Обследование на рак шейки матки. Профилактика рака шейки матки.
Добавил пользователь Евгений Кузнецов Обновлено: 16.12.2025
Рак шейки матки – опухолевое поражение нижнего отдела матки, характеризующееся злокачественной трансформацией покровного эпителия (экто- или эндоцервикса). Специфическим проявлениям рака шейки матки предшествует бессимптомное течение; в дальнейшем появляются контактные и межменструальные кровянистые выделения, боли в животе и крестце, отеки нижних конечностей, нарушения мочеиспускания и дефекации. Диагностика при раке шейки матки включает проведение осмотра в зеркалах, расширенной кольпоскопии, исследования цитологического соскоба, биопсии с гистологическим заключением, эндоцервикального кюретажа. Лечение рака шейки матки проводят с учетом гистологической формы и распространенности с помощью хирургического вмешательства, лучевой терапии, химиотерапии или их комбинации.
МКБ-10


Общие сведения
Рак шейки матки (цервикальный рак) составляет около 15% среди всех злокачественных поражений женской репродуктивной системы, занимая третье место вслед за раком молочной железы и раком эндометрия. Несмотря на то, что рак шейки матки относится к заболеваниям «визуальной локализации», у 40% женщин эта патология диагностируется на поздней (III - IV) стадии. В России ежегодно выявляется около 12000 случаев цервикального рака. Основной категорией служат пациентки в возрасте 40-50 лет, хотя в последние годы отмечается рост заболеваемости раком шейки матки среди женщин младше 40 лет.

Причины РШМ
Ключевая роль в канцерогенезе отводится папилломавирусной инфекции, обладающей тропностью к эпителию шейки матки. Серотипы ВПЧ высокого онкогенного риска (16, 18) обнаруживаются в 95% случаев рака шейки матки: при плоскоклеточном цервикальном раке чаще выявляется ВПЧ 16 типа; при аденокарциноме и низкодифференцированной форме - ВПЧ 18 типа. Серотипы ВПЧ «низкого» онкогенного риска (6, 11, 44) и среднего риска (31, 33, 35) преимущественно вызывают образование плоских и остроконечных кондилом, дисплазию и редко – рак шейки матки.
Среди других ИППП, повышающих риски развития рака шейки матки, выделяют генитальный герпес, цитомегаловирусную инфекцию, хламидиоз, ВИЧ. Из всего вышесказанного следует, что вероятность развития рака шейки матки больше у женщин, часто меняющих половых партнеров и пренебрегающих барьерными методами контрацепции. Кроме того, при раннем начале сексуальной жизни (в возрасте 14-18 лет) незрелый эпителий шейки матки обладает особой восприимчивостью к воздействию повреждающих агентов.
Факторы риска
К факторам риска по развитию рака шейки матки относят ослабление функции иммунной системы, курение, возраст старше 40 лет, диеты с малым содержанием фруктов и овощей, ожирение, недостаток витаминов А и С. Также доказано, что вероятность развития рака шейки матки увеличивается при длительном (свыше 5 лет) приеме оральных контрацептивов, многочисленных родах, частых абортах. Одним из факторов позднего обнаружения рака шейки матки является низкая медицинская культура, нерегулярное прохождение женщинами профилактических осмотров с исследованием мазка из цервикального канала на онкоцитологию.
К фоновым заболеваниям, предрасполагающим к развитию рака шейки матки, в гинекологии относят лейкоплакию (интраэпителиальную неоплазию, CIN), эритроплакию, кондиломы, полипы, истинную эрозию и псевдоэрозию шейки матки, цервициты.
Классификация
По гистологическому типу, в соответствии с двумя видами эпителия, выстилающего шейку матки, различают плоскоклеточный цервикальный рак с локализацией в эктоцервиксе (85-95%) и аденокарциному, развивающуюся из эндоцервикса (5-15%). Плоскоклеточный рак шейки матки, в зависимости от степени дифференцировки, может быть ороговевающим, неороговевающим и низкодифференцированным. К редким гистотипам рака шейки матки относятся светлоклеточная, мелкоклеточная, мукоэпидермоидная и др. формы. С учетом типа роста различают экзофитные формы рака шейки матки и эндофитные, встречающиеся реже и имеющие худший прогноз.
Для оценки распространенности в клинической гинекологии используются классификации рака шейки матки по двум системам: FIGO, принятой Международной федерацией акушеров и гинекологов, и ТNМ (где T – распространенность опухоли; N – вовлеченность регионарных лимфоузлов; M – наличие отдаленных метастазов).
Стадия 0 (FIGO) или Тis (ТNМ) расценивается как преинвазивный или внутриэпителиальный рак шейки матки (in situ).
Стадия I (FIGO) или T1 (ТNМ) - опухолевая инвазия ограничивается шейкой матки, без перехода на ее тело.
- I A1 (T1 А1) – микроскопически определяемый рак шейки матки с глубиной инвазии до 3 мм с горизонтальным распространением до 7 мм;
- I A2 (T1 А2) – прорастание опухоли в шейку матки на глубину от 3 до 5 мм с горизонтальным распространением до 7 мм.
- I B1 (T1 В1) – макроскопически определяемый цервикальный рак, ограниченный шейкой матки, либо микроскопически выявляемые поражения, превышающие IA2 (T1А), не превышающее в максимальном измерении 4 см;
- I B2 (T1 В2) - макроскопически определяемое поражение, превышающее в максимальном измерении 4 см.
Стадия II (FIGO) или T2 (ТNМ) характеризуется распространением рака за пределы шейки матки; нижняя треть влагалища и стенки таза интактны.
- II A (T2 А) – опухоль инфильтрирует верхнюю и среднюю треть влагалища или тело матки без прорастания параметрия;
- II B (T2 В) – опухоль инфильтрирует параметрий, но не доходит до стенок таза.
Стадия III (FIGO) или T3 (ТNМ) характеризуется распространением рака за пределы шейки матки с прорастанием параметрия до стенок таза либо вовлечением нижней трети влагалища, либо развитием гидронефроза.
- III A (T3 А) – опухоль захватывает нижнюю треть влагалища, но не прорастает в стенки таза;
- III B (T3 В) – опухоль переходит на стенки таза либо вызывает гидронефроз, или вторичное поражение почки.
Стадия IV А (FIGO) или T4 (ТNМ) характеризуется распространением рака шейки матки в смежные органы либо распространением за пределы таза. Стадия IV B (T4 M1) свидетельствует о наличии отдаленных метастазов.
Симптомы рака шейки матки
Клинические проявления при карциноме in situ и микроинвазивном раке шейки матки отсутствуют. Появление жалоб и симптоматики свидетельствует о прогрессировании опухолевой инвазии. Наиболее характерным проявлением рака шейки матки служат кровянистые выделения и кровотечения: межменструальные, постменопаузальные, контактные (после полового акта, осмотра гинекологом, спринцевания и т. д.), меноррагии. Больные отмечают появление белей - жидких, водянистых, желтоватого или прозрачного цвета влагалищных выделений, обусловленных лимфореей. При распаде раковой опухоли выделения принимают гноевидных характер, иногда имеют цвет «мясных помоев» и зловонный запах.
При прорастании опухоли в стенки таза или нервные сплетения появляются боли в животе, под лоном, в крестце в покое или во время полового акта. В случае метастазирования рака шейки матки в тазовые лимфоузлы и сдавливания венозных сосудов могут наблюдаться отеки ног и наружных гениталий.
Если опухолевая инфильтрация затрагивает кишечник или мочевой пузырь, развиваются нарушения дефекации и мочеиспускания; появляется гематурия или примесь крови в кале; иногда возникают влагалищно-кишечные и влагалищно-пузырные свищи. Механическая компрессия метастатическими лимфоузлами мочеточников приводит к задержке мочи, формированию гидронефроза с последующим развитием анурии и уремии. К общим симптомам рака шейки матки относятся общая слабость, повышенная утомляемость, лихорадка, похудание.
Диагностика
Основу раннего выявления микроинвазивного цервикального рака составляют регулярные онкопрофилактические осмотры с цитологическим исследование соскоба шейки матки. Пап-тест (мазок по Папаниколау) позволяет выявлять предраковые процессы, раковые клетки при преинвазивном росте опухоли. Схема обследования включает:
- Осмотр шейки матки в зеркалах. Визуальный гинекологический осмотр в ранней стадии позволяет обнаружить или заподозрить РШМ по внешнем признакам: изъязвлениям, изменению окраски шейки матки. В инвазивной стадии при экзофитном типе роста рака на поверхности шейки матки определяются фибринозные наложения, опухолевидные разрастания красноватого, белесоватого, розовато-серого цвета, которые легко кровоточат при прикосновении. В случае эндофитного роста цервикального рака шейка становится увеличенной, приобретает бочковидную форму, неровную бугристую поверхность, неравномерную розово-мраморную окраску. При ректо-вагинальном исследовании в параметрии и малом тазу могут определяться инфильтраты.
- Кольпоскопия. С помощью кольпоскопии при увеличении изображения в 7,5- 40 раз возможно более детально изучить шейку матки, обнаружить фоновые процессы (дисплазию, лейкоплакию) и начальные проявления рака шейки матки. Для исследования зоны трансформации эпителия используют проведение пробы с уксусной кислотой и Шиллер-теста (йодной пробы). Атипия при раке шейки матки выявляется по характерной извитости сосудов, менее интенсивному окрашиванию патологических йоднегативных очагов. При подозрении на рак шейки матки показано исследование опухолеассоциированного антигена плоскоклеточных карцином – онкомаркера SCC (в норме не превышает 1,5 нг/мл).
- Биопсия шейки матки. Кольпоскопия дает возможность выявить участок трансформации и произвести прицельную биопсию шейки матки для гистологического исследования забранных тканей. Ножевая биопсия шейки матки с выскабливанием цервикального канала обязательна при подозрении на цервикальный рак. Для определения степени инвазии рака производится конизация шейки матки – конусовидное иссечение кусочка тканей. Решающим и окончательным методом в диагностике рака шейки матки является морфологическая интерпретация результатов биопсии.
Дополнительно при раке шейки матки проводится УЗИ малого таза, позволяющее стадировать опухолевый процесс и планировать объем вмешательства. Для исключения прорастания опухоли в смежные органы и отдаленного метастазирования прибегают к выполнению УЗИ мочевого пузыря и почек, цистоскопии, внутривенной урографии, УЗИ брюшной полости, рентгенографии легких, ирригоскопии, ректоскопии. При необходимости пациентки с выявленным раком шейки матки должны быть проконсультированы урологом, пульмонологом, проктологом.

Лечение рака шейки матки
Хирургическое лечение
Все операции при раке шейки матки делятся на органосохраняющие и радикальные. Выбор тактики зависит от возраста женщины, репродуктивных планов, распространенности онкопроцесса. В онкогинекологии применяется:
- Органосохраняющая тактика. При преинвазивном раке у молодых женщин, планирующих деторождение, выполняются щадящие вмешательства с удалением начально измененных участков шейки матки в пределах здоровых тканей. К таким операциям относят конусовидную ампутацию (конизацию) шейки матки, электрохирургическую петлевую эксцизию, высокую ампутацию шейки матки. Экономные резекции при раке шейки матки позволяют соблюсти онкологическую радикальность и сохранить репродуктивную функцию.
- Радикальная тактика. При более выраженных изменениях и распространенности опухолевого процесса показано удаление матки с транспозицией яичников (выведением их за пределы таза) или с овариэктомией. При раке шейки матки в стадии I B1 стандартным хирургическим объемом является пангистерэктомия – экстирпация матки с аднексэктомией и тазовой лимфодиссекцией. При переходе опухоли на влагалище показано проведение радикальной гистерэктомии с удалением части влагалища, яичников, маточных труб, измененных лимфоузлов, парацервикальной клетчатки.
Противоопухолевое лечение
Хирургический этап лечения рака шейки матки может сочетаться с лучевой или химиотерапией, либо с их комбинацией. Химио- и радиотерапия могут проводиться на дооперационном этапе для уменьшения размеров опухоли (неоадъювантная терапия) или после операции для уничтожения возможно оставшихся опухолевых тканей (адъювантная терапия). При запущенных формах рака шейки матки выполняются паллиативные операции – выведение цистостомы, колостомы, формирование обходных кишечных анастомозов.
Прогноз
Лечение рака шейки матки, начатое на I стадии, обеспечивает 5-летнюю выживаемость у 80-90% пациенток; при II ст. выживаемость через пять лет составляет 60-75%; при III ст. - 30-40%; при IV ст. – менее 10%. При осуществлении органосберегающих операций по поводу рака шейки матки шансы на деторождение сохраняются. В случае проведения радикальных вмешательств, неоадъювантной или адъювантной терапии фертильность полностью утрачивается.
При выявлении рака шейки матки при беременности, тактика зависит от сроков гестации и распространенности опухолевого процесса. Если срок гестации соответствует II-III триместру, беременность возможно сохранить. Ведение беременности при раке шейки матки осуществляется под повышенным медицинским наблюдением. Методом родоразрешения в этом случае обычно служит кесарево сечение с одновременным удалением матки. При сроке гестации менее 3-х месяцев производится искусственное прерывание беременности с немедленным началом лечения рака шейки матки.
Профилактика
Основной профилактической мерой рака является массовый онкологический скрининг с помощью цитологического исследования соскобов с шейки матки и из цервикального канала. Обследование рекомендуется начинать после начала половой жизни, но не позднее возраста 21 года. В течение первых двух лет мазок сдается ежегодно; затем, при отрицательных результатах – 1 раз в 2-3 года.
Профилактика рака шейки матки требует раннего выявления и лечения фоновых заболеваний и половых инфекций, ограничения числа сексуальных партнеров, использования барьерной контрацепции при случайных половых связях. Пациенткам групп риска необходимо прохождения осмотра гинеколога не реже 1 раза в полгода с проведением расширенной кольпоскопии и цитологического мазка. Девочкам и молодым женщинам в возрасте от 9 до 26 лет показано проведение профилактической вакцинации против ВПЧ и рака шейки матки препаратами Церварикс или Гардасил.
Предраковые заболевания шейки матки
Предраковые заболевания шейки матки – ряд патологических состояний, которые при определенных условиях могут трансформироваться в рак шейки матки. К ним относятся дисплазия, лейкоплакия с атипией, эритроплакия, аденоматоз. У большинства женщин предраковые заболевания шейки матки протекают стерто; иногда могут сопровождаться водянистыми белями, контактными или межменструальными кровотечениями. Диагностируются на основании осмотра шейки матки в зеркалах, кольпоскопической картины, результатов онкоцитологии и биопсии, ВПЧ-типирования. В зависимости от характера и стадии предраковых изменений может осуществляться радиохирургическая, криогенная или лазерная деструкция патологического очага, конизация шейки матки или гистерэктомия.


Предраковые заболевание шейки матки – диспластические процессы в области влагалищной части шейки матки с высоким риском малигнизации. В гинекологии различают фоновые заболевания шейки матки (псевдоэрозия и истинная эрозия, полипы, простая лейкоплакия, эндометриоз, эктропион, папилломы, цервициты) и предраковые. Для фоновых патологий характерна нормоплазия эпителиальных клеток – их правильное деление, созревание, дифференцировка, отторжение.
Отличительной особенностью предраковых заболеваний шейки матки является то, что они протекают с дисплазией эпителия – его гиперпластической трансформацией, пролиферацией, нарушением дифференцировки, созревания и эксфолиации. Тем не менее, в отличие от рака шейки матки, все эти клеточные изменения ограничены пределами базальной мембраны. В большинстве случаев предраковые процессы развиваются в области фоновых заболеваний и нередко маскируются ими, что затрудняет своевременную диагностику. Средний возраст пациенток с предраком шейки матки составляет 30-35 лет.

Причины предрака шейки матки
В настоящее время ключевой концепцией этиопатогенеза предраковых заболеваний шейки матки признана вирусная теория. Эпидемиологические исследования убедительно доказывают, что в развитии дисплазии ведущую роль играет папилломавирусная инфекция. В популяции женщин с тяжелой формой дисплазии шейки матки 85–95% являются ВПЧ-позитивными; у них, главным образом, обнаруживаются высокоонкогенные типы вируса — 16, 18 и 31. Попадая в организм при половых контактах, ВПЧ внедряется в клетки базального слоя эпителия. В инфицированной клетке вирус способен паразитировать в двух формах: доброкачественной, эписомальной и интрасомальной, стимулирующей опухолевый рост. Несмотря на то, что ВПЧ инфицирует базальные клетки, цитопатические эффекты возникают, в первую очередь, в клетках поверхностного слоя цервикального эпителия, где происходит вирусная репликация.
Возникновению предрака шейки матки способствует «содружество» ВПЧ, вируса простого герпеса II типа, хламидийной и цитомегаловирусной инфекций. Сочетание ВИЧ-инфекции и ВПЧ в разы повышает риск малигнизации. Важнейшим фактором, увеличивающим вероятность возникновения предраковых заболеваний шейки матки, является длительность персистенции вируса.
В меньшей степени, чем вирусные агенты, на риск развития фоновой и предраковой патологии шейки матки могут влиять и другие вероятные факторы риска. Так, ряд авторов ассоциирует цервикальную интраэпителиальную неоплазию (CIN) с курением. Доказано, что женщины, выкуривающие более 20 сигарет в день в течение 20 лет, имеют пятикратное повышение риска плоскоклеточной дисплазии. Содержащиеся в табачном дыме метаболиты проникают в цервикальную слизь и могут действовать и как самостоятельные канцерогены, и как факторы, активизирующие ВПЧ.
Установлена корреляция предраковых заболеваний шейки матки с длительным приемом эстроген-гестагенных оральных контрацептивов, особенно с повышенным гестагенным компонентом. Предраковыми заболеваниями шейки матки чаще страдают женщины, имеющие в анамнезе ранние роды, цервициты, травмы шейки матки при абортах и родах, нарушения гормональныго и иммунного гомеостаза. Среди других риск-факторов рассматриваются раннее (ранее 16 лет) начало половой жизни, частая смена половых партнеров, профессиональные вредности, отягощенный семейный анамнез по РШМ. Вместе с тем, ряд исследований показали, что длительный прием высоких доз витамина С и каротина может вызывать регресс интраэпителиальных цервикальных неоплазий.
Классификация цервикального предрака
Классификация предраковых заболеваний шейки матки претерпевала неоднократные пересмотры и уточнения. Одна из последних классификаций (1996 г.) выделяет доброкачественные фоновые изменения и собственно предрак. Согласно ей, к фоновым относятся дисгормональные (эктопия, эндометриоз, полипы), посттравматические (эктропион, рубцы, разрывы шейки матки), воспалительные (эрозия, цервицит) процессы.
Предраковые заболевания шейки матки, по данным кольпоцервикоскопического и гистологического исследования, делятся на несколько групп:
- Дисплазия (цервикальная интраэпителиальная неоплазия) - пролиферация атипического цервикального эпителия без изменения структуры стромального слоя и поверхностного эпителия. Включает в себя такие формы, как простая лейкоплакия, поля дисплазии, папиллярная и предопухолевая зона трансформации, предраковые полипы и кондиломы. Частота перерождения предрака шейки матки в рак колеблется в диапазоне 40-60%, зависит от вида патологии, ее локализации и длительности течения.
Различают легкую (CIN-I), умеренную (CIN-II) и тяжелую (CIN-III) дисплазию. При дисплазии легкой степени поражаются клетки глубоких - базального и парабазального – слоев (менее 1/3 толщины многослойного эпителия); атипичные клетки отсутствуют. Дисплазию умеренной степени характеризуют изменения 1/3-2/3 толщины эпителиального пласта; атипии не наблюдается. При тяжелой дисплазии на долю гиперплазированных клеток приходится более 2/3 толщи эпителиального слоя, встречаются клетки атипичной структуры.
- Лейкоплакия с атипией – морфологически характеризуется ороговением поверхностного эпителия, пролиферацией клеток базального слоя с явлениями атипизма, лимфоидной инфильтрацией подэпителиальной соединительной ткани. В 75% случаев дает начало инвазивному РШМ.
- Эритроплакия – предраковое заболевание шейки матки, протекающее с атрофией поверхностного и промежуточного слоем многослойного плоского эпителия; гиперплазией базального и парабазального слоев с наличием атипических клеток.
- Аденоматоз - атипическая гиперплазия желез эндоцервикса, напоминающая гиперплазию эндометрия. На фоне аденоматоза могут развиваться железистые формы рака.
Симптомы предраковых заболеваний шейки матки
Особенностью протекания предраковых заболеваний шейки матки является из бессимптомность или неспецифичность клинических проявлений. В основном данная группа патологий выявляется при проведении гинекологического осмотра и кольпоскопии с пробой Шиллера.
Дисплазия шейки матки не имеет самостоятельных симптомов. Лишь при присоединении вторичной инфекции может развиваться клиника вагинита или цервицита (бели, жжение, контактные кровянистые выделения). При изменениях, обусловленных гормональным дисбалансом, возможны нарушения менструльного цикла по типу мено- и метроррагий. Болевые ощущения отсутствуют.
Большинство женщин с лейкоплакией шейки матки считают себя практически здоровыми, лишь незначительная часть отмечает наличие обильных белей и контактных кровянистых выделений. Кольпоскопическая картина весьма патогномонична: участок лейкоплакии определяется в виде белесого перламутрового пятна. Дифференцировать простую и атипичную форму заболевания возможно только после гистологического изучения биоптата. Пациенток с эритроплакией могут беспокоить клейкие выделения желтоватого цвета. При кольпоскопии выявляются темно-красные участки с неровными границами, приподнятые над неизмененной слизистой.
Кондиломы шейки матки и аденоматозные полипы обнаруживаются, главным образом, при кольпоскопическом исследовании. При наличии в них вторичных изменений, вызванных изъязвлением, травматизацией и пр., возможно появление сукровичных выделений.
Диагностика предрака
Алгоритм диагностики предраковых заболеваний шейки матки разработан детально и включает в себя серию инструментальных и лабораторных исследований, позволяющих не только установить вид предрака, но и степень дисплазии.
При визуальном осмотре влагалищной порции шейки матки с помощью зеркал гинеколог оценивает форму наружного зева, окраску слизистой, характер секрета, видимые патологические процессы. В рамках гинекологического осмотра производится забор мазков с поверхности шейки матки для онкоцитологического исследования (ПАП-тест). При выявлении подозрительных участков шейки матки следующим этапом выполняется простая кольпоскопия, при необходимости – расширенное исследование с проведением медикаментозных проб (пробы Шиллера и др.). Каждой форме фоновых и предраковых заболеваний шейки матки соответствует своя кольпоскопическая картина, поэтому на данном этапе возможна дифференциальная диагностика патологий. Для выявления изменений эндоцервикса используется цервикоскопия.

Дальнейшая тактика обследования пациенток с подозрением на предраковые заболевания шейки матки предполагает осуществление прицельной биопсии шейки матки и выскабливания цервикального канала. На основании полученного гистологического заключения окончательно подтверждается или исключается предрак и определяется его форма. Дополнительная клинико-лабораторная диагностика может включать ПЦР исследование на ВПЧ с типированием, УЗИ малого таза, ОКТ шейки матки и др.
Лечение предраковых заболеваний шейки матки
Подход к лечению предраковых заболеваний шейки матки – дифференцированный и поэтапный. Целью терапии служит радикальное удаление патологически измененных тканей, устранение провоцирующих и сопутствующих факторов (лечение ВПЧ, иммунного и гормонального дисбаланса, воспалительных процессов). В соответствии с выявленными нарушениями назначается этиотропная противовоспалительная терапия (противовирусные, антибактериальные, иммуномодулирующие, интерферонстимулирующие, ферментные препараты). Проводится коррекция биоценоза влагалища, витаминотерапия, при необходимости – гормонотерапия.
Выбор способа хирургического лечения предраковых заболеваний шейки матки зависит от степени клеточной дисплазии. При CIN I-II, особенно у нерожавших пациенток, возможно щадящее физическое воздействие на патологические очаги: диатермокоагуляция, радиохирургическое лечение, лазерная вапоризация, криодеструкция. При CIN II-III показано радикальное хирургическое вмешательство в объеме эксцизии или конизации шейки матки, конусовидной ампутации или гистерэктомии (удаления матки). При полипах цервикального канала производится их удаление с РДВ.
После излечения предраковых заболеваний шейки матки контрольную кольпоцервикоскопию и онкоцитологию повторяют каждые 3 месяца на протяжении первого года и дважды в год в течение второго. Рецидивы редки, однако известно, что их процент выше у ВПЧ-инфицированных женщин. Профилактика предраковых заболеваний шейки матки предполагает широкий охват женского населения скрининговыми программами, вакцинацией против РШМ. Важную роль играет поведение самой женщины: использовании барьерной контрацепции при случайных контактах, отказ от курения, своевременное лечение фоновых заболеваний.
Врач гинеколог-онколог рассказала о диагностике рака шейки матки на ранних стадиях
Как поймать рак шейки матки на ранней стадии? Какие виды обследований нужно проходить? Об этом рассказала Полина Анатольевна Архангельская – врач-онколог, акушер-гинеколог Консультативно-диагностического Центра НМИЦ онкологии им. Н.Н. Петрова.

Полина Анатольевна, какие профилактические меры помогают сохранить женское здоровье?
Своевременное обращение пациентов при появлении жалоб и ежегодное профилактическое посещение гинеколога. Периодичность врачебных осмотров зависит от наличия или отсутствия жалоб и симптомов заболеваний гинекологической сферы. Если жалоб нет, женщины репродуктивного возраста должны посещать врача-гинеколога не реже одного раз в год. Визит к врачу обязательно включает осмотр на кресле и скрининг заболеваний шейки матки, а именно – проведение ПАП-теста в комбинации с анализом на ВПЧ. При выявлении патологии перечень обследований может расшириться и включать проведение УЗИ органов малого таза, кольпоскопии – осмотра шейки матки с помощью специального оптического и видеоприбора.

Вы уже более восьми лет работает в области гинекологии и онкологии. С какими заболеваниями вы чаще всего сталкиваетесь в своей практике?
Чаще всего в нашу клинику обращаются пациентки с фоновыми и предраковыми заболеваниями шейки матки, гиперпластическими процессами эндометрия, дисфункциональными маточными кровотечениями, новообразованиями яичников и с выявленными подтвержденными злокачественными заболеваниями. Дисплазия или цервикальная интраэпителиальная неоплазия (ЦИН) или плоскоклеточное интраэпителиальное повреждение (ПИП) занимает промежуточное положение между нормальным эпителием шейки матки и раком in situ и относится к предраковым состояниям, предшествующим развитию инвазивного рака шейки матки. Инфицированность вирусом папилломы человека – основной и ключевой фактор риска развития дисплазии и рака шейки матки. Вирус как правило передается половым путем, а барьерные методы контрацепции не всегда способны предотвратить заражение. Дисплазия шейки матки характеризуется нарушением созревания и дифференцировки клеток многослойного плоского эпителия и является самой частой формой предрака шейки матки. Своевременное лечение предраковых заболевания шейки матки позволяет пациенту предотвратить трансформацию неоплазм в злокачественное заболевание.
Как проводится диагностика онкологической гинекологической патологии, в том числе на ранних стадиях?
Проведение цитологического исследования состояния эпителия шейки матки, обследование на вирус папилломы человека, кольпоскопическое исследование шейки матки с прицельной биопсией и гистологическим исследованием материала позволяют выявить патологию шейки матки на этапе предрака.
Первичное цитологическое обследование шейки матки и цервикального канала является классическим скрининговым методом выявления патологических изменений.
Процедура безболезненна. Чтобы получить материала, который будет подвергаться цитологическому исследованию, врач делает соскоб из экзоцервикса – внешней части шейки – и из слизистой выстилки влагалища при помощи шпателя Эйра. Для получения соскоба и последующего исследования мазка из цервикального канала применяют специальный зонд – эндобраш. Его использование позволяет получить биоматериал в достаточном для анализа количестве. При отсутствии патологии плоского и железистого эпителия шейки матки по результатам общепринятого цитологического исследования рекомендуется дальнейшее наблюдение.
При выявлении подозрения на патологию шейки матки пациентка подлежит второму этапу обследования (углубленной диагностике): кольпоскопия с прицельной биопсией влагалищной части шейки матки и биопсия эндоцервикса с целью морфологической верификации диагноза.

Как проводится диагностика и лечение патологии шейки матки — фоновых и предраковых заболеваний?
Диагностика таких патологии включает цитологическое исследование состояния эпителия шейки матки, обследование на вирус папилломы человека, кольпоскопическое исследование шейки матки с прицельной биопсией и гистологическим исследованием материала. Это позволяет выявить фоновые и предраковые заболевания шейки матки и провести соответствующее лечение, например, противовоспалительное, лазерное, радиоволновое.
Если входе обследования пациента выявляется злокачественное образование шейки матки, то сразу же составляется план обследования пациента, который может включать: цистоскопию, ректороманоскопию, МРТ органов малого таза, КТ брюшной и грудной полости и забрюшинного пространства, позитронно-эмиссионную томографию (ПЭТ). После обследования определяется дальнейшая тактика и методы лечения — хирургическое, лучевое, химиотерапевтическое.
О чем должна помнить женщина?
О том, что женское здоровье — исток женского счастья, красоты и гармонии. А посещение врача-гинеколога позволяет поддержать его и сохранить.


Беседовала
ИОАННА ЧЕРНОВА
специалист по связям с общественностью НМИЦ онкологии им. Н. Н. Петрова
Санкт-Петербургский государственный университет
Высшая школа журналистики и массовых коммуникаций
Что вам необходимо сделать
Если вы хотите узнать побольше о бесплатных возможностях ФБГУ НМИЦ онкологии им. Н.Н. Петрова Минздрава России, получить очную или заочную консультацию по диагностике и лечению, записаться на приём, ознакомьтесь с информацией на официальном сайте.
Если вы хотите общаться с нами через социальные сети, обратите внимание на аккаунты в ВКонтакте и Одноклассники.
Рак шейки матки: как себя обезопасить?
По данным Международного агентства по изучению рака при Всемирной организации здравоохранения, в 2018 году во всем мире было диагностировано 570 000 новых случаев рака шейки матки, что делает его четвертым по распространенности онкологическим заболеванием среди женщин. Более того, специалисты отмечают, что рак шейки матки «молодеет», и многие девушки не успевают реализовать свою репродуктивную функцию до постановки диагноза. Мы поговорили с Екатериной Юрьевной Твороговой, онкологом, акушером-гинекологом НМИЦ онкологии им. Н.Н. Петрова о причинах распространения заболевания, его профилактике и методах лечения.

С чем может быть связана данная статистика?
В настоящее время вирус папилломы человека (ВПЧ) крайне распространен – это основная причина развития рака шейки матки. Различают три группы ВПЧ – низкого, среднего и высокого онкогенного риска. Вирусы группы низкого риска могут вызывать появление кондилом и папиллом на коже тела и гениталиях.
Группа высокого риска связана с возникновением онкологических заболеваний. Онкогенные подтипы ВПЧ 16/18 обнаруживаются у большинства больных РШМ.
При заражении ВПЧ высокого онкогенного риска (в клинически значимом количестве) женщина попадает в группу риска по развитию патологии шейки матки, вплоть до злокачественной. Это говорит о том, что лечащий врач наблюдает её чаще, следит за динамикой, при необходимости, проводит дополнительные обследования и своевременно применяет необходимые методы лечения для предотвращения развития серьезной патологии.
Нужно проводить вакцинацию мальчикам и девочкам с 9 до 17 лет, в идеале, до начала половой жизни. Если прививки не были сделаны в юности, то сейчас можно вакцинировать женщин до 40-45 лет. Доказано, что вакцина абсолютно безопасна и эффективна. На данный момент в мире накоплен большой опыт успешного применения двух- и четырехвалентных вакцин. Не так давно появилась и девятивалентная. ВПЧ вакцинация включена в национальные программы иммунизации в более, чем 86 странах, она является одним из эффективных методов профилактики ВПЧ-ассоциированных и онкологических заболеваний, включая рак шейки матки.
С начала половой жизни раз в год обязательно нужно посещать гинеколога. Сделать ПАП-тест (соскоб на атипию с поверхности шейки матки и цервикального канала), определить свой ВПЧ статус, пройти УЗИ и совместно с гинекологом выработать индивидуальный план обследования и динамического наблюдения. В нашем центре разработаны и успешно применяются программы скрининга для женщин разных возрастных групп.

На данный момент в мире не существует лекарственного средства, которое бы уничтожило ВПЧ. Лечить ли вирус? Этим вопросом задаются ученые всего мира. В нашем научно-медицинском исследовательском центре онкологии применяются методы лечения ВПЧ-ассоциированных заболеваний, которые основаны на многочисленных исследованиях и доказали свою эффективность.
Узнав, что у пациентки есть ВПЧ, врач устанавливает, какое количество вирусных частиц присутствует в организме, от этого зависит его агрессивность.
С помощью дополнительных методов исследования важно определить, успел ли вирус видоизменить клетки таким образом, что пора применить хирургические методы лечения. Если женщина является бессимптомным носителем, в таком случае врач выбирает тактику динамического наблюдения, потому что противовирусная и иммуномодулирующая терапии в данной клинической ситуации неэффективны.

Насколько эффективна терапия иммуномодуляторами при поражении ВПЧ?
У достаточно большой группы носителей вирус может самостоятельно покинуть организм. Но если имеются клинические проявления болезни, тогда применяется сочетание различных методов лечения, в том числе, по показаниям, иммуномодуляторы и противовирусные препараты. В некоторых случаях нам на помощь приходят иммунологи, специалисты нашего центра. Определив какое звено иммунитета нуждается в поддержке, подбирается индивидуальная терапия препаратами данной группы.
Вакцинация эффективна, если в организме уже был обнаружен один из типов ВПЧ?
Да, вакцины бывают двух-, четырёх- и девятивалентные. Некоторые вакцины имеет перекрестную чувствительность еще к двум-четырем типам вируса, то есть их спектр шире. И если у пациентки обнаружен ВПЧ одного типа, то благодаря вакцине ее можно защитить от остальных.
Что бы Вы ещё посоветовали для сохранения женского здоровья?
При регулярном посещении гинеколога кроме осмотра, цитологического исследования с шейки матки, ВПЧ тестирования, кольпоскопии и УЗИ органов малого таза также важно проводить обследования молочных желез. До 40 лет это обязательное УЗИ раз в год с профилактической целью, после 40 лет – маммография («золотой стандарт» диагностики), даже если пациентку ничего не беспокоит.
Наряду с раком шейки матки также существует не менее актуальная и грозная проблема рака яичников. Только регулярные гинекологические обследования в сочетании с УЗИ могут своевременно выявить объемные образования в яичниках. Важно вовремя провести дополнительные методы обследования, принять решение по тактике ведения данной патологии.
В нашем центре применяются современные методы и есть все необходимые оборудование для полноценного профилактического обследования и лечения женщин всех возрастных групп, а также пациенток, входящих в группы риска по развитию гинекологических заболеваний и онкопатологии.

Как правило, в группу риска входят пациентки, у которых:
- рано началась половая жизнь и сменилось большое количество половых партнеров;
- запущенные стадии хронических воспалительных заболеваний органов малого таза;
- необследованные «эрозии», особенно при сочетании с ВПЧ группы высокого онкогенного риска
не было половой жизни или родов или они не кормили ребенка грудью; - было бесконтрольное применение эстрогенов, гормональных оральных контрацептивов и неадекватно подобранная заместительная менопаузальная терапия;
- были кровотечения, особенно в менопаузе;
- есть заболевание, на фоне которого повышается риск развития онкопатологии (нарушение менструального цикла – обильные, нерегулярные, межменструальные кровотечения; ановуляция; ожирение; сахарный диабет; поздний климакс (после 55 лет), длительное наблюдение за опухолями и кистами яичников).
Какую роль играет семейный анамнез?
Если у кого-то из родственников было или есть онкологическое заболевание, используются дополнительные методы обследования, при необходимости назначается консультация генетика. В случае, когда у пациентки есть наследственные мутации, например BRCA, как у Анджелины Джоли, то необходимо проводить ежемесячное самообследование молочных желез с 18 лет, МРТ и маммографию с 25 лет, трансвагинальное УЗИ и контролировать онкомаркеры для своевременной диагностики возможного заболевания.
Необходимость определения мутаций и дополнительных методов обследования, а также их периодичность определяет врач онколог-гинеколог и, в зависимости от результата, в нашем центре составляется индивидуальная программа обследования и наблюдения.
Если пациентке поставили диагноз «рак шейки матки», какие есть способы лечения?
В зависимости от стадии, после дообследования принимается решение о наиболее приемлемом методе лечения.
При раке in situ (CINIII) и при I-й стадии применяется метод конизации шейки матки, когда удаляют ткань в виде конуса, шейка укорачивается, но в процессе заживления она восстанавливает свою форму. В дальнейшем это не помешает пациентке забеременеть, выносить беременность и родить. Конус мы отправляем гистологам, которые делают подробное заключение с применением самых передовых современных методик.
В НМИЦ онкологии им. Н.Н. Петрова выполняется также органосохраняющая операция, трахелэктомия, которая заключаются в удалении шейки матки с сохранением матки. Это не является радикальным методом лечения, но если пациентка хочет забеременеть, родить и степень распространения рака позволяет сделать такой объем, то после реализации детородной функции она снова обращается к онкологу.
Что касается заболеваний шейки матки, какие обследования необходимо проводить?
Если женщине поставили диагноз, например, «эрозия шейки матки», какая именно патология скрывается под словом «эрозия» на самом деле, неизвестно, до обследований у гинеколога. Этот орган даже при злокачественных изменениях не болит до достаточно поздней стадии. Прежде всего, нужно сделать ПАП-тест или жидкостную цитологию и определить свой ВПЧ статус. Дополнительно проводится кольпоскопия. Это осмотр шейки матки в кольпоскоп под увеличением с использованием специальных красителей, которые позволяют увидеть изменения на слизистой шейки матки и влагалища, которые не видны при обычном осмотре на кресле. По показаниям врач на приеме берет биопсию с последующим гистологическим исследованием. Данные методы помогают поставить точный диагноз по заболеванию шейки матки и определить дальнейшую тактику ведения пациентки.

В зависимости от результатов обследования врач может дальше наблюдать за пациенткой, назначая приемы через 3-6 месяцев, либо, по показаниям, он переходит к хирургическому лечению и решает проблему радикально.
В нашем Центре в условиях малой операционной под внутривенным наркозом проводится конизация шейки матки и хирургическое лечение онкологических заболеваний по квотам в условиях стационара.
Важно, найти «своего» врача, когда у пациентки и гинеколога складываются доверительные отношения, специалист знает всю историю заболеваний женщины, ее наследственность – это способствует точной постановке диагноза и назначению правильного лечения.
Материал подготовила:
ИОАННА ЧЕРНОВА
специалист по связям с общественностью НМИЦ онкологии им. Н. Н. Петрова
Санкт-Петербургский государственный университет Высшая школа журналистики и массовых коммуникаций

Материал подготовила:
МАРИЯ КОЗЛОВА
специалист по связям с общественностью
НМИЦ онкологии им. Н. Н. Петрова
Магистратура Высшей школы журналистики и массовых коммуникаций СПбГУ, направление «Медиакоммуникации»
Рак шейки матки
Одним из самых распространенных и опасных онкологических заболеваний у женщин является рак шейки матки, затрагивающий наиболее молодую часть женского населения в возрасте от 20 до 45 лет.

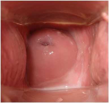
Рис. 1 Нормальная шейка матки

Рис. 2 Опухоль шейки матки
По данным всемирной статистической онкологической службы рак шейки матки занимает 4-е место в мире среди злокачественных новообразований. Ежегодно в России регистрируется более 16000 первичных случаев, в Санкт-Петербурге около 500 случаев. На территории Российской Федерации рак шейки матки является причиной смерти 24% женщин в возрасте от 30 до 39 лет и 14% женщин в возрасте от 40 до 49 лет.
Факторы риска рака шейки матки
Причинами развития рака шейки матки и предшествующих диспластических изменений является ряд следующих факторов:
- раннее начало половой жизни (14-18 лет);
- частая смена половых партнеров (более 5), в т.ч. партнерами мужчинами;
- травмы шейки матки после родов и медицинских манипуляций (аборты, выскабливания);
- фоновые заболевания шейки матки (эктопия, дисплазия средней и тяжелой степени);
- прием оральных контрацептивов и, как следствие, отказ от барьерных методов контрацепции, тем самым повышенный риск заражения инфекциями, передающимися половым путем, в том числе вирусом папилломы человека (ВПЧ).
Наиболее опасными из онкогенной группы вирусов являются 16 и 18 тип. Длительное присутствие данного типа вируса в клетках шейки матки приводит к мутациям, которые являются основой для появления раковой клетки. Важно понимать, что человек может заразиться несколькими типами вируса одновременно.
Симптомы и первые признаки рака шейки матки
Это злокачественное заболевание длительный период времени может протекать бессимптомно и не диагностироваться на ранних стадиях из-за отсутствия своевременной диспансеризации.
Основными признаками опухоли шейки матки являются:
- кровянистые выделения из половых путей, часто усиливающиеся после полового контакта
- изменения характера и длительности менструации
- боли внизу живота, с иррадиацией в спину и заднюю поверхность бедра.
При запущенных стадиях возможно прорастание опухоли в близлежащие органы — прямую кишку, мочевой пузырь, сдавление мочеточников с нарушением отхождения мочи и появлением болей в области почек. Поэтому ежегодный осмотр онкогинеколога своевременно позволит верифицировать патологический процесс и выполнить весь комплекс необходимых диагностических манипуляций.
Диагностика рака шейки матки
Рак шейки матки относится к опухолям визуальной локализации.
Кроме того это единственная опухоль, для которой существует доступный скрининг-тест — цитологическое исследование мазков с поверхности шейки матки и цервикального канала, также известный как мазок на онкоцитологию или PAP-тест. Данный вид исследования является весьма чувствительным для диагностики фоновых предраковых изменений (дисплазий) и начальных стадий рака шейки матки.
Часто диагноз устанавливается на основании гистологического исследования материала, взятого методом биопсии пораженного участка, после выявления атипичных клеток при цитологическом скрининге. Нередко в качестве достоверного гистологического подтверждения осуществляется минимальное хирургическое вмешательство — конизация шейки матки (электро/лазеро/радиоволновая, холодно/ножевая), позволяющая адекватно диагностировать глубину и протяженность опухолевого процесса шейки матки.

Кроме исследования непосредственно опухолевой ткани, также необходимо оценить состояние регионарных лимфооузлов и распространенность онкологического процесса на соседние и отдаленные органы — печень, легкие, головной мозг, кости.
- Цистоскопия (исследование мочевого пузыря);
- Колоноскопия (исследование прямой кишки);
- Рентгенографии органов грудной полости;
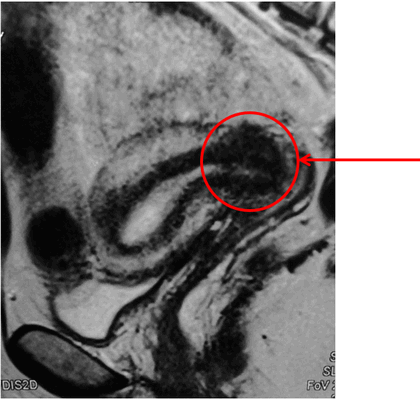
- Магнитно-резонансной томография (МРТ) органов малого таза; (рис 4.)
- Компьютерная томография (КТ) органов брюшной полости

Рис. 4 МР-признаки опухоли шейки матки
Данные выполненных исследований позволяют установить стадию рака шейки матки и определить индивидуальную тактику лечения.
Анатомическая сложность локализации опухолевого процесса объясняет и не менее сложные методы лечения рака шейки матки. Планирование терапии рака шейки матки включает консервативное лечение в виде химиотерапии и лучевой терапии, однако ведущим и эффективным методом лечения рака шейки матки остается хирургический. Нередка комбинация этих методов. Радикально выполненная операция обуславливает большую эффективность химиотерапии и лучевой терапии, что улучшает прогноз заболевания и общую выживаемость.
Объем операции определяется для каждой пациентки индивидуально в соответствии со стадией заболевания и гистологической характеристикой опухоли. Возраст женщины играет немало важную роль в определении тактики лечения, поскольку большая часть пациенток, страдающих данным заболеванием, находится в репродуктивном периоде и активно заинтересованы в дальнейшем планировании беременности. Поэтому важно выполнять лечение только в специализированных учреждениях, где активно используются все возможности современной хирургии (Рис.5).

Рис. 5 Типичное положение троакаров при выполнении лапароскопических операций .
В ФГБУ «НИИ онкологии им. Н.Н. Петрова» квалифицированными хирургами с использованием новейшей видео-эндоскопической аппаратуры, а также стандартного открытого лапаротомного доступа выполняется любой и самый сложный объем операций при раке шейки матки.
Уровни хирургических вмешательств включают нервосберегающие расширенные экстирпации матки с тазовой лимфодиссекцией — удаление матки с регионарными лимфатическими узлами. (Рис. 6)

Рис. 6 Макропрепарат после лапароскопической нервосберегающей радикальной гистерэктомии с тазовой лимфодиссекцией и транспозицией яичников у пациентки 37 лет.
Данный объем операции при высокой радикальности характеризуется сохранением иннервации тазовых органов, в том числе мочевого пузыря, что позволяет более чем на 90% избежать послеоперационного нарушения мочеиспускания.
Также у пациенток молодого возраста, нереализовавших детородную функцию, выполняется такая операция, как трахелэктомия — удаление шейки матки с сохранением тела матки. Трахелэктомия как высокотехнологичный перспективный метод хирургического лечения рака шейки матки у женщин молодого возраста при I стадии заболевания заключается в сохранении тела матки и формирования анастомоза с влагалищем, что в дальнейшем способствует возможности планирования беременности и реализации репродуктивной функции.

Прогноз заболевания и динамическое наблюдение
Злокачественные опухоли шейки матки начальных стадий можно отнести к заболеваниям с относительно благоприятным прогнозом. Однако общая 5-летняя выживаемость больных, получивших лечение в специализированных клиниках, достигает не более 65% .
Поэтому после завершения всех этапов лечения пациенту необходимо находится под строгим динамическим наблюдением врача онколога-гинеколога и проходить регулярные обследования для исключения рецидива заболевания.
Большинство больных раком шейки матки, узнает свой диагноз в достаточно молодом возрасте, и с последствиями болезни и лечения им приходится жить много лет.


Авторская публикация:
СМИРНОВА ОЛЬГА АЛЕКСЕЕВНА
врач-онколог, акушер-гинеколог
НИИ онкологии им Н.Н. Петрова
Читайте также:
- Влияние простогландинов на сосуды. Воздействие кининов на стенку сосуда.
- Смерть-гибель ооцита. Причины апоптоза
- Глухота при инфекционном заболевании уха. Тугоухость при туберкулезе
- Поражение глаз при шистосомозе. Признаки
- Параназальный синусит. Заболевания височно-нижнечелюстного сустава. Зубная боль. Височный артериит.
