Опухоль Панкоста на рентгенограмме, КТ, МРТ
Добавил пользователь Владимир З. Обновлено: 08.11.2025
Какой метод диагностики опухоли Панкоста в легких выбрать: МРТ, КТ, рентгенографию
Методы выбора
Что покажет рентген легких при опухоли Панкоста
- Уплотнение в области верхушки легкого (сопутствующая деструкция верхних ребер и затемнение плевры на значительном протяжении напоминают «шапку» над опухолью в месте контакта с ней)
- Выпуклость затемнения говорит в пользу опухоль Панкоста
- Деструкция ребер, наблюдающаяся в 30% случаев, имеет диагностическое значение.
Информативна ли КТ легких при раке Панкоста
- Опухоль верхушки легкого, имеющая плотность мягких тканей и инфильтрирующая грудную стенку, включая нервное сплетение, сосуды, ребра и позвоночник.
Что покажут снимки МРТ грудной клетки при раке легкого
- Более информативна по сравнению с КТ и позволяет четче видеть прорастание опухоль Панкоста в мягкие ткани, грудную стенку и особенно в сосуды и нервы.
Зачем проводят ПЭТ при раке верхушки легкого
- Более информативны при определении стадии опухоли верхушки легкого, в частности метастазов в лимфатические узлы (N) и отдаленные органы (М).
Отличительные признаки
- Затемнение верхушки легкого и деструкция ребер.
Клинические проявления
- Боль в плечевом поясе, иррадиирующая в плечо и спину (в 90% случаев)
- Синдром Горнера (птоз, миоз и энофтальм - у 25-50% больных).
Тактика лечения
- Комбинированная неадекватная лучевая и химиотерапия с последующим удалением опухоли единым блоком с инфильтрированными тканями.
Течение и прогноз
- У большинства больных опухоль на момент установления диагноза соответствует стадии ТЗ или Т4, что обусловливает неблагоприятный прогноз
- 5-летняя выживаемость составляет примерно 15%.

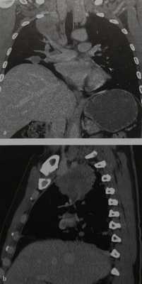
Опухоль Панкоста у мужчины 43 лет. На корональном (а) и сагиттальном (b) срезах видна крупная опухоль верхушки правого легкого, инфильтрирующая средостение и диафрагмальный нерв. О вовлечении диафрагмального нерва в опухолевый процесс говорит высокое стояние купола диафрагмы на стороне поражения. Опухоль имеет широкую поверхность соприкосновения с плеврой.
Что хотел бы знать лечащий врач
- Стадию опухоли Панкоста
- Резектабельна ли опухоль.
Какие заболевания имеют симптомы, схожие с раком Панкоста
Лучевой фиброз
- Облучение лимфатических коллекторов надключичных лимфатических узлов в анамнезе
Невринома, нейрофиброма или боковое менингоцеле грудного отдела позвоночника
- Различаются по локализации: паравертебральная область и заднее средостение
Опухоль Панкоста на рентгенограмме, КТ, МРТ
а) Терминология:
• Опухоль Панкоста (ОП)
• Опухоль верхушки легкого (ОВЛ)
б) Лучевые признаки опухоли Панкоста:
• Рентгенография:
- Объемное образование в верхушке легкого или «шапочка» на верхушке легкого
- Эрозия/деструкция костной ткани
• КТ:
- Выявление мягкотканного объемного образования в верхушке легкого
- Обнаружение:
Вовлечение в опухолевый процесс прилежащих костных структур
Вовлечение в опухолевый процесс сосудов; циркулярного обрастания подключичных сосудов
Вовлечение в опухолевый процесс лимфатических узлов
Вторичные злокачественные опухоли
• При МРТ на Т1ВИ оценивают состояние:
- Корешков спинномозговых нервов, межпозвонковых отверстий и канала спинного мозга
- Подключичных сосудов
(а) Мужчина 68 лет с опухолью Панкоста и жалобами на боль в левом плечевом суставе в течение 6 месяцев.
При рентгенографии органов грудной клетки в ПП проекции определяется неравномерное утолщение верхушечной плевры слева без признаков вовлечения в процесс костной ткани.
Опухоль Панкоста при рентгенографии может визуализироваться плохо, как в данном случае.
(б) У этого же пациента при КТ с контрастным усилением в верхушке левого легкого выявляется мягкотканное объемное образование.
Левая подключичная артерия в опухолевый процесс не вовлечена, поскольку визуализируется четко. Прилежащие к опухоли ребра без признаков эрозии или деструкции. (а) У этого же пациента при МРТ на Т1ВИ в коронарной плоскости определяется частичная облитерация субплевральной жировой клетчатки в области верхушки левого легкого вследствие инвазии ее опухолью Панкоста.
(б) У этого же пациента при МРТ на Т1ВИ в сагиттальной плоскости визуализируется опухолевая инвазия межпозвонковых отверстий Т1-Т2-позвонков и корешка спинномозгового нерва Т1.
Несмотря на отсутствие признаков вовлечения в опухолевый процесс структур выше Т1 -позвонка, инвазия корешка спинномозгового нерва Т1 в данном случае будет являться противопоказанием для оперативного вмешательства.
в) Дифференциальная диагностика опухоли Панкоста:
• Другие злокачественные опухоли:
- Метастаз, плазмоцитома, мезотелиома, лимфома
• Инфекционный и неинфекционный воспалительный процесс
• Туберкулез, нокардиоз, актиномикоз
г) Клинические аспекты:
• Боль в плечевом суставе, иррадиирующая в медиальные отделы лопатки, плеча или предплечья
• Синдром Горнера: птоз, миоз, ангидроз
• Лечение: стандартно проводится индукционная химиолучевая терапия с последующей резекцией
д) Диагностические пункты:
• Опухоль Панкоста следует заподозрить при выявлении асимметричного утолщения верхушечной плевры или объемного образования в верхушке легкого, сопровождающихся эрозией/деструкцией ребер или неврологическими нарушениями в верхней конечности
• Для установления резектабельности опухоли необходимо определить ее характеристики и оценить состояние окружающих анатомических структур
Лучевая диагностика опухоли Панкоста: рентген, КТ, МРТ, ПЭТ
а) Терминология:
1. Сокращение:
• Опухоль Панкоста (ОП)
2. Синоним:
• Опухоль верхушки легкого (ОВЛ)
3. Определение:
• Рак верхушки легкого с инвазией грудной стенки
• Синдром Панкоста; обусловленные опухолью неврологические нарушения
1. Основные особенности:
• Оптимальный диагностический ориентир
о Объемное образование в верхушке легкого
о Деструкция ребер (1-3 ребер)
• Локализация:
о Верхушка легкого (область верхней борозды легкого)
о Три отдела верхней борозды легкого:
- Передний: подключичная вена
- Средний:
Подключичная артерия
Верхний, нижний и средний стволы плечевого сплетения
- Задний: корешки плечевого сплетения
• Размеры:
о Вариабельны
• Морфологические особенности:
о Мягкотканное объемное образование
о «Шапочка» на верхушке легкого
- Асимметричное утолщение мягких тканей в области верхушки легкого

(а) Мужчина 68 лет с опухолью Панкоста и жалобами на боль в левом плечевом суставе в течение 6 месяцев.
При рентгенографии органов грудной клетки в ПП проекции определяется неравномерное утолщение верхушечной плевры слева без признаков вовлечения в процесс костной ткани.
Опухоль Панкоста при рентгенографии может визуализироваться плохо, как в данном случае.
(б) У этого же пациента при КТ с контрастным усилением в верхушке левого легкого выявляется мягкотканное объемное образование.
Левая подключичная артерия в опухолевый процесс не вовлечена, поскольку визуализируется четко. Прилежащие к опухоли ребра без признаков эрозии или деструкции.
2. Рентгенография:
о Объемное образование верхушки легкого: 2/3 от всех случаев
о «Шапочка» на верхушке легкого с одной стороны: 1/3 от всех случаев
о Эрозия/деструкция ребер, тел позвонков
3. КТ при опухоли Панкоста:
• Нативная КТ:
о Подтверждение наличия объемного образования
о Мягкотканное объемное образование:
- Вовлечение в опухолевый процесс межпозвонковых отверстий
- Вовлечение в опухолевый процесс канала спинного мозга о Оценка вовлечения в опухолевый процесс прилежащих костных структур; выявление эрозии/деструкции:
- Ребер
- Тел позвонков
о Выявление метастазов в:
- Легких
- Плевре
- Грудной стенке
- Верхних отделах брюшной полости и забрюшинного пространства
• КТ с контрастным усилением:
о Выявление вовлечения в опухолевый процесс сосудов:
- Циркулярное обрастание подключичных сосудов
- Циркулярное обрастание других сосудов средостения
о Выявление вовлечения в опухолевый процесс лимфатических узлов:
- N0: отсутствует вовлечение в опухолевый процесс лимфатических узлов
- N1: лимфатические узлы корня легкого на стороне поражения
- N2: лимфатические узлы средостения
- N3: контралатеральные лимфатические узлы корней легких/средостения, гомолатеральные или контралатеральные шейные/надключичные лимфатические узлы
• ПЭТ/КТ:
о В областях, вовлеченных в опухолевый процесс, наблюдается повышенный уровень поглощения ФДГ:
- Первичное новообразование
- Метастазы в лимфатических узлах
- Отдаленные метастазы
- Первичное новообразование, возникшее после лечения, следует рассматривать как персистирующую или рецидивирующую опухоль
4. МРТ при опухоли Панкоста:
• Т1ВИ:
Сагиттальная плоскость:
- Корешок спинномозгового нерва Т1 расположен ниже головки и шейки первого ребра
- Вовлечение в опухолевый процесс структур вышеТ1 -позвонка является противопоказанием для оперативного вмешательства
о Аксиальная плоскость:
- Оценка вовлечения в опухолевый процесс межпозвонковых отверстий, корешков спинномозговых нервов и канала спинного мозга
- Оценка состояния подключичных сосудов о Коронарная плоскость
- Оценка распространения опухоли в краниокаудальном направлении
• Т1ВИ с контрастным усилением:
о Оценка состояния подключичных сосудов
о Оценка распространения опухоли в межпозвонковые отверстия
о Дифференцирование фиброзных изменений и резидуальной или рецидивирующей опухоли после проведения химиолучевой терапии
Рекомендации к проведению лучевых исследований
• Оптимальный метод:
о Т1ВИ в сагиттальной плоскости: наиболее полная анатомическая информация
• Выбор условий исследования:
о Т1ВИ в сагиттальной плоскости: срезы толщиной В мм
(а) У мужчины 68 лет с жалобами на боль в верхних отделах грудной стенки справа при КТ с контрастным усилением позади верхушки правого легкого определяется мягкотканное объемное образование вызвавшее эрозию и деструкцию прилежащего ребра. Данная картина типична для опухоли Панкоста.
(б) У этого же пациента при МРТ на Т1ВИ позади верхушки правого легкого визуализируется гомогенное изоинтенсивное мягкотканное объемное образование.
Наиболее вероятный диагноз в данной демографической группе — первичный рак легких с местнодеструирующим ростом. (а) У этого же пациента при ФДГ-ПЭТ всего тела в опухоли Пан коста определяется повышенный уровень поглощения ФДГ, при этом признаки наличия метастазов отсутствуют.
Повышенный уровень накопления ФДГ в щитовидной железе обусловлен острым тиреоидитом. (б) У мужчины 50 лет с опухолью Панкоста при МРТ на Т1ВИ визуализируется прорастание опухолью межпозвонковых отверстий Т1-Т2-позвонков, корешков спинномозговых нервов С6-С8 и циркулярное обрастание подключичной артерии без деформации ее просвета.
Инвазия корешков или стволов плечевого сплетения выше уровня Т1 -позвонка является противопоказанием для оперативного вмешательства (а) Мужчине 58 лет по поводу опухоли Панкоста справа были проведены химиолучевая терапия и последующая резекция опухоли (в настоящее время это стандарт лечения таких пациентов).
При КТ с контрастным усилением после лечения патологические изменения отсутствуют.
(б) У этого же пациента при КТ с контрастным усилением через 6 месяцев в верхушке правого легкого визуализируется мягкотканный компонент, что позволяет заподозрить рецидив опухоли.
Признаками местного рецидива новообразования могут быть мягкотканный компонент и эрозия костей.
в) Дифференциальная диагностика:
1. Другие злокачественные новообразования:
• Метастаз в легких:
о Редко выявляющейся солитарный патологический участок в верхушке легкого
о Наличие ранее выявленного первичного новообразования
о Множественные объемные образования в легких и плевре
• Метастаз в плевре:
о Редко выявляющийся солитарный патологический участок в верхушечной плевре
о Наличие ранее выявленного первичного новообразования о Множественные объемные образования в легких и плевре
• Плазмоцитома:
о Вздутие ребра, тела позвонка
• Злокачественная мезотелиома плевры:
о Редко выявляющееся очаговое утолщение плевры
о Одностороннее циркулярное узловое утолщение плевры
о Воздействие асбеста; плевральные наложения в 1 /4 от всех случаев
• Лимфома:
о Лимфаденопатия
о Может проявляться солитарным объемным образованием в плевре, грудной стенке
2. Инфекционный или неинфекционный воспалительный процесс:
• Туберкулез:
о Патологический участок в верхушке легкого, часто содержащий полость
о Объемное уменьшение верхней доли легкого
о Плевральный выпот, утолщение плевры
• Нокардиоз:
о Сведения в анамнезе об астме, бронхоэктазах, хронической обструктивной болезни легких или иммунодефиците
о Хроническая консолидация легочной ткани ± вовлечение в процесс грудной стенки; абсцесс или флегмона (эмпиема плевры, распространяющаяся за пределы плевры)
• Актиномикоз:
о Неудовлетворительное состояние зубов, аспирация инфицированного секрета ротоглотки
о Хроническая консолидация легочнойткани: гиподенсныеучастки некроза, накапливающие контрастное вещество по периферии о Утолщение плевры, эмпиема
3. Прочие:
• Воспалительная псевдоопухоль (плазмоклеточная гранулема)
• Аневризма подключичного сосуда
г) Патоморфология опухоли Панкоста:
1. Основные особенности:
• 3-5% от всех первичных немелкоклеточных карцином легких:
о Аденокарцинома: 50% от всех случаев
о Плоскоклеточный и крупноклеточный рак: 50% от всех выявленных случаев
2. Стадирование, определение степени дифференцировки и классификация опухолей:
• ОП представляют собой новообразования с местнодеструирующим ростом:
о Т3:
- Вовлечение в опухолевый процесс грудной стенки
- Нижний ствол плечевого сплетения; спинномозговые нервы С8,Т1
о Т4:
- Верхний или средний ствол плечевого сплетения; спинномозговые нервы С5-С7
- Подключичные сосуды
- Тела позвонков, спинной мозг
- Трахея, пищевод
• Стадирование:
о На основании критериев N и М
- Т3 N0: IIB
- Т3 N1-2 или Т4 N0: IIIA
- Т3 N3, Т4 N2-3: IIIB
3. Макроскопические патоморфологические и хирургические особенности:
• В опухолевый процесс могут вовлекаться различные отделы верхней апертуры грудной клетки (передний, средний, задний)
• Резекция: резекция единым блоком опухоли, прилежащих тканей грудной стенки и доли легкого
д) Клинические аспекты:
1. Проявления опухоли Панкоста:
• Наиболее частые признаки:
о Симптомы могут отсутствовать; обнаруживается случайно при рентгенографии
о Синдром Панкоста:
- Боль в плечевом суставе, иррадиирующая в медиальные отделы лопатки, плеча или предплечья
- Синдром Горнера: птоз, миоз, ангидроз
- Боль в безымянном пальце и мизинце или атрофия мышц верхней конечности
• Другие признаки:
о Отек верхней конечности, вызванный частичной или полной обструкцией подключичной вены
2. Демографические данные:
• Возраст:
о 50-60 лет
• Пол:
о У мужчин встречается чаще, чем у женщин
• Эпидемиология:
о факторы риска:
- Курение
- Воздействие асбеста
- Воздействие веществ, применяемых в промышленности
3. Естественное течение заболевания и прогноз:
• Пятилетняя выживаемость после операции: 26-35%
• Метастазы в лимфатических узлах: неблагоприятный прогноз
4. Лечение опухоли Панкоста:
• Стандартно проводится индукционная химиолучевая терапия с последующей резекцией
• Противопоказания для оперативного вмешательства:
о Абсолютные:
- Инвазия корешков или стволов плечевого сплетения на уровне Т1 и выше
- Прорастание > 50% тела позвонка
- Инвазия пищевода или трахеи
- Стадия N2-N3 опухоли
- Отдаленные метастазы о Относительные
- Прорастание подключичных сосудов
д) Диагностические пункты:
1. Следует подозревать:
• Опухоль Панкоста при выявлении асимметричного утолщения плевры или объемного образования верхушки легкого, сопровождающегося деструкцией ребер и неврологическими нарушениями в верхней конечности на стороне поражения
2. Ключевые моменты при интерпретации изображений:
• Для подтверждения стадии N2 или N3, установленной при КТ с контрастным усилением или ПЭТ/КТ, следует проводить биопсию
3. Ключевые моменты диагностического заключения:
• Для установления резектабельности опухоли необходимо определить ее характеристики и оценить состояние окружающих анатомических структур
• Чтобы предотвратить проведение излишнего оперативного вмешательства, следует оценивать лимфатические узлы и выявлять отдаленные метастазы
Рак Панкоста
Рак Панкоста — рак верхнего отдела легкого, проявляющийся специфическими симптомами неврологического плана. По морфологической сути это немелкоклеточная карцинома — одинаково часто гистология выявляет аденокарциному или плоскоклеточный рак.
Заболевание встречается не часто — не более 5% из всех злокачественных новообразований легкого, преимущественно у мужчин. Очень часто на момент выявления процесс неоперабельный из-за вовлечения в опухолевый конгломерат тканей грудной стенки и нервных сплетений.
Причины развития опухоли Панкоста

Основная причина рака легкого — курение, что справедливо и для опухоли Панкоста. Предполагается и некоторая роль предшествующих воспалительных изменений — туберкулезных и воспалительных, поскольку именно в легочных верхушках создаются весьма благоприятные условия для развития бактериальной флоры.
Не исключается неблагоприятное воздействие длительного вдыхания вредных веществ — талька, асбеста, мышьяка при профессиональной деятельности.
Диагностика рака Панкоста
Злокачественный процесс в легочной ткани способна выявить флюорография и банальная рентгенография, но детально разобраться в истинном распространении опухолевого процесса может только высокотехнологичная визуализация — КТ или МРТ, при поражении верхушки потребуется то и другое.
В большинстве случаев рентгенологически в верхушке определяется узел опухоли, у каждого третьего опухоль похожа на надетую сверху «шапочку». На ребрах проявляются признаки сильного давления изнутри в виде локального рассасывания костной ткани.
КТ определит распространение рака из легкого в позвоночник, а введенный внутривенно контраст покажет насколько опухолевые ткани охватывают сосуды и каково состояние лимфатических узлов.
МРТ детализирует вовлечение в опухолевый процесс нервов, степень проникновения в позвоночный канал, где проходит спинной мозг, и соучастие подключичных сосудов.
При ПЭТ во всех заинтересованных участках накопится изотоп.

Бронхоскопия — стандартное обследование при РЛ, выясняющее заинтересованность крупных бронхов в раковом процессе, но маловероятно, что удастся выполнить биопсию, поскольку рак периферический.
Биопсия опухоли производится через грудную стенку с помощью эндоскопического оборудования — торакоскопии, иногда удается получить опухолевый материал для исследования под микроскопом при пункции мягкотканого компонента передней грудной стенки.
Клиника рака Панкоста
Клинические проявления при карциноме верхушечного отдела обусловлены одноименным синдромом, очень часто сочетающимся с синдромом Горнера.
Синдром Панкоста обусловлен прорастанием опухолью нервов, исходящих из позвоночного канала между последним шейным и первым или вторым грудным позвонком. Клинически синдром проявляется:
- очень интенсивной болью, часто стреляющей;
- нарушениями активных движений руки;
- слабостью мышц плечевого пояса;
- онемением пальцев, «ползанием мурашек» — парестезиями кожи;
- при вовлечении в раковый узел возвратного нерва пациент начинает сипеть, из-за неполного закрытия голосовой щели может появиться поперхивание при еде;
- сдавление опухолевыми массами верхней полой вены проявится нарастающей синюшной отечностью лица и шеи.
Синдром Горнера развивается при распространении ракового процесса на нервный ганглий на уровне первого грудного позвонка, манифестируя симптомами:
- невозможностью поднять верхнее веко — птоз;
- постоянно узким зрачком вне зависимости от освещённости — миоз;
- западением глаза, визуально как будто уменьшившимся — энофтальм;
- на половине лица и в коже руки перестают функционировать потовые железы — ангидроз.
Инфильтрация плевры раковыми клетками вызывает болевой синдром в грудной клетке, усиливающийся при глубоком дыхании.
Первым проявлением заболевания может быть любой симптом, но чаще всего пациенты жалуются на постепенно нарастающую боль с прогрессирующими двигательными нарушениями, окружающие замечают глазные симптомы.
Дифференциальная диагностика рака Панкоста
У пациента может быть любой набор выше перечисленных симптомов, как правило, врача не введёт в клиническое заблуждение наличие у пациента нескольких признаков синдрома Горнера — он заподозрит патологию верхушки.
Непросто определиться с этиологией процесса, особенно при анамнезе туберкулеза или работе с асбестом. Аналогичные пульмонологические изменения, но без явной неврологической симптоматики, вероятны при актиномикозе, метастазировании, мезотелиоме плевры, лимфопролиферативных процессах.

Диагностический процесс требует не только отличного оборудования, но и широкого медицинского кругозора, умения нестандартно мыслить — всё это обязательно для персонала нашей клиники, поэтому обследование у нас прицельное и быстрое.
Стадии опухоли Панкоста
Стадирование отличается по критерию «Т», то есть по наибольшему размеру опухоли, так как в процессе задействованы целые анатомические структуры, а не вовлеченность бронхиального дерева, как принято для всех остальных легочных сегментов:
- для установления размера опухоли на уровне 3 степени — Т3 учитывается распространение рака на стенку грудной полости или на нижнюю часть плечевого сплетения;
- критерий Т4 предполагает вовлечение позвонков, плечевого сплетения, подключичного сосудистого пучка.
Стадия 2 безусловно соответствует операбельному процессу, при верхушечной локализации возможность выполнения оперативного вмешательства сомнительная, потому что это уже Т3 с «чистыми» лимфоузлами.
И операбельная 3А стадия при опухоли Панкоста предполагает вколоченную в нервное сплетение опухоль Т4, удалить которую невозможно.
| Подробнее о лечении рака легких в «Евроонко»: | |
| Лечение рака легких | |
| Консультация онколога | от 5 100 руб |
| Приём химиотерапевта | 6 900 руб |
Лечение
Многие десятилетия карцинома верхушки считалась практически безнадежным делом для торакального хирурга из-за её частого интимного сплетения с важнейшими нервами, сосудами и позвоночным столбом.
Современные операционные технологии перевели прорастание подключичных сосудов в разряд относительного противопоказания к хирургии.
Невозможно на первом этапе сделать операцию при вовлечении в раковый конгломерат:
- более половины позвонка,
- пищевода или трахеи,
- стволов нервного сплетения,
- метастазирования в лимфоузлы средостения.
В таких случаях сначала проводится химиотерапия с облучением и повторно рассматривается вопрос об операции.
Полное противопоказание к хирургии — рак 4 стадии с метастазами в другие органы или второе легкое, остальные клинические ситуации подлежат комплексному лечению с операцией на первом или втором этапе. Нередко удается ограничиться частичным удалением легкого — резекцией.
Прогноз рака Панкоста
После хирургического лечения пятилетку переживает каждый третий-четвертый пациент.
Прогноз в отношении продолжительности жизни портит метастазирование в лимфоузлы и гистологический вариант аденокарцинома. При плоскоклеточном раке выживаемость выше.
Средняя продолжительность жизни для заболевания не рассчитана из-за редкой встречаемости, но точно известно, что без операции не гарантируют излечения сочетание лучевой терапии с лучшими противоопухолевыми лекарствами.
Не все торакальные онкологи с большим опытом готовы браться за таких пациентов, мало того, во время вмешательства операционной бригаде онкологов может потребоваться помощь сосудистого хирурга и нейрохирурга. В нашей клинике мы готовы принять любого пациента, потому что знаем и умеем помогать.
Рак Панкоста ( Рак верхней борозды легкого )
Рак Панкоста – апикальный рак легкого, имеющий субплевральную локализацию и сопровождающийся прорастанием нервно-сосудистого пучка, нижних шейных позвонков, верхних ребер и других близлежащих анатомических образований. Проявления рака Панкоста весьма специфичны; они включают боли в плече и руке, парестезии в пальцах кисти, синдром Горнера, грубый кашель, осиплость голоса, синдром верхней полой вены. Обследование начинается с оценки физикальных данных и рентгенографии легких; в дальнейшем дополняется КТ/МРТ грудной клетки, бронхоскопией, биопсией. Наилучшие результаты лечения рака Панкоста достигаются при проведении неоадъювантной терапии (лучевой и химиотерапии), дополненной хирургическим вмешательством.
МКБ-10


Общие сведения
Рак Панкоста (рак верхней борозды легкого) – периферический рак легкого, поражающий сегмент S1 (верхушечный) и в силу своей локализации сопровождающийся специфическим симптомокомплексом. Назван по имени американского рентгенолога H.K. Pancoast, в 1924 году впервые описавшего рентгенологические признаки и полную клинику данной патологии. По своему морфологическому строению рак Панкоста чаще всего соответствует плоскоклеточному раку легкого. В пульмонологии, кроме злокачественной опухоли, вызывать сходную симптоматику (так называемый синдром Панкоста) могут воспалительные и опухолевые процессы с локализацией в области верхушки легкого. Поэтому для подтверждения рака Панкоста обязательно необходима гистологическая верификация диагноза.
Причины рака Панкоста
В целом причины рака Панкоста совпадают с теми, которые влияют на частоту возникновения рака легких в целом. Как и в других случаях, в 80-85% ведущую роль в этиопатогенезе рака Панкоста играет курение. Важнейшими факторами при этом выступают стаж курения, суточная «норма» выкуриваемых сигарет и качество табака. Пассивное курение – регулярное вдыхание табачного дыма людьми, окружающими курильщика, столь же опасно, как и активное: в этом случае риск заболевания раком легкого повышается в 1,5–2 раза.
Свою лепту в статистику заболеваемости вносят вредные производственные и экологические факторы. В первую очередь, это контакт с асбестом, мышьяком, никелем, хромом, тяжелыми металлами, инсeктицидами, пecтицидами, аэрополлютантами. В возникновении рака Панкоста немаловажная роль принадлежит хроническим воспалительным и дистрофическим процессам в легких: ранее перенесенному туберкулезу, хронической пневмонии, бронхоэктатической болезни, очаговому пневмосклерозу и др. Доказана наследственная предрасположенность к возникновению рака легких; вероятна роль вирусов в запуске процессов канцерогенеза.
Симптомы рака Панкоста
Патогномоничная симптоматика рака Панкоста обусловлена верхушечной локализацией опухоли, деструкцией верхней апертуры грудной клетки, опухолевой инфильтрацией плечевого сплетения и звездчатого ганглия. Клиническая картина складывается из одноименного синдрома Панкоста и синдрома Горнера. Иногда оба симптомокомплекса развиваются одновременно, в некоторых случаях встречаются по отдельности.
Синдром Панкоста обусловлен прорастанием нервных корешков на уровне позвонков С8, Th1-Th2. Для него типична изнуряющая ноющая боль в плече на стороне опухоли, распространяющаяся по ходу локтевого нерва; слабость в мышцах руки, парестезии и онемение пальцев кисти, иногда – атрофия мышц конечности. Зачастую, чтобы ослабить боль в плече, пациент вынужден поддерживать больную руку за локоть. Боль может отдавать под лопатку, в подмышечную область, в грудную клетку. При прорастании или компрессии возвратного гортанного нерва возникает грубый сухой кашель и охриплость голоса. Рак Панкоста часто сопровождается развитием синдрома верхней полой вены.
Синдром Горнера развивается у больных раком Панкоста в случае вовлечения в патологический процесс симпатических волокон от уровня верхнего шейного ганглия до сегмента Th1. Симптомокомплекс характеризуется опущением (птозом) верхнего века, сужением зрачка (миозом), западением глазного яблока (энофтальмом), прекращением потоотделения (ангидрозом) на пораженной стороне лица и верхней конечности. В позднем периоде в надключичной ямке пальпируется опухолевый конгломерат.
Специфические признаки рака Панкоста протекают на фоне раковой интоксикации (недомогания, похудания, лихорадки) и паранеопластических расстройств. Для верхушечного рака легкого характерна склонность к деструктивному росту и раннему метастазированию в средостение, головной мозг, печень, кости. Рак Панкоста необходимо дифференцировать с другими патологическими процессами, сопровождающимися данным синдромом: метастатическим раком легкого, лимфогранулематозом, мезотелиомой плевры, эхинококковой кистой легкого, опухолями средостения и грудной стенки, туберкулезом.
С жалобами на болевые ощущения в руке пациенты часто обращаются к неврологу, однако после исключении неврологической патологии перенаправляются для дальнейшего обследования к пульмонологу, торакальному хирургу или онкологу.
Рентгенография легких помогает выявить затемнение в области верхней борозды, утолщение плевры на верхушке легкого; часто обнаруживается деструкция I-III ребер, нижних шейных и верхних грудных позвонков. С помощью КТ или МРТ легких определяется степень инвазии опухоли в сосуды, лимфоузлы, ребра, позвонки, ткани грудной стенки. Эти сведения крайне важны для прогнозирования операбельности при раке Панкоста. Для оценки вовлеченности кровеносных сосудов возможно проведение артерио- или флебографии, либо контрастной компьютерной томографии.

КТ ОГК С+. Опухоль верхушки правого легкого с вовлечением окружающих костных и мягкотканных структур.
Дополнительные сведения о распространенности злокачественного процесса помогает получить бронхоскопия. Гистологическая верификация диагноза осуществляется после выполнения трансторакальной тонкоигольной пункционной биопсии опухоли или открытой биопсии лимфатических узлов. С целью исключения метастазов рака легкого может назначаться медиастиноскопия, МРТ головного мозга, УЗИ печени, сцинтиграфия костей.
Лечение рака Панкоста
Чаще всего рак Панкоста диагностируется на III стадии, что накладывает свои особенности на процесс лечения. Сразу после установления диагноза важно назначить больному адекватное обезболивание, вплоть до наркотических анальгетиков. Хорошим анальгезирующим эффектом обладают блокады лестничной мышцы. В практике онкологии наиболее приемлемым считается трехкомпонентный подход, включающий лучевую терапию, химиотерапевтическое и хирургическое лечение. Неоадъювантная терапия назначается для уменьшения распространенности опухоли и повышения операбельности.
Объем резекции при раке верхушки легкого обычно включает пневмонэктомию с медиастинальной лимфаденэктомией, удалением всех вовлеченных структур (сосудов, ветвей плечевого сплетения, пораженных ребер и тел позвонков). В послеоперационном периоде снова проводится химиолучевая терапия. Для пациентов с метастатическим процессом лечение носит паллиативный характер.
Прогноз
При выявлении рака Панкоста на ранней стадии и радикальном комбинированном лечении прогноз можно считать условно благоприятным. При трехкомпонентном лечении пятилетняя выживаемость составляет 30-46%. Прорастание раковой опухоли в лимфоузлы средостения, симпатические узлы, подключичную артерию, тело позвонков, ребер, развитие синдрома Горнера усугубляют прогноз при раке Панкоста. Снизить вероятность развития рака легких позволяет полный отказ от курения, исключение контакта с вредными химическими соединениями.
2. Оптимизация передних оперативных доступов при опухоли груди с синдромом Панкоста: Автореферат диссертации/ Сангинов А. Б. – 2005.
3. Клиническое наблюдение опухоли Панкоста у военнослужащего/ Кречкивский А.А. и др.// Амурский медицинский журнал. – 2016 - №2(16).
Читайте также:
