МРТ тазобедренного сустава в аксиальной проекции в норме
Добавил пользователь Евгений Кузнецов Обновлено: 24.01.2026
а) Вопросы лучевой анатомии:
1. Рекомендации по визуализации:
• При МРТ необходимо:
о Охватывать пространство от подвздошного гребня до малого вертела
о Визуализировать все мышцы; обычно не нужно покрывать расстояние от кожи до кожи во всех трех плоскостях
• Целесообразно исследовать всю область таза, даже если назначено выполнение МРТ только тазобедренного сустава:
о Многие центры практикуют скринингтаза во фронтальной плоскости в режиме Т1 с подавлением сигнала от жира:
- Боль в области тазобедренного сустава трудно локализовать и полная визуализация таза зачастую выявляет неожиданные патологические изменения
о Используйте катушку для туловища или для всего тела
• Аксиальные и продольные томограммы часто получают только на стороне поражения:
о Используйте поверхностную катушку:
- В идеальном случае необходимо иметь сканер, где для полного исследования таза используется туловищная катушка
- Замените катушку для туловища на тазобедренную катушку для исследования на стороне поражения
о Позволяет достичь высокого разрешения в зоне наибольшего интереса
о Сагиттальная, аксиальная, фронтальная и косая аксиальная проекции
Первая из 34 аксиальных МР-томограмм таза, представленных сверху вниз. Отчетливо различимы три слоя мышц переднебоковой стенки живота. Поясничная мышца проходит книзу от своего многокомпонентного места прикрепления к позвоночнику. Наиболее верхний отдел подвздошного гребня соответствует уровню межпозвонкового диска L4/L5. Сразу ниже бифуркации аорты. Место соединения парной прямой мышцы живота в центре брюшной стенки посредством прочных фиброзных волокон называется белой линией. Средняя ягодичная мышца начинается выше других ягодичных мышц. Мышца, выпрямляющая позвоночник, представляет собой парный продольный мышечный комплекс, расположенный по задней поверхности позвоночника. Подвздошная мышца начинается широким основанием от глубокой поверхности подвздошной кости. Подвздошные артерия и вена проходят по медиальному краю поясничной мышцы, где артерия лежит кпереди от вены. Запирательный нерв на уровне пограничной линии проходит медиальнее поясничной мышцы. Нервный корешок L5 выходит из неврального отверстия. Подвздошные сосуды проходят вдоль медиальной поверхности поясничной мышцы. Обратите внимание, что подвздошная и поясничная мышцы разделены на большем протяжении своего пути через таз. Большая ягодичная мышца берет начало от наружной поверхности подвздошной кости позади средней ягодичной мышцы. Бедренный нерв проходит в подвздошно-поясничной вырезке. Запирательный нерв проходит позади поясничной мышцы. Поперечная и внутренняя косая мышцы живота имеют общее сухожилие/апоневроз. Наружная косая мышца более структурирована. Обратите внимание, что нервный корешок L5 проходит по передней поверхности крестца. На этом уровне крестцово-подвздошное сочленение представлено связками. Большая ягодичная мышца проходит книзу и кнаружи. В ее верхнем отделе визуализируется только небольшая мышечная порция. Комплекс мышцы, выпрямляющей позвоночник, книзу уменьшается в размере. Теперь визуализируется нервный корешок S2. На этом уровне определяется небольшой синовиальный крестцово-подвздошный сустав, однако большая часть сочленения образована мощными дорзальными связками. Из всех ягодичных мышц, малая имеет наиболее переднее начало. Передняя верхняя подвздошная ость визуализируется в качестве округлого расширения переднего отдела подвздошной кости. Здесь берут начало портняжная мышца и паховая связка. Связка представляет собой нижний край апоневроза наружной косой мышцы живота. Нервный корешок S1 покинул свое отверстие и проходит вниз и кнаружи, в то время как корешок S2 все еще находится в пределах отверстия. Подвздошная и поясничная мышцы более плотно прилежат друг к другу, оставляя, однако, небольшую вырезку между собой, в которой проходит бедренный нерв. Подвздошная и поясничная мышцы на этом срезе плотно прилежат друг к другу, однако подвздошно-поясничная борозда между ними, в которой проходит бедренный нерв, остается хорошо различимой. Подвздошные сосуды разделились надвое. Внутренние подвздошные сосуды проходят кзади, пересекая таз. Крестцово-подвздошное сочленение представлено синовиальным суставом в его наиболее нижнем отделе. Дорзальные крестцово-подвздошные связки визуализируются кзади от синовиального сустава и являются важными стабилизаторами таза. Верхние ягодичные сосуды на этом срезе отделены от внутренних подвздошных сосудов. Наружные подвздошные сосуды сохраняют свое положение вдоль медиальной поверхности поясничной мышцы. Подвздошная и поясничная мышцы имеют собственные точки прикрепления, однако от этого уровня и ниже их называют подвздошно-поясничной мышцей. Запирательный нерв визуализируется по медиальному краю поясничной мышцы кзади от наружных подвздошных сосудов. Верхние ягодичные сосуды покидают полость таза вдоль верхнего края грушевидной мышцы. Внутренняя косая и поперечная мышцы живота здесь расположены медиальнее, чем на более верхних срезах. Такое расположение соответствует их нижнемедиальной направленности. На этом срезе различимы мышечные волокна напрягателя широкой фасции. Задняя нижняя подвздошная ость является ориентиром передне-верхнего края большой седалищной вырезки. Ветви внутренних подвздошных сосудов и нервных корешков крестцового сплетения находятся в сложном взаимоотношении на глубокой поверхности грушевидной мышцы. После того как верхние ягодичные сосуды покидают таз они проходят в жировой ткани под большой ягодичной мышцей. Грушевидная мышца берет начало от крестца, проходит кнаружи через большую седалищную вырезку в сопровождении седалищного нерва по его переднему краю. На этом срезе визуализируется портняжная мышца ниже места своего начала от передней верхней подвздошной ости. Передняя нижняя подвздошная ость расположена непосредственно выше вертлужной впадины. Эта ость является местом начала передней головки прямой мышцы бедра, а подвздошно-бедренная связка берет начало от ее нижнего края. Портняжная мышца расположена кпереди от поясничной мышцы. Сухожилие передней головки прямой мышцы бедра представляет собой узкую структуру, расположенную латеральнее подвздошно-поясничной мышцы. Нижняя часть наиболее медиальной порции поперечной мышцы живота и внутренняя косая мышца живота формируют общее сухожилие. Ниже этого уровня сухожилия неотличимы от прямой мышцы живота. Внутренние половые сосуды расположены кзади от запирательного нерва. Визуализируется крестцово-остистая связка. Она лежит кпереди от крестцово-бугорной связки. Подвздошно-поясничная мышца вплотную прилежит к переднему отделу тазобедренного сустава непосредственно латеральнее бедренных артерии и вены. Седалищный нерв покинул большую седалищную вырезку и лежит позади вертлужной впадины. Паховая связка расположена непосредственно кнаружи от прямой мышцы живота. Как и мышцы, эта структура направлена косо вниз и медиально, поэтому здесь мы можем видеть только ее часть, а более нижний отдел расположен медиальнее. Вдоль глубокой поверхности большой ягодичной мышцы сегментарно визуализируется крестцово-бугорная связка. Вертикальное расположение этой связки означает то, что на аксиальной томограмме она будет визуализироваться лишь сегментами. К этому уровню наружные подвздошные сосуды пересекли паховую связку снизу и стали общими бедренными сосудами. Вена лежит медиальнее артерии, а бедренный нерв—латеральнее от нее. Обратите внимание на резкую перемену направления внутренней запирательной мышцы после ее выхода из таза, когда она огибает задний край вертлужной впадины. Седалищный нерв тесно прилежит к задней поверхности сухожилия внутренней запирательной мышцы и его сложно идентифицировать. Прямые мышцы живота приближаются к месту своего начала на гребне лобковой кости. Обратите внимание на ответвления сухожилия прямой мышцы живота вдоль передней поверхности лонного сочленения, сливающиеся с приводящим апоневрозом, который непрерывно связан с началом длинной приводящей мышцы. На этом срезе визуализируются приводящие мышцы бедра. Наиболее высоко расположена гребенчатая мышца. Внутренняя запирательная мышца в просвете запирательного отверстия полностью закрывает внутреннюю поверхность. Седалищный нерв расположен латеральнее вертлужной впадины и проходит вдоль глубокой поверхности большой ягодичной мышцы.
2. Особенности визуализации:
• Нервы иногда сложно визуализировать:
о Используйте режим Т1 или срезы, взвешенные по протонной плотности для локализации нерва
о Сопоставляйте данные с последовательностями, чувствительными к жидкости
о Режимы Т1 и протонной плотности помогают отличить сосуд, заполненный жидкостью, от нерва
о Массивные пучки особенно выражены в структуре седалищного нерва:
- Большеберцовый и малоберцовый нервы различимы от начала до бифуркации в подколенной ямке
• Мышцы сложно дифференцировать в одной единственной плоскости:
о Целесообразно проводить анализ томограмм, полученных в различных плоскостях
о Для точного распознавания необходимо учитывать взаиморасположение мышц
3. Анатомические пространства таза:
• Горизонтальное деление на большой и малый таз
• Большой таз: от подвздошного гребня до пограничной линии:
о Является частью брюшной полости
• Малый таз: от пограничной линии до седалищного бугра
• Большая седалищная вырезка:
о Вогнутость по нижней границе подвздошной кости между ее задненижним краем и седалищной остью
о Крестцово-остистая связка, проходящая по нижней границе вырезки, трансформирует последнюю в большое седалищное отверстие
о Большая часть отверстия занята грушевидной мышцей
о Кверху от грушевидной мышцы проходят верхние ягодичные сосуды и нерв
о Книзу от грушевидной мышцы проходят нижние ягодичные сосуды, внутренние половые сосуды, седалищный нерв, задний кожный нерв бедра, внутренний запирательный нерв и нерв к квадратной мышце бедра
• Малая седалищная вырезка:
о Небольшая вырезка кпереди от седалищной ости
о Крестцово-остистая и крестцово-бугорная связки трансформируют вырезку в малое седалищное отверстие
о Здесь располагаются внутренняя запирательная мышца со своим нервом, а также внутренние половые сосуды и нерв
• Запирательное кольцо/отверстие:
о Костное кольцо сформировано телом лобковой кости, ее верхней и нижней ветвями, а также седалищной костью
о Большая часть отверстия закрыта запирательной мембраной
о Верхнюю часть отверстия запирательная мембрана не покрывает:
- Формирует запирательный канал
- Запирательные артерия, вена и нерв покидают полость таза через запирательный канал
о Внутренняя запирательная мышца берет начало от внутреннего края запирательного кольца и запирательной мембраны
о Наружная запирательная мышца берет начало от наружного края запирательного кольца и запирательной мембраны
• Подпаховое пространство:
о Расположено под паховой связкой
о Содержимое: бедренные сосуды и нерв, подвздошно-поясничная мышца
о Зона расхождения бедренных (каудальнеесвязки) и наружных подвздошных (краниальнее связки) сосудов
б) Клиническое применение. Клиническая значимость:
• Таз служит переходом между туловищем и нижними конечностями
• Патология поясничного отдела позвоночника часто ошибочно расценивается как патология таза и наоборот
• При повторной МРТ таза уделяйте внимание и включайте в исследование поясничный отдел позвоночника и брюшную стенку
• Патологические изменения крестцово-подвздошного сочленения могут проявляться болью в спине или бедре:
о Артрозу подвержен синовиальный отдел:
- В первую очередь нижний отдел сустава
- Небольшой синовиальный заворот в передне-верхний отдел сустава
о Крестцово-подвздошное сочленение нестабильно при травматическом разрыве:
- Часто также наблюдается разрыв подвздошно-поясничной связки
• Ишиалгия чаще развивается на фоне синдрома грушевидной мышцы, чем при патологических изменениях межпозвонкового диска:
о Может встречаться аномалия прохождения седалищного нерва через грушевидную мышцу
о Грушевидная мышца может иметь удвоенное мышечное брюшко
о При синдроме грушевидной мышцы сигнал от нее почти всегда нормальный.
МРТ тазобедренного сустава в аксиальной проекции в норме
Аксиальная проекция тазобедренного сустава. Подвздошно-поясничная сумка находится в непосредственной близости к суставу спереди. Связка головки бедренной кости показана в профиль в виде уплощенной структуры. Видны два слоя наружной капсулы: более поверхностные продольные волокна и глубокие циркулярные волокна. Продольный рисунок хорошо демонстрирует вертлужную впадину в виде перевернутой буквы «Y». Подвздошная кость является ножкой, а плечи представлены передней и задней колоннами. Фронтальная проекция: наиболее важные структуры тазобедренного сустава. Отображены продольно ориентированные волокна связок наружного слоя капсулы и более глубокие циркулярные волокна круговой зоны. Обратите внимание на длинную ось связки головки бедренной кости и место ее прикрепления к поперечной связке. Ямка вертлужной впадины выполнена жировой подушкой.
1. Рекомендации по визуализации:
• Поверхностная катушка на исследуемый сустав:
о Зона визуализации: 14-20 см
о Толщина среза: 3-5 мм
о Аксиальная проекция:
- От надвертлужной области до малого вертела о Косая аксиальная проекция:
- Ориентирована по оси шейки бедренной кости
- Охватывает вертлужную впадину и шейку бедренной кости
- Впервые предложена для оценки угла а при бедренно-вертлужном импиджменте
- Также представляет ценность для выявления разрывов вертлужной губы
о Продольная проекция:
- От средней линии таза до латерального края мышц
- Часто позволяет наилучшим образом визуализировать повреждения вертлужной губы и ее отрывы
о Фронтальная проекция:
- Охватывает все мышцы
• В исследование тазобедренного сустава следует включать томограммы таза с полной зоной визуализации во фронтальной проекции в режиме Т1 с подавлением сигнала от жира:
о Причиной боли в тазобедренном суставе часто могут служить патологические изменения за его пределами
о Зона визуализации: 32-44 мм
о Толщина среза: 4-6 мм
• Также представляют ценность срезы, выполненные через мыщелки бедра в катушке для тела:
о Позволяют определить величину антеверзии бедренной кости
2. Сложности визуализации:
• Может иметь место врожденное отсутствие вертлужной губы
• Борозды, расположенные глубже губы, могут имитировать разрыв:
о Могут встречаться в любом положении
о Гладкие параллельные края в противоположность фестончатым неровным контурам при разрыве
• Борозда между губой и капсулой может имитировать разрыв
• Дегенеративные изменения вертлужной губы, встречающиеся почти у всех, не следует расценивать в качестве признаков разрыва
• Большая часть разрывов губы происходит в передне-верхнем квадранте:
о Эффект частичного объема на фронтальных томограммах может имитировать или скрывать разрывы
о Разрывы наилучшим образом отображаются в продольных или косых аксиальных проекциях
Представлена первая из девяти аксиальных Т1 -взвешенных МР-томограмм левого тазобедренного сустава. Запирательный нерв лежит поверх внутренней запирательной мышцы. Седалищный нерв покидает таз через большую седалищную вырезку. Сухожилие поясничной мышцы визуализируется в виде отчетливой структуры с сигналом низкой интенсивности у заднего края подвздошно-поясничной мышцы. У места своего начала от передней нижней подвздошной ости визуализируется передняя головка прямой мышцы бедра. Визуализируются сухожилия обеих головок прямой мышцы бедра. Подвздошно-поясничная мышца лежит медиальнее прямой мышцы бедра, а портняжная мышца пересекает ее по диагонали. Седалищный нерв после выхода из таза идет косо и на аксиальных срезах имеет овальную форму. На этой томограмме визуализируется слияние передней и задней головок прямой мышцы бедра. Медиальные сосуды, огибающие бедренную кость, оборачиваются вокруг заднего края большого вертела и кровоснабжают проксимальный отдел бедренной кости. Визуализируется внутренняя запирательная мышца, идущая от медиальной поверхности вертлужной впадины, огибающая под острым углом седалищную кость и проходящая в передне-наружном направлении к месту своего прикрепления в грушевидной ямке. Сухожилия малой и средней ягодичных мышц достигают места своего прикрепления к большому вертелу. Сухожилие поясничной мышцы представляет собой отчетливую структуру у заднемедиального края подвздошно-поясничной мышцы. Сухожилие полуперепончатой мышцы начинается кпереди от общего сухожилия полусухожильной и двуглавой мышц бедра. Лучше всего, по-видимому, рассматривать большую приводящую мышцу как две отдельные мышцы. Показанная здесь верхняя порция имеет близкую к горизонтальной направленность, иногда называется малой приводящей мышцей и приводит бедро. Более вертикально направленная порция визуализируется здесь начинающейся от седалищного бугра. Она имеет многочисленные точки прикрепления к диафизу бедренной кости и небольшую вертикально ориентированную порцию, прикрепляющуюся к приводящему бугорку медиального мыщелка бедренной кости. Первая из трех отобранных косых аксиальных МР-томограмм правого тазобедренного сустава в режиме Т1. Косая аксиальная плоскость наклонена вдоль оси шейки бедренной кости и может использоваться при определении признаков бедренно-вертлужного импиджмента. Косая проекция также полезна при оценке мышц. Круговая зона представляет собой утолщение и относительное сужение капсулы сустава. Капсула прикрепляется у основания шейки бедренной кости по межвертельной линии. Капсула сустава усилена подвздошно-бедренной, лонно-бедренной и седалищно-бедренной связками. Этот срез получен через нижний край ямки головки бедренной кости. Передняя и задняя части вертлужной губы визуализируются в виде треугольников с сигналом низкой интенсивности, которые углубляют вертлужную впадину.
б) Клиническое применение:
1. Клиническая значимость:
• Вариативность анатомии может способствовать развитию многочисленных импиджмент-синдромов в области тазобедренного сустава:
• Бедренно-вертлужный импиджмент (БВИ):
о «Pincer»-импиджмент: чрезмерное покрытие вертлужной впадиной может быть общим или локальным
- Оценивайте общее чрезмерное покрытие на фронтальных и продольных томограммах
- Оценивайте ретроверзию верхнего края на аксиальных срезах, полученных на вершине головки бедренной кости
о «Cam»-импиджмент: выпуклость в области головчато-шеечного перехода бедренной кости
- Наилучшим образом может отображаться на косых аксиальных срезах, полученных по ходу шейки бедренной кости
- Или в продольных проекциях
о Последствия БВИ:
- Разрыв вертлужной губы
- Утрата хряща около вертлужной губы
- Фиброзно-кистозные изменения в переднем отделе головки бедренной кости
- Преждевременное развитие остеоартроза
• Седалищно-бедренный импиджмент:
о Импиджмент квадратной мышцы бедра между седалищной костью и малым вертелом
о Чаще у женщин
о Определение величины пространства менее важно, чем наличие патологического сигнала от мышцы в режимах, чувствительных к жидкости
о Часто наблюдается связь с предыдущей травмой, гипертрофией седалищной кости или положением при тотальном эндопротезировании тазобедренного сустава
• Импиджмент поясничной мышцы:
о Импиджмент поясничной мышцы при сгибании и внутренней ротации
о Мышца, как правило, имеет нормальные структуру и интенсивность сигнала при МРТ
о Предполагается при наличии разрыва вертлужной губы в передне-среднем отделе
2. Сумки тазобедренного сустава:
• Подвздошно-поясничная сумка:
о Под мышцей
о Центрирована на переднюю стенку вертлужной впадины о Редко увеличена на МР-томограммах
о Инъекции могут облегчить проявления импиджмента поясничной мышцы
• Сумка большого вертела:
о Между средней и большой ягодичными мышцами о Клинический диагноз «бурсит» часто некорректен
о Боль в этой области часто возникает в результате тендинопатии или разрыва ягодичных мышц
• Наружная запирательная сумка:
о Синовиальное выпячивание заднего отдела бедренного сустава
о Между седалищно-бедренной связкой и круговой зоной
о Глубже наружной запирательной мышцы
• Средняя подъягодичная сумка:
о Глубже сухожилия средней ягодичной мышцы у места его прикрепления
• Малая подъягодичная сумка
о Глубже сухожилия малой ягодичной мышцы у места его прикрепления
в) Список литературы:
1. Kassarjian A et al: Obturator externus bursa: prevalence of communication with the hip joint and associated intra-articular findings in 200 consecutive hip MR arthrograms. Eur Radiol. 19(11):2779—82, 2009
2. Woodley SJ et al: Morphology of the bursae associated with the greater trochanter of the femur. J Bone Joint Surg Am. 90(2):284-94, 2008
3. Pfirrmann CW et al: Greater trochanter of the hip: attachment of the abductor mechanism and a complex of three bursae-MR imaging and MR bursography in cadavers and MR imaging in asymptomatic volunteers. Radiology. 221(2):469-77,2001.
Что показывает МРТ тазобедренного сустава
Обследование тазобедренных суставов с помощью МРТ — одно из наиболее распространенных исследований, которое применяется при травмах, болевом синдроме, врожденных и приобретенных дефектах опорно-двигательного аппарата. Метод диагностики позволяет детально рассмотреть костные структуры и мягкие ткани, выявить даже незначительные нарушения, в том числе те, которые долгое время протекают практически бессимптомно.
Заболевания тазобедренного сустава, что выявляет МРТ?
Проводят МРТ тазобедренного сустава по показаниям и с профилактической целью. Исследование безопасно, имеет повышенную информативность. Может применяться со второго триместра беременности (без контраста).
Процедуру МРТ тазобедренного сустава проводят при наличии следующих заболеваний:
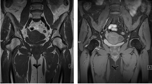
Артриты, артрозы. Эта большая группа патологий связана с разными причинными факторами (воспаление, травма, инфекционное поражение, реакция иммунной системы) и требует детального изучения поврежденных хрящевых структур. С помощью МРТ можно поставить точный диагноз, разработать индивидуальную схему лечения, оценить ее эффективность.

Рисунки 1,2. МР-картина артроза тазобедренных суставов с наличием отека костного мозга дистрофического характера в верхне-наружных отделах вертлужной впадины справа
Болезнь Рейтера. Это заболевание ревматического характера, которое сопровождается поражением урогенитального тракта, суставов и тканей глаза. Болезнь провоцируют хламидии.
Болезнь Бехтерева. Это тяжелое аутоиммунное заболевание может вызывать поражение тазобедренного сустава, патологическое сужение суставной щели, появление выраженной скованности и двигательных ограничений. Определенные изменения на симках позволяют заподозрить развитие патологии и определить антитела в крови больного человека.
Суставная дисплазия. Болезнь дебютирует преимущественно в раннем детстве, имеет врожденный характер. На МРТ специалисты выявляют характерные изменения в области расположения суставных структур.
Ревматоидный артрит. Нарушение сопровождается эрозивно-деструктивными изменениями суставов с прогрессированием деформирующего процесса и ограничением физической активности. В основе болезни лежат аутоиммунные реакции, возникающие в ответ на действие неизвестных факторов. Ревматолог знает, что показывает МРТ тазобедренного сустава при ревматоидных поражениях и может легко дифференцировать патологию.
Системная красная волчанка. Аутоиммунное заболевание, которое вызывает симметричное поражение крупных суставов, в том числе тазобедренных, сильные боли и поражение внутренних органов.
Ушибы, вывихи, растяжение связок, переломы. МРТ при травматическом повреждении применяется при необходимости уточнить состояние тканей после проведении рентгенографии или КТ.

Гемартроз. При этом нарушении происходит кровоизлияние в сустав. Он становится более объемным, в нем происходят характерные изменения, хорошо заметные на МРТ.
Теносиновит. Происходит острое воспаление сухожильных тканей, синовиальной оболочки. Внутри сустава накапливается жидкость. Характерные изменения заметны в процессе проведения диагностики.
Остеомиелит и его осложнения. Происходит гнойное поражение тканей сустава. Без лечения болезнь приводит к некрозу головки бедра.
Новообразования. МРТ выявляет даже небольшие опухоли, позволяет дать более точную структуру образования. С помощью исследования можно обнаружить все стадии злокачественного процесса, определить метастазы.
При наличии патологий с хроническим течением МРТ рекомендуется проводить 1-2 раза в год, чтобы контролировать ход течения болезни, предупреждать осложнения и вовремя корректировать лечение. Также исследование назначают после проведения эндопротезирования и других оперативных вмешательств. Результаты процедуры активно применяются при составления плана хирургического вмешательства, разработки реабилитационной программы.
Рекомендуется исследовать оба сустава. Так можно получить больше полезной информации о состоянии тканей. Это правило особенно актуально при системных заболеваниях.
Тазобедренный сустав состоит из бедренной кости и костей таза. Вертлужная впадина «захватывает» головку бедра, которая покрыта эластичной хрящевой тканью.. Технически строение вертлужной впадины похоже на шарнир, состоящий из разных костно-хрящевых элементов. Зная правильную анатомию сустава, можно с помощью МРТ выявить даже незначительные изменения.
МРТ, КТ, УЗИ или снимок рентгена тазобедренных суставов?
Заболевания тазобедренных суставов требуют проведения комплексной диагностики. Рекомендуется исследовать сухожилия и связки, костные структуры с помощью нескольких исследований. Каждый метод имеет свои особенности и его можно сравнить с возможностями МРТ-диагностики.
МРТ или рентген?
Рентгенография более информативна при необходимости исследовать костные структуры, травмы, переломы. При патологиях суставов и позвоночника необходимо исследовать мягкие ткани и костные структуры комплексно. Этот способ позволяет дифференцировать заболевание, подбирать подходящую терапию, делать прогноз на будущее.
МРТ или КТ?
КТ информативнее при костных патологиях, когда нужно оценить степень поражения кости, обнаружить остеофиты, сужение суставной щели. Также исследование применяется при травмах любого характера. МРТ применяют для оценки состояния всех мягких тканей тазобедренного сустава — как костей, так и мягких тканей. Особое внимание специалисты уделяют головке бедренной кости, которая считается наиболее уязвимым местом.

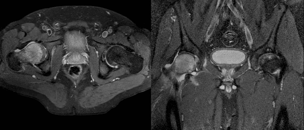
Рисунок 3. МРТ тазобедренных суставов в косо-аксиальной плоскости.
Суставной хрящ головки бедренной кости и правой вертлужной впадины с обеих сторон однородной структуры, неравномерной толщины, целость его не нарушена. Головка бедренной кости сферичная, шейка не укорочена, не утолщена.
МРТ или УЗИ?
УЗИ применяется для оценки состояния внесуставных тканей, связочного аппарата. Ультразвук применяют преимущественно при подозрении на дисплазию и повреждения мягких тканей.
Подготовка к магнитно-резонансной томографии
Подготовка к МРТ тазобедренного сустава подготовка зависит от того, будет ли врач проводить диагностику с контрастным усилением или нет. Об этом стоит уточнять у специалиста заранее. Обычно он подробно рассказывает о применяемом методе, касаясь подготовительных мероприятий.
Если контрастный препарат будет применяться, то до исследования нельзя 2 часа ничего есть. Воду пить разрешается. Если вы на постоянной основе принимаете лекарственные средства, сообщите об этом заранее диагносту и своему лечащему врачу. Перед обследованием необходимо снять украшения, часы, положить отдельно гаджеты. При сильном волнении разрешается принять седативный препарат по разрешению врача.

Важные особенности диагностики:
на обследование рекомендуется приходить в удобной одежде, которая не стесняет движения, позволяет спокойно дышать;
помните о необходимости снимать металлические элементы с одежды, все украшения;
при наличии вопросов, касающихся проведения и подготовки к процедуре задавайте их заранее — за несколько дней до сканирования;
при клаустрофобии требуется седация или исследование проводят в томографе открытого типа;
вы можете использовать беруши, наушники, чтобы избавиться от дискомфорта, связанного со звуком работающего томографа.
Врач подробно расскажет о правилах проведения обследования, важности сохранения неподвижности. Определенные сложности возникают при диагностике, проводимой в детском возрасте и у пациентов с возрастными изменениями, прогрессирующей деменцией или психическими отклонениями. Индивидуально может быть рассмотрен вопрос применения легкой седации для сохранения неподвижности пациента на протяжении всей процедуры.
Противопоказания
Диагностику проводят только после отсутствия состояний и жалоб, которые относятся к противопоказаниям. Пациента осматривает специалист и решает, есть ли основания для проведения обследования.
Запрещена диагностика в следующих случаях:
наличие в тканях организма сплавов металлов, способных нагреваться под действием магнитного поля аппарата МРТ;
индивидуальная непереносимость контрастного вещества;
тяжелая почечная недостаточность (при контрастном усилении);
наличие помп, кардиостимуляторов, других имплантируемых внутрь организма устройств;
татуировки с применением металлических компонентов;
первый триместр беременности.
Исследование можно проводить при наличии конструкций, выполненных с применением титана. Уточнить информацию о составе протеза можно у его производителя. Данные нередко указываются в договоре, заключенном с клиникой, а также в другой медицинской документации.
Как делают МРТ тазобедренного сустава с контрастом?
Контрастные вещества заполняют сосуды после внутривенного введения. Патологические образования имеют выраженную кровеносную сеть. При этом сосуды расположены атипично. Поэтому на МР-исследовании заметны даже опухоли в начальной стадии роста. Удается диагностировать новообразования небольшого размера.
МР-контрастные препараты склонны накапливаться в зонах с интенсивным кровоснабжением (в злокачественных новообразованиях), благодаря чему они позволяют обнаруживать самые мельчайшие опухоли, кровоизлияния или кисты.
Контраст используют при отсутствии серьезных проблем с почками. Предварительно рекомендуется сдать кровь на креатинин. Так как проводится МРТ тазобедренного сустава с контрастным усилением для получения четких очертаний патологических очагов, то главным показанием для диагностики является злокачественная опухоль или подозрение на ее наличие.
Применяемый препарат усиливает четкость изображений, позволяет определить точное положение новообразования и другие особенности, важные для дифференциальной диагностики. Контраст вводят внутривенно после проведения стандартных протоколов.
Сколько по времени делается МРТ бедра?
В среднем исследование продолжается 30-40 минут. Продолжительность зависит от особенностей обследования и конкретной зоны сканирования. Диагностика с контрастом длится дольше, так как врач сначала проводит стандартную процедуру, а затем уже — с контрастным усилением.
Расшифровка фото снимков доктором
Пациенту сложно самостоятельно разобраться в результатах исследования. Профессиональный диагност расшифровывает снимки и делает подробное описание. Перед исследованием врач объясняет, как делают МРТ тазобедренного сустава и что это за метод диагностики.

Метод дает возможность определить внутрисуставной выпот, характерный для инфекционных, воспалительных и аутоиммунных патологий, а также участки с изменением МР-сигнала. После получения заключения и самих снимков необходимо обратиться к лечащему врачу. Это особенно актуально для пациентов, которые получают неудовлетворительные результаты МРТ-исследования.
В норме на МРТ при расшифровке врач получает следующие сведения:
костная ткань однородная, отсутствуют признаки дистрофии;
равномерные суставные щели;
отсутствует субхондральный склероз суставных поверхностей;
капсула сустава не утолщена, присутствует незначительное количество синовиальной жидкости и при этом МР-сигнал от нее должен быть однородным;
связки не повреждены;
вертлужные впадины не изменена;
хрящ не истончен;
отсутствуют очаговые поражения костных структур и краевые костные заострения;
мягкие ткани не повреждены и не изменены.
После получения результатов диагностики вы можете сразу записаться на прием к лечащему врачу. На основании исследования специалист поставит точный диагноз и будет подбирать подходящую схему терапии.
МРТ в основном направлено на изучение мягкотканных структур, преимущественно хрящевых. В тазобедренном суставе эластиновые и коллагеновые волокна так сочетаются, что образуют одновременно жесткий и упругий хрящ. Он выдерживает повышенные нагрузки, характеризуется устойчивостью к негативным внешним и внутренним факторам. Фиброзные волокна ограничивают полость сустава. Они очень прочные, защищают от серьезных повреждений мягкие ткани.
Можно ли делать МРТ с эндопротезом тазобедренного сустава?
В медицинской практике нередки случаи, когда проводится замена той или иной части тела на металлический имплантат. Эндопротезирование тазобедренного сустава является наиболее распространённой процедурой. При этом возникает вполне резонный вопрос: можно ли делать МРТ с эндопротезом тазобедренного сустава при необходимости исследования его состояния или состояния внутренних органов?
Что собой представляет МРТ тазобедренного сустава?
Магнитно-резонансная томография – это комплексная диагностика определённой части тела, проводимая с целью обнаружения патологий. Проводится данная процедура только при наличии у пациента соответствующих показаний. Например, человек начинает ощущать боль, а определение её причин при помощи анализов оказывается нерезультативным. Кроме того, МРТ – самая безопасная не инвазивная методика исследования, которая позволяет получить самую полную информацию об исследуемой части тела. Важно и то, что при проведении МРТ не выделяется радиоактивное рентгеновское излучение.
МРТ с эндопротезом тазобедренного сустава
Магнитно-резонансная томография – это комплексная диагностика определённой части тела, проводимая с целью обнаружения патологий. Проводится данная процедура только при наличии у пациента соответствующих показаний. Например, человек начинает ощущать боль, а определение её причин при помощи анализов оказывается нерезультативным. Кроме того, МРТ – самая безопасная не инвазивная методика исследования, которая позволяет получить самую полную информацию об исследуемой части тела. Важно и то, что при проведении МРТ не выделяется радиоактивное рентгеновское излучение. Следует упомянуть, что МРТ противопоказано к проведению пациентам, у которых ранее были установлены металлические имплантаты или протезы. В принципе, провести МРТ с эндопротезом тазобедренного сустава возможно. Важно помнить, что металл под воздействием магнитного излучения будет влиять на результат исследования. Картина получится несколько искажённой, а значит, будет очень сложно оценить состояние обследуемого органа. Именно поэтому МРТ тазобедренного сустава не проводится при наличии протеза. Но есть исключения. В соответствии с законодательным регламентом, для эндопротезирования могут применяться металлические имплантаты, соответствующие ряду требований.
К числу таких требований можно отнести:
- Инертность используемого металла;
- Прохождение соответствующей сертификации;
- Использование при изготовлении протезов только тех металлов, которые не магнитятся и, соответственно, никак не влияют на полученный результат.
Можно ли делать МРТ с эндопротезом тазобедренного сустава?
Исходя из вышесказанного, можно утверждать, что проводить диагностику сустава с сертифицированными имплантатами, которые соответствуют всем требованиям, вполне возможно. Обследование пациента с эндопротезами из таких металлов – процесс абсолютно безопасный для здоровья. К тому же, результаты, полученные в ходе диагностики, будут максимально точными. МРТ тазобедренного сустава может проводиться при использовании специальных программ настройки томографа. Это необходимо для минимизации вероятных искажений результата. Чаще всего специалисты пользуются программой MARS. Она идеально справляется с удалением искажений при исследовании костных и мягких тканей непосредственно в области расположения эндопротеза. Если же протеза у пациента нет, нужно обязательно проинформировать врача об этом.
Итак, имеются ли противопоказания к проведению диагностики при наличии металлопротезов?
Если возникает подозрение на неточность полученных результатов, это не всегда бывает связано с присутствием металлической пластины в организме пациента. Если установлен эндопротез тазобедренного сустав, а МРТ проводится в области позвоночника, то никакого негативного влияния на исход диагностики не будет. Ведь при воздействии магнитного поля на область позвоночника коленный сустав с установленным имплантатом никак не затрагивается. Если всё же есть сомнения в точности результата, скорее всего, это связано с тем, что пациент не смог смирно лежать. Процедура эта занимает некоторое время, в течение которого обследуемому запрещается производить какие-либо телодвижения.
Что нужно учесть при МРТ с эндопротезом тазобедренного сустава?
При ответе на вопрос, возможна ли магнитно-резонансная диагностика с эндопротезом, прежде всего, нужно учесть два фактора: где расположен протез и какая часть тела будет исследоваться. По мнению большинства пациентов, металл может намагничиваться к стенкам томографа. На самом деле металлическая пластина под воздействием магнитного поля лишь немного нагревается, тем самым вызывая небольшой дискомфорт. Но не более того. Если у пациента был установлен титановый имплантат, переживать вообще не приходится. Этот металл никак не взаимодействует с магнитным полем и не влияет на достоверность результата. Таким образом, можно сделать следующий вывод. МРТ с эндопротезом тазобедренного сустава можно проводить только в случае соответствия металла вышеперечисленным требованиям. Однако специалист оставляет за собой право принимать решение в каждом конкретном случае. Тут Вы можете ознакомиться с ценами на наши услуги.
У этого пациента можно выделить две особенности. Правый поперечный отросток L5 увеличен и сочленяется с S1. Здесь также визуализируется добавочный крестцово-подвздошный сустав. Этот сустав обычно проходит от латерального края неврального отверстия S2 к области, расположенной непосредственно под задней верхней подвздошной остью. Однако в данном случае сустав расположен на уровне S1. Фронтальная Т2 взвешенная МР-томограмма: добавочный крестцово-подвздошный сустав с неровным контуром. Часто определяется остеоартроз ассимилирующего сустава. Визуализируется подвздошно-поясничная связка, которая обычно проходит от поперечного отростка L5 к подвздошной кости и является вторичным индикатором спинального уровня. Передне-задняя рентгенограмма таза: признаки конденсирующего остеита подвздошной кости в виде склероза крестцово-подвздошного сочленения с подвздошной стороны, развившегося на фоне неоднократных родов. Суставной кортекс не изменен. Здесь также отмечается околосуставная борозда, еще один вариант нормы. Визуализируются двухсторонние крупные околосуставные борозды. Они могут быть как двух-, так и односторонние. От эрозии этот вариант нормы отличается склеротичным краем, а также нормальным видом крестцово-подвздошного сустава. Нормальная кость, примыкающая к борозде, может формировать ложный остеофит, который иногда ошибочно расценивают как проявление остеоартроза. Передне-задняя рентгенограмма: двухсторонние возвышенности лонных бугорков—-место прикрепления паховой связки. Лобковая ость представляет собой выстоящий гребень, который проходит от лонного бугорка медиально. Оссификация фасции пограничной линии часто встречается у пожилых людей и является проявлением фиксирующего гиперостоза, который путают иногда с периостальной реакцией на фоне стрессовых переломов. Также, обычно, имеют место другие проявления фиксирующего гиперостоза в виде оссификации области начала сухожилий мышц задней поверхности бедра и места прикрепления средней ягодичной мышцы, которые визуализируются в данном случае. Продольная Т1 взвешенная МР-артрограмма с подавлением сигнала от жира: верхняя вырезка вертлужной впадины, покрытая хрящом. Размер вырезки может варьировать; сама вырезка может быть выполнена хрящом или представляет собой участок, непокрытый хрящом. Фронтальная Т2 FS взвешенная МР-артрограмма: верхняя вырезка вертлужной впадины, не имеющая хряща и заполненная контрастным веществом. Звездчатая борозда распространяется кверху от вырезки. Иногда выявляется складка, как в этом случае, которая проходит от вырезки к жировой подушке. Гребенчато-ямочная складка является вариантом нормы. Фронтальная Т1 FS взвешенная МР-артрограмма: верхняя вырезка вертлужной впадины/звездчатая борозда с фокальным дефектом покрывающего хряща (предоставлено Р. Tirman). Os acetabuli всегда располагается у передне-наружного края свода вертлужной впадины. Не существует четких критериев, по которым ее можно отличить от несросшихся переломов; вспомогательным признаком является округлый контур. Вертлужная губа также может подвергаться оссификации. Округлый контур os acetabuli хорошо различим на этой фронтальной КТ-артрограмме и помогает отличить сесамовидную кость от несросшегося перелома края вертлужной впадины. Подгубная борозда является часто встречающимся вариантом нормы и может наблюдаться в любом квадранте. Обратите внимание, что жировая подушка выполняет большую часть ямки вертлужной впадины, однако сверху имеется небольшой заворот, который в норме при артрографии заполняется контрастным веществом. Этот подгубный заворот довольно крупный, однако наличие гладких и параллельных краев позволяет отличить его от разрыва вертлужной губы. У этого пациента с умеренно выраженными признаками дисплазии тазобедренного сустава вертлужная губа увеличена (лимб вертлужной губы) и испытывает повышенную осевую нагрузку. Губно-капсульная борозда является вариантом нормы и растянута при артрографии. Седалищный нерв расщеплен, а одна из его порций проходит между порциями удвоенной грушевидной мышцы. У этого пациента удвоение грушевидной мышцы двустороннее, однако встречается и односторонний вариант. Расщепленный седалищный нерв воссоединяется дистальнее грушевидной мышцы. Оба компонента седалищного нерва—большеберцовый и малоберцовый, хорошо различимы на всем протяжении во всех случаях. Визуализируются две части грушевидной мышцы. Седалищный нерв расщеплен. Одна его порция проходит между частями грушевидной мышцы, вторая—кпереди от грушевидной мышцы. Такой вариант строения может служить причиной импиджмента седалищного нерва. Центры оссификации у девушки 17 лет. В этом возрасте апофиз подвздошной кости покрывает крыло подвздошной кости целиком. Обратите внимание на его двудольчатость, что является основным вариантом нормы и служит возможным объяснением частого нераспознавания отрывных повреждений апофиза. Аксиальная томограмма: добавочные центры оссификации лобковой кости. Центры часто расположены асимметрично, как в данном случае. Волнистость костного контура в области лонного сочленения кзади от центра оссификации является вариантом нормы в молодом возрасте. Асимметрия оссификации седалищно-лонного синхондроза у девочки семи лет. Такой вариант нормы иногда ошибочно принимается за перелом или опухоль. Также обратите внимание на умеренно неравномерный контур лобковой кости в области сочленения, что является вариантом нормы до созревания скелета.
а) Лучевая анатомия:
1. Варианты строения костей:
• Переходный пояснично-крестцовый позвонок:
о У большинства людей 12 грудных, пять поясничных и пять крестцовых позвонков
о Может встречаться переходный пояснично-крестцовый позвонок с четырьмя, пятью или шестью поясничными позвонками
о Переходный позвонок имеет признаки как поясничного, так и крестцового позвонков:
- Поперечный отросток может быть увеличенным и сочленяться с крестцом (ассимилирующий сустав) или
- Увеличенный поперечный отросток может срастаться с крестцом
- Может встречаться односторонний или двусторонний вариант
- Может являться источником боли (синдром Бертолотти [Bertolotti])
- Присутствует у 4,6% пациентов с болью в нижней части спины, 11,4% пациентов-моложе 30 лет
• Добавочный крестцово-подвздошный сустав:
о Часто встречающийся вариант
о Обычно проходит от неврального отверстия S2 почти горизонтально по отношению к латеральному краю крестца
• Коденсирующий остеит подвздошной кости:
о Признаки склероза определяются только на подвздошной стороне сустава
о Связан с множественными родами
о Бессимптомный
• Околосуставная ямка (борозда):
о Кортикальное вдавление, примыкающее к крестцово-подвздошному суставу, обычно наблюдающееся у женщин
о Не следует путать с эрозией
о Может быть связана с наличием выступающей верхней ягодичной артерии
• Верхняя вырезка вертлужной впадины:
о Также называется надвертлужной ямкой, ложно-хрящевым дефектом
о Вырезка располагается в центральном верхнем отделе вертлужной впадины
о Может быть заполнена хрящом
о Присутствует в 10% тазобедренных суставов
о От вырезки к жировой подушке может проходить складка
• Звездчатая борозда/дефект:
о Линейный дефект, распространяющийся глубже верхней вырезки вертлужной впадины
о Термин также используется для обозначения рудиментарного дефекта в позиции верхней вырезки вертлужной впадины
• Os acetabuli:
о Несросшийся вторичный центр оссификации
о Может имитироваться усталостным переломом у пациентов с дисплазией тазобедренного сустава или бедренно-вертлужным импиджментом
о Может имитироваться оссификацией вертлужной губы
• Cam-деформация бедренной кости:
о Уменьшение величины изгиба в области головчато-шеечного перехода
о Может являться предпосылкой для развития бедренно-вертлужного импиджмента
о Также часто может быть бессимптомной
2. Варианты строения мышц и нервов:
• Встречается удвоение грушевидной мышцы (два мышечных брюшка)
• Ассоциируется с аномалией хода седалищного нерва
• Большеберцовый или малоберцовый нерв могут проходить между мышечных брюшек
• Может приводить к развитию ишиалгии/синдрома грушевидной мышцы
3. Варианты строения вертлужной губы:
• В 3% случаев вертлужная губа отсутствует
• В норме вертлужная губа имеет треугольную форму, но может быть и округлой
• Подгубные борозды могут иметь любое расположение: о Чаще всего в верхней части вертлужной губы
о Отличается от разрывов вертлужной губы по гладким параллельным краям
б) Вопросы лучевой анатомии. Особенности визуализации:
• Добавочные центры оссификации:
о Подвздошный гребень, седалищный бугор, передняя нижняя подвздошная ость, передняя верхняя подвздошная ость, лобковая кость
о Оссификация начинается в подростковом возрасте, завершается в раннем взрослом возрасте
о У подростков могут возникать отрывные повреждения
• Ямка вертлужной впадины:
о Экстрасиновиальное углубление в медиальной стенке вертлужной впадины
о Заполнена жировой тканью, которую называют подушкой
о Верхняя часть не заполнена жировой подушкой и обычно заполняется контрастом при артрографии
• Заворот между вертлужной губой и капсулой:
о Наблюдается в норме
о Глубина составляет несколько миллиметров
о Часто растягивается при артрографии
• Подгубный заворот:
о Плавное вдавление между вертлужной губой и гиалиновым хрящом
о Может встречаться в любом месте вертлужной губы
о От фестончатого разрыва отличается плавным контуром
• Дегенеративные изменения вертлужной губы:
о Очень частый возрастной феномен, который не следует путать с разрывом
о Вертлужная губа может быть маленькой, притупленной, неравномерной формы и/или давать разнородный по интенсивности сигнал
• Cam-деформация головки бедренной кости может быть бессимптомной
• Подвздошно-гребенчатая складка может расцениваться как патологическое изменение:
о Нормальная синовиальная складка по нижней поверхности шейки бедренной кости
• Связка головки бедренной кости:
о Может выглядеть дряблой; меняется в зависимости от ротации бедра
• Хрящ головки бедренной кости:
о Тонкий в зоне головчато-шеечного перехода
о Идентификация дефицита хряща может быть затруднена
о Ищите фиброзно-кистозные изменения-вторичный признак хондрального повреждения.
Читайте также:
