Осмотр локтевого сустава
Добавил пользователь Дмитрий К. Обновлено: 13.12.2025
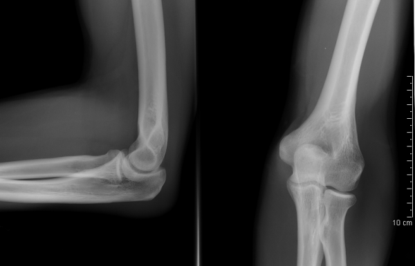
Анатомия перелома локтевого отростка
Перелом локтевого отростка происходит в основном при падении на локоть с высоты собственного роста. Существуют случаи, когда данному перелому характерен вариант со смещением. Чаще всего он происходит на уровне верхушки отростка, но иногда несет за собой внесуставное повреждение. Именно к этому участку крепится сухожилие трехглавой мышцы плеча (трицепса), которое “тянет” отломанные элементы проксимально (в сторону плеча), тем самым создавая диастаз промежуток между отломками, что является серьезным препятствием для сращения перелома.
Симптомы при переломе локтевого отростка
При обращении к врачу пациент жалуется на болевой синдром и нарушение функции локтевого сустава.
При осмотре и физикальном обследовании существуют следующие признаки перелома локтевого отростка:
• Деформация и отечность локтевого сустава;
• Ограничение разгибание и сгибание предплечья (при смещении разгибание ограничено, так как трехглавая мышца тянет только отломанный фрагмент);
• Гемартроз (Кровоизлияние в сустав);
• Боль при пальпации отростка;
• При переломе локтевого отростка со смещением определяется западение кожи вместо привычного костного возвышения.
Дигностика переломов локтевого отростка со смещением и без
В случае перелома локтевого отростка без смещения или с допустимым смещением, деформации локтевого сустава не определяется. Движения ограничены только болью, то есть функция руки не страдает. Поэтому нельзя с уверенностью говорить об отсутствии перелома при нормальной функции.
Для определения перелома выполняется рентгенография локтевого сустава в двух проекциях. Этого исследования достаточно в большинстве случаев. Для более детального исследования характера перелома выполняют компьютерную томографию (КТ). С её помощью можно определить насколько разрушен отросток и определиться с тактикой лечения. Выполнять ли операцию и с использованием какой металлоконструкции. Все эти ньюансы очень важны для лучшей фиксации и наилучшего исхода лечения.
Лечение перелома локтевого отростка
Консервативная терапия
Перелом локтевого отростка без смещения обычно требует консервативного лечения. Первые 6 дней после травмы отек может нарастать и сохраняться, поэтому накладывается задняя гипсовая лонгетная повязка в положении сгибания предплечья в локтевом суставе под углом 80-90 градусов (см. рисунок ниже). Повязка должна быть от верхней трети плечевой кости, до лучезапястного сустава, при этом предплечье должно быть в положении супинации (ладонью вверх). Иммобилизация руки в косыночной повязке продолжается 3 недели с момента травмы. Иммобилизацию можно продолжить в лонгете, периодически снимая её для разработки локтевого сустава. Либо заменить гипс на ортез жесткой фиксации с регулировкой амплитуды движений.
Хирургическое лечение в нашей клинике
Перелом локтевого отростка, имеющий выраженное смещение осколков, требует обязательного оперативного вмешательства хирурга-травматолога. Иначе предплечье не будет полностью разгибаться, это серьезное нарушение функции верхней конечности. Успех операции зависит от точного сопоставления костных отломков и их фиксации в правильном анатомическом положении. А в дальнейшем успех зависит от правильной разработки локтевого сустава.
Наилучшим методом лечения внутрисуставного перелома локтевого отростка, позволяющим сохранить движения в суставе – это остеосинтез (устранение смещения и фиксация отломков металлоконструкцией). Операцию выполняют сразу после поступления пациента. Это ускорит реабилитацию и позволит сохранить полный объем движений в локтевом суставе. Локтевой сустав очень капризный в плане реабилитации. Если иммобилизация продолжается 4 недели и более, то практически во всех случаях у взрослых пациентов развивается контрактура.то есть движения ограничены на всю жизнь. Если перелом локтевого отростка произошел одним фрагментом, то возможна классическая операция, одна из самых простых и надежных методик - остеосинтез локтевого отростка по Веберу. Выполняется она при помощи двух титановых спиц и титановой проволоки.
До операции:
После операции:
В случае оскольчатого перелома со смещением и отрыве верхушки отростка локтевой кости, выполняют фиксацию осколков специальной титановой конструкцией, восстанавливая целость локтевого отростка и суставной поверхности локтевой кости.
Итак, лечение перелома локтевого отростка, заключается в следующем:
• Восстановление разрушенного участка локтевого сустава в норму;
• Фиксация положения травмированного участка, пока не произойдет сращение.
Для фиксации травмированной кости используют следующие методы:
• Ортез или гипсовая повязка (лонгет);
• Титановая пластина с винтами для фиксации (операция);
• Винты без дополнительного удерживающего элемента (операция);
-Фиксация спицами и стягивающей петлей (остеосинтез по Веберу).
В нашей клинике мы используем все три метода фиксации фрагментов локтевой кости, выбор которого зависит от характера перелома. Например, оскольчатый перелом можно зафиксировать только пластиной и винтами.После операции, пациенты на следующий день могут приступать к восстановлению функции конечности. В нашем отделении с каждым пациентом работает инструктор ЛФК. Проводят гимнастику, массаж, физиолечение. Пациенты после операции в кратчайшие сроки возвращаются к повседневной жизни.
Реабилитация после перелома локтевого отростка
Существую следующие виды реабилитации после перелома локтевого отростка:
1. Упражнения начинают выполнять в первые дни после травмы в пальцах рук, так как мышцы, отвечающие за функционирование пальцев, начинаются от области локтевого сустава (от надмыщелков).
2. Под контролем врача выполняется ранняя разработка после операции.
3. Полноценная разработка в локтевом суставе производится после снятия гипса или ортеза. Она не сложная в техническом плане, но очень требовательная в плане амплитуды и частоты повторений. Сшибание и разгибание руки в локтевом суставе. Спонация и супинация кисти (ладонью вверх и вниз).
От пациента требуется огромный труд и сила воли. Операция это только полдела.
Пренебрегая данными рекомендациями существует риск развития артроза в локтевом суставе и других достаточно серьезных осложнений.
Обследование локтевого сустава

Боль и другие симптомы могут быть локализованы непосредственно в суставе или вокруг него. Неврологические симптомы могут наблюдаться как в самом суставе, так и на расстоянии от него.
Анамнез
- Точная локализация боли.
- В какое время симптомы беспокоят больше всего?
- Механизм травмы – в случае наличия травмы, знание о том, как она была получена, может помочь поставить диагноз. Если травмы не было, то для процесса диагностики будут крайне полезны специфические симптомы. К примеру, если пациент сообщает об онемении и/или покалывании в мизинце, то у него можно заподозрить ульнарную нейропатию.
- Наличие онемения или покалывания?
- Принимались ли медикаменты?
- Перенесенные заболевания
- Диагностическое тестирование/визуализация.
Вопросы про локтевой сустав
Эти вопросы помогут в проведении осмотра. Вот они:
- Меняются ли симптомы (ослабевают или наоборот усиливаются) при движениях в шее или плече?
- Бывали ли у вас ощущения, что локоть как бы выпадает или выскальзывает? Чувствовали ли вы, что он нестабилен?
- Меняется ли боль во время хватательных движений?
- Чувствовали ли вы когда-нибудь онемение или покалывание в пальцах?
- Находился ли локоть в положении гиперэкстензии во время травмы?
- Связываете ли вы симптомы с выполнением бросковых движений?
Личностные факторы и влияние внешней среды
При первичном обследовании необходимо учитывать факторы влияния внешней среды и личностные факторы, поскольку они могут повлиять на способность к заживлению и восстановлению функции поврежденного сустава. К таким факторам относятся:
- диабет;
- иммуносупрессия;
- инфекции;
- множественные повреждения;
- табакокурение;
- чрезмерное употребление алкоголя;
- осложнения после травмы или операции (тугоподвижность сустава, гетеротопическая оссификация, инфекция, нестабильность сустава).
Оценки результатов, полученные от пациентов
- Опросник DASH (Disabilities of the Arm, Shoulder and Hand (DASH) или Quick Dash.
- Функциональная шкала пациента (Patient-Specific Functional Scale).
- Шкала PREE (Patient-rated elbow evaluation) и шкала ASES (American Shoulder and Elbow Society evaluation) – две очень похожих между собой шкалы, которые позволяют пациенту самостоятельно рассказать о боли в локте и связанных с ней ограничениях. Существенные отличия между шкалами минимальны, а корреляция между ними обычно превышает 0.90.
- P4: это опросник, состоящий из четырех вопросов. В нем пациента просят оценить интенсивность боли утром, днем, вечером, а также после нагрузки в течение последних двух дней. Р4 может оказаться очень полезным инструментом, поскольку на состояние локтевого сустава сильно влияет время суток и движение.
- SF-36: SF-36 – это общая медицинская форма о состоянии здоровья. Она затрагивает широкий круг вопросов, касающихся состояния пациента. Для людей, имеющих проблемы с локтевым суставом, использование данного опросника – не лучшая идея, поскольку он не обладает достаточной чувствительностью и специфичностью к их заболеванию. Кроме того, заполнение данной формы может занять довольно много времени и оказаться вовсе бессмысленным, поскольку ее сложно применить в клинической практике.
Специальные вопросы
Красные флаги
- Инфекционный процесс.
- Злокачественное новообразование.
- Переломовывих (положительный тест локтевого сгибания).
- Воспалительный артрит.
- Отклонения от нормы основных жизненных показателей.
- Проблемы с сосудами, неврологические отклонения.
- Гетеротопическая оссификация (послеоперационное осложнение).
- Отсутствие серьезного прогресса в лечении после операции.
Желтые флаги
- Социально-психологические факторы.
- Пассивное копинг-поведение.
- Модель избегающего поведения.
Обследование

Здоровые локтевые суставы в передне-задней и боковой проекции
- Рентгенография.
- Данные анамнеза по возможности должны коррелировать с результатами рентгенографии.
Объективное обследование
Визуальное обследование
- Положение верхнего квадранта: проблемы с локтем у пациента могут быть связаны со структурами, лежащими выше сустава.
- Шейный и грудной отделы позвоночного столба (особое внимание – на шейный лордоз и грудной кифоз).
- Положение лопатки.
- Угол между плечом и предплечьем (несущий угол): данный угол в среднем составляет 10 градусов у мужчин и 13 градусов у женщин, причем показатель может меняться до 14-15 лет.
- Отеки, экхимоз, деформации, мышечная атрофия.
- «Треугольный знак».
Функциональные тесты
Смысл выполнений функциональных тестов заключается в том, чтобы найти т.н. «asterisk sign» (дословно – знак звездочки), то есть те положения или движения, при которых усиливаются симптомы. Это необходимо для того, чтобы проверить и перепроверить эффективность вмешательства.
- Выявление положения «со звездочкой» (какие активности усиливают симптомы?).
- Тест на безболезненное сжатие (Pain-Free Grip Strength).
- Тест на отталкивание (Push-off Test): данный тест используется, чтобы оценить, как верхний квадрант справляется с переносом веса. Это помогает определить функциональные/профессиональные ограничения (ICC=0.31-0.97).
- Тест на функциональные нарушения руки, шеи и плеча (FIT-HaNSA): стандартный физиотерапевтический тест, который позволяет оценить общую активность верхней конечности. Проверка его чувствительности и специфичности в отношении конкретно локтевого сустава пока не завершена.
Пальпация
- Медиальный и латеральный надмыщелки.
- Локтевой отросток и ямка локтевого отростка.
- Головка лучевой кости.
- Боковая связка локтевого сустава.
- Мягкие ткани плеча и предплечья/кисти – для проведения провокационных тестов, обнаружения отека, местного повышения температуры.

Локтевой сустав сзади (кружком отмечен латеральный надмыщелок)

Медиальный надмыщелок (отмечен точкой)
Неврологическая оценка
- Рефлексы: C5-C7.
- Миотомы: C5-Th1.
- Дерматомы: C5-Th1.
Тестирование двигательных возможностей
Друзья, этот и другие вопросы будут подробно разбираться на семинаре «Локтевой сустав: диагностика и лечение». Узнать подробнее…
Свободные тела локтевого сустава
Свободные тела образуются в результате отделения небольшого участка хряща от прилежащей кости (или хряща с костью) со смещением его в полость сустава или в результате изменения синовиальной оболочки.
Пациенты со свободными телами часто жалуются на боль, ограничение движений, щёлканье в локтевом суставе и его блокирование. В некоторых случаях клинические признаки могут быть представлены незначительным ограничением сгибания и разгибания, сопровождаемым небольшим выпотом, который пальпаторно определяется в области заднелатерального кармана.
Всем пациентам следует выполнять рентгенографию в переднезадней и боковой проекциях. Также могут быть выполнены КТ или МРТ, поскольку до 30% случаев наличия свободных тел не удаётся распознать по рентгенограммам. Наиболее частым местом расположения свободных тел являются венечная и локтевая ямки и задний отдел латерального кармана.
Важно: свободные тела могут мигрировать, что затрудняет их визуализацию.
- рассекающего остеохондрита
- дегенеративного артроза
- синовиального хондроматоза
- травмы
Свободные тела в локтевом суставе часто проявляются механическими симптомами, препятствующими нормальным движениям, и предрасполагают к раннему развитию деформирующего артроза. Лечение свободных тел может быть только хирургическим, так как только это позволяет их удалить.
Свободные тела могут ограничивать движения в суставе и подвергают хрящ угрозе повреждения и дегенеративных изменений. При клиническом осмотре могут определяться утрата движений, крепитация, боль в локтевом суставе, кратковременное блокирование локтевого сустава. Клинические признаки, выявленные при осмотре + рентгенологические данные, подтверждающие наличие свободных тел в локтевом суставе, подтверждают необходимость их артроскопического удаления.
Удаление свободных тел является наиболее распространенным видом артроскопического вмешательства на локтевом суставе. Артроскопия имеет значительные преимущества при выявлении и извлечении таких образований.
Правильная установка портов позволяет артроскопически оценить состояние всех отделов локтевого сустава. Кроме того, небольшие разрезы при установке портов и ограниченный рубцовый процесс также относятся к преимуществам артроскопического удаления свободных тел.
Основной задачей в послеоперационном периоде является восстановление объёма движений. Необходимо мотивировать пациента на пользование конечностью сразу после операции. Не следует применять шины. Хирургические повязки не должны препятствовать возможности раннего сгибания, разгибания, супинации и пронации кисти.
Важно выполнять программу упражнений в домашних условиях.
При артроскопическом удалении свободных тел локтевого сустава количество положительных результатов достигает 90% при условии соблюдения техники и последовательности вмешательства. Важно устранить причину образования свободных тел, так как в ином случае эффект будет ограниченным, что проявится с течением времени. Это особенно важно при остеоартрозе.
Травмы (переломы) локтевого сустава


Локтевой сустав представляет собой уникальное соединение трех костей: плечевой, лучевой и локтевой. Это сложный комбинированный сустав, в состав которого входят три простых сустава: плечелоктевой, плечелучевой, проксимальный лучелоктевой. Все они объединены одной общей капсулой и суставной сумкой (полостью). Внутри суставной сумки постоянно вырабатывается синовиальная жидкость, которая служит смазкой для трущихся суставных поверхностей и питанием для анатомических частей. Концы костей покрывает слой надкостницы, который помогает защищать и обновлять костные ткани, а также способствует поступлению питательных веществ из синовиальной жидкости. Все суставные поверхности покрыты суставным хрящом. Локтевой сустав надежно укреплен связками и защищен хорошим мышечным каркасом. Данные особенности позволяют совершать четыре вида движений: разгибание и сгибание, супинацию (вращение предплечья в локтевом суставе, при котором возможно повернуть кисть руки ладонью вверх) и пронацию (вращение предплечья в локтевом суставе, при котором возможно повернуть кисть руки ладонью вниз). Стоит отметить, что конец локтевой кости сверху имеет локтевой отросток, напоминающий по форме крючок. К нему прикрепляется трехглавая мышца плеча. Перелом этого отростка – довольно часто встречающаяся травма.
Виды повреждений
Для локтевого сустава характерны следующие категории заболеваний:
- Травматические
- Ушибы. Чаще всего встречаются ушибы локтевого отростка, околосуставных тканей, мыщелков плеча и локтевого нерва
- Растяжения связочного аппарата
- Вывихи. Различают: изолированный вывих и пронационный подвывих головки лучевой кости; вывихи предплечья кзади, кпереди, кнутри, кнаружи; дивергирующие вывихи с разрывом проксимального сочленения и расхождением костей предплечья в стороны
- Переломы костей локтевого сустава по характеру повреждения можно разделить на:
- внутрисуставные;
- околосуставные;
- закрытые;
- открытые;
- без смещения;
- со смещением отломков (смещение костных отломков наиболее часто происходит при переломах локтевого отростка)
- Эпикондилит («локоть теннисиста») – воспалительно-дегенеративное заболевание, которое поражает сухожилия в зоне локтевого сустава вследствие хронических перегрузок мышц предплечья.
- Стилоидит – дистрофично-воспалительный процесс в том месте, где сухожилие крепится к отростку локтевой кости.
- Бурсит – воспаление суставной сумки, которая находится на задней поверхности локтя
- Неврит – недомогания, возникающие в результате защемления нервных окончаний
- Локтевой тендинит– воспаление в области сухожилий локтевого конца трехглавой мышцы
- Артрит - острый воспалительный процесс в суставном хряще и капсуле без грубых структурных изменений в суставе
- Остеоартроз – дистрофически-дегенеративное заболевание хряща и костной ткани сустава.
![локоть теннисиста]()
Симптоматика боли
Основной симптом заболеваний локтя – это боль.
Для травматической группы повреждений свойственны такие признаки:
- Пронзительная боль в момент получения травмы
- Отечность и гематома в области локтевого сустава
- Деформация локтя
- Ограничения в движениях рукой, частичная или полная потеря функции конечности
- Или патологическая подвижность и возможность нетипичных для локтя движений
- Онемение или покалывание в районе предплечья, запястья, кисти руки
- Скрип или щелчок при движении локтем
- Любое изменение цвета кожа в области повреждения
- Ощутимое выступание отломков кости под поверхностью кожи
![травма локтевого сустава]()
При любом из указанных выше симптомов следует незамедлительно обратиться за помощью в отделение травматологии.
К какому врачу обращаться
Для постановки точного диагноза и назначения правильного лечения необходимо обратиться за помощью к следующим специалистам:
Диагностика
Диагностические мероприятия включают в себя:
- Осмотр врача (пальпация области локтевого сустава)
- Сбор анамнеза заболевания
- Клинический и биохимический анализы крови
- Общий анализ мочи
- УЗИ суставов локтя
![УЗИ локтевого сустава]()
Варианты лечения
Лечение во многом зависит от вида и характера перелома в локтевом суставе. При переломах без смещения (например, локтевого отростка) можно обойтись консервативным лечением путем наложения фиксирующей гипсовой повязки на несколько недель. Если произошло смещение сустава, то решается вопрос об оперативном вмешательстве. Для этого осуществляют репозицию отломков (закрытую или открытую). При открытых сопоставлениях обязательна хирургическая фиксация отломков, эта операция называется остеосинтез. Остеосинтез – это соединение отломков костей с помощью специальных фиксирующих средств (костных трансплантатов или металлоконструкций). Если переломы суставной части плечевой кости имеют раздробленный характер, то возможно замещение локтевого сустава протезом. Для восстановления функции локтевого сустава при деформирующих артрозах, а так же при врожденных и приобретенных деформациях и контрактурах другой этиологии в настоящее время проводят остеотомию. Остеотомия – это хирургическая операция, которая помогает устранить деформацию локтевого сустава или улучшить функцию опорно-двигательного аппарата путем искусственного перелома с дальнейшей фиксацией для придания функционально выгодного положения. После любого хирургического вмешательства пациенту назначаются реабилитационные мероприятия, составленные лечащим врачом индивидуально для каждого.
Рентген локтевого сустава (локтя)
Локтевой сустав – довольно уязвимое место, подвергаемое частым нагрузкам, травмам и нарушениям. Он имеет сложное анатомическое строение и состоит из плечелучевого, плечелоктевого и лучелоктевого суставов, соединенных в одной капсуле.
К травматологу в основном обращаются с вывихами, ушибами, переломами локтевого сустава и с неприятными симптомами, могущими быть предвестниками заболеваний и патологий. Для определения характера и степени повреждения и для постановки точного диагноза врач назначает рентгенографию локтевого сустава.
Врачи-специалисты
В настоящее время на сайте ведутся работы по изменению прайс-листа, актуальную информацию уточняйте по тел: 640-55-25 или оставьте заявку, с Вами свяжется оператор.
Цены на услуги
- Рентгенография предплечья локтевой кости и лучевой кости в прямой задней проекции 990 a
- Рентгенография локтевого сустава в прямой задней проекции 990 a
- Рентгенография локтевого сустава в аксиальной проекции 990 a
- Рентгенография локтевого сустава в боковой проекции 990 a
- Рентгенография предплечья локтевой кости и лучевой кости в боковой проекции 1485 a
Наши клиники в Санкт-Петербурге
![Клиника на Пионерской]()
- Автово
- Проспект Ветеранов
- Ленинский проспект
- Девяткино
- Гражданский проспект
- Академическая
Рентгенография локтевого сустава позволяет обнаружить воспаления, опухоли, различные изменения суставной щели и прилегающих тканях, исследовать смежные области локтевого сустава, определить характер повреждения.
Вы можете максимально быстро и эффективно сделать рентгенографию локтевого сустава на новейшем итальянском оборудовании в сети клиник «Медицентр». В клиниках открыто травматологическое отделение, где опытные и компетентные специалисты окажут Вам необходимую первую помощь при травмах и повреждениях, сделают рентгенографию локтевого сустава, выявят при наличии патологии и заболевания и назначат грамотное эффективное лечение.
Виды заболеваний локтевого сустава
К основным видам заболеваний, выявляемым при рентгенографии локтевого сустава, относятся остеоартроз, остеопороз, ревматоидный артрит, подагра, остеофит, «локоть теннисиста» (латеральный эпикондилит), тендинит и т.д.
Показания и противопоказания к рентгену локтевого сустава
Рентгенография локтевого сустава показана при болях в области локтя, косорукости (отклонение кисти от продольной оси локтевой и лучевой кости), нарушении подвижности, опухолевых процессах, воспалительно-дегенеративных патологиях, травмах, таких как вывихи, переломы, ушибы, подвывихи, при подозрении на различные рода патологии и заболевания и т.д.
Противопоказаниями к рентгенологическому исследованию локтевого сустава являются беременность, критическое состояние пациента, наличие психических и неврологических заболеваний, не позволяющих оставаться в состоянии покоя. Детям до 15 лет любое рентгенологическое исследование проводится строго по показаниям при наличии направления лечащего врача
Подготовка к проведению рентгенографии локтевого сустава
Специальной подготовки исследование не требует, оно может выполняться в экстренных неотложных ситуациях. При плановом проведении рентгенографии локтевого сустава желательно снять металлические предметы с исследуемой области, а также с прилегающих к ней участков тела.
Процедура проведения рентгенографии локтевого сустава
Рентген - снимок локтя делается в трех проекциях: прямой, боковой и аксиальной. При рентгенографии локтевого сустава пациент сидит, а его рука располагается на столе. В некоторых случаях пациента кладут на спину или на бок или делают снимок в положении стоя.
После получения снимков и их описания пациент направляется в зависимости от выявленной травмы, заболевания, патологии к врачу травматологу, ортопеду, хирургу, ревматологу или более узким специалистам, таким как онколог, эндокринолог и т.д.
Отзывы
![Медицинский центр]()
Хочу поблагодарить Эскендерову Гюлюшан Абдулаевну за чуткое, внимательное отношение к пациентам и професионализм. Огромное спасибо.
![Медицинский центр]()
Клиника супер. Очень чисто, персонал очень вежливый
![Медицинский центр]()
Искренне от всей души хочу поблагодарить врача Азизова Магомеда Алиевича Долгие годы страдала от варикоза вен Не знала к какому врачу обратиться Стала искать в интернете специалистов Мне очень повезло, отличный врач Магомед Алиевич, скорее всего врач от бога И я очень довольна лечением, что попала именно к этому врачу Лечение проходило безболезненно.и аккуратно Все понятно обьяснил, комментировал каждое движение Ответил на все интересующиеся вопросы Спасибо за профессионализм и чуткое отношение к пациентам
![]()
20.12.2019 Сообщество VK
Главной задачей для медицинских учреждений по прежнему остается завоевать доверие людей (пациентов), оказывая медицинскую помощь (услугу) посредством высокой квалифицированности медицинских работников. Я мама троих детей и внучка шестимесячная у нас. Обслуживание поликлиниками по ОМС с каждым годом становится все хуже и хуже (в частности наших окрестностей Мурино, Девяткино, Кузьмолово,Токсово..). В платных медицинских центрах цены конечно разнообразные, но жителям нового Мурино, которые в пожизненной ипотеке платить лишние деньги при имеющимся полисе ОМС как то не серьезно! Обратились впервые за помощью в Медицентр на ул.Охтинская аллея д18 на коммерческой основе, с травмой носа у младшей дочери (4года). Хочу отметить, что лишних денег не взяли, а именно – квалифицированный врач травматолог определил ушиб, а не возможный перелом, тем самым избавил нас от облучения ребенка рентгеном. Позже очень обрадовалась тому, что именно этот центр принимает граждан по ОМС. Написала заявление и принесла необходимый пакет документов на ресепшен. Сотрудники центра с добродушием и пониманием принимали мои документы то на одного ребенка, потом на второго….да еще и не совсем в определенные часы…чего то не хватило….мы все работники государства. Спасибо Ташкиной Марине Сергеевне, Фанченковой Екатерине Викторовне и Петроченко Ольге Александровне – и по сей день встречают с добродушием и всегда стараются подобрать наиболее удобное время для посещения врача, например, для двоих детей сразу. Сдача анализов крови происходит в «волшебно» удобных креслах с массой необходимых вопросов (например: не бывает ли вам плохо от вида крови и т.п.) Благодарна за аккуратность и профессионализм в своем деле Сат Намзыраю Юрьевичу, Леванкову Максиму Владимировичу, Дерешовскому Александру и девушка была (имени не узнала). Проходя дорогу к узким специалистам через терапевта Султанга Валерию Дмитриевну, я не на секунду не усомнилась в ее компетентности , даже не смотря на ее молодой возраст. Индивидуальный подход, умеренная строгость и настаивании на непременном принятии определенных мер в отношении проблемы с моим здоровьем - позволили настроиться на позитив. Возникли сложности с посещением эндокринолога (прием был по другому адресу центра) и гинеколога (плотная запись), а ситуация сложилась экстренная, можно сказать до слез! И вот я в кабинете у заведующего отделением Степановой Натальи Юрьевны! Огромная благодарность и низкий поклон за полезное использование времени с полноценным приемом врача кардиолога в ее лице, необходимых рекомендаций со стороны эндокринологии, да и за простое человеческое общение и понимание. Благодаря Наталье Юрьевне я более двух месяцев живу другой жизнью с давлением 110/80, а между прочим более 15 лет страдала от высокого давления 190/140, а разнообразные препараты, которые мне назначали врачи, снижали АД лишь до 140/100 и то на время. Спасибо за прием гинеколога Эскендеровой Гюлюшак Абдулаевне! Никогда бы не подумала в чем проблема, и что ранее назначенный препарат был просто бесполезен. Отдельно хочется поблагодарить Сидоркина Владимира Александровича (ЛОР) – такого тщательного осмотра я ни на себе ни на детях не наблюдала. Пришла с осипшим голосом, который затруднял мою профессиональную деятельность почти два месяца! Педиатр Абакумова Ольга Николаевна оказалась очень чутким, внимательным, тактичным доктором – нужные советы, не были назначены дорогущие и (наверно) лишние лекарства. Мои девочки перенесли заболевание ветряной оспой, не испытывая сильного недомогания и зуда (одной из них 12 лет) и именно Ольга Николаевна приходила к нам по вызову на дом дважды, один врач – доверие детей! Несомненно написала подробно и много, не подумайте что раньше мне попадались одни шарлатаны или я хорохорюсь. В одном месте и такое добродушное отношение практически всего персонала! Очень часто и резко у нас может заболеть и одно…и другое и сразу, а тут еще и дети. Моей семье, и я не сомневаюсь, что многим – очень повезло с таким МЕДИЦЕНТРОМ рядом! Такое добросовестное обслуживание надо поискать! ПРИМИТЕ слова Благодарности, отдельное спасибо, низкий поклон и от всей души от моей многочисленной семьи! Вы все несете определенную миссию, здоровье людям и отлично справляетесь с основной задачей - МЫ ВАМ ДОВЕРЯЕМ .
![]()
18.12.2019 Сообщество VK
Читайте также:






