МРТ при спайках височно-нижнечелюстного сустава
Добавил пользователь Дмитрий К. Обновлено: 14.12.2025
Магнитно-резонансная томография безопасно и эффективно исследует органы мочеполовой системой пациентов любого пола. На МРТ органов малого таза направляют профильные врачи: гинекологи, урологи, проктологи. Исследование отличается для женщин и мужчин, но неизменно остается наиболее информативным и безопасным диагностическим методом.
МРТ брюшной полости и малого таза у женщин
В гинекологии часто применяют УЗИ, однако его результаты не всегда информативны и достаточны. Для уточнения характера и распространенности выявленной патологии более точные данные дает МРТ. На томографе у женщин составляется точная трехмерная картина органов репродуктивной системы (влагалище, матка и придатки), мочевой системы (мочевой пузырь и мочеточник), прямой кишки, нижнего отдела позвоночника. Обследование проводится как при расширенных плановых осмотрах, так и для диагностики заболеваний. Срочное МРТ органов малого таза поможет при подготовке к операциям в этой области и после них для оценки эффективности.
МРТ информативно в диагностике:
- Причин боли внизу живота, тазовой и крестцовой области.
- Гинекологических заболеваний.
- Новообразований.
- Воспалительных процессов.
- Травм органов в области таза.
- Причин кровотечений.
- Патологий тазового дна.
- Проблем с паховыми лимфоузлами.
- Сосудистых патологий.
- Спаек в фаллопиевых трубах.
МРТ органов малого таза у мужчин
У мужчин МРТ применяют для обследования предстательной железы, семявыводящих протоков, яичников, паховых лимфоузлов, сосудов, мочевой системы и частично тазовых костей. В снимках видны даже небольшие патологические участки, новообразования, а диагноз можно поставить на ранних стадиях.
Сделать МРТ органов малого таза назначают при воспалениях, новообразованиях, патологиях органов мочеполовой системы и соседних отделов, при подготовке к операциям, оценки эффективности лечения.
Преимущества
МРТ заслуженно нашла широкое применение в диагностике. Компьютерная томография, гистероскопия, лапароскопия уступают ему – они более травматичны, болезненны, оказывают лучевую нагрузку. У МРТ нет ограничений по возрасту, количеству раз выполнения. Сама процедура совершенно безболезненна и безвредна для пациента. Тонкие срезы с разными проекциями дают четкую картину, по ним легко отследить динамику изменений, эффективность лечения. Цена МРТ малого таза и брюшной полости доступна, поэтому врачи рекомендуют проходить томографию при профилактических проверках здоровья.
Как проходит обследование
Подготовка зависит от специфики обследования. Так при плановом обследовании матки и придатков выбирается дата относительно менструального цикла. Срочная диагностика, МРТ других органов может проводиться в любое время. Основные рекомендации: уменьшить перистальтику кишечника с помощью диеты и приема спазмолитических препаратов.
МРТ проводят с контрастным веществом или без него. Контраст (вводимые внутривенно препараты) делает снимки более четкими, помогает точнее определить границы патологических участков, незаменим при подозрении на онкологию. Препараты безопасны для здоровья, но увеличивают стоимость МРТ органов малого таза.
В начале обследования врач проверит возможные противопоказания. Среди основных: инородные металлические тела (стимуляторы, протезы, другие устройства), психические расстройства, алкогольное опьянение. Контраст с осторожностью применяют людям, склонным к аллергиям, с проблемами в почках.
Сканирование проводится 30-50 минут. Результаты готовы сразу, их расшифрует врач после обследования.
Удобно, быстро и недорого можно пройти МРТ органов малого таза в Москве в ЛДЦ «Кутузовский». Наши услуги – детальная диагностика, профилактика, лечение любых внутренних органов и систем. Работаем без выходных. Уточнить цену МРТ органов малого таза, записать на прием можно по телефону или при помощи заявки на сайте.
МРТ при спайках височно-нижнечелюстного сустава
а) Терминология:
1. Синоним:
• Внутрисуставные спайки (ВС)
2. Определение:
• Сращение диска с суставной ямкой или суставным возвышением за счет фиброзной соединительной ткани
б) Визуализация:
1. Общая характеристика:
• Лучший диагностический критерий:
о Отсутствие трансляции диска; диск визуализируется
• Локализация:
о Верхнее суставное пространство, чаще передний карман

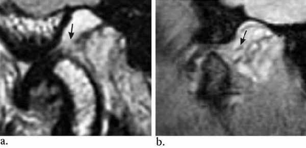
(Слева) На косой сагиттальной МРТ (Т1 ВИ) ВНЧС с закрытым ртом визуализируется задний пучок диска, находящийся в нормальном положении относительно мыщелка.
(Справа) На косой сагиттальной МРТ (Т1 ВИ) ВНЧС у этого же пациента визуализируется задний пучок диска, остающийся спаянным с самыми верхними отделами суставной ямки. Область соединения переднего пучка с переходной зоной находится между мыщелком и суставным возвышением. Отсутствует трансляция диска относительно заднего ската суставного возвышения.
2. МРТ при спайках височно-нижнечелюстного сустава:
• Диск не смещается относительно заднего ската суставного возвышения
• При открытом рте задний край диска может оставаться спаянным с височной костью
3. Рекомендации по визуализации:
• Лучший метод визуализации:
о Артрография:
- Визуализация верхнего отдела суставного пространства под контролем рентгеноскопии
- Верхний отдел суставного пространства имеет неправильную форму
- Колебательные движения контраста с заполнением верхнего отдела суставного пространства
о МРТ
о МР-артрография
о Артроскопия
• Выбор протокола:
о Изображения, полученные при закрытом и максимально открытом рте
о Срезы, скорректированные перпендикулярно и параллельно медиально-латеральной (длинной) оси мыщелка

(Слева) На косой сагиттальной МРТ (Т2 ВИ) левого ВНЧС с закрытым ртом визуализируются задний пучок и переходная зона диска, нормально расположенные относительно мыщелка.
(Справа) На косой сагиттальной МРТ (Т2 ВИ) с открытым ртом у этого же пациента определяется ограничение трансляции мыщелка. Отсутствует трансляция диска по заднему скату суставною возвышения. Задний пучок диска занимает наиболее высокое положение в суставной ямке. Область соединения переходной зоны и переднею пучка находится между мыщелком и суставным возвышением.
в) Дифференциальная диагностика спайек височно-нижнечелюстного сустава:
1. Фиброзный анкилоз:
• Отсутствие трансляции мыщелка
• Сращение мыщелка с височной костью за счет фиброзной соединительной ткани
2. Ложный анкилоз:
• Нормальные суставные пространства
• Ограничение подвижности мыщелка, не связанное с компонентами сустава
г) Патология:
1. Общая характеристика:
• Этиология:
о Первая гипотеза: накопление фибрина в результате синовита; трение вследствие нарушения увлажнения (за счет отсутствия скольжения двух плотных компонентов, оказывающих давление друг на друга); снижение подвижности диска с отложением фибрина и формированием фиброзных спаек
о Вторая гипотеза: накопление фибробластов и фиброцитов в области гематомы синовиальной оболочки; заживление с формированием рубца в стенке фиброзной капсулы
о Третья гипотеза: длительное переднее смещение диска без редукции, воспаление, механическое сдавление синовиальной оболочки в переднем кармане; гиперемия и экссудация вследствие воспаления синовиальной оболочки с накоплением экссудата и возникновением спаек в переднем кармане
2. Классификация спаек височно-нижнечелюстного сустава:
• Имеются различные классификации, большинство из которых основаны на типе спаек и/или их локализации:
о Типы спаек: пленчатые, в виде тяжей, в виде перегородок
о 9-клеточный матрикс в верхнем отделе суставного пространства: три клетки в медиально-латеральном направлении и три клетки в передне-заднем
д) Клинические особенности:
1. Проявления:
• Типичные признаки/симптомы:
о Ограничение трансляции диска и мыщелка
о Связь со смещением диска
• Другие признаки/симптомы:
о Боль при максимальном открывании рта
о Звуки в суставе при трансляции мыщелка вдоль нижней поверхности неподвижного диска
2. Течение и прогноз:
• Предрасполагающие факторы:
о Травма
о Смещение диска
• Выраженность спаек пропорциональна возрасту пациента и степени смещения внутренних структур
• Выраженность спаечного процесса увеличивается при наличии дегенеративного заболевания сустава, особенно длительно существующего
• Подвижность мыщелка уменьшается по мере созревания спаек
3. Лечение спаек височно-нижнечелюстного сустава:
• Артроцентез или артроскопия с устранением спаек
• Упражнения для увеличения подвижности челюсти после вмешательства
е) Диагностическая памятка:
1. Следует учесть:
• Основной признак спаек на МРТ - неподвижность диска
2. Советы по интерпретации изображений:
• Спайки обычно находятся в верхнем отделе суставного пространства
МРТ височно-нижнечелюстных суставов в диагностике заболеваний ВНЧС
Неотъемлемым компонентом стоматологического и, как следствие, общего здоровья, является нормальная функция височно-нижнечелюстных суставов (ВНЧС). На сегодняшний день распространенность заболеваний ВНЧС в популяции довольно высока.
Наиболее частая причина дисфункции ВНЧС – внутреннее повреждение и нарушение нормальных анатомических соотношений суставного диска и мыщелка нижней челюсти.
Клинически дисфункция проявляется как нарушение открывания рта, хруст при движении нижней челюсти, напряжение мышц головы, шеи, появление «триггерных точек», головная боль (причем боли могут быть такими сильными, что их часто путают с мигренью).
Точная локализация суставного диска очень важна в оценке повреждения ВНЧС и может быть легко определена с помощью метода МРТ.
При этом переднее смещение суставного диска определяется у 34% здоровых добровольцев, а нормальное положение суставного диска только у 16-23%.
На ранней стадии диск сохраняет свою форму. Со временем поврежденный диск деформируется.
Чаще деформация идет в виде утолщения задней зоны и истончения передней и промежуточной.
Каждое выполняемое исследование необходимо делать в 2-х положениях – с закрытым и открытым ртом.
Косо-сагиттальная проекция с закрытым ртом. Нормальный ВНЧС.

Суставной диск не дислоцирован, задняя его часть находится на 12 часах циферблата мыщелка.
Нормальная мобильность диска

Позиция с открытым ртом. Мыщелок сместился вентрально, на уровень суставной ямки. При этом суставной диск сохранил нормальное положение интерпозиции, не давая костным структурам напрямую контактировать друг с другом.
Смещения диска.
Выделяют переднее, передне-латеральное, передне-медиальное, латеральное, медиальное и заднее смещения; наиболее часто диагностируется переднее смещение диска.
Вывихи диска – фиксированный и перемежающийся (подвывих).
При фиксированном вывихе диск смещен кпереди от мыщелка и в положении открытого и при закрытом рте; при перемежающемся вывихе (подвывихе) диск смещен кпереди только при закрытом рте. При открывании рта диск возвращается в нормальное положение интерпозиции между мыщелком и суставным бугорком. При этом слышен характерный щелчок.
Перемежающийся (вправляемый) вывих /подвывих.

А. Закрытый рот. Переднее смещение диска.
Б. Рот открыт. Диск вернулся в нормальное положение между мыщелком и височной костью.
Фиксированный (невправляемый) вывих.

А. Рот закрыт. Переднее смещение диска.
Б. Рот открыт. Диск продолжает оставаться смещенным.
«Застрявший» диск.

«Застрявший» диск. PD sag изображения с открытым (А) и закрытым (Б) ртом - задний край диска (стрелка) остается в нижнечелюстной ямке височной кости. По этой причине открывание рта сильно ограничено. Вероятная причина – образование спаек.
Заднее смещение диска.

Заднее смещение диска (составляет менее 0,01% всех патологий ВНЧС).
А. Положение с закрытым ртом. Суставной диск сместился дорзально.
Б.Положение с открытым ртом. Возвращение суставного диска на уровень мыщелка нижней челюсти. Движения челюсти очень ограничены в данном случае.
Синовит.
Кроме патологии суставного диска, существуют и другие причины дисфункции височно-нижнечелюстного сустава.

Небольшое количество выпота в полости сустава.
Остеоартроз ВНЧС .

Рот закрыт. Определяется уплощение мыщелка нижней челюсти.
Патология позадидисковых тканей.

Оба изображения (разные пациенты) показывают разрыв волокон дорзальных (задних верхней и нижней диско-темпоральных) связок.
Травматические изменения.

Двусторонний перелом мыщелковых отростков, гемартроз, изменения крыловидных мышц.
У пациентов с клиническими проявлениями внутренних нарушений ВНЧС ведущим методом лучевого исследования является функциональная МРТ. Наиболее информативными являются Pd- и Т2*-взвешенные изображения в кососагиттальных плоскостях.
Другие статьи по теме
Что может послужить поводом для МРТ простаты и как подготовиться к этой. О чём расскажет МРТ простаты?
За что в организме человека отвечает поджелудочная железа? Как в диагностике её. МРТ поджелудочной железы: когда она необходима?
Надпочечники — это «фабрика» по производству гормонов. Нарушения в работе надпочечников могут. МРТ надпочечников: кому может понадобиться такая диагностика?
МРТ при спайках височно-нижнечелюстного сустава
Кафедра стоматологии общей практики и анестезиологии ФПДО, кафедра ортодонтии и детского протезирования Московского государственного медико-стоматологического университета
Московский государственный медико-стоматологический университет
Московский государственный медико-стоматологический университет
Алгоритм диагностики и лечения внутренних нарушений височно-нижнечелюстного сустава
Журнал: Российская стоматология. 2013;6(2): 20‑25
Бекреев В.В., Васильев А.Ю., Рабинович С.А. Алгоритм диагностики и лечения внутренних нарушений височно-нижнечелюстного сустава. Российская стоматология. 2013;6(2):20‑25.
Bekreev VV, Vasil'ev AIu, Rabinovich SA. The algorithm for diagnostics and treatment of internal lesions in the temporomandibular joint. Russian Stomatology. 2013;6(2):20‑25. (In Russ.).
Кафедра стоматологии общей практики и анестезиологии ФПДО, кафедра ортодонтии и детского протезирования Московского государственного медико-стоматологического университета
Цель исследования - оценка эффективности комплексного лечения пациентов с внутренними нарушениями височно-нижнечелюстного сустава (ВНЧС). Установлено, что при совместном участии ортодонта, стоматолога-ортопеда, челюстно-лицевого хирурга с использованием неинвазивных и малоинвазивных методов лечения, включающих применение каппы и гидравлического прессинга, в 78,9% случаев достигается репозиция суставного диска и восстановление функции ВНЧС.
Кафедра стоматологии общей практики и анестезиологии ФПДО, кафедра ортодонтии и детского протезирования Московского государственного медико-стоматологического университета
Московский государственный медико-стоматологический университет
Московский государственный медико-стоматологический университет
Среди патологических процессов, возникающих в височно-нижнечелюстном суставе (ВНЧС), наиболее часто встречаются внутренние нарушения, которые, по данным различных авторов, наблюдаются у 70-89% больных, обращающихся к врачу-стоматологу с жалобами на нарушение функции этого сочленения [2]. «Внутренние нарушения ВНЧС» - собирательный термин, включающий состояния, при которых имеется патология мягкотканных элементов сустава (суставного диска, внутрисуставных связок, капсулы) и изменения их анатомических и функциональных взаимоотношений. Главными причинами внутренних нарушений ВНЧС являются нарушение окклюзии [1, 7] и неполноценность связочного аппарата ВНЧС [8]. Чаще всего при растяжении заднедисковой связки происходит переднее смещение суставного диска. При этом головка нижней челюсти во время открывания рта постоянно травмирует переднюю часть суставного диска и деформирует в виде его перегиба или сжатия [9]. Если в начальных стадиях внутренних нарушений при применении каппы достигается репозиция суставного диска, то в поздних стадиях при невправляемом смещении диска это часто практически невозможно. В таких случаях смещенный суставной диск при попытке воспроизведения движений нижней челюсти остается неподвижным, а взаимная травма элементов сочленения обусловливает развитие воспалительного процесса, дегенерацию диска, образование фиброзных спаек (склерозирование), вторичный остеоартроз [9].
Все это приводит к сращению диска с окружающими тканями, что значительно затрудняет репозицию суставного диска при лечении. Лечение с помощью каппы (окклюзионной шины), восстановлением нормальной окклюзии далеко не всегда приводит к нормализации положения суставного диска [11], а репонирование диска хирургическими методами без учета окклюзии часто приводит к рецидиву данной патологии. В связи с отсутствием общепризнанной классификации заболеваний ВНЧС и алгоритмов лечения внутренних нарушений ВНЧС у стоматологов любой специализации на амбулаторном приеме возникают определенные трудности как с диагностикой, так и с выбором методов лечения пациентов с данной патологией.
Цель исследования - изучение эффективности различных методов комплексного лечения пациентов с внутренними нарушениями ВНЧС для создания алгоритма их лечения с учетом индивидуальных особенностей течения заболевания.
Материал и методы
Проведено обследование и лечение 492 пациентов (398 женщин и 94 мужчин) в возрасте от 18 до 60 лет с внутренними нарушениями ВНЧС. Основными жалобами пациентов были ограничение открывания рта и боль при движениях нижней челюсти, щелканье и хруст в ВНЧС. При магнитно-резонансной томографии (МРТ) у них выявлены в различной степени дислокация суставного диска, его деформация и дегенерация. В начале лечения всем пациентам врачом-ортодонтом изготавливали индивидуальные мягкие миорелаксирующие каппы. В случаях недостаточной их эффективности с целью создания условий для вправления смещенного суставного диска применен ранее нами описанный метод гидравлического прессинга [3, 4]. Проводилась пункция верхнего или нижнего пространства пораженного ВНЧС, для его увеличения и расширения суставной щели вводилось от 0,7 до 1 мл 2% раствора лидокаина гидрохлорида. Объем пунктированного пространства ВНЧС при этом увеличивается и создаются условия, при которых с током введенного раствора диск занимает свое правильное положение по отношению к головке нижней челюсти. Число артропункций с целью гидравлической репозиции варьировало в зависимости от их эффективности от 4 до 6, по одной артропункции 1-2 раза в неделю. Контроль за положением суставного диска в процессе лечения осуществлялся сонографически [5]. Сонографическое исследование было проведено на аппарате HD 11XE («Philips») с использованием линейного датчика 12,0 Мг. Все артропункции проводились под контролем ультразвукового исследования (УЗИ), одновременно осуществлялась киносъемка изображения на мониторе аппарата УЗИ. Сонографическое исследование всем пациентам проводилось до артропункции, во время процедуры и сразу после нее, а также через неделю для определения стабильности полученных результатов. Кроме того, УЗИ осуществлялось перед применением каппы, после окончания ее применения, а также в качестве контроля ежемесячно в процессе ее ношения. В случаях неэффективности обоих методов лечения (гидравлического прессинга и применения каппы) с целью обеспечения подвижности суставного диска проводилась под общим обезболиванием операция лечебно-диагностической артроскопии ВНЧС по методикам, описанным в монографиях С.П. Сысолятина, П.Г. Сысолятина [10] и Н.Г. Коротких [6].
Результаты
При использовании каппы в течение 3-6 мес у 492 пациентов со смещением суставного диска произошла его репозиция у 277 (56,4%). Это сопровождалось исчезновением болей, восстановлением движений нижней челюсти в полном объеме, прекращением щелканья в суставе.
У многих пациентов эффект применения каппы был недостаточным (22,7%), или его не было совсем (20,9%). Характерно, что у всех этих больных, согласно данным МРТ, до начала лечения определялась вентральная дислокация суставного диска без репозиции, его деформация в виде сжатия и перегиба. Таким пациентам (213 человек) с целью репозиции суставного диска одновременно с использованием каппы применен метод гидравлического прессинга. Перед инъекцией обязательно проводилось УЗИ ВНЧС, и если в суставе обнаруживались признаки обострения хронического воспалительного процесса (рис. 1). Рисунок 1. При УЗИ выявлено снижение эхогенности диска и перифокальный отек прилежащих мягких тканей без четких контуров, что свидетельствует о наличии признаков синовита (пример 1). Рисунок 1. При УЗИ выявлено снижение эхогенности диска и перифокальный отек прилежащих мягких тканей без четких контуров, что свидетельствует о наличии признаков синовита (пример 2).
Артропункция проводилась только после его купирования, так как инъекция и введение раствора в таких случаях были бы дополнительной травмой и это могло негативно повлиять на течение воспалительного процесса в суставе. Обострение хронического воспалительного процесса в суставе при внутренних нарушениях лечится трудно, так как остается причина - постоянная травма смещенной части суставного диска головкой нижней челюсти при ее движениях, хотя пациенты по нашим рекомендациям значительно ограничивали жевательную нагрузку. Для уменьшения болевого синдрома одновременно с применением каппы пациентам назначались нестероидные противовоспалительные средства (НПВС). Учитывая необходимость курсового применения болеутоляющих препаратов, были выбраны НПВС, преимущественно действующие на ЦОГ-2, которые лучше переносятся при курсовом применении. При наличии у пациентов противопоказаний к применению НПВС назначались гомеопатические препараты. Кроме того, в составе комплексного лечения использовались физиотерапевтические процедуры (ультрафонофорез гидрокортизона, магнитотерапия), компрессы с 20% раствором диметилсульфоксида.
При этом наиболее эффективным оказалось одновременное применение комплекса лечебных мероприятий, включающих медикаментозное лечение и физиотерапию.
Хорошие результаты и положительная динамика при применении метода гидравлического прессинга на фоне использования каппы наблюдалась у 78,9% пациентов:
- нормализация положения диска, движение его в полном объеме - 26,3%;
- значительное улучшение положения диска - движение его в полном объеме - 39,9%;
- остается его переднее вправляемое смещение;
- улучшение положения диска, появление небольшой его подвижности, остается - 12,7%;
- невправляемое смещение диска;
- без изменений - 21,1%.
Во время проведения УЗИ на экране монитора во всех случаях хорошо визуализировались головка нижней челюсти, суставной диск, определялось его патологическое положение, измерялась степень смещения диска на всех этапах исследования. Следует отметить, что задние отделы суставного диска и головки нижней челюсти не всегда достаточно хорошо визуализировались, но, поскольку у всех наших пациентов наблюдалось переднее смещение суставного диска, контроль за нормализацией его положения был всегда возможен. После нескольких атропункций у 56 человек положение суставного диска нормализовалось, что подтверждается результатами УЗИ (рис. 2). Рисунок 2. Репозиция суставного диска ВНЧС у пациентов с невправляемым его смещением с помощью метода гидравлического прессинга под контролем УЗИ (пример 1). а — суставной диск смещен кпереди и деформирован. Рисунок 2. Репозиция суставного диска ВНЧС у пациентов с невправляемым его смещением с помощью метода гидравлического прессинга под контролем УЗИ (пример 1). б — после артропункции и гидравлической репозиции: суставной диск расправлен и равномерно распределен над головкой нижней челюсти. Рисунок 2. Репозиция суставного диска ВНЧС у пациентов с невправляемым его смещением с помощью метода гидравлического прессинга под контролем УЗИ (пример 2). а — суставной диск смещен кпереди и деформирован. Рисунок 2. Репозиция суставного диска ВНЧС у пациентов с невправляемым его смещением с помощью метода гидравлического прессинга под контролем УЗИ (пример 2). б — после артропункции и гидравлической репозиции: суставной диск расправлен и равномерно распределен над головкой нижней челюсти.
Клинически репозиция диска сопровождалась прекращением боли, восстановлением движений нижней челюсти в полном объеме. Все пациенты наблюдались у врача ортодонта или стоматолога-ортопеда, и им проводилось по показаниям соответствующее лечение. У 20 пациентов полученный результат закрепился, а у 3 больных случился рецидив смещения суставного диска: в одном случае пациентка без ведома врача прекратила носить лечебную каппу, в другом - длительно находилась в кресле стоматолога с широко открытым ртом во время лечения зубов, в третьем - рецидив произошел без видимых причин. Значительное улучшение в результате применения гидравлического прессинга получено у 85 больных. Пациенты отмечали прекращение болевых ощущений и восстановление объема движений нижней челюсти. Однако при осмотре у них имелась незначительная девиация нижней челюсти при широком открывании рта, а при УЗИ оставалась небольшая передняя дислокация суставного диска. Этим пациентам рекомендовано продолжать лечение у ортодонта или стоматолога-ортопеда с применением каппы. По данным УЗИ и клинически, положительная динамика отмечались у 27 больных. Пациенты отмечали уменьшение боли, увеличение степени открывания рта. Репозиция суставного диска или улучшение его положения в суставе при применении метода гидравлического прессинга, по-видимому, связаны с расширением суставной щели и созданием условий для возвращения смещенной и деформированной части суставного диска, разрушением отдельных спаек внутри сустава, а также с релаксацией латеральной крыловидной мышцы. Кроме того, возможно, жидкость (1% раствор лидокаина гидрохлорида), введенная в нижний отдел сустава, оказывает давление на поверхность диска, что способствует его перемещению. У 45 пациентов при применении гидравлического прессинга положительного результата получено не было. При первом УЗИ определялись смещение суставного диска и его полная неподвижность, при последующих УЗИ с артропункцией наблюдались лишь колебательные движения диска. В таких случаях имеются показания к хирургическому лечению.
В настоящее время наиболее безопасным и косметичным является хирургическое вмешательство в ВНЧС с помощью артроскопа. Показанием для лечебно-диагностической атроскопии явились значительное ограничение открывания рта, наличие болей в области сустава, отсутствие эффекта от консервативного лечения. Лечебно-диагностическая артроскопия проведена 18 пациентам. У всех больных обнаружен процесс склерозирования - были видны множественные фиброзные спайки, фиксирующие суставной диск к поверхности головки нижней челюсти или височной кости. Спайки обнаружены как в нижнем, так и в верхнем отделах сустава, но больше и чаще в нижнем. Надо отметить, что фиброзные спайки не визуализировались при МРТ и УЗИ. С помощью гидравлического воздействия жидкости для промывания полостей сустава (0,9% раствор натрия хлорида) и специальных инструментов обнаруженные спайки разрушены и удалены (рис. 3). Рисунок 3. Лечебно-диагностическая артроскопия. а — фиброзные спайки (1) между головкой нижней челюсти (2) и суставным диском (3). Рисунок 3. Лечебно-диагностическая артроскопия. б — удаление спаек с помощью инструмента (кусачек).
После вмешательства пациенты оставались на сутки под наблюдением врача в стационаре одного дня. В ближайшем послеоперационном периоде назначались антибиотики и обезболивающие средства. У всех оперированных пациентов после артроскопии положение суставного диска нормализовалось, но сразу после операции движения нижней челюсти в полном объеме отмечены только у 4 пациентов, а у остальных потребовались реабилитационное лечение, включающее физиопроцедуры и механотерапию. Косметических дефектов у пациентов после артроскопии не наблюдалось (рис. 4). Рисунок 4. Внешний вид области вмешательства через 36 сут (а)после артроскопии. Рисунок 4. Внешний вид области вмешательства через 60 сут (б) после артроскопии.
Все пациенты после гидравлического прессинга и артроскопии продолжали лечение у ортодонта или стоматолога-ортопеда с применением каппы, а в дальнейшем по показаниям проводилась нормализация окклюзии.

Вниманию специалистов предлагается разработанная нами схема диагностики и лечения пациентов с внутренними нарушениями ВНЧС (см. схему). Схема 1. Схема диагностики и лечения пациентов с внутренними нарушениями ВНЧС.
Лечение пациентов по изложенному алгоритму, несмотря на ограниченное число существующих методов репозиции суставного диска, показало более широкие возможности стоматологов в оказании помощи больным с данной патологией.
Выводы
1. Применение метода гидравлического прессинга в комплексном лечении пациентов с внутренними нарушениями ВНЧС даже при невправляемом смещении суставного диска в 78,9% случаев приводит к восстановлению или улучшению функции нижней челюсти и работы ВНЧС.
2. При значительном ограничении открывания рта у пациентов с хроническим вывихом суставного диска перед использованием каппы целесообразно применение метода гидравлического прессинга с целью получения большей подвижности суставного диска. Если эффективность каппы недостаточна, необходимо проведение повторного курса гидравлического прессинга.
3. Артроскопическое вмешательство при хроническом вывихе суставного диска ВНЧС может быть достаточно эффективно лишь при комплексном лечении, включающем применение каппы, метода гидравлического прессинга и механотерапии в послеоперационном периоде.
4. При недостаточном эффекте применения консервативных методов проведение артроскопического хирургического вмешательства при комплексном лечении приводит к восстановлению положения суставного диска и функции сустава.
5. На всех этапах лечения пациентов с внутренними нарушениями ВНЧС при обострениях воспалительного процесса показано применение НПВС.
Направление: диагностика МРТ височно-нижнечелюстных суставов

Височно-нижнечелюстные суставы (ВНЧС) - одни из самых уязвимых суставов, ведь они испытывают постоянные нагрузки при жевании.Чтобы диагностировать нарушения в строении и работе височно-нижнечелюстного сустава, используют МРТ – магнитно-резонансную томографию.
МРТ - один из самых точных и безопасных методов диагностики, позволяющий получить очень четкую картину окружающих ВНЧС связок, мыщц.
Когда рекомендуется сделать МРТ ВНЧС:
- Головная боль (особенно похожая на мигрень)
- Боль в ушах, ощущение заложенности уха
- Боль, давящее ощущение за глазами
- Боль при зевании, жевании и других движениях нижней челюсти в височной области
- Шумы при движении нижней челюсти (щелчки, клацающие звуки)
- Блокирование движений нижней челюсти (заклинивание или «выскакивание» челюстей)
- Боль при попытке дотронуться до жевательных мышц
- Если вы планируете ортодонтическое, ортопедическое лечение или протезирование зубов.
МРТ височно-нижнечелюстных суставов позволяет выявить:
- смещение суставной головки в суставной впадине
- асимметрию формы суставных головок
- изменения формы, размеров, положения суставного диска
- признаки повреждения хряща
- нарушения строения и структуры жевательных мышц.
Магнитно-резонансная томография не требует со стороны пациента специальной подготовки.

Почему в «Скандинавии»
Главное достоинство процедуры томографии в нашей клинике - современные высокопольные томографы с современным программным обеспечением.
Для МРТ височно-нижнечелюстных суставов мы используем томограф SIGNA GE - 1,5 Тл и сверхвысокопольный томограф Discovery 750 W - 3 Tл. Эти аппараты позволяют получить очень точное изображение исследуемой области и помогают врачу правильно поставить диагноз.
Наши преимущества:
- Врачи-радиологи высокой квалификации. Врачи участвуют в международных конференциях и находятся в курсе последних тенденций мировой МРТ/КТ диагностики.
- Полученные в результате МРТ изображения можно записать на носитель - флеш-накопитель или CD-диск.
Как проходит МРТ нижнечелюстного сустава
- Чтобы успеть заполнить документы и побеседовать с врачом, рекомендуется подойти за 15-20 минут до назначенного времени обследования.
- Перед обследованием рентгенлаборант взвешивает пациента, проводит визуальный контроль, проверяет пациента металлоискателем и сопровождает в МР-процедурную.
- Рентгенлаборант перемещает пациента в тоннель томографа. После этого начинается сканирование.
- После окончания сканирования рентгенлаборант помогает пациенту подняться и провожает в кабинку для переодевания.
- После сканирования пациент получает диск или флеш-накопитель с результатами исследования.
Противопоказания
Современные металлоконструкции в большинстве случаев делают из материалов, безопасных для МРТ. Но есть ряд абсолютных противопоказаний – в этом случае проводить МРТ нельзя.
НЕЛЬЗЯ проводить исследования, если у вас есть:
- Кардиостимуляторы. Изменения магнитного поля могут имитировать сердечный ритм и повлиять на работу стимулятора.
- Ферромагнитные или электронные имплантаты среднего уха. Протезы внутреннего уха требуют консультации врача.
- Крупные металлические имплантаты, ферромагнитные осколки после травм и несчастных случаев.
- Кровоостанавливающие клипсы сосудов головного мозга. При процедуре есть риск развития внутримозгового или субарахноидального кровотечения.
МОЖНО проводить исследования, если у вас есть:
Врачи

Егоров Андрей Владиславович
врач мрт, рентгенолог

Костицына Екатерина Александровна

Ярнова Екатерина Александровна

Яковлева Елена Константиновна

Ширяева Елена Владимировна

Халиков Азиз Джауланович

Тотолян Анна Ареговна

Слепак Лариса Вячеславовна
врач мрт, рентгенолог

Савельева Татьяна Вячеславовна

Назинкина Юлия Викторовна
Митрофанов Николай Алексеевич

Магонов Евгений Петрович

Дутова Ирина Николаевна
врач мрт, рентгенолог

Блинова Анна Владимировна

Егоров Андрей Владиславович
врач мрт, рентгенолог

Костицына Екатерина Александровна

Ярнова Екатерина Александровна

Яковлева Елена Константиновна

Ширяева Елена Владимировна

Халиков Азиз Джауланович

Тотолян Анна Ареговна

Слепак Лариса Вячеславовна
врач мрт, рентгенолог

Савельева Татьяна Вячеславовна

Назинкина Юлия Викторовна
Митрофанов Николай Алексеевич

Магонов Евгений Петрович

Дутова Ирина Николаевна
врач мрт, рентгенолог

Блинова Анна Владимировна
Отзывы пациентов
Давно собираюсь написать отзыв, но все руки не доходили, простите. Проходил мрт мой сынок, совсем маленький. Я не помню, к сожалению, как звали врача анестезиолога, но это был первый врач, за 2 месяца ада, которое мы прошли всей семьей в одной из больниц. Врач- анестезиолог Скандинавии оказался настолько отзывчевым человеком и прекрасным внимательным врачем: мало того, что все было проведено на ура по наркозу (вход, выход итд) , так он мне помог и морально это пережить, очень поддержал, и физически помог с малышом. У меня от страха руки ноги тряслись, он это увидел, я думаю, и помог как человек-человеку. Я сколько жива буду- никогда не забуду его доброту - низкий ему поклон, если вспомнит 2-х месячного шунтенка в феврале этого года. Описание мрт, которое было выдано Халиковым Азизом Джаулановичем, мягко говоря, шокировало не одного нейрохирурга. Но только благодаря точности описания- мы поняли что произошло, диагноз сына был изменен, мы смогли выбрать тактику лечения с нейрохирургом, и спать спокойно, зная, что нам делать дальше. Спасибо огромное Вам, за то, что сделали для нашей семьи. Пожалуйста, всегда оставайтесь такими Врачами и Людьми.
Читайте также:
