Осложнения трахеобронхиального туберкулеза. Эпидемиология туберкулеза бронхов.
Добавил пользователь Евгений Кузнецов Обновлено: 07.01.2026
На основании многолетних научных исследований, выполненных в Барнауле, и проведенных клинических испытаний в различных клиниках Москвы, Санкт-Петербурга, Новосибирска, Томска, Тюмени, Кемерово и других городов России, разработан метод лечения туберкулёза лёгких и его осложнений путём применения эндобронхиального клапана. Новым в предложенном методе лечения туберкулёза является создание лечебной гиповентиляции и ателектаза в поражённом участке лёгкого с сохранением дренажной функции блокированного бронха и полости деструкции.
Применение клапанной бронхоблокации при осложненном туберкулезе легких (пособие для врачей). — Барнаул, 2008г. А. В. Левин, Е. А. Цеймах, П. Е. Зимонин
Устройство для проведения клапанной бронхоблокации
Метод лечения заболеваний легких и их осложнений путем применения эндобронхиального обратного клапана разработан и успешно применяется с 2000 года (рис. 1).
Рис. 1. Внешний вид эндобронхиальных клапанов
Принципиально новым в предлагаемом методе лечения туберкулеза легких, включая лекарственно-устойчивые формы, является создание лечебной гиповентиляции в пораженном участке легкого с сохранением дренажной функции блокированного бронха и полости деструкции. Клапан сделан из резиновой смеси (регистрационное удостоверение № ФС 01032006/5025-06 от 21.12.2006 г.), индифферентной для организма человека, и представляет собой полый цилиндр (рис. 2). Внутреннее отверстие клапана с одной стороны имеет ровную круглую форму, с другой — выполнено в форме спадающегося лепесткового клапана, запирающегося избыточным наружным давлением и собственными эластическими свойствами материала, из которого он изготовлен. Две трети наружной поверхности клапана составляют тонкие пластинчатые радиальные лепестки для фиксации его в бронхе. Установка клапана производится как ригидным бронхоскопом, так и бронхофиброскопом. Размер клапана зависит от локализации туберкулезного процесса и диаметра дренирующего бронха, куда он устанавливается (долевой, сегментарный, субсегментарный), и должен превышать диаметр просвета бронха в 1,2-1,5 раза (рис. 10). Клапан позволяет отходить из очага поражения воздуху, мокроте, бронхиальному содержимому при выдохе и кашле. При этом обратного поступления воздуха в пораженные участки легкого не происходит, тем самым достигается постепенное состояние лечебной гиповентиляции и ателектаз легочной ткани (рис. 3).
Рис. 2. Схема устройства эндобронхиального клапана.
1. Полый цилиндр.
2. Внутреннее отверстие клапана.
3. Перемычка для удерживания клапана.
4. Радиальные лепестки для фиксации клапана в бронхе.
5. Спадающийся лепестковый клапан
При выдохе
При вдохе
Рис. 3. Принцип работы эндобронхиального клапана.
Методика клапанной бронхоблокации
Установка эндобронхиального клапана выполняется под общей или местной анестезией. После осмотра и санации бронхиального дерева оценивают диаметр устья бронха, куда будет устанавливаться клапан. Бронхоскоп извлекают и на его дистальный конец нанизывают клапан нужного диаметра, предварительно смазав головку бронхоскопа глицерином (рис. 4).
Рис. 4. Эндобронхиальный клапан устанавливается на головку бронхофиброскопа.
Клапан устанавливается в блокируемый бронх (рис. 5, 6).
Рис. 5. Эндобронхиальный клапан проводится к месту установки.
Рис. 6. Фиксация эндобронхиального клапана в блокируемом бронхе.
Для контроля эффективности клапанной бронхоблокации больному выполняется рентгенография грудной клетки в прямой и боковой проекциях на следующие сутки, а в дальнейшем — по показаниям.
Удаление эндобронхиального клапана проводится под местной анестезией или под наркозом штатными эндоскопическими инструментами (биопсийными щипцами или полипэктомической петлёй).
Показания и противопоказания для клапанной бронхоблокации
Наиболее частые патологии лёгких, в комплексном лечении которых целесообразно применение клапанной бронхоблокации:
1. Туберкулёз лёгких.
2. Эмпиема плевры и остаточные плевральные полости с бронхоплевральными свищами.
3. Острые абсцессы лёгких, осложнённые
- кровотечением
- пиопневмотораксом
4. Рак лёгкого, осложнённый кровотечением.
5. Эмфизема лёгких.
6. Кисты лёгких.
7. Длительно нерасправляющийся спонтанный пневмоторакс.
Показания для лечения туберкулёза лёгких
1. Инфильтративный туберкулёз.
2. Фиброзно-кавернозный туберкулёз.
3. Лекарственная устойчивость микобактерий туберкулёза.
4. Остро прогрессирующий туберкулёз.
5. Рецидивы и обострения туберкулёзного процесса.
6. Стойкое бактериовыделение.
7. Плохая переносимость противотуберкулёзных препаратов.
8. Пожилой возраст.
9. Сопутствующая патология (сахарный диабет, язвенная болезнь желудка и двенадцатиперстной кишки, заболевания печени, почек, ВИЧ-инфекция).
10. Недисциплинированные больные.
Показания для лечения осложнённого туберкулёза лёгких
1. Лёгочное кровотечение.
2. Бронхоплевральные свищи.
3. Спонтанный пневмоторакс.
Относительные противопоказания при туберкулёзе лёгких
1. Гнойный бронхит.
2. Экспираторный стеноз бронха.
Клапанная бронхоблокация является эффективным малоинвазивным немедикаментозным методом лечения различных форм туберкулёза лёгких, включая лекарственноустойчивые формы и его наиболее частые осложнения, такие, как лёгочное кровотечение и бронхоплевральные свищи. При этом необходимо отметить, что клапанная бронхоблокация не является альтернативой традиционным методам лечения туберкулеза легких и его осложнений и должна применяться в комплексной терапии данной патологии. Особенно хотелось бы подчеркнуть важность сочетанного применения клапанной бронхоблокации с лечебным пневмоперитонеумом при распространенном деструктивном туберкулезе легких.
Осложнения трахеобронхиального туберкулеза. Эпидемиология туберкулеза бронхов.
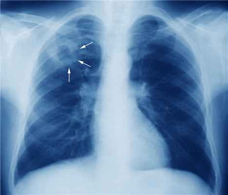
Туберкулез слизистых, в частности трахеобронхиального дерева, встречается у 10–50% пациентов с туберкулезом органов дыхания. Поражение бронхов чаще является осложнением легочных форм туберкулеза, но в ряде случаев регистрируется как самостоятельная, изолированная форма туберкулеза. В зависимости от морфологических изменений выделяют инфильтративную, язвенную и свищевую формы туберкулеза бронхов. При этом патологические изменения могут захватывать все слои стенки бронха, включая мышечную пластинку и хрящ. Клиническая картина неспецифична, часто скрывается под маской других заболеваний, особенно у курильщиков. Необходимость ранней и своевременной диагностики туберкулеза бронхов обусловлена эпидемиологической опасностью и возможностью благополучного исхода заболевания. У части больных диагноз устанавливается поздно, при развитии различных осложнений. Рентгенография легких при изолированном туберкулезе бронхов, не осложненном бронхостенозом и бронхогенным обсеменением, не выявляет изменений. Основным методом диагностики туберкулеза трахеи и бронхов признана фибробронхоскопия, которая позволяет визуализировать поражение слизистой. Интерес представленного клинического наблюдения заключается в том, что у пациента 62 лет диагностирована свищевая форма туберкулеза бронхов как осложнение реактивации туберкулеза внутригрудных лимфатических узлов. Известно, что данная форма туберкулеза встречается у лиц детского и молодого возраста, а у лиц старшего и пожилого возраста часто остается нераспознанной.
1. Нечаева О.Б. Эпидемическая ситуация по туберкулезу в России // Туберкулез и болезни легких. 2018. Т. 96. № 8. С. 15-24.
2. Серов О.А., Колпакова Т.А., Краснов В.А. Значение диагностики локальных изменений бронхиального дерева в комплексном обследовании больных туберкулезом легких // Бюллетень Сибирской медицины. 2013. Т. 12. № 1. С. 136-138.
4. Штейнер М.Л., Биктагиров Ю.И., Жестков А.В., Корымасов Е.А., Кривощеков Е.П. Случай деструкции правого главного бронха туберкулезной этиологии на фоне ВИЧ-инфекции // Трудный пациент. 2017. Т. 15. № 10-11. С. 37-39.
5. Костина З.И., Балашова Н.М., Кольникова О.В., Кочорова М.Н., Браженко Н.А., Браженко О.Н. Значение туберкулеза крупных бронхов в диагностике и лечении ограниченных форм туберкулеза легких // Проблемы туберкулеза. 2003. № 9. С. 14-18.
6. Агеева Т.С., Волкова Л.И., Мишустина Е.Л., Мишустин С.П. Туберкулез бронхов в общеврачебной практике // Фундаментальные исследования. 2014. № 10-7. С. 1265-1268.
7. Луганская Н.В. Эндоскопическая диагностика туберкулеза бронхов // Медицина и экология. 2010. № 2. С. 171-173.
8. Idress F., Kamal S. Endobronchial tuberculosis presented as multiple endobronchial vesicular lesions. Internat. J. of Mycobacteriology. 2015. V. 4. P. 154-157.
9. Жингель И.П. Туберкулез бронхов – проблемы патогенеза и дифференциальной диагностики // Леч. врач. 2000. № 3. С. 81-84.
В последнее время отмечается тенденция уменьшения заболеваемости туберкулезом среди пациентов разных возрастов [1]. Однако распространенность туберкулеза остается еще высокой и требует сохранения настороженности в отношении этого заболевания со стороны врачей общей практики, терапевтов, пульмонологов, особенно при обследовании людей пожилого возраста,
Туберкулез трахеобронхиального дерева встречается у 10–50% пациентов с туберкулезом легких [2, 3]. Как правило, поражение бронхов является осложнением легочных форм туберкулеза, а также туберкулеза внутригрудных лимфатических узлов, что чаще диагностируется у детей, подростков и лиц молодого возраста. У людей старшего возраста туберкулез внутригрудных лимфатических узлов, осложненный туберкулезом бронхов, выявляется редко. В ряде случаев туберкулез бронхов регистрируется как самостоятельная, изолированная форма туберкулеза.
В настоящее время туберкулез бронхов чаще наблюдается у больных ВИЧ-инфекцией как осложнение туберкулеза внутригрудных лимфатических узлов [4]. У 10–20% иммунокомпетентных пациентов из-за неспецифических проявлений заболевания, постепенного начала, малосимптомного течения и отсутствия изменений при рентгенографии грудной клетки диагноз устанавливается поздно, при развитии осложнений. На рентгенограммах органов грудной клетки появляются участки поражения легочной ткани в виде бронхогенной диссеминации, участки гипо- и гипервентиляции, что вызывает определенные дифференциально-диагностические трудности. Осложнения в виде развития стенозов бронха у лиц старшего возраста нередко трактуются как опухоли бронха.
Ведущая роль в патогенезе туберкулеза бронхов у лиц пожилого и старческого возраста принадлежит обострению старого туберкулезного процесса во внутригрудных лимфатических узлах (ВГЛУ). В пожилом возрасте в результате неблагоприятных возрастных факторов (таких как морфофункциональная перестройка дыхательной системы, сосудов, снижение иммунологической реактивности организма, нарушение обмена белков, жиров, углеводов, минералов и др.), а также сопутствующих заболеваний, психотравмы может возникнуть реактивация процесса в давно неактивных остаточных очагах после перенесенного в прошлом первичного туберкулезного комплекса или туберкулеза ВГЛУ. Эта форма морфологически характеризуется различной степенью увеличения ВГЛУ, в которых наряду с участками уплотнения и кальцификации определяются очаги свежего казеозного некроза. При этом у лиц пожилого возраста, в отличие от детей, не отмечается значительного увеличения лимфатических узлов. В связи с этим заболевание долго остается нераспознанным. С развитием осложнений, вовлечением в воспаление стенки бронха процесс принимает волнообразное течение с периодами обострения и затихания и длительное время может трактоваться как проявление хронического бронхита, особенно у курильщиков.
По данным З.И. Костиной [5], диагностика туберкулеза бронхов учащается при неблагоприятной эпидемической обстановке по туберкулезу и его выявление у больных туберкулезом почти в 2 раза реже диагностируется во время благополучия и стабилизации заболеваемости.
При выполнении фибробронхоскопического исследования у 7–12,2% больных туберкулезом органов дыхания диагностируется неспецифический эндобронхит, который существенно затрудняет выявление туберкулеза бронхов, утяжеляет клиническое течение заболевания и может стимулировать активность специфического процесса в легких и внутригрудных лимфатических узлах. Поэтому при наличии неспецифического воспаления целесообразно проводить повторную диагностическую ФБС после санации бронхиального дерева и лечения эндобронхита неспецифическими антибактериальными препаратами системного и местного действия [5].
Туберкулез трахеи и бронхов, клиническая форма туберкулеза органов дыхания наиболее часто являются осложнениями легочных форм туберкулеза [2]. В то же время в 5,7–15,8% случаев туберкулез бронхов является единственным проявлением туберкулеза органов дыхания [6–8]. По данным И.П. Жингель, крайне редко, менее чем в 1% случаев, удается выявить туберкулез слизистой оболочки бронхов в ранней и неосложненной фазе. Около 90% пациентов с туберкулезом бронхов имеют определенную степень стеноза трахеи и/или бронхов [9]. Основным методом диагностики туберкулеза трахеи и бронхов признана фибробронхоскопия (ФБС), которая позволяет визуализировать поражение слизистой: отек и гиперемию слизистой, инфильтрат, покрытый толстым слоем белого налета, инфильтрат с беловатыми бугорками, язву с неровным дном и толстыми краями, гиперпластическую форму с внутрипросветными массами, фистулу с грануляциями и казеозными массами [3, 6, 9]. Однако эндоскопическая картина все же не является строго специфичной, позволяющей поставить диагноз только по внешнему виду. При ФБС необходимо получить диагностический материал для микробиологического и гистологического исследований.
Микобактерии попадают в слизистую бронха экзогенным (аэрогенным) путем, через зараженную мокроту при деструктивных формах туберкулеза легких, при гематогенном или лимфогенном распространении из очагов различной локализации, при прямом переходе воспаления с паренхиматозного процесса, а также при распространении специфического воспаления на стенку бронха с лимфатического узла. В зависимости от морфологических изменений выделяют инфильтративную, язвенную и свищевую формы туберкулеза бронхов, при этом патологические изменения могут захватывать все слои стенки бронха, включая мышечную пластинку и хрящ. При инфильтративной форме в стенке бронха на ограниченном участке возникает гиперемия, образуется клеточная инфильтрация (в основном из лимфоцитов), затем под эпителием формируются типичные сливающиеся туберкулезные бугорки, которые образуют нерезко очерченный инфильтрат. При казеозном некрозе и распаде инфильтрата на покрывающей его слизистой оболочке образуется язва, развивается язвенный туберкулез бронха. Разрастания грануляционной ткани в просвет бронха вызывают воспалительный стеноз и симулируют опухоль. При свищевой форме в стенке бронха формируется фистула из подлежащего лимфатического узла. На поздних стадиях развиваются фиброзная деформация и стеноз бронхов, частота которого может достигать 68% в первые 4–6 месяцев и далее возрастает с хронизацией заболевания.
Сложность ранней диагностики туберкулеза бронхов обусловлена особенностями клинического течения заболевания. Нередко специфическое поражение бронхов протекает бессимптомно или симптоматика не отличается от затяжного или рецидивирующего неспецифического бронхита, пневмонии или бронхиальной астмы [4]. Симптомы интоксикации, такие как повышение температуры, слабость, снижение массы тела, которые вынуждают пациента обратиться к врачу, выражены слабо, нередко отсутствуют в связи с малым объемом поражения. Основная жалоба у больных – кашель разной степени выраженности – маскируется имеющимися у больного хроническими заболеваниями. Более яркие симптомы, такие как боль в грудной клетке, одышка, кровохарканье, отмечаются при длительном течении заболевания и появлении осложнений.
Рентгенография легких при изолированном туберкулезе бронхов, не осложненном бронхостенозом и бронхогенным обсеменением, не выявляет изменений.
Цель исследования – описание клинического случая свищевой формы туберкулеза бронха у мужчины 62 лет с неизмененным иммунным статусом как результата реактивации туберкулеза внутригрудных лимфатических узлов. Пациент неоднократно обращался в общую лечебную сеть, но не был обследован на туберкулез, так как его туберкулезный анамнез был благополучным. Однако при углубленном обследовании в легочной ткани и лимфатических узлах грудной полости выявлены кальцинаты, свидетельствующие о перенесенном в детстве туберкулезе. Обнаружение в мокроте МБТ и последующее выполнение фибробронхоскопии позволили диагностировать свищевую форму туберкулеза бронха. Таким образом, следует еще раз обратить внимание врачей разных специальностей на то, что настороженность в плане поиска туберкулеза необходима и в отношении социально адаптированных пациентов с сохранным иммунным статусом, а ранняя и своевременная диагностика специфического процесса приводит к успешному лечению и выздоровлению без выраженных остаточных посттуберкулезных изменений.
Несмотря на положительную тенденцию заболеваемости туберкулезом, достигнутую в последние годы, неблагоприятная эпидемическая ситуация в настоящее время вносит коррективы в плановые скрининговые обследования населения. Пациентам с признаками вирусной инфекции чаще выполняют МСКТ ОГП, однако исследование мокроты на МБТ не делают.
Приводим клиническое наблюдение. Мужчина, 62 лет, военный пенсионер. В настоящее время продолжает работать. Обратился к пульмонологу с жалобами на кашель со скудной мокротой, першение в горле. Туберкулезом ранее не болел, контакты с больными туберкулезом не установлены. Считал себя здоровым человеком, занимался спортом. Профессиональных вредностей не имел. В подростковом возрасте однократно болел пневмонией. Наследственность по заболеваниям легких не отягощена. Пациент курил в течение 50 лет. Появление кашля стал отмечать в течение последних 1,5 лет. Регулярно проходил ежегодные скрининговые ФЛГ обследования. В течение последнего года ухаживал за тяжелобольной женой, испытывал сильный стресс. На усиление кашля обратил внимание 2 месяца назад. Неоднократно обращался ко врачу. Лечение симптоматическими средствами не дало эффекта. По совету врача бросил курить, однако кашель сохранялся.
При осмотре общее состояние удовлетворительное, кожные покровы обычного цвета и влажности. Пульс 57 ударов в минуту, тоны сердца ясные, ритмичные. ЧД 16 в минуту. Сатурация О2 94–95%. Грудная клетка правильной формы. При перкуссии определяется звук с коробочным оттенком. Дыхание везикулярное, ослабленное, единичные свистящие хрипы на форсированном выдохе в межлопаточном пространстве.
Осложнения трахеобронхиального туберкулеза. Эпидемиология туберкулеза бронхов.
Осложнения трахеобронхиального туберкулеза. Эпидемиология туберкулеза бронхов.
К осложнениям трахеобронхиального туберкулеза относятся стенозы I, II, III степени, грануляции и бронхолиты. Сужение бронха прежде всего может возникнуть в результате воспалительного утолщения, отека и выбухания бронхиальной стенки. Кроме того, имеет значение скопление вязкой мокроты или казеозных масс в просвете бронха. Специфические и неспецифические грануляции, разрастающиеся на слизистой оболочке при длительном течении болезни, особенно при язвенной и свищевой ее формах, также ведут к сужению просвета бронха. Они легко травмируются при кашле и могут явиться источником кровохарканья. Нарушая вентиляционную функцию бронха, нередко с образованием ателектаза легочной ткани, они могут симулировать опухоль. В таких случаях биопсия при эндоскопии с последующим гистологическим исследованием позволяет установить природу патологических изменений.
В результате сдавления стенок бронха увеличенными лимфатическими узлами или рубцами развивается компрессионный стеноз. Он чаще наблюдается у детей и очень редко у взрослых. При туберкулезном поражении бронхов нередко возникает функциональный стеноз вследствие длительного рефлекторного спазма мускулатуры бронха в зоне воспаления. Стеноз бронха может быть также обусловлен обширными разрастаниями рубцовой ткани при заживлении туберкулезного процесса. Иногда фиброзные стенозы обнаруживают при бронхоскопии у впервые выявленных больных. Очевидно, их образование происходит в результате спонтанного излечения туберкулеза крупного бронха, возникающего большей частью в период первичной инфекции. Возможно сочетание рубцового стеноза с воспалительными изменениями в бронхе специфического или неспецифического характера. Стенозы крупных бронхов I степени обычно не нарушают их функции, в то время как сужения II и III степени часто сопровождаются гиповентиляцией, клапанной эмфиземой или ателектазом соответствующих участков легочной ткани, а также нарушением дренажной функции бронхов. Длительное сохранение стеноза ведет к развитию необратимых изменений в виде бронхоэктазов, ретенционных кист, фиброзного ателектаза и цирроза легкого. На фоне таких изменений может происходить как прогрессирование туберкулезного процесса, так и развитие неспецифического воспаления.
Бронхолиты как осложнение туберкулеза бронхов образуются при макроперфорации стенки бронха, через которую в его просвет проникают кальцинированные очаги из лимфатического узла. Деструкция стенки бронха обусловливается либо ее специфическим поражением, либо пролежнем вследствие давления кальцината. Последнее чаще наблюдается у пожилых людей и при кониотуберкулезе. Бронхолит, выпадающий в просвет бронха, иногда откашливается больным или становится своеобразным инородным телом. В ряде случаев петрификат, пенетрируя бронхиальную стенку, лишь частично выступает в просвет бронха, суживает его и имеет вид «айсберга». При этом у больных наблюдаются сильный кашель, кровохарканье или кровотечение, а также признаки нарушения бронхиальной проходимости.
В некоторых случаях при бронхоскопии выявляют специфические поражения крупных бронхов, в том числе казеозные бронхиты, свищи, грануляции, между тем как при тщательном клинико-рентгенологическом исследовании таких больных не удается установить наличие активных туберкулезных изменений в легких или лимфатических узлах. Нередко при этом наблюдается олигобациллярность, подтверждающая специфический характер поражения, а применение туберкулостатической терапии приводит к излечению большинства таких больных. Подобные поражения получили название изолированного, или автономного, туберкулеза бронхов, хотя патогенетически они большей частью связаны с туберкулезом перибронхиальных лимфатических узлов.

Клинические данные о частоте тех или иных форм туберкулеза трахеобронхиальной системы основаны на результатах бронхоскопического исследования, при котором выявляются изменения только в крупных бронхах. Литературные материалы по этому вопросу разноречивы, что обусловлено прежде всего неоднородными контингентами больных, различным подходом к применению бронхоскопии в зависимости от формы и течения туберкулеза, лечением туберкулостатическими препаратами, а также неодинаковой интерпретацией эндоскопической картины.
Тем не менее всеми исследователями отмечается, что поражение крупных бронхов чаще всего выявляется при фиброзно-кавернозных и других деструктивных процессах в легких, а также у больных первичным туберкулезом или при обострении процесса во внутригрудных лимфатических узлах. Вместе с тем за последние годы наблюдается уменьшение числа больных с туберкулезным поражением бронхов. А. Н. Вознесенский (1973) на большом клиническом материале установил уменьшение частоты поражения бронхов с 11,4% в 1959—1963 гг. до 5—7% в 1965—1973 гг. П. И. Бублик (1973) при анализе бронхоскопических данпых, касающихся значительной группы больных в возрасте от 15 до 74 лет, выявил достоверное снижение частоты активного туберкулеза бронхов с 21,9 до 7,7% за 1953—1971 гт. При этом отмечается и уменьшение язвенных форм туберкулеза бронхов; исключительно редко встречается у взрослых туберкулез трахеи.
По материалам бронхоскопического исследования больных в клинике туберкулеза ЦОЛИУ врачей за период с 1954 по 1974 г также установлено снижение частоты туберкулеза бронхов более чем в 3 раза.
Как следует из приведенных данных, наибольшие сдвиги в частоте специфических поражений бронхов произошли при первичном, очаговом, диссеминированном и инфильтративном туберкулезе независимо от фазы процесса и в меньшей степени — при кавернозном и фиброзно-кавернозном туберкулезе легких. Это объясняется более ранним выявлением тех форм туберкулеза органов дыхания, при которых еще не наступило специфического поражения бронхов, а также широким и своевременным использованием химиотерапии, под влиянием которой свежие ограниченные специфические изменения в бронхах рассасываются порой еще до бронхоскопического исследования. Между тем при кавернозном и фиброзно-кавернозном туберкулезе легких такие положительные сдвиги, естественно, выражены в меньшей степени, хотя и при них имеется тенденция к снижению частоты развития специфического эндобронхита.
Huzly (1973) подчеркивает, что снижение частоты туберкулеза бронхов происходит главным образом за счет интраканаликулярных его форм, характерных для вторичного туберкулеза. С этим он связывает возрастающее значение так называемого изолированного туберкулеза бронхов, удельный вес которого среди прочих форм туберкулеза бронхов увеличился за последние 10 лет с 5,6 до 10%.
У 15—18% больных туберкулезом обнаруживается катаральный эндобронхит, частота которого не имеет тенденции к снижению. Эндоскопическая картина подобных воспалительных процессов из-за большой распространенности и характера изменений слизистой оболочки визуально соответствует неспецифическому эндобронхиту. Однако у части больных, особенно при односторонних эндобронхитах на стороне пораженного легкого, они имеют специфическую природу, что устанавливается при гистотогическом исследовании после бронхоскопической биопсии или резекции легкого. Визуально определяемый и гистологически подтвержденный неспецифичеокий эндобронхит обнаруживается и у больных на фоне химиотерапии, под воздействием которой специфическое воспаление переходит в неспецифическое (терапевтически обусловленный патоморфоз). Так, М. В. Шестерина (1972) среди 440 больных, у которых во время бронхоскопии был диагностирован туберкулез, могла подтвердить диагноз только у 44,5% из них на основании морфологического исследования материала, полученного при диагностической биопсии бронхов.
Информация на сайте подлежит консультации лечащим врачом и не заменяет очной консультации с ним.
См. подробнее в пользовательском соглашении.
Туберкулез (ТБ)

Туберкулез (ТБ) является хронической прогрессирующей микобактериальной инфекцией, часто имеющей латентный период после начального инфицирования. Чаще всего ТБ поражает легкие. Симптомы включают в себя кашель, повышение температуры, потерю веса и недомогание. Диагностика чаще всего проводится по результатам анализа мокроты и бактериальных посевов, и, все чаще, благодаря применению диагностических молекулярных экспресс-тестов. Лечение проводят антибактериальными лекарственными средствами в течение, по крайней мере, 6 мес.
Микобактерии являются небольшими, медленно растущими аэробными бациллами. Они отличаются сложной, богатой липидами клеточной оболочкой, обусловливающей их кислотостойкость (т.е. устойчивость к обесцвечиванию кислотой после окрашивания карбол-фуксином) и их относительную устойчивость к окрашиванию по Граму. Наиболее распространенная микобактериальная инфекция – туберкулез; другие включают проказу Проказа Лепра – хроническая инфекция, обычно вызываемая кислотоустойчивой бациллой Mycobacterium leprae, которая обладает уникальным тропизмом к периферическим нервам, коже и слизистым оболочкам. Прочитайте дополнительные сведения Mycobacterium avium.
Туберкулез является ведущей инфекционной причиной заболеваемости и смертности среди взрослых во всем мире; болезнь является причиной смерти приблизительно 1,7 миллиона человек в 2016 году, преимущественно в странах с низким и средним уровнем дохода. ВИЧ/СПИД – наиболее важный предрасполагающий фактор к инфицированию туберкулезом и смертности в некоторых регионах мира, где распространены обе инфекции.
Этиология туберкулеза
К туберкулезу правильно относить только болезнь, вызванную Mycobacterium tuberculosis (для которой люди являются основным резервуаром). Аналогичная болезнь иногда развивается в результате инфицирования тесно связанных микобактерий, а именно M. bovis, M. africanum, и M. microti, которые вместе с M. tuberculosis известны как комплекс Mycobacterium tuberculosis.
Заражение туберкулезом происходит, как правило, воздушно-капельным путем через частицы (каплеобразные ядра), содержащие M. tuberculosis. Они передаются прежде всего при кашле, пении и других дыхательных движениях людьми, которые больны активным туберкулезом легких или гортани и в чьей слюне содержится значительное количество возбудителя (достаточное, как правило, чтобы получить положительный мазок). Люди с легочными полостными кавернами являются особо заразными из-за большого количества бактерий, содержащихся в каверне.
Контагиозность пациентов с нелечённой активной формой туберкулеза легких широко варьируется. Некоторые штаммы M. tuberculosis являются более заразными, и пациенты с положительными результатами бактериоскопии мазков мокроты являются более заразными, чем имеющие положительные результаты только бактериального посева. Пациенты с кавернами (которые тесно связаны с микобактериальной нагрузкой в мокроте) являются более заразными, чем не имеющие их.
Также важную роль играют факторы окружающей среды. Таким образом, люди, живущие в бедности или в специальных учреждениях, находятся в условиях особого риска. Передача инфекции возрастает при частом или длительном контакте с не вылеченными пациентами, которые рассеивают большие количества туберкулезных палочек в переполненных, закрытых, плохо проветриваемых помещениях. Практикующие врачи, у которых есть тесный контакт с активными случаями, также являются группой повышенного риска.
Таким образом, оценки контагиозности широко варьируют; некоторые исследования показывают, что только 1 из 3 пациентов с невылеченным туберкулезом легких инфицирует кого-либо при тесном контакте. Однако по оценкам ВОЗ каждый невылеченный пациент может заразить от 10 до 15 человек в год. Тем не менее, у большинства инфицированных лиц активное заболевание не развивается.
Контагиозность быстро уменьшается сразу после начала эффективного лечения. Возбудители становятся менее заразными, даже при условии их сохранности в мокроте, а интенсивность кашля уменьшается. Исследования бытовых контактов показывают, что контагиозность пациентов прекращается в течение 2 недель после начала эффективного лечения.
Намного реже заражение происходит при аэрозолизации организмов после промывания инфицированных ран, работе в микобактериологических лабораториях или в секционных залах.
Туберкулёз миндалин, лимфатических узлов, органов брюшной полости, костей и суставов ранее вызывало употреблением в пищу молока или молочных продуктов (например, сыра), загрязненных M. bovis, но этот путь передачи был в значительной степени ликвидирован в развитых странах путем убоя коров, имеющих положительный результат теста на кожную туберкулиновую пробу, и пастеризацией молока. Туберкулез, вызываемый M. bovis, все еще встречается в развивающихся странах и у иммигрантов из развивающихся стран, где бычий туберкулез является эндемичным (например, некоторые латиноамериканские страны). Растущая популярность сыра из непастеризованного молока вызывает новые проблемы, особенно, если сыры прибывают из стран, имеющих проблемы с бычьим туберкулезом (например, Мексика, Великобритания).
Эпидемиология туберкулеза
Около четверти населения всего мира инфицированы (на основе результатов исследований кожных туберкулиновых проб). Из всех инфицированных, вероятно, только у 15 миллионов в данный момент времени диагностируется активная форма заболевания.
Уровни инфицированности (для туберкулеза, поддающегося лечению лекарствами) и смертности уменьшаются. Количество новых случаев снизилось на 1,5% в период между 2014 и 2015 гг., увеличивая тенденцию, которая отмечается в течение нескольких лет. Эти тенденции, скорее всего, частично связаны со всемирными усилиями по борьбе с туберкулезом, которые предоставили большему количеству людей доступ к лекарственным средствам против туберколеза и ВИЧ-инфекции.
Всплеск заболеваемости туберкулезом произошел в отдельных частях США и других развитых странах между 1985 и 1992 г.; это было связано с несколькими факторами, включая параллельное инфицирование ВИЧ, бездомность, ухудшенную инфраструктуру здравоохранения и появление мультирезистентного туберкулеза (MDR-TB). Несмотря на то, что контроль в США осуществляется эффективной системой здравоохранения и установленными мерами по инфекционному контролю в закрытых учреждениях, проблема мультирезистентного туберкулеза, включая туберкулез с широкой лекарственной устойчивостью (ШЛУ-TБ), является актуальной во всем мире. Эта ситуация усиливается нехваткой ресурсов, в том числе систем диагностики и доставки лекарственных средств.
В большинстве стран мира туберкулез с лекарственной устойчивостью не может быть быстро диагностирован и своевременно вылечен с использованием эффективных схем, в том числе с надлежащим контролем побочных эффектов лекарственных средств 2-ой линии. Эта ситуация приводит к продолжающейся контагиозности, низкому уровню излечения и формированию усиленной резистентности возбудителей. При лечении очень стойкого к препаратам туберкулеза эффективность терапии еще ниже, а смертность, напротив, значительна, особенно у пациентов, инфицированных ВИЧ, даже если они получают лечение антиретровирусными препаратами. Эффективное лечение и контроль нежелательных реакций, работа с населением, а также социальная поддержка привели к более благоприятным эпидемиологическим тенденциям снижения туберкулеза с лекарственной устойчивостью в некоторых областях (например, Перу, Томская область России). Индия и Китай только начинают реализовывать общенациональные программы по лечению МЛУ-ТБ, и заболеваемость МЛУ-ТБ в будущем может в значительной степени зависеть от успеха или неудачи этих программ.
Ссылки на эпидемиологию
1. WHO: Global Tuberculosis Report 2017: Executive Summary. По состоянию на 05.04.2018.
2. WHO: Tuberculosis Fact Sheet, 2017. По состоянию на 05.04.2018.
Патофизиология туберкулеза
Туберкулез может протекать в трех стадиях:
Туберкулезные палочки M. tuberculosis изначально вызывают первичную инфекцию, которая редко приводит к острому заболеванию. Большинство (приблизительно 95%) первичных инфекций являются бессимптомными и сопровождаются скрытой (латентной) фазой. В некоторых случаях латентные инфекции впоследствии проявляются клиническими признаками и симптомами заболевания.
Инфекция обычно не передается в начальной стадии и никогда не является контагиозной в латентном периоде.
Первичное инфицирование
Инфицирование происходит, когда вдыхаемые частицы достаточно малы и могут преодолеть защитные барьеры верхних дыхательных путей, осесть глубоко в легких, как правило, в субплевральном воздушном пространстве средних или нижних долей. Капельки большего размера склонны осаждаться в верхних отделах дыхательных путей и, как правило, не приводят к заболеванию. Заражение, как правило, начинается с одного капельного ядра, которое обычно несет несколько возбудителей. Теоретически, достаточно только одного организма, чтобы вызвать инфекцию у восприимчивых людей, но менее восприимчивым людям может потребоваться для развитие инфекции многократный контакт.
Для развития инфекции бациллы M. tuberculosis должны поглотиться альвеолярными макрофагами. Туберкулезные палочки, которые не обезврежены макрофагами, фактически воспроизводятся в них, в конечном счете убивая макрофага хозяина (с помощью лимфоцитов CD8); клетки, вызывающие воспаление, привлекаются в такую область, вызывая очаговый пневмонит, срастающийся в характерную туберкулезную гранулему, которая определяется гистологическими методами.
В первые недели инфекции некоторые зараженные макрофаги мигрируют к расположенным рядом лимфоузлам (воротные, средостенные), где они получают доступ к кровотоку. Возбудители могут распространиться через кровь к любой части тела, особенно апикально-задней части легких, эпифизу длинных костей, почкам, телу позвонков и мягким мозговым оболочкам. Гематогенная диссеминация менее вероятна у пациентов с частичным иммунитетом, являющимся результатов вакцинации или предварительного естественного инфицирования M. tuberculosis или микобактериями в окружающей среде.
В большинстве случаев после первичной инфекции развивается латентная инфекция. Примерно в 95% случаев, приблизительно через 3 недели активного роста микобактерий, иммунная система начинает подавлять размножение бацилл еще до того, как появляются клинические симптомы и признаки. Очаги с бациллами в легких или других органах преобразуются в эпителиоидные клеточные гранулемы, имеющие казеозные и некротические центры. Туберкулезные палочки могут выживать в этом материале в течение многих лет; баланс между резистентностью хозяина и вирулентностью микроба определяет, пройдет ли инфекция в конечном счете без лечения, останется скрытой или станет активной. Инфекционные очаги могут оставить фиброзно-очаговые шрамы на вершинах одного или обоих легких (очаги Симона, которые, как правило, являются результатом гематогенного посева с другого инфицированного участка) или небольших областей консолидации (очаги Гона). Очаг Гона с вовлечением лимфатических узлов является комплексом Гона, который при условии кальцинирования называют комплексом Ранке. Туберкулиновый кожный тест Кожные пробы Туберкулез (ТБ) является хронической прогрессирующей микобактериальной инфекцией, часто имеющей латентный период после начального инфицирования. Чаще всего ТБ поражает легкие. Симптомы включают. Прочитайте дополнительные сведенияГораздо реже первичное поражение быстро прогрессирует, вызывая острую болезнь с пневмонией (иногда кавернозной), плевральным выпотом и явным увеличением лимфоузлов в области средостения или корня легких (у детей это может привести к сдавлению бронхов). Небольшие плевральные выпоты являются преимущественно лимфоцитарными, как правило, содержат немного микобактерий и очищаются в течение нескольких недель. Такое развитие событий более характерно для маленьких детей и недавно зараженных или повторно зараженных пациентов с ослабленным иммунитетом.
Внелегочный туберкулез Внелегочный туберкулез (ТБ) Внелегочный туберкулез обычно является следствием гематогенного распространения возбудителя. Иногда инфекция передается непосредственно от смежного органа. Симптоматика меняется в зависимости. Прочитайте дополнительные сведенияАктивная болезнь
У здоровых людей, инфицированных туберкулезом, на протяжении жизни вероятность риска перехода заболевания в активную форму составляет приблизительно 5–10%, хотя этот процент значительно меняется в зависимости от возраста и других факторов риска.
У 50–80% заразившихся лиц туберкулез активно развивается в течение первых 2 лет, хотя он также может проявиться и через несколько десятилетий.
Любой орган, первоначально инфицированный возбудителем, может стать источником реактивации инфекции, но чаще всего она начинается в верхушках легких, по-видимому, из-за благоприятных для микроба условий, таких как высокое давление кислорода. Очаги Гона и пораженные прикертневые лимфоузлы гораздо реже становятся местами такой реактивации.
Условия, разрушающие клеточный иммунитет (что очень важно для защиты от туберкулеза), значительно облегчают реактивацию. Таким образом, среди пациентов, которые имеют ко-инфекцию ВИЧ Инфекция, вызванная вирусом иммунодефицита человека (ВИЧ) Инфекция вирусом иммунодефицита человека (ВИЧ) вызывается одним из 2 похожих ретровирусов (ВИЧ-1 и ВИЧ-2), которые разрушают CD4+ лимфоциты и ослабляют клеточный иммунитет, увеличивая риск оппортунистических. Прочитайте дополнительные сведенияДругие условия, способствующие реактивации, но в меньшей степени, чем ВИЧ-инфекция, включают
ТУБЕРКУЛЕЗ БРОНХОВ — проблемы патогенеза и дифференциальной диагностики
Как проявляется неосложненный локальный туберкулез бронхов? С какими заболеваниями следует дифференцировать туберкулез бронхов? Какими методами диагностики можно выявить неосложненный туберкулез бронхов?
Как проявляется неосложненный локальный туберкулез бронхов?
С какими заболеваниями следует дифференцировать туберкулез бронхов?
Какими методами диагностики можно выявить неосложненный туберкулез бронхов?
На примере туберкулеза бронхов можно наглядно представить, к каким последствиям может привести неполное и одностороннее представление о патогенезе патологического процесса в легких при туберкулезе. В самом деле, туберкулез бронхов большинство фтизиатров до сих пор относят к осложнениям туберкулеза внутригрудных лимфатических узлов или легких [11, 12].
Между тем бронхиальное дерево, широко сообщаясь с внешней средой и участвуя наряду с другими органами внешней экскреции в элиминации из организма чужеродных частиц, подвергается большому риску бактериального заражения как извне — аэрогенным путем, так и изнутри — лимфогематогенным. При этом мигрирующая в макроорганизме инфекция может быть в латентном состоянии и не проявляться локальными изменениями. На факт аэрогенного заражения стенки мелких бронхов туберкулезом с последующим развитием легочных очагов первичного аффекта, а также очагового и инфильтративного туберкулеза легких еще в 1904 году обратил внимание А. И. Абрикосов [1]. В 1955 году П. Гали с сотрудниками установили, что частой причиной формирования туберкулемы легкого становится казеозный панбронхит мелкого хрящевого бронха [13]. Позже А. Хузли [17] и М. В. Шестерина [12] убедительно доказали лимфогематогенный путь возникновения туберкулеза стенки более крупных ветвлений бронхиального дерева. В дальнейшем появилось немало исследований, касающихся различных клинико-морфологических вариантов туберкулеза бронхов, которые были не осложнением туберкулеза легких или внутригрудных лимфатических узлов, а ведущей и нередко единственной локализацией туберкулеза органов дыхания [5, 6, 7, 8, 14, 15, 18, 19, 20].
Между тем из-за господствующего представления о том, что туберкулез бронхов является осложнением других форм туберкулеза органов дыхания, локальные его проявления, как правило, своевременно не диагностируются, а осложненные формы заболевания часто принимаются за неспецифическую легочную патологию или трактуются как другие формы туберкулеза органов дыхания.
В то же время туберкулез бронхов как ведущая локализация инфекционного процесса встречается во фтизиатрической практике нередко. Так, среди вновь поступивших за последние два года в терапевтические отделения клиники фтизиопульмонологии ЦКБ МПС 829 больных с различными формами туберкулеза органов дыхания у 130, то есть в 15,8% случаев, туберкулез бронхов был признан основным проявлением туберкулеза органов дыхания.
Осложненные формы туберкулеза бронхов, по нашим данным, почти в 3/4 случаев протекали с поражением субсегментарных и сегментарных бронхов.
Бронхография выявляла у этих больных ампутацию и деформацию бронхов в зоне патологии, а также наличие небольших мешотчатых и цилиндрических бронхоэктазий, причем у части из них туберкулез возникал на фоне дезонтогении воздухоносных путей в виде локальной бронхомегалии, а также врожденных бронхоэктазов различной протяженности [5].
Еще реже, всего у 12,5% наших больных, туберкулез субсегментарных бронхов, протекавший с продуктивной воспалительной реакцией, имел более ограниченную протяженность и характеризовался формированием ретенционных бронхиальных кист легкого. Механизм их образования, патоморфология процесса, рентгеносемиотика, а также вопросы дифференциальной диагностики с туберкуломой легкого и другой патологией были подробно изучены еще в 50-60-х годах в работах как отечественных, так и зарубежных авторов и представлены в многочисленных публикациях, в том числе и в современных руководствах по рентгенодиагностике легочных болезней [2, 3, 4, 7, 10, 13, 18]. Врачи фтизиатры и рентгенологи противотуберкулезных учреждений знакомы с этой патологией и все больные с ретенционными бронхиальными кистами туберкулезной этиологии направлялись в клинику либо с уже установленным диагнозом, либо для дифференциации с туберкуломой легкого, а также периферическим раком легкого и проведения хирургической операции.
И наконец, в 12,5% случаев туберкулез субсегментарных бронхов на нашем материале характеризовался двусторонним поражением многих ветвлений. Все больные этой группы поступили в клинику с симптомами интоксикации, кашлем с выделением слизисто-гнойной мокроты, в которой, как правило, методом бактериоскопии удавалось обнаружить микобактерии туберкулеза.
При аускультации легких только у некоторых больных прослушивались непостоянные рассеянные сухие хрипы.
При рентгенотомографии в отличие от гематогенно-диссеминированного туберкулеза легких двусторонний туберкулез субсегментарных бронхов характеризовался асимметричностью легочного поражения с большим участием нижних отделов легких и резким полиморфизмом изменений. Здесь наряду с очаговыми тенями средних и крупных размеров присутствовали и уплотненные стенки бронхов, и перибронхиальная их инфильтрация при полном отсутствии деструктивных изменений (рис. 9).
Эндоскопия во всех случаях выявляла локальное специфическое поражение слизистой субсегментарных и (или) сегментарных бронхов, причем процесс чаще был односторонним и не всегда соответствовал той стороне, где рентгенограмма выявляла более выраженные изменения в легких.
В 26,3% случаев туберкулез бронхов как ведущая локализация инфекционного процесса в легких протекал с поражением стенки главного, промежуточного или долевого бронха. Как правило, туберкулез крупных бронхов выявлялся в осложненной фазе его течения — либо с воспалительно-ателектатическим процессом в легком, либо с формированием пневмоцирроза. При этом нередко воспалительно-ателектатический процесс врачами диспансеров принимается за параконкрозную пневмонию или инфильтративный туберкулез, а возникший пневмоцирроз — за их осложнение. Подтвердить туберкулезную, а не опухолевую природу процесса позволяло обнаружение МБТ в мокроте, а также данные эндоскопии и биопсии.
Исключить аденогенное происхождение туберкулеза крупных бронхов у наших больных помогало отсутствие клинико-рентгенологических признаков туморозного или инфильтративного бронхоаденита бронхопульмональной группы лимфатических узлов. Как было доказано на примере прооперированных больных, в 26 случаях при осложненном течении туберкулеза крупных бронхов, несмотря на наличие гиперплазии внутригрудных лимфатических узлов, подтвержденной рентгено-томографическим исследованием, включая компьютерную томографию, гистологическое и бактериологическое исследование лимфоидной ткани выявило наличие туберкулезных бугорков (местами со слиянием) лишь у четырех больных. Причем специфические изменения были столь незначительными, что вряд ли могли явиться источником тяжелого поражения бронхиального дерева, а скорее представляли собой очаги-отсевы. У шести больных с гиперплазией лимфатических узлов гистологически выявлялись кальцинаты без признаков реактивации туберкулеза.
Последнее давало основание предположить, что туберкулезу крупных бронхов в большинстве случаев предшествовал не распознанный своевременно специфический процесс слизистой сегментарных и субсегментарных бронхов.
Отличить воспалительно-ателектатические изменения в легком от инфильтративного туберкулеза помогала рентгенологическая картина в виде объемного уменьшения легкого или его доли, однородный характер затемнения и отсутствие распада, от рака — данные бронхоскопии, свидетельствовавшие о тяжелом специфическом поражении бронхиальной стенки со стенозом просвета бронха, причем у многих с признаками как свежих, так и старых изменений в ней. Но в отдельных случаях только операционная биопсия позволила дифференцировать туберкулез от рака бронха (рис. 10, 11).
Литература
Читайте также:
