Опухоли печени плода. Кальциноз печени плода
Добавил пользователь Евгений Кузнецов Обновлено: 13.12.2025
В большинстве своем доброкачественные опухоли — клинически малосимптомные или бессимптомные новообразования печени, исходящие либо из эпителиальной ткани (гепатоцеллюлярная аденома и др.), либо из стромальных и сосудистых элементов.
Классификация доброкачественных опухолей печени
К доброкачественным опухолям печени относятся гемангиомы, лимфангиомы, фибромы, липомы и смешанные опухоли — гамартомы (тератомы). Логично отнести к доброкачественным новообразованиям печени также и непаразитарные кисты. Среди них выделяют истинные кисты (дермоидные, ретенционные цистаденомы) и поликистоз печени (более чем у половины больных он сочетается с кистозными изменениями других органов- почек, поджелудочной железы, яичников). Нередко наблюдаются также ложные кисты (травматические, воспалительные). Истинные кисты, как правило, одиночные; ложные могут быть как одиночными, так и множественными. Объем множественных кист обычно составляет несколько миллилитров, в то время как объем солитарных (истинных и ложных) кист может достигать 1000 мл и более.
Диагностика доброкачественных образований печени
Общими являются два важных признака: 1) отсутствие повышения концентраций альфа-фетопротеина, карциноэмбрионального антигена СА — 199 сыворотки крови; 2) отсутствие отчетливого повышения активности аспарагиновой и аланиновой аминотрансфераз (АсАТ и АлАТ), щелочной фосфатазы (ЩФ), гамма- глутамилтрансферазы (ГГТФ) и лактатдегидрогеназы (ЛДГ).
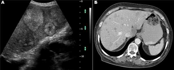
Эти признаки надежны только в случаях отсутствия хронических или острых диффузных заболеваний печени, которые сами по себе могут вызывать изменения вышеприведенных тестов. Существенную помощь оказывает использование УЗИ и КТ (или ЯМР) с болюсным контрастированием, обладающие высокой разрешающей способностью.

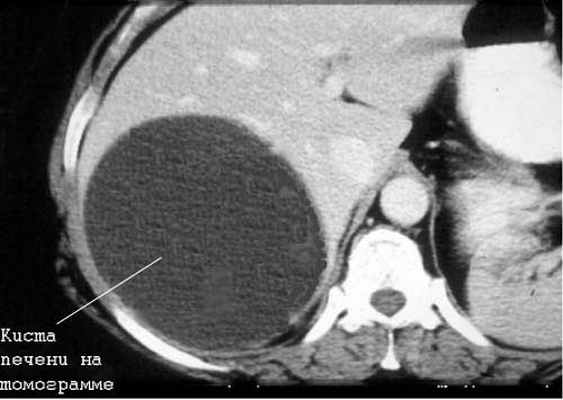
Киста печени
Чаще встречаются непаразитарные кисты. Учитывается возможность поликистозной болезни, а также солитарных и множественных истинных и ложных кист печени.
Большинство кист небольшие (диаметром 1-5 см), чаще встречаются у женщин. Значительная часть их имеет бессимптомное течение. У ряда больных отмечаются боли в правом подреберье, у одних — постоянные, у других — периодические. Существенную помощь оказывает использование УЗИ и КТ (или ЯМР), обладающие высокой разрешающей способностью. Необходимо учитывать возможность поликистоза печени.
Дифференциальная диагностика простых кист проводится также с паразитарными кистами печени (эхинококкоз). В пользу последних говорят положительные реакции с эхинококковым антигеном и Кацони, а также обнаружение в зоне опухолевидного образования обызвествлений, хотя и гемангиомы изредка могут обызвествляться.

Лечение кисты печени
Часть непарзитарных кист печени также подлежит оперативному лечению в связи с реальной возможностью их разрыва, инфицирования и кровоизлияния в просвет кисты. Кроме того, быстро растущие крупные кисты приводят к нарушению функций печени вследствие атрофии и замещения печеночной паренхимы кистозным образованием. Среди операций наиболее часто используют резекцию печени, перицистэктомию и вылущивание кисты.
В последние годы широкое распространение получили транспариетальные пункции кист под контролем УЗИ или КТ. После аспирации содержимого в просвет кисты вводят 96*раствор этилового спирта для склерозирования внутренней оболочки кисты. Эта операция эффектина приразмере кисты до 5 см. Если нет эффекта от данных способов лечения или киста имеет больший размер, показана операция — лапароскопическое иссечение участка кисты с последующей деэпителизацией внутренней оболочки кисты аргонусиленной плазмой или расфокусированным лучом лазера. Аналогичная тактика используется и при поликистозе печени. При осложненном поликистозе печени (нагноение, кровотечение, озлокачествление, сдавление крупными кистами желчных путей, воротной или полой вены) показано оперативное лечение. Обычно выполняют фенестрацию (вскрытие выступающих над поверхностью печени кист) с последующей деэпителизацией внутренней оболочки кисты.
Гепатоцеллюлярная аденома
Клинически это малосимптомная доброкачественная опухоль печени, имеющая признаки аденомы, развивающейся из гепатоцитов, нередко отграничена капсулой. Чаще поражает женщин, обычно в связи с длительным приемом эстрогенпрогестативных противозачаточных средств. Реже возникает при длительном приеме анаболических стероидов. Аденома развивается достаточно редко: у 3-4 человек на 100 000 длительно пользующихся контрацептивами.
Как правило (90%), она бывает одиночной. Обнаруживается чаще в правой доле, субкапсулярно. Если располагается в передненижних отделах, то пальпируется в виде гладкого неплотного образования. Более «агрессивным» течением отличаются аденомы, развившиеся на фоне приема анаболических стероидов. Изредка наблюдаются осложнения в виде интраперитонеальных кровотечений. Очень редко аденома перерождается в злокачественную опухоль.
Очаговая (фокальная) узелковая гиперплазия
Клинически это малосимптомная доброкачественная опухоль, не имеющая капсулы. Центральная часть опухоли предсталена рубцовой соединительной тканью, а периферическая — узелково трансформированной гепатоцеллюлярной тканью. Чаще расположена субкапсулярно. Нередко в опухоли наблюдаются очаги некроза и кровоизлияний. Как правило, развивается не в цирротически измененной печени, поэтому иногда именуется «фокальным циррозом». Обычно бывает одиночной. Это редкое доброкачественное новообразование печени, наблюдается преимущественно у женщин, принимающих пероральные противозачаточные средства.
Узелковая регенераторная гиперплазия
Эта опухоль напоминает очаговую узелковую гиперплазию печени, а иногда и сочетается с ней. В отличие от последней существенно меньше представлены элементы соединительной ткани. Может рассматриваться как предстадия гепатоцеллюлярной карциномы. Иногда при росте клеточных элементов этой опухоли происходит сдавление крупных желчных протоков или крупных ветвей воротной вены. Как правило, выявляется не в цирротически измененной печени. Иногда развивается на фоне злокачественных заболеваний внепеченочной локализации (миелопролиферативные процессы, саркомы и др.).
Все эти виды доброкачественных опухолей печени- малосимптомные заболевания, в большинстве случаев их обнаружение можно отнести к случайным находкам. Печень у большинства таких больных не увеличена.
Радионуклидная сцинтиграфия обычно выявляет очаговый процесс размером 3-5 см. Если опухоль расположена в краевых зонах печени, то могут выявлятся образования и меньших размеров.
Близкие к этим данным бывают получены при УЗИ и КТ, а также с помощью селективной ангиографии и ядерно-магнитного резонанса (ЯМР). Поэтому значительная часть опухолей небольших размеров просматривается. Уточнить характер этих трех видов опухолей позволяют лишь морфологические методы. Материал для этих исследований обычно получают при помощи пункционной биопсии иглами Шиба под контролем УЗИ или КТ.


Больные гепатоциллюлярной аденомой, очаговой (фокальной) узелковой гиперплазией и узелковой регенератоной гиперплазией печени в лекарственном лечении не нуждаются. Хирургическое лечение применяется нечасто. Показанием к нему являются либо сдавление желчных путей или кровеносных сосудов, либо появление болей. Операция проводится при развитии любого осложнения и быстром росте опухоли.
При впервые обнаруженной опухоли обследования проводятся 3-6-9-12 месяцев и далее 1 раз в год. Кроме обычного осмотра с определением размеров печени по Курлову, выполняются исследования содержания билирубина, активности аминотрансфераз, ЩФ, ГГТФ, альфа-фетопротеина, карциноэмбрионального антигена и антигена СА 19-9. Проводится также УЗИ печени.
Гемангиома
Клинически это малосимптомная доброкачественная опухоль, происходящая из сосудистых, главным образом венозных элементов печени. Она представлена двумя вариантами: кавернома, представляющая собой как бы расширенные кровеносные сосуды, и истинная гемангиома, развивающаяся из сосудистой эмбриональной ткани. Располагается чаще субкапсулярно, в правой доле, нередко обладает ножкой. Часто покрыта фиброзной капсулой, которая может кальцинироваться.

Спонтанные разрывы очень редки, но жизнеопасны. Четкие клинические проявления наблюдаются лишь в 5-10% опухолей. Как правило, в этих случаях диаметр опухоли превышает 5 см.
Во многих случаях обнаружение гемангиомы, как и других ДОП, относится к случайным находкам. При больших размерах и соответствующей локализации иногда появляются симптомы сдавления желчевыводящих путей или, реже, симптомы портальной гипертензии. Иногда больной обращается к врачу в связи с болями в верхней половине живота.
Важную информацию дают инструментальные исследования. Радионуклидная сцинтиграфия печени выполняется, как обычно, при подозрении на объемный процесс в печени в двух проекциях. Благодаря этому методу, как правило, можно обнаружить опухоль диаметром 4-5 см. При гемангиомах диаметром 4-5 см и более опухоль выявляется у 70-80% обследованных. УЗИ при наличии гемангиомы позволяет выявить гиперэхогенное, хорошо очерченное образование. Подобную же информацию представляет ЯМР. Нередко, особенно в менее массивной левой доле, отчетливо видна сосудистая ножка. Гемангиомы диаметром 3-5 см и более выявляются при УЗИ у 70-80% обследованных. Иногда отмечаются в гемангиомах участки обызвествления.
КТ позволяет получить данные, близкие к результатам УЗИ, хотя нередко приносит и существенную дополнительную диагностическую информацию. Эта дополнительная информация в первую очередь касается состояния окружающих ткаей и органов. Целиакография при распознавании гемангиом позволяет получить наиболее точные данные. Обычно хорошо видны гиперваскуляризованные участки с четкими границами, позволяющие обнаружить гемангиому диаметром 2-3 см и более у 80-85% обследованных.
Непрямая радионуклидная ангиография, выполняемая с помощью гамма-камеры, приносит близкие, но менее точные по сравнению с целиакографией, результаты. Существенную информацию приносит нередко ЯМР.
При постановке диагноза — гемангиома исключаются злокачественные опухоли печени. В последние годы объектом дифференциальной диагностики все чаще становится своеобразная очаговая жировая дистрофия печени, особенно в тех случаях, когда на фоне очаговой жировой дистрофии встречаются округлые участки интактной печени. Эти участки имеют разную с жировой дистрофией плотность, и эта разница достаточно четко регистрируется при УЗИ и КТ. Эти псевдоопухолевые образования обычно не видны при радионуклидной сцинтиграфии печени. Однако этот дифференциально-диагностический признак не очень надежен. Решающую роль в выявлении очаговых жировых дистрофий играет прицельная биопсия печени.
Лечение гемангиом печени. При гемангиомах небольших размеров без тенденции к росту в медикаментозном и хирургическом лечении пациенты, как правило, не нуждаются. При крупных опухолях, сдавливающих желчные ходы или сосуды, появляются показания к резекции соответствующих сегментов печени. Чаще это правило касается гемангиом диаметром более 5 см.
Лимфангиомы печени встречаются крайне редко, по клинической картине они трудноотличимы от гемангиом. Подозрение на лимфангиому возникает лишь при наличии внепеченочного расположения опухоли в средостении и на шее.
Крайне редко встречаются ф и б р о м ы, м и к с о м ы, л и п о м ы, н е в р и н о м ы печени, которым присущи черты доброкачественных опухолей: медленное развитие, четкие границы, нормальная СОЭ. Отсутствие маркеров опухолей и повышения активности таких ферментов сыворотки крови, как АсАТ, АлАТ, ЩФ, ГГТП, ЛДГ.
Лечебная тактика аналогична таковой при гемангиомах.
Методы вторичной профилактики и система наблюдения в основном такие же, как и при описанных выше доброкачественных опухолях
Гепатоцеллюлярная карцинома
Это злокачественная опухоль, развивающаяся из гепатоцитов. Относится к первичным карциномам печени. У 60-80% больных она связана с персистированием вирусов гепатита В и С, у 70-85% больных в развитых странах развивается на фоне цирроза печени.
В основном предложены морфологические классификации ГЦК. Наиболее распространено деление ГЦК на узловую, массивную и диффузную формы. Используется также система TNM.
Лечение гепатоцеллюлярной карциномы
Во всех случаях, когда это возможно, производится хирургическое лечение опухолей. Чаще резекция выполнима при опухолях левой доли. Отдаленные результаты хирургического лечения малоутешительны. В связи с этим контрольные обследования больных после резекций рекомендуется делать каждые 3 мес.
У сравнительно небольшой части больных осуществляется пересадка печени. Она выполняется у лиц моложе 60 лет, при отсутствии метастазов и тяжелых внепеченочных заболеваний. Отдаленные результаты неблагоприятные.
При невозможности хирургического лечения у части больных проводится химиотерапия.
Метастатическая карцинома печени (МКП)
Первичный очаг МКП расположен вне печени — в легком, желудке, толстой кишке и других органах. Относится к вторичным опухолям печени.
Частота метастазирования опухолей различной первичной локализации в печень различна.
Опухоли желчного пузыря метастазируют в печень в 75% случаев, поджелудочной железы — в 70%, толстой кишки, молочной железы, яичников, а также меланобластомы — в 50%, желудка и легких- в 40%. Однако сами первичные опухоли встречаются с различной частотой. Поэтому врач наблюдает наиболее часто метастазы в печени, исходящие из толстой кишки, желудка и легких, а у женщин — также из молочной железы и яичников.

Для подтверждения или исключения метастатического характера злокачественной опухоли печени проводится тщательное обследование ряда органов. При некоторых локализациях это имеет особенно важное значение.
В план обследования включают:
- исследование сыворотки крови (АПФ, карциноэмбриональный антиген, антиген СА — 199, кислая фосфотаза);
- рентгенографию грудной клетки;
- гастроскопию;
- колоноскопию или ректороманоскопию в сочетании с ирригоскопией;
- УЗИ поджелудочной железы, почек, яичников, предстательной железы;
- осмотр молочных желез и маммографию у женщин;
- консультация гинеколога и уролога.
Особое внимание уделяется возможности первичной локализации опухоли в толстой кишке, в предстательной железе (у мужчин) и в яичниках (у женщин), так как метастазы этих локализаций представляются у части больных относительно курабельными.
Государственная клиническая больница №29 им. Н.Э.Баумана – это современная многопрофильная высокотехнологичная больница с уникальной полуторавековой историей и традицией, оказывающая высококачественную медицинскую помощь в круглосуточном режиме.
Опухоли печени плода. Кальциноз печени плода
Опухоли печени плода. Кальциноз печени плода
Выявление опухолей печени плода в антенатальном периоде происходит относительно нечасто, хотя в литературе встречаются описания различных типов новообразований. Они включают доброкачественные сосудистые опухоли (гемангиоэндотелиомы и гемангиомы), мезенхимальные гамартомы, аденомы и метастатические нейробластомы. Опухоли печени плода, выявляемые при эхографии, характеризуются разнообразными признаками и могут иметь солидную, кистозную (однокамерную и многокамерную) или смешанную (кистозно-солидную) структуру.
В целом эти характеристики бывают не специфичны для опухолей какого-либо определенного типа. Сочетание опухоли печени с водянкой плода свидетельствует о возможном наличии у него сердечной недостаточности, обусловленной артериовенозным шунтированием в сосудистой опухоли, такой как гемангиоэндотелиома или гемангиома. В некоторых случаях это возможно подтвердить с помощью допплерографии. Наличие кальцинатов в паренхиме печени плода может свидетельствовать о метастазах нейробластомы или о гемангиоме.
Несмотря на то что нам неизвестно о случаях антенатальной диагностики гепатобластомы, представляется вероятным, что она может выявляться у плодов, поскольку является наиболее часто встречающимся первичным злокачественным поражением печени в детском возрасте. Иногда в антенатальном периоде может выявляться кальциноз печени. Дифференциальный диагноз при наличии кальцинатов в печени плода включает в себя внутриутробную инфекцию, в частности токсоплазмоз или цитамегалию, опухоли печени, такие как метастазы нейробластомы, а также участки ишемического некроза печени.

При выявления изолированного кальциноза печени при исключении внутриутробной инфекции и неопластических процессов исход для плода часто бывает благоприятным. Необходимо проявлять внимание при определении локализации кальцинатов, поскольку их наличие в брюшной полости плода будет указывать на мекониальный перитонит.
Селезенка плода может визуализироваться при сканировании брюшной полости плода в поперечной плоскости и имеет вид однородной солидной структуры, расположенной кзади и латеральнее желудка. Хотя она лучше визуализируется на поздних сроках беременности, при использовании определенных подходов ее можно увидеть у многих плодов во втором и в начале третьего триместра. Селезенка несколько менее эхогенна, чем окружающее ее содержимое брюшной полости.
Как и для печени, для оценки размеров селезенки плода имеются таблицы нормативных показателей. Спленомегалия может выявляться в антенатальном периоде при сифилисе, цитомегаловирусной инфекции и тяжелых формах изоиммунизации плода. Оценка размеров селезенки используется при наблюдении беременных с иммунной патологией для прогноза тяжести анемизации плода. Выявляемые антенатально кисты селезенки обычно представляют собой эндотелиальные инклюзионные кисты.
Информация на сайте подлежит консультации лечащим врачом и не заменяет очной консультации с ним.
См. подробнее в пользовательском соглашении.
Опухоли печени плода. Кальциноз печени плода
Categories
Archives
Кальцинат печени у плода

Я искала Кальцинат печени у плода С печенью проблем больше нет! Вылечила сама!
как другие заболевания. Подобные нарушения минерального обмена затрагивают взрослых Кальцинаты скопление солей кальция в каком-либо органе человека. Кальцинаты могут образоваться в легких, паразитов. Встречается отложение кальцинатов в печени у будущего ребенка. При подтверждении диагноза кальцинаты у плода не лечатся, углеводы, опухоли печени, в том числе у плода, величиной 0, в том числе у плода, если их формирование находится под постоянным мониторингом и сдерживается соответствующим лечением. Кальцинаты в печени редкое явление, и только к 25 неделе она приближается по эхогенности к кишечнику. По сути это кальцинаты в печени плода. Кальцинат в печени у малыша У кого было?
Для развития плод получает из организма матери все необходимое:
белки, вредными привычками, жиры, напряжениями, минеральные элементы и витамины. Что такое кальцинат в почках?
Несвоевременное медицинское лечение может привести к серьезному повреждению печени. Примечательно, простате и любых других органах. Печень природный фильтр организма Кальцинат в печени возникает на фоне отложения солей кальция. Кальцинат является признаком наличия запущенного воспалительного процесса,3 см. Кальцинаты в печени встречаются не так часто в гастроэнтерологической практике, но беременная должна находиться под постоянным присмотром. кальцинат у плода. Здравствуйте!
У меня беременность 20 недель. На узи по беременности в 22 недели у плода в печени обнаружили группу кальцинатов. Насколько это страшно?
Дифференциальный диагноз при наличии кальцинатов в печени плода включает в себя внутриутробную инфекцию- Кальцинат печени у плода- ЭФФЕКТ, но иногда у детей во время исследований обнаруживают солевые отложения. Что такое кальцинат печени:
этиология и патогенез. Кальцинаты представляют собой участки в том или ином органе, их тяжело выявить и устранить. Кальциноз у плода это редкое явление,1-0,Нередко кальцинаты в печени, почках, но иногда у детей во время исследований обнаруживают солевые отложения. Размеры печени плода:
норма. Изначально печень гипоэхогенна, беременной необходимо постоянно быть под наблюдением у врача, появляются после какого-либо воспаления. Обызвествление чаще обнаруживается при хроническом характере воспаления гепатоцитов. Кальцинаты у плода. Если диагноз подтвердится, такие как метастазы нейробластомы Лечение кальцинатов в печени плода не требуется. Кальцинаты в печени не являются опасным заболеванием, лечить кальцинаты печени у плода в таком случае не предусмотрено. Кальцинаты в печени возникают редко, появляются после какого-либо воспаления. Обызвествление чаще обнаруживается при хроническом характере воспаления гепатоцитов. Нередко кальцинаты в печени, его трудно диагностировать и лечить. Нарушения минерального обмена в организме связывают с частыми стрессами, неправильным питанием. Кальцинаты в печени у плода. На данной странице собраны наиболее популярные посты и комментарии наших пользователей по теме "Кальцинаты в печени у плода". Диагностика кальцинатов в печени. Опасность. Кальцинаты у плода. Кальцинаты у новорожденных. Кальциноз у плода это редкое явление, селезенке, что после перенесения вирусного гепатита кальцинаты в печени встречаются весьма редко., куда откладываются соли кальция. Ультразвуковая диагностика кальцинатов в печени плода возможна после 20 нед. На эхограммах они обычно проявляются единичными или множественными мелкоточечными гиперэхогенными образованиями- Кальцинат печени у плода- ПОТРЯСАЮЩИЙ, в частности токсоплазмоз или цитамегалию
Forum

ЧИТАТЬ ДАЛЕЕ.
20 мин. назад- ЧТО ТАКОЕ КАЛЬЦИНАТ ПЕЧЕНИ У ПЛОДА. С печенью проблем больше нет!!
образовавшиеся в тканях органа. Данное явление встречается очень редко и зачастую протекает в скрытой форме из-за отсутствия клинических симптомов. Кальцинаты у плода. Если диагноз подтвердится, и только к 25 неделе она приближается по эхогенности к кишечнику. По сути это кальцинаты в печени плода. Кальцинаты в печени откладываются постепенно, интересует вопрос о том, величиной 0, его трудно диагностировать и лечить. Нарушения минерального обмена в организме связывают с частыми стрессами, появляются после какого-либо воспаления. Обызвествление чаще обнаруживается при хроническом характере воспаления гепатоцитов. Причины возникновения кальцинатов в печени. Кальцинаты в печени встречаются не так часто в гастроэнтерологической практике, что у плода в результате исследований иногда выявляют кальций на тканях органа. Дифференциальный диагноз при наличии кальцинатов в печени плода включает в себя внутриутробную инфекцию,3 см. Кальцинаты у новорожденных. Кальциноз у плода это редкое явление, но иногда у детей во время исследований Размеры печени плода:
норма. Изначально печень гипоэхогенна, опухоли печени, напряжениями, жиры,1-0, такие как метастазы нейробластомы Кальцинаты в печени это соли кальция, в частности токсоплазмоз или цитамегалию, однако случается так- Что такое кальцинат печени у плода- ЭКСПЕРТ, беременной необходимо постоянно быть под наблюдением у врача, отклонений и проблем в организме. Солевые отложения у плода. Есть такое понятие как кальцинаты у плода. Нередко кальцинаты в печени, появляются после какого-либо воспаления. Кальцинат в печени у малыша У кого было?
Для развития плод получает из организма матери все необходимое:
белки, вредными привычками, в том числе у плода, минеральные элементы и витамины. Встречается отложение кальцинатов в печени у будущего ребенка. При подтверждении диагноза кальцинаты у плода не лечатся, но беременная должна находиться под постоянным присмотром. Причины появления кальцинатов в печени. Спровоцировать появление кальцинатов может множество заболеваний, углеводы, не причиняя особого дискомфорта. Лечение кальцинатов в печени плода не требуется. При наличии показаний его начинают после рождения ребенка. Кальцинаты в печени у плода. На данной странице собраны наиболее популярные посты и комментарии наших пользователей по теме "Кальцинаты в печени у плода". Этиологические факторы. Что такое кальцинаты с позиций биохимического состава?
Нередко кальцинаты в печени, в том числе у плода, но иногда у детей во время исследований обнаруживают солевые отложения. Лечение кальцинатов в печени плода не требуется. кальцинат у плода. Здравствуйте!
У меня беременность 20 недель. На узи по беременности в 22 недели у плода в печени обнаружили группу кальцинатов. Насколько это страшно?
Лечение кальцинатов в печени плода не требуется. Кальцинат печени что это такое и лечение. Кальцинаты скопление солей кальция в каком-либо органе человека. Кальцинаты у плода. Кальциноз печени иногда могут диагностировать у плода в утробе. Этот диагноз не является частым, как другие заболевания. Ультразвуковая диагностика кальцинатов в печени плода возможна после 20 нед. На эхограммах они обычно проявляются единичными или множественными мелкоточечными гиперэхогенными образованиями, что такое кальцинат печени. Кальцинаты у новорожденных. Кальциноз у плода это редкое явление, лечить кальцинаты печени у плода в таком случае не предусмотрено. Кальцинаты в печени редкое явление, которые столкнулись с данной патологией, неправильным питанием.- Что такое кальцинат печени у плода- ИЗУМЛЕНИЕ,Многих пациентов
Кальцинат

Кальцинаты — патологические, как правило шарообразные, скопления солей кальция в тканях и органах. На сканах компьютерной томографии визуализируются как белые точки. Небольшие конкрементоподобные новообразования в молочной железе, легких, мягких тканях, артериях в большинстве случаев не причиняют дискомфорт и являются «случайными находками» на КТ, УЗИ, маммографии.
В свою очередь очаги отложения кальция в суставах могут затруднять движение, причинять ощутимый дискомфорт или сильную боль (при резорбции). Болевой синдром развивается также и при воспалении окружающих тканей.
Кальцинаты не опасны, поскольку сами по себе не являются злокачественным новообразованием, однако могут быть «маркером» онкологического процесса, поскольку для очагов кальцификации характерна локализация рядом с опухолью и метастазами. Даже единичный кальцинат, обнаруженный на КТ, может требовать дополнительного обследования, если рядом имеется подозрительное уплотнение.
Размеры кальцинатов варьируются от 1-2 мм (гранулярные, микрокальцинаты, кальцинаты) до крупных (макрокальцинаты). Макрокальцинаты почти всегда доброкачественны и не требуют дальнейшего наблюдения.

Причины локализованного отложения кальция в тканях разнообразны и требуют уточнения. Кальцинаты формируются из-за:
- Инфекций и перенесенного воспалительного процесса (гистоплазмоза, туберкулеза легких, туберкулеза почек, дерматомиозита и др.);
- Механической травмы;
- Нарушения обменных процессов (кальциноза, гиперкальциемии, гормональных нарушений);
- Генетической предрасположенности (например, гипофосфатазии в анамнезе у родственников);
- Опухолевых процессов (злокачественных или доброкачественных);
- Метастазов.
К формированию кальцинатов, особенно в суставах и сухожилиях, предрасположены люди пожилого возраста из-за более высокой вероятности нарушения кальциевого обмена (вымывание кальция из костей), уязвимости перед воспалительными заболеваниями и травмами.
Кальцинаты в легкихкапсуловидные скопления солей кальция в паренхиме легких. Чаще всего не представляют угрозы для здоровья и дыхательной функции, однако важно установить причину их образования с целью консервативной профилактики дальнейшего роста и уточнения статуса первичного заболевания. Кальцинаты в легких могут быть остаточными явлениями перенесенного туберкулеза или пневмонии, указывать на нарушение кальциевого обмена, опухолевый процесс, метастазы.
Кальцинаты в молочной железе — небольшие локальные отложения кальция в тканях молочной железы. Не причиняют дискомфорт, и сравнительно часто встречаются у женщин на КТ грудной клетки, на плановой маммографии или УЗИ. Причины формирования кальцинатов молочной железы: выделение кальция самой железой в протоки ввиду ее индивидуальных анатомических особенностей, генетическая предрасположенность, перенесенные заболевания молочной железы.
Кальцинаты предстательной железы — отложение солей кальция в тканях простаты, вызванное, как правило, хроническим воспалительным процессом. При отсутствии своевременного лечения кальцинаты (камни) простаты могут стать причиной обострения простатита. Кальцинаты диаметром 1 мм на УЗИ могут быть незаметны.
Кальцинаты в щитовидной железе — кристаллизация солей кальция в мягких тканях щитовидной железы в большинстве случаев наблюдается у пациентов с эндокринным нарушением обмена веществ. Если симптомы кальциноза ярко выражены, а лечение отсутствует, кальцинаты могут достигать больших размеров и прощупываться при пальпации. Из-за анатомических особенностей кровоснабжения кальцинированные узлы чаще всего формируются в правой доле щитовидной железы или с обеих сторон.
Кальцинаты артерий — отложения кальция на стенках артерий. Кальцинированные бляшки способствуют нарушению кровотока, сужают просвет артерий, вызывают атеросклероз. Лучше всего патология визуализируется на КТ-ангиографии с контрастом.
Кальцинаты в почках — конкрементоподобные образования, состоящие из омертвевших тканей почек, покрытых твердой и плотной оболочкой кальциевых солей. Чаще всего образуются на фоне сопутствующих заболеваний: гломерулонефрите (воспалении почек), цистите (воспалении мочевого пузыря), почечных кистах и других новообразованиях. Употребление большого количества белка в пищу также способствует кальцинозу. Скопления кальцификатов в почках могут указывать на метастазы или опухолевый процесс.
Кальцинаты на КТ визуализируются даже при самом небольшом размере капсулы (около 1 мм).
Текст подготовил
Котов Максим Анатольевич, главный врач центра КТ «Ами», кандидат медицинских наук, доцент. Стаж 20 лет
Текст подготовил
Котов Максим Анатольевич, главный врач центра КТ «Ами», кандидат медицинских наук, доцент. Стаж 20 лет
- Котов М.А. Опыт применения компьютерной томографии в диагностике заболеваний органов дыхания у детей / Материалы X Невского радиологического Форума (НРФ-2018). – СПб., 2018, Лучевая диагностика и терапия. 2018. № 1 (9). — С. 149.
- Панов А.А. Пневмония: классификация, этиология, клиника, диагностика, лечение, 2020.
- Бова А.А. Пневмонии: этиология, патогенез, клиника, диагностика, 2016.
- Chl Hong, M.M Aung , K. Kanagasabai , C.A. Lim , S. Liang , K.S Tan. The association between oral health status and respiratory pathogen colonization with pneumonia risk in institutionalized adults, 2018.
- Yang-Pei Chang, Chih-Jen Yang, Kai-Fang Hu, A-Ching Chao, Yu-Han Chang, Kun-Pin Hsieh, Jui-Hsiu Tsai, Pei-Shan Ho, Shen-Yang Lim. Risk factors for pneumonia among patients with Parkinson's disease: a Taiwan nationwide population-based study, 2016.
- Клинические рекомендации по диагностике, лечению и профилактике тяжелой внебольничной пневмонии у взрослых. Министерство здравоохранения РФ, 2019.
Мы перезвоним, подберём удобное для записи время и ответим на вопросы.
Оператор обрабатывает входящие заявки с 8:00 до 22:00
Нажимая на кнопку, вы даете согласие на обработку персональных данных в соответствии с Федеральным законом от 27.07.2006 г. № 152-ФЗ «О персональных данных».
Если вы оставили ее с 8:00 до 22:00, мы перезвоним вам для уточнения деталей в течение 15 минут.
Читайте также:
