Шваннома - лучевая диагностика
Добавил пользователь Валентин П. Обновлено: 22.11.2025
(Акустическая неврома; акустическая невринома; опухоль VIII нерва)
, MD, Columbia University Medical Center and New York Presbyterian Hospital
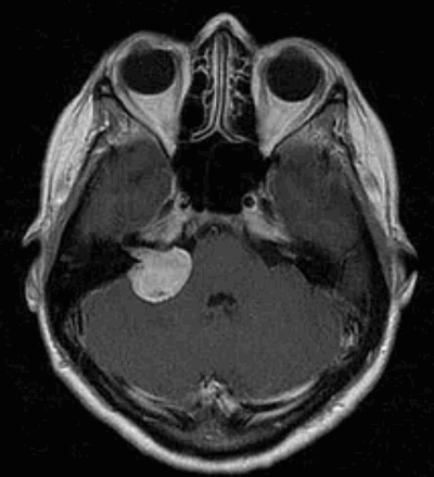
Вестибулярные шванномы происходят из вестибулярной порции VIII пары черепных нервов и на ее долю приходится около 7% всех внутричерепных опухолей. Акустическая невринома происходит из вестибулярной порции 8 пары черепных нервов и по мере роста сдавливает 7 и 8 пары черепных нервов в области мостомозжечкового угла. По мере роста происходит сдавление мозжечка, спинного мозга, близлежащих черепных нервов (5, 9 и 12 пары).
Двусторонняя вестибулярная шваннома характерна для нейрофиброматоза Нейрофиброматоз Нейрофиброматоз - это группа заболеваний, которые имеют однотипные клинические проявления, но, как предполагают в настоящее время, вызваны различными генетическими причинами. Это заболевание. Прочитайте дополнительные сведенияСимптомы и признаки невриномы слухового нерва
Основным симптомом вестибулярной шванномы является медленно прогрессирующая односторонняя нейросенсорная тугоухость ПатофизиологияДиагностика невриномы слухового нерва
При асимметричной тугоухости МРТ с контрастированием гадолинием
Наиболее часто аудиограмма Обследование Во всем мире около полумиллиарда человек (почти 8% мирового населения) страдают от потери слуха ( 1). У более 10% жителей США отмечается тугоухость определенной степени, которая создает им проблемы. Прочитайте дополнительные сведенияДругие данные включают в себя наличие затухания акустического рефлекса при тимпанометрии. Тестирование ответа ствола мозга на слуховые раздражители позволяет выявить отсутствие сигнала и/или увеличение задержки 5-й волны. Хотя при стандартном обследовании по поводу асимметричной нейросенсорной тугоухости калорическую пробу обычно проводить не требуется, ее результаты показывают выраженную вестибулярную гипоактивность (парез канала) на пораженной стороне.
Лечение невриномы слухового нерва
В отобранных случаях хирургическое удаление или стереотаксическая лучевая терапия
Мелкие бессимптомные (т.е. обнаруженные случайно) и не растущие вестибулярные шванномы лечения не требуют; за такими опухолями можно проводить динамическое наблюдение с помощью МРТ и лечить в случае, если они начинают расти или вызывают симптомы. Выбор между стереотаксической лучевой терапией (например, гамма-нож или кибернож радиотерапия) и консервативной микрохирургией зависит от многих факторов, включая степень снижения слуха, размер опухоли, возраст и общее состояние больного. Стереотаксическую лучевую терапию применяют у более молодых пациентов, при небольших размерах опухоли либо при наличии противопоказаний к операционному вмешательству. Микрохирургия может проводиться через подход, сохраняющий слух (подход через среднюю черепную ямку или ретросигмоидальный подход) или, если слух полностью утерян, то используют транслабиринтный микрохирургический подход.
Основные положения
Обычно, вестибулярная шваннома односторонняя, однако при фиброматозе 2 типа может быть билатеральной.
Часто развивается односторонняя тугоухость, иногда с шумом в ушах и головокружением.
При больших размерах опухоли или тяжелом течении заболевания используют стереотаксическую радиохирургию или микрохирургию.
На серийных МРТ-снимках могут выявляться небольшие асимптоматические или нерастущие опухоли.
Авторское право © 2022 Merck & Co., Inc., Rahway, NJ, США и ее аффилированные лица. Все права сохранены.
Шваннома - лучевая диагностика
Телефон регистратуры поликлиники:
Телефон регистратуры лучевой диагностики:
Гамма-нож
![]() |
Вестибулярная шваннома (невринома VIII нерва, акустическая невринома) представляет собой доброкачественное новообразование, возникающее из шванновских клеток вестибулярной порции VIII нерва.
Заболеваемость невриномами слухового нерва составляет примерно 1 случай на 100000 населения в год. Каждый год в Российской Федерации появляется 1500 новых случаев неврином слухового нерва. Среди первичных интракраниальных опухолей вестибулярные шванномы вестибулярные шванномы занимают 4-е место (после глиом, менингиом и аденом гипофиза), составляя до 6-10% всех верифицированных опухолей мозга и поражая преимущественно лиц работоспособного возраста (30-60 лет), на который приходится более 80% случаев. Вестибулярные шванномы составляют около 30% опухолей задней черепной ямки и до 90% новообразований мосто-мозжечкового угла. Несколько чаще встречаются у женщин, чем у мужчин, примерное соотношение 3:2.
Клиническая картина зависит от размеров опухоли. При небольших размерах симптоматики может не быть вовсе. По мере увеличения опухоли в размерах появляется симптоматика, зависящая от того, какие структуры сдавливает опухоль:
- Поражения нервов.
- Нарушение слуховой и вестибулярной функции.
- Расстройства функции вкуса на передней 2/3 языка и слюноотделения (XIII нерв).
- Расстройства функций каудальной группы нервов.
- Расстройства функции мимической мускулатуры.
- Глазодвигательные нарушения.
- Симптомы раздражении/компрессии ствола головного мозга.
- Различные виды нистагма.
- Пирамидная симптоматика.
- Мозжечковая симптоматика.
- Гипертензионно-дислокационный синдром.
Диагностика
Наиболее информативным методом выявления вестибулярных шванном является МРТ головного мозга с контрастным усилением в режиме Т1 и Т2. Это исследование позволяет определить размеры опухоли, наличие перитуморозного отека, наличие признаков окклюзионной гидроцефалии, которая может быть следствием сдавления опухолью IV желудочка. Кроме этого МРТ позволяет провести дифференциальную диагностику с другими опухолями схожей локализации (чаще с менингиомой задней грани пирамиды височной кости). Еще одним стандартом диагностики является КТ в костном режиме. Независимо от снижения слуха стандартом является проведение аппаратной аудиографии.
Классификация KOOS
I стадия: опухоль находится в пределах внутреннего слухового прохода, диаметр экстраканальной части составляет 1-10 мм.
II стадия: опухоль вызывает расширение канала внутреннего слухового прохода, и выходит в мостомозжечковый угол, ее диаметр составляет, 11-20 мм.
III стадия: опухоль распространяется до ствола головного мозга без его компрессии, диаметр составляет 21 - 30 мм.
IV стадия: опухоль вызывает компрессию ствола головного мозга, ее диаметр более 30 мм.
Классификация M. Samii
Т1 – интрамеатальная опухоль.
Т2 – интра-экстрамеатальная опухоль.
Т3а – опухоль заполняет мостомозжечковую цистерну.
Т3b – опухоль распространяется до ствола головного мозга.
Т4а – опухоль вызывает компрессию ствола.
Т4b – опухоль грубо деформирует ствол мозга и IV желудочек.
Тактика лечения
В зависимости от размеров опухоли, клинической симптоматики, возраста больного, тяжести его состояния, наличия сопутствующей патологии возможны 3 варианта тактики лечения:
- динамическое наблюдение;
- хирургическое лечение;
- стереотаксическая радиохирургия.
Динамическое наблюдение
Учитывая, что вестибулярная шваннома является доброкачественной опухолью с невысокими темпами роста, при небольших ее размерах, отсутствии или минимальном неврологическом дефиците возможен выбор выжидательной тактики. Особенно такой подход оправдан у пожилых людей, или у пациентов с выраженной декомпенсированной соматической патологией. Однако, в большинстве случаев, учитывая риски, связанные с возможным ростом опухоли, более оправданным считается выбор активной тактики.
Хирургическое лечение
Наличие у пациента вестибулярной шванномы является показанием к хирургическому лечению. Большие и гигантские размеры опухоли (более 3,5 см.) являются абсолютным показанием к хирургическому лечению. При меньших размерах возможно проведение радиохирургического лечения.
Для удаления вестибулярных шванном в настоящее время используются три основных доступа: транслабиринтный, ретросигмовидный (наиболее часто используемый) и доступ через среднюю черепную ямку. Каждый из них обладает своими преимуществами и своими же недостатками. В последние годы в связи с развитием микрохирургической техники результаты хирургического лечения пациентов значительно улучшились. Летальность после удаления вестибулярных шванном колеблется в пределах (0-3%), рецидивы опухоли наблюдаются в 5-10%.
В настоящее время превалирующим фактором результативности хирургического лечения считается качество жизни пациента, поэтому интраоперационная тактика в большей степени должна быть нацелена на достижение именно этой цели. Такие послеоперационные осложнения как паралич лицевого нерва (до 25%), нарушения глотания, глазодвигательные нарушения, несут существенную угрозу инвалидизации, поэтому проведение таких операций диктуют высокие требования к профессиональной подготовке оперирующего нейрохирурга. Из послеоперационных осложнений также следует отметить ликворею у 2-20% пациентов, которая иногда может потребовать проведение повторной операции для закрытия ликворного свища; кровоизлияние в ложе операции (1-2%); отек мозжечка и ствола мозга; гемипарез; менингит (1,2%); раневую инфекцию (1,2%); парез VI черепного нерва (1-2%) и парезы других, ниже расположенных черепных нервов; подкожную гематому (3%).
Стереотаксическая радиохирургия
Целью радиохирургического метода является контроль роста опухоли. Стабилизация процесса и даже уменьшение размеров наблюдается в 85-94% случаев, что соответствует мировым данным. Другим критерием эффективности лучевой терапии является высокий (до 98%) показатель отсутствия операции после проведения облучения. Важным также является сохранение функции улиткового и других черепных нервов в случаях, когда это возможно, а также улучшение неврологического статуса пациента. Эффективность применения Гамма-ножа при лечении больных с вестибулярными шванномами создало реальную альтернативу хирургическому лечению при опухолях, размеры которых не превышают 3,5 см, при этом метод радиохирургии лишен недостатков хирургического метода лечения.
После облучения опухоли гамма-ножом возможно как уменьшение ее размеров, так и временное их увеличение. Третьим возможным вариантом развития событий может быть продолженный рост опухоли, однако, это происходит нечасто (от 0 до 7% в течение 10 лет).
Версия для слабовидящих Карта сайта
Шваннома

«В онкологии терять времени нельзя: шваннома без своевременного лечения может опасно разрастись, в головном мозге появляются метастазы, и тогда трудно помочь пациенту. Но в нашем современном онкологическом центре на помощь приходит лучевая терапия с возможностью радикально влиять на новообразования головного мозга, в т.ч. и на шванномы. Поэтому считаю, что лечение этого вида рака надо вести в специализированном онкологическом центре с точной аппаратурой».
Злокачественные и доброкачественные шванномы
Шваннома — это опухоль, которая возникает из шванновских клеток оболочки нерва. Она может быть как злокачественной, так и доброкачественной. Данный вид онкологии диагностируется нечасто, примерно в 7% случаев всех сарком мягких тканей. Наблюдается в основном у людей среднего возраста, чаще у представителей мужского пола.
Злокачественная шваннома в основном локализуется на конечностях рук и ног:
Шваннома также может образоваться в области шеи и головы, но такие случаи фиксируются значительно реже. Даже самая маленькая злокачественная шваннома являет собой ограниченные инкапсулированные узлы, часто имеет крупнобугристую поверхность. Если опухоль образуется из крупного нервного ствола, то она визуально напоминает веретено, нерв утолщен и отделить его от опухоли невозможно. Если ткань опухоли разрезать, то она имеет желтовато-белый или серый блестящий цвет, волокнистую структуру, иногда желатинообразную. Если форма шванномы низкодифференцированная, волокнистости нет, опухоль напоминает «рыбье мясо». Маленькая злокачественная шваннома состоит из удлиненных клеток, ядра которых вытянуты.
Симптомы шванномы

Клиническая картина развития рака выражена слабо, неспецифическая. Симптомы на ранних стадиях отсутствуют. Разрастается шваннома достаточно медленно. Правильная дифференциальная диагностика возможна только путем цитологического или морфологического изучения опухоли.
Вестибулярные шванномы — что это?
Вестибулярная шваннома (невринома слухового нерва) — наиболее распространенный вид рака невральных оболочек. Обычно расти вестибулярная шваннома начинает в области расположения слухового прохода. Шваннома, в отличие от других опухолей, отличается низким темпом роста. Симптоматика на начальных стадиях обычно отсутствует. Единственное проявление — это звоны или шум в ушной раковине. В процессе разрастания опухоли у пациента снижается качество слуха, что обычно выявляется случайно.
Когда шваннома достигает размера 3-4 см в диаметре, у человека начинаются проблемы с координацией. Они напрямую связаны с деформацией ствола головного мозга. Также могут проявиться признаки расстройства со стороны лицевого и тройничного нервов, хоть они и претерпевают изменения:
- Растяжение
- Истончение.
- Разволокнение
Из-за этого слух полностью пропадает.
Лечение шванномы
Инновационные решения в TomoClinic
Лечение лучевой терапией
В TomoClinic лечение проводят с использованием современных методов, одним из которых является томотерапия. Используя современные технологии лучевой терапии в сочетании с другими методиками, можно добиться максимально эффективного результата лечения с минимальным поражением близлежащих органов и тканей, а также сохранить привычный образ жизни пациента. Шванома излечима, главное вовремя обратиться к специалистам.
Эффективная терапия в Украине
Инновационное лечение шванномы дает реальные шансы на практически полное выздоровление, даже если опухоль злокачественная. Шваннома, именуемая в медицине также как невринома — опухоль, которая может возникнуть в любом нерве. Это более характерно для нервов, которые располагаются в голове и шее, а также тех, которые непосредственно участвуют в сгибании ног и рук.
Лечение включает в себя химиотерапию, лучевую терапию и хирургию. Каждый случай индивидуален, поэтому консилиум специалистов назначает пациенту лечение согласно особенностям развития болезни в его организме. Если шваннома маленькая, то ее легче удалить, что понизит риски сильного повреждения нерва. Ряд пациентов, у которых шваннома доброкачественная, находятся в неудовлетворительном общем состоянии здоровья, и им операция не назначается. В этих случаях лучевая терапия помогает уменьшить размер опухоли и устранить негативную симптоматику. Доктора нашего центра постоянно контролируют состояние опухоли, чтобы убедиться, что она не претерпевает никакой недоброкачественной трансформации и не требует более интенсивной терапии.
На сегодняшний день в Украине используются инновационные методы диагностирования и терапии онкологических заболеваний разной сложности. В TomoClinic проводится успешное лечение различных видов онкологии. В своей работе мы используем только проверенные и действующие методики, которые дают хороший результат.
TomoClinic: мы поможем вам побороть рак.
Протоколы лечения
Для ознакомления с международными протоколами лечения от организаций ESMO и NCCN вы можете пройти по ссылке (зарегистрироваться, скачать PDF-файл) и узнать более детальную информацию о терапии шванномы:
Шваннома (невринома)
Невринома (шваннома) — медленно развивающиеся опухоли, которые присоединяются к любому нерву в теле. Опухоли поражают преимущественно нервы головы, шеи, позвоночника (спинного мозга), а так же верхние и нижние конечности. Невринома возникает в связи с переизбытком шванновских клеток, которые покрывают волокна нерва, помогая поддерживать и изолировать их.
Невриномы не агрессивны, хотя опухоль иногда может быть злокачественная. В случае раннего обнаружения невриномы легко лечатся. Тем не менее, профильные медицинские учреждения сообщают, что в случае поражения внутреннего уха вестибулярными невриномами (невринома слухового нерва), может понизиться слуховая активность, возникнуть глухота и паралич лицевого нерва.
Лечение
Наибольшую эффективность в лечении неврином показывает радиохирургическое лечение на системе КиберНож. Принцип действия КиберНожа заключается в дистанционном подведении высоких доз ионизирующего излучения точно в пределы новообразования, что способствует разрушению опухолевых клеток.
Метод лечения наиболее безвредный, поскольку благодаря высокой точности системы (до 0,04 мм), критические структуры и ткани вблизи опухоли остаются неповрежденными. Лечение проводится без трепанации черепа, крови и разрезов, всего в несколько фракций (сеансов).
Для применения радиохирургии не требуется также специальной подготовки пациента к лечению в виде введения анестезии. Во время процедуры пациент располагается на специальном роботизированном лежаке, пока «рука» КиберНожа постепенно двигается над ним, подавая дозы высокие дозы облучения.
Противопоказания и ограничения для применения радиохирургического лечения.
В частности, относительно размера опухоли. Так, если объем невриномы в диаметре превышает 3 см и локализация опухоли позволяет применить к ней хирургию, опухоль удаляется оперативным путем.
Также в составе комбинированного лечения может быть применена лучевая терапия.
Диагностика
Рентгеновские лучи используются не для осмотра шванном, поскольку шванномы не визуализируются на рентгеновскую пленку, а чтобы увидеть, участвует ли костная ткань в образовании опухоли. Необходимы также МРТ, УЗИ и биопсия опухоли.
Симптомы и причины болезни
Истинная причина возникновения шванномы неизвестна.
Шванномы часто наблюдаются у пациентов с болезнью фон Реклингхаузена (нейрофиброматоз). Пациенты с опухолями, которые образуются на поверхности нервов глубоко в теле, менее вероятно обнаружат свою болезнь до тех пор, пока размер опухолей существенно не увеличится. Когда опухоли затрагивают нервы вблизи верхних участков тела, обнаружить их намного легче, поскольку боль станет индикатором наличия заболевания в организме.
Симптомы растущей шванномы могут быть болезненными, или же абсолютно безболезненными. Некоторые пациенты чувствуют ощущения подобные небольшому электрическому шоку, когда область опухоли пальпируется. Часто неврологические проблемы не возникают, если опухоль не разовьется около ключевого моторного или сенсорного нерва, как, к примеру, опухоль во внутреннем ухе.
Шваннома - лучевая диагностика
Шваннома - лучевая диагностика
а) Терминология:
• Доброкачественная опухоль оболочки периферических нервов, покрытая капсулой и обычно расположенная эксцентрично относительно нерва
б) Визуализация:
• Нервы сгибательной поверхности верхней и нижней конечностей
• Солитарное веретеновидное объемное образование с четким контуром
• Поражение кости встречается редко
• КТ: веретеновидное гиподенсное (5-30 ед. Н) объемное образование:
о ± зона повышенной плотности в центре
• МРТ:
о Изоинтенсивный или слабогиперинтенсивный сигнал по сравнению с мышцами на Т1 ВИ:
- Симптом «расщепления жировой клетчатки» = тонкий ободок жировой ткани
- Может выявляться некоторая атрофия мышц дистальнее объемного образования
о Гиперинтенсивный сигнал относительно мышц при использовании последовательностей, чувствительных к жидкости:
- Симптом «мишени» = гипоинтенсивная зона в центре
- Симптом «фасцикул» = множественные небольшие кольцевидные структуры
о Наличие тонкого гиперинтенсивного кольца более характерно для шванномы, а не нейрофибромы
о По сравнению с нейрофибромой чаще выявляются кистозные изменения
о Типичным признаком является диффузный характер контрастирования
• УЗИ: гипоэхогенное объемное образование с четким контуром и слабой акустической тенью:
о Обычно выявляется эхогенная капсула
• ПЭТ с F-18 ФДГ не позволяет дифференцировать шванному со злокачественной опухолью оболочки периферических нервов
(Слева) При МРТ в коронарной плоскости на Т1ВИ по ходу малоберцового нерва визуализируется веретеновидное объемное образование. Видно, что нерв выходит из образования дистально, а само образование смещает латеральную головку икроножной мышцы. Образование характеризуется гетерогенным сигналом от изоинтенсивного до слабогиперинтенсивного по сравнению с мышцами.
(Справа) При МРТ в аксиальной плоскости на Т2 ВИ в режиме FSE объемное образование с гетерогенным сигналом, слабо повышенным в периферических отделах. (Слева) При МРТ в сагиттальной плоскости на Т2ВИ в режиме FS определяется гетерогенно гиперинтенсивное объемное образование. Снова обнаруживается гипоинтенсивная зона в центре: разновидность симптома «мишени», часто выявляемого при опухолях оболочки периферических нервов.
(Справа) При МРТ с контрастным усилением в аксиальной плоскости на Т1ВИ в режиме FS визуализируется объемное образование В с четким контуром и гетерогенным контрастированием. Расположение образования по ходу малоберцового нерва позволяет предположить происхождение опухоли. Вследствие крайней болезненности кор-биопсия была выполнена только один раз. При биопсии была подтверждена шваннома.
в) Патология:
• Классическая гистологическая картина при шванноме характеризуется чередованием зон Антони А и В
• Старая шваннома: ↑ кальцификация, кровоизлияния, кистозные изменения и гиалинизация
• Клеточная шваннома: вследствие повышенных клеточности и количества митозов более чем в 25% случаев данные опухоли ошибочно расценивают, как злокачественные
• Встречается немного реже, чем нейрофиброма
Читайте также:

