Еюноилеальная атрезия
Добавил пользователь Владимир З. Обновлено: 06.01.2026
Атрезия кишечника есть ли врожденный порок структуры кишечник что вызывает непроходимость кишечника. Порок развития может быть сужением (стеноз ), отсутствие или мальротация части кишечника. Эти дефекты могут возникать либо в маленький или же толстая кишка.
Содержание
Симптомы и признаки
Наиболее заметным симптомом атрезии кишечника является желчный рвота вскоре после рождения. [1] Это чаще всего встречается в тощий атрезия. [2] Другие особенности включают вздутие живота и отказ меконий. Растяжение становится более распространенным, чем дальше по кишечнику расположена атрезия, и поэтому она наиболее заметна при подвздошный атрезия. [1] [2] Невозможность дефекации чаще всего встречается при дуоденальный или атрезия тощей кишки; [2] если стул выделяется, он может быть небольшим, слизистым и серым. [1] Иногда может быть желтуха, который чаще всего встречается при атрезии тощей кишки. [2] Болезненность или образование брюшной полости обычно не являются симптомами атрезии кишечника. Скорее болезненность живота - это симптом позднего осложнения. мекониевый перитонит. [1]
Перед родами избыток околоплодных вод (многоводие ) - возможный симптом. Это чаще встречается в двенадцатиперстной кишке и атрезия пищевода. [1]
Причина
Наиболее частой причиной атрезии кишечника, не связанной с двенадцатиперстной кишкой, является сосудистое нарушение в утробе что приводит к уменьшению кишечного перфузия и ишемия соответствующего сегмента кишечника. [3] Это приводит к сужению, а в самых тяжелых случаях - к полной облитерации кишечника. просвет. [ нужна цитата ]
В случае, если верхняя брыжеечная артерия, или другой основной кишечный артерия, окклюзия, большие сегменты кишечника могут быть полностью недоразвитыми (Тип III). Обычно пораженный участок кишечника имеет спиралевидную форму и, по описанию, имеет вид «кожуры яблока»; это сопровождается отсутствием дорсальной брыжейки (Тип IIIb). [ нужна цитата ]
Унаследованная форма - семейная множественная атрезия кишечника - также было описано. Об этом заболевании впервые сообщили в 1971 году. [4] Это связано с мутацией в гене TTC7A на короткой руке хромосома 2 (2п16). Он наследуется как аутосомно-рецессивный ген и обычно приводит к летальному исходу в младенчестве. Атрезия подвздошной кишки также может быть осложнением меконий кишечная непроходимость. [ нужна цитата ]
Диагностика
Атрезии кишечника часто обнаруживаются еще до рождения; либо во время рутины сонограмма который показывает расширенный сегмент кишечника из-за закупорки или развития многоводие (скопление слишком большого количества околоплодных вод в матке). Эти отклонения указывают на то, что у плода может быть непроходимость кишечника, что может подтвердить более подробное ультразвуковое исследование. [5] Младенцы со стенозом вместо атрезии часто обнаруживаются только через несколько дней после рождения. [1]
У некоторых плодов с непроходимостью кишечника аномальные хромосомы. An амниоцентез рекомендуется, потому что с его помощью можно определить не только пол ребенка, но и наличие проблемы с хромосомами. [ нужна цитата ]
Если не диагностирован в утробе, младенцы с атрезией кишечника обычно диагностируются на 1-й или 2-й день после того, как у них появились проблемы с питанием, рвота и / или нарушение дефекации. [3] Диагноз можно подтвердить с помощью рентгеновского снимка и обычно следует верхний отдел желудочно-кишечного тракта, нижний желудочно-кишечный ряд, и ультразвук. [5] [3]
Классификация

По местонахождению
Атрезию кишечника можно классифицировать по локализации. У пациентов может быть атрезия кишечника в нескольких местах. [6]
- - порок развития двенадцатиперстная кишка, часть кишечника, выходящая из желудка, и первый отдел тонкой кишки
- Атрезия тощей кишки - порок развития тощая кишка, вторая часть тонкой кишки, простирающаяся от двенадцатиперстной кишки до подвздошной кишки, которая заставляет тощую кишку блокировать кровоток в толстую кишку [7]
- Атрезия подвздошной кишки - порок развития подвздошная кишка, нижняя часть тонкой кишки
- Атрезия толстой кишки - порок развития двоеточие
Пороки развития также могут возникать на нескольких участках кишечного тракта; например, порок развития, который возникает вдоль или охватывает длину тощей кишки и подвздошной кишки, называется атрезия тонкой кишки. [5] [3]
По порокам
Атрезию кишечника также можно классифицировать по типу порока развития. [8] Система классификации Бланд-Саттона, Лоу и Барнарда (1955) [9] изначально разделил их на три типа. [8] [5] Позже Зерелла и Гросфельд и др. Расширили это число до пяти. [2]
Тип I
В I типе есть стена (перегородка ) или мембраны в какой-то точке кишечника, что приводит к расширению кишечника на ближайшей стороне и коллапсу кишечника на последней стороне. Длина кишечника у этого типа обычно не затрагивается. [1]
Тип II
При типе II в кишечнике имеется разрыв, и любой конец оставшейся кишки закрыт и соединен с другим фиброзным канатиком, который проходит по краю кишечника. брыжейка. Брыжейка остается неповрежденной. [1]
Тип IIIa
Тип IIIa аналогичен типу II, но брыжейка дефектна (имеется V-образная щель), [10] и длина кишечника может сократиться. [1]
Тип IIIb
При типе IIIb, также известном как деформация «яблочной кожуры» или «рождественской елки», атрезия поражает тощую кишку, а кишечник часто испорченный при отсутствии большинства мезентериальных артерий. Оставшаяся подвздошная кишка, имеющая разную длину, сохранилась на единственной брыжеечной артерии, которую она закручивает в виде спирали. [1] Период, термин атрезия кишечника из кожуры яблок обычно применяется при поражении тощей кишки, [11] [12] пока Елочная атрезия кишечника применяется при поражении двенадцатиперстной кишки. Однако это может повлиять на оба. [6]
Тип IV
Тип IV включает в себя комбинацию всех других типов и выглядит как вереница сосисок. Длина кишечника всегда укорачивается, но последняя часть подвздошной кишки обычно не поражается, как при типе III. [1] Этот тип обычно поражает ближайший конец тощей кишки, но вместо этого может поражаться дальний конец подвздошной кишки. [13]
Атрезия кишечника плода и новорожденного лечат с помощью лапаротомия после рождения. Если пораженная область небольшая, хирург может удалить поврежденную часть и снова соединить кишечник. В случаях, когда сужение длиннее или область повреждена и не может использоваться в течение определенного периода времени, временное стома могут быть размещены. [ нужна цитата ]
Младенцу обычно дают внутривенная гидратация жидкости, а назогастральный или орогастральный зонд может использоваться для аспирировать содержимое желудка. После операции питание сохраняется до тех пор, пока кишечник не вернется к нормальной работе. [1]
Прогноз

Осложнение подвздошный атрезия, мекониевый перитонит, при котором кишечник перфорировался до рождения. Рентген показывает псевдокисту мекония.
Прогноз обычно благоприятный, если хирургическое вмешательство проводится в младенчестве. Основным фактором смертности является доступность медицинской помощи и соответствующих парентеральное питание после операции, пока кишечник не вернется к нормальной работе. [1]
Наиболее частым осложнением является псевдообструкция на месте операции из-за ранее существовавшего нарушения моторики кишечника. Обычно это можно лечить только безоперационными методами. [1]
Если не лечить атрезию, кишечник может стать перфорированный или же ишемический. Это может привести к болезненности живота и мекониевый перитонит, что может быть фатальным. [1]
Эпидемиология
Атрезия кишечника встречается примерно у 1 из 3000 рождений в Соединенных Штатах. [1] Наиболее частой формой атрезии кишечника является атрезия двенадцатиперстной кишки. Он прочно ассоциируется с Синдром Дауна. [14] Второй по распространенности тип - атрезия подвздошной кишки. 95% врожденных обструкций тощей кишки - атрезии; только 5% - стенозы. [2]
Распространенность атрезии тощей кишки составляет от 1 до 3 случаев на 10 000 живорождений. Слабо связано с кистозный фиброз, кишечная мальротация, и гастрошизис. [3]
Частоты каждого типа из классификации Лоу и Барнарда следующие: [1] [15] [2]
- Тип I: 19–23% случаев (в среднем 20,6%)
- Тип II: 10–35% случаев (в среднем 25,3%)
- Тип IIIa: 15–46% случаев (в среднем 30%)
- Тип IIIb (тип «яблочной кожуры»): 4–19% случаев (в среднем: 8,8%).
- Тип IV: 6–32% случаев (в среднем 15,9%). (Примечание: среднее значение в процентах превышает 100% из-за округления.)
История
Атрезия подвздошной кишки была впервые описана в 1684 году Геллером. В 1812 г. Иоганн Фридрих Меккель рассмотрел тему и задумался над объяснением. В 1889 году английский хирург Джон Бланд-Саттон предложил систему классификации атрезии кишечника и предположил, что она возникает на участках, которые стираются как часть нормального развития. В 1900 г. австрийский врач Юлиус Тандлер сначала выдвинул теорию, что это может быть вызвано отсутствием реканализации в процессе разработки. [2]
Сосудистая ишемическая причина атрезии не двенадцатиперстной кишки была подтверждена Louw и Barnard в 1955 году и повторена в более поздних исследованиях. Впервые он был предложен Н. И. Сприггсом в 1912 году. [2]
Еюноилеальная атрезия
Проблема хирургической коррекции врожденной кишечной непроходимости остается актуальной задачей практического здравоохранения. В настоящее время отсутствует единая тактика оперативного лечения данной патологии. Цель исследования: определить структуру врожденной кишечной непроходимости, оценить эффективность и безопасность различных методов ее хирургической коррекции. Произведен ретроспективный анализ 45 историй болезни детей с врожденной кишечной непроходимостью. При еюноилеальной непроходимости выполнялись следующие операции: адаптированный анастомоз, тонко-толстокишечный анастомоз «конец-в-бок», пликационный анастомоз de Lorimier-Harrison, и в случае множественной атрезии тонкой кишки было выполнено наложение анастомозов «конец-в-конец» и «Т-образного» по Bishop–Koop, также проводились илео- и еюностомии. При дуоденальной непроходимости применялись: дуодено-дуоденоанастомоз по Кимура, анастомоз «бок-в-бок», анастомоз «конец-в-бок», дуоденотомия с иссечением мембраны, операция Ледда и дуоденоилеостомия. В ходе экспериментального этапа было наложено 10 тонко-тонкокишечных пликационных анастомозов de Lorimier-Harrison кроликам узловым (n=5) и непрерывным (n=5) швом с последующей оценкой их эластичности, герметичности. Среди оперированных по поводу дуоденальной атрезии имелись следующие осложнения: функциональная несостоятельность анастомоза (n=1), спаечно-обтурационная непроходимость (n=1). В случае коррекции еюноилеальной атрезии отмечались: функциональная несостоятельность анастомоза (n=1), спаечно-обтурационная непроходимость (n=1), в 1 случае – сочетание этих осложнений. По результатам эксперимента при наложении пликационного анастомоза непрерывный кишечный шов признан более безопасным по сравнению с узловым. При еюноилеальной непроходимости лучшие результаты дает наложение адаптированных анастомозов. При дисконгруэнтности сегментов тонкой кишки более 4:1 оптимально применение пликационного анастомоза, при лечении дуоденальной непроходимости методом выбора является дуодено-дуоденоанастомоз по Кимура. Предпочтительнее формирование анастомозов непрерывным швом.
1. Щеголев А.И., Павлов К.А., Дубова Е.А., Фролова О.Г. Ранняя неонатальная смертность в Российской Федерации в 2010 г. // Архив патологии. 2013. №4. С.15-19.
2. Ботвиньев О. К., Еремеева А. В., Кондрикова Е. В. Атрезия двенадцатиперстной кишки у новорожденных // Архив патологии. 2012. №5. С.32-35.
3. Петренко В.М. Эмбриональные основы возникновения врожденной непроходимости двенадцатиперстной кишки человека // Международный журнал экспериментального образования. 2017. №2. С. 56-57.
4. Lima M., Ruggeri G. Evolution of the surgical management of bowel atresia in newborn: laparoscopically assisted treatment. 2009. J. Pediatr. Med. Chir. V. 3. №5. Р. 215-219.
5. Dao D.T., Demehri F.R., Barnewolt C.E., Buchmiller T.L. A new variant of type III jejunoileal atresia. 2019. J. Pediatr. Surg. V. 54. №6. Р. 1257-1260.
6. Саввина В.А., Варфоломеев А.Р., Охлопков М.Е., Николаев В.Н. Врожденная кишечная непроходимость: выбор хирургической тактики и техники кишечного шва // Российский вестник. 2012. Т. 2. №2. С.69-73.
По данным ВОЗ ежегодно рождается до 5–6% детей с пороками развития, из которых в течение первых 4 недель жизни умирают более 300 000. В России среди причин ранней неонатальной смерти врожденные аномалии занимают второе место и составляют 18,1% [1]. В их структуре аномалии желудочно-кишечного тракта (ЖКТ) находятся на второй позиции, уступая лишь порокам сердца. Самой частой причиной врожденной кишечной непроходимости является атрезия. Атрезии чаще локализуются в областях «сложного» органогенеза: пищеводе, двенадцатиперстной кишке, дистальном отделе подвздошной кишки, месте перехода тонкой кишки в толстую [2, 3]. Частота встречаемости атрезии тонкой кишки составляет 1:5000 новорожденных [4]. Пациенты с атрезией тощей кишки имеют повышенный риск развития синдрома короткой кишки [5].
Многообразие патоморфологических вариантов пороков кишечной трубки обусловливает сложности в выборе не только хирургической тактики лечения того или иного вида врожденной патологии, но и самой техники наложения межкишечных соустий [6]. Среди детских хирургов в настоящее время отсутствует единое понимание вопроса выбора методов оперативной коррекции врожденной кишечной непроходимости.
Цель исследования: определить структуру врожденной кишечной непроходимости, оценить эффективность и безопасность различных методов ее хирургической коррекции.
Материалы и методы исследования
Проведен ретроспективный анализ 45 историй болезни детей, госпитализированных в хирургическое отделение Нижегородской областной детской клинической больницы с 2011 по 2017 гг. с врожденной кишечной непроходимостью. Среди них: 21 пациент (47%) с высокой непроходимостью (13 девочек и 8 мальчиков) и 24 (53%) – с низкой (8 девочек и 16 мальчиков).
Этиология врожденной кишечной непроходимости представлена на рисунках 1, 2.

Рис. 1. Распределение пациентов с высокой врожденной кишечной непроходимостью по этиологии

Рис.2. Распределение пациентов с низкой врожденной кишечной непроходимостью по этиологии
Все пациенты были оперированы. 10 больным (22%) был наложен дуодено-дуоденоанастомоз по Кимура, 3 детям (6,6%) выполнена дуоденотомия с иссечением мембраны, в 4 случаях (4,4%) был наложен анастомоз «конец-в-бок» (n=2) и «бок-в-бок» (n=2), в 3 случаях (6,6%) при синдроме Ледда проведена операция Ледда. 1 ребенку при сочетании стеноза двенадцатиперстной кишки с синдромом Ледда выполнены рассечение тяжей Ледда и дуоденоилеостомия.
7 пациентам (15,5%) с еюноилеальной атрезией наложен адаптированный анастомоз, 5 больным (11%) – анастомоз по типу «конец-в-бок». 4 пациентам (8,9%) выполнялась илеостомия (n=2 – при мекониевом илеусе, n=2 – при стенозе подвздошной кишки). Одному ребенку (2,2%) выполнялась еюностомия. Ребенку с синдромом «пагоды» (2,2%) был наложен пликационный анастомоз de Lorimier–Harrison. В случае множественной атрезии тонкой кишки выполнено наложение анастомозов «конец-в-конец» и «Т-образного» по Bishop–Koop (2,2%).
В ходе экспериментальной части исследования произведено наложение тонко-тонкокишечных пликационных анастомозов de Lorimier–Harrison 10 кроликам-самцам калифорнийской породы (n=5 – узловыми швами, n=5 – непрерывным швом). Средняя продолжительность операции составила 103 + 24,9 минуты. Операции проводились при наркотизации (нембутал, залетил, новокаин), применялись периоперационная антибиотикопрофилактика и антибиотикотерапия (гентамицин) в течение 3 суток, инфузионная терапия (5%-ный раствор глюкозы, мексидол) в объеме 40–50 мл в течение операции. Животных выводили из эксперимента на 7-е сутки путем воздушной эмболии.
Все исследования проводились в соответствии с Европейской конвенцией «О защите позвоночных животных, используемых для экспериментов или в иных научных целях» (Страсбург, 18.03.1986 г., ETS № 123). Получено разрешение ЛЭК.
Морфологические исследования осуществлялись с использованием микроскопа Nicon Eclipse 80 I, 10*22. Методом пневмопрессии определялась герметичность анастомозов. Выделялся участок кишки с зоной анастомоза, к дистальному концу фиксировалась трубка, через которую нагнетался воздух. К проксимальному участку подсоединялся манометр. Регистрировалось давление, необходимое для разгерметизации швов (рис. 3). Для оценки эластичности анастомоза рассчитывался индекс стенозирования (ИС) по следующей формуле (T. Irvin, 1977):Статистический анализ включал в себя использование методик описательной статистики с расчетом в выборках показателей средней арифметической, медианы, ошибки средней арифметической, среднего квадратического отклонения. Достоверность параметрических данных оценивалась с помощью расчета t-критерия Стьюдента, непараметрических – с применением U-критерия Манна–Уитни. Достоверными считали различия при уровне значимости p

Рис. 3. Исследование герметичности анастомозов методом пневмопрессии
Результаты исследования и их обсуждение. Среди 10 оперированных при наложении дуодено-дуоденоанастамоза по Кимура отмечалось 1 осложнение в виде функциональной несостоятельности анастомоза. Спаечная непроходимость в 1 случае явилась осложнением при наложении анастомоза «бок-в-бок». При коррекции еюноилеальной атрезии методом наложения адаптированного анастомоза (n=7) у 1 пациента развилась функциональная несостоятельность анастомоза. При наложении анастомоза «конец-в-бок» возникли осложнения в 2 случаях: спаечная непроходимость и сочетание несостоятельности анастомоза со спаечной непроходимостью.
В ходе экспериментальной части было доказано, что при наложении пликационного анастомоза de Lorimier-Harrison однорядный непрерывный шов дает статистически лучшие результаты в отношении параметров эластичности и герметичности анастомоза (результаты представлены на рисунке 4 и в таблице).

Рис. 4. Сравнительная оценка герметичности узлового и непрерывного швов
Результаты оценки степени герметичности швов (узловой/непрерывный)
Давление, необходимое для разгерметизации (узловой анастомоз), мм рт. ст.
ДЕТСКАЯ ХИРУРГИЯ В ГЕРМАНИИ
Детская хирургия ─ особая дисциплина, включающая в себя весь спектр хирургических вмешательств у детей ─ от недоношенных детей до подростков. Дети ─ не маленькие взрослые; у них особая клиническая картина проявления болезней (например, врожденных пороков развития и редких заболеваний), они по-другому выражают свои чувства, реагируют на боль, у них особые потребности (например, в тепле), им нужна соответствующая их возрасту обстановка и терапия, адаптированная к их возрасту и весу. Для лечения детей требуются специально обученные врачи и медсестры.
Всё это предлагают центры педиатрической хирургии, с которыми сотрудничает компания msp group germany.
Здесь предлагают лечение недоношенных и новорожденных детей, детей и подростков с врожденными пороками развития, опухолями младенческого возраста, особыми заболеваниями различных фаз роста, болезнями/деформациями грудной клетки, легких, брюшной полости, мочевыводящих путей, в том числе после несчастных случаев.
Сотрудники клиник детской хирургии в Германии обладают специальными знаниями в области лечения врожденных пороков развития у недоношенных и новорожденных детей, например, детей с врожденными диафрагмальными грыжами, пороками развития легких, такими как врожденная бронхолегочная секвестрация легкого (легочная секвестрация, секвестрированная доля легкого), врожденная кистозно-аденоматозная мальформация легких (КАМЛ, врожденый кистозный порок легких), врожденная лобарная эмфизема, дефекты брюшной стенки (гастрошизис и омфалоцеле).
Минимально-инвазивная детская хирургия в Германии
Минимально-инвазивные хирургические методы, так называемая «хирургии замочной скважины» («keyhole surgery»), используются там, где это возможно и целесообразно. Например, детские хирурги Университетской клиники в Бонне специализируюся на малоинвазивной хирургической коррекции врожденной воронкообразной грудной клетки по методике Насса (операция Насса). Эта методика значительно снижает риск операционных и послеоперационных осложнений, способствует уменьшению срока полной реабилитации больного. В отличие от многих стран, где в подобных случаях до сих пор выполняют открытые операции с полным рассечением ребер,немецкие хирурги предлагают малотравматичное хирургическое вмешательство.
По этой технологии через мини-доступ (два небольших разреза длиной 4 см) в грудную клетку вводится хирургический инструмент. Затем аккуратно, чтобы не повредить сосуды и сердце, под ребра горизонтально устанавливается и фиксируется специальными скрепками имплантат (титановая пластина), позволяющий выпрямить переднюю грудную стенку, то есть вывести ее в анатомически правильную позицию. Иногда с учетом высокого роста ребенка и необычной формы грудины пациенту установливают не один, как обычно, а два имплантата. Для такого хирургического вмешательства необходимо иметь определенное оборудование, навыки, достаточное количество выполненных по такой методике операций.
Лапароскопическая аппендектомия у детей, поиск неопущенного яичка через лапароскопический доступ при эктопии и крипторхизме, лапараскопическое удаление желчного пузыря у детей, хирургия варикоцеле у детей и диагностическая лапароскопия, в том числе опухолевая, являются частью стандартного применения лапароскопии.
Педиатрическая хирургия в Германии: тесное междисциплинарное сотрудничество
Все клиники детской хирургии в Германии тесно сотрудничают с сертифицированными Немецким онкологическим обществом (DKG) педиатрическими онкологическими центрами. Все случаи детских онкологических образований обсуждаются на междисциплинарной онкологической конференции/консилиуме, состоящей из детских онкологов, детских хирургов, детских радиологов, патологов и лучевых терапевтов. Лечение онкологических заболеваний у детей проходит в строгом соответствии с протоколами Общества детской гематологии и онкологии (GPOH). Все центры детской онкологии в Герамании имеют свою специализацию. Так, поскольку учебный центр по лечению внутри- и экстракраниальных герминогенных опухолей в Германии находится в Бонне, там чаще всего часто лечат детей с такими опухолями (например, при опухолях копчика).
В сотрудничестве с коллегами из детской нефрологии, детской радиологии, пренатальной медицины, хирургии плода и неонатологами хирургическое лечение проходят дети с урологическими проблемами, такими как LUTO (обструкция нижных мочевыводящих путей), пузырно-мочеточниковый рефлюкс (ПМР, везико-уретеральный рефлюкс), нарушения мочевыводящих путей и пороки развития почек. Индивидуальные терапевтические концепции разрабатываются на совместной детской урологической/нефрологической конференции.
В состав клиник педиатрической хирургии входят также коллеги, прошедшие специальную подготовку и аттестованные в области детской гинекологии.
Целью работы клиник детской хирургии является оптимальное, соответствующее возрасту, лечение и уход за маленькими пациентами с учетом пожеланий родителей.
Междисциплинарное сотрудничество детских хирургов со взрослыми хирургами, педиатрами, детскими анестезиологами, детскими радиологами, пренатальными врачами, фетальными хирургами, акушерами-гинекологами, детскими кардиохирургами, детскими ортопедами, травматологами, детскими нейрохирургами, пластическими хирургами, челюстно-лицевыми хирургами и т.д. является большим преимуществом для маленьких пациентов: всё на месте, все для вашего ребенка!
Как проводятся детские операции в Германии?
Как уже упоминалось, детская хирургия в Германии отличается широким применением малоинвазивных техник. Детские операции, в том числе и экстренные, чаще всего проводятся лапароскопическим или торакоскопическим методом, гарантирующим минимальные разрезы (1–2 см) и незначительное повреждение тканей. Эти технологии позволяют существенно уменьшить болевые ощущения и продолжительность восстановительного периода.
Палаты и отделения детской интенсивной терапии оснащены высокотехнологичным оборудованием. Здесь установлены системы круглосуточного мониторинга, а опытный медицинский персонал постоянно наблюдает за состоянием маленьких пациентов. В случае его ухудшения детский врачи-педиатры или неонатологи незамедлительно оказывают необходимую помощь.
В немецких клиниках несовершеннолетние дети могут находиться в палате вместе с мамой, папой или бабушкой.
Большинство плановых операций выполняются в условиях стационара одного дня, когда время пребывания ребенка вместе с родителями в палате хирургической клиники не превышает 6-12 часов. Полное предоперационное обследование в клинике может быть проведено в течение одного дня.
К услугам пациентов:
- экстренная и плановая детская хирургия;
- опытные детские анестезиологи-реаниматологи и специальное оборудование;
- малоинвазивные технологии, максимально щадящие операции;
- прецизная диагностика: постановка диагноза в кратчайшие сроки;
- комфортабельный стационар с возможностью размещения родителей с детьми;
- прием иностранных пациентов на неотложное и плановое лечение.
Отрасли специализации клиник и центров детской хирургии
Общая детская хирургия
- операции при грыже белой линии живота;
- операции при паховой грыже;
- операции при пупочной грыже;
- операция по удалению копчиковой кисты;
- пункция кефалогематомы у новорожденных;
- удаление свищей шеи у детей;
- удаление кисты шеи у детей;
- удаление бородавок, невусов, липом, атером, фибром;
- удаление папиллом, кондилом;
- удаление контагиозного моллюска..
Торакальная хирургия
- воронкообразная и килевидная грудь;
- плевральный выпот и эмпиема плевры;
- врожденные пороки развития легких (секвестрация легких, эмфизема);
- бронхогенные кисты;
- опухоли органов грудной клетки.
Пороки развития желудочно-кишечного тракта
- аноректальные пороки развития (АРПР) /аноректальные мальформации;
- врожденных пороков развития брюшной стенки и брюшной полости (гастрошизис и омфалоцеле);
- пороки развития пищевода у новорожденных (атрезия пищевода, трещина пищевода, ахалазия пищевода);
- атрезия заднего прохода;
- атрезия желчных протоков;
- атрезия желчевыводящих путей (операция Касаи);
- диафрагмальная грыжа;
- дуоденальная непроходимость;
- синдром «подрезанного живота»;
- гастрошизис;
- кишечная дупликация;
- еюноилеальная атрезия и толстокишечная непроходимость;
- синдром короткого кишечника /синдром короткой кишки (СКК);
- болезнь Гиршпрунга (врожденный мегаколон);
- синдромы мальабсорбции;
- синдром избыточного бактериального роста;
- непереносимость углеводов;
- целиакия;
- кишечная лимфангиэктазия;
- хронические воспалительные заболевания кишечника (язвенный колит, болезнь Крона);
- тропическая спру;
- болезнь Уиппла.
Сосудистые мальформации у детей
- гемангиомы;
- артериовенозные мальформации (пороки кровеносных сосудов);
- лимфангиомы (редкие аномалии лимфатических сосудов).
Врожденные диафрагмальные грыжи (ВДГ)
- оперативное лечение ВДГ после рождения ребенка;
- фетальная (внутриутробная) мало-инвазивная хирургия ВДГ;
- междисциплинарный уход в условиях реанимации;
- использование экстракорпоральной мембранной оксигенации (ЭКМО);
- высокие шансы на выживаемость без потери качества жизни.
Экстренные и плановые урологические операции при средующих патологиях
- адреногенитальный синдром / врожденная дисфункция коры надпочечников (ВДКН);
- э кстрофия мочевого пузыря и весь спектр пороков развития нижней брюшной стенки;
- нарушение опорожнения мочевого пузыря как следствие основного неврологического;
- заболевания (напр., менингомиелоцеле, spina bifida / расщепление позвоночника);
- везикоуретеральный рефлюкс / пузырно-почечный рефлюкс / пузырно-мочеточниковый рефлюкс;
- инфекции мочевых путей;
- крипторхизм (неопущение яичка);
- паховая грыжа;
- гидроцеле (водянка оболочек яичка);
- гипоспадия;
- недержание мочи в детском возрасте (энурез);
- стриктура лоханочно-мочеточникового сегмента;
- фимоз;
- клоакальные аномалии (мочеполовой синус);
- трансабдоминальная пиелопластика по методике Hynes–Anderson;
- синдром острой мошонки
- гидронефроз.
Хирургическая коррекция аномалий кисти и стопы
- полидактилия (преаксиальная полидактилия, центральная полидактилия, постаксиальная полидактилия);
- синдактилия.
Лечение полидактилии и синдактили производится хирургическим путем. Лечение отсутствия или гипоплазии конечностей заключается, в основном, в протезировании, которое является наиболее целесообразным при отсутствии нижних конечностей и полном или почти полном отсутствии верхних конечностей.
Рекомендации при врожденной кишечной непроходимости

Врожденная кишечная непроходимость у детей требует скорейшего оперативного вмешательства в период новорожденности. Заподозрить возникновение такого состояния можно еще до родов — при предварительном ультразвуковом обследовании плода. Малыши, появившиеся на свет с таким пороком развития, тут же переводятся в специализированное стационарное отделение. Прогноз для ребенка зависит от конкретного вида патологии, а также от наличия сопутствующих проблем.
Виды врожденной непроходимости
Существует 2 варианта локализации врожденной непроходимости кишечника:
- Высокая – в такой ситуации возникновение непроходимости связано с наличием обструкции (преграды) в области двенадцатиперстной кишки либо в начальных отделах тощей кишки.
- Низкая – при этом проблема локализуется в дистальных (дальних) отделах тощей кишки, или в подвздошной и толстой кишке.
По типу течения врожденная непроходимость может быть острой, хронической или рецидивирующей.
Кишечную непроходимость могут вызвать многие врожденные аномалии пищеварительного тракта:
- стеноз (сужение просвета кишечника);
- атрезия (врожденное отсутствие части кишечника или полное отсутствие просвета в органе);
- сдавление кишки (вызванное аномально расположенными сосудами, органами, новообразованиями и пр.);
- нарушения иннервации кишечной стенки (болезнь Гиршпрунга);
- мальротация (аномалия фиксации и ротации кишечника, при которой происходит его заворот).
Клиническая картина
Проявления кишечной непроходимости врожденного типа зависят от клинического течения:
| Вид непроходимости | Признаки |
| Острая высокая | Рвота с примесью желчи в первые сутки после рождения;отхождение мекония;потеря веса;вздутие живота вверху (в области эпигастрия) с одновременным западением его в нижних отделах. |
| Острая низкая | Отсутствие мекония;появление рвоты на 2-3 день жизни;стремительное ухудшение состояния;увеличение живота, больше всего в нижнем отделе. |
| Хроническая | Рвота и обильное срыгивание спустя несколько недель (месяцев) после рождения;замедленное физическое развитие. |
| Рецидивирующая | Эпизодические приступы беспокойства, которые сопровождаются вздутием живота и возникновением рвоты;внезапное улучшение самочувствия или исчезновение беспокойства после очистительной клизмы;длительный период благополучия (дни, недели или даже месяцы) до рецидива. |
Клинические рекомендации при пилоростенозе
Пилоростеноз — один из пороков, способный вызвать развитие кишечной непроходимости. При таком заболевании патологически сужается отверстие, которое ведет из желудка к двенадцатиперстной кишке. Из-за этого содержимое желудка не может нормально проходить в кишечник. Врожденное нарушение иннервации (снабжения нервами) такого отдела приводит к прогрессирующему сужению и практически полной непроходимости.
Признаки пилоростеноза могут проявиться на 2-3 или даже 4 неделе жизни. Ведь в первые дни после рождения ребенок получает сравнительно немного грудного молока, а сфинктер еще немного пропускает содержимое желудка. Но заболевание прогрессирует и приводит к:
- обильным срыгиваниям практически после каждого кормления;
- отсутствию набора веса, а затем к его активной потере;
- появлению запоров;
- снижению количества мочи и числа мочеиспусканий (по причине обезвоживания).
Диагностика пилоростеноза включает проведение:
- Обзорной рентгенографии. Врачи могут заподозрить проблему по большому количеству газа в желудке и увеличению размеров самого желудка.
- Гастрографии. При таком рентгенологическом исследовании применяют контрастное вещество, что позволяет четко увидеть проблему.
- Анализов крови. При пилоростенозе исследования показывают сгущение крови и снижение объема хлоридов из-за многократной рвоты.
- Ультразвукового исследования.
- Фиброгастроскопии. При таком исследовании врачи осматривают слизистые оболочки пищевода, желудка, места локализации проблемы при помощи эндоскопа. Это трубка, оборудованная крошечной камерой, изображение которой транслируется на экран.
Врожденный пилоростеноз лечится исключительно оперативными методами. Современное развитие хирургических методик позволяет провести минимально травматичную лапароскопическую операцию. При таком вмешательстве хирурги получают доступ к проблемному месту сквозь небольшие отверстия в передней брюшной стенке. Врачи используют специальный прибор — лапароскоп, который транслирует все происходящее на экран. Операция выполняется крошечными инструментами. Для устранения врожденного пилоростеноза врачи рассекают серозный и мышечный слои в области сужения, тем самым восстанавливая проходимость.
В отличие от традиционного открытого вмешательства, лапароскопическая операция помогает сократить кровопотерю, существенно ускоряет восстановление и гарантирует хороший косметический результат.
Непроходимость двенадцатиперстной кишки
Непроходимость двенадцатиперстной кишки или дуоденальная может быть результатом:
Еюноилеальная атрезия
При таком пороке развития у новорожденного выявляется неполное формирование части тонкой кишки. Предполагается, что возникновение еюноилеальной атрезии связано с ишемическим инсультом у плода в период беременности, который в свою очередь может провоцироваться курением матери и употреблением кокаина.
Заподозрить еюноилеальную атрезию можно по:
- нарастающему вздутию живота;
- отсутствию стула;
- обильному срыгиванию;
- прогрессирующему ухудшению состояния ребенка (беспокойству, крику);
- нарастанию симптомов интоксикации.
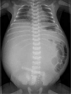
Для диагностики такого состояния врачи проводят обыкновенное рентгенологическое исследование органов брюшины. Такое исследование показывает аномальное расширение петель тонкой кишки, а также нехватку воздуха в ободочной и прямой кишке. У 10% пациентов еюноилеальная атрезия сочетается с муковисцидозом.
Клинические рекомендации по лечению включают два основных этапа:
Дети после такой операции должны в течение длительного времени находиться на искусственном питании. Однако выживаемость достигает 90% и более.
Болезнь Гиршпрунга
При таком заболевании у новорожденного малыша нарушена нормальная иннервация нижнего отдела кишечника. Такое состояние возникает из-за отсутствия вегетативных сплетений в стенках кишечника. Для болезни Гиршпрунга характерно отсутствие или патологическое изменение перистальтики пораженных участков, что приводит к частичной или полной закупорке кишечника. В тяжелых случаях такое заболевание распространяется на весь толстый и тонкий кишечник. Болезнь Гиршпрунга, как правило, сочетается с другими пороками развития и генетическими аномалиями.
Заподозрить нарушение проходимости кишечника, вызванное болезнью Гиршпрунга, можно по комплексу симптомов. У новорожденного не выводится меконий, возникает запор, затем — вздутие живота. Чуть позже появляется рвота. Если болезнь затронула лишь небольшой сегмент кишечника, запор может быть легким или непостоянным, что существенно затрудняет диагностику.
Для постановки диагноза врачи проводят:
- рентгенологическое исследование с контрастом (барием);
- биопсию тканей (она показывает отсутствие нервных клеток);
- ректальную манометрию (показывает отклонения в моторике, типичные для нарушенной иннервации).
Для лечения кишечной непроходимости, вызванной болезнью Гиршпрунга, проводится операция. Врачи приводят полноценно иннервируемый кишечник к анусу, сохраняя полноценный анальный сфинктер. В дальнейшем, когда ребенок немного подрастет, проводится второй этап операции — удаление патологической части кишки и операция низведения. Современные методы хирургии позволяют провести вмешательство при помощи лапароскопической техники. Это сокращает период госпитализации, помогает раньше наладить кормление и сократить период болей.
При успешном и своевременном лечении болезнь Гиршпрунга имеет хороший прогноз.
Мальротация
Мальротация — это распространенная аномалия тонкого кишечника, в некоторых случаях она может протекать бессимптомно. При эмбриональном развитии первичная кишка несколько выступает за пределы брюшины. Во время возвращения обратно толстая кишка должна вращаться против часовой стрелки, обеспечивая нормальное положение слепой кишки. Если же этот процесс нарушается, происходит неполный поворот, и слепая кишка занимает другое место. Такое состояние может привести к непроходимости кишечника по причине образования забрюшинного тяжа либо заворота тонкой кишки.
Кишечная непроходимость при мальротации проявляется комплексом симптомов. У ребенка развивается желчная рвота, общее состояние становится тяжелым. Для постановки диагноза обычно достаточно проведения рентгенологического исследования. Также врачи проводят рентген с контрастом (барием).
Подтверждение мальротации и заворота требует немедленной операции. Вмешательство проводят открытым методом или при помощи лапароскопа (что является более предпочтительным). Прогноз при своевременно выявленной и прооперированной мальротации кишечника хороший.
Еюноилеальная атрезия
Еюноилеальная атрезия – незавершенное формирование части тонкой кишки. Диагноз устанавливают на основе результатов рентгенографии брюшной полости. Лечение подразумевает проведение восстановительной операции.
У новорожденных с еюноилеальной атрезией обычно в конце 1-го или на 2-й день выявляют усиливающееся вздутие живота, отсутствие стула и срыгивание потребленной пищи. В анамнезе часто встречается полигидрамниоз.
Этиология еюноилеальной атрезии
Еюноилеальная атрезия возникает в результате ишемического инсульта во время беременности. Ишемический инсульт может наступить из-за кишечной непроходимости Инвагинация Инвагинация –это проникновение одного сегмента кишечника (инвагинат) в прилегающий сегмент (влагалище), что вызывает кишечную непроходимость, а иногда и ишемию кишечника. Диагностику проводят. Прочитайте дополнительные сведения , перфорации Острая перфорация желудочно-кишечного тракта Перфорация может происходить на любом уровне желудочно-кишечного тракта; при этом содержимое желудка или кишечника поступает в полость брюшины. Причины различны. Клинические симптомы развиваются. Прочитайте дополнительные сведения ).
Менее распространеными являются ассоциированные врожденные аномалиис еюноилеальной атрезией, чем с дуоденальной атрезией Атрезия двенадцатиперстной кишки Обструкция двенадцатиперстной кишки может быть результатом атрезии, стеноза и внешнего давления. (См. также Обзор врожденных аномалий желудочно-кишечного тракта [Overview of Congenital Gastrointestinal. Прочитайте дополнительные сведения , незавершенный поворот кишечника Мальротация кишечника Мальротация кишечника – аномалия развития кишечника, заключающаяся в неспособности кишечника занять свое нормальное место в брюшной полости во время внутриутробного развития. Диагноз устанавливают. Прочитайте дополнительные сведения , каждый из которых встречается примерно в 10% случаев. Перитонеальные кальцификаты предполагают наличие мекониального перитонита, что является признаком внутриутробной перфорации кишечника и наблюдается примерно в 10% случаев. Наличие мекониального перитонита должно вызвать подозрение на мекониальную непроходимость Непроходимость мекония Мекониальный илеус – обструкция терминального отдела подвздошной кишки аномально вязким меконием, она чаще всего встречается у новорожденных с муковисцидозом. Непроходимость мекония составляет. Прочитайте дополнительные сведения и муковисцидоз ( 1 Справочные материалы по этиологии Еюноилеальная атрезия – незавершенное формирование части тонкой кишки. Диагноз устанавливают на основе результатов рентгенографии брюшной полости. Лечение подразумевает проведение восстановительной. Прочитайте дополнительные сведенияСправочные материалы по этиологии
Классификация еюноилеальной атрезии
Выделяют 5 основных типов еюноилеальной атрезии:
Тип I – мембрана, полностью закупоривающая просвет кишечника при интактном кишечнике.
Тип II – фиброзный тяж между проксимальным и дистальным сегментами кишечника.
Тип IIIA – брыжеечный разрыв без какой-либо связи между сегментами.
Тип IIIB – атрезия тощей кишки с отсутствием дистальной брыжеечной артерии; дистальный отдел тонкой кишки скручен наподобие яблочной кожуры, а кишечник укорочен.
Тип IV состоит из нескольких сегментов атрезии (внешне напоминают связку сосисок).
Диагностика еюноилеальной атрезии
Рентгеноскопическое исследование органов брюшной полости
Проводят обычный рентгенографию органов брюшной полости, который может обнаружить расширенные петли тонкой кишки с воздушно-жидкостным наполнением и недостаток воздуха в ободочной и прямой кишке. Ирригография позволяет диагностировать микроколон (в связи с тем, что данный отдел кишечника не задействован).
Поскольку у 10% пациентов также имеется муковисцидоз (примерно у 100%, если есть мекониальная кишечная непроходимость), необходимо провести тестирование на муковисцидоз Диагностика Муковисцидоз является наследственным заболеванием желез внешней секреции, проявляется в первую очередь патологией со стороны желудочно-кишечного тракта и дыхательной системы. Повышенная вязкость. Прочитайте дополнительные сведенияЛечение еюноилеальной атрезии
Предоперационное ведение еюноилеальной атрезии включает установку назогастрального зонда, отказ от перорального введения веществ, а также внутривенное введение жидкостей.
SХирургическое лечение является завершающим этапом терапии. Во время операции весь кишечник должен быть исследован на наличие нескольких областей атрезии. Сегменты атрезии иссекают, обычно с первичным анастомозом. Если проксимальная часть подвздошной кишки расширена очень сильно и трудно анастомозировать к дистальной, неиспользуемой части кишечника, иногда безопаснее наложить двуствольную илеостому и отложить наложение анастомоза до того момента, когда диаметр проксимального растянутого отдела кишечника не уменьшится. Кроме того, можно рассмотреть целесообразность процедуры, направленной на сужение расширенной проксимальной петли кишечника ( 1 Справочные материалы по лечению Еюноилеальная атрезия – незавершенное формирование части тонкой кишки. Диагноз устанавливают на основе результатов рентгенографии брюшной полости. Лечение подразумевает проведение восстановительной. Прочитайте дополнительные сведения Прогноз для детей с еюноилеальной атрезией благоприятный - выживаемость свыше 90%. Прогноз зависит от длины оставшегося тонкого кишечника и наличия илеоцекального клапана. Детям, у которых в дальнейшем развивается синдром короткой кишки Синдром короткой кишки Синдром короткой кишки характеризуется развитием мальабсорбции вследствие обширной резекции тонкой кишки (как правило, более двух третей длины тонкой кишки). Симптоматика зависит от длины и. Прочитайте дополнительные сведения , требуется полное парентеральное питание (ППП) в течение длительного периода. Они также должны быть обеспечены непрерывным энтеральным питанием для усиления адаптации кишечника, максимальной абсорбции и минимизации использования полностью парентерального питания. Младенцы также должны получать небольшое количество питания через рот для поддержки сосания и глотания. Прогноз для детей с синдромом ультракороткого кишечника значительно улучшился благодаря новым хирургическим методам, включая операции по удлинению кишечника (например, серийную поперечную энтеропластику или STEP), а также возможности провести трансплантацию тонкого кишечника ( 2 Справочные материалы по лечению Еюноилеальная атрезия – незавершенное формирование части тонкой кишки. Диагноз устанавливают на основе результатов рентгенографии брюшной полости. Лечение подразумевает проведение восстановительной. Прочитайте дополнительные сведения , 4 Справочные материалы по лечению Еюноилеальная атрезия – незавершенное формирование части тонкой кишки. Диагноз устанавливают на основе результатов рентгенографии брюшной полости. Лечение подразумевает проведение восстановительной. Прочитайте дополнительные сведенияСправочные материалы по лечению
1. Dewberry LC, Hilton SA, Vuille-Dit-Bille RN, Liechty KW: Is tapering enteroplasty an alternative to resection of dilated bowel in small intestinal atresia? J Surg Res 246:1–5, 2020. doi: 10.1016/j.jss.2019.08.014
2. Singh G, Pandey A, Shandilya G, et al: Role of Bishop–Koop procedure for jejunal and proximal ileal atresia. J Neonatal Surg 8:31, 2019.
3. Batra A, Keys SC, Johnson MJ, et al: Epidemiology, management and outcome of ultrashort bowel syndrome in infancy. Arch Dis Child Fetal Neonatal Ed 102(6):F551–F556, 2017. doi: 10.1136/archdischild-2016-311765
Основные положения
Еюноилеальная атрезия обычно проявляется на первый или второй день жизни младенца признаками кишечной непроходимости.
Кистозный фиброз, мальротация и гастрошизис а также гастрошизис встречаются каждый примерно в 10% случаев.
Не следует давать ничего через рот и обеспечить отсос через назогастральный зонд и внутривенное введение жидкостей до хирургического вмешательства.
Авторское право © 2022 Merck & Co., Inc., Rahway, NJ, США и ее аффилированные лица. Все права сохранены.
Читайте также:
