Ненеопластическая опухоль-ассоциированная киста на МРТ
Добавил пользователь Евгений Кузнецов Обновлено: 07.01.2026
Опухоли яичников (доброкачественные и злокачественные) могут возникнуть в любом возрасте, но чаще появляются в 40-50 лет. По частоте они занимают второе место среди опухолей женских половых органов, со значительным превалированием доброкачественных форм (75-80%).
Проблема распознавания злокачественных опухолей яичников является одной из наиболее актуальной. Актуальность ее обусловлена несомненным ростом заболеваемости и смертности от этой патологии, отмечаемой за последние десятилетия во многих странах мира. Большинство (75-87%) больных злокачественными опухолями яичников поступают на лечение в запущенных стадиях заболевания, что сказывается на низких показателях 5-летней выживаемости не превышающей 10%.Поздняя диагностика злокачественных опухолей яичников обусловлена как отсутствием специфических признаков заболевания, так и поздним обращением женщин за медицинской помощью.
Нередкими симптомами опухолей яичников (доброкачественных и злокачественных) являются болевые ощущения, обозначаемые больными как «потягивание» в нижних отделах живота, что связано с давлением опухоли на смежные органы. Постоянные или периодические боли в животе бывают без определенной локализации (в подложечной области или подреберье).Нередко они могут прекращаться на более или менее длительные промежутки времени или появляются внезапными острыми болями в результате перекрута ножки или разрыва ее капсулы. При злокачественных опухолях наиболее заметными симптомами, но уже не ранними, являются: ухудшение общего состояния, слабость и быстрая утомляемость.
В большинстве случаев даже при запущенных формах, когда процесс в виде мелких диссеминатов распространяется по всем листкам брюшины, печени, селезенке и др.органов клиника, имеет стертый характер. В отдельных случаях она выражается в «дискомфорте» со стороны желудочно-кишечного тракта в виде потери аппетита, слабости, тошноты, увеличения в объеме живота. Клинические проявления при распространенных формах заболевания выражены ярче, чем при ранних.В таких случаях отмечается вздутие кишечника, особенно в верхнем отделе, и насыщение от малых порций пищи, что обусловлено большим объемом опухоли и появлением крупных метастазов в сальнике, создающими затруднения при отхождении газов.По мере роста опухоли или при нарастании асцита (появление свободной жидкости в брюшной полости) увеличивается объем живота, развивается одышка, возникает чувство распирания. Прогрессированию заболевания редко сопутствует повышение температуры тела.
При запущенных формах рака яичников нарушается менструальный цикл, возникают дисфункциональные маточные кровотечения, уменьшается количество выделяемой мочи, возникают запоры.
Диагноз опухолей яичников основывается на выявлении врачом различной величины и формы опухолевого образования в малом тазу, безболезненного, умеренно и ограниченно смещаемого, с бугристой или гладкой поверхностью, имеющего плотную или тугоэластическую консистенцию. Нередко утром при наполнении мочевого пузыря больная сама над лоном прощупывает опухоль.
Бессимптомное развитие опухолевого процесса в яичниках на ранних стадиях заболевания вынуждает клиницистов разрабатывать более совершенные методы их распознавания и выделять группу больных повышенного риска, т.е.лиц с факторами риска. Суждения о значении анамнестических данных у больных раком яичников неоднородны, но, все же, суммируя их, можно найти указания на признаки, предшествующие развитию опухоли в виде эндокринных гормональных нарушений:
- более позднее наступление менструаций;
- бесплодие;
- сахарный диабет;
- раннее или позднее наступление менопаузы;
- ожирение;
- миома;
- аденомиоз и пр.
Особое значение при злокачественных новообразованиях имеют сведения о наличии в анамнезе хронического воспаления придатков матки либо операции по поводу доброкачественной опухоли яичника. Известно, что при одностороннем удалении доброкачественной опухоли яичника весьма вероятно возникновение опухоли в другом, оставленном яичнике, но при этом уже злокачественной. Имеют значения также сведения об опухолевых заболеваниях в семье. Обо всех этих деталях должны знать женщины всех возрастов, стремящихся помочь врачу в распознавании рака яичников на ранних стадиях.
Фундаментальными работами, посвященными выявлению наследственных форм рака яичников, установлено, что примерно 18% онкологических больных в семейном анамнезе имеют родственников, пораженных раком яичников, раком молочной железы, толстой кишки.
Имеющихся факторов и косвенных доказательств достаточно для предположения, что болезнь эта протекает в условиях обменных и гормональных изменений в организме, т.е.в условиях наличия факторов риска. Понятие «факторы риска» введено в клиническую практику в целях поиска у «практически здоровых» людей изменений, предрасполагающих к возникновению рака. Группы риска - это группы населения, у которых в силу воздействия различных причин (возрастных, профессиональных, генетических, бытовых, поведенческих и обменно-эндокринных) опасность возникновения и развития опухолей выше, чем для других групп населения, где влияние этих факторов отсутствует или невелико. При наличии этих факторов в организме наблюдаются изменения, характерные для предраковых заболеваний и рака.
Следует подчеркнуть, что опасность рака гениталий возрастает при наличии у обследуемых пациенток совокупности 2-х и 3-х признаков. Поэтому каждая женщина, когда она отмечает у себя наличие факторов риска, должна явиться на профилактические обследования к акушерке или врачу не менее 2-х раз в год, что позволяет выявить рак яичников на ранней стадии заболевания.
Для уточнения диагноза больная обследуется и с помощью ультразвукового сканирования таза. Достоинством ультразвукового метода в диагностике опухолей яичников является его высокая информативность, простота, быстрота, безвредность, безболезненность, возможность многократного проведения и объективного документирования.
Большое значение в диагностике злокачественных опухолей яичников отводится поиску опухолевых маркеров – специфических биологических веществ, продуцируемых опухолью, которые можно определить биохимическими или иммунологическими методами. В отношении рака яичников наиболее изучен опухоль – ассоциированный антиген СА-125.Содержание СА-125 выше 35 Е/мл определяется почти у 80% больных раком яичников.
Единственно целесообразным методом лечения доброкачественных опухолей яичников является хирургический. Так как без морфологического исследования выявить доброкачественный или злокачественный характер опухоли не представляется возможным, то выработано правило, согласно которому каждая диагностированная опухоль яичника, независимо от того, велика она или мала, подлежит оперативному лечению. У женщин молодого возраста при доброкачественном характере новообразования яичника рациональным объемом вмешательства является или резекция яичника (удаление измененной ткани), или удаление только опухоли, или удаление придатков матки с одной стороны.
У женщин, находящихся в менопаузе, показано удаление не только опухоли, но и непораженных придатков матки с другой стороны.
Лечение злокачественных опухолей яичников проводится по индивидуальному плану с учетом результатов всестороннего исследования, дающего полное представление о степени распространенности опухолевого процесса и его морфологической структуре.
Начинать лечение с хирургического этапа целесообразно при наличии больших опухолевых образований в малом тазу. У тех больных раком яичников, у которых вследствие распространенности опухолевого процесса или резкой ослабленности, радикальный объем вмешательства представляется невыполнимым, то на первом этапе применяется химиотерапия, а операция предпринимается, когда под влиянием химиотерапии опухоль уменьшилась в размерах, стала смещаемой и улучшилось общее состояние больной.
В числе мер профилактики рака яичников предполагается здоровый образ жизни.
Учитывая факт нарушения обменных процессов и в том числе ожирения в развитии злокачественных опухолей яичников, женщины всех возрастов не должны допускать ожирения и соблюдать режим питания, обеспечивающий оптимальное использование бета-каротинов, к числу которых относят такие продукты, как петрушка, укроп, шпинат, зеленый лук, помидоры, чеснок и др.
Противоопухолевой активностью обладают также и витамины и в особенности А, В, С, содержащиеся в рыбьем жире, рыбе, печени, в орехах, капусте, черной смородине и т.д.
Поскольку рак яичников нередко развивается у женщин с бесплодием, то с целью его профилактики показано использование витамина Е, содержащегося в растительных маслах, в зародышах пшеницы, в орехах.
В качестве справки сообщаем, что наиболее известным противоопухолевым действием также обладает микроэлемент – селен, наибольшее содержание которого находится в морских водорослях, морской капусте, в отрубях злаковых растений, пивных дрожжах и др.продуктах.
Суть диетической профилактики рака состоит и в умеренности приема пищи, в ограничении, вплоть до исключения, солений, консервов, маринадов, копченостей, соли, животного жира и сахара в готовых пищевых продуктах.
Следует помнить, что пониженная физическая активность и гиподинамия способствуют нарушению работы сосудов, эластичности мышц, нарастанию избыточной массы тела, что ведет к возникновению ожирения и рака.
Почаще двигайтесь, занимайтесь спортом, избегайте абортов, ведите нормальную половую жизнь. Воздерживайтесь от смены половых партнеров и от курения.
Кистозные опухоли почек и осложненные почечные кисты: диагностика и лечение.
Приблизительно 5-7% объемных образований почек нельзя четко охарактеризовать с помощью современных методов визуальной диагностики.
Самым информативным методом является позитронно-эмиссионная томография.
Узнать больше о ПЭТ исследовании.
К ним относятся новообразования, которые невозможно отнести ни к простым почечным кистам, ни к солидным структурам. Эти неопределенные массы могут быть представлены как злокачественной, так и доброкачественной патологией. При этом у специалиста по лучевой диагностике возникает весьма непростой вопрос: как дифференцировать кистозные опухоли почек и осложненные почечные кисты?
Отличительной чертой обоих видов новообразований является наличие выраженного жидкостного компонента. При этом как опухоли, так и кисты могут быть уни- или мультилокулярными [6]. Морфологическим субстратом доброкачественных новообразований являются геморрагические и нагноившиеся почечные кисты, а также мультилокулярная киста почки. Среди злокачественных новообразований преимущественно выделяют кистозную форму почечно-клеточного рака (ПКР).
В 1986 г. Bosniak M. [4] предложил классификацию кистозных масс почек на основе радиологических критериев, которые могут объективно помочь в выборе правильной лечебной тактики. В дополнение к классическим простым почечным кистам (категория I) он ввел понятие «минимально осложненной» кисты (категория II), которая не требует хирургического лечения. Эти образования имеют тонкие перегородки, небольшие зоны кальцификации и в ряде случаев - содержимое повышенной плотности. Кардинальной особенностью кист II категории по Bosniak является отсутствие контрастного усиления внутреннего содержимого, стенок и внутри-полостных перегородок.
Новообразования III категории по Bosniak (более осложненные кисты) характеризуются толстыми стенками и перегородками (> 1 мм), большими зонами кальцификации и множественными перегородками. При этом отмечаются признаки контрастного усиления. Новообразования IV категории по Bosniak (кисты с высокой степенью злокачественности) отличаются резким утолщением и неоднородностью стенок и перегородок, наличием мягкотканого компонента или вегетаций. Контрастное усиление элементов новообразования имеется почти во всех случаях. Пациенты с новообразованиями III и IV категорий по Bosniak подлежат хирургическому лечению.
Четких представлений о морфологических вариантах кистозного рака почки (рак в стенке кисты, кистозная трансформация ПКР) нет, как нет и четких критериев дифференциации новообразований II и III категорий по Bosniak, а также определенных рекомендаций в отношении объема их хирургического лечения (радикальная нефрэкто-мия или органосохраняющая операция). Мало изучены биологические характеристики кистозных форм опухолей и опухолевидных кист (метастатический потенциал, локальная прогрессия опухоли, выживаемость пациентов).
Мы провели ретроспективный анализ результатов диагностики и лечения пациентов с атипичными или осложненными кистозными почечными образованиями.
Материал и методы
С 1994 по 2004 г. в наших клиниках находилось на лечении 15 пациентов (8 мужчин и 7 женщин) с атипичными кистозными массами почек. Средний возраст больных - 52 года (от 32 до 72 лет). Все образования были выявлены при УЗИ или при обследовании по поводу другой патологии. УЗИ выполнено у всех 15 больных, КТ - у 10, МРТ - у 4.
Ультрасонография проводилась секторальным датчиком с частотой 3,5 МГц. Аксиальная КТ проведена у 5 больных, еще у 5 использовалась спиральная КТ с контрастным усилением. МРТ выполнена на низкопольном томографе (0,12 Тл) в режиме спин-эхо с получением Т1- и Т2-взвешенных изображений. Характеристика кистозных образований у больных в соответствии с классификацией Bosniak представлена в табл. 1.
У 8 (53,3%) пациентов выполнена чрескожная пункция кисты с цитологическим исследованием ее содержимого. После обследования всем больным проведено хирургическое лечение (органосохраня-ющая или радикальная операции). Из 15 новообразований 6 (40%) имели мультилокулярное строение, 9 - унилокулярное.
Результаты
Пациенты находились под наблюдением от 6 мес до 8 лет (в среднем - 42,4 мес). За это время ни один из них не умер вследствие данного заболевания. При этом не отмечено признаков прогрессиро-вания болезни.
Среди 6 пациентов с классическими признаками мультилокулярной кисты (III категория по Bosniak) ПКР в перегородках и стенках кисты был выявлен у 3. При этом размеры новообразования варьировали от 37 до 120 мм (в среднем - 56 мм).
Специфические признаки злокачественности не определялись ни в одном случае (использовалась исключительно ультрасонография и КТ; рис. 1). Гистологические признаки не коррелировали ни с возрастом пациентов, ни с размерами новообразования. Все новообразования имели III категорию по классификации Bosniak. В 1 наблюдении зафиксировано нагноение мультилокулярной кисты. Нефрэктомия выполнена лишь у 1 из 6 больных. В остальных случаях использовалась органосохраняющая операция. Ни в одном наблюдении не отмечено регионарного или отдаленного метастазирования. Все новообразования были монофокальными. Пункция кисты с цитологическим исследованием аспирата проведена у 3 пациентов, и во всех случаях атипичные клетки не выявлены (в 1 из 3 наблюдений имел место ложноотрицательный результат).
Отдельно проведен анализ всех 15 образований в зависимости от результатов финального гистологического исследования.
Злокачественные опухоли. Среди 15 атипичных кистозных новообразований 7 (46,7%) имели признаки злокачественного поражения- рак почки. В 2 (28,6%) наблюдениях выполнена энуклеорезекция опухоли, в 5 (71,4%) - радикальная нефрэктомия. Размеры новообразований до 50 мм имели место в 3 случаях, в остальных наблюдениях они варьировали от 52 до 120 мм.
У 1 пациентки выявлено сочетание ПКР (7см) и простой кисты (3,5 см - I категория по Bosniak) в одной почке, по поводу чего выполнена радикальная нефрэктомия. Киста и опухоль локализовались в 4 см друг от друга. При последующем морфологическом исследовании в стенке кисты обнаружен опухолевый узел размером 4 мм, по гистологическим признакам идентичный с основной по-чечно-клеточной опухолью. Предоперационные УЗИ и КТ не обнаружили патологических признаков данной кисты.
В 3 наблюдениях новообразования были расценены как мультилокулярные кисты (III категория по Bosniak). В оболочке и перегородках кист в последующем были обнаружены элементы ПКР. Энуклеоре-зекция выполнена только у 1 из этих пациентов (у 2 - радикальная нефрэктомия).
Кистозная форма опухоли Вильмса имелась у 1 больного. При этом и УЗИ, и МРТ выявили большое кистозное образование (120 мм) средненижнего сегмента правой почки с утолщенными стенками (5- 7 мм), неоднородным содержимым и небольшим мягкотканым компонентом (IV категория по Bosniak), что послужило показанием для радикальной нефрэктомии.
Еще у 2 пациентов радикальная операция проведена по поводу кистозных образований с массивным мягкотканым компонентом внутри их просвета. При гистологическом исследовании обнаружен ПКР- рак почки (рис. 2).
Пункция образования с цитологическим исследованием аспирата выполнена в 4 случаях. При этом в 2 из 4 наблюдений зафиксирован ложноотри-цательный результат.
Доброкачественные образования. Морфологическое исследование остальных 8 препаратов выявило доброкачественные образования: 3 - мультило-кулярные кисты, 2 - геморрагические кисты, 1 - ангиомиолипома с самопроизвольным разрывом, 2 - простые кисты. Мультилокулярные кисты отнесены к III категории по Bosniak, больным выполнена эну-клеорезекция.
Обе геморрагические кисты имели размеры 4 и 10 см и утолщенные стенки (около 3 мм). По данным УЗИ они отнесены к IV категории по Bosniak, так как имели содержимое повышенной эхогенно-сти, а также мягкотканый компонент размером от 3,5 до 6 см (рис.3). Спиральная КТ в 1 наблюдении не выявила мягкотканого компонента, при этом киста была оценена как образование I категории по Bosniak.
Несмотря на большие размеры новообразований, пациентам была выполнена энуклеорезекция. Макроскопическое исследование препаратов после операции обнаружило жидкостное содержимое темно- либо светло-коричневого цвета, а также желтые или темно-коричневые массы слизистой консистенции (продукты деградации фибрина и эритроцитов).
У 1 пациентки имелась кистозная масса левой почки размером 70 мм, отнесенная по данным УЗИ к I категории по Bosniak. Больную беспокоили ноющие боли в поясничной области. Травмы на протяжении последних 5 лет у больной не было. Пациентке проведена чрескожная пункция кисты, при этом эвакуировано около 150 мл геморрагической жидкости. Цитологическое исследование аспирата не выявило признаков атипии. При ультрасонографии после пункции обнаружено жиросодержащее образование неправильной формы размером 4х5 см в области локализации пунктированной кистозной массы, что расценено как самопроизвольный разрыв ангиомио-липомы почки с формированием осумкованной гематомы. Данный диагноз подтвержден гистологически после проведения энуклеорезекции.
Еще 2 пациента с простыми кистами почек (II категория по Bosniak по данным УЗИ, КТ и МРТ,ПЭТ)подверглись хирургическому лечению (энуклеоре-зекция). Оба новообразования имели тонкие единичные перегородки, массивные кальцификаты в основании и отрицательные результаты исследования аспирата на атипию. У одного больного показанием к лечению явилась персистирующая макрогематурия, у второго - неэффективность пункцион-ной склеротерапии.
Среди всех 15 пациентов пункция новообразований с цитологическим исследованием аспирата проведена 9 (60%). Истинно-отрицательные результаты были зафиксированы у 5, истинно-положительные - у 2 и ложноотрицательные - у 2 больных. Ложноположительных заключений не было. Таким образом, точность метода составила 77,8% при специфичности 71,4%.
Оценка информативности визуальных диагностических методов показала, что МРТ достаточно точно дифференцировала кистозные формы рака при IV категории по Bosniak (2 случая). При новообразованиях II и III категории МРТ не имела преимуществ перед УЗИ или КТ. Ультрасонография и КТ показали почти одинаковые результаты при исследовании данной патологии. Однако КТ более детально и четко фиксировала кальцификацию новообразований, а также позволяла констатировать наличие или отсутствие контрастного усиления массы. В одном из наблюдений УЗИ обнаружило мягкотка-ный компонент в геморрагической кисте, который не был выявлен при спиральной КТ; возможно, это связано с незначительной разницей в контрастной плотности между сгустком фибрина и жидкостным содержимым. Тем не менее и УЗИ, и КТ не способны четко дифференцировать новообразования II и III категорий по Bosniak и как следствие - точно идентифицировать ПКР.
Частота злокачественной патологии в атипичных почечных кистах, по данным литературы [5, 10, 14], составляет около 40%. Это согласуется с нашими данными (46,7%). В 1986 г. Hartman D. и соавт. [6] выделили несколько различных вариантов кистозного ПКР в зависимости от макроскопических признаков:
1. Внутренний мультилокулярный кистозный рост - когда внутри опухоли имеются множественные несоединяющиеся кистозные полости. Образование, как правило, обладает хорошо выраженной псевдокапсулой, в полостях зачастую присутствует кровь, в перегородках - неопластические клетки.
2. Внутренний унилокулярный кистозный рост - опухоль представлена преимущественно жидкостной массой, имеющей толстую стенку. Микроскопически внутренний слой этой массы состоит из эпителиальных неопластических клеток. Часто обнаруживаются кровоизлияния в полость кисты.
3. Кистозный некроз - результат массивного некроза и кровоизлияния. При этом масса может быть как уни-, так и мультилокулярной. Однако наряду с массивным жидкостным компонентом присутствуют крупные тканевые участки (рис.4).
Наш опыт позволяет выделить еще один редкий вариант кистозного рака почки - метастазиро-вание опухоли в стенку простой кисты.
Какова же доля кистозных форм ПКР? Этот вопрос рассматривается лишь в единичных работах. Тем не менее считается, что на долю кистозного ПКР приходится 10-15% всех опухолей данного типа [6, 13], а 5% ПКР имеют сходные признаки с мультилокулярной кистой.
Несмотря на прогресс в области визуализирующих методов диагностики, дифференциальный диагноз кистозного ПКР остается сложной проблемой. Хотя в настоящее время классификация Bosniak является «золотым стандартом» в планировании лечения подобных новообразований, она не лишена недостатков, прежде всего, связанных с оценкой кист II и III категории.
24,2% злокачественных кист II категории более корректно отражают ситуацию. В соответствии с классификацией Bosniak они не подлежат хирургическому лечению. Siegel С. и соавт. [16] исследовали заключения разных специалистов, сделанные на основании классификации Bosniak, и пришли к выводу, что различия в констатации II и III категорий существенно затрудняют планирование хирургического или консервативного лечения.
Диагностическая роль дооперационной пункции кист имеет ограниченное значение [7,19], что также подтверждается нашими данными (точность - 77,8%, специфичность - 71,4%). Негативные находки при
исследовании пунктата не могут исключить наличия злокачественного новообразования, так как опухолевые клетки могут находиться в другой части препарата, к тому же биопсийный материал зачастую представлен некротическими участками опухоли.
Пункция мультилокулярной кисты также не считается целесообразной, так как пунктироваться должен каждый кистозный участок новообразования. Пункционный подход оправдан лишь при подозрении на инфицированную кисту.
В большинстве случаев кистозных опухолей почки мы считаем адекватным органосохраняющий хирургический подход, заключающийся в энуклеоре-зекции, которая хорошо зарекомендовала себя при лечении типичного ПКР [1]. Мы не зафиксировали признаков прогрессирования опухоли после хирургического лечения независимо от ее размера и стадии.
Выводы
Несмотря на активное использование современных методов обследования, атипичные почечные кисты остаются сложной диагностической проблемой. Почти 47% из них являются злокачественными. Классификация Bosniak значительно облегчает планирование вида лечения, но не дает четких дифференциальных критериев между II и III категориями. Органосохраняющая операция показана в большинстве случав при данных новообразованиях.
А.С. Переверзев, Ю.А. Илюхин, Д.В. Щукин, В.В. Мегера, А.В. Шусь.
Харьковская медицинская академия последипломного образования, Белгородская областная клиническая больница.
1. Переверзев А.С., Щукин Д.В., Илюхин Ю.А. Отдаленные результаты консервативного хирургического лечения почечно-клеточного рака (ПКР) // Урология. - 2001. - № 3. -
2. Arounson S., Fraizer H.A., Baluch J.D. et al. Cystic renal masses: usefulness of the Bosniak classification //Urol.Padiol. - 1991. - Vol.13. - P. 83-90.
3. Bellman G.C., Yamaguchi K., Kaswick J. Laparoscopic evaluation of indeterminate renal cysts //Urology. - 1995. - Vol.15. -
4. Bosniak M.A. The current radiological approach to renal cysts // Radiology. - 1986. - Vol.158. - P. 1-10.
6. Hartman D.S., Davis C.J.Jr., Johns T., Goldman S.M. Cystic renal cell carcino-ma.//Urol. - 1986. - Vol.28. - P. 145-153.
7. Hayakawa M., Hatano T., Tsuji A. et al.
8. Koga S., Nishikido M., Inuzuka S. et al. An evaluation of Bosniak‘s radiological classification of cystic renal masses //B.J.U.
Int. - 2000. - Vol.86. - P. 607-609.
9. Kramer L.A. Magnetic resonance imaging of renal masses // J.Urol. - 1998. - Vol.16. - P. 22-28.
10. Marotti M., Hricack H., Flitzche P. et al. Complex and simple renal cysts: comparative evaluation with MR imaging //Radiology. - 1987. - Vol.162. - P. 679.
11. Meng M.V., Grossfeld G.D., Stoller
M.L. Renal carcinoma after laparoscopic cyst decortications //J.Urol. - 2002. - Vol. 167. - P. 1396.
12. Muad T., Komaiko W., Oyasu R., Bauer K. Multilocular cystic renal cell carcinoma //AmJ.Clin. Pathol. - 1991. - Vol.95. -
13. Parienty R.A., Pradel J., Parienty I. Cystic renal cancer. CT characteristics
//Radiology. - 1985. - Vol.157. - P.
14. Pfister C., Haroun M., Brisset J.M. Kystes atypiques renaux // Prog.Urol. - 1993. - Vol. 3 - P. 453.
16. Siegel C.L., McFarland E.G., Brink J.A. et al. CT of cystic renal masses. Analysis of diagnostic performance and interobserver variation //Am.J.Roentgenol. - 1997. - Vol. 169. - P. 813-818.
17. Terada N., Ichioka K., Matsuta Y. et al. The natural history of simple renal cysts //J.Urol. - 2002. - Vol. 167. - P. 21-23.
18. Wilson T.E., Doelle E.A., Cohan K.H. et al. Cystic renal masses: a reevaluation of the usefulness of the Bosniak classification system // Acad. Rad. - 1996. -
19. Wolf Jr.J.S. Evaluation and management of solid and cystic renal masses //J. Urol. - 1998. - Vol.159. - P. 1120-1133.
Показывает ли МРТ головы опухоль?
"Показывает ли МРТ опухоль головы?" - этот вопрос часто задают пациенты, страдающие цефалгией - длительной и регулярной головной болью разной степени интенсивности. На сегодня магнитно-резонансная томография - один из лучших способов выяснить причину подобных жалоб. Более 15% пациентов безуспешно лечатся у разных специалистов с неправильным диагнозом (гипертоническая болезнь, эписиндром, дистония и пр.), и являются недообследованными. При условии медленного прогрессирования образования симптомов нет, так как головной мозг может смещаться. Это приводит к позднему выявлению онкологического процесса и ухудшает жизненный прогноз.
МРТ определяет опухоль на ранней стадии, до развития развернутых клинических проявлений. Окончательная верификация диагноза возможна после гистологического исследования (биопсии), по томограммам можно предположить характер новообразования.
Что такое опухоль головного мозга? Классификатор
Неопластический процесс в головном мозге бывает первичным и вторичным
Опухоль головного мозга - новообразование, которое появляется в результате неконтролируемого деления клеток: собственно церебральных (нейронов или глии) или какой-либо из окружающих структур - черепных нервов, сосудов, лимфоидной ткани, менингеальных оболочек, костей и хрящей черепа. Причины онкогенеза остаются дискутабельными.
Классификация основана на определении патоморфологических аспектов (гистологический тип клеток и дифференциация), взаимоотношения с окружающими тканями, оценки метастазирования, локализации (супратенториальная и субтенториальная). Не так давно для дифференциации в нейроморфологии начали использовать достижения иммуногистохимии и молекулярно-генетического анализа, что позволило более точно предсказать биологическое поведение опухоли, выбрать подходящий способ терапии.

Запишитесь на МРТ со скидкой 30%
Записаться на МРТ
со скидкой 30%
Мозг - орган-мишень для метастатического поражения, в этом случае говорят о вторичном процессе, расположение материнской опухоли вариативно. Диагностический поиск последней должен быть расширен, опираться на локализацию метастатических очагов.
Покажет ли МРТ опухоль?
МРТ с контрастированием - золотой стандарт в нейроонкологии для выявления опухоли головного мозга. Снимки производят в трех проекциях и разных режимах: Т1, Т2, Flair, спектроскопия и др.
МРТ показывает опухоль головного мозга, локализованную в любом, даже в самом труднодоступном его отделе. Объемные изображения, детализирующие анатомическую структуру и патологические процессы в органе, состоят из множества срезов, с толщиной от 1 мм. Магнитно-резонансное сканирование подразумевает выявление прямых и косвенных признаков новообразования. Изменение интенсивности сигнала при МРТ - достоверный показатель опухолевого процесса, как и размытость контуров, тип роста с инфильтрацией (проникновением в соседние структуры), обнаружение зон некроза, отложений кальция, кровоизлияний на фоне несовершенства опухолевого ангионеогенеза. К косвенным признакам относят:
- масс-эффект - дислокация срединных структур или сосудистого сплетения, сдвиг, сдавление, изменение контуров желудочков;
- гидроцефалию на фоне блокады ликворных путей;
- перитуморозный отек - чем больше он выражен, тем вероятнее злокачественность опухоли и пр.
МР-сканирование показывает и вторичные поражения головного мозга. По локализации метастатических очагов можно предположить расположение первичной опухоли, например, при обнаружении изменений в костях черепа и твердой оболочке необходимо дообследование на предмет выявления рака простаты, почки, меланомы; в веществе - смотрят желудок, легкие и т.п.
Можно ли распознать опухоль с помощью МРТ без контраста?
Нативная и контрастная МРТ: после усиления видны множественные мелкие метастазы головного мозга
Распознать опухоль головного мозга с помощью МРТ без контраста можно на продвинутой стадии. Малые новообразования скульптурируются значительно хуже или не видны совсем, что снижает ценность исследования. При высокой напряженности поля можно сделать нативную МРТ, снимки будут хорошего качества. Магнитно-резонансная томография выдает изображения в зависимости от запрограммированного типа сканирования, контрастирование упрощает выявление опухолей на любой стадии развития, проведение дифференциального диагноза между доброкачественным и злокачественным процессом. Побочные эффекты на введение препарата на основе хелатов гадолиния развиваются крайне редко, меньше чем у 1% людей. При наличии показаний отказываться от контрастного усиления не стоит. Пациентам, страдающим почечной или печеночной недостаточностью в декомпенсированной стадии, может быть выполнена обычная МРТ. Магнитно-резонансное сканирование без динамического контрастирования на томографе с небольшой мощностью обнаружит объемное поражение головного мозга значительных размеров. После внутривенного введения парамагнетика можно более точно определить локализацию, объем, степень инвазии, рассмотреть кровоснабжение опухоли, оценить индивидуальные особенности, что имеет значение для планирования лечения.
Публикации в СМИ
Кисты надпочечников — редкая патология. При вскрытиях их обнаруживают менее чем у 1% умерших • Типы. Большинство надпочечниковых кист — либо эндотелиальные (лимфангиоматозные или ангиоматозные), либо псевдокисты, возникшие после кровоизлияний в нормальную или опухолевую ткань • Симптомы. Большие кисты можно пропальпировать в виде образований в брюшной полости. Они могут вызывать ноющие боли или симптомы сдавления органов ЖКТ. При неопластических кистах симптомы те же, что у основного заболевания • Диагноз. Из методов диагностики кист надпочечников наиболее оптимальны КТ и МРТ • Лечение. В связи с невозможностью исключения опухоли кисты должны быть удалены хирургическим путём.
Вирилизующие опухоли коры надпочечников могут быть либо аденомами, либо карциномами • Симптомы •• У девочек типичны гирсутизм, аменорея и увеличение клитора •• У мальчиков — преждевременное половое созревание • Диагноз. Локализацию опухоли лучше всего выявляют КТ и МРТ • Лечение — хирургическое: полное иссечение опухоли.
Феминизирующие опухоли коры надпочечников представлены либо аденомами, либо карциномами • Симптомы. У женщин опухоль проявляется преждевременным половым развитием. У мужчин возникают гинекомастия, понижение либидо, атрофия яичек • Диагноз. Локализацию опухоли устанавливают при КТ и МРТ • Лечение. Полное хирургическое удаление опухоли даёт надежду на излечение. При метастазах применяют митотан.
Латентные опухоли надпочечников выявляют при аутопсии в 9% случаев. В связи с использованием КТ и МРТ частота прижизненного выявления таких опухолей растёт • Аденомы возможно отличить от карцином только с помощью цитологического исследования ткани опухоли после её удаления • Больных с опухолями неясного генеза необходимо обследовать каждые 3 мес с проведением КТ или МРТ. Если опухоль больше 3 см в диаметре или быстро растёт, наиболее безопасным считают её хирургическое иссечение • Пункционная биопсия опухоли диаметром меньше 3 см (под контролем КТ) может помочь отличить доброкачественные аденомы коры надпочечников от ранних стадий кортикальных карцином.
МКБ-10 • C74 Злокачественное новообразование надпочечника • D35.0 Доброкачественное новообразование надпочечника
Код вставки на сайт
Кисты и опухоли надпочечников
По поводу лечения данного заболевания Вы можете обратиться в Хирургическое отделение №2 Клиники факультетской хирургии им. Н.Н. Бурденко
Кисты надпочечников — редкая патология. При вскрытиях их обнаруживают менее чем у 1% умерших • Типы. Большинство надпочечниковых кист — либо эндотелиальные (лимфангиоматозные или ангиоматозные), либо псевдокисты, возникшие после кровоизлияний в нормальную или опухолевую ткань • Симптомы. Большие кисты можно пропальпировать в виде образований в брюшной полости. Они могут вызывать ноющие боли или симптомы сдавления органов ЖКТ. При неопластических кистах симптомы те же, что у основного заболевания • Диагноз. Из методов диагностики кист надпочечников наиболее оптимальны КТ и МРТ • Лечение. В связи с невозможностью исключения опухоли кисты должны быть удалены хирургическим путём.
Вирилизующие опухоли коры надпочечников могут быть либо аденомами, либо карциномами • Симптомы •• У девочек типичны гирсутизм, аменорея и увеличение клитора •• У мальчиков — преждевременное половое созревание • Диагноз. Локализацию опухоли лучше всего выявляют КТ и МРТ • Лечение — хирургическое: полное иссечение опухоли.
Феминизирующие опухоли коры надпочечников представлены либо аденомами, либо карциномами • Симптомы. У женщин опухоль проявляется преждевременным половым развитием. У мужчин возникают гинекомастия, понижение либидо, атрофия яичек • Диагноз. Локализацию опухоли устанавливают при КТ и МРТ • Лечение. Полное хирургическое удаление опухоли даёт надежду на излечение. При метастазах применяют митотан.
Латентные опухоли надпочечников выявляют при аутопсии в 9% случаев. В связи с использованием КТ и МРТ частота прижизненного выявления таких опухолей растёт • Аденомы возможно отличить от карцином только с помощью цитологического исследования ткани опухоли после её удаления • Больных с опухолями неясного генеза необходимо обследовать каждые 3 мес с проведением КТ или МРТ. Если опухоль больше 3 см в диаметре или быстро растёт, наиболее безопасным считают её хирургическое иссечение • Пункционная биопсия опухоли диаметром меньше 3 см (под контролем КТ) может помочь отличить доброкачественные аденомы коры надпочечников от ранних стадий кортикальных карцином.
МКБ-10 • C74 Злокачественное новообразование надпочечника • D35.0 Доброкачественное новообразование надпочечника
Доброкачественные опухоли костей и костные кисты

К доброкачественным опухолям костей относятся доброкачественные гигантоклеточные опухоли кости Доброкачественная гигантоклеточная опухоль кости К доброкачественным опухолям костей относятся доброкачественные гигантоклеточные опухоли кости, хондробластомы, хондромиксоидные фибромы, энхондромы, неокостенивающие фибромы, остеобластомы. Прочитайте дополнительные сведения , хондромиксоидные фибромы Хондромиксоидная фиброма К доброкачественным опухолям костей относятся доброкачественные гигантоклеточные опухоли кости, хондробластомы, хондромиксоидные фибромы, энхондромы, неокостенивающие фибромы, остеобластомы. Прочитайте дополнительные сведения , неокостенивающие фибромы Неоссифицирующая фиброма (фиброзный кортикальный дефект, фиброксантома) К доброкачественным опухолям костей относятся доброкачественные гигантоклеточные опухоли кости, хондробластомы, хондромиксоидные фибромы, энхондромы, неокостенивающие фибромы, остеобластомы. Прочитайте дополнительные сведения , остеохондромы Остеохондрома К доброкачественным опухолям костей относятся доброкачественные гигантоклеточные опухоли кости, хондробластомы, хондромиксоидные фибромы, энхондромы, неокостенивающие фибромы, остеобластомы. Прочитайте дополнительные сведения .
К числу доброкачественных кист относятся аневризматические кисты кости Аневризматическая костная киста К доброкачественным опухолям костей относятся доброкачественные гигантоклеточные опухоли кости, хондробластомы, хондромиксоидные фибромы, энхондромы, неокостенивающие фибромы, остеобластомы. Прочитайте дополнительные сведения Также кости может поражать фиброзная дисплазия Фиброзная дисплазия К доброкачественным опухолям костей относятся доброкачественные гигантоклеточные опухоли кости, хондробластомы, хондромиксоидные фибромы, энхондромы, неокостенивающие фибромы, остеобластомы. Прочитайте дополнительные сведенияАневризматическая костная киста
Аневризматическая костная киста – это увеличивающееся идиопатическое образование, возникающие обычно в возрасте до 25 лет. Это кистозное поражение обычно возникает в метафизах длинных трубчатых костей, но и почти все другие кости могут быть затронуты. Она, как правило, растет медленно. Периостальная новая костная оболочка формируется вокруг экспансивного поражения и часто шире, чем исходная кость. Характерны боль и локальная припухлость. Прежде чем будет установлен диагноз, проходит от нескольких недель до года.
Характерна рентгенологическая картина: область просветления обычно четко очерчена и расположена эксцентрично; надкостница выпячивается ("мыльные пузыри"), выдаваясь в окружающие мягкие ткани, а может быть окружена новообразованной костной тканью. МРТ обычно показывает уровень жидкости. При визуализации некоторые аневризматические костные кистовидные поражения могут выглядеть более угрожающе, напоминая по характеристикам остеосаркому, поэтому могут возникнуть подозрения на телеангиэктатическую остеосаркому Остеосаркома (остеогенная саркома) Первичные опухоли костей встречаются значительно реже, чем метастатические опухоли костей, особенно у взрослых. К первичным опухолям костей относятся множественная миелома, остеосаркома, адамантинома. Прочитайте дополнительные сведения , расположенной на самом конце кости.
При аневризматических костных кистах, подтвержденных биопсией, могут быть инъецированы доксициклин, альбумин и воздух в виде инъекционной пены. Может потребоваться более одной или двух инъекций. Были использованы другие склерозирующие препараты на спиртовой основе. Наиболее успешным методом лечения является хирургическое удаление всего пораженного участка; после неполного удаления иногда происходит регрессия. Следует по возможности избегать лучевой терапии, поскольку иногда она связана с развитием сарком. Лучевая терапия может быть методом выбора при локализации кисты в позвоночнике, когда она сдавливает спинной мозг, а ее хирургическое удаление оказывается невозможным.
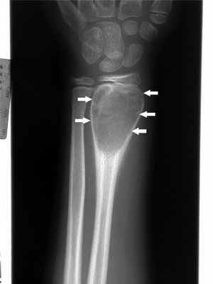
Доброкачественная гигантоклеточная опухоль кости
Доброкачественные гигантоклеточные опухоли кости обычно возникают у лиц в возрасте от 20 до 30 лет и располагаются в эпифизах и дистальной эпифизарно-метафизарной области. Эти опухоли считаются локально агрессивными. Они продолжают разрастаться, разрушая кость, могут в конечном итоге разрушить остальную часть кости и распространиться на мягкие ткани. Они могут вызывать боль. Эти опухоли печально известны своей склонностью к рецидивам. В редких случаях гигантоклеточная опухоль кости может метастазировать в легкое, даже если она остается гистологически доброкачественной.
Доброкачественные гигантоклеточные опухоли кости при визуализации проявляются как экспансивное литическое поражение. При визуальных исследованиях обнаруживается склеротический ободок –граница между опухолью и нормальным губчатым веществом кости. Необходимо выполнение биопсии. Поскольку гигантоклеточная опухоль кости может метастазировать в легкие, на начальной стадии проводится КТ грудной клетки.
В большинстве случаев доброкачественные гигантоклеточные опухоли кости удаляют при помощи радикального кюретажа с последующим заполнением образовавшейся полости метилметакрилатом или костным трансплантатом. Для уменьшения частоты рецидивов хирурги часто используют дополнительную обработку: например, тепло (которое выделяется при затвердении полиметилметакрилата) или аргоновые лучи, или химическую обработку опухоли фенолом, либо замораживание жидким азотом (криотерапия). Если опухоль очень велика и вызывает деструкцию сустава, может потребоваться полное ее удаление с реконструкцией сустава. Для лечения крупных, потенциально неоперабельных доброкачественных гигантоклеточных опухолей кости может быть использован деносумаб (моноклональные антитела) – ингибитор лиганда рецептора-активатора ядерного фактора каппа-В (RANKL), (см. изображение Гигантоклеточная опухоль [КТ]).
Хондробластома
Хондробластома – редкая опухоль, которая чаще всего развивается у лиц в возрасте от 10 до 20 лет. Возникая в эпифизе, она может расти и разрушать кость и сустав.
При использовании методов визуализации выявляют кисты со склеротическим ободком, содержащие кальцинаты. МРТ позволяет обнаружить значительный отек вокруг зоны поражения.
Опухоль должна быть удалена хирургическим путем при помощи выскабливания, а на полости следует провести костную пластику. Частота местных рецидивов составляет от 10 до 20%, и рецидивирующие повреждения часто устраняются повторным выскабливанием кости и костной пластикой.
Хондромиксоидная фиброма
Хондромиксоидная фиброма встречается очень редко и обычно в возрасте до 30 лет.
Рентгенологическая картина при хондромиксоидной фиброме типична: опухоль располагается эксцентрично в концевых участках длинных костей, для нее характерны четко отграниченные литические изменения. Проксимальный отдел большеберцовой кости и крыло подвздошной кости являются типичными локализациями.
После проведения биопсии лечение хондромиксоидной фибромы заключается в хирургическом иссечении или выскабливании, часто с использованием адъювантов (например, фенола, жидкого азота, аргоновой коагуляции) и костной пластике.
Энхондрома
Энхондромы могут встречаться в любом возрасте, но чаще выявляются у людей от 10 до 40 лет. Они располагаются обычно в метафизарно-диафизарной области внутри костно-мозгового канала. Эти опухоли обычно бессимптомны, но могут расти и становиться болезненными. Они часто выявляются при рентгенологических исследованиях, выполненных по другому поводу. Периостальные хондромы напоминают хрящевые повреждения, возникающие на поверхности костей.
На рентгенограмме опухоль может выглядеть как дольчатая кальцифицированная область в кости; некоторые изменения менее кальцифицированы, с областями пунктирной кальцификации на рентгенограммах и КТ. При наличии прилегания энхондром к коре головного мозга обнаруживаются маленькие эндостальные вдавления. Почти во всех энхондромах при сцинтиграфии выявляется повышенное накопление изотопа, что может вызывать ложное подозрение на злокачественное новообразование. Результаты рентгенографии, МРТ и КТ могут помочь установить диагноз. Если они не дают достаточной информации и особенно если опухоль (а не соседний сустав) становится болезненной, диагноз энхондромы должен быть подтвержден с помощью открытой биопсии. Чтобы отличить костную боль от суставной, в сустав может быть введен длительно действующий анестетик (например, бупивакаин); если боль сохраняется, она может быть обусловлена костными изменениями.
Бессимптомная энхондрома не нуждается в проведении биопсии, удалении или другом лечении (как правило, кюретаже); в любом случае последующие визуализирующие методы исследования показаны для исключения редкого прогрессирования в хондросаркому Хондросаркома Первичные опухоли костей встречаются значительно реже, чем метастатические опухоли костей, особенно у взрослых. К первичным опухолям костей относятся множественная миелома, остеосаркома, адамантинома. Прочитайте дополнительные сведенияУ больных с множественными энхондромами (болезнь Оллиера) и особенно с множественным энхондроматозом с мягкотканными гемангиомами (синдром Маффуччи) намного выше риск развития хондросаркомы.
Фиброзная дисплазия
Фиброзная дисплазия представляет собой аномалию развития данной ткани в детском возрасте. Это ослабляет кости. Фиброзная дисплазия может возникать в одной или нескольких костях. Возможны множественные фиброзные дисплазии, кожная пигментация и эндокринные аномалии (синдром Олбрайта или синдром Мак-Кьюна-Олбрайта). Развитие костных изменений обычно прекращается в период полового созревания. Они редко подвергаются злокачественному перерождению.
На рентгенограммах изменения костей выглядят как кистозные образования, они могут быть обширными и приводить к деформации кости. На снимках поражения имеют классический вид матового стекла. Поражения проксимального отдела бедренной кости, из-за того, что кость ослаблена, подвергаются пластической деформации, в результате чего на рентгенограмме появляется деформация, называемая «пастушьим посохом».
Бисфосфонаты могут облегчить боль. При прогрессирующей деформации, переломах, не консолидирующихся после иммобилизации, или некупируемой боли может потребоваться оперативное вмешательство.
Мелореостоз
Мелореостоз - редкое заболевание роста кортикальной кости. Это мезенхимальная дисплазия коры, которая может быть связана со случайной мутацией гена MAP2K1. Процесс начинается в детстве с утолщения коркового слоя костей как на наружной поверхности (периостальной), так и на внутренней (эндостальной). Процесс протекает в корковом слое очень медленно. Мелореостоз обычно поражает только одну кость (монооссальный), но может поражать и другие кости (полиоссальный) той же конечности (соматическая локализация). Наиболее распространённым местом проявления заболевания является большеберцовая кость. Пациенты часто жалуются на дискомфорт, а рентгенографические снимки показывают утолщение компактного вещества пораженной кости. Результаты рентгенограммы могут свидетельствовать о травматическом формировании новой кости, стрессовом переломе или даже остеосаркоме. Тем не менее, плотное кортикальное утолщение имеет характерный вид «капающего свечного воска», и стабильность при серийной рентгенографии достаточна для постановки диагноза без биопсии. Дискомфорт лечат с помощью анальгетиков или противовоспалительных средств, через некоторое время проводят серийную рентгенографию. Попытки хирургического удаления или резекции единым блоком при тяжелых болезненных очагах повреждения обычно не эффективны, а в очень редких случаях необходима ампутация.
Неоссифицирующая фиброма (фиброзный кортикальный дефект, фиброксантома)
Неоссифицирующая фиброма представляет собой доброкачественное фиброзное поражение кости, которое на рентгенограмме выглядит как четко очерченное светлое кортикальное поражение. Очень маленькую неоссифицирующую фиброму обозначают как фиброзный кортикальный дефект. Эти изменения представляют собой дефекты развития, в которых часть кости, подвергающаяся в норме оссификации, заполняется фиброзной тканью. Обычно они возникают в области метафизов, особенно часто в дистальном отделе бедра, в дистальном и проксимальном отделах большеберцовой кости. Они могут прогрессивно увеличиваться и становиться мультиочаговыми. Неоссифицирующие фибромы часто встречаются у детей. Большинство поражений в конечном итоге оссифицируются и подвергаются ремоделированию, что в большинстве случаев приводит к образованию плотных склеротических участков. Тем не менее, некоторые дефекты увеличиваются.
Небольшие неоссифицирующие фибромы протекают бессимптомно. Однако, при вовлечении около 50% диаметра кости появляются боли и увеличивается риск патологических переломов.
Неоссифицирующие фибромы обычно выявляют случайно при инструментальном исследовании (например, после травмы). Зачастую они выглядят как одиночные продолговатые зоны просветления менее 2 см в диаметре, с четким склеротическим ободком в кортикальном слое. Они также могут быть многоочаговыми.
Маленькие неоссифицирующие фибромы не требуют лечения, но больной должен находиться под наблюдением. Дефекты, которые вызывают боль и составляют 50% от диаметра кости, являются показанием к удалению и трансплантации кости, что позволяет снизить риск патологического перелома.
Остеоидная остеома
Остеоидостеома чаще всего встречается в молодом возрасте (обычно от 10 до 35 лет) в длинных костях, но может возникать в любой кости скелета. Характерны боли (обычно усиливающиеся по ночам, отражающие ночное усиление воспалительных изменений, опосредованных простагландинами). Боли купируются при приеме слабых анальгетиков (в частности, аспирина и других нестероидных противовоспалительных препаратов (НПВП), подавляющих выработку простагландинов. У растущих детей воспалительные изменения и ассоциированная гиперемия, локализующиеся вблизи открытой зоны роста, могут индуцировать избыточный рост и несоответствие длины конечностей. Во время осмотра можно наблюдать атрофию региональных мышц, поскольку боль обусловливает снижение физической активности.
При использовании методов визуализации выявляют типичные изменения: небольшая зона просветления, окруженная широкой склеротической каймой. При подозрении на наличие опухоли следует выполнить сцинтиграфию всего тела с технецием-99m, при которой остеоидостеома характеризуется повышенным накоплением изотопа, несмотря на то, что многие другие костные поражения проявляются также. Выполняют также КТ или МРТ, которые являются наиболее информативными диагностическими методами. Обычная пленка или тонкосрезный КТ-скан позволяют увидеть классический симптом "бычьего глаза" в месте расположения истинного очага опухоли, окруженного зоной реактивного костеобразования.
Абляция очага в пределах небольшой зоны просветления с использованием чрескожной радиочастотной энергии в большинстве случаев дает благоприятные результаты. В большинстве случаев лечением остеоидостеомы занимается специалист радиолог с использованием чрескожной техники и анестезии. Реже эти опухоли удаляют хирургическим путем. Хирургическое удаление может быть предпочтительным, если остеоидостеома расположена вблизи нерва или кожи (например, в области позвоночника, кистей, стоп), поскольку тепло, выделяемое при радиочастотной аблации, может вызвать повреждение.
Читайте также:
