Одонтогенный верхнечелюстной синусит: причины, симптомы и лечение
Добавил пользователь Евгений Кузнецов Обновлено: 29.01.2026
Верхнечелюстной синусит (гайморит) – распространенное среди взрослых и детей ЛОР-заболевание, которое проявляется в виде воспаления слизистой гайморовых пазух. Процесс часто затрагивает не только оболочку околоносовых полостей, но и глубокие ткани: подслизистую, надкостницу, кости челюсти. Если лечение отсутствует, острый синусит обычно переходит в хроническую форму. Кроме того, без своевременной терапии болезнь может давать осложнения. Единственным способом предотвратить воспаление глотки, отита, менингита и прочих неприятных последствий в этом случае является комплексное лечение верхнечелюстного синусита у квалифицированных специалистов.
Причины возникновения и характерные проявления
Верхнечелюстной синусит возникает вследствие различных факторов. Наиболее распространенная причина – частые ОРЗ, простуды, инфекционные заболевания ротовой полости и внутренних органов, не получившие адекватного лечения. Также появлению верхнечелюстного синусита способствуют аномалии в строении носовой полости, склонность организма к аллергическим реакциям, травматические повреждения лица, общее снижение иммунитета, постоянное вдыхание сильно загрязненного воздуха и прочее. О появлении болезни и необходимости лечиться пациент обычно узнает по затрудненному дыханию и сильной заложенности носа. При этом острый верхнечелюстной синусит имеет и другие характерные проявления. В частности, взрослые и дети обращаются за лечением с такими симптомами:
При отсутствии комплексного лечения острый синусит часто переходит в хроническую форму, которая имеет менее выраженную симптоматику, но при этом заметно ухудшает состояние больного и сохраняет высокие риски развития осложнений.
Как лечить верхнечелюстной синусит
Прежде, чем лечить верхнечелюстной синусит, специалист определяет форму заболевания. Основная классификация проводится с учетом этиологии: вазомоторный (переохлаждение), инфекционный или аллергический гайморит. Также для эффективности лечения обязательно определяют характер верхнечелюстного синусита: отечно-катаральный и гнойный. Дополнительно болезнь делят на одно- и двусторонний гайморит с учетом локализации и количества пораженных пазух.
Лечение любой формы хронического или острого верхнечелюстного синусита всегда начинается с диагностики. Специалист сначала изучает анамнез, а затем проводит общий осмотр пациента, эндоскопические исследования, рентгенографию и прочие мероприятия. Лечение подбирается индивидуально, исходя из формы и тяжести течения болезни. Стандартно оно включает:
Медикаментозное лечение верхнечелюстного синусита. Пациенту назначают антигистаминные, антибактериальные, противовоспалительные, сосудосуживающие, секретомоторные и другие препараты общего и местного действия.
Физиотерапевтическое лечение. Эффективным средством в борьбе с гнойным гайморитом является электрофорез с антибактериальными средствами. Также в индивидуальную схему лечения могут быть включены лазер, фонофорез, воздействие ультразвуковых частот.
Промывания полости носа. Осуществляется с использованием травяных, солевых, а также лекарственных растворов в домашних условиях. В ходе лечения пациенту могут быть назначены промывания по Проецу («кукушка»).
Хирургическое лечение. При тяжелом течении заболевания выполняется санация пазух с помощью ЯМИК-катетера. Наиболее распространенные варианты хирургического лечения – прокол с целью дренирования содержимого и трепанопункция.
Интересует безболезненное и безопасное лечение верхнечелюстного синусита у ребенка или взрослого в Москве? Обращайтесь в ближайшую ЛОР-клинику доктора Сичинава, предварительно записавшись на платный прием с помощью онлайн-формы или контактного телефона.
безоперационное лечение верхнечелюстного синусита в клиниках доктора сичинавы
ЛОР-клиника доктора Сичинавы проводит в Москве высокоэффективную терапию гайморитов у взрослых и детей по уникальной авторской методике. Используемый нами способ лечения верхнечелюстного синусита позволяет избавиться от болезни всего за 8 процедур. При этом он подходит абсолютно всем пациентам, включая детей возрастом от 3 лет и беременных, не вызывает дискомфорт (боль, кашель, тошнота), исключает проколы и дает гарантированный результат.
В ходе лечения разных форм верхнечелюстного синусита нами проводятся промывания пазух с помощью уникального процедурного «Пистолета» и специальных фитодренажных спреев, не имеющих аналогов. Состав препарата (8 видов) подбирается индивидуально для каждого пациента. Благодаря точному воздействию на очаг воспаления достигается высокая эффективность лечения и хронического, и острого верхнечелюстного синусита. Прохождение курса процедур обеспечивает:
- устранение бактерий и других инфекционных возбудителей заболевания;
- разжижение и эвакуация гнойного содержимого из околоносовых пазух;
- снятие отечности тканей, болезненных ощущений и прочих симптомов;
- восстановление всех естественных функций слизистой оболочки;
- повышение местного иммунитета для профилактики рецидивов.
Интересует лечение взрослого или ребенка от острого синусита без операций? Воспользуйтесь нашей уникальной методикой! Записывайтесь на лечение хронического верхнечелюстного синусита и острой формы заболевания в ЛОР-клиниках доктора Сичинавы!
Одонтогенные верхнечелюстные синуситы

Одонтогенные верхнечелюстные синуситы (гаймориты) - это воспаление слизистой оболочки стенок верхнечелюстной пазухи, возникновение которого связано с распространением инфекционно-воспалительного процесса из очагов одонтогенной инфекции верхней челюсти, либо с инфицированием пазухи через перфорационное отверстие, возникающее после удаления зуба.
Причины одонтогенных синуситов:
- периодонтиты
- нагноившиеся кисты верхней челюсти
- перфорация верхнечелюстной пазухи
- протолкновение корней зубов в пазуху
- инородные тела
- ретенированные зубы
Классификация
По характеру течения различают острый одонтогенный синусит, хронический одонтогенный синусит и обострение хронического одонтогенного синусита.
По патогенезу (механизму развития) различают синусит без перфорации и с перфорацией дна верхнечелюстной пазухи.
- одонтогенные перфорации (после удаления зубов вблизи пазухи, резекции верхушек корней, операций по поводу кист и синуситов)
- перфорации при специфических поражениях верхней челюсти
- разрушение дна пазухи растущей опухолью
- травматические операции
Среди так называемых перфоративных синуситов выделяют синуситы с наличием инородного тела (корень зуба, пломбировочный материал, эндодонтический инструмент, имплантат) в верхнечелюстной пазухе.
Острый одонтогенный синусит
Симптомы:
- боль в области одного или нескольких зубов, усиливающаяся при накусывании, гиперемия и инфильтрация слизистой оболочки
- слизисто-гнойное отделяемое из носового хода на соответствующей стороне
- чувство тяжести и распирания в области верхней челюсти
- головная боль
- подъем температуры тела
Объективное обследование:
- отек мягких тканей щечной, подглазничной областей
- боль при пальпации в области передней стенки пазухи
- боль при пальпации и перкуссии причинного зуба
Диагностика:
- -ортопантомограмма
- -рентгенограмма придаточных пазух носа
- -компьютерная томограмма
- диагностическая пункция (при ней получаем гнойный или слизисто-гнойный экссудат)
Лечение заключается в удалении причинного зуба (по показаниям), вскрытии воспалительного инфильтрата внутриротовым доступом, промывании раны антисептиками, дренировании раны, пункции верхнечелюстной пазухи (по показаниям), назначении антибактериальной и противовоспалительный терапии.
Хронический одонтогенный синусит
Является исходом острого или возникает как первично подострый или хронический процесс.
Течение заболевания без наличия перфорационного отверстия волнообразное и аналогично клинической картине хронического риногенного синусита.
Обострение часто наступает после переохлаждения, ОРВИ или совпадает с обострением хронического периодонтита.
Клиническая картина практически аналогична острому процессу.
В период ремиссии хронический синусит имеет стертую симптоматику: периодически появляется чувство тяжести в области пазухи, по утрам- серозно-гнойное отделяемое. Могут появляться повышенная утомляемость, незначительный подъем температуры тела.
Постоянное проникновение остатков пищи из полости рта, инфицированного корня зуба способствует развитию хронического полипозного синусита.
В клинике "Креатив Дент" мы успешно применяем все выше указанные методики лечения одонтогенных верхнечелюстных синуситов.
Одонтогенный верхнечелюстной синусит: причины, симптомы и лечение
НИИ Скорой помощи им. Н.В. Склифосовского ,кафедра нейрохирургии и нейрореанимации лечебного факультета ГБОУ ВПО «Московский государственный медико-стоматологический университет им. А.И. Евдокимова» Минздрава России, Москва, Россия
Кафедра госпитальной хирургической стоматологии и челюстно-лицевой хирургии Московского государственного медико-стоматологического университета им. А.И. Евдокимова, Москва
Кафедра госпитальной хирургической стоматологии и челюстно-лицевой хирургии Московского государственного медико-стоматологического университета им. А.И. Евдокимова, Москва
Кафедра госпитальной хирургической стоматологии и челюстно-лицевой хирургии Московского государственного медико-стоматологического университета им. А.И. Евдокимова, Москва
Одонтогенный верхнечелюстной синусит: особенности диагностики и лечения
Журнал: Вестник оториноларингологии. 2014;(1): 4‑7
Давыдов Д.В., Гвоздович В.А., Стебунов В.Э., Манакина А.Ю. Одонтогенный верхнечелюстной синусит: особенности диагностики и лечения. Вестник оториноларингологии. 2014;(1):4‑7.
Davydov DV, Gvozdovich VA, Stebunov V, Manakina AIu. Odontogenic maxillary sinusitis: peculiarities of diagnostics and treatment. Vestnik Oto-Rino-Laringologii. 2014;(1):4‑7. (In Russ.).
НИИ Скорой помощи им. Н.В. Склифосовского ,кафедра нейрохирургии и нейрореанимации лечебного факультета ГБОУ ВПО «Московский государственный медико-стоматологический университет им. А.И. Евдокимова» Минздрава России, Москва, Россия
Цель работы - улучшение качества диагностики и выбора оптимальной методики лечения одонтогенных верхнечелюстных синуситов при расположении инородных тел в латеральных отделах верхнечелюстной пазухи. С этой целью на этапах обследования проводили мультиспиральную компьютерную томографию, позволяющую определить точное расположение инородного тела в пазухе и выбрать оптимальный доступ для оперативного вмешательства. В работе применяется модифицированный метод операции по Колдуэллу-Люку как наиболее адекватный в данных клинических случаях.
НИИ Скорой помощи им. Н.В. Склифосовского ,кафедра нейрохирургии и нейрореанимации лечебного факультета ГБОУ ВПО «Московский государственный медико-стоматологический университет им. А.И. Евдокимова» Минздрава России, Москва, Россия
Кафедра госпитальной хирургической стоматологии и челюстно-лицевой хирургии Московского государственного медико-стоматологического университета им. А.И. Евдокимова, Москва
Кафедра госпитальной хирургической стоматологии и челюстно-лицевой хирургии Московского государственного медико-стоматологического университета им. А.И. Евдокимова, Москва
Кафедра госпитальной хирургической стоматологии и челюстно-лицевой хирургии Московского государственного медико-стоматологического университета им. А.И. Евдокимова, Москва
Больные с воспалительными заболеваниями параназальных синусов составляют около 1 / 3 общего числа пациентов, госпитализированных в стационары с заболеваниями верхних дыхательных путей [1]. Преобладающим по частоте вовлечения в воспалительный процесс большинство авторов считают верхнечелюстной синус 3.
Наиболее частый путь проникновения инфекции - через естественные соустья, соединяющие пазуху с полостью носа. Источником инфекции также могут быть хронические воспалительные очаги зубочелюстной системы, особенно больших и малых коренных зубов, прилегающих к нижней стенке пазухи 5. К возникновению одонтогенного верхнечелюстного синусита могут приводить гранулемы у верхушки корня зуба, субпериостальные абсцессы, пародонтит, а также инородные тела: пломбировочный материал, фрагменты отломков стоматологических инструментов, корни зубов после осложненного удаления, турунды [1, 3].
В 40-50% случаев в верхнечелюстной синус пломбировочный материал попадает вследствие его выведения за верхушку корня зуба при эндодонтическом лечении у врача-стоматолога [4, 6]. Тактика лечения подобных осложнений широко известна - удаление инородных тел из полости синуса [1-3, 7].
В литературе были описаны различные хирургические методы, такие как операция по Колдуэллу-Люку [2, 3], малоинвазивные вмешательства с использованием эндоскопической техники 3. Несмотря на широкое использование высокоэффективных эндовидеоассистированных вмешательств на структурах верхнечелюстного синуса, встречаются клинические случаи, в которых применение классических оперативных методов является более адекватным.
В данной работе нами проведен анализ результатов лечения пациентов, которым ранее были выполнены эндоскопические вмешательства на верхнечелюстном синусе при наличии в них воспалительного процесса и инородных тел.
Цель исследования - повышение эффективности диагностики и лечения пациентов с одонтогенными верхнечелюстными синуситами, вызванными наличием в пазухе пломбировочного материала.
Пациенты и методы
Были обследованы пять пациентов, обратившихся в период с 2011 по 2012 г. в МГМСУ им. А.И. Евдокимова с жалобами на чувство тяжести, болезненности в лобной и подглазничной областях, заложенности соответствующей половины носа, общую слабость, головные боли. Все обратившиеся пациенты ранее были оперированы в различных ЛОР-клиниках. Обследуемая группа пациентов состояла из лиц женского пола в возрасте от 25 до 54 лет (средний возраст 40 лет). Все пациенты ранее проходили эндодонтическое лечение зубов 15, 24, 25, 26 (в двух случаях).
Для подтверждения наличия пломбировочного материала в придаточных синусах всем пациентам выполняли рентгенологические методы исследования: проводили ортопантомограмму и мультиспиральную компьютерную томографию (МСКТ) - исследование, которое проводилось на компьютерном томографе Philips Brilliance 64 с толщиной срезов 0,9 мм при высоком разрешении с мультипланарной реконструкцией.
Длительность заболевания всех обратившихся за помощью больных и эндоскопических попыток удаления составляла от 6 до 12 мес.
Для удаления инородных тел использовали операцию по методу Колдуэлла-Люка: рассекали слизистую оболочку и надкостницу в области преддверия рта ниже переходной складки от клыка до второго моляра. Распатором отслаивали слизисто-надкостничный лоскут, обнажая переднюю стенку верхнечелюстной пазухи. При помощи шаровидного бора и фрезы трепанировали костную стенку пазухи. Трепанационное отверстие расширяли до 1,5 см в диаметре. После иссечения слизистой оболочки пазухи в области передней стенки из нее эвакуировали гнойное отделяемое, удаляли утолщенную и измененную слизистую оболочку, инородные тела, стараясь при этом сохранить интактную слизистую. Полученный морфологический материал из пазухи отправляли на гистологическое исследование для окончательного подтверждения диагноза. Учитывая наличие ранее созданного соустья с полостью носа при эндоскопических вмешательствах, этот этап не выполняли. Завершающим этапом операции было тампонирование верхнечелюстного синуса стерильным тампоном, пропитанным раствором антибиотика (амоксициллином). Затем в полости рта слизисто-надкостничный лоскут возвращали на место и ушивали нитями Vicryl 4/0. Тампон из пазухи удаляли на следующий день после операции.
В раннем послеоперационном периоде всем больным проводили антибактериальную, противовоспалительную терапию. Местно назначали полоскания полости рта антисептическими растворами, чередующимися с настоем ромашки по 4-5 раз в день в течение 2 нед после оперативного вмешательства, полость носа обрабатывали инструментально с промыванием верхнечелюстного синуса через ранее созданное соустье.
Для контроля состояния верхнечелюстного синуса и полноты удаления пломбировочного материала из полости пазухи в послеоперационном периоде проводили МСКТ-исследование.
Результаты и обсуждение
Во всех проанализированных клинических случаях мы подтвердили наличие пломбировочного материала, который являлся причиной воспалительного процесса в синусе. У одной пациентки инородный материал находился в правой пазухе, в четырех случаях - в левой. Ранее леченными зубами («причинные зубы») были премоляры (3) и моляры (2) верхней челюсти.
Нами было установлено, что степень выраженности воспалительной реакции и изменение слизистой оболочки пазухи зависят от длительности пребывания инородного тела (от 6 до 12 мес, в среднем 9 мес).
Чем дольше пломбировочный материал находился в пазухе и поддерживал очаг хронического воспаления, тем выраженнее были изменения слизистой оболочки, от отека (в 2 наблюдениях) до резко выраженных полипозных изменений (в 3 случаях).
Изменения слизистой оболочки, обнаруженные при выполнении операций на пазухах, были сходны с изменениями слизистой оболочки, представленными при МСКТ-исследовании, и были подтверждены гистологическим заключением.
Локализация пломбировочного материала в полости синусов соответствовала ранее леченным по эндодонтическим показаниям зубам. Миграции пломбировочного материала в синусах не было выявлено ни в одном клиническом случае.
В представленных клинических наблюдениях локализация пломбировочного материала соответствовала первым и вторым премолярам, первым молярам верхней челюсти справа и слева.
При выполнении хирургического вмешательства у всех больных из синусов было получено гнойное отделяемое в количестве от 2 до 5 мл (в среднем 3 мл). Большее количество гноя нами было получено при вмешательстве на синусах в более ранние сроки.
Ощущение слабой болезненности при пальпации мягких тканей в послеоперационной области, а также выраженный послеоперационный отек сохранялись в сроки от 2 и до 4 сут (в среднем 3 сут). У всех больных заживление послеоперационной раны проходило первичным натяжением. Швы снимали на 10-е сутки, все больные отмечали улучшение носового дыхания, отсутствие чувства тяжести в области носа.
Нами выявлено, что на сроках наблюдения до 1 нед сохранялся отек мягких тканей в щечной области и области носогубной складки соответствующей стороны, слабая болезненность, появляющаяся в вечернее время у всех пациентов: носовое дыхание незначительно затруднено у 2 пациентов; в полости рта слизистая оболочка в послеоперационной области отечна у 4 пациентов. При сроке наблюдения до 1 мес мягкие ткани в области носогубной складки слабо отечны в 1 случае, носовое дыхание незначительно затруднено - в 1 случае; в полости рта определяются умеренные рубцовые изменения слизистой в области операционного доступа в 4 случаях. При сроке наблюдения 3 мес у всех наблюдаемых больных видимых явлений воспаления нет, носовое дыхание свободное.
Приводим клинический случай.
Пациентка П., 54 лет, обратилась в клинику с жалобами на чувство заложенности левой половины носа, дискомфорт в лобной и подглазничной областях слева, головные боли. Считает себя больной в течение года. Вышеперечисленные жалобы появились после проведенного эндодонтического лечения. Пациентка обратилась в одну из ЛОР-клиник Москвы, где был поставлен диагноз: хронический левосторонний гайморит. Инородное тело в левой верхнечелюстной пазухе. Больная была госпитализирована в ЛОР-отделение, где ей была проведена операция «левосторонняя эндоскопическая синусотомия». Полученный в результате операции морфологический материал был отправлен на гистологическое исследование, по результатам которого было заподозрено злокачественное образование левого верхнечелюстного синуса и предложен курс лучевой терапии в качестве первого этапа комбинированного лечения. От предложенного лечения пациентка отказалась. Для установления диагноза самостоятельно обратилась в МГМСУ им. А.И. Евдокимова. Для уточнения диагноза нами было проведено МСКТ-исследование.
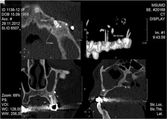
При анализе МСКТ-исследования на уровне верхушки щечного корня зуба 25 в мягких тканях, прилегая к вестибулярной кортикальной пластинке челюсти, было обнаружено скопление пломбировочного материала диаметром около 2,5 мм и аналогичное скопление диаметром

5 мм, на 3,8 мм кзади от вышеописанного. Кроме того, у верхушки небного корня зуба 25 внутрикостно визуализируется скопление пломбировочного материала общим размером 4,9×2,2×3,2 мм (рис. 1). Рисунок 1. Больная П. МСК-томограмма верхней челюсти в саггитальной, коронарной и боковой проекциях. В левой ВЧП визуализируется пломбировочный материал, выведенный за верхушку корня при лечении 25-го зуба. Фрагменты пломбировочного материала в левой ВЧП.

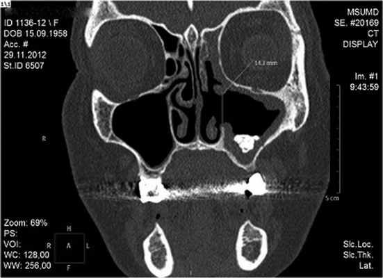
На основании жалоб пациентки на чувство заложенности левой половины носа, дискомфорт в лобной и подглазничной областях слева, внешнего осмотра (незначительный отек щечной области слева, слабо болезненная пальпация подглазничной и щечной областей слева), а также дополнительных методов исследования (ОПТГ, МСКТ-исследование) поставлен диагноз: хронический одонтогенный верхнечелюстной синусит слева. Инородное тело в верхнечелюстной пазухе слева. Состояние после ранее проведенной эндоскопической левосторонней гайморотомии. Больной было проведено оперативное вмешательство в объеме повторной гайморотомии по Колдуэллу-Люку с забором содержимого пазухи. Во время операции из пазухи были удалены полипозно измененная слизистая оболочка, мелкие частицы пломбировочного материала, а также основной фрагмент размером 2×4 мм (рис. 2). Рисунок 2. Та же больная. МСК-томограмма в коронарной проекции до операции. Объем левой ВЧП уменьшен за счет воспалительной гипертрофии слизистой оболочки, стенки пазухи утолщены, склерозированы. Присутствует послеоперационный дефект верхних отделов медиальной стенки в левой ВЧП. Определяется скопление пломбировочного материала. Проведено гистологическое исследование, по данным которого обнаружены мелкие полиповидные кусочки слизистой, выстланные местами эпителием типа респираторного, местами - плоским, местами эпителий слущен, в подлежащих слоях - фиброзная ткань с хронической выраженной воспалительной инфильтрацией, с преобладанием лимфоцитов. Морфологическая картина хронического полипозного синусита.

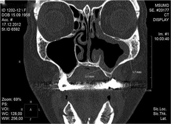
Через 10 дней после вмешательства у данной больной нами выполнено контрольное МСКТ-исследование средней зоны лица (рис. 3), Рисунок 3. Та же больная. МСК-томограмма в коронарной проекции через 2 нед после операции. По передней стенке левой ВЧП определяется послеоперационный костный дефект с четкими, ровными контурами. По всем стенкам левой гайморовой пазухи присутствует мягкотканный компонент(послеоперационные изменения), инородные тела отсутствуют. которое подтвердило полное удаление пломбировочного материала из верхнечелюстного синуса слева. Определяли признаки воспаления слизистой оболочки в прооперированной пазухе, являющиеся местной реакцией на проведенное вмешательство. Пациентка в срок наблюдения до 3 мес жалоб не предъявляла.
Таким образом, несвоевременная диагностика острых синуситов, поздняя обращаемость больных, дифференциально-диагностические ошибки в распознавании риногенных и одонтогенных форм, неправильная тактика ведения больных приводят к хронизации заболевания, сопровождающейся в дальнейшем развитием различного рода осложнений [4, 6].
Проблема одонтогенных заболеваний верхнечелюстного синуса имеет длительную историю, вопросы диагностики и лечения постоянно совершенствуются. Одной из главных причин попадания инородных тел в верхнечелюстную пазуху является близкое расположение корней больших, а в некоторых случаях и малых коренных зубов к дну синуса [2, 3]. Достаточно часто околокорневые патологические процессы дополнительно способствуют разрушению дна гайморовой пазухи, и следовательно, проталкиванию в синус корня зуба пломбировочного материала или другого тела в процессе лечения.
Согласно нашим наблюдениям, структура, количество и длительность попадающих в пазуху пломбировочных материалов влияют на выраженность воспалительного процесса в ней [3, 6].
Методы лечения таких состояний известны и широко применяются - от радикальной методики по Колдуэллу-Люку до малоинвазивных эндоскопических методов. Однако, как показывают наши наблюдения, при латеральном расположении инородного тела в верхнечелюстной пазухе становится достаточно затруднительно визуализировать пломбировочный материал при выполнении эндоназальной методики с использованием стандартных эндоскопов.
В данных клинических ситуациях с латерально расположенными инородными телами целесообразно использовать модифицированный метод операции по Колдуэллу-Люку для гарантированного удаления инородных тел.
Выводы
1. Проведение МСКТ-исследования средней зоны лица позволяет подтвердить одонтогенный характер развившегося синусита, точно определить размеры, структуру и локализацию пломбировочного материала для выбора доступа и методики оперативного вмешательства.
2. В случае локализации инородного тела в латеральном отделе верхнечелюстного синуса наиболее адекватный хирургический доступ для гарантированного удаления инородных тел обеспечивает операция Колдуэлла-Люка.
Одонтогенный верхнечелюстной синусит
Синусит возникает как осложнение после самого обыкновенного насморка, гриппа и других инфекционных заболеваний, лечение синуситов выполняют лор-врачи и терапевты.

Синусит — воспалительное заболевание слизистой оболочки одной или нескольких носовых пазух. Например, известный всем «гайморит» — это и есть синусит гайморовых пазух. Синусит возникает как осложнение после насморка, гриппа и других инфекционных заболеваний, лечение синуситов выполняют и терапевты.
Достаточно часто (50–60% случаев) синусит может иметь иное происхождение: он вызван не вирусной инфекцией или ОРЗ, а стал осложнением кариеса зубов верхней челюсти и по другим стоматологическим причинам. Это так называемый одонтогенный верхнечелюстной синусит (гайморит), лечение которого относится к области стоматологии и давно и успешно выполняется специалистами Центра хирургии и имплантологии (Москва).
Гайморит — это воспаление слизистой оболочки гайморовой пазухи, возникшее воспалительного процесса в одном из жевательных зубов верхней челюсти или инфекции, проникшей в гайморову пазуху после удаления зуба. Синусит требует обязательного лечения в условиях клиники, которое проводится совместно и . Одонтогенный синусит (гайморит) встречается у взрослых в возрасте 30–50 лет и отличается тем, что не бывает двухсторонним, а возникает, как правило, только со стороны больного зуба.
В чем заключаются первичные причины возникновения одонтогенных синуситов?
- верхнечелюстной синусит вызван неправильной или недостаточной гигиеной полости рта;
- возникновение синуситов является следствием осложнения периодонтита или кариеса;
- синусит может вызвать воспаление кисты зуба;
- синуситы могут возникать особенности строения верхней челюсти и зубов (длинные корни) — следовательно, слишком тонкая костная перегородка между верхушкой корня зуба и слизистой оболочкой пазухи;
- попадание инородного тела.
Гайморит сопровождается заметными болезненными ощущениями и не может пройти со временем «сам собой», а требует грамотного комплексного лечения. При верхнечелюстных синуситах возникают определенные симптомы, указывающие на то, что необходимо серьезное лечение. Если присутствует один или несколько из них, то это может свидетельствовать об остром одонтогенном синусите и необходимо незамедлительное обращение к опытному специалисту:
- распирающая боль под глазом, которая распространяется на лоб, отдает в ухо;
- отечность лица на больной стороне;
- болезненность при надавливании в области гайморовой пазухи;
- повышение температуры тела, озноб;
- заложенность носа;
- снижение обоняния;
- неприятный запах при дыхании изо рта;
- усиление болей при постукивании по верхним зубам;
- общая слабость, тошнота;
- бессонница.
Последствия заболевания
Помните, что промедление с лечением может иметь опасные для жизни последствия:
- абсцесс десны;
- полипы;
- остеомиелит;
- распространение на другие пазухи;
- абсцессы и флегмоны в области глаза;
- рак слизистой пазухи;
- интоксикация организма с осложнением на внутренние органы: сердце, печень, почки и другие;
- менингит.
Диагностика верхнечелюстного синусита
Диагноз ставит отоларинголог на основе жалоб пациента, осмотра (риноскопии), а также по результатам:
- Рентгенографии, линейной, компьютерной или томографии, и ортопантомограммы (панорамного снимка) зубов.
- Общего анализа крови.
- Диагностической пункции. В лаборатории исследуют полученный материал, устанавливая инфекционный возбудитель болезни.
- исследование. Через прокол вводится эндоскоп, с помощью которого врач смотрит, что происходит внутри.
Лечение
Лечение синусита одонтогенного происхождения требует предварительной тщательной диагностики, всем необходимым для нее располагает наш Центр: компьютерная томография, рентген, пункционное исследование. Лечение гайморита хирургическое, выполняется с применением местной анестезии или, при необходимости и по решению врача, под общим наркозом. Центр хирургии и имплантологии (Москва) обладает специальной лицензией на лечение и проведение операций под общим наркозом, в том числе и лечение синуситов. Центр располагает собственным стационаром, оборудованном современными операционными и комфортными палатами для послеоперационного отдыха и восстановления после лечения. Современное медицинское, диагностическое и анестезиологическое оборудование, а также богатый опыт в лечении синусита и высокая квалификация врачей позволяют успешно проводить лечение при синуситах верхней челюсти одонтогенного происхождения любой сложности.
При одонтогенном верхнечелюстном гайморите лечение выполняется в несколько этапов: удаляет зуб, послуживший причиной возникновения заболевания. Затем приступает к лечению с помощью антибиотиков, антисептиков и ферментов.
В отсутствии лечения гайморита он может приобрести хроническую форму и периодически возобновлять болезненные ощущения, отечность, заложенность носа и другие вышеперечисленные симптомы. Хронический одонтогенный верхнечелюстной синусит может привести к еще более тяжелым осложнениям, которые потребуют оперативного вмешательства и более длительного лечения. Без своевременного и полноценного лечения синусита (гайморита) в хронической форме воспалительный процесс может распространиться на другие пазухи, надкостницу или кость верхней челюсти, а также на область глазницы. Чтобы предотвратить эти осложнения в лечении не ограничиваются удалением причинного зуба, поскольку воспаление распространяется на значительную поверхность гайморовой пазухи. Патологические изменения пазухи, спровоцированные синуситом, удаляют оперативным путем под общей анестезией.
ГБУЗ Земетчинская РБ

По вопросам оказания медицинской помощи в условиях пандемии COVID-19 обращаться по телефону :
ЗОЖ - статьи

Органы контроля
Против коррупции
ОДОНТОГЕННЫЙ СИНУСИТ: СИМПТОМЫ, ПРИЧИНЫ РАЗВИТИЯ, ЛЕЧЕНИЕ.
На сегодняшний день частой проблемой является заложенность носа, которая не всегда носит одинаковый характер. Все привыкли к тому, что заложенный нос сопровождает большинство простудных заболеваний, при этом внимание его лечению почти не уделяется, так как после выздоровления насморк проходит. К сожалению, в практике стоматологов хирургического профиля отмечается рост пациентов, у которых развитие гайморита связано с проблемами зубов.
Одонтогенным синуситом, или гайморитом, называют воспаление в верхнечелюстной пазухе. Развиваться это заболевание может по многим причинам. Одной из первых является осложнение кариозного процесса, и, вследствие этого, некачественное лечение корневых каналов зубов. Верхняя челюсть имеет специфические особенности строение в области боковых зубов, поэтому часто корни этих зубов могут находиться чрезвычайно близко к дну пазухи, а иногда и вовсе проникают в нее. Именно поэтому даже незначительная инфекция в этой области может стать пусковым фактором начала болезни.
Еще одной причиной развития может стать сложное удаление зубов. В этом случае может произойти проталкивание зуба или его части в просвет пазухи. Все чаще отмечается начало этой болезни не от зуба, а от имплантатов, которые устанавливаются при протезировании. Если не учесть анатомических особенностей, то возможно проникновение части импланта в пазуху.
Отличить одонтогенный синусит от других обычно не составляет затруднений. Для этого заболевания характерна заложенность носа только с одной стороны. В отличие от этого, при других формах болезни носовая полость заложена обычно с двух сторон. При остром течении гайморита часто отмечается головная боль, общая слабость. Появляется чувство тяжести и дискомфорта при наклонах головы.
Но чаще никаких симптомов не наблюдается. Это объясняется тем, что обычно заболевание переходит сразу в хроническую стадию. Проявляться синусит в таком случае будет только при обострении.
Возможно выявление хронического гайморита случайно, на приеме у врача. Помогает в этом проведение рентгенологического обследования. Именно благодаря различным рентгеновским снимкам при обычном плановом обследовании возможно поставить правильный диагноз.
Хоть заболевание и может не приносить беспокойства, относиться к нему все же стоит серьезно. Среди врачей принято считать гайморит предраковым состоянием, так как наличие хронического воспаление при воздействии других провоцирующих факторов может вызвать развитие более страшного и угрожающего жизни заболевания.
Лечение синусита может быть как консервативным, так и оперативным. Симптоматическое лечение проводят в тех случаях, когда слизистая оболочка пазухи не сильно изменена и не имеет разрастаний и полипов. Для этого могут использоваться различные капли и лекарственные препараты, которые назначаются врачом.
Одним из распространенных методов является проведение пункции пазухи. С помощью этой процедуры можно изучить состав содержимого в пазухе, а также промыть ее раствором с лекарственными препаратами.
Самым радикальным методом лечения является оперативное вмешательство, которое осуществляется строго в условиях больницы. Операция проводится под общим наркозом, при этом вскрывается пазуха, после чего все ее содержимое выскабливается с помощью специальных инструментов. Это лечение является травматичным, также после него возможно развитие осложнений, поэтому рекомендовано к нему прибегать только по строгим показаниям.
Читайте также:
