МРТ при гемангиобластоме позвоночника
Добавил пользователь Владимир З. Обновлено: 29.01.2026
Периодическая боль в спине – это распространенная проблема. Большинство случаев возникновения боли является результатом обычных нагрузок и растяжений или дегенеративных изменений, появляющихся с возрастом. Но иногда причиной боли может стать спинальная опухоль – злокачественное или доброкачественное новообразование, развивающееся в спинном мозге, его оболочках или в костях позвоночника.
В большинстве органов доброкачественные опухоли не представляют большой опасности. Но в отношении спинного мозга все может происходить по-другому. Спинальная опухоль или любая разновидность новообразования может поражать нервы, что приводит к появлению боли, неврологическим нарушениям, а иногда и к параличу.
Спинальная опухоль, злокачественная или доброкачественная, может угрожать жизни и вызывать инвалидность. Однако достижения в лечении спинальных опухолей предлагают варианты лечения, ранее не доступные для пациентов с таким заболеванием.
Симптомы
Боль в спине, является самым распространенным симптомом как доброкачественной, так и злокачественной спинальной опухоли. Боль часто может усиливаться по ночам или при пробуждении. Она также может распространяться через позвоночник к бедрам, ногам, ступням или рукам и может усиливаться со временем, несмотря на лечение.
В зависимости от локализации и типа опухоли могут развиваться другие признаки и симптомы, особенно в процессе роста и воздействия злокачественной опухоли на спинной мозг или на нервные корешки, на кровеносные сосуды или кости позвоночника.
Спинальные опухоли прогрессируют с различной скоростью. В целом, злокачественные опухоли растут быстро, в то время как доброкачественные опухоли могут развиваться медленно, иногда существуя по нескольку лет до появления проблем.
Разновидности спинальных опухолей
Эпидуральные опухоли
Большинство опухолей, поражающих позвонки, распространяются (распространяют метастазы) на позвоночник из другого места организма, часто из простаты, молочной железы, легкого или почек. Хотя первичный рак обычно диагностируется до развития значительных проблем, связанных со спиной, боль в спине может быть первым симптомом заболевания у пациентов с метастазирующими спинальными опухолями.
Раковые опухоли, берущие начало в костях позвоночника – менее распространенное явление. К ним относятся остеосаркомы (остеогенные саркомы), самый распространенный тип рака кости у детей и саркома Юинга, особенно агрессивная опухоль, поражающая молодых людей. Множественная миелома – это раковое заболевание костного мозга – пористой внутренней части кости, которая продуцирует кровяные клетки – наиболее часто развивающееся у взрослых пациентов.
Доброкачественные опухоли, такие как остеоид-остеомы, остеобластомы и гемангиомы также могут развиваться в костях позвоночника, вызывая продолжительную боль, искривление позвоночника (сколиоз) и неврологические нарушения.
Субдуральные опухоли
Эти опухоли развиваются в твердой мозговой оболочке спинного мозга (менингиомы), в нервных корешках, выходящих из спинного мозга (шванномы и нейрофибромы) или у основания спинного мозга (эпендимомы). Менингиомы чаще всего развиваются у женщин в возрасте от 40 лет и старше. Они практически всегда бывают доброкачественными, их несложно удалить, но иногда они могут рецидивировать. Опухоли корешков нервов являются обычно доброкачественными, хотя нейрофибромы, при длительном росте и больших размерах опухоли, могут перерасти в злокачественные. Эпендимомы, расположенные в конце спинного мозга, часто имеют большой размер, их лечение может быть осложнено сращением опухоли с корешками конского хвоста, расположенного в этой области.
Интрамедуллярные опухоли
Эти опухоли берут начало внутри спинного мозга. Большинство из них является астроцитомами ( чаще всего они развиваются у детей и подростков) или эпендимомами, самым распространенным типом опухолей спинного мозга у взрослых. Часто интрамедуллярными опухолями являются сосудистые гемангиобластомы спинного мозга. Интрамедуллярные опухоли могут быть либо доброкачественными, либо злокачественными и, в зависимости от их расположения, они могут вызывать онемение, потерю чувствительности или изменения в работе кишечника или мочевого пузыря. В редких случаях опухоли из других частей тела могут метастазировать в спинной мозг.
Когда следует обращаться к врачу
Чаще боли в спине не связаны со спинальной опухолью. Но поскольку ранняя постановка диагноза и лечение являются важными аспектами проблем, связанных со спиной, обращайтесь к врачу, если у вас возникла постоянная боль в спине, не имеющая отношение к вашей активности, усиливающаяся по ночам и не уменьшающаяся при приеме болеутоляющих средств. Такие признаки и симптомы, как прогрессирующая мышечная слабость или онемение в ногах, изменения в работе кишечника или мочевого пузыря, требуют немедленного оказания медицинской помощи.
Обследование и постановка диагноза
Спинальные опухоли иногда можно не диагностировать, поскольку они являются редким явлением и их симптомы напоминают симптомы более распространенных заболеваний. По этой причине особенно важно, чтобы врач собрал полный анамнез и провел физикальное и неврологическое обследование. При подозрении на спинальную опухоль врач может назначить проведение одного или нескольких указанных ниже исследований, чтобы подтвердить диагноз и выявить расположение опухоли:
Магнитно-резонансная томография (МРТ). Вместо радиационного излучения в МРТ используются мощные магнитные и радиоволны для получения изображения поперечного сечения позвоночника. МРТ четко отображает спинной мозг и нервы, обеспечивает лучшее изображение опухолей костей, чем компьютерная томография (КТ). Вам могут ввести в вену кисти или предплечья контрастное вещество, которое помогает выявить некоторые опухоли. Кроме этого, используют сканеры с высокой интенсивностью сигнала для выявления небольших опухолей, которые можно не заметить.
Компьютерная томография (КТ). Это исследование использует узкие рентгеновские лучи для получения подробного изображения поперечного сечения позвоночника. Иногда при этом вводят контрастное вещество для более отчетливого выявления патологических изменений в позвоночном канале или спинном мозге. Хотя исследование не является инвазивным, оно подвергает пациента большему воздействию радиации, чем обычный рентген.
Миелография. При проведении миелографии пациенту в позвоночный канал вводят контрастное вещество. Затем контрастное вещество проходит через спинной мозг и спинальные нервы, оно выглядит белым на рентгеновских снимках и изображениях КТ. Поскольку этот тест предполагает больше рисков, чем МРТ или традиционная КТ, миелография обычно не является первым выбором для постановки диагноза, но ее могут использовать для выявления сдавленных нервов.
Биопсия. Единственный способ определить, является ли опухоль доброкачественной или злокачественной – это исследовать небольшой образец ткани (биопсия) под микроскопом. Способ получения образца зависит от состояния здоровья пациента и расположения опухоли. Врач может использовать тонкую иглу, чтобы взять немного ткани или образец может быть получен во время операции.
Лечение
В идеале цель лечения спинальной опухоли – это полное ее удаление, но эта цель осложнена риском необратимого поражения окружающих нервов. Врачи должны учитывать возраст пациента, общее состояние здоровья, разновидность опухоли, является ли она первичной или распространилась в позвоночник из других органов (метастазировала).
Варианты лечения для большинства спинальных опухолей включают:
Операция
Часто это первый шаг в лечении опухоли, которую можно удалить с приемлемым риском поражения нервов.
Новые методы и инструменты позволяют нейрохирургам находить доступ к опухолям, которые ранее были недоступны. Мощные микроскопы, используемые в микрохирургии, делают возможной дифференциацию между опухолью и здоровой тканью. Врачи могут исследовать различные нервы во время операции с помощью электродов, что уменьшает возможность неврологического поражения. В некоторых случаях врачи могут использовать ультразвуковой аспиратор — прибор, который ультразвуком разрушает опухоль и удаляет оставшиеся фрагменты.
Даже учитывая современные достижения в лечении опухолей, не все они могут быть удалены полностью. Хирургическое удаление – это лучший вариант для многих интрамедуллярных и субдуральных опухолей, но крупные эпендимомы, расположенные в конечном отделе позвоночника, бывает невозможно удалить из-за большого количества нервов, находящихся в этой области. И хотя доброкачественные опухоли в позвонках обычно можно удалить полностью, метастазирующие опухоли обычно не являются операбельными.
Восстановление после операции на позвоночнике может занять недели или месяцы, в зависимости от операции. У вас может быть временная потеря чувствительности или другие осложнения, включая кровотечение и поражение нервной ткани.
Лучевая терапия
Эта терапия используется после операции для уничтожения остатков тканей, удаление которых невозможно, или для лечения неоперабельных опухолей. Обычно этот метод лечения является терапией первого ряда для метастазирующих опухолей. Облучение также может применяться для облегчения боли или если операция несет в себе слишком большой риск.
Химиотерапия
Стандартный метод лечения для многих видов рака - химиотерапия не доказала своих преимуществ для лечения многих спинальных опухолей. Однако могут быть исключения. Врач определит, поможет ли вам одна химиотерапия или химиотерапия в комбинации с лучевой терапией.
МРТ при гемангиобластоме позвоночника
ООО Клиника спинальной нейрохирургии «Аксис»;
НИИ нейрохирургии им. акад. Н.Н. Бурденко РАМН, Москва
ФГБНУ «НИИ нейрохирургии им. акад. Н.Н. Бурденко», Москва, Россия
ФГБУ "НИИ нейрохирургии им. акад. Н.Н. Бурденко" РАМН, Москва
ФГБУ "НИИ нейрохирургии им. акад. Н.Н. Бурденко" РАМН, Москва;
Отделение нейрохирургии Нижегородского научно-исследовательского института травматологии и ортопедии
ООО Клиника спинальной нейрохирургии «Аксис»;
НИИ нейрохирургии им. акад. Н.Н. Бурденко РАМН, Москва
ФГБНУ "НИИ нейрохирургии им. акад. Н.Н. Бурденко", РАМН, Москва
ФГБУ "НИИ нейрохирургии им. акад. Н.Н. Бурденко" РАМН, Москва
ФГБНУ «НИИ нейрохирургии им. акад. Н.Н. Бурденко», Москва, Россия
ФГАУ «НИИ нейрохирургии им. акад. Н.Н. Бурденко» Минздрава России, Москва, Россия
Первый МГМУ им. И.М. Сеченова, Москва
Экстрадуральная гемангиобластома спинного мозга (случай из практики и обзор литературы)
Журнал: Журнал «Вопросы нейрохирургии» имени Н.Н. Бурденко. 2016;80(6): 88‑92
ООО Клиника спинальной нейрохирургии «Аксис»;
НИИ нейрохирургии им. акад. Н.Н. Бурденко РАМН, Москва
Гемангиобластома — редко встречающаяся сосудистая опухоль ЦНС, которая возникает спорадически, а также бывает ассоциирована с болезнью Гиппеля—Линдау. Гемангиобластомы составляют 2—6% от всех новообразований спинного мозга и занимают третье место в структуре интрамедуллярных объемных образований спинного мозга. Впервые в нашей практике мы столкнулись с паравертебральной гемангиобластомой, растущей по типу «песочных часов». В мировой литературе представлено всего 3 случая опухоли с таким вариантом роста.
ООО Клиника спинальной нейрохирургии «Аксис»;
НИИ нейрохирургии им. акад. Н.Н. Бурденко РАМН, Москва
ФГБНУ «НИИ нейрохирургии им. акад. Н.Н. Бурденко», Москва, Россия
ФГБУ "НИИ нейрохирургии им. акад. Н.Н. Бурденко" РАМН, Москва
ФГБУ "НИИ нейрохирургии им. акад. Н.Н. Бурденко" РАМН, Москва;
Отделение нейрохирургии Нижегородского научно-исследовательского института травматологии и ортопедии
ООО Клиника спинальной нейрохирургии «Аксис»;
НИИ нейрохирургии им. акад. Н.Н. Бурденко РАМН, Москва
ФГБНУ "НИИ нейрохирургии им. акад. Н.Н. Бурденко", РАМН, Москва
ФГБУ "НИИ нейрохирургии им. акад. Н.Н. Бурденко" РАМН, Москва
ФГБНУ «НИИ нейрохирургии им. акад. Н.Н. Бурденко», Москва, Россия
ФГАУ «НИИ нейрохирургии им. акад. Н.Н. Бурденко» Минздрава России, Москва, Россия
Первый МГМУ им. И.М. Сеченова, Москва
Клинический случай
Пациентка Н., 56 лет, поступила в НИИ нейрохирургии им. акад. Н.Н. Бурденко 03.09.14 с жалобами на боль в пояснично-крестцовой области с иррадиацией в левую ногу, а также чувствительными расстройствами в виде гипестезии по задней поверхности левого бедра и голени. Из анамнеза известно, что боли в спине беспокоили пациентку длительное время, постепенно усиливаясь, со временем болевой синдром стал постоянным. Неоднократно проводилась медикаментозная терапия, направленная на лечение остеохондроза позвоночника, улучшение от которой не наступало. С 2006 г. боли усилились и стали возникать в покое, в положении и сидя, и лежа. В августе 2013 г. боль стала особенно интенсивной, консервативная терапия результатов по-прежнему не имела. Выполненная в этой связи МРТ пояснично-крестцового отдела позвоночника выявила экстрадуральное объемное образование с паравертебральным распространением на уровне L4—L5 позвонков в межпозвонковое отверстие слева. Образование было овальной формы размером 16×25×10 мм. Выполнена спинальная ангиография, на которой контрастировалась собственная сосудистая сеть объемного образования на уровне L4 позвонка (снимки не представлены). Пациентка была госпитализирована в нейрохирургическое отделение по месту жительства для хирургического лечения. Произведена неудачная попытка удаления опухоли. При гистологическом исследовании фрагмента полученного материала сделано заключение о ганглионевроме.
Через 12 мес после операции было выполнено контрольное МРТ-исследование, на котором выявлена та же МР-картина, что и перед операцией (рис. 1).

Рис. 1. Гемангиобластома корешка L4. На серии МРТ, выполненных в сагиттальной, фронтальной и аксиальной проекциях в режиме T2 (а, б, в), определяется экстрадурально расположенное гипоинтенсивное объемное образование на уровне L4—L5 позвонков с гиперинтенсивными очагами и паравертебральным ростом влево по типу «песочных часов» (опухоль указана белыми стрелками). В сагиттальной и фронтальной проекциях (а, б) обращает на себя внимание выраженная сосудистая сеть (указана красными стрелками), которой в Т2-режиме соответствуют множественные зоны гипоинтенсивного сигнала.
В НИИ нейрохирургии им. акад. Н.Н. Бурденко 11.09.14 проведено удаление экстрадуральной опухоли с паравертебральным ростом по типу «песочных часов» влево на уровне L4—L5 позвонков.
Операция
Положение пациентки на операционном столе: лежа на животе, в условиях комплексной анестезии с эндотрахеальной вентиляцией легких. Определение уровня локализации опухоли осуществлялось при помощи интраоперационного КТ-томографа O-arm (Medtronic), снимки выполнены в боковой и фронтальных плоскостях в 2D-режиме.
Разрез кожи осуществлен парамедианно слева в нескольких сантиметрах от рубца после предыдущей операции. Для осуществления доступа к опухоли использовался операционный микроскоп и ретрактор системы Caspar. Применение этого расширителя позволило минимизировать травму окружающих тканей. При помощи микрохирургических инструментов и высокооборотного бора Zimmer выполнена гемиламинэктомия слева на уровне дужки L4 позвонка. Визуализирована опухоль вытянутой формы, оранжевого цвета, размером 3×2 см. Опухоль располагалась в межпозвонковом отверстии L4—L5 и напоминала по форме невриному. Исходным местом роста определена экстрадуральная часть корешка L4 слева. В ходе выделения опухоли по периметру обнаружен крупный артериальный сосуд, питающий опухоль. Последний коагулирован и пересечен. На проксимальную часть опухоли и корешок была наложена лигатура, после чего опухоль и нервный корешок коагулированы и удалены единым блоком. В ложе удаленной опухоли уложен гемостатический материал (рис. 2). Рана закрыта по стандартной схеме.

Рис. 2. Этапы операции. а, б — выделение и мобилизация солидной части опухоли; в — перевязка шейки опухоли корешка L4; г — удаление опухоли вместе с корешком. 1 — солидная часть, 2 — корешок L4, 3 — «муфта» корешка, 4 — ложе опухоли.
В послеоперационном периоде отмечен регресс болевого синдрома. Пациентка активизирована на 1-е сутки после операции. Спустя 7 дней больная в удовлетворительном состоянии выписана домой. Гистологический диагноз: гемангиобластома. Через 3 мес после проведенной операции выполнено контрольное МРТ-исследование (рис. 3).

Рис. 3. МРТ, выполненные в сагиттальной и аксиальной проекциях в режиме T2 (а, б, в, г). Состояние после радикального удаления гемангиобластомы.
Гистологическая характеристика опухоли
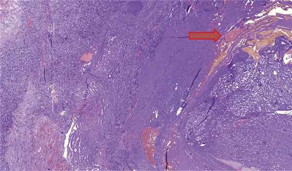
Гистологическое исследование (рис. 4) подтвердило микроскопический диагноз гемангиобластомы. Опухоль построена из двух типов клеток: стромальные клетки с оптически пустой цитоплазмой и большое количество сосудистых клеток. Опухоль окружена тонким слоем фиброзной ткани, к которой тесно прилежат фрагменты нервной ткани и скопления ганглиозных клеток (рис. 5).
Рис. 4. Гемангиобластома. Стромальные клетки с оптически пустой цитоплазмой (указано красной стрелкой) и сосудистые клетки (указано синей стрелкой). Окраска гематоксилином и эозином, ув. ×200. Рис. 5. Гемангиобластома (указано красной стрелкой) и скопления ганглиозных клеток (указано зеленой стрелкой). Окраска гематоксилином и эозином, ув. ×100.
Во время исследования был обнаружен прилежащий нервный стволик (рис. 6), такую же находку описывают R. Pluta и соавт. [2].

Рис. 6. Гемангиобластома и прилежащий нервный стволик (указан стрелкой), Окраска гематоксилином и эозином, ув. ×50.
Сравнительный анализ результатов хирургического лечения гемангиобластом
Гемангиобластома спинного мозга относится к группе высоковаскуляризированных опухолей, чаще локализующихся интрамедуллярно. Гемангиобластомы составляют 2—6% от всех новообразований спинного мозга и занимают третье место в структуре интрамедуллярных объемных образований спинного мозга [1]. В нашем случае опухоль располагалась паравертебрально, росла по типу «песочных часов», не имела связи с твердой мозговой оболочкой. В мировой литературе [2—4] нами найдены наблюдения о трех пациентах с подобной локализацией объемного образования. В таблице представлены некоторые сведения об этих пациентах, в частности, клинический статус и результаты хирургического лечения (наблюдения № 1—3) в сопоставлении с описываемым нами случаем (наблюдение № 4).

Обзор публикаций о хирургическом лечении корешковых гемангиобластом спинного мозга Примечание. ЭД — экстрадуральное расположение, ПЧ — опухоль по типу «песочных часов», БС — болевой синдром, РБС — радикулярный болевой синдром, СН — сенсорные нарушения, МН — моторные нарушения, НФТО — нарушение функции тазовых органов.
При оценке сведений, представленных в таблице, видно, что были определенные отличия по клинической картине заболевания. Так, в наблюдении № 3 было отмечено острое начало заболевания, когда сильный болевой синдром развился в течение 2 нед, после чего пациентка была госпитализирована в нейрохирургический стационар. В двух других наблюдениях (наблюдения № 1 и 2), так же как и у нашей пациентки (наблюдение № 4), имелся длительный анамнез от 2 до 20 лет. Основными проявлениями опухоли являлась радикулопатия, проявляющаяся болевым синдромом в пояснично-крестцовом отделе позвоночника с иррадиацией в ногу, а также расстройствами чувствительности по корешковому типу. В наблюдении № 3 имелось нарушение функций тазовых органов (недержание мочи), возможно, за счет компрессии корешков «конского хвоста».
Из таблицы видно, что клинико-рентгенологическое обследование лишь в одном случае (наблюдение № 1) позволило предположить до операции правильный гистологический диагноз, чему способствовало то обстоятельство, что у этого пациента с болезнью Гиппеля—Линдау выявлялись множественные гемангиобластомы ЦНС. В 2 случаях (наблюдения № 2 и 3) на дооперационном этапе, по данным МРТ-исследования, был поставлен предположительный диагноз: нейрогенная опухоль — невринома (шваннома) корешка. В нашем случае (наблюдение № 4) опухоль расценивалась как гангионеврома L4 корешка с паравертебральным ростом, так как после первой операции по месту жительства был поставлен соответствующий гистологический диагноз.
После проведенного нами анализа рентгенологических данных можно сделать следующие выводы. Во-первых, все исследования должны проводиться с контрастным усилением. Во-вторых, обнаружение патологически расширенных извитых сосудов в пределах позвоночного канала вокруг новообразования является патогномоничным признаком гемангиобластомы. Лучше всего сосуды визуализируются в Т2-режиме. В-третьих, солидный компонент опухоли имеет гипо- или изоинтенсивный МР-сигнал в Т1-режиме, а кистозные полости имеют сходный с ликвором сигнал в Т1- и Т2-режимах, или более яркий сигнал в режиме Т2. Выявление хотя бы одного из этих перечисленных МРТ-признаков дает основание предполагать опухоль сосудистого ряда и может быть рекомендовано выполнение селективной ангиографии [4, 5].
Оценивая исходы хирургического лечения, отметим, что во всех четырех наблюдениях (см. таблицу) опухоли были удалены радикально. При этом произошел регресс болевого синдрома. Не осложнением, а неизбежным следствием операции следует считать возможное возникновение незначительного неврологического дефицита, так как чаще всего опухоль удаляется вместе с корешком, из которого она исходит.
Гемангиобластома экстрамедуллярной локализации — достаточно редкая патология, поэтому стандартов для их удалении не существует. В своей практике мы впервые встретились с экстрадуральным расположением гемангиобластомы, поэтому технику микрохирургического удаления применяли как для удаления опухолей, растущих по типу «песочных часов». К сожалению, перед хирургическим этапом мы не провели эмболизацию питающего сосуда опухоли, в результате при выделении паравертебральной части новообразования, выходящей за пределы межпозвонкового отверстия, получили кровотечение из питающего опухоль сосуда — корешковой артерии. Кровотечение было успешно остановлено с помощью биполярной коагуляции.
Вторым этапом выделили полюса опухоли, при этом сохранили расширенные дренирующие вены опухоли, что считаем обязательным. Гемангиобластомы хорошо инкапсулированы и легко отделяются от окружающих тканей. Проведение манипуляций внутри капсулы опухоли опасно из-за возможного выраженного кровотечения, которое, как правило, трудно контролируется и может полностью перекрыть все поле зрения. Следующим этапом мы выделили часть опухоли, прилегающую к оболочке; на корешок, входящий в строму опухоли, наложили лигатуру для предотвращения ликвореи из «муфты» корешка. В нашем случае отделить гемангиобластому от корешка не представлялось возможным ввиду плотного сращения последних между собой. Поэтому гемангиобластома была удалена вместе с корешком L4. Несмотря на пересечение корешка, в послеоперационном периоде отрицательной симптоматики в виде нарастания слабости в мышцах левой ноги не наблюдалось. После удаления опухоли образовалось глубокое ложе, которое мы тщательно обследовали, останавливая кровотечение из мелких сосудов. Гемостаз в такой ситуации необходимо осуществлять с помощью гемостатических материалов, не прибегая к биполярной коагуляции.
Выводы
Гемангиобластома экстрадуральной локализации является очень редкой патологией, однако при обнаружении МРТ-признаков, характерных для сосудистого образования, необходимо проводить дообследование, которое может включать КТ-перфузионное исследование, а также в случае необходимости, проведение селективной ангиографии. При выявлении гемангиобластомы с четко дифференцированными питающими сосудами желательно проведение эмболизации для снижения риска интраоперационного кровотечения.
Технология удаления экстрадуральных геман-гиобластом, на наш взгляд, существенно не отличается от операций, выполняемых при других опухолях, растущих преимущественно паравертебрально по типу «песочных часов».
Конфликт интересов отсутствует .
Комментарий
Гемангиобластома — это богатая сосудами доброкачественная опухоль, состоящая из скопления тонкостенных сосудов различного калибра, интерстициальные клетки которой содержат обилие липидов в цитоплазме. Спинальные гемангиобластомы в абсолютном большинстве случаев располагаются интрамедуллярно и составляют 2—8% всех интрамедуллярных образований, уступая эпендимомам и астроцитомам. Спинальные гемангиобластомы составляют до 20% всех гемангиобластом ЦНС. В редких случаях эти опухоли могут располагаться экстрамедуллярно, а в исключительных случаях даже экстрадурально. Несмотря на преимущественное расположение опухоли в пределах ЦНС, гистологической связи образования с глиальной тканью не получено. Это объясняет встречаемость патологии не только в пограничной зоне между центральной и периферической частью нервной системы (экстрамедуллярные интрадуральные гемангиобластомы, как правило, связаны с дорзальной поверхностью спинного мозга или интрадуральной порцией заднего корешка), но и на отдалении. В литературе имеются описания гемангиобластом лучевого и седалищного нер-вов.
Наблюдения экстрамедуллярного расположения опухолей крайне редки, что усложняет выбор правильной диагностики и хирургической тактики данной патологии.
В представленной авторами статье описаны клиническая картина, алгоритм диагностики и предоперационной подготовки пациентов с экстрадуральными гемангиобластомами с учетом имеющихся литературных данных. Отдельное внимание уделено хирургической технике удаления опухолевого узла.
Статья представляет несомненный интерес для широкого круга нейрохирургов.
Гемангиобластома
Гемангиобластома – доброкачественное новообразование, которое состоит из кровеносных сосудов. Встречается достаточно редко – всего 2% диагностируемых случаев опухолей головного мозга.
При условии правильного и своевременного лечения, гемангиобластома не склонна к рецидивам, а прогноз для 75% пролеченных пациентов – благоприятный.
В 90% случаев опухоль развивается в мозжечке, однако же может образоваться и в стволе головного мозга и спинном мозге. Несмотря на доброкачественность, заболевание практически всегда приводит к неврологическим нарушениям и снижению качества жизни пациента, поэтому требует лечения.
Гемангиобластома может проявиться у пациентов с заболеванием Гиппеля-Линдау (цереброретинальный ангиоматоз), для которого характерны множественные доброкачественные и злокачественные новообразования.
Различают два типа новообразований: микроскопическая и макроскопическая гемангиобластома. К микроскопической опухоли относятся ювенильная, чистоклеточная и переходная формы гемангиобластомы, к макроскопической – солидная, кистозная и объединенная, которая внешне напоминает солидную, но внутри содержит множественные кисты.
Лечение
В лечении гемангиобластомы применяется как хирургический метод, так и безоперационный. В зависимости от размера опухоли, ее локализации и других медицинских показателей, опухоль может быть удалена оперативным путем. Операция проводится подразумевает субокципитальную или ретро-сигмовидную краниотомию.
Большинство операций при таком заболевании успешны: расширение опухолевого узла устраняется полностью у 90% пациентов.

Радиохирурия: система КиберНож (CyberKnife G4)
Если гемангиома находится в непосредственной близости к жизненно важным структурам головного / спинного мозга и удалить новообразование хирургически не представляется возможным, пациентам рекомендуется безоперационное лечение — радиохирургия на системе КиберНож.
Применение радиохирургии в лечении новообразований центральной нервной системы имеет ряд преимуществ. КиберНож позволяет удалить гемангиобластому, не прибегая к традиционной операции. Воздействие высоких доз ионизирующего излучения, направленных точно в границы опухоли, приводит к разрушению клеток в ней. В результате — опухоль останавливает свой рост, со временем уменьшается в размере и больше не несет угрозы для здоровья пациента.
Еще одним преимуществом лечения на КиберНоже является то, что благодаря используемым технологиям, здоровые ткани головного мозга не облучаются.

План лечения гемангиобластомы на системе КиберНож
С помощью КиберНожа также можно одновременно провести лечение нескольких новообразований. Это важно в случае с лечением гемангиобластомы, так как данный вид рака часто проявляется не одной, а двумя-тремя опухолями в головном и спинном мозге. А при такой тактике лечения пациент получает меньшую дозу облучения.
Диагностика
При диагностике гемангиобластомы применяются следующие виды исследований:
- магнитно-резонансная томография (МРТ);
- компьютерная томография (КТ);
- биопсия;
- электроэнцефалография;
- реоэнцефалография;
- ангиография спинальная;
- эхоэнцелография.
Также при подозрении на гемангиобластому, пациентов обследуют на заболевание Гиппеля-Линдау, чтобы исключить вариант его развития.
Симптомы
Особенность любого типа гемангиобластомы в том, что при развитии новообразования оно может воздействовать на головной мозг и давать неврологические симптомы.
Что покажет магнитно-резонансная томография спинного мозга

МРТ является методом выбора для диагностики большинства поражений спинного мозга.
- инфекционные поражения мозга и мозговых оболочек
- миелиты
- демиелинизирующие заболевания
- опухолевые поражения и стенозы
- инфакт спиннного мозга.
МР-миелография спинного мозга является методом выбора при дифференциальной диагностике демиелинизирующих патологий:
- рассеянный склероз
- энцефаломиелит
- оптикомиелит
Покажет ли МРТ спинного мозга рассеянный склероз?
На МРТ снимках данное заболевание проявит себя следующими признаками:
- типичное увлечение спинного мозга;
- распространенность не более двух сегментов;
- симптомы поражения латеральных или задних столбов белого вещества с возможным вовлечением центральных отделов;
- в острой фазе болезни видны утолщения спинного мозга;
- в хронической фазе есть признаки слияний очагов, атрофические изменения в виде заместительной гидроцефалии;
- на МРТ спинного мозга с контрастом заметно кольцевидное накопление препарата.
Покажет ли МРТ спинного мозга острый рассеянный энцефаломиелит?
Диагностика данной патологии требует проведения МРТ спинного и головного мозга. Это заболевание проявит себя на томографии:
- множественными или редко единичными крупными очагами;
- наблюдается наличие не менее одного крупного очага 1-2 сантиметра в диаметре;
- различная выраженность внутривенного контрастирования;
- увлечение процесса базальных ганглиев.
Покажет ли МРТ спинного мозга оптикомиелит Девика?
Диагностика данной патологии требует проведения МРТ спинного мозга и МРТ глазных орбит. На томограммах врачи заметят:
- признаки оптического неврита с одной стороны или двухстороннего;
- протяженный очаг в спинном мозге размерами 3 и более позвонковых сегментов;
- очаговые изменения в головном мозге, не удовлетворяющие МРТ критериям рассеянного склероза.
Покажет ли МРТ спинного мозга опухоли спинного мозга?
МРТ-признаками наличия объемного образования (астроцитома, эпендимома, гемангиобластома) в спинном мозге станут:
- различные типы изменений интенсивности МР сигнала, зачастую неоднородности тканей и кровоизлияния;
- увеличение объема спинного мозга;
- асимметрии мозга или прилежащих структур;
- отек мозга как вблизи образования, так и по периферии;
- выбухание дисков;
- нарушение ликвородинамики.
Диагностика опухолевых образований достаточно часто требует протокола МРТ спинного мозга с контрастом, по которому хорошо видны полости инородного образования.
Подготовка к МРТ с контрастным усилением
Контрастное усиление при МРТ используется для улучшения визуализации изображения тканей. В качестве контраста используется гадолиний-содержащие препараты. Решение о его применении до исследования принимает лечащий врач, о чем делает отметку в направлении на МРТ. Предложить протокол МРТ с контрастом может и рентгенолог, если он в ходе бесконтрастного обследования выявил признаки патологии, дифференциальная диагностика которой требует контрастирования.
МРТ с контрастным усилением проводится натощак, либо требуется голодание за 4 часа до начала процедуры.
Противопоказания к МРТ
При МРТ исследовании на пациента действует магнитное поле, и все абсолютные противопоказания будут связаны с этим фактом:
Магнитное поле может привести в движение объекты, которым свойственно с ним взаимодействовать, это могут быть: клипсы на сосудах, металлоконструкции в любом участке тела. Поэтому если в организме установлен имплант, пациенту нужно будет предъявить документы, в которых указан состав материала. В случае, если это неферромагнитный материал (например, титан), проведение МРТ разрешено.
Магнитное поле может повлиять на работу электронных устройств: электокардиостимуляторы, инсулиновые помпы, слуховые протезы. Если в паспорте импланта не указано, что он совместим с МРТ, необходимо подобрать альтернативный метод диагностики.
Следует отметить, что иногда проведение МРТ не возможно в следующих случаях:
- вес пациента выше максимально допустимых параметров для конкретного аппарата (стол современного томографа чаще всего выдерживает вес до 120 кг);
- габариты пациента выше максимально допустимой величины для конкретного аппарата (современные магнитно-резонасные томографы чаще всего имеют диаметр трубы 60-70 см);
- у пациента сильная форма клаустрофобии;
- пациент не может сохранять неподвижность во время обследования.
Как сделать качественную МРТ в Санкт-Петербурге
МРТ изображения должны быть выполнены в электронной форме в формате DICOM и обязательно записаны на электронный носитель - CD диск или флешку!
МРТ исследование должно быть проведено в соотвествии с техническим стандартом и минимальным шагом сканирования 2-4 мм!
При подозрении на онкологию обязательно должно быть проведено МРТ с контрастным усилением на аппарате мощностью не менее 1,5 Тесла!
На МРТ снимках не должно быть артефактов от металла и движения!
Низкопольный аппарат - Напряженность томографа составляет 0,3 – 0,5 Тесла
- удобен для пациента, поскольку это аппарат открытого типа
- исследование стоит дешево
Высокопольный аппарат - Напряженность томографа 1,0 – 1,5 Тесла
- высокое качество снимков
- обширный список исследований
- возможность онкопоиска
- данные МРТ очень информативны и позволяют принимать правильные решения в области хирургии и нейрохирургии.
- более высокая стоимость исследования
- шумный аппарат закрытого типа, поэтому и не всегда подходит клаустрофобам и детям
- томограф очень чувствителен к движению, поэтому не всегда подходит пациентам с гиперподвижностью.
Сверхвысокопольный аппарат - Напряженность томографа 3,0 Тесла и выше
Это очень высокоточный МРТ аппарат, который применяется в научно–исследовательской деятельности, передовой диагностике и хирургии для разработки точного плана операционного вмешательства.
Гемангиобластома

«В TomoClinic работают врачи, у которых за плечами много лет работы в сфере онкологии. Гемангиобластому лечат по международным протоколам, применяя несколько методик одновременно. Томотерапия помогает нейтрализовать раковые клетки, весь остальной организм при этом получает минимальное влияние. Качество и образ жизни пациента при этом мы стараемся сохранить на прежнем уровне даже после излечения опухоли».
Что такое гемангиобластома?
Гемангиобластома — доброкачественная опухоль, которая состоит из кровеносных сосудов. Локализуется в пределах центральной нервной системы, чаще всего возникает в мозжечке, а в отдельных случаях — в спинном или головном мозге.
Заболевание не имеет четкого гистологического происхождения и проявляется нарушением нормального оттока спинномозговой жидкости, поражением мозжечка.
В общей статистике новообразований в черепной коробке гемангиобластома диагностируется в 2% всех случаев. В группе риска развития опухоли находятся люди в возрасте 30-65 лет. Мужчины чаще страдают заболеванием, чем женщины.
Часто причиной развития гемангиобластомы является болезнь Гиппеля-Линдау. Заболевание наследуется аутосомно-доминантно и характеризуется множественными врожденными кистами внутренних органов. Гемангиобластома, спровоцированная заболеванием Гиппеля-Линдау, наиболее склонна к рецидиву в других отделах центральной нервной системы.
Гемангиобластома делится на две основные категории: макроскопическую и микроскопическую.
Типы макроскопической гемангиобластомы:
- Солидная. Новообразование состоит из опухолевых клеток, объединенных в один капсульный узел. Опухоль мягкой консистенции, темно-красного цвета. Этот вид гемангиобластомы диагностируется в 70% случаев. Объемная в размере опухоль спинного или головного мозга оказывает давление на ткани, провоцируя неврологическую симптоматику.
- Кистозная. Опухоль представляет собой гладкостенную кисту, на стенках которой находятся образования солидного компонента.
- Смешанная. Новообразование внешне напоминает солидную гемангиобластому, но внутри нее находятся множественные кисты.
Типы микроскопической гемангиобластомы:
- Ювенильная. Опухоль с близко размещенными капиллярными сосудами.
- Чистоклеточная. Новообразование состоит из клеток, которые расположены на кровеносных сосудах.
- Переходная. Образование в одинаковой пропорции состоит из капиллярных сосудов и стромальных клеток.
Причины возникновения гемангиобластомы
Одна из основных причин развития гемангиобластомы — наследственная болезнь Гиппеля-Линдау. Факоматоз появляется из-за генетической мутации третьей хромосомы. Следствием болезни является развитие множественных опухолей спинного мозга, почек и поджелудочной железы.
Основные факторы риска развития гемангиобластомы:
- Перенесенные инфекции, поражающие центральную нервную систему.
- Влияние ионизирующего излучения.
- Повышенная инсоляция.
- Условия труда, связанные с производственными канцерогенными факторами (винилхлорид, смолы).
- Проживание в неблагоприятной экологической среде.
Симптомы гемангиобластомы
Симптоматика при заболевании соответствует месту локализации опухоли.
Различают 3 подтипа признаков гемангиобластомы:
- Общемозговой.
- Мозжечковый.
- Отдаленный.
Для общемозгового подтипа болезни характерна сильная головная боль. Дискомфорт от спазма, который локализуется в задней части головы, невозможно устранить спазмолитическими препаратами и анальгетиками. Болевой синдром может сопровождаться тошнотой и частыми позывами к рвоте.
Распространенным признаком гемангиобластомы считается нарушение функций зрительного нерва. Проблемы со зрением вынуждают пациента обратиться в офтальмологическую клинику, что усложняет диагностику заболевания. Также на размытость симптомов и сложность диагностики влияет вестибулярная атаксия, признаки которой подобны воспалению внутреннего уха при среднем отите.
К признакам мозжечкового типа относится мозжечковая атаксия. Патология состоит из комплекса специфических нарушений статической и динамической моторики, расстройств координации движений.
При обследовании у невролога может быть диагностирована мегалография (изменение привычного почерка на более размашистый и крупный), а также дисметрия (некоординированные движения с широким обхватом). Пациенту сложно дается простое упражнение: с закрытыми глазами коснутся пальцем кончика носа.
Опасность опухолей мозжечковой формы заключается в стремительном росте. Крупная опухоль оказывает давление на структуры мозга и провоцирует отклонения функций, за которые отвечает второе полушарие. Таким образом, болезнь классифицируется двусторонним поражением.
К отдаленным симптомам относятся:
- Судороги.
- Нарушение работы кишечника.
- Паралич черепно-мозговых нервов.
- Нарушение чувствительности в разных областях тела.
- Нарушение функций мочевого пузыря.
- Неврологические расстройства (асинергии).
- Нарушение опорно-двигательной системы.
На поздних стадиях заболевания наблюдается развитие психических расстройств. Пациент становится раздражительным и агрессивным или наоборот может испытывать апатию.
Читайте также:
