МРТ при смещении диска височно-нижнечелюстного сустава с редукцией
Добавил пользователь Владимир З. Обновлено: 30.10.2025
Есть вопросы по реабилитации после смещения диска височно-нижнечелюстного сустава?
Проконсультируйтесь у реабилитолога!
- лично : очный прием в Москве
- дистанционно : по видеосвязи
Вступление
Смещение нижнечелюстного сустава, также известное как нарушение внутреннего диска, представляет собой ненормальное соотношение между суставным диском, мыщелком нижней челюсти и нижнечелюстной ямкой [1]. Наиболее частое смещение диска происходит спереди от мыщелка нижней челюсти, однако в редких случаях оно может быть сзади. Прогноз для этих состояний хороший, и они обычно лечатся при минимальном вмешательстве или консервативном лечении [1].
Исследования изображений показали, что более переднее положение диска относительно распространено в бессимптомной популяции [3]. Также считается, что у большинства людей ВНЧС приспосабливается к положению диска и редко вызывает боль, находясь в другом положении [4].
Клинически значимая анатомия
Смотрите анатомию ВНЧС
Также см. жевательные мышцы
Клиническая картина
Симптомы
- Боль или дискомфорт, связанные с чем-либо или сочетанием: жевание, зевота, разговор, бруксизм [5]
- Головные боли
- Боль в ухе
- Диапазон движений ВНЧС может быть ограничен
- Крепитация/щелканье во время движения челюсти
- Боль или дискомфорт могут быть острыми или хроническими и могут колебаться по интенсивности.
- Эмоциональные проблемы, такие как депрессия, обычно ассоциируются с болью в ВНЧС
Продолжительность симптомов может варьироваться от нескольких часов до нескольких дней.
Красные флаги
- Неврологические признаки
- Припухлость
- Кровотечение из носа
- Дисфагия или дизартрия
- Необъяснимая потеря веса
- Жалобы на слух
- Постоянная боль, не связанная с движением челюсти
Типы смещения диска ВНЧС
- Смещение диска с редукцией [1][7]: Суставной диск смещается кпереди к мыщелковой головке, при открытии рта диск перемещается на мыщелковую головку.
- Слышание и пальпация шумов в суставах при открывании и закрывании
- Выступающее открывание и закрывание останавливает реципрокный щелчок
- Маловероятно, что в ДД будет какое-либо ограничение из-за перемещения диска при открытии рта
- Смещение диска с редукцией с прерывистой блокировкой [1][7]: идентично первому с дополнительным симптомом прерывистого ограниченного открывания челюсти. Это происходит, когда диск не уменьшается.
- Смещение диска без редукции с ограниченным открытием: [1][8] суставной диск смещается, но не уменьшается.
- Боль в ВНЧС
- Ограниченный диапазон движений челюсти
- Щелчок и хлопок. Смещение диска без уменьшения без ограниченного открытия: идентично 3 типу без ограниченного ДД, хотя в какой-то момент должно было произойти ограничение ДД.
Эти этапы пересматриваются, и в настоящее время практикуется новая система классификации, однако в настоящее время она была опробована только у подростков [9]. Эта классификация сообщает о пяти стадиях смещения диска на основе результатов МРТ.
Классификация Янга переднего смещения диска ВНЧС у подростков
| Стадия | Диск | Мыщелок | Костный мозг | 
| Стадия 0 | Базовая форма | Нормальная форма и высота мыщелка | Нормальный костный мозг и качество | 
| Стадия 1 | Базовая форма | Умеренная и локальная резорбция мыщелка, но нормальная высота мыщелка | Частично уменьшен сверху | 
| Стадия 2 | Базовая форма | Умеренная резорбция мыщелка, уменьшенная высота мыщелка | Слегка уменьшен | 
| Стадия 3 | Базовая форма или искаженная | Сильная резорбция мыщелка | Умеренно уменьшен | 
| 3А | Базовая форма сохраняется или слегка искажается и укорачивается | Небольшой, но базовая форма присутствует | Умеренно уменьшен | 
| 3В | Сильно искаженный и уменьшенный | Небольшой, но базовая форма присутствует | Умеренно уменьшен | 
| Стадия 4 | Базовая форма или искаженная | Сильная резорбция мыщелка | Умеренно уменьшен с воспалительными изменениями, или сильно уменьшен, или отсутствует | 
| 4А | Базовая форма или искаженная | Сильная резорбция, потеря целостности кортикальной кости | Умеренно уменьшен с серьезными воспалительными изменениями | 
| 4В | Базовая форма сохраняется или искажается. Перфорация является обычным явлением | Сильная резорбция или полная резорбция | Сильно уменьшен или отсутствует | 
Диагностические процедуры
Оценка смещения диска может быть проведена с помощью субъективной оценки, объективной оценки и рентгенографии [10].
Субъективная оценка
У пациента может быть в анамнезе:
- Скрытое или травмирующее начало
- Трудности с пережевыванием пищи
- Уменьшенное открывание рта
- Субъективные щелчки и хлопки
Объективная оценка
- Боль при пальпации ВНЧС [11]
- Потенциальный щелчок при открывании челюсти
- Уменьшенный диапазон движений ВНЧС
- Связанное мышечное напряжение шейных и лицевых мышц, таких как грудино-ключично-сосцевидная, верхняя трапециевидная мышца и массетер.
Визуализация
- Рентген [12]
- Ультразвук может быть полезен при оценке степени нарушения диска
- МРТ считается золотым стандартом
Лечение/вмешательство
Смещение диска без уменьшения
Наилучший план лечения смещения диска без вправления все еще обсуждается и требует дополнительных доказательств, поскольку лечение обычно основывается на опыте, а не на доказательствах [13][8].
Вмешательства могут варьироваться от консервативного лечения до хирургического вмешательства. Хотя первичное лечение смещения диска всегда должно быть консервативным [14].
Консервативное лечение (в первую очередь физиотерапия)
- Обучение и самолечение[8]
- Шинирование
- Лечебная физкультура
- Совместная мобилизация ВНЧС и шейного отдела позвоночника
- Активные упражнения для челюсти и укрепление
- Когнитивно-поведенческая терапия
- НПВП и обезболивание
Хирургическое вмешательство
- Артроцентез [15]
- Артроскопия
- Открытое вмешательство в сустав
При анализе хирургических вмешательств не было отмечено изменений в результатах (боль и диапазон движений ВНЧС) по сравнению друг с другом [8].
Дифференциальный диагноз
- Заболевания шейного отдела позвоночника в 70% случаев сочетаются с нарушениями ВНЧС, поэтому важно регулярно проводить скрининг и лечение шейного отдела позвоночника [10].
- Остеоартрит ВНЧС
- См. Расстройства ВНЧС
Итоги
Независимо от вмешательства, смещение диска без вправления со временем улучшается, поэтому оптимальное лечение будет наименее инвазивным и наиболее экономически эффективным, т.е. обучение, самолечение и ранние манипуляции с ВНЧС [8]. В некоторых крайних случаях может потребоваться хирургическое вмешательство, но его следует рассматривать как последний выбор.
МРТ при смещении диска височно-нижнечелюстного сустава с редукцией
а) Терминология:
1. Аббревиатура: 
• Смещение диска с редукцией (СДсР)
2. Синонимы: 
• Вправляемое смещение диска, «щелкающая» челюсть, смещение диска с вправлением, реципрокный щелчок
3. Определение: 
• Смещение или децентрация диска с закрытым ртом с нормализацией его положения при открывании рта
б) Визуализация:
1. Общая характеристика: 
• Лучший диагностический критерий: 
о Задний пучок диска находится спереди от наивысшей точки мыщелка при закрытом рте на косых сагиттальных МР-изображениях 
• Локализация: 
о Диск может смещаться в следующих направлениях: 
- Кпереди: полностью или частично 
- Кпереди (с ротацией): кнутри или кнаружи 
- Вбок: кнутри или кнаружи 
- Кзади: более вероятен подвывих мыщелка 
• Морфология: 
о Диск обычно имеет нормальную двояковогнутую форму; может быть деформирован: 
- Передне-задние размеры смещенного диска могут быть уменьшены 
- Задний пучок может быть утолщен или истончен 
о Смещение диска может быть полным или частичным: 
- Частичное: смещенный диск лишь частично вправляется при открывании рта: 
Одна часть диска остается смещенной, другая часть занимает нормальное положение относительно мыщелка 
Любое смещение может быть полным или частичным 
Частичное смещение преимущественно внутреннее или наружное
 (Слева) На серии из восьми изображений ВНЧС показано положение компонентов сустава при «чистом» переднем смещении диска с редукцией в процессе открывания и закрывания рта. Мыщелок занимает слегка более заднее и верхнее положение в суставной ямке вследствие отклонения толстого заднего пучка от его нормального положения на 12 часах относительно мыщелка. 
(Справа) Начинается ротация мыщелка, сопровождающаяся легким расширением верхнего отдела суставного пространства. Диск «начинает» выдавливаться кпереди. (Слева) Начинается трансляция мыщелка, сопровождающаяся расширением верхнею отдела суставного пространства, в т.ч. сзади. Диск продолжает «выдавливаться» кпереди и деформируется (изгибается), растягивая переднюю стенку капсулы. 
(Справа) Диск возвращается обратно мыщелком, проходящим по заднему диску и вставляющимся в промежуточную зону диска, приводя к щелчку. Определяется расширение кровеносных сосудов в задисковых тканях, наблюдаемое в норме при трансляции мыщелка. (Слева) Продолжается трансляция мыщелка по диску (к границе нормальной подвижности). 
(Справа) Во время начальной фазы закрывания рта диск и мыщелок остаются в положении редукции, диск имеет относительно нормальную (двояковогнутую) форму. 
2. КТ при смещении диска височно-нижнечелюстного сустава с редукцией: 
• КЛКТ: 
о Диск не визуализируется на КЛКТ 
о Уменьшение размеров верхнего или заднего суставного пространства свидетельствует о большей вероятности смещения диска или истончения мягких тканей
3. Рекомендации по визуализации: 
• Лучший метод визуализации: 
о МРТ: 
- В норме Т1 и Т2 сигнал в диске гипоинтенсивный 
- На продольном срезе диск имеет двояковогнутую форму: 
Наиболее толстая часть диска-задний пучок, наиболее тонкая - переходная зона 
- Дегенерация диска: может наблюдаться промежуточный Т1 сигнал 
• Выбор протокола: 
о Поверхностные катушки с обеих сторон 
о PD или Т1 взвешенные изображения перпендикулярно медиально-латеральной (длинной) оси мыщелков 
о PD или Т1 взвешенные изображения параллельно медиально-латеральной (длинной) оси мыщелков при закрытом рте 
о При закрытом рте: 
- Максимальный контакт зубов 
о При открытом рте: 
- Пациенту следует открыть рот до щелчка и еще сильнее 
- Для поддержания открытого состояния в рот помещается фиксатор (напр., шприц, обернутый марлей)
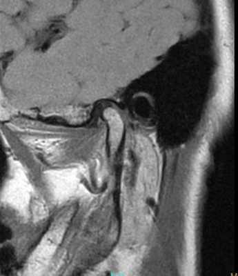
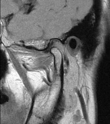
 (Слева) Мыщелок не полностью находится в суставной ямке, но диск остается в нормальном положении. 
(Справа) В завершающей стадии закрывания рта до момента контакта зубов мыщелок находится в суставной ямке, а диск смещается вновь, обусловливая более мягкий щелчок закрытия рта. Задние связки диска растянуты и находятся в положении между 11 и 12 часами относительно мыщелка. (Слева) На косой сагиттальной PD МРТ (с закрытым ртом) визуализируется смещенный кпереди диск, задний пучок, которого находится на 10 часах относительно мыщелка. На более медиальном срезе диск занял нормальное положение. Следовательно, речь идет о частичном смещении диска. 
(Справа) На косой сагиттальной PD МРТ (с открытым ртом) визуализируется промежуточная зона между мыщелком и гребнем суставного возвышения. В этом случае можно сделать заключение о частичном переднем смещении диска с редукцией. (Слева) На косом сагиттальном изображении центральных отделов ВНЧС с открытым ртом визуализируется вправившийся диск в этой зоне. При закрытом рте (изображения не продемонстрированы) диск был смещен кпереди. 
(Справа) На косом сагиттальном изображении у этого же пациента (медиальнее по отношению к предыдущему срезу) визуализируется частично вправившийся диск. Задний пучок диска находится между мыщелком и суставным возвышением. Заключение: переднее смещение с частичной редукцией. 
в) Дифференциальная диагностика смещения диска височно-нижнечелюстного сустава с редукцией:
1. Смещение диска без редукции 
• В 15% щелчки в суставе обусловлены смещением диска без редукции (СДбР) 
• Диск не возвращается в нормальное положение при открытом рте, но щелчок присутствует
2. Фиброзные тяжи и спайки («приклеенный» диск) 
• Диск, спаянный с суставным возвышением, не смещающийся относительно его заднего ската 
• Трансляция мыщелка происходит вдоль нижней поверхности диска; мыщелок может смещаться кпереди относительно переднего пучка 
• Неровности суставных поверхностей при дегенеративном заболевании сустава (ДЗС) могут ограничивать функциональные движения и приводить к появлению щелчков
3. Деформация суставных поверхностей 
• Деформированные поверхности могут ограничивать функциональные движения и приводить к щелчкам 
• Иногда изменения неотличимы от смещения диска на ранней стадии
4. Подвывих мыщелка: 
• Трансляция мыщелка далеко кпереди и кверху от суставного возвышения и, редко, кпереди от суставного диска 
• Может рассматриваться как форма заднего смещения диска: 
о Мыщелок упирается в переднюю стенку капсулы спереди от переднего пучка внутрисуставного диска 
• Сочетается с щелчками или «запиранием» челюсти при открывании рта («открытый замок»)
5. Свободные тела (например, синовиальный хондроматоз): 
• Могут приводить к появлению звуков в суставе, напоминающих щелчки
6. Гипермобильность ВНЧС: 
• Толчок или глухой звук в одной и той же области при открывании или закрывании рта 
• Дискоординация мыщелка, диска, суставного возвышения 
• Смещение нижней челюсти/подвывих в анамнезе 
• Функция/положение диска: норма 
• Отсутствие боли в ВНЧС 
• Отклонение челюсти от срединной линии больше при гипермобильности ВНЧС, чем при смещении диска
 (Слева) На косой сагиттальной МРТ наружных отделов ВНЧС с за крытым ртом визуализируется задний пучокгя частично смещенный напротив 10 часов относительно мыщелка. 
(Справа) На корональном изображении (под углом) у этого же пациента определяется боковое (наружное) смещение диска. Диск с внутренней стороны ВНЧС не визуализируется, медиальная коллатеральная связка растянута. (Слева) На косой сагиттальной PD МРТ с открытым ртом у этого же пациента определяется редукция диска, промежуточная зона которого находится между мыщелком и суставным возвышением. Трансляция мыщелка лишь незначительно отклонена от нормы. Заключение: боковое смещение с редукцией. 
(Справа) На косой сагиттальной PD МРТ медиальных отделов ВНЧС с закрытым ртом визуализируется уплощенный задний пучок диска, расположенный между 10 и 11 часами относительно мыщелка. Утолщенная задняя связка, прикрепляющая диск к височной кости, визуализируется на 12 часах. (Слева) На косом корональном срезе у этого же пациента определяется боковое смещение диска кнутри. В наружных отделах НВЧС диск не визуализируется. Удлинена наружная коллатеральная связка. 
(Справа) На PD МРТ наружных отделов ВНЧС с открытым ртом у этого же пациента визуализируется промежуточная зона диска между мыщелком и суставным возвышением. Заключение: боковое (кнутри) смещение диска с редукцией. Обратите внимание на хорошо различимую заднюю связку диска, крепящую его к височной кости. 
г) Патология:
1. Общая характеристика: 
• Этиология: 
о Биомеханическая: 
- Травма; прямая и опосредованная 
- Парафункция 
о Биохимическая: 
- Стимуляция продукции матриксной металлопротеиназы и цитокинов эстрогеном и релаксином
2. Стадирование, градации, классификация: 
• Прогрессирующее смещение диска связано с потерей протеогликанов и растяжением удерживающих связок 
• Расстояние, преодолеваемое мыщелком от суставной ямки при открывании рта вплоть до возникновения щелчка, грубо соотносится с расстоянием до появления реципрокного щелчка при закрывании рта: 
о Что имеет большое значение, если предполагается использование устройств для репозиции при переднем смещении суставного диска 
• Ранняя редукция при открывании рта: 
о Восстановление нормального положения диска относительно мыщелка при его движении вдоль задней 1/2 ската к вершине суставного возвышения 
• Срединная редукция: 
о Диск принимает нормальное положение по отношению к мыщелку, когда последний находится между средней точкой ската и гребнем суставного возвышения 
• Поздняя редукция: 
о Диск восстанавливает нормальное отношение по отношению к мыщелку, когда последний находится на вершине суставного возвышения или проходит ее
д) Клинические особенности:
1. Проявления: 
• Типичные признаки/симптомы: 
о Звуки/щелчки в суставе: 
- Обычно реципрокные 
- Щелчок: отчетливый короткий звук при движении челюсти: 
Щелчок при открывании рта: возникает в раннюю, промежуточную или позднюю фазу цикла открывания рта 
Щелчок при закрывании рта: возникает сразу же перед контактом зубов; не столь громкий, как щелчок при открывании, и может быть неслышным 
- Отклонение мыщелка от нормальной траектории движения приводит к возникновению щелчков при открывании и закрывании рта 
- Считается, что звук возникает при ударе мыщелка о височную кость с вклинением между ними мягких тканей 
- В некоторых случаях СДсР щелчки в суставе отсутствуют 
- С щелчками при открывании и закрывании рта связаны изменения скорости движения мыщелка (3-36 мс) 
о Ограниченная боль в области ВНЧС 
о Болезненность мышц вокруг ВНЧС 
о Возможна гипермобильность мыщелка 
• Другие признаки/симптомы: 
о До щелчка скорость трансляции мыщелка снижается, и он отрывается от возвышения: 
- Челюсть смещается в сторону поражения 
о Во время щелчка увеличивается скорость движения мыщелка в передне-верхнем направлении: 
- Отклонение челюсти корректируется (или избыточно корректируется) во время щелчка
2. Демография: 
• Пол: 
о Ж >> М 
• Эпидемиология: 
о Щелчки наблюдаются у 14-44% населения в целом
3. Течение и прогноз: 
• У 7% пациентов с щелчками появляются более тяжелые симптомы 
• Неизвестна частота прогрессирования вправляемого смещения диска в невправляемое и ДЗС 
• У (вплоть до) 1/3 «бессимптомных» пациентов может обнаруживаться смещение диска на МРТ 
• У 70% «симптоматических» пациентов обнаруживается смещение диска (всегда соотносится с клиническими данными)
4. Лечение: 
• Паллиативное
5. Сонография: 
• В настоящее время для дифференцировки различных звуков в ВНЧС у пациентов с болью в лице и нарушениями жевания используется звуковой анализ 
• Спектральный анализ звуков может использоваться в качестве скринингового метода для дифференциальной диагностики нарушений со стороны внутренних структур ВНЧС со смещением и без, выявления дегенеративного заболевания с крепитацией 
• Специфические диагностические признаки не определены
е) Диагностическая памятка:
1. Следует учесть: 
• Подтвердите смещение заднего пучка диска
2. Советы по интерпретации изображений: 
• Реальную конфигурацию диска можно изучить точнее на изображениях, полученных при открытом и закрытом рте: 
о Диск восстанавливает нормальное анатомическое положение по отношению к мыщелку и суставному возвышению 
• При открытом рте форму диска лучше всего можно оценить после редукции
3. Возможные ошибки: 
• Если МР-исследование не выполнено при максимальном контакте зубов, возможна картина нормы 
• Усреднение объема на уровне вершины мыщелка, диска, суставной ямки затрудняет оценку заднего пучка диска при закрытом рте 
• Максимальная деформация диска с нарушением его конфигурации может наблюдаться непосредственно перед редукцией (щелчком при открывании рта): 
о Что может привести к переоценке хронических изменений внутренних структур ВНЧС 
• Если исследование выполняется с максимально открытым ртом, СДсР можно спутать с СДбР
Лечение смещения суставного диска без сопровождающейся редукции
Внутренние нарушения височно-нижнечелюстного сустава (ВНЧС) встречаются довольно-таки часто даже среди бессимптомных пациентов, не говоря уже о пациентах с клиническими признаками дисфункции. Во многих случаях у больных со смещением суставного диска без сопутствующей редукции, первичная патология сначала развивается в условиях нормальных соотношений диска и мыщелка, после чего наступает этап смещения диска с редукцией («щелкающая челюсть»), а затем – и без редукции (по механизму «захватить и заблокировать»).
 
В данной статье будет описан простой алгоритм лечения, который позволил пациенту со смещением суставного диска без сопровождающейся редукции вернуться к стадии смещения диска с редукцией.
Клинический случай
69-летняя пациентка с основными жалобами на боли в проекции челюсти, ограниченное открытие полости рта и невозможностью выдвинуть челюсть вперед обратилась за стоматологической помощью. Со слов пациентки ее симптомы начали развиваться около 6 месяцев назад: именно тогда она заметила, что ей трудно выдвигать челюсть вперед, чтобы посвистеть к своей собаки. По данным анамнеза на протяжении около 50 лет больная отмечала «выскакивание» и «пощелкивание» челюсти с левой стороны, и данные симптомы прекратились приблизительно в то время, когда ей стало трудно выдвигать нижнюю челюсть вперед. В ходе клинического осмотра было обнаружено, что максимальная величина межрезцового расстояния составляла 35 мм, при этом в ходе максимального открытия полости рта челюсть несколько смещалась влево. После массажа и растяжения левой жевательной мышцы и сустава снизилась интенсивность болевых ощущений, однако объем движений не увеличился. Таким образом был поставлен диагноз левостороннего смещения суставного диска без сопровождающейся редукции ВНЧС. Пациентка была направлена на магнитно-резонансную томографию (МРТ), и для исследования локализации и состояния диска при открытом и закрытом рте. Данные МРТ позволили установить, что с левой стороны отмечалось переднее смещение суставного диска в обеих положения, что также подтверждает диагноз смещения без редукции (фото 1-4).
Фото 1. МРТ-скан правого ВНЧС при закрытом состоянии рта: визуализация положения диска.
 
Фото 2. МРТ-скан правого ВНЧС при открытом состоянии рта: визуализация положения диска.
 
Фото 3. МРТ-скан левого ВНЧС при закрытом состоянии рта: визуализация переднего смещения диска без редукции.
 
Фото 4. МРТ-скан левого ВНЧС при закрытом состоянии рта: визуализация переднего смещения диска без редукции.
 
Данный диагноз был обсужден с пациенткой с предложением возможных вариантов его лечения, после чего ею была подписана форма информированного согласия. В ходе последующего визита в капсулу ВНЧС слева был введен раствор мепивакаина без эпинефрина (Carbocaine 3%, Septodont), после чего пациентка сразу сообщила об ощущении «хлопка» в левом суставе. Величина максимального открытия полости рта при этом увеличивалось до 46 мм. Никаких девиаций челюсти в сторону в ходе открывания рта уже не отмечалось, как и какой-либо сопутствующей болевой симптоматики. Для поддержки редукции диска была изготовлена временная шина на нижнюю челюсть с позиционированием таковой в несколько более переднем положении. Больной было рекомендовано использовать данную шину на протяжении 3 дней все время, после чего прийти на контрольный визит через неделю. В ходе повторного осмотра пациентка сообщила об уменьшении болевых ощущений и «разблокировке» сустава. Максимальный уровень открытия полости рта составлял 45 мм. По полученным оттискам ей была изготовлена индивидуализированная каппа на верхнюю челюсть по типу шины Farrar. Через 1 год после использования каппы больная подтвердила отсутствие эпизодов блокировки движений сустава, болевых ощущений или каких-либо других признаков дисфункции. При этом величина максимального открытия полости рта составляла около 46 мм без каких-либо девиаций челюсти в сторону в процессе открывания.
Лечение блокировки диска
Вышеприведенное описание не является исчерпывающим руководством или окончательным протоколом лечения смещения суставного диска без сопутствующей редукции. Предполагается, что клиницист должен обладать, по крайней мере, практическими знаниями относительно диагностики и лечения основных внутрисуставных нарушений и определенным опытом проведения внутрисуставных инъекций. Клиницисты, не обладающие этими базовыми знаниями в отношении диагностики и лечения нарушений ВНЧС, должны получить таковые в процессе соответствующих курсов.
Диагностика
Диагноз смещения суставного диска без редукции ставиться на основании данных анамнеза пациента, результатов обследования и, по возможности, еще и базируясь на информации, полученной в ходе МРТ. Соответствующие признаки и симптомы смещения суставного диска, не сопровождающегося редукцией, включают следующее:
- наличие в анамнезе данных о смещении диска с сопровождающейся редукцией (с наличием щелчка) часто в течение многих лет;
- наличие в анамнезе эпизодов блокировки сустава, после чего пациент должен был перемещать свою челюсть так, чтобы вызвать развитие щелчка/хлопка для восстановления возможности реализации полного диапазона движений;
- наличие в анамнезе эпизодов пробуждения с утра с уже имеющейся "блокировкой сустава";
- ограниченный диапазон движений, при котором величина открытия полости рта составляет около 26 мм, но может также составлять 30 мм или немного больше, в зависимости от того, насколько долго прогрессируют признаки блокировки сустава;
- наличие отклонения нижней челюсти в сторону в процессе открытия полости рта.
После постановки диагноза и при наличии показаний к разблокировке сустава, перед началом лечения необходимо получить информированное согласие пациента. Пациенты должны быть проинформированы о возможности развития потенциальных побочных эффектов, включая наличие синяков, болевых ощущений в месте инъекции, реакции на составляющие анестетика, и частичный временный парез лицевого нерва. Альтернативные варианты лечения включают проведение процедур артроцентеза, артроскопии с хирургической коррекцией, открытой операции на суставе, применение комплексна капп и физиотерапию, эффективность которых является вариативной в зависимости от ситуации.
Инъекция
Область будущей инъекции должна быть обработана спиртом или раствором йода. При необходимости место укола предварительно можно обезболить местным анестетиком в форме спрея или геля. В качестве действующего препарата используют анестетик местного краткосрочного действия без адреналина, по типу мепивакаина (например, Carbocaine 3%, Septodont), или 2 мл лидокаина (например, Xylocaine-MPF, Fresenius USA), который вводиться шприцом Люэра с иглой 30 калибра длинной 1 дюйм или 27 калибра длинной 1 и 1/4 дюйма в зависимости от антропометрических параметров пациента. Перед инъекцией суставную щель пальпируют непосредственно перед козелком при максимально открытом положении рта. В идеальных условиях инъекцию проводят в задне-верхнюю суставную щель. Игла должна перемещаться кпереди, внутрь и кверху, пока не достигнет глубины примерно в 1 дюйм. Контакт с задней стороной мыщелка необязателен, но может произойти, и в таком случае врач имеет возможность точно подтвердить местоположение иглы (фото 5-6).
Фото 5. Проецирование области проведения инъекции в капсулу сустава.
 
Фото 6. Проецирование области проведения инъекции в капсулу сустава.
 
Преждевременная инъекция во время введения иглы может привести к непреднамеренной анестезии височной и/или скуловой ветвей лицевого нерва, что затруднит закрытие глаза. После инъекции спросите пациента, изменился ли у него/нее прикус. Они должны ответить положительно, и указать на невозможность смыкания дистальных зубов. Если же прикус не изменился, это значит про возможную анестезию ушно-височного нерва, которая обеспечивает лишь частичную анестезию сустава. Височно-ушной нерв обеспечивает примерно 75% иннервации суставной капсулы, в то время как дополнительная иннервация идет через систему глубоких височных и жевательных нервов. При необходимости можно провести инъекцию повторно, тщательно проверяя окончательное местоположение иглы. Цель депозиции раствора анестетика внутри суставной капсулы заключается не столько в анестезирующем, сколько в гидравлическом эффекте, который в больше степени является ответственным за механизм «разблокировки» сустава.
Разблокировка и обучение
После успешной инъекции анестетика попросите пациента начать движение челюстью из стороны в сторону, а затем широко открыть рот. Данный комплекс движений необходимо выполнять в течение нескольких минут. Обычно от 30% до 50% пациентам удается разблокировать сустав самостоятельно просто за счет мягких движений, а также открывания и закрывания челюсти. При этом врач должен обеспечить тщательный мониторинг за пациентом на протяжении нескольких минут после инъекции дабы быть уверенным в отсутствие развития каких-либо побочных реакций. Пока пациент выполняет комплекс движений челюсти подготавливается термочувствительный пластик для изготовления временной каппы. Если же пациент не может разблокировать челюсть самостоятельно, то можно помочь ему мануально, переместив челюсть в сторону противоположную имеющемуся блоку, а затем направлять челюсть при широком открывании рта (фото 7-8).
Фото 7. Мануальная разблокировка сустава.
 
Фото 8. Изготовление временной стабилизирующей шины из термопласта.
 
После разблокировки крайне важно проинструктировать пациента о дальнейших действиях и эффектах. Если после выполнения комплекса движений нижней челюсти больной не ощущает разницы между заблокированным и разблокированным состоянием, вполне вероятно, что повторный блок сустава сформируется на протяжении ближайших 24 часов. Чтобы пациент смог почувствовать разницу между разблокированным и заблокированным состоянием, необходимо попросить его укусить на задние зубы, и попробовать снова сместить диск. Это делается еще и для того, чтобы пациент осознал, что он и сам может разблокировать сустав при необходимости. Для проверки наличия разблокированного состояния пациент должен иметь возможность разместить хотя бы три пальца между резцами верхней и нижней челюсти при максимально открывании рта. Проверять факт разблокировки пациент может за 5 минут до сна и сразу же после пробуждения утром. Если утром пациент диагностирует наличие блока, ему рекомендовано сходить в горячий душ, который способствует расслаблению мышц, и соответственно – разблокировке суставов. После инструктажа пациенту устанавливают временную термопластическую каппу на нижнюю челюсть. Данные каппы проектируются с соотношением резцов «край в край» при 1 классе соотношений, или при 2 классе 2 подклассе. При этом крайне важно, чтобы каппа обеспечивала смещение диска с редукцией. Пациентам рекомендовано использовать данную шину все время даже в ходе приема пищи и во время сна на протяжении последующих 3-4 дней, а также хотя бы во время сна на протяжении еще 7 дней (фото 9-13).
Фото 9-12. Изготовление временной стабилизирующей шины из термопласта.
 
 
 
 
Фото 13. Готовая временная стабилизирующая шина из термопласта: вид при закрытом состоянии рта.
 
Контроль и альтернативы
Через неделю использования первичной каппы пациенты возвращаются для наблюдения. Если у пациента снова отмечается наличие блока, то процедуру можно повторить. Если же блок отсутствует, то пациент должен быть проинструктирован о потребности выполнения профилактических мероприятий для минимизации риска развития такового. Суть превентивных мер зависит от каждой отдельной клинической ситуации, но очень часто предусматривает применение специфических капп (ортотиков) в ночное время. Если же вышеописанный подход к лечению после нескольких попыток не демонстрирует никакой эффективности, то пациенту можно предложить выполнение артроцентеза или же артроскопии с хирургической коррекцией. Рекомендации для проведения какого-либо вмешательства зависят от данных анамнеза, особенностей диагноза, наличия болевых ощущений, дисфункции и того, насколько имеющаяся патология влияет на качество жизни. Если консервативный метод лечения оказывается неэффективным, то перед проведением хирургических манипуляций крайне рекомендовано провести МРТ-обследование области сустава для подтверждения диагноза. К сожалению, процедуры артроцентеза и артроскопии характеризуются только краткосрочным клиническим эффектом, но при этом позволяют почти полностью купировать болевые ощущения и заметно увеличивают доступный диапазон движений. Долгосрочная неэффективность хирургических подходов к лечению смещения диска без сопровождающейся редукции может быть обоснована отсутствием возможности применения стабилизирующей шины сразу же после выполнения процедуры, особенно в случаях выполнения вмешательств в области сустава в состоянии седации пациента.
Выводы
Пациенты со смещением суставного диска и сопутствующей редукцией очень часто переходят в состояние смещения диска без редукции. Анализ типичных симптомов данной формы внутрисуставной патологии, а также выполнение необходимых диагностических манипуляций, включая МРТ-обследование, позволяют поставить правильный диагноз, и выбрать наиболее подходящий метод лечения. Критерий времени в случаях лечения смещения суставного диска без сопутствующей редукции является крайне важным: чем дольше у пациента отмечается блок сустава, тем меньше шанс полного купирования данного состояния.
1. Синоним: 
• Внутрисуставные спайки (ВС)
2. Определение: 
• Сращение диска с суставной ямкой или суставным возвышением за счет фиброзной соединительной ткани
1. Общая характеристика: 
• Лучший диагностический критерий: 
о Отсутствие трансляции диска; диск визуализируется 
• Локализация: 
о Верхнее суставное пространство, чаще передний карман

 (Слева) На косой сагиттальной МРТ (Т1 ВИ) ВНЧС с закрытым ртом визуализируется задний пучок диска, находящийся в нормальном положении относительно мыщелка. 
(Справа) На косой сагиттальной МРТ (Т1 ВИ) ВНЧС у этого же пациента визуализируется задний пучок диска, остающийся спаянным с самыми верхними отделами суставной ямки. Область соединения переднего пучка с переходной зоной находится между мыщелком и суставным возвышением. Отсутствует трансляция диска относительно заднего ската суставного возвышения. 
2. МРТ при спайках височно-нижнечелюстного сустава: 
• Диск не смещается относительно заднего ската суставного возвышения 
• При открытом рте задний край диска может оставаться спаянным с височной костью
3. Рекомендации по визуализации: 
• Лучший метод визуализации: 
о Артрография: 
- Визуализация верхнего отдела суставного пространства под контролем рентгеноскопии 
- Верхний отдел суставного пространства имеет неправильную форму 
- Колебательные движения контраста с заполнением верхнего отдела суставного пространства 
о МРТ 
о МР-артрография 
о Артроскопия 
• Выбор протокола: 
о Изображения, полученные при закрытом и максимально открытом рте 
о Срезы, скорректированные перпендикулярно и параллельно медиально-латеральной (длинной) оси мыщелка

 (Слева) На косой сагиттальной МРТ (Т2 ВИ) левого ВНЧС с закрытым ртом визуализируются задний пучок и переходная зона диска, нормально расположенные относительно мыщелка. 
(Справа) На косой сагиттальной МРТ (Т2 ВИ) с открытым ртом у этого же пациента определяется ограничение трансляции мыщелка. Отсутствует трансляция диска по заднему скату суставною возвышения. Задний пучок диска занимает наиболее высокое положение в суставной ямке. Область соединения переходной зоны и переднею пучка находится между мыщелком и суставным возвышением. 
в) Дифференциальная диагностика спайек височно-нижнечелюстного сустава:
1. Фиброзный анкилоз: 
• Отсутствие трансляции мыщелка 
• Сращение мыщелка с височной костью за счет фиброзной соединительной ткани
2. Ложный анкилоз: 
• Нормальные суставные пространства 
• Ограничение подвижности мыщелка, не связанное с компонентами сустава
1. Общая характеристика: 
• Этиология: 
о Первая гипотеза: накопление фибрина в результате синовита; трение вследствие нарушения увлажнения (за счет отсутствия скольжения двух плотных компонентов, оказывающих давление друг на друга); снижение подвижности диска с отложением фибрина и формированием фиброзных спаек 
о Вторая гипотеза: накопление фибробластов и фиброцитов в области гематомы синовиальной оболочки; заживление с формированием рубца в стенке фиброзной капсулы 
о Третья гипотеза: длительное переднее смещение диска без редукции, воспаление, механическое сдавление синовиальной оболочки в переднем кармане; гиперемия и экссудация вследствие воспаления синовиальной оболочки с накоплением экссудата и возникновением спаек в переднем кармане
2. Классификация спаек височно-нижнечелюстного сустава: 
• Имеются различные классификации, большинство из которых основаны на типе спаек и/или их локализации: 
о Типы спаек: пленчатые, в виде тяжей, в виде перегородок 
о 9-клеточный матрикс в верхнем отделе суставного пространства: три клетки в медиально-латеральном направлении и три клетки в передне-заднем
1. Проявления: 
• Типичные признаки/симптомы: 
о Ограничение трансляции диска и мыщелка 
о Связь со смещением диска 
• Другие признаки/симптомы: 
о Боль при максимальном открывании рта 
о Звуки в суставе при трансляции мыщелка вдоль нижней поверхности неподвижного диска
2. Течение и прогноз: 
• Предрасполагающие факторы: 
о Травма 
о Смещение диска 
• Выраженность спаек пропорциональна возрасту пациента и степени смещения внутренних структур 
• Выраженность спаечного процесса увеличивается при наличии дегенеративного заболевания сустава, особенно длительно существующего 
• Подвижность мыщелка уменьшается по мере созревания спаек
3. Лечение спаек височно-нижнечелюстного сустава: 
• Артроцентез или артроскопия с устранением спаек 
• Упражнения для увеличения подвижности челюсти после вмешательства
1. Следует учесть: 
• Основной признак спаек на МРТ - неподвижность диска
2. Советы по интерпретации изображений: 
• Спайки обычно находятся в верхнем отделе суставного пространства
1. Синоним: 
• Внутрисуставное поражение височно-нижнечелюстного сустава
2. Определение: 
• Патологические анатомические и функциональные взаимоотношения суставного диска и суставных поверхностей
1. Общая характеристика: 
• Лучший диагностический критерий: 
о Суставной диск смещается кпереди от мыщелка нижней челюсти 
• Локализация: 
о Обычно интракапсулярная 
о Односторонняя или двусторонняя 
• Морфология: 
о Форма диска не изменена или диск деформирован
2. Рекомендации по визуализации: 
• Лучший метод визуализации: 
о МРТ тонкими срезами в косой скорректированной сагиттальной и корональной плоскостях в положениях с закрытым и открытым ртом 
• Рекомендации по протоколу исследования: 
о Необходимо выполнить МРТ в режимах протонной плотности или Т1 и Т2 
о Исследование в кино-режиме позволяет более точно оценить функциональные нарушения

 (Слева) При МРТ Т1 в сагиттальной проекции определяется смещение суставного диска кпереди: задний валик диска смещен кпереди от мыщелка, промежуточная зона диска истончена, передний валик диска деформирован. Обратите внимание на истончение кортикального слоя и уплощение суставной поверхности мыщелка. 
(Справа) При МРТ Т1 в сагиттальной проекции в положении пациента с открытым ртом видно, как мыщелок заходит на суставной бугорок и происходит репозиция суставного диска. Такие случаи смещения суставного диска вперед называют смещением диска с редукцией. 
3. МРТ при смещении диска височно-нижнечелюстного сустава: 
• Т1 ВИ: 
о Смещение может быть передним, медиальным, латеральным или комбинированным: 
- Задний валик суставного диска впереди меридиана 12 часов, проведенного от мыщелка верхней челюсти 
- Переднее смещение=угол между задним валиком суставного диска и вертикальной осью мыщелка > 10° 
- Заднее смещение диска встречается редко 
• Т2 ВИ: 
о Может определяться гиперинтенсивный выпот в верхней или нижней суставной щели 
о ↑ сигнала мыщелка свидетельствует об отеке костного мозга 
• Т1 ВИ с контрастным усилением: 
о Диск не контрастируется 
о Контрастирование при развитии сопутствующего синовита

 (Слева) При МРТ Т1 в сагиттальной проекции отмечается деформация суставного диска Ш, полностью смещенного вперед относительно мыщелка нижней челюсти. Обратите внимание на уплощение и клювообразную деформацию передней части мыщелка нижней челюсти. 
(Справа) При МРТ Т1 в сагиттальной проекции в положении с открытым ртом наблюдается смещение мыщелка к суставному бугорку, но при этом диск остается спереди от мыщелка - наблюдается смещение диска вперед без редукции. 
в) Дифференциальная диагностика смещения диска височно-нижнечелюстного сустава:
1. Ревматоидный артрит: 
• Пролиферативная воспаленная синовиальная ткань («паннус») 
• Контрастная утолщенная синовиальная оболочка 
• Зачастую также сопутствует умеренный или выраженный остеоартрит
2. Синовиальный хондроматоз: 
• Хондрометаплазия синовиальной мембраны 
• Картилягинозные узелки отслаиваются от синовиальной сумки и обызвествляются 
о Они получили название свободных тел
3. Болезнь отложения пирофосфата дигидрата: 
• Расстройство метаболизма, связанное с хондрокальцинозом 
• Поражение височно-нижнечелюстного сустава встречается не часто 
• Обызвествленное контрастное интракапсулярное объемное образование
4. Пигментный виллонодулярный синовит: 
• Поражение височно-нижнечелюстного сустава встречается редко 
• Псевдотуморозная пролиферация синовиальной оболочки 
• Местно-агрессивный процесс
5. Киста синовиальной оболочки: 
• В височно-нижнечелюстном суставе встречается редко 
• Киста, развивающаяся из синовиальной оболочки
1. Общая характеристика: 
• Этиология: 
о Мультифакторное заболевание; развивается вследствие дисфункциональной перестройки 
- ↓ адаптивных возможностей суставной поверхности ± функциональная перегрузка 
- Растяжимость связочного аппарата 
о Может развиваться вторично вследствие травмы (перелом/ вывих мыщелка)
2. Макроскопическая картина и изменения, выявляемые во время операции: 
• Гиперемия и деформация суставного диска
3. Микроскопические изменения: 
• Гиперплазия, гиалиноз и сосудистая реакция соединительной ткани
1. Проявления: 
• Типичные признаки/симптомы: 
о В большинстве случаев протекает бессимптомно 
о Тризм 
о Боли в околоушной области 
• Другие признаки/симптомы: 
о Ограничение открывания рта 
о «Щелчки» или заклинивание
2. Демография: 
• Возраст: 
о Взрослые: чаще всего встречается в возрасте 20-40 лет 
• Пол: 
о При наличии симптоматики: Ж:М = 4:1 
о Посттравматическое поражение чаще встречается среди мужчин 
• Эпидемиология: 
о 20-30% популяции 
о Внутрисуставное поражение наблюдается более чем у 80% пациентов с симптоматикой со стороны височно-нижнечелюстного сустава
е) Список использованной литературы: 
1. Kakimoto N et al: Comparison of the T2 relaxation time of the temporomandibular joint articular disk between patients with temporomandibular disorders and asymptomatic volunteers. AJNR Am J Neuroradiol. 35(7): 1412-7, 2014
Читайте также:
- Инфекционные поражения полости рта при ВИЧ-инфекции. СПИД и полость рта.
- Исследования поджелудочной железы. Исследование селезенки.
- Пренатальная диагностика диасторофической дисплазии. Синдром Книста у плода
- Синдром Иценко—Кушинга. Причины кушингоида
- Лимфогранулематоз Годжкина. Клиника и диагностика лимфогранулематоза Годжкина.
