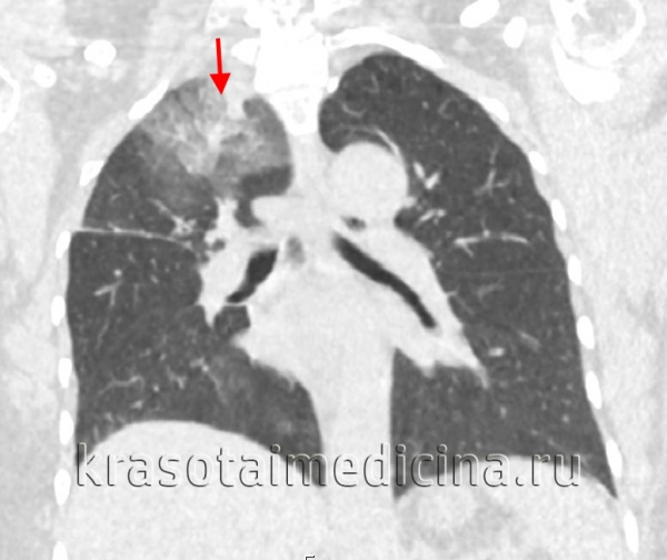
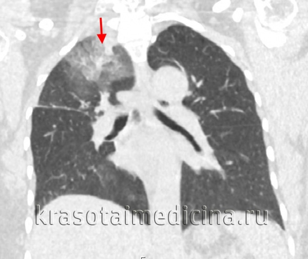
Облаковидный туберкулезный инфильтрат. Перисциссурит.
Добавил пользователь Евгений Кузнецов Обновлено: 06.01.2026
В последние годы во многих странах, независимо от
уровня их экономического развития, отмечается
увеличение заболеваемости и распространенности
туберкулеза инфекций
Заметное ухудшение эпидемиологической
обстановки в России и странах СНГ позволило ряду
авторитетных специалистов оценить ситуацию как
весьма неблагоприятную .
Организм человека высоко восприимчив к
туберкулезной инфекции .
Вместе с тем из массы инфицированных
микобактериями людей болеют немногие.
Иммунопатогенетические механизмы, приводящие к
манифестации туберкулезной инфекции до
настоящего времени изучены недостаточно полно и
остаются актуальной задачей .
6. Введение
7. Инфильтративный туберкулез легких
Характеризуется преобладанием экссудативного типа воспаления
со склонностью к быстрому образованию казеозного некроза
и деструкции на фоне специфической гиперсенсибилизации
легочной ткани и распространяющиеся на несколько долек или
на доли легкого, склонные к острому и прогрессирующему
течению
65-75% среди впервые выявленных
больных туберкулезом
45-50% среди больных активным
туберкулезом, состоящих на
диспансерном учете
1% в структуре смертности от
туберкулеза
Согласно Перельман М.И. (2004)
Туберкулезный инфильтрат представляет собой комплекс свежего или
старого очага с обширной зоной перифокального воспаления
Локализация - чаще 1, 2, 6 сегменты
Причины обострения очагов:
массивная суперинфекция
сопутствующие заболевания
голодание
стресс, психоэмоциональные травмы
естественная гормональная перестройка
лечение гормональными препаратами
9. Причины Инфильтративного туберкулеза легких:
Причины Инфильтративного туберкулеза легких
Возбудителями туберкулёза являются микобактерии - кислотоустойчивые бактерии рода
Mycobacterium.
В основе возникновения инфильтративного туберкулеза легких лежит один из двух механизмов:
эндогенная реактивация либо экзогенная суперинфекция.
Реактивация характеризуется прогрессированием старых или свежих очагов туберкулеза, появлением
вокруг них зоны инфильтрации и развитием экссудативной тканевой реакции.
Экзогенная суперинфекция, как причина инфильтративного туберкулеза легких, связана с наличием
участков гиперсенсибилизации в легких (т. е. зон, ранее контактировавших с туберкулезной
инфекцией).
Категорию повышенного риска по развитию инфильтративного туберкулеза легких составляют
- лица, перенесшие контакт с бацилловыделителем,
- нервно-психическую травму;
- страдающие алкоголизмом, никотиновой зависимостью, ВИЧ-инфекцией, наркоманией;
- ведущие асоциальный образ жизни;
- имеющие хронические заболевания (сахарный диабет, ХНЗЛ и др.) и
- профессиональные заболевания;
- подвергающиеся гиперинсоляции и т. д
10. Инфильтративный туберкулез легких
Различают следующие
клинические формы:
1- бронхолобулярный
инфильтрат;
2- округлый инфильтрат;
3- облаковидный
сегментарный
4- лобит
5- перисциссурит
11. Симптомы инфильтративного туберкулеза легких
12. Инфильтративный туберкулез легких клиника и диагностика
Бронхолобулярный и округлый инфильтрат
Клиника слабо выражена
• утомляемость
• снижение аппетита
• эпизодически повышение температуры тела
• недомогание
• обнаруживают чаще случайно при профосмотре
анамнез
• отсутствие аускультативной картины
• отставание пораженной половины грудной клетки при дыхании
• при верхушечной локализации может возникать болезненость мышц
надплечья
• проба Манту положительная, нормергическая
• выявление в мокроте МБТ при люминисцентной бактериоскопии
13. Инфильтративный туберкулез легких клиника и диагностика
Облаковидный инфильтрат и лобит
острое начало
выраженные симтомы интоксикации
кашель с мокротой
иногда кровохарканье
при вовлечении плевры - боли на стороне поражения
связаны с дыханием
• анамнез
• укорочение перкуторно над зоной поражения, усиление
голосового дрожания, влажные мелкопузырчатые хрипы
• реакция Манту норм- или гиперергическая
• массивное бактериовыделение при наличии распада
14. Бронхолобулярный Инфильтратный туберкулезлегких рентгенологическая картина
Специфическое воспаление распространяется за
пределы легочной дольки и формируется
бронхолобулярный инфильтрат
Бронхолобулярный инфильтрат диаметром 1,5—2 см, округлой или
полигональной формы, имеет вид однородного затенения или
конгломерата из нескольких очагов, объединенных менее
интенсивным перифокальным воспалением.
В тени иногда можно видеть просвет бифуркации мелкого бронха,
вокруг которого сформировался инфильтрат.
Чаще в кортикальной зоне, в 1, 2, 4 сегментах ограниченное
затемнение малой интенсивности, вытянутое по направлению
к корню с размытыми наружными контурами, размером до 3 см.
Томографически - конгломерат из нескольких очагов
с перифокалиной инфильтрацией.
18. Округлый инфильтративный туберкулез легких рентгенологическая картина
Специфическое воспаление ограничено пределами
сегмента - формируется округлый инфильтрат
Чаще в подключичной области ограниченное
затемнение округлой формы, средней интенсивности
(классический инфильтрат Ассмана-Редекера).
Часто имеется воспалительная дорожка к корню с
дренирующим бронхом (симптом «теннисной
ракетки»)
В центре может определяться полость распада, ниже
– очаги бронхогенного обсеменения.
Томографически важным признаком тубэтиологии
являются плотные и кальцинированные очаги в
инфильтрате.
Распространением процесса на один сегмент .
Округлый инфильтрат образует фокусную тень более
2 см в диаметре, неправильной округлой или
овальной формы, малой или средней интенсивности
21. Облаковидный инфильтративный туберкулез легких рентгенологическая картина
Специфическое воспаление
распространяется на
несколько сегментов формируется
облаковидный инфильтрат
•негомогенное затемнение в
пределах одного
или нескольких сегментов
• наружные контуры нечеткие,
растворяются в
окружающей ткани
• томографически - сливающиеся
очаговые тени,
полости распада
Облаковидный инфильтрат в верхней доле правого
легкого [обзорный снимок (а) + томограмма (б)]. В
верхней доле правого легкого определяется 2
фокуса .
25. Лобит инфильтративный туберкулезлегких рентгенологическая картина
При вовлечении в процесс всей доли формируется
лобит
•распространенное негомогенное затемнение в
пределах доли легкого
• расположение и форма тени зависят от того, какая
доля поражена
• границы подчеркнуты плевральными листками
• томографически - почти однородная тень,
полости распада
• очаговая диссеминация в противоположном легком
Инфильтративная тень,
занимающая долю правого
легкого (лобит), с подчеркнутой
нижней границей. Междолевая
щель смещена вверх
28. Перисциссурит инфильтративный туберкулезлегких рентгенологическая картина
Инфильтрат, развивающийся по ходу междолевой
плевры
называют перисциссуритом, или краевым
инфильтратом.
•то вариант инфильтративного поражения лёгкого,
при котором процесс локализуется в верхней доле
вдоль междолевой щели, занимая частично 2 – 3
сегмента.
• Нижняя граница тени прилежит к
междолевой плевре, поэтому чётко
отграничена, а верхняя нечеткая, размытая
• затемнение по ходу междолевой щели
• треугольная форма (треугольник Сержана)
• верхняя граница размытая, нижняя - четкая
• вершина направлена к корню, а основание
кнаружи
31. Диагностика Инфильтративного туберкулеза легких:
При физикальном обследовании начальными признаками инфильтративного
туберкулеза являются: отставание грудной клетки на стороне поражения при
дыхании, напряжение и болезненность мышц грудной клетки, усиление голосового
дрожания.
Данные перкуссии и аускультации приобретают более выраженный характер при
массивных пневмониях типа лобита и при начинающихся распадах инфильтрата с
образованием каверны. В это время можно определить над участком поражения
притупление перкуторного звука, бронхофонию, бронхиальное дыхание, влажные,
звучные стойкие хрипы различного калибра.
При исследовании мокроты у 70 % больных обнаруживаются МБТ, в части случаев –
эластические волокна.
В анализе крови может быть сдвиг влево (увеличение палочкоядерных),
увеличение СОЭ до 40-45 мм /час.
Анализ мочи – без отклонений
Реакция на туберкулин чаще умеренная, но может быть гиперергической и
отрицательной.
Дифференциальная диагностика проводится с пневмонией (в том числе
эозинофильной), острым абсцессом, аспергилломой. с очаговым
туберкулезом, ОРВИ, раком легкого, актиномикозом, эхинококкозом и кистами
легкого, лимфогранулематозом.
33. Лечение
При выявлении инфильтративного туберкулеза лечение начинают в условиях
стационара антибактериальными препаратами первого ряда с применением
патогенетической терапии.
Лечение больного проводится до полного рассасывания инфильтративных
изменений, в среднем 9-12 мес, с последующими противорецидивными курсами
химиотерапии в условиях диспансерного наблюдения.
При инфильтративном туберкулезе лечение должно быть комплексным и
длительным. Назначают 3 (а при лобитах 4) противотуберкулезных препарата.
При экссудативном типе инфильтрата к специфической химиотерапии в
зависимости от состояния функции коры надпочечников присоединяют лечение
кортикостероидными гормонами и антиоксидантами. Если происходит
формирование каверны, то используют внутрикавернозное введение
противотуберкулезных препаратов, искусственный пневмоторакс,
пневмоперитонеум или хирургическое вмешательство — резекцию пораженного
сегмента, его части или доли легкого
химиопрепаратами (изониазид, пиразинамид, рифампицин, этамбутол).
Одновременно назначаются иммуномодуляторы, антиоксиданты, кортикостероиды
Облаковидный туберкулезный инфильтрат. Перисциссурит.
Облаковидный туберкулезный инфильтрат. Перисциссурит.
Клиника инфильтративного туберкулеза легких, протекающего по типу облаковидного инфильтрата, перисциссурита или лобита, характеризуется большей частью острым началом и напоминает грипп, пневмонию или другое инфекционное заболевание. Острая лихорадочная фаза болезни длится 14 — 20 дней и сменяется последующим снижением температуры до субфебрилыюй, реже нормальной. В части случаев заболевание начинается подостро. Иногда первым клиническим признаком становится кровохарканье или легочное кровотечение. Однако при тщательном расспросе у подавляющего большинства больных можно установить предвестники острой вспышки процесса в виде затяжного «катара» дыхательных путей, рецидивирующего и длительно протекающего (гриппа», экссудативного или сухого плеврита. В анамнезе нередко встречается указание на контакт с бацилловыделителями. Больные жалуются на кашель с выделением мокроты, боли в боку, умеренную одышку, плохое самочувствие.
Рентгенологически, как это установил Г. Р. Рубинштейн (1948), облаковидный инфильтрат выглядит как неравномерное затемнение без четких границ. Процесс распространен на один или несколько сегментов, чаще верхних долей легких. По своей теневой картине он напоминает неспецифическую очаговую пневмонию, но отличается от нее рядом клинических признаков, стойкостью рентгенологических изменений, тенденцией к распаду и образованию каверны.
Если облаковидный инфильтрат локализуется у главной или дополнительной междолевой борозды, а иногда связан с корнем легкого, то его определяют как перисциссурит, краевой инфильтрат или треугольник Сержана. Вершина его обращена к корню легкого, а основание — кнаружи. Верхняя его граница расплывчата и переходит без резких очертаний в малоизмененную легочную ткань, нижняя — соответствует междолевой плевре. Топографию и структуру облаковидного инфильтрата или перисциссурита, которые чаще всего располагаются в верхней доле правого легкого, удается уточнить при послойном исследовании легких. При этом на томограмме на фоне инфильтративных изменений выявляются тени отдельных или множественных более плотных очагов, тяжистый рисунок уплотненной перибронхиалыюй и периваскулярной межуточной ткани, полости деструкции.
Если процесс распространяется на всю или большую часть доли легкого, то распознают лобит. Такие формы болезни встречаются теперь редко: по данным В. Н. Адамовича (1970), О. Н. Нерсесяна (1972), в 4,4— 6.8% всех случаев инфильтративного туберкулеза легких.

Динамические наблюдения показывают, что лобиту нередко предшествует развитие небольшого инфильтративного фокуса или перисциссурита, и лишь по мере прогрессирования процесса поражается большая часть или вся доля легкого, которая четко отграничивается междолевой бороздой. Помимо воспалительных изменений, в этих случаях в пределах доли может иметь место частичный ателектаз на почве специфического поражения или стеноза сегментарпого или долевого бронхов. Чаще всего (у 65—93% больных) наблюдается верхний правый лобит, реже — верхний левый и лишь в отдельных случаях средне- и нижнедолевой.
В зависимости от локализации процесса рентгенологическая картина лобита бывает различной. При поражении верхней доли правого легкого на передне-задних снимках она представляется в виде клиновидной тени с вершиной у корня легкого и широким основанием в латеральном отделе. Нижняя граница ее соответствует горизонтальной междолевой щели. При поражении верхней доли левого легкого на прямой и боковой рентгенограммах определяется тень, близкая к треугольной форме, которая располагается сверху средостения спереди, а в боковой проекции имеет четкую заднюю границу, соответствующую междолевой щели.
Среднедолевой лобит представляется в виде треугольника с широким основанием у средостения и вершиной, обращенной кнаружи. Верхняя его граница очерчена горизонтальной междолевой бороздой, нижняя — расплывчата. В боковой проекции тень инфильтрированной средней доли выглядит как треугольник или клин с вершиной у корня легкого и четко отграничена междолевыми щелями. Тень лобита в нижней доле правого легкого в прямой проекции обычно имеет размытую, косую наружную границу. Широким основанием она примыкает к нижнему отделу средостения и диафрагме и наслаивается своей вершиной на корень легкого. При томографии лобит в одних случаях представляется в виде интенсивного сплошного затемнения (гомогенный лобит); в других — на послойных снимках выявляются центрально расположенные массивные фокусы уплотнения и очаги в легочной ткани, нередко единичные полости распада; в третьих — в зоне уплотнения выявляется много мелких полостей. Тогда пораженная доля легкого приобретает характер «хлебного мякиша» или «пчелиных сот» (ячеистый лобит).
При прогрессировании процесса отмечаются усиление интенсивности и увеличение протяженности воспалительных изменений, распад легочной ткани и образование новых очагов. Иногда лобиты и перисциссуриты распространяются за междолевую борозду, образуя переходящий в соседнюю долю лобит (lobite depasse — по терминологии Bernard). Чаще образуются очаги в другом легком, (причем главным образом в 4—5-м сегментах, очевидно, в результате не только бронхогеппого, но и лимфогенного распространения инфекции.
Клинически перисциссуриты и лобиты характеризуются обычно острым началом, выраженными симптомами интоксикации и высокой лихорадкой. При лобитах определяются интенсивное притупление легочного звука, усиление голосового дрожания, везико-бронхиальное дыхание, влажные мелкие или среднепузырчатые хрипы. При перисциссуритах отмечается так называемый висячий синдром в виде интенсивного притупления перкуторного звука на уровне междолевой борозды и менее отчетливого «тающего» приглушения легочного звука кверху или книзу от нее.
При этих формах процесса картина красной крови и количество кровяных пластинок остаются в пределах нормы. Выраженные патологические сдвиги отмечаются главным образом в лейкограмме: появляется лейкоцитоз, увеличивается содержание палочкоядерных нейтрофилов (до 20—25%), определяются лимфопения (10—15%) и эозинопения, токсическая зернистость нейтрофилов (до 20—40%), иногда находят включения Деле, значительно ускоряется РОЭ (до 40—50 мм). В протеинограмме обращает на себя внимание снижение содержания альбуминов (в среднем до 49%) и высокий уровень альфа-глобулинов (в среднем 5,8%), бета-глобулинов (13%) и гамма-глобулииов (21,1%) при низком альбумипо-глобулиновом показателе (0,96). Соответствующие сдвиги отмечаются и в гликопротеидах.
В начальной и острой фазе инфильтративного туберкулеза отмечается повышенное содержание в крови больных свободного гидрокорти юна и кортикостерона, 11-окислеиных и 17-кетостероидов, бета-липопротеидов и снижение уровня гепарина. Между тем при постепенном и малосимптомном развитии процесса наблюдаются обратные соотношения — понижение концентрации свободного гидрокортизона и кортикостерона и повышенное содержание гепарина. Все эти сдвиги обусловлены, очевидно, различным состоянием гипофизарпо-падиочечпиковой системы при тех или иных формах процесса.
При массивном инфильтративном процессе в легких туберкулиновые реакции большей частью нормергические, реже гиперергические или гипергические, что указывает на диссоциацию между общей и местной чувствительностью легочной ткапи. В таких случаях, особенно при образовании распада инфильтративных фокусов, обычно определяется бацилловыделение.
При рациональном лечении в настоящее время у многих больных довольно быстро восстанавливается компенсация, прекращается бацилловыделение, нормализуются гемограмма, РОЭ и белковый состав сыворотки крови. При этом наблюдаются иногда полное рассасывание инфильтративно-воспалительных изменений и восстановление нормального легочного рисунка на рентгенограмме. Чаще в легком образуется индурационное иоле, которое отображается в виде неравномерной тяжистости с включением единичных очаговых теней. При массивном развитии перибронхиальной и периваскулярной соединительной ткани, в особенности при ранее имевшемся ателектазе па почве поражения бронхиальной системы, образуется односторонний цирроз (фиброателектаз).
Информация на сайте подлежит консультации лечащим врачом и не заменяет очной консультации с ним.
См. подробнее в пользовательском соглашении.
Инфильтративный туберкулез легких
Инфильтративный туберкулез легких – вторичная туберкулезная инфекция, характеризующаяся распространенным поражением легких с экссудативным типом воспалительной реакции и формированием очагов казеозного распада. В клинической картине преобладает интоксикационный синдром, гипертермия, продуктивный кашель, боли в боку, кровохарканье. В диагностике инфильтративного туберкулеза легких информативны данные физикального, рентгенологического, лабораторного обследования, результаты туберкулиновых проб. Лечение стационарное, с проведением специфической химиотерапии противотуберкулезными препаратами.
МКБ-10


Общие сведения
Инфильтративный туберкулез легких – клинико-морфологическая форма туберкулеза органов дыхания, протекающая с образованием экссудативно-пневмонических очагов в легких с казеозным распадом в центре. Среди всех форм туберкулеза легких инфильтративная форма встречается наиболее часто - в 60-70% случаев. В этой связи организованное выявление более ранних форм туберкулеза является приоритетной задачей пульмонологии и фтизиатрии. Инфильтративный туберкулез легких относится к числу социально-опасных заболеваний. Болеют в основном взрослые (чаще - лица молодого возраста), имеющие неблагоприятные бытовые условия и низкие гигиенические навыки, страдающие вредными привычками. В структуре смертности от туберкулезной инфекции инфильтративная форма занимает около 1%.
Причины
В основе возникновения инфильтративного туберкулеза легких лежит один из двух механизмов: эндогенная реактивация либо экзогенная суперинфекция. Реактивация характеризуется прогрессированием старых или свежих очагов туберкулеза, появлением вокруг них зоны инфильтрации и развитием экссудативной тканевой реакции. Экзогенная суперинфекция, как причина инфильтративного туберкулеза легких, связана с наличием участков гиперсенсибилизации в легких (т. е. зон, ранее контактировавших с туберкулезной инфекцией). При повторном массивном попадании микобактерий туберкулеза в этих очагах развивается гиперергическая реакция, сопровождающаяся инфильтративным воспалением. В обоих случаях обязательным условием заболеваемости выступает наличие специфического противотуберкулезного (вторичного) иммунитете на момент заражения.
Категорию повышенного риска по развитию инфильтративного туберкулеза легких составляют лица, перенесшие контакт с бацилловыделителем, нервно-психическую травму; страдающие алкоголизмом, никотиновой зависимостью, ВИЧ-инфекцией, наркоманией; ведущие асоциальный образ жизни; имеющие хронические заболевания (сахарный диабет, ХНЗЛ и др.) и профессиональные заболевания; подвергающиеся гиперинсоляции и т. д.
Первоначально в легочной ткани образуется инфильтрат диаметром около 3 см, границы которого имеют тенденцию к расширению вплоть до поражения нескольких сегментов или целой доли легкого. Инфильтрат представляет очаг полиморфной экссудации, состоящей из фибрина, мононуклеаров, макрофагов, полиморфноядерных лейкоцитов, альвеолярного эпителия. При слиянии и расширении инфильтратов возникает специфическая долевая пневмония или бронхопневмония.
На следующем этапе участки инфильтрации подвергаются казеозному расплавлению. Лечение инфильтративного туберкулеза легких может способствовать полному рассасыванию инфильтрата, рубцеванию участков, инкапсуляции зоны инфильтрата с образованием туберкуломы легкого. В случае дальнейшего прогрессирования инфильтративного туберкулеза возможны два варианта развития: переход в казеозную пневмонию (устар. – «скоротечная чахотка») либо распад легочной ткани с формированием каверн (кавернозный туберкулез).
Классификация
В современной фтизиатрии принято выделять пять клинико-рентгенологических вариантов инфильтративного туберкулеза легких:
- Облаковидный инфильтрат – рентгенологически определяется в виде слабоинтенсивной гомогенной тени, имеющей расплывчатые контуры. Имеет склонность к быстрому распаду и формированию свежих каверн.
- Круглый инфильтрат – на рентгенограммах имеет вид округлого гомогенного фокуса (иногда с участком распада в виде просветления) с четко очерченными границами; чаще локализуется в подключичной области.
- Дольковый (лобулярный) инфильтрат – при рентгеновском исследовании выявляется негомогенное затемнение неправильной формы, образованное слиянием нескольких очагов, часто с распадом в центре.
- Краевой инфильтрат (перисциссурит) – обширная облаковидная инфильтрация, снизу ограниченная междолевой бороздой. Имеет треугольную форму с углом, обращенным в сторону корня легкого, а основанием – кнаружи. Нередко возникает поражение междолевой плевры, иногда с развитием туберкулезного плеврита.
- Лобит – обширный инфильтрат в легком, занимающий целую долю. Рентгенологически характеризуется негомогенным фокусом с наличием в нем полостей распада.
По размеру различают малые (1-2 см), средние (2-4 см), крупные (4-6 см) и распространенные (более 6 см) инфильтраты. Отдельно выделяют казеозную пневмонию, характеризующуюся инфильтративной реакцией с преобладанием некротических процессов. Казеозно-пневмонические очаги поражают долю или все легкое. Казеозная пневмония чаще развивается на фоне сахарного диабета, беременности, легочных кровотечений, сопровождающихся аспирацией крови, обсемененной микобактериями.
Симптомы инфильтративного туберкулеза легких
Вариант клинического течения зависит от типа инфильтрата. Острое начало характерно для лобита, перисциссурита, некоторых случаев облаковидного инфильтрата. Бессимптомное и малосимптомное течение наблюдается при наличии круглого, лобулярного и облаковидного инфильтратов. В целом же острая манифестация отмечается 15-20% пациентов, постепенная - у 52-60%, бессимптомная – в 25% случаев.
Осложнения
В числе осложнений инфильтративного туберкулеза легких можно встретить казеозную пневмонию, ателектаз легкого, пневмоторакс, плеврит, легочное кровотечение, туберкулезный менингит, реактивный миокардит, сердечную недостаточность. Начало казеозной пневмонии всегда острое: лихорадка достигает 40-41°С, типичны перепады между дневной и вечерней температурой, резко выражена туберкулезная интоксикация. Больных беспокоит одышка, кашель с гнойной мокротой, боли в грудной клетке, прогрессирующее похудание.
Диагностика
Поскольку клинические признаки инфильтративного туберкулеза легких малоспецифичны или отсутствуют совсем, основное значение в диагностике имеют объективные, инструментальные и лабораторные данные. Аускультативная картина характеризуется наличием звучных хрипов; перкуссия обнаруживает притупление звука над областью инфильтрата. Особенно эти изменения выражены при лобите и наличии распада инфильтрата с формированием каверны. Воспалительные изменения крови (сдвиги в лейкоформуле, ускорение СОЭ) незначительны.
Туберкулиновая проба у больных чаще положительная. Рентгенография легких позволяет не только обнаружить инфильтративные изменения, но и оценить характер тени, проследить динамику лечения. Выявить МБТ можно как с помощью микроскопического исследования, так и методом бактериологического посева мокроты или смывных вод бронхов, полученных при проведении бронхоскопии. Подтвердить наличие тубинфекции в организме позволяют новые, высоко достоверные исследования крови: T-SPOT.TB и квантиферон-тест.

КТ органов грудной клетки. Инфильтрация верхней доли правого легкого у пациента с верифицированным туберкулезом
Дифференцировать инфильтративный туберкулез легких приходится с очаговым туберкулезом, ОРВИ, неспецифической пневмонией, раком легкого, актиномикозом, эхинококкозом и кистами легкого, лимфогранулематозом.
Лечение инфильтративного туберкулеза легких
Пациенты с инфильтративным туберкулезом легких немедленно госпитализируются в противотуберкулезное учреждение, где находятся под наблюдением фтизиатра. Больным назначается патогенетическая терапия специфическими химиопрепаратами (изониазид, пиразинамид, рифампицин, этамбутол). Лечение продолжается в течение нескольких месяцев; критерий прекращения терапии - полное рассасывание инфильтративных изменений по рентгенологическим данным; в дальнейшем в амбулаторных условиях проводятся противорецидивные курсы противотуберкулезной терапии.
Одновременно назначаются иммуномодуляторы, антиоксиданты, кортикостероиды. В условиях рационального лечения клиническая симптоматика исчезает в среднем через 3-4 недели; бактериовыделение прекращается в сроки от 1 до 4-х месяцев; уменьшение и рассасывание инфильтрации, закрытие полостей происходит к 3-4 месяцу. При инфильтративном туберкулезе легких в фазе распада может ставиться вопрос о хирургическом лечении – оперативной коллапсотерапии.
Прогноз
Вариантом прогноза инфильтративного туберкулеза может быть благоприятный исход - рассасывание инфильтрата с остаточными фиброзноочаговыми изменениями легких; реже – полное рассасывание инфильтративного очага. К неблагоприятным исходам причисляют формирование туберкуломы легкого, переход в казеозную пневмонию или фиброзно-кавернозный туберкулез, смерть от нарастающей туберкулезной интоксикации или других осложнений. В современных условиях, при проведении противотуберкулезной терапии, неблагополучные исходы встречаются редко.
Профилактика инфильтративного туберкулеза легких не отличается от мер предупреждения заболеваемости другими формами туберкулезной инфекции. Поскольку больные с инфильтративной формой являются бацилловыделителями, необходимо как можно более раннее их выявление, изоляция и лечение.
2. Клинические проявления и эффективность лечения инфильтративного туберкулеза легких: Автореферат диссертации/ Назарова Н.В. – 2005.
3. Диагностика и дифференциальная диагностика инфильтративного туберкулёза лёгких в условиях высокоспециализированных противотуберкулёзных учреждений: Диссертация/ Посаженникова С. Ю. – 2015.
4. Особенности клинических проявлений заболевания и эффективность лечения больных инфильтративным туберкулезом легких, вызванным лекарственно-устойчивыми микобактериями: Автореферат диссертации/ Барламов О.П. – 2007.
Облаковидный туберкулезный инфильтрат. Перисциссурит.
Клиника инфильтративного туберкулеза легких, протекающего по типу облаковидного инфильтрата, перисциссурита или лобита, характеризуется острым началом и напоминает пневмонию, грипп или другое инфекционное заболевание. В части случаев заболевание начинается подостро. Иногда первым клиническим признаком становится кровохарканье или легочное кровотечение. Однако при тщательном расспросе у подавляющего большинства больных можно установить предвестники острой вспышки процесса в виде затяжного «катарра» дыхательных путей, рецидивирующего и длительно протекающего «гриппа», экссудативного или сухого плеврита.
В анамнезе нередко встречается указание на контакт с бактериовыделителями. Больные жалуются на лихорадку, влажный кашель, боли в боку, умеренную одышку, плохое самочувствие. Отмечаются выраженные симптомы интоксикации (общая слабость, ночные профузные поты, лихо-радка). При лобитах определяются интенсивное притупление легочного звука, усиление голосо-вого дрожания, везико-бронхиальное дыхание, влажные мелкие или среднепузырчатые хрипы. При перисциссуритах отмечается так называемый висячий синдром в виде интенсивного притупления перкуторного звука на уровне междолевой борозды и менее отчетливого «тающего» приглушения легочного звука кверху или книзу от нее.
Облаковидный инфильтрат рентгенологически выглядит как нежная
слабоинтенсивная гомогенная тень с нечеткими, размытыми контурами с распространением на один или несколько сегментов, чаще верхних долей легких. По своей теневой картине похож на неспецифическую пневмонию, но отличается от нее рядом клинических признаков, стойкостью рентгенологических изменений, тенденцией к распаду и образованию каверны.
Диаметр инфильтратов достигает 3 – 5 см, без четких контуров, часто с полоcтью деструкции, в окружающей легочной ткани – очаговые изменения.
Исходы: деструкция, отторжение некроза с образованием рубца или очага.
Если деструкции не наступает, то образуется туберкулома.
Характер поражения при инфильтративном туберкулёзе уточняется при анализе линейных или компьютерных томограмм.
Полисегментарный инфильтративный туберкулез легких, с распадом. МБК+ (компьютерные томограммы).
Инфильтративный туберкулез с распадом в верхней доле правого легкого (рентгенограмма и линейные томограммы).
Если облаковидный инфильтрат локализуется у главной или дополнительной междолевой щели и связан с корнем легкого, то его определяют как краевой инфильтрат или перисциссурит .
Чаще всего располагается в верхней доле правого легкого. Вершина его обращена к корню легкого, а основание — к грудной стенке.
Верхняя его граница расплывчата и переходит без резких очертаний в малоизмененную легочную ткань, нижняя — четкая, соответствует междолевой плевре.
Схема изменений на рентгенограмме ОГК в прямой и боковой проекциях при перисциссурите: прилегание инфильтрата к междолевой щели и связанность с корнем лёгкого.
Распространение процесса на всю или большую часть доли легкого, четко
отграниченного междолевой бороздой, характеризует форму долевого туберку-
леза или лобита . Томографически поражение определяется в виде интенсивного сплошного затенения (гомогенный инфильтрат). Нередко выявляются центрально расположенные массивные фокусы уплотнения, единичные полости распада или много мелких полостей.
Исходы инфильтративного туберкулёза:
а)в благоприятных условиях при своевременном лечении состояние больного улучшается. Исчезают симптомы интоксикации, нормализуются показатели гемограммы, прекращается бактериовыделение. В течение нескольких месяцев происходит иногда полное рассасывание инфильтративно-воспалительных изменений и восстановление нормального легочного рисунка на рентгенограмме.
б)чаще в легком образуется индурационное поле с включением отдельных инкапсулированных очагов. Иногда длительное время могут сохранятся остаточные полости.
в) в некоторых случаях несколько очагов или округлый, хорошо очерченный фокус казеозного некроза размером более 10 мм могут превращаться в туберкулому.
г)если в результате интенсивного образования соединительной ткани резко сморщивается легочная паренхима, деформируются бронхи, утолщаются и спаиваются листки плевры, то возникает цирроз легкого.
д) ранний инфильтрат подвергается не только творожистому некрозу, но и гнойному расплавлению.
Расплавленные творожистые массы выделяются через бронхи, в результате образуется пневмониогенная каверна, знаменующая переход в форму кавернозного туберкулеза.
Дальнейшее развитие болезни может временно затихнуть и в фазе образования ранней каверны, которая сначала окружается поясом грануляций, потом и рубцовой тканью. Формируется кавернозный туберкулез легких. Иногда может быть прогрессирование с увеличением размера каверны или образованием новых каверн.
е) Творожисто- некротизированный и распавшийся ранний инфильтрат служит источником бронхогенного распространения. В участках легкого, в которые аспирируются творожистые массы, образуются новые очаги творожистой пневмонии и новые, часто крупные, каверны. В случае быстрого распространения воспалительного процес-са может развиться казеозная пневмония.
Инфильтративный туберкулез легких с распадом, образованием каверн и обсеменением
( компьютерные томограммы на разных уровнях).
Инфильтративный туберкулёз легких с обсеменением (КТ).
Казеозная пневмония (КП) характеризуется остро развивающимся необратимым обширным творожистым некрозом без четких границ, возникающим на фоне выраженного иммунодефицита при бурном и массивном размножении микобактерий туберкулеза.
Как правило, КП поражает целую долю одного или обоих легких. Заболевание начинается остро, с высокой лихорадкой, нередко гектического типа, быстро нарастающими симптомами интоксика-ции и на первых порах напоминает крупозную пневмонию. Р-картина КП представляется сначала в виде неравномерного, а затем интенсивного диффузного затенения доли легкого без существенного изменения её объема. Местами в ней можно обнаружить отдельные более плотные, крупные очаги, участки просветления, образующиеся в результате быстрого распада казеозных масс. Нередко процесс распространяется за пределы доли, вплоть до тотального поражения всего легкого.
n Кавернозный туберкулёз - такая клиническая форма туберкулеза легких представляет собой эволютивную форму деструктивного туберкулеза, характеризующуюся образованием хорошо очерченной сформированной каверны без выраженной перестройки окружающей легочной ткани и без выраженной очаговой диссеминации.
n Может образовываться из инфильтративного или очагового туберкулеза легких, а также при инфильтративном обострении с распадом и кавернизацией туберкулём. В значительной части случаев встречается мало-или бессимптомное течение. Нередко кавернозный туберкулез диагностируют при проверочном флюорографическом обследовании.
Изменения на Р-грамме ОГК в прямой проекции при кавернозном туберкулёзе: наличие тонкостенной полости с гладкими внутренними и наружными контурами, ограниченное очаговое поражение, отсутствие или минимальные фиброзно-склеротические изменения в прилежащей легочной ткани.
Кавернозный туберкулез верхней доли левого легкого, рентгенограмма (слева) и томограмма (справа). Тонкостенная округлая полость во втором сегменте в зоне ограниченного очагового поражения.
Фиброзно-кавернозный туберкулез (ФКТ) легких представляет собой завершающую форму прогрессирующего деструктивного туберкулезного процесса, отличающуюся хроническим волнообразным течением с повторными обострениями, увеличением протяженности поражения и очагового обсеменения и различными осложнениями,
ФКТ характеризуется наличием фиброзной каверны, развитием фиброзных изменений в окружающей каверну легочной ткани и бронхогенными отсевами различной давности. Формируется ФКТ легких из инфильтративного, кавернозного или диссеминированного процесса при прогрессирующем течении заболевания.
Исходно более опасен для развития хронического процесса инфильтративный и кавернозный туберкулез легких, затем — диссеминированный и очаговый. При наличии распада в зоне туберкулезного поражения ФКТ развивается у 1/3 больных. Образование соединительнотканной капсулы вокруг каверны является положительной защитной реакцией организма, направленной на отграничение патологического процесса и уменьшение всасывания в кровь продуктов жизнедеятельности МВТ. Клинически это проявляется уменьшением признаков специфической интоксикации в периоды относительной ремиссии.
Однако одновременно фиброзная ткань препятствует поступлению в каверну антибактериальных препаратов в достаточной концентрации, что закономерно способствует развитию МЛУ МБТ. Необратимость и распространенность фиброзных изменений в сочетании с крайне ограниченными возможностями эффективной антибактериальной химиотерапии заставляет возлагать основные надежды в лечении на хирургический метод, что становится все более актуальным в свете увеличения частоты МЛР МБТ.
Различают два клинических варианта течения ФКТ легких:
Ограниченный и относительно стабильный ФКТ (фаза относительной стабилизации), когда благодаря химиотерапии наступает определенная стабилизация процесса с прекращением бактериовыделения и клинических симптомов. Наличие ограниченного и относительно стабильного течения ФКТ легких является лишь временной фазой патологического процесса, поэтому при неблагоприятных условиях возможен переход в фазу некупируемого регрессирования, что существенно ухудшает прогноз заболевания.
Прогрессирующий ФКТ, характеризующийся сменой обострений и ремиссий с постоянным или интермиттирующим бактериовыделением. В периоды обострения в легких появляются новые участки воспаления с образованием новых каверн, вплоть до полного разрушения легкого. Прогрессирующий ФКТ легких нередко сопровождается развитием неспецифической инфекции и различных осложнений, что усугубляет течение заболевания.
Ведущим клиническим симптомом у больных ФКТ является кашель с выделением мокроты, встречающийся у 85—87% больных.
Примерно у 2/3 больных ФКТ отмечается клинически значимая одышка.
Схема изменений на Р- грамме ОГК в пр. проекции при ФКТ : длительно существующие, хронические, сформированные каверны, тенденция к прогрессированию и диссеминации в апикокаудальном направлении, а также наличие признаков фиброзной, эмфизематозной и дистрофической перестройки окружающей легочной ткани.
Фиброзно-кавернозный туберкулез легких, обзорная Р- грамма. В верхних долях обоих легких на фоне выраженного пневмосклероза видны каверны неправильной формы с толстыми фиброзными стенками, с неровным внутренним контуром.
Тест «Инфильтративный туберкулез легких у взрослых»
1) туберкулез — пневмония — саркоидоз
2) туберкулез — эхинококкоз — ателектаз
3) туберкулез — пневмомикоз — эозинофильная пневмония
4) туберкулез — пневмония — рак
5) туберкулез — нетуберкулезный микобактериоз — рак
13. Клинико-морфологической особенностью инфильтративного туберкулеза считают
1) ограниченное поражение легкого с тенденцией к ограничению
2) узловатое неправильной формы образование в области корня легкого
3) распространенное поражение легкого с наклонностью к быстрому прогрессированию
4) участок консолидации легочной ткани треугольной формы
5) дольчатое, очагово-сливное образование
14. Множественные полости распада малого и среднего диаметра («пчелиные соты») характерны для
1) облаковидного инфильтрата
2) округлого инфильтрата
3) лобита
4) бронхолобулярного инфильтрата
5) перисциссурита
15. Наиболее частая причина смерти при инфильтративном туберкулезе легких — это
1) сердечно-сосудистая недостаточность
2) клапанный пневмоторакс
3) амилоидоз
4) дыхательная недостаточность
5) легочное кровотечение
16. Объем поражения легкого при бронхолобулярном инфильтрате составляет
1) несколько долей
2) один сегмент
3) несколько сегментов
4) одну долю
5) 2-3 легочные дольки
17. Перисциссурит — это
1) инфильтрат, развивающийся по ходу главной или добавочной междолевой щели
2) инфильтрат в пределах 2-3 легочных долек
3) гомогенный инфильтрат округлой формы
4) негомогенный инфильтрат округлой формы с дорожкой к корню
5) негомогенный инфильтрат долевой протяженности
18. По морфологическим признакам инфильтрат классифицируют как
1) сегментарный, полисегментарный, долевой
2) бронхолобулярный, округлый, облаковидный
3) округлый, облаковидный, лобит
4) облаковидный, перисциссурит, лобит
5) бронхолобулярный, полисегментарный, долевой
19. Показатель смертности от инфильтративного туберкулеза легких составляет
1) около 3% случаев
2) около 0,5% случаев
3) около 1% случаев
4) около 2% случаев
20. При контрольном медицинском обследовании чаще выявляют больных инфильтративным туберкулезом легких, протекающем по типу
1) бронхолобулярного инфильтрата
2) облаковидного инфильтрата
3) лобита
4) округлого инфильтрата
5) перисциссурита
21. При прогрессировании лобита очаговую диссеминацию часто выявляют
1) в верхних сегментах пораженного легкого
2) в IV и V сегментах противоположного легкого
3) в IV и V сегментах пораженного легкого
4) в VIII сегментах правого и левого легких
5) в верхних сегментах противоположного легкого
22. Притупление перкуторного звука на уровне междолевой борозды и менее отчетливого «тающего» приглушения легочного звука кверху или книзу от нее характерно для
1) округлого инфильтрата
2) бронхолобулярного инфильтрата
3) лобита
4) перисциссурита
5) облаковидного инфильтрата
23. Прогрессирование инфильтративного туберкулеза легких приводит к формированию
1) казеозной пневмонии
2) туберкулемы легких
3) очагового туберкулеза легких
4) кавернозного туберкулеза легких
5) цирротического туберкулеза легких
24. Реакция на пробу Манту с 2 ТЕ ППД-Л у больных с ограниченными формами инфильтративного туберкулеза
1) отрицательная
2) нормергическая или гиперергическая
3) нормергическая
4) гиперергическая
5) сомнительная
25. Рентгенологический симптом «теннисной ракетки» — это
1) облаковидный инфильтрат
2) лобит
3) перисциссурит
4) бронхолобулярный инфильтрат
5) округлый инфильтрат
26. Рентгенологический синдром — треугольник Сержана — это
1) облаковидный инфильтрат
2) округлый инфильтрат
3) лобит
4) бронхолобулярный инфильтрат
5) перисциссурит
27. Туберкулезный инфильтрат чаще локализуется в сегментах легких
1) III, IV
2) IV, V, VII
3) VIII, IX, X
4) I, II, VI
5) II, IV, VII
28. Характер воспалительной реакции при лобите
1) выраженный экссудативный
2) экссудативно-пролиферативный
3) казеозно-некротический
4) пролиферативный
5) деструктивный
29. Характер воспалительной реакции при облаковидном инфильтрате
1) казеозно-некротический
2) выраженный экссудативный
3) пролиферативный
4) экссудативно-пролиферативный
5) деструктивный
30. Характер воспалительной реакции при округлом инфильтрате
1) казеозно-некротический
2) пролиферативный
3) экссудативно-пролиферативный
4) выраженный экссудативный
5) деструктивный
31. Чаще всего ателектазом осложняется
1) бронхолобулярный инфильтрат
2) облаковидный инфильтрат
3) округлый инфильтрат
4) перисциссурит
5) лобит
Читайте также:
