МРТ при рассеянном склерозе
Добавил пользователь Евгений Кузнецов Обновлено: 06.01.2026
Одним из наиболее эффективных методов диагностики рассеянного склероза является МРТ головного мозга с контрастом. Уточнить целесообразность данной процедуры в диагностике рассеянного склероза вы можете позвонив
Рассеянный склероз – мало изученное хроническое заболевание, приводящее в некоторых случаях к утрате полной работоспособности человека. Болезнь с тысячью лиц, как называют ее врачи. В последнее время все чаще жертвами заболевания становятся активные молодые люди.
Основная сложность данного заболевания в том, что его тяжело диагностировать. Пациенты живут многие месяцы и даже года с симптомами заболевания, пока им не будет поставлен верный диагноз. На ранних стадиях ни лабораторные обследования, ни осмотры не могут точно определить состояние пациента. На поздних же стадиях происходят изменения, которые можно увидеть в ходе различных исследований.
Если вы предполагаете, что у вас рассеянный склероз, в вашей семье кто-то страдал данным заболеванием, вы замечали у себя какие-либо симптомы заболевания, незамедлительно обратитесь к врачу, который используя современные средства диагностики, такие например как МРТ головного мозга с контрастом, сможет корректно диагностировать заболевание.
Определение
Рассеянный склероз - аутоиммунное заболевание. Нервные волокна спинного и головного мозга защищены оболочкой из миелина. В случае рассеянного склероза клетки иммунной системы атакуют и разрушают миелин, оставляя глубокие рубцы - склеротическая ткань. Данные изменения приводят к разрыву проведения нервных сигналов. Симптомы рассеянного склероза различны для каждого человека. Симптомы изменяются в ходе течения болезни, что усложняет постановку диагноза.
Быстрая утомляемость
Согласно национальной ассоциации рассеянного склероза быстрая утомляемость наблюдается у 80% пациентов с данным диагнозом. Возможно возникновение определенных сложностей в выполнении ежедневных видов нагрузки. Учитывая то, что быстрая утомляемость - наиболее частый и заметный симптом, данная информация помогает установить рассеянный склероз. Однако усталость и утомляемость - следствие многих заболеваний. Усталость и быстрая утомляемость в случае рассеянного склероза наиболее часто проявляется в утреннее время даже после хорошего ночного сна. Данное состояние сопровождается приступами жара и повышенной потливостью. Пациент чувствует себя намного хуже, чем в случае «нормальной» усталости.
Проблемы с координацией и балансом
Если у вас рассеянный склероз, у вас могут возникнуть сложности с тем чтобы идти прямо. Это связано с балансом и координацией движений. Учитывая, что нервные импульсы не достигают мускулов в полной мере, может ощущаться мышечная слабость или наоборот их напряженность, спазмы и онемение. Все эти симптомы приводят к сложностям с походкой и координацией движений. Это еще один классический симптом рассеянного склероза. Важно наблюдать, в каких условиях у вас возникает потеря баланса и координации. Потеря баланса - следствие нарушений в нервной системе.
Головокружения
Если у вас рассеянный склероз в течение дня вы можете испытывать головокружения и даже потерю равновесия. В некоторых случаях может быть ощущение, что комната, в которой вы находитесь, вращается. Головокружение - также общий и достаточно распространенный симптом при рассеянном склерозе. И в тоже время головокружение, как и слабость, - следствие многих других заболеваний.
Мышечная спастичность
Термин «спастичность» характеризует состояние мышечного напряжения и спазмов мышц, которое приводит к расстройству мышечного контроля. Спазмы бывают как легкими, напоминающими непроизвольное напряжение мышц, так и достаточно болезненными. В такие моменты пациента бросает в жар, и он потеет. Чаще всего такие спазмы возникают в ногах.
Это всего лишь малая часть ранних симптомов рассеянного склероза. Стоит уточнить, что большинство этих симптомов характерны и для других заболеваний. Только врач может определить являются ли они симптомами рассеянного склероза. В тоже время важно внимательно относиться к себе и подмечать различные состояния. Именно эта информация поможет подобрать адекватные методы диагностики.
Одним из наиболее эффективных методов диагностики рассеянного склероза является МРТ головного мозга с контрастом. Уточнить целесообразность данной процедуры в диагностике рассеянного склероза вы можете позвонив в центр МРТ и КТ Рэмси Диагностика в Москве и Санкт-Петербурге.
Покажет ли МРТ рассеянный склероз

Магнитно-резонансная томография головного и спинного мозга занимает лидирующую позиции в процедуре определения и дифференциации рассеянного склероза в медицинских учреждениях СПб и Ленинградской области. Рассеянный склероз (РС) - это хроническое, на данный момент полностью не поддающееся лечению, поступательно развивающееся заболевание центральной нервной системы, Проявляется оно разнообразным образом, в частности, дефектами зрения, патологией двигательной, чувствительной и координаторной сферы и нарушением функции органов малого таза. Эта патология атрибутируется к категории демиелинизирующих заболеваний, и ее диагностикой и лечением занимается врач невролог.
Исследования в области РС начали проводиться с 1830 года. К сожалению, это заболевание настолько быстро прогрессирует, что за последнее столетие количество больных рассеянным склерозом значительно увеличилось. В 1985 году на 100 тысяч жителей Санкт-Петербурга приходилось 39,6 человек больных, а уже в 2000 году стало 50,6 больных на 100 тысяч населения СПб. Исторически эта болезнь носит название рассеянный склероз, потому что еще в конце 19 века при патоморфологическом исследовании врачи видели на нервных окончаниях изменения, которые характерны для больных с простыми атеросклеротическими изменениями. Назвали этот недуг рассеянным, потому что атеросклеротические бляшки разбросаны по всему головному и спинному мозгу. Но нужно понимать, что с медицинской точки зрения эта болезнь не имеет ничего общего с атеросклерозом. Механизм его развития связан с действиями иммунной системы на нервные волокна.
Миелин - это белок, который окутывает нервные стволы и способствуют проведению нервных импульсов. При его поражении нарушается проведение нервных импульсов по нервным стволам. Иммунная система человека устроена таким образом, что, когда в организм проникает какой-то патогенный фактор, в организме вырабатываются защитные антитела, которые должны связать этот патогенный фактор и, обезвредив его, вывести из организма. У человека на введение антигена вырабатывается антитело, и образуется комплекс антиген-антитело. Сам по себе этот комплекс, в общем-то, безвреден. Но при рассеянном склерозе вирус, вызывающий его, имеет сильное внешнее сродство к белку миелина. Поэтому, когда иммунная система вырабатывает защитные антитела, чтобы связать вирус, получается так, что эти антитела становятся агрессивными к собственному миелину. Комплекс антиген-антитело осаждается на каком-то определенном участке миелина, вызывая в этом месте сосудистые воспалительные процессы.
Диагностика рассеянного склероза

Воспаление сосудов возникает не сразу. Если активность вируса в настоящий момент невелика, и количество антител не в колоссальном количестве выброшено сразу в кровь, то процесс развития рассеянного склероза на этой стадии может приостановиться. Иногда даже развивается ре-миелинизация, то есть восстановление миелина в этой части. В этот момент клинические симптомы рассеянного склероза исчезают. Человек опять чувствует себя здоровым. Такая фазовость болезни и быстро проходящая симптоматика - одна из характерных особенностей рассеянного склероза.
Время латентного периода от начала заболевания до уже бурной клинической картины иногда составляет от 5 до 10 лет. В это время человек уже болен, но организм еще сам как-то умудряется справляться с этим демиелинизирующим состоянием. Поэтому в латентной форме диагностика рассеянного периода по симптомам не возможна. Признаки рассеянного склероза будут видны только на МРТ головного мозга с контрастным усилением. А раннее выявление данного недуга крайне важно в его успешной терапии замедления и продления качества жизни. Если человек не получает специфического лечения на ранних этапах, демиелинизация набирает скорость, количество антител увеличивается, поражения миелина становятся более глубокие, и в этих участках уже образуются склеротические бляшки.
Какую МРТ сделать при подозрении на рассеянный склероз
Признаки рассеянного склероза выявляют во время проведения МРТ головного мозга. Делать такое обследование нужно на высокопольном томографическом аппарате мощностью индукции не менее 1,5 Тесла, чтобы шаг сканирования был не более 2 мм. Тогда диагносты не пропустят даже самых мелких очагов возникновения РС. В идеале МРТ головного мозга при подозрении на рассеянных склероз проводят с контрастированием. Инъекция красящего препарата максимально увеличивает контрастность тканей, а по характеру накопления и отдаче контраста врачи могут судить о том, являются ли очаги поражения рассеянным склерозом или другой формой демиелинизирующих заболеваний.
Рассеянный склероз на МРТ без контраста будет виден только своими крупными очагами на поздней стадии, когда есть уже клинические проявления. Также при нативном протоколе сканирования его можно спутать с другими патологическими состояниями. На МРТ снимках очаги, указывающие на демиелинизацию, могут иметь совершенно разный генезис. Например, это может быть:
- нейроинфекции
- отравление токсическими веществами
- резидуальный фон, например, перенесенные вирусные инфекции матери во время беременности.
Причин для картины демиелинизации, схожей с рассеянным склерозом, много, и особенно в латентной форме, его легче всего распознать и дифференцировать на МРТ с контрастированием.
Как часто нужно делать МРТ при рассеянном склерозе
В МРТ диагностике рассеянного склероза специалистам очень критично оценить динамику процесса. Соответственно, одного МРТ исследования головного мозга недостаточно. Поэтому неврологи часто дают направление не серию обследований. Делается первое контрольное исследование, а затем повторное МРТ исследование через 3-6 месяцев. Серия томографий может доходить до 4-5 процедур в течение 1,5-2 лет. Здесь для точности интерпретации важно проводить диагностику на одном и том же аппарате, чтобы технические особенности поля томографа не повлияли на качество оценки снимков. По серии МРТ головного мозга медики будут искать признаки диссеминация во времени и в количестве очагов РС.
МРТ спинного мозга при рассеянном склерозе
Дебютирует рассеянный склероз в подавляющем большинстве случаев в тканях головного мозга, но со временем, прогрессируя, его очаги проникают и в спинномозговые структуры. Поэтому при подозрении на этот недуг невропатологи назначают не только МРТ головного мозга, но и МРТ спинного мозга. Магнитно-резонансное исследование спинного мозга при рассеянном склерозе проводят по протоколу с контрастным усилением. Обычно очаги демиелинизации в зоне спинного мозга очень мелкие, и врачам нужно контрастное усиление, чтобы их визуализировать.
Видно ли на МРТ рассеянный склероз
Квалифицированный невролог Вам честно скажет, что для выставления диагноза рассеянный склероз одного МРТ исследования головного мозга все-таки недостаточно, но без него не обойтись. Рассеянный склероз - это грозная аномалия, и диагносты медицинских центров стремятся понаблюдать за больным, прежде чем поставить такой диагноз. Для точной диагностики РС необходимо наличие в комплексе:
- специфических жалоб
- специфического анамнеза
- клинической картины
- изменений в неврологическом статусе
- наличие изменения по МРТ головного мозга
- данные анализа крови - олигоклональный IgG в ликворе и сыворотке крови.
Только комплекс данных признаков позволяет говорить с достаточно высокой долей вероятности о наличии диагноза рассеянного склероза.
МРТ картина рассеянного склероза
Признаки рассеянного склероза на МРТ головного мозга манифестируют себя следующим образом:
- появлением новых очагов и увеличением старых;
- во время обострения проведение МРТ головы с контрастом будет приводить к тому, что очаги демиелинизации будут накапливать контраст причудливым кольцевым способом.
Как выглядит рассеянный склероз на МРТ фото?
| МРТ здорового головного мозга | признаки РС на МРТ головного мозга |
![]() |
Рассеянный склероз симптомы
Рассеянный склероз поражает мозговые структуры головы и позвоночника. Поэтому у пациента могут развиваться самые разные симптомы:
- дефекты чувствительности, например, утрата тактильности, покалывания, жжение
- появление мышечного дефанса, вялость в тонусе, слабость в руке и в ноге
- сбои в зрительной функции
- нарушение мочеиспускания.
ВНИМАНИЕ! При обострении рассеянного склероза симптомы появляются и держатся более суток, а потом резко исчезают. Это важный признак, который является основанием для обращения к неврологу .
Симптоматика рассеянного склероза у каждого пациента имеет уникальную комбинацию, продиктованную локацией участков поражения. Кроме того, проявлений РС может подолгу не быть, или они могут появляться спонтанно и спорадически в самое разное время. Эти же симптомы также могут быть вызваны и другими заболеваниями, поэтому не стоит сразу списывать каждое изменение своего состояния с этим недугом. Чтобы четко диагностировать рассеянный склероз, нужно сделать МРТ головного мозга с контрастом и с его результатами записаться на прим к неврологу.
Причины возникновения рассеянного склероза
До сих пор в медицине нет единого мнения о причинах возникновения рассеянного склероза. Была установлена практически не вызывающая сомнения роль вируса герпеса в развитии данного демиелинизирующего заболевания. Герпес - очень большая группа так называемых замедленных вирусов. Еще в юном возрасте, когда дети болеют детскими инфекциями, такими, как корь, паротит, краснуха, происходит снижение иммунного барьера. Именно в это время ребенок подвержен проникновению вируса-герпеса в организм. Долгие годы он сидит инкогнито в нашем теле, и только когда человек достигает уже взрослого возраста, возникает вторичный иммунодефицит, вирус может реактивироваться и вызывать развитие клиники рассеянного склероза.
Вторая причина, которая обусловливает развитие рассеянного склероза, это генетическая предрасположенность миелина к разрушению. По непонятным пока причинам у некоторых людей действительно есть склонность к более быстрому разрушению миелина в теле, чем обычно. Считается, что рассеянный склероз не является наследственной патологией, но бывают ситуации, когда несколько членов семьи страдают таким демиелинизирующем расстройством.
Третья причина - это географический фактор. Было отмечено, что наибольшее число случаев рассеянного склероза регистрируется в странах с холодным и влажным климатом, поэтому жители Санкт-Петербурга находятся в зоне риска этой патологии по климатическому показателю.
Какое обследование нужно пройти при рассеянном склерозе?
Постановка диагноза рассеянный склероз занимает время - обычно это 2 года. Триада обследований, которые нужно для финальной диагностики РС, включает в себя:
- серия МРТ головного мозга с контрастом и МРТ спинного мозга с контрастом. Обычно их делают с периодичностью 3-6 месяцев для оценки динамики возникновения очагов и бляшек.
- данные лабораторного анализа - олигоклональный IgG в ликворе и сыворотке крови
- консультация у невролога.
Что делать, если МРТ у Вас показал рассеянный склероз?
Только по МРТ диагнозу рассеянный склероз не ставится. Томограммы могут показать проявления мозговой диемилизации, и по характеру очагов и их локализации рентгенологи могут только предположить присутствие РС у пациента. Окончательную диагностику проводит врач невролог на базе истории болезни, жалоб от пациента, результатов лабораторных тестов и данных магнитно-резонансной томографии.
Какое МРТ нужно сделать при рассеянном склерозе?
Ваш невролог может рекомендовать сделать МРТ головного мозга и МРТ спинного мозга с контрастным усилением. Если стоит вопрос дифференциации рассеянного склероза от оптикомиелита (болезнь Девика), потребуется сделать МРТ глазных орбит.
Что пишут на МРТ при рассеянном склерозе в заключении?

Что является толчком к развитию РС?
Первичный толчок в развитии этого демиелизирующей патологии играет вирус герпеса, полученный в детстве в результате таких инфекционных заболеваний, как корь и краснуха. Когда происходит во взрослом возрасте снижение иммунного барьера, вирус реактивируется.
Лечение
Актуальность проблемы лечения рассеянного склероза вызвана тем, что этот недуг ведет к инвалидизации больных. Основная задача неврологов при лечении РС - сделать так, чтобы обострения наступали как можно реже, чтобы были более длительные ремиссии и, соответственно, позднее наступала инвалидизации.
Терапия рассеянного склероза в первую очередь определяется стадией, на которой в настоящий момент больной находится. Есть две стадии РС - фаза обострения и период ремиссии. Когда идет стадия обострения, есть ухудшение состояния пациента, практически все препараты, которые применяются на стадии ремиссии, больному противопоказаны. Когда вирус проник в организм, он это сделал на фоне иммуносупрессии. В организме начинается борьба между иммунной системой и вирусам, и развивается иммуноагрессия. Поэтому введение любых иммуномодуляторов может только ухудшить состояние больного. Лечение больных с рассеянными склерозом в период обострения проводится в стационаре. Каждому пациенту подбирается индивидуальная схема терапии.
В стадии ремиссии обычно назначают препараты, поддерживающие его иммунологический статус. Когда обострение РС снято, врачи должны начать меры по поддерживанию иммунитета, чтобы вирус опять не имел возможности ре-активироваться. Поэтому больные рассеянным склерозом постоянно на любой стадии вынуждены принимать те или иные препараты, и их жизнь становится медикозависимой. При правильном приеме препаратов ремиссию врачи могут продлить на 1-2 года.

- Завалишин, И.А. Рассеянный склероз. Избранные вопросы теории и практики / И.А. Завалишин. — М., 2000.
- Панов А.Г. Диагностика рассеянного склероза и энцефаломиелита/ А.Г.Панов, А.П. Зинченко. Л.:Медицина, 1970.
- Гусев Е.И., Демина Т А., Бойко А Н. Рассеянный склероз. М., Нефть и газ. 1997.
- Barkhof F. Роль магнитно-резонансной томографии в диагностике рассеянного склероза // в кн.: "Рассеянный склероз: клиническиеаспекты и спорные вопросы" под ред А. Дж. Томпсона, К. Полмана, Р.Холфельда. Санкт-Петербург, Политехника, 2001.
- Тотолян Н А. Рассеянный склероз: диагностика и лечение с позиции доказательной медицины. // Мир медицины. 2000. - № 5-6.
- Завалишин И.А. Рассеянный склероз: итоги и перспективы изучения. // Ж. неврол. и психиатр. 1982. - № 2.
- Хондкариан О.А. Рассеянный склероз/ О.А.Хондкариан, И.А.Завалишин, О.М.Невская-М.: Медицина, 1987.
Информационные статьи о диагностике
В клиниках Санкт-Петербурга томографию мозга проводят по двум основным протоколам - МРТ головного мозга без контраста (она же нативная магнитно-резонансная томография) и МРТ головного мозга с контрастным усилением. В 70% случаев бесконтрастного обследования достаточно для того, чтобы провести диагностику.

МРТ головного мозга при эпилепсии - это специальная программа сканирования, которая позволяет диагностировать причины этого пароксизмального состояния. Врачи определяют эпилепсию (альтернативное название - пароксизмальное эпилептическое расстройство) как хроническое заболевание головного мозга,

Сделать МРТ головного мозга в медицинских клиниках Санкт-Петербурга можно на магнитно-резонансных томографах мощностью от 0,2 до 3 Тесла открытой, полуоткрытой и закрытой конфигурации. Модель томографа влияет на то, как проходит томография головы с точки зрения скорости обследования; детальности МРТ снимка; необходимости помещения пациента в закрытое пространство.
Диагностика рассеянного склероза на МРТ
Рассеянный склероз – это хроническая прогрессирующая патология нервной системы, которая чаще поражает молодых людей. Это заболевание очень коварно, поскольку его первые признаки легко перепутать с симптомами других заболеваний, что очень затрудняет диагностику. Очень важно своевременно поставить верный диагноз, это позволяет замедлить развитие болезни, сохранить трудоспособность на длительное время и избежать опасных осложнений. На сегодняшний день самым информативным методом диагностики рассеянного склероза является магнитно-резонансная томография.
Преимущества диагностики
Метод магнитно-резонансной томографии пользуется огромной популярностью среди врачей и пациентов. Это обусловлено следующими преимуществами:
Показания к исследованию
Рассеянный склероз очень важно выявить на ранних стадиях заболевания, поэтому потенциальным больным врачи проводят МРТ. Диагностика при помощи магнитно-резонансной томографии может быть назначена в таких случаях:
- Жалобы пациента на ухудшение зрения, чаще всего, на одном глазу. Также может наблюдаться потеря четкости зрения, мутность и ощущение инородного тела в глазу.
Рассеянный склероз может проявляться и другими симптомами. Необходимость исследования определяется врачом.
Возможные противопоказания
Врачи могут порекомендовать иной вид диагностики рассеянного склероза в том случае, если у пациента имеются противопоказания к проведению МРТ.
В каких случаях исследование проводить нельзя?
- Если в теле есть конструкции, содержащие металл: кардиостимуляторы, спицы, штифты, импланты и т.п.
- Если у пациента бывают непроизвольные движения. Для диагностики необходимо сохранять неподвижное состояние, в противном случае исследование может оказаться недостаточно информативным.
- При выраженной клаустрофобии. Так как диагностика рассеянного склероза осуществляется в условиях замкнутого пространства, при наличии клаустрофобии лучше отдать предпочтение иному виду исследования.
Контрастное исследование запрещено проводить беременным женщинам (на протяжении всего срока беременности), при лактации, а также при серьезных заболевании почек. Также требуется заранее провести тест, чтобы исключить аллергическую реакцию на используемые контрастные препараты.
Как подготовиться к процедуре
Врачи утверждают, что в срочном порядке магнитно-резонансная томография может осуществляться без предварительной подготовки. Если же МРТ запланировано на определенный день, постарайтесь соблюдать несколько рекомендаций:
- Если планируется проведение МРТ с контрастом, необходимо прийти в клинику на голодный желудок. Последний прием пищи должен быть не позднее, чем за 5-6 часов до МРТ.
- Диагностика может продолжаться до 40 минут, поэтому лучше заранее сходить в туалет, чтобы не испытывать дискомфорта в процессе исследования.
- Если вы волнуетесь перед исследованием, проконсультируйтесь с лечащим врачом – возможно, он назначит вам легкие успокоительные препараты.
- В капсулу томографа запрещено проносить любые предметы из металла. Поэтому перед диагностикой нужно снять с себя все украшения, заколки, очки и переодеться в одежду без металлической фурнитуры.
Как делают МРТ при рассеянном склерозе
Для максимальной информативности и высокого качества снимков рекомендуется проводить диагностику только в томографах закрытого типа. Сообщите врачу, что МРТ проводится для диагностики рассеянного склероза – это поможет врачу выбрать верный режим исследований. Прежде чем начать диагностику, необходимо ознакомиться с простыми правилами:
- Не бойтесь шума, который слышен при исследовании. Если вас беспокоят громкие звуки – возьмите с собой беруши.
- Во время проведения МРТ пациент должен сохранять неподвижное состояние. Даже небольшие движения могут привести к снижению информативности снимков.
- Обязательно проконсультируйтесь с врачом перед записью на МРТ. Этот вид исследования абсолютно безопасен только в том случае, если отсутствуют противопоказания к процедуре.
- Несмотря на замкнутое пространство, внутри аппарата весьма комфортные условия: вентиляция, свет, громкая связь, тревожная кнопка (ее нажатие остановит исследование).
Порядок проведения диагностики таков:
- Пациент переодевается в сменную одежду, на которой отсутствуют металлические вставки. Также требуется снять обувь.
- Обследуемый ложится на стол выдвижного типа. Для снижения вероятности случайных телодвижений, конечности и голову могут зафиксировать мягкими ремешками.
- В вену вводят инъекцию с контрастным препаратом, если назначено исследование с контрастным усилением (при необходимости это делается не перед исследованием, а в процессе, если исследование без контрастного усиления выявило наличие очагов, характерных для заболевания).
- Процедура занимает около 40 минут.
МРТ с контрастированием
При подозрении на рассеянный склероз ранней стадии магнитно-резонансную томографию чаще всего проводят с дополнительным контрастным усилением. Это позволяет распознать даже минимальные патологические изменения, характерные для этого заболевания.
Контрастное вещество вводится внутривенно за несколько минут до процедуры и быстро распределяется по тканям и сосудам, создавая эффект подсвечивания патологических очагов на снимках.
Преимущество контрастной диагностики также заключается в том, что это совершенно безвредно для организма. Буквально за сутки контраст вымывается из организма естественным образом, не накапливаясь в тканях.
Интерпретация результатов
После того как диагностика завершена и снимки получены, врачу предстоит провести расшифровку снимков. Обычно это занимает не более часа.
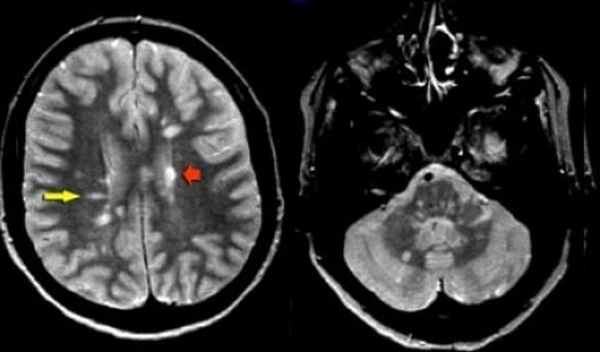
Как распознают рассеянный синдром на снимках? При рассеянном склерозе на снимках заметно характерно типичное распределение очагов в белом веществе головного мозга. Кроме того, для данного диагноза характерно поражение мозолистого тела, дугообразных волокон, височных долей, мозгового ствола, мозжечка и спинного мозга. Такое распределение очагов нехарактерно для иных патологических процессов, поэтому трудностей при постановке диагноза обычно не возникает. При ангиопатии возможны поражения ствола мозга, однако они обычно симметричны и располагаются центрально, в то время как очаги при рассеянном склерозе локализованы по периферии.
По завершению магнитно-резонансной томографии пациенту выдают снимки и расшифровку результатов в бумажном или цифровом виде. Обратитесь с ними к лечащему врачу для постановки диагноза и назначения лечения. Своевременное обнаружение рассеянного склероза продлевает период активной жизни и работоспособности.
Магнитно-резонансная томография
Когда в конце 80-х годов МРТ была внедрена в медицину, диагностика многих заболеваний, а заболеваний центральной нервной системы в особенности, вышла совершенно на новый уровень. За десятилетие до внедрения МРТ уже применялась компьютерная томография (КТ). Но между этими методами есть существенные различия. Компьютерная томография по сути представляет собой серию рентгеновских снимков (физическая основа метода – электромагнитное излучение рентгеновского диапазона), подвергшихся специальной компьютерной обработке. А так как рентгеновские лучи проникают через ткани различной плотности по-разному, то на снимках мы видим более светлыми плотные ткани (например, кости), а более темными менее плотные (например, легкие). Поэтому, если в головном мозге возникло кровоизлияние, то область, содержащая более плотную жидкость (гематома), будет отличаться от зоны менее плотной сохранной нервной ткани головного мозга. Поэтому на компьютерных томограммах (так называются снимки КТ) гематома будет более светлой областью, чем оставшийся головной мозга, но более темной, чем кости черепа. Но, если в ткани происходят изменения, не приводящие к существенному изменению ее плотности, то эти изменения на компьютерной томографии никак не проявляются. К таким изменениям относятся и очаги демиелинизации: существенного изменения плотности в них не происходит, и на КТ они не видны.
В методе магнитно-резонансной томографии, исходя из названия, применяется иная физическая основа. Кратко опишем этот метод. Итак, из школьного курса физики мы знаем, что существует магнитное поле. Оно есть у всех тел в природе: у нашей Земли, у нашего с Вами тела, у каждого атома нашего тела. Поэтому к каждому телу можно пририсовать стрелку, показывающую направление магнитного поля. Если к атому прилагается внешнее магнитное поле, более сильное, чем у атома, то магнитное поле атома стремится выстроиться вдоль внешнего магнитного поля, параллельно ему. Насколько быстро и насколько точно встанет стрелка магнитного поля атома зависит от свойств самого атома: одни атомы выстраиваются быстро и ровно по направлению внешнего поля, другие с отклонением и медленно. В магнитно-резонансном томографе подается мощнейшее магнитное поле, чаще всего его напряженность составляет 1,5 Тл. К примеру, магнитное поле всей Земли составляет 0,00005 Тл. Магнитно-резонансный томограф представляет собой очень большой магнит, в центре которого напряженность магнитного поля наибольшая. Вас кладут на кушетку, затем кушетка начинает двигаться к центру магнита, похожего на трубу. Когда Вы достигаете центра магнита, то начинается процесс исследования. Магнитные поля всех атомов Вашего тела выстраиваются вдоль поля большого магнита (все маленькие стрелки встают параллельно большой стрелке). Затем перепендикулярно к основному полю магнита подается кратковременный импульс другого сильного поля. Это приводит к наклону всех маленьких стрелок атомов Вашего тела – они выстраиваются уже вдоль этого кратковременного, но очень сильного магнитного поля. Грубо говоря, все магнитные оси атомов ложатся на бок. Когда действие импульса заканчивается, магнитные стрелки атомов вновь возвращаются в положение вдоль направления магнитного поля основного магнита (вдоль трубы). Так вот, скорость возврата магнитных осей из положения на боку в вертикальное положение у разных атомов различно. У атомов водорода оно одно, у атомов кислорода другое, у атомов меди третье, у атомов железа четвертое. А так как каждый участок тела, каждый участок головного мозга состоит из разного количества разных атомов, то и возврат атомов к вертикальному положению осей будет от каждого микроскопического участка головного мозга разным. Существует два основных вида изображений: T1-взвешенное и T2-взвешенное. На Т1-взвешенном изображении фиксируется скорость возврата атомов из положения на боку в вертикальное положение. На Т2-взвешенном изображении время удержания атомов в положении на боку после кратковременного перпендикулярного импульса. Компьютерная программа обрабатывает микроскопические участки мозга по этим параметрам и формирует изображение. Участки демиелинизации существенно отличаются по количеству и спектру атомов от здоровой ткани и видны на Т2-взвешенном изображении в виде белых очагов.

Следует упомянуть и про режим FLAIR: построение изображения в этом режиме происходит путем удаления (не учета) молекул воды, что дает более четкую и более полную картину очагов демиелинизации.


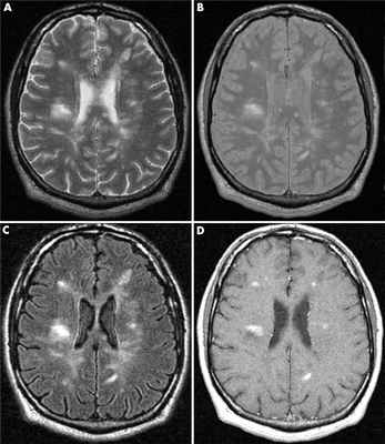
Наконец необходимо уточнить, что такое контрастное вещество. Это раствор, содержащий атомы гадолиния – металла, обладающего определенными магнитными свойствами. При его введении внутривенно, атомы металла проникают по кровяному руслу в сосуды головного мозга. Если очаг демиелинизации только появился, если в нем происходит воспаление, то мелкие сосуды, находящиеся в очаги проницаемы – у них не функционирует гематоэнцефалический барьер. И тогда в этот очаг начинают проникать атомы гадолиния, а в другие (старые) очаги не проникают, так как в сосудах старых очагов гематоэнцефалический барьер уже восстановился. На Т1-изображении зоны, где скапливаются атомы гадолиния, приобретают белый цвет, тогда мы говорим, что на изображении есть активные очаги.


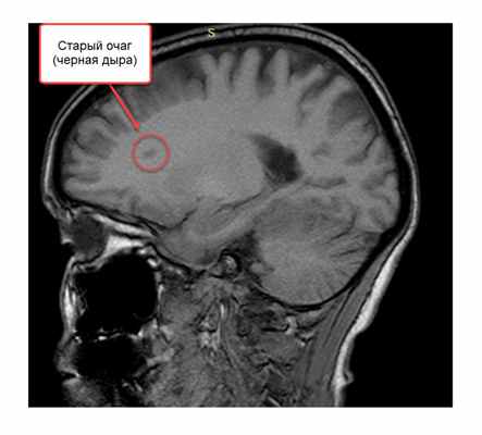
Кроме активных, копящих контраст очагов на T1-взвешенном изображении видны старые многолетние очаги, внутри которых идет или произошел процесс разрушения аксонов (отростков нейронов). Их обозначают термином «черная дыра» (black holes). При нахождении таких очагов мы говорим, что рассеянному склерозу уже несколько лет.


Безусловно, магнитно-резонансная томография дала в руки врачей бесценный метод диагностики. В большей степени благодаря этому методу мы существенно ускорили диагностику, а также смогли оценивать эффективность лечения. С другой стороны, в последнее время МР-диагностика стала несколько избыточной. Во-первых, люди сами, без обращения к врачу проводят МРТ-головного мозга. Хоть это и совершенно безопасная процедура, все же это исследование должно назначаться врачом.
Во-вторых, рентгенологи (специалисты, описывающие МРТ) зачастую слишком определенно утверждают, что у пришедшего к ним на обследование человека рассеянный склероз. Это далеко не так. Задача рентгенолога — описать снимки, но трактовка и постановка диагноза остается за специалистом по рассеянному склерозу. Не редко МРТ-картина у разных заболеваний сходна, а точное разделение двух заболеваний возможно только при опросе пациента и проведении осмотра. Да, на снимках есть очаги, очаги демиелинизации, но заболевание ли это, рассеянный склероз, радиологически изолированный синдром или клинически изолированный синдром, а может быть, нейрооптикомиелит — решать клиницисту-неврологу, специализирующемуся на рассеянном склерозе.
Систематизация изменений на МРТ при рассеянном склерозе привела к созданию так называемых рекомендации MAGNIMS к критериям постановки диагноза рассеянного склероза Мак Дональда. По этим рекомендациям мы можем ускорить постановку диагноза, не дожидаясь очередного обострения:
- Рассеянность (диссеминация) в пространстве определяется при наличии очагов в двух из указанных ниже пяти областей центральной нервной системы:
- перивентрикулярно (в области, примыкающей к желудочкам головного мозга) более 3-х очагов
- кортикально-юкстакортикально (очаги, расположенные практически в коре головного мозга) ≥ 1 очага
- инфратенториально ≥ 1 очага
- в спинном мозге ≥ 1 очага
- в зрительном нерве ≥ 1 очага
- появление нового очага по сравнению с предыдущим исследованием
- очаг на Т2-изображении, накапливающий контраст на Т1-изображении
- выявление при одном исследовании очагов накапливающих и не накапливающих контраст
Это МР-рекомендации к критериям Мак Дональда, позволяющие систематизировать данные МРТ и использовать их для диагностики заболевания. Например, у Вас одно обострение, и Вы с этим обострением пришли к врачу (например, с онемением руки). Клинических данных, подтверждающих рассеянность в пространстве и времени нет: одно обострение, один симптом, указывающий на поражение одного отдела головного мозга. Если бы у нас не было МРТ, то Вас отправили бы домой ждать возникновения следующего обострения. При этом весь период ожидания Вы бы не получали лечения. Если через несколько месяцев или лет у Вас снова возникнет ухудшение, например, ослабеет правая нога, то критерии рассеянности во времени (наличие двух обострений) и в пространстве (клинические указания на поражение разных отделов ЦНС – сначала онемение руки, затем слабость ноги) будут соблюдены и Вам выставят диагноз рассеянного склероза и только после этого начнут лечение. Но весь период между первым и вторым обострениями Вы не получали лечение и рассеянный склероз продолжал у Вас развиваться. В нынешнее время при первом обострении Вас отправят на магнитно-резонансную томографию с контрастом, во время которой, например, обнаружат три перивентрикулярных очага, один очаг в спинном мозге, а из трех перивентрикулярных один будет копить контраст. Тогда будет доказана рассеянность в пространстве – очаги расположены в разных областях и во времени – на одном исследовании есть активный очаг и неактивные очаги. Тогда, не дожидаясь следующего обострения, Вам выставят диагноз рассеянного склероза и начнут лечение раньше. А залог успеха в лечении – раннее его назначение. Другой пример: у Вас было два оптических неврита слева. Клиническими данными за наличие двух обострений доказана рассеянность во времени, но, так как поражена только одна функциональная зона – левый зрительный нерв, то нам нужны дополнительные доказательства рассеянности в пространстве. Вас отправят на МРТ и найдут, например, один очаг в зрительном нерве и три перивентрикулярных. Таким образом, мы сможем доказать рассеянность в пространстве и выставить диагноз РС. Но все-таки на одних критериях диагноз не выставляется. Критерии Мак Дональда и рекомендации MAGNIMS нужны нам в качестве помощников, но в каждом случае с каждым пациентом нужно провести работу, обследовать, применить весь свой опыт и только после этого установить диагноз демиелинизирующего заболевания. Каждый случай диагностики по-своему уникален.
Врачи Московского центра рассеянного склероза, применяя в своей работе последние критерии постановки диагноза, тщательно изучат все Ваши медицинские данные, при необходимости применят новые методы обследования и только после этого установят правильный диагноз и назначат подходящее Вам лечение.
Выявление рассеянного склероза с помощью МРТ
Магнитно-резонансная томография (МРТ) – современный неинвазивный метод исследования мягких тканей организма, наиболее важной областью применения которого является диагностика заболеваний головного и спинного мозга. В настоящее время это самый чувствительный метод нейровизуализации, наиболее подходящий для диагностики рассеянного склероза и контроля течения болезни. МРТ помогает много узнать о причинах, лежащих в основе патологии заболевания.
Как это работает
В отличие от компьютерной томографии (КТ) или обычного рентгена, в МРТ-исследовании не используется опасное для здоровья рентгеновское излучение. Вместо него изображения головного и спинного мозга создаются при помощи магнитного поля и радиоволн, которые измеряют относительное содержание воды в тканях — как нормальных, так и повреждённых — в организме.
МРТ работает следующим образом:
1.Очень сильное магнитное поле заставляет небольшой процент протонов водорода в молекулах воды упорядоченно выстраиваться в направлении магнитного поля. Процент этих протонов сам по себе мал, но этого оказывается достаточно, чтобы дать сильный сигнал, позволяющий начать работу с изображением.
2.После того, как протоны водорода выстроились, радиоволны и некоторые дополнительные, но более слабые магнитные поля выбивают их из линии.
3.Когда прекращается воздействие радиоволн, протоны снова выстраиваются в линию. Как только это происходит, резонансные сигналы протонов регистрируются техникой.
Виды МРТ-сканирования
Существует несколько видов МРТ-сканирования, которые на «языке» медицинской диагностики называются последовательностями. Чаще всего используются Т1-и Т2-взвешенные последовательности – различие между ними заключается в длительности воздействия радиоволн. Компьютерные программы преобразуют полученные во время сканирования данные в изображение ткани тела в каком-либо сечении. При этом Т1-и Т2-взвешенные изображения не дублируют друг друга, а представляют разную информацию о состоянии структур мозга. Так, на Т1-последовательностях хорошо видны опухоли нервной системы, а Т2-последовательности позволяют визуализировать воспалительные процессы. Специально разработанный режим FLAIR «удаляет» эффект ликвора (жидкости, циркулирующей в полостях мозга) на построение изображений. В последнее время в широкую практику входят новые специфические последовательности МРТ-исследований, направленные на улучшение отображения отдельных структур головного и спинного мозга. Так, режим DIR позволяет детально изучить повреждения в коре головного мозга, толщина которой составляет всего несколько миллиметров. Посредством режима STIR удаётся исключить влияние сигнала от жировой ткани оболочек мозга и позвоночника и получить изображения структур спинного мозга с особенным качеством.
Использование разных видов магнитов позволяет получить разную информацию. Сила магнита, используемого в аппарате МРТ, имеет важное значение для качества изображений. Сила магнитного поля измеряется в Теслах (Т).
У большинства обычных аппаратов МРТ этот показатель составляет 1,5 T или 3,0 Т. У аппаратов МРТ открытого типа сила магнитного поля меньше 1,5 Т, из-за чего получаемые изображения не лучшим образом подходят для диагностирования рассеянного склероза, но эти аппараты могут пригодиться тем, кто плохо переносит исследование в устройствах закрытого типа. Аппараты МРТ, используемые для научно-исследовательских целей, имеют гораздо более высокий показатель Т.
Как МРТ «показывает» рассеянный склероз
В норме ткань мозга отделена от циркулирующей крови посредством так называемого гематоэнцефалического барьера, который представляет собой слой особых клеток, «окутывающих» кровеносные сосуды и не позволяющих жидкости свободно проникать через этот барьер. Кроме того, слой миелина, защищающего волокна нервных клеток, содержит в себе большое количество липидов (жиров), за счёт чего он отталкивает воду. Поэтому содержание воды в нервной ткани в целом невелико и является практически постоянным. Однако при рассеянном склерозе воспалительный процесс повреждает гематоэнцефалический барьер, что позволяет жидкой части крови попадать к нервным клеткам. Также начинает разрушаться и сам слой миелина, что значительно снижает его «водоотталкивающие» свойства. В результате в очагах воспаления в ткани мозга содержится значительно больше воды, чем это должно быть. Именно это повышенное содержание воды отображается на скане МРТ или в виде яркого белого пятна (на Т2- и FLAIR-изображениях) или затемненной области (на Т1-изображениях).
Применение МРТ на разных этапах развития рассеянного склероза
Диагностика
МРТ оказывает огромную помощь в постановке диагноза «рассеянный склероз», т.к. аппарат особенно хорошо справляется с выявлением демиелинизации центральной нервной системы. Тем не менее, примерно у 5% людей с клинически установленным диагнозом «рассеянный склероз» в результатах МРТ сканирования отсутствуют повреждения в момент постановки диагноза. Если повторные исследования покажут отсутствие поражений, диагноз следует пересмотреть.
Многие поражения, видимые на картине МРТ при рассеянном склерозе, могут находиться в так называемых «немых» участках мозга и не проявляться в виде привычных симптомов. Не всегда возможно проследить соотношение между тем, что видно на МРТ и клиническими признаками и симптомами, заметными у пациента.
Кроме того, чем старше человек (вероятно, от 50 лет), тем чаще в результатах исследования у здоровых людей встречаются небольшие участки, похожие на повреждённые. На самом деле это связано не с заболеванием, а является следствием возрастных процессов в головном мозге.
Что означает дебют рассеянного склероза
МРТ особенно необходимо пациентам, уже однажды столкнувшимся с демиелинизацией, поскольку данное явление наводит на мысль о рассеянном склерозе и называется «дебют рассеянного склероза».
МРТ также позволяет обнаружить повторное возникновение явления демиелинизации в организме даже при отсутствии дополнительных симптомов – и тем самым помочь подтвердить диагноз как можно раньше, а следовательно – назначить адекватную терапию заболевания.
Контроль развития заболевания
После того, как поставлен диагноз, не нужно никаких дополнительных МРТ исследований в диагностических целях. Однако последующие сканирования имеют важное значение для отслеживания хода заболевания и принятия решений, касающихся лечения. Например, невролог может определить скорость развития заболевания по данным МРТ, а также узнать о клинических симптомах и наличии рецидивов заболевания у человека. Это поможет выяснить, насколько эффективно текущее лечение или нет ли необходимости его корректировать.
Проблемы, с которыми можно столкнуться при применении контрастного вещества (гадолиний)
Контрастное вещество, содержащее гадолиний, часто вводят в вену перед проведением процедуры МРТ. Гадолиний используется для выявления областей активного воспаления, которые могут быть связаны с рассеянным склерозом. Существует несколько видов контрастных веществ на основе гадолиния. При обследовании пациентов с рассеянным склерозом или вероятностью его наличия контрастные вещества используются часто. Это помогает точнее определить активное воспаление в головном мозге.
Безопасность контрастных веществ
В ряде случаев после проведения МРТ с контрастированием пациента могут беспокоить умеренное головокружение, головная боль, чувство тяжести в пояснице, общая слабость и утомляемость. Тем не менее, серьёзные побочные эффекты контрастных веществ проявляются краснее редко и чаще всего они связаны с индивидуальной непереносимостью. С целью минимизирования рисков таких реакция пациентам рекомендуется не покидать сразу же после завершения МРТ-исследования лечебное учреждение, а оставаться ещё на 20-30 минут под присмотром врачей.
Телефоны для записи на исследования: (383) 290-34-99, 290-34-34.
Адрес: ул. Одоевского, д. 12.
Внимание! Имеются противопоказания, необходимо проконсультироваться с врачом.
Читайте также:

