Опоясывающий герпес с поражением глаз
Добавил пользователь Евгений Кузнецов Обновлено: 28.01.2026
ГБОУ ДПО "Российская медицинская академия последипломного образования" Минздрава России;
ООО "Герпетический центр"
ГБОУ ДПО "Российская медицинская академия последипломного образования" Минздрава России;
Офтальмологическая клиническая больница, филиал №1 ГКБ им. С.П. Боткина Департамента здравоохранения
Ставропольский краевой эндокринологический диспансер, Ставрополь, Россия
Герпес-вирусы в офтальмологии
Журнал: Вестник офтальмологии. 2014;130(4): 127‑131
Чернакова Г.М., Аржиматова Г.Ш., Клещева Е.А., Семёнова Т.Б. Герпес-вирусы в офтальмологии. Вестник офтальмологии. 2014;130(4):127‑131.
Chernakova GM, Arzhimatova GSh, Kleshcheva EA, Semenova TB. Herpesviruses in ophthalmology. Vestnik Oftalmologii. 2014;130(4):127‑131. (In Russ.).
В статье приведены современные данные о свойствах основных семи герпес-вирусов, способных вызывать воспаление тканей глаза человека. Рассмотрены особенности интраокулярной продукции, а также клинического течения офтальмоинфекции переднего сегмента глазного яблока при каждом герпес-вирусе. Освещены аспекты современной противовирусной терапии герпетических кератитов.
Все герпес-вирусы в той или иной степени обладают тропизмом к нервной ткани, клеткам кожи и слизистых, а также способностью проживать и размножаться в лейкоцитах и лимфоцитах. Для герпес-вирусов характерно латентное (скрытое) течение инфекции, которая может реактивироваться при определенных условиях 14.
ВПГ-1, ВПГ-2 и ВВЗ объединяются общими свойствами - «проживанием» в ядрах нейронов, способностью передвигаться анте- и ретроградно внутри аксонов, формированием пузырьковых (везикулезных) элементов в слизистых оболочках (в том числе и внутренних органов) и коже. Геномы всех трех вирусов имеют сходное строение с небольшими вариациями, определяющими, по-видимому, несколько различающиеся типы клинических проявлений [2, 18]. ВПГ-1 и ВПГ-2, как уже отмечалось в более ранних трудах, способны как к орофациальным, так и к генитальным поражениям, современные публикации подтверждают этот факт [3, 19]. По данным литературы, в развитых странах отмечается тенденция к росту числа случаев первичного герпетического кератита, обусловленного ВПГ-1 21. Возможно, что высокий уровень общественной гигиены и как следствие снижение вероятности заражения этим вирусом через слизистую рта в раннем детском возрасте ведут к смене «входных ворот» инфекции (эту роль начинает выполнять глазная поверхность). С другой стороны, на фоне эпидемии генитального герпеса растет удельный вес поражений глаз, обусловленных ВПГ-2, у детей, матери которых страдают хронической герпетической инфекцией 24.
ВВЗ вызывает два разных по своим клиническим проявлениям заболевания - ветряную оспу и Herpes Zoster (опоясывающий лишай). У детей при ветряной оспе (остром инфекционном системном заболевании) может в 3-5% случаев наблюдаться поражение роговицы. После стихания клинической картины ветряной оспы ВВЗ мигрирует в чувствительные ганглии, «оседая» в ядрах нейронов до момента возможной реактивации. Если реактивация ВВЗ произошла из тройничного узла с поражением его первой (глазной) ветви, то развивается так называемый Herpes Zoster Ophthalmicus - симптомокомплекс, включающий болевой синдром в соответствующей зоне иннервации и кожные высыпания 27. Вероятность поражения глаз при этом составляет по данным разных авторов от 7 до 50%, что в пересчете на реальное количество населения земного шара составляет значительную цифру - до нескольких десятков миллионов человек [15, 30, 31].
ЦМВ - герпес-вирус, инфицирование которым происходит от человека человеку через секрет слюнных желез (основное место его персистенции). Первичное инфицирование ЦМВ происходит или в бессимптомной форме, или в виде мононуклеозоподобного синдрома. Доля имеющих антитела к ЦМВ составляет в мировом масштабе от 45% в развитых странах до 100% в развивающихся регионах - Африке, Южной Америке, Азии [4]. Существенным фактом для офтальмологов является способность ЦМВ поражать клетки сетчатки, а также эпителий конъюнктивы и роговицы [32, 33].
ВЭБ поражает В-лимфоциты, но способен также инфицировать эпителиальные клетки, эпителий конъюнктивы и роговицы в частности [35, 70]. Большинство взрослых имеют антитела к ВЭБ, встреча данного вируса и организма может протекать в виде острой системной инфекции (инфекционный мононуклеоз) или же быть бессимптомной [36, 37]. В обоих случаях устанавливается скрытая инфекция, при активизации которой наблюдаются самые различные формы поражения органов и систем - пневмония, гепатит, лимфаденопатия, нейтропения, эозинофилия, тромбоцитопения, кератоувеит 38.
ГВЧ-6 и ГВЧ-7 распространены повсеместно, являются этиологическими агентами внезапной экзантемы новорожденных, синдрома хронической усталости, кроме того, ассоциируются с тяжелыми инфекциями центральной нервной системы, гепатитами, пневмонитами [39]. Согласно сероэпидемиологическим данным, большинство детей от двух до четырех лет имеют антитела к этим вирусам [7, 40].
Кератит - доминирующая форма герпетической инфекции глаз, что обусловлено рядом предрасполагающих факторов. Во-первых, гистологическими особенностями роговицы - в норме в ней отсутствуют кровеносные и лимфатические сосуды, что затрудняет контроль со стороны иммунной системы и, безусловно, снижает скорость «развертывания» противовирусной защиты [2, 6]. Во-вторых, известно, что ВПГ используют нейроны чувствительных ганглиев и как место пребывания, и как транспортную структуру [13, 22, 41]. Эти факты, наряду с высокой плотностью нервных окончаний в слоях роговицы, создают предпосылки для локального накопления вирусных частиц и соответственно для развития герпетического кератита при определенных условиях [16, 20, 21, 29, 42-44]. Еще в 1976 г. С. Dawson и В. Togni [11] впервые показали, что ВПГ-кератит является причиной «номер один» роговичной слепоты. В настоящее время ВПГ лидирует как этиологический фактор развития роговичного изъязвления [12]. По расчетным данным, сделанным на основании статистических отчетов ВОЗ, в мире ежегодно регистрируется в среднем до 1,5 млн новых случаев кератита, обусловленного ВПГ [45, 47].
Доминирующая форма поражения роговичного эпителия - так называемые «древовидные» язвы с округлыми утолщениями («луковицами») на концах разветвлений - патогномоничный признак поражения роговицы ВПГ. До настоящего времени морфогенез этих фигур не совсем ясен. Ранее считалось, что своеобразный вид поражений обусловлен дихотомическим делением роговичных нервов [2]. Метод бесконтактной фоторегистрации изменений роговицы при большом увеличении с использованием раствора флюоресцеина натрия и бенгальского розового позволил H. Tabery [48] сделать вывод о том, что древовидные фигуры в поверхностных слоях роговицы формируются путем слияния больших и малых очагов. Последние, по мнению автора, возникают одновременно и представляют собой зоны цитопатического воздействия ВПГ на эпителиальные клетки. При использовании раствора флюоресцеина натрия выявлена его диффузия сквозь дефекты эпителия к строме, что говорит об альтерации глубоких слоев даже при поверхностных поражениях. Торпидность течения легких, на первый взгляд, поражений эпителия может быть отчасти объяснена этим наблюдением. В этой связи интересны результаты экспериментальных работ Т. Wuest и D. Carr [49], показавших, что инфицированные ВПГ эпителиальные клетки запускают процесс формирования «патологических» лимфатических и кровеносных сосудов, растущих в глубокие слои стромы. Можно предположить, что в роговице человека при герпетическом кератите происходят аналогичные события и новообразованные лимфатические сосуды служат своего рода «каналом» для вирусной инвазии вглубь стромы и далее.
Кератит на фоне Herpes Zoster Ophthalmicus (HZO) обусловлен локальным размножением ВВЗ, причем вирус попадает в ткани глаза по веточкам назоцилиарного нерва (длинным цилиарным нервам) и начинает активно размножаться в тканях глаза [8]. По мнению ведущих отечественных офтальмологов, поражение роговицы ВВЗ может иметь сходные клинические проявления с таковыми при ВПГ - наблюдаются точечные, древовидные, стромальные поражения, а также сочетания поражений роговицы с воспалением сосудистой оболочки (кератоувеиты) [2, 4, 5, 8, 27, 50]. Древовидный кератит при поражении ВВЗ отличается меньшей выраженностью терминальных «луковиц» на концах разветвлений [51]. Laflamme (1976) и Partamiam (1981) предположили, что при HZO возможна коинфекция ВПГ (как причина кератита) и ВВЗ (как причина кожных поражений) [52]. Последние вирусологические исследования в этой области подтверждают такую возможность [21, 53]. Существенным в случае кератоувеита при HZO (вне зависимости от возраста и тяжести кожных высыпаний) является настороженность офтальмолога в плане «исподволь» начинающегося воспаления структур сосудистой оболочки, грозящего в дальнейшем серьезными постувеальными осложнениями (секторальная атрофия радужки, окклюзия зрачка, вторичная глаукома и прочее) [1]. В литературе описаны также случаи так называемого «zoster sine herpete» - болевого синдрома без кожных высыпаний, обусловленного реактивацией ВВЗ, следствием таких состояний также могут быть воспалительные процессы в глазном яблоке [1, 12, 54, 55], поэтому отсутствие кожных высыпаний не должно быть основанием для исключения диагноза HZO.
Доминирующими формами поражения глаз при ВЭБ-инфекции по данным литературы являются оптический неврит и хориоретинит, хотя этот вирус может играть определенную роль и при увеитах, особенно в качестве коинфекции с другими герпес-вирусами [29]. В небольшом проценте наблюдений ВЭБ выделяется у пациентов без признаков воспаления в роговице, поэтому говорить о доказанном ВЭБ-кератите возможно в тех ситуациях, когда обнаруживаются или повышенные количества вируса, или выявляется повышение уровня соответствующих классов антител в сыворотке крови [29, 38, 56]. Кератит как самостоятельную форму реактивации хронической инфекции ВЭБ у четырех пациентов впервые описала Элис Матоба в 1986 г. [37, 57]. R. Sundmacher [61] приводит доказанный случай интерстициального кератита при реактивации хронической ВЭБ-инфекции. Ямамото выделил ДНК ВЭБ из влаги передней камеры у 16 из 55 пациентов при увеитах без иммунодефицита, что может свидетельствовать о вероятной роли этого вируса в развитии интраокулярного воспаления [59].
R. Sundmacher не исключает роль ЦМВ в развитии синдрома Познера-Шлоссмана [61]. Г.И. Кричевская и соавт. [4] исследовали роль активной ЦМВ-инфекции при воспалительной патологии у взрослых и детей. В группе взрослых в 18% случаев серологическими методами была подтверждена реактивация ЦМВ-инфекции, причем в трети случаев отмечалась заинтересованность роговицы.
Ганцикловир быстро проникает в пораженные ткани в количестве, в десятки раз превышающем среднюю эффективную дозу для ВПГ (эффективная доза - доза вещества, необходимая для подавления 50% вирусной популяции). При местном применении глазного геля, содержащего 0,15% ганцикловир (Зирган), системная абсорбция аналога нуклеозида ничтожно мала. Карбомерный базис имеет осмолярность и pH, сходные с таковыми у слезы, что обеспечивает хорошую переносимость гелевого раствора воспаленной глазной поверхностью [34, 66, 67]. Для лечения поверхностных кератитов, вызываемых ВПГ, Зирган применяется 5 раз в день в течение 2 нед до достижения желаемого результата и затем еще неделю 3 раза в день в качестве поддерживающей терапии. Сочетание уникальных фармакологических и физико-химических свойств позволяет рекомендовать гель Зирган в качестве диагностического «ключа» при выборе лечебной тактики, а также как современное средство первой линии терапии герпес-вирусных заболеваний роговицы.
Заключение
Герпес-вирусы способны размножаться в любых органах и тканях, поэтому глазное яблоко можно рассматривать как одну из гистологических «мишеней» этих политропных микроорганизмов. При этом, однако, необходимо помнить, что глаз - уникальный в иммунологическом смысле орган, так как здесь действуют законы сдерживания воспалительных процессов для сохранения прозрачности оптических сред и реализации основной функции органа зрения - получения и проведения зрительной информации. Иными словами, герпес-вирусы, стремясь попасть в глаз, достигают заведомо иммуносупрессивной среды, в которой начинают активно реплицироваться, обладая колоссальным деструктивным потенциалом [14, 17, 43, 71, 72]. Перед офтальмологом в этой ситуации стоят две задачи - быстро распознать «лицо» вирусной инфекции и безотлагательно начать активную и адекватную противовирусную терапию.
Опоясывающий герпес (опоясывающий лишай) - симптомы и лечение
Что такое опоясывающий герпес (опоясывающий лишай)? Причины возникновения, диагностику и методы лечения разберем в статье доктора Александрова Павла Андреевича, инфекциониста со стажем в 14 лет.
Над статьей доктора Александрова Павла Андреевича работали литературный редактор Маргарита Тихонова , научный редактор Сергей Федосов
Определение болезни. Причины заболевания
Опоясывающий герпес (опоясывающий лишай) — это инфекционное заболевание, которое возникает у людей, переболевших ветряной оспой. Его вызывает вирус Varicella zoster (вирус ветряной оспы), который активизируется из латентного состояния и поражает задние корешки спинного мозга, межпозвоночные нервные узлы (ганглии) и кожу.
Клинически характеризуется умеренно выраженным синдромом общей инфекционной интоксикации, везикулёзной сыпью по ходу чувствительных нервов, вовлечённых в процесс, и выраженными болями.

Этиология
Семейство — Herpesviridae (от греч. herpes — ползучий)
Вид — вирус герпеса 3 типа — Varicella zoster (VZV, HHV-3).
Varicella zoster — ДНК-содержащий клеточно-ассоциированный вирус овальной формы. В диаметре он достигает 120-179 нм. Покрыт липидной оболочкой с гликопротеиновыми шипиками. Имеет антигены как снаружи, так и внутри (сердцевинные антигены). Их количество и качество непостоянно. Других вариантов патогена не найдено.

После того, как человек перенёс ветряную оспу, вирус ретроградным обратным путём перемещается по отросткам нервных клеток (аксонам) к ганглиям. Там он пожизненно сохраняется в латентном состоянии. Антигены вируса на поверхности инфицированных нейронов отсутствуют. Это не позволяет иммунной системе распознать данные клетки.
Для животных непатогенен. Очень неустойчив во внешней среде, изменяется при нагревании. Солнечная радиация, свежий воздух при проветривании, стандартные дезинфицирующие средства и жирорастворители убивают вирус почти мгновенно [1] [2] [5] [7] [9] [10] .
Эпидемиология
Заболеванию подвержены люди, которые перенесли ветряную оспу (как правило, давно) при снижении иммунореактивности организма. К ним относятся пожилые, беременные, ВИЧ-инфицированные, люди после стресса или трансплантации органов — получающие иммуносупрессивную терапию (подавление нежелательных реакций иммунной системы) и другие иммунодепрессированные контингенты.
Так как заболевание развивается из-за реактивации вируса, уже находящегося в организме, опоясывающий герпес называют эндогенной болезнью.
Заболевание не носит массовый характер. У него нет чёткой сезонности. Чуть чаще болеют женщины и представители белой расы.
Люди с опоясывающим герпесом являются источником распространения вируса и могут быть опасны в плане заражения ветряной оспой у ранее не болевших людей, особенно детей.
В среднем заболеваемость находится на уровне 10-12 случаев на 1000 человек старше 60 лет. В последнее десятилетие наблюдается рост заболеваемости в более младших возрастных группах.
У ВИЧ-инфицированных опоясывающий герпес — достаточно частое проявление при снижении уровня СД4 (белых кровяных телец) ниже 0,5 на 10 9 /л. При отсутствии прогрессирующей иммуносупрессии повторные рецидивы наблюдаются редко (не более 5 % случаев) [1] [3] [5] [7] [10] .
При обнаружении схожих симптомов проконсультируйтесь у врача. Не занимайтесь самолечением - это опасно для вашего здоровья!
Симптомы опоясывающего герпеса
Инкубационный период в привычном понимании отсутствует, так как опоясывающий герпес — это не первичная инфекция. Может пройти вся жизнь, а манифестация так и наступит, хотя вирус в организме присутствует.
Предугадать развитие болезни сложно. Её начало и проявления широко различаются и зависят от степени тяжести. Заболеванию может предшествовать стресс, травма или ОРЗ.
Выделяют симптоматику отдельных форм опоясывающего лишая.
Ганглиокожная форма
Эта форма начинается с продромы — лёгкое недомогание, нарушения чувствительности, умеренные болевые ощущения в местах будущих высыпаний. Этот период длится до семи дней. Затем боли становятся выраженными, появляется лихорадка, умеренно выраженный синдром общей инфекционной интоксикации. Иногда боли усиливаются даже при дуновении ветра (т.н. аллодинические боли — от неболевых раздражителей).
Через 3-10 дней в этих местах на фоне покраснения появляется везикулёзная сыпь. При этом интенсивность боли обычно снижается. Сыпь возникает с одной стороны, ограниченная областью иннервации одного сенсорного ганглия. Везикулы имеют тенденцию к группировке.

В дальнейшем содержимое везикул мутнеет, иногда вскрывается. Через 4-5 дней от появления сыпи появляются корочки. Они исчезают на 2-4 неделе болезни.

Разрешаются в ысыпания бесследно, но только при отсутствии расчёсов и глубоких воспалительных повреждений. А вот болевые феномены могут сохраняться длительно, иногда до года. Это требует своевременной противовирусной терапии и купирования боли.
В целом боли при опоясывающем герпесе достаточно выраженные, усиливаются при движении, прикосновении (даже незначительном). Их можно расценить как острые (с продромы и до одного месяца), подострые (1-4 месяца) и хронические (более 4 месяцев – постгерпетическая невралгия – типичная нейропатическая боль). Характер болей может быть различным – постоянным и спонтанным, чаще жгучим, давящим. Иногда боли сравнивают с ударом тока. Они могут причинять значительные физические страдания больным, нарушать сон, изматывать пациента.
Локализация болей и сыпи соответствует проекции поражённых нервов.

Глазная форма
Высыпания появляются на лице, носе и глазах. Это связано с поражением тройничного нерва и гассерова узла. Сыпь распространяется от уровня глаза до теменной области, резко прерывается по срединной линии лба. Иногда процесс затрагивает глаз.

Ушная форма
Поражается коленчатый узел. При этом захватывается ушная раковина, наружный слуховой проход. Может возникнуть паралич лицевого нерва и лицевой мускулатуры — т.н. синдром Ханта. Теряется вкусовая чувствительность.

Гангренозная (некротическая) форма
Возникает глубокое поражение кожи. Формируются грубые рубцы, иногда с геморрагическим пропитыванием содержимого — геморрагическая форма. Чаще всего развивается у пожилых людей с отягощённым соматическим анамнезом — сахарным диабетом, язвенной болезнью и т. д.

Менингоэнцефалитическая форма
Чаще наблюдается при расположении сыпи на голове. Повышается температура, возникают головные боли, тошнота и рвота, не приносящая облегчения, менингеальный синдром, нарушения сознания, кома. Летальность при этом состоянии — свыше 60 %.
Диссеминированная форма
Возникает при СПИДе. Высыпания распространяются по всему кожному покрову. Часто при этом поражаются внутренние органы — лёгкие, мозг, печень, почки. Прогноз неблагоприятный.
Ганглионевралгическая форма
Характерные высыпания отсутствуют, но есть явный болевой синдром. Диагностика крайне затруднительна. Из-за очень позднего диагноза лечение сводиться лишь к купированию боли. Применение противовирусных препаратов в отсроченный период явно не влияет на процесс.
Опоясывающий герпес при беременности
У беременных опоясывающий герпес (при отсутствии ВИЧ) обычно не имеет каких-либо отличий. Он не влияет на течение беременности и не вызывает поражения плода/ребёнка [2] [3] [6] [8] [10] .
Патогенез опоясывающего герпеса
Даже спустя много лет после перенесённой ветряной оспы вирус сохраняется в межпозвоночных нервных узлах и задних корешках спинного мозга. Под воздействием провоцирующего фактора (ВИЧ, стресса, приёма иммунодепрессантов, онкологии, радиации, пересадки органов и других) он активизируется и выходит из нервных клеток. Продвигаясь по аксонам чувствительных нервных стволов (чаще межрёберных, тройничного нерва) до кожного покрова, вызывает характерное поражение кожи — болезненную везикулёзную сыпь.
Такой процесс происходит у людей с наличием специфических антител класса G в низких концентрациях и сниженным уровнем клеточного иммунитета.

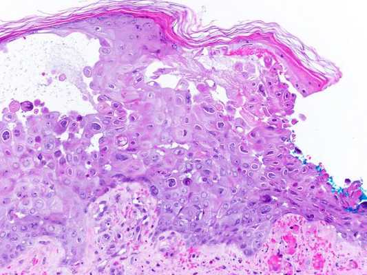
Патоморфологические изменения кожи напоминают изменения при простом герпесе:
- возникает внутриклеточный и межклеточный отёк эпидермиса;
- в верхних отделах росткового слоя образуются пузырьки;
- происходит баллонирующая дегенерация и дистрофия цитоплазмы — клетки шиповатого слоя округляются, увеличиваются и отделяются друг от друга и разрушаются;
- появляются гигантские клетки, которые содержат несколько ядер, в том числе с эозинофильными включениями.

В патогенезе болезни ведущими являются не эпителиотропные свойства вируса, а нейротропные. Из-за часто повторяющихся болевых стимулов, частичного повреждения миелиновой оболочки, покрывающей аксоны и нейроны, и участков чувствительных нервов вирус повышает чувствительность ноцицепторов центральной нервной системы [1] [2] [5] [7] [10] .
Классификация и стадии развития опоясывающего герпеса
МКБ-10 (Международная классификация болезней) выделяет семь вариантов опоясывающего герпеса (B02):
- B02.0 — опоясывающий лишай с энцефалитом;
- B02.1 — опоясывающий лишай с менингитом;
- B02.2 — опоясывающий лишай с другими осложнениями со стороны нервной системы: постгерпетический ганглионит узла коленца лицевого нерва, полиневропатия, невралгия тройничного нерва;
- B02.3 — опоясывающий лишай с глазными осложнениями: блефарит, конъюнктивит, иридоциклит, ирит, кератит, кератоконъюнктивит, склерит;
- B02.7 — диссеминированный опоясывающий лишай;
- B02.8 — опоясывающий лишай с другими осложнениями;
- В02.9 — опоясывающий лишай без осложнений.
По клинической картине выделяют две основные формы заболевания:
- Типичная (без осложнений и с осложнениями):
- эритематозная — покраснения;
- везикулёзная — покраснение с образованием везикул (пузырьков);
- пустулёзная — покраснение, везикулы, нагноение пузырьков;
- буллёзная — тяжело протекающая форма с появлением на коже пузырей, наполненных экссудатом, впоследствии нередко нагнаивающихся.
- Атипичная (без осложнений, с осложнениями):
- абортивная — наблюдается лишь гиперемия, иногда возникают папулы, но без везикул, т. е. без пузырьков;
- геморрагическая — содержимое везикул пропитывается кровью;
- гангренозная — с некрозом тканей;
- генерализованная — обширные высыпания, поражающие несколько участков кожи;
- диссеминированная (в т. ч. у ВИЧ-инфицированных) — обширные высыпания с поражениями внутренних органов; крайне неблагоприятный прогноз;
- опоясывающий герпес с поражением органа зрения (офтальмогерпес с развитием кератита, эписклерита, иридоциклита) и неврита зрительного нерва;
- опоясывающий герпес с поражением слизистой полости рта, глотки, гортани, ушной раковины и слухового прохода.
По степени тяжести заболевание может быть:
- лёгким;
- среднетяжёлым;
- тяжёлым (с осложнениями) [1][2][10]
Осложнения опоясывающего герпеса
- Поперечный миелит — острое воспаление серого и белого вещества одного или нескольких прилегающих сегментов спинного мозга. Возникают головные, шейные и спинные боли. Затем добавляется чувство слабости, опоясывающей скованности груди и живота — двигательные параличи, задержка мочи и кала. Для диагностики проводится МРТ и анализы ликвора.
- Менингоэнцефалит — резкое повышение температуры, сильная головная боль, тошнота, рвота, менингеальный симптомы, нарушение сознания. Диагностируется с помощью МРТ и анализов ликвора. Прогноз неблагоприятный.
- Офтальмогерпес — покраснение, нарушение зрения, боль в глазу. В итоге приводит к глаукоме и слепоте.
- Отит — боли в ухе, повышение температуры тела, выделения из уха, нарушения слуха. Может привести к глухоте.
- Ганглионеврит — воспаление нервного ганглия с относящимися к нему нервными стволами. Сопровождается выраженными стреляющими, жгучими болезненными ощущениями, которые возникают из-за малейших воздействий на поражённый очаг. Возникает в основном у пожилых больных при отсутствии своевременного лечения.
- Бактериальная суперинфекция — нагноение участков высыпаний.

- Диссеминация у больных СПИДом — распространение вируса. Приводит к бронхиту, эзофагиту, гастриту, колиту, циститу, миозиту, перикардиту, плевриту, перитониту, пневмонии, гепатиту, миокардиту и артриту[1][4][9][10] .
Диагностика опоясывающего герпеса
Лабораторная диагностика:
- Клинический анализ крови: нормоцитоз (нормальные размеры эритроцитов) или лейкопения (сниженное количество лимфоцитов). При присоединении вторичной флоры возможен нейтрофильный лейкоцитоз — чрезмерно повышенный уровень нейтрофилов. СОЭ в норме или повышена.
- Биохимический анализ крови: как правило, без существенных отклонений, зависит от распространённости процесса и наличия сопутствующих заболеваний.
- ИФА-диагностика крови: выявление повышенного титра IgG антител как маркера инфицирования вирусом, нарастание титра в 4 раза, иногда появление IgM к вирусу ветряной оспы.
- ПЦР биологического материала (отделяемого высыпаний, ликвора, крови): выявление ДНК вируса.
- Экспресс-методы — изучение под микроскопом мазков-отпечатков из высыпаний: обнаруживаются гигантские многоядерные клетки — симпласты — с внутриядерными включениями и специфические антигены с моноклональными антителами. Проводится в основном в научных целях.
- Общий анализ мочи неинформативен [1][2][5][7][9][10] .
Дифференциальная диагностика:
- везикулёзный осповидный риккетсиоз — пребывание на очаговой территории, факт укусу клеща, первичный аффект, панваскулит (воспаление стенок сосуда), генерализованная лимфаденопатия;
- инфекция простого герпеса — одиночные пузырьки, чаще в области губ и половых органов, отсутствие явных болей; — контакт с больным ветряной оспой или опоясывающим герпесом, отсутствие ветряной оспы в прошлом, единичные несливающиеся везикулы по всему телу, отсутствие болей в местах высыпаний;
- энтеровирусная инфекция — теплое время года, преимущественное поражение кистей и стоп, в основном папулёзные элементы сыпи, часто в совокупности с синдромом поражение ЖКТ;
- укусы блох и клопов — яркая зудящая сыпь — папулы, гиперемия в местах укусов — первичные аффекты, наличие элементов в основном на открытых участках кожи;
- болевая форма терапевтических заболеваний до характерных высыпаний — стенокардия, инфаркт, печёночная и почечная колики — заключение делается на основании характерных изменений биохимии, УЗИ и ЭКГ;
- рожистое воспаление — отсутствие везикул, характерный вид пламени [1][3][4][10] .
Лечение опоясывающего герпеса
Пациентов с тяжёлыми формами опоясывающего герпеса необходимо госпитализировать в инфекционный стационар. Остальные больные при отсутствии серьёзных сопутствующих состояний могут лечиться на дому.
В первую очередь показан приём препаратов прямого противогерпетического действия (на основе ацикловира) в высоких дозировках. Он снижает выраженность и длительность инфекционного и постинфекционного (болевой синдром) процесса.
Начать такое лечение нужно как можно раньше — не позднее семи дней от начала болезни и трёх дней от появления сыпи.
При применении препаратов в более поздние сроки их эффективность резко снижается, так как вирус уже достиг пика своего развития и вызвал каскад иммунонейропатологических реакций.
Использование местных средств против герпеса — мазей и кремов — оказывает слабый терапевтический эффект.
Для подсушивающего, местного антисептического действия используют любой местный антисептик подобного рода — цинковые болтушки, растворы бриллиантового зелёного.
При обширных поражениях, сопровождающихся выраженной воспалительной реакцией, используются противовоспалительные средства, глюкокортикостероиды и противоаллергические препараты.
При выраженных болях (ганглионевритах) стандартные противоболевые средства (НПВС) малоэффективны, поэтому предпочтение следует отдавать антиконвульсантам центрального действия и антидепрессантам. Физиотерапия ослабляет болевые ощущения. Приём витаминов, БАДов и т. п. явного значения не имеет [1] [2] [3] [8] [10] .
Прогноз. Профилактика
При неосложнённых и локализованных формах болезни прогноз благоприятный. При развитии ганглионевритических болей может существенно снизиться качество жизни на достаточно длительный срок (до года), а при менингоэнцефалитической и диссеминированной формах — на ещё более серьёзный срок, нередки летальные исходы.
Профилактика болезни в очаге заражения не проводится. Если опоясывающим герпесом болел ВИЧ-инфицированный пациент, то достаточно проветрить помещение.
В целях неспецифической профилактики опоясывающего герпеса нужно постараться вести здоровый образ жизни, сбалансировано и полноценно питаться, избегать стрессовых ситуаций.
В качестве специфической профилактики используются вакцины против ветряной оспы — "Варилрикс" и "Окавакс". Их можно делать как до болезни ветряной оспы (детям и неболевшим взрослым), так и после (пожилым людям с риском реактивации вируса).
Офтальмогерпес - причины и лечение
Среди всех патологий роговицы на офтальмогерпес приходится три четверти случаев. Инфекция склонна к рецидивированию и нередко регистрируется три-пять эпизодов в течение года. Если имеются признаки развития герпеса, то следует незамедлительно обратиться к врачу, так как при откладывании лечения, вирус распространиться на глубжележащие ткани глаза. Это неблагоприятным образом скажется на зрении пациента и даже может привести к слепоте.

Причины заболевания
Возбудителями офтальмогерпеса являются вирусы из этого семейства (простой герпест, герпес зостер, изредка герпес 2 и 6 типов, а также цитомегаловирус). Все вирусы герпеса имеют сферическую форму и двуцепочечную молекулу ДНК, имеющую различную длину.
Вирус размножается внутри ядра клетки. Затем новые вирусные частыцы разрушают яброи мембрану клетки-хозяина и попадают в кровоток.
Пути заражения офтальмогерпесом
Глаз человека защищен от микроорганизмов, так как слезная жидкость содержит иммунные комплексы, интерфероны, Т-киллеры.
При нарушениях в организме глаз становится восприимчивым к инфекции, в том числе и к герпетической. К этим изменениям относят снижение иммунитета, хронический стресс, травма глаза перегрев или переохлаждение. Кроме того, при приеме некоторых лекарств (простагландиты, цитостатики, иммунодепрессанты) риск развития офтальмогерпеса повышается. Также склонны к инфицированию беременные женщины.
Первичное попадание вируса происходит при контакте с больным человеком. Далее вирус размножается и распространяется в организме. Излюбленным местом нахождения вируса герпеса является нервная ткань. Там вирус дремлет в течение всей жизни пациента, а при неблагоприятных условиях активизируется.
При экзогенном заражении офтальмогерпесом, вирус проникает извне. Обычно таким путем заражаются новорожденные (при контакте с герпетическими высыпаниями на половых органах у матери), дошкольники (из-за особенностей их пребывания в детских садах).
Патогенез
Вирус герпеса размножается в поверхностном слое роговицы. После выхода вирусных частиц, клетки эпителия погибают. Также происходит поражение иммунной системы, что сопровождается аутоиммунными реакциями.

Симптомы офтальмогерпеса
Среди проявлений офтальмогерпеса есть ряд неспецифических симптомов. К ним относят слезотечение, фотофобию, покраснение век, болевые ощущения, раздражение глаз.
В результате кератита при офтальмогерпесе могут возникать:
- Сужение границ зрительного поля;
- Блефароспазм;
- Деформация и раздвоение объектов;
- Гемералопия;
- Тошнота;
- Боль в глазах во время движения;
- Появление вспышек и огней перед глазами.
Клиническое течение
Обычно офтальмогерпес является результатом пробуждения вируса, а не первичного инфицирования. При этом поражение глаз может быть выражено в различной степени.
Офтальмологи выделяют несколько клинических форм заболевания:
- Повреждение переднего отдела глаза (конъюнктивит, кератит, рецидивирующая эрозия роговицы, блефароконъюнктивит, эписклерит);
- Повреждение заднего отдела глазного яблока (увеит, периваскулит, центральная серозная ретинопатия, синдром острого некроза сетчатки, передняя ишемическая ретинопатия, ретинохориоретинит новорожденных).
Диагностика офтальмогерпеса
Для определения герпетического поражения глаз, нужно проанализировать симптомы, изучить анамнез пациента.
При офтальмогерпесе происходит воспалительное повреждение сосудов, возникают изъязвления, застой, которые видны во время осмотра с щелевой лампой. Также для диагностики применяют методику флуоресцирующих антител, иммунофлуоресцентный анализ. В спорных ситуациях проводят иммуноферментный анализ.
Осложнения при офтальмогерпесе
Если вовремя начать лечение герпетического поражения глаз, то эффективность терапии обычно высокая, так как инфекция расположена на поверхности роговицы. Если же изменению подверглись глубокие структуры глаза, то возникает помутнение вещества роговицы и стекловидного тела, что приводит к снижению остроты зрения. Иногда даже наступает роговичная слепота.
При хроническом течении инфекции, могут проявиться симптомы катаракты и глаукомы. При некротическом изменении сетчатки возникают кровоизлияния и ее отслойка (полная или частичная).

Лечение офтальмогерпеса
В зависимости от клинического течения офтальмогерпеса, терапия может различаться. При этом можно выделить два подхода: симтпоматический (устранение боли, отека, покраснения) и этиотропный (непосредственное влияние на вирус).
Наибольшей эффективности достигает разнонаправленное лечение, воздействующее на различные цепи патогенеза. В результате можно не только устранить симптомы офтальмогерпеса, но и снизить риск рецидива заболевания.
Хирургические методики используют при поражении глубоких структур глаза. Может быть использована лазерная коагуляция, микродиатрмокоагуляция, нейротомия, кератопластика. Все это способствует уменьшению размера очага поражения.
Симптоматическое лечение включает противовоспалительные, рассасывающие, анальгезирующие препараты, витаминные комплексы и биостимуляторы. Их можно вводить капельно или при помощи электрофореза и фонофореза.
Препараты для лечения офтальмогерпеса
Лечение офтальмогерпеса проводится следующими препаратами, которые имеют наибольшую эффективность:
Ячмень - симптомы и лечение
Что такое ячмень? Причины возникновения, диагностику и методы лечения разберем в статье доктора Котельникова Сергея Валерьевича, офтальмолога со стажем в 14 лет.
Над статьей доктора Котельникова Сергея Валерьевича работали литературный редактор Вера Васина , научный редактор Сергей Цыганок и шеф-редактор Маргарита Тихонова
Ячмень (hordeolum, stye) — это красная болезненная шишка, которая образуется на веке или внутри него у края ресниц. Может выглядеть как прыщик.
В англоязычной литературе применяется термин «гордеолум» (hordeolum).

Почему появляется ячмень
Ячмень на глазу, или гордеолум, — это острое очаговое заболевание, которое, как правило, вызывает золотистый стафилококк (S. aureus). В основном бактерии поражают железы Цейса, в редких случаях — мейбомиевые железы.
Из-за близкого расположения и внешнего сходства ячмень часто путают с мейбомеитом и халязионом, хотя эти заболевания относятся к разным типам поражения. Халязион возникает из-за закупорки сальной железы, а ячмень — при инфицировании желёз. Но иногда халязион может перерасти в ячмень.
Факторы риска
Ячменю подвержены пациенты с хроническим блефаритом, дисфункцией мейбомиевых желёз и окулярной розацеа (прыщами вокруг глаз). Частая заболеваемость объясняется тем, что при этих заболеваниях кожа сильнее инфицируется патогенными микроорганизмами.
Кроме того, к факторам риска относятся предшествующие инфекционные заболевания, диабет, хронические воспалительные болезни век, пониженный иммунитет, гиповитаминоз и фурункулёз.
Распространённость
Ячмень — одно из самых частых заболеваний век. Гендерной предрасположенности к его развитию нет: и мужчины, и женщины болеют одинаково часто.
Ячмень чаще встречается у взрослых, чем у детей. Возможно, это связано с более высоким уровнем андрогенов и повышенной вязкостью кожного сала [11] .
Симптомы ячменя
К симптомам болезни относятся:
- отёк и опущение века;
- боль, зуд, покраснение и обжигающее ощущение в глазах;
- корки по краям век;
- нечёткое зрение;
- выделение слизи из глаза;
- повышенная светочувствительность;
- чувство распирания внутри века;
- дискомфорт при моргании;
- ощущение инородного предмета в глазу.
Чаще всего ячмень проявляется острой болью, отёком век и покраснением кожи. Затем образуется подкожный узелок, который может выдаваться вперёд на поверхность кожи или на заднюю часть века.
В следующие несколько дней отёк усиливается, кожа сперва краснеет, а затем желтеет. Наконец, гной прорывается вблизи края века, после чего воспаление быстро проходит. Маленькая полость абсцесса вскоре затягивается, и пациент выздоравливает.
Хотя болезнь длится всего несколько дней, часто пациенты переносят её тяжело: опухшее и напряжённое веко сильно болит, вдобавок заболевание может развиваться повторно [3] .
При осложнённом течении иногда развивается пиогенная гранулёма — обширное поражение кожи века, которое давит на глаза, из-за чего у детей может ухудшиться зрение.

Патогенез ячменя
В основе патогенеза ячменя, как правило, лежит мейбомит, при котором секрет желёз застаивается, а их устья уплотняются. Из-за застоя секрета развивается инфекция — обычно золотистый стафилококк.
Чаще всего при ячмене нагнаиваются цейсовские железы, реже только одна из мейбомиевых желёз. В обоих случаях ячмень протекает схоже, но поскольку мейбомиевы железы больше цейсовских и окружены плотной тканью хряща, воспаление в них проявляется сильнее, а гной опорожняется позже.

Пока гной находится внутри больной железы, он просвечивает через конъюнктиву вывернутого века желтоватым цветом. Позже он прорывает конъюнктиву или опорожняется через отверстие железы. При поражении мейбомиевой железы гной часто прорывается через кожу, при поражении цейсовской железы подобное происходит очень редко [3] [4] .
Ячмень схож с акне, потому что мейбомиевы железы — это видоизменённые сальные железы. Резкое воспаление и сильный отёк, отличающие ячмень от акне кожи, связаны с особенностями строения века. Гистологически гордеолум — это очаговые скопления полиморфно-ядерных лейкоцитов и некротических остатков (т. е. абсцесс) [2] [3] .
Классификация и стадии развития ячменя
Ячмень бывает внешним и внутренним. Внешний ячмень встречается чаще, образуется на внешней стороне верхнего или нижнего века. Развивается при нагноении цейсовской железы. Вначале возникает воспалительный отёк века, который в тяжёлых случаях распространяется на конъюнктиву склеры.
Внутренний ячмень встречается гораздо реже, чем внешний. Он представляет собой нагноение одной из мейбомиевых желёз, поэтому по-другому его называют мейбомеитом (hordeolum meibomianum) [5] . Образуется на внутренней стороне век.

Осложнения ячменя
Осложнения при ячмене возникают крайне редко. Если болезнь не лечить, инфекция может распространиться на периорбитальные ткани. Кроме того, без ежедневной гигиены век ячмень может появиться снова.
При неправильном дренаже или самостоятельном вскрытии ячменя может нарушиться рост ресниц, деформироваться выемка века или появиться свищ век.
К другим возможным осложнениям ячменя относятся:
- Мейбомиевая киста (халязион) — киста небольших желёз, расположенных на веке. Устойчивый ячмень на внутренней стороне века может перерасти в халязион, особенно при закупорке железы. Этот тип кисты лечится легко и эффективно.
- Пресептальный или периорбитальный целлюлит — может развиться, если инфекция распространилась на ткани вокруг глаза. Слои кожи вокруг глаз воспаляются, из-за чего веки краснеют и опухают. Заболевание лечится антибиотиками.
- Орбитальный целлюлит — это потенциально опасное для зрения и жизни осложнение, но оно развивается крайне редко. При заболевании инфицируются мягкие ткани за глазничной перегородкой. Болезнь может возникнуть в любом возрасте, но чаще встречается у детей [6] .

Диагностика ячменя
При диагностике ячменя доктор опросит и осмотрит пациента, в некоторых случаях может потребоваться биопсия.
Сбор анамнеза
На приёме врач спросит, как давно появились симптомы (ячмень обычно развивается за несколько дней) и возникали ли они ранее.
Ячмень на остроту зрения не влияет, потому любые сопутствующие симптомы, например изменение остроты зрения, покраснение глаз, двоение, ограниченные или болезненные движения глаз, могут указывать на альтернативный диагноз.
Осмотр
При ячмене за несколько дней у края века развивается острый болезненный локализованный отёк (папула или фурункул). Глаз при этом может чрезмерно слезиться. Симптомы обычно односторонние, но могут возникать и на обоих глазах.
При осмотре для уточнения диагноза врач вывернет нижнее и верхнее веко.
Если ячмень внешний:
- припухлость располагается у края верхнего или нижнего века;
- отёк обычно локализуется вокруг фолликула ресницы;
- ячмень направлен кпереди через кожу;
- заметно небольшое жёлтое пятно, заполненное гноем;
- иногда на веке возникают несколько ячменей.
Если ячмень внутренний:
- болезненный отёк возникает во внутреннем веке (хотя может быть поражено всё веко);
- по сравнению с внешним ячменём шишка находится дальше от края века;
- при выворачивании века в области тарзальной пластинки возникает локальная припухлость.

Биопсия
Атипичные клинические признаки, такие как искажение края века, потеря ресниц, изъязвление или кровотечение, могут указывать на альтернативный диагноз, например на злокачественную опухоль века. В этих случаях проводится биопсия — иссечение кусочка ткани для микроскопического исследования [7] .
Дифференциальная диагностика
Ячмень следует отличать от следующих заболеваний:
- Мейбомиева киста (халязион) — это очаговое хроническое воспаление цейсовых или мейбомиевых желёз. Халязион формируется при застое содержимого желёз (кожного жира), из-за которого развивается воспаление неинфекционной природы. Халязион обычно более крупный и менее болезненный, чем ячмень [2][3] .
- Кисты Молля — это куполообразные папулы или узелки, заполненные прозрачной жидкостью. Возникают из-за закупорки апокриновых потовых желёз по краю века.
- Кисты Цейса — обычно наполнены жёлтыми маслянистыми выделениями. Заболевание развивается из-за закупорки сальных желёз по краю века.
- Кисты эпидермального включения — это твёрдые, возвышающиеся круглые очаги с центральной порой, заполненные кератином. Развиваются при нарушенной проходимости воронки волосяного фолликула, растут медленно. — проявляется отёчностью, жжением и покраснения век и кожи вокруг них. Заболевание можно заподозрить, если симптомы появились после применения ароматизаторов, косметики, средств по уходу за волосами или использования контактных линз.
- Атопическаяэкзема — сопровождается покраснением, шелушением и сильным зудом кожи век. — это острое или хроническое воспаление края века. Признаки хронического воспаления окружающей кожи, например утолщение с усилением рисунка, сухость, шелушение и трещины, могут свидетельствовать как о блефарите, так и о экземе. — это инфекция слёзного мешка, вызванная закупоркой носослёзного протока. При острой инфекции возникает боль, отёк и покраснение в срединной области глазного яблока. Покраснение также может распространяться на нос и щёку. При хронической инфекции отёк или покраснение могут отсутствовать. Массаж кожи над слёзным мешком вызывает выделение гноя из небольших отверстий в области внутреннего угла глаза. — высыпания на коже века характерного розового цвета. с поражением глаз — это инфекция глаза, вызванная вирусом ветряной оспы. К симптомам болезни относятся покалывание в области лба, волдыри на лбу и носу, боль и покраснение глаз, повышенная светочувствительность и отёк века.
- Периорбитальный и орбитальный целлюлит — протекает с сильнейшим отёком века и выпиранием глазного яблока.
- Злокачественные опухоли век — проявляются атипичными клиническими признаками (прогрессирующее поражение кожи, деформация или разрушение края века, потеря ресниц, пигментация, изъязвление, образование корок или кровотечение) или рецидивами ячменя в том же месте. Причиной болезненных симптомов может быть базальноклеточная карцинома (наиболее часто), меланома, сальная или плоскоклеточная карцинома [6][10] .
Лечение ячменя
Лечение ячменя может быть консервативным и оперативным.
Консервативное лечение ячменя
Ускорить отток гноя из очага поражения помогут тёплые компрессы, которые прикладывают к веку несколько раз в день. Применять компрессы можно только по назначению офтальмолога, потому что в некоторых случаях прогревание может ухудшить состояние.
Народные методы лечения ячменя мало эффективны. Не следует пытаться самостоятельно выжать или осушить ячмень: инфекция может распространиться на глубжележащие ткани. Если покраснение и отёк выходят за пределы века на щеку или другие части лица и поднимается температура, нужно немедленно обратиться к офтальмологу. Регулярное наблюдение у доктора также поможет вовремя заметить ухудшение состояния или побочное действие лекарств.
Врач может назначить мази с антибиотиками или капли со стероидами. В некоторых случаях рекомендуется инъекция Триамцинолона (Кеналога), но приём этого препарата сопряжён с небольшими рисками отложения стероида на коже, некроза, атрофии подкожно-жировой клетчатки, потери зрения, неполного разрешения ячменя и необходимости операции. К другим побочным реакциям относятся гипо- или гиперпигментация, особенно у пациентов с тёмным оттенком кожи.
Оперативное лечение ячменя
Если после приёма лекарств воспаление не проходит, потребуется хирургический разрез и дренирование. Операция проводится под местным обезболиванием: анестетик вводится в поражённое веко через кожу, либо конъюнктивальную поверхность, либо через обе области.
Во время операции веки вывернуты. Чтобы удержать веко на месте по центру ячменя, используется халазионный зажим.

Дренирование выполняется с помощью колотого разреза специальным лезвием над областью поражения. При наружных разрезах могут образоваться рубцы, поэтому делать надрезы или проколы на внешней стороне века менее желательно. Их проводят, если ячмень направлен на поверхность кожи. В этом случае разрез делают непосредственно над участком истончения кожи.
Внутренние разрезы можно делать вертикально по длине мейбомиевой железы. Такой разрез самоуплотняется, поэтому при заживлении роговица раздражается меньше. Содержимое из очага поражения удаляют небольшой кюреткой. Чтобы обеспечить выход остатков гноя, разрез оставляют открытым с чистыми краями и дренируют, например кусочком латекса, — это позволяет избежать заращения раны до полного опорожнения. Затем веки на несколько часов закрывают мазью [7] .
При неосложнённом течении и правильном своевременном лечении прогноз, как правило, благоприятный: пациент полностью выздоравливает, шрамов и других последствий не остаётся.
Герпес опоясывающий
Опоясывающий лишай имеет второе название – опоясывающий герпес, так как возбудителем является вирус герпеса. Заболевание поражает нервную систему и кожные покровы, а потому лечение проводится как неврологами, так и дерматологами, в зависимости от того, какие клинические проявления наиболее выражены. Опоясывающий лишай, и ветряная оспа имеют общую этиологию и патогенез. Опоясывающий лишай характеризуется элементами, эволюционирующими от стадии пятна и образования везикулы до остаточной гиперпигментации. Этиотропное лечение заболевания проводится ацикловиром, виролексом, зовираксом. Оно сопровождается симптоматической терапией, обработкой пораженных участков зеленкой и дерматоловой мазью, местными физиопроцедурами.
Общие сведения
Опоясывающий лишай имеет второе название – опоясывающий герпес, так как возбудителем является вирус герпеса. Заболевание поражает нервную систему и кожные покровы, а потому лечение проводится как неврологами, так и дерматологами, в зависимости от того, какие клинические проявления наиболее выражены. Опоясывающий лишай, и ветряная оспа имеют общую этиологию и патогенез.
Заболевания, которые вызывает вирус герпеса, современная медицина относит к инфекционным, так как они имеют вирусную природу; больные и вирусоносители обладают высокой контагиозностью; ярко выражена типичная для инфекционных заболеваний симптоматика, которая складывается из классической триады: общие симптомы инфекционных заболеваний, кожные проявления в виде характерных для опоясывающего герпеса экзантем и проявлений со стороны центральной и периферической нервной системы.
Этиология
Возбудителем опоясывающего герпеса и ветряной оспы является вирус семейства Herpesviridae. Он, как и все вирусы этого семейства неустойчив во внешней среде и быстро гибнет под воздействием солнечных лучей, дезинфицирующих и чистящих веществ, а так же при нагревании. Но в условиях низких температур способен сохраняться длительное время и очень устойчив к повторному замораживанию.
Эпидемиология
Несмотря на высокую контагиозность, опоясывающий герпес встречается только в виде спорадических случаев, пик заболеваемости приходится на холодное время года, на каждые сто тысяч населения около 12-15 случаев заболеваемости. В группу риска входят люди старшего и среднего возраста, которые ранее перенесли ветряную оспу. И лишь незначительный процент переболевших герпесом этой формы не приобретает стойкого иммунитета, вследствие чего возможно повторное инфицирование при встрече с вирусом опоясывающего герпеса. Высокую контагиозность заболевания подтверждают случаи, когда дети, контактировавшие с больными опоясывающим герпесом, заболевали ветряной оспой. Еще в 1888 году, врачи заметили эту закономерность, что и явилось подтверждением теории о сходной этиологии и патогенезе обоих заболеваний.
Опоясывающий герпес является вторичной инфекцией эндогенного происхождения у лиц, ранее перенесших ветряную оспу в клинической или латентной форме. После ветряной оспы вирус способен длительно персистировать в организме и вероятнее всего локализуется в спинальных ганглиях и в ганглиях черепных нервов, а под воздействием провоцирующих факторов происходит его реактивация. Лабораторная диагностика и особенности патогенеза латентных форм заболевания пока не достаточно изучены, но реактивация вируса и его клинические проявления в виде опоясывающего герпеса происходят при ослаблении клеточного иммунитета.
Стрессовые состояния, травмы, переохлаждения, соматические и инфекционные заболевания так же могут активизировать вирус. Процент заболеваемости выше у тех лиц, которые страдают онкологическими заболеваниями, болезнями крови или принимают гормональные и химиопрепараты, с возрастом вероятность заболеть так же значительно возрастает.
Патологическая анатомия заболевания в классическом виде представляет собой воспалительные изменения в спинальных ганглиях и на прилегающих участках кожных покровов, иногда в процесс вовлекаются задние и передние рога серого вещества и корешков спинного мозга, а так же мягкие мозговые оболочки.
Клиника опоясывающего герпеса
Заболевание начинается постепенно, с общих продромальных симптомов: головная боль, диспепсические расстройства, небольшой подъем температуры, озноб и недомогание. В дальнейшем присоединяются боль и зуд по ходу периферических нервных стволов, возможны зуд и жжение кожи на месте будущих высыпаний. Эти признаки являются субъективными, и интенсивность проявлений у каждого пациента может варьироваться. Продолжительность начального периода не более 4-х суток, но у детей этот период несколько короче, чем у взрослых.
После непродолжительного продромального периода отмечается резкий подъем температуры до фебрильной и симптомы интоксикации (головная и мышечные боли, потеря аппетита). Одновременно с этим по ходу одного или нескольких спинальных ганглиев появляется болезненная кожная сыпь в виде розовых пятен, не склонных к слиянию, диаметром 2-5 мм. Но в течение суток на фоне экзантем появляются тесносгруппированные везикулы с серозным содержимым. Края везикул неровные, основание отечное и гиперемированное. В зависимости от состояния иммунной системы и от тяжести течения опоясывающего герпеса отмечаться увеличение и болезненность регионарных лимфатических узлов. У детей возможны катаральные воспаления верхних дыхательных путей (фарингит, ларингит, ринит), что осложняет течение болезни.
Экзантемы локализуются в местах проекции нервного ствола, диагностируется как одностороннее, так и двустороннее поражение нервных ганглиев. Чаще встречается одностороннее поражение, которое локализуется по ходу межреберных нервов, тройничного лицевого нерва. Случаи, когда поражаются нервные стволы конечностей с развитием неврита, довольно редки; иногда наблюдаются экзантемы в паховой области.
При опоясывающем герпесе, так же как и при ветряной оспе, одновременно можно увидеть высыпания различных стадий, начиная от пятна и заканчивая участками гиперпигментации после разрешения везикул. Через несколько дней отечность вокруг везикул начинает спадать, а вместе с ней и гиперемия, содержимое везикул мутнеет, постепенно они подсыхают, на их месте образуются серозные корочки, после отпадения которых отмечается небольшая пигментация кожи. Вместе с этим снижается температура, интенсивность синдромов интоксикации, и к концу третей недели наступает выздоровление.

Генерализованная форма. Иногда генерализованную форму опоясывающего герпеса путают с присоединившейся ветряной оспой, так как высыпания отмечаются не только по ходу нервных стволов, но и на других участках кожи, а так же на слизистых оболочках. Если диагностируется генерализованная герпетическая инфекция или же заболевание протекает более 3-х недель, то следует обследовать пациентов на наличие иммунодефицитов и на присутствие онкологических процессов.
Абортивная форма. Если опоясывающий герпес протекает по абортивному типу, то характерна эритематозная сыпь по ходу нервных стволов, которая быстро исчезает без преобразования в везикулы. Общее состояние пациента при этом не страдает.
Буллезная форма. Такая форма опоясывающего герпеса характеризуется более крупными везикулами, которые сливаются в крупные пузыри с серозным содержимым. Если при этом повреждаются кровеносные сосуды, то содержимое становится геморрагическим, а при присоединении инфекции – гнойным. В тяжелых случаях, пузыри сливаются в сплошные ленты, которые при подсыхании так же могут инфицироваться, и в дальнейшем образуют темный некротический струп. Тяжесть течения этой формы зависит от локализации экзантем: если поражаются лицевые нервы, то присоединяются острые невралгические боли, поражение век и роговицы.
Длительность заболевания в острой форме – 2-3 недели; при абортивной – несколько дней; а при осложненном или затяжном течении – более месяца. Боли жгучие, носят приступообразный характер, и их интенсивность возрастает в ночное время. Локальные парестезии и нарушение чувствительности кожи так же являются наиболее характерными симптомами опоясывающего герпеса.
Отмечаются случаи поражения глазодвигательных нервов, брюшных мышц и сфинктера мочевого пузыря. Если развивается серозный менингит, то степень изменений при исследовании ликвора не всегда соответствует выраженности менингиальных симптомов. В острой фазе возможен энцефалит и менингоэнцефалит; полирадикулоневропатия и острая миелопатия встречаются в эпизодических случаях.
После излечения наблюдается стойкая ремиссия, а рецидивы случаются в нескольких процентах случаев. При своевременной комплексной терапии остаточных явлений не наблюдается, но у некоторых пациентов невралгические боли сохраняются в течение нескольких лет.
Дифференциальная диагностика
В продромальном периоде опоясывающий герпес следует дифференцировать от плеврита, невралгии тройничного нерва и от синдрома острого живота (аппендицит, почечная колика, желчнокаменная болезнь). Если высыпания расположены не по ходу нервных стволов, то проводится дифференциальная диагностика с простым герпесом, ветряной оспой, а буллезную форму нужно дифференцировать от рожистого воспаления и от поражений кожных покровов при иммунодефицитах и сахарном диабете.
Этиотропная терапия заключается в применении избирательных ингибиторов синтеза вирусной ДНК – ацикловир. Такая терапия эффективна в начальных стадиях заболевания. Ацикловир назначают внутривенно капельно, суточной дозой в 15-30 мг/кг, которую разделяют на три введения с интервалов в 8 часов. Разовую дозу разводят в 150 мл изотонического раствора. При применении таблетированных форм ацикловира разовая доза для взрослых составляет 800 мг, прием препарата до пяти раз в сутки, общий курс терапии – 5 дней.
Патогенетическая терапия заключается в приеме дипиридамола, которой тормозит агрегацию тромбоцитов, курсом от 5 до 7 дней. Для дегидратации назначают фуросемид. Для активации иммуногенеза показано внутримышечное введение гомологичного иммуноглобулина, который вводят 2-3 раза в день по 1-2 дозе ежедневно или через день.
Симптоматическая терапия опоясывающего герпеса назначается индивидуально, в зависимости от тяжести течения. Применяются анальгетики, жаропонижающие и общеукрепляющие препараты, при расстройствах сна – седативные и снотворные препараты, в отдельных случаях показан прием антидепрессантов. Если симптомы интоксикации ярко выражены, то проводится дезинтоксикационная терапия с форсированным диурезом.
Местно везикулы обрабатывают раствором бриллиантовой зелени, а корочки смазывают 5% дерматоловой мазью. Репарант на основе диализата из крови телят, метациловую мазь применяют при вялотекущих формах опоясывающего герпеса. Локально, на участки кожи с высыпаниями опоясывающего герпеса, назначают УФО, кварц и лазерную терапию. При присоединении вторичной инфекции проводят курс антибиотикотерапии.
Читайте также:
