Оссифицирующий миозит (гетеротопическая оссификация) - лучевая диагностика
Добавил пользователь Евгений Кузнецов Обновлено: 13.12.2025
Костные опухоли бывают первичными или метастатическими, доброкачественными или злокачественными.
У детей обычно преобладают первичные и доброкачественные костные опухоли; в редких случаях отмечаются первичные злокачественные опухоли (например, остеосаркома, саркома Юинга). Очень редко встречаются метастические опухоли (например, нейробластома, опухоль Вильмса). Кости могут быть поражены также при лейкозах и лимфомах детского возраста.
У взрослых, особенно у больных старше 40 лет, метастатические опухоли встречаются в среднем в 100 раз чаще, чем первичные злокачественные опухоли. За исключением опухолей, образующихся из клеток костного мозга, например, множественной миеломе, в США ежегодно регистрируется около 2500 первичных злокачественных опухолей костей у детей и взрослых.
Как у детей, так и у взрослых синовиальные опухоли (опухоли, возникающая из синовиальной оболочки суставов, сухожильных влагалищ и фасций верхних и нижних конечностей) регистрируются исключительно редко. Пигментный виллонодулярный синовит является доброкачественной опухолью, но часто весьма деструктивной. Синовиальная саркома (часто состоящая из веретеновидных клеток с включением гландулярно-подобными компонентов) является локализирующейся в суставе злокачественной мягкотканной опухолью несиновиального происхождения, которая иногда локализуется в суставе.
Клинические признаки заболевания
Костные опухоли обычно вызывают необъяснимые прогрессирующие боли и припухлость. Боль может возникать без нагрузки и сохраняться в покое и ночью.
Следующие рентгенологические признаки позволяют заподозрить злокачественное новообразование:
- деструктивные или инвазивные изменения;
- неровные края опухоли;
- зоны, особенно множественные, костной деструкции (вид ткани, изъеденной молью);
- кортикальная деструкция;
- разрастание мягких тканей;
- патологические переломы.
Деструктивные изменения характеризуются четко ограниченными областями костной деструкции. Для инвазивного роста характерна постепенная потеря костной ткани или инфильтрация без четкой границы. Некоторые опухоли имеют характерный вид, например, саркома Юинга обычно характеризуется инвазивным ростом с деструкцией кости, включая крупные мягкотканные массы с реакцией кости в виде луковой шелухи, часто перед появлением выраженных литических деструктивных изменений; гигантоклеточная опухоль сопровождается кистозными изменениями без склеротической границы между опухолью и нормальной костью). Определенное значение имеет локализация очага.
Некоторые доброкачественные опухоли могут имитировать злокачественные новообразования.
Гетеротопическая оссификация (оссифицирующий миозит) и избыточное развитие костной мозоли после переломов приводят к выраженной минерализации кортикального слоя и прилегающих мягких тканей, что напоминает злокачественную опухоль кости.
Гистиоцитоз из клеток Лангерганса (гистиоцитоз X, болезнь Леттерера–Сива, болезнь Хенда–Шюллера–Кристиана) может способствовать образованию множественных или солитарных очагов поражения костей, обычно четко визуализируемых при традиционной рентгенографии. Солитарные поражения, при которых имеется периостальное образование новой костной ткани, всегда подозрительны в отношении злокачественности.
Остеопойкилоцитоз («пятнистая кость») протекает обычно бессимптомно, но может симулировать метастазы рака молочной железы. Он характеризуется множественными округлыми или овальными очагами склероза кости, локализованными обычно в костях предплюсны, запястья, таза или метаэпифизарных отделах трубчатых костей.
Где лечат рак костей и суставов
Лечение опухолевых заболеваний костей и суставов осуществляется в клинических отделениях ортопедии и травматологии в тесном междисциплинарном сотрудничестве с коллегами из онкологическиских отделений или в междисциплинарных центрах онкологической ортопедии. В штате подобных медицинских учреждения работают ортопеды-травматологи с дополнительной квалификацией в области онкологической ортопедии и онкологической хирургии костей и суставов.
Специализация центров онкологической ортопедии:
- имплантация онкологических эндопротезов (первичное онкологическое эндопротезирование);
- замена онкологических эндопротезов (ревизионное онкологическое эндопротезирование);
- имплантация онкологических эндопротезов с учетом роста;
- растущие протезы для детей и подростков;
- консервативное и хирургическое лечение саркомы мягких тканей;
- хирургии костных сарком (остеосаркомы, саркомы Юинга, саркомы Эвинга, хондросаркомы);
- консервативное и хирургическое лечение гигантоклеточных опухолей;
- консервативное и хирургическое лечение энхондром;
- консервативное и хирургическое лечение костно-хрящевого экзостоза;
- консервативное и хирургическое лечение ювенильных костных кист;
- консервативное и хирургическое лечение аневризматических костных кист и др.;
- изолированная перфузия конечностей мелфаланом с фактором некроза (опухоли);
- микрохирургическая трансплантация васкуляризированных костных трансплантатов;
- микрохирургическая васкуляризированная трансплантация малоберцовой кости;
- пластика перемещения части ампутированной культи конечности.
Новое в лечении рака костей
Ученые открыли вещество, ускоряющее гибель опухолевой клетки и снижающее ее способность к делению на молекулярном уровне. Это вещество (естественный флавоноид) сокращает фосфорилирование белков и блокирует сигнальный путь, что приводит к уменьшению ДНК-связывающих белков. В результате рост опухоли замедляется.
Благодаря применению техники двусторонних васкуляризированных (с сосудами) трансплантатов для реконструкции дефектов бедренной и большеберцовой костей сегодня больные саркомой костей могут избежать инвалидности. Кроме того, при использовании такой техники отсутствуют послеоперационные осложнения.
Множественная миелома
Множественная миелома считается наиболее распространенной первично-злокачественной опухолью кости, но часто рассматривается скорее как локализующаяся в кости опухоль из клеток костного мозга, а не костная опухоль. Она имеет гемопоэтическое происхождение и возникает в основном у людей пожилого возраста. Опухоль обычно развивается и прогрессирует как многоочаговое образование и часто поражает костный мозг настолько диффузно, что его аспирация имеет диагностическое значение. При использовании методов визуализации обнаруживают четко очерченные литические изменения или диффузную деминерализацию костной ткани. Реже отмечаются склеротические изменения или диффузная остеопения, особенно в телах позвонков. Изолированная единичная миелома без системного поражения костного мозга обозначается как плазмоцитома. Некоторые костные изменения хорошо поддаются лечению методом лучевой терапии.
Остеосаркома
Остеосаркома или остеогенная саркома занимает в группе первично злокачественных опухолей костей второе по частоте место и отличается высокой злокачественностью. Она чаще всего возникает в возрасте от 10 до 25 лет, хотя может развиться в любом возрасте. Остеосаркома вызывает возникновение злокачественного остеоида (незрелой кости) из опухолевых костных клеток. Обычно развивается в области коленного сустава (чаще в дистальном отделе бедра, чем в проксимальном отделе большой берцовой кости) или в других длинных костях, и может метастазировать, обычно в другие кости или легкие. Обычные симптомы остеосаркомы – боль и припухлость.
При использовании методов визуализации могут быть обнаружены склеротические или литические изменения тканей. Для диагностики обязательно требуется биопсия. Также необходима рентгенография или КТ органов грудной клетки с целью выявления метастатического поражения легких и осцинтиграфия для выявления возможных диагностики костных метастазов.
Терапия заключается в проведении хирургическое лечения в сочетании с химиотерапией. Использование адъювантной химиотерапии повышает 5-летнюю выживаемость с 20 % до более чем 65%. Химиотерапию обычно начинают проводить до оперативного вмешательства. Уменьшение размера опухоли на рентгенограмме, уменьшение боли и снижение уровня щелочной фосфатазы в сыворотке крови указывают на эффективность лечения; дооперационная химиятерапия должна обеспечить более 95% некроза опухоли. После нескольких курсов химиотерапии выполняют щадящее удаление опухоли и реконструкцию конечности. Опухоль удаляют со всеми окружающими ее реактивно измененными тканями и зоной окружающей здоровой ткани, чтобы избежать дальнейшего распространения опухолевых клеток. Более чем у 85% больных щадящее оперативное вмешательство может быть выполнено без уменьшения отдаленной выживаемости. После операции химиотерапия должна быть продолжена. Если до операции удается добиться почти полного некроза опухоли (около 95%), то 5-летняя выживаемость составляет более 90%.
К числу гораздо более редких вариантов остеосаркомы относятся такие поверхностные кортикальные процессы, как параостальная остеосаркома и периостальная остеосаркома. Параостальные остеосаркомы чще всего поражают задний отдел кортикального слоя дистального отдела бедра и обычно бывают хорошо дифференцированными. Периостальная остеосаркома является хрящевой поверхностной опухолью. Она часто локализуется в среднем отделе бедренной кости и на рентгенограмме имеет вид солнечного луча. Вероятность метастазирования периостальной остеосаркомы намного выше, чем хорошо дифференцированной параостальной остеосаркомы, но несколько меньше, чем типичной остеосаркомы. Параостальные остеосаркомы требуют оперативного удаления без проведения химиотерапии. При наличии периостальной остеосаркомы лечение такое же, как при обычной остеосаркоме: химиотерапия и удаление опухоли.
Фибросаркома
Фибросаркомы сходны по своим характеристикам с остеосаркомами, но производят фиброзные опухолевые клетки, поражают ту же возрастную группу и создают сходные проблемы. Лечение и исход для выраженных изменений сходны с таковыми при остеосаркоме.
Злокачественная фиброзная гистиоцитома
Злокачественная фиброзная гистиоцитома клинически напоминает остеосаркому и фибросаркому, хотя классифицируется как заболевание, которое не входит в группу остеосарком, поскольку имеет другую гистологическую картину. Имеется тенденция к более частому поражению детей и подростков, но заболевание может возникать и у пожилых людей в виде вторичных очагов на месте костных инфарктов и облученных участков. Принципы лечения и исходы аналогичны упомянутым при остеосаркоме.
При возникновении подобной ситуации, я не знаю, как нужно изощриться адвокату истца, чтобы доказать злонамеренность действий врачей. Пациент или его законные представители подписывают все мыслимые и немыслимые информативные согласия пациента с указанием рисков и осложнений. В беседе с врачом детально разъясняется цель операции и возможные варианты развития событий. А переводчик, трансферы, отель, авиабилеты и прочие накладные расходы вообще не обсуждаются. Это сопутствующие расходы. Как говорил Райкин, "К пуговицам претензии есть? Нет? Пуговицы пришиты намертво!"
Хондросаркома
Хондросаркомы — это злокачественные опухоли хрящевой ткани. Они отличаются от остеосарком как по клиническим проявлениям, так и по тактике лечения и прогнозу. 90% из всех хондросарком являются первичными. Хондросаркомы развиваются на фоне других изменений, например множественной остеохондромы и множественного энхондроматоза. Хондросаркомы чаще появляются у людей пожилого возраста. Чаще опухоль возникает у пожилых людей в плоских костях таза, лопатке, но может поражать практически любую кость и окружающие мягкие ткани.
При рентгенографии часто выявляется мелкоочаговая кальцификация. Первичные хондросаркомы нередко проявляются деструкцией кортикального слоя кости и утратой ее структуры. Вторичная хондросаркома может быть заподозрена при выявлении точечных кальцинатов или увеличении размеров остеохондромы. Сцинтиграфия с 99mТе позволяет уточнить результаты скринингового исследования: все зоны хрящевой патологии характеризуются повышенным накоплением изотопа, но хондросаркомы отличаются особенно высоким его накоплением. Выполнение биопсии обязательно; она позволяет уточнить стадию опухоли и вероятность ее метастазирования.
При опухолях начальных стадий чаще делают щадящие операции (широкое выскабливание) с проведением дополнительной терапии (часто используется замораживание жидким азотом, тепло метилметакрилата, радиочастотный метод или фенол). При других опухолях применяется тотальная резекция. Если резекция с сохранением функции невозможна, выполняют ампутацию. В ходе операции и биопсии следует избегать травматизации опухоли и обсеменения ее клетками мягких тканей операционной раны, чтобы избежать имплантации опухоли. В противном случае неизбежен ее рецидив. Если обсеменения не происходит, частота излечения определяется стадией опухоли. При проведении адекватного лечения на ранних стадиях больные почти всегда излечиваются. Эти опухоли имеют ограниченную васкуляризацию (формирование и разрастание кровеносных сосудов) ,поэтому химиотерапия и лучевая терапия малоэффективны.
Костная саркома Юинга
Костная саркома Юинга – круглоклеточная костная опухоль, чаще всего развивающаяся у пациентов в возрасте от 10 до 20 лет. Она поражает преимущественно кости конечностей, хотя может поражать другие кости. Саркома Юинга имеет тенденцию к значительному распространению, иногда захватывает всю кость. Наиболее частые симптомы – боль и припухлость.
Литическая деструкция, особенно инвазивный инфильтрирующий рост без четких границ, является наиболее частым признаком, выявляющимся при использовании методов визуализации, но формирование множественных слоев реактивной новой кости может создавать картину луковичной шелухи. Рентгенография обычно не позволяет достоверно определить распространенность патологических изменений, а пораженная кость обычно окружена крупными мягкотканными массами. Границы опухоли можно точнее определить с помощью МРТ, что помогает выбрать оптимальное лечение. Диагностика должна основываться также на результатах биопсии, поскольку сходная картина встречается и при многих других доброкачественных и злокачественных опухолях костей. В некоторых случаях этот тип опухоли можно ошибочно принять за инфекционный процесс. Точная гистологическая диагностика может быть дополнена исследованием молекулярных маркеров, включая оценку типичных клональных хромосомных аномалий.
Лечение включает различные комбинации оперативного вмешательства, химиотерапии и лучевой терапии. В настоящее время более 60% больных с первичной локализованной саркомой Юинга излечиваются при использовании такого комплексного подхода. В ряде случаев излечение возможно даже при наличии метастазов. Химиотерапия в сочетании с резекцией опухоли часто дает благоприятные долгосрочные результаты.
Лимфома кости
Лимфома кости встречается у взрослых, обычно в возрасте от 40 до 50 лет. Она может возникнуть в любой кости. Опухоль состоит из мелких круглых клеток, часто в смеси с ретикулярными клетками, лимфобластами и лимфоцитами. Она может развиваться в виде первичной костной опухоли, в комбинации с аналогичными опухолями других тканей или в качестве метастаза известного лимфопролиферативного заболевания. Обычные симптомы – боль и припухлость. Нередки патологические переломы костей.
При инструментальном исследовании выявляют признаки деструкции костной ткани, которая может иметь пятнистый, инфильтрирующий или инвазивный характер, часто в сочетании с крупными мягкотканными массами. В распространенных случаях иногда почти полностью исчезает наружный контур пораженной кости.
При изолированной первичной лимфоме кости 5-летняя выживаемость составляет 50% и более процентов. Комбинация лучевой и химиотерапии сопоставима по эффективности с удалением опухоли и другими оперативными вмешательствами. Часто для предотвращения патологического перелома требуется стабилизация длинных костей. Ампутация показана в редких случаях, когда из-за патологического перелома утрачена функция конечности или обширное поражение мягких тканей не удается устранить другим способом.
Злокачественная гигантоклеточная опухоль
Злокачественная гигантоклеточная опухоль встречается редко и обычно локализуется в самом конце длинной кости. На рентгенограммах выявляют классические признаки злокачественной деструкции костной ткани (преимущественно литические изменения, деструкция кортикального слоя, распространение процесса в окружающие мягкие ткани и патологические переломы). Для злокачественной гигантоклеточной опухоли, развившейся из предшествующей доброкачественной гигантоклеточной опухоли, характерна резистентность к лучевой терапии. В лечении используют те же принципы, что и при остеосаркоме, но результаты терапии хуже.
Хордома
Хордома – редкая опухоль, развивающаяся из остатков эмбриональной хорды. Эта опухоль чаще всего локализуется в концевых отделах позвоночника, обычно в крестце или рядом с основанием черепа. Хордома крестцово-копчиковой области вызывает почти постоянные боли. При хордоме у основания черепа возможны симптомы поражения черепных нервов, чаще глазодвигательных.
Обычно проходит несколько месяцев и даже лет, прежде чем будет установлен правильный диагноз. При использовании методов визуализации хордома выявляется в виде распространенных деструктивных костных изменений, которым может сопутствовать мягкотканный компонент. Метастазирование крайне редко, но имеется склонность к местным рецидивам. Если опухоль расположена в крестцово-копчиковой области, то часто возможно радикальное удаление. Хордомы основания черепа обычно недоступны для удаления, но дают хороший ответ на лучевую терапию.
Оссифицирующий миозит (гетеротопическая оссификация) - лучевая диагностика
Оссифицирующий миозит (гетеротопическая оссификация) - лучевая диагностика
а) Терминология:
• Гетеротопическое формирование кости и хряща в мягких тканях:
о Доброкачественный самоограничивающийся процесс, одиночный очаг
(Слева) Рисунок, коронарная плоскость: ранние признаки оссифицирующего миозита (ОМ): рыхлое объемное образование, деформирующее жировую клетчатку, и отек подкожных мягких тканей. Прилежащая кость не изменена.
(Справа) Рисунок, коронарная плоскость: признаки ОМ, выявляющиеся спустя 3-4 недели от его возникновения. Заметно некоторое уменьшение объемного образования и исчезновение отека подкожных мягких тканей. Показаны периостальная реакция и отек кортикального слоя. В этой стадии лучевая картина ОМ может быть наиболее трудной для интерпретации. (Слева) Рисунок, коронарная плоскость: признаки ОМ спустя 6-8 недель от начала возникновения. По периферии патологического участка имеется новообразованная зрелая костная ткань в центре - менее зрелая костная ткань.
(Справа) Рисунок, коронарная плоскость: признаки ОМ спустя 5-6 месяцев. К этому времени костная ткань в периферических отделах образования созревает полностью. В структуре образования могут выявляться трабекулы, однако чаще, особенно в аксиальной плоскости, в центральных отделах обнаруживают менее зрелую костную ткань. Образование характеризуется отсутствием мягкотканного компонента по периферии. Часто в этом периоде размер образования начинает уменьшаться.
б) Визуализация:
• Классическая картина: зрелая костная ткань в мягких тканях, выявляется на поздней стадии:
о На ранней стадии картина неспецифична: костная ткань аморфна и по внешнему виду сходна с опухолевой костной тканью
• Рентгенографическая картина характеризуется наличием отличительных особенностей, которые зависят от времени, прошедшего после травмы:
о 0-2 недели: мягкотканное объемное образование с нечетким контуром
о 3-4 недели: в структуре объемного образования выявляется аморфный остеоид; может наблюдаться периостальная реакция
о 6-8 недели: начинает формироваться четкий кортикальный слой вокруг кружевоподобной центральной части объемного образования
о 5-6 месяцы: формирование зрелой костной ткани
о Со 2 по 6 месяц определяется типичный для оссифицирующего миозита характер созревания костной ткани: по периферии располагается зрелый кортикальный слой костной ткани, а менее зрелая костная ткань - в центре
о Ближе к концу этого периода размер зоны оссификации может начать уменьшаться
о >7 месяцев: может наблюдаться уменьшение объемного образования; кнутри от зрелого кортикального слоя могут выявляться трабекулы
• КТ: к 4-6 неделе (раньше, чем при рентгенографии) визуализируется периферический ободок упорядоченной минерализации
• МРТ: лучевая картина зависит от возраста образования; соответствует лучевой картине, выявляемой по данным других методов лучевой диагностики:
о На любой стадии может наблюдаться отек костного мозга, периостальная реакция и периферический отек
в) Диагностическая памятка:
• Ключевыми факторами, позволяющими поставить диагноз, являются сведения о травме в анамнезе и ее давности, в то же время пациенты могут отрицать факт получения травмы
• Не следует выполнять биопсию на ранней стадии оссифицирующего миозита во избежание ошибочного диагноза опухоли
Оссифицирующий миозит. Лучевая диагностика.
— это доброкачественный процесс, характеризующийся гетеротопическим окостенением, обычно в крупных мышцах. Его важность в значительной степени связана со способностью имитировать более агрессивные патологические процессы.
Эпидемиология.
Наибольшее число ОМ связано с возникающей оссификацией в результате травмы — преимущественно у молодых людей. Другая группа, которая особенно подвержена миозитам, — пациенты с параличами (обычно без признаков травмы в анамнезе).
Клиническая картина.
•Обычно наблюдается боль, (Усиливается при пальпации и движении, задействующее мышцу);
•Увеличение плотности мышцы (в 80% случаев располагается в крупных мышцах конечностей);
•Анамнез локальной травмы (хотя травма не всегда вспоминается);
•У пациентов с параличом нижних конечностей заболевание протекает чаще вокруг коленей и бедра безболезненно.
Патофизиология.
ОМ — это возникающая метаплазия внутримышечной соединительной ткани, приводящая к образованию внекостной кости (без воспаления).
По своей структуре имеет зональную организацию (снаружи внутрь):
•периферическая, хорошо организованная зрелая пластинчатая кость
•промежуточная остеоидная область
•центральный незрелый неоссифицированный клеточный фокус (из фибробластов и других тканей)
К сожалению, гистологически миозит может оказаться похожим на остеосаркому, а значит, может привести к неадекватному дальнейшему ведению.
Рентгенографические характеристики
Типичным рентгенографическим проявлением ОМ является кольцеобразная кальцификация с лучистым центром и радиопрозрачной расщелиной между ОМ и прилегающей костью.
Кальцификация обычно начинает проявляться на простых рентгенограммах в течение 2-6 недель (рис.1), и поражение достигает классического хорошо описанного периферического кальцинированного вида (ободка) к двум месяцам. В течение следующих 4 месяцев (рис.2) они обычно становятся меньше и плотнее.
Расщелину между ОМ и подлежащей костью трудно увидеть на простых рентгенограммах.
КТ
КТ картина аналогична рентгенологической: минерализация, идущая от внешних краев к центру. Расщелина между очагом и подлежащей костью обычно видна.
Периферический минерализованный обод визуализируется к 4-6 неделе с момента травмы.
МРТ
Внешний вид МРТ меняется с временем (стадией) поражения.
Ранние признаки могут вводить в заблуждение, потому что периферическая кальцификация видна плохо, а отек мягких тканей может выходить за пределы часто незаметного кальцифицированного ободка.
T1:
•Плохо определяется (изоинтенсивный сигнал).
T2:
•Периферия: высокий сигнал (отек) до 8 недель;
•Центральная: гетерогенный высокий сигнал, обусловленный высокой пролиферирующей клеточной активностью и хрящевыми компонентами;
•Уровни жидкости (при наличии гематомы).
Поздние признаки «иммитация кости»:
T1
•Периферия: низкий сигнал (зрелая пластинчатая кость);
•Центральная: от среднего до высокого сигнала (костный мозг);
•Периферия: низкий сигнал (зрелая пластинчатая кость);
•Центральная: от среднего до высокого сигнала (костный мозг);
Дифференциальная диагностика:
•Паростеальная остеосаркома: кальцинирует от центра к периферии (подробнее по ссылке).
•Саркомы мягких тканей, такие как:
2. Drane WE. Myositis ossificans and the three-phase bone scan. AJR Am J Roentgenol. 1984;142 (1): 179-80. AJR Am J Roentgenol (citation) - Pubmed citation
3. Kransdorf MJ, Meis JM, Jelinek JS. Myositis ossificans: MR appearance with radiologic-pathologic correlation. AJR Am J Roentgenol. 1991;157 (6): 1243-8. AJR Am J Roentgenol (abstract) - Pubmed citation
4. Lacout A, Jarraya M, Marcy PY et-al. Myositis ossificans imaging: keys to successful diagnosis. Indian J Radiol Imaging. 2012;22 (1): 35-9. doi:10.4103/0971-3026.95402 - Free text at pubmed - Pubmed citation
5. Radiopedia. org // Myositis ossificans Dr Maciej Debowski and Dr Saqba Farooq et al.
Диагностика оссифицирующего миозита на снимках МРТ и КТ конечностей
Что такое оссифицирующий миозит и почему он развивается
- Оссифицирующий миозит - внекостное неопухолевое окостенение или гетеротопическая оссификация .
Ограниченный оссифицирующий миозит (локальный):
- обычно развивается в возрасте около 30 лет
- Мужчины поражаются более часто, чем женщины.
- Отсутствие травмы в анамнезе
- Нейропатическая форма: особенно при травме головы или параплегии (20-25%), отсутствие половой предрасположенности
- Идиопатическая форма.
Прогрессирующий оссифицирующий миозит (болезнь Мюнхмейера):
Посттравматический ограниченный оссифицирующий миозит (оссифицирующая гематома):
- сочетается с травматическим повреждением мышц или мягких тканей
- Предрасположенность к развитию в проксимальных отделах конечности и области тазобедренного сустава
- Часто развивается после перенесенной травмы (травматический оссифицирующий миозит)
- Более 60% случаев возникает после тотальной артропластики тазобедренного сустава
- Типичные симптомы в 10—20% случаев
- Тугоподвижность сустава в 10% случаев.
Нейропатический ограниченный оссифицирующий миозит:
- сочетается с параплегией или травмой головы
- В области плечевого или локтевого сустава (после травмы головы) или дистальнее места повреждения спинного мозга
- Этиология не установлена
- Возможен нейродегенеративный или воспалительный механизм.
Прогрессирующий оссифицирующий миозит:
- Врожденная, наследственная форма (очень редкая)
- Обычно новая мутация гена
- Аутосомно - доминантный тип наследования
- Окостенение в мышцах, сухожилиях, апоневрозах и коже.
Какой метод диагностики оссифицирующего миозита выбрать: МРТ, КТ, рентген, УЗИ
Методы выбора
Что покажут рентгеновские снимки конечностей при оссифицирующем миозите
- В мягких тканях через 3-4 нед. после травмы определяется нечеткое, размытое поражение
- Через 4-8 нед. четко различим периферический край зоны окостенения
- Окостенение мышц прогрессирует от периферии к центру
- Центр обычно остается свободным от костной ткани (обызвествленная гематома)
- Поражение обычно отграничено от расположенных рядом элементов скелета.
Нейропатический ограниченный оссифицирующий миозит:
- обычно распространенные кальцинаты в области локтевого или плечевого сустава или, у пациентов с параплегией, дистальнее места поражения спинного мозга
- Поражение может иметь сходство с посттравматической формой или может располагаться линейно вдоль мышечных волокон.
Прогрессирующий оссифицирующий миозит:
- распространяется от краниального к каудальному и от дорсального к вентральному направлению
- Возможна центральная оссификация
- Многокамерное поражение.

Мужчина 29 лет с болевым синдромом в верхних отделах правого плеча и наличием затруднений при разгибании в плечевом суставе в течение 2 мес. Отсутствие травмы в анамнезе. Рентгенография локтевого сустава. Четко ограниченный, с гладким краем округлый участок окостенения в мягких тканях латеральнее дистального отдела плечевой кости. Оссифицирующий миозит, подтвержденный при рентгенологическом исследовании.
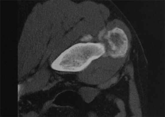
Что покажут снимки КТ костей конечностей при оссифицирующем миозите
- Зональная структура (кальцинированная периферическая зона с некальцинированным центром) определяется лучше, чем при рентгенологическом исследовании
- Лучше визуализируется расстояние от кортикального слоя расположенной рядом кости.

Мужчина 32 лет. КТ. Травматическое повреждение правой паховой области за несколько лет до исследования. В месте прикрепления прямой мышцы живота округлый зрелый участок окостенения с периферическим формированием нового кортикального слоя, типичный для оссифицирующего миозита. В отличие от околокостной остеосаркомы, при оссифицирующем миозите кальцинаты крупнее на периферии, чем в центре.
Что покажут снимки МРТ костей конечностей при оссифицирующем миозите
- Локализованное объемное образование
- Некоторая часть гиперинтенсивная, остальная часть поражения гипоинтенсивная (участки кровоизлияния) на Т2-взвешенном изображении
- Обычно гипоинтенсивное на Т1 -взвешенном изображении (частично гиперинтенсивное при наличии кровоизлияния)
- Часто отек окружающих мягких тканей или мышц
- Негомогенное накопление контрастного вещества
- Иногда кольцевидное накопление контрастного вещества
- Центральная зона более легко различима при более зрелом поражении: на Т2-взвешенном изображении или изображении последовательности STIR негомогенная, промежуточная или высокая интенсивность МР-сигнала
- Периферические участки исчезновения МР-сигнала (окостенение) на Т1-взвешенном и Т2-взвешенном изображении.
Проводят ли сцинтиграфию при оссифицирующем миозите
- Выраженное накопление радионуклида 99Тс при сканировании кости
- Хороший маркер активности процесса заболевания
- Низкая специфичность
- Исключение многоочагового поражения (прогрессирующий оссифицирующий миозит).
Клинические проявления
Посттравматическая форма:
- болевой синдром первоначально прогрессирует, затем притупляется после 2-3 мес.
- Обычно поражает область бедра, ягодичную область или область локтевого сустава
- Особенно при нейропатической форме, массивные мостовидные кальцинаты
- Возможна тугоподвижность сустава.
Прогрессирующий оссифицирующий миозит:
- множественные, преимущественно околосуставные участки окостенения, которые могут приводить к полной иммобилизации сустава
- Лабораторные тесты для оценки течения заболевания: уровень щелочной фосфатазы в сыворотке крови (достоверная корреляция с активностью заболевания, так же как и сцинтиграфией).
Методы лечения или как лечить оссифицирующий миозит
- При посттравматической форме первоначально консервативное лечение симптомов оссифицирующего миозита (локальное охлаждение в острой фазе, НПВС, бисфосфонаты)
- Хирургическое удаление является методом выбора после завершения процесса окостенения
- Цель лечения - восстановление функции сустава.
Течение и прогноз
- Возможна спонтанная резорбция (но встречается редко) при посттравматической форме
- При прогрессирующем оссифицирующем миозите раннее начало потери подвижности сустава, уже в раннем подростковом возрасте
- Гибель обычно вследствие инфекционного процесса (пневмония).
Что хотел бы знать лечащий врач
- Полное распространение процесса заболевания
- Распространенность
- Дифференциальная диагностика с опухолью (особенно с остеосаркомой).
Какие заболевания имеют симптомы, схожие с оссифицирующим миозитом
Остеосаркома
- Окостенение обычно более выражено в центре поражения, чем на периферии
- Образуется из кости; при околокостной саркоме обычно определяется взаимосвязь непосредственно с кортикальным слоем
Оссифицирующий миозит (гетеротопическая оссификация) - лучевая диагностика
Facebook Если у вас не работает этот способ авторизации, сконвертируйте свой аккаунт по ссылке ВКонтакте Google RAMBLER&Co ID
Авторизуясь в LiveJournal с помощью стороннего сервиса вы принимаете условия Пользовательского соглашения LiveJournal
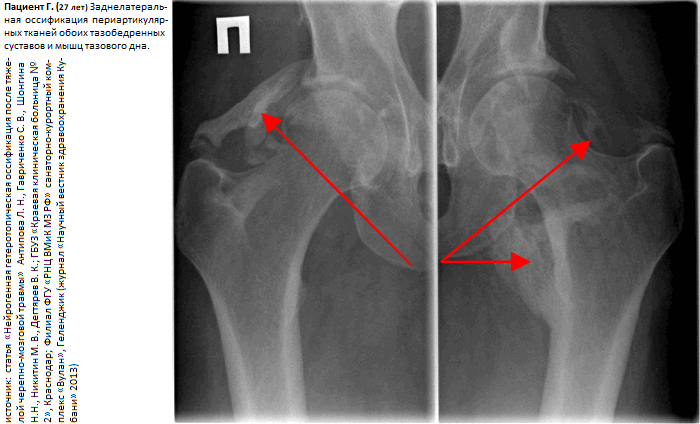
Нейрогенная гетеротопическая оссификация
Гетеротопическая оссификация (ГО) - это появление костных пластин в мягких тканях, в норме не имеющих оссификатов. Появление костной ткани в нетипичных местах чаще всего описывается при травматическом повреждении тканей, в т.ч. и после ортопедических операций. Возникновение оссификатов в неповрежденных тканях у пациентов с поражением центральной нервной системы (ЦНС) классифицируется как нейрогенная гетеротопическая оссификация (НГО).
Употребляется несколько терминов, описывающих данную патологию: генерализованная гетеротопическая оссификация, нейрогенная артропатия, не связанный с травмой оссифицирующий миозит (Мyositis ossificans non-traumatica). Термины «кальцификация и оссификация мышцы», а также «оссифицирующий миозит» имеют в большей степени исторический характер; более правильным является термин «гетеротопическая оссификация».
Наиболее часто НГО встречается при спинальной травме, тяжелой черепно-мозговой травме, инсульте, детском церебральном параличе. Согласно современным литературным данным, встречаемость НГО составляет около 11 - 20 % после тяжелой черепно-мозговой травмы и 20 - 53 % после травмы спинного мозга. В то же время при нетравматической миелопатии НГО диагностируется в 6 - 15 % случаев. НГО после тяжелой черепно-мозговой травмы наиболее часто развивается в периартикулярных тканях тазобедренного сустава, несколько реже - локтевого сустава, еще реже в тканях плеча и области колена.
На сегодняшний момент точные причины возникновения ГО неизвестны (не существует единой теории, объясняющей причину возникновения ГО). К факторам риска развития НГО относят: [ 1 ] пол - у мужчин ГНО встречается чаще (23% против 10% [у женщин]), [ 2 ] молодой возраст (до 30 лет), [ 3 ] продолжительное коматозное состояние, [ 4 ] наличие пролежней. При сочетании травмы головного мозга и переломов конечностей НГО возникает чаще, чем при изолированной травме головного мозга.
Клинический симптомокомплекс НГО включает: [ 1 ] ограничение подвижности сустава, [ 2 ] отечность тканей, [ 3 ] повышение температуры, [ 4 ] болезненность мышц и скомпрометированного сустава. Эктопическая кость формируется обычно в области крупных суставов снаружи от суставной капсулы. Оссификаты локализуются в соединительной ткани между пластами мышц, но не в самих мышцах. Позже развивается анкилоз сустава. Иногда разрастающаяся костная ткань компримирует близлежащие нервы. Для заболевания характерна некоторая стадийность течения в виде нарастания, как правило, на протяжении первых 2-х месяцев после травмы, клинических проявлений и постепенное их стихание. Манифестировавшая симптоматика приводит к ограничению движений в суставе, снижению мобильности пациента и ухудшению качества жизни. В то же время к ограничению движений НГО приводит лишь в 10 - 20% диагностированных случаев.
Диагноз устанавливается на основании [ 1 ] клинического синдрома, [ 2 ] результатах лабораторного исследования и [ 3 ] данных визуализационных методов. Диагностически значимым является повышение в крови уровня щелочной фосфатазы. Для раннего обнаружения эктопической кости в настоящее время используют метод трехфазного сканирования (сцинтиграфия): в области формирования оссификатов в первую фазу исследования наблюдаются локальное усиление кровотока и концентрация в мягких тканях радиоактивных индикаторов. Значимость МРТ подтверждается в ранней диагностике отложения кальция в мышцах и рассматривается как метод выбора для оценки развития заболеваний мышц и сухожилий. Другие визуализационные методы рассматриваются как дополнительные к МРТ. Рентгенография используется как скрининговый метод для выявления ГО, а также переломов и других повреждений костей. Рентгеновская КТ может быть полезна для кросс-секционной оценки аномалий, в том числе, в частности, при диагностике оссифицирующего миозита. Сонография также может применяться для диагностики ГО, но методика зависима от техники и квалификации оператора. В то же время некоторые авторы отмечают значимость рентгеновской КТ-диагностики в ранние сроки заболевания, позволяющей увидеть один из ранних симптомов - «симптом коры», отражающий окостенение по периферии.

Лечение НГО включает назначение [ 1 ] медикаментозных средств, [ 2 ] лечебной гимнастики, [ 3 ] по показаниям - оперативное вмешательство. Из медикаментозных препаратов применяют препараты этидроновой кислоты, уменьшающие частоту и выраженность эктопического костеобразования при минимальных побочных действиях в течение 6 - 9 месяцев (использование бифосфонатов для лечения и профилактики ГО является дискуссионным вопросом). Нестероидные противовоспалительные препараты (НПВП) являются ведущим средством профилактики развития и рецидива ГО. Существует множество данных об эффективности как неселективных ингибиторов ЦОГ-1 и ЦОГ-2 (индометацин, ибупрофен и др.), так и селективных ингибиторов ЦОГ-2 (рофекоксиб, целекоксиб и др.). Важным профилактическим и лечебным средством являются упражнения лечебной гимнастики (пассивные и активные), направленные на сохранение в суставах должного объема движений. Существует широкий спектр точек зрения на ценность и возможность проведения физиотерапии в составе комплексе мер по лечению и профилактике ГО, но убедительных подкреплений какого-либо мнения не существует. В ряде случаев показано оперативное лечение, направленное на удаление либо частичную резекцию оссификата. К осложнениям таких операций относятся кровотечение, инфицирование, а также рецидив оссификации. Рецидивы наблюдаются значительно реже, если операция выполнена после завершения созревания костной ткани. Поэтому оперативные вмешательства выполняют не ранее чем через 12 - 18 месяцев после травмы (показания к оперативному лечению при наличии ГО, и сроки проведения такого лечения остаются спорными). Для предупреждения рецидива после оперативного удаления оссификата иногда применяют лучевую терапию низкими дозами, назначают длительные курсы препаратов этидроновой кислоты. В настоящее время обсуждается вопрос о возможности ингибирования ГО применением препаратов ботулотоксина при развитии ранней спастичности мышц.
Подробнее о НГО в следующих источниках:
статья «Нейрогенная гетеротопическая оссификация после тяжелой черепно-мозговой травмы» Антипова Л.Н., Гавриченко С.В., Шонгина Н.Н., Никитин М.В., Дегтярев В.К.; ГБУЗ «Краевая клиническая больница № 2», Краснодар; Филиал ФГУ «РНЦ ВМиК МЗ РФ» санаторно-курортный комплекс «Вулан», Геленджик (журнал «Научный вестник здравоохранения Кубани» 2013) [читать];
статья «Гетеротопическая оссификация крупных суставов при травмах и заболеваниях центральной нервной системы (обзор литературы)» Г.А. Кесян, Р.З. Уразгильдеев, И.М. Дан, И.Г. Арсеньев; ФГБУ «Центральный институт травматологии и ортопедии им. Н.Н. Приорова» МЗ РФ (журнал «Кремлевская медицина. Клинический вестник» №4, 2015) [читать];
статья «Гетеротопическая оссификация крупных суставов, как осложнение травм и заболеваний центральной нервной системы (обзор литературы)» Кесян Г.А., Уразгильдеев Р.З., Дан И.М., Арсеньев И.Г., Карапетян Г.С.; ФГБУ «НМИЦ ТО им. Н.Н. Приорова» МЗ РФ, Москва (журнал «Вестник Смоленской государственной медицинской академии» №4, 2017) [читать];
статья «Роль МРТ в диагностике и стадировании гетеротопической оссификации тазобедренного сустава на примере клинических случаев» Темникова М.О., Кульнева Т.В.; ЧУ ДПО «ИПКМК», г. Воронеж [читать];
статья «Случай гетеротопической оссификации» О.Г. Зимина, Н.В. Кочергина, Ю.Н. Соловьев, З.И. Токарева, Р.И. Габуния, Н.В. Горлова; НИИ клинической онкологии Российского онкологического научного центра имени Н.Н. Блохина РАМН (журнал «Радиология – практика» №1, 2002) [читать];
статья «Дифференциальная диагностика гетеротопических оссификатов» Епифанова С.В., Сидоренко И.Н. ГБУЗ M «ГКБ № 24 Департамента здравоохранения города Москвы»; Городская клиническая больница, Воронеж (материалы конференции «Лучевая диагностика в онкологии. Новые диагностические лучевые технологии в онкологии» 06-08 ноября 2014) [читать]
Читайте также:
