Неходжкинская лимфома орбиты - клиника, прогноз
Добавил пользователь Владимир З. Обновлено: 28.11.2025
Одним из серьезных онкологических заболеваний является неходжкинская лимфома, прогноз для жизни при котором составляется с учетом многих факторов. В процессе протекания болезни поражаются лимфатические узлы по всему организму. В медицинской практике различают множество разновидностей данной болезни. Другими словами, это группа родственных заболеваний, объединяющая недуги с идентичными признаками и похожим характером протекания.
Особенности неходжкинской лимфомы
В какой бы форме ни протекала лимфома, болезнь представляет серьезную опасность для жизни, так как ее особенностью является быстрое прогрессирование и наличие большого количества метастазов. Этому заболеванию подвержены лица всех возрастов, но чаще всего патология диагностируется у людей, переступивших сорокалетний рубеж. Стоит заметить, что в молодом возрасте рак прогрессирует быстрее, вызывая развитие тяжелых осложнений в виде новых заболеваний, которые нередко заканчиваются летальным исходом.

Начало болезни характеризуется развитием разрушительного процесса лимфатической системы. Она отвечает за:
- очищение лимфы;
- образование лимфоцитов (белых кровяных телец);
- работу селезенки;
- функционирование сосудистой системы, включая железы и лимфатические узлы.
В зависимости от разновидности, неходжкинская лимфома может проявляться В-клетками или Т-клетками.
Раковые клетки формируются в лимфоузлах и быстро размножаются, в результате чего и происходит формирование опухолей.
Данное раковое заболевание относится к группе неопластических патологий, прогноз выживаемости которого варьируется от 1 года до 10 лет. Этот срок находится в прямой зависимости от субтипа лимфомы.
Причины возникновения неходжинской лимфомы
Причины возникновения нехожинской лимфомы до сих пор являются предметом исследования. Известно лишь то, что данный тип онкологии начинается с мутации лимфоцитов крови, которые перерождаются в злокачественные клетки. Одновременно происходит их изменение на генетическом уровне.
Факторами риска, способствующими развитию опухоли, могут быть:
- наследственная предрасположенность;
- неблагоприятная экологическая обстановка;
- профессиональная деятельность, связанная с химическим производством;
- тяжелые заболевания вирусной этиологии (СПИД, гепатит С и т.д.);
- болезни инфекционного характера (Helicobacter pylori и др.);
- операции по пересадке органов;
- химиотерапия и облучение, проведенные при лечении другого ракового заболевания;
- ожирение.
К особой группе риска относят людей с врожденным иммунодефицитом и заболеваниями аутоиммунного характера, такими как различные виды артритов, воспаление щитовидной железы, синдром Шегрена.
Неходжкинская лимфома изначально поражает лимфатическую систему, постепенно захватывая другие органы: селезенку, щитовидную железу, область миндалин и тонкую кишку. Характерным для данного заболевания является как локализация пораженных лимфоцитов в одном месте, так и распространение по всему организму.
Возникновение неходжкинской лимфомы у детей обусловлено воздействием сразу нескольких факторов:
- врожденной патологией иммунной системы (синдром Вискотта-Олдрича);
- воздействием ионизирующего облучения;
- наличием ВИЧ-инфекции;
- вирусными заболеваниями (инфекция Эпштейна-Барра);
- частым контактированием с химическими реактивам, медпрепаратами и канцерогенами.
Формы развития лимфомы и их классификация по месту локализации
В онкологии существует две формы лимфомы:
Агрессивная острая форма заболевания скоротечна и быстро прогрессирует. В случае возникновения такой патологии больной обычно умирает очень быстро.
Индолентная (лимфоплазмоцитарная) лимфома характеризуется вялым течением, шансы на выздоровление довольно велики, однако при частых рецидивах возможен летальный исход. Лимфома в такой форме может перетекать в диффузную, что существенно усугубляет ситуацию. Прогноз для здоровья и жизни онкобольного в этом случае неблагоприятный.
По локализации выделяют следующие виды неходжинских лимфом:
- нодальные опухоли, для которых характерным является поражение лимфатических узлов;
- экстранодальные, при которых раковые опухоли могут возникать в любом месте организма.
При составлении прогноза учитываются результаты цитологического анализа, который позволяет определить, какие образовались опухоли, — крупно- или мелкоклеточные.
От каких факторов зависит выживаемость при лимфоме
В соответствии с международным индексом, разработанным с целью составления предварительных прогнозов выживаемости при быстрорастущей лимфоме, выделяют 5 основных факторов, от которых зависит данный показатель:
- возрастная категория;
- стадия болезни;
- наличие сопутствующих патологий лимфатической системы;
- общее состояние здоровья пациента и индивидуальные особенности его организма;
- результаты анализов крови на уровень ЛГД.
Благоприятный прогноз имеют пациенты:
- в возрасте до 60 лет;
- при первой и второй стадии развития лимфомы;
- при отсутствии метастазирования за пределами лимфоузлов или наличии метастазов только на одном участке;
- нормальные показатели анализа ЛДГ;
- при сохранении всех функций организма.
Если показатели не соответствуют указанным и имеют тенденцию к ухудшению, то прогноз для жизни пациентов неблагоприятный.
Согласно исследованиям, которые велись в данном направлении, 75% людей в низкой группе риска могут прожить минимум 5 лет. Выживаемость пациентов из высокой группы риска равна примерно 30%.
За последние 10 лет в области онкологии были разработаны и внедрены новые методы лечения, усовершенствованы методы терапии злокачественных опухолей и предотвращения распространения метастазов. Данная тенденция положительно сказалась на возможности продления жизни онкобольных в обеих группах риска. Было отмечено, что в результате применения инновационных методов лечения большинство пациентов из высокой группы риска смогли прожить около 4 лет.
Прогноз выживаемости на разных стадиях развития неходжкинской лимфомы
Основанием для составления прогноза выживаемости больного и разработки схемы лечения является определение стадии заболевания. В онкологии выделяют 4 стадии неходжинской лимфомы:
- Первая стадия характеризуется развитием новообразований в группе лимфатических узлов. Процесс сопровождается локальным воспалением. При этом может иметь место поверхностное поражение жизненно важных органов. Диагностика усложняется отсутствием выраженной симптоматики, при которой клиническая картина болезни остается неясной.
- Вторая стадия характеризуется увеличением опухолей и односторонним поражением лимфоузлов. У больного отмечается ухудшение состояния и общая слабость. При протекании заболевания в В-клеточной форме ставится вопрос о хирургическом вмешательстве.
- Третья стадия характеризуется распространением лимфомы на диафрагмальную область, грудную клетку и органы брюшной полости. Поражаются несколько групп односторонних лимфоузлов и мягкие ткани.
- Четвертая стадия характерна развитием необратимых процессов. Поражаются лимфоузлы по всему огранизму. В процесс вовлекается головной и спинной мозг, внутренние органы, нервная и костная системы. Ситуация имеет самый неблагоприятный прогноз.
Сложно точно сказать, сколько живут при диагностировании неходжкинской лимфомы. На первых двух стадиях при проведении качественного лечения процент выживаемости достаточно высокий. Значение в этом случае имеет общая клиническая картина недуга и самочувствие больного. В случае протекания болезни по типу А признаки лимфомы могут себя никак не проявлять. Если заболевание протекает по типу В, то в большинстве случаев отмечается интоксикация организма, сопровождающаяся повышением температуры тела и быстрым снижением веса.
Благоприятный прогноз возможен и на поздних стадиях лимфомы, особенно при рецидиве не ранее чем через 2 года. Если же рецидивирующий процесс возобновляется в течение 10 — 11 месяцев, то риск смертельного исхода возрастает.
Роль гистологии при составлении прогноза на выживаемость
Гистологический анализ (патоморфологическое исследование) позволяет определить степень заболевания и шансы на выздоровление. Из-за бессимптомного протекания неходжкинской лимфомы пациенты, как правило, обращаются за помощью слишком поздно, когда констатируется последняя стадия заболевания.
При терминальной стадии рака, когда процесс разрастания опухолевых клеток становится неконтролируемым, прогноз выживаемости очень низкий.
Образования лимфоцитарного характера, сопровождающиеся поражением костного мозга, чаще всего возникают у пожилых людей. При четвертой стадии шансов на выживание у больных практически нет.
Заключение
От того, насколько правильно будет проведено лечение неходжкинской лимфомы, во многом зависит продолжительность жизни пациента. К сожалению, дать стопроцентную гарантию излечения и составить точный прогноз не в состоянии ни один врач. Не ответят доктора и на вопрос, сколько человек может прожить после хирургической операции, так как опухоль может повести себя по-разному, особенно если в организме остались метастазы. Однако шансы на достижение стойкой ремиссии при ранней диагностике и лечении намного выше.
Мантийноклеточная лимфома ( Лимфомой из клеток мантийной зоны )
Мантийноклеточная лимфома – это зрелая В-клеточная неходжкинская лимфома, которая возникает из мелких и средних клеток с неправильными контурами ядер. Основной причиной заболевания называют генную транслокацию CCND1. Клинические проявления включают малоболезненное увеличение лимфоузлов, гепатоспленомегалию, неспецифический интоксикационный синдром. Диагностика мантийноклеточной опухоли основана на результатах цитологического и иммуногистохимического анализа биоптатов. Лечение болезни предполагает интенсивные схемы химио- и иммунотерапии, трансплантацию костного мозга, симптоматическую терапию.
МКБ-10



Общие сведения
Диагноз «мантийноклеточная лимфома» (МКЛ), которую также называют лимфомой из клеток мантии, впервые появился в 1994 г. в «Пересмотренной Европейско-Американской классификации лимфоидных опухолей». Она составляет 3-10% от всех неходжкинских лимфом. Частота встречаемости заболевания варьирует от 0,5-0,7 случаев на 100 тыс. населения младше 65 лет до 3,9 случая в старшей возрастной группе. В России такой диагноз ежегодно обнаруживают примерно у 2500 пациентов. Чаще всего патологию выявляют у мужчин после 60 лет.

Причины
В 95% случаев развитие МКЛ связывают с транслокацией гена CCND1 в область конституционально гиперэкспресированных на В-лимфоцитах генов IgVH. Молекулярно-генетическое описание классического переноса – (11;14) (q13;q32), реже встречаются варианты t(2;11)(p11;q13) и t(11;22)(q13;q11). Оставшиеся 5% случаев заболевания вызваны перестройкой протоонкогена в гены легких цепей иммуноглобулинов.
Факторы риска
Значимую роль в развитии лимфопролиферативных процессов играют провоцирующие факторы. К наиболее известным из них относятся вирусные агенты: возбудитель гепатита С, вирус иммунодефицита человека, вирус Эпштейна-Барр. Вероятность мантийноклеточной лимфомы повышается среди пациентов с первичными иммунодефицитами и больных, которые длительное время получают иммуносупрессивную терапию в отделениях трансплантологии. Вклад экзогенных канцерогенов пока недостаточно изучен.
Патогенез
Основу заболевания составляет злокачественная трансформация нормальных В-лимфоцитов, которая возникает на фоне транслокации генов и гиперэкспрессии отдельных вариантов циклинов. Современные данные показывают, что повреждение гена CCND1 – не единственное онкогенное событие при МКЛ. В 80% случаев наблюдаются дополнительные цитогенетические поломки и усиление активности комплекса Cyclin D1-CDK4, который стимулирует переход клеток в фазу деления.
Вторым звеном патогенеза при мантийноклеточной лимфоме является усиление синтеза транскрипционного фактора SOX11. Он регулирует деление и рост злокачественных клеток, стимулирует ангиогенез, является прогностически неблагоприятным маркером. Экспрессия SOX11 важна для дифференциальной диагностики различных вариантов неходжкинских лимфом, когда не удается определить типичную для МКЛ транслокацию генов.

Классификация
Изучение молекулярной структуры опухолей позволяет разделить МКЛ на классический и индолентный варианты. Классическая лимфома составляет 80-90% случаев, происходит из В-клеток прегерминального этапа дифференцировки. Индолентный тип имеет мутации генов IGHV и является SOX11-негативным, в отличие от предыдущего варианта. В практической онкогематологии широко применяется модифицированная классификация Ann Arbor, в которой выделяют 4 стадии:
- СтадияI. Характеризуется вовлечением лимфатических узлов одной зоны или единичным поражением экстралимфатической ткани.
- СтадияII. Диагностируется при патологии более двух групп лимфоузлов с одной стороны от диафрагмы, либо при сочетанном поражении одного экстралимфатического органа и соседних лимфатических узлов.
- СтадияIII. Проявляется вовлечением лимфоидной ткани по обе стороны от диафрагмы, в том числе с единичным или множественным поражением экстранодулярных образований.
- СтадияIV. Устанавливается при диссеминированных поражениях экстралимфатических органов, независимо от вовлечения в процесс лимфоузлов.
Большое значение для врача-онколога имеет оценка прогностического индекса мантийноклеточной лимфомы. Для расчета этого показателя учитывают возраст пациента, уровень лактатдегидрогеназы крови, число лейкоцитов и обще состояние здоровья. Низкий риск прогрессирования устанавливается при сумме 0-3 балла, промежуточный – 4-5 баллов, высокий – 6-11 баллов.
Симптомы мантийноклеточной лимфомы
Основным проявлением заболевания является увеличение лимфатических узлов в одной или нескольких зонах тела. Периферическая лимфаденопатия на начальных этапах болезни протекает бессимптомно. Узлы имеют плотноэластическую консистенцию и остаются подвижными, по мере прогрессирования мантийноклеточной лимфомы они сливаются в обширные конгломераты. Кожа над увеличенными лимфоузлами не изменена, болевой синдром встречается редко.
Вторым типичным симптомом МКЛ является интоксикация. Больные жалуются на повышение температуры тела, обильное потоотделение вечером и ночью, слабость и снижение работоспособности. Беспокоит кожный зуд, из-за чего на теле остаются множественные следы расчесов. Опухолевый процесс сопровождается резким снижением массы тела: многие пациенты худеют на 10 кг за 2-3 месяца. Вследствие увеличения печени возможна тяжесть и дискомфорт в правом подреберье.
Осложнения
Основной проблемой мантийноклеточной лимфомы считается ее рецидивирование, которое не всегда удается предупредить даже интенсивными схемами фармакотерапии. Увеличение глубоких лимфоузлов чревато компрессией трахеи, пищевода, кишечника и мочеточников. Сдавление органов вызывает дыхательную недостаточность, кишечную непроходимость, задержку мочи. Иммуносупрессия повышает риск бактериальных, вирусных и грибковых инфекций.
Диагностика
Пациенты с симптомами лимфопролиферативных заболеваний проходят обследование у врача-онкогематолога. При первичном осмотре обращают внимание на количество и размеры увеличенных лимфоузлов, наличие гепатоспленомегалии, антропометрические показатели и внешние признаки белково-энергетической недостаточности. Для постановки диагноза назначаются следующие методы исследования:
- УЗИ лимфатических узлов. С помощью сонографии обнаруживают увеличение периферических и внутрибрюшных лимфоузлов, изменение их структуры. Дополнительно проводится ультразвуковая визуализация печени и селезенки, чтобы определить линейные размеры и структуру паренхимы органов.
- Биопсия лимфоузлов. Инвазивная диагностика показана всем пациентам с подозрением на МКЛ перед назначением противоопухолевого лечения. Для исследования необходим образец ткани увеличенного лимфоидного образования или пораженного экстралимфатического органа.
- Компьютерная томография. Исследование шеи, грудной и брюшной полости рекомендовано для оценки размеров и степени распространения лимфаденопатии. По показаниям выполняется МРТ, ПЭТ-КТ, радиоизотопное сканирование с галлием.
- Гистологическое исследование. При мантийноклеточном типе лимфомы определяется зрелоклеточная опухоль с нодулярным, диффузным или смешанным характером роста. При осмотре под микроскопом клетки имеют ядра неправильной формы и ободок бледной цитоплазмы.
- Иммуногистохимический анализ. Для клеток МКЛ характерна фиксация поверхностных иммуноглобулинов M и D, которые позитивны по CD20, CD79a, CD5, CD43. Наблюдается положительное окрашивание на ядерный циклин D1. По результатам иммуногистохимии верифицируется морфологическая форма опухоли.
- Анализы крови. В гемограмме определяют повышение СОЭ, снижение числа эритроцитов и гемоглобина, умеренный тромбоцитоз. В биохимическом анализе крови особое внимание обращают на показатели ЛДГ, общего белка, электролитов, чтобы выявить синдром опухолевого лизиса и сопутствующие поражения внутренних органов. В коагулограмме наблюдается рост Д-димера.
Дифференциальная диагностика
Мантийноклеточную лимфому дифференцируют с более распространенными причинами лимфаденопатии:
- лимфогранулематозом;
- инфекционным мононуклеозом;
- специфическими инфекционными лимфаденитами при бруцеллезе, сифилисе, туберкулезе.
При локализации опухоли в области средостения необходимо исключить тимому. В рамках иммуногистохимического исследования проводится дифференциальная диагностика разных типов неходжкинских лимфом.

Лечение мантийноклеточной лимфомы
Консервативная терапия
Основу лечения заболевания составляет интенсивная схема иммунохимиотерапии с последующей консолидацией. Выбор терапевтической программы зависит от молекулярно-генетических особенностей опухоли, возраста и соматического статуса пациента, тяжести сопутствующих заболеваний. Учитывая агрессивное течение классической МКЛ, терапию рекомендовано начинать в максимально ранние сроки. При индолентной форме возможна выжидательная тактика.
Оптимальным вариантом признана высокодозная химиотерапия, которая проводится по общепринятым протоколам. Она включает один или несколько противоопухолевых препаратов с разными механизмами действия. У пациентов до 65 лет без значимых коморбидных состояний фармакотерапию дополняют трансплантацией аутологичных гемопоэтических стволовых клеток. ТГСК предшествует кондиционирование, которое требует сочетания лучевой терапии и химиотерапии.
Для облегчения состояния больных во время курса иммунохимиотерапии назначается симптоматическое лечение. Обязательно используют обезболивающую терапию, в том числе с применением опиоидных анальгетиков. Важную роль имеет профилактика тошноты и рвоты препаратами центрального действия. Проводится коррекция уровня форменных элементов крови, устраняются проявления нутритивного дефицита.
Экспериментальное лечение
Особое внимание уделяется терапии пациентов старше 65 лет, когда необходимо найти баланс между противоопухолевым действием препаратов и допустимыми побочными эффектами. Большой интерес представляют режимы «chemo-free», которые включают индукционный этап и поддерживающую терапию. Длительность протоколов не превышает 3 года. В клинических исследованиях схема «chemo-free» показывает общую 5-летнюю выживаемость на уровне 77%.
Стандартные схемы химиотерапии дополняются новыми иммунотерапевтическими препаратами. Хорошие перспективы имеют ингибиторы протеасомы 26S, которая взаимодействует с комплексом Cyclin D1–CDK4. В комплексном лечении применяются ингибиторы В-клеточного рецептора, которые угнетают пролиферацию опухолевых клеток. Для терапии рецидивирующей МКЛ используются препараты из группы ингибиторов mTOR-киназы.
Прогноз и профилактика
Появление новых лекарственных средств позволяет снять «печать фатальности» с мантийноклеточной лимфомы. Однако общая 5-летняя выживаемость составляет не более 71%, выживаемость без прогрессирования – 45%. Более благоприятный прогноз для больных с индолентным вариантом патологии, который отличается невысокой опухолевой нагрузкой и низкой пролиферативной активностью (уровень ядерного белка Ki67 менее 10%). Меры профилактики МКЛ пока не разработаны.
2. Мантийноклеточная лимфома: история, современные принципы диагностики, лечение (обзор литературы)/ Г.С. Тумин// Клиническая онкогематология. – 2020. – №13.
3. Мантийноклеточная лимфома: программное лечение первичных больных в возрасте до 65 лет/ В.И. Воробьев, С.К. Кравченко, Э.Г. Гемджян, Ю.Ю. Лорие// Клиническая онкогематология. – 2013. – №3.
Лимфома орбиты
Лимфома орбиты – это злокачественная Т- или В-клеточная опухоль, которая располагается в зоне глазного яблока и окружающих его тканей. Развитию заболевания способствуют вирусные инфекции, дизиммунные процессы, генетические факторы и токсические влияния. Патология проявляется экзофтальмом, затруднениями при движении глазом, опущением верхнего века. Для диагностики опухоли используют УЗИ глазного яблока, КТ и МРТ орбиты, биопсию с цитологическим и иммунологическим исследованием. Лечение первичных форм проводится методом лучевой терапии, при диссеминированных вариантах используют полихимиотерапию.



Орбитальные лимфомы в основном имеют неходжкинское происхождение и составляют до 4% всех экстранодулярных новообразований этого типа. Первичное поражение тканей орбиты встречается в 3 раза чаще, чем вовлечение глазницы при диссеминированной форме. К группе риска принадлежат люди старше 60 лет. Крайне редко поражение периорбитальных тканей вызвано лимфомой Ходжкина. Орбитальная лимфома распространена в современной офтальмологии, однако при ее ранней диагностике и подборе адекватной терапии могут возникать трудности, решение которых требует мультидисциплинарного подхода.

Этиологическая структура лимфомы орбиты аналогична другим вариантам злокачественных лимфопролиферативных заболеваний. Точные причины развития болезни пока не установлены. Предполагается, что для начала опухолевого процесса необходима комбинация эндогенных и экзогенных факторов риска. Наиболее значимые этиологические факторы лимфомы орбиты:
- Иммунные нарушения. Лимфопролиферативные процессы характерны для людей с первичными синдромами иммунодефицита, нелеченой ВИЧ-инфекцией. Более высокий риск заболевания среди пациентов, которые получают иммуносупрессивную терапию, перенесли операцию по трансплантации костного мозга или внутренних органов.
- Инфекции. Развитие неходжкинской лимфомы орбиты связывают с заражением вирусом Эпштейна-Барр, Т-лимфотропным вирусом 1 типа, герпесвирусом 8 типа. К группе вероятных провоцирующих факторов относят возбудителей вирусных гепатитов В и С. Большое значение имеет хроническая хламидийная инфекция органа зрения.
- Токсические воздействия. Провоцирующим фактором лимфомы могут выступать некоторые гербициды и инсектициды, промышленные отравляющие вещества. Вероятность болезни коррелирует с частотой и длительностью интоксикации, поэтому в группе риска находятся люди с профессиональными заболеваниями.
- Отягощенная наследственность. Риск злокачественной опухоли орбиты повышается у пациентов, которые имеют в геноме однонуклеотидные полиморфизмы. Предрасполагающим фактором является наличие родственников первой линии, болеющих ходжкинской или неходжкинской лимфомой.
В 90% случаев первичный клон опухолевых клеток развивается из нормальных В-лимфоцитов, в которых под действием разных факторов нарушаются процессы деления, и начинается неограниченный рост. Образование лимфомы связывают с рядом нарушений клеточного апоптоза, утратой контроля над дифференцировкой лимфоцитов, активацией онкогенов. Опухоль увеличивается в размерах, вытесняя здоровые ткани и вызывая компрессию структур орбиты.
При постановке диагноза орбитальной лимфомы применяются стандартные подходы к систематизации заболевания. Неходжкинские лимфопролиферативные опухоли подразделяются на В-клеточные и Т-клеточные, что зависит от клеток-предшественников новообразования. В орбите зачастую определяются MALT-лимфомы, которые принадлежат к индолентным (вялотекущим) формам и ассоциированы со слизистыми оболочками.

Симптомы лимфомы орбиты
Большинство случаев новообразования имеют односторонний характер. Поскольку патология сопровождается разрастанием лимфоидной ткани, глазное яблоко на стороне поражения смещается наружу – возникает экзофтальм. Если лимфома орбиты расположена пристеночно, возникает боковой экзофтальм, глаз сдвигается в противоположную от очага сторону. При локализации опухоли в зоне мышечной воронки, экзофтальм имеет осевой характер.
Для лимфомы орбиты характерно постепенное нарастание экзофтальма и его умеренный характер (выступание глазного яблока в среднем на 5-6 мм). По мере роста опухоли пациенты предъявляют жалобы на затруднения при повороте глаза, невозможность полностью сомкнуть веки, сухость и чувство «песка» в глазах из-за недостаточного увлажнения конъюнктивы. Зрительная функция не страдает, однако возможно двоение в глазах и ограничение полей зрения из-за птоза века.
Изредка орбитальная лимфома имеет быстропрогрессирующее течение. В таком случае экзофтальм стремительно увеличивается, сопровождается повышением внутриглазного давления и болями в пораженном глазу. Несмыкание век вызывает кератопатию. В редких случаях наблюдается вовлечение мышц и других тканей орбиты. Такие проявления характерны для длительно существующей нелеченой лимфомы, иммунокомпрометированных групп пациентов.
Первичная лимфома орбиты, которая является наиболее частой формой болезни, без лечения может переходить в системное лимфопролиферативное заболевание. Спустя 10 лет от манифестации локальной лимфомы более 30% людей сталкиваются с другими формами экстранодулярного поражения. Иммуносупрессия на фоне лимфопролиферативных состояний обуславливает предрасположенность пациента к инфекционным заболеваниям, которые нередко становятся причиной смерти.
Пациенты с характерными жалобами первично обращаются к врачу-офтальмологу. При подозрении на лимфопролиферативный процесс к обследованию привлекают онколога или онкогематолога. Данные физикального осмотра при лимфоме орбиты малоинформативны: определяется экзофтальм, отек периорбитальных тканей, покраснение конъюнктивы глаза. Чтобы поставить точный диагноз, используют ряд инструментальных и лабораторных методов:
- УЗИ глаза. Эхосонография проводится на этапе первичной диагностики, чтобы определить наличие объемного новообразования, исключить другие причины внешних глазных симптомов. УЗИ не дает возможности дифференцировать разные виды опухолей, поэтому обязательно дополняется другими видами диагностики.
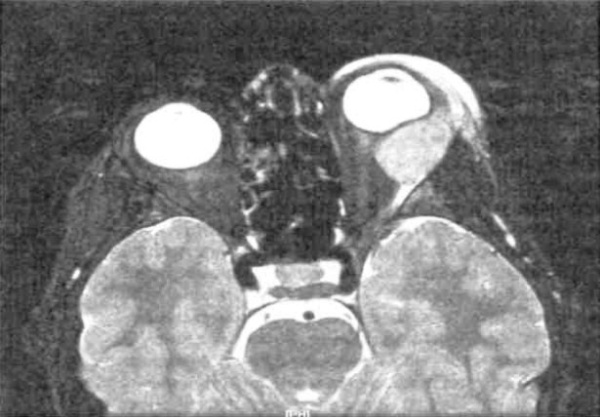
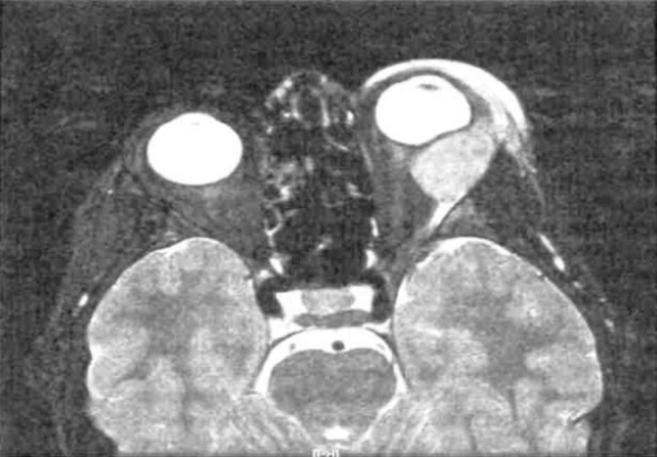
- КТ орбиты. На КТ-снимках лимфома орбиты имеет вид объемного образования неоднородной структуры. Опухоли бывают единичными или множественными, контуры новообразования имеют нечеткие границы. При запущенной форме болезни по данным КТ определяется разрушение костной стенки глазницы.
- МРТ орбиты. На МРТ-снимках определяются объемные новообразования неправильной формы, которые изоинтенсивны по отношению к мышцам орбиты и гиперинтенсивны относительно жировой клетчатки. Изредка визуализируется утолщение и инфильтрация глазных мышц.
- Тонкоигольная аспирационная биопсия. При цитологической диагностике биоптатов опухоли определяются атипические клетки с патологией клеточных мембран. Большинство опухолей орбиты имеют В-клеточное происхождение. Для установления типа лимфомы и выбора тактики лечения назначается иммунологическое исследование биоптатов.
- Лабораторная диагностика. Пациентам рекомендованы анализы на ВИЧ-инфекцию, вирусные гепатиты и герпесвирусы, чтобы исключить ассоциированную патологию. Всем больным лимфомами проводятся клинический и биохимический анализы крови, коагулограмма, иммунограмма.
Лимфому орбиты необходимо дифференцировать с кавернозной гемангиомой, опухолями оболочек зрительного нерва, гемангиоперицитомой, метастазами в периорбитальную зону. Обязательно исключают редкие опухоли глазницы: невриному, рабдомиосаркому. Большие трудности для практической онкологии представляет дифференциальная диагностика между лимфомой и доброкачественной гиперплазией лимфоидной ткани орбиты.

Лечение лимфомы орбиты
Основным методом лечения является наружное облучение орбиты. Это самый результативный способ уничтожения злокачественной опухоли, который показан большинству пациентов, независимо от стадии и гистологического типа заболевания. При своевременном начале лучевой терапии удается достичь регресса симптоматики, частичного или полного восстановления подвижности глазного яблока.
В случае диссеминированной неходжкинской лимфомы, протекающей с вовлечением тканей орбиты, радиотерапию дополняют полихимиотерапией. Комбинированное высокодозное лечение признано оптимальным вариантом для достижения длительной ремиссии и улучшения отдаленного прогноза для пациента. Конкретные наименования и сочетания цитостатиков подбираются врачом-онкологом по результатам полной диагностики опухоли.
Хирургическое лечение
При единичной лимфоме небольшого размера операцией выбора является иссечение опухоли в пределах здоровых тканей. Благодаря микрохирургической технике операции во многих случаях удается сохранить зрительную функцию и эстетичный внешний вид пациента. Гигантские опухоли, занимающие большую часть глазницы, являются показанием к радикальной операции – экзентерации орбиты. Учитывая калечащий характер вмешательства, его проводят достаточно редко.
При первичной лимфоме средняя 5-летняя выживаемость составляет более 83%, что является хорошим показателем для лимфопролиферативных состояний. В этом случае прогноз для жизни и сохранности зрительной функции благоприятный. Менее оптимистичный прогноз при диссеминированных вариантах болезни. Учитывая сложность и многогранность этиопатогенеза заболевания, результативные меры профилактики пока не разработаны.
1. Особенности клинической картины злокачественной лимфомы орбиты/ А.Ф. Бровкина// Вестник офтальмологии. – 2019. – №5.
4. Злокачественные лимфомы органа зрения. Проблемы и перспективы (взгляд офтальмолога)/ Е.Е. Гришина// Современная онкология. – 2006. – №4.
Неходжкинские лимфомы ( Лимфосаркома )
Неходжкинские лимфомы – опухолевые заболевания лимфатической системы, представленные злокачественными B- и T-клеточными лимфомами. Первичный очаг может возникать в лимфатических узлах либо других органах и в дальнейшем метастазировать лимфогенным или гематогенным путем. Клиника лимфом характеризуется лимфаденопатией, симптомами поражения того или иного органа, лихорадочно-интоксикационным синдромом. Диагностика основывается на клинико-рентгенологических данных, результатах исследования гемограммы, биоптата лимфоузлов и костного мозга. Противоопухолевое лечение включает курсы полихимиотерапии и лучевой терапии.



Неходжкинские лимфомы (НХЛ, лимфосаркомы) – различные по морфологии, клиническим признакам и течению злокачественные лимфопролиферативные опухоли, отличные по своим характеристикам от лимфомы Ходжкина (лимфогранулематоза). В зависимости от места возникновения первичного очага гемобластозы делятся на лейкозы (опухолевые поражения костного мозга) и лимфомы (опухоли лимфоидной ткани с первичной внекостномозговой локализацией). На основании отличительных морфологических признаков лимфомы, в свою очередь, подразделяются на ходжкинские и неходжкинские; к числу последних в гематологии относят В- и Т-клеточные лимфомы. Неходжкинские лимфомы встречаются во всех возрастных группах, однако более половины случаев лимфосарком диагностируется у лиц старше 60 лет. Средний показатель заболеваемости среди мужчин составляет 2-7 случая, среди женщин – 1-5 случаев на 100 000 населения. В течение последних лет прослеживается тенденция к прогрессирующему увеличению заболеваемости.

Этиология лимфосарком достоверно неизвестна. Более того, причины лимфом различных гистологических типов и локализаций существенно варьируются. В настоящее время правильнее говорить о факторах риска, повышающих вероятность развития лимфомы, которые на данный момент хорошо изучены. Влияние одних этиофакторов выражено значительно, вклад других в этиологию лимфом весьма несущественен. К такого рода неблагоприятным предпосылкам относятся:
- Инфекции. Наибольшим цитопатогенным эффектом на лимфоидные клетки обладает вирус иммунодефицита человека (ВИЧ), гепатита С, Т-лимфотропный вирус 1 типа. Доказана связь инфицирования вирусом Эпштейна-Барр с развитием лимфомы Беркитта. Известно, что инфекция Helicobacter pylori, ассоциированная с язвенной болезнью желудка, может вызывать развитие лимфомы той же локализации.
- Дефекты иммунитета. Риск возникновения лимфом повышается при врожденных и приобретенных иммунодефицитах (СПИДе, синдроме Вискотта-Олдрича, Луи-Бар, Х-сцепленном лимфопролиферативном синдроме и др.). У пациентов, получающих иммуносупрессивную терапию по поводу трансплантации костного мозга или органов, вероятность развития НХЛ увеличивается в 30-50 раз.
- Сопутствующие заболевания. Повышенный риск заболеваемости НХЛ отмечается среди пациентов с ревматоидным артритом, красной волчанкой, что может быть объяснено как иммунными нарушениями, так и использованием иммуносупрессивных препаратов для лечения данных состояний. Лимфома щитовидной железы обычно развивается на фоне аутоиммунного тиреоидита.
- Токсическое воздействие. Прослеживается причинно-следственная связь между лимфосаркомами и предшествующим контактом с химическими канцерогенами (бензолом, инсектицидами, гербицидами), УФ-излучением, проведением лучевой терапии по поводу онкологического заболевания. Прямое цитопатическое действие оказывают цитостатические препараты, применяемые для химиотерапии.
Патологический лимфогенез инициируется тем или иным онкогенным событием, вызывающим нарушение нормального клеточного цикла. В этом могут быть задействованы два механизма - активация онкогенов либо подавление опухолевых супрессоров (антионкогенов). Опухолевый клон при НХЛ в 90% случаев формируется из В-лимфоцитов, крайне редко – из Т-лимфоцитов, NK- клеток или недифференцированных клеток.
Для различных типов лимфом характерны определенные хромосомные транслокации, которые приводят к подавлению апоптоза, утрате контроля над пролиферацией и дифференцировкой лимфоцитов на любом этапе. Это сопровождается появлением клона бластных клеток в лимфатических органах. Лимфоузлы (периферические, медиастинальные, мезентериальные и др.) увеличиваются в размерах и могут нарушать функцию близлежащих органов. При инфильтрации костного мозга развивается цитопения. Разрастание и метастазирование опухолевой массы сопровождается кахексией.
Лимфосаркомы, первично развивающиеся в лимфоузлах называются нодальными, в других органах (небной и глоточных миндалинах, слюнных железах, желудке, селезенке, кишечнике, головном мозге, легких, коже, щитовидной железе и др.) - экстранодальными. По структуре опухолевой ткани НХЛ делятся на фолликулярные (нодулярные) и диффузные. По темпам прогрессирования лимфомы классифицируются на индолентные (с медленным, относительно благоприятным течением), агрессивные и высоко агрессивные (с бурным развитием и генерализацией). При отсутствии лечения больные с индолентными лимфомами живут в среднем 7 – 10 лет, с агрессивными – от нескольких месяцев до 1,5-2 лет.
Современная классификация насчитывает свыше 30 различных видов лимфосарком. Большая часть опухолей (85%) происходит из В-лимфоцитов (В-клеточные лимфомы), остальные из Т-лимфоцитов (Т-клеточные лимфомы). Внутри этих групп существуют различные подтипы неходжкинских лимфом. Группа В-клеточных опухолей включает:
- диффузную В-крупноклеточную лимфому – самый распространенный гистологический тип лимфосарком (31%). Характеризуется агрессивным ростом, несмотря на это почти в половине случаев поддается полному излечению.
- фолликулярную лимфому – ее частота составляет 22% от числа НХЛ. Течение индолентное, однако возможна трансформация в агрессивную диффузную лимфому. Прогноз 5-летней выживаемости – 60-70%.
- мелкоклеточную лимфоцитарную лимфомуи хронический лимфоцитарный лейкоз – близкие типы НХЛ, на долю которых приходится 7% от их числа. Течение медленное, но плохо поддающееся терапии. Прогноз вариабелен: в одних случаях лимфосаркома развивается в течение 10 лет, в других – на определенном этапе превращается в быстрорастущую лимфому.
- лимфому из мантийных клеток– в структуре НХЛ составляет 6%. Пятилетний рубеж выживаемости преодолевает лишь 20% больных.
- В-клеточные лимфомы из клеток маргинальной зоны – делятся на экстранодальные (могут развиваться в желудке, щитовидной, слюнных, молочных железах), нодальные (развиваются в лимфоузлах), селезеночную (с локализацией в селезенке). Отличаются медленным локальным ростом; на ранних стадиях хорошо поддаются излечению.
- В-клеточную медиастинальную лимфому – встречается редко (в 2% случаев), однако в отличие от других типов поражает преимущественно молодых женщин 30-40 лет. В связи с быстрым ростом вызывает компрессию органов средостения; излечивается в 50% случаев.
- макроглобулинемию Вальденстрема (лимфоплазмоцитарную лимфому) – диагностируется у 1% больных с НХЛ. Характеризуется гиперпродукцией IgM опухолевыми клетками, что приводит к повышению вязкости крови, сосудистым тромбозам, разрывам капилляров. Может иметь как относительно доброкачественное (с выживаемостью до 20 лет), так и скоротечное развитие (с гибелью пациента в течение 1-2 лет).
- волосатоклеточный лейкоз– очень редкий тип лимфомы, встречающийся у лиц пожилого возраста. Течение опухоли медленное, не всегда требующее лечения.
- лимфому Беркитта – на ее долю приходится около 2% НХЛ. В 90% случаев опухоль поражает молодых мужчин до 30 лет. Рост лимфомы Беркитта агрессивный; интенсивная химиотерапия позволяет добиться излечение половины больных.
- лимфому центральной нервной системы – первичное поражение ЦНС может затрагивать головной или спинной мозг. Чаще ассоциируется с ВИЧ-инфекцией. Пятилетняя выживаемость составляет 30%.
Неходжкинские лимфомы Т-клеточного происхождения представлены:
- Т-лимфобластной лимфомой или лейкозом из клеток-предшественников – встречается с частотой 2%. Различаются между собой количеством бластных клеток в костном мозге: при 25% - как лейкоз. Диагностируется преимущественно у молодых людей, средний возраст заболевших – 25 лет. Худший прогноз имеет Т-лимфобластный лейкоз, показатель излечения при котором не превышает 20%.
- периферическими Т-клеточными лимфомами, включающими кожную лимфому (синдром Сезари, грибовидный микоз), ангиоиммунобластную лимфому, экстранодальную лимфому из естественных киллеров, лимфому с энтеропатией, панникулитоподобную лимфому подкожной клетчатки, крупноклеточную анапластическую лимфому. Течение большей части Т-клеточных лимфом быстрое, а исход неблагоприятный.

Симптомы
Варианты клинических проявлений НХЛ сильно варьируются в зависимости от локализации первичного очага, распространенности опухолевого процесса, гистологического типа опухоли и пр. Все проявления лимфосарком укладываются в три синдрома: лимфаденопатии, лихорадки и интоксикации, экстранодального поражения. В большинстве случаев первым признаком НХЛ служит увеличение периферических лимфоузлов. Вначале они остаются эластичными и подвижными, позднее сливаются в обширные конгломераты. Одновременно могут поражаться лимфоузлы одной или многих областей. При образовании свищевых ходов необходимо исключить актиномикоз и туберкулез.
Такие неспецифические симптомы лимфосарком, как лихорадка без очевидных причин, ночная потливость, потеря веса, астения в большинстве случаев указывают на генерализованный характер заболевания. Среди экстранодальных поражений доминируют неходжкинские лимфомы кольца Пирогова-Вальдейера, ЖКТ, головного мозга, реже поражаются молочная железа, кости, паренхима легких и др. органы. Лимфома носоглотки при эндоскопическом исследовании имеет вид опухоли бледно-розового цвета с бугристыми контурами. Часто прорастает верхнечелюстную и решетчатую пазуху, орбиту, вызывая затруднение носового дыхания, ринофонию, снижение слуха, экзофтальм.
Первичная лимфосаркома яичка может иметь гладкую или бугристую поверхность, эластическую или каменистую плотность. В некоторых случаях развивается отек мошонки, изъязвление кожи над опухолью, увеличение пахово-подвздошных лимфоузлов. Лимфомы яичка предрасположены к ранней диссеминации с поражением второго яичка, ЦНС и др.
Лимфома молочной железы при пальпации определяется как четкий опухолевый узел или диффузное уплотнение груди; втяжение соска нехарактерно. При поражении желудка клиническая картина напоминает рак желудка, сопровождаясь болями, тошнотой, потерей аппетита, снижением веса. Абдоминальные лимфосаркомы могут проявлять себя частичной или полной кишечной непроходимостью, перитонитом, синдромом мальабсорбции, болями в животе, асцитом. Лимфома кожи проявляется зудом, узелками и уплотнением красновато-багрового цвета. Первичное поражение ЦНС более характерно для больных СПИДом – течение лимфомы данной локализации сопровождаются очаговой или менингеальной симптоматикой.
Наличие значительной опухолевой массы может вызывать сдавление органов с развитием жизнеугрожащих состояний. При поражении медиастинальных лимфоузлов развивается компрессия пищевода и трахеи, синдром сдавления ВПВ. Увеличенные внутрибрюшные и забрюшинные лимфатические узлы могут вызвать явления кишечной непроходимости, лимфостаза в нижней половине туловища, механической желтухи, компрессии мочеточника. Прорастание стенок желудка или кишечника опасно возникновением кровотечения (в случае аррозии сосудов) или перитонита (при выходе содержимого в брюшную полость). Иммуносупрессия обусловливает подверженность пациентов инфекционным заболеваниям, представляющим угрозу для жизни. Для лимфом высокой степени злокачественности характерно раннее лимфогенное и гематогенное метастазирование в головной и спинной мозг, печень, кости.
Вопросы диагностики неходжкинских лимфом находятся в компетенции онкогематологов. Клиническими критериями лимфосаркомы служат увеличение одной или нескольких групп лимфоузлов, явления интоксикации, экстранодальные поражения. Для подтверждения предполагаемого диагноза необходимо проведение морфологической верификации опухоли и инструментальной диагностики:
- Исследование клеточного субстрата опухоли. Выполняются диагностические операции: пункционная или эксцизионная биопсия лимфоузлов, лапароскопия, торакоскопия, аспирационная пункция костного мозга с последующими иммуногистохимическими, цитологическими, цитогенетическими и другими исследованиями диагностического материала. Кроме диагностики, установление структуры НХЛ важно для выбора тактики лечения и определения прогноза.
- Методы визуализации. Увеличение медиастинальных и внутрибрюшных лимфоузлов обнаруживается с помощью УЗИ средостения, рентгенографии и КТ грудной клетки, брюшной полости. В алгоритм обследования по показаниям входят УЗИ лимфатических узлов, печени, селезенки, молочных желез, щитовидной железы, органов мошонки, гастроскопия. С целью стадирования опухоли проводится МРТ внутренних органов; в выявлении метастазов информативны лимфосцинтиграфия, сцинтиграфия костей.
- Лабораторная диагностика. Направлена на оценку факторов риска и функции внутренних органов при лимфомах различных локализаций. В группе риска производится определение ВИЧ-антигена, анти-HCV. Изменение периферической крови (лимфоцитоз) характерно для лейкемизации. Во всех случаях исследуется биохимический комплекс, включающий печеночные ферменты, ЛДГ, мочевую кислоту, креатинин и др. показатели. Своеобразным онкомаркером НХЛ может служить b2-микроглобулин.
Дифференцировать неходжкинские лимфомы приходится с лимфогранулематозом, метастатическим раком, лимфаденитами, возникающими при туляремии, бруцеллезе, сифилисе, туберкулезе, токсоплазмозе, инфекционном мононуклеозе, гриппе, СКВ и др. При лимфомах конкретных локализаций проводятся консультации профильных специалистов: оториноларинголога, гастроэнтеролога, маммолога и т.д.

Лечение
Варианты лечения неходжкинских лимфом включают оперативный метод, лучевую терапию и химиотерапию. Выбор методики определяется морфологическим типом, распространенностью, локализацией опухоли, сохранностью и возрастом больного. В современной онкогематологии приняты протоколы лечения лимфосарком, базирующиеся на использовании:
- Химиотерапии. Наиболее часто лечение лимфом начинают с курса полихимиотерапии. Этот метод может являться самостоятельным или сочетаться с лучевой терапией. Комбинированная химиолучевая терапия позволяет достичь более длительных ремиссий. Лечение продолжается до достижения полной ремиссии, после чего необходимо проведение еще 2-3 консолидирующих курсов. Возможно включение в циклы лечения гормонотерапии.
- Хирургических вмешательств. Обычно применяется при изолированном поражении какого-либо органа, чаще - ЖКТ. По возможности операции носят радикальный характер – выполняются расширенные и комбинированные резекции. В запущенных случаях, при угрозе перфорации полых органов, кровотечения, непроходимости кишечника могут выполняться циторедуктивные вмешательства. Хирургическое лечение обязательно дополняется химиотерапией.
- Лучевой терапии. В качестве монотерапии лимфом применяется только при локализованных формах и низкой степени злокачественности опухоли. Кроме этого, облучение может быть использовано и в качестве паллиативного метода при невозможности проведения других вариантов лечения.
- Дополнительных схем лечения. Из альтернативных методов хорошо себя зарекомендовала иммунохимиотерапия с применением интерферона, моноклональных антител. С целью консолидации ремиссии применяется трансплантация аутологичного или аллогенного костного мозга и введение периферических стволовых клеток.
Прогноз при неходжкинских лимфомах различен, зависит, главным образом, от гистологического типа опухоли и стадии выявления. При местнораспространенных формах долгосрочная выживаемость в среднем составляет 50-60%, при генерализованных - всего 10-15%. Неблагоприятными прогностическими факторами служат возраст старше 60 лет, III-IV стадии онкопроцесса, вовлечение костного мозга, наличие нескольких экстранодальных очагов. Вместе с тем, современные протоколы ПХТ во многих случаях позволяют добиться долгосрочной ремиссии. Профилактика лимфом коррелирует с известными причинами: рекомендуется избегать инфицирования цитопатогенными вирусами, токсических воздействий, чрезмерной инсоляции. При наличии факторов риска необходимо проходить регулярное обследование.
2. Эпидемиология и биология неходжкинских лимфом/ Хансон К.П., Имянитов Е.Н.// Практическая онкология. – 2004 - Т.5, №3.
4. Современные подходы к терапии неходжкинских лимфом/ Поддубная И. В.// Русский медицинский журнал. – 2011. - №22.
Заболевание лимфомой Ходжкина
Лимфома Ходжкина — это онкологическое заболевание, характеризующееся диссеминированным или локализированным стремительным размножением клеток лимфоретикулярной системы. В медицинской практике эта патология получила название лимфогранулематоза (ЛГМ).
В международной классификации болезней эта патология имеет коды по МКБ-10 С81-С81.9. В группу риска его развития входят люди от 15 до 35 лет. Следующий пик приходится на тех, кто перешагнул 50-летний возрастной рубеж. ЛГМ — это заболевание, которое ранее считалось неизлечимым, но сейчас при своевременном выявлении и начале терапии может быть устранено полностью.
Что это такое лимфома Ходжкина
В организме человека в результате деления клеток ежеминутно из-за неправильного взаимодействия нуклеозидов в молекулах ДНК формируются потенциально раковые клетки. В норме имеющиеся мутации делают их нежизнеспособными, что запускает процесс их отмирания, поэтому дальнейшее деление пораженной клетки не происходит и злокачественное образование не формируется.

Болезнь Ходжкина, или лимфогранулематоз, подтверждается, когда выявляются особые переродившиеся клетки Рид-Березовского-Штернберга. Изначально лишь в 1 лимфатическом узле начинает формироваться рак, онкология в этом случае носит локальный характер. Этот вариант патологии, в отличие от неходжкинской лимфомы, встречается реже. Происходит активация защитных механизмов организма и в пораженную область перемещается большое количество лейкоцитов. Это приводит к формированию плотного покрова вокруг опухолей и зарастанию их фиброзными тяжами.
Такие образования в пораженном лимфоузле формируют крупные гранулемы. Воспалительный процесс, который сопровождается появлением опухолей, приводит к тому, что лимфоузел стремительно увеличивается в размерах.
По мере прогрессирования заболевания метастазы опухоли приобретают способность распространяться.
Учитывая, что все лимфатические узлы располагаются возле жизненно важных органов, метастазы быстро распространяются на них. Это приводит к появлению множества вторичных гранулем не только в лимфатической системе, но и других тканях. Анализ крови при лимфоме Ходжкина позволяет выявить лимфоцитоз уже на ранних этапах развития патологии.
Причины и симптомы
Этиология появления этого патологического состояния еще не уточнена в полной мере. Исследователи выделяют несколько возможных причин возникновения такого типа онкологии, как болезнь Ходжкина. Особо выделяются вирусная, наследственная и иммунные теории появления этой патологии. Наиболее часто болезнь Ходжкина возникает у людей, перенесших в острой форме заражение вирусом Эпштейна-Барр и инфекционным мононуклеозом, ретровирусом и ВИЧ.
Согласно иммунологической теории возникновения этого патологического состояния, отмечается вероятность трансплацентарного переноса материнских лимфоцитов, которые в организме плода в дальнейшем запускают иммунопатологическую реакцию. Это наиболее вероятная причина развития лимфомы Ходжкина у детей и подростков.
Учитывая высокую частоту выявления случаев болезни Ходжкина у кровных родственников, выделяется его семейная форма. Уже выявлены гены, которые запускают процесс злокачественного перерождения тканей лимфатической системы.
Кроме того, велика вероятность развития этого патологического состояния при спонтанной мутации. К факторам, которые могли бы спровоцировать появление болезни Ходжкина, не обусловленного наследственной предрасположенностью, особенностями иммунной системы и вирусной нагрузкой, относятся:
- влияние ионизирующего излучения;
- отравление токсическими веществами;
- прием некоторых лекарственных препаратов;
- употребление пищи, богатой консервантами и канцерогенами.
У мужчин, которые работают на вредном производстве, в экологически неблагоприятных зонах и живут в крупных индустриальных городах, наиболее часто диагностируется болезнь Ходжкина неуточненная. Для того чтобы определить патологию, нередко достаточно оценки показателей, полученных при выполнении анализа крови на лимфогранулематоз. Вне зависимости от формы и вида течения патологического процесса у пациентов, страдающих болезнью Ходжкина, наблюдается появление следующих характерных симптомов:
- периодическая лихорадка до 39°C;
- общая слабость;
- снижение аппетита;
- кожный зуд;
- ночная потливость;
- потеря массы тела.
Степень выраженности этих симптомов во многом зависит от стадии развития злокачественной опухоли такого типа. По мере усугубления патологического процесса могут появляться интенсивные боли в лимфоузлах, ломота в костях и суставах, признаки дисфункции пораженных вторичными опухолями органов.
Существует несколько подходов классификации онкологии этого типа. В первую очередь болезнь Ходжкина подразделяют на локальный вид, сопровождающийся поражением одного или нескольких лимфатических узлов, а кроме того, генерализованный, при котором наблюдается гиперплазия, т. е. разрастание тканей в отдаленных органах, в том числе печени, селезенке, желудке, коже и легких.
В зависимости от скорости нарастания патологического процесса лимфогранулематоз может быть:
- острым, т. е. развивающимся в течение нескольких месяцев от начальной до терминальной степени;
- хроническим, для которого свойственно затяжное многолетнее течение, с чередованием периодов обострений и ремиссий.
Классическая лимфома Ходжкина подразделяется на 4 гистологических вида.
Самой редко встречающейся является гистологическая форма, сопровождающаяся лимфоидным истощением. В зависимости от морфологических особенностей данный вид болезни приводит к появлению многочисленных переродившихся клеток и интенсивному замещению здоровых тканей фиброзом.
Немного чаще встречается вариант патологии, характеризующийся лимфоидным преобладанием. В этом случае выявляется относительно небольшое количество клеток Рид-Березовского-Штейнберга и повышенное содержание B-лимфоцитов. Кроме того, могут присутствовать признаки сетчатого склероза.
Примерно в 25% случаев выявляется смешанно-клеточный вариант лимфомы. Этот гистологический вид патологии характеризуется появлением умеренного количества клеток Рид-Березовского-Штейнбега, но при этом инфильтрат является смешанным. Самый распространенный гистологический вид лимфомы Ходжкина — нодулярный склероз. На его долю приходится более 67% диагностированных случаев этой патологии.
Эта опухоль сопровождается появлением плотной оболочки из фиброзной ткани вокруг сформированных узелков из тканей Ходжкина
Для определения степени прогрессирования патологического процесса нередко используется классификация лимфомы Ходжкина по системе TNM, где буквы:
- Т — степень распространения имеющейся первичной опухоли;
- N — присутствие метастазов в расположенных рядом лимфоузлах и степень их выраженности;
- M — наличие отдаленных метастазов.
Эта классификация позволяет максимально уточнить распространенность онкологии.
Стадии
Согласно классификации TNM, выделяются 4 стадии лимфомы Ходжкина. Каждая имеет свои особенности. Первую стадию патологического процесса принято подразделять на подстадии I и IE. В этот период первичная опухоль прощупывается в 1 лимфатическом узле, вилочковой железе или селезенке. Несмотря на то, что при исследованиях уже могут быть выявлены признаки онкологии, болевых ощущений и проявлений общей интоксикации еще не наблюдаются
Течение 2 стадии патологического процесса подразделяется на подстадии II и IIE. При подстадии II перерожденные клетки обнаруживаются в 2 лимфоузлах и более, но с одной стороны диафрагмы. При подстадии IIЕ атипичные клетки выявляются в 1 или более лимфатических узлах, а также близлежащих органах или тканях. При 2 стадии высоки шансы на полное излечение при отсутствии факторов риска, к которым относятся:
- появление опухоли в груди до 10 см;
- сформированное образование в лимфатическом узле;
- критическое увеличение скорости оседания эритроцитов;
- более 3 пораженных лимфоузлов;
- развитие выраженных признаков общей интоксикации.
Болезнь Ходжкина 3 стадии подразделяется на 3 подстадии. Для этого периода развития патологического процесса характерно поражение лимфатической системы и располагающихся рядом с узлами тканей и органов с обеих сторон диафрагмы. Имеются яркие признаки поражения селезенки и общей интоксикации организма.
Лимфома Ходжкина 4 стадии характеризуется началом метастазирования не только в близлежащие к лимфоузлам органы, но и отдаленные. На стадии патологического процесса атипичные клетки обнаруживаются в цереброспинальной жидкости, печени, костном мозге, легких и т.д.
Диагностика заболевания
Особую роль в постановке диагноза играют инструментальные методы диагностики. Для определения распространения патологии при лимфоме Ходжкина нередко выполняется снимок — рентген грудной клетки. Это позволяет выявить увеличенные лимфоузлы. При диагностике этой патологии у беременных данный метод диагностики не используется, так как это может нанести вред развивающемуся плоду.
Для уточнения морфологического строения опухолей назначается биопсия, лапароскопия или торакоскопия для забора тканей для дальнейшего гистологического исследования. Может быть показана спленэктомия, т. е. операция по удалению селезенки. Чтобы диагностировать лимфому Ходжкина и степень распространения патологического процесса, назначается проведение таких исследований, как:
- УЗИ;
- компьютерная томография;
- пункция костного мозга;
- сцинтиграфия скелета;
- радионуклидное сканирование;
- контрастная ангиография;
- лимфосцинтиграфия;
- МРТ.
Необходимо дифференцировать лимфогранулематоз от лимфаденитов, развивающихся при токсоплазмозе, туберкулезе, бруцеллезе, ангине, краснухе, гриппе, сепсисе и СПИДе. Кроме того, необходимо исключить метастазы других видов рака, неходжкинские лимфомы и саркоидоз.
После того как будет подтвержден диагноз лимфомы Ходжкина, назначается комплексная терапия. Для устранения патологии применяется медикаментозная, хирургическая и радиотерапия. Сочетание средств лечения позволяет добиться полной ремиссии. В редких случаях при поражении тканей костного мозга назначается его трансплантация. Это метод нередко используется при лечении детей, страдающих болезнью Ходжкина.
Лучевая терапия
Радиотерапия является ведущим методом лечения болезни Ходжкина, так как клетки Рид-Березовского-Штернберга чрезвычайно чувствительны к воздействию гамма-лучей, поэтому быстро отмирают при таком воздействии. Существует несколько видов лучевой терапии. Наиболее часто при лечении болезни Ходжкина используется радикальное мантиевидное облучение.
Курс начинают вне зависимости от того, на какой стадии была выявлена патология. При 1 и 2 стадиях заболевания этого достаточно для достижения выраженной ремиссии. При 4 стадии болезни Ходжкина целесообразно дополнять лучевую терапию медикаментозной. Операции используются в качестве полиативного метода терапии и служат для улучшения общего состояния.
Химиотерапия
Главной целью этого метода болезни Ходжкина является остановка деления опухолевых клеток. Химиотерапия может эффективно применяться на всех стадиях патологического процесса, но используется в сочетании с радиотерапией. Продолжительность курса химиотерапии при лимфоме составляет от 14 до 30 дней. Для устранения этого патологического состояния нередко применяются:
- Адриамицин.
- Блеомицин.
- Винбластин.
- Дакарбазин.
- Этопозид.
- Циклофосфан.
- Винкристин.
- Прокарбазин.
- Преднизолон.
- Цисплатин.
- Цитарабин
- Дексаметазон.
В большинстве случаев для купирования проявлений болезни Ходжкина используется комбинация этих препаратов.
Народные методы
Различные травы и составы из природных компонентов могут быть использованы только в качестве дополнения к традиционным методам терапии. Улучшить состояние при болезни Ходжкина может настойка из аконита.
Для ее приготовления нужно 50 г порошка корня этого растения залить ½ л водки. Настаивать средство нужно на протяжении 2 недель. Готовую настойку следует принимать по нарастающему методу, начиная с 1 капли 3 раза в день. Постепенно нужно довести дозировку до 10 капель 3 раза в день. После этого дозу следует постепенно снижать.
Настойку нужно запивать большим количеством воды.
Кроме того, для лечения болезни Ходжкина рекомендуется принимать спиртовую настойку конского каштана. Для приготовления этого средства нужно примерно 40 г растительного сырья залить ½ л водки и настаивать 2 недели. Принимать средство необходимо по 25 капель в сутки. Настойку нужно запивать большим количеством воды.
Питание
Специальная диета при лимфоме Ходжкина позволяет улучшить общее состояние, особенно после проведенной химиотерапии. В рацион при болезни Ходжкина обязательно нужно вводить молочные продукты. Кроме того, улучшить работу кишечника и ускорить вывод токсинов может употребление свежих и термически обработанных овощей и фруктов. При лечении лимфомы предпочтение следует отдавать нежирным сортам рыбы и мяса. Из рациона необходимо исключить фастфуд и полуфабрикаты, газированные напитки и алкоголь, жареное, жирное, соленое и сладкое.
Прогноз
Сколько живут пациенты с лимфомой Ходжкина, зависит от того, на какой стадии патологического процесса было начато лечение. При направленной терапии 1 стадии лимфомы прогноз благоприятный. В 95% случае удается достигнуть полной ремиссии. Лечение можно проводить и щадящими методами для достижения выраженного результата.
Прогноз 2 стадии лимфомы Ходжкина относительно благоприятен. В этом случае 5-летняя выживаемость наблюдается у 90% больных, прошедших комплексную терапию. При 3 степени патологического процесса в ремиссию лимфому удается ввести более чем на 5 лет лишь у 65% пациентов. Менее благоприятным прогнозом отличается лимфогранулематоз 4 стадии. Лишь у 45% пациентов наблюдается 5-летняя выживаемость.
Лимфома Ходжкина и неходжкинская форма опасны своими осложнениями. Увеличение пораженных лимфатических узлов может стать причиной сдавливания окружающих тканей. При поражении узлов в области шеи возникает нарушение работы связок. Кроме того, нередко пациенты испытывают трудности с глотанием. Из-за распространения метастаз может развиваться:
- отек легких;
- сердечная недостаточность;
- дисфункция печени;
- отказ почек.
Поражение тканей кишечника нередко приводит к перфорации и развитию перитонита. При разрастании опухоли в спинном мозге может развиться поперечный паралич. Поражение метастазами органов половой системы нередко становится причиной бесплодия. При остром течении заболевания возможен летальный исход из-за полиорганной недостаточности.
Рецидив
Хроническая или рецидивирующая форма проявляется выраженным обострением при нарушении режима поддерживающей терапии. Кроме того, спровоцировать рецидив могут повышенные физические нагрузки и беременность.
Обострение лимфомы Ходжкина нередко возникает на фоне сильнейших эмоциональных переживаний. Для снижения риска развития рецидивов пациентам необходимо наблюдаться у онколога или гематолога. Раннее выявление обострения позволяет более легкими методами подавить развивающийся онкологический процесс.
Реабилитация
Лучевая и химиотерапия, применяющиеся при лечении болезни Ходжкина, негативным образом отражаются на общем состоянии здоровья человека. Период реабилитации крайне важен, так как если восстановление пройдет эффективно, снизится риск рецидива болезни. На протяжении не менее 6 месяцев после завершения терапии необходимо придерживаться щадящей диеты.
Обязательно нужно нормализовать режим работы и отдыха, уделяя ночному сну не менее 9 часов. Кроме того, для восстановления здоровья пациентам рекомендуется выполнять специальную гимнастику. Большую пользу может принести курс массажа и посещение бассейна. В восстановительный период рекомендуется санаторно-курортное лечение.
Читайте также:
- Лучевая диагностика осложнения операции на позвоночнике
- Развитие и морфогенез глазного пузыря
- Лепра - возбудитель заболевания, лечение и симптомы, диагностика
- Миндалины эмбриона. Аномалии глотки и глоточных образований плода
- Кровоснабжение гипертрофированных отделов сердца. Кровоснабжение сердца при врожденном пороке
