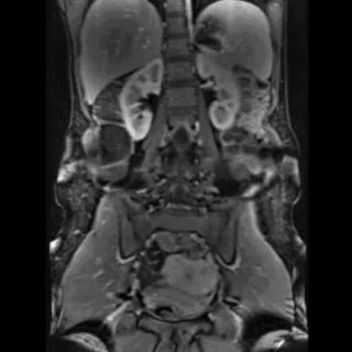
МРТ при ангиолипоме позвоночника
Добавил пользователь Евгений Кузнецов Обновлено: 07.01.2026
Мы не первый раз обратились в медлогист для лечения онкологии в Израиле. 2 года назад нам посоветовали обратиться сюда, мы вместе прошли все этапы лечения рака легких. Сейчас каждый 6 месяцев проходим обследование в израильской клинике. Спасибо за постоянную помощь и ответственное отношение, каждый раз поездки проходят гладко и комфортно. Мы чувствуем их искреннее участие в нашей непростой ситуации и искреннюю поддержку.
Все прошло хорошо, хоть и было страшно. В начале очень волновались будет ли кто русскоязычный или нет, но пришла сотрудник компании и помогла нам, провела везде и сопровождала. Доктор проконсультировал, записал на операцию. Остались довольны!
Дистанционная консультация была о том, что делать далее, поскольку диагноз оказался очевидным. Жена получила именно то, что хотела от консультации - понимание, что делать дальше. Так же очень благодарны Артуру, региональному координатору, который все быстро и понятно организовал.
Ангиомиолипома почек
Ангиомиолипома представляет собой доброкачественное новообразование, состоящее из жировой клетчатки, мышечной ткани, видоизменившихся сосудов и гранулоцитов. Такой вид опухоли может увеличиться до размеров, когда полностью прекращается нормальное функционирование почки либо происходит разрыв сосудов, внутрипочечное кровотечение. В большинстве случаев для опухоли ангиомиолипомы, липомы, ангиомы почек характерны небольшие размеры. Поражает ангиомиолипома чаще всего почки, иногда распространяется на соседние органы. Основными провоцирующими факторами ангиомиолипомы почки являются беременность, новообразования в почке, наследственность, имеющиеся заболевания.
Клинические проявления
Болевые ощущения по бокам живота, наличие пальпируемого образования, присутствие крови в моче - характерные признаки ангиомиолипомы при первичном обращении пациентов. Часто ангиомиолипому обнаруживают случайно при ультразвуковой диагностике или компьютерной томографии. Большинство пациентов при первом обращении к доктору имеют выраженные клинические проявления. Наиболее распространенными жалобами считаются болевой синдром в области живота, прощупываемая опухоль, артериальная гипертензия и ощущение усталости.
Особенностью ангиомиолипомы почки является уязвимость стенок сосудов, что может приводить к развитию кровотечений. Диагноз ангиомиолипомы правой, левой почки устанавливается на основе выраженных признаков присутствия жировой клетчатки в новообразовании, которые становятся патогномоничными, указывают на явное присутствие заболевания.
Лечение липомы на/в почке, ангиомиолипомы, ангиомы почек в Израиле
Методы терапии в Израиле основаны на активном применении лекарственных препаратов последнего поколения. Высокой результативностью характеризуется малоинвазивная техника направленного разрушения клеток опухоли. Многолетний опыт и профессиональные знания квалифицированных врачей, высочайший уровень оснащения инновационным диагностическим оборудованием - основные условия успешного лечения ангиомиолипомы почек.
Важным фактором, отвечающим за результативность лечения, является своевременная, точная диагностика ангиомиолипомы почки, комплекс диагностических исследований включает УЗ сканирование почек, КТ, МРТ, биопсию.
Лечение ангиомиолипомы почек в Израиле стало популярным еще и благодаря доступным ценам. В страну ежегодно направляется большое количество пациентов, которым необходима высококачественная и недорогая терапия.
BK MEDICAL LOGISTIC (Украина, Киев) предлагает лечение у лучших врачей в Израиле. С нами медицина Израиля стала доступнее для жителей Украины. Мы предлагаем комфортные условия лечения в Израиле, сопровождаем пациента на каждом этапе, индивидуально подбираем для каждого приемлемые варианты, помогающие полностью вылечиться с учетом финансовых возможностей.
BK MEDICAL LOGISTIC предоставляет возможность воспользоваться новейшими технологиями, инновационными методиками терапии, пройти эффективное лечение у докторов мирового уровня с многолетней практикой.
Ангиомиолипома лечение в Израиле получить подробную консультацию лечения болезни в израильских клиниках. Позвонив в Medlogist, составьте полную этапность лечения, врачей Израиля, и стоимость, по Вашему диагнозу. Ангиомиолипома лечение в Израиле и бесплатная консультация врачей по аналогичным болезням только у Нас.
Ангиомиолипома , цена
| Название процедуры | Цены (USD)* |
| Консультация специалиста | Бесплатно |
| Онлайн консультация онколога | от 200 |
| Консультация онколога | от 500 |
| ПЭТ-КТ | от 1000 |
| Ангиомиолипома лечение | от 2500 |
*Для того чтоб узнать полную цену лечения в Израиле, оставьте заявку и наши специалисты уточнят все детали.
МРТ при ангиолипоме позвоночника
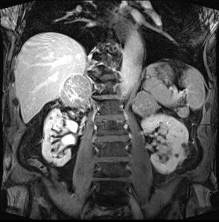
КТ, МРТ, УЗИ при ангиомиолипоме почки
а) Терминология:
• Доброкачественная опухоль почки, состоящая из аномальных кровеносных сосудов, гладких мышц и жирового компонента
б) Визуализация ангиомиолипомы почки:
• Наиболее распространенное доброкачественное новообразование почки
• В 80% случаев обнаруживают случайно при визуализации
• В 90% случаев-односторонняя и одиночная: обычно не ассоциирована с комплексом туберозного склероза
• В 10% случаев - множественная и двусторонняя: обычно при наличии комплекса туберозного склероза:
о У 80% пациентов с комплексом туберозного склероза обнаруживают ангиомиолипому (АМЛ)
• Солидное гетерогенное образование в коре почки взрослых с макроскопическим жировым компонентом-достоверный признак ангиомиолипомы (АМЛ):
о Может быть выявлено различное количество жира
о 5% всех АМЛ содержат минимальное количество жира и не могут быть распознаны при визуализации
• АМЛ с низким содержанием жира на бесконтрастной КТ часто гиперденсны
(Слева) На рисунке показано сосудистое образование почки с видимыми жировым и мягкотканным компонентами. Обратите внимание на крупные «питающие» артерии. Такая гиперваскуляризация предрасполагает эти опухоли к спонтанным кровотечениям.
(Справа) УЗИ в сагиттальной плоскости: эхогенное образование в коре верхнего полюса левой почки вследствие случайно обнаруженной ангиомиолипоме (АМЛ). Цветовой поток в данном образовании отсутствует. (Слева) КТ без контрастирования, аксиальная проекция: у этого же пациента выявлено образование жировой плотности В в коре верхнего полюса левой почки. Данные признаки характерны для ангиомиолипомы (АМЛ).
(Справа) МРТ, постконтрастное Т1, режим подавления сигнала от жировой ткани, аксиальная проекция: обнаружена ангиомиолипома (АМЛ), которая распространяется в околопочечное пространство. Дефект коры (признак «желобка»), указывающий на происхождение ангиомиолипомы (АМЛ) из ткани почки. Крупный сосуд продолжается в новообразование из почки.
в) Дифференциальная диагностика:
• Почечноклеточный рак:
о Данное образование редко содержит жир (замещенный синус или околопочечная клетчатка)
о Наличие кальцификатов/оссификатов в опухоли в большей степени характерно для ПКР
• Околопочечная липосаркома:
о Равномерное сдавливание почки и расширение околопочечного пространства наиболее характерно для липосаркомы
о Дефект паренхимы почки и увеличенные сосуды характеры для АМЛ
• Опухоль Вильмса:
о Если у ребенка имеется комплекс туберозного склероза, образование, скорее всего, представляет собой ангиомиолипома (АМЛ)
о В противном случае следует заподозрить опухоль Вильмса
• Другие менее частые состояния: метастазы, лимфома, онкоцитома, липома, тератома
г) Клинические особенности:
• Наиболее частое осложнение: кровотечение
• Небольшая подгруппа ангиомиолипомы (АМЛ) может быть ангиоинвазивной, поражать регионарные лимфатические узлы и редко метастазировать
Что покажет МРТ почек, надпочечников, мочевыводящих путей

МРТ почек и надпочечников в клиниках СПб можно осуществить в ходе нескольких обследований:
При магнитно-резонансной томографии почек и надпочечников хорошо визуализируются паренхима почек, лоханка, определяются врожденные пороки развития и структурные особенности железистых тканей надпочечников, состояние верхней части мочеточников. В ходе процедуры выявляются абсцессы, кисты и иные доброкачественные образования, нефрозы, поликистоз, камни в почках. На снимках МРТ хорошо видны очаги воспаления и опухолевых образований надпочечников, места закупорки крупных почечных артерий и вен.
Как проходит томография?
МРТ почек и надпочечников проводят двумя способами:
Существует ряд заболеваний, при которых только томография с контрастом поможет врачам получить четкую картину состояния пациента. К таким заболеваниям относится развитие опухолевого процесса в мочевыделительной системе. МРТ покажет локализацию и размер опухоли, наличие или отсутствие метастазов, степень поражения органа и окружающих тканей, структуру и плотность новообразования, его доброкачественный или злокачественный характер. Допускается многократное проведение МРТ диагностики для оценки состояния пациента в динамике или контроля изменений после операции, лучевой терапии или химиотерапии при раке. Никакого вреда МР-сканирование принести тканям не может, поскольку оно не оказывает никакого ионизирующего воздействия на организм человека.
| Исследование (Что входит) | Цена | МРТ 3 ТЛ | Акции |
|---|---|---|---|
| МРТ брюшной полости (печени, желчного пузыря, поджелудочной железы, селезенки, желудка, нижней части пищевода) | от 3600 руб. | от 7000 руб. | Скидки ночью |
| МРТ забрюшинного пространства (почек, надпочечников, мочеточников, лимфатических узлов) | от 3600 руб. | от 7000 руб. | Скидки ночью |
| МРТ брюшной полости с МР-холангиографией | от 6000 руб. | от 9600 руб. | Скидки ночью |
| МРТ брюшного участка аорты | от 5145 руб. | от 10200 руб. | Скидки ночью |
| МР-урография / МРТ мочевыводящих путей | от 4800 руб. | от 9500 руб. | Скидки ночью |
| МРТ органов брюшной полости с контрастированием | от 6200 руб. | от 9500 руб. | Скидки ночью |
Показания
Томографию надпочечников и почек в СПб можно сделать как по направлению врача, так и по личной инициативе пациента. Основными показаниями к сканированию будут:
- врожденные дефекты и недоразвитие органов;
- доброкачественные новообразования (кистозные деформации, поликистоз);
- злокачественные новообразования (раковая опухоль, метастазы забрюшинного пространства);
- нарушенное кровообращение;
- тянущие боли невыясненного генеза;
- предоперационное и послеоперационное исследование;
- гематурия;
- поражение коры надпочечников;
- подозрение на феохромоцитому, аденому надпочечников, синдром Конна, болезни Аддисона;
- обструкция мочевыводящей системы.



Подготовка к МРТ почек и надпочечников
Главным моментом подготовки является диета. Не менее, чем за двое суток до начала диагностики, требуется прекратить употребление всех газообразующих продуктов, к которым относятся хлеб и хлебобулочные изделия, овощи и фрукты, вызывающие брожение и метеоризм. Аналогичная подготовка используется и при исследовании любого органа МРТ брюшной полости, кишечника и забрюшинного пространства. Процедура проводится натощак. Прекратить прием пищи следует за 6-8 часов до МРТ почек и надпочечников. Рекомендовано поэтапно принять 2 таблетки Но-шпы за 6-8 часов и 2 таблетки Но-шпы за 30 минут до диагностики, чтобы снизить спазмы в желудке. Перед проведением магнитно-резонансного исследования пациенту необходимо снять с себя все ювелирные украшения, одежду с металлическими элементами (пуговицы, молнии, кнопки), оставить мобильный телефон и прочие технические средства. Магнитные волны способны нарушить работу электронных приборов, поэтому людям с имплантированными нейростимуляторами и кардиостимуляторами МРТ не проводят. Инсулиновую помпу пациентам с сахарным диабетом 1 типа рекомендуется снять. Если это невозможно, процедура не проводится.
При МРТ почек с контрастным веществом пациентам с почечной недостаточностью предварительно необходимо сдать анализ крови на креатинин. По его результатам врачи смогут сказать, справятся ли почки пациента с дополнительной нагрузкой или нужно проводить гемодиализ сразу после МР-сканирования. Тяжелая форма почечной недостаточности рассматривается как противопоказание к проведению магнитно-резонансной диагностики с контрастированием.
Сколько длится процедура?
Средняя продолжительность процедуры составляет 20-30 минут. Прийти по адресу проведения исследования требуется за 10-15 минут до начала для оформления необходимых медицинских документов. При проведении диагностики с контрастом время процедуры и ее цена увеличиваются. Результаты исследования с описанием в большинстве медицинских центров выдаются в течение часа на руки вместе с носителем информации. Это может быть диск или пленка. При необходимости получить оба носителя цена также может быть немного увеличена.
КАК ПРОВЕРИТЬ,ЧТО ВАМ КАЧЕСТВЕННО СДЕЛАЛИ МРТ?
- МРТ снимки должны быть записаны в формате DICOM на любой электронный носитель. Изображения, распечатанные только на пленке, малоинформативны и не позволят врачам провести детальную оценку результатов диагностики в сложных или спорных случаях.
- Максимальный шаг сканирования качественной МРТ составляет не более 2-4 мм. Перед началом обследования уточните у врача, какой шаг выставлен в диагностической программе на компьютере томографа.
- При онокопоиске МРТ исследование в большинстве случаев должно быть выполнено с контрастным усилением на аппарате мощностью не менее 1.5 Тесла. Особенно это важно при диагностике опухолей молочных желез, органов малого таза и брюшной полости.
- Качественные МРТ снимки не должны быть испорчены артефактами от металла и движения. Если есть изображения с эффектом “засвета” требуйте, чтобы обследование провели повторно!
Противопоказания
Абсолютное противопоказание для МРТ - это наличие ферромагнитного металла в теле и электронных устройств, поддерживающих жизнь человека. В остальном это безопасная процедура, не вызывающая осложнений. Однако осторожность при проведении МРТ почек необходимо проявить в следующих случаях:
- беременность, если назначена контрастная томография;
- склонность к эпилептическим припадкам;
- аллергия на контрастное вещество на базе гадолиния (при проведении МРТ с контрастированием), которая случается крайне редко.
Для пациентов с большой массой тела (более 120-130 кг) подойдет не каждый томограф. Тяжеловесным пациентам делают процедуру на специальных моделях с повышенной весоподъемной способностью. Это необходимо учитывать при записи в МРТ клинику.

Специализация: Врач МРТ и КТ
Где ведет прием: клиника БГМУ, Медицинский центр «НовоМед»
МРТ, КТ или УЗИ почек - что лучше?
Методом выбора в диагностике и дифференциальной диагностике патологий надпочечников и почек является компьютерная томография с внутривенным контрастированием или магнитно-резонансная томография. Ультразвуковое исследование характеризуется более низкой чувствительностью и рекомендовано как метод первичного скрининга. Если данные УЗИ будут носить тревожный характер, пациента направят на дообследование, особенно если были выявлены признаки объемного образования. Результаты томографии позволяют четко выявить опухоль, оценить характер ее роста, сделать предположение о ее доброкачественной или злокачественной структуре. МРТ почек и надпочечников обеспечивает высокую тканевую дифференциацию и предоставляет возможность врачам проводить исследование по меньшей мере в трех взаимно перпендикулярных плоскостях. Это обследование, так же как и УЗИ, не связано с лучевой нагрузкой, и его можно проводить неограниченное количество раз. Диагностическими достоинствами магнитно-резонансной томографии являются:
- неинвазивность;
- широкое поле изображения;
- мультипроекционность;
- возможность варьировать контрастностью изображений.
Она чаще всего используется для уточнения природы опухолевого образования, стадирования или устранения сомнений, возникших при анализе результатов УЗИ.
Компьютерная томография почек и надпочечников тоже является высокочувствительным и неинвазивным способом сканирования. Как в онкопоиске, так и в предоперационном наблюдении эффективность МРТ и КТ практически одинакова, но процессы инвазии опухоли в соседние ткани все же лучше выявляются при МРТ. Однако, МСКТ имеет преимущества по простоте применения, скорости обследования и объему визуализации анатомических областей, возможности построения наглядных для хирургов трехмерных реконструкций. Поэтому именно ее используют в экстренных случаях при травматическом повреждении органов. При диагностике больных с почечной недостаточностью МРТ имеет клиническое преимущество перед КТ, поскольку в большинстве случаев не требует применения контрастных препаратов, которые таким пациентам могут быть противопоказаны. Применение магнитно-резонансной томографии также предпочтительно у больных после нефрэктомии с пограничным состоянием функции почки и у маленьких детей. Список источников:
- Романов Р.Г, Рентгенологическая компьютерная томография в диагностике опухолей почек на амбулаторном этапе. Автореферат к.м.н., 1996
- Щукин Д.В., Мегера В.В. Клиническое значение магнитно-резонансной томографии в диагностике ангиомиолипомы почки. Медицина сегодня и завтра, 1999г.
- Аляев Ю.Г., Синицын В.Е., Григорьев H.A. Магнитно-резонансная томография в урологии // М.: Практическая медицина, 2005.
- Беличенко О.И., Шария M.А., Арабидзе Г.Г. Магнитно-резонансная томография почек у больных артериальной гипертонией. М.: Издательский дом "Русский врач". 2000.
- Габуния Р.И., Колесникова Е.К. Компьютерная томография в диагностике заболеваний почек // Вестник рентгенологии и радиологии. 1980.
- Домбровский В.И. Магнитно-резонансная томография в диагностике опухолей и других заболеваний почек. МРТ-патоморфологическое сопоставление. Атлас // М.: Видар. 2003.
- Лукьяненок П.И. Магнитно-резонансная томография при кистозных поражениях почек // Сов. мед.- 1986.
- Ответчиков И.Н., Ахадов Т.А. Магнитно-резонансная томография для выявления и определения стадии рака почки // Урология и нефрология. 1996. - №4.
- Ринк П. (ред.) Магнитный резонанс в медицине // Blackwell Scientific Publications. 2-е изд. Oxford. 2003.
Последние статьи о диагностике

Что покажет МРТ забрюшинного пространства
Магнитно-резонансная томография забрюшинного пространства – это неинвазивный, высокотехнологичный и современный способ обследования органов забрюшья. В ходе сканирования врачи получают множественные послойные снимки мягких тканей и органов в зоне от диафрагмы до малого таза.

Противопоказания к МРТ
Магнитно-резонансная томография - это безопасное обследование без лучевой нагрузки, но и она имеет ряд противопоказаний в зависимости от модели томографа и протокола обследования - с контрастом или без. Томография нашла широкое применение в нейрохирургической, онкологической, ортопедической и неврологической практике для исследования позвоночника, головного мозга, сосудов, суставов, внутренних органов и мягких тканей.

Где сделать МРТ в СПб?
Чтобы пройти МРТ в медицинских центрах Санкт-Петербурга, необходимо записаться на диагностику. Адреса и цены на услугу томографии в различных клиниках вам подскажут в нашем центре записи. В базе данных у нас есть информация о более 80 диагностических клиник СПб и Ленинградской области.

МРТ почек с контрастом
МРТ почек или МРТ урография - это высокоинформационное и комплексное исследование, которое в медицинских клиниках СПб может проходить как с применением контрастирования, так и без него. Какова цена томографии с контрастом, когда же назначается МР-диагностика почек и надпочечников с введением контраста, как нужно готовиться к этой процедуре
Имеются противопоказания, необходима консультация врача. Возрастные ограничения 16+
Информация на сайте не является публичной офертой и носит справочный характер (ст. 437 ГЛ РФ)
Информация, опубликованная на сайте, предназначена только для ознакомления и не заменяет квалифицированную медицинскую помощь. Необходима обязательная консультация с врачом!
МРТ почек при ангиомиолипоме

МРТ почек при ангиомиолипоме чаще всего осуществляется для дифференциальной диагностики новообразования от других патологий почек или для оценки результатов лечения. В зависимости от первичного диагноза томографию могут провести по нативному или контрастному протоколу. Первичная диагностика ангиомиолипомы потребует проведения УЗИ почек и последующей консультации врача-нефролога. МРТ почек при ангиомиолипоме обычно назначается в качестве дополнительного обследования, если :
- результаты УЗИ носят неясный или тревожных характер, и пациенту нужно дообследование с помощью МРТ почек с контрастированием;
- планируется операционное вмешательство;
- необходимо оценить изменения почек в динамике после проведенного лечения.
Бесплатная консультация о диагностике
Если сомневаетесь, запишитесь на бесплатную консультацию
или проконсультируйтесь по телефону
Запись на МРТ почек при ангиомиолипоме



Василеостровская, Крестовский остров, Петроградская, Спортивная, Старая Деревня, Чёрная речка, Чкаловская, Беговая, Новокрестовская




Хотите сделать МРТ почек без очередей, бумажной волокиты и стресса? Бесплатная информационная служба Городского центра записи на диагностику поможет быстро найти лучшие медицинские центры исходя из Ваших пожеланий по геолокации и ценовых предпочтений. Наши опытные консультанты будут рады предложить Вам исчерпывающую информацию по адресам клиник, ценам, классу оборудования, квалификации врача-диагноста. Мы поможем записаться на качественную диагностику в удобное время дня и ночи в день обращения.
Бесплатная консультация о диагностике
Если сомневаетесь, запишитесь на бесплатную консультацию
или проконсультируйтесь по телефону
Как правильно сделать МРТ почек при ангиомиолипоме
Как сделать качественную МРТ в Санкт-Петербурге
МРТ изображения должны быть выполнены в электронной форме в формате DICOM и обязательно записаны на электронный носитель - CD диск или флешку!
МРТ исследование должно быть проведено в соотвествии с техническим стандартом и минимальным шагом сканирования 2-4 мм!
При подозрении на онкологию обязательно должно быть проведено МРТ с контрастным усилением на аппарате мощностью не менее 1,5 Тесла!
На МРТ снимках не должно быть артефактов от металла и движения!
Низкопольный аппарат - Напряженность томографа составляет 0,3 – 0,5 Тесла
- удобен для пациента, поскольку это аппарат открытого типа
- исследование стоит дешево
Высокопольный аппарат - Напряженность томографа 1,0 – 1,5 Тесла
- высокое качество снимков
- обширный список исследований
- возможность онкопоиска
- данные МРТ очень информативны и позволяют принимать правильные решения в области хирургии и нейрохирургии.
- более высокая стоимость исследования
- шумный аппарат закрытого типа, поэтому и не всегда подходит клаустрофобам и детям
- томограф очень чувствителен к движению, поэтому не всегда подходит пациентам с гиперподвижностью.
Сверхвысокопольный аппарат - Напряженность томографа 3,0 Тесла и выше
Это очень высокоточный МРТ аппарат, который применяется в научно–исследовательской деятельности, передовой диагностике и хирургии для разработки точного плана операционного вмешательства.
Липома - диагностика, методы лечения

Доброкачественные новообразования, развивающиеся в жировой ткани, прежде всего, кожи, но бывают липомы молочной железы, головного и спинного мозга. Опухоли растут медленно и редко малигнизируются.
Липомы возникают у многих людей, по статистике они есть у каждого сотого человека. Мужчины и женщины одинаково подвержены заболеванию.
Что такое липома?
Липома – это мягкое на ощупь, округлое, заполненное жиром образование, которое чаще всего вырастает под кожей. В быту липомы нередко называют жировиками. В подавляющем большинстве случаев липомы безобидны, их относят к доброкачественным опухолям. На коже липом не бывает, они формируются в жировой ткани кожи или в подкожной клетчатке. Таким образом, липома может возникнуть на любой части тела, где есть жировая ткань. Обычно у человека возникает 1-2 образования. Очень редко встречаются липомы множественные, это состояние называют множественным семейным липоматозом, он чаще возникает у мужчин.
Как липома выглядит?

Медленно растущие мягкие образования под кожей — жировики — обычно являются липомами.
Выглядит липома как “шарик” или “комок” под кожей. Величина образования варьирует, оно может быть размером от горошины и до нескольких сантиметров в поперечнике. Липома при пальпации (ощупывании) мягкая, по плотности напоминает резину, не спаяна с нижележащими тканями.
Причины возникновения липомы
Обычно липомы возникают в среднем возрасте – между 40 и 60 годами, у детей это патология встречается редко.
Точные причины появления липом неизвестны. Но они чаще возникают
- у пациентов с редким наследственным заболеванием – синдромом Коудена
- при синдроме Гарднера
- при болезни Маделунга.
Нередко липомы находят у членов одной семьи, т.е. генетическая предрасположенность к ним передается по наследству. Ожирение не приводит к повышенному риску образования липом.
Классификация
По анатомическому признаку липомы подразделяют на:
- липомы головы, лица и шеи, которые, соответственно, располагаются на голове, на лице, на шее
- липомы туловища – на спине, животе
- липомы конечностей – на ногах и руках
- липомы грудной клетки – образованием затронуты легкие
- липомы внутри брюшных органов – новообразования могут затрагивать почки
- липомы семенного канатика
- липомы других локализаций.
Классификация липомы по МКБ-10
По международной классификации болезней липомы относят к разделу D17, т.е. к доброкачественным образованиям жировой ткани.
Механизм образования
Иногда триггером, запускающим образование липомы, считают повреждение кожи. Липома представляет собой новообразование из жировых клеток. Ее рост начинается из одной клетки, которая растет и делится быстрее, чем окружающие ее ткани. Под микроскопом липома представляет собой скопление узелков из зрелых жировых клеток (адипоцитов), разделенных фибромускулярными перегородками. Доброкачественность образования устанавливают при отсутствии атипии ядер или самих клеток.
Симптомы и признаки липом
Липомы растут очень медленно и обычно не вызывают никаких симптомов, кроме уплотнения в виде “шишки” или “шарика” под кожей. Внутренние липомы также обычно ничем себя не проявляют, т.е. бессимптомны.
Липома молочной железы
Липома в молочной железе обычно возникает у женщин после наступления менопаузы. Как правило, это образование размером до 1 см, весом до нескольких граммов. Липому молочной железы размером более 5 см и весом более 500 г называют гигантской.
Основные признаки липомы молочной железы:
- безболезненность
- мягкость на ощупь
- возможность смещения под кожей. Т.е. она не спаяна плотно с окружающими тканями и не изменяет внешний вид кожи над ней.
Так как липомы часто располагаются в толще железы и не имеют никаких симптомов, то их нередко обнаруживают случайно, во время плановой маммографии или УЗИ.
Липома молочной железы не повышает риск рака молочной железы и очень редко трансформируется в злокачественную опухоль.

Липома молочной железы. Фото: © Nevit Dilmen / Wikipedia (Creative Commons Attribution-Share Alike 3.0 Unported license)
Липома головного и спинного мозга
Липомы головного мозга также выявляют случайно, когда у пациентов старшей возрастной группы проводят МРТ или КТ мозга по каким-то другим причинам, например, при нарушении когнитивных функций, эпилепсии. Липомы могут быть обнаружены в любом отделе мозга, тем не менее 50% – это перикалозальные липомы, в свою очередь 45% которых ассоциированы с агенезией мозолистого тела. 25% составляют липомы квадригименальной цистерны и 15% – липомы супраселлярной цистерны. Так как липомы мозга не имеют симптомов, хоть и часто сочетаются с какими-то пороками, например, агенезией мозолистого тела, то и лечения они не требуют. Хирургическое лечение сопряжено с большим риском осложнений и не имеет никаких преимуществ. Если возникают гидроцефалия или судорожный синдром, то лечение проводят по общим правилам.

Липома мозолистого тела головного мозга. Фото: Journal of neurosciences in rural practice / Open-i (Attribution-NonCommercial-ShareAlike 3.0 Unported)
Липома у детей
Липомы позвоночника составляют 35% всех новообразований спинного мозга, чаще встречаются у девочек.
Липома спинного мозга подразделяется на несколько клинических вариантов:
- липомиеломенингоцеле. Это врожденная патология, при которой жировые образования расположены вдоль позвоночника и проникают внутрь спинномозгового канала, соединяясь со спинным мозгом. Эта липома внешне выглядит как объемное образование внизу позвоночника. У ⅓ пациентов образование проявляет себя нарушениями мочеиспускания. Реже пациентов беспокоит искривление стоп, боль в спине. Лечение хирургическое.
- липома терминальной нити, при которой жировая ткань расположена в конечной нити спинного мозга. Иногда это состояние рассматривают как синдром натяжения концевой нити. Это редкое заболевание, которое эффективно лечат хирургической операцией, менее опасной, чем в предыдущем случае.
- липома спинного мозга (интрадуральная) встречается редко и составляет 4% от всех липом. Чаще ее выявляют в грудном отделе позвоночника у детей, патологии костей или кожи при ней не бывает. Если вырастает до больших размеров, то проявляет себя симптомами сдавления спинного мозга. Это одно из самых малоизученных новообразований.
Липома у взрослых
Кроме обычных подкожных липом, в зрелом возрасте могут быть:
- Эпидуральный липоматоз, который возникает при избыточном синтезе жира в эпидуральном пространстве, то есть между позвонками и твердой оболочкой спинного мозга. Это нередкое осложнение при синдроме Кушинга, тяжелом ожирении, приеме глюкокортикостероидов. Дебютирует патология синдромом “конского хвоста”, лечат его отменой стероидов или снижением веса.
- Ангиомиолипома, состоящая из аномально разросшихся сосудов и жировой ткани. Чаще всего ее обнаруживают в поясничном или грудном отделах позвоночника. Как правило, возникает в теле одного позвонка и может проявляться болью в спине, так как уменьшает высоту позвонка и приводит к сдавливанию нервных корешков. Образование обычно выявляют случайно у людей в возрасте 30-40 лет. При сильной компрессии, т.е. при сдавливании нервных структур, проводят лечение – пункционную вертебропластику (“цементирование” позвонка). Иногда ангиомиолипому обнаруживают в почке. При небольших размерах (до 1,0-1,5 см) лечения не требует, за образованием наблюдают, периодически выполняя ультразвуковое исследование.
Диагностика липом
Липому под кожей легко диагностируют при осмотре и прощупывании.
Липомы внутри организма выявляют с помощью:
В неясных случаях проводят биопсию, при которой небольшое количество ткани исследуют под микроскопом.
К какому врачу обратиться?
Так как липома может вырасти в любом месте организма, то её диагностируют и лечат врачи разных специальностей. Это зависит от места расположения образования. Липомами на коже занимаются хирург и дерматолог, липомами в области молочной железы – маммолог, липомами мозга или позвоночника – нейрохирург.
В чем отличие атеромы от липомы?
Липома представляет собой образование из жировой ткани, тогда как атерома – это скопление секрета сальной железы из-за закупорки ее протока. Соответственно, атерома не может возникнуть там, где нет сальных желез, т.е. в легких, мозге, брюшной полости, семенном канатике и т.д. Атерома чаще растет на волосистой части головы, имеет тенденцию к воспалению и нагноению, располагается более поверхностно. При воспалении атеромы она увеличивается в размерах, возникает покраснение, чего не бывает при липоме. Для того, чтобы выяснить, что имеется у пациента – атерома или липома – проводят УЗИ.
Методы лечения
Если липомы безболезненны и небольших размеров, то лечения не нужно. Липому молочной железы обычно наблюдают. Для этого маммографию проводят каждые 6 месяцев, и, если образование не растет, его не удаляют.
Надо ли удалять липому?
Вмешательство необходимо, если она:
- сдавливает нервные окончания
- вызывает дискомфорт
- изменяет свою консистенцию или размер
- рецидивирует после удаления
- растет.
Перед удалением внутрь липомы могут вводить кортикостероиды для того, чтобы уменьшить её размер.
Хирургическое удаление липомы
Используют следующие методы удаления:
- Хирургическим путем, когда измененную ткань иссекают скальпелем под местной анестезией. Затем проводят ушивание раны.
- Липосакцию. В липому вводят иглу и с помощью шприца удаляют содержимое.
- Удаление липомы лазером. Этот щадящий метод используют для удаления образований размером более 3 см. При вмешательстве практически нет риска травмирования здоровой ткани и минимальна вероятность кровотечения или инфицирования. После удаления лазером редко возникают шрамы или рубцы.
Лечение липомы народными средствами
Так как липому обычно не нужно лечить, то не стоит пытаться свести ее народными средствами. Прикладывание льда или прогревание бесполезны, так как эти процедуры не влияют на жировую ткань.
Профилактика
Обычно не имеет смысла, так как четкой причины возникновения патологии не выявлено. При эпидуральном липоматозе, причиной которого может быть ожирение, профилактикой считают поддержание нормального веса.
Читайте также:
