Окологлоточный абсцесс
Добавил пользователь Валентин П. Обновлено: 07.01.2026
Информацию из данного раздела нельзя использовать для самодиагностики и самолечения. В случае боли или иного обострения заболевания диагностические исследования должен назначать только лечащий врач. Для постановки диагноза и правильного назначения лечения следует обращаться к Вашему лечащему врачу.
Абсцесс: причины появления, симптомы, диагностика и способы лечения.
Определение
Абсцесс - это ограниченное скопление гноя, окруженное оболочкой (пиогенной капсулой).
Причины появления абсцессов
Абсцессы могут быть асептическими и септическими. Асептические абсцессы развиваются после подкожного введения некоторых раздражающих химических веществ (скипидара, керосина, хлоралгидрата, хлористого кальция), которые вызывают некроз тканей. При этом некротизированные ткани растворяются лейкоцитами с образованием гноя, не содержащего микробов. Септические абсцессы чаще всего формируются в результате внедрения в ткани микроорганизмов (стафилококков, стрептококков, кишечной палочки, синегнойной палочки и т.д.), вызывающих гнойное воспаление.
Инфекционные агенты (бактерии, грибы) могут проникать в организм экзогенно через поврежденный эпителий кожи или слизистые оболочки (входные ворота) или эндогенно (из очага инфекции в самом организме).
Открытые повреждения кожи, инородные тела, медицинские манипуляции (инъекции, блокады, пункции), гематомы, серомы, а также гнойно-воспалительные процессы в организме (сепсис, гнойный лимфаденит, гнойный лимфангит, гнойный тромбофлебит, фурункул, карбункул и др.) могут приводить к развитию абсцесса.
На месте внедрения инфекции и воспаления ткани отмирают, и формируется гнойная полость, вокруг которой на границе со здоровой тканью начинает образовываться пиогенная капсула. Эта капсула служит своеобразным биологическим барьером, препятствующим распространению инфекции по организму. Чем дольше существует абсцесс, тем толще становится пиогенная капсула.
По распространенности самым частым считается абсцесс кожи, подкожной жировой клетчатки и мышечной ткани, хотя возникнуть он может в любом органе и ткани.
При прогрессировании гнойного процесса повышается риск разрыва пиогенной капсулы, в результате чего инфекционный процесс распространяется за ее пределы.
Классификация абсцессов
По причине возникновения:
а) стафилококковые;
б) стрептококковые;
в) пневмококковые;
г) колибациллярные;
д) гонококковые;
е) анаэробные неспорообразующие;
ж) клостридиальные анаэробные;
з) смешанные;
и) грибковые и др.
По происхождению и путям проникновения инфекции:
- метастатические (гематогенные) абсцессы, возникающие из отдаленных гнойных очагов;
- контактные абсцессы, происходящие из близлежащих очагов воспаления;
- травматические абсцессы, являющиеся следствием открытых и проникающих повреждений;
- криптогенные абсцессы, происхождение которых и пути проникновения инфекции установить не представляется возможным.
- поверхностные (поражение кожи и подкожной клетчатки);
- глубокие (в органах и тканях):
- острые абсцессы;
- хронические абсцессы.
Симптомы абсцессов
В начальной стадии формирования поверхностного абсцесса определяется отграниченная болезненная припухлость, горячая на ощупь. Через 3-4 дня в центре появляется размягчение, кожа в центре инфильтрата становится более тонкой и темной, а границы абсцесса - более четкими. На 4-7 сутки абсцесс вскрывается и из него выходит гнойное содержимое. При этом болезненность воспаленного участка уменьшается.
Глубокие абсцессы могут формироваться на фоне пневмонии. Чаще всего абсцесс бывает одиночным и локализуется в одном сегменте легкого, реже наблюдаются большие абсцессы, которые захватывают сразу несколько сегментов. В начале заболевания больных беспокоит кашель, боль в грудной клетке, общая слабость, озноб, отсутствие аппетита, жажда. Температура может достигать высоких значений. После прорыва абсцесса в просвет бронха пациенты отмечают отхождение мокроты «полным ртом», симптомы интоксикации уменьшаются. При раннем прорыве и хорошем полном опорожнении гнойная полость может быстро уменьшиться и зажить рубцом. При плохом или недостаточном опорожнении воспаление не затихает, и возникают повторяющиеся обострения.

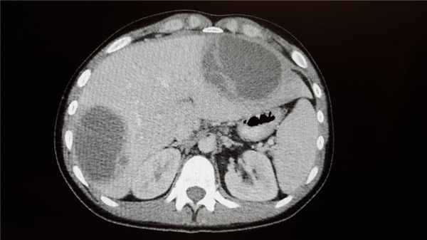
Абсцесс печени чаще всего возникает в результате распространения инфекции по сосудистому руслу из воспалительных очагов других органов или тканей брюшной полости (аппендицит, холангит, язвенный колит). Абсцессы могут быть одиночными или множественными. Для заболевания характерна высокая температура, озноб, боль и тяжесть в области печени, увеличение ее размеров.

Абсцесс в печени
Абсцесс головного мозга может сформироваться в результате проникновения инфекции из среднего или внутреннего уха, придаточных пазух носа, из гнойных очагов мягких тканей головы. Абсцессы могут быть одиночными или множественными. Заболевание начинается с интоксикации, симптомов повышения внутричерепного давления (головной боли, тошноты и рвоты, сонливости, недомогания, нарушения памяти, расстройства внимания, нарушения зрения). Затем присоединяются общемозговые (головокружение, психомоторное возбуждение, галлюцинации) и очаговые симптомы (неврологические симптомы, свойственные местному поражению определенных структур центральной или периферической нервной системы).

Внутримозговой абсцесс
Абсцессы брюшной полости встречаются в 30-35% у больных гнойным перитонитом. Обычно они располагаются в отлогих областях живота: подпеченочном, поддиафрагмальном пространстве, в подвздошных ямках и т.п. Клинике формирования абсцесса соответствует ухудшение состояния после небольшого светлого промежутка на фоне воспалительного заболевания брюшной полости (аппендицита, холецистита), наблюдается усиление интоксикации и боль в животе.
Внутрикостный абсцесс Броди – это отграниченный некроз губчатого вещества кости с преследующим расплавлением и образованием полости. Локализуется обычно в проксимальном отделе большеберцовой кости. Заболевание начинается с чувствительности к надавливанию. Нередко очаги ничем не проявляются, и боль носит эпизодический характер. Повышение температуры, озноб и другие симптомы интоксикации, как правило, отсутствуют, процесс может длиться годами.
Диагностика абсцессов
Диагностика поверхностного абсцесса не представляет трудностей. Диагноз устанавливается по совокупности жалоб и осмотра. Диагностика глубоких абсцессов может быть основана на результатах дополнительных лабораторных и инструментальных методов исследования.
- Клинический анализ крови: общий анализ, лейкоформула, СОЭ (с микроскопией мазка крови при наличии патологических сдвигов) покажет присутствие в организме воспалительного процесса.
Синонимы: Общий анализ крови, ОАК. Full blood count, FBC, Complete blood count (CBC) with differential white blood cell count (CBC with diff), Hemogram. Краткое описание исследования Клинический анализ крови: общий.
Окологлоточный абсцесс
ограниченное гнойное воспаление клетчатки окологлоточного пространства. Развивается преимущественно у взрослых. Возбудителями чаще являются стрептококки, представитель неклостридиальной анаэробной микрофлоры — веретенообразная палочка, кишечная палочка, золотистый стафилококк. В большинстве случаев О. а. является осложнением острого паратонзиллярного абсцесса (см. Ангина), реже — Мастоидита. Может возникнуть в результате прорыва гноя из абсцесса самой небной миндалины в паратонзиллярное, а затем и окологлоточное пространство. Иногда О. а. развивается при травме глотки или после тонзилэктомии.
Общее состояние больного тяжелое: температура тела повышается до 40—41°, отмечаются сильная боль в горле, иррадиирующая в yxo, дисфагия, тризм, резкая болезненность при попытках открыть рот и при движении головой. Может наблюдаться вынужденное положение головы с наклоном в сторону поражения. Иногда О. а. сопровождается отеком гортани с явлениями Ларингостеноза. Распространение процесса (рис.) по ходу сосудистого пучка шеи может обусловить развитие гнойного (чаще заднего) Медиастинита. Описаны случаи возникновения Людвига ангины (Людвига ангина), остеомиелита нижней челюсти и шейных позвонков. Заболевание может осложниться менингитом (Менингиты) и Сепсисом.
Диагноз устанавливают на основании клинической картины. В крови определяются лейкоцитоз (до 20 000 и выше), сдвиг лейкоцитарной формулы влево, повышенная СОЭ. При пальпации определяется болезненная припухлость сзади и книзу от угла нижней челюсти (угол нижней челюсти прощупать не удается), болезненность по ходу сосудистого пучка. При фарингоскопии (Фарингоскопия) на стороне поражения выявляется выпячивание боковой стенки глотки, миндалины и небных дужек.
Лечение оперативное, проводится в стационаре. Абсцесс вскрывают со стороны глотки (рассекают слизистую оболочку, тупым путем раздвигают волокна верхнего констриктора глотки) или с помощью наружного разреза. Операцию заканчивают дренированием окологлоточного пространства. В послеоперационном периоде назначают антибиотики широкого спектра действия, по показаниям (в случае некроза тканей с образованием газа в О. а.) вводят противогангренозную сыворотку.
Прогноз при условии своевременного вскрытия абсцесса и применения активной антибактериальной терапии в большинстве случаев благоприятный.
Библиогр.: Многотомное руководство по оториноларингологии, под ред. А.Г. Лихачева, т. 3, с. 327, М., 1963; Преображенский Б.С. и Попова Г.Н. Ангина, хронический тонзиллит и сопряженные с ним заболевания, с. 164, М., 1970; Шустер М.А., Чумаков Ф.И. и Калина В.О. Неотложная помощь в оториноларингологии, М., 1989.

мышца; 2 — ветвь нижней челюсти; 3 — жевательная мышца; 4 — околоушная железа; 5 — клетчатка окологлоточного пространства; 6 — длинные мышцы головы и шеи; 7 — околоминдаликовая клетчатка; 8 — небная миндалина; 9 — щечная мышца. Пути распространения инфекции указаны стрелками">
Схематическое изображение распространения инфекции при окологлоточном абсцессе (горизонтальный распил на уровне нижней трети головы): 1 — медиальная крыловидная мышца; 2 — ветвь нижней челюсти; 3 — жевательная мышца; 4 — околоушная железа; 5 — клетчатка окологлоточного пространства; 6 — длинные мышцы головы и шеи; 7 — околоминдаликовая клетчатка; 8 — небная миндалина; 9 — щечная мышца. Пути распространения инфекции указаны стрелками.
1. Малая медицинская энциклопедия. — М.: Медицинская энциклопедия. 1991—96 гг. 2. Первая медицинская помощь. — М.: Большая Российская Энциклопедия. 1994 г. 3. Энциклопедический словарь медицинских терминов. — М.: Советская энциклопедия. — 1982—1984 гг .
Окологлоточный абсцесс
Парафарингеальный абсцесс располагается глубоко в клетчатке шеи. Симптомокомплекс включает лихорадку, боль в горле, боль при глотании (одинофагия) и отек шеи, спускающийся до подъязычной кости. Диагноз ставится на основе КТ. Лечение заключается в антибактериальной терапии и хирургическом вскрытии абсцесса.
Парафарингеальное (фарингеальномаксиллярное) пространство располагается латерально от верхнего глоточного констриктора и медиально от крыловидной мышцы. Это пространство сообщается со всеми остальными крупными фасциальными пространствами шеи и разделяется на переднюю и заднюю часть шиловидным отростком. В заднем отделе располагается сонная артерия, внутренняя яремная вена и большое количество нервов. Инфекция в парафарингеальное пространство обычно попадает из небных миндалин и глотки, однако может иметь отогенный и лимфогенный характер.
Возникновение абсцесса может обтурировать дыхательные пути. Абсцесс, расположенный в заднем отделе парафарингеального пространства, может прорваться в сонную артерию или вызвать септический тромбофлебит внутренней яремной вены (синдром Лемьерра).
Симптомы и признаки парафарингеального абсцесса
У большинства пациентов с окологлоточным абсцессом имеется лихорадка, боль в горле, одинофагия и отек мягких тканей в области шеи до подъязычной кости.
Абсцесс переднего отдела парафарингеального пространства вызывает тризм и уплотнение по границе угла нижней челюсти, отмечается медиальное смещение небной миндалины и латеральной стенки глотки.
Абсцессы заднего отдела вызывают отек, который более выражен на задней стенке глотки. Тризм в таких случаях минимален. Абсцесс заднего отдела может вовлекать оболочку сонной артерии, может сопровождаться высокой лихорадкой, бактериемией, появлением неврологической симптоматики, а также массивными кровотечениями, вызванными повреждением сонной артерии.
Диагностика окологлоточного абсцесса
Компьютерная томография (КТ)
Окологлоточный абсцесс подозревают у пациентов с нечетко выраженной глубокой инфекцией шеи или другими типичными симптомами, а диагноз подтверждается с помощью КТ с контрастом.
Лечение окологлоточного абсцесса
Антибактериальные препараты широкого спектра действия (например, цефтриаксон, клиндамицин)
При лечении пациентов с парафарингеальным абсцессом может потребоваться контроль дыхательных путей. Обычно требуются парентеральное введение антибиотиков широкого спектра действия (например, ампициллин-сульбактама или клиндамицина) и хирургический дренаж. Задние абсцессы дренируют снаружи через подчелюстную ямку. Передние абсцессы часто могут быть дренированы через разрез в полости рта, хотя крупные абсцессы, выходящие за пределы окологлоточного пространства, могут также потребовать внешнего хирургического вмешательства. После вскрытия абсцесса нобходимо назначить курс специфической антибактериальной терапии парентерально, после чего продолжить прием антибиотиков 10–14 дней перорально. Иногда можно излечить небольшие абсцессы назначением инфузионной терапии с антибиотиками.
Авторское право © 2022 Merck & Co., Inc., Rahway, NJ, США и ее аффилированные лица. Все права сохранены.
Заглоточный абсцесс
Заглоточный абсцесс – это гнойное воспаление подкожно-жировой клетчатки, расположенной по задней стенке глотки. Появляется при травмах или инфекциях мягких тканей. Появляется сильным болевым синдромом, отказом от пищи, изменениями голоса, повышением температуры тела, увеличением региональных лимфоузлов. Чаще всего болеют дети до 4 лет, так как в этом возрасте жировая ткань более рыхлая и интенсивно пронизана лимфатическими сосудами. Высокая заболеваемость регистрируется у пациентов в возрасте от 2-12 месяцев.

Причины
Наиболее распространенная причина появления абсцесса – инфекция. Это может быть:
— гнойный отит,
— мастоидит,
— фарингит,
— ринит, синусит,
— тонзиллит.
Микроорганизмы с током жидкостей мигрируют в соседние ткани, вызывая воспалительные реакции в лимфатических узлах. Факторами риска являются:
- Снижение общего и местного иммунитета.
- Рахит.
- Диатез.
Абсцесс, может выступать как осложнение ОРВИ, гриппа, кори, скарлатины, дифтерии, а так же после удаления небных миндалин и аденоидов. У взрослых чаще всего причиной заболевания является травма или ожог глотки, тяжелое течение ангины, туберкулеза, сифилиса. Риск повышается при наличии сахарного диабета, злокачественных новообразований и ВИЧ.
Классификация
По локализации выделяют следующие виды заглоточных абсцессов:
- Эпифарингеальный (над небной занавеской).
- Мезофарингеальный (между корнем языка и небной занавеской).
- Гипофарингеальный (ниже корня языка).
- Смешанный.
Симптомы
Заболевание имеет острое начало:
- Температура тела выше 39 о С, лихорадка.
- Сильная интоксикация.
- Нарушение сна.
- Отказ от пищи, нарушение сосания.
- Боль в горле, усиливающаяся во время глотания, разговора.
- Нарушение носового дыхания, приступы удушья, одышка.
- Гнусавость, охриплость голоса, клокотание в горле.
- Воспаление регионарных лимфатических узлов (увеличение их в размерах, болезненность).
- Типичная поза (голова запрокинута назад и повернута в сторону абсцесса).
- Отек лица.
Распространение инфекции вниз по дыхательным путям приводит к:
— бронхопневмонии;
— застойной пневмонии.
Гематогенное передвижение бактерий способно вызвать абсцессы головного мозга и гнойный менингит. Кроме того, давление абсцесса на блуждающий нерв может привести к рефлекторной остановке сердца. Перекрытие просвета или отек слизистой гортани вызывает асфиксию, а самопроизвольное дренирование абсцесса вызывает истечение гноя в средостенье, бронхи, крупные артерии. Из-за расплавления стенок сосудов возможно кровотечение, тромбоз или флебит. Генерализация инфекции провоцирует сепсис.
Диагностика
Абсцесс диагностируется оториноларингологом на основании жалоб, данных опроса и проведенной фарингоскопии. Обращает на себя внимание вынужденное положение головы пациента, отек шеи и лица. Осмотр задней стенки глотки показывает шаровидное выпячивание, нарушающее симметричность зева. При пальпации абсцесс болезненный, горячий, имеется симптом флюктуации.
В клиническом анализе крови высокое содержание лейкоцитов, ускоренное СОЭ. У пациента берется мазок из зева для выявления возбудителя и проверки его на чувствительность к антибиотикам. Помимо этого, врач старается выяснить первичную причину инфекции. Для этого проводят отоскопию, риноскопию, УЗИ и рентгенографию.
Лечение
Абсцесс вскрывают и дренируют. Полость его промывают растворами антисептиков и антибиотиков, швы на рану не накладывают (она заживает за счет вторичного натяжения). Если гной скопился ниже угла нижней челюсти, то вскрытие проводят со стороны кожи, а не слизистой. При нарушении дыхания показано: крикотомия и оксигенотерапии, интубировать пациента ни в коем случае нельзя.
Абсцесс у взрослых: симптомы, причины и лечение

Абсцесс представляет собой скопление гнойного содержимого в различных тканях. Гнойное воспаление, как правило, вызвано бактериальной инфекцией. При этом в процессе расплавления тканей образуется полость. Возникновение абсцесса обусловлено попаданием в ткани бактерий извне – через ссадины и повреждения или из других зараженных тканей и органов. Это заболевание отличается от других схожих заболеваний образованием капсулы, препятствующей распространению воспаления.
По месту расположения гноя выделяют поверхностные скопления в подкожно-жировой области и глубокие внутри органов и глубоких тканей. В зависимости от способа проникновения патогенных микроорганизмов бывают экзогенные скопления (из внешней среды) и эндогенные (миграция внутри организма одного человека).
Симптомы и признаки
Вне зависимости от расположения гнойного скопления симптомы абсцесса едины:
- интоксикация – повышенная температура, озноб, слабость, недомогание, тошнота, рвота, плохой аппетит, боли в мышцах и суставах, головные боли;
- поверхностное расположение – покраснение и отек кожного покрова непосредственно над местом скопления, боли при пальпации или во время движения;
- нарушение функционирования поврежденного органа или соответствующих тканей.
Хронический абсцесс не имеет симптомов острого воспалительного процесса. Глубоко расположенные скопления имеют только общие признаки интоксикации и выявляются инструментальной диагностикой. Наиболее часто встречающиеся расположения абсцесса:
- внутри костей – основным признаком является боль от физических нагрузок или при смене погоды;
- абсцесс легкого проявляется одышкой и слабым дыханием. Абсцесс легкого часто путают с пневмонией;
- в брюшной полости и печени сопровождается признаками любого заболевания данного органа;
- в головном мозге вызывает судороги и нарушение координации;
- абсцесс железы предстательной вызывает боль при мочеиспусканиях;
- абсцесс горла вызывает кашлевые спазмы и боль;
- абсцесс бартолиновой железы и другие.
Холодный протекает без признаков интоксикации и появляется при иммунодефицитах. Натечный исключает наличие воспалительного процесса в тканях. Острый абсцесс имеет более ярко выраженную симптоматику в сравнении с иными формами.
Причины возникновения и развития
Основная причина абсцесса – это попавшая в ткани из окружающего мира бактериальная инфекция. Бактерии проникают в организм по причине микротравм, нарушающих целостность кожи. К таким травмам можно отнести порезы и мелкие ссадины/царапины/повреждения, полученные в процессе бритья или стрижки волос, маникюре или педикюре и прочие. В то же время в случае попадания грязи или мелких частиц в виде занозы увеличивают вероятность образования гнойного скопления.
Возникновение скопления гноя может происходить по прочим причинам абсцесса:
- миграция инфекции от первичного очага заражения;
- нагноившиеся гематомы и кисты;
- хирургические манипуляции – нарушение санитарных правил в виде нестерильных приборов;
- нарушения при введении лекарственных средств и препаратов, например, нарушение концентрации при прививках.
Дальнейшее развитие абсцесс получает под воздействием сниженного иммунитета или нарушения кровообращения в области абсцесса.
Формы заболевания и пути заражения
Абсцесс может быть самостоятельной болезнью, но в подавляющем большинстве случаев выступает в форме осложнения какого-либо основного заболевания, например, гнойная ангина вызывает паратонзиллярный абсцесс. Патогенные микроорганизмы имеют массу способов проникнуть внутрь – через повреждения кожных покров в результате травм и порезов, из других органов и тканей, зараженных ранее, через нестерильную аппаратуру при хирургических процедурах и другие.
Формы заболевания классифицируются по локализации гнойного накопления:
- заглоточный абсцесс;
- окологлоточный;
- паратонзиллярный абсцесс;
- поддиафрагмальный;
- мягких тканей;
- пародонтальный;
- аппендикулярный и другие.
Осложнения
В случае отсутствия своевременного и адекватного лечения осложнения абсцессов очень опасны для жизни и здоровья больного:
- флегмона;
- неврит;
- остеомелит;
- внутреннее кровотечение стенок сосудов;
- перитонит,
- сепсис как результат гнойного абсцесса аппендикулярной области;
- гнойный менингит и другие.
Обращение в клинику
Гнойное скопление чревато опасными последствиями, поэтому при появлении малейших признаков наличия скопления гноя в тканях или органах необходимо срочно обращаться к врачу. Идеальным выходом станет вызвать карету скорой помощи.
В центре Москвы в АО «Медицина» (клиника академика Ройтберга) вам окажут необходимую помощь в лечении. Кроме того, АО «Медицина» (клиника академика Ройтберга) имеет возможность размещения пациентов в круглосуточном стационаре и обладает функцией вызова врача на дом в круглосуточном режиме.
Диагностика
Гнойные скопления, располагающиеся у поверхности кожных покровов, легко диагностируются при внешнем осмотре по характерным признакам. Абсцесс горла выявляется при осмотре отоларингологом.
Диагностика абсцесса, расположенного глубоко внутри, требует проведения специальных лабораторных и инструментальных исследований:
- биохимический анализ крови покажет воспалительный процесс в организме повышенным содержанием лейкоцитов и СОЭ, а также сдвигами белковых фракций;
- рентгенография используется для обнаружения поддиафрагмальных, внутрикостных и легочных скоплений;
- УЗИ направлено на выявление скоплений в брюшной полости и печени;
- компьютерная томография, как вспомогательный метод, обнаруживает гнойные накопления в головном мозге, легких и печени, поддиафрагмальной области и внутри костей и суставов;
- энцефалография различных форм (эхо-, электро-, пневмо-) направлена на исследование головного мозга;
- лапароскопия и ангигепатография применяются как вспомогательный метод для исследования печени;
- пункция абсцесса и посев ее содержимого производится для определения конкретного типа возбудителя и его чувствительности к определенным антибактериальным препаратам.
Чаще всего гнойные скопления бывают вызваны стрептококками, стафилококками в сочетании с разного рода палочками, но сейчас получают распространение и прочие аэробные и анаэробные бактерии.
Лечение
Залог успеха лечения абсцесса заключается в его своевременном обнаружении. Именно поэтому так важно при наличии любых симптомов незамедлительно обращаться к врачу.
- только поверхностно расположенные гнойные накопления можно лечить в домашних условиях под наблюдением врача. Все остальные случаи требуют госпитализации в стационар;
- вскрытие и дренирование области гнойного скопления проводится врачом хирургом, оно необходимо для удаления абсцесса;
- лекарственная терапия основывается на приеме следующих препаратов: антибактериальные средства, жаропонижающие, обезболивающие, препараты на снижение интоксикации, витаминные комплексы, иммуномодуляторы и прочие;
- сбалансированное питание, щадящий постельный или полупостельный режим, а также покой;
- лечебная физкультура, физиотерапия и санаторно-курортное лечение возможны в качестве мер реабилитации на этапе выздоровления.
В качестве вспомогательных средств при лечении подкожно-жирового нагноения применяются специальные мази.
Гнойные скопления в легких первоначально лечатся антибиотиками широкого спектра воздействия, а после получения результатов исследований посева питательной среды проводится коррекция принимаемых медикаментов. В тяжелых случаях возможно проведение бронхоальвеолярного лаважа. В случае отсутствия положительного эффекта классической терапии вынуждено проводится операция абсцесса для удаления пораженной части органа.
Лечение гнойных накоплений в головном мозге проводится хирургическими методами. Противопоказания для удаления скоплений, а именно расположение в глубинных отделах мозга, вынуждает проводить промывание гнойного содержания путем пункции. Лечение гнойных скоплений в домашних условиях средствами народной медицины недопустимо.
Профилактика
Профилактика абсцесса основана на следующих рекомендациях:
- своевременность первичной обработки ран и травм;
- санация очагов инфекции;
- укрепление иммунитета;
- тщательное соблюдение антисептических и асептических мер при хирургических манипуляциях, повреждающих кожные покровы.
Как записаться
Читайте также:
