Соединительнотканные невусы с увеличением коллагена.
Добавил пользователь Евгений Кузнецов Обновлено: 22.11.2025
Гомельский государственный медицинский университет, Республика Беларусь
Гомельский областной кожно-венерологический диспансер, Беларусь
Журнал: Клиническая дерматология и венерология. 2011;9(6): 103‑108
Козловская В.В., Драгун Г.В. Соединительнотканные невусы. Клиническая дерматология и венерология. 2011;9(6):103‑108.
Kozlovskaia VV, Dragun GV. Connective tissue nevi. Klinicheskaya Dermatologiya i Venerologiya. 2011;9(6):103‑108. (In Russ.).
Гомельский государственный медицинский университет, Республика Беларусь
Соединительнотканные невусы представляют собой группу пороков развития соединительной ткани. В данную группу объединены как спорадические случаи, так и признаки наследственных синдромов. Представлены обзор литературы и клинические случаи разных типов соединительнотканных невусов.
Гомельский государственный медицинский университет, Республика Беларусь
Гомельский областной кожно-венерологический диспансер, Беларусь
Термин «невус» в настоящее время применяется дерматологами преимущественно для обозначения доброкачественных меланоцитарных новообразований. Однако данный термин имеет более широкое значение. В переводе с латинского он означает «родинка» и представляет собой стойкие неопухолевые образования, возникающие с момента рождения или вскоре после него. В зависимости от типа клеток или ткани, явившихся причиной порока развития, выделяют сосудистые, соединительнотканные, меланоцитарные и другие невусы [1].
Механизмы возникновения невусов могут быть разными, но основным является мозаицизм – появление в зародыше нескольких разных популяций клеток, растущих из одной зиготы. Мутации, возникшие путем мозаицизма, за редким исключением являются в основном ненаследственными [1, 2].
Соединительнотканные невусы — пороки развития основного вещества дермы, которые могут развиваться как в сосочковой, так и в сетчатой дерме. В эту группу входят как врожденные синдромы с известным механизмом наследования, как, например, синдром Бушке—Оленсдорфа, или туберозный склероз, так и спорадические поражения без определенного механизма наследования.

В настоящее время общепринятой классификации соединительнотканных невусов нет. Все существующие классификации построены по преобладанию коллагеновой, эластиновой или протеиногликановой ткани в невусе. Наиболее употребляемой считается классификация, предложенная в 1980 г. J. Uitto и соавт. и позже — G. Pierard (1985) [3, 4] (табл. 1).
Коллагеновые невусы (коллагеномы)
Клиническая картина коллагеном разных типов сходна между собой и представлена папулами или бляшками цвета нормальной кожи, расположенными в дерме. Папулы не сопровождаются субъективными ощущениями. Размер папул варьирует от нескольких миллиметров до нескольких сантиметров. Размер папул чаще округлый, но описаны и линейные поражения, расположенные вдоль линий Блашко [5].
Гистологическая картина коллагеном идентична. На первый взгляд изменения малозаметны, может быть выражено утолщение или дезорганизация коллагеновых волокон. Количество фибробластов может быть как нормальным, так и повышенным. Чем глубже залегает коллагенома, тем более выражено утолщение коллагеновых волокон [4].
Семейная кожная коллагенома
Семейная кожная коллагенома у 3 из 5 братьев была описана впервые в 1968 г. R. Henderson и соавт. Второй случай семейной коллагеномы у 6 из 52 членов семьи описан через 10 лет J. Uitto и соавт. Во всех случаях прослеживался аутосомно-доминантный тип наследования [6, 7].
В настоящее время известно лишь около 10 семей с данной патологией. Коллагеномы начинают развиваться в период полового созревания, однако известны и случаи их раннего возникновения [8]. У некоторых женщин с семейной кожной коллагеномой отмечалось увеличение количества коллагеном во время беременности.
У всех больных, описанных первыми авторами, имелись высыпания на верхней части спины, не сопровождающиеся субъективными ощущениями. У некоторых больных наблюдалось сочетание коллагеном с патологией сердечно-сосудистой системы, что позволило предположить системное поражение коллагена [9]. Однако небольшое количество описанных случаев затрудняет оценку этой взаимосвязи.
Эруптивная коллагенома
Термин «эруптивная коллагенома» применяется при отсутствии семейного анамнеза коллагеном. Клинически высыпания сходны с таковыми при семейной коллагеноме, однако могут располагаться и на конечностях. Также отмечены случаи возникновения эруптивных коллагеном во время беременности [10].
Подошвенная коллагенома
Подошвенная коллагенома представляет собой мозговидную массу, раcположенную на подошвах. Данный вид коллагеномы является одним из достоверных признаков синдрома Протея, однако описаны и случаи изолированного поражения [11].
Туберозный склероз — врожденное заболевание, наследуемое аутосомно-доминантно, представляет собой комплекс различных аномалий (задержку умственного развития, характерные кожные изменения, патологию органа зрения).
Классическое описание туберозного склероза дано D. Bourneville. В 1908 г. H. Vogt описал триаду признаков туберозного склероза (эпилепсия, умственная отсталость, ангиофибромы). Заболеваемость туберозным склерозом в разных странах составляет от 1:20 000 до 1:100 000 населения [2]. В настоящее время известны две мутации в хромосомах 9q34 и 16p13, которые приводят к нарушению синтеза белков гамартина и туберина, играющих определенную роль в развитии опухолей [2].

Кожные изменения заболевания часто возникают до развития системной патологии и являются основными для выставления диагноза. К характерным кожным изменениям при туберозном склерозе относят гипопигментированные пятна, ангиофибромы лица, подногтевые фибромы и коллагеновый невус (шагреневую бляшку). Опухолевидные образования могут появляться и во внутренних органах [12] (табл. 2).
Диагноз туберозный склероз может быть безоговорочно выставлен при наличии двух основных критериев или одного основного и двух дополнительных критериев [2].
Коллагеновый невус при туберозном склерозе чаще располагается на туловище и как клинически, так и гистологически не отличается от других его проявлений [1, 2]. Ангиофибромы и околоногтевые фибромы при туберозном склерозе представляют собой пороки развития адвентициальной соединительной ткани. Термин «ангиофиброма» в данном случае не совсем корректен, поскольку при гистологическом исследовании папулы лица у больных туберозным склерозом представляют собой пороки развития фолликулярного аппарата и соединительной ткани (так называемые фиброзные папулы лица).
Другие коллагеномы
Коллагеномы могут являться и одним из симптомов наследственных аномалий. При синдроме множественных неоплазий коллагеномы, ангиофибромы и липомы могут быть одними из первых диагностических признаков. B. Asgharian и соавт. [13] обследовали 100 пациентов с синдромом множественных неоплазий и определили, что наличие 1 и более коллагеном или 3 и более ангиофибром в сочетании с гастриномой является одним из предикторов этого состояния.

Клинический случай 1. Пациент К., 15 лет, обратился в Гомельский областной кожно-венерологический диспансер (КВД) с жалобами на появление множественных плотных папул цвета нормальной кожи. При осмотре были выявилены множественные папулы, локализующиеся на спине, нижних конечностях, животе. Общее количество папул — более 10, их размер составлял 1—8 см. Папулы не были видны невооруженным глазом, однако хорошо пальпировались (плотные образования) и обнаруживались при боковом освещении (рис. 1). Рисунок 1. Пациент К., 15 лет. Диагноз: эруптивная коллагенома. Множественные плотные на ощупь папулы телесного цвета, обнаруживаемые при боковом освещении. Папулы левой лопаточной области (а) и внутренней поверхности бедер (б).
При ультразвуковом исследовании сердца обнаружен пролапс митрального клапана. При рентгенологическом исследовании костей таза и большеберцовых костей аномалии не выявлено. Общие анализы крови, мочи, биохимический анализ крови без патологии. У родственников кожной патологии нет.

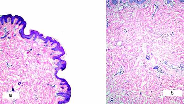
Пациенту выполнено гистологическое исследование кожи, по результатам которого обнаружена дезорганизация коллагеновых волокон (рис. 2). Рисунок 2. Патоморфологическое исследование кожи (окрашивание гематоксилином и эозином). а — ×100, б —×400: дезорганизация коллагеновых волокон, отсутствие воспалительного инфильтрата. Диагноз: эруптивная коллагенома. Учитывая множественные поражения, лечение не назначалось.

Клинический случай 2. Пациентка Б., 39 лет. Обратилась в Гомельский областной КВД с жалобами на поражение кожи лица. При осмотре выявлены множественные плотные узелки в области носогубных складок и подбородка размером до 1 см, околоногтевые фибромы кистей и стоп, плотное, выступающее образование цвета нормальной кожи на спине, классифицируемое как шагреневая бляшка (рис. 3). Рисунок 3. Пациентка Б., 39 лет. Диагноз: туберозный склероз. а — множественные фиброзные папулы лица, б — околоногтевые фибромы кистей, в — околоногтевые фибромы стоп, г – коллагенома (шагреневая бляшка). Пациентка наблюдается у психиатра по поводу эпилепсии.
В общих анализах крови и мочи, биохимическом анализе крови патологии не выявлено. Семейный анамнез выяснить не удалось. Диагноз: туберозный склероз.
Эластиновые невусы (эластомы)
Эластомы клинически сходны с коллагеномами. При гистологическом исследовании эластом при обычной окраске гематоксилином и эозином изменения в тканях обычно не обнаруживаются. В данном случае необходимо окрашивать препараты специальными красителями для выявления эластиновых волокон (например, по Ван-Гизону).
Псевдоксантома эластическая — аутосомно-рецессивное заболевание, характеризующееся изменениями кожи, органа зрения и сердечно-сосудистой системы. Заболевание возникает после 20 лет и характеризуется поражением кожи крупных складок [1, 2]. Наиболее типично — поражение кожи шеи, реже поражаются паховые, подмышечные складки, локтевые и коленные сгибы. Кожа в этих областях становится вялой, дряблой. При длительном течении заболевания в очагах поражения происходит отложение кальция, что клинически проявляется в виде плотных желтоватых папул. Часто поражается слизистая оболочка полости рта в области внутренней поверхности нижней губы. Отложения кальция происходят и в сосудах глаза, что ведет к облитерации сосудов, образованию новых капилляров, кровоизлияниям и снижению остроты зрения. Поражение мелких сосудов может вести к атеросклерозу и ранним инфарктам.
Перфорирующая эластома
Перфорирующая эластома — заболевание неясного генеза, проявляющееся кератотическими папулами в области лица и шеи и дегенерацией коллагеновых волокон. Папулы при перфорирующей эластоме склонны к образованию полициклических структур, что требует дифференциальной диагностики с дерматомикозами и кольцевидной гранулемой. Патоморфологическая картина перфорирующей эластомы весьма типична. Участки дегенерации коллагеновых волокон, ярко окрашенные эозином, окружены нейтрофилами, образуя своеобразные клубки.
Синдром Бушке—Оленсдорфа — аутосомно-доминантный синдром, который представляет собой поражение костной ткани и наличие эластом [1, 2]. Описано два клинических варианта синдрома Бушке—Оленсдорфа. Первый вариант известен как диссеминированный лентикулярный дерматофиброз (dermatofibrosis lenticularis disseminate) и характеризуется наличием множественных одинаковых по размеру лихеноидных папул. При втором типе отмечается наличие больших желтоватых папул или бляшек, склонных к слиянию. Костные изменения представляют собой множественные округлые участки повышенной плотности диаметром до 10 мм. Участки уплотнения чаще располагаются в костях стоп, кистей, эпифизах и метафизах длинных трубчатых костей и в костях таза. Описаны и изолированные костные изменения без кожной патологии [1].
Невус Левандовского
Клиническими проявлениями невуса Левандовского являются перифолликулярные желтоватые или розоватые папулы с морщинистой поверхностью [14]. Вследствие минимальных клинических проявлений заболевание часто не диагностируется. При гистологическом исследовании папул при окрашивании гематоксилином и эозином патологии не выявляется, однако при окрашивании по Ван-Гизону обнаруживается полное отсутствие эластиновых волокон в пораженной области.

Клинический случай 3. Пациент Т., 35 лет, обратился в Гомельский областной КВД с жалобами на поражение кожи шеи. При осмотре кожа шеи грубая, легко растягивается, отмечаются множественные плотные папулы цвета нормальной кожи (рис. 4). Рисунок 4. Пациент Т., 35 лет. Диагноз: псевдоксантома эластическая. Вялая, грубая кожа шеи с множественными плотными папулами цвета здоровой кожи. Поражение кожи возникло около 4 лет назад. Острота зрения снижена (–3,5 D на оба глаза). При осмотре офтальмолога выявлено сужение сосудов сетчатки обоих глаз.
Общие анализы крови, мочи, биохимический анализ крови патологии не выявили. Диагноз: псевдоэластическая ксантома.
Протеиногликановые невусы
Муцинозный невус является редким заболеванием (описано не более 10 случаев). Клинические проявления муцинозного невуса сходны с проявлениями других соединительнотканных невусов. Основой диагностики является патоморфологическое исследование, при котором можно выявить отложения протеогликанов. Аналогичные изменения кожи можно диагностировать при системном мукополисахаридозе (синдроме Гунтера).
Невусы из адвентициальной соединительной ткани
Фиброзная папула лица является пороком развития и возникает вследствие замещения ткани вокруг фолликула соединительной тканью. Фиброзные папулы располагаются исключительно на лице, чаще коже носа, и имеют вид плотных куполообразных папул. Множественные фиброзные папулы являются одним из признаков туберозного склероза. Характерные гистологические признаки — куполообразная форма, увеличенное расстояние между сосочками дермы, утолщенные волокна коллагена в образовании, измененные фолликулы или их отсутствие, увеличенное количество звездчатых фиброцитов.
Аналогичные гистологические изменения отмечаются при околоногтевых и перифолликулярных фибромах, жемчужных папулах полового члена.
Таким образом, в группу соединительнотканных невусов включены разные состояния, которые могут быть как изолированными, так и являться одним из клинических проявлений наследственной патологии.
Соединительнотканные невусы с увеличением коллагена.
Соединительнотканные невусы с увеличением коллагена.
Семейная кожная коллагенома проявляется множественными асимптомными уплотненными узлами величиной от нескольких миллиметров до нескольких сантиметров, симметрично располагающимися на груди, волосистой части головы, и особенно часто — на верхней части спины. Носит врожденный характер. Путь передачи аутосомно-доминантный. Количество узлов увеличивается в возрасте 15-19 лет.
Гистологически семейная кожная коллагенома представлены скоплениями в дерме грубых коллагеновых волокон при сниженном количестве эластических волокон. Системность проявляется кардиомиопатией, но без типичного для синдрома Бушке—Оллендорфф остеопойкилоза.
Коллагенома в виде шагреневых бляшек встречается в пояснично-крестцовой области при синдроме Прингля—Бурневилля. Клинически это очаг неправильной формы, 10-15 см в диаметре, утолщенный, шершавый, бугристый, более темный, чем окружающая кожа, лишен волос, иногда окружен аналогичными по внешнему виду мелкими сателлитами.
Эруптивная коллагенома характеризуется внезапным появлением таких же множественных узлов, как при семейной кожной коллагеноме, но семейный анамнез отсутствует.
Изолированная коллагенома клинически и гистологически аналогична эруптивной коллагеноме; требует дифференциальной диагностики с синдромом Прингла—Бурневилля.

Белый фиброзный папулез шеи проявляется множественными бессимптомными белыми папулами, располагающимися вокруг шеи у лиц молодого возраста. Папулы имеют диаметр около 2-3 мм, округлую или овальную форму, но не связаны с волосяными фолликулами.
Гистологически элементы белого фиброзного папулеза шеи характеризуются утолщением дермы. Связь с поражениями внутренних органов отстутствует.
Ювенильный гиалиновый фиброматоз отличается наличием дермальных узлов, состоящих из чрезмерно гиалинизированного коллагена.
Чрезвычайно редкое, часто семейное заболевание неясной этиологии, характеризующееся множественными кожными узелками, преимущественно на голове, состоящими из незрелых фибробластов, находящихся в стекловидном эозинофильном коллагеновом матриксе.
Дополнительные проявления заболевания включают гипертрофию десен, сгибательную контрактуру в суставах и остеолитические очаги в костях.
Фиброматоз шеи — плохо отграниченная, подобная рубцу масса, возникающая в m. sternocleidomastoideus новорожденных.
Гистологически фиброматоз шеи отмечается дезорганизованная пролиферация фибробластов, разделяющая и деформирующая, но не разрушающая существующие пучки скелетной мышцы.
На ранних стадиях развития ребенка рост фиброматоза шеи приводит к симптомам врожденной кривошеи.

Информация на сайте подлежит консультации лечащим врачом и не заменяет очной консультации с ним.
См. подробнее в пользовательском соглашении.
Соединительнотканные невусы с увеличением коллагена.
Термин «невус» в настоящее время применяется дерматологами преимущестенно для обозначения доброкачественных меланоцитарных новообразований. Сам термин, однако, имеет более широкое значение. В переводе с латинского он означает «родинка» и представляет собой стойкие неопухолевые образования, возникающие с момента рождения или вскоре после него. В зависимости от типа клеток или ткани, явившихся причиной порока развития, выделяют сосудистые, соединительнотканные, меланоцитарные, и.т.д. невусы [1].
Механизмы возникновения невусов могут быть различными, однако, основным является мозаицизм: появление в зародыше нескольких различных популяций клеток, растущих из одной зиготы. Мутации, возникшие путем мозаицизма, за редким исключением являются в основном ненаследственными [1, 2].
Соединительнотканные невусы – пороки развития основного вещества дермы, которые могут развиваться как в сосочковой, так и в сетчатой дерме. В эту группу входят как врожденные синдромы с известным механизмом наследования, как, например, синдром Бушке – Оленсдорфа или туберозный склероз, так и спорадические поражения без определенного механизма наследования.
На сегодняшний день общепринятой классификации соединительнотканных невусов нет. Все существующие классификации построены по преобладанию коллагеновой, эластиновой или протеиногликановой ткани в невусе. Наиболее употребляемой на сегодняшний день считается классификация, предложенная J . Uitto и соавт. (1980) и позже - G . E . Pierard (1985) [3, 4].
Классификация невусов соединительной ткани
J . Uitto и G . E . Pierard (1980, 1985)
Коллагеновые невусы (коллагеномы)
· Семейная кожная коллагенома
· Туберозный склероз (шагреновая бляшка)
· Другие коллагеновые невусы
Эластиновые невусы (эластомы)
· Детская эластома и синдром Бушке – Оленсдорфа
· Другие эластиновые невусы
Невусы из протеогликанов
· Дермальные папулы при синдроме Гунтера
Невусы из адвентициальной соединительной ткани
· Фиброзная папула лица
· Подногтевые фибромы при туберозном склерозе
· Жемчужные папулы полового члена
· Перифолликулярные фибромы и триходискомы
Коллагеновые невусы (коллагеномы)
Клиническая картина коллагеном различных типов сходна между собой и представлена папулами или бляшками цвета нормальной кожи, расположенными в дерме. Папулы не сопровождаются субъективными ощущениями. Размер папул варьирует от нескольких миллиметров до нескольких сантиметров. Размер папул чаще округлый, но авторами описаны и линейные поражения, расположенные вдоль линий Блашко [5].
Гистологическая картина коллагеном идентична. На первый взгляд изменения малозаметны, может быть выражено утолщение или же дезорганизация коллагеновых волокон. Количество фибробластов может быть как нормальным, так и повышенным. Чем глубже залегает коллагенома, тем более выражено утолщение коллагеновых волокон [4].
Семейная кожная коллагенома
Семейная кожная коллагенома у трех из пяти братьев была описана впервые в 1968 году R . R . Henderson и соавт. Второй случай семейной коллагеномы у шести из 52 членов семьи описан более десяти лет позднее J . Uitto и соавт. Во всех описанных случаях прослеживался аутосомно-доминантный тип наследования [6, 7] .
На сегодняшний день известно лишь около десяти семей с данной патологией. Коллагеномы начинают развиваться в период полового созревания, однако, известны и случаи раннего возникновения коллагеном [8]. У некоторых женщин с семейной кожной коллагеномой отмечалось увеличение количества коллагеном во время беременности.
Все из больных, описанных первыми авторами имели высыпания на верхней части спины не сопровождающиеся субъективными ощущениями. У некоторых больных наблюдалось сочетание коллагеном с патологией сердечно–сосудистой системы, что дало основания полагать о системном поражении коллагена [9]. Однако небольшое количество описанных случаев затрудняет оценку этой взаимосвязи.
Эруптивная коллагенома
Термин «эруптивная коллагенома» применяется в случаях отсутствия семейного анамнеза коллагеном. Клинически высыпания сходны с таковыми при семейной колагеноме, однако, могут располагаться и на конечностях. Также отмечены случаи возникновения эруптивных коллагеном во время беременности [10] .
Подошвенная коллагенома
Подошвенная коллагенома представляет собой мозговидную массу, ра c положенную на подошвах. Данный вид коллагеномы является одним из достоверных признаков синдрома Протея, однако, описаны и случаи изолированного поражения [11].
Туберозный склероз – врожденное заболевание, наследуемое аутосомно – доминантно и представляет собой комплекс различных аномалий: задержку умственного развития, характерные кожные изменения, патологию органа зрения.
Классическое описание туберозного склероза было проведено D . M . Bourneville еще в начале IXX века. В 1908 H . Vogt описал триаду признаков туберозного склероза (эпилепсия, умственная отсталость и ангиофибромы). Заболеваемость туберозным склерозом в различных странах составляет от 1:20000 населения до 1:100000 населения [2]. На сегодняшний день известно две мутации в хромосомах 9 q 34 и 16 p 13, приводящие к нарушению синтеза белков гамартина и туберина, которые играют роль в развитии опухолей [2].
Кожные изменения заболевания зачастую появляются до развития системной патологии и являются основными для выставления диагноза. К характерным кожным изменениям при туберозном склерозе относят гипопигментированные пятна, ангиофибромы лица, подногтевые фибромы и коллагеновый невус (шагреновая бляшка). Опухолевидные образования могут появляться и во внутренних органах [12].
Диагностические признаки туберозного склероза, 1998 [12]
Основные критерии
Дополнительные критерии
· Гипопигментированные пятна (более трёх)
· Шагреноавя бляшка (соединительнотканный невус)
· Множественные узловатые изменения сетчатки
· Кортикальные и субэпендимальные узлы
· Субэпендимальная гигантоклеточная астроцитома
· Одиночная или множественная рабдомиома сердца
· Высыпания, напоминающие «конфетти»
· Множественные впадины зубной эмали
· Гипохромные пятна сетчатки
· Лентовидные участки дисплазии коркового вещества
· Множественные кисты почек
· Полипы прямой кишки
· Кисты костной ткани
Диагноз туберозного склероза может быть безоговорочно выставлен при наличии 2-ух основных критериев или при наличии одного основного и двух дополнительных критериев [2].
Коллагеновый невус при туберозном склерозе чащеspan style= расmiddot;полага ется на туловище и как клинически, так и гистологически не отличается от других его проявлений [1, 2]. Ангиофибормы и околоногтевые фибромы при туберозном склерозе представляют собой пороки развития адвентициальной соединительной ткани. Термин «ангиофиброма» в данном случае не совсем правилен, поскольку при гистологическом исследовании папулы лица у больных туберозным склерозом представляют собой пороки развития фолликулярного аппарата и соединительной ткани (так называемые фиброзные папулы лица).
Другие коллагеномы
Коллагеномы могут являться и одним из симптомов наследственных аномалий. При синдроме множественных неоплазий коллагеномы, ангиофибромы и липомы могут быть одними из первых диагностических признаков. Asgharian B . и соавт. (2004) обследовали 100 пациентов с синдромом множественных неоплазий и определили, что наличие одной или более коллагеном или трех или более ангиофибром в сочетании с гастриномой является одним из предиктором этого состояния [13].
Клинический случай 1.
Пациент К., 15 лет обратился в Гомельский областной кожно-венерологический диспансер с жалобами на появление множественных плотных папул цвета нормальной кожи. При осмотре выявили множественные папулы, локализующиеся на спине, нижних конечностях, животе. Общее количество папул было более 10, их размер составлял от 1 до 8 см . Папулы были не видны невооружённым взглядом, однако, хорошо пальпировались в виде плотных образований и обнаруживались при боковом освещении (Рис. 1).
При УЗИ исследовании сердца обнаружен пролапс митрального клапана. Рентгенологическое исследование костей таза и болшеберцовых костей аномалии не выявило. Общие анализы крови, мочи, биохимический анализ крови патологии не выявили. У родственников кожной патологии нет.
Пациенту выполнено гистологическое исследование кожи, по результатом которой обнаружена дезорганизация коллагеновых волокон (Рис. 2).
Диагноз, основанный на клинической и гистологической картине «Эруптивная коллагенома». Учитывая множественные поражения терапия не назначалась.
Клинический случай 2.
Пациентка Б., 39 лет обратилась в Гомельский областной кожно – венерологический диспансер с жалобами на поражение кожи лица. При осмотре выявлены множественные плотные узелки в области носогубных складок и подбородка размером до 1 см ; околоногтевые фибромы кистей и стоп; плотное, выступающее образование цвета нормальной кожи на спине, классифицируемое как шагреновая бляшка (Рис. 3). Пациентка наблюдается у психиатра по поводу эпилепсии.
Общие анализы крови, мочи, биохимический анализ крови патологии не выявили. Семейный анамнез выяснить не удалось. Диагноз, основанный на клинических данных - «туберозный склероз». Больной рекомендовано удаление околоногтевых фибром и ангиофибром лица у хирурга.
Эластиновые невусы (эластомы)
Эластомы клинически сходны с коллагеномами. При гистологическом исследовании эластом при обычной окраске гематоксилин-эозином изменения в тканях обычно не обнаруживаются. В данном случае необходимо окрашивать препараты специальными окрасками для выявления эластиновых волокон (например, по Ван Гизону).
Псевдоэластическая ксантома – аутосомно – рецессивное заболевание, характеризующееся изменениями кожи, органа зрения и сердечно-сосудистой системы. Заболевание возникает после 20 лет и характеризуется поражением кожи крупных складок [1, 2]. Наиболее типичным является поражение кожи шеи, реже могут поражаться паховые, подмышечные складки, локтевые и коленные сгибы. Кожа в этих областях становится вялая, дряблая. При длительном течении заболевания в очагах поражения происходит отложение кальция, что клинически проявляется в виде плотных желтоватых папул. Часто поражается слизистая полости рта в области внутренней поверхности нижней губы. Отложения кальция происходят и в сосудах глаза, что ведёт к облитерации сосудов, образованию новых капилляров, кровоизлияниям и снижению остроты зрения. Поражение мелких сосудов может вести к атеросклерозу и ранним инфарктам.
Перфорирующая эластома
Перфорирующая эластома – заболевание неясного генеза, проявляющееся кератотическими папулами в области лица и шеи и дегенерацией коллагеновых волокон. Папулы при перфорирующей эластоме склонны к образованию полициклических структур, что требует дифференциального диагноза с дерматомикозами и кольцевидной гранулёмой. Патоморфологическая картина перфорирующей эластомы весьма типична. Участки дегенерации коллагеновых волокон, ярко окрашенные эозином, окружены нейтрофилами, образуя своеобразные клубки.
Синдром Бушке – Оленсдорфа – аутосомно – доминантный синдром, который представляет собой поражение костной ткани и наличие эластом [1, 2]. Описано два клинических варианта синдрома Бушке – Оленсдорфа. Первый вариант известен как диссеминированный лентикулярный дерматофиброз ( dermatofibrosis lenticularis disseminate ) и характеризуется наличием множественных одинаковых по размеру лихеноидных папул. При втором типе отмечается наличие больших по размеру желтоватых папул или бляшек, склонных к слиянию. Костные изменения при синдроме известны как пойкилоз и представляют собой множественные округлые участки повышенной плотности диаметром до 10 мм . Участки уплотнения чаще располагаются в костях стоп, кистей, эпифизах и метафизах длинных трубчатых костей и в костях таза. Описаны и изолированные костные изменения без кожной патологии [1] .
Невус Левандовского
Клиническими проявлениями невуса Левандовского являются перифолликулярные желтоватые или розоватые папулы с морщинистой поверхностью [1 4 ] . Вследствие минимальных клинических проявлений заболевание часто не диагностируется. При гистологическом исследовании папул при окраске гематоксилин-эозином патологии не выявляется, однако, при окраске по Ван Гизону обнаруживается полное отсутствие эластиновых волокон в поражённой области.
Клинический случай 3.
Пациент Т., 35 лет обратился в Гомельский областной кожно – венерологический диспансер с жалобами на поражение кожи шеи. При осмотре кожа шеи грубая, легко растягивается, отмечаются множественные плотные папулы цвета нормальной кожи (рис. 4). Поражение кожи возникло около четырёх лет назад. Острота зрения снижена (-3,5 D на оба глаза). При осмотре офтальмолога выявлено сужение сосудов сетчатки обоих глаз.
Общие анализы крови, мочи, биохимический анализ крови патологии не выявили. Диагноз, основанный на клинических данных - «псевдоэластическая ксантома».
Протеиногликановые невусы
Муцинозный невус является редким заболеванием. На сегодняшний день описано не более десяти случаев. Клинические проявления муцинозного невуса сходны с проявлениями других соединительнотканных невусов. Основой диагностики является патоморфологическое исследование, при котором можно выявить отложения протеогликанов. Аналогичные изменения кожи можно диагностировать при системном мукополисахаридозе (синдроме Гунтера).
Невусы из адвентициальной соединительной ткани
Фиброзная папула лица является пороком развития и возникает вследствие замещения ткани вокруг фолликула соединительной тканью. Фиброзные папулы располагаются исключительно на лице, чаще коже носа, и выглядят в виде плотных куполообразных папул. Множественные фиброзные папулы являются одним из признаков туберозного склероза. Характерными гистологическими признаками являются куполообразная форма, увеличенное расстояние между сосочками дермы, утолщенные волокна коллагена в образовании, изменённые фолликулы или их отсутствие, увеличенное количество звёздчатых фиброцитов.
Аналогичные гистологические изменения отмечаются при околоногтевых и перифолликулярных фибромах, жемчужных папулах полового члена.
Таким образом, в группу соединительнотканных невусов включены различные состояния, которые могут быть как изолированными, так и являться одним из симптомов наследственной патологии. Задачей дерматолога в данном случае является тщательное обследование лиц, у которых диагностирован невус соединительной ткани, для исключения врождённой патологии.
1. Burnes T. Rook`s textbook of dermatology. 7 th edition . UK : “ Blackwell Publishing ” 2004 ;4192.
2. Bolognia J. Dermatology. Mosby 2003;2500.
3. Uitto J., Santa Cruz D.J., Eisen A.Z. Connective tissue nevi of the skin. J. Am. Acad Dermatol 1980; 3; 441–461.
4. Pierard G.E., Lapiere C.M. Nevi of connective tissue. A reappraisal of their classification Am. J. Dermatopathol 1985; 7; 325–333.
5. Romiti R., Romiti N. Papulolinear collagenoma. J. Am. Acad. Dermatol 2 004 ; 50;797-798.
6. Henderson R.R., Wheeler C.E., Abele D.C. Familial cutaneous collagenoma. Arch Dermatol 1968;98:23-27.
7. Uitto J., Santa-Cruz D.J., Eisen A.Z. Familial Cutaneous collagenoma. Arch. Dermatol 1968;98;23-27
9. Sacks H.N. , Crawley I.S. , Ward J.A. et al. Familial cardiomyopathy, hypogonadism, and collagenoma . Ann Intern Med 1980 ; 93 : 813 – 817.
10. McClung A.A., Blumberg B.A., Huttenbach Y. et al. Development of collagenomas during pregnancy J. Am. Acad. Dermatol 2 005 ; 53;150-153.
11. Nelson A.A., Ruben B.S. Isolated plantar collagenoma not associated with Proteus syndrome J. Am. Acad. Dermatol 2 008 ; 58:497-499.
12. Roach E.S., Gomez M.R., Northrup H. Tuberous sclerosis complex consensus conference: revised clinical diagnostic criteria J. Child. Neurol. 1998;13:624-628.
14. Lewandowsky F. Uber einem eigentumlichen Nevus der Brustgegend. Arch. Dermatol. Syphilol 1921;131;90-94.
Удаление родинок жидким азотом
Криодеструкция родинок — это избавление от родинок с поверхности кожи с помощью жидкого азота. Методика основана на способности жидкого азота испаряться при температуре -196°С. За счет сверхнизкой температуры происходит кристаллизация жидкой части клеток, а при последующем оттаивании начинается процесс разрушения клеток невуса (родинки). В капиллярах, которые кровоснабжают невус, при замораживании происходит тромбирование, и процесс гибели клеток невуса усиливается.

Все ли родинки можно удалять методом криодеструкции?
Нет, не все родинки можно замораживать жидким азотом.
Клетки невуса закладываются в коже в период эмбрионального развития, а родинки способны появляться как при рождении, так и в течение жизни. Невусы бывают различного происхождения и состоят из пигментных клеток (меланоцитов), соединительнотканных структур (сосудов, коллагеновых и эластических волокон), сосудистой ткани, могут быть смешанного характера. Большинство невусов — меланоцитарные, с различной глубиной залегания пигмента. Некоторые меланоцитарные невусы могут малигнизироваться и представляют собой предшественников меланомы. Эта опухоль считается наиболее опасной, так как способна к быстрому метастазированию. Такие невусы называются меланомоопасными.
Трансформация в меланому возможна в следующих случаях:
- злоупотребление загаром, получение солнечных ожогов, особенно в детстве;
- наследственная предрасположенность (наличие меланомы у родственников);
- гормональные всплески в период полового созревания, беременности, климакса;
- большой размер пигментных невусов (более 2 см);
- рост в размерах, появление асимметрии, неравномерной окраски, уплотнения, кровоточивости самого пигментного невуса;
- наличие светлой кожи, голубых глаз и рыжих волос.
Большую роль в выявлении меланомоопасных невусов играет дерматоскопия — аппаратное исследование кожи под 10-кратным увеличением с дополнительным освещением. Внешне родинка может быть маленьких размеров и не иметь никаких признаков злокачественности, а при выполнении дерматоскопии врач может заподозрить формирование или риск возникновения меланомы.
В таких случаях выполняется удаление меланоцитарного невуса с помощью хирургического метода (эксцизии), с захватом здоровой ткани и последующим проведением полноценного гистологического исследования. Никакие другие методики удаления меланоцитарных невусов специалисты не рекомендуют.
Когда назначают удаление родинок жидким азотом?
Криодеструкция немеланоцитарных невусов возможна в следующих случаях:
- уверенность специалиста в диагнозе немеланоцитарного невуса;
- желание пациента избавиться от невуса в связи с локализацией на видимых участках кожи и наличием психологического дискомфорта;
- травмирование невуса или локализация в местах трения одеждой и другими частями тела (в складках).
Как выполняется криодеструкция родинок?
Удалению немеланоцитарного невуса с помощью азота должен предшествовать осмотр дерматолога с обязательным проведением дерматоскопии. Дополнительных анализов, как правило, не требуется. Удаление родинок выполняется двумя способами:
- контактным методом — с помощью ватного тампона на палочке, смоченного жидким азотом;
- бесконтактным способом, когда замораживание происходит струей аэрозоля жидкого азота, который распыляется через криодеструктор.
Проведение обезболивания возможно, но чаще не используется, так как процедура замораживания жидким азотом длится не более 40 секунд. Неприятные ощущения в виде чувства покалывания, жжения возможны, но вполне терпимы. В процессе замораживания родинка покрывается белым налетом, затем появляется покраснение и легкая отечность кожи в зоне воздействия с последующим формированием защитной плотносидящей корочки или пузыря, который через несколько дней тоже трансформируется в корку. Процесс отторжения корочки происходит через 2–4 недели. В месте удаленной родинки формируется молодая светло-розовая кожа, которая впоследствии выравнивает свой цвет с окружающей, никаких следов удаления не остается.
Когда удаление родинок жидким азотом противопоказано?
Противопоказаниями для криодеструкции родинок выступают:
- непереносимость холода;
- подозрение на озлокачествление невуса;
- меланоцитарная структура невуса или смешанная с наличием пигмента;
- необходимость выполнения гистологического исследования для уточнения диагноза.
Как проходит реабилитационный период после криодеструкции родинок?
В редких случаях в первые сутки после замораживания жидким азотом есть дискомфорт в виде болезненности места криодеструкции. В этом случае можно однократно принять 1 таблетку обезболивающего препарата.
После удаление родинки жидким азотом важно:
- не травмировать сформированный пузырь или корочку;
- избегать попадания воды, косметики, моющих средств на очаг;
- не тереть мочалкой, не чесать очаг криодеструкции.
В случае появления покраснения и болезненности, отделяемого в зоне криодеструкции следует обратиться к специалисту на повторный прием.
Данная статья размещена исключительно с целью ознакомления в познавательных целях и не является научным материалом или профессиональным медицинским советом. За диагностикой и лечением обратитесь к врачу.

дерматовенеролог / Стаж: 46 лет
Дата публикации: 2019-10-21
гинеколог / Стаж: 28 лет
Дата обновления: 2021-12-01
Хотите записаться или получить подробную консультацию?
Наши специалисты работают круглосуточно и без выходных!
Биопсия кожи

Биопсия - клинический диагностический метод при многих новообразованиях кожи, которые невозможно диагностировать визуально. Она также эффективна при воспалительных заболеваниях, особенно в тех случаях, когда специфический диагноз трудно поставить по клинической картине, данным анализов крови или соскобов кожи.
Материал, полученный при биопсии, исследуют методами иммунофлуоресценции и электронной микроскопии, подвергают специальной окраске, культуральному анализу.
1. "Бритвенная" биопсия
Выбор метода биопсии требует знания базовой дерматологии, т. е. понимания того, где, вероятнее всего, локализован очаг патологии. Бритвенная биопсия, как правило, является самой поверхностной из биопсий и особенно ценна, когда поражен эпидермис или зона, прилегающая к нему.
Этот метод чаще всего используют при исследовании образований, имеющих ножку, папулезных и других поражений, возвышающихся над поверхностью кожи и особенно при диагностике базально-клеточной и плоскоклеточной карциномы, себорейного кератоза, бородавок, интрадермального невуса и пиогенной гранулемы. При большинстве воспалительных заболеваний подобный метод биопсии малоэффективен.
2. Пункционная биопсия
При пункционной биопсии круглым ножом вырезается участок кожи, включая эпидермис, дерму и необходимое количество подкожной жировой клетчатки, в виде цилиндра. Хотя при пункционной биопсии можно захватывать участок ткани от 2 до 10 мм в диаметре, обычно его диаметр составляет 4 мм. При необходимости проведения дополнительно культуральных и других исследований наиболее приемлемый диаметр пробы - 6 мм. Изготовление срезов предпочтительнее начинать со стороны дермы, чтобы по возможности избежать артефактов от сдавливания ткани. Пункционная биопсия с диаметром в 6 мм полезна при диагностике грибовидного микоза, Т-клеточной лимфомы кожи и в случаях, когда необходимо получить достаточное число фолликулов в биоптате с волосистой части головы. В связи,с имеющейся возможностью относительно легкого изменения направления пункционной биопсии (обычно на 3-4 мм) она является методом выбора при последующем проведении иммунофлуоресцентного анализа. Образовавшийся дефект ткани можно оставить для спонтанного заживления, однако большинство дерматологов закрывают дефект одним швом.
Ниже приведена классификация общепатологических процессов в коже, которая поможет дополнить картину понимания дерматологических болезней.
Классификация общепатологических процессов в коже (О.Д. Мяделец, В.П. Адаскевич):
- Нарушение клеточной кинетики
- Нарушение нормального соотношения пролиферации, дифференцировки и апоптоза кератиноцитов
- в сторону преобладания пролиферативных процессов и дифференцировки кератиноцитов: адаптивные перестройки эпидермиса при действии на кожу неблагоприятных факторов внешней среды (механические воздействия, ультрафиолетовое облучение и др.), ведущие к утолщению эпидермиса и, в особенности, его рогового слоя – пролиферативный акантоз
- в сторону преобладания апоптоза кератиноцитов (действие факторов, угнетающих пролиферацию и активирующих апоптоз клеток эпидермиса: ионизирующей радиации, цитостатиков и т. д.) с формированием язв
2. Нарушение нормального соотношения пролиферации кератиноцитов и эксфолиации корнеоцитов.
- в сторону преобладания пролиферативных процессов и дифференцировки кератиноцитов – пролиферативный гиперкератоз
- в сторону снижения эксфолиации корнеоцитов – ретенционный гиперкератоз
3. Нарушение дифференцировки кератиноцитов.
- замедление ороговения кератиноцитов с сопутствующим увеличением их пролиферативной активности – паракератоз
- усиление ороговения кератиноцитов – дискератоз.
II. Нарушение межклеточных связей кератиноцитов в эпидермальном пласте – акантолиз, спонгиоз, гидротическая и баллонизирующая дистрофии.
Нарушение дермо-эпидермальных связей, приводящее к формированию субэпидермального пузыря (при многоформной экссудативной эритеме, буллезном пемфигоиде, красной волчанке и др.).
Б: Дерма и гиподерма:
Патологические изменения соединительнотканных волокон.
1) Коллагеновых волокон
- гиперпродукция (склероз)
- гипопродукция или усиленный их распад (коллагенолиз)
2) Эластических волокон: эластолиз, эластоз
- патологические изменения основного вещества соединительной ткани кожи
- соединительнотканные дистрофии кожи
- мукоидное набухание
- фибриноидное набухание
- гиалиноз
- амилоидоз
2) Нарушения липидного обмена (жировые дистрофии, липидозы)
3) Нарушения углеводного обмена (углеводные дистрофии)
III. Смешанные дистрофии (нарушения метаболизма, затрагивающие как эпителиальные, так и соединительнотканные структуры кожи)
1) Нарушения обмена хромопротеидов
- гемоглобинные
- протеиногенные
- липидогенные
1) Неиммунное воспаление кожи
- серозное
- гнойное
- продуктивное
2) Иммунное воспаление кожи
- аллергическое
- гранулематозное
- экзематозное
VI. Опухоли кожи
Для записи на приём, или с вопросом по услугам - просто заполните форму. Или позвоните нам по телефону:
Читайте также:
