МРТ при нейропатии бедренного нерва
Добавил пользователь Евгений Кузнецов Обновлено: 27.01.2026
Нейропатия – патология нервной системы, которая возникает на фоне поражения периферических нервов вследствие компрессии или травмы, носит не воспалительный характер. При поражении нескольких нервов, расположенных в одной зоне, применяется термин «полинейропатия».
От различных проявлений нейропатии страдает до 15% взрослого населения. Предположительно, количество пациентов с недугом больше, т.к. часть из них не обращается к врачу с начальными проявлениями.
Причины возникновения нейропатии
На сегодняшний день точной причины возникновения нейропатии не установлено. На появление и развитие заболевания сказывается множество факторов, такие как: сахарный диабет, ВИЧ-инфекции, хронический алкоголизм, органические заболевания, внешние факторы. Помимо этого, выделяют формы наследственной патологии, связанной с генетическими дефектами.
Внутренние патологии, которые могут повлиять на развитие нейропатии:
- эндокринные заболевания;
- авитаминоз;
- аутоиммунные заболевания;
- рассеянный склероз;
- ревматоидный артрит.
К внешним факторам относятся:
- травмы;
- интоксикация;
- инфекции;
- алкоголизм.
В зависимости от причин возникновения, нейропатию классифицируют:
- посттравматическая – появляется вследствие травм нервного волокна и его ответвлений (при ушибах, порезах, вывихах, переломах). В большинстве клинических случаев данная форма заболевания поражает локтевой нерв, лицевой, седалищный, нервы нижних конечностей;
- диабетическая – развивается при сахарном диабете;
- ишемическая – развивается в результате сдавливания нервных пучков в области позвоночника или мышечно-костных соединений;Вследствие чего нарушается снабжение кровью нервных окончаний. Развивается на фоне сосудистых заболеваний и при большой кровопотери. В большинстве случаев поражает зрительный нерв;
- алкогольная – возникает по причине употребления больших доз алкоголя, продукты распада которого усложняют процесс метаболизма.
Симптомы нейропатии
Клиническая картина заболевания может быть самой разной и касаться любого места в организме. В зависимости от характера поражения нейропатию подразделяют на:
- сенсорную – нарушение чувствительности пораженного органа. Пациент может ощущать онемение конечностей, покалывание, чувство ползающих мурашек без нанесения раздражения, жжение, болевой синдром, шаткость походки;
- периферическую – нарушение проводимости импульса от центральной нервной системы к органам, которые связаны с поражёнными нервными волокнами. Сопровождается пощипыванием и покалыванием в месте повреждённого нерва, онемением конечностей, снижением чувствительности к боли и температурным изменениям. Выражается жгучей болью, потерей равновесия, нарушением координации;
- моторную – неполноценная двигательная активность. При этой форме снижение чувствительности не наблюдается. Пациент ненамеренно совершает неконтролируемые движение конечностями, частично пропадают мышечные рефлексы, постепенно начинает проявляться мышечная слабость. Сопровождается болью и на начальной стадии судорогами;
- автономную – поражает внутренние органы. Считается самой опасной, т.к. при прогрессировании заболевания нарушается функционирование определенных органов и систем. Может быть нарушена функция глотания, мочеиспускания, дефекации.
Заболевание проявляться по-разному, наиболее характерные симптомы:
- нарушение чувствительности поврежденного участка;
- болевой синдром различной выраженности и интенсивности;
- мышечная слабость;
- спазмы и судороги;
- затрудненные движения.
Диагностика
Нейропатия считается довольно сложным заболеванием для диагностики. Болезнь может долгое время не давать о себе знать и не проявляться определенными симптомами. Поэтому врачу необходимо собрать полный анамнез для постановки верного диагноза.
На приеме пациенту важно рассказать неврологу об образе жизни, сообщить принимались ли медикаменты и какие, переносились ли вирусные заболевания, есть ли хронические и наследственные патологии, проводилось ли хирургическое лечение. После устного опроса врач осматривает пациента, обязательно проводится пальпация нервных стволов, выявляя болезненность и утолщения по их ходу. Проводится поколачивание по нервным окончаниям и выявляются покалывания в чувствительной зоне. Далее пациенту необходимо пройти ряд инструментальных исследований и сдать лабораторные анализы:
- клинический и биохимический анализ крови;
- эластография;
- ультразвуковое исследование;
- компьютерная томография;
- электромиография;
- МРТ и рентген;
- консультация смежных специалистов (офтальмолог).
Многочисленные и запутанные анатомические варианты периферической нервной системы затрудняют понимание ее строения, поэтому диагностировать заболевание может только высококвалифицированный специалист. В нашем центре ФНКЦ ФМБА работают лучшие неврологи с многолетней практикой. Современное оборудование и собственный клинико-диагностический центр позволяют быстро и точно установить проблему, это ускоряет процесс начала лечения. Оперативное реагирование на проблему помогает избежать непоправимых процессов в организме и исключить развитие патологии.
Профилактика
Главная задача профилактики заключается в своевременном лечении инфекционных и системных заболеваний. Пациентам с сахарным диабетом и другими предрасполагающими патологиями необходимо регулярно посещать врача и четко следовать его назначениям и рекомендациям. Остальные меры профилактики сводятся к простым правилам:
- откажитесь от пагубных привычек;
- ведите активный образ жизни с умеренными физическими нагрузками;
- следите за правильным и сбалансированным питанием;
- носите удобную одежду и обувь, не сдавливающую стопы и лодыжки;
- больше времени проводите на свежем воздухе и совершайте пешие прогулки.
Как лечить нейропатию
В многопрофильном центре ФНКЦ ФМБА терапия всегда проводится комплексно с одновременным лечением сопутствующего заболевания, которое вызвало нейропатию. После тщательной диагностики невролог определяет тактику лечения в зависимости от формы заболевания, тяжести ее течения и причин, спровоцировавших поражение нервно-мышечной проводимости.
Лечение всегда последовательное. Первоначально устраняется повреждающий фактор (компрессия), затем снимается воспаление и боль, восстанавливается полноценное функционирование пораженного участка, проводится стимулирование регенеративных процессов. Назначается медикаментозное лечение с использованием противовоспалительных, противовирусных, обезболивающих и других препаратов, в том числе улучшающих нервную проходимость. К лекарственной терапии может быть показан курс витаминов.
Хорошие результаты в лечении показывает физиотерапия:
- лечебная физкультура;
- электрофорез;
- магнитотерапия;
- лезеротерапия;
- водолечение;
- массаж;
- иглоукалывание.
Когда медикаментозной терапии недостаточно, невролог направляет пациента к нейрохирургу. ФНКЦ ФМБА предлагает современное и эффективное хирургическое лечение:
Невропатия бедренного нерва
Нейропатия бедренного нерва (код МКБ-10 G57.2)- поражение бедренного нерва различной этиологии. Приводит к нарушению проведения импульсов. Клинические признаки зависят от места патологического процесса.

Содержание статьи
- Причины патологии
- Симптомы нейропатии
- Симптомы поражения под паховой связкой
- Симптомы поражения подвздошно-поясничной мышцы
- Симптомы невралгии пахового и бедренного нерва
- Симптомы поражения приводящего бедренного канала
Причины патологии
Неврит бедренного нерва обусловлен сдавливанием. Это может быть результатом мышечного спазма, кровоизлияния в поясничную мышцу, перегрузок. Реже заболевание обусловлено новообразованиями, забрюшинными гематомами.
Этиологическими факторами компрессии бедренного нерва служат:
- паховый лимфогранулематоз;
- долгое вынужденное положение бедра;
- бедренная грыжа;
- хирургические вмешательства на тазобедренном суставе.
Поражение под паховой связкой обусловлено:
- бедренной грыжей;
- аневризмой бедренной артерии;
- артропластика.
Поражение в области надколенника и приводящего канала:
- нестабильностью коленного сустава;
- врожденная или приобретенная деформация коленного сустава;
- бурсит в области гусиной лапки;
- операции на коленном суставе.
Запишитесь на онлайн консультацию, если вас интересуют возможные причины нейропатии бедренного нерва. Наши врачи дистанционно ответят на все вопросы, составят план дальнейших действий, подберут аналоги препаратов, посоветуют клиники для обследования, составят список необходимых анализов.
Симптомы нейропатии
Воспаление бедренного нерва сопровождается болью различного характера. Болевой синдром зависит уровни поражения нерва. Болезненность отмечается в паховой области. Клинически защемление бедренного нерва сопровождается:
- ослаблением мышц;
- чувством покалывания в пораженном участке;
- онемением на передней, внутренней поверхности бедра;
- нарушением движения ногой;
- нарушением походки;
- затруднением ходьбы.
Иногда могут встречаться расстройства чувствительности кожных покровов. Симптомы в большинстве своем односторонние.
Симптомы поражения под паховой связкой
Защемление бедренного нерва в области паховой связки сопровождается болезненностью в области сдавления бедренного нерва. Нарушение двигательной функции бедра отсутствует.. Сгибания бедра в тазобедренном суставе сохранены.
Симптомы поражения подвздошно-поясничной мышцы
Характерно развитие синдрома бедренной невропатии. Появляются парезы четырехглавой и пояснично-подвздошных мышц. Слабость проявляется в нарушением сгибания бедра, при поднимании туловища из положения лежа, сидя. Нарушено разгибание ноги в коленном суставе. Ходьба, бег затруднены.
Симптомы невралгии пахового и бедренного нерва
Появляются боли, пропадает чувствительность на передней поверхности бедра, частичная гипотрофия, парез четырехглавой мышцы. Коленный рефлекс снижен. Происходит это в случаях поражения мышечных ветвей, которые идут к прямой мышце бедра.
Симптомы поражения приводящего бедренного канала
Представлена патология слиьными болями, парестезией внутреннего края стопы, внутренней и передней поверхности голени, внутренней части колена. В этих местах появляется потеря тактильной, болевой чувствительности. При разгибании и приведении бедра боль становится сильнее. Может нарушаться походка.
Важно! Клиническое проявление невралгии бедра зависит от локализации патологического процесса. Первым признаком заболевания считается наличие жалоб на слабость в одной из ног.
Диагностика заболевания
Чтобы выяснить наличие повреждения, ущемления, сдавливания бедренного нерва, необходимо проконсультироваться с неврологом, пройти обследование. Для уточнения диагноза назначаются:
- ЭМГ выявляет замедление проведения импульсов, потерю нервного снабжения в иннервируемых мышцах бедренным нервом;
- УЗИ-диагностика позволяет оценить целостность структур нерва, выявить отек, новообразования, дегенеративные процессы, образование спаек.
Дифференциальный диагноз проводится с поястнично-крестцовой плексопатией, гонартрозом, травмами колена. ЧТобы исключить патологию забрюшинного пространства, проходят МРТ, КТ, УЗИ.
Лечение невропатии бедренного нерва
Если бедренный нерв сдавлен, назначают ургентную операцию. Оперативное вмешательство показано при травматических повреждениях нервов. В остальных случаях прибегают к консервативному лечению. В основе лежит противоотечная терапия, устранение болей, улучшение метаболизма и кровоснабжения нерва.
Глюкокортикоиды выписываются, если нейропатия веточки бедренного нерва располагается под паховой связкой или в межмышечных каналах. Назначаются блокады с анестетиками и глюкокортикоидами в пораженное место.
Если болевой синдром достаточно сильный, могут назначить антидепрессанты, антиконвульсанты.
При необходимости прибегают к физиопроцедурам:
- ЛФК;
- массаж;
- магнитотерапии;
- фонофорезу;
- горячим ваннам, обертываниям.
Пациентам назначается диета, в которой исключаются острые, соленые, копченые продукты.
Запишитесь на онлайн консультацию, если вас интересует вопрос лечения и симптомы воспаления тазобедренного нерва. наши врачи дистанционно расскажут подробно о патологии, осложнениях, возможных причинах появления, будут на связи в любое время суток.
Последствия заболевания
При отсутствии своевременного и правильного лечения, невропатия может стать причиной снижения тонуса мышц, появляется атрофия, инвалидность. Из-за мышечной слабости высок риск травм, падений, переломов, растяжений. Пациенты не могут самостоятельно передвигаться, обслуживать себя самостоятельно. В редких случаях развивается паралич или дыхательная недостаточность.
Частые вопросы
Врач воздействует на болезненные области. Тем самым устраняет спазм, боль, восстанавливает полноту движений, кровообращения, иннервации, нормальный мышечный тонус. мануальная терапия должна сочетаться с медикаментозной.
Исключаются препараты, способные негативно повлиять на развитие плода, беременность. Могут применяться противовоспалительные местные мази, крема, массаж, гимнастика. все препараты назначаются только врачами.
При наличии острой боли соблюдается строгий постельный режим первые два дня. Затем разрешается аккуратно вставать и передвигаться. Постель должна быть ровной, жесткой. Спать желательно на спине, на боку.
Такая терапия возможна только после консультации с врачом. Проводят ее в комплексе с основным медикаментозным лечением. заниматься самолечением нельзя.
Заключение эксперта
Поражение нервов бедра сопровождается нарушение иннервации. проявляется болями, затрудненными движениями, парезами. Для диагностики прибегают к МРТ, УЗИ, ЭМГ. Лечение проводится комплексное, цель которого состоит в устранении сдавления нерва, восстановление двигательной функции. К оперативному вмешательству прибегают в тяжелых случаях. Специфических мер профилактики патологии нет.
Электронейромиография (ЭНМГ)
![]()
Что такое электронейромиография (ЭНМГ)?
ЭНМГ – это комплекс нейрофизиологических методов исследования, используемых в диагностике заболеваний периферической нервной системы: болезней двигательных нейронов, корешков, сплетений, периферических нервов, нервно-мышечных синапсов и мышц.
ЭНМГ включает в себя две основные методики: стимуляционную электронейромиографию (ЭНМГ) и игольчатую электромиографию (иЭМГ).- (спинальные мышечные атрофии, боковой амиотрофический склероз, миелопатии и др.) (вертеброгенные и невертеброгенные)
- плексопатии плечевого и пояснично-крестцового сплетений (посттравматические; постлучевые; компрессионные, в том числе синдром верхней апертуры грудной клетки; дизиммунные, в том числе невралгическая амиотрофия Персонейджа-Тернера и др.)
- полинейропатии (диабетические, токсические, дефицитарные, при хронических соматических заболеваниях; дизиммунные - синдром Гийена-Барре, хроническая воспалительная демиелинизирующая полинейропатия, парапротеинемические, васкулит-ассоциированные, наследственные и др.)
- мононейропатии, множественные мононейропатии (компрессионные, посттравматические, дизиммунные, мультифокальная моторная нейропатия)
- миастения и миастеноподобные заболевания, синдром Ламберта-Итона
- миопатии разного генеза, наследственные мышечные дистрофии, миотонии и др.
- не оцениваются тонкие чувствительные и вегетативные нервные волокна
- не все нервы и мышцы доступны для ЭНМГ-обследования, а при исследовании некоторых имеются методологические трудности
- при остром развитии заболевания ЭНМГ-изменения "запаздывают" за клиническими симптомами (в этой связи при острых нейропатиях любого генеза оптимально проводить исследование не ранее, чем через 2-3 недели от появление первых симптомов)
- имеются методологические трудности исследования при отеках, трофических нарушениях кожи, повышенной массе тела
- перед исследованием можно все кушать и пить - ограничений нет, можно принимать назначенные вам препараты (исключением является прием антихолинэстеразных препаратов (прозерин, калимин) перед проведением декремент теста)
- накануне необходимо принять душ, соблюдать элементарные правила гигиены кожи
- не рекомендуется наносить на кожу крема или лосьоны
- необходимо держать руки и ноги в тепле, не переохлаждаться
- направление от лечащего врача с обязательным указанием предварительного диагноза и цели исследования
- желательно иметь простынь или пеленку
- Страдаете ли Вы эпилепсией, склонны ли Вы к синкопальным состояниям?
- Стоит ли у Вас водитель сердечного ритма?
- Являетесь ли Вы носителем ВИЧ-инфекции, сифилиса, гепатита и прочих инфекций?
- Нет ли у Вас обострения кожных заболеваний, повреждений кожи?
- Получаете ли Вы антикоагулянтную терапию - препараты, разжижающие кровь?
- Беременны ли Вы?
- Укажите были ли у Вас переломы конечностей, где именно?
- Отравление некоторыми веществами.
- Сахарный диабет – заболевание приводит к нарушению кровотока в мелких сосудах, в результате чего нарушается питание нерва, в нем развивается воспалительный процесс.
- Васкулит – воспалительный процесс в сосудах.
- Нарушение соотношения различных белков в сыворотке крови (диспротеинемия).
- Нарушение притока крови к нерву в результате сдавления.
- Туннельный синдром – состояние, при котором происходит сдавление нерва в канале, образованном костью и связками. Существуют характерные места, в которых может произойти сдавление бедренного нерва с последующим развитием неврита, например, под паховой связкой.
- Чувствительность кожи: на передней поверхности бедра, на внутренней поверхности голени.
- Движения: сгибание бедра (бедренный нерв помогает поджимать ноги к животу), разгибание голени.
- Нарушение сгибания бедра. Из-за этого становится сложно поднимать тело из положения сидя и лежа.
- Нарушение разгибания голени. Становится сложно ходить, бегать, подниматься по лестнице. Человек старается лишний раз не сгибать ногу в колене, потому что после этого её сложно разогнуть. Нога постоянно сильно разогнута, из-за этого изменяется походка – больной выбрасывает вперед прямую ногу и ставит на пол сразу всю подошву.
- Атрофия мышц бедра. Пораженная нога становится тоньше здоровой, это может быть заметно внешне.
- Нарушение чувствительности. Человек не чувствует прикосновений, боли на передней поверхности бедра, внутренней поверхности голени.
- Боли. Возникают в тех же местах, где происходят нарушения чувствительности.
- Снижение коленного рефлекса. Это тот самый, для проверки которого врач ударяет по колену молоточком.
- Симптом Вассермана. Пациента просят лечь на живот и разгибают его ногу в тазобедренном суставе. Возникает боль в паху и на передней поверхности бедра.
- Симптом Мицкевича. Пациента также просят лечь на живот и сгибают его ногу в колене. Возникает аналогичная боль.
- Не получается положить ногу на ногу.
- Возникают сложности при попытке повернуть ногу наружу.
- Снижается чувствительность кожи на внутренней поверхности бедра.
- Попелянский Я.Ю. Ортопедическая неврология (вертеброневрология). М.: МЕДпресс-информ, 2003.
- Попелянский Я.Ю. Болезни периферической нервной системы. М.: МЕДпресс-информ, 2005.
- Bianchi S., Martinoli C. Ultrasound of the Musculoskeletal System. Springer-Verlag Berlin Heidelberg New York 2007.
- Peer S., Bodner G. High-resolution ultrasound of the peripheral nervous system. Springer-Verlag Berlin Heidelberg 2008.
- Еськин Н.А. Ультразвуковая диагностика в травматологии и ортопедии // Под ред. Миронова С.П. М.: Изд-во "Социально-политическая МЫСЛЬ", 2009.
- Салтыкова В.Г. Методика ультразвукового исследования и нормальная эхографическая картина седалищного нерва // Ультразвуковая и функциональная диагностика. 2009. N 6. С. 75-81.
- Штульман Д.Р., Левин О.С. Неврология: Справочник практического врача. 5-е изд., доп. и перераб. М.: МЕДпрессинформ, 2007. С. 91-95.
- Самойлов В.И. Синдромологическая диагностика заболеваний нервной системы. Том 1, 2-е изд. Санкт-Петербург, "СпецЛит", 2001.
- Хабиров Ф.А. Руководство по клинической неврологии позвоночника. Казань: Медицина, 2006.
- Elman L., McCluskey L. Occupational and Sport Related Traumatic Neuropathy // The Neurologist. 2004. V. 10. P. 82-96.
- Durrant D.H., True J.M., Blum J.W. Myelopathy radiculopathy, and peripheral entrapment syndromes. CRC Press, 2002.
- Jacobson J.A. Fundamentals of musculoskeletal ultrasound, second edition 2013, 2007 by Saunders, an imprint of Elsevier Inc.
- МакНелли Юджин. Ультразвуковые исследования костно-мышечной системы: Практическое руководство // Пер. с англ. Хитровой А.Н. / Под ред. Назаренко Г.И., Героевой И.Б. М.: Издательский дом Видар М, 2007.

Для чего мне назначили это исследование?
Лечащий врач на основании клинических данных и истории болезни подозревает у Вас заболевание (см перечень выше), подтвердить или исключить которое позволит ЭНМГ/иЭМГ. Кроме того, исследование поможет определить характер и распространенность патологического процесса, оценить его активность и динамику, скорректировать лечение.

Что представляет собой метод стимуляционной электронейромиографии?
Стимуляционная ЭНМГ – неинвазивный метод с использованием накожных поверхностных электродов, позволяющий оценить проводимость импульса по нервам в ответ на его стимуляцию электрическим током. Исследование сопровождается покалывающими ощущениями в месте действия тока, а также непроизвольным сокращением (подергиванием) исследуемой мышцы. ЭНМГ наиболее информативна при болезнях периферических нервов (моно- и полинейропатии) и нарушении нервно-мышечной передачи (декремент тест).

Что представляет собой метод игольчатой электромиографии?
Игольчатая электромиография (иЭМГ) – инвазивный метод исследования, который с помощью одноразового очень тонкого игольчатого электрода позволяет оценить электрическую активность мышц в состоянии покоя и при напряжении. Во время исследования в момент вкола электрода в мышцу ощущается лёгкая боль - укол, схожий по ощущениям с обычной внутримышечной инъекцией. иЭМГ наиболее информативна при болезнях периферических мотонейронов (БАС, спинальные мышечные атрофии) и мышц (мышечные дистрофии, миопатии, полимиозит).
Как проходит обследование?
При проведении ЭНМГ Вас попросят раздеться (частично или полностью до белья), сесть или лечь на кушетку. Небольшой участок кожи в месте исследования будет обработан спиртом. При ЭНМГ на мышцу наложат поверхностные электроды (липучки на клейкой основе или чашечки, фиксируемые на коже лейкопластырем), после чего стимулирующим электродом будут наноситься электрические стимулы на различные области руки или ноги в проекции хода нерва. Сила тока тем сильнее, чем глубже располагается нерв. иЭМГ проводится без использования электрического тока, на небольшую глубину в расслабленную мышцу вводится игольчатый электрод, специалист просит вас расслабиться или напрячь мышцу, 3-4 раза меняется положение игольчатого электрода в мышце.
В некоторых случаях оба метода (ЭНМГ и иЭМГ) используются одномоментно: например, при травмах нервов, при радикуло- и плексопатиях, в сложных диагностических случаях и др.
Какой метод ЭНМГ мне нужен?
Выбор метода ЭНМГ, а также объем исследования определяет лечащий врач или специалист ЭНМГ, исходя из предполагаемого диагноза, указанного в направлении на обследование. Если ваш лечащий врач, рекомендующий ЭНМГ-исследование, заполнит данное направление, в этом случае можно рассчитывать на то, что проведенное обследование будет выполнено наиболее исчерпывающее, чётко под задачи, поставленные врачом перед нейрофизиологом.
Обращаем ваше внимание, что ЭНМГ - это комплекс разных методик исследования с разной диагностической значимостью при том или ином уровне поражения периферического нейро-моторного аппарата. В зависимости от задач, поставленных лечащим врачом, врач-нейрофизиолог индивидуально подбирает необходимые методики обследования. Заполнение направления вашим врачом (образец направления) поможет правильно составить объем исследования, исключит выполнение ненужных проб, ускорит установление точного диагноза и избавит вас от повторных визитов на ЭНМГ.
Как долго проводится ЭНМГ?
Длительность обследования зависит от направительного диагноза и поставленных задач. В среднем исследование длится в течение 30 минут, но может в сложных случаях продолжаться и дольше.
ПРОТИВОПОКАЗАНИЙ К ПРОВЕДЕНИЮ ЭНМГ НЕТ.
Исключением является нарушение целостности кожных покровов (травма, инфекция) в месте наложения электродов. Кроме того, ЭНМГ не может проводиться в случае, если на конечность, которую необходимо обследовать, наложена повязка, гипс или лонгета.
В ФГБНУ НЦН на базе лаборатории клинической нейрофизиологии и центра заболеваний периферической нервной системы проводится весь комплекс электронейромиографических исследований любой сложности на оборудовании экспертного класса (миографы Dantec Keypoint, Нейрософт Нейро-МВП-4). Исследование проводят специалисты с большим опытом работы, что гарантирует Вам проведение обследования в полном объеме и грамотную интерпретацию данных. Нашим ЭНМГ-специалистам приходится сталкиваться с самыми сложными и редкими заболеваниями, высокий уровень подготовки позволяет решить поставленные задачи в большинстве случаев.
Неврит тазобедренного нерва
Что такое неврит бедренного нерва? Как устроен бедренный нерв, какие функции в организме он выполняет? Почему возникает заболевание? Современные методы лечения.


Бедренный нерв – достаточно крупный нерв ноги. По функции он является смешанным, то есть в его состав входят как двигательные, так и чувствительные нервные волокна. При развитии воспалительного процесса – неврита – их функции нарушаются.
Основные причины бедренного неврита:
Что такое неврит тазобедренного сустава?
«Неврит» - термин, который относится исключительно к воспалению в нервах, и к суставам он никакого отношения не имеет. Воспалительный процесс в тазобедренном суставе называется кокситом.
Обычно невритом тазобедренного сустава по ошибке называют тот же самый бедренный неврит, или поражение другого нерва – запирательного, который отвечает за приведение бедра внутрь. Характерный признак запирательного неврита – невозможность положить ногу на ногу.
Нередко человек приходит к выводу, что у него «неврит тазобедренного сустава», потому что слышал от кого-то раньше этот термин, и его стала беспокоить боль в области тазобедренного сустава. Причины могут быть разными: поражение сустава, нерва, мышц, костей. Нужно посетить врача и пройти обследование.
Если вы заметили у себя проявления неврита – боли, онемение в ноге, слабость мышц, нарушение движений – немедленно обратитесь к врачу. Раннее начало лечения может обеспечить наилучший прогноз.
Терпеть боль опасно!
Лечение неврита бедренного нерва
При бедренном неврите проводят следующие виды лечения:
Если неврит бедренного нерва вызван инфекцией, невролог назначит антибиотики или противовирусные препараты.
Если, несмотря на лечение, в течение 1-2-х месяцев не наступает улучшения, встает вопрос о хирургическом вмешательстве. Обычно во время операции врач освобождает нерв от сдавливающих его тканей или восстанавливает целостность, сшивает разорванные волокна.
Позаботьтесь о себе, запишитесь на консультацию сейчас
Какие функции выполняет бедренный нерв? Каковы основные симптомы бедренного неврита? Проявления воспалительного процесса в другом нерве ноги – запирательном.
Бедренный нерв можно сравнить с электрическим кабелем, внутри которого проходит множество отдельных «проводков». Они выполняют разные функции: одни отвечают за движения, другие за чувствительность. Такие нервы, несущие разные типы нервных волокон, называют смешанными. Таким является и бедренный нерв. Вот основные функции, которые он выполняет:
Соответственно, нарушения этих функций и будут выступать в качестве основных симптомов бедренного неврита.
Характерные симптомы неврита бедренного нерва
Если неврит возник в верхней части бедренного нерва, до его выхода из таза, клиническая картина заболевания будет наиболее яркой. Возникают все возможные симптомы бедренного неврита:
Опытный врач-невролог сможет разобраться в беспокоящих вас симптомах, назначит правильное лечение.
По каким симптомам диагностирует бедренный неврит врач-невролог? Какое обследование он может назначить?
Во время приема врач-невролог беседует с пациентом, выясняет жалобы, проводит неврологический осмотр. Помимо нарушений движений и чувствительности, при неврите бедренного нерва выявляют другие характерные симптомы:
Уже во время осмотра невролог может примерно определить, в зависимости от симптомов, на каком уровне возник неврит. Для уточнения уровня поражения применяют электронейромиографию – исследование, во время которого изучают прохождение нервных импульсов при помощи специальных электродов.
Для того чтобы не пропустить другие возможные причины неврологических расстройств, врач может назначить вам КТ, МРТ, УЗИ.
Как проявляется неврит запирательного нерва?
Недалеко от бедренного находится еще один нерв – запирательный. Если в нем развивается неврит, возникают следующие симптомы:
Ультразвуковая диагностика бедренной и седалищной нейропатии в неврологической практике

Революционные изменения в экспертной диагностике. Безупречное качество изображения, молниеносная скорость работы, новое поколение технологий визуализации и количественного анализа данных УЗ-сканирования.
Введение
Одними из наиболее распространенных видов патологии нервной системы являются повреждения периферических нервов и туннельные нейропатии. Частота возникновения повреждений мягких тканей с вовлечением в процесс периферических нервов, по данным разных авторов, составляет 25-65% среди всех случаев повреждений, а частота развития туннельных невропатий - 30-40% от всех заболеваний периферической нервной системы [1, 2]. Выбор наиболее рациональных методов диагностики повреждений и заболеваний периферических нервов конечностей в настоящее время представляет сложную проблему. Существующие способы инструментальной диагностики либо не дают изображения нервного ствола (электромиография), либо являются трудоемкими, требующими сложного дорогостоящего оборудования (магнитно-резонансная томография - MPT). По мнению ряда зарубежных авторов [3, 4], ультразвуковое сканирование может достаточно успешно применяться при диагностике повреждений и заболеваний периферических нервов.
Электрофизиологические методы, такие как электромиография и нейромиография, традиционно признаются "золотым стандартом" для выявления патологии периферической нервной системы. Однако необходимо отметить, что информация, полученная в ходе перечисленных выше обследований, не дает представления о состоянии окружающих тканей, не указывает на характер и причину повреждения нервного ствола и не всегда точно отражает локализацию изменений. В то же время именно эти сведения помогают определить тактику консервативного или оперативного лечения. Ультразвуковое исследование (УЗИ) периферической нервной системы впервые было использовано для диагностики заболеваний нервных стволов в конце 90-х годов прошлого столетия [5], и благодаря неоспоримым преимуществам по сравнению с другими способами диагностики, получило быстрое развитие.
Однако, несмотря на имеющиеся в нашей стране публикации по данной проблеме, следует признать, что возможности ультразвуковой диагностики в оценке периферических нервов при хронических болях в нижних конечностях остаются малоизученными [6].
Целью работы явилась оценка возможностей УЗИ седалищного и бедренного нервов при синдроме хронических болей в нижних конечностях.
Материал и методы
В основу настоящего исследования положен анализ результатов УЗИ 27 пациентов (18 женщин, 9 мужчин) в возрасте от 30 до 65 лет (средний возраст 47,2 ± 2,4 лет), страдавших хроническими болями нижних конечностей.
Всем больным было проведено комплексное клинико-инструментальное обследование, включавшее тщательный, скрупулезный анализ жалоб и анамнеза заболевания, осмотр неврологом, ревматологом, урологом и/или гинекологом, УЗИ бедренных и седалищных нервов.
Пациенты жаловались на боли, носящие все черты нейропатических болей, которые часто сопровождались наличием сопутствующих феноменов, таких как парестезия, дизестезия, аллодиния, гиперпатия, гиперестезия и гипестезия. Пациенты характеризовали боли как жгущие, простреливающие, колющие, как "удар током", обжигающие, леденящие, пронзающие с нарастающей интенсивностью в ягодичной, паховой и подколенной областях, ограничивающие объем движения ноги. Наряду с изменением чувствительности часто выявлялись вегетативные нарушения в соответствующей области - изменение окраски кожных покровов (гиперемия или цианоз), нарушение трофики ткани, потоотделение, отечность. Вследствие этого у пациентов нарушался сон, имелись депрессивные и тревожные нарушения. Средняя продолжительность болевого синдрома и ограничения движений составляла от 1 до 3 месяцев.
В плане диагностического поиска для выявления возможных причин болей в тазовой области 17 пациентам проведена рентгенография тазобедренных суставов (у 16 (94%) пациентов отмечены явления коксартроза), 9 пациентам - МРТ пояснично-крестцового отдела позвоночника (у 7 (78%) пациентов выявлены дегенеративно-дистрофические процессы). В 15 случаях выполнено УЗИ органов малого таза, при этом патология выявлена в 14, в том числе в 3 - миома матки, в 4 - признаки наружного эндометриоза, который мог быть причиной болей в ягодице и бедре, иррадиирущих в стопу, выраженность которых зависела от фазы менструального цикла [7]. У 4 мужчин выявлены признаки хронического простатита в сочетании с доброкачественной гиперплазией предстательной железы различной степени.
УЗИ проводилось на современных ультразвуковых аппаратах линейными датчиками с частотой 5-13 МГц. В процессе исследования оценивали толщину, структуру, эхогенность нерва. Для определения эхогенности нерва проводили его сопоставление со здоровой контрлатеральной стороной и с прилежащими мышцами.
Известно, что бедренный нерв начинается тремя ветвями из II-IV поясничных спинальных нервов, которые формируют единый ствол, спускающийся вниз между большой поясничной и подвздошной мышцами, а затем по латеральному краю первой (рис. 1). Существует несколько участков, в которых анатомо-топографические особенности бедренного нерва предрасполагают к повышенному риску его компрессии или травматизации - в области подвздошно-поясничной мышцы, под паховой связкой, в области канала Гюнтера и при выходе из него.

В зависимости от уровня поражения клинические проявления бедренной нейропатии существенно варьируют.
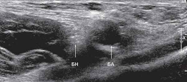
УЗИ бедренного нерва проводили в положении пациента лежа на спине. Бедренный нерв визуализировали в паховой области латеральнее сосудистого пучка от уровня паховой связки до верхней трети бедра (рис. 2, 3). Исследование проводили в поперечной и продольной плоскостях сканирования (рис. 2, 4).

Рис. 2. В-режим. Исследование правого бедренного нерва в поперечной плоскости сканирования на уровне паховой области: БН - бедренный нерв, БА - бедренная артерия.

Рис. 3. Режим ЦДК. Исследование правого бедренного нерва в поперечной плоскости сканирования на уровне паховой области: БН - бедренный нерв, БА - бедренная артерия.

Рис. 4. В-режим. Исследование правого бедренного нерва в продольной плоскости сканирования на уровне паховой области и верхней трети бедра: стрелки - бедренный нерв.
Седалищный нерв - самый большой из периферических нервов в организме человека, который выходит из полости малого таза через большое седалищное отверстие под грушевидной мышцей (рис. 5). В области ягодичной складки седалищный нерв располагается близко к широкой фасции бедра, смещается латерально и далее лежит под длинной головкой двуглавой мышцы бедра, располагаясь между ней и большой приводящей мышцей. В зависимости от уровня (высоты) поражения [8] возможны следующие варианты нейропатии седалищного нерва: очень высокого уровня, синдром грушевидной мышцы (на уровне подгрушевидного отверстия), на уровне бедра (выше места деления на большеберцовый и общий малоберцовый нервы). Топический дифференциальный диагноз синдрома седалищного нерва часто приходится проводить с дискогенной компрессионной радикулопатией LV-SII.

УЗИ седалищного нерва проводили в положении пациента лежа на животе. Седалищный нерв визуализировали дистальнее седалищного бугра в промежутке под сухожилиями полуперепончатой и полусухожильной мышц и длинной головкой бицепса на протяжении от ягодичной области до места деления на большеберцовый и общий малоберцовый нервы. Исследование проводили в поперечной и продольной плоскости сканирования (рис. 6, 7).

Рис. 6. В-режим. Исследование левого седалищного нерва в поперечной плоскости сканирования в верхней трети задней поверхности бедра: СН - седалищный нерв.

Рис. 7. В-режим. Исследование левого седалищного нерва в продольной плоскости сканирования в верхней трети задней поверхности бедра: стрелки - седалищный нерв.
Результаты
По данным УЗИ, признаки нейропатии были выявлены у 24 (88,9%) пациентов. Распределение выявленных нейропатий по локализации и полу пациентов на основании результатов УЗИ представлено в таблице 1.
| Локализация нейропатии | Женщины | Мужчины | Всего | ||||
|---|---|---|---|---|---|---|---|
| абс. | % | абс. | % | абс. | % | ||
| Бедренный нерв | Правый | 5 | 31,25 | 2 | 25,00 | 7 | 29,20 |
| Левый | 4 | 25,00 | 2 | 25,00 | 6 | 25,00 | |
| Седалищный нерв | Правый | 2 | 12,50 | 3 | 37,50 | 5 | 20,80 |
| Левый | 5 | 31,25 | 1 | 12,50 | 6 | 25,00 | |
| Итого | 16 | 100,00 | 8 | 100,00 | 24 | 100,00 | |
У женщин преобладало поражение бедренного нерва справа (31,2%), а седалищного - слева (31,2%); у мужчин чаще наблюдалось поражение седалищного нерва справа, что согласуется с литературными данными [2].
В норме толщина бедренного нерва на уровне тазобедренного сустава у мужчин и у женщин составляет 0,31 ± 0,08 см, толщина седалищного нерва в верхней и в средней трети задней поверхности бедра 0,4 ± 0,05 см.
Как видно из приведенных данных в таблице 2, при нейропатии отмечалось равномерное увеличение толщины нервов: бедренного - в среднем до 0,56 ± 0,09 см у женщин и 0,62 ± 0,20 см у мужчин; седалищного - в среднем до 0,62 ± 0,06 см у женщин и 0,66 ± 0,04 см у мужчин. Локального утолщения (подозрительного на невриномы, шванномы) или истончения (подозрительного на травму) нервных стволов в нашем исследовании не было выявлено. В 50% случаев эхогенность нервных стволов снижалась, в 37,5% не была изменена, в 12,5% была повышена. При сопоставлении значений толщины бедренного и седалищного нервов, полученных при обследовании здоровых мужчин и женщин, а также при исследовании правой и левой нижних конечностей билатеральные и половые различия параметров оказались несущественными.
| Показатель | Бедренный нерв | Седалищный нерв | ||
|---|---|---|---|---|
| женщины | мужчины | женщины | мужчины | |
| Средняя толщина нерва, см | 0,56 ± 0,09 (0,47-0,65) | 0,62 ± 0,20 (0,50-0,70) | 0,62 ± 0,06 (0,56-0,68) | 0,66 ± 0,04 (0,62-0,70) |
| Эхогенность, случаи | ||||
| снижена обычная повышена | 5 3 1 | 2 2 0 | 3 3 1 | 2 1 1 |
Всем пациентам была проведена патогенетическая терапия (миорелаксанты, нестероидные противовоспалительные средства (НПВС), витамины группы В, антиконвульсанты, антидепрессанты, рефлексотерапия - акупунктура, лазеропунктура), в результате которой у 22 наступило улучшение. При контрольном УЗИ у пациентов с клиническим улучшением отмечено уменьшение толщины нервов: бедренного - в среднем до 0,39 ± 0,04 см у женщин и 0,40 ± 0,04 см у мужчин; седалищного - в среднем до 0,43 ± 0,02 см у женщин и 0,45 ± 0,03 см у мужчин.
Бедренная и седалищная нейропатии относятся к достаточно частым мононейропатиям нижних конечностей 10. Симптомы бедренной нейропатии и других нейропатий нередко ошибочно расцениваются как проявления вертеброгенной патологии. По данным некоторых исследований, приблизительно у 9% пациентов, направленных в клинику с диагнозом "радикулопатия", причиной болей, сенсорных и двигательных нарушений в нижних конечностях в действительности были травматические и компрессионно-ишемические нейропатии, существенную часть из которых (более 10%) составляли различные варианты бедренной нейропатии.
Диагностика поражений бедренного нерва в первую очередь основана на тщательном неврологическом исследовании и анализе распределения чувствительных и/или двигательных нарушений, выявляющих их соответствие области иннервации бедренного нерва или его отдельных ветвей. Одновременно определяют топику поражения бедренного нерва, что наряду с анамнестическими данными позволяет предположить этиологию заболевания. На практике бедренную нейропатию чаще всего приходится дифференцировать с вертеброгенными радикулопатиями L2-L4. Рентгенография суставов нижних конечностей не имеет большого значения для диагностики состояния бедренного и седалищного нервов из-за невозможности их изображения. МРТ позволяет четко оценить состояние соответствующего отдела позвоночника, заподозрить наличие нейропатии, но не дает изображения нервов на протяжении.
Неправильная диагностика приводит к частично или полностью неадекватной терапии, что, естественно, неблагоприятно сказывается на течении заболевания и способствует его хронизации. Между тем, подавляющее большинство случаев бедренной нейропатии при условии своевременного начала и адекватности лечебных мероприятий является потенциально курабельным. Устранение причины поражения бедренного нерва и ранняя патогенетическая терапия позволяют избежать инвалидизирующих исходов, включая трудноизлечимые комплексные болевые синдромы тазового пояса и парезы передней группы мышцы бедра со стойкими нарушениями функции ходьбы.
Патологическое напряжение грушевидной мыщцы при компрессии корешка L1 или S1, а также вследствие травмы, неудачной инъекции, длительного лежания на спине и боку (при продолжительных операциях), синдрома заднего мышечного ложа бедра может быть проявлением нейропатии седалищного нерва [8]. Седалищный нерв может подвергаться сдавлению опухолью или гематомой в области таза, аневризмой подвздошной артерии.
Поэтому так важно сотрудничество неврологов, урологов, гинекологов, ревматологов, врачей ультразвуковой диагностики для более точной и детальной дифференциальной диагностики нейропатий бедренного и седалищного нервов.
Применение методов лучевой диагностики периферических нервов нижней конечности ограничено техническими возможностями аппаратуры и анатомическими особенностями расположения нервов [6, 12, 13].
Решающим преимуществом УЗИ периферических нервов является неинвазивность, отсутствие лучевой нагрузки на больного, проведение исследования в режиме реального времени, а также минимальные экономические затраты на исследование. УЗИ позволяет не только визуализировать седалищный и бедренный нерв на всем протяжении, но и оценить его локализацию, толщину и структуру, в свою очередь помогает неврологу выбрать и своевременно начать адекватное лечение.
Заключение
Таким образом, использование в практике невролога ультразвукового метода исследования нервов позволяет оптимизировать дифференциально-диагностический поиск причин болей в нижних конечностях, а также минимизировать количество исследований, проводимых больному с неврологической симптоматикой периферического генеза, избежать излишних манипуляций и исследований, снизить показатели лучевой нагрузки на больного, уменьшить затраты на его обследование и тем самым повысить диагностическую эффективность проводимых исследований.
Литература

УЗИ аппарат RS85
Революционные изменения в экспертной диагностике. Безупречное качество изображения, молниеносная скорость работы, новое поколение технологий визуализации и количественного анализа данных УЗ-сканирования.
Читайте также:

