Опухоль паренхимы эпифиза промежуточной дифференцировки на МРТ
Добавил пользователь Валентин П. Обновлено: 14.12.2025
Шишковидная железа (эпифиз) – это орган, который выполняет эндокринную функцию. Железа состоит из нейронных клеток (пиноцитов), связанных со светочувствительными клетками сетчатки. Эпифиз отвечает за память, любознательность, агрессивность, половое влечение.
Опухоль шишковидной железы, не зависимо от степени злокачественности, требует неотложного лечения. Из-за сдавливания структур головного мозга нарушается циркуляция спинномозговой жидкости (проявляется такими симптомами, как выраженные головные боли, сочетающиеся с тошнотой и рвотой), наблюдаются иные очаговые неврологические проявления: паралич движений глазных яблок вверх, нарушения координации движений и ходьбы, тремор и гипотония (в результате поражения мозжечка). Важным симптомом для правильной постановки диагноза является раннее половое созревание у детей, вызываемое влиянием на ингибирующую функцию гипоталамуса.
Опухоли шишковидной железы встречаются нечасто и поражают человека в основном в юношеском возрасте (13-20 лет)
Лечение
Как и в случае онкологических заболеваний других органов, наибольшую эффективность в лечении опухолей эпифиза показывает комплексный подход, который подразумевает сочетание одновременно несколько методов терапии.
Радиохирургическое лечение системе КиберНож

Лечение опухолей головного мозга на системе КиберНож
При небольшом размере опухоли шишковидной железы, пациенту может быть рекомендована радиохирургия на КиберНоже. Это инновационный метод лечения рака, позволяющий провести лечение опухоли мозга без операции, доказал свою эффективность во всем мире. В отличии от традиционной нейрохирургии, радиохирургия на КиберНоже не требует трепанации черепа, что, в сочетании с точностью подачи тонких пучков излучения, значительно снижает риск нанесения ущерба здоровым тканям этого жизненно важного органа.
Радиохирургический метод лечения заключается в подведении высокой дозы ионизирующего излучения точно в границы опухоли. В результате получения высоких доз облучения, клетки опухоли гибнут, а здоровые ткани вокруг опухолевого очага остаются максимально защищенными — высокая доза формируется в зонах пересечения тонких пучков радиации, которые задаются по трехмерной цифровой модели расположения опухоли и окружающих структур.
Как правило, радиохирургия опухолей эпифиза включает один-два сеанса длительностью до получаса, во время которых пациент пребывает в сознании, может самостоятельно покинуть клинику по окончанию лечения.

Опухоль шишковидной железы: план лечения на системе КиберНож
Бескровность, безболезненность, отсутствие необходимости в анестезии, сниженный риск невосполнимых неврологических нарушений, — в сравнении с хирургическим вмешательством в глубокие структуры головного мозга, лечение на КиберНоже позволяет пациенту проводить лечение амбулаторно, без отрыва от повседневного графика своей жизни.
Хирургическое лечение
Не всегда применение КиберНожа в лечении новообразований головного мозга, возможно, поскольку существует ограничение по размеру опухоли для радиохирургической операции.
Поэтому в случае большого объема опухоли головного мозга, основным методом лечения будет оперативное вмешательство. Хирургия опухолей головного мозга подразумевает малоинвазивное хиургическое вмешательство. Во время операции осуществляется забор образца опухолевой ткани, для гистологического исследования, и удаление максимально возможного объема новообразования, таким образом, чтобы не был нанесен урон здоровым тканям головного мозга.
Лучевая терапия

Современный линейный ускоритель Elekta с функцией IMRT позволяет проводить щадящую лучевую терапию с моделированием интенсивности подачи дозы ионизирующего излучения
Однако, если опухоль локализуется в труднодоступном для хирургического вмешательства месте головного мозга, во время операции удаляется лишь часть новообразования, а после лечение дополняется курсом лучевой терапии и применением современных химиотерапевтических препаратов, в том числе, для противодействия возможным метастазам рака головного мозга.
Лучевая терапия новообразований головного мозга проводится на высокоточном линейном ускорителе Электа Синержи, оснащенном системой IMRT (моделируемой по интенсивности доставки дозы ионизирующего излучения). Это дает возможность значительно повысить точность и безопасность лечения, а также сократить длительность каждого сеанса лучевой терапии, в отличии от лечения на линейных ускорителях устаревших моделей и кобальтовых аппаратах.
IMRT позволяет доставить высокие дозы ионизирующего излучения точно в границы опухоли с минимальным воздействием на близлежащие здоровые ткани головного мозга.
Также лучевая терапия широко применяется для паллиативного лечения, в тех случаях, когда опухоль является некурабельной (множественные метастазы в головной мозг, большой объем опухоли, затрагивающий критические структуры мозга и т.д.). В таком случае лучевая терапия позволяет снизить выраженность симптомов и повысить качество жизни пациента.
Диагностика
Диагностика опухолей шишковидной железы (эпифиза), особенно на ранних стадиях, затруднена, поскольку процессы роста происходят практически бессимптомно. Тем не менее, современные методы диагностики, такие как компьютерная томография (КТ), магнитно-резонансная томография (МРТ), рентгенконтрастная ангиография позволяют выявить заболевание на любой стадии. В целях дифференциальной диагностики применяются вентрикулографии.
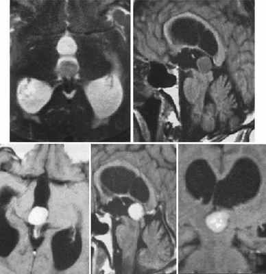
Опухоль паренхимы эпифиза промежуточной дифференцировки на МРТ
а) Терминология:
1. Сокращения:
• Опухоль паренхимы эпифиза промежуточной дифференцировки (ОПЭПД)
2. Определение:
• Первичная опухоль паренхимы эпифиза:
о По злокачественности занимает промежуточное положение между пинеобластомой и пинеоцитомой:
- Пинеоцитома: новообразование, характеризующееся медленным типом роста, с мелкими зрелыми клетками, которые напоминают пинеоциты
- Пинеобластома: примитивная эмбриональная опухоль эпифиза высокой степени злокачественности
б) Визуализация:
1. Общие характеристики опухоли паренхимы эпифиза промежуточной дифференцировки:
• Лучший диагностический критерий:
о Объемное образование эпифиза у взрослого, имеющее «агрессивный» внешний вид
• Локализация:
о Объемное образование эпифиза
о Часто наблюдается распространение в смежные структуры: желудочки, крышу среднего мозга, таламус
о Диссеминация через СМЖ (редко)
• Размеры:
о Варьируют от малых (< 1 см) до крупных (6 см)
2. КТ при опухоли паренхимы эпифиза промежуточной дифференцировки:
• Бесконтрастная КТ:
о Гиперденсное объемное образование, сконцентрированное в пинеальной области
о «Поглощение» опухолью кальцификатов эпифиза

(а) МРТ, Т1-ВИ, сагиттальный срез: у мужчины 21 года с жалобами на головную боль определяется объемное образование, расположенное в пинеальной области, в сочетании с обструктивной гидроцефалией, расширением III желудочка и опущением миндалин мозжечка. Дифференциальный диагноз при диагностической визуализации должен проводиться между опухолью паренхимы эпифиза промежуточной дифференцировки (ОПЭПД), пинеобластомой и герминомой.
(б) МРТ, Т2-ВИ, аксиальный срез: определяется очень крупная опухоль паренхимы эпифиза промежуточной дифференцировки (ОПЭПД), распространяющееся в желудочковую систему. Обратите внимание на неоднородный на Т2-ВИ сигнал от объемного образования, в структуре которого отмечаются множественные кистозные очаги, что характерно для опухоли паренхимы эпифиза промежуточной дифференцировки (ОПЭПД).
4. Рекомендации по визуализации:
• Советы по протоколу исследования:
о Пре- и постконтрастные сагиттальные/аксиальные/корональные Т1 -ВИ
- Т2-ВИ, FLAIR, Т2* (GRE, SWI), ДВИ
о Выполните полную предоперационную диагностическую визуализацию всей центральной нервной системы для поиска диссеминации опухоли через СМЖ
в) Дифференциальная диагностика:
1. Герминома:
• Наиболее частое новообразование пинеальной области
• М >> Ж; в основном у детей, молодых взрослых < 25 лет
• «Поглощение» опухолью кальцификатов эпифиза
• Часто внутрижелудочковое, отдаленное метастазирование через СМЖ
2. Пинеоцитома:
• Наиболее частое новообразование паренхимы эпифиза
• Обычно наблюдается у взрослых (средний возраст: 35-40 лет)
• Кальцификация эпифиза «взрывного» характера
• Солидный или кистозно-солидный характер, контрастирование солидного компонента
3. Пинеобластома:
• Наиболее часто встречается у детей, но может возникать в любом возрасте; М = Ж
• Для дифференциации от крупной ОПЭПД может потребоваться биопсия
• Часто раннее метастазирование через СМЖ
4. Папиллярная опухоль пинеальной области (ПОПО):
• Редкая нейроэпителиальная опухоль папиллярного строения
• Неотличима от ОПЭПД, пинеоцитомы при визуализации, макроскопическом патологоанатомическом исследовании

(а) МРТ, постконтрастное Т1 -ВИ, корональный срез: у мужчины 24 лет определяется периферийный характер контрастирование крупного объемного образования пинеальной области.
При хирургической резекции была диагностирована опухоль паренхимы эпифиза промежуточной дифференцировки (ОПЭПД).
(б) МР-спектроскопия: у женщины 48 лет определяется повышение пика холина, снижение пика NAA и дублета лактата. Внешние признаки опухоли имеют слишком «агрессивный» для пинеоцитомы характер.
Герминомы редко встречаются у женщин среднего возраста. Визуализационные признаки наиболее характерны для опухоли паренхимы эпифиза промежуточной дифференцировки (ОПЭПД), хотя возможным диагнозом мог бы быть «папиллярная опухоль пинеальной области». При гистологическом исследовании была подтверждена опухоль паренхимы эпифиза промежуточной дифференцировки (ОПЭПД).
г) Патология:
1. Общие характеристики опухоли паренхимы эпифиза промежуточной дифференцировки:
• Этиология:
о Нейроэпителиальное новообразование
• Историческая справка:
о ОПЭПД обычно не рассматривалась как самостоятельная нозология вплоть до 2007 года
о Новообразования, диагностированные до 2007 года как «пинеоцитома или пинеобластома» или «атипичная пинеоцитома» могут являться ОПЭПД
2. Стадирование и классификация:
• II или III степень злокачественности по классификации ВОЗ (grade II или III)
3. Макроскопические и хирургические особенности:
• Отграниченная от окружающих структур опухоль мягкой консистенции без визуализируемых макроскопически участков кровоизлияния или некроза
4. Микроскопия:
• Диффузные пласты относительно однообразных мелких клеток
• Целлюлярность от умеренной до высокой; ядерная атипия от легкой до умеренной
д) Клиническая картина:
1. Проявления опухоли паренхимы эпифиза промежуточной дифференцировки:
• Наиболее частые признаки/симптомы:
о Диплопия, синдром Парино, головная боль
• Другие признаки/симптомы:
о Признаки повышения внутричерепного давления, атаксия
2. Демография:
• Опухоли пинеальной области встречаются редко:
о 1 % от всех внутричерепных новообразований:
о Герминомы >> новообразования паренхимы эпифиза
о 20% опухолей паренхимы эпифиза, вероятно, являются ОПЭПД
3. Лечение:
• Часто применяются стереотаксическая биопсия, хирургическая резекция
Пинеалома
Пинеалома (пинеоцитома, аденома шишковидного тела) — опухоль головного мозга, исходящая из шишковидного тела. Чаще встречается в детском возрасте, преимущественно у мальчиков. Опухоль представляет собой плотный узел серо-красного цвета. Наиболее характерным для астроцитомы является медленный, инфильтративный рост. Часто встречается злокачественная форма — пинеобластома [1] .
Локализуется в пинеальной области (задние отделы III желудочка, область четверохолмной цистерны). Развитие пинеаломы может быть связано с распространением пинеалоцитов, астроцитов или геноцитов [2] [3] .
Пинеобластому диагностируют и удаляют только хирургическим путем. Для обнаружения опухоли делают компьютерную томографию (КТ) и магнитно-резонансную томографию (МРТ). При подозрении на опухоль обязательно проводят биопсию. Для этого вскрывают череп, затем удаляют образец ткани мозга, который изучают под микроскопом на наличие раковых клеток, и если они обнаружены, то удаляется как можно большая часть опухоли [4] .
Содержание
Разновидности [3] [5]
- Пинеоцитома II степени. Растут медленно, чаще возникают у взрослых в возрасте 25–35 лет.
- Пинеобластома IV степени. Злокачественная опухоль, встречается редко, в основном возникают у детей.
- Опухоль паренхимы шишковидной железы промежуточной дифференцировки III степени. Практически не предсказуемое течение. Составляет около 10% всех ОПШЖ, обычно диагностируется у взрослых.
Симптомы
Симптомы опухоли разнообразны, они зависят от возраста и места ее расположения. Наиболее частыми симптомами этого заболевания являются [4] :
- ; и рвота;
- потеря равновесия и затрудненная ходьба;
- нарушение письма, замедленная речь;
- припадки;
- слабость, сонливость;
- снижение или увеличение веса.
Лечение
Основой лечения астроцитом является хирургическое вмешательство — удаление опухоли. После операции проводят радиотерапию, в случае развития гидроцефалии делают вентрикуло–перитонеальное шунтирование [6] .
Прогноз
При комплексном лечении 3-летняя выживаемость равна 78%, 5-летняя — 58% [7] .
Примечания
папиллома • аденома, фиброаденома, цистаденома, аденоматозный полип • неинвазивная карцинома • базалиома • плоскоклеточный рак • аденокарцинома • коллоидный рак • солидный рак • мелкоклеточный рак • фиброзный рак • медуллярный рак • саркома • карцинома
астроцитома • астробластома • гемангиобластома • олигодендроглиома • олигодендроглиобластома • пинеалома • эпендимома • эпендимобластома • опухоли сосудистого сплетения ( хориоидпапиллома • хориоидкарцинома) • ганглионеврома • ганглионейробластома • нейробластома • медуллобластома • глиобластома • менингиома • менингиальная саркома • симпатобластома • ганглионейробластома • хемодектома • невринома ( Невринома слухового нерва) • нейрофиброматоз ( Нейрофиброматоз I типа • Нейрофиброматоз II типа) • нейрогенная саркома • краниофарингиома
Пинеоцитома
Пинеоцитома — доброкачественное новообразование шишковидной железы (эпифиза), развивающееся из железистых клеток паренхимы. Клинически проявляется симптоматикой окклюзионной гидроцефалии, парезом взора, страбизмом, расстройством конвергенции. В 50% случаев наблюдается мозжечковый синдром. Пинеоцитома выявляется по клиническим данным, результатам нейровизуализации (церебральная МРТ, КТ), анализа цереброспинальной жидкости, гистологического исследования. Наиболее эффективное лечение — радикальная нейрохирургическая резекция, по показаниям дополненная ликворошунтирующей операцией.
Общие сведения
Паренхиматозные опухоли эпифиза (шишковидной железы) носят название пинеаломы. Они составляют менее 1% новообразований ЦНС, включают доброкачественные (пинеоцитома) и злокачественные (пинеобластома) образования. Специалистами в сфере неврологии и нейрохирургии пинеоцитома часто обозначается термином "доброкачественная пинеалома". Неоплазия имеет нейроэктодермальное происхождение, возникает из клеток железистой ткани (пинеацитов), секретирующих мелатонин — основной регулятор биоритмов «сон-бодрствование». Пинеоцитома встречается в 40% случаев пинеалом, заболевают преимущественно люди молодого и среднего возраста (пик заболеваемости приходится на 25-35 лет). Опухоль распространена повсеместно, имеет одинаковую встречаемость среди мужчин и женщин.
Причины пинеоцитомы
Этиология доброкачественной пинеаломы точно не определена. Предполагают полиэтиологичность заболевания, включающую участие наследственных факторов, экзогенных воздействий, триггеров, провоцирующих начало роста опухоли. Наиболее вероятными этиофакторами возникновения заболевания считаются:
- Неблагоприятная окружающая среда. Онкогенным эффектом обладает радиация, токсические вещества, содержащиеся в выхлопных газах, выбросах отдельных химических производств, пищевые консерванты и т. п. Воздействие указанных факторов повреждает клеточный геном, свойства клеток изменяются, начинается их чрезмерное деление с развитием опухолевого образования.
- Наследственная предрасположенность. В случае пинеоцитомы не прослеживается прямая наследственная взаимосвязь. Исследователи предполагают реализацию генетической детерминированности как большей вероятности возникновения новообразования при одинаковых условиях жизни.
- Нарушения внутриутробного развития. Неблагоприятные влияния на плод в антенатальном периоде (гипоксия, внутриутробные инфекции, алкоголь, курение беременной) способны вызывать сбой отдельных процессов развития с формированием атипичных клеток. Ребёнок рождается и растёт здоровым. В последующем воздействие провоцирующих триггеров может обусловить активацию атипичных пинеоцитов, дающих начало опухолевому процессу.
- Черепно-мозговая травма. Не является непосредственной причиной заболевания. Способна спровоцировать рост пинеоцитомы при наличии в эпифизе латентных атипичных клеток, возникших в результате изменений генома, отклонений в процессе антенатального развития.
Патогенез
Указанные выше этиофакторы обуславливают трансформацию нормальных пинеоцитов в склонные к постоянному делению опухолевые клетки. Пинеоцитома характеризуется медленным неуклонным ростом. Место её локализации (эпифиз) расположено между полушариями мозга за третьим желудочком вблизи сильвиева водопровода, обеспечивающего отток цереброспинальной жидкости (ликвора) из третьего желудочка в четвёртый. Учитывая размеры шишковидной железы (в среднем 1 см в диаметре), очевидно, что даже небольшая пинеоцитома вносит изменения в анатомическое взаиморасположение окружающих эпифиз церебральных структур.
В первую очередь сдавливается сильвиев водопровод, затрудняется и периодически блокируется ликвороциркуляция. Результатом является скопление ликвора в желудочковой системе выше места блокировки — развитие окклюзионной гидроцефалии, обуславливающей основные симптомы опухоли. В процессе роста пинеоцитома сдавливает верхние холмики среднего мозга — подкорковые центры зрительного анализатора, что вызывает появление зрительных нарушений. При достижении значительных размеров новообразование оказывает давление на ткани мозжечка, провоцируя мозжечковую симптоматику.
Макроскопически пинеоцитома представляет собой серо-красный узел дольчатого строения, тесно спаянный с мягкой мозговой оболочкой. При микроскопическом изучении клетки опухоли имеют сходное со зрелыми пинеоцитами строение, снабжены отростками. Пинеоцитома отличается наличием пинеоцитарных розеток — скоплений клеточных отростков, имеющих вид безъядерных волокнистых зон.
Симптомы пинеоцитомы
В клинической картине доминируют симптомы внутричерепной гипертензии: упорная цефалгия, тошнота, рвота. Со временем пациенты отмечают отсутствие эффекта принимаемых от головной боли медикаментов, практически постоянное, не связанное с питанием чувство подташнивания, приносящие кратковременное облегчение частые рвоты. Типично присоединение зрительных расстройств: парез взора вверх (синдром Парино), косоглазие, диплопия, нарушение конвергенции, опущение верхнего века. Симптоматика носит двусторонний характер. В половине случаев наблюдается мозжечковая атаксия: шаткость ходьбы, нистагм, дискоординация, гиперметрия движений, прерывистость речи (дизартрия), интенционный тремор. У ряда пациентов пинеоцитома протекает с эпилептическими пароксизмами. Возможно развитие гиперсомнии, у больных детского возраста — преждевременное половое созревание.
Осложнения
Окклюзионная гидроцефалия сопровождается ликворно-гипертензионными кризами, обусловленными преходящей практически полной блокировкой ликворооттока. Кризы характеризуются выраженной цефалгией, многократной рвотой, расстройством сознания. Полная окклюзия сильвиева водопровода характеризуется быстрым нарастанием интракраниальной гипертензии, сдавлением головного мозга, дислокационным синдромом. В результате возникает компрессия церебрального ствола. Дисфункция локализующихся в продолговатом мозге витальных центров дыхания и сердечной деятельности ведёт к гибели больного. Грозным осложнением является малигнизация пинеоцитомы. При злокачественной трансформации наблюдается интенсивный инвазивный рост опухоли, образование метастазов.
Диагностика
Анамнез заболевания (постепенное начало, неуклонное прогрессирование), клинические данные (признаки окклюзионной гидроцефалии, глазодвигательные нарушения в неврологическом статусе) позволяют неврологу предположить наличие объёмного образования в пинеальной области. С целью уточнения диагноза назначаются следующие дополнительные исследования:
- Консультация офтальмолога. Необходима для оценки остроты зрения, проведения периметрии, офтальмоскопии. Наблюдается умеренное снижение зрительной функции преимущественно за счёт диплопии. Зрительные поля сохранны. Офтальмоскопия определяет двусторонний отёк дисков зрительного нерва, свидетельствующий о выраженной внутричерепной гипертензии.
- Нейровизуализация. КТ, МРТ головного мозга визуализуют новообразование пинеальной локализации, выявляют окклюзию опухолью сильвиева водопровода, гидроцефалию. Пинеоцитома отличается чёткими контурами, при контрастировании — интенсивным гомогенным накоплением контрастного вещества. Отсутствие возможности проведения томографических исследований является показанием к эхоэнцефалографии, позволяющей определить объёмное образование по смещению серединного эхо-сигнала.
- Исследование цереброспинальной жидкости. Забор материала осуществляется путём ликворной пункции. Противопоказанием к исследованию является выраженная гидроцефалия с угрозой развития дислокации. Анализ ликвора подтверждает повышенное содержание белка, клеточных элементов (цитоз). Отсутствие воспалительной реакции позволяет исключить абсцесс головного мозга, прочие инфекционные поражения. Обнаружение опухолевых клеток свидетельствует о злокачественном характере пинеаломы.
- Биопсия новообразования. В большинстве случаев получение опухолевых тканей осуществляется интраоперационно, в сложных диагностических ситуациях проводится стереотаксическая биопсия. Гистологическое исследование дает возможность точно верифицировать тип новообразования.
- Электроэнцефалография. Выступает вспомогательным диагностическим методом в случае наличия эпиприступов. Диагностирует эпилептогенный очаг на фоне неспецифических диффузных изменений биоэлектрической активности.
Пинеоцитома нуждается в дифференцировке от других опухолей эпифиза (гермином, пинеобластом), церебральных кист, абсцессов, внутримозговых гематом, паразитарных поражений. Невозможно различить указанные образования, основываясь только на клинических данных. Диагноз «пинеоцитома» требует нейровизуализационного и гистологического подтверждения.
Лечение пинеоцитомы
Стандартным способом лечения доброкачественной пинеаломы является нейрохирургическое удаление. Операция производится нейрохирургом путём краниотомии с последующим инфратенториальным супрацеребеллярным доступом. При необходимости профилактики послеоперационной гидроцефалии удаление опухоли дополняют шунтирующей операцией, вентрикулоцистерностомией III желудочка. Если пинеоцитома имеет небольшой размер, рассматривается вопрос радиохирургического удаления. Полученные в ходе оперативного вмешательства ткани неоплазии подвергаются незамедлительному гистологическому анализу. Выявление промежуточной дифференцировки новообразования, процессов малигнизации служит показанием к послеоперационной лучевой и химиотерапии.
Нейрохирургическому лечению сопутствует симптоматическая консервативная терапия. Уменьшение гидроцефалии, профилактика отёка мозга осуществляется назначением мочегонных препаратов, инъекций магния сульфата. Многократная рвота купируется противорвотными средствами (метоклопрамидом), эпилептические пароксизмы — приёмом антиконвульсантов (диазепама, карбамазепина).
Прогноз и профилактика
Радикальная резекция новообразования даёт пациенту шанс навсегда избавиться от заболевания. При неполном удалении оставшиеся после операции опухолевые клетки могут стать источником рецидива. Малигнизирующаяся пинеоцитома имеет серьёзный прогноз, обусловленный развитием имплантационных метастазов. Специфическая профилактика не разработана, поскольку остаются неясными этиопатогенетические механизмы развития пинеоцитомы. К общим профилактическим мерам относится предупреждение воздействия онкогенных факторов: радиации, канцерогенов, токсинов, ведение здорового образа жизни будущими матерями.
Опухоли шишковидной железы
Шишковидная железа (эпифиз)
МКБ-10 коды
Описание
Опухоли шишковидной железы – это новообразования эпифиза различной степени злокачественности, которые развиваются из клеток, предшествующих пинеалоцитам. Местом локализации первичной опухоли являются задние отделы третьего желудочка головного мозга (пинеальная область). По статистическим данным распространенность диагноза составляет 1-1,5% среди всех внутричерепных объемных образований, но чаще всего проявляется в подростковом возрасте (10-18 лет).

Опухоль шишковидной железы (пинеацитома) на МРТ
Классификация
Пинеоцитома (ВОЗ–2) - медленно растущая опухоль, состоящая из зрелых пинеалоцитов. Составляет примерно 45% всех опухолей шишковидного тела. Одинаково часто выявляют у мужчин и женщин, пик заболеваемости приходиться на возраст 25–30 лет.
Пинеобластома (ВОЗ–4) - высокозлокачественная опухоль, состоящая из низкодифференцированных клеток пинеоцитарного ряда. Составляет примерно 45% всех опухолей шишковидного тела. По своим биологическим свойствам и агрессивности весьма схожа с супратенториальной примитивной неэйроэктодермальной опухолью, в частности, обладает тенденцией к метастазированию по субарахноидальным пространствам. Опухоль выявляют преимущественно в детей, хотя описаны случаи возникновения практически в любом возрасте. Несколько чаще развивается у лиц мужского пола.
Опухоль паренхимы шишковидной железы промежуточной дифференцировки (ВОЗ–3) характеризуется наименее предсказуемым течением. Составляет примерно 10% всех опухолей шишковидного тела. Чаще развивается у взрослых.
Клиническая картина
Гипертензионно-гидроцефальные признаки обусловлены сдавлением опухолью водопровода мозга и задних отделов третьего желудочка. Из локальных симптомов наиболее часто возникают различные зрительные и глазодвигательные расстройства - ослабление реакции зрачков на свет, парез взора в вертикальном направлении, нарушение конвергенции, офтальмоплегия, нарушение слуха. Эти проявления в основном связаны с поражением опухолью пластинки крыши среднего мозга. Примерно у половины больных выявляются мозжечковые расстройства в виде нарушений статики и походки. Если злокачественная опухоль прорастает в базальные ядра, то выявляются экстрапирамидные симптомы.
Диагностика
МРТ с контрастным усилением - стандартное исследование при опухолях этой локализации. При пинеоцитоме обнаруживают небольших размеров округлое образование в пинеальной области, с чёткими границами, активно и гомогенно накапливающее контраст и вызывающее компрессию пластинки четверохолмия. Для пинеобластомы характерны все признаки злокачественной быстро прогрессирующей опухоли (инфильтративный характер роста, гетерогенный сигнал с признаками некроза и кровоизлияний, большие размеры, субарахноидальные метастазы).
Лечение
Лечение опухолей шишковидного тела оперативное, в некоторых случаях - комбинированное. Выбор метода лечения (лучевая терапия, симптоматическое лечение, операция или их комбинация) является сложной задачей, что обусловлено гистологическим разнообразием опухолей шишковидного тела, их взаимосвязью с мозговым стволом и расположением в непосредственной близости от крупных кровеносных сосудов, а также различной радиочувствительностью опухолей.
При наличии гипертензионно-гидроцефальных симптомов производят паллиативные операции, направленные на устранение окклюзионной гидроцефалии.
При неоперабельных опухолях прогноз неблагоприятный. При удалении небольших по размеру опухолей шишковидного тела, не прорастающих в мозговой ствол, можно получить удовлетворительный результат.
Читайте также:
