МРТ при ганглиоглиоме позвоночника
Добавил пользователь Евгений Кузнецов Обновлено: 29.01.2026
В зависимости от расположения, структуры и степени злокачественности, хирургия опухолей головного мозга часто требует мульти модальный подход с применением различной тактики, оборудования и инструментария.
Микрохирургическое удаление опухолей мозга и основания черепа нами проводится с использованием:
Микроскопа нового поколения;
Системы нейронавигации для планирования доступа и визуального контроля функционально важных трактов и корковых зон вокруг опухоли;
Нейромониторинга для интраоперационного электроимпульсного определения функционально значимых путей и центров вокруг опухоли;
Предварительной эндоваскулярной эмболизацией сосудов опухоли для снижения риска кровопотери во время операции;
Эндоскопической техники для контроля и ассистенции;
Стереотаксической биопсии для точной и безопасной диагностики;
Гибридной операционной для совмещения различных хирургических техник.
Удаленная опухоль подвергается патоморфологическому исследованию и молекулярно-генетическому анализу, обсуждается и формируется план дальнейшего лечения, реабилитации и наблюдения.
Заболевания сосудов мозга
Для выключения аневризм, артериовенозных мальформаций и фистул головного мозга, в руках нашей команды осуществляются как эндоваскулярные операции, так и микрохирургические вмешательства, при необходимости с комбинированием обеих техник в условиях гибридной ангиографической операционной.
Коррекция гемодинамически значимых стенозов внутренних сонных и позвоночных артерий проводится внутрисосудистым стентированием.
При окклюзиях внутренней сонной, средней мозговой артерий, болезни Мойя-мойя выполняется экстраинтракраниальный байпас.
Через определенные сроки все оперированные проходят проверочные контрольные эндоваскулярные и МРТ исследования.
Болезнь Паркинсона, тремор и дистония
Команда непрерывно наращивает опыт хирургического лечения двигательных расстройств с применением стереотаксической системы для глубинной стимуляции мозга.
В определенные зоны (ядра) мозга вводятся электроды, которые соединены с постоянным подкожным стимулятором.
После операции проводится специальное программирование системы для подбора параметров стимуляции.
«Эпилептический центр» сформированный на базе Больницы объединяет специалистов разного профиля для эффективного предхирургического отбора кандидатов и проведения хирургии.
Хирургическое лечение показано при фармакорезистентной эпилепсии, устойчивой к антиэпилептическим препаратам.
Вид операции обусловлен расположением эпилептогенного очага и формой эпилепсии.
Очень часто эпилептогенный очаг находится в височной доле, поэтому нередко выполняется такая операция как височная лобэктомия.
Если в Вашем случае имеет место многоочаговая или другая нерезектабельная форма эпилепсии, Вам может быть предложена стимуляция вагуса.
Иногда для определения локализации невидимого эпилептогенного очага применяется инвазивная электроэнцефалография.
Эпилепсия, связанная с другими причинами (корковая дисплазия, кавернозная мальформация, ДНЭТ, ганглиоглиома, посттравматическая и др.) рассматривается относительно конкретного кейса.
Невралгия тройничного нерва
Команда руководствуется алгоритмом выбора персонализированной оптимальной хирургии в каждом случае.
Пациент подвергается анкетированию, анализируется МРТ на наличие нейроваскулярного конфликта, обсуждается и определяется один из методов лечения - микроваскулярная декомпрессия с тефлоном, чрескожная радиочастотная термокоагуляция, блокада тройничного нерва, подбор вида и дозы препарата.
Гемифациальный спазм
Для устранения сокращения мышц на одной половине лица мы проводим высокоэффективную стандартную с тефлоном микроваскулярную декомпрессию лицевого нерва ретросигмоидным доступом с предхирургической и послеоперационной оценкой степени спазма.
Гидроцефалия
В основе развития гидроцефалии могут быть различные причины и механизмы (кровоизлияние, мозговая травма, менингит, окклюзия ликворных путей, опухоль, спонтанная идиопатическая нормотензивная). Учитывая возможные осложнения и последствия, связанные с шунтозависимостью и дисфункцией шунта, для выбора параметров шунтирующей системы требуется тщательный анализ с оценкой динамики симптомов, МРТ, КТ, тап-теста. Обычно нами проводится вентрикулоперитонеальное или вентрикулолюмбальное шунтирование с предустановленным или программируемым клапаном.
Поражения лицевого нерва
После операции по удалению опухоли мозга, или вследствие других причин (травма, инсульт) может возникать паралич мышц лица, вследствие поражения лицевого нерва, уровень и степень повреждения определяется путем электронейромиографии. В такой ситуации, при условии небольшой давности поражения при помощи операции языкоглоточно-лицевого анастомоза возможно частичное восстановление функции нерва.
Внутричерепные гематомы, закрытие дефектов черепа
Субдуральная, эпидуральная и внутримозговая гематома, ушиб мозга, вдавленный перелом черепа являются последствиями черепно-мозговой травмы, при которой операция по устранению сдавления мозга выполняется в экстренном или ускоренном порядке. Дефект черепа после трепанации возможно закрыть применением различных имплантатов, также доступна трехмерная индивидуализированная краниопластика.
Киари Мальформация и сирингомиелия
При наличии прогрессирующих симптомов (затылочная головная боль, онемение и слабость в руках и ногах, головокружение, нестабильная походка, и другие) заболевания выполняется декомпрессия задней черепной ямки, иногда необходимо устранение синдрома фиксированного спинного мозга путем рассечения терминальной нити.
Нейрохирургия позвоночника, спинного мозга и периферических нервов
МРТ при опухоли спинного мозга и позвоночника
Многие онкологические процессы очень сложно выявить на раннем этапе. Среди наиболее трудных для выявления – появление проблем со спинным мозгом и позвонками.
Статистика показывает, что заболевания онкологического характера, локализованные в центральной нервной системе, часто становятся причиной смертности. Опасность заключается в том, что заболевание диагностируется очень поздно и оставляет врачам минимум времени на принятие решений.
Использование МРТ при опухоли спинного мозга – один из самых эффективных и информативных методов раннего выявления такого заболевания. Использование магнитно-резонансной томографии позволяет выявлять очаги, когда их размер составляет всего лишь 2-3 мм.
Так как точность обследования очень высокая, удается получить сведения о злокачественности, разделить новообразования вторичного и первичного типа, установить стадию развития.
Основные симптомы опухоли спинного мозга
Одна из проблем при диагностировании опухоли спинного мозга заключается в том, что новообразование достаточно долго совсем не проявляет себя симптомами. Заметные внешние признаки начинают возникать в том случае, когда опухоль становится все больше.
Есть два основных признака развития и распространения опухолевого процесса. К ним относятся такие, как:
- Сильная боль в области спины.
- Постепенное кратковременное или длительное онемение конечностей.
- Компрессионный перелом позвоночника из-за большого скопления метастазов.
Часто время проявления зависит от того, в каком отделе позвоночника концентрируется поражение. Быстрее себя проявляют опухоли в шейном и поясничном отделе.
Наш оператор перезвонит вам в течении 20 мин
Виды опухолей
Все образования разделены на доброкачественные и злокачественные. Злокачественные делятся на два типа. Первичные не выделяют метастазы, а при метастатических они наблюдаются.
Есть своя классификация и для доброкачественных опухолей. Они могут быть врожденными или приобретенными по каким-либо причинам. Рассмотрим основные области, в которых оказываются сосредоточены поражения.
Сосуды позвоночника
Среди наиболее распространенных опухолей позвоночника лидирующее место занимает гемангиома. Ее развитие начинается в сосудах, постепенно поражает все большие участки кровеносной системы пациента.
Это доброкачественное новообразование. Медики чаще всего диагностируют его в грудном или поясничном отделе позвоночника. Диапазон возрастов пациентов при этом очень обширен, он составляет от 40 до 60 лет.
Основной симптом – боли в спине.
Также есть вероятность появления компрессионного перелома на поздних стадиях.
Позвонки
Распространено множество видов поражений позвоночника – от хондромы и остеомы до фибромы и остеобластомы. Среди злокачественных новообразований чаще всего диагностируются метастатические поражения. Они особенно характерны для позвонков, быстро распространяются по столбу и хорошо заметны на МРТ.
Спинной мозг
Еще одно опасное поражение – опухоли в спинном мозге. Они могут быть врожденными или приобретенными. К первой категории относятся такие новообразования, как липомы, тератомы и другие. Вторая категория включает в себя такие поражения, как глиома, меланома, параганглиома и другие.
Признаков патологии может быть множество, в зависимости от стадии ее развития и многих других параметров. Потому лучшим решением становится диагностика с применением метода МРТ. Обычно направление выдает лечащий врач в зависимости от картины собранного анамнеза, результатов анализов пациента.
Как проводится МРТ позвоночника
Применение магнитно-резонансной томографии позвоночника считается наиболее эффективным методом диагностирования новообразований. Использование такого средства делает диагностику значительно более точной.
В кабинете с томографом пациенту нужно просто лечь на специальную кушетку. Затем он будет помещен внутрь томографа, где и создается интенсивное магнитное поле. Это позволяет получать объемную картину, детализированное изображение, на основании которого и составляется заключение.
При проведении процедуры на организм человека не оказывается вредного воздействия. Таким образом можно проводить исследование состояния здоровья детей и беременных женщин.
Главное требование – на протяжении всего времени сеанса не двигаться.
Противопоказаний минимум. К ним относится ограничение на металлические изделия – все украшения и одежду со стальными элементами потребуется снять.
Среди относительных противопоказаний – наличие в организме посторонних металлических частей, а также кардиостимуляторов, инсулиновых помп и многих других устройств, работу которых может потенциально нарушить создаваемый магнитный резонанс.
Обратитесь в наш центр для проведения качественного МРТ
Мы используем оборудование, которое позволяет на ранней стадии выявлять множество типов поражений позвоночника, злокачественные и доброкачественные новообразования. Среди основных преимуществ обращения к нам:
- Внимательный подход к каждому пациенту.
- Доступные цены на проведение обследования и специальные скидки для клиентов.
- Быстрое составление развернутого, максимально информативного заключения рентгенологом с большим опытом.
- Подробное консультирование по всем вопросам, касающимся проведения процедуры.
У нас могут проходить обследования все категории пациентов. После диагностики им предоставляется развернутое заключение, в котором врач указывает все особенности состояния организма. Также результаты записываются на электронный носитель.
Чтобы выбрать удобное время для посещения нашего центра, нужно просто оставить заявку на сайте или позвонить нам.
МРТ при опухоли мозга

В современном мире человечество подвержено онкологическим заболеванием. Рано или поздно организм дает сбой, и каждый из нас остерегается этой серьезной болезни. В некоторых системах организма развитие раковых клетках можно определить по ярко выраженным симптомам. Например, рак легких, желудочно-кишечного тракта или кожных покровов легко определяется на ранних стадиях при правильной диагностике.
Более опасным является развитие рака мозга. Данное заболевание может протекать незаметно на протяжении длительного времени. Зачастую онкологические заболевания головного мозга диагностируются на поздних стадиях, что и усугубляет процесс лечения. Причиной несвоевременной диагностики является бессимптомное протекание болезни и расположение опухоли внутри черепа. В некоторых случаях большие опухоли могут иметь более слабые симптомы, чем мелкие новообразования. Поэтому, до тех пор, пока у пациента нет ярко выраженных симптомов, он и не обращается к специалисту. Пациент попадает к доктору лишь при сильном ухудшенном самочувствии.
— В каком возрасте чаще всего встречаются онкологические заболевания головного мозга?
Данное заболевание встречается как в молодом, так и в более зрелом возрасте. В возрасте до 35 лет рак головного мозга находится на втором месте среди причин смертности от онкологических заболеваний. По данным статистики злокачественные опухоли головного мозга чаще всего встречается среди людей среднего и пожилого возраста. На сегодняшний день медицине достоверно неизвестны причины развития данного заболевания.
— Является ли головная боль главным симптомом опухоли головного мозга?
— Когда все-таки лучше проводить диагностику онкологического заболевания головного мозга?
Однозначно, чем раньше, тем лучше. Ведь вовремя обнаруженное заболевание легче всего поддается лечению. Вероятность выздоровления напрямую зависит от времени диагностики. Чем раньше специалисты обнаружат болезнь, тем больше вероятность выздоровления пациента.
— Какие первые симптомы рака головного мозга?
К первым симптомам можно отнести сильную головную боль, головокружение, тошноту и рвоту без причин, изменение речи, слуха и зрения, проблемы с вестибулярным аппаратом, судороги, нарушение памяти и онемение конечностей. Также первыми симптомами могут быть галлюцинации или эпилептические припадки. Данные симптомы характерны не только для рака головного мозга. Они могут быть признаками развития совершенно других заболеваний. Назначить правильное лечение может только специалист. В настоящее время существуют эффективные методы диагностики.
— Насколько эффективно МРТ при диагностике опухоли головного мозга?
Данный метод позволяет определить наличие опухоли на самых ранних стадиях. Если обнаружены признаки развития раковых клеток в головном мозге, пациенту вводят контрастный препарат для изучения распространения и степени онкологического заболевания. В результате диагностики врачи получают снимки новообразований с достаточно полной информацией: расположение, размер и форма. МРТ эффективно даже в случае наличия очень мелких опухолей, новообразований, расположенных вблизи кости или в стволе головного мозга. МРТ — надежный и эффективный метод диагностики онкологических заболеваний головного мозга.
Глиома

Глиомы (глиальные опухоли) являются наиболее распространенным типом первичной опухоли головного мозга. Они могут возникать в любом возрасте и в любой части головного или спинного мозга, где находятся глиальные клетки (клетки поддержки нервной системы). Существуют три основных вида/rak-mozga/ глиомы: астроцитома, эпендимома и олигодендроглиома.
Астроцитомы определяют по их гистологическому качеству от низкой до высокой стадии. Наиболее распространенным типом глиомы является высокая степень астроцитомы – мультиформная глиобластома, которая растёт стремительно и носит в целом неблагоприятный прогноз. Астроцитомы низкой уровня (степени I и II), как правило, имеют медленный рост и несут улучшение прогноза.
К глиомам также относятся:
Все глиомы в соответствии с классификацией ВОЗ делятся на 4 степени:
- степень I — медленно растущие доброкачественные глиомы, ассоциированные с длительным сроком продолжительности жизни
- степень II — медленно растущие «пограничные» глиомы, которые могут перейти в степень III, IV
- степень III — злокачественные глиомы
- степень IV — быстрорастущие злокачественные глиомы, ассоциированные с коротким сроком продолжительности жизни
Лечение
Ввиду широкого разнообразия форм глиальных опухолей, эффективный формат лечения также может иметь большое количество вариантов. К тому же особенности каждого клинического случая предусматривают необходимость индивидуального подхода к выбору метода лечения.
Чаще всего нейрохирургическое лечение имеет бескровную альтернативу — радиохирургию, позволяющее без хирургического вмешательства разрушить опухолевые клетки в определенном объеме с помощью разовой высокой дозы ионизирующего излучения. Методика стереотаксической радиохирургии в Киеве реализуется на системе КиберНож.
Лечение на системе КиберНож

Радиохирургическая система КиберНож (CyberKnife G4)
Радиохиругическое лечение глиомы на Киберноже, независимо от типа опухоли, который более точно можно будет определить во время биопсии (если есть возможность ее провести), проводится по одинаковому алгоритму. Сначала с помощью данных КТ- и МРТ-исследований будет сформирована пространственная модель расположения опухоли и соседствующих с ней здоровый участков мозга. Затем в планировочной системе лучевой терапевт задает требуемую дозу, которую КиберНож должен сформировать в области, в границах которой находится глиома.
Также задается минимальная доза в тех зонах, которым любое облучение противопоказано (например, ствол головного мозга). После этого мощная компьютерная система строит план лечения с тем, чтобы из множества тонких одиночных пучков излучения сформировать в опухолевой зоне равномерную зону требуемой дозы излучения. Далее роботизированная рука-манипулятор КиберНожа согласно составленному плану будет последовательно перемещать компактный линейный ускоритель в каждое из запланированных положений, из которых будет проводится подача единичного пучка.

План радиохирургического лечения глиомы на КиберНоже
В отличие от хирургического лечения, радиохирургия не предусматривает нарушения целостности черепа, мозговых оболочек и т.д. Лечение глиомы исключает наличие осложнений, связанных с общим состоянием пациента, перенесшего нейрохирургическое вмешательство, а также с неврологическими нарушениями, вызванными повреждением здоровых тканей головного мозга в процессе доступа к глиоме. Лечение проводится амбулаторно, без проведения наркоза, что упрощает доступ к современному методу лечения пациентам в тяжелом общем состоянии.
Стоимость радиохирургии сопоставима с ценой на нейрохирургическое вмешательство. Отсутствие необходимости реабилитации после лечения на КиберНоже позволяет снизить общую стоимость лечения при более высокой эффективности получаемой терапии.
В случае более объемного процесса, пациенту может быть показана высокоточная IMRT-лучевая терапия, выполняемая на современном линейном ускорителе.

План лучевого лечения глиомы на линейном ускорителе
Диагностика

Siemens Magnetom Sola в Клинике Спиженко
Диагностику глиомы проводят с применением магнитно-резонансной томографии головного мозга (МРТ) и его ствола или хиазмы (перекреста) зрительного нерва с использованием контраста и без него. Это самый простой и эффективный способ выявить глиальную опухоль. Магнитно-резонансная томография может быть также использована для более точного определения характера опухоли.
Для диагностики онкологических заболеваний применяются все современные инструменты — высокоточное оборудование производителей мирового класса, которое позволяет обеспечить комфортность и безболезненность процедуры исследования для каждого пациента.
Также при необходимости, диагностика глиальной опухоли может проводится при помощи компьютерной томографии головного мозга (КТ). Данный метод инструментальной диагностики, помимо выявления новообразования и его четких границ, позволяет комплексно оценить костные, полостные структуры головного мозга, сосуды и мягкие образования.
Симптомы
Симптомы глиомы являются переменными и зависят от расположения и размера опухоли. Общие жалобы включают головную боль, судороги, спутанность сознания, слабость, онемение, дисбаланс или нарушения координации и изменения личности. Наблюдаемая симптоматика зависит от локализации и размеров опухоли. Для глиом характерны типичные для опухолей головного мозга проявления:
- тошнота, рвота, головные боли и судороги
- нарушения речи
- мышечная слабость, парезы и параличи в любой части тела или лица
- нарушение зрения и осязания
- нарушение координации
- изменения в поведении
- нарушения памяти и мышления
Причиныи факторы риска
Глиомы (глиальные опухоли) относятся к числу тех онкологических заболеваний, точную причину возникновения которых установить невозможно. На сегодня известны лишь статистические данные, которые дают основу предположить наличие предрасположенности к развитию опухоли головного мозга у некоторых людей.
Как правило, больше всего развитию глиом подвержены люди старшего возраста — от 60-ти до 70-ти лет. Мужчины страдают от этого заболевания больше, чем женщины.
Факторы риска
- негативное воздействие ионизирующего излучение;
- наследственность;
- генетические заболевания.
Профилактика глиомы
Профилактика глиомы, как и многих других новообразований головного мозга, заключается в качественному подходу к образу жизни. Правильное питание, отказ от алкоголя и курения, умеренные физические нагрузки, соблюдение режима отдыха и сна — все эти факторы способствуют хорошему самочувствию и помогают избежать многих заболеваний.
Касательно онкологии, точных причин развития большинства патологических заболеваний современной медицине установить не удается. Существуют генетические факторы, наследственность, предрасположенность, которые могут послужить катализатором развития опухоли.
Ранняя диагностика опухоли способствует высоким результатам лечения. И основным медицинским методом, который позволяет предупредить и диагностировать в том числе и глиому на ранней стадии является профилактический осмотр — onco check up.
Для каждого пациента список необходимых анализов, исследований и тестов онкоскрининга определяется индивидуально во время консультации врача-онколога, исходя из его пола, возраста, наличия хронических заболеваний и семейного анамнеза.
Онкоскрининг, в ходе которого применяются различные лабораторные анализы, современные методы инструментальной диагностики (магнитно-резонансная томография, компьютерная томография, ультразвуковая диагностика, эндоскопические исследования), позволяет выявить опухолевые процессы в организме на той стадии, когда еще нет никаких симптомов.
МРТ опухолей спинного мозга

МРТ позвоночника. Аксиальная Т2-взвешенная МРТ грудного отдела. Невринома по типу “песочных часов”. Цветовая обработка изображения.
При МРТ позвоночника могут быть выявлены не только дегенеративные заболевания и грыжи дисков, но и опухоли. Экстрадуральные опухоли, в основном метастазы в позвонки, рассматриваются нами в специальной статье. Интрадуральные опухоли могут быть экстрамедуллярными (внутри позвоночного канала, но вне спинного мозга) и интрамедуллярными (собственно спинного мозга). И те и другие могут проявляться миелопатическим синдромом. МРТ в СПб спинного мозга осуществляется одновременно с МРТ позвоночника по стандартным программам, с добавлением МРТ с контрастированием. Стойкое подозрение на опухоль мозга позволяет исследовать область прицельно. На открытом МРТ срезы чуть толще, однако, обычно это не сказывается на качестве диагностики. МРТ СПб позволяет выбирать место выполнения МРТ, мы рекомендуем Вам обследоваться у нас, так как имеем большой опыт МРТ позвоночника в нейрохирургии.
Экстрамедуллярные интрадуральные опухоли
Общая частота экстрамедуллярных опухолей составляет около 3 случаев на 100 тыс. населения. У взрослых соотношение экстра/интрамедуллярные опухоли составляет 70/30%, у детей – 50/50%. В интрадуральном пространстве чаще всего встречаются доброкачественные опухоли. Из них большинство представлено менингиомами и невриномами. Гораздо реже встречаются нейрофибромы, эпендимомы, параганглиомы и гранулоцитарные саркомы.
Невриномы (шванномы) и нейрофибромы составляют примерно половину опухолей этой локализации и 35% от всех спинальных опухолей. Гистологически невриномы происходят из шванновских клеток оболочек нерва (леммоцитов), прилегающих к заднему корешку. Обычно диагностируются они в возрасте 20 – 50 лет, у мужчин проявляются несколько в более молодом возрасте, чем у женщин. Они почти всегда одиночные, инкапсулированные, располагаются в любом отделе, но чуть чаще в поясничном или верхнем шейном. Множественные невриномы встречаются исключительно редко при нейрофиброматозе типа II. Нейрофибромы состоят из шванновских клеток и фибробластов, некоторые окружают задний корешок. Они почти всегда множественные и связаны с нейрофиброматозом типа I (болезнь Реклингхаузена). От 2 до 12% нейрофибром перерождаются злокачественно, превращаясь в нейрофибросаркомы. Несмотря на различие в гистологии характер роста опухолей одинаковый. Около 15% из них распространяются в экстрадуральное пространство через одно или несколько межпозвоночных отверстий, приобретая вид “песочных часов”. Такой тип роста особенно типичен для шейной локализации. На рентгенограммах рост по типу «песочных часов» может быть выявлен по расширению межпозвоночного ответстия и эрозии корня дуги. Клинические проявления неврином и нейрофибром состоят в радикулопатическом и миелопатическом синдромах.
На МРТ Т1-взвешенного типа и невриномы, и нейрофибромы изо- или слегка гипоинтенсивны по отношению к спинному мозгу. Однако, встречаются случаи и повышенного сигнала за счет сокращения Т1 мукополисахаридами, связанными с водой. Протонная плотность при МРТ повышена, а на Т2-взвешенных МРТ они чаще неоднородные, могут быть очень яркие участки, где имеется высокое содержание воды, и сравнительно низкого сигнала, особенно в центре. Обе опухоли хорошо контрастируются при МРТ. По форме невриномы округлые, границы ровные, четкие. Нейрофибромы вытянуты вдоль корешка, что лучше видно на корональных МРТ. Размеры могут быть самыми различными.
Дифференцировать невриномы и нейрофибромы надо с менингиомами. Последние во всех отделах, кроме шейного расположены чаще кзади, отличаются по форме и обычно изоинтенсивные спинному мозгу на Т2-взвешенных МРТ.

МРТ шейного отдела позвоночника. Нейрофиброматоз тип II. Множественные невриномы (стрелки). Т1-взвешенная МРТ с контрастированием.
МРТ грудного отдела позвоночника. Невринома с интра-экстрадуральным типом роста. Корональная Т1-взвешенная МРТ, поперечная Т 1-взвешенная МРТ с контрастированием. Увеличение зоны интереса.
МРТ поясничного отдела позвоночника. Нейрофиброматоз тип I. Множественные нейрофибромы (стрелки). Сагиттальная и поперечная Т1-взвешенные МРТ с контрастированием, корональная Т2-взвешенная МРТ.
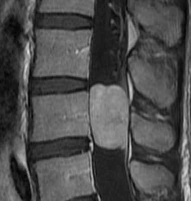
Менингиомы составляют до 40% опухолей этой локализации и 25% от всех спинальных опухолей. Обычно диагностируются в возрасте около 40-50 лет. Редко спинальные менингиомы встречаются у детей (3-6% от всех случаев менингиом) как проявление нейрофиброматоза II типа. При этом заболевании менингиомы могут быть множественные, что составляет около 2% от случаев менингиом. Происходят менингиомы из паутинной оболочки. Они инкапсулированы, имеют широкое основание, хорошо васкуляризированы, часто содержат кальцинаты и редко подвергаются кистозной дегенерации. У женщин встречаются в 4 раза чаще, чем у мужчин. Растут они очень медленно. Интрадурально расположены 85% менингиом и около 6% экстра-интрадурально и около 7% – экстрадурально. Около 75 – 80% менингиом располагаются в грудном отделе позвоночного канала, 15 – 17% в шейном отделе, 3% – в поясничном и около 2% в области большого затылочного отверстия. Злокачественные спинальные менингиомы описаны в казуистических наблюдениях. Клинические проявления состоят из локальных болей в спине и миелопатическом синдроме при компрессии спинного мозга.
На Т1-взвешенных МРТ менингиомы изоинтенсивны спинному мозгу. На Т2-взвешенных МРТ фибробластные менингиомы, как правило, низкого сигнала, в то время как другие гистологические варианты обычно умеренно повышенного сигнала. Контрастирование при МРТ быстрое и равномерное, иногда охватывающее и прилегающую твердую мозговую оболочку (“дуральные хвосты”). По форме на сагиттальных и корональных МРТ позвоночника менингиомы обычно полукруглые, с широким основанием, обращенным к оболочке. Менингиомы четко очерчены при МРТ. Рост по типу “песочных часов” нетипичен.

МРТ грудного отдела позвоночника. Интрадуральная менингиома в грудном отделе. Сагиттальная Т1-взвешенная МРТ с контрастированием.

МРТ шейного отдела позвоночника. Интрадуральная менингиома на уровне C1/2. Сагиттальная и Т1-взвешенная МРТ с контрастированием.

МРТ поясничного отдела позвоночника. Интрадуральная менингиома в поясничном отделе. Сагиттальная Т1-взвешенная МРТ после контрастирования.
Интрадуральные экстрамедуллярные метастазы ( лептоменингеальный карциноматоз) происходят они из злокачественных опухолей ЦНС и распространяются вдоль мягкой мозговой оболочки с током ликвора. Чаще они наблюдаются в детском возрасте. Отдаленные лептоменингеальные метастазы из раковых узлов, меланом и лимфом, занесенные через кровоток или по лимфатическим путям, встречаются исключительно редко. Характерная локализация лептоменингеальных метастазов в поясничном отделе.
Иногда на Т1-взвешенных МРТ удается увидеть узлы изоинтенсивные корешкам конского хвоста. На Т2-взвешенных МРТ они часто сливаются с ликвором. Поэтому если у больного опухоль, известная частым метастазированием, надо обязательно выполнять МРТ с контрастированием. Вместе с тем, отсутствие метастазов по результатам МРТ должно быть дополнительно подтверждено многократным цитологическим анализом ликвора.

МРТ шейного отдела позвоночника. Лептоменингеальные метастазы (стрелки). Сагиттальная Т1-взвешенная МРТ с контрастированием.
Эпендимомы экстрамедуллярной локализации растут из конуса и конечной нити. По гистологии относятся к миксопапиллярному типу. Составляют около 13% от всех спинальных эпендимом. Диагностируются в возрасте около 40 лет и чуть чаще у мужчин. Хотя относятся к градации 1, встречается диссеминация с током ликвора.
На Т1-взвешенных МРТ поясничного отдела позвоночника эпендимомы изоинтенсивны спинному мозгу. На Т2-взвешенных МРТ они гиперинтенсивны. Обычно хорошо и равномерно контрастируются, хотя встречается и периферический тип усиления. Изредка встречается субарахноидальная диссеминация. Может наблюдаться высокое содержание белка в ликворе, что проявляется повышенным сигналом от него на Т1-взвешенных МРТ. При этом корешков не видно. Описаны при эпендимоме субарахноидальные кровоизлияния с характерными депо гемосидерина по поверхности вовлеченных структур.

МРТ поясничного отдела позвоночника. Миксопапиллярная эпендимома. Т1-взвешенная МРТ после контрастирования. Увеличение.
Ганглионеврома (параганглиома) происходит из клеток автономной нервной системы. Частота составляет 1 случай на 100 тыс. населения. Опухоль может локализоваться в любом месте. Спинальная ганглиневрома обычно имеет экстрадуральный тип роста, но изредка встречается и интрадуральный. Проявляется в возрасте 40 – 50 лет. Чуть чаще наблюдается у мужчин.
На Т1-взвешенных МРТ опухоль изоинтенсивна спинному мозгу. На Т2-взвешенных МРТ она гиперинтенсивна, причем может быть видна фиброзная капсула. Контрастное усиление при МРТ хорошее, но неравномерное. Так как интрадуральная параганглиома локализуется в области конского хвоста и конечной нити отличить ее от эпендимомы по МР признакам невозможно.

МРТ поясничного отдела позвоночника. Параганглиома конского хвоста. Сагиттальная Т1-взвешенная МРТ после контрастирования.
Интрамедуллярные опухоли
Интрамедуллярные опухоли составляют 10-20% всех интрадуральных образований. У взрослых интрамедуллярную локализацию имеют астроцитома, миксопапиллярная эпендимома, гемангиобластома и метастазы; у детей – пилоцитарная астроцитома, эпендимома, ганглиоглиома.
Астроцитома составляет 30-50% от интрамедуллярных опухолей. Чаще всего спинальная астроцитома относится к доброкачественному пилоцитарному подтипу (G I-II), низкодифференцированная астроцитома и глиобластома встречаются редко. Обычно наблюдается в детском или среднем возрасте без половой предрасположенности. Типичная локализация – верхнегрудной уровень, но может быть астроцитома шейной и шейно-краниальной локализации. Опухоль растет по длиннику спинного мозга, но встречается и экзофитный тип роста. В поперечной плоскости имеет тенденцию к заднему расположению.
При МРТ обнаруживается вздутие спинного мозга, образование изо- или гипоинтенсивное на Т1-взвешенных МРТ, опухолевый узел, отек и киста могут быть одинаково гиперинтенсивны на Т2-взвешенных МРТ. Иногда киста отличается по сигналу от узла в связи с примесью белка или крови. Узел хорошо контрастируется , часто не имеет четких границ и неоднородный (“пятнистый”) по структуре. Реактивные кисты наблюдаются в 30% случаев, они расположены выше и (или) ниже узла и не контрастируются. Некротические внутриопухолевые кисты контрастируются по периферии, причем при визуализации через 20-30 минут могут контрастироваться целиком.

МРТ шейного отдела позвоночника. Интрамедуллярная астроцитома. СагиттальнаяТ1-взвешенная МРТ с контрастированием.
Эпендимома – вторая после астроцитомы по частоте интрамедуллярная опухоль. Спинальную локализацию имеет треть эпендимом, 2/3 приходится на желудочки головного мозга. Опухоль встречается в любом возрасте, однако пик приходится на средний. Чаще развивается у мужчин. Типичная локализация у взрослых – область конского хвоста и конечной нити, эти эпендимомы относятся к миксопапиллярному подтипу. У детей эпендимомы имеют шейную и шейно-краниальную локализацию. Эпендимомы растут медленно по длиннику спинного мозга, вызывая со временем эрозию ножек и задних отрезков тел позвонков. В аксиальной плоскости расположены центрально, симметрично занимая поперечник спинного мозга. Реактивные кисты наблюдаются в 50% случаев, чаще, чем при астроцитомах.
Также как и астроцитома, эпендимома гипоинтенсивна на Т1-взвешенных МРТ и гиперинтенсивна на Т2-взвешенных МРТ. Однако чаще встречается кровоизлияния, причем обычно по полюсам узла. После контрастирования узел виден как четко очерченный (за счет капсулы) и однородный.

МРТ шейного отдела позвоночника. Эпендимома шейного отдела спинного мозга. Сагиттальная Т1-взвешенная МРТ после контрастирования.
Гемангиобластома наблюдается заметно реже (около 2-6%), чем астроцитома и эпендимома. Встречается чаще в среднем возрасте. Примерно в трети случаев является проявлением болезни Гиппеля – Линдау, тогда она наблюдается у более молодого контингента пациентов и может быть множественной. Спинальная гемангиобластома сопровождается реактивной кистой, по чертам напоминающаю сирингомиелитическую.
При МРТ позвоночника обнаруживается узел изо- или гипоинтенсивный спинному мозгу на Т1-взвешенных МРТ и обширная киста ликворной или несколько повышенной интенсивности сигнала. На Т2-взвешенных МРТ иногда видны расширенные сосуды, особенно вдоль задней поверхности спинного мозга. После МРТ с контрастированием узел становится ярким, четко очерченным.

МРТ шейного отдела позвоночника. Интрамедуллярная гемангиобластома. Сагиттальная Т1-взвешенная МРТ после контрастирования.
Метастазы в спинной мозг встречаются очень редко. Из первичного узла они попадают гематогенным путём. Метастазы могут быть одиночными и множественными, иногда сочетаются с метастазами в позвонки.
Читайте также:
