Описторхоз
Добавил пользователь Владимир З. Обновлено: 27.01.2026
Обь – Иртышский бассейн является самым крупным очагом описторхоза в мире. Обитающая здесь рыба семейства карповых поражена описторхозом в 93 % случаев, а инвазированность взрослого населения Западной Сибири достигает 51-82%, в отдельных районах свыше 95%.
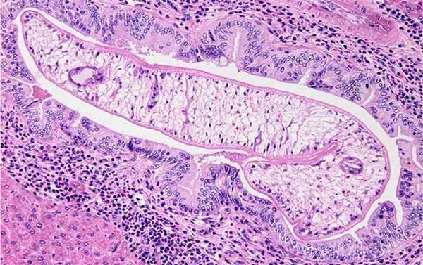
Описторхоз – это паразитарно-аллергическое заболевание с преимущественным поражением желчевыводящих протоков, желчного пузыря, протоков поджелудочной железы. Возбудителем является описторх или кошачья двуустка. Он имеет плоскую форму, похож на огуречное семечко, ротовая полость которого снабжена присосками, длина тела гельминта 0.4-1.2 см.
У чело века, домашних и диких животных описторхи паразитируют во внутренних желчных ходах печени, реже в протоках поджелудочной железы. Количество паразитов может достигать 40 тысяч экземпляров. Продолжительность жизни паразита в организме человека десятки лет. Территория западной Сибири эндемична по описторхозу, так как здесь сформировался природный очаг, в котором присутствуют три хозяина, необходимых для развития описторха.
Окончательным хозяином является человек, домашние животные (собаки, кошки, свиньи) и дикие животные (лисы, выдры, песцы). Выделяющиеся с фекалиями яйца паразитов из почвы с талыми водами попадают в водоемы.
Промежуточным хозяином являются пресноводные моллюски – битинии. Яйца заглатываются моллюсками, и в их теле развиваются личинки. Из моллюсков выходят тысячи личинок, которые свободно плавают в воде, но для человека они не опасны, поэтому через воду описторхозом заразиться нельзя.
Дополнительным хозяином является рыба карповых пород: язь, елец, плотва, лещ, сазан, линь, красноперка, уклея, гольян, жерех, подуст.
Личинки описторхов внедряются в подкожно-мышечный слой только рыбы семейства карповых и становятся инвазионными, то есть способны вызвать заражение человека.
- при употреблении в пищу сырой (натанка, строганина), недостаточно термически обработанной, слабосоленой и вяленной рыбы семейства карповых;
- при использовании необезвреженного после разделки рыбы инвентаря ( ножи, посуда, оборудование) для приготовления блюд не требующих термической обработки (салаты, холодные закуски);
- при несоблюдении правил личной гигиены во время разделки (обработки) сырой рыбы (курение, прием пищи) или после её окончания (плохо вымытые руки);
- при снятии пробы во время приготовления рыбных блюд.
Для хронической стадии характерны тяжесть и периодически возникающие боли в правом подреберье, эпигастрии, снижение аппетита, тошнота, вздутие живота, запор, либо жидкий стул с развитием дисбактериоза. Признаками хронического течения описторхоза являются: дискинезия желчевыделительных путей, хронический холангит, хронический холецистит, хронический панкреатит, хронический дуоденит, симптомы поражения гепатобилиарной системы с резким болевым синдромом, с увеличением печени, желтухой, развитием рецидивирующего холангита, абсцессов печени, острым панкреатитом и желчным перитонитом.
Возбудитель описторхоза международным агентством по изучению рака отнесен к группе канцерогенов номер - 1 для человека.
Терапия описторхоза является сложной проблемой. Человек, зараженный описторхами, сохраняет способность к повторным инвазиям в течение всей жизни. Причем каждая последующая инвазия ухудшает общее состояние организма и утяжеляет течение заболевания.
Лечение больных осуществляется в три этапа: подготовительная терапия, специфическая химиотерапия, реабилитационный период. Продолжительность подготовительной терапии 10-14 дней. На этом этапе назначаются противоаллергические, желчегонные (гепатобене, галстена, никодин, гепатофальк, люхеин и др.), антибактериальные, спазмолитические, ферментативные препараты, пре- и пробиотики, физиотерапевтические процедуры.
Специфическая химиотерапия проводится препаратами «Бильтрицид», «Азинокс». Лечение этими препаратами проводится только в стационаре.
- выпекать пироги 50-55 минут, рыбу закладывать в один слой, в распластанном виде, кожицей вверх;
- солить непотрошеную мелкую рыбу (вес одного экземпляра до 50-65 г.) не менее 14 суток, крупную плотву, ельца, чебака (вес одного экземпляра 150-170 г) – не менее 21 суток. Количество соли берется из расчета 2 кг на 10 кг рыбы. Указанные параметры позволяют достичь в тканях рыбы губительную для личинок концентрацию соли. После вымачивания рыбу можно вялить (само по себе вяление способом обезвреживания рыбы не является);
- вымораживать при температуре – 30 градусов Цельсия и ниже в течение 48 часов с последующим быстрым размораживанием в теплом помещении.
Тепловые способы обработки самые надежные, и им следует отдавать предпочтение. Не забывайте поле разделки рыбы использованный разделочный инвентарь ошпарить кипятком и вымыть хозяйственным мылом.
Описторхоз
Информацию из данного раздела нельзя использовать для самодиагностики и самолечения. В случае боли или иного обострения заболевания диагностические исследования должен назначать только лечащий врач. Для постановки диагноза и правильного назначения лечения следует обращаться к Вашему лечащему врачу.
Описторхоз: причины появления, симптомы, диагностика и способы лечения.
Определение
Описторхоз – это паразитарное заболевание с преимущественным поражением желчевыводящих протоков, желчного пузыря, протоков поджелудочной железы, вызываемое плоскими паразитами класса сосальщиков. Строение описторхисов, как и всех сосальщиков, довольно сложное. Opisthorchis felineus (кошачья двуустка) – плоский гельминт ланцетовидной формы. Его длина - 4-20 мм, ширина - 1-4 мм. Плоское тело описторхиса покрыто кожно-мускульным мешком, не имеет полости, а все внутренние органы размещены в рыхлой массе паренхиматозных клеток. У описторхиса есть 2 присоски (ротовая и брюшная), с помощью которых паразит прикрепляется к тканям внутренних органов хозяина. Описторхис не имеет кровеносной системы и органов дыхания, а органы выделения и нервная система примитивны. Пищей для описторхисов служат эпителиальные клетки протоков печени, поджелудочной железы и кровь.

Причины появления описторхоза
Источником размножения паразитов являются пресноводные улитки. Затем двуустка заселяется в рыбу.
Заражение описторхозом человека и млекопитающих происходит при употреблении в пищу сырой, малосоленой, вяленой или недостаточно термически обработанной речной рыбы семейства карповых, содержащей инвазионные личинки.
На теле каждой личинки есть чувствительные волоски, которые реагируют только на химический состав слизи, покрывающей тело рыб семейства карповых, что обеспечивает ей «узнавание» нужного ей вида рыб. Семейство карповых насчитывает 23 вида рыб (язь, лещ, карп, чебак, елец, линь, красноперка, сазан, пескарь и др.).

Существует три вида паразитов, являющихся возбудителями описторхоза у человека:
- Opisthorchis felineus - встречается в районах магистральных рек ряда регионов Сибири и Дальнего Востока;
- Opisthorchis felineus arvicola – водятся в бассейне реки Шидерты в Казахстане;
- Opisthorchis viverrini – встречается в реках стран Южной и Юго-Восточной Азии (в Таиланде описторхозом поражено 80% населения).
Взрослые особи паразитируют в желчных протоках печени (100%), желчном пузыре (60%) и протоках поджелудочной железы (36%). Описторхисы могут паразитировать в организме человека до 25 лет.
Классификация заболевания
Описторхоз может иметь острое и хроническое течение.
Формы острого описторхоза:
- инаппарантная (субклиническая) форма заболевания отличается минимальной симптоматикой и диагностируется только с помощью лабораторных исследований;
- манифестная (клинически выраженная) форма характеризуется токсико-аллергическими симптомами:
- тифоподобная (септическая) форма,
- гепатохолангитическая форма - с преобладающими симптомами воспаления желчных протоков печени,
- гастроэнтероколитическая форма – с диспепсическим синдромом,
- смешанная форма.
- латентная (бессимптомная) форма;
- инаппарантная форма;
- манифестная форма – заболевание имеет выраженную клиническую симптоматику с преобладанием какого-либо синдрома):
- холецистохолангитическая,
- гепатитная,
- гастроэнтеритическая,
- панкреатическая,
- смешанная.
Симптомы описторхоза
Симптомы описторхоза начинают проявляться после инкубационного периода, составляющего 2-3 недели, зачастую внезапно. Клинические варианты течения ранней стадии разнообразны - от латентных и стертых до генерализованных аллергических реакций с множественными поражениями.В клинической картине острого описторхоза выделяют следующие синдромы:
- Лихорадка. Лихорадочный синдром наблюдается у всех больных острым описторхозом. Температура тела колеблется в широком диапазоне - от субфебрильной до фебрильной и сохраняется от 3-4 дней до нескольких недель.
- Интоксикационный синдром включает слабость, озноб, потливость, снижение аппетита и др.
- Умеренно выраженные миалгии и артралгии.
- Кожная сыпь появляется в первую неделю заболевания, сохраняется 3-10 дней и далее бесследно исчезает. Локализуется сыпь на груди, спине, живое и верхних конечностях.
- Гепатобилиарный синдром проявляется болью в правом подреберье, которая может распространяться на правую подключичную область и правую лопатку. Интенсивность боли колеблется от тупой и ноющей до давящей и жгучей. Характерны симптомы диспепсического характера - тошнота, рвота, изжога. Нередким симптомом является желтуха, которая часто сочетается с кожным зудом.
- Гастроэнтероколитический синдром наблюдается редко и преимущественно у детей.
- В начале болезни могут наблюдаться катаральные проявления со стороны верхних дыхательных путей, реже - астматический бронхит.
- У некоторых больных в острую фазу описторхоза могут развиваться тяжелые токсико-аллергические проявления, такие как острый эпидермальный некролиз (синдром Лайела), синдром Стивена-Джонсона, острый миокардит, отек Квинке, крапивница.
В правом подреберье отмечаются приступообразные боли, похожие на желчную колику, переходящие в правую половину грудной клетки. Наблюдаются диспепсические расстройства.
Поскольку паразит поражает еще и нервную систему, то больной жалуется на быструю утомляемость, бессонницу, раздражительность, нервозность. Наблюдается повышенная потливость, тремор рук, век и языка. Довольно часто неврологические симптомы выступают на первый план, что приводит к постановке неверного диагноза. Кроме того, у больного могут наблюдаться аллергические проявления (крапивница, зуд, отек Квинке, пищевая аллергия). Хроническая стадия описторхоза связана с жизнедеятельностью паразитов в желчных протоках печени и поджелудочной железы и способна длиться более 10–20 лет. Холестаз — это наиболее частый синдром в клинике хронического описторхоза.
Диагностика описторхоза
Методы диагностики описторхоза можно разделить на эпидемиологические, клинико-инструментальные, иммунологические и паразитологические. Большие перспективы открывает молекулярно-генетическая диагностика описторхоза.
Врач проводит сбор анамнеза, во время которого выясняет, проживал ли больной в месте, где часто диагностируется описторхоз, и были ли эпизоды приема в пищу плохо термически обработанной рыбы карповых пород.
В комплексное обследование при описторхозе должны включаться следующие инструментально-лабораторные исследования:
- Клинический анализ крови . Для описторхоза характерно наличие лейкоцитоза, повышение СОЭ, высокая степень эозинофилии.
- Биохимический анализ крови показывает снижение уровня общего белка в крови, альбумина, изменение уровня печеночных ферментов.
- Общий анализ мочи .
- Общий анализ кала рекомендуется проводить троекратно, с интервалом в несколько дней.
Синонимы: Общий анализ кала. Stool analysis, Fecal analysis. Краткая характеристика исследования «Копрограмма» Кал – конечный продукт, образующийся в результате сло�.
Диагностическое исследование слизистой оболочки желудочно-кишечного тракта.
Синонимы: Анализа крови на описторха; Антиописторхис-IgG; Антитела класса G к антигенам кошачьей двуустки; IgG антитела к возбудителю описторхоза; Анти-Описторхис-IgG. O.
К каким врачам обращаться
Описторхоз может маскироваться под различные заболевания. В случае острого течения бывает трудно определить, к какому врачу обратиться, поскольку человек воспринимает свое состояние как кишечное недомогание. При обнаружении симптомов нарушения работы ЖКТ обращаться следует к гастроэнтерологу и инфекционисту-паразитологу.
Врач-педиатр лечит описторхоз у детей.Лечение описторхоза
Схема лечения описторхоза включает несколько этапов:
Подготовительный этап с обязательным соблюдением диеты продолжается от 10 до 20 дней (в зависимости от тяжести течения заболевания). В этот период назначаются препараты для улучшения состояния и снятия общих симптомов: спазмолитики, противовоспалительные, антиаллергические средства. Для оптимизации оттока желчи применяются желчегонные средства, а для стабилизации работы печени - гепатопротекторы.
Второй этап является непосредственной дегельминтизацией. В настоящее время единственным эффективным средством этиотропной терапии описторхоза является производное изохинолина - празиквантел.
Препарат действует на все формы описторхисов, малотоксичен, вызывает спастический паралич мускулатуры паразитов.
Третий этап (реабилитационный) призван восстановить нарушения, произошедшие в организме вследствие заболевания. Есть все основания для применения желчегонной терапии посредством разного рода тюбажей, приема отваров трав с желчегонным эффектом и гепатопротекторов. Также в течение всего реабилитационного периода следует очищать кишечник при помощи клизм или слабительных средств.
Контроль эффективности терапии проводят через 2–3 месяца после окончания лечения больных с подострой стадией описторхоза и через 4–6 месяцев после лечения хронического описторхоза.
Осложнения
Актуальность проблемы описторхоза продиктована длительным клиническим течением заболевания с возможными осложнениями и аутоиммунными нарушениями - перипортальным фиброзом, язвенно-эрозивными повреждениями гастродуоденальной зоны, рецидивирующим панкреатитом, обтурационным холангитом, холециститом, желчнокаменной болезнью.Описторхоз внесен в список канцерогенов первой категории. Заболевание нередко приводит к развитию выраженного фиброза и цирроза печени с вероятностью возникновения рака печени. Описторхоз наблюдается при вирусном гепатите С, снижая эффективность противовирусного лечения.
Обусловленные описторхозом процессы создают условия для появления вторичных инфекций: кишечной палочки; стафилококков; дрожжеподобных грибков и т.д.
Профилактика описторхоза
Основным профилактическим мероприятием считается исключение из пищи сырой, слабо просоленной и недостаточно термически обработанной рыбы семейства карповых. Термическая обработка должна составлять не менее 20 минут с момента закипания. Гибель паразитов наступает через 7 часов при температуре –40°С и через 32 часа при температуре –28°С.
Ни при каких обстоятельствах нельзя употреблять сырую воду из ручьев, рек и других естественных водоемов. Кипятить такую воду следует не менее десяти минут.
Кроме того, профилактика заболевания включает комплекс мер по выявлению, лечению и диспансерному наблюдению за больными описторхозом, по санитарно-эпидемиологическому надзору за предотвращением фекального загрязнения водоемов и соблюдением технологии обработки рыбы, проведение санитарно-просветительской работы среди населения.
- В.В. Цуканов, Ю.Л. Тонких, А.В. Гилюк с соавт. Диагностика, клиника и лечение описторхоза. Гастроэнтерология, журнал. № 8 (163), 2019. С. 49-53.
- Клинические рекомендации (протокол лечения) оказания медицинской помощи детям больным описторхозом. ФГБУ НИИДИ ФМБА России. 2014.
- Описторхоз у взрослых. Клинические рекомендации. Некоммерческое партнерство «Национальное научное общество инфекционистов». 2014.
Информацию из данного раздела нельзя использовать для самодиагностики и самолечения. В случае боли или иного обострения заболевания диагностические исследования должен назначать только лечащий врач. Для постановки диагноза и правильного назначения лечения следует обращаться к Вашему лечащему врачу.
Лечение описторхоза
![Описторхоз]()
Оформите заявку на сайте, мы свяжемся с вами в ближайшее время и ответим на все интересующие вопросы.
Летом часто обостряются заболевания желудочно-кишечного тракта. Одна из неприятных болезней – описторхоз. Её симптомы можно легко принять за гастрит. Но точный диагноз могут поставить только в медицинских центрах. Что такое описторхоз, как он себя проявляет и куда обращаться с первыми неприятными симптомами, рассказываем в этой статье.
Что такое описторхоз?
Трематодоз, вызванный плоскими червями. Возбудитель описторхоза, попадая в организм человека, концентрируется в печени и желчевыводящей системе. Паразит попадает в организм человека из плохо термически обработанных морепродуктов – сырой, вяленой, копченой рыбы или представителей семейства карповых.
Чем опасен описторхоз?
Возбудитель заболевания двуустка кошачья паразитирует в желчном пузыре и желчных протоках и пожирает слизистую оболочку органов. Постепенно ухудшается нормальный пищеварительный процесс. Возникает дисбактериоз, появляется аллергическая реакция непонятного происхождения, воспаляются ближайшие к желчному пузырю внутренние органы, формируются камни.
Если патология появляется во время беременности, паразит оказывает угнетающее действие на развитие плода, физическое и умственное развитие. Одно из самых страшных последствий – рак печени, желчного пузыря, поджелудочной железы.
Помимо органов желудочно-кишечного тракта, у больного страдают сердце и сосуды, обмен веществ, нервная система. Как следствие, может возникать вегетососудистая дистония, бессонница, нервозность, появляется тремор конечностей, снижается аппетит, изменяется менструальный цикл.
Первые симптомы описторхоза
Первые признаки появляются при снижении защитной функции иммунитета. На ранних стадиях пациент сталкивается с появлением общей слабости, усиливается потоотделение. Острая форма описторхоза проявляется следующим образом:
появление бессонницы и нервозности;
боль в правом подреберье;
болевые ощущения в спине и животе;
наличие астматического бронхита;
ощущение ломоты в теле и повышение температуры;
появление на коже аллергических высыпаний;
присутствие метеоризма, тошноты, рвоты, болей в животе, общего дискомфорта;
резкое снижение аппетита, слишком жидкая консистенция стула.
При обследовании организма врач может обнаружить увеличенную печень, повышенное количество эозинофилов в общем анализе крови.
Симптомы описторхоза у взрослых несколько отличаются от первых признаков детей. У маленьких непосед заболевание выражается в проявлении устойчивого аллергоза, интоксикации всего организма и иммунодепрессивном состоянии. Также может повышаться температура и держаться до 2-3 недель.
Симптомы у женщин проявляются наиболее ярко во время менструального цикла. Если в печени женщины есть паразит, то менструации становятся очень болезненными, а цикл становится нестабильным.
Как быстро проявляется патология?
![Паразит возбудитель описторхоза]()
Когда паразиты попадают в организм человека, начинают снижаться защитные функции иммунитета. После этого в течение 20 дней могут проявляться первые признаки. Человек испытывает общую слабость, недомогание, учащенное сердцебиение, повышение температуры тела, сильное потоотделение.
Примерно через 30 дней заболевание переходит в хроническую стадию и его симптомы становятся похожи на хронический холецистит, гастродуоденит, панкреатит, гепатит. Беспокоят приступы боли в правом подреберье, схожие с желчными коликами. Появляется нервозность, нарушения сна, хроническая усталость, частые аллергические высыпания на коже, дрожат руки, веки.
Период острого этапа заболевания – от нескольких дней до 3 месяцев, иногда дольше. К симптомам присоединяются признаки лёгочных заболеваний, увеличивается печень, могут выявиться эрозии и язвы слизистых оболочек и тканей желудка, двенадцатиперстной кишки во время проведения исследования.
Стадии острого описторхоза
Когда же речь идет об описторхозе острой формы, то ее разделяют на 4 класса.
Тифоподобное протекание – присутствуют симптомы панкреатита, желтухи и гепатита, увеличенная печень, есть гастрит, эозинофилы в крови до 90%.
Гепатохолангетический тип – панкреатит, ноющие боли в животе, поражается печень, нарушается функция поджелудочной железы.
Гастроэнтерологический – наличие энтероколита, язвы желудка, эрозивного гастрита, наблюдаются нарушения стула.
Поражение дыхательных путей – присутствие бронхита астматического типа, плеврита и пневмонии.
Как проводится диагностика заболевания?
Первое, что нужно сделать, если обнаружили у себя признаки описторхоза, - это не заниматься самолечением, а обратиться за консультацией гастроэнтеролога. Врач проведет визуальный осмотр, соберет анамнез и направит на анализы и дуоденальное зондирование. Это метод обследования пациента, который проводится при заболеваниях желчевыводящих путей и желчного пузыря для забора желчи на лабораторное исследование.
Другие виды диагностики:
общий анализ крови;
исследование внутренних органов с помощью УЗИ;
анализ кала на яйца глистов;
полимеразная цепная реакция (ПЦР).
После проведения диагностики, врач изучает результаты всех анализов и исследований, ставит пациенту точный диагноз. После постановки точного диагноза пациенту назначается лечение. Оно проходит под строгим наблюдением.
Лечение описторхоза
Лечение патологии должно проводиться независимо от стадии и вида описторхоза. Чем быстрее начато лечение, тем меньше вероятность того, что паразит нанесет сильные увечья вашему организму.
Для того, чтобы начать лечение, необходимо иметь свежие результаты общего анализа крови и мочи, биохимический анализ крови, ФГДС, УЗИ органов брюшной полости, для пациентов старше 40 лет также ЭКГ.
Использование медикаментозных препаратов снимает воспаление. Если есть аллергические реакции, интоксикация, то эту проблему устраняют за счет использования антигистаминных средств. Назначаются желчегонные препараты, которые принимаются в назначенные врачом сроки, прописывают антибиотики. Препараты чаще всего принимаются сроком до 14 дней. Для больного устанавливается специальная диета, которую он обязан соблюдать.
После курса лечения будет сделано контрольное дуоденальное зондирование, вы получите полное медицинское заключение и рекомендации врача, которых нужно придерживаться в течение всей жизни.
После проведения противопаразитарной терапии наступает период реабилитации. Он может длиться на протяжении 3-4 месяцев, основными его задачами являются:
восстановление нормальной работы органов пищеварительной системы;
полное избавление от мертвых гельминтов, которые остались в организме;
устранение последствий жизнедеятельности гельминтов в человеческом организме.
Лечение описторхоза в Красноярске
Диагностику и лечение паразитов можно пройти в частной медицинской клинике «Медюнион». В период пандемии мы оказываем все медицинские услуги согласно масочному режиму. Соблюдается дистанция между пациентами и работниками клиники, все рабочие поверхности обрабатываются каждый час. Наши пациенты могут воспользоваться масками и дезинфекторами для обработки рук.
Кроме того, в клинике действует комплексная программа диагностики «Золотой стандарт». Она включает в себя все виды анализов, в том числе и на паразитов.
Описторхоз
![]()
Согласно статистике, на сегодняшний момент более миллиарда человек в мире инфицировано различными видами гельминтов – паразитических червей.
Описторхоз является самым распространенным и одним из наиболее опасных гельминтозов, передающихся через зараженную рыбу.
Большое значение в распространении возбудителя описторхоза приобрели массовые миграции населения, отток людей, занятых на вахтовой и экспедиционно-вахтовой работе в эндемичных по описторхозу территориях.
Проблема описторхоза осложняется неконтролируемым увеличением числа рыбоперерабатывающих предприятий, грубо нарушающих технологический режим обеззараживания рыбы от личинок гельминта и реализующих населению эпидемически опасную продукцию.
В структуре биогельминтозов на территории Российской Федерации в 2017 году на долю описторхоза приходилось 78,53 % - более 18,7 тыс. случаев описторхоза.
Официальная статистика учитывает только тех пациентов, которые обратились в медучреждения. Следует отметить, что болезнь длительное время может протекать в латентной форме, прежде чем привести к необратимым изменениям в желчевыводящей системе и печени.
Как происходит заражение?
Инфицирование происходит при употреблении сырой или недостаточно термически обработанной зараженной речной рыбы.
Источником инвазии является больной человек, с калом которого, а также больных животных, яйца паразита попадают в воду, где их заглатывают улитки, в которых происходит размножение личинок паразита, заканчивающееся выходом в воду личинок-церкариев. Церкарии проникают в карповых рыб (язь, елец, плотва, лещ, линь, красноперка, гольян, жерех, подуст).
![]()
Одна из особенностей заражения гельминтами рода Opisthorchis felineus, как отметили ученые, – отсутствие каких-либо настораживающих симптомов у инфицированных людей.
Зараженные описторхозом входят в группу риска по развитию опухолей печени.
Ряд проведенных в мире исследований позволяет предположить наличие взаимосвязи между описторхозом и развитием злокачественных опухолей печеночных желчных протоков, на долю которых приходится от 10 до 20% всех случаев рака печени.
Клинические проявления заболевания
Инкубационный период заболевания составляет от 2 до 4 недель, в среднем – 21 сутки.
В случае, если течение заболевания средне-тяжелое, помимо симптомов общей интоксикации, отмечается лихорадка до 39 о С, тошнота, рвота, нервная возбудимость, агрессивность, не проходящая боль в правом подреберье.
При выраженном описторхозе, при обширной инвазии, большом количестве двуусток, на коже возможны высыпания по типу крапивницы.
Нередки проявления со стороны сердечно-сосудистой системы: появляются неприятные ощущения в области сердца, снижается артериальное давление.
Постепенно болезнь переходит в хроническую форму. При этом хронический описторхоз может протекать практически бессимптомно на протяжении долгого времени, пока поражения печени и желчного пузыря не станут обширными. Описторхоз нарушает обмен веществ, сказывается на кроветворной функции, провоцирует развитие рака желчного пузыря и цирроза печени.
Чтобы избежать заболевания необходимо соблюдать меры профилактики.
Профилактика
Управления Роспотребнадзора по субъектам Российской Федерации по плану-графику, согласованному с руководством рыбодобывающих организаций, определяют места отлова, сроки и видовой состав рыб.
Проводится оценка паразитологического состояния водоема.
При обнаружении в водоеме рыб, зараженных личинками описторхиса, всю рыбу данного вида и остальных видов, способных играть роль дополнительных хозяев описторхисов, а также рыбную продукцию подвергают обеззараживанию от личинок описторхисов перед реализацией.
![]()
Вся рыбопродукция из водоема допускается к сертификации и реализации только после ее обеззараживания.
Управления Роспотребнадзора по субъектам Российской Федерации осуществляют надзор за проведением санитарно-паразитологического контроля в рыбоперерабатывающих и торговых организациях, на предприятиях общественного питания.
Проводится обязательный паразитологический контроль каждой партии готовой рыбной продукции холодного копчения, пресервов, соленой, пряной, маринованной (бочковой), вяленой рыбы. Готовая продукция не должна содержать жизнеспособных личинок описторхиса.
Обеззараживание рыбы и рыбной продукции осуществляется замораживанием, посолом и тепловой обработкой.
При невозможности обеспечить замораживание рыбы, гарантирующие обеззараживание рыбы, ее следует использовать для пищевых целей только после термической обработки или стерилизации (консервы).
Варить рыбу следует порционными кусками не менее 20 мин. с момента закипания, рыбные пельмени - не менее 5 мин. с момента закипания.
Рыбу (рыбные котлеты) необходимо жарить порционными кусками в жире 15 мин. Крупные куски рыбы весом до 100 г жарить в распластанном виде не менее 20 мин. Мелкую рыбу можно жарить полностью в течение 15-20 мин.
Описторхоз
Клиническая картина характеризуется воспалением желчных ходов, что приводит к патологическим изменениям и различным аллергическим реакциям. При отсутствии лечения паразитирование резко повышает риск развития онкологии и иммуноопосредованных состояний.
Причины
Описторхоз вызывают паразитические черви нематоды рода Opisthorchis ― печеночные сосальщики. Всего в природе насчитывают свыше 30 видов. В России, Украине, Казахстане встречается Opisthorchis felineus, который также имеют кошачьей или сибирской двуусткой. Наиболее высокий риск заражения в районах рек: Бирюса, Волга, Днепр, Дон, Иртыш, Кама, Обь, Северная Двина, Урал.
Длина тела паразита варьируется от 8 до 18 мм, ширина ― от 1 до 2 мм. Первыми промежуточными хозяевами становятся пресноводные рыбы и брюхоногие моллюски (речные и озерные улитки). Они заглатывают яйца описторхиса вмести с илом и фекалиями конечных хозяев. В их телах они живут около 2 месяцев, преобразуясь в церкарий ― свободно плавающих личинок. В этом виде они могут самостоятельно внедряться в тело рыбы.
Паразит присасывается к волокнам мышц, где превращается в метацеркарий ― округлую цисту размером от 0,16 до 0,20 мм. Спустя 6 недель после заражения рыбы, метацеркарий становится инвазионным, т. е. готовым перейти в конечного хозяина. В это время личинки внутри цист очень подвижны. Имеют 2 присоски.
Конечный хозяин описторхис ― человек и млекопитающие, чаще медведи, представители семейства псовых и кошачьих. Заражение происходит путем поедания рыбы с цистами. Чаще всего зараженной бывает язь, лещ, плотва, пескарь, красноперка, гольян.
В конечном хозяине паразит освобождается от цисты в желудке и тонком кишечнике. Из органов ЖКТ он передвигается в желчный пузырь, протоки, печень, где и достигает половозрелости. Спустя пару недель описторхисы начинают откладывать яйца. Срок жизни паразита может доходить до 20 лет. Взрослых особи в 100% случаев паразитируют в печеночных желчных протоках, в 60% случаев их можно обнаружить в желчном пузыре, в 40% ― в протоках поджелудочной железы. Они питаются кровью и окружающей тканью.
Симптомы
Чаще клиническая картина смазана, имеет слабо выраженную симптоматику. Первые признаки заражения проявляются когда наступает хроническая стадия. В последние десятилетия острое течение болезни наблюдается только у людей, проживающий в районах с благоприятной эпидемиологической обстановку по описторхозу.
Патогенез выражается в механическом и токсическом воздействий паразитов на организм. Наибольший ущерб терпят стенки желчных ходов, когда описторхисы передвигаются по места окончательной дислакации. При фиксации к слизистым при помощи присосок они также наносят значительный ущерб: нарушают кровообращение и отток желчи и секреции поджелудочной железы. Из-за них деформируются окружающие ткани, возникают кистознообразные расширения желчных ходов.
Из-за патологических изменений, нанесенных паразитом, увеличивается риск развития других инфекций. Более активно начинают размножаться бактерии. У некоторых пациентов развиваются гнойные холангиты ― хронические воспаления желчных протоков.
Описторхисы выделяют продукты обмена в организм хозяина. Это приводит к периодическим вспышкам аллергии. Выражается это кожным дерматитом, чаще всего проявляющимся на лице. Эти паразиты внесены в список МАИР, как канцерогены первой категории.
Симптомы острого описторхоза
- Повышение температуры тела от 37,1 до 38,0°C, продолжающейся до 4 недель.
- Аллергическая реакция, высыпания на лице в зоне «Т», иногда на теле. Длительность проявлений около 2 недель.
- Частые головные боли, миалгии и артралгии.
- Слабость, нарушение сна, снижение аппетита и работоспособности.
- Повышенное потоотделение.
Достаточно часто возникает бронхолегочный синдром. Начинается с першения в горле, сопровождается сухим кашлем и одышкой. На фоне нарушений здоровья могут развиться вторичные воспалительные процессы в верхних дыхательных путях. Признаки схожи с сезонным ОРЗ, поэтому часто воспринимаются за простуду.
Симптоматика со стороны ЖКТ выражается в чувстве тяжести, вздутии и болевом синдроме в правом подреберье. Печень увеличивает свои размеры, болезненна при пальпации. После еды возникает изжога, горечь во рту. Может быть рвота.
В некоторых случаях, особенно у пациентов, имеющих заболевание печени, развивается желтуха. В этом случае к желтушности кожных покровов и склер добавляется зуд кожи, моча темнеет, кал становится светлым. Спустя несколько недель организм приспосабливается к текущим условиям и симптоматика отступает. Заболевание переходит в хроническую стадию.
Симптомы хронического описторхоза
В последнее время часто отмечается латентное течение описторхоза. Симптоматика может отсутствовать годами. В остальных случаях картина настолько смазана, что представляет собой «сборник разнообразных симптомов». При этом они вообще никак не связаны между собой, что ставит в тупик молодых неопытных врачей. Однако, пациентам, проживающим в неблагоприятной эпидемиологической обстановке испытывать проблем с диагностированием не приходится.
Наиболее часто встречающиеся жалобы:
- Дискомфорт и слабый болевой синдром в правом подреберье.
- Кишечные расстройства (тошнота, изжога, метеоризм, неустойчивый стул, сменяющийся то поносом, то запором).
- Увеличение печени, боль при пальпации, в том числе в районе проекции желчного пузыря.
Сила симптомов может нарастать после принятия пищи. К общим признакам относятся повышенная утомляемость и потливость. Становится труднее работать в прежнем режиме. Ощущается упадок физических сил и умственных возможностей. Периодически может возникать кратковременное повышение температуры тела. Появляется отвращение к тяжелой, жирной и острой пище.
Если у пациента присутствуют какие-либо хронические заболевания, они обостряются. Сложнее добиться положительного результата, лечение перестает быть таким же эффективным, как ранее. Как и при острой стадии, периодически возникают аллергические реакции в виде сыпи и зуда.
Классификация и стадии
По степени тяжести течения описторхоз делят на:
- легкую форму;
- среднетяжелую;
- тяжелую форму.
По характеру клинических признаков острый описторхоз разделяют на следующие виды:
- Инаппарантная форма — характеризуется слабо выраженной симптоматикой. Как правило, наблюдается у коренных жителей эндемичных районов. Это обусловлено врожденной иммунной толерантностью, организм легко приспосабливается к наличию паразитов, не воспринимая их как чужеродный объект.
- Манифестная ― ярко выраженная клиническая форма. Сопровождается обширной симптоматикой: общей, со стороны ЭКТ, аллергической. Наблюдается у населения не имеющего врожденной устойчивости к данному виду паразитов.
- Тифоподобная форма. Встречается редко, выражается в микробной активности на фоне ослабленного иммунитета.
- Гепатохолангитическая форма. Основные симптомы инвазии ― воспаления печеночных желчных ходов. Выражается в слабости, коликах в правом подреберье, симптомами желтухи.
- Гастроэтероколитическая форма выражается в затруднении переваривания пищи. Среди симптомов: боли и дискомфорт в эпигастральной области, ощущение наполненного желудка в начале приема пищи, чувство распирания, вздутия живота, тошнота.
- Смешанная форма, при которой сложно выделить основное расстройство. Как правило, это обусловлено наличием паразитов в желчном пузыре, протоках печени и поджелудочной железы одновременно.
Хронический описторхоз также делят на:
- латентный (бессимптомный);
- манифестный вид с преобладанием гепатитной клинической картины, холецистохолангитической, гастроэнтеритической, панкреатической или смешанной симптоматики.
После проведения терапии, остаются резидуальные проявления перенесенной болезни. В дальнейшем они квалифицируются как самостоятельное заболевание. К нам относятся гастрит (воспалительно-дистрофические изменения желудка), дуоденит (воспаление 12-перстной кишки), холангит (воспаление желчных протоков), холецистит (воспаление желчного пузыря), панкреатит (воспаление поджелудочной железы) и цирроз печени.
Диагностика
Из-за богатства клинических проявлений важным является проведение лабораторных анализов. Важно учитывать проживание пациента в эндемичном районе, принадлежность к коренным народам Севера и недавнее употребление в пищу недостаточно обеззараженной рыбы.
Лабораторная диагностика
- Клинический анализ крови — главный анализ в диагностировании описторхоза. Информативность около 90%. При наличии паразитической инвазии отмечается высокая эозинофилия в остром периоде течения болезни, доходящая до 60х109/л. В хронической стадии повышение числа эозинофилов умеренное, со временем приходит в норму. в некоторых случаях наблюдается пониженный уровень гемоглобина и тромбоцитов, при этом скорость оседания эритроцитов повышена.
- Биохимический анализ крови. В острой фазе определяют повышение:
- уровней АЛТ и АСТ;
- уровней гамма-глютамилтранспептидаз и амилазы;
- щелочной фосфатазы;
- общего билирубина.
Иногда наблюдается умеренное повышение этих показателей и в хронической стадии.
Иммуноферментный анализ крови позволяет определить наличие антител к антигенам описторхис. анализ имеет высокий процент информативности в период острого течения болезни. В хронической стадии вероятны ложноположительные результаты при наличие аутоиммунных патологий и других видов гельминтов. Поэтому исследование проводят совместно с клиническим и биохимическим анализами.
Дуоденальное зондирование — введение веществ стимулирующих выход желчи. Ее захватывают через зонд для дальнейшего изучения. При описторхозе в желчи обнаруживают яйца, повышенное содержание лейкоцитов, мертвые и неразложенный частицы паразитов, клетки эпителия. Это исследование на данный момент наиболее результативное. Информативность достигает 99%.
Копроовоскопия — исследование кала на наличие яиц описторхисов. Информативен в первые 6 месяцев с момента инфицирования. Для повышения результативности рекомендуем проводит исследование 3-кратно. При этом, на вредя диагностики следует исключить растительную клетчатку. Временно стоит отказаться от употребления овощей, фруктов, каш и хлебобулочных изделий.
Инструментальная диагностика
При тяжелом и среднетяжелом течении болезни проводят:
- Дуоденальное зондирование для определении типа нарушения желчевыводящих путей.
- УЗИ органов брюшины для диагностирования поражения желчных протоков печени.
- Фиброгастродуоденоскопия для исследования состояния слизистой оболочки двенадцатиперстной кишки и других органов системы ЖКТ.
Может быть назначено рентгенологическое исследование, компьютерная томография или магнитно–резонансная томография органов брюшной полости.
Дифференциальная диагностика
Для постановки диагноза «описторхоз» необходимо выявить у больного эпидемиологический анамнез, яйца паразитов и соответствующие болезни лабораторные признаки. Также следует исключить:
- другие паразитарные инфекции;
- гепатиты вирусной и бактериальной этиологии;
- лептоспироз;
- иные кишечные инфекции, заболевания печени и поджелудочной железы.
В последние годы отмечается снижение интенсивности инвазии по непонятным пока причинам. Это может быть как действительное снижение числа больных, так и, наоборот, увеличение распространения описторхоза. Известно, что при высокой интенсивности инвазии у этого вида паразитов останавливается половое развитие вплоть до атрофии половых органов. Таким образом описторхизы регулируют свою численность, сокращая общее выделение яиц в зоне своего территориального обитания.
Лечение
Из-за высокое риска развития тяжелых токсико-аллергических реакций, терапию описторхоза в острой форме проводят в стационаре под наблюдением врача-инфекциониста. Лечение предусматривает решение нескольких задач:
- купирование развития патологий;
- предупреждение осложнений;
- уменьшение вероятности перехода в хроническую форму.
При выборе тактики проведения терапии учитывают клинические проявления, возраст пациента, наличие осложнений. Назначается № 4 или № 5 диета по Певзнеру, обильное питье, соблюдение режима.
Медикаментозное лечение включает препараты этиотропной и патогенетической терапии. Проводятся дезинтоксикационные и антигистаминные мероприятия.
Затем приступают непосредственно к терапии описторхоза, используя для лечения антигельминтик. Препарат эффективен против большинства нематод и цист, поскольку обладает хорошей проницаемостью клеточных мембран. Противопоказанием является беременность и острая фаза сопутствующих заболеваний. С осторожностью лекарство назначают пожилым людям и лицам с тяжелой патологией сердца, почек, печени.
Лечение хронического описторхоза
Терапия хронической формы заболевания может проводится амбулаторно и в стационаре в зависимости от состояния здоровья пациента и тяжести клиники. Принцип лечения аналогичен мероприятиям проводимым при острой форме с той разницей, что подготовительных мероприятий, как правило, не требуется. Организм адаптирован к наличию паразитов.
При проведении антигельминтной терапии необходимо наблюдать за состоянием здоровья. Массовая гибель паразитов приводит к усилению аллергических проявлений. Это состояние необходимо нормализовать антигистаминными препаратами. Также необходимы препараты для восполнение электролитных нарушений и восстановления водно-электролитного баланса.
Важно нормализовать функции печени, моторики моторику ЖКТ и гепатобилиарной области, восстановить микробиоту кишечника и уменьшить воспаление. Эффективность лечения описторхоза контролируется лабораторными показателями. После достижения положительного результата, пациенту показана реабилитационная терапия. Устанавливается диспансерное наблюдение. В течение 1 года после выздоровления периодически проводят лабораторные анализы и осмотры у инфекциониста и гастроэнтеролога.
Реабилитационные мероприятия начинают проводит практически с одновременно с началом лечения. Комплексный характер принимаемых мер с участием различных специалистов помогает максимально вернуть утраченное здоровье. Рекомендовано санаторно-курортное лечение.
Выздоровление
Критерием выздоровления служат:
- Отрицательные результаты исследования желчи.
- Снижение титров антител.
- Отрицательные результаты копроовоскопии, проведенной трехкратно.
При этом, паразитологическое выздоровление не всегда приводит к клиническому выздоровлению. Если пациент страдал описторхозом на протяжении 5 лет и больше, то, как правило, симптоматика периода хронической фазы сохраняется. Это обусловлено глубокими морфологические изменениями в тканях и слизистых поврежденных органов.
Осложнения
Описторхизы чрезвычайно прожорливые паразиты. В процессе своей жизнедеятельности они наносят значительный урон тканям печени, структуре желчных протоков, желчному пузырю и поджелудочной железе. Питаются черви не только слизью протоков, но и самой слизистой. Ротовой присоской они отрывают и поедают клетки тканей и выступающую кровь. В результате остаются кровоточащие ранки, которые впоследствии зарастают рубцами, неспособными выполнять функцию органа.
Из-за значительного ослабления иммунной системы присоединяются вирусные и бактериальные инфекции. Значительные объемы перерожденной рубцовой ткани могут привести к развитию злокачественных опухолей. Большое количество паразитов способно закупорить желчные протоки, деформировать их, нарушить отток желчи. Среди наиболее часто встречающихся заболеваний, появившихся на фоне описторхоза ― абсцессы печени, перитонит, миокардит, канцерогенез.
Абсцесс печени
Патология развивается вследствие хронического воспаления печени. Органические скопления гноя могут быть одиночными и множественными. Наиболее крупные гнойники требуют вскрытия, чрескожного наружного дренирования. Отсутствие лечения может привести к перфорации с соседние области.
Абсцесс сопровождается гектической лихорадкой ― быстрый подъем температуры до +40С и последующий спад в течении дня. Среди других симптомов боль с правой стороны брюшины и нейтрофильный лейкоцитоз (аномально высокое количество нейтрофилов в крови). пациент чувствует общее недомогание, повышенную утомляемость, снижение аппетита.
Желчный перитонит
Состояние характеризуется клиникой острого живота:
- острый болевой синдром в правой стороне брюшины;
- патологическое напряжение мышц брюшной стенки.
К этому приводят деструктивные поражения органов гепатобилиарной системы, сопровождающиеся излитием желчи в брюшину. Следует напомнить, что при симптоматике острого живота требуется немедленная госпитализация. Больному запрещено пить, есть, принимать обезболивающие.
Длительное пребывание в этом состояние приведет к проникновению желчных кислот в кровь, формированию сепсиса, инфекционно-токсическому шоку и гипогликемической коме.
Острый миокардит
На фоне описторхоза из-за токсико-аллергической реакции организма может развиться острый миокардит. Для этого состояния характерны тяжесть и болевые ощущения в области сердца. Нарушением сердечного ритма ― номотопные аритмии возникают в ночные часы. Их вызывают продуктов метаболизма описторхисов, которые негативно воздействуют на синусно-предсердный узел и рецепторы.
В результате длительных инвазий развивается выраженная тканевая эозинофилия сердечных стенок. Лейкоцитарной агрессии подвергаются контаминированные кардиомиоциты. Со временем это приводит к патологии сердечной мышцы ― кардиосклерозу.
Канцерогенез
Одно из тяжелых осложнений описторхоза: рак поджелудочной железы и рак желчевыводящей системы. Заболевание проявляется длительными тупыми болями, желтушностью, длительно держащейся температурой от +37 C до +38 C, снижением аппетита, похудением, вздутием живота. Другие симптомы зависят от наиболее пострадавшего органа.
Для рака поджелудочной железы характерно бессимптомное развитие. Как правило, опухоль обнаруживают лишь на 3 - 4 стадии. Поэтому важно пройти полное обследование при диагностировании описторхоза.
Рак желчевыводящей системы ― это опухоли внутри желчного пузыря и внепеченочных протоков. Могут встречаться одиночные и множественные новообразования. Болезнь имеет неблагоприятных прогноз. Средняя продолжительность жизни с момента постановки диагноза ― 1 год.
Прогноз и профилактика
Описторхоз можно назвать заболеванием, которые легче предотвратить, чем бороться в его последствиями. Для этого достаточно не употреблять недостаточно обработанную рыбу и мясо диких животных. Следует избегать употребления строганины, малосольной рыбы. Уничтожить паразитов можно не только термической обработкой, но и холодом. Достаточно заморозить продукт при температуре -28 С в течении 32 часов.
Читайте также:





