Операция при остеомиелите челюсти. Консервативное лечение остеомиелита челюсти
Добавил пользователь Евгений Кузнецов Обновлено: 18.12.2025
Операция при остеомиелите челюсти. Консервативное лечение остеомиелита челюсти
При возникновении острого остеомиелита необходимо удалить зуб с гангренозной девитализированной пульпой или же корни, находящиеся в области воспаленной костной ткани.
Если процесс начался от нагноившейся радикулярной или фолликулярной кисты, то нужно хорошо дренировать полость кисты. Гнойники необходимо немедленно вскрыть. Длительное дренирование полости гнойника ле рекомендуется, так как тампон может способствовать некрозу костной ткани. При вскрытии небольших абсцессов в полость их не вводят тампонов, пропитанных йодоформом.
В случае диффузного процесса в области нижней челюсти при сопутствующей лихорадке производят вскрытие нижнечелюстного канала. Трепанацию выполняют борами, которыми через компактную кость просверливают ходы в губчатой ткани. Начав просверливание хирургическим бором меньшего размера, ходы расширяют борами больших размеров (до 3 мм). В случае остеомиелита в области подбородка кость трепанируют со стороны преддверия полости рта под верхушками корней, чтобы предупредить повреждение этих корней, а также сосудов и нервов, идущих к верхушкам.
Каждый зуб со здоровой пульпой, даже в том случае, если наблюдается его подвижность, сохраняют и фиксируют при помощи шин. Наложение шин с межчелюстной лигатурой (по необходимости) преследует цель не только сохранить зубы, но и при распространении процесса на тело нижней челюсти — фиксировать фрагменты челюсти во избежание самопроизвольного перелома.
Согласно Вассмунду, удаление подвижных зубов со здоровой пульпой не приводит к ускорению процесса выздоровления. Если подвижность зубов велика, это значит, что в теле нижней челюсти имеются уже такие изменения, на которые нельзя повлиять удалением зубов. Если сохраняют зубы и накладывают на них шины, когда большая часть костной ткани альвеолярного отростка омертвела, но надкостница, покрывающая альвеолярный отросток, в большей своей части осталась живой, то через полгода надкостница образует новую кость, и зубы укрепятся. С этими явлениями встречаются при процессах в области нижней челюсти.

Кроме хирургического вмешательства существенную роль играет также направленное дозирование антибиотиков. Аксхаузен считает, что пенициллин является прекрасным средством при остром остеомиелите. Согласно опыту Уллика, введением большой дозы пенициллина в начальной стадии можно решительно повлиять на развитие процесса. По мнению того же Уллика, с момента появления гнойников в мягких тканях возможность влияния антибиотиками снижается. В зависимости от вирулентности бактерий и от сопротивляемости больного в данный момент процесс может развиваться по-разному. По мнению большинства авторов, сульфонамидные препараты на процесс не влияют. В случае штаммов, резистентных к пенициллину, некоторые авторы рекомендуют применять хлоромицетин. Некоторые авторы добились хороших результатов, применяя стрептомицин в хронической стадии.
Секвестры, образовавшиеся вдоль альвеолярного отростка, не следует удалять операционным путем, а нужно подождать, когда произойдет их самопроизвольное отторжение, даже в том случае, если из-за выжидательной тактики выздоровление затянется. В области альвеолярного отростка нежелательно производить секвестротомию. при этом можно повредить сосуды и нервы, идущие к здоровым зубам.
Секвестр удаляют хирургическим путем, если он образуется в такой области альвеолярного отростка, где нет зубов, и рентгеновский снимок показывает, что по краям нижней челюсти имеется здоровая костная ткань соответствующей толщины.
При распространении процесса на тело нижней челюсти удаление секвестра показано только в том случае, если на рентгеновском снимке вокруг секвестра видно образование секвестральной капсулы с контрастной структурой. Таким образом создается условие, обеспечивающее целостность кости во время секвестротомии.
Если процесс распространяется на тело нижней челюсти и на сохраняемые зубы не наложили шины, а секвестротомию произвели раньше времени, то может произойти патологический перелом со смещением отломков и деформацией лица.
Подобно флегмоне зубного происхождения, диффузный некротический остеомиелит — в результате повышения стоматологической клинической культуры — в настоящее время встречается редко.
Информация на сайте подлежит консультации лечащим врачом и не заменяет очной консультации с ним.
См. подробнее в пользовательском соглашении.
Хронический околоверхушечный абсцесс. Остит околоверхушечной области зуба
Если зуб с омертвевшей пульпой (от верхнего центрального резца до верхнего второго малого коренного зуба, а также от нижнего центрального резца до нижнего клыка) сохранить путем ампутации корня нельзя, то такой зуб удаляют.
Если процесс начинается как от верхних, так и от нижних больших коренных зубов, а также нижних малых коренных зубов, то речь может идти только об удалении зуба.
В области очага околоверхушечного рассасывающегося остеомиелита в случае удаления корня выдалбливанием и вскрытия путем образования обычного лоскута после удаления лицевой стенки лунки производят кюретаж. Из хода свища патологическую грануляционную ткань также удаляют путем кюретажа. Дренирование полости костной раны осуществляют турундой, пропитанной йодоформом. Конец турунды выводят через свищевой ход на поверхность кожи. Затем рану на слизистой оболочке сшивают узловатыми швами.
Если зубы, начиная от верхнего центрального резца до верхнего второго малого коренного зуба и от нижнего центрального резца до нижнего клыка, прочно фиксированы и для ампутации верхушки имеются и другие условия, то после предварительно произведенного пломбирования корня и образования лоскута, выполненного при помощи разреза вдоль десны и вспомогательного вертикального разреза, ампутируют верхушку корня. Околоверхушечную область и ход свища обрабатывают путем кюретажа. Костную полость дренируют вышеописанным способом, а на рану в полости рта накладывают узловатые швы.

Остит околоверхушечной области зуба
Для этого хронического рассасывающегося воспаления костной ткани характерно, что в зону рассасывания костной ткани попадает не только вершина корня зуба с омертвевшей пульпой, но и верхушка одного или другого или же двух соседних здоровых зубов. В случае нижних центральных зубов из-за наклона их корней в сторону средней линии даже при относительно небольшом распространении процесса подобные явления могут наблюдаться особенно часто. Современный уровень знаний и — соответственно этому — практические результаты подтверждают, что в случае диффузного околоверхушечного остита после лечения зуба с инфицированной пульпой и правильно выполненного пломбирования корня примерно за один год наступает стойкое излечение.
Если процесс сопровождается образованием свища на коже, то маловероятно, чтобы больной продолжительное время надеялся на излечение без врачебного вмешательства. Поэтому в данном случае необходимо прибегнуть к хирургическому лечению. Если зуб, вызвавший процесс, фиксирован, то перед операцией его корень пломбируют. Кроме этого депульпируют и производят пломбирование корней соседних зубов, попадающих в область рассасывания.
По рентгеновскому снимку здоровых зубов, находящихся на медиальной и дистальной границе зоны рассасывания, можно судить, верхушка какого соседнего здорового зуба попадает в эту зону. Операцию начинают разрезом вдоль края десны, дополненным вертикальным всполюгательным разрезом и образованием лоскута. Лицевая стенка лунки на высоте верхушки корня, т.е. на участке свища, может частично отсутствовать.
Увеличив хирургической фрезой имеющееся в кости отверстие, также при помощи фрезы ампутируют попадающие в полость верхушки корней. Затем производят кюретаж, удаляя патологичную костную ткань. Путем кюретажа стараются удалить из свищевого хода грануляционную ткань. При кровотечении из кости в полость помещают марлевую полоску, смоченную йодоформом. Затем ее конец через только что обработанный свищевой ход выводят на поверхность кожи. Рану зашивают узловатыми швами. Пропитанную йодоформом марлевую турунду после дренирования или же в случае необходимости — тампон частично удаляют на третий день после операции. Удаление тампона заканчивают на пятый день. Швы слизистой оболочки снимают на седьмой день. Ход свища на коже на седьмой-восьмой день закрывается, и больного можно считать здоровым и работоспособным.
Признаки хронического остеомиелита челюсти. Диффузный остеомиелит челюсти
Согласно опыту Аксхаузена и Уллика, большая доза антибиотика/введенная в начальной стадии, когда доминирует отечность, не только препятствует прогрессированию воспалительного процесса, но и может полностью ликвидировать его.
С точки зрения диагностики очень важно знать, что в первые недели острой стадии некротического остеомиелита изменения в структуре костной ткани на рентгеновском снимке еще не наблюдаются.
Температура, боль, отечность постепенно уменьшаются, образуются новые гнойники подострого или хронического характера. Вслед за гнойниками в слизистой оболочке и коже образуются свищевые ходы, окруженные обильной грануляционной тканью. Подвижность зубов в воспаленной области большая. На третьей-четвертой неделях в центре гнойного очага ввиду резорбции и сложной ферментативной деятельности наступает декальцинация. Неравномерное снижение содержания солей кальция в пораженной костной ткани на рентгеновском снимке дает «мраморный» рисунок, характерный для подострой стадии.
Начиная со второго месяца на повторно сделанном рентгеновском снимке видна постепенно образующаяся область затемнения в костной ткани (секвестр). Определяются неровные, зазубренные края в области затемнения. Секвестр (или секвестры) от здоровой костной ткани отделяет явно выраженный демаркационный вал. В области, соответствующей ему, костной ткани уже нет; она заполнена вялой грануляционной тканью. В секвестрационный период, характерный для хронической стадии некротического остеомиелита, вокруг секвестра вскоре начинает образовываться регенерирующая костная ткань, вначале дающая на рентгенограмме нежную тень. Последний восстановительный процесс наблюдается чаще на нижней челюсти.
В случае процесса, распространившегося на альвеолярные сегменты нескольких зубов, и особенно — на тело нижней челюсти, кроме повторного внутриротового рентгеновского снимка необходимо также сделать внеротовые снимки.

Диффузный остеомиелит челюсти
Воспалительные процессы, описанные в предыдущем разделе, наблюдаются чаще при поражении челюстей. Диффузный остеомиелит может сопровождаться целым рядом осложнений. Ниже приводится их краткий перечень.
Могут образовываться распространенные инфильтраты с абсцедированием. Если диффузный процесс протекает в области подбородка, то он может распространиться в подъязычную и в подбородочную области.
Диффузный процесс в области тела нижней челюсти может сопровождаться инфильтратами или абсцессами в подъязычной, в подчелюстной и в щечной областях.
В случае, если процесс распространяется также на ветвь нижней челюсти, возможна инфильтрация крыло-челюстного, окологлоточного пространств и позадичелюстной области. В этих отделах может образоваться флегмона. В случае околонижнечелюстной флегмоны может возникнуть септический тромбофлебит. Через вены альвеолы нижней челюсти, крыловидное венозное сплетение, глазничные вены воспалительный процесс может вызвать ретробульбарный абсцесс и далее распространиться в кавернозный синус, возможен менингит и даже смертельный исход.
Диффузный остеомиелит верхней челюсти может сопровождаться гнойным синуситом или инфильтратом и абсцессом щеки. В результате этого процесса вследствие септического тромбофлебита передней лицевой вены, затем — септического тромбоза угловой верхней глазной вены и пещеристого синуса может также возникнуть менингит.
В результате септического тромбофлебита, возникшего в связи с диффузным остеомиелетом челюстей, из-за возможной эмболии может образоваться отек легких. В различных частях тела могут образовываться подкожные, мышечные и суставные абсцессы, а метастатический остеомиелит может возникнуть и в других костях.
Остеомиелит челюсти - симптомы и лечение
Что такое остеомиелит челюсти? Причины возникновения, диагностику и методы лечения разберем в статье доктора Дунаевской Натальи Вадимовны, стоматолога-ортопеда со стажем в 16 лет.
Над статьей доктора Дунаевской Натальи Вадимовны работали литературный редактор Вера Васина , научный редактор Пётр Козлов и шеф-редактор Маргарита Тихонова
Определение болезни. Причины заболевания
Остеомиелит челюсти (osteomyelitis of the jaws) — это гнойно-некротический процесс, который развивается в кости и костном мозге челюсти с вовлечением окружающих мягких тканей. Другое название заболевания — «некроз челюсти».
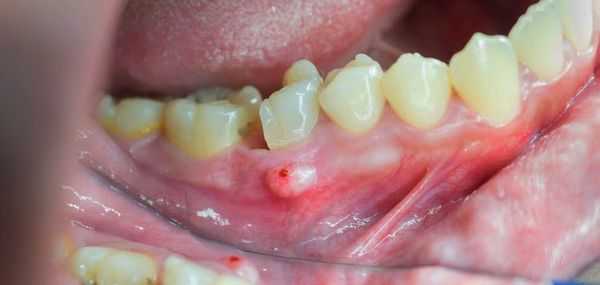
При острой форме остеомиелита в области повреждённого зуба возникает боль, которая усиливается при надавливании на челюсть. Наблюдается выраженный отёк, покраснение и припухлость, лицо становится несимметричным. Пациент жалуется на головные боли и общую слабость, температура тела повышается до 39 °C.
![Остеомилеит челюсти [19]](/pimg3/operatsiya-pri-osteomielite-4424.jpg)
Распространённость
Острым и хроническим остеомиелитом болеют люди всех возрастов и обоих полов. Однако чаще заболевание встречается у мужчин, потому что они, как правило, несвоевременно обращаются за медицинской помощью [8] . Средний возраст пациентов составляет 39 лет [7] .
Выделяют следующие виды остеомиелита челюсти:
- Одонтогенные — развиваются из-за инфекции в зубе и составляют 74,2 % от всех случаев остеомиелита [18] .
- Травматические — возникают после травмы, например при переломе челюсти. Зачастую заболевание развивается, когда пациент обращается в больницу только на 7–10-й день после повреждения [5] .
- Гематогенные — инфекция попадает с током крови из какого-либо органа. Встречаются при хронических и острых инфекциях: скарлатине, дифтерии и хроническом тонзиллите.
Согласно статистике, 15 % больных остеомиелитом поступают в отделение в состоянии алкогольного опьянения и при опросе указывают на частый приём алкогольных напитков, 13 % сейчас или в прошлом употребляли наркотики, следовательно страдают иммунодефицитами.
У 45,7 % больных остеомиелитом, поступивших в стационар, выявлено обострение хронического процесса и нагноение мягких тканей, из которых 47,6 % случаев составляют флегмоны, а 52,4 % — абсцессы.
У 13 % пациентов с остеомиелитом челюсти выявляются гепатиты В и С, а у 2 % — ВИЧ-инфекция [5] .
Причины остеомиелита челюсти
- Позднее обращение к стоматологу — зуб долго болел, но дискомфорт подавлялся домашними методами лечения, например полосканиями с содой и солью.
- Хронические инфекционные и вирусные болезни: тонзиллит, синусит, гайморит и ангина.
- Инъекции или переливание крови, при которых инфекция может попасть в кровоток. В стоматологии часто применяют плазмолифтинг — в область слизистой оболочки дёсен инъекционно вводят обогащённую тромбоцитами плазму собственной крови пациента. При нарушении правил безопасности микробы могут попасть в кровоток.
- Травматизм, частые переломы и ранения.
- Туберкулёз и сифилис суставов.
- Аллергия.
- Иммунодефицит на фоне заболеваний или длительного приёма некоторых препаратов, например при химиотерапии.
- Стрессы, физическое и нервное истощение. При длительном стрессе нарушаются защитные функции организма и человек становится восприимчивым к инфекциям [17] .
- В очень редких случаях — нарушение функции височно-нижнечелюстного сустава.
При обнаружении схожих симптомов проконсультируйтесь у врача. Не занимайтесь самолечением - это опасно для вашего здоровья!
Симптомы остеомиелита челюсти
Симптомы зависят от типа остеомиелита, течения болезни и степени поражения тканей.
Симптомы острой формы остеомиелита подразделяются на два вида:
- Местные симптомы:
- В области повреждённого зуба возникает боль. Она усиливается при ощупывании, постукивании и лёгком надавливании на челюсть и мягкие ткани. Неприятные ощущения чаще более выражены на участках рядом с больным зубом и снижаются при давлении на него.
- Поражённый зуб постепенно расшатывается, и возникает синдром «клавиш» — соседние зубы тоже становятся подвижными.
- Шейные и подчелюстные лимфатические узлы увеличиваются и болят.
- В некоторых случаях нарушается чувствительность губ и ухудшаются вкусовые ощущения.
- Общие симптомы:
- возникают головные боли, особенно в области висков;
- развивается общая слабость и утомляемость, нарушается сон;
- температура тела повышается до 39 °C.
После острой стадии наступает подострая. На десне образуется гнойничок или свищ, через который гнойные выделения и воспалительная жидкость выходят наружу.

Затем боль утихает, но очаг инфекции остаётся, поэтому сохраняется высокая температура и нарастает слабость. Если в этот период не обратиться к врачу, то инфекция распространится по всему организму и человек может погибнуть.
Хроническая форма длится от нескольких месяцев до нескольких лет. Описанные выше симптомы то появляются, то стихают или даже полностью исчезают. При длительном течении болезни зубы становятся подвижными, челюсть утолщается и могут измениться контуры лица.
Как правило, при хроническом остеомиелите пациенты не обращают внимания на болезненные симптомы, а повышение температуры и слабость связывают с простудными заболеваниями [4] .
Патогенез остеомиелита челюсти
Выделяют три теории происхождения остеомиелита:
- Инфекционно-эмболическая теория. Основоположники этой теории считали, что костная ткань воспаляется из-за нарушения кровоснабжения. Инфекция оседает в кровеносных сосудах и закупоривает мелкие капилляры. В результате этого питательные вещества и кислород не поступают к кости, возникает гнойное воспаление и некроз. Данная теория признана некорректной после того, как было подробно исследовано строение кровеносной системы, костей и окружающих тканей [7] .
- Нервно-трофическая теория. Её приверженцы полагают, что остеомиелит развивается при обострениях болезней зубов, например при периодонтите. Также к болезни приводят нарушения в работе иммунной системы. При частых обострениях заболеваний зубов наступает сенсибилизация — иммунные клетки перестают распознавать инфекцию и развивается гнойно-некротический процесс.
- Гематогенная теория. Первоначально воспаление развивается в костном мозге и проявляется отёком и покраснением кожи. Из-за отёка увеличивается внутрикостное давление и, как следствие, сдавливаются сосуды в костном канале. Это приводит к закупорке сосудов и развитию гнойно-некротического процесса [13][14][15] .
Остальные причины — травмы, аллергия, стрессы, нарушение функции височно-нижнечелюстного сустава — провоцируют развитие остеомиелита без хронического воспаления в зубе. Такой остеомиелит можно отнести к неодонтогенному: травматическому и аллергическому. Но и в этом случае заболевание развивается на фоне нарушенного движения крови по сосудам, ухудшения её свёртываемости и гнойно-некротических процессов.
Классификация и стадии развития остеомиелита челюсти
Остеомиелит классифицируют в зависимости от распространённости, источника инфицирования и рентгенологических признаков.
Виды остеомиелита челюсти
Отдельно выделяют нетипичный остеомиелит челюсти, когда процесс протекает бессимптомно: температура тела не повышается, костная ткань разрушается незначительно, свищи не образуются. Такую форму называют первично-хроническим остеомиелитом [7] [8] .
Стадии остеомиелита челюстей
- Острая — длится 14 суток.
- Подострая — наступает на 15–20-е сутки.
- Хроническая — от 30 суток до нескольких лет.
- Обострение хронического остеомиелита [8] .
Осложнения остеомиелита челюсти
Среди осложнений остеомиелита можно выделить местные и общие. Местные возникают непосредственно в полости рта, а общие затрагивают весь организм. Общие осложнения приводят к тяжёлым последствиям, долго лечатся и иногда заканчиваются гибелью пациента.
Местные осложнения:
- разрушение кости;
- выпадение зубов из-за увеличения их подвижности;
- хроническое воспаление в полости рта;
- появление кист внутри челюсти, что характерно для острой фазы заболевания;
- контрактура височно-нижнечелюстного сустава — состояние, при котором сложно или невозможно открыть рот; ;
- флегмона — разлитое гнойное воспаление мягких тканей;
- лимфаденит — множественное увеличение лимфатических узлов [4][9] .

Общие осложнения:
Диагностика остеомиелита челюсти
Диагностика заболевания включает:
- сбор жалоб;
- визуальный осмотр;
- лабораторные исследования;
- инструментальные методы.
Сбор жалоб
Пациенты обычно жалуются на слабость, недомогание, плохое самочувствие и высокую температуру тела. Они отмечают, что зуб стал подвижным, нарушилась речь, трудно открывать рот и принимать пищу. Некоторые пациенты указывают на отёк лица с «больной» стороны.
- спрашивает о недавних травмах челюстно-лицевой области;
- выясняет, есть ли общие соматические заболевания, например сахарный диабет, болезни мочеполовой системы и желчнокаменная болезнь;
- уточняет, когда возникли симптомы, проявились ли они впервые или уже были раньше;
- узнаёт, как давно пациент посещал стоматолога.
Осмотр
Врач обращает внимание на бледность кожи и асимметричность лица, вызванную отёком мягких тканей. При ощупывании выявляется, что регионарные лимфатические узлы с поражённой стороны увеличены и болезненны. Пациент с трудом открывает рот, язык обложен налётом, изо рта исходит неприятный запах [7] .
При осмотре полости рта заметны покраснение и отёк слизистой оболочки в области больного зуба и близлежащих тканей. Зуб разрушен, подвижен при пальпации, боль усиливается при постукивании по нему. Подвижными и болезненными также могут быть несколько неповреждённых зубов в зоне поражения.
Лабораторные исследования
- Общий анализ крови. На активный воспалительный процесс указывают:
- повышение СОЭ до 40–70 мм/ч;
- лейкоцитоз, сдвиг лейкоцитарной формулы влево;
- положительная проба на С-реактивный белок;
- уменьшение альбуминов и повышение глобулинов;
- рост показателей активности щелочной и кислой фосфатазы.
- Биохимический анализ крови — позволяет исключить сахарный диабет и оценить функции почек и печени.
- Общий анализ мочи — при остеомиелите в ней появляется белок, клетки крови, гиалиновые и зернистые цилиндры.
Инструментальные методы диагностики
Компьютерная томография (КТ) — самый информативный метод диагностики остеомиелита челюсти. Это 3D-исследование, которое позволяет определить очаг инфекции и степень выраженности воспаления, его длительность и характер. С помощью КТ можно выявить не только крупные, но и мелкие образования, единичные и групповые, а также проанализировать, насколько далеко распространилась инфекция.

В некоторых случаях в свищевой ход вводят контрастное вещество. Такой метод исследования с контрастом называется фистулографией [9] [10] .
Рентгенография в первую неделю, как правило, не выявляет изменения в кости — в этот период воспалена только верхушка корня зуба. К концу второй недели кость разрушается и становится прозрачнее.
Дифференциальная диагностика
- между видами остеомиелита: одонтогенным, травматическим и гематогенным;
- острым периоститом;
- добро- и злокачественными новообразованиями;
- поражением полости рта специфическими инфекционными заболеваниями: туберкулёзом, сифилисом, актиномикозом.
Лечение остеомиелита челюсти
Лечение проводится только в стационаре под наблюдением врача и может быть медикаментозным и хирургическим [9] . По отдельности эти методы мало результативны и даже могут навредить пациенту. Схемы лечения зависят от стадии заболевания.
Лечение острого и подострого остеомиелита
При первом посещении срочно удаляют запущенный повреждённый зуб. Затем полость рта тщательно промывают антибиотиками. Это необходимо сделать, чтобы убрать из раны микробов и гной.
В следующие дни рану обрабатывают дезинфицирующими средствами и вводят инъекции противомикробных препаратов. С их помощью удаётся воздействовать непосредственно на очаг инфекции и не дать ей распространиться. В дополнение к основному лечению применяют питательные составы с витаминами С и группы В.
На подострой стадии болезни важно сдержать распространение инфекции и не дать воспалению перейти на окружающие ткани.
Для этого применяют:
- капельницы с антибиотиками;
- препараты, снижающие или подавляющие воспаление;
- резиновый дренаж для оттока экссудата.

Также в кровоток вводят витаминные комплексы и препараты, очищающие организм от микробов и продуктов их жизнедеятельности. Конкретные лекарства и дозировки подбирает лечащий врач.
Дополнительной терапией после основного лечения могут стать методы физиотерапии: УВЧ-терапия или лечение непостоянными токами. Считается, что они ускоряют процессы заживления [7] [16] .
Лечение хронического остеомиелита
При появлении некротизированных полостей с распадом кости и окружающих её тканей потребуется операция. Для этого повреждённую область рассекают, поражённые участки убирают и накладывают шину. В дальнейшем с помощью рентгенологических методов врач контролирует, как восстанавливается костная ткань [11] .
Чтобы помочь организму бороться с инфекцией, дополнительно принимают антибиотики в таблетках. Чаще всего назначают Метронидазол и усиливают его эффект препаратами из группы цефалоспоринов 3–4-го поколения.
Если состояние пациента не улучшается, то добавляют фторхинолоны или Рифампицин. Основная задача антибиотиков — не дать бактериям размножаться [7] . Лекарства помогают уменьшить воспаление и удержать патологический процесс в пределах поражённого участка.
Также ротовую полость ежедневно обрабатывают бактерицидными средствами, применяют капельницы с витаминами и плазмозамещающими жидкостями, которые очищают организм от токсинов.
Дополнительно рекомендовано полоскать рот настоями ромашки, зверобоя, мяты и окопника. Фитосредства уменьшают воспаление, ускоряют выздоровление и практически не имеют побочных эффектов.
Прогноз. Профилактика
Если пациент при первых признаках остеомиелита обращается к врачу, то прогноз благоприятный. Если же болезнь запущена, то делать какие-либо выводы сложно: неизвестно, хватит ли у организма сил для борьбы с инфекцией. В тяжёлых случаях могут развиться опасные осложнения, от которых человек может погибнуть [9] .
Самым непредсказуемым является гематогенный остеомиелит. Развитие всех других форм, как правило, можно предотвратить. Для этого достаточно придерживаться простых правил:
Остеомиелит челюсти
Остеомиелит челюсти – гнойный, инфекционно-воспалительный процесс, захватывающий все структурные компоненты челюстной кости и приводящий к остеонекрозу. Остеомиелит челюсти сопровождается общими симптомами (слабостью, подъемом температуры, ознобом) и локальными признаками (болью, ограничением открывания рта, подвижностью зубов, воспалительной инфильтрацией мягких тканей лица, образованием свищей, секвестров, абсцессов и пр.). Остеомиелит челюсти диагностируется на основании клинических и рентгенологических признаков, исследования гемограммы. Лечение остеомиелита челюсти включает противомикробную и дезинтоксикационную терапию, удаление инфицированного зуба, дренирование поднадкостничного абсцесса, секвестрэктомию.
Общие сведения
Остеомиелит челюсти - гнойно-воспалительное заболевание челюстно-лицевой области, характеризующееся инфицированием и деструктивными изменениями костной ткани челюстей. Остеомиелит челюстей занимает одно из ведущих мест в структуре хирургической стоматологии в числе одонтогенных воспалительных поражений, наряду с острым и хроническим периодонтитом, периоститом челюсти. Среди остеомиелитов различной локализации на долю остеомиелита челюстей приходится около 30% случаев. Одонтогенный остеомиелит челюсти чаще диагностируется в возрасте 20-40 лет, преимущественно у мужчин. Остеомиелит нижней челюсти развивается в 2 раза чаще, чем верхней.
Классификация
С учетом источника и механизма инфицирования остеомиелиты челюстей подразделяются на одонтогенные (связанные с патологией зубов), гематогенные (связанные с заносом инфекции из отдаленных очагов с током крови) и травматические (связанные с прямым повреждением челюстей).
По характеру клинического течения челюстное воспаление может быть острым, подострым или хроническим. В соответствии с преобладанием процессов построения или гибели костного вещества выделяют 3 клинико-рентгенологические формы хронического одонтогенного остеомиелита челюстей: продуктивную (без образования секвестров), деструктивную (с образованием секвестров) и деструктивно-продуктивную.
В зависимости от распространенности гнойно-некротического процесса остеомиелит челюсти бывает ограниченным (локализован в пределах альвеолярного отростка или тела челюсти в области 2-4 зубов) и диффузным (разлитое поражение значительной части или всей челюсти).
Причины остеомиелита челюсти
Одонтогенный (стоматогенный) остеомиелит является наиболее частой разновидностью патологии, встречающейся в 75-80% случаев. Как правило, развитие одонтогенного остеомиелита челюсти этиологически связано с запущенным кариесом, пульпитом, периодонтитом, перикоронаритом, альвеолитом, зубной гранулемой или кистой зуба. При этом проникновение инфекции в челюстную кость происходит через инфицированную пульпу и корень зуба.
Первичным источником инфекции при гематогенном остеомиелите челюсти могут выступать фурункулы и карбункулы челюстно-лицевой области, гнойный отит, тонзиллит, омфалит и пупочный сепсис новорожденных, инфекционные очаги при дифтерии, скарлатине и пр. При гематогенном распространении инфекции сначала поражается челюстная кость, а ткани зубов вовлекаются в гнойно-воспалительный процесс вторично.
Травматический остеомиелит может являться следствием перелома челюсти, огнестрельного ранения, повреждения слизистой оболочки полости носа. В этих случаях в костную ткань инфекция попадает из внешней среды. На долю травматического остеомиелита челюсти приходится 11% случаев, на гематогенный – 9%.
Патогенная микрофлора, вызывающая остеомиелит челюстей может выявляться в виде монокультур или микробных ассоциаций и представлена, главным образом, золотистым стафилококком, стрептококком группы В, кишечной палочкой, клебсиеллой, протеем, фузобактериями, синегнойной палочкой и другими возбудителями.
Определенное значение для развития остеомиелита челюсти имеет состояние общего и местного иммунитета. Остеомиелиту челюсти часто сопутствуют заболевания крови, сахарный диабет, полиартрит, ревматизм, болезни печени и почек.
Острый остеомиелит челюстной кости манифестирует внезапно, с общих симптомов. Отмечается резкий подъем температуры тела до фебрильных значений, ознобы, общая слабость, разбитость, отсутствие аппетита, нарушение сна.
При одонтогенном остеомиелите челюсти пациента беспокоит боль в области причинного зуба, являющегося источником инфекции. Боль из локальной вскоре становится разлитой, иррадиирующей в ухо, глазницу, висок. Инфицированный зуб, а также соседние с ним интактные зубы становятся подвижными; слизистая оболочка десны – отечной. Из десневых карманов нередко отделяется гнойное содержимое; изо рта больного исходит зловонный гнилостный запах. При распространении инфильтрации на мягкие ткани возникает ограничение открывания рта, боль при глотании, затруднение дыхания. Остеомиелит нижней челюсти протекает с нарушением чувствительности нижней губы (онемением, чувством покалывания, ползания мурашек), слизистой оболочки преддверия рта и кожи подбородка.
При остром остеомиелите челюсти отмечается выраженная воспалительная инфильтрация, отек и гиперемия мягких тканей, регионарный лимфаденит, за счет чего контур лица становится асимметричным. Для острого остеомиелита челюстей типично формирование субпериостальных абсцессов, околочелюстных флегмон, аденофлегмон. Диффузный остеомиелит верхней челюсти может осложняться одонтогенным гайморитом, флегмоной глазницы, тромбофлебитом ветвей лицевой вены.
При подостром течении остеомиелита челюсти улучшается общее состояние, уменьшается воспалительная инфильтрация и гноетечение, однако сохраняется и даже усиливается патологическая подвижность зубов. Хронический остеомиелит челюсти характеризуется затяжным течением и может развиваться как исход острого остеомиелита или как первично-хронический процесс.
Деструктивная форма протекает с симптомами интоксикации и лимфаденитом, на фоне которых формируются свищи с гнойным экссудатом и выбухающими грануляциями, а также крупные секвестры. Хронический деструктивный остеомиелит часто приводит к патологическому перелому челюсти. При деструктивно-продуктивной форме хронического остеомиелита образуются множественные мелкие секвестры. При продуктивной форме за счет преобладания процессов активного построения костного вещества в периосте свищи и секвестры отсутствуют; отмечается деформация челюсти, анкилоз ВНЧС, тризм, инфильтраты мягких тканей.
Диагностика
В острой фазе, ввиду отсутствия или невыраженности рентгенологических признаков остеомиелита челюстей, заболевание диагностируется стоматологом-хирургом или травматологом на основании клинических и лабораторных данных. Отклонения гемограммы при остеомиелите челюсти представлены нейтрофильным лейкоцитозом, лимфо- и эозинопенией, увеличением СОЭ. В биохимическом анализе крови в больших количествах обнаруживается С-реактивный белок, отмечается гиперглобулинемия и гипоальбуминемия; в общем анализе мочи выявляются эритроциты, цилиндры, следы белка. Для идентификации возбудителя показано проведение бактериологического посева отделяемого из очага воспаления.
В подострой и хронической фазах нарастает динамика костных изменений, выявляемая в ходе рентгенографии или томографии челюстей: обнаруживаются участки остеопороза и остеосклероза, грубоволокнистый рисунок кости, очаги секвестрации. При зондировании свищей обнаруживаются неровные контуры костных секвестров. Острый остеомиелит челюсти требует проведения дифференциальной диагностики с гнойным периоститом, острым периодонтитом, нагноившимися челюстными кистами, специфическими поражениями челюстей (туберкулезом, актиномикозом, сифилисом), опухолями челюстей.
Подход к лечению остеомиелита складывается из комплекса местных и общих мероприятий. Первоочередной задачей при остеомиелите челюсти является ликвидация первичного гнойного очага: при одонтогенной форме – удаление зуба, при гематогенной – санация инфекции, при травматической – ПХО инфицированных и ПХО огнестрельных ран. Осуществляется периостотомия, эвакуация гноя, промывание костной полости антисептическими растворами, дренирование резиновым выпускником или ПВХ-трубкой. Подвижные интактные зубы подлежат лечебному шинированию.
Общие мероприятия включают дезинтоксикационную, симптоматическую, иммуномодулирующую, десенсибилизирующую терапию. Назначается массивная антибактериальная терапия цефалоспоринами, полусинтетическими пенициллинами, макролидами. Активно применяется гипербарическая оксигенация, плазмаферез, гемосорбция, лимфосорбция, аутогемотерапия, УФО крови, местные физиотерапевтические процедуры (УВЧ-терапия, ультразвуковая терапия, магнитотерапия).
При хроническом остеомиелите челюсти на основании рентгенологической картины может осуществляться секвестрэктомия - удаление секвестрировавшихся участков кости. После удаления секвестров и грануляций костную полость промывают и заполняют остеопластическими материалами направленного действия с антибиотиками. При угрозе патологических переломов проводится шинирование челюстей.
Прогноз и профилактика остеомиелита челюсти
Своевременная диагностика и правильное ведение острого остеомиелита челюсти в большинстве случаев обеспечивает выздоровление. При неблагоприятном течении остеомиелита челюсти восходящее распространение гнойного процесса может привести к развитию менингита, менингоэнцефалита, абсцесса мозга; нисходящее инфицирование – к абсцессам легкого, медиастиниту и сепсису. Подобные осложнения нередко приводят к летальному исходу.
Исходами хронического остеомиелита нередко служат патологические переломы, анкилозы ВНЧС, ложные суставы, рубцовые контрактуры жевательных мышц. Продуктивные формы хронического остеомиелита челюстей могут осложняться амилоидозом почек и сердца.
Профилактика остеомиелита челюсти предполагает своевременное терапевтическое лечение кариеса, пульпита, периодонтита; санацию гнойных очагов в организме, укрепление иммунитета, предупреждение травм челюстно-лицевой области.
Читайте также:
