Нарушение функций поджелудочной железы
Добавил пользователь Владимир З. Обновлено: 11.12.2025
Поджелудочная железа – орган пищеварительной системы, вырабатывающий пищеварительные ферменты и гормоны, регулирующие белковый, углеводный и жировой обмен. Она расположена в нижнем отделе брюшной полости, за желудком, возле двенадцатиперстной кишки, на уровне І-ІІ поясничных позвонков. Длина органа до 22 см, вес – 70-80 г. Она покрыта тонкой соединительной капсулой, основное вещество под ней разделено на сегменты, между ними есть соединительные тяжи с выводными протоками, сосудами, нервами. Для вывода произведенных пищеварительных ферментов и других веществ имеет главный и добавочный проток.
Если нормальное функционирование поджелудочной железы нарушается, в ней развивается воспалительный процесс. Группа заболеваний, для которых характерно воспаление в тканях этого органа, нарушение его работы называется панкреатитом. Воспаление поджелудочной железы – опасное заболевание, сопровождающееся сильной болью, нарушением работы пищеварительной и эндокринной системы. Если человек своевременно не получает медицинской помощи, возможно развитие осложнений, вплоть до летального исхода.
Как лечить воспаление поджелудочной железы
Обнаружив у себя симптомы заболевания поджелудочной железы, обращайтесь к врачу. Он выявит причины заболевания и назначит медикаментозное лечение, диету. Если воспалительный процесс вызван закупоркой выводных протоков, для спасения жизни пациента может потребоваться срочное оперативное вмешательство.
Пациентов с острой формой панкреатита госпитализируют в стационар, где врачи постоянно контролируют их состояние, изменение показателей в общем и биохимическом анализах крови, анализах мочи.
Чтобы организм человека победил заболевание, недостаточно медикаментозного лечения. Для успешного выздоровления, или снятия приступов при хроническом течении заболевания нужен холод, голод и покой. Пациенту полезен постельный режим. В первые три дня рекомендуется полный отказ от пищи, питательные вещества вводятся внутривенно. Для снятия болевых симптомов на живот кладется холодный компресс.
Причины заболевания
Воспалительные процессы в поджелудочной железе могут возникать:
- из-за злоупотребления спиртными напитками – наиболее распространенная причина заболевания у мужчин;
- после травм живота, операций, когда были повреждены ткани или протоки этого органа;
- из-за неправильного питания – воспаление может развиваться, если в рационе человека преобладает фаст-фуд, жирные, острые, копченые, жареные блюда;
- при желчнокаменной болезни – у женщин она развивается в 3-5 раз чаще, чем у мужчин, и желчные конкременты могут закупоривать протоки, из-за чего нарушается отток пищеварительных ферментов и они начинают переваривать ткани железы;
- из-за нарушенного обмена веществ при ожирении, сахарной диабете, во время беременности или после родов;
- из-за длительного приема антибиотиков, кортикостероидов, гормональных препаратов;
- из-за генетической предрасположенности – у некоторых мужчин, а чаще у женщин, поджелудочная железа вырабатывает более густой секрет, он медленней выводится по протокам, и даже однократное злоупотребление спиртными напитками, жирной, жареной пищей может спровоцировать приступ панкреатита;
- после отравлений – пищевых, алкогольных, при работе с лаками, красками и вдыхании их паров, другими отравляющими веществами.
Формы панкреатита
При первом приступе врач ставит диагноз острый панкреатит. При соблюдении диеты, других врачебных назначений, приеме медикаментов, воспаление может пройти без последствий. Если человек ответственно относится к своему здоровью, правильно питается, отказывается от алкоголя, курения, следит за весом, приступ может не повторяться.
Но при систематических нарушениях, поджелудочная железа работает с повышенной нагрузкой, ее состояние ухудшается и заболевание переходит в хроническую форму. Если повторный приступ возникает менее чем через 6 месяцев после первого, ставится диагноз острый рецидивирующий панкреатит. Если приступы повторяются больше, чем 6 месяцев, диагноз – хронический панкреатит. Он имеет две фазы: обострение и ремиссия. При соблюдении диеты, применении поддерживающей терапии, ремиссия длится годами, не возникает острых приступов.
Симптомы воспаления поджелудочной железы
При остром и хроническом панкреатите появляются разные симптомы.
Острая форма
При остром приступе пациент ощущает сильную боль в подреберье. В зависимости от расположения и размера очага воспаления она может быть правосторонней, левосторонней или опоясывающей.
Другие признаки, указывающие на воспалительный процесс в поджелудочной железе:
- отрыжка с тухлым запахом, икота;
- непреходящая тошнота, неоднократная рвота;
- жидкий стул несколько раз в сутки или запор;
- повышение температуры;
- ощущение сухости во рту;
- перепады артериального давления;
- усиленное потоотделение;
- нездоровый цвет кожи, возможно появление коричневых пятен, синяков над пупком или на спине в области поясницы.
Большинство из этих признаков, кроме острой боли, наблюдаются и при алкогольной интоксикации. Болезнь у мужчин не всегда своевременно диагностируется – болевые симптомы пациенты некоторое время снимают обезболивающими препаратами и надеются на улучшение самочувствия, когда пройдет похмелье. Это может быть опасно для жизни. Если после употребления больших доз алкоголя возникает боль в пояснице, подреберье, проверьте поджелудочную железу.
Хроническая форма
Зная, как болит поджелудочная железа, можно не пропустить первые признаки развития хронического воспалительного процесса. Своевременное обращение к врачу поможет избежать осложнений, инфицирования, гормональных нарушений в организме.
Признаки боли в поджелудочной железе:
- тупая ноющая;
- ощущается в верхней части живота;
- может отдавать в грудную клетку, поясницу, нижнюю часть живота;
- усиливается после употребления спиртных напитков, жареной, копченой, острой, жирной пищи, маринадов, приступ может спровоцировать чашка кофе, выкуренная натощак сигарета;
- усиливается после стресса.
Сложно поставить диагноз только по характеру болевых симптомов. При панкреатите появляются другие признаки нарушений в работе организма. Обратитесь к врачу, если вы часто ощущаете ноющую боль в области спины или живота, кожа приобретала желтоватый оттенок, пропал аппетит, снижается вес. Аналогичные признаки у женщин могут наблюдаться во время беременности, и ошибочно принимаются за проявления токсикоза. Чтобы не пропустить опасное заболевание, с первых недель беременности женщинам нужно регулярно посещать женскую консультацию, сдавать анализы крови и мочи.
Если не лечить хронический панкреатит, воспаление может распространяться на другие органы пищеварительной системы, нарушается работа эндокринной системы, что увеличивает риск развития сахарного диабета, онкологических заболеваний.
Лечение
Панкреатит – это группа заболеваний, при которых развиваются воспалительные процессы в поджелудочной железе. Чтобы эффективно лечить его, врач должен определить характер и локализацию воспаления, причину, вызвавшую приступ. После оказания первой помощи и снятия острых болевых ощущений проводится обследование.
Диагностика
Чтобы подтвердить диагноз и оценить состояние пациента, гастроэнтеролог использует лабораторные и инструментальные методы диагностики:
- общий и биохимический анализ крови – выявляют признаки и показывает количественные характеристики воспаления, определяют уровень билирубина, ферментов;
- анализ мочи – показывает уровень ферментов;
- анализ кала на паразитов – назначается по при подозрении, что протоки поджелудочной железы закупорены паразитами;
- УЗИ – показывает размер железы, уплотнения, фиброзные участки;
- рентгенография (если есть возможность, назначается более информационное обследование эндоскопическая ретроградная холангиопанкреатография) – назначается для обнаружения камней или других тел, закупоривающих протоки;
- зондирование – характеризует внешнесекреторную функцию железы;
- МРТ или КТ – выявляют некроз тканей, границы пораженных областей.
Особенности терапии
При остром приступе пациента госпитализируют в стационар, где проводят детоксикацию, очистку кишечника, брюшины.
Для снятия острых болей применяют спазмолитические и болеутоляющие препараты, на живот кладется холодный компресс. Ограничивают двигательную активность. Чтобы снизить секрецию гормонов при снижении проходимости протоков или их закупорке, назначают Платифиллин или Атропин. Для предотвращения инфицирования и снятия воспаления применяют антибиотики. В первые дни показан полный отказ от пищи, питательные вещества вводятся внутривенно. Через 3-5 дней в рацион вводят жидкие каши, одновременно с приемом ферментов: Панкреатина, Мезим-Форте. Чтобы избавить пациента от тошноты, назначается Мотилиум или Церукал.
Профилактика новых обострений
Чтобы избежать новых обострений панкреатита, нужно правильно питаться, отказаться от алкоголя, сигарет, избегать стрессов. Есть нужно небольшими порциями 5-6 раз в день. Исключите из рациона жареные, жирные, копченые продукты, пряности, маринады. Отваривайте, запекайте или готовьте блюда на пару. Откажитесь от кофе, сладких газированных напитков. Регулярно принимайте назначенные врачом препараты, поддерживающие работу поджелудочной железы.
Ферментная недостаточность поджелудочной железы
Ферментная недостаточность поджелудочной железы – это ограниченная секреция либо низкая активность панкреатических ферментов, приводящая к нарушению расщепления и всасывания питательных веществ в кишечнике. Проявляется прогрессивным похудением, метеоризмом, анемией, стеатореей, полифекалией, диареей и полигиповитаминозом. Диагностика основана на лабораторных методах исследования внешней секреции поджелудочной железы, проведении копрограммы, определении уровня ферментов в кале. Лечение включает терапию основного заболевания, нормализацию поступления нутриентов в организм, заместительное введение ферментов поджелудочной железы, симптоматическое лечение.
МКБ-10

Общие сведения
Ферментная недостаточность поджелудочной железы – одна из разновидностей пищевой интолерантности, которая развивается на фоне угнетения внешнесекреторной панкреатической деятельности. Оценить частоту экзокринной недостаточности ПЖ в популяции не представляется возможным, так как исследования, посвященные этому состоянию, практически не проводятся, а частота выявления ферментной недостаточности гораздо выше, чем, например, хронических панкреатитов.
Тем не менее, недостаточность выработки панкреатических ферментов является серьезным состоянием, способным привести к выраженному истощению и даже смерти пациента при отсутствии адекватного лечения. Практические изыскания в области гастроэнтерологии направлены на разработку современных ферментных препаратов, способных полностью заместить экзокринную функцию поджелудочной железы и обеспечить нормальное течение процессов пищеварения.

Причины
Первичная панкреатическая недостаточность связана с поражением поджелудочной железы и угнетением ее экзокринной функции. К причинам формирования первичной панкреатической недостаточности относят:
- врожденную недостаточность ферментов;
- агенезию либо гипоплазию железы;
- все виды хронического панкреатита;
- рак поджелудочной железы;
- муковисцидоз;
- жировое перерождение панкреас на фоне ожирения;
- операции на поджелудочной железе;
- синдром Швахмана;
- синдром Йохансона-Близзарда.
При вторичной форме патологии ферменты вырабатываются в достаточном количестве, однако в тонком кишечнике инактивируются либо их активация не происходит. Вторичная ферментная недостаточность поджелудочной железы развивается при:
- поражении слизистой оболочки тонкого кишечника;
- гастриноме;
- операциях на желудке и кишечнике;
- угнетении секреции энтерокиназы;
- белково-энергетической недостаточности;
- патологии гепатобилиарной системы.
Патогенез
Патогенетические механизмы формирования внешнесекреторной панкреатической недостаточности включают: атрофию и фиброз поджелудочной железы (как следствие обструктивного, алкогольного, калькулезного или некалькулезного панкреатита, атеросклероза, возрастных изменений, систематического неправильного питания, сахарного диабета, оперативных вмешательств на панкреас, гемосидероза); панкреатический цирроз (является исходом некоторых форм хронического панкреатита - сифилитического, алкогольного, фиброзно-калькулезного); панкреонекроз (гибель части либо всех клеток поджелудочной железы); формирование камней в панкреатических протоках.
Классификация
Недостаточность экзокринной функции поджелудочной железы может быть:
- врожденной (генетический дефект, нарушающий либо блокирующий секрецию ферментов) и приобретенной;
- первичной и вторичной;
- относительной и абсолютной.
Абсолютная ферментная недостаточность поджелудочной железы обусловлена угнетением секреции ферментов и бикарбонатов на фоне уменьшения объема паренхимы органа. Относительная недостаточность связана со снижением поступления панкреатического сока в кишечник из-за обтурации просвета протоков поджелудочной железы камнем, опухолью, рубцами.
Симптомы ферментной недостаточности
В клинической картине ферментной недостаточности поджелудочной железы наибольшее значение имеет синдром мальдигестии (угнетение пищеварения в просвете кишечника). Непереваренные жиры, попадая в просвет толстого кишечника, стимулируют секрецию колоноцитов – формируется полифекалия и диарея (стул жидкий, увеличен в объеме), кал имеет зловонный запах, цвет серый, поверхность маслянистая, блестящая. В стуле могут быть видны непереваренные комочки пищи.
Мальдигестия протеинов приводит к развитию белково-энергетической недостаточности, проявляющейся прогрессирующим похудением, дегидратацией, дефицитом витаминов и микроэлементов, анемией. На продолжающуюся потерю веса большое влияние оказывает соблюдение диеты с ограничением жиров и углеводов, а также боязнь приема пищи, формирующаяся у многих пациентов с хроническим панкреатитом.
Нарушения моторики желудка (тошнота, рвота, изжога, чувство переполнения желудка) могут быть связаны как с обострением панкреатита, так и с опосредованным влиянием экзокринной панкреатической недостаточности за счет нарушения гастро-интестинальной регуляции, развития дуодено-гастрального рефлюкса и др.
Диагностика
Основное значение для выявления ферментной недостаточности поджелудочной железы имеют специальные тесты (зондовые и беззондовые), часто комбинирующиеся с ультразвуковыми, рентгенологическими и эндоскопическими методами. Зондовые методики являются более дорогостоящими и причиняют пациентам дискомфорт, однако и результаты их более точные. Беззондовые тесты дешевле, спокойнее переносятся больными, но они дают возможность определить панкреатическую недостаточность только при значительном снижении или полном отсутствии ферментов:
- Прямой зондовый секретиново-холецистокининовый тест. Основан на стимуляции секреции ПЖ введением секретина и холецистокинина с последующим забором нескольких проб дуоденального содержимого с интервалом 10 минут. В полученных образцах исследуется активность и скорость панкреатической секреции, уровень бикарбонатов, цинка, лактоферрина. В норме прирост объема секрета после теста составляет 100%, прирост уровня бикарбонатов – не менее 15%. О ферментной недостаточности ПЖ говорит прирост объема секрета менее 40%, отсутствие прироста уровня бикарбонатов. Ложноположительные результаты возможны при сахарном диабете, целиакии, гепатите, после резекции части желудка.
- Непрямой зондовый тестЛунда. Схож с предыдущим методом, но стимуляция панкреатической секреции производится путем введения в зонд пробной пищи. Данное исследование провести проще (не требует инъекции дорогостоящих препаратов), однако результаты его в значительной мере зависят от состава пробной пищи. Ложноположительный результат возможен при наличии у пациента сахарного диабета, целиакии, гастростомы.
- Беззондовые методы. В основе беззондовых методов лежит введение в организм определенных веществ, способных взаимодействовать с ферментами в моче и сыворотке крови. Исследование продуктов метаболизма данного взаимодействия дает возможность оценить внешнесекреторную функцию поджелудочной железы. К беззондовым тестам относят бентирамидный, панкреато-лауриловый, йодолиполовый, триолеиновый и другие методы.
Кроме того, определить уровень панкреатической секреции можно и косвенными методами: по степени поглощения плазменных аминокислот поджелудочной железой, путем качественного анализа копрограммы (будет повышено содержание нейтральных жиров и мыла на фоне нормального уровня жирных кислот), количественного определения в кале жира, фекального химотрипсина и трипсина, эластазы-1.
Инструментальные методы диагностики (рентгенография органов брюшной полости, МРТ, КТ, УЗИ поджелудочной железы и гепатобилиарной системы, ЭРХПГ) используются для выявления основного и сопутствующих заболеваний.
Лечение ферментной недостаточности поджелудочной железы
Лечение экзокринной панкреатической недостаточности должно быть комплексным, включать коррекцию нутритивного статуса, этиотропную и заместительную терапию, симптоматическое лечение. Этиотропная терапия направлена, в основном, на предотвращение прогрессирования гибели паренхимы ПЖ.
Диетотерапия
Коррекция пищевого поведения заключается в исключении употребления алкоголя и табакокурения, увеличении количества белка в рационе до 150г/сут., сокращении количества жиров как минимум вдвое от физиологической нормы, приеме витаминов в лечебных дозировках. При выраженном истощении может потребоваться частичное либо полное парентеральное питание.
Медикаментозная терапия
Основным методом лечения ферментной недостаточности поджелудочной железы является пожизненный заместительный прием ферментов с пищей. Показания к заместительной ферментной терапии при панкреатической недостаточности: стеаторея с потерей более 15 г жира в стуки, прогрессирующая белково-энергетическая недостаточность.
Наибольшей эффективностью на сегодняшний день обладают микрогранулированные ферментные препараты в кислотоустойчивой оболочке, заключенные в желатиновую капсулу – капсула растворяется в желудке, создавая условия для равномерного перемешивания гранул препарата с пищей. В ДПК, при достижении уровня рН 5,5, содержимое гранул высвобождается, обеспечивая достаточный уровень панкреатических ферментов в дуоденальном соке. Дозировки препаратов подбираются индивидуально, в зависимости от тяжести заболевания, уровня панкреатической секреции. Критериями эффективности заместительной терапии и адекватности дозировок ферментных препаратов является увеличение веса, уменьшение метеоризма, нормализация стула.
Прогноз и профилактика
Прогноз при панкреатической недостаточности обусловлен выраженностью основного заболевания и степенью поражения паренхимы поджелудочной железы. Учитывая тот факт, что ферментная недостаточность поджелудочной железы развивается при гибели значительной части органа, прогноз обычно сомнительный. Предупредить развитие данного состояния можно путем своевременной диагностики и лечения заболеваний поджелудочной железы, отказа от приема алкоголя, курения.
Панкреатит
Панкреатит — это острая или хроническая воспалительная деструкция поджелудочной железы. Проявляется опоясывающей болью, болевыми ощущениями или дискомфортом слева в подреберье, связанными с пищевыми погрешностями, диспепсией, полифекалией, нарастающим ухудшением общего состояния. Диагностируется с помощью общего и биохимического анализа крови, УЗИ, МРТ, КТ поджелудочной железы, ИФА кала, ЭРПХГ, лапароскопии. Для лечения проводят обезболивающую, инфузионную, антисекреторную, заместительную ферментную и антибиотикотерапию. По показаниям выполняют некрэктомию поджелудочной железы, оментобурсостомию, удаление кист и псевдокист.

Термин «панкреатит» объединяет группу острых и хронических заболеваний с воспалительным поражением поджелудочной железы (ПЖ). За последние 30 лет распространенность патологии увеличилась более чем в 2 раза, отмечается стойкая тенденция к ее омоложению, в том числе более частое развитие панкреатита у детей. Распространенность острой формы болезни составляет от 0,0175 до 0,0734%, хронической — от 0,4 до 5%. Острые панкреатиты в 3,5 раза чаще диагностируются у женщин, хронические — вдвое чаще у мужчин. В группу риска входят пациенты, злоупотребляющие алкогольными напитками и страдающие билиарной патологией. Актуальность своевременной диагностики заболевания обусловлена тяжестью его осложнений, особенно при остром течении.
Причины панкреатита
Воспалительное поражение поджелудочной железы может иметь различное этиологическое происхождение. Специалисты в сфере клинической гастроэнтерологии выделяют несколько групп провоцирующих факторов, под влиянием которых развивается острое или хроническое воспаление органа. Возможными причинами панкреатита считаются:
- Алкогольные эксцессы. Более чем у половины пациентов заболевание становится следствием употребления больших количеств спиртного. В структуре деструктивных форм болезни алкогольные панкреатиты составляют до 70%. Риск воспалительной деструкции панкреатической паренхимы возрастает при употреблении суррогатов.
- Панкреатобилиарная патология. У 20% больных панкреатит развивается на фоне желчнокаменной болезни в результате механической обструкции панкреатического протока конкрементами. Причинами заболевания также служат травмы живота, рак поджелудочной железы, стеноз сфинктера Одди и кисты желчного протока.
- Ятрогении. В 4-5% случаев провоцирующим фактором становится нарушение техники ретроградной холангиопанкреатографии и абдоминальных операций. Токсическое воспалительное поражение панкреатической паренхимы возможно при приеме ингибиторов АПФ, петлевых диуретиков, цитостатиков и препаратов, содержащих серу (медикаментозный панкреатит).
Группа риска включает больных сахарным диабетом, гиперпаратиреозом и другими формами гиперкальциемии, вирусными гепатитами В и С, эпидемическим паротитом, глистными инвазиями. В отдельных случаях встречается панкреатит при беременности, трансплантации почек, ишемическом повреждении панкреатических тканей при шоке, эмболии артерий. При развитии патологического состояния в ответ на действие конкретного фактора (заболевания ЖКТ, травмы и др.) панкреатит называют реактивным. В 20-30% случаев причины остаются неустановленными (идиопатическое заболевание), не исключена роль отягощенной наследственности.
Механизм развития панкреатита основан на аутолизе тканей поджелудочной железы ее собственными протеолитическими и липолитическими ферментами. Пусковым моментом заболевания является гиперсекреция фосфолипазы А-2, липазы, эластазы, химотрипсиногена, трипсиногена, зачастую сочетающаяся с внутрипротоковой гипертензией из-за функционального спазма сфинктера Одди или механической обструкции большого дуоденального сосочка. Под действием энзимов начинается деструкция железы, нарастают нарушения микроциркуляции, отек.
Попадание ферментов в системный кровоток приводит к повреждению мозга, легких, почек, других тканей и органов. При хроническом течении панкреатита преобладает диффузная дегенерация тканей, атрофируются панкреоциты. Железистые элементы постепенно замещаются соединительной тканью, что сопровождается снижением экзокринной функции ПЖ и ухудшением процессов переваривания в кишечнике. Одновременно в системе протоков органа образуются кисты и конкременты. При вовлечении в процесс островков Лангерганса падает выработка инсулина.
Основной критерий систематизации форм панкреатита — динамика патологического процесса. Заболевание может быть ограниченным или распространенным острым с быстрым нарастанием симптоматики (интерстициальный панкреатит, стерильный и инфицированный панкреонекроз) или хроническим с преимущественно дегенеративными изменениями. По характеру поражения острое воспаление бывает геморрагическим, гнойным, жировым, смешанным. Основными критериями, положенными в основу отечественной клинико-морфологической классификации хронического панкреатита, являются:
- Морфологические признаки. Учитываются гистологические изменения в органе. Процесс может быть интерстициально-отечным, паренхиматозным, индуративным (фиброзно-склеротическим), псевдотуморозным (гиперпластическим), кистозным.
- Ведущая симптоматика. Различают болевую, гипосекреторную, астено-невротическую (ипохондрическую) формы панкреатита. При наличии нескольких симптомов диагностируют сочетанный вариант, при их малой выраженности — латентный.
- Особенности клинического течения. Хронический панкреатит бывает редко и часто рецидивирующим. При постоянном наличии симптоматики говорят о персистирующем течении заболевания.
- Этиология. Наиболее распространенными вариантами панкреатита являются билиарнозависимый и алкогольный. Также специалисты выделяют дисметаболическую, инфекционную, лекарственную и идиопатическую форму патологии.
- Наличие осложнений. Возможно неосложненное и осложненное течение. С учетом ведущего осложнения различают панкреатит с нарушением оттока желчи, портальной гипертензией, инфекционным воспалением, эндокринными нарушениями, патологией других органов и систем.
Симптомы панкреатита
Проявления патологии зависят от варианта течения и наличия сопутствующих заболеваний ЖКТ. При билиарном панкреатите преобладает болевой синдром в верхних отделах живота без четкой локализации, боль может иррадиировать в лопатку, плечо и околосердечную область. Болевые приступы развиваются после злоупотребления жирной или жареной пищей, приема газированных напитков, которые вызывают спазм сфинктера Одди. При сопутствующей ЖКБ в период обострения наблюдается желтуха.
Патогномоничным признаком острого панкреатита является триада Мондора — вздутие живота, боль и рвота. Болевые ощущения возникают внезапно, они очень интенсивны, иногда приводят к потере сознания. Боль опоясывающая, рвота многократная, не приносит облегчения. Для острого воспаления типично быстрое ухудшения общего состояния больного: выявляется тахикардия и резкое снижение АД, усиленная потливость, бледность кожных покровов.
При хронической патологии болевой синдром менее интенсивен, обычно определяется после погрешностей в диете. Со временем пациенты отмечают, что боли появляются реже и заменяются дискомфортом в левом подреберье. Хронический панкреатит характеризуется нарушениями стула: обнаруживается полифекалия (выделение большого количества кала), испражнения приобретают сероватый цвет и резкий зловонный запах. Язык сухой, обложен желтоватым налетом. На передней брюшной стенке в проекции ПЖ формируется участок атрофии подкожной клетчатки.
Осложнения
Без лечения образуются инфильтраты, которые переходят в гнойно-некротические флегмоны забрюшинного пространства. Возможен перитонит. При тяжелом течении возникает полиорганная недостаточность, при поражении трех и более систем летальность составляет около 85%. При хроническом процессе в поджелудочной железе выявляется фиброз и кальциноз, наблюдается внешнесекреторная недостаточность. Вследствие поражения островков Лангерганса возникает вторичный сахарный диабет. Отмечается формирование и нагноение истинных или ложных кист, кровотечения из патологически измененных вен вследствие региональной портальной гипертензии.
Диагностика панкреатитов
Постановка диагноза панкреатита может быть затруднена, поскольку клиническая картина часто имитирует патологию других отделов ЖКТ. Заподозрить заболевание можно при выявлении характерных физикальных симптомов. Наиболее информативными инструментальными и лабораторными исследованиями являются:
- Исследование панкреатических ферментов в крови. Повышение уровня альфа-амилазы в 3-4 раза (при норме до 50 Ед/л) в первые сутки указывает на острый процесс или обострение хронического воспаления. С 4 суток проводят измерение уровня липазы — диагностически значимо двукратное увеличение показателя.
- ИФА каловых масс. Анализ кала на панкреатическую эластазу-1 необходим для оценки недостаточности внешнесекреторной функции органа. Значение в диапазоне 50-100 мкг/г указывает на среднюю степень нарушения экзокринной деятельности, при показателе ниже 50 мкг/г устанавливают тяжелую степень.
- Сонография поджелудочной железы. Для острого панкреатита характерно увеличение и отечность органа, нечеткость контуров и неоднородность структуры. При хроническом заболевании в ходе УЗИ поджелудочной железы определяется ее уменьшение, деформация контуров, кистозные образования и кальцификаты.
- Томография. МРТ поджелудочной железы считается «золотым стандартом» диагностики болезней ПЖ. Метод позволяет четко визуализировать паренхиму, оценить структуру кист и некротических участков. КТ с внутривенным контрастированием проводится для изучения секвестров и зон некроза.
- ЭРХПГ. Ретроградная холангиопанкреатография имеет высокую диагностическую ценность при подозрении на билиарный панкреатит, дает возможность оценить состояние сфинктера Одди, обнаружить белковые «пробки», конкременты и стриктуры протоков.

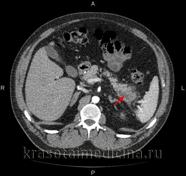
КТ органов брюшной полости. Панкреатит (в области хвоста поджелудочной железы) с наличием отека ее паренхимы, жидкостного содержимого вблизи ее края, на фоне утолщение фасции Героты слева
При низкой информативности других методов выполняют лапароскопию. В общем анализе крови определяют повышение СОЭ и нейтрофильный лейкоцитоз, степени изменения показателей коррелируют с тяжестью состояния пациента. В биохимическом анализе крови выявляют диспротеинемию, гипоальбуминемию, в случае панкреонекроза – высокие уровни АЛТ и АСТ. Дополнительно определяют концентрацию С-реактивного белка — значение более 120 мг/л свидетельствует об инфекционной природе заболевания.
Дифференциальный диагноз при остром процессе проводят с другой хирургической патологией, сопровождающейся симптомами «острого живота». Основные критерии: повышение амилазы, наличие УЗИ- и КТ-признаков поражения ПЖ. Хронический вариант панкреатита дифференцируют с большой группой воспалительных процессов ЖКТ с учетом анамнеза, жалоб и результатов дополнительных исследований. Пациента консультирует специалист-гастроэнтеролог, хирург, инфекционист.
Лечение панкреатита
Выбор терапевтической тактики определяется формой заболевания. Пациентам с острым процессом рекомендована госпитализация, функциональный покой органа (голодание, энтеральное зондовое или парентеральное питание). При хроническом воспалении необходима коррекция рациона с исключением спиртного, ограничением жиров и углеводов. Ведущей является консервативная медикаментозная терапия, которая с учетом клиники панкреатита может включать:
- Обезболивающие препараты. Обычно используют ненаркотические анальгетики, которые при наличии спастических дискинезий дополняют миотропными спазмолитиками. При интенсивном болевом синдроме показана эпидуральная блокада, введение наркотиков.
- Инфузионная терапия. Особую роль внутривенное вливание больших объемов электролитов играет при предупреждении панкреонекроза у больных с острым панкреатитом. Пациентам с хроническим воспалением инфузии обычно осуществляют при обострении болезни.
- Блокаторы желудочной секреции. Применение блокаторов протонной помпы и ингибиторов Н2-рецепторов позволяет снизить секрецию соляной кислоты и связанную с ней продукцию секретина. В результате уменьшается производство панкреатического сока.
- Ферменты поджелудочной железы. Заместительная терапия рекомендована при хроническом варианте панкреатита. Назначение комплекса панкреатических энзимов направлено на улучшение процессов переваривания и всасывания питательных веществ в кишечнике.
- Антибиотики. Используются преимущественно при остром воспалительном процессе для купирования и профилактики инфекционных осложнений. Наиболее эффективны фторхинолоны в комбинации с нитроимидазолами, карбапенемы, цефалоспорины 3-4 поколения.
При тяжелой форме применяют октапептиды, селективно угнетающие панкреатическую секрецию, проводят интенсивную терапию для поддержания АД, стабилизации метаболических нарушений. Пациентам с установленной этиологией панкреатита показано лечение основного заболевания. При остром панкреонекрозе может выполняться некрэктомия поджелудочной железы, оментобурсостомия. При стойких болях, связанных с наличием кистозных образований, производится удаление ложных кист поджелудочной железы или марсупиализация истинных кист.
В случае острой патологии прогноз для пациентов сомнительный, исход заболевания обычно оценивают по шкале Рэнсона — наличие менее 3-х признаков свидетельствует об относительно благоприятном течении. Прогноз при хроническом панкреатите зависит от давности болезни и степени структурных поражений железы. Для профилактики воспаления необходимо ограничить потребление жирной пищи и газированных напитков, отказаться от вредных привычек (алкоголь, курение), проводить своевременное лечение заболеваний билиарной системы.
1. Гастроэнтерология и гепатология: диагностика и лечение/ под ред. Калинина А.В. и Хазанова А.И. – 2007.
Стеатоз поджелудочной железы ( Неалкогольная жировая болезнь поджелудочной железы )
Стеатоз поджелудочной железы – это накопление внутриклеточного жира в тканях органа, которое сопровождается клинико-лабораторными изменениями. Патология в основном возникает как компонент метаболического синдрома у людей с ожирением, неправильным питанием, гиподинамией и другими факторами риска. Заболевание проявляется неустойчивым стулом, дискомфортом в животе, признаками авитаминоза и ферментной недостаточности. Для диагностики используют УЗИ и КТ, биохимический профиль крови, функциональные тесты экзокринной функции ПЖ. Лечение стеатоза предполагает заместительную ферментотерапию, коррекцию признаков метаболического синдрома.

В современной панкреатологии нет консенсуса по поводу медицинских терминов, обозначающих ожирение поджелудочной железы (ПЖ). Наиболее общим признан термин «стеатоз», однако для описания изменений в органе на фоне метаболического синдрома часто употребляют название «неалкогольная жировая болезнь поджелудочной железы» – по аналогии с НАЖБ печени. Точная частота стеатоза ПЖ неизвестна. Предполагается, что патология широко распространена у людей среднего и старшего возраста, поскольку около 25-34% населения этой возрастной группы имеют значимые метаболические нарушения.
Основным этиологическим фактором стеатоза поджелудочной железы называет ожирение, которое является одной из составляющих метаболического синдрома. При этом наблюдается дислипидемия с повышением атерогенных липопротеидов, расстройства обмена глюкозы, снижение чувствительности тканей к инсулину. Такие процессы усиливают негативное действие друг друга, способствуя избыточному отложению жира в паренхиме ПЖ. Существует и другие причины заболевания:
- Вирусная инфекция. Жировая инфильтрация поджелудочной железы намного чаще диагностируется у пациентов с ВИЧ-инфекцией, особенно на стадии СПИДа. В литературе существует ограниченные сведения о связи вирусного гепатита В и стеатоза ПЖ, однако они требуют дальнейшего изучения.
- Врожденные заболевания. Жировое перерождение поджелудочной железы характерно для пациентов с муковисцидозом, синдромом Швахмана-Даймонда, синдромом Йохансона-Близзарда. Изредка причиной патологии выступает гетерозиготная карбоксилэстеразная мутация.
- Гемохроматоз. Пусковым фактором являются избыточные отложения железа в ПЖ и других внутренних органах. На фоне заболевания усиливается жировое замещение паренхимы, возникшее под влиянием других факторов риска. Подобные симптомы возможны при многочисленных переливаниях крови у пациентов с анемическим синдромом.
- Токсические воздействия. Панкреатический стеатоз развивается при приеме некоторых химиотерапевтических препаратов и глюкокортикостероидов. Он также возникает вследствие повышения кортикостероидных гормонов в крови на фоне синдрома Кушинга.
- Генетические мутации. Ряд исследователей подтверждают наличие специфических генов, кодирующих гипертриглицеридемию. На фоне мутации этих генов развивается стеатопанкреатит, который сопровождается жировой дистрофией поджелудочной железы. Также описаны генетические мутации в локусах, отвечающих за синтез липопротеиновой липазы.
При нарушениях липидного обмена возникает дислипидемия, которая провоцирует повышение уровня свободных жирных кислот в поджелудочной железе. При этом нарушается синтез инсулина и развивается дисфункция бета-клеток островков Лангерганса, отвечающих за гормональную активность. Повышенный уровень жирных кислот активирует выработку оксида азота и свободных радикалов, которые сопровождают поражение органа, патологии внутри- и внешнесекреторной функции.
Многочисленные метаболические нарушения при ожирении ПЖ связывают с действием цитокинов, таких как интерлейкин-6 лептин, адипонектин и фактор некроза опухоли. Они имеют прямое цитотоксическое влияние на клетки, вызывая их быструю гибель. Повышение лептина и резистина усиливает провоспалительную активность других цитокинов, стимулирует выброс интерлейкина из макрофагов и становится основой для развития хронического панкреатита.
При патоморфологическом исследовании поджелудочной железы определяют увеличение количества адипоцитов. Жировые капли визуализируются внутри секреторных клеток органа, которые расположены в островковой части поджелудочной железы и во внешнесекреторных элементах ПЖ. Для количественной оценки стеатоза существует гистологическая панкреатическая шкала, которая имеет ограниченное значение на практике и чаще применяется в исследовательских целях.

Симптомы
Поджелудочная железа обладает большим функциональным резервом и способностью к адаптации, поэтому клинические проявления стеатоза возникают только при поражении более 90% органа. В таком случае снижается выработка пищеварительных ферментов и эндокринных веществ, которые необходимы для правильного функционирования организма. У некоторых пациентов симптоматика полностью отсутствует, ухудшение здоровья возникает только при присоединении хронического панкреатита.
Манифестные формы стеатоза поджелудочной железы характеризуются неспецифическими нарушениями пищеварения. Пациенты предъявляют жалобы на неустойчивый стул, кашицеобразный кал, учащение дефекации. Возможен дискомфорт в верхних отделах живота, метеоризм, тяжесть в желудке после еды. Характерна плохая переносимость жирной пищи и алкоголя. Поскольку яркие клинические проявления отсутствуют, пациенты длительное время не обращаются к врачу.
Специфическим признаком является симптом Тужилина, который характерен не только для хронического панкреатита, но и для других патологий панкреатической зоны. Он представляет собой красные высыпания в эпигастрии и левом подреберье. Сыпь вызвана сосудистыми причинами, поэтому она имеет стойкий оттенок и не исчезает при надавливании. Отличительной чертой стеатоза является повышенная масса тела пациентов, тогда как при воспалительных заболеваниях вес снижается.
Накопление жира в поджелудочной железе – основа для развития других органических патологий. В 2006 году на конгрессе Международной гепатопанкреатобилиарной ассоциации высказана гипотеза о прогрессировании стеатоза в стеатопанкреатит и рак поджелудочной железы. Такая теория подтверждается многолетними клиническими наблюдениями, однако развитие панкреатита и тем более онкопатологии наблюдается не у всех пациентов.
Серьезную проблему представляет экзокринная недостаточность ПЖ. Отсутствие специфических ферментов, которые расщепляют белковую, жировую и углеводную пищу, нарушает процессы пищеварения. В результате пациенты страдают от стеатореи, креатореи, амилореи. Проблемы с перевариванием и всасыванием пищи провоцируют авитаминозы, связанные с ними ухудшения состояния кожи, волос и ногтей, репродуктивные проблемы, нарушения кроветворной функции.
Обследование пациентов с панкреатическими жалобами проводится у гастроэнтеролога либо узкоспециализированного врача-панкреатолога. На первичной консультации уточняют характер симптомов, их длительность, наличие факторов риска у пациента. Также проводятся антропометрические измерения для оценки параметров тела и оценки степени ожирения, если таковое имеется. Для подтверждения болезни назначаются следующие методы диагностики:
- УЗИ поджелудочной железы. Стеатоз проявляется диффузным повышением эхогенности органа и однородной структурой паренхимы. При наличии очагов фиброза ПЖ они визуализируются при эхосонографии в виде плотных однородных новообразований, которые смещаются вместе с органом.
- КТ поджелудочной железы. Компьютерная томография признана наиболее точным методом подтверждения стеатоза. Исследование определяет снижение денситометрических показателей паренхимы органа, диффузное ослабление сигнала. Чтобы уточнить количество липидов в ПЖ, дополнительно проводится магнитно-резонансная спектроскопия.
- Биохимическая диагностика. При исследовании крови определяется повышение уровня общего холестерина и ЛПНП, возрастание количества триглицеридов более 1,7 ммоль/л, уменьшение «полезных» ЛПВП менее 1,1 ммоль/л. Характерно повышение уровня глюкозы натощак свыше 6,1 ммоль/л, что указывает на развитие метаболического синдрома. При анализе кала определяется большое количество нейтральных жиров и мыла.
- Функциональные тесты. Для оценки степени ферментной недостаточности ПЖ применяются зондовые (прямые и непрямые) методики. Они основаны на стимуляции работы поджелудочной железы с помощью секретина и холецистокинина либо путем пробного приема пищи. Активно применяются триолеиновый, йодолиполовый и другие беззондовые способы диагностики.
Дифференциальная диагностика
Поскольку стеатоз поджелудочной железы является «белым пятном» в современной панкреатологии, перед постановкой диагноза исключают другие панкреатические заболевания. Дифференциальная диагностика проводится с хроническим панкреатитом, холециститом, гепатитом. При выраженном болевом синдроме исключают пептическую язву, патологии мезентериальных сосудов. Локальная формы жировой дистрофии требуют исключения кист и злокачественных опухолей ПЖ.
Лечение стеатоза поджелудочной железы
Специфические варианты терапии отсутствуют. Лечение пациентов зависит от тяжести секреторной недостаточности органа, интенсивности сопутствующих проявлений метаболического синдрома. Чаще всего применяется заместительная ферментная терапия. Лечение направлено на улучшение работы пищеварительного тракта пациента, нормализацию консистенции стула, купирование синдрома мальабсорбции, что важно для устранения и профилактики авитаминозов.
Ведение пациентов в рамках метаболического синдрома включает коррекцию нарушений липидного и углеводного обмена. По показаниям применяются гиполипидемические препараты в стандартных дозировках, которые не только препятствуют прогрессированию стеатоза поджелудочной железы, но и проводят профилактику опасных последствий — атеросклероза коронарных и церебральных сосудов. При нарушениях гликемии используются сахароснижающие препараты.
Важную роль в терапии панкреатического стеатоза имеет модификация образа жизни. Проводятся мероприятия по снижению массы тела, поскольку похудение на 7-10% от исходного веса способствует значимому уменьшению объема жира в ПЖ и улучшению функционального статуса. Пациентам подбирают сбалансированное питание со сниженным количеством животных жиров и простых углеводов, повышенным уровнем аминокислот, витаминизированных компонентов, клетчатки.
Стеатоз поджелудочной железы ‒ не жизнеугрожающее заболевание, однако оно сопряжено с хроническим панкреатитом, жировой дистрофией других внутренних органов. Прогноз для пациента определяется своевременностью диагностики патологии, успешностью контроля метаболического синдрома и готовностью соблюдать врачебные рекомендации Профилактика болезни включает стандартные меры по коррекции образа жизни, уменьшению атерогенных продуктов в рационе, нормализации массы тела.
2. Хронический панкреатит, стеатоз поджелудочной железы и стеатопанкреатит/ В.Т. Ивашкин, О.С. Шифрин, И.А. Соколина. – 2014. Стеатоз поджелудочной железы – «белое пятно» панкреатологии/ С.И. Пиманов// Медицинский совет. – 2014. – №11.
3. Стеатоз поджелудочной железы. Подходы к терапии/ В.Б. Гриневич, Е.И. Сас, Ю.А. Кравчук, К.В. Матюшенко// Гастроэнтерология Санкт-Петербурга. – 2012. – №2-3.
4. Поджелудочная железа и метаболический синдром/ Н.Г. Самсонова, Л.А. Звенигородская// Экспериментальная и клиническая гастроэнтерология. – 2011. – №11.
Нарушение функций поджелудочной железы
Нарушения внешнесекреторной функции поджелудочной железы, сопровождающие заболевания органов пищеварения, на сегодняшний день – одна из самых актуальных тем в гастроэнтерологической и терапевтической практике. И это не случайно, ведь нормальное функционирование экзокринной системы желудочно-кишечного тракта лежит в основе множества жизненно важных процессов, отвечает за достаточное поступление питательных веществ в организм, обеспечение энергетического баланса, поддержания минерального баланса. При этом стоит отметить, что большую часть пациентов, ежедневно обращающихся на прием к врачу – терапевту, педиатру или гастроэнтерологу, составляет именно группа пациентов с нарушением процессов пищеварения.
Нарушение процессов пищеварения может наблюдаться так же и у людей с нормальной функцией желудочно-кишечного тракта – при погрешностях в диете, употреблении жирной или сладкой пищи, изменении привычного рациона питания во время путешествий. Однако наиболее серьезной причиной нарушения пищеварения являются заболевания поджелудочной железы, сопровождающиеся снижением ее внешнесекреторной функции.
Пищеварительные ферменты относятся к одной из наиболее часто используемых в гастроэнтерологии групп лекарственных средств. Ферментная терапия – важное и актуальное направление комплексного лечения процессов нарушенного пищеварения, особенно при хронических заболеваниях желудочно-кишечного тракта.
Учитывая, что причины возникновения нарушений пищеварения могут быть разными, а выраженность симптомов и особенности течения заболевания в разных возрастных группах существенно различаются, в распоряжении врача должен быть широкий спектр ферментных препаратов, обеспечивающий возможность индивидуального подбора оптимального лечения для каждого пациента.
В настоящее время на рынке представлен широкий спектр ферментных препаратов, характеризующихся различной комбинацией компонентов, разной формой выпуска и ферментной активностью. Дозировка ферментов, или энзимная активность, отличается по количеству липазы в единицах действия (ЕД). При погрешности в питании применяются препараты с небольшой дозировкой липазы – 3000-3500 ЕД. При лечении гастроэнтерологических заболеваний, сопровождающихся экзокринной недостаточностью поджелудочной железы, стартовыми являются препараты с более высоким содержанием липазы, от 10 000 ЕД.
Дозировки подбираются индивидуально в зависимости от степени выраженности недостаточности экзокринной функции поджелудочной железы, клинической симптоматики и жалоб пациента.
При выборе наиболее подходящего препарата для пациента с гастроэнтерологической патологией, особенно для пациентов с установленной экзокринной недостаточностью поджелудочной железы, врачу следует учитывать следующие современные критерии оценки препарата:
- препарат должен иметь кислотоустойчивую оболочку, защищающую ферменты от разрушения в кислой среде желудка;
- содержание пищеварительных ферментов (липаза, амилаза, протеаза) в препарате должно быть сбалансировано и стандартизовано;
- лекарственная форма должна обеспечивать способность препарата смешиваться с пищей в желудке, и одновременно с химусом эвакуироваться в 12-перстную кишку;
- ферменты должны своевременно высвобождаться в кишечнике после эвакуации из желудка.
Появилось дополнение к хорошо известной гастроэнтерологической линейке компании «Берлин-Хеми/А. Менарини» – новый ферментный препарат Пангрол ® .
«Берлин-Хеми/А. Менарини» представляет Пангрол® – современный капсулированный ферментный препарат, отвечающий всем вышеперечисленным критериям. В его производстве применяется инновационная запатованная технология «Eurand Minitabs ® Technology». Это новая современная технология производства твердых лекарственных форм, применяющая ряд новейших композиционных решений:
- сочетание в одной лекарственных форме двух видов твердых форм – твердая капсула содержит стандартизированное количество мини-таблеток в пересчете на ферментативную активность панкреатина;
- желатиновая капсула препарата Пангрол® быстро растворяется в желудке, высвобождая мини-таблетки;
- каждая из мини-таблеток устойчива к действию кислой среды желудка – специально подобранные вспомогательные вещества защищают мини-таблетки от воздействия желудочного сока, и растворение оболочек мини-таблеток и активация ферментов происходит только в нейтральной или слабощелочной среде, что обеспечивает начало активации ферментов именно в кишечнике;
- одинаковый размер мини-таблеток обеспечивает равномерность перемешивания с пищей и пассаж с химусом в 12-перстную кишку, высокая степень фрагментации (маленький размер мини-таблеток) так же влияет на скорость растворения препарата и, следовательно, на биологическую активность;
- мини-таблетки покрыты функциональной мембраной, что обеспечивает максимально полное (≥ 95%) постепенное высвобождение ферментов из мини-таблеток; равномерное распределение ферментов и их оптимальной концентрации; пролонгирует их действие в кишечнике.
Препарат Пангрол ® применяется в качестве заместительной терапии при недостаточности экзокринной функции поджелудочной железы как у взрослых, так и у детей, при следующих состояниях: хронический панкреатит, муковисцидоз, рак поджелудочной железы, состояния после оперативных вмешательств на поджелудочной железе и желудке, при расстройствах желудочно-кишечного тракта функционального характера, острых кишечных инфекциях, синдроме раздраженного кишечника и др. Препарат Пангрол ® также целесообразно назначать при подготовке к рентгенологическому и ультразвуковому исследованиям органов брюшной полости.
Благодаря высокому профилю безопасности и хорошей переносимости, возможно применение препарата Пангрол ® в течение длительного времени, что очень важно, поскольку во многих случаях ферментная заместительная терапия назначается на длительный срок, а иногда и пожизненно.
Препарат Пангрол ® выпускается в двух дозировках – 10000 ЕД и 25000 ЕД.
В одной капсуле препарата Пангрол ® 10000 содержится около 20 мини-таблеток. В одной капсуле препарата Пангрол ® 25000 содержится около 50 мини-таблеток. Каждая мини-таблетка препарата Пангрол ® содержит 500 ЕД липазы. Подобная форма выпуска обеспечивает возможность индивидуального подбора и удобство применения для пациентов из разных терапевтических групп, что, в свою очередь, обеспечивает высокую приверженность пациентов лечению.
Все вышеперечисленные характеристики препарата Пангрол ® позволяют ему занять достойное место в арсенале инструментов практикующего врача при лечении внешнесекреторной недостаточности поджелудочной железы.
В приоритете «Берлин-Хеми/А.Менарини» – современность, эффективность, удобство применения и доступности продуктов компании для врачей и потребителей.
Перед началом применения любого препарата посоветуйтесь со специалистом и ознакомьтесь с инструкцией по применению.
Читайте также:
