Опоясывающий лишай у ребенка
Добавил пользователь Евгений Кузнецов Обновлено: 13.12.2025
Лишай – обобщенное название целой группы дерматологических заболеваний, которые сопровождаются образованием на коже у ребенка различных высыпаний. Некоторые патологии проявляются в форме пятна, другие представляют собой мелкую узелковую сыпь, третьи выглядят, как шелушащиеся бляшки различного цвета и размера. Вне зависимости от внешнего вида лишая и его происхождения, поиском причин, оценкой симптомов и лечением заболевания у ребенка занимается детский врач-дерматолог. В некоторых случаях может потребоваться помощь инфекционистов, педиатров и других специалистов.
Разные лишаи объединены в одну группу заболеваний благодаря внешнему сходству: все они формируются на коже (иногда на слизистых оболочках), в основном имеют воспалительную природу происхождения и располагаются на разных участках тела. Чаще всего патология поражает спину, лицо и грудь ребенка, так как в этих зонах находится наибольшее количество потовых желез.
Привести к образованию лишая могут не только инфекционные агенты (вирусы, бактерии и грибки), но и некоторые аутоиммунные процессы, генетические особенности, токсические поражения организма.
Пик заболеваемости приходится на весенне-летний период, когда на улице тепло и влажно, что является наиболее благоприятной средой для жизни и размножения множества патогенных микроорганизмов.
На сегодняшний день известно большое количество вариантов лишая: многие из них высококонтагиозны и являются потенциально опасными для близкого окружения ребенка. Врачи-дерматологи настоятельно советуют при любых подозрениях на подобную патологию как можно быстрее показывать детей профильному специалисту.

Виды и симптомы лишая у детей
Клиника болезни напрямую зависит от ее формы. Выделяются пять наиболее распространенных видов лишая, каждый из которых вызывает у ребенка собственные признаки:
- розовый;
- разноцветный;
- красный плоский;
- стригущий;
- опоясывающий.
Розовый лишай. Характеризуется появлением на коже ребенка одной единственной бляшки розового цвета, не превышающей диаметром 3–4 см. Образование склонно к шелушению, провоцирует умеренный зуд. Спустя неделю после возникновения первой бляшки на теле формируются множественные дочерние высыпания, локализуясь в основном на естественных складках и изгибах спины, плеч и живота.
Разноцветный лишай. Он появляется, как правило, на волосистой части головы или других участках верхней половины туловища малыша, поражая только верхний слой эпидермиса. В самом начале заболевания лишай можно заподозрить по небольшим пятнам розового, желтого или коричневатого цвета. По мере развития патологии высыпания постепенно разрастаются, образуя большие очаги с неровными краями. Разноцветный лишай не зря получил такое название: в течение острого периода очаговые пятна способны неоднократно менять окраску, становясь то розовыми, то темно-коричневыми, то бурыми. Дополнительной особенностью такой формы заболевания стало отсутствие какого-либо дискомфорта: ребенок не чувствует зуд, жжение или боль в области лишая и зачастую даже не подозревает о его существовании, если пятно находится вне поля зрения.
Красный плоский лишай. Характеризуется образованием чешуйчатых элементов ярко-красного или темно-бурого цвета на слизистых оболочках и коже. Патология сопровождается специфическими впадинами в середине каждого пятна и сильным зудом, который значительно снижает качество жизни ребенка и доставляет выраженные неудобства. Элементы в большинстве случаев локализуются в области природных сгибов, а также на спине и животе. После выздоровления в зоне бывших высыпаний могут длительно сохраняться пигментные пятна.
Стригущий лишай. Считается наиболее распространенной формой очагового заболевания у детей и подростков. Патология развивается на коже, ногтях, волосистой части головы и даже на самих волосах. Сопровождается формированием красноватых пятен округлой формы, которые постоянно шелушатся и вызывают интенсивный зуд. Поражение кожи на голове приводит к частичному облысению: вокруг лишая образуется очаг, на котором волосы самопроизвольно обламываются на уровне 0,5–1 см от дермы. Создается впечатление, что ребенка недавно кто-то крайне неаккуратно подстриг, чем и обусловлено название заболевания. В некоторых случаях кроме основного очага могут возникать множественные, но небольшие участки дополнительного поражения.
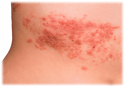
Опоясывающий лишай. Такой вариант патологии преимущественно возникает у подростков, ранее перенесших ветряную оспу. Сначала еще до появления сыпных элементов лишая у ребенка появляются симптомы, схожие с ОРВИ (субфебрильная температура тела, слабость, озноб, повышенная сонливость), а спустя несколько дней на коже в районе прохождения крупных нервных стволов и ветвей формируются множественные высыпания. Внутри каждого пузырька содержится прозрачная жидкость. Постепенно высыпания подсыхают, темнеют, покрываются корочками, а затем отпадают.
Причины развития заболевания в детском возрасте
Механизм появления различных высыпаний в первую очередь обусловлен проникновением в организм инфекционного агента: вируса или грибка. К сожалению, достоверно процесс заражения пока не изучен, и специалистам непонятно, почему при одинаковых условиях у одних детей появляются лишаи на теле, требующие лечения, а у других нет и намека на какие-либо признаки инфекции.
Тем не менее, выделен ряд факторов, которые повышают риск развития заболевания и могут стать косвенной причиной появления лишая у ребенка. К ним относятся:
- чрезмерные эмоциональные и физические нагрузки;
- предрасположенность к стрессам;
- общее и местное снижение иммунитета вследствие длительных заболеваний, хронический патологий, гиподинамии и т.д.;
- острые воспалительные процессы в организме;
- авитаминоз;
- аллергические заболевания;
- повышенное потоотделение;
- наследственная предрасположенность.
В большинстве случаев заражение патогенной флорой, способной вызывать различные виды лишая, происходит в местах массового скопления детей и подростков: в детских садах, общеобразовательных учреждениях, летних лагерях, спортивных секциях, бассейне и т.д.
Не менее распространенной причиной заболевания является контакт с чужими домашними или уличными животными, после которого ребенок забыл или не захотел помыть руки с мылом.
Кроме того, у каждого варианта патологии есть конкретные возбудители, например, розовый лишай имеет инфекционно-аллергическую природу, опоясывающий становится следствием попадания в организм различных вирусов, а стригущий и разноцветный – результат негативного воздействия грибков.
Диагностика
Первоначальным шагом в обследовании становится очный осмотр, в ходе которого врач-дерматолог внимательно осматривает кожу ребенка, собирает анамнез, выясняет особенности здоровья юного пациента. Опытному специалисту для предварительного определения конкретного типа лишая достаточно визуальной оценки кожных покровов, формы, размеров, локализации и цвета патологического участка.
Тем не менее, для установления точного диагноза требуются дополнительные специфические исследовательские методы. К ним относятся:
- микроскопическое исследования соскоба высыпаний;
- йодная проба Бальцера;
- люминесцентная микроскопия Вуда;
- тест на симптоматику Бенье.
Кроме того, потребуется сдать общие анализы крови и мочи, которые могут указать не только на наличие в организме воспалительного процесса, но и на изначальную причину патологии.
Опоясывающий лишай (опоясывающий герпес) у детей
Опоясывающий лишай (опоясывающий герпес) у детей — заболевание, которое вызывается вирусом ветряной оспы и проявляется наличием характерных везикулярных высыпаний по ходу отдельных чувствительных нервов, болевым синдромом и общей интоксикацией организма.
Содержание:
Причины возниковения
Обязательное условие для развития заболевания – инфицирование вирусом Varicella Zoster. После перенесенной ветряной оспы формируется стойкий иммунитет, но вирус из организма никуда не девается. Он оседает в межпозвоночных ганглиях (нервных узлах) и длительное время там персистирует в “спящем” состоянии без клинических проявлений. Заболевание может возникнуть при снижении иммунитета, стрессах, новообразованиях, лейкозах. Вирус активизируется повторно и проявляется уже в виде опоясывающего лишая. Дети до 10 лет не болеют опоясывающим лишаем.
Клинические разновидности
Опоясывающий герпес имеет разные формы, отличается по тяжести течения процесса, может сопровождаться осложнениями. К тяжелым (осложненным) формам относятся:
- буллезная – образованные пузырьки сливаются, возникают значительных размеров пузыри с фестончатыми краями;
- геморрагическая – содержимое пузырьков приобретает кровянистый характер;
- гангренозная – наиболее тяжелая форма, при которой происходит образование струпов на месте пузырьков,струпы заживают с образованием рубцов;
- генерализованная – пузырьки образуются по всему телу, а не только по ходу нервов,напоминает сыпь при ветряной оспе.
Также принято различать опоясывающий лишай по локализации – это зависит от того, зона иннервации какого нерва поражена патологическим процессом.
Симптомы
Основной симптом опоясывающего герпеса – высыпания на одной половине тела, чаще по ходу межреберных нервов и ветвей тройничного нерва. Уже в первые дни заболевания ярко выражен болевой синдром, часто еще до того, как появились кожные высыпания. Дети жалуются на жжение, ощущение онемения, покалывания, сильный зуд на месте будущих эритематозных папул и пузырьков. Со стороны патологического процесса в области поражения обычно наблюдается увеличение лимфатических узлов.
У большинства детей уже в продромальном периоде (в начале заболевания) появляются общеинфекционные симптомы – повышение температуры тела, общая слабость, головные боли, иногда тошнота. Также характерны местные проявления в виде сыпи, которая при опоясывающем лишае характеризуется этапностью: вначале на коже появляются небольшие отечные пятна, на их фоне в течение 3-4 дней образуются папулы, а затем пузырьки. Высыпания могут сливаться. Спустя 7 дней от начала заболевания пузырьки подсыхают, формируются корочки, отпадающие самостоятельно, после чего остается легкая пигментация. В процесс чаще всего вовлекается только одна сторона тела.
Диагностика
В подавляющем большинстве случаев диагностика опоясывающего лишая у детей не вызывает никаких затруднений. Типичная односторонняя локализация сыпи по ходу нервных стволов, интоксикация и хорошо собранный анамнез (перенесенная ранее ветряная оспа) дают право доктору поставить окончательный диагноз уже при первичном осмотре.
Однако пациентам с выраженными иммунными нарушениями, распространением поражения на внутренние органы или при абортивном течении заболевания для уточнения диагноза показана лабораторная диагностика. Обязательным является общий анализ крови – изменения в нем подтвердят наличие инфекционного процесса.
К современным методам специфической диагностики опоясывающего лишая относят ИФА (иммуноферментный анализ), с помощью которого в крови находят иммуноглобулины М к вирусу герпеса 3-го типа. Также высоко информативным исследованием является ПЦР (полимеразная цепная реакция), с помощью которой в крови находят вирусную ДНК. Более старым методом является микроскопия содержимого пузырьков, где находят специфические тельца Арагао.
Лечение
Лечение заболевших детей можно проводить амбулаторно (дома). Госпитализируются дети с тяжелыми формами болезни или при осложнениях (флегмона, энцефалит и др.). Назначение противовирусных препаратов необходимо детям с иммунодефицитными состояниями или при тяжелых формах болезни. Проводится местное лечение с использованием салицилатов и антисептиков. Для уменьшения болей применяются анальгетики и физиотерапевтические процедуры.
Последствия
Самые грозные осложнения – герпетический менингит или менингоэнцефалит, которые в свою очередь могут привести к формированию остаточной очаговой симптоматики в виде парезов, паралича конечностей, нарушения мышечного тонуса, речи, зрения, чувствительности, изменения психики.
Кроме того, тяжелым осложнением является синдром Рамсея-Ханта. По своей сути, это сочетание ушного опоясывающего герпеса с односторонним ухудшением слуха, периферическим парезом мимической мускулатуры лица, нистагмом и нарушением вкусовых ощущений в результате вирусного ганглионеврита слухового, лицевого и тройничного нерва.
У очень ослабленных детей со сниженной иммунореактивностью организма может произойти диссеминация инфекционного процесса с поражением внутренних органов – сердца, легких, печени.
Помимо этого, возможно развитие постгерпетической невралгии, которая сопровождается длительными болями и нарушениями чувствительности пораженной области. К счастью, данное осложнение у детей развивается довольно редко.
Профилактика
Заболевшего опоясывающим герпесом ребенка нужно изолировать в домашних условиях минимум на 5 дней с момента последних высыпаний. Если у ребенка тяжелая или осложненная форма болезни, он подлежит госпитализации. Таких детей помещают в мельцеровский бокс.
Если с больным контактировали дети до 3 лет, которые ранее не переносили болезнь, их изолируют с 11 до 21 дня с момента контакта. Вирус нестойкий, потому заключительная дезинфекция в очаге инфекции не требуется. После изоляции заболевшего ребенка помещение нужно проветрить, делают также влажную уборку.
К специфической профилактике опоясывающего лишая относится вакцинирование здоровых детей против ветряной оспы.
Прогноз
В большинстве случаев прогноз после перенесенной инфекции благоприятный. Ребенок полностью выздоравливает. Рецидивы болезни могут случаться. Неблагоприятные последствия опоясывающего герпеса бывают после осложненных форм, таких как энцефалит и менингоэнцефалит.
Следует помнить, что ребенок, заболевший опоясывающим герпесом, опасен для окружающих, которые не болели ранее ветряной оспой. В случае заражения инфекция проявится у них в виде ветряной оспы.
Опоясывающий лишай у детей: все, что вам нужно знать
Лето дарит нам незабываемый отдых на природе и длительный отпуск у моря. Многим мамам знакомо, когда детей бывает очень сложно вытащить из воды – они готовы плескаться и играть там часами. Переохлаждение от долгого пребывания в воде опасно, ведь оно может привести к различным заболеваниям, например, к опоясывающему лишаю. Что это такое, почему возникает, как его распознать и можно ли уберечься? Узнайте из нашей статьи.
Что это такое?
Опоясывающий лишай – это вирусная инфекция, может возникнуть у любого, кто ранее переболел ветрянкой (ветряной оспой). Возбудитель — вирус ветряной оспы (Varicella zoster) из семейства герпесвирусов, при первой встрече с организмом вызывает ветрянку. Затем вирус переходит в спящее состояние, десятилетиями скрываясь в нервной ткани возле спинного и головного мозга, а затем внезапно реактивируется в виде опоясывающего лишая. Почему «внезапно»? Учеными до сих пор точно не изучены механизмы такого перехода, и что именно их запускает.
Пути передачи
Передача вируса происходит только при непосредственном контакте с волдырями (сыпью) человека, заболевшего опоясывающим лишаем, и может вызвать ветрянку у того, кто ранее не был заражен вирусом. До появления волдырей и после образования корочек риск вирусной передачи отсутствует.
Как предотвратить заражение?
- накрывайте сыпь у заболевшего и избегайте прикосновения к ней;
- соблюдайте правила гигиены, часто мойте руки;
- по возможности избегайте контакта с заболевшими людьми после образования на их коже волдырей.
Факторы риска
- ослабление иммунитета (ВИЧ, рак);
- прием лекарств, подавляющих иммунную систему;
- операции по пересадке органов;
- если ребенок переболел ранее ветрянкой;
- стрессы и другие факторы, ослабляющие иммунитет (например, сильное переохлаждение или перегревание).
Симптомы
Могут развиться такие симптомы:
- волдыри и сыпь на теле. Волдыри, заполненные жидкостью, подсыхают и покрываются корочками в течение 7-10 дней, а затем рассасываются в течение 2-4 недель
- полоса волдырей в виде «пояса» вокруг туловища или на лице (отсюда и название – «опоясывающий лишай»)
- боли, иногда сильные
- зуд
- сыпь на глазах
- повышение температуры тела
- головные боли
- озноб
- расстройство желудка
- повышенная чувствительность/болезненность при прикосновении или чувствительность глаз к свету
- усталость.
Часто дети испытывают боль, зуд или покалывание в месте сыпи еще за 1-5 дней до ее появления.
Осложнения
Опоясывающий лишай может вызвать серьезные осложнения: — потеря зрения, вызванная сыпью на глазах или рядом с ними — глазные инфекции — неврологические нарушения, такие как отек мозга, паралич лица, проблемы со слухом или равновесием — инфекции кожи, вызванные бактериями. В редких случаях может развиться пневмония, бывают даже смертельные случаи. Также может возникнуть продолжительная боль, называемая постгерпетической невралгией. Она может появляться в месте сыпи и волдырей даже после их исчезновения и длиться годами.
Опоясывающий лишай у ребенка
Опоясывающий лишай – кожное заболевание, вызываемое вирусом ветряной оспы. Оно характеризуется появлением пузырьковых высыпаний и выраженным болевым синдромом. Болезнь сопровождается интоксикацией организма.
Причины развития опоясывающего лишая у детей
Заболевание начинает развиваться после попадания в организм ребенка возбудителя – вируса Varicella Zoster. Перенесенная оспа позволяет сформировать стойкий иммунитет.
При этом важно учитывать, что после выздоровления пациента вирус не покидает организм. Он оседает в межпозвоночных нервных узелках и может оставаться в неактивном состоянии в течение продолжительного времени. Активизация заболевания происходит в результате снижения защитных сил организма. Этому может способствовать:
- прием лекарственных средств, влияющих на иммунную систему;
- сильные эмоциональные потрясения;
- регулярные повышенные физические нагрузки;
- онкология;
- проведение лучевой терапии;
- развитие ВИЧ-инфекции;
- перенесенная пересадка внутренних органов или костного мозга.
Важно! При развитии в организме онкологического процесса у детей и взрослых кожные высыпания, характерные для опоясывающего лишая, появляются в зоне локализации опухолевого процесса. В связи с этим такая патология требует от врача особого внимания.
Симптомы развития опоясывающего лишая у детей
У юных пациентов инфекция может протекать в форме обычного ОРВИ. При этом дети могут жаловаться на головокружение и тошноту. Иногда появляется рвота.
На развитие патологии указывают следующие симптомы:
- болевые ощущения в зоне нахождения поврежденных нервных окончаний, нередко сопровождающиеся зудом и жжением;
- ломота в мышцах, особенно во время появления кожной сыпи;
- ощущения покалывания и онемения кожи;
- отечность и покраснение;
- появление на теле характерной сыпи в виде пузырьков разного размера;
- увеличение лимфоузлов. Могут воспаляться подмышечные, подчелюстные и другие лимфатические узлы.
При стандартной форме опоясывающего лишая у ребенка чаще всего появляется односторонняя сыпь. Пузырьки можно увидеть на коже лица, волосистой части головы, в зоне груди и живота. Высыпания как бы опоясывают тело (благодаря этой особенности заболевание получило свое название).
Спустя несколько дней пузырьковая сыпь начинает бледнеть и подсыхать. На поверхности кожи появляется корочка. Она полностью отпадает, оставляя после себя небольшое покраснение, которое с течением времени проходит самостоятельно. В большинстве случаев никаких следов на коже не остается. Полное восстановление происходит через 3-4 недели.
Основные формы заболевания
Опоясывающий лишай у детей может быть стандартным и атипичным. Специалисты выделяют следующие формы заболевания:
При такой форме кожная сыпь может отсутствовать совсем или выражаться в виде небольших очагов. Болевые ощущения в данном случае отсутствуют, может наблюдаться легкий зуд.
В этом случае на теле появляется множество групп пузырьков, наполненных прозрачных содержимым.
Такая форма приводит к разрушению тканей кожи. Пузырьковые высыпания в данном случае наполнены кровянистым секретом. После их исчезновения на теле могут остаться видимые следы.
При такой форме на теле появляются глубокие поражения в виде язв. Для их заживления требуется длительное время. После перенесенного заболевания на коже остаются видимые рубцы.
Заразен ли ребенок, заболевший опоясывающим лишаем?
Да, заразен. Наибольшую опасность он представляет для людей, которые до этого не болели ветряной оспой. Важно учитывать, что инфицированный ребенок может заразить окружающих уже за 1-2 дня до появления видимых проявлений заболевания.
Продолжительность инкубационного периода может быть различной. Она составляет в среднем от 3 дней до 2-3 недель.
Диагностика опоясывающего лишая у детей
Для уточнения клинической картины доктор выясняет у родителей юного пациента основные жалобы:
- какое время назад появилась сыпь;
- присутствует ли мышечная боль;
- отмечается ли зуд, жжение, онемение и другие неприятные ощущения в пораженной области.
Выяснив интересующие нюансы, доктор проводит визуальный осмотр ребенка. Он определяет:
- где именно расположены характерные высыпания;
- присутствуют ли болевые ощущения в зоне поражения кожи;
- насколько сильно затронуты ткани и т.д.
Также во время первичного осмотра врач выясняет, контактировал ли заболевший ребенок с зараженным человеком. Одностороннее расположение высыпаний и тщательный анализ клинической картины позволяют доктору поставить точный диагноз.
При наличии сомнений пациенту могут быть назначены дополнительные обследования, которые включают:
- общий анализ крови (характерные изменения в базовых показателях свидетельствуют о развитии инфекции);
- тест на антитела к возбудителю опоясывающего лишая;
- ПЦР-тестирование, позволяющее выявить ДНК вируса в крови и содержимом пузырьковых высыпаний;
- исследование методом гибридизации in situ, проводимое с целью идентификации генома вируса в клетках и пораженных тканях кожи.
В случае необходимости ребенок может быть направлен на консультацию к инфекционисту, неврологу и другим профильным специалистам.
Особенности лечения опоясывающего лишая
В большинстве случаев лечение заболевших детей проводится в домашних условиях. Госпитализация показана пациентам, у которых инфекция протекает тяжело и сопровождается осложнениями, затрагивающими нервную систему (например, воспаление головного и спинного мозга, мозговых оболочек и т.д.)
Купировать патологический процесс позволяют:
- местная терапия, направленная на обработку пораженных участков кожи антисептическими препаратами;
- прием противовирусных средств (особенно актуально для детей, у которых диагностированы иммунодефицитные состояния или заболевание протекает в атипичной форме);
- противовоспалительная терапия. При наличии ярко выраженного болевого синдрома возможен прием анальгетиков;
- курс антибиотиков в случае повышенного риска развития бактериальной инфекции на фоне основного заболевания;
- общеукрепляющая терапия. На завершающей стадии болезни юным пациентам может быть назначен прием витаминов и микроэлементов, а также физиотерапевтические процедуры.
Чтобы избежать развития осложнений, рекомендуется тщательно соблюдать правила личной гигиены (регулярно менять нижнее и постельное белье, полотенца и т.д.). В острой фазе заболевания пациентам стоит воздержаться от приема ванны.
Какие осложнения может вызвать заболевание?
Опоясывающий лишай представляет наибольшую опасность для детей, которые не имеют антител к возбудителю инфекции.
Среди возможных последствий и осложнений заболевания выделяют следующие:
- потеря чувствительности в области локализации сыпи, а также в конечностях;
- обширный воспалительный процесс, затрагивающий оболочки головного и спинного мозга (серозный менингит, энцефалит);
- инфекционное поражение легких, печени и других внутренних органов при активном распространении возбудителя заболевания с кровотоком;
- присоединение бактериальной инфекции, провоцирующее нагноение пузырьковых высыпаний;
- воспаление роговицы глаза. При отсутствии своевременного лечения патологический процесс затрагивает все глазное яблоко, что может привести к ухудшению и даже утрате зрения;
- паралич лицевого нерва.
Одно из наиболее частых последствий – поражение нервных окончаний или невралгия. Осложнение сопровождается острым болевым синдромом. По мере восстановления нервных окончаний неприятные ощущения уменьшаются и постепенно исчезают полностью. Хроническая форма невралгии у детей диагностируется крайне редко и только в случае значительного ослабления иммунной системы.
В большинстве случаев после заболевания не остается следов на коже. Однако важно следить, чтобы ребенок не расчесывал очаги поражения. При травмировании кожи в этих местах может возникнуть повторное инфицирование, которое увеличивает риск появления рубцов.
Профилактические мероприятия
Чтобы снизить риск развития заболевания, необходимо:
При соблюдении медицинских рекомендаций заболевание имеет благоприятный прогноз. При этом необходимо учитывать, что инфекция может возникнуть повторно. Как уже упоминалось выше, рецидивы появляются в результате снижения защитных сил организма.
Если вы заметили у ребенка симптомы опоясывающего лишая, не откладывайте визит к доктору. Он поставит точный диагноз и подберет эффективную терапию, которая позволит избежать осложнений.
Записаться на прием к педиатру в нашей клинике можно, позвонив по указанному на сайте телефону или воспользовавшись формой обратной связи.
Опоясывающий лишай у ребенка

Опоясывающий лишай (Herpes zoster) (син. — опоясывающий герпес) — заболевание вирусной природы, характеризующееся односторонними высыпаниями на коже с сильным болевым синдромом. Возбудитель — вирус ветряной оспы (Varicella zoster) семейства герпесвирусов, при первой встрече с организмом (чаще в молодом возрасте) вызывает типичную ветряную оспу.

Заболевают люди, ранее перенесшие ветряную оспу. Болеют преимущественно лица пожилого и старческого возраста, а так же люди с ослабленном иммунитетом: больные лейкозами, лимфогранулематозом, новообразованиями, получающие химиотерапию, длительно получающие кортикостероиды и иммуно-депрессанты. Особенно часто инфекция развивается у больных с синдромом приобретенного иммунодефицита
У детей ранее не болевших ветряной оспой, при контакте с больными опоясывающим лишаем, развивается типичная «ветрянка».
Доказано, что после перенесенной ветряной оспы вирус многие годы сохраняется в нервных волокнах человека, не нанося при этом никакого ущерба здоровью человека. При резком ослаблении местного и общего иммунитета может наступить активация вируса, и инфекция проявляется в виде высыпаний в тех кожных зонах, за которые ответственен пораженный нерв. Именно участие нервов в развитии болезни и обеспечивает выраженный болевой синдром. В большинстве случаев поражаются межреберные нервы или тройничный нерв.
Характерный признак опоясывающего герпеса — односторонность поражения.
В зависимости от локализации поражения нервов возможно развитие следующих состояний:
- Офтальмологический опоясывающий герпес – вирус проникает в глазную ветвь тройничного нерва, что опасно повреждением роговицы.
- Синдром Рамсея – Ханта – высыпания возникают в наружном слуховом проходе или ротоглотке и сопровождаются односторонним параличом мимических мышц. В некоторых случаях также развивается потеря слуха и системное головокружение.
- Двигательный опоясывающий герпес – слабость мышц в местах кожной сыпи.
Симптомы опоясывающего лишая
Для двигательного опоясывающего герпеса характерно острое начало, общее недомогание, лихорадка, небольшой зуд, чувство покалывания, резко выраженные жгучие боли в месте будущих высыпаний. Высыпания появляются по ходу отдельных чувствительных нервов в виде нечётких розоватых пятен (3—5 см), на фоне которых через 18—24 часов образуются группы болезненных пузырьков, заполненных прозрачным, а затем и мутным содержимым. Высыпания исчезают в течение 2—4 недель: пузырьки подсыхают, образуя жёлто-коричневые корочки, которые затем отпадают, оставляя незначительную пигментацию. Боли иногда становятся нестерпимыми, усиливаются при малейшем прикосновении к коже, при охлаждении, движении. Иногда болезнь характеризуется интоксикацией и невралгическими болями, сыпь отсутствует. При появлении кожных высыпаний боли становятся обычно менее интенсивными. Боль может сохраняться в течение недель и месяцев.

Офтальмологический опоясывающий лишай характеризуется особо тяжёлым течением, который может продолжаться в течение нескольких недель. При глазной форме наблюдаются специфический вирусный кератит, реже ирит, глаукома т.к. вирус проникает в глазную ветвь тройничного нерва.

Для синдрома Рамсея- Ханта характерна красная болезненная сыпь, в области ушей или во рту и лицевой паралич (например, века или рта) на одной стороне лица. Могут возникнуть такие симптомы такие как боль в ухе, головокружение, сухость глаз, изменения вкуса.

Лечение направленно на борьбу с интоксикацией, снятие болей и предупреждение генерализации инфекции. Как правило, больные опоясывающим лишаем не нуждаются в госпитализации и дальнейший прогноз благоприятен. Однако, для предотвращения осложнений при подозрении на опоясывающий лишай, необходимо срочно обратиться к врачу.
Читайте также:
