Нарушения менструального цикла при болезни Иценко — Кушинга. Послеродовое ожирение
Добавил пользователь Евгений Кузнецов Обновлено: 30.01.2026
Болезнь Иценко-Кушинга – тяжелое заболевание, сопровождающееся появлением множества специфических симптомов и развивающееся вследствие повышенной продукции гормонов коры надпочечников, что обусловлено избыточной секрецией АКТГ клетками гиперплазированной или опухолевой ткани гипофиза. [1,4].
I. ВВОДНАЯ ЧАСТЬ
Название протокола: Диагностика и лечение болезни Иценко-Кушинга
Код протокола:
Код МКБ-10: Е 24.0
Сокращения, используемые в протоколе:
АКТГ – адренокортикотропный гормон
БИК – Болезнь Иценко-Кушинга
ВСМП – высокоспециализированная медицинская помощь
ЛПНП – липопротеиды низкой плотности
ЛПВП – липопротеиды высокой плотности
ТТГ – тиреотропный гормон
ЛГ – лютеинизирующий гормон
ФСГ – фолликулостимулирующий гормон
Дата разработки протокола: апрель 2013.
Категория пациентов: больные с БИК.
Пользователи протокола: врачи-эндокринологи поликлиник и стационаров, нейрохирурги, врачи ПМСП, невропатологи, окулисты, врачи других специальностей, выявившие БИК впервые.

Автоматизация клиники: быстро и недорого!
- Подключено 300 клиник из 4 стран
- 800 RUB / 4500 KZT / 27 BYN - 1 рабочее место в месяц

Автоматизация клиники: быстро и недорого!
- Подключено 300 клиник из 4 стран
- 1 место - 800 RUB / 4500 KZT / 27 BYN в месяц
Мне интересно! Свяжитесь со мной
13-15 октября, Алматы, "Атакент"
600 брендов, более 150 компаний-участников из 20 стран.
Новинки рынка стоматологии. Цены от производителей
Классификация
Клиническая классификация
Выделяют:
- Болезнь Иценко – Кушинга, обусловленную опухолью гипофиза
- Болезнь Иценко – Кушинга, развившуюся в результате гиперплазии гипофиза [1,4].
Степени тяжести БИК
Легкая – характеризуется умеренной выраженностью симптомов заболевания; некоторые симптомы (остеопороз, нарушение менструальной функции) могут отсутствовать.
Средней тяжести – характеризуется выраженностью всех симптомов заболевания, но отсутствием осложнений.
Тяжелая форма – наряду с развитием всех симптомов заболевания наблюдаются различные осложнения: сердечно-легочная недостаточность, гипертоническая почка, патологические переломы костей, стероидный диабет, прогрессирующая миопатия, связанная с атрофией мышц и гипокалиемией, тяжелые психические расстройства.
Диагностика
II. МЕТОДЫ, ПОДХОДЫ И ПРОЦЕДУРЫ ДИАГНОСТИКИ И ЛЕЧЕНИЯ
Перечень основных и дополнительных диагностических мероприятий [1,4,5]
Основные диагностические мероприятия
Амбулаторно
- Определение уровня кортизола в крови в 8ч.
- Малая дексаметазоновая проба
- МРТ области турецкого седла с контрастированием
- УЗИ надпочечников
- КТ надпочечников
В стационаре
- Определение уровня АКТГ в сыворотке крови в 8ч. и в 22 ч.
- Большая дексаметазоновая проба
- Исследование концентрации АКТГ после раздельной катетеризации в крови, оттекающей из каменистых синусов (по показаниям)
- -Т или МРТ органов грудной клетки, средостения, брюшной полости, малого таза ( по показаниям, при подозрении на эктопическую секрецию)
- Сканирование с меченым октреотидом (по показаниям).
Дополнительные диагностические мероприятия
Амбулаторно:
- Общий анализ крови
- Общий анализ мочи
- Гликемия натощак
- Коагулограмма
- Время свертывания крови
- Кровь на ВИЧ
- Кровь на маркеры гепатита «В» и «С»
- Кровь на RW
- Липидный спектр крови (холестерин, триглицериды, ЛПНП, ЛПВП)
- Креатинин крови
- АЛТ, АСТ крови
- Рентгенография грудного и поясничного отделов позвоночника.
- Денситометрия поясничного отдела позвоночника, проксимального отдела бедра
- Рентгенография черепа
- ЭКГ
- ЭхоКГ (по показаниям)
В стационаре
- Определение секреции ТТГ, Т4, ФСГ, ЛГ, пролактина, эстрадиола, тестостерона в сыворотке крови (по показаниям)
- Определение уровня общего Са и Са++ в крови
- Определение уровня К+, Na+ и хлоридов в крови
Диагностические критерии [1,4,5]
Жалобы и анамнез:
Характерны жалобы на:
- прибавку массы тела и изменение внешности
- общую слабость, слабость в мышцах рук и ног
- снижение памяти
- депрессию
- боли в костях
- повышение АД
При сборе анамнеза уточнить время появления и темпы прогрессирования симптомов, выяснить наличие СД, остеопороза, переломов позвонков, ребер, склонность к инфекциям, наличие мочекаменной болезни, прием глюкокортикоидов.
Физикальное обследование
Следует обратить внимание на: степень и тип ожирения, овал и цвет лица, состояние кожи, наличие стрий, величину АД, наличие или отсутствие гирсутизма, психоэмоционалное состояние пациента.
Основные клинические проявления заболевания:
- Диспластическое ожирение по кушингоидному типу.
- Лунообразное лицо (матронизм)
- Трофические изменения кожи – сухость, истончение, мраморность, подкожные кровоизлияния, широкие багровые стрии с минус-тканью.
- Артериальная гипертония, глухость сердечных тонов
- Энцефалопатия
- Миопатия с мышечной атрофией
- Системный остеопороз, деформация позвоночника
- Нарушение углеводного обмена
- Вторичный гипогонадизм у мужчин
- Вирильный синдром у женщин
- Вторичный иммунодефицит [1,2].
Лабораторные исследования:
- Определение уровня кортизола в крови в 8ч. и в 22 часа
- Малая дексаметазоновая проба (для дифференциальной диагностики с гипоталамическим синдромом).
Малая дексаметазоновая проба
В первый день в 8.00 производится забор крови из вены для определения исходного уровня кортизола; в 23.00 дают внутрь 1 мг дексаметазона. На следующий день в 8.00 производят забор крови для повторного определения уровня кортизола.
У здоровых людей назначение дексаметазона приводит к подавлению секреции кортизола более чем в 2 раза или снижению его до уровня менее 80 нмоль/л.
Дифференциальная диагностика АКТГ-зависимого и АКТГ-независимого гиперкортицизма
- Определение уровня АКТГ в сыворотке крови в 8ч. и 22 ч.
- Большая дексаметазоновая проба
Большая дексаметазоновая проба основана на подавлении продукции эндогенного АКТГ по принципу обратной связи.
Ночной тест. В первый день в 8.00 производится забор крови для определения исходного уровня кортизола; в 24 часа пациент принимает 8 мг дексаметазона внутрь. На второй день в 8.00 – забор крови для повторного определения уровня кортизола.
При БИК уровень кортизола снижается на 50% от исходного. При синдроме эктопической продукции АКТГ снижение уровня кортизола более чем на 50% наблюдается редко. При надпочечниковой форме снижения кортизола нет. [1,2]
Для уточнения состояния и выявления метаболических нарушений
- Клинический анализ крови
- Клинический анализ мочи
- Биохимический анализ крови: калий, натрий, кальций ионизированный, фосфор, щелочная фосфатаза, креатинин, общий белок, ACT, АЛТ.
- Определение глюкозы в крови натощак, тест толерантности к глюкозе
- Исследование липидного профиля
- Оценка коагулограммы
- Уровни ТТГ, св Т4, ФСГ, ЛГ, пролактина, эстрадиола, тестостерона в сыворотке крови [1,2].
Инструментальные исследования:
Топическая диагностика
- Рентгенография костей черепа;
- МРТ области турецкого седла с контрастированием;
- Исследование концентрации АКТГ после раздельной катетеризации каменистых синусов (для уточнения локализации источника повышенной продукции АКТГ);
- УЗИ надпочечников;
- КТ надпочечников;
- КТ или МРТ органов грудной клетки, средостения, брюшной полости, малого таза (при подозрении на эктопическую секрецию);
- Сканирование с меченным октреотидом (по показаниям);
- ЭКГ, Эхо-КГ;
- Рентгенография грудного и поясничного отделов позвоночника;
- Денситометрия [1,2].
Консультации специалистов:
- Окулист: офтальмоскопия, периметрия
- Нейрохирург: определение тактики ведения больного
- Радиолог: решение вопроса о целесообразности проведения лучевой терапии
- Кардиолог, уролог, гинеколог, невролог и др. по показаниям
Дифференциальный диагноз
Алгоритм дифференциальной диагностики БИК представлен ниже [1,2]

Лечение
Цели лечения [1,4,5]
Устранить /блокировать источник избыточной продукции АКТГ.
Нормализовать содержание АКТГ и кортизола в крови.
Добиться регрессии основных симптомов заболевания.
Критерии эффективности лечения [1,4,5]
- регрессия симптомов гиперкортицизма
- нормализация массы тела и распределения подкожно-жировой клетчатки
- нормализация артериального давления
- восстановление репродуктивной функции
- стойкая нормализация уровня АКТГ и кортизола в плазме крови с восстановлением их суточного ритма и нормальной реакцией на малый тест с дексаметазоном.
Тактика лечения
Немедикаментозное лечение:
Диета №8, гипокалорийная.
Режим щадящий.
Медикаментозное лечение используется как вспомогательное
Показано при:
- подготовке к оперативному лечению
- после проведения лучевой терапии до реализации ее эффекта
- после неудачного оперативного лечения [1,4,]
Ингибиторы стероидогенеза [1,2]
| Группа препаратов | Название препарата | Путь введения | Разовая доза мг суточная мг | Кратность приема/сутки | Длитель- ность |
| Противо- опухолевый | Аминоглютетимид | Внутрь | 250-500 |
Принципы медикаментозной терапии блокаторами биосинтеза гормонов коры надпочечника:
- Лечение начинать с максимальных доз
- При приеме препарата - контроль уровня кортизола в крови и суточной моче один раз в 10-14 дней
- Доза препарата определяется индивидуально под контролем уровня кортизола в крови
- Комбинированная терапия кетоконазолом и аминоглютетимидом более эффективна [1,2].
Другие методы лечения
Лучевая терапия [1,4,5,6]
Гамма-терапия
Суммарная доза 50 Грей за 20-25 сеансов
Показания к гамма-терапии
- Легкая форма БИК (монотерапия)
- БИК средней тяжести при невозможности проведения аденомэктомии или протонотерапии (монотерапия)
- Как дополнение к аденомэктомии при ее неэффективности (неполное удаление опухоли, продолженный рост, атипия клеток удаленной аденомы, наличие митозов в удаленной аденоме);
- В комбинации с адреналэктомией (односторонней или двусторонней) [1].
Противопоказания к проведению гамма-терапии
- Картина «пустого» турецкого седла или кистозной аденомы.
Оценка эффективности гамма-терапии:
- Эффективность оценивается через 8 и более месяцев и достигает максимума через 15-24 месяца.
- Ремиссия заболевания наступает у 66-70% больных. Эффективность этого вида лечения выше у пациентов молодого возраста (до 35 лет).
Протонное облучение*
Протонотерапия современный метод лучевой терапии, показан при аденомах не более 15 мм, позволяет применять дозу в 80-90 Грей одномоментно. При БИК эффективна у 80-90% больных через 2 года.
Хирургическое вмешательство:
Транссфеноидальная аденомэктомия – метод первого выбора для лечения АКТГ-продуцирующих опухолей [1,2].
Показания к аденомэктомии:
- Четко локализованная по МРТ опухоль гипофиза;
- Рецидив заболевания
- Подтвержденный на КТ или МРТ продолженный рост аденомы гипофиза в любые сроки после проведенного ранее нейрохирургического вмешательства [1,4,5,6].
Критерии успешности операции
- Низкие (неопределяемые) концентрации АКТГ в крови в первые дни после операции
- Клинические проявления надпочечниковой недостаточности в раннем послеоперационном периоде, требующие заместительной терапии глюкокортикоидами.
Противопоказания к аденомэктомии:
- тяжелые сопутствующие соматические заболевания, имеющие плохой прогноз;
- крайне тяжелые соматические проявления основного заболевания;
- специфические и неспецифические инфекционные заболевания [1].
Адреналэктомия
- Односторонняя адреналэктомия в сочетании с облучением гипофиза при средних и среднетяжелых формах болезни, если больному по каким-либо причинам не проводится аденомэктомия [1,2].
- Двусторонняя тотальная адреналэктомия проводится при тяжелой форме заболевания и прогрессировании гиперкортицизма [1,2].
Двусторонняя адреналэктомия является операцией, направленной на спасение жизни больного, но не на устранение причины заболевания, поэтому ее надо сочетать с лучевой терапией для профилактики развития синдрома Нельсона (прогрессирование роста аденомы гипофиза при отсутствии надпочечников) [1].
Профилактические мероприятия:
Первичная профилактика не известна.
Вторичная профилактика осложнений БИК заключается в скорейшей стойкой нормализации уровней АКТГ и кортизола в крови.
Дальнейшее ведение:
- В случае отсутствия ремиссии после оперативного лечения и/или лучевой терапии больной получает медикаментозную терапию под наблюдением эндокринолога по месту жительства.
- В период титрования дозы лекарственного препарата контроль уровня кортизола в крови производится 1 раз в месяц, затем – 1 раз в 2 месяца.
- Для определения достижения ремиссии необходимо отменить препараты на 1-2 месяца под контролем уровней кортизола и АКТГ в крови. При сохранении показателей гормонов на нормальном уровне лечение прекратить.
- При достижения ремиссии заболевания после аденомэктомии или многоэтапного лечения – контроль кортизола 1 раз в 3-6 месяцев и контрольная МРТ турецкого седла 1 раз в год.
- Лечение осложнений БИК – остеопороза, кардиопатии, энцефалопатии.
Индикаторы эффективности лечения и безопасности методов диагностики и лечения:
- Наступление ремиссии после аденомэктомии
- Отсутствие осложнений после оперативного лечения (назальной ликвореи, синусита, гайморита, менингита)
- Отсутствие осложнений при проведении терапии ингибиторами стероидогенеза (токсические реакции со стороны печени, почек)

АЛГОРИТМ ЛЕЧЕНИЯ ГИПЕРКОРТИЦИЗМА [2]
Госпитализация
Показания для госпитализации:
1. Верификация диагноза БИК и определение тактики ведения. Плановая госпитализация в региональное специализированное эндокринологическое отделение *
2. Проведение трансназальной аденомэктомии в условиях ВСМП. Плановая госпитализация в профильные нейрохирургические отделения.
3. Для динамического наблюдения и лечения осложнений БИК плановая госпитализация в региональное специализированное эндокринологическое отделение
4. Проведение курса гамма-терапии. Плановая госпитализация в специализированное радиологическое отделение НИИ онкологии (Алматы) или региональные онкоцентры.
Для пациентов, проживающих в региональных центрах, где имеются оснащенные медицинские диагностические центры, возможно амбулаторное обследование и лечение.
Информация
Источники и литература
- Протоколы заседаний Экспертной комиссии по вопросам развития здравоохранения МЗ РК, 2013
- 1. Дедов И.И., Мельниченко Г.А., Эндокринология национальное руководство, Под. Ред. Дедова И.И., Мельниченко Г.А.,Москва, «ГЭОТАР – Медиа», 2012,633 – 646. 2. Алгоритмы диагностики и лечения гипоталамо-гипофизарных заболеваний. Под. Ред. Дедова И.И.,Мельниченко, Москва, 2011 г., 4,9. 3. Генри М. Кроненберг, Шломо Мелмед,Кеннет С., Полонски К., П.Рид Ларсен. Эндокринология по Вильямсу. Нейроэндокринология,М., «ГЭОТАР-Медиа», 2010, 321. 4. Генри М. Кроненберг, Шломо Мелмед,Кеннет С., Полонски К., П.Рид Ларсен. Эндокринология по Вильямсу. Заболевапния коры надпочечников и эндокринная артериальная гипертензия.,М. «ГЭОТАР-Медиа», 2010, 51 - 87. 5. Lamberts SWJ., Handbook of Cushings Disease. BioScientifica., 2011, 1 – 177 6. Buchfeider M., Schiaffer S., 2010 Pituitary Surgery for Cushing disease. Neuroendocrinology 92 (Sapp 1) 102 – 106.l
Информация
III. ОРГАНИЗАЦИОННЫЕ АСПЕКТЫ ВНЕДРЕНИЯ ПРОТОКОЛА
Список разработчиков протокола:
1. Базарбекова Р.Б. – д.м.н., профессор, заведующая кафедрой эндокринологии РГКП «Алматинский государственный институт усовершенствования врачей»
2. Косенко Т.Ф. – к.м.н., доцент кафедры эндокринологии РГКП «Алматинский государственный институт усовершенствования врачей»
3. Досанова А.К. – к.м.н., ассистент кафедры эндокринологии РГКП «Алматинский государственный институт усовершенствования врачей»Рецензенты:
Нурбекова А.А. –д.м.н., профессор кафедры эндокринологии КазНМУ имени С.Д. АсфендияроваУказание на отсутствие конфликта интересов: отсутствует.
Указание условий пересмотра протокола:
Отклонение от протокола допустимо при наличии сопутствующей патологии, индивидуальных противопоказаний к лечению. Данный протокол подлежит пересмотру каждые три года, либо при появлении новых доказанных данных по проведению процедуры реабилитации.Нарушения менструального цикла при болезни Иценко — Кушинга. Послеродовое ожирение
Диагностика послеродовой болезни Иценко — Кушинга. Механизмы развития послеродового ожирения
При гинекологическом исследовании у 1/3 больных обнаруживают гиперпигментацию наружных половых органов и кожи внутренней поверхности бедер, скудный рост волос на лобке. Матка обычного размера, иногда увеличена по сравнению с нормой, реже уменьшена.
В развитии заболевания можно различать определенную последовательность. Так, вначале отмечаются прогрессирующее ожирение, головные боли, гипертензия, дисфункциональные маточные кровотечения, относительная гиперэстрогения. При эндокринологическом обследовании находят нерезко выраженную гиперфункцию коры надпочечников. В дальнейшем возникают стойкая гипофункция яичников, аменорея, нормализация функции надпочечников и АД, снижение функции щитовидной железы, исчезают трофические нарушения кожи.
Большое значение в диагностике и раскрытии патогенеза заболевания имеют, кроме клинических данных, специальные методы исследования. На ЭЭГ у большинства женщин (около 80%) с тяжелой формой заболевания обнаруживаются нарушения биоэлектрической активности головного мозга (дезорганизация ритмов а, р, 0 и изредка гиперсинхронизированная активность). Эти изменения свидетельствуют о нарушении функции гипоталамуса, диэнцефальной области и коры головного мозга, повышении влияния активизирующей восходящей системы ствола головного мозга и гипоталамуса. У больных с легкой формой заболевания ЭЭГ нормальная.
При рентгенографии черепа выявляется (в 22% случаев) остеосклероз костей, у некоторых больных обнаруживаются признаки внутричерепной гипертензии («пальцевые вдавления»); остеопороза костей не установлено. Экскреция общих гонадо-тропинов находится на верхней границе нормы.
![послеродовое ожирение]()
При определении функции щитовидной железы по клиническим (внешний вид больной, величина и консистенция железы, пульс, температура, потоотделение) и лабораторным (основной обмен, накопительная функция щитовидной железы, определяемая радиоактивным методом с 131I, уровень холестерина крови, определение всех этапов йодного обмена) данным выявляется тенденция к ее повышению, как при стертой форме болезни Иценко — Кушинга.
При изучении углеводного обмена с помощью гликемических кривых сахарная кривая у большинства больных имеет нерезко выраженный гликемический характер; однако через 3 ч после нагрузки глюкозой сахарная кривая возвращается к исходным показателям и не имеет диабетического характера.
При определении суммарных гонадотропинов установлено, что у большинства больных (свыше 2/3) их содержание выше нормы, у остальных — нормальное.Экскреция 17-КС и дегидроэпиандростерона в пределах нормы. Среднестатистический показатель экскреции 17-ОКС в динамике несколько повышен (5,68±0,75 мг/сут), однако это повышение непостоянно. Экскреция свободных (биологически активных) оксикортикостероидов находится в пределах нормы (0,54±0,035 мг/сут) и лишь у некоторых больных она повышается (от 1,5 до 4,6 мг/сут).
В целом можно сделать заключение о повышении функций надпочечников, однако соотношение АКТГ — кора надпочечников не изменено.При изучении функции яичников у подавляющего большинства больных выявляется отсутствие овуляции. При цитологическом исследовании влагалищных мазков (по данным карио-пикнотического индекса и признака «зрачка») можно сделать заключение об отсутствии стойкой гипоэстрогении или об относительной гиперэстрогснии; об этом также свидетельствуют частое обнаружение несколько увеличенной матки и гиперплазии эндометрия, диспластическая или в стадии пролиферации слизистая оболочка. При определении прегнаидиола выявляется низкая экскреция (1,81 мг/сут).
Анамнестические и катамнестические данные, симптоматика заболевания (ожирение, лунообразное лицо, жажда, полиурия, трофические нарушения кожи) и лабораторные данные позволяют заключить, что заболевание патогенетически обусловлено поражением гипоталамо-гипофизарной системы с вторичным вовлечением в процесс периферических эндокринных желез.
Необходимо отметить, что имеется кардинальное различие в патогенезе послеродового гипопитуитаризма и послеродового ожирения: при гипопитуитаризме гипоталамо-гипофизарпая система угнетена, тогда как при послеродовом ожирении она напряжена, возбуждена (это особенно важно при выборе лечебных мероприятий).
Одним из серьезных осложнений патологической беременности и родов является ожирение и нарушение менструального цикла (промежуточная форма болезни Иценко — Кушинга). По выборочным данным В. Н. Серова, ожирение и нарушение менструального цикла были обнаружены у 4 (1,2%) из 253 женщин, перенесших ранее кровотечение в родах, у 6 (5,77%) из 104 женщин, страдавших ранее нефропатией беременных, и у 4 (4%) из 98 женщин, в анамнезе которых был инфицированный аборт. В то же время при обследовании 113 женщин, обратившихся за консультацией по поводу ожирения и нарушения менструального цикла, было установлено, что у значительного процента женщин предшествующая беременность была патологической; у 63 она осложнилась нефропатией, преэклампсией, у 36 — кровотечением в родах и у 14 — септической инфекцией (у некоторых женщин возник ряд осложнений).
Наследственное предрасположение к ожирению устанавливается лишь у каждой четвертой больной. Значительное большинство больных не отмечало ранее ожирения; лишь у некоторых оно возникало во время последней беременности.
Как указывалось выше, у значительного числа больных предшествующая беременность была патологической (нефропа-тия, преэклампсия, кровотечение, септическая инфекция). Ряд женщин отмечали у себя необычные для беременности симптомы: повышенный аппетит, жажду, полиурию (как при сахарном диабете), нарушение сна. При изучении генеза заболевания обращает на себя также внимание указание на перенесенное эмоциональное напряжение (стресс): сильный страх перед родами, резкая болезненность родовых схваток, потеря ребенка. У подавляющего большинства больных отмечается неблагоприятный прсморбидный фон: хронические заболевания верхних дыхательных путей, туберкулез, ревматизм, хронические воспалительные заболевания желудочно-кишечного тракта, позднее (в 15 лет и позже) менархе, олиго- и опсоменорея.Все указанные выше факторы безусловно способствуют возникновению заболевания, имеющего характерные черты обменнo-эндокринного гипоталамического поражения [Гращенков Н. И., Шефер Д. Г.] со вторичными вовлечениями в процесс периферических эндокринных желез.
![нарушение менструального цикла]()
Заболевание, как правило, возникает у женщин детородного возраста (в среднем 26 лет). Почти у 100% больных первым симптомом заболевания является ожирение. Увеличение массы тела происходит иногда неравномерно — весьма интенсивно в первый год после беременности и в дальнейшем равномерно. У других больных отмечается постепенное, из года в год, увеличение массы тела. При резком ожирении дифференцируются три его типа: равномерное, диффузное, гипофизарного типа (ожирение туловища при худых конечностях) или церебрального («фигурное») с преимущественным отложением жира на животе («фартук»), в области бедер («галифе»), молочных желез, плечевого пояса.
Вторым характерным симптомом заболевания является нарушение менструального цикла. По данным О. И. Ильиной, менструальная функция была нарушена у 86,2% больных, причем у 70% эти расстройства явились одним из первых признаков заболевания. Необходимо отметить, что в отличие от гипопитуитаризма, для которого характерна аменорея, у больных с послеродовым ожирением наблюдаются и аменорея (в подавляющем большинстве случаев), и дисфункциональные маточные кровотечения. В начальной стадии заболевания у некоторых больных возникают дисфункциональные маточные кровотечения, у больных с более тяжелой формой заболевания— аменорея.
Подобная динамика нарушений менструального цикла еще раз подтверждает современные представления [Жмакин К. Н.], что маточные кровотечения и аменорея — не принципиально различные болезненные формы, а фазы развития единого болезненного процесса. Подобные варианты нарушений менструального цикла — от кровотечений до аменореи — наблюдаются также при воспалительных процессах и туберкулезе женских половых органов [Шахновская В. Ф., при пороках сердца [Ванина Л. В.].
У подавляющего большинства (свыше 80%) больных, кроме ожирения и нарушений менструального цикла, возникает ряд болезненных симптомов: головные боли, повышенная раздражительность, снижение полового влечения, бесплодие, головокружение, нарушение сна или, наоборот, сонливость, жажда, полиурия, изредка ослабление памяти, приливы. В 25—33% случаев отмечается патологическое оволосение на верхней губе, подбородке, шее.
При объективном исследовании у большинства из них выявляются бледная и сухая кожа, плетора, лунообразное лицо, красные угри, полосы розового или фиолетового цвета на коже живота, молочных желез и бедер. Весьма часто отмечается транзиторная, редко — стойкая гипертония. Ряд авторов связывают гипертонию с гиперпродукцией минералокортикоидов. Однако при определении электролитов в крови не обнаруживают отклонений от нормы. При осмотре молочных желез выявляется депигментация околососковых кружков, уплощение сосков, при пальпации — атрофия железистой ткани.
Дифференциация послеродового ожирения, болезни Иценко-Кушинга
В настоящее время различают болезнь и синдром Иценко — Кушинга: в генезе болезни Иценко — Кушинга первичную роль играет нарушение функций гипоталамо-гипофизарной системы, повышение секреции гипоталамусом кортиколиберина; это в свою очередь вызывает повышение секреции и выделение в циркуляцию АКТГ. Термином «синдром Иценко — Кушинга» объединяют состояния, характеризующиеся симптомокомплексом, обусловленным гиперкортизолизмом.
Это гиперплазия коры надпочечников, аденома, аденокарцинома, эктопический рак вненадпочниковой локализации, продуцирующий АКТГ или АКТГ-подобные вещества [Баранов В. Г.]. Механизм этих двух состояний различен.Как И. М. Иценко, так и Е. И. Тараканов указывают, что одной из причин развития болезни может быть патология генеративной деятельности женщин. По наблюдениям В. Н. Серова, у всех больных последняя беременность до развития ожирения протекала патологически (поздний токсикоз, септическое заболевание, кровотечение).
В своей классической монографии «К клинике и патогенезу церебральных и вегетативных синдромов в связи с учением о межуточно-гипофизарной системе» И. М. Иценко выделил четыре формы болезни: 1) классическую с выраженными симптомами болезни; 2) промежуточную с неполным набором симптомов поражения гипо-таламо-гипофизарной системы; 3) субклиническую, или стертую; 4) мужскую.
![послеродовое ожирение]()
В соответствии с описанной выше клиникой заболевания и данными лабораторных исследований достаточно обоснованно отнести послеродовое ожирение и нарушения менструального цикла к промежуточной, или стертой (субклинической), форме болезни Иценко — Кушинга; у больных отмечены такие характерные для классической формы изменения, как стойкая гипертония, повышение секреции 17-КС и ДНА.
Некоторые авторы для обозначения такого заболевания применяют термин «диэнцефальный синдром по типу болезни Иценко — Кушинга». Мы полагаем, что в соответствии с классификацией И. М. Иценко правильнее определить это заболевание как промежуточную форму болезни Иценко — Кушинга.
При дифференциальной диагностике необходимо исключить опухоль надпочечников. Для этого применяют оксисупрарено-графию, определяют уровень экскреции 17-КС и 17-ОКС, ДНА, ставят пробы с преднизолоном и дексаметазоном, пробу Торна (по эозинофильному тесту) и пробу с АКТГ (по изменениям экскреции глюкокортикоида или кетостероидов).
При промежуточной форме болезни Иценко—Кушинга экскреция нейтральных 17-КС, ДЭА нормальная, проба с АКТГ по эозинофильному тесту, изменению экскреции 17-КС и проба с преднизолоном или дексаметазоном положительные; остеопо-роз отсутствует.
При опухоли коры надпочечников экскреция 17-КС и ДЭА повышена; последняя составляет от 10 до 50% по отношению к экскреции нейтральных 17-КС, пробы с АКТГ и преднизолоном или дексаметазоном отрицательные, остеопороз костей обнаруживается у большинства больных.
Для исключения аденомы гипофиза производят рентгенографию турецкого седла, определяют цветные поля зрения, консультируют больную с невропатологом.Болезнь Иценко — Кушинга - симптомы и лечение
Что такое болезнь Иценко — Кушинга? Причины возникновения, диагностику и методы лечения разберем в статье доктора Ворожцова Е. И., эндокринолога со стажем в 12 лет.
Над статьей доктора Ворожцова Е. И. работали литературный редактор Маргарита Тихонова , научный редактор Сергей Федосов
Определение болезни. Причины заболевания
Болезнь Иценко — Кушинга (БИК) — тяжёлое многосистемное заболевание гипоталомо-гипофизарного происхождения, клинические проявления которого обусловлены гиперсекрецией гормонов коры надпочечников. [1] Является АКТГ-зависимой формой гиперкортицизма (заболевания, связанного с избыточным выделением гормонов корой надпочечников).
![Женщина с симптомами болезни Иценко — Кушинга]()
Основная причина заболевания — кортикотрофная микроаденома (доброкачественная опухоль) гипофиза. Возникновение последней может быть связано со множеством факторов. Часто заболевание развивается после травмы головного мозга, беременности, родов, нейроинфекции.
![Микроаденома гипофиза]()
Болезнь Иценко — Кушинга является редким заболеванием, частота встречаемости которого составляет 2-3 новых случая в год на один миллион населения. [2]
При обнаружении схожих симптомов проконсультируйтесь у врача. Не занимайтесь самолечением - это опасно для вашего здоровья!
Симптомы болезни Иценко — Кушинга
Клинические признаки данной болезни обусловлены гиперсекрецией кортикостероидов. В большинстве случаев первым клиническим признаком является ожирение, которое развивается на лице, шее, туловище и животе, при этом конечности становятся тонкими. Позднее проявляются кожные изменения — истончение кожи, трудно заживающие раны, яркие стрии (растяжки), гиперпигментация кожи, гирсутизм (избыточное появление волос на лице и теле).
![Ожирение — первый клинический признак болезни Иценко — Кушинга]()
Также важным и частым симптомом является мышечная слабость, развитие остеопороза.
Артериальная гипертензия при БИК носит постоянный и умеренный характер, в редких случаях артериальное давление остаётся в норме. Это связано с тем, что глюкокортикоиды (гормоны, вырабатываемые корой надпочечников) повышают сосудистый тонус и чувствительность адренорецепторов к катехоламинам (природным веществам, контролирующим межклеточное взаимодействие в организме).
Более чем у половины больных возникают нарушения психики. Наиболее частые из них: эмоциональная неустойчивость, депрессия, раздражительность, панические атаки, расстройство сна.
Нарушения менструального цикла (редкие, скудные менструации или их отсутствие) встречается у 70-80% пациенток, также довольно часто встречается бесплодие. У мужчин при БИК снижается половое влечение и возникает эректильная дисфункция.
Болезнь Иценко — Кушинга сопровождается иммунодефицитом, который проявляется в виде рецидивирующей инфекции (чаще всего возникает хронический пиелонефрит).
Частота клинических проявлений БИК: [3]
- лунообразное лицо — 90%;
- нарушенная толерантность к глюкозе — 85%;
- абдоминальный тип ожирения и гипертензия — 80%;
- гипогонадизм (недостаток тестостерона) — 75%;
- гирсутизм — 70%;
- остеопороз и мышечная слабость — 65%;
- стрии — 60%;
- отёк суставов, акне и отложение жира в области VII шейного позвонка — 55%;
- боли в спине — 50%;
- нарушения психики — 45%;
- ухудшение заживления ран — 35%;
- полиурия (избыточное мочеобразование), полидипсия (чрезмерная жажда) — 30%;
- кифоз (искривление позвоночника) — 25%; и полицитемия (увеличение концентрации эритроцитов в крови) — 20%.
![Клинические проявления болезни Иценко — Кушинга]()
Патогенез болезни Иценко — Кушинга
Патогенез данного заболевания носит многоступенчатый характер.
В кортикотрофах гипофиза возникают характерные рецепторно-пострецепторные дефекты, в дальнейшем приводящие к трансформации нормальных кортикотрофов в опухолевые с гиперпродукцией адрено-кортикотропного гормона и последующим развитием гиперкортицизма. [4]
![Механизм развития болезни Иценко — Кушинга]()
На трансформацию нормальных кортикотрофов в опухолевые влияют гормоны гипоталамуса и местные ростовые факторы:
- эпидермальный фактор роста (стимулирует рост клеток эпителия);
- цитокины (отвечают за межклеточное взаимодействие);
- грелин (нарушает углеводный обмен); [14]
- сосудистый эндотелиальный фактор роста (способствует росту клеток эндотелия).
Хронически повышенная концентрация АКТГ приводит к повышенной секреции кортизола, который и обуславливает характерную клиническую картину БИК.
Классификация и стадии развития болезни Иценко — Кушинга
Классификация БИК по степени тяжести: [5]
- лёгкая форма — симптомы выражены в умеренной степени;
- средняя форма — симптомы явно выражены, осложнения отсутствуют;
- тяжёлая форма — при наличии всех симптомов БИК возникают различные осложнения.
Классификация БИК по течению:
- торпидное (патологические изменения формируются постепенно, на протяжении 3-10 лет);
- прогрессирующее (нарастание симптомов и осложнений заболевания происходит в течение 6-12 месяцев от начала заболевания);
- циклическое (клинические проявления возникают периодически, непостоянно).
Осложнения болезни Иценко — Кушинга
- Сосудистая исердечная недостаточность. Данное осложнение развивается у половины пациентов после 40 лет. Данная патология может привести к смерти. В большинстве случаев это происходит по причине тромбоэмболии лёгочной артерии, острой сердечной недостаточности и отёка легких.
- Патологические остеопоретические переломы. Наиболее часто встречаются переломы позвоночника, рёбер, трубчатых костей.
- Хроническая почечная недостаточность. У 25-30% больных снижается клубочковая фильтрация и канальцевая реабсорбция (обратное поглощение жидкости).
- Стероидный сахарный диабет. Данное осложнение наблюдается у 10-15% пациентов с данным заболеванием.
- Атрофия мыщц, в результате которой появляется выраженная слабость. У больных возникают трудности не только при передвижении, но и в момент вставания.
- Нарушения зрения (катаракта, экзофтальм, нарушение полей зрения).
- Психические расстройства. Наиболее часто встречается бессонница, депрессия, панические атаки, параноидальные состояния, истерия.
Диагностика болезни Иценко — Кушинга
Диагноз «Болезнь Иценко — Кушинга» можно установить на основании характерных жалоб, клинических проявлений, гормонально-биохимических изменений и данных инструментальных исследований.
Исключительно важными гормональными показателями для данной патологии будут АКТГ и кортизол. Уровень АКТГ повышается и колеблется в пределах от 80 до 150 пг/мл. [7] Повышение уровня кортизола в крови не всегда является информативным, так как увеличение данного показателя может быть обусловлено рядом других причин (стрессы, алкоголизм, беременность, эндогенная депрессия, семейная резистентность (споротивляемость) к глюкокортикоидам и т. д.). В связи с этим разработаны методы исследования уровня свободного кортизола в суточной моче или слюне. Наиболее информативным является исследование свободного кортизола в слюне в 23:00. [6]
Для доказательства гиперкортицизма используется малый дексаметазоновый тест. При БИК данная проба будет отрицательной, так как подавление кортизола при приёме 1 мг дексаметазона не происходит. [7]
Биохимический анализ крови способен выявить многочиселнные измения:
- повышение в сыворотке крови уровня холестерина, хлора, натрия и глобулинов;
- снижение в крови концентрации калия, фосфатов и альбуминов;
- снижение активности щелочной фосфатазы.
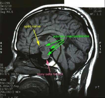
После подтверждённого гиперкортицизма необходимо проведение инструментальных методов исследования (МРТ гипофиза, КТ надпочечников).
![МРТ гипофиза]()
При БИК в 80-85% случаев выявляют микроаденому гипофиза (опухоль до 10 мм), у остальных 15-20% — макроаденому (доброкачественное новообразование от 10 мм). [7]
Лечение болезни Иценко — Кушинга
Медикаментозная терапия
В настоящее время эффективных лекарственных препаратов для лечения данной патологии не существует. В связи этим они используются либо при наличии противопоказаний для оперативного лечения, либо как вспомогательная терапия. Применяются следующие медикаменты:
- нейромодуляторы — блокируют образование АКТГ аденомой гипофиза (каберголин, бромкриптин, соматостатин); [8]
- препараты, блокирующие синтез стероидов в надпочечниках (кетоконазол, аминоглютетимид, митотан, метирапон);
- антагонисты глюкокортикоидов (мифепристон). [9]
Кроме препаратов данных групп пациентам назначается симптоматическая терапия для снижения симптомов гиперкортицизма и улучшения качества жизни пациента:
- гипотензивная терапия (ингибиторы АПФ, антагонисты кальция, диуретики, бета-адреноблокаторы);
- антирезорбтивная терапия при развитии стероидного остеопороза;
- препараты, корректирующие нарушения углеводного обмена (метформин, препараты сульфанилмочевины, инсулин);
- терапия, направленная на коррекцию дислипидемии;
- антиангинальная терапия.
Оперативная терапия
- Транссфеноидальная аденомэктомия в настоящее время считается наиболее эффективным и безопасным способом лечения БИК. [7] Противопоказаниями для данного вида лечения служат супраселлярный рост аденомы с прорастанием в боковые желудочки, тяжёлые сопутствующие заболевания, определяющие общий плохой послеоперационный прогноз. К осложнениям транссфеноидальной аденомэктомии относятся: ликворея (потеря спиномозговой жидкости), пансинусит (воспаление всех пазух носовой полости), несахарный диабет, приходящий гипокортицизм.
![Транссфеноидальная аденомэктомия]()
- Двусторонняя адреналэктомия используется при неэффективности аденомэктомии и радиохирургии. [10]
Радиохирургия
- Операция с помощью гамма-ножа. Во время проведения хирургического вмешательства луч радиации, направленный непосредственно в аденому гипофиза, разрушает её клетки. Данный метод лечения предотвращает рост опухоли при помощи однократной дозы радиации. Процедура длится около двух-трёх часов. Она не затрагивает окружающие структуры мозга, производится с точностью до 0,5 мм. Осложнения данной терапии — гиперемия (увеличение притока крови) в зоне облучения, алопеция (выпадение волос).
![Операция с помощью гамма-ножа]()
- Протонотерапия. [11] Данный вид лечения использует протонную энергию, которая генерируется в ядерных ускорителях. Протоны повреждают ДНК клеток, вследствие чего они погибают. Протоновый пучок фокусируют непосредственно на аденому, не повреждая окружающие ткани. Голова пациента фиксируется в специальной маске, которая изготавливается для каждого индивидуально. Во время процедуры облучения врач контролирует состояние больного, а операторы дистанционно наблюдают за пучком. Данный вид лечения обычно хорошо переносится пациентами. Улучшение самочувствия наблюдается уже через 1-1,5 месяца.
- Мегавольтное тормозное излучение медицинских ускорителей позволяет проникать электронам на большие расстояния. Данный вид терапии часто даёт хорошие результаты, но, одновременно с этим, усложняет дозиметрию (расчёты ионизирующих излучений), что может привести к опасным радиационным авариям.
Прогноз. Профилактика
Прогноз БИК зависит от нескольких показателей: формы и длительности заболевания, наличия осложнений, состояния иммунитета и других факторов.
Полное выздоровление и восстановление трудоспособности возможно при лёгкой форме болезни и небольшом стаже заболевания.
При средней и тяжёлой формах БИК трудоспособность крайне снижена или отсутствует. После проведённой двусторонней адреналэктомии развивается хроническая надпочечниковая недостаточность, которая диктует пожизненный приём глюко- и минералкортикоидов.
В целом любое лечение, как правило, приводит к улучшению качества жизни больного, однако она остаётся ниже, чем у лиц без данной патологии.
Болезнь Иценко — Кушинга — тяжёлое хроническое заболевание, которое при отсутствии своевременного лечения может стать причиной летального исхода. Смертность при данной патологии составляет 0,7%.
Пятилетняя выживаемость при БИК без проведения лечения составляет 50%, но заметно улучшается даже если проводить только паллиативное лечение (при двухсторонней адреналэктомии выживаемость увеличивается до 86%). [13]
Первичной профилактики БИК не существует. Вторичная профилактика заболевания направлена на предотвращение рецидива болезни.
Читайте также:
- Как ухаживать за центральным венозным катетером, если он не используется?
- Отравление алкоголем. Отравление метанолом. Отравления ядовитыми грибами.
- Опухоли брюшной полости. Лапароскопия при образованиях брюшной полости
- Системные отклонения при болезнях печени
- Риски осложнения беременности и родов. Разъяснение рисков беременности и родов











