МРТ при эпидуральном липоматозе
Добавил пользователь Евгений Кузнецов Обновлено: 06.01.2026
В день поступления - быстрое развитие резкой слабости и онемения ног, сильная боль в грудном отделе.
В анамнезе - тяжёлая бронхиальная астма, по поводу которой, помимо ингаляторов (в т.ч. гормональных), длительно и ежедневно получал ГКС в/м (дексаметазон, преднизолон). В итоге — абсцесс ягодицы, который был вскрыт за 2 недели до поступления к нам. Было ли это врачебное назначение или самолечение — сказать уже трудно, скорее последнее. В стационаре больной постоянно требовал ГКС парентерально — «без них я задохнусь».
Также — сахарный диабет 2 типа, инсулинозависимый, не тяжёлый.
Объективно: нижняя вялая параплегия, анестезия с уровня сосков, задержка мочи и стула.
В соматическом статусе — хрипы в лёгких и классический habitus (лунообразное лицо как у, простите уж, хомяка, приличный живот, тонкие руки и ноги).
РКТ грудного отдела:
- усиление грудного кифоза
- тела позвонков остеопорозны, высота снижена, деформация позвонков Th4, Th5, Th6, L1 по типу "бабочки"
- в теле Th7 позвонка - гиподенсные включения по типу "вакуум-эффекта"
- субхондральный склероз и узурация замыкательных пластинок (грыжи Шморли)
- позвоночный канал имеет нормальный передне-задний размер
- высота межпозвонковых дисков снижена
- на уровне диска Th7-Th8 - участок сужения спинного мозга на 1/3 общего диаметра
- артроз рёберно-позвоночных и рёберно-поперечных суставов
МРТ грудного отдела без контрастирования:
- кифосколиотическая деформация
- краевые костные разрастания тел позвонков
- дегенерация желатинозных ядер и уменьшение Т2-сигнала от дисков
- высота тел Th4, Th5, Th6, Th7, Th8, Th11, Th12 снижена
- в телах - участки с гиперинтенсивным сигналом на Th1 и Th2
- узурация замыкательных пластин тел Th4-Th12 с формированием множественных грыж Шморли
- изменение сигнала в T1, Т2, STIR от тел Th7 и Th 8 позвонков
- повышение сигнала в Т2 от диска Th7-8
- медианная грыжа Th7-8 до 3 мм, умеренно деформирующая дуральный мешок и суживающая просвет позвоночного канала на данном уровне
- на уровне Th4-Th9 в задних отделах канала - экстрамедуллярное скопление жировой ткани: картина эпидурального липоматоза с деформацией дурального мешка, с сужением субарахноидального пространства, с воздействием на спинной мозг на уровне Th6-Th8 и уменьшением диаметра спинного мозга (атрофические изменения) на данном уровне
- повышение сигнала от спинного мозга на уровне Th4-Th9 (миелоишемия? миелит?)
- заключение: картина может соответствовать спондилодисциту Th7-Th8; признаки эпидурального липоматоза с деформацией дурального мешка и компрессией спинного мозга; изменения спинного мозга на уровне Th4-Th9 (миелоишемия? миелит?); деформация тел Th4-Th12 позвонков более характерна для изменений при гормональной спондилопатии; дегенеративно-дистрофические изменения грудного отдела, множественные грыжи Шморли, грыжа диска Th7-8.
ЛП не проводили, разум взял верх, хотя руки чесались – вдруг миелит?
Нейрохирург – оперативное лечение не показано.
Онкопоиск (вдруг, всего-то на всего, Mts): Rg-ОГК, УЗИ брюшной полости и почек, УЗИ малого таза, УЗИ щитовидной железы, ФГДС (была амбулаторно) – ничего интересного. Кишечник уже не смотрели – ненужные мучения для больного.
Рутинные анализы, ЭКГ - уже в финале лейкоцитоз и выраженные метаболические изменения, блокады.
На протяжении первой недели состояние больного было стабильным, с сильными болями в грудном отделе, а через неделю – прогрессивное нарастание одышки, появление умеренного пареза левой руки, прекращение болей в грудном отделе, но появление их в шейном отделе.
Шейный отдел уже не стали обследовать, но на всякий случай отсняли головной мозг (РКТ) – чисто.
При явлениях тяжёлой дыхательной и, в финале, сердечной недостаточности больной, находясь до конца в ясном сознании, скончался.
Заключительный диагноз:
Основной: множественное экстрамедуллярное доброкачественное новообразование оболочек спинного мозга на шейном и грудном уровнях, неуточнённое, D32.9 (наиболее вероятно – эпидуральный липоматоз)
Осложнения: компрессионно-ишемическая миелопатия на шейном и грудном уровнях, восходящий отёк спинного мозга и ствола головного мозга, тотальная левосторонняя пневмония, пролежни.
Сопутствующий: БА, СД, ГБ
Приношу извинения за некачественные фото – под рукой был только старый телефон.
На грудном уровне при случайном ранении dura mater вещество спинного мозга просто вытекло, в области Th6-Th8 – резкая атрофия, а выше – некроз до С2-сегмента, отёк, в т.ч. ствола мозга. И очень-очень много жира в эпидуральном пространстве дорсально, гл.о. — в грудном отделе, меньше — в шейном, мало — в поясничном. Тотальная крупозная пневмония слева. Больше ничего, в т.ч. в мозге – и в эпидуральное пространство головного мозга липоматоз не распространялся.
Боялись ещё, что будет расслаивающая аневризма дуги аорты по такой клинической картине.
К обсуждению:
1) у кого такое было в практике?
2) может быть, следовало основным или фоновым выставить см. Иценко-Кушинга?
3) сами позвонки не смотрели — во время распила просто всё разрушилось, но можно ли считать их изменения по МРТ как осложнения терапии ГКС?
4) а сколько вообще должно быть жира в эпидуральном пространстве?
5) диагноз
6) лечение
7) и т.д.
Скоро ознакомлюсь более тонко с данными гистологического исследования. Напишу.
Спинальный липоматоз
Попробуйте разок прощупать своё тело, возможно, что вы почувствуете под кожей маленькие комочки. Эти узлы часто являются липомами. Липома - это доброкачественная опухоль жировой ткани, которая обычно не вызывает никакого дискомфорта. Поэтому её часто называют жировиком. От слова липома происходит термин липоматоз (греч.: lipos – жир; -ом – опухолеобразное образование; -ose = хроническое прогрессирующее заболевание). Липоматоз может поражать различные части тела. В некоторых случаях эта увеличенная форма жировой ткани встречается в весьма чувствительной области - в эпидуральном пространстве. Это пространство в спинном канале, но за пределами спинного мозга. В этой области обычно находятся нормальная жировая ткань, рыхлая соединительная ткань, вены и лимфатические сосуды. О спинальном липоматозе мы говорим, когда этот жировик находится в спинальном канале. С диффузной пролиферацией (размножением) жировых клеток происходит сдавление и защемление выходящих спинальных нервов, что приводит к появлению жалоб.
У спинального липоматоза есть различные причины
Современная наука, несмотря на международные исследования, относительно мало знает о причинах спинального липоматоза. Его возникновение может иметь разные причины. Часто она возникает без видимых причин, то есть идиопатически. Среди других причин:
- Приём кортизона
- Синдром Кушинга: клиническая картина синдрома Кушинга является следствием патологической усиленной выработки гормона надпочечников кортизола. Абсолютное большинство заболеваний синдромом Кушинга вызвано доброкачественной опухолью в гипофизе, которая приводит к перепроизводству гормона АКТГ (адренокортикотропный гормон). Затем АКТГ стимулирует выработку гормонов надпочечников, что приводит к увеличению уровня кортизола в крови.
- Ожирение. Действительно, наблюдается связь между избыточным весом (ожирением) и различными предзаболеваниями. К ним относятся, прежде всего, диабет и повышенный уровень мочевой кислоты.
- Пациенты, которые успешно перенесли операции по пересадке органов и теперь ведут «вторую жизнь», также под угрозой. Почему? Так как эти люди принимают медикаменты (кортикостероиды) для подавления работы иммунной системы, которые в свою очередь имеют (могут иметь) коварные побочные действия.
- Нельзя недооценивать в качестве причины липоматоза наследственное заболевание, при котором липомы появляются усиленно: так называемый нейрофиброматоз. При этом нейрофибромы и липомы растут настолько интенсивно, что у некоторых людей ими затронуто всё тело.
Симптомы спинального липоматоза - аналогичны симптомам при грыже межпозвоночного диска
Заболевание может протекать бессимптомно. В некоторых случаях возникает боль в спине с иррадиацией в ноги или руки, возможно, с мышечной слабостью, нарушением чувствительности или судорогами. Аналогичные жалобы, как при грыже диска или стенозе спинального канала. Есть больные, которые жалуются на так называемые вегетативные расстройства, например, недержание мочи. Также есть жалобы на параличи и расстройство прямой кишки.
Диагноз спинальный липоматоз - для диагностики необходима магнито-резонансная томография (МРТ)
Как и во всех других случаях, диагностика начинается с разговора между врачом и пациентом для сбора анамнеза. Если подтверждаются боль, избыточный вес, диабет и, возможно, трансплантация органов, то есть совокупность симптомов и жалоб, врач вполне может заподозрить спинальный липоматоз. Заметьте, пока только заподозрить. Техника должна сказать окончательное слово. Сюда относится магнито-резонансная томография (МРТ): на полученном снимке позвоночника может быть обнаружено размножение эпидуральной жировой ткани. Мягкие ткани, такие как соединительная и жировая ткань, а также мышцы, могут быть очень хорошо оценены в ходе этой процедуры.
Лечение - худеть или оперировать
Если спинальный липоматоз не лечить, то велика опасность, что проблема будет только усугубляться. Для лечения есть много возможностей. Говоря проще: худеть или оперировать!
Положительный прогноз
У пациента хорошие прогнозы на будущее, если спинальный липоматоз больше не развивается из-за снижения веса пациента, или же липома была успешно удалена в ходе операции.
Автор
Др. мед. Мунтер Сабарини
Врач-специалист, нейрохирургия
Avicenna Klinik в Берлине охотно поможет вам

С 2001 года клиника Avicenna Klinik находится в Берлине. Наши врачи, каждый в своей области (нейрохирургия, спинальная хирургия, анестезиология, ортопедия) имеют минимум 25 лет международного опыта.
Если вы хотите обратиться в нашу клинику с сильными болями в спине, межпозвоночной грыжей или с подозрением на грыжу, используйте следующий контакт:
Avicenna Klinik
Paulsborner Str. 2
10709 Berlin
Телефон: +49 30 236 08 30
Факс: +49 30 236 08 33 11
E-Mail: info@avicenna-klinik.de
Вы можете позвонить нам в любое время, написать E-Mail или заполнить формуляр с просьбой перезвонить. Каждый пациент получает время для приема у врача в нашей клинике, который в любом случае является специалистом по заболеваниям позвоночника (нейрохирург). На основе данных МРТ (привезенных вами с собой или сделанных в нашей клинике) и подробного обследования врач обсудит с вами различные варианты терапии или операции. Вы также можете использовать опыт наших врачей только для получения их (второго) мнения.
Если вы решите пройти лечение и/или операцию у нас в Берлине, мы постараемся организовать ваше пребывание настолько приятным, насколько это возможно. В нашей клинике вы, как человек и пациент, находитесь в центре внимания. У нас вас ждет самое современное оборудование везде - от операционных до палат для пациентов.
Самые современные, щадящие, минимально инвазивные методы лечения – это ключевой элемент в нашей клинике. Совместно мы пытаемся найти подходящее лечение при ваших жалобах. Только после подробного разговора с пациентом, обследований и диагностики начинается собственно лечение. Таким образом, каждый пациент получает свое индивидуальное лечение.
Таким же важным, как оптимальное медицинское обслуживание, является для нас и индивидуальная человеческая забота. Во время пребывания в стационаре наш обслуживающий медицинский персонал находится в распоряжении пациентов круглосуточно. Кроме того, наши сотрудники могут общаться с пациентами на многих языках: английском, арабском, болгарском, русском, польском, турецком и французском. Мы заботимся о вашей безопасности, уважаем ваши пожелания, традиции и религию.
Наш коллектив состоит из высококвалифицированных специалистов. Все вместе они работают над тем, чтобы вы как можно быстрее вновь обрели здоровье.
Клиника имени Авиценны
Неважно, что спровоцировало у вас боли в спине, Грыжа межпозвоночного диска, Стеноз спинального канала, Соскальзывание позвонков (листез) или Перелом позвонка: у нас вы найдете подходящее вам лечение.
МРТ при эпидуральном липоматозе
Лучевая диагностика эпидурального липоматоза
а) Определения:
• Гипертрофия эпидуральной клетчатки, вызывающая компрессию спинного мозга и неврологический дефицит
б) Визуализация:
2. КТ при эпидуральном липоматозе:
• Увеличение объема жировой ткани в спинномозговом канале
• Сдавление спинного мозга или дурального мешка
• Отсутствие патологического накопления контраста
• Отсутствие костных изменений
3. МРТ при эпидуральном липоматозе:
• Объемное воздействие на дуральный мешок и корешки спинного мозга:
о Облитерация ликворного пространства, сдавление спинного мозга, «скученность» корешков конского хвоста
• Интенсивность сигнала соответствует жировой ткани во всех режимах исследования
• Отсутствие патологического контрастного усиления
4. Несосудистые интервенционные рентгенологические исследования:
• Миелография:
о Норма или признаки экстрадурального сдавления дурального мешка
5. Рекомендации по поведению исследования:
• Наиболее оптимальный метод диагностики:
о МРТ
• Протокол исследования:
о Подавление сигнала жировой ткани для подтверждения жировой природы ткани и исключения кровоизлияния

(Слева) На схеме сагиттального среза показана картина сливного гипертрофического эпидурального липоматоза дорзального отдела спинномозгового канала, вызывающего сдавление дурального мешка и минимальную компрессию спинного мозга. Последний оттеснен вентрально.
(Справа) Сагиттальный срез, Т2-ВИ грудного отдела позвоночника: эпидуральная клетчатка определяется в виде равномерного и гомогенного слоя, интенсивность сигнала которого соответствует интенсивности сигнала подкожной клетчатки. Также видны компрессионные переломы тел позвонков, связанные с остеопорозом, индуцированным приемом глюкокортикоидов.
в) Дифференциальная диагностика эпидурального липоматоза:
1. Подострая эпидуральная гематома:
• Острое развитие симптоматики
• Высокая интенсивность сигнала в Т1-режиме сохраняется и при подавлении сигнала жировой ткани
2. Спинальная ангиолипома:
• Доброкачественная опухоль, образованная жировыми и сосудистыми элементами
• Фокальное, округлой формы образование
• Инфильтративный тип опухоли может прорастать окружающие костные элементы
• Интенсивность сигнала обычно ниже, чем у жировой ткани в Т1 -режиме и выше в режиме STIR:
о Связано это с наличием сосудистых элементов
• Контрастирование гадолинием
3. Метастатическое поражение:
• Низкая интенсивность сигнала в Т1, промежуточная или высокая интенсивность сигнала в Т2, STIR
• Контрастирование гадолинием
4. Эпидуральный абсцесс:
• Гипоинтенсивность в Т1, гиперинтенсивность в Т2
• Диффузное или периферическое контрастное усиление
г) Патология. Общие характеристики:
• Этиология:
о Длительный прием глюкокортикоидов
о Избыточная эндогенная продукция кортизола
о Генерализованное ожирение
о Идиопатические причины

(Слева) Сагиттальный срез, Т1-ВИ: гипертрофия эпидуральной клетчатки в дорзальном и вентральном отделе спинномозгового канала. Дуральный мешок уменьшен в передне-заднем направлении вследствие сдавления жировой тканью.
(Справа) На аксиальном Т1-ВИ определяются признаки выраженной гипертрофии эпидуральной клетчатки в поясничном отделе спинномозгового канала. Клетчатка в значительной степени сдавливает дуральный мешок, который принимает форму трилистника. Гипертрофированная клетчатка позволяет нам хорошо видеть связку Хоффмана, соединяющую заднюю продольную связку с вентральной поверхностью твердой мозговой оболочки.
д) Клинические особенности:
1. Клиническая картина эпидурального липоматоза:
• Наиболее распространенные симптомы/признаки:
о Парезы: >85%
• Другие симптомы/признаки:
о Боль в спине, чувствительные нарушения, полирадикулопатия, изменения рефлексов, тазовые нарушения, атаксия
• Особенности клинического течения:
о Медленное прогрессирование симптоматики
2. Демография:
• Нечастое заболевания: обычно наблюдается у пациентов среднего возраста (М>Ж)
3. Течение заболевания и прогноз:
• При низкодозовой стероидной терапии и идиопатическом характере процесса прогноз более благоприятный
• Более, чем у 80% пациентов отмечается в той или иной мере выраженное купирование симптоматики
4. Лечение эпидурального липоматоза:
• Коррекция лежащих в основе заболевания эндокринных нарушений
• В случаях генерализованного ожирения - коррекция веса
• Многоуровневая ляминэктомия и спондилодез:
о Показаны при клинической картине сдавления спинного мозга и радикулопатии
Липома - диагностика, методы лечения

Доброкачественные новообразования, развивающиеся в жировой ткани, прежде всего, кожи, но бывают липомы молочной железы, головного и спинного мозга. Опухоли растут медленно и редко малигнизируются.
Липомы возникают у многих людей, по статистике они есть у каждого сотого человека. Мужчины и женщины одинаково подвержены заболеванию.
Что такое липома?
Липома – это мягкое на ощупь, округлое, заполненное жиром образование, которое чаще всего вырастает под кожей. В быту липомы нередко называют жировиками. В подавляющем большинстве случаев липомы безобидны, их относят к доброкачественным опухолям. На коже липом не бывает, они формируются в жировой ткани кожи или в подкожной клетчатке. Таким образом, липома может возникнуть на любой части тела, где есть жировая ткань. Обычно у человека возникает 1-2 образования. Очень редко встречаются липомы множественные, это состояние называют множественным семейным липоматозом, он чаще возникает у мужчин.
Как липома выглядит?

Медленно растущие мягкие образования под кожей — жировики — обычно являются липомами.
Выглядит липома как “шарик” или “комок” под кожей. Величина образования варьирует, оно может быть размером от горошины и до нескольких сантиметров в поперечнике. Липома при пальпации (ощупывании) мягкая, по плотности напоминает резину, не спаяна с нижележащими тканями.
Причины возникновения липомы
Обычно липомы возникают в среднем возрасте – между 40 и 60 годами, у детей это патология встречается редко.
Точные причины появления липом неизвестны. Но они чаще возникают
- у пациентов с редким наследственным заболеванием – синдромом Коудена
- при синдроме Гарднера
- при болезни Маделунга.
Нередко липомы находят у членов одной семьи, т.е. генетическая предрасположенность к ним передается по наследству. Ожирение не приводит к повышенному риску образования липом.
Классификация
По анатомическому признаку липомы подразделяют на:
- липомы головы, лица и шеи, которые, соответственно, располагаются на голове, на лице, на шее
- липомы туловища – на спине, животе
- липомы конечностей – на ногах и руках
- липомы грудной клетки – образованием затронуты легкие
- липомы внутри брюшных органов – новообразования могут затрагивать почки
- липомы семенного канатика
- липомы других локализаций.
Классификация липомы по МКБ-10
По международной классификации болезней липомы относят к разделу D17, т.е. к доброкачественным образованиям жировой ткани.
Механизм образования
Иногда триггером, запускающим образование липомы, считают повреждение кожи. Липома представляет собой новообразование из жировых клеток. Ее рост начинается из одной клетки, которая растет и делится быстрее, чем окружающие ее ткани. Под микроскопом липома представляет собой скопление узелков из зрелых жировых клеток (адипоцитов), разделенных фибромускулярными перегородками. Доброкачественность образования устанавливают при отсутствии атипии ядер или самих клеток.
Симптомы и признаки липом
Липомы растут очень медленно и обычно не вызывают никаких симптомов, кроме уплотнения в виде “шишки” или “шарика” под кожей. Внутренние липомы также обычно ничем себя не проявляют, т.е. бессимптомны.
Липома молочной железы
Липома в молочной железе обычно возникает у женщин после наступления менопаузы. Как правило, это образование размером до 1 см, весом до нескольких граммов. Липому молочной железы размером более 5 см и весом более 500 г называют гигантской.
Основные признаки липомы молочной железы:
- безболезненность
- мягкость на ощупь
- возможность смещения под кожей. Т.е. она не спаяна плотно с окружающими тканями и не изменяет внешний вид кожи над ней.
Так как липомы часто располагаются в толще железы и не имеют никаких симптомов, то их нередко обнаруживают случайно, во время плановой маммографии или УЗИ.
Липома молочной железы не повышает риск рака молочной железы и очень редко трансформируется в злокачественную опухоль.

Липома молочной железы. Фото: © Nevit Dilmen / Wikipedia (Creative Commons Attribution-Share Alike 3.0 Unported license)
Липома головного и спинного мозга
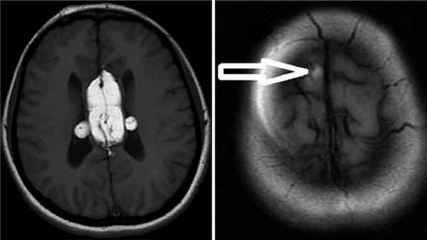
Липомы головного мозга также выявляют случайно, когда у пациентов старшей возрастной группы проводят МРТ или КТ мозга по каким-то другим причинам, например, при нарушении когнитивных функций, эпилепсии. Липомы могут быть обнаружены в любом отделе мозга, тем не менее 50% – это перикалозальные липомы, в свою очередь 45% которых ассоциированы с агенезией мозолистого тела. 25% составляют липомы квадригименальной цистерны и 15% – липомы супраселлярной цистерны. Так как липомы мозга не имеют симптомов, хоть и часто сочетаются с какими-то пороками, например, агенезией мозолистого тела, то и лечения они не требуют. Хирургическое лечение сопряжено с большим риском осложнений и не имеет никаких преимуществ. Если возникают гидроцефалия или судорожный синдром, то лечение проводят по общим правилам.

Липома мозолистого тела головного мозга. Фото: Journal of neurosciences in rural practice / Open-i (Attribution-NonCommercial-ShareAlike 3.0 Unported)
Липома у детей
Липомы позвоночника составляют 35% всех новообразований спинного мозга, чаще встречаются у девочек.
Липома спинного мозга подразделяется на несколько клинических вариантов:
- липомиеломенингоцеле. Это врожденная патология, при которой жировые образования расположены вдоль позвоночника и проникают внутрь спинномозгового канала, соединяясь со спинным мозгом. Эта липома внешне выглядит как объемное образование внизу позвоночника. У ⅓ пациентов образование проявляет себя нарушениями мочеиспускания. Реже пациентов беспокоит искривление стоп, боль в спине. Лечение хирургическое.
- липома терминальной нити, при которой жировая ткань расположена в конечной нити спинного мозга. Иногда это состояние рассматривают как синдром натяжения концевой нити. Это редкое заболевание, которое эффективно лечат хирургической операцией, менее опасной, чем в предыдущем случае.
- липома спинного мозга (интрадуральная) встречается редко и составляет 4% от всех липом. Чаще ее выявляют в грудном отделе позвоночника у детей, патологии костей или кожи при ней не бывает. Если вырастает до больших размеров, то проявляет себя симптомами сдавления спинного мозга. Это одно из самых малоизученных новообразований.
Липома у взрослых
Кроме обычных подкожных липом, в зрелом возрасте могут быть:
- Эпидуральный липоматоз, который возникает при избыточном синтезе жира в эпидуральном пространстве, то есть между позвонками и твердой оболочкой спинного мозга. Это нередкое осложнение при синдроме Кушинга, тяжелом ожирении, приеме глюкокортикостероидов. Дебютирует патология синдромом “конского хвоста”, лечат его отменой стероидов или снижением веса.
- Ангиомиолипома, состоящая из аномально разросшихся сосудов и жировой ткани. Чаще всего ее обнаруживают в поясничном или грудном отделах позвоночника. Как правило, возникает в теле одного позвонка и может проявляться болью в спине, так как уменьшает высоту позвонка и приводит к сдавливанию нервных корешков. Образование обычно выявляют случайно у людей в возрасте 30-40 лет. При сильной компрессии, т.е. при сдавливании нервных структур, проводят лечение – пункционную вертебропластику (“цементирование” позвонка). Иногда ангиомиолипому обнаруживают в почке. При небольших размерах (до 1,0-1,5 см) лечения не требует, за образованием наблюдают, периодически выполняя ультразвуковое исследование.
Диагностика липом
Липому под кожей легко диагностируют при осмотре и прощупывании.
Липомы внутри организма выявляют с помощью:
В неясных случаях проводят биопсию, при которой небольшое количество ткани исследуют под микроскопом.
К какому врачу обратиться?
Так как липома может вырасти в любом месте организма, то её диагностируют и лечат врачи разных специальностей. Это зависит от места расположения образования. Липомами на коже занимаются хирург и дерматолог, липомами в области молочной железы – маммолог, липомами мозга или позвоночника – нейрохирург.
В чем отличие атеромы от липомы?
Липома представляет собой образование из жировой ткани, тогда как атерома – это скопление секрета сальной железы из-за закупорки ее протока. Соответственно, атерома не может возникнуть там, где нет сальных желез, т.е. в легких, мозге, брюшной полости, семенном канатике и т.д. Атерома чаще растет на волосистой части головы, имеет тенденцию к воспалению и нагноению, располагается более поверхностно. При воспалении атеромы она увеличивается в размерах, возникает покраснение, чего не бывает при липоме. Для того, чтобы выяснить, что имеется у пациента – атерома или липома – проводят УЗИ.
Методы лечения
Если липомы безболезненны и небольших размеров, то лечения не нужно. Липому молочной железы обычно наблюдают. Для этого маммографию проводят каждые 6 месяцев, и, если образование не растет, его не удаляют.
Надо ли удалять липому?
Вмешательство необходимо, если она:
- сдавливает нервные окончания
- вызывает дискомфорт
- изменяет свою консистенцию или размер
- рецидивирует после удаления
- растет.
Перед удалением внутрь липомы могут вводить кортикостероиды для того, чтобы уменьшить её размер.
Хирургическое удаление липомы
Используют следующие методы удаления:
- Хирургическим путем, когда измененную ткань иссекают скальпелем под местной анестезией. Затем проводят ушивание раны.
- Липосакцию. В липому вводят иглу и с помощью шприца удаляют содержимое.
- Удаление липомы лазером. Этот щадящий метод используют для удаления образований размером более 3 см. При вмешательстве практически нет риска травмирования здоровой ткани и минимальна вероятность кровотечения или инфицирования. После удаления лазером редко возникают шрамы или рубцы.
Лечение липомы народными средствами
Так как липому обычно не нужно лечить, то не стоит пытаться свести ее народными средствами. Прикладывание льда или прогревание бесполезны, так как эти процедуры не влияют на жировую ткань.
Профилактика
Обычно не имеет смысла, так как четкой причины возникновения патологии не выявлено. При эпидуральном липоматозе, причиной которого может быть ожирение, профилактикой считают поддержание нормального веса.
МРТ позвоночника: основные режимы
Хотя в нашей стране есть специальность врач-радиолог, врачам других специальностей важно и нужно уметь смотреть МРТ (сами изображения, а не только читать заключения).
Это нужно делать по двум причинам:
- Человеческий фактор. Коллегам нужно доверят, но каждый из нас имеет право на ошибку.
- Вы видите пациента. Вы знаете его анамнез и смотрели физикально — в вашей голове уже есть круг дифференциального жиагноза. В отличие от врача-радиолога.
Основные режимы
При выполнении МРТ позвоночника используются 5 основных режимов:
— Т1/Т2 с жироподавлением или STIR
— T2*-градиентное эхо (GRE)
— Т1 с контрастированием (± жироподавление)
Т1 — режим с лучшим пространственным разрешением и анатомической детализацией. В отличие от Т2, он способен показать замещение костного мозга патологической тканью. Однако Т1 имеет низкую чувствительность к определению отёка тканей.
На Т1 гипоинтенсивны:
— Кортикальный слой кости
— Цереброспинальная жидкость (ЦСЖ)
Имеют промежуточную интенсивность:
— Красный костный мозг
Гиперинтенсивны:
— Жёлтый костный мозг
— Меланин
— Внутри- и внеклеточный метгемоглобин
Грудной отдел позвоночника, сагиттальный срез. a — Нормальный костный мозг: жёлтый костный мозг гиперинтенсивный, красный – промежуточной интенсивности; b — МРТ пациентки с метастатическим раком молочной железы. Обратите внимание на замещение костного мозга патологической тканью (диффузные гипоинтенсивности).
Самое яркое отличие Т2 от Т1 — гиперинтенсивный сигнал от жидкости (например ЦСЖ). В сочетании с подавлением жира Т2 лучше всего показывает отёк (гиперинтенсивный сигнал) – инфекции, опухоли, переломы, повреждение связок.
Главные недостатки режима: разрешающая способность ниже, чем у Т1, Т2 невозможно использовать в чистом виде для выявления патологии костного мозга.
На Т2 гипоинтенсивны:
— Кортикальный слой кости
Гиперинтенсивны:
— Жидкости (например ЦСЖ!)
Подавление сигнала от жира
Сагиттальный STIR. Острый перелом на уровне L2 (линейная гиперинтенсивность — отёк), на уровне L4 — хронический перелом (отёка нет).
Т1 и Т2 в режиме жироподавления не обеспечивают полное подавление сигнала из-за неоднородностей магнитного поля особенно в зонах со сложной анатомической структурой (в шейном отделе).
Этих недостатков лишён режим STIR, однако, его выполнение неэффективно после введения контрастного вещества, так как начинает подавляться сигнал не только от жира, но и от других структур, схожих по интенсивности.
Эпидуральный липоматоз в поясничной области. a — Т1 (зону усиления сигнала можно принять за гематому); b — Т2 (патологический очаг изоинтенсивен ЦСЖ); c — STIR — лучшая визуализация липоматоза (гипоинтенсивный участок, расположенный эпидурально на уровне L5-S2, сдавливающий конский хвост).
GRE и Т1 с контрастированием
Основное применение GRE — визуализация мелких кровоизлияний до 5 мм в диаметре, а также продуктов крови и кальция.
В качестве контрастного вещества при выполнении МРТ используются препараты гадолиния. Выполнение МРТ с контрастом показывает зоны с повышенной васкуляризацией (повышение сигнала). Лучший результат даёт использование постконтрастного Т1 с жироподавлением (тогда зону жировой ткани нельзя будет принять за контрастное усиление).
Т1 с контрастным усиление помогает отдифференцировать:
— Кистозные поражения от солидных
Синовиальная киста на уровне L4-L5. a – Т2, b –Т1, c – постконтрастный Т1 с жироподавлением (обратите внимание на контрастное усиление стенки кисты, позволяющее отдифференцировать её солидного образования), d – аксиальный Т2
— Флегмону мягких тканей от абсцесса
Эпидуральный абсцесс на уровне L5. a – Т2, b – Т1, c – Т1 с контрастным усилением (обратите внимание на контрастное усиление стенки абсцесса), d – аксиальный Т1 с контрастным усилением
— Хирургические рубцы от фрагментов диска
Эпидуральный фиброз. a – аксиальный Т1 нативный, b – аксиальный Т1 с контрастированием и жироподавлением; Рецидивирующая грыжа. c – аксиальный Т1 нативный, d – аксиальный Т1 с контрастным усилением и жироподавлением (обратите внимание на контрастное усиление по периферии грыжи)
Резюме
Жироподавление помогает вычленить сигнал от жира и разглядеть патологию лучше (а в случае с липомами — выявить). Его можно сочетать с Т1 и Т2.
Читайте также:
