Неврологические осложнения злокачественных опухолей. Паранеопластические неврологические синдромы
Добавил пользователь Евгений Кузнецов Обновлено: 14.12.2025
Представлено клиническое наблюдение пациентки с паранеопластической полинейропатией, ассоциированным с раком яичников. Особенностью данного случая является его относительная редкость. Стадийность развития неврологических нарушений в сочетании с данными лабораторной диагностики обусловили необходимость онкологического поиска, в результате которого выявлен рак яичников. Гистологический диагноз подтвержден иммуногистохимическим методом. Злокачественная опухоль выявлена через один год после появления первых признаков сенсорной полинейропатии, что подтверждает паранеопластическую природу неврологических нарушений. Своевременно начатое лечение по поводу злокачественной опухоли может привести к стабилизации неврологических симптомов.
Ключевые слова
Для цитирования:
For citation:
Введение
Паранеопластические синдромы являются системными проявлениями злокачественных новообразований, не связанными с прямым действием опухоли или ее метастазов, инфекцией, коагулопатией, а также побочными эффектами лекарственной терапии [1][2]. Все паранеопластические синдромы делятся на 4 большие группы: эндокринологические, неврологические, гематологические/сосудистые и дерматологические [3]. В отличие от эндокринных синдромов, паранеопластические неврологические синдромы (ПНС) в 80 % случаев диагностируются до выявления опухолевого процесса [4]. По частоте развития ПНС рак яичников находится на третьем месте после мелкоклеточного рака легкого (МКРЛ) и тимомы. В данной работе представлен редкий клинический случай наблюдения пациентки с полинейропатией, ассоциированной с раком яичника.
Материалы и методы
Больная Х, 68 лет, обратилась в консультативно-диагностический центр в связи с болью и слабостью в ногах,
прогрессирующими в течение года. Из анамнеза известно, что пациентке ранее установлен диагноз хроническая сенсорная полинейропатия, назначались кортикостероиды, после чего состояние временно улучшилось. В ходе неврологического осмотра выявлена сенсомоторная полинейропатия. При выполнении стимуляционной электронейромиографии диагностировано аксональное полиневритическое поражение. В лабораторных данных обращало на себя внимание повышение СОЭ до 36 мм/час, уровня Д-димера до 948 нг/мл (норма менее 700 нг/мл), b2-микроглобулина в сыворотке — 2,75 мг/л (норма 0,85-1,62 мг/л). При определении онкомаркеров в крови уровень CA 125 составил 2 618,3 ед/мл (норма < 35,00 ед/мл). Также отмечалось незначительное увеличение количества высокочувствительного белка острой фазы CRP-2 — 3,65 мг/л (норма < 3,00 мг/л). При иммунологическом исследовании выявлено повышение уровня иммуноглобулинов класса G до 17,8 г/л (норма 7,0-16,0 г/л).
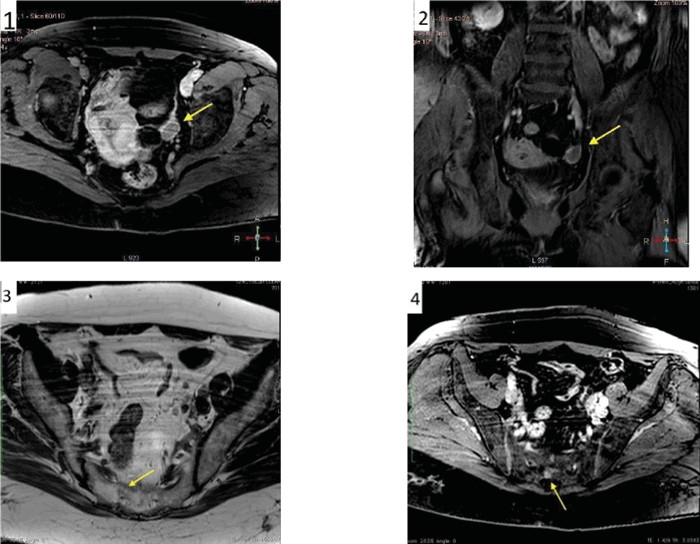
Проведен онкопоиск. При ультразвуковом исследовании обнаружен объемный процесс в полости малого таза слева. По данным магнитно-резонансной томографии выявлены гиперпластические изменения в эндометрии, объемное образование левой тубовариальной области, патологические изменения в костях таза (вероятно, метастатического генеза) (рис. 1).

Рисунок 1. МРТ органов малого таза: Т1 с контрастным усилением в аксиальной (1) и коронарной (2) проекциях — стрелками обозначена опухоль левого яичника; на Т2 в аксиальной проекции (3) стрелкой обозначена зона патологических изменений в правых отделах крестца; в режиме Т1 с контрастным усилением (4) в аксиальной проекции стрелкой обозначена зона накопления контраста в правых отделах крестца (предположительно — метастаз).
Figure 2. Histological specimens of the removed lymph node with metastatic tumor: a — staining with hematoxylin-eosin (x200); b — determination of CA-125 marker expression (x200); c — expression of proliferative activity of Ki-67 (x100); d — expression of cytokeratin CK 7 (x 100).
При ультразвуковом исследовании лимфоузлов обнаружена лимфаденопатия передне-шейной группы с двух сторон. Выполнена биопсия надключичного лимфоузла справа, в ходе которой диагностирована опухоль. По данным иммуногистохимического исследования опухолевые клетки экспрессируют CK 7 (цитокератины), CA 125, часть клеток экспрессирует vimentin, также отмечается слабо выраженная фокальная экспрессия WT-1, в единичных комплекcах выявлена экспрессия CK5/6. Маркер пролиферативной активности Ki-67 позитивен в ядрах 70 % клеток. Таким образом, можно говорить о метастатической опухоли, вероятно из яичника (рис. 2).

Рисунок 2. Гистологические препараты удаленного лимфоузла с метастатической опухолью: 1 — окраска гематоксилином-эозином (х200); 2 — определение экспрессии маркера СА — 125 (х200); 3 — экспрессия пролиферативной активности Ki — 67 (х100); 4 — экспрессия цитокератина CK 7 (х100).
Figure 2. Histological specimens of the removed lymph node with metastatic tumor: a — staining with hematoxylin-eosin (x200); b — determination of CA-125 marker expression (x200); c — expression of proliferative activity of Ki-67 (x100); d — expression of cytokeratin CK 7 (x 100).
Пациентке установлен диагноз рак яичников T1N1M1, генерализация опухолевого процесса, клиническая группа 2; паранеопластическая сенсо-моторная полинейропатия. Назначены антиконвульсанты, после чего болевой синдром в конечностях регрессировал. Больная направлена к онкологу для дальнейшего лечения.
Результаты
В основе развития паранеопластических неврологических синдромов лежит механизм перекрестной аутоиммунной реакции, при котором вырабатываются онконевральные антитела к компонентам опухоли и нормальной нервной ткани [4]. В отличие от МКРЛ, где ПНС представлены множественными вариантами, соответствующими большому разнообразию специфических антител, при раке яичников обычно возникает две формы неврологических заболеваний — мозжечковая дегенерация (анти-Yo антитела) и энцефаломиелит (анти-NMDAR антитела). При развитии подострой мозжечковой симптоматики у женщин необходимо определение анти-Yo антител. В случае позитивного серологическоого результата некоторые авторы рекомендуют сальпинго-овариэктомию и гистерэктомию для профилактики развития рака [1].
Другие варианты паранеопластических синдромов, в частности, полинейропатия, у больных с онкогинекологической патологией носят очень редкий характер. В ретроспективном исследовании Rojas-Marcos I. et al. (2003) из 43 случаев пациентов с онкогинекологической патологией в 37 выявлена мозжечковая дегенерация, в 5 — сенсорная полинейропатия, и в одном — опсоклонус. При этом среди 5 случаев с полинейропатией в двух выявлены анти-Hu антитела [5].
Некоторые источники свидетельствуют о том, что сенсо-моторная полинейропатия является самым частым паранеопластическим неврологическим осложнением карциноматозного процесса и может быть диагностирована электрофизиологическими методами в 50 % наблюдений [6]. При МКРЛ частота развития полинейропатии может достигать 64 % случаев [1].
G. Cavaletti et al. (1990) обследовали 58 пациенток с раком яичников и пришли к выводу, что истинная частота субклинических форм нейропатий достаточно высока. В первой стадии болезни полинейропатия носит характер сенсорной, а в третьей — моторной. Авторы сообщают, что степень выраженности паранеопластической полинейропатии повышается по мере прогрессирования онкологического процесса [7].
Стадийность развития полинейропатии отмечалась и в данном случае. Симптомы постепенно развивались в течение года до выявления онкологического заболевания. Единственным отклонением в лабораторных анализах являлось стойкое повышение СОЭ в течение 10 лет. При электронейромиографическом исследовании были получены признаки аксональной полинейропатии без каких-либо специфических паттернов. Основанием к соматическому скринингу послужили данные анамнеза, прогрессирующая неврологическая симптоматика и изменения в лабораторных показателях.
Согласно современным рекомендациям, все диагностические признаки ПНС делят на достоверные и вероятные. Одним из достоверных критериев является наличие классического паранеопластического синдрома и карциноматозного процесса, развившегося в течение 5 лет после появления неврологической симптоматики [8]. В данном наблюдении в начальном периоде развития полинейропатии отмечались исключительно сенсорные нарушения, что можно расценить как классический ПНС.
Через один год после появления первых неврологических симптомов выявлена злокачественная опухоль яичников. Таким образом, можно говорить о достоверном диагностическом критерии паранеопластического неврологического синдрома.
Выводы
Описанное редкое клиническое наблюдение подтверждает целесообразность тщательного соматического обследования пациентов с впервые выявленной хронически протекающей полинейропатией. Стадийность развития неврологических нарушений может свидетельствовать о паранеопластической природе процесса.
Список литературы
1. Darnell R.B., Posner J.B. eds. Paraneoplastic syndromes. New York: Oxford University Press, 2011; 7–17.
5. Rojas-Marcos I. , Rousseau A., Keime-Guibert F., Reñé R., Cartalat-Carel S., Delattre J.Y., Graus F. Spectrum of paraneoplastic neurologic disorders in women with breast and gynecologic cancer. // Medicine (Baltimore). – 2003. №82(3). – Р. 216-23. DOI: 10.1097/01.md.0000076004.64510.ce
6. McLeod J.C. Carcinomatous neuropathy. In: Dyck P.I., Tomas P.K., Lambert E., Bunge R. (eds) Peripheral ncuropathy. Saunders, Philadelphia. – 1984: 2180-2190.
7. Cavaletti G., Bogliun G., Marzorati L., Marzola M., Pittelli M. R., Tredici G. Te incidence and course of paraneoplastic neuropathy in women with epithelial ovarian cancer. // Journal of Neurology. – 1991. - №238. – Р. 371-374.
8. Dalmau J., Rosenfeld M. R. Paraneoplastic syndromes of the CNS. Lancet Neurology. – 2008. - №7(4). – Р.327–340. DOI: 10.1016/S1474-4422(08)70060-7.
Об авторах
ФГБОУ ВО Ростовский государственный медицинский университет; ГАУ РО Областной консультативно-диагностический центр
Россия
Чертоусова Анастасия Евгеньевна, Врач-невролог
аспирант кафедры неврологии и нейрохирургии с курсами мануальной терапии и рефлексотерапии ФПК и ППС
Государственное автономное учреждение Ростовской области «Областной консультативно-диагностический центр»
Россия
Черникова Ирина Владимировна, к.м.н., доцент, заведующая кафедрой неврологии и нейрохирургии с курсами мануальной терапии и рефлексотерапии
Холодная Татьяна Олеговна, к.м.н., заведующая лабораторией клинической патоморфологии и молекулярно-биологических исследований
ГАУ РО Областной консультативно-диагностический центр
Арасланова Лариса Вакильевна, к.м.н., заведующая
отделение лучевой диагностики
Неврологические осложнения злокачественных опухолей. Паранеопластические неврологические синдромы
Неврологические осложнения злокачественных опухолей. Паранеопластические неврологические синдромы
Злокачественные опухоли способны оказывать не только прямое воздействие на нервную систему (за счет метастазирования в нервную систему, возникновения оппортунистических инфекций, метаболических нарушений, ишемии головного мозга или внутричерепных кровоизлияний), но и отдаленное воздействие — с помощью гуморальных механизмов. При атом развиваются паранеопластичсские неврологические синдромы. При некоторых из них удастся выявить специфические антинейрональные антитела.
Термином паранеопластические, или ме-танеопластические, неврологические синдромы обозначают результаты отдаленного воздействия опухолей на центральную и периферическую нервную систему, которое осуществляется без участия метастатических, инфекционных или коагулопатических механизмов.
Как правило, клинические признаки паранеопластических синдромов развиваются до появления симптомов опухоли или в тех ситуациях, когда опухоль находится в фазе ремиссии, ее рост замедлен либо когда она еще имеет настолько маленький Размер, что является излечимым заболеванием. Обычно относимые к паранеопластическим, неврологические синдромы не всегда связаны с опухолями. Они могут Развиваться при аутоиммунных заболеваниях.

Тем не менее, причиной появления таких синдромов, как подострая дегенерация мозжечка, опсоклонус-миоклонус, миастенический синдром Ламберта-Итона, чаще всего служат опухоли, поэтому в этих случаях необходим интенсивный поиск опухоли с помощью всех возможных, в том числе инвазивных методов. Другие синдромы реже вызываются опухолями, поэтому больные с этими расстройствами в меньшей степени нуждаются в экстренном интенсивном обследовании.
Предполагают, что большинство паранеопластических синдромов вызвано аутоиммунными механизмами. При целом ряде этих синдромов выявлены антитела, которые вырабатываются организмом против опухоли и способны замедлять ее рост, но одновременно могут взиамодействовать с нернными клетками или оппортунистическими вирусами в нервной системе.
Паранеопластический синдром остается диагнозом исключения. Однако выявление специфических антител позволяет ее подтвердить и заставляет проводить более целенаправленный и плательный поиск возможной опухоли. При многих парансопластических синдромах в ЦСЖ выявляются воспалительные изменения в виде плсоиитоза, повышенного содержания белка и наличия олигоклокальных антител.
Большинство паранеопластических синдромов плохо поддаются лечению и приводят в конце концов к инвалиди зации пациента. Тем не менее, следует предпринять попытку лечения иммуносупрессорными средствами, применить плазмаферез или внутривенный иммуноглобулин. Плазмафсрез оказывает положительное влияние при синдроме Ламберга-Итона. а внутривенный иммуноглобулин может быть эффективен при дегенерации мозжечка.
Паранеопластические синдромы
Паранеопластические неврологические синдромы представляют собой группу редких поражений нервной системы, которые развиваются у некоторых людей, страдающих онкологическими заболеваниями. Паранеопластические синдромы могут протекать с вовлечением других органов и систем, включая железы внутренней секреции (эндокринные), кожу (дерматологические), кровь (гематологические) и суставы (ревматологические), однако поражения нервной системы встречаются чаще всего
Паранеопластические синдромы могут также частично объяснить некоторые из наиболее распространенных симптомов рака, такие как слабость, потеря аппетита (анорексия) и веса.
Паранеопластические неврологические синдромы возникают, когда клетки иммунной системы, которые борются с опухолью, атакуют клетки головного мозга, спинного мозга, периферических нервов или мышц. Чаще всего поражения нервной системы развиваются при раке легкого, молочной железы, яичников, а также раке крови. В большинстве случаев паранеопластические поражения нервной системы возникают до того, как диагностируется рак.
В зависимости от локализации и характера поражения нервной системы, паранеопластическим синдромы могут вызвать двигательные расстройства, нарушения координации, чувствительности, памяти, мышления или сна.
Иногда поражение нервной системы является обратимым на фоне терапии. Однако в других случаях могут развиваться серьезные необратимые повреждения нервной системы. Несмотря на это лечение основного заболевания и его осложнений может предотвратить дальнейшее повреждение нервной системы, уменьшить симптомы и улучшить качество жизни.
Признаки и симптомы паранеопластических неврологических синдромов развиваются сравнительно быстро, часто в течение нескольких дней или нескольких недель. Симптомы варьируют в зависимости от локализации повреждения и могут включать в себя:
- Нарушения походки
- Нарушения равновесия
- Потерю координации движений
- Потерю мышечного тонуса или мышечную слабость
- Нарушения мелкой моторики, например, собирание мелких предметов
- Затруднение глотания
- Смазанность речи
- Потерю памяти и другие нарушения мышления (когнитивные нарушения)
- Проблемы со зрением
- Нарушения сна
- Судороги
- Расстройства чувствительности
- Необычные непроизвольные движения
Некоторые симптомы этих заболеваний часто встречаются одновременно, образуя характерные синдромы. Когда эти синдромы возникают на фоне онкологического заболевания, они рассматриваются как паранеопластические синдромы.
Иногда очень похожие неврологические расстройства могут возникнуть в результате аутоиммунного поражения нервной системы, не связанного с онкологическим заболеванием. Таким образом, неврологические расстройства определяются как паранеопластические синдромы только тогда, когда существует определенная или возможная связь с онкологическим заболеванием.
Наиболее распространенными паранеопластическими неврологическими синдромами являются:
- Дегенерация мозжечка. Это поражение нервных клеток в той области мозга, которая контролирует мышечные функции и равновесие. Признаки его поражения могут включать нарушения походки и координации движений в конечностях, неспособность поддерживать осанку, головокружение, тошноту, непроизвольные движения глаз, двоение в глазах, нарушения речи или глотания.
- Лимбический энцефалит. Это поражение области мозга, которая называется лимбической системой. Она отвечает за эмоции, поведение и определенные функции памяти. У людей с этим расстройством могут возникнуть изменения личности или расстройства настроения, потеря памяти, судороги, галлюцинации или нарушения сна.
- Энцефаломиелит. Воспаление головного и спинного мозга, которое может проявляться множеством различных симптомов в зависимости от локализации поражения.
- Опсоклонус-миоклонус. Этот синдром связан с дисфункцией мозжечка или его проводящих путей. Он проявляется быстрыми, нерегулярными движениями глаз (опсоклонус) и непроизвольными, хаотическими подергиваниями мышц (миоклонус) в конечностях и туловище.
- Синдром «ригидного» человека. Ранее он назывался синдромом "жесткого человека". Этот синдром характеризуется нарастанием мышечной ригидности, в основном поражаются мышцы спины и нижних конечностей. Также могут развиваться болезненные спазмы мышц.
- Миелопатия. Этот термин описывает поражение спинного мозга. Иногда оно называется поперечным миелитом. В зависимости от уровня повреждения спинного мозга могут нарушаться функции кишечника и мочевого пузыря, развивается резкая слабость и онемение определенных областей тела. Если поражение возникает на уровне шейного отдела позвоночника, поражаются все конечности, что приводит к тяжелой степени инвалидности.
Миастенический синдром Ламберта-Итона. Это синдром вызван нарушенным передачи нервного импульса от нервных окончаний к мышцами. Признаки и симптомы включают мышечную слабость, усталость, трудности при глотании и разговоре, нерегулярные движения глаз и двоение в глазах. Проявления со стороны вегетативной нервной системы могут включать сухость во рту, эректильную дисфункцию и неспособность потеть.
Проявления паранеопластических неврологических синдромов подобны таковым при многих других заболеваниях. Если у вас есть какие-либо признаки или симптомы, которые указывают на паранеопластический неврологический синдром, обратитесь к врачу как можно скорее. Ранняя диагностика и надлежащий уход могут быть крайне важны.
Паранеопластические неврологические синдромы вызваны не непосредственным разрушением нервной ткани раковыми клетками, метастазированием опухоли или другими осложнениями, такими как инфекции или побочные эффекты лечения. Паранеопластические неврологические синдромы при онкологических заболеваниях развиваются в результате активации иммунной системы.
Исследователи полагают, что паранеопластические синдромы являются результатом борьбы иммунной системы с раковой опухолью, в частности, результатом воздействия на нее антител и одной из разновидностей лейкоцитов, которые называются Т-лимфоцитами. Вместо того, чтобы нападать только на раковые клетки, эти агенты иммунной системы также нападают на нормальные клетки нервной системы и вызывает неврологические расстройства.
Другие связанные с раком неврологические проблемы
Другие неврологические проблемы также могут быть связаны с раком. Например, опухоли могут развиваться в ткани головного или спинного мозга. Опухоли различной локализации могут привести к повреждению нервной системы. Например, опухоль может сдавливать нерв или спинной мозг.
Раковые клетки могут мигрировать в нервную систему из других тканей (метастазировать). При наличии злокачественной опухоли легких, например, ее клетки могут метастазировать в мозг.
Кроме того, методы лечения рака, такие как лучевая терапии и химиотерапия, могут влиять на неврологические функции. Тем не менее, эти осложнения рака не считаются паранеопластическими синдромами, несмотря на то, что они могут иметь аналогичные признаки и симптомы.
Злокачественные опухоли различной локализации могут приводить к развитию с паранеопластического неврологического синдрома. Тем не менее, эти расстройства встречаются чаще у людей, страдающих злокачественными опухолями легких, яичников, молочной железы, яичек или лимфатической системы. Люди, страдающие аутоиммунными заболеваниями или имеющие отягощенный семейный анамнез, могут быть более склонны к развитию паранеопластических синдромов.
Вопросы, которые может задать врач
Если у вас есть какие-либо симптомы, то будет полезно взять с собой на прием к врачу друга или члена семьи. Ваш врач может задать следующие вопросы:
- Беспокоят ли вас мышечная слабость или нарушения координации?
- Беспокоят ли вас какие-либо необычные или непроизвольные движения мышц?
- Были ли у вас какие-либо проблемы со зрением?
- Есть ли у вас какие-либо нарушения жевания, глотания или речи?
- Есть ли у вас нарушения дыхания?
- Были ли у вас судороги? Как долго они продолжались?
- Вы испытывали головокружение или тошноту?
- Есть ли у вас проблемы со сном? Изменился ли характер сна?
- У вас возникают трудности при работе руками?
- Беспокоят ли вас онемение или покалывание в конечностях?
- Беспокоят ли вас значительные изменения в настроении?
- Были ли вы увидеть или услышать то, что другие не знают?
- Есть ли у вас проблемы с памятью?
- Когда ваши симптомы появились?
- Ваши симптомы становятся хуже?
- У вас было выявлено онкологическое заболевание?
- Какие лекарства вы принимаете, в том числе отпускающиеся без рецепта препараты и биологически активные добавки? Каковы суточные дозы?
- У кого-либо из ваших близких родственников есть или было онкологическое заболевание? Если да, то какое?
- Вы когда-нибудь курили?
- Есть ли у вас или кого-либо из ваших близких родственников аутоиммунные заболевания?
Вопросы для врача
Вопросы, которые вы можете задать врачу:
- Какие обследования мне нужно пройти?
- Каких специалистов я должен посетить?
- Как скоро будут известны результаты обследований?
- Как вы сообщите мне их результаты?
- Что вы пытаетесь выявить?
- Какие заболевания вы пытаетесь исключить?
Проводя обследование при подозрении на паранеопластический неврологический синдром, врач должен ответить на следующие вопросы:
- Какие неврологические нарушения выявляются?
- Есть ли признаки онкологического заболевания, лежащие в основе этих проблем?
- Какие другие заболевания могут быть причиной данных симптомов?
Осмотр
Ваш врач или невролог проведет общий осмотр, а также неврологическое исследование. Врач задаст вам ряд вопросов и выполнит несколько простых диагностических тестов для оценки:
- Рефлексов
- Мышечной силы
- Мышечного тонуса
- Чувствительности
- Зрения и слуха
- Координации
- Равновесия
- Психического состояния
- Настроения
Лабораторные исследования
Лабораторные исследования, которые, вероятно, будут назначены вам, включают:
- Анализы крови. Вам потребуется сдать кровь на анализ, в том числе для выявления антител, обычно связанных с паранеопластическими синдромами. Кроме того, могут потребоваться анализы для исключения таких причин вашего состояния, как инфекции, гормональные расстройства или нарушения метаболизма (обмена веществ).
- Спинальная пункция. Вам может быть необходимо выполнение спинальной пункции для получения образца спинномозговой жидкости (СМЖ) – жидкости, которая омывает головной мозг и спинной мозг. Невролог или специально обученная медсестра вводит иглу в нижнюю часть спины, чтобы получить небольшое количество спинномозговой жидкости для лабораторного исследования.
Иногда, паранеопластические антитела могут быть выявлены в СМЖ и отсутствовать в крови. Если они обнаруживаются в СМЖ и крови, это является убедительным доказательством того, что ваши неврологические симптомы обусловлены специфической формой реакции иммунной системы.
Визуализирующие исследования
Визуализирующие исследования используются для выявления опухолей или других факторов, которые могут быть основной причиной появления неврологических симптомов. Для этого могут применяться:
- Компьютерная томография (КТ) – исследование, которое позволяет получать изображения поперечных срезов тканей с помощью рентгеновского излучения.
- Магнитно-резонансная томография (МРТ) – исследования, при котором с помощью магнитного поля и радиоволн получают детализированные изображения поперечных срезов или 3-D изображения тканей.
- Позитронно-эмиссионная томография (ПЭТ) – исследование, при котором радиоактивные соединения вводят внутривенно для получения изображения поперечных срезов или 3-D изображения тела. ПЭТ может быть использована для выявления опухолей, оценки обмена веществ в тканях, кровотока и выявления изменений головного мозга, которые являются причиной развития судорог.
- ПЭТ-КТ – это сочетание ПЭТ и КТ, которое позволяет оптимизировать диагностику небольших по размеру опухолей, которые зачастую являются причиной возникновения паранеопластических неврологических синдромов.
Если злокачественная опухоль или какая-либо другая причина неврологических расстройств не была выявлена, паранеопластический синдром нельзя исключить, поскольку вызывающая его опухоль может быть слишком мала, чтобы ее можно было обнаружить. Даже очень маленькая опухоль может быть причиной мощного ответа со стороны иммунной системы. Скорее всего, вам потребуется проведение повторных исследований каждые три-шесть месяцев, пока причина неврологических расстройств не будет выявлена.
Лечение паранеопластическими неврологических синдромов включает лечение основного заболевания и, в некоторых случаях, подавление иммунного ответа, который вызывает появление неврологических синдромов. Ваше лечение будет зависеть от конкретного типа паранеопластического синдрома, но оно может включать в себя следующие методы.
Медикаментозное лечение
В дополнение к лекарственным препаратам для химиотерапии, которые уничтожают раковые клетки, ваш врач может назначить один или несколько из следующих препаратов, которые подавляют аутоиммунное повреждение нервной системы:
- Кортикостероиды, такие как преднизолон, подавляющие воспаление. Серьезные долгосрочные побочные эффекты включают поражение костной ткани (остеопороз), сахарный диабет, повышенное артериальное давление, повышенный уровень холестерина и т.д.
- Иммунодепрессанты, которые воздействуют на клетки иммунной системы – лейкоциты. К препаратам этой группы относятся азатиоприн (Имуран) и циклофосфамид (Цитоксан).Побочные эффекты включают в себя повышенный риск развития инфекций.
В зависимости от неврологических симптомов, могут применяться также:
- Противосудорожные препараты, которые позволяют контролировать судорожные припадки, вызванные ненормальной электрической активностью клеток головного мозга.
- Лекарственные препараты для улучшения нервно-мышечной проводимости. Эти препараты могут улучшить состояние при нарушениях проведения нервного импульса от нервных клеток к мышцам. Некоторые препараты, такие как 3,4-диаминопиридин, увеличивают высвобождение медиаторов – химических веществ, который передают сигнал от нервных клеток к мышцам. Другие препараты, например, пиридостигмин (пиридостигмин, Регонол) блокируют разрушение медиаторов.
Другие виды лечения
Другие виды лечения паранеопластических неврологических синдромов включают:
- Плазмаферез. В ходе этой процедуры жидкость часть крови, которая называется плазмой, отделяется от форменных элементов крови с помощью устройства, которое называется сепаратором. Специалист, проводящий процедуру, возвращает форменные элементы: эритроциты, лейкоциты и тромбоциты – в сосудистое русло, в то время как плазма, которая содержит нежелательные антитела, удаляется и замещается внутривенным введением растворов электролитов и/или донорской плазмы.
- Внутривенное введение иммуноглобулина (ВВИГ). Иммуноглобулин содержит здоровые антитела из крови доноров. Высокие дозы иммуноглобулина ускорить разрушение вредных антител в крови.
Другие методы лечения
Другие методы лечения могут быть полезны, если паранеопластический неврологический синдром привел к выраженной инвалидности:
- Физиотерапия и лечебная физкультура. Определенные упражнения могут помочь вам восстановить некоторые функции мышц, которые были повреждены.
- Логопедия. Если у вас возникли проблемы с речью или глотанием, логопед может помочь вам заново научиться контролировать мышцы.
Многие люди, страдающие от рака, считают полезным узнавать как можно больше о своем заболевании и использовать ресурсы, направленные на улучшение навыков преодоления трудностей, которые связаны с заболеванием. Если у вас есть вопросы или вам требуется помощь, поговорите об этом с кем-либо из специалистов, занимающихся вашим лечением. Чем больше вы знаете о вашем состоянии, тем лучше вы сможете принимать участие в принятии решений о вашем лечении.
Группы поддержки могут помочь вам вступить в контакт с другими людьми, которые сталкивались с теми же проблемами, что и вы. Если вы не можете найти подходящую группу поддержки, где вы живете, воспользуйтесь интернетом.
Паранеопластический синдром — прогностическая значимость
В статье представлены возможные особенности клинического течения паранеопластического синдрома, а также его сходства с другими заболеваниями, что при современной диагностической доступности позволит выявить опухоль задолго до ее клинического проявления.
The article presents the possible features of the clinical course of paraneoplastic syndrome and its similarity to other diseases, which, considering modern diagnostic accessibility, will reveal the tumor long before its clinical manifestation.
Повышенный интерес к сфере онкологии обусловлен быстрым ростом уровня заболеваемости и поздней диагностикой, которая, к сожалению, приводит к высоким показателям летальности.
В 2017 г. в России впервые диагностировано 617 177 злокачественных новообразований. В сравнении с 2016 г. прирост составил 3,0%. В общей структуре смертности от злокачественных новообразований летальность в 2017 г. составила 15,9% (290,7 тысячи больных) [4].
В структуре онкологической заболеваемости в России основной локализацией злокачественных новообразований как у мужского, так и у женского пола является: мочевой пузырь — 2,8%; поджелудочная железа — 3,0%; почки — 4,0%; лимфатическая и кроветворная ткань — 4,7%; прямая кишка, анус, ректосигмоидное соединение — 4,9%; желудок — 6,0%; ободочная кишка — 6,8%; трахея, бронхи, легкие — 10,1%; кожа — 12,6% [4]. Паранеопластический синдром в современной медицине представляет одну из наиболее актуальных проблем в связи со своей прогностической значимостью. Особенностью этого патологического процесса является тот факт, что данный синдром входит в обширный круг различных групп заболеваний, может проявляться многообразной клинической неспецифической картиной и имеет разного рода патогенетические механизмы. Проявления данного синдрома длительное время могут уводить от постановки правильного диагноза.
Под паранеопластическим синдромом следует понимать клинические проявления отдаленного эффекта опухолевого процесса, что в свою очередь является результатом химических, биологических, иммунологических и гормональных повреждений опухолью [5].
Паранеопластический синдром входит в группу определенных синдромов, детерминированных особенностью воздействия опухолевых клеток на различные органы и системы организма, включая иммунитет и метаболические процессы. Развивающиеся патологические процессы проявляются разнообразными симптомами, не связанными с самой злокачественной опухолью, в месте ее локализации и очагах метастазирования [2]. По этим причинам на протяжении длительного времени больные со злокачественными опухолями проходят обследование и лечение у врачей различных специальностей, не подозревая о коварности и драматичности течения паранеопластического синдрома [3].
По современным опубликованным литературным данным, паранеопластический синдром чаще развивается в среднем и пожилом возрасте. Паранеопластические синдромы, по разным данным авторов, диагностируются у 60% больных злокачественными опухолями [1].
Данный синдром регистрируется в 10–18,5% случаев при раке толстой кишки, мелкоклеточном раке легкого, раке молочной железы и яичников, злокачественных лимфомах [5].
Важным в диагностическом поиске является тот факт, что паранеопластический синдром может формироваться вместе с развитием опухоли и, что более значимо, задолго до ее клинического дебюта. После проведения необходимого объема лечения злокачественной опухоли паранеопластический синдром может купироваться и вновь появиться при возможных рецидивах опухоли [1].
Исходя из патогенеза, паранеопластический синдром может быть представлен разнообразными механизмами:
- противоопухолевый ответ формируется с возникновением иммунных и аутоиммунных комплексов;
- при физиологической работе систем организма происходит истощение запасов энергии и веществ;
- фактор роста, фактор некроза опухоли, цитокины и др. синтезируются самой опухолью [2].
Возникновение паранеопластического синдрома зачастую является перерождением стероидов опухолевыми клетками в биологически активные формы [2].
Распространение опухоли или исход метастатического поражения могут быть диагностированы как паранеопластический синдром. Например, если рассматривать лихорадку или анорексию, паранеопластический синдром, по мнению большого круга специалистов, возникает приблизительно у 50% всех онкологических больных [2].
Довольно часто возникновение и симптоматика паранеопластического синдрома при различных видах опухолевых заболеваний указывают на их нозологическую специфичность [2]. Например, редко встречающаяся разновидность паранеопластического синдрома — неспецифический аортоартериит, развивается при раке ободочной кишки [5].
По мнению многих авторов, основная роль в патогенезе паранеопластического синдрома отводится процессам в иммунной системе. Основу иммунного механизма представляет ответная реакция на выработку опухолью биологически активных веществ с развитием иммунных и аутоиммунных комплексов. Особую роль занимает формирование патологических активных эктопических рецепторов в ткани опухоли, при этом действие физиологических гормонов блокируется [5].
В большинстве случаев при B-клеточных лимфопролиферативных заболеваниях (болезни Кастлемена, макроглобулинемии Вальденстрема, тимоме, веретеноклеточном раке) развивается тяжелый патологический процесс — паранеопластическая пузырчатка. У пациентов наблюдается лихенизация кожных покровов, стоматит. При этом выявляются антитела к лектину, антигену буллезной пузырчатки I, десмосомальным элементам [2].
Синдром Шегрена также может быть отнесен к паранеопластическому синдрому, в случае выявления моноклональных антител 17–109. Наличие синдрома Шегрена может провоцировать развитие лимфом различной локализации. Синдром Шегрена может развиться на фоне овсяноклеточного рака легких, рака шейки матки, бронхолегочной карциномы [5].
Лимфогранулематоз (лимфома Ходжкина) — злокачественная опухоль лимфоидной ткани, отличительной чертой которой является наличие в ее субстрате гигантских многоядерных клеток Рида–Штернберга. По данным исследований S. Shams’ili et al., лимфома Ходжкина была диагностирована у 16% больных с паранеопластической мозжечковой дегенерацией [9, 10].
Одним из классических проявлений паранеопластического синдрома является гипертрофическая остеоартропатия, характерная при опухолях легочной ткани [5].
В 1995 г. Д. Познер первым описал паранеопластический неврологический синдром, возникающий у больных со злокачественными опухолями и являющийся составной частью поражения центральной и периферической нервной системы, поражения скелетных мышц [6, 10]. В большинстве случаев у пациентов до развития клинических проявлений опухолевого процесса при обращении к неврологу могут быть выявлены неврологические расстройства [8]. Паранеопластический неврологический синдром наиболее часто проявляется: лимбическим энцефалитом, паранеопластическим энцефаломиелитом, подострой мозжечковой дегенерацией, миастеническим синдромом Ламберта–Итона, синдромом опсоклонус-миоклонус, паранеопластической ретинопатией [8].
Колоссальным достижением нейрорадиологии является открытие и применение в клинической практике антионконевральных антител. Хорошо стала известна тесная связь паранеопластического лимбического энцефалита с аутоантителами против антигенов нейронов [8].
При лимбическом энцефалите, энцефаломиелите, мозжечковой дегенерации, синдроме опсоклонус-миоклонус идет поражение на уровне мозга, черепно-мозговых нервов, сетчатки. Уровнем поражения при миастеническом синдроме Ламберта–Итона будут нервно-мышечные синапсы [7].
Паранеопластический лимбический энцефалит ассоциирован с анти-Ма2-антителами (или анти-Та-антителами) при тестикулярном раке и с анти-Нu-антителами при мелкоклеточном раке легкого [8].
При выявлении в сыворотке крови или ликворе у больных со злокачественными опухолями анти-Hu-антител клиническая симптоматика может сопровождаться эпилептическими припадками, нарушением краткосрочной памяти, расстройством психики по типу синдрома Вернике–Корсакова. Обнаружение анти-Ма2-антител в сыворотке крови или ликворе представляет клинику панических атак, обсессивно-компульсивных расстройств, нарушения краткосрочной памяти, стволовой симптоматики, диэнцефального синдрома, повышения дневной сонливости [8].
При первичном выявлении в сыворотке крови или ликворе у больных со злокачественными опухолями анти-Ма2- (или анти-Та-) и анти-Hu-антител следует провести магнитно-резонансную томографию (МРТ) головного мозга с тонкими Т2-взвешенными изображениями, так как на МРТ головного мозга в более чем 57% случаев определяется паранеопластический лимбический энцефалит, даже при отсутствии клинических проявлений, таких как полифагия, повышенная сонливость в дневное время, катаплексия, нарколепсия, гипокинезия, надъядерный паралич взора (в большинстве случаев вовлечены вертикальные движения глаз) [8].
Тимома является одним из часто встречающихся опухолевых образований средостения. Факторы, которые влияют на развитие тимом, изучены недостаточно. Существует теория воздействия вируса Эпштейна–Барр на развитие данного заболевания. У больных с тимомой, по данным исследований, которые проводились в США и Швеции, возрастал риск развития саркомы мягких тканей, неходжкинской лимфомы, рака простаты [10].
Синдром эктопической продукции адренокортикотропного гормона был впервые описан Д. Брауном в 1928 г. Следствием синдрома является организация адренокортикотропного гормона опухолевой тканью, что в свою очередь способствует развитию гиперкортицизма. В клиническую симптоматику гиперкортицизма входят лунообразное лицо, ожирение туловища, стрии на груди и животе, внутренней поверхности бедер, гиперсутизм, аменорея, депрессия, слабость. Дифференциальную диагностику гиперкортицизма (с обязательным включением в диагностический ряд злокачественной опухоли) следует проводить между болезнью Кушинга, повышенной секрецией кортиколиберина и заболеванием надпочечников [2].
Синдром Пархона (синдром неадекватной продукции антидиуретического гормона) у большого круга пациентов сопровождает мелкоклеточный рак легкого и в наименьшем количестве опухоли головы, шеи. Значительное понижение осмолярности плазмы при синдроме Пархона является результатом гипонатриемии при продолжающейся секреции антидиуретического гормона. Клиническими проявлениями при синдроме Пархона являются гипонатриемия и водная интоксикация. По мере развития клинической симптоматики у больных развивается поражение центральной нервной системы токсического характера, возникает спутанное сознание, развивается бред, появляются судороги, кома; возможен летальный исход. Приведенные клинические проявления необходимо учитывать у всех онкологических больных [2].
Опухоли неостровковых клеток являются частой причиной паранеопластического синдрома с гипогликемией. Причиной могут быть мезенхимные опухоли (мезотелиомы, саркомы) любой локализации. Патогенезом паранеопластического синдрома с гипогликемией может быть повышенная пролиферация рецепторов к инсулину, образование ингибиторов синтеза глюкозы печенью, повышенный метаболизм глюкозы [2].
Паранеопластический синдром при поражении клубочковой системы почек в большинстве случаев проявляется нефритическим синдромом (протеинурия, отеки, макрогематурия, артериальная гипертензия) или нефротическим синдромом (гипопротеинемия, отеки). Возможно бессимптомное течение, изменения возникают только в анализах мочи (латентный гломерулонефрит). К сожалению, паранеопластический синдром при поражении почек довольно часто диагностируется вместе с опухолевой патологией. При своевременном и правильно подобранном лечении опухоли нефротический синдром может быть полностью купирован. При критическом уровне потери белка обязательным является контроль за возможным развитием тромбоэмболии легочной артерии (ТЭЛА), тромбозов почечных вен [2].
При опухолевом процессе почки довольно часто поражаются метастатически или инфильтрируются. Инфильтративный характер поражения почек возникает зачастую при гемобластозах, особенно острых. Для лимфогранулематоза характерной особенностью является билатеральное поражение ткани почек [2].
Паранеопластический синдром, который сочетает в себе анорексию и кахексию, на сегодняшний день часто сопровождает большую часть опухолевых заболеваний любой локализации. Патогенетически кахексия развивается вследствие повышенной секреции фактора некроза опухоли α, интерферона-γ, ИЛ-6, ИЛ-1, трансформирующего фактора роста β. Клинические проявления паранеопластического синдрома обусловлены преобладанием вышеописанных факторов над противокахектическими факторами — ИЛ-4, ИЛ-10, ИЛ-13. Секреция в ткани опухоли веществ, которые приводят к изменению восприятия вкуса пищи и запаха, является причиной понижения чувства насыщения и удовольствия от принятой пищи. На сегодняшний день нет эффективных методов лечения, чтобы полностью купировать данные проявления [2].
Паранеопластические дерматозы составляют комплекс симптомов и заболеваний поражения кожи, развивающихся под воздействием злокачественных образований внутренних органов. Наибольшее клиническое значение среди паранеопластического кожного синдрома имеют акрокератоз Базекса, черный акантоз, паранеопластический пемфигус [1].
Акрокератоз Базекса чаще на несколько лет предшествует опухолевому процессу или возникает совместно с клинической симптоматикой злокачественного процесса [1].
Паранеопластический черный акантоз возникает уже в периоде метастазирования, что является неблагоприятными прогностическими данными. По данным различных исследований, после появления первых кожных изменений около 50% больных погибают в течение 9 месяцев, 75% больных — в течение 1,5 лет, 90% больных — в период до 2 лет [1]. Дифференциальную диагностику паранеопластического черного акантоза проводят с псевдоакантозом, который появляется при избыточной массе тела, и с доброкачественным черным акантозом, возникающим после рождения, в детстве или в период полового созревания [1].
Паранеопластический пемфигус появляется в любом периоде возникновения опухоли. После удаления опухоли дерматоз регрессирует и заново возникает при метастазировании [1].
Довольно часто паранеопластический синдром проявляется тромботическими осложнениями, такими как мигрирующий тромбофлебит, тромботической микроангиопатией, тромбоэмболией легочной артерии, небактериальным тромбоэндокардитом, парадоксальными кровотечениями [3]. Возможно паранеопластическое поражение сосудов по типу васкулита. Патогенез паранеопластического васкулита изучен недостаточно. Многие авторы являются сторонниками аутоиммунного механизма с образованием иммунных комплексов в сосудистой стенке разного калибра и дальнейшим формированием воспаления, некроза. Неиммунный механизм, по мнению других авторов, трактуется воспалением в сосудистой стенке и воздействием на эндотелий субстанций и медиаторов, продуцируемых опухолью [9, 10]. Время возникновения первой клинической симптоматики коагулопатии и верификации опухоли составляет в среднем от 2 до 5 лет [3].
Диагностика определенных видов паранеопластического синдрома дает возможность онкологу сориентироваться в наиболее правильном диагностическом поиске опухолевого процесса. На современном этапе с привлечением высоких технологий диагностики основательно доказано, что опухоль будет выявлена в 80% случаев [9].
В большинстве случаев паранеопластический синдром и клинически сходные заболевания имеют множество особенностей. Все это может способствовать определению и характеристике группы пациентов для тщательного и прицельного поиска онкологической патологии [4].
Сегодня злокачественные опухоли поражают различные органы. Многообразие онкологических патологий и обусловленная ими высокая летальность представляют серьезную задачу для проведения ранней диагностики. Современная диагностика паранеопластического синдрома позволит выявить опухоль на стадии доклинических проявлений.
Литература
- Болотная Л. А., Сербина И. М. Паранеопластические дерматозы // Международный медицинский журнал,. 2008. № 3. С. 86–90.
- Геворков А. Р., Дарьялова С. Л. Паранеопластические синдромы // Клиническая геронтология. 2009. № 2. С. 34–49.
- Евтушенко С. К., Марусиченко Е. А., Кузнецова Е. А. Рецидивирующие тромбозы магистральных и периферических сосудов как проявление паранеопластического синдрома в практике невролога // ДонНМУ. 2017. № 2. С. 13.
- Каприна А. Д., Старинский В. В., Петровой Г. В. Злокачественные новообразования в России в 2017 году (заболеваемость и смертность). МНИОИ им. П.А. Герцена – филиал ФГБУ «НМИЦ радиологии» Минздрава России, 2018. 250 с.
- Фурсова Л. А., Лихачева Е. М. Паранеопластические спинальные синдромы (научный обзор и личное наблюдение) // Международный неврологический журнал. 2017. № 4 (90). С. 69–76.
- Шнайдер Н. А., Дыхно Ю. А., Ежикова В. В. Структура и частота встречаемости паранеопластического неврологического синдрома при онкопатологии органов грудной клетки // Сибирский онкологический журнал. 2012. № 1 (49). С. 63–70.
- Шнайдер Н. А., Дыхно Ю. А., Ежикова В. В. Клиническая гетерогенность паранеопластического неврологического синдрома // Сибирский онкологический журнал, 2011. № 3 (45). С. 83–90.
- Шнайдер Н. А., Дмитренко Д. В., Дыхно Ю. А., Ежикова В. В. Паранеопластический лимбический энцефалит в практике невролога и онколога // Российский онкологический журнал, 2013. № 1. С. 49–56.
- Dalmau J., Rosenfeld M. R. Paraneoplastic syndromes of the CNS // Lancet Neurol. 2008. Vol. 7 (4). P. 327–340.
- Engels E. A. Epidemiology ofthymoma and associated malignancies // J. Thorac. Oncol. 2010. Vol. 5 (10). P. 260–265.
В. Ю. Павлова 1 , кандидат медицинских наук
С. В. Соколов
А. В. Гайдай
Паранеопластические cиндромы
Паранеопластические синдромы – это симптомы, проявляющиеся в местах, отдаленных от опухоли или ее метастазов ([XRef]).
Хотя патогенез паранеопластических симптомов остается неясным, они могут вызываться веществами, продуцируемыми опухолью, или развиваться в результате перекрестной реакции противоопухолевых антител с другими тканями. Симптомы могут проявляться в любом органе или системе. До 20% онкологических пациентов имеют паранеопластические синдромы, но часто они не распознаются.
Чаще всего паранеопластические симптомы развиваются при следующих онкологических заболеваниях:
Рак легких Легочная карцинома Рак легких является основной причиной смерти от рака во всем мире. В 85% случаев причиной заболевания становится курение. К симптомам рака легкого относится кашель, дискомфорт или боль в грудной. Прочитайте дополнительные сведенияЗлокачественные опухоли нервной системы
Успешное лечение лучше всего достигается с помощью контроля основного заболевания, но некоторые симптомы могут быть купированы специфичными лекарствами (например, ципрогептадин или аналоги соматостатина при карциноидном синдроме, бисфосфонаты и кортикостероиды при гиперкальциемии).
Общие паранеопластические симптомы
У больных онкологическими заболеваниями часто отмечаются жар, ночная потливость, анорексия и кахексия. Это может быть обусловлено выбросом цитокинов, вовлеченных в воспалительную или иммунную реакции, или медиаторами, вовлеченными в опухолевую клеточную смерть, как, например, фактор некроза опухоли-α. В развитии этих симптомов также могут участвовать нарушения функции печени и стероидогенеза.
Кожные паранеопластические синдромы
У пациентов могут развиваться различные кожные симптомы.
Зуд является наиболее распространенным кожным симптомом, с которым сталкиваются пациенты с онкологическими заболеваниями (например, лейкемия, болезнь Ходжкина, миелопролиферативные новообразования и лимфомы) и может также быть результатом гиперэозинофилия Гиперэозинофильный синдром Гиперэозинофильный синдром является состоянием, которое характеризуется эозинофилией периферической крови с проявлениями поражения или дисфункции систем органов, обусловленных непосредственно. Прочитайте дополнительные сведения или мастоцитоз Мастоцитоз Мастоцитоз – инфильтрация тучными клетками кожи и других тканей и органов. Симптомы, главным образом, являются следствием высвобождения медиаторов и среди них выделяют зуд, покраснение и диспепсию. Прочитайте дополнительные сведенияПриливы иногда развиваются в связи с производимыми опухолью циркулирующими вазоактивными веществами (например, простагландинами, гистамином, серотонином ).
Пигментные поражения кожи, или кератозы, встречающиеся при злокачественных опухолях, включают черный акантоз (рак желудочно-кишечного тракта), генерализованный кожный меланоз (лимфома, меланома, гепатоцеллюлярная карцинома), болезнь Боуэна (рак легкого, рак желудочно-кишечного тракта, опухоли мочеполовых путей) и большие множественные себорейные кератозы, т.е. признаки Лезера–Трела (лимфома, рак желудочно-кишечного тракта).
Опоясывающий лишай может проявляться при реактивации латентного вируса у пациентов со снижением общего иммунитета или нарушением функции иммунной системы.
Эндокринные паранеопластические синдромы
Эндокринная система часто затрагивается паранеопластическими синдромами.
Синдром Кушинга Синдром Кушинга Синдром Кушинга – это сочетание клинических симптомов, вызванных хроническим повышением уровня кортизола или родственных ему кортикостероидов в крови. Болезнь Кушинга – это синдром Кушинга. Прочитайте дополнительные сведения (избыток кортизола , ведущий к гипергликемии, гипокалиемии, гипертензии, центральному ожирению, появлению лунообразного лица) может возникать при эктопической выработке адренокортикотропного гормона (АКТГ) или схожих с ним молекул, часто при мелкоклеточном раке легких.
Стойкая гипергликемия может быть связана с наличием опухоли поджелудочной железы, синтезирующей глюкагон .
Гипертензия Артериальная гипертензия Артериальная гипертензия – это стойкое повышение систолического артериального давления в покое (≥ 130 мм рт.ст.) и/или диастолического артериального давления (≥ 80 мм рт.ст.). Повышение АД без. Прочитайте дополнительные сведения может возникать при аномальной секреции эпинефрина и норэпинефрина (при феохромоцитомах) или при избытке кортизола (АКТГ-продуцирующие опухоли).
Другие эктопически продуцируемые гормоны включают паратгормон-связанный белок (PTHRP; при плоскоклеточном раке легкого, раке головы и шеи, раке мочевого пузыря), кальцитонин (при раке молочной железы, мелкоклеточном раке легкого и медуллярной карциноме щитовидной железы) и тиреотропный гормон (при гестационной хорионкариноме). PTHRP вызывает гиперкальциемию и связанные с ней симптомы (полиурия, дегидратация, запор, мышечная слабость); кальцитонин вызывает падение уровня сывороточного кальция, что ведет к мышечным подергиваниям и аритмиям сердца.
Желудочно-кишечные паранеопластические синдромы
Выраженная диарея с последующей дегидратацией и нарушениями электролитного баланса может возникать при опухолевой секреции простагландинов или вазоактивного интестинального пептида. Подобные нарушения встречаются при опухолях островков поджелудочной железы ( гастринома Гастринома Гастринома – гастрин-продуцирующая опухоль, как правило локализующаяся в поджелудочной железе или стенке двенадцатиперстной кишки. Ее проявления – гиперсекреция соляной кислоты и развитие пептических. Прочитайте дополнительные сведения ) и других.
Гематологические паранеопластические синдромы
Известные механизмы гематологических нарушений включают продукцию опухолями веществ, которые имитируют или блокируют нормальные эндокринные сигналы для развития гематологических клеточных линий, и выработку антител, перекрестно реагирующих с рецепторами нормальных клеточных линий.
Неврологические паранеопластические синдромы
При паранеопластических синдромах встречается несколько вариантов периферической нейропатии. Также могут развиваться мозжечковые синдромы и другие центральные неврологические паранеопластические синдромы.
Периферическая нейропатия – самый распространенный неврологический паранеопластический синдром. Обычно это дистальная сенсомоторная полинейропатия, которая вызывает умеренную двигательную слабость, потерю чувствительности и отсутствие дистальных рефлексов.
Подострая сенсорная нейропатия – более специфичная, но редкая периферическая нейропатия. Развивается дегенерация ганглиев задних корешков и прогрессирующая потеря чувствительности с атаксией, однако нарушение проводимости моторных нейронов выражено слабо. Расстройство может приводить к инвалидности. Аутоантитело Anti-Hu выявляется в сыворотке у некоторых пациентов, больных раком легких. Лечения не существует.
Подострая мозжечковая дегенерация вызывает прогрессирующую билатеральную атаксию рук и ног, дизартрию, иногда головокружение и диплопию. Неврологические симптомы могут включать деменцию с признаками поражения ствола мозга или без них, офтальмоплегию, нистагм, признаки поражения подошвенных разгибателей, выраженную дизартрию с вовлечением в процесс рук. Мозжечковая дегенерация обычно прогрессирует в течение недель или месяцев, часто вызывая глубокую инвалидность. Мозжечковая дегенерация может предшествовать выявлению опухоли на несколько недель, месяцев или даже лет. Циркулирующее аутоантитело Anti-Yo обнаруживается в сыворотке или цереброспинальной жидкости (ЦСЖ) у некоторых пациентов, особенно у женщин, больных раком молочной железы или раком яичников. МРТ или КТ могут выявить мозжечковую атрофию, особенно на поздних стадиях. Характерные патологические изменения включают обширную потерю клеток Пуркинье и образование скоплений лейкоцитов вокруг глубоких кровеносных сосудов. В спинномозговой жидкости иногда обнаруживается умеренный лимфоцитарный плеоцитоз. Терапия неспецифичная, но может наступить улучшение состояния при успешной терапии рака.
Опсоклонус (спонтанное хаотичное движение глаз) – редкий мозжечковый синдром, который может сопровождать нейробластому у детей. Он связан с мозжечковой атаксией и миоклонусом тела и конечностей. Может выявляться циркулирующее антитело Anti-Ri. Синдром часто бывает вызван кортикостероидами и терапией рака.
Подострая моторная нейропатия – редкое расстройство, вызывающее безболезненную слабость нижнего мотонейрона верхних и нижних конечностей, обычно отмечается у пациентов с лимфомой Ходжкина и другими лимфомами. Клетки переднего рога дегенерируют. Часто случается спонтанное улучшение состояния.
Подострая некротизирующая миелопатия – редкий синдром, при котором в сером и белом веществах головного мозга быстро развиваются потеря чувствительности и двигательные расстройства, что ведет к параплегии. МРТ помогает отличить эпидуральную компрессию от метастатической опухоли – более частой причины быстро прогрессирующей дисфункции спинного мозга у онкологических пациентов. МРТ может выявить некроз спинного мозга.
Энцефалит может возникать как паранеопластический синдром, принимая несколько разных форм в зависимости от вовлеченной зоны мозга. Предполагается, что энцефалит объясняет энцефалопатию, которая часто возникает при мелкоклеточном раке легкого. Лимбический энцефалит характеризуется тревогой и депрессией, приводя к потере памяти, ажитации, спутанному сознанию, галлюцинациям и аномалиям поведения. Антитела Anti-Hu, направленные против РНК-связывающих белков, могут присутствовать в сыворотке крови или спинномозговой жидкости. МРТ позволяет выявить зоны повышенного скопления контраста и отек.
Почечный паранеопластический синдром
Мембранозный гломерулонефрит может развиваться у пациентов, больных раком толстой кишки, раком яичников и лимфомами, как результат поражения циркулирующими иммунными комплексами.
Ревматологические паранеопластические синдромы
Ревматологические расстройства, опосредованные аутоиммунными реакциями, также могут быть манифестацией паранеопластических синдромов.
Артропатии (ревматоидный полиартрит, полимиалгия) или системный склероз могут развиться у пациентов с онкогематологическими заболеваниями, такими как хронический миеломоноцитарный лейкоз или опухолями толстой кишки, поджелудочной железы или простаты. Системный склероз или системная красная волчанка могут также возникнуть у больных раком легкого и опухолями женской репродуктивной системы.
Гипертрофическая остеоартропатия выражена при определенных видах рака легких и начинается как болезненная отечность суставов (коленей, лодыжек, запястий, локтей и метакарпофалангеальных суставов) с выпотом и иногда с пальцами в виде барабанных палочек.
Вторичный амилоидоз может возникать при миеломе, лимфомах или почечноклеточном раке.
Дерматомиозит Аутоиммунный миозит Аутоиммунный миозит характеризуется воспалительными и дегенеративными изменениями мышц (полимиозит) либо мышц и кожи (дерматомиозит). Проявления включают симметричную слабость, изредка чувствительность. Прочитайте дополнительные сведения и, в меньшей степени, полимиозит считаются более распространенными у онкологических больных, особенно > 50 лет. Обычно проксимальная мышечная слабость прогрессирует, вызывая патологическое мышечное воспаление и некроз. Темная эритематозная сыпь в виде бабочки может развиться на щеках и сопровождаться окологлазничным отеком. Эффективной может быть терапия кортикостероидами.
Авторское право © 2022 Merck & Co., Inc., Rahway, NJ, США и ее аффилированные лица. Все права сохранены.
Читайте также:
