой кости на 1 см ниже линии сустава, где она вплетается в задний отдел капсулы
• Функция: основное противодействие заднему смещению
• Мениско-бедренные связки:
о Обе берут свое начало от заднего рога латерального мениска и прикрепляются к медиальному мыщелку бедренной кости; в 70% случаев наблюдается как минимум одна связка
о Задняя (Врисберга [Wrisberg]) проходит кзади от ЗКС
о Передняя (Хамфри [Humphrey]) проходит кпереди от ЗКС; интактная связка Хамфри может имитировать интактность ЗКС при полном ее разрыве
о Может выступать в роли вспомогательной структуры, препятствующей заднему смещению; может стабилизировать латеральный мениск во время сгибания
• МРТ: хорошо визуализируется в трех плоскостях; непрерывный низкоинтенсивный сигнал на всем протяжении
• Кровоснабжение: средняя коленная артерия-проксимальная и средняя части; средняя коленная и подколенная артерии-основание, капсулярные сосуды на всем протяжении
Первая из 20 продольных МР-томограмм в режиме Т1, наиболее медиальный срез. Обратите внимание на портняжную мышцу с ее сухожилием и расположенную непосредственно позади них тонкую мышцу и сухожилие. Этот срез едва захватывает медиальный мыщелок бедренной кости, поэтому визуализируется только тонкая остаточная часть портняжной мышцы. Сухожилия тонкой и полусухожильной мышц визуализируются кзади и вместе с сухожилием портняжной мышцы составляют гусиную лапку. Медиальный срез через мыщелок бедренной кости. Обратите внимание на крупное сухожилие полуперепончатой мышцы и широкую область его прикрепления на задневнутренней поверхности большеберцовой кости. Срез выполнен через медиальный отдел сустава рядом с центральным краем тела медиального мениска. Мениск имеет форму бабочки. Этот срез выполнен через медиальный отдел сустава вблизи от межмыщелковой вырезки. Задний отдел медиального мыщелка бедренной кости визуализируется лишь частично. Косая подколенная связка здесь связана с задним отделом капсулы. Этот срез выполнен через наиболее медиальный отдел межмыщелковой вырезки, где впервые визуализируется начало задней крестообразной связки. Обратите внимание, что в этой зоне отмечается наиболее полная взаимосвязь косой подколенной связки с задним отделом капсулы сустава. Этот срез выполнен через медиальный отдел межмыщелковой вырезки. Задняя крестообразная связка визуализируется полностью. Представлен центральный отдел межмыщелковой вырезки. Обратите внимание, что в области заднего отдела межмыщелковой вырезки заднюю капсулу прободают ветви подколенной артерии. Капсула, таким образом, сзади не замкнута. Срез получен через центр межмыщелковой вырезки и зону перехода от задней крестообразной связки к передней. Задний отдел капсулы остается незамкнутым, что обусловлено прободающими сосудами. Срез получен немного латеральнее через межмыщелковую вырезку. Передняя крестообразная связка визуализируется наиболее полно. Обратите внимание на ход связки Врисберга (Wrisberg) (задняя мениско-бедренная связка), которая берет начало в медиальном отделе межмыщелковой вырезки, идет позади и над задней крестообразной связкой и прикрепляется к верхней части корня заднего рога латерального мениска. Срез выполнен через межмыщелковую вырезку с эффектом усреднения объема передней крестообразной связки/латераль-ного мыщелка бедренной кости в области прикрепления ПКС. Обратите внимание на поперечную связку, которая визуализируется на срезе и проходит поперечно по направлению к корню переднего рога латерального мениска перед передней крестообразной связкой. Передний рог еще не визуализируется. На срезе визуализируется начало латерального отдела, непосредственно прилежащего к межмыщелковой вырезке. Обратите внимание на сухожильно-мышечный переход подколенной мышцы. Показан латеральный отдел сустава. Обратите внимание на путь общего малоберцового нерва, который проходит кпереди и кнутри от двуглавой мышцы бедра. Визуализируется подошвенная мышца, берущая свое начало у латерального мыщелка бедренной кости непосредственно медиальнее латеральной головки икроножной мышцы. Поскольку продольные срезы выполнены под небольшим углом, разгибательный комплекс визуализируется на более латеральных продольных томограммах. Здесь продемонстрирована трехслойная структура сухожилия четырехглавой мышцы бедра. Поперечная связка еще не достигла переднего рога латерального мениска. Обратите внимание на сухожилие подколенной мышцы. Несмотря на то, что оно находится в своем канале, его трудно дифференцировать с жидкостью в канале, а также с латеральным мениском. Эту область лучше исследовать с помощью чувствительных к жидкости последовательностей. В латеральном отделе коленного сустава сухожилие подколенной мышцы визуализируется в собственном канале. Оно окружено жидкостью, что затрудняет дифференцировку на Т1 последовательности. Аналогично пучки (или подколенно-менисковые связки), соединяющие задний рог латерального мениска с сухожилием подколенной мышцы, с трудом различимы в качестве отдельных структур. Поперечная связка достигает места своего прикрепления к переднему рогу латерального мениска. Визуализируются мышцы, берущие свое начало от передней поверхности малоберцовой кости и передне-боковой поверхности большеберцовой кости, однако они с трудом дифференцируются. Поперечная связка прикрепляется к переднему рогу латерального мениска в отдаленной боковой части этого отдела сустава. Сухожилие подколенной мышцы только что входит в собственный канал в задненаружном углу. В боковом отделе латерального мыщелка бедренной кости визуализируются начала латеральной головки икроножной мышцы, латеральной коллатеральной связки и сухожилия подколенной мышцы. Наиболее латеральная часть сустава, в которой мениск визуализируется в форме галстука-бабочки. Также видна латеральная коллатеральная связка, которая идет в задненижнем направлении к месту своего прикрепления на головке малоберцовой кости в непосредственной близости от места прикрепления сухожилия двуглавой мышцы бедра. В наиболее латеральной части коленного сустава латеральная коллатеральная связка и сухожилие двуглавой мышцы бедра прикрепляются к головке малоберцовой кости в непосредственной близости друг от друга. На данном изображении другие латеральные стабилизирующие структуры (подвздошно-большеберцовый тракт, латеральная поддерживающая связка надколенника) визуализируются частично.
МРТ коленного сустава

МРТ коленного сустава. Т2-взвешенная сагиттальная МРТ. Цветовая обработка изображения.
Показания
- Острая травма коленного сустава с клиническим подозрением на разрыв мениска (менисков) и (или) связок.
- Рецидивные боли у пациентов оперированных по поводу травмы коленного сустава.
- Боли и (или) неприятные ощущения в суставе без травмы или после консервативно (без операции) леченной травмы
Травма коленного сустава встречается относительно часто. Примерно половина всех случаев составляет спортивная травма.
МРТ коленного сустава необходима для подтверждения разрывов менисков и связок, выявления сопутствующих травматических изменений и уточнения локализации и степени повреждения.
МРТ СПб ставит исследование коленного сустава среди наиболее массовых. Считается, что МРТ позволяет в 2 раза сократить число артроскопий. МРТ в СПб в наших клиниках проводится по самой современной усовершенствованной технологии.
Анатомия менисков и связок
Важнейшую функцию амортизации (поглощения и перераспределения нагрузки), обеспечение стабильности, а также смазку и питание сустава выполняет мениск. Повреждения менисков чаще всего наблюдаются у спортсменов. Мениск представляет собой С-образную фиброзно-хрящевую структуру, прикреплённую к мыщелковым поверхностям большеберцовой кости. Концы «С» направлены к центру, верхняя поверхность мениска вогнутая, что улучшает контакт с головкой бедренной кости. Нижняя поверхность мениска плоская. При МРТ коленного сустава в сагиттальной плоскости видно, что наружная часть мениска выпуклая и толще центральной. Толстая внешняя часть мениска даёт возможность плотного его прилегания к суставной капсуле. У детей мениск имеет сосуды. Большая часть мениска у взрослых бессосудистое образование и только самая периферическая часть имеет сосуды. Высота мениска в норме 3-5 мм. Делится мениск на передний рог, тело и задний рог.
Медиальный мениск (ММ) больше латерального (ЛМ), имеет форму лунного серпа, занимает около 50% суставной поверхности медиального отдела сустава. Задний рог ММ толще заднего рога ЛМ. В ширину ММ от 6 мм в области переднего рога до 12 мм в области заднего рога. Поперечная (межменисковая) связка соединяет передние рога ММ и ЛМ. У 40% людей она отсутствует, что видно при МРТ коленного сустава.

МРТ коленного сустава. Т2-взвешенная сагиттальная МРТ. Медиальный мениск в норме.
ЛМ более округлый, чем медиальный и покрывает большую часть плато большеберцовой кости. Он более равномерный по ширине, чем ММ, примерно 10 мм.
Переднее-задняя подвижность ЛМ составляет около 1 см, что делает его травмы менее вероятными, чем ММ.
У 1,4-15,5% людей наблюдаются дисковидные мениски (ДМ) – это диспластическое их состояние. Обычно наблюдаются двухстороннее ДМ или дисковидный ЛМ. Форма их полулунная, а не серповидная как в норме, они толще обычных менисков. Критерий ДМ на МРТ – горизонтальный диаметр тела мениска на корональных срезах при измерении от капсулы до свободного края больше 13-15 мм.
Крестообразные и коллатеральные связки
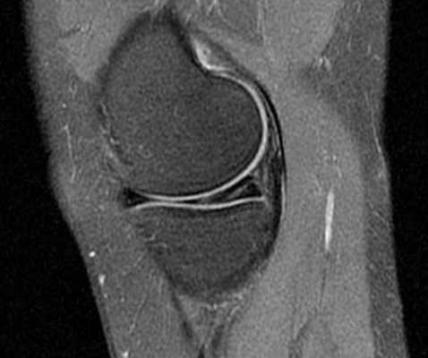
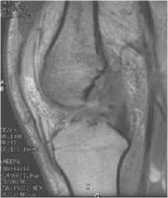
Крестообразные связки расположены внутри сустава. При МРТ коленного сустава можно проследить, что ПКС начинается от задне-медиального края латерального мыщелка бедренной кости и прикрепляется к большеберцовой кости кзади от её переднего края, сразу кпереди и латеральнее медиального межмыщелкого выступа. Длина ПКС около 3,5 см, диаметр около 1 см.
ЗКС, как видно при МРТ коленного сустава, начинается от латеральной поверхности медиального мыщелка бедренной кости и крепится к суставной поверхности плато большеберцовой кости. Как и ПКС, она расположена внутри сустава, но вне синовиальной оболочки. Связка в 2 раза мощнее ПКС и тесно связана с мениско-феморальными связками (Ризберга и Хамфри)

МРТ коленного сустава. Т1-взвешенная сагиттальная МРТ. Крестообразные связки в норме.
Методика МРТ коленного сустава
Исследование проводится в положении пациента на спине, ноги помещаются в магнит, а голова остаётся снаружи. Травмированная нога располагается внутри радиочастотной катушки с центрацией на середину надколенника а здоровая остаётся параллельно ей. Для наилучшей визуализации крестообразных связок придаётся небольшой (10-15°) разворот исследуемой ноги наружу и сгиб в колене до 30º с помощью небольшого валика.
С помощью МРТ удается точно определить наличие и полноту разрыва крестообразных связок(свыше 90%) и хорошей в плане выявления разрывов менисков (80-85%).

МРТ коленного сустава. Т2-взвешенная сагиттальная МРТ с подавлением сигнала от жира. Разрыв медиального мениска

МРТ коленного сустава. Т1-взвешенная сагиттальная МРТ. Разрыв крестообразных связок

МРТ коленного сустава. Т2-взвешенная сагиттальная МРТ. Разрыв медиальной коллатеральной связки. Синовит.
Чувствительность МРТ коленного сустава при подозрении на нестабильность остатка мениска после операции составляет 50-65%.
При хронических травмах на МРТ выявляются дегенеративные изменения менисков (частичные разрывы), жидкость в суставных сумках и костные повреждения.
УЗИ не пригодно для исследования острых травм, так как практически совсем не выявляет разрывов менисков и крестообразных связок. При хронической травме и воспалительных процессах УЗИ может быть полезной, так как показывает кисты, изменения сухожилий и мышц. Недостатком УЗИ является плохое документальное подтверждение результата исследования. Отпечатки на бумаге, выдаваемые вместе с заключением, понятны только специалистам.
Читайте также:
