Остеоартроз большеберцово-таранного сустава: атлас фотографий
Добавил пользователь Евгений Кузнецов Обновлено: 18.12.2025
Артроз голеностопного сустава или артроз большеберцово-таранного сустава, довольно распространённая патология, хотя и уступающая по своей частоте артрозу коленного и тазобедренного суставов. Наиболее частой его причиной становятся перенесённые ранее травмы (в 60% случаев), ещё 10% приходится на идиопатический артроз, остальные 30% разделены между ревматическими болезнями, остеонекрозом, септическим артритом, подагрой и пр.
Переломы лодыжек, одни из самых распространённых переломов костей скелета, часто приводят к нарушению взаимоотношения костей в голеностопном суставе. Изменения геометрии сустава, распределения нагрузок приводят к быстрому износу хряща, сужению суставной щели, субхондральному склерозу и росту остеофитов. При несвоевременном и неадекватном лечении переломы лодыжек могут приводить к формированию артроза голеностопного сустава в течение нескольких лет после травмы.
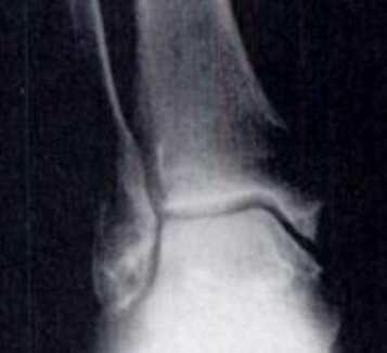
Классификация артроза голеностопного сустава.
Субхондральный склероз и начало роста остеофитов

Сужение суставной щели в медиальной области

Дальнейшее сужение суставной щели в медиальной части сустава до контакта субхондральной кости

Сужение суставной щели в области крыши купола таранной кости до контакта субхондральной кости
Полная облитерация сустава

Симптомы артроза голеностопного сустава.
-Боль при осевой нагрузке (ходьбе, беге)
-Снижение объёма движений (в норме 20 ° тыльного сгибания и 50 ° подошвенного
-Отёк в области голеностопного сустава
-Боль при проверке амплитуды движений при физическом осмотре
-Может быть видимая деформация
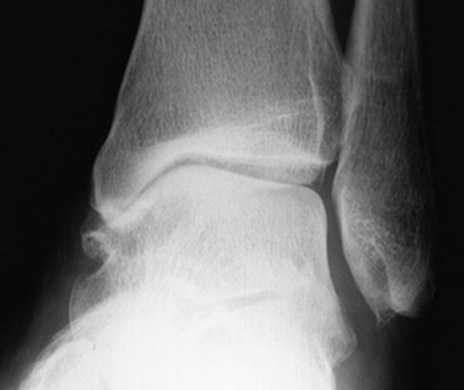
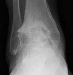
Для диагностие выполняются рентгенограммы в прямой, боковой и косых проекциях, с нагрузкой весом тела. На рентгенограммах определяется сужение суставного пространства, субхондральный склероз, формирование кист, деформация, рост остеофитов.
Лечение артроза голеностопного сустава.
Консервативные меры сводятся к снижению физической нагрузки, использованию ортезов и брейсов, нестероидные противовоспалительные препараты.
Использование ортопедической обуви с разгрузкой голеностопа может полностью снять болевой синдром практически в половине случаев.

При неэффективности консервативных мер показано оперативное лечение.
Дебридмент и экзостозэктомия.
Применяется при начальных стадиях заболевания с явлениями большеберцово-таранного импиджмента. Заключается в удалении свободных хондромных тел, резекции остеофитов по передне-нижнему краю большеберцовой кости и тыльной поверхности таранной кости. Операция может быть выполнена артроскопически.
Надлодыжечная остеотомия.
На стадиях 2, 3А, при относительно сохранном объёме движений и поражении внутренних отделов сустава показана вальгизирующая надлодыжечная остеотомия большеберцовой кости.
Данная операция позволяет разгрузить медиальные отделы сустава и перераспределить осевую нагрузку.


Большеберцово-таранный артродез.
Больше подходит для пожилых малоактивных пациентов, так как сильно нарушает биомеханику ходьбы. Позволяет значительно снизить болевую симптоматику за счёт полного исключения движений в повреждённом суставе. Артродез может быть выполнен с использованием множества различных фиксаторов и методик в зависимости от предпочтений и возможностей оперирующего хирурга. Приводит к быстрому развитию артроза в подтаранном суставе (50% через 10 лет).

Артропластика голеностопного сустава.
Эндопротезирование голеностопа – передовое направление в лечении артроза голеностопного сустава. Для эндопротезирования голеностопа есть много ограничений и противопоказаний: выраженная деформация, выраженный остеопороз, остеонекроз таранной кости, стопа Шарко, выраженная нестабильность голеностопного сустава, ожирение, выраженные нейро-трофические изменения. Современные модели протезов позволяют минимизировать резекцию костной ткани, сохраняют точки прикрепления мышц. За последние 10 лет собраны статистические данные, указывающие на высокую удовлетворённость пациентов, 70-90% хороших и отличных клинических результатаов при соблюдении условий правильного подбора пациентов и техники операций.
После артропластики голеностопного сустава следует период реабилитации. Потребуется ходьба без нагрузки и иммобилизация. Возвышенное положение конечности потребуется на протяжении нескольких месяцев после операции для снижения отёка и болевого синдрома. После снятия швов проводится разработка движений в голеностопном суставе, начинается дозированная осевая нагрузка.
На данный момент на медицинском рынке представлено множество различных моделей голеностопных эндопротезов. Большинство из них являются трёхкомпонентными, то есть состоят из большеберцовой, таранной части и вкладыша из полиэтилена ультравысокой молекулярной плотности.
В большинстве случаев используется передний срединный доступ, между сухожилием передней большеберцовой и длинного разгибателя большого пальца.

Не стоит пытаться уменьшить длину операционного разреза, так как это приводит к высокому натяжению мягких тканей и увеличивает риск некроза краёв раны. Желательно выполнять полнослойный разрез кожи, подкожно-жировой клетчатки и поверхностной фасции с тем, чтобы потом предотвратить миграцию сухожилий под кожу. Для грамотной установки эндопротеза критически важно предоперационное планирование и рентгенологическая навигация во время операции, а также чёткое понимание принципов сухожильной балансировки голеностопного сустава.
К возможным осложнениям артропластики голеностопного сустава относятся инфекция (0,5-3,5%), нарушение чувствительности по тыльной поверхности стопы и голеностопного сустава (21%), интраоперационный перелом внутренней или наружной лодыжки, асептическое расшатывание компонетов эндопротеза (чаще таранного компонента).
Несмотря на все риски и возможные осложнения артропластика голеностопного сустава остаётся одним из самых перспективных методов в лечении артроза голеностопного сустава.

Никифоров Дмитрий Александрович
Хирургия стопы и голеностопного сустава, коррекция деформаций конечностей, эндопротезирование суставов, артроскопическая хирургия, спортивная травма.
Остеофиты коленного сустава

Одним из проявлений гонартроза, обусловленного дегенерацией суставного хряща, являются остеофиты коленного сустава. Костные краевые разрастания, формирующиеся в области апофиза большеберцовой кости, увеличивают площадь, нарушают конгруэнтность суставной поверхности, вызывают стойкий болевой синдром и существенно ограничивают подвижность. И только правильная диагностика и своевременное ортопедическое лечение дают возможность избежать серьезных угроз для здоровья.
Рассказывает специалист ЦМРТ
Дата публикации: 12 Июля 2021 года
Дата проверки: 30 Ноября 2021 года
Содержание статьи
Причины формирования остеофитов
Краевые остеофиты коленного сустава – это следствие ряда последовательных патологических процессов. Спровоцировать пролиферативные изменения (разрастание) может:
- дегенерация (старение) и нарушение плотности костной ткани
- механические повреждения
- суставная нестабильность
- остеоартрит (воспаление субхондральной кости)
- нарушение кальциевого обмена (гормональные и метаболические сбои)
- системные патологии
- отягощенная наследственность (генетические мутации)
- внелегочный туберкулез и другие хронические специфические инфекции
В отдельных случаях причиной возникновения остеофитов коленного сустава становятся опухолевые и метастатические процессы.
Симптомы наличия костных разрастаний на суставных поверхностях
Остеофитоз коленного сустава – это не болезнь, а характерный для артроза рентгенологический симптом. На ранних стадиях развития остеофиты представлены в виде небольших шипов, длиной 1-2 мм. По мере прогрессирования патологического процесса они увеличиваются в размерах, приобретают различные формы, приводят к сужению суставной щели, увеличению головки и впадины коленного сустава.
Изменение количества и размеров костных наростов является типичным маркером прогрессирования болезни. А отсутствие развития рентгенологических симптомов остеофитов коленного сустава указывает на успешность лечения. При наличии костных разрастаний пациенты жалуются на трудности со сгибанием и разгибанием колена, болезненность во время движений. В запущенных случаях боль не отступает и в состоянии покоя, наблюдается отечность, суставная деформация. Если остеофиты сдавливают нервные структуры или глубоко вдаются (застревают) в мышцах, течение заболевания усугубляется.
Стадии остеофитоза
В соответствии с клинико-рентгенологической картиной выделяют 4 стадии развития пролиферативных изменений костной ткани:
- I – сомнительная (нормальная ширина полосы просветления между концами сочленяющихся костей, отсутствие патологических очагов окостенения)
- II – минимальные изменения (единичные экзостозы, незначительное сужение суставной щели)
- III – умеренные проявления (множественные остеофиты, среднее сокращение расстояния между элементами сустава)
- IV – выраженные изменения (отсутствие рентгенологической щели, массивные костные наросты)
Как диагностировать остеофиты?
Для оценки состояния суставного хряща используются методы инструментальной диагностики:
- рентген коленного сустава в прямой и боковой проекции
- артроскопия (малоинвазивная хирургическая манипуляция)
- компьютерная томография
- УЗИ
Самой информативной методикой, позволяющей детализировать костно-хрящевые и прилегающие к ним мышечно-связочные, нервные и сосудистые структуры, является магнитно-резонансная томография. Высокочувствительная технология, практически вытеснившая рентгеновскую артрографию, значительно повышает точность диагностики остеоартроза и, в частности, остеофитоза.
К какому врачу обратиться
Лечением дегенеративно-дистрофических патологий коленного сустава, сопровождающихся кальцификацией менисков и разрастанием остеофитов, занимается ортопед-травматолог.
Артроз дугоотросчатых суставов

Артроз дугоотросчатых суставов (синоним спондилоартроз) – это хроническое заболевание, которое протекает на фоне дегенеративно-дистрофических процессов, разрушающих суставные хрящи позвоночника.
Центральную ось позвоночника помимо тел позвонков и межпозвоночных дисков составляют дугоотросчатые или фасеточные суставы, которые образованы концами суставных отростков (фасеток) двух смежных позвонков. Дугоотростчатые суставы обеспечивают позвоночнику необходимую подвижность и гибкость при поворотах, сгибаниях, разгибаниях, а также ограничивают величину нагрузки на позвоночный столб, ограждая его от излишних движений.
Дата публикации: 13 Июля 2021 года
Причины артроза дугоотросчатых суставов
Выраженность и степень прогрессирования патологических процессов при артрозе дугоотросчатых суставов позвоночника определяется следующими факторами:
- врожденные дефекты суставов позвоночника - артропатии: недоразвитие или асимметричность отростков позвонков, слияние 5 поясничного позвонка с крестцом
- травмы позвоночника
- заболевания позвоночника: остеохондроз, спондилолистез, спондилолиз
- нарушения осанки: сколиоз, кифоз, лордоз
- постоянные перегрузки на позвоночник, связанные с тяжелым физическим трудом, занятием профессиональным спортом
Остеоартроз дугоотросчатых суставов развивается под влиянием следующих факторов:
- пожилой возраст – после 65 лет
- ожирение
- сидячий образ жизни, гиподинамия
- аутоиммунные заболевания
- у женщин – климактерический период
- сахарный диабет, подагра
- несбалансированное питание
Симптомы
Клиническая картина зависит от уровня поражения суставов в том или ином сегменте позвоночника.
Артроз дугоотросчатых суставов шейного отдела – характерные симптомы:
- ограничение амплитуды движения
- боль в шее при длительном нахождении в статической позе, при резких поворотах и наклонах головы с иррадиацией в руки, реже в грудь
- движения головой сопровождаются характерными звуками в виде щелчков и хруста
- расстройство зрения, слуха
- шум в ушах, нарушение координации движения
- онемение различных участков верхних конечностей
В дугоотросчатых суставах грудных позвонков артроз развивается редко. Проявлениями заболевания могут служить появление скованности, болей в груди. В запущенной стадии возможно расстройство дыхания за счет ограничения экскурса грудной клетки.
Клиника артроза дугоотросчатых суставов поясничного отдела позвоночника:
- утренняя скованность, ограничение движения в пояснице
- боль чаще ноющая, усиливающаяся при движении корпуса. На поздних стадиях заболевания болевой синдром носит упорный мучительный характер
- мышечный гипертонус и отечность мягких тканей в проекции расположения пораженного сустава
- иногда отмечаются слабость, онемение и боли в нижних конечностях
Стадии развития
I стадия. Хрящевая ткань при дистрофии постепенно начинает утрачивать свою эластическую структуру. Гиалиновый хрящ, покрывающий суставные сочленения, вместо гладкого и блестящего становится тусклым и неровным. Симптоматика этой стадии заболевания настолько незначительна, что больные не обращают на нее внимания.
II стадия. На рентгене – сужение суставной щели, появление краевых остеофитов (костных разрастаний). На хрящевых пластинах – трещины. Появляются утренние боли в позвоночнике в зависимости от уровня поражения.
III стадия. Выраженная деформация дугоотросчатых суставов происходит за счет повреждения связочного аппарата позвоночника, который призван обеспечивать стабильность позвоночного столба. На рентгене – практически отсутствует межсуставная щель, массивное разрастание остеофитов. Движения в пораженном сегменте затруднены. Боль становится постоянной.
IV стадия. Хрящ полностью разрушен. Больной испытывает сильные мучительные боли.
Как диагностировать
При постановке диагноза учитываются жалобы больного, течение заболевания, данные клинического осмотра, результаты лабораторных и инструментальных исследований.
С помощью рентгенографии выявляют изменения костных тканей фасеточных суставов, сужение суставной щели, наличие остеофитов.
МРТ обнаруживает повреждение хрящевой ткани, показывает состояние связок, сосудов, нервных окончаний.
Лечением заболеваний позвоночника занимаются врачи разных специальностей: ортопеды, травматологи, неврологи, ревматологи, вертебрологи – в зависимости от выявленной при диагностике патологии.
Артроз таранно-ладьевидного сустава

Артроз таранно-ладьевидного сустава вызывают травмы и повышенные нагрузки на голеностоп у людей старше 20-летнего возраста. Характеризуется повреждением и быстрым износом суставного хряща, в результате возникают деформации, воспаления сустава, болевой синдром. Лечение длительное, но при его отсутствии патология вызывает потерю свободного передвижения, дальнейшую инвалидность.
Причины возникновения артроза
Главной причиной артроза голеностопа служат травматические повреждения хряща таранно-ладьевидного сочленения — растяжения, ушибы, переломы. Иные факторы, приводящие к патологическому состоянию:
- врожденные и приобретенные аномалии развития стопы
- первичный, посттравматический остеоартроз
- патологии костно-хрящевой ткани
- воспалительные, инфекционные поражения суставов
- аутоиммунные заболевания
- асептический некроз таранной кости
- излишняя масса тела
Симптомы патологии
Патология характеризуется снижением эластичности хрящевой ткани, негативными изменениями сочленения и связочного аппарата. Страдает амортизация стопы, нарушается походка, теряется основная опорная функция.
Клиническая картина проявляется следующими признаками:
- болью в области голеностопа различной интенсивности в движении и покое
- возникновением воспалительного процесса сустава и окружающих мягких тканях
- отечностью, тяжестью, скованностью движений
- хрустом или щелчками при движении;
- деформацией стопы, потерей подвижности пальцев
- хромотой, быстрой усталостью ног от ходьбы
Симптоматика возрастает в зависимости прогрессирования и перехода артроза таранно-ладьевидного сустава 1 степени во вторую. При обнаружении дискомфорта и настораживающих симптомов необходимо записаться на консультацию к врачу.
Стадии развития артроза
Начальный артроз (остеоартроз) таранно-ладьевидных суставов 1 степени проявляется болью после нагрузок, исчезающей в состоянии покоя. Видимых изменений состояния стопы нет, периодически возникает дискомфорт и утомляемость конечностей.
Артроз таранно-ладьевидного сустава 2 степени характеризуется появлением остеофитов, ограничением объема движений, отечностью, болью. Появляется хромота, частичная утрата опорной функции.
Третья, хроническая стадия патологии — наблюдаются деформация стопы, разрушение хрящевой ткани, сращивание суставной щели и полное обездвиживание стопы.
Первая и вторая стадия поддаются консервативному лечению, на запущенной третьей стадии показано оперативное вмешательство.
Патологию диагностируют на основании жалоб пациента, лабораторных анализов и аппаратной диагностики. Симптоматика схожа с другими заболеваниями суставов стопы, для уточнения диагноза назначают:
- рентген
- КТ
- МРТ – наиболее результативный метод диагностики и оценки состояния хрящевой и окружающих тканей, показывает размеры и локализацию воспалительного процесса, наличие остеофитов, просвет суставной щели
При подозрении на заболевания голеностопа в первую очередь записываются на прием к травматологу-ортопеду. В зависимости от причины возникновения артроза может понадобиться расширенная консультация ревматолога, хирурга. Реабилитацию после лечения проводят физио- и мануальный терапевт, инструктор лечебной физкультуры.
Остеоартроз (остеоартрит) - симптомы и лечение
Что такое остеоартроз (остеоартрит)? Причины возникновения, диагностику и методы лечения разберем в статье доктора Фомичева Артура Андреевича, ортопеда со стажем в 9 лет.
Над статьей доктора Фомичева Артура Андреевича работали литературный редактор Елена Бережная , научный редактор Сергей Федосов
Определение болезни. Причины заболевания
Остеоартроз (артроз) — заболевание суставов, характеризующееся дегенеративным изменением покрывающего кость хряща, проще говоря, его разрушением.

Подавляющее число поражаемых суставов — это коленный, тазобедренный, плечевой и первый плюсне-фаланговый. Поражение других суставов встречается намного реже и часто является вторичным. Остеоартроз поражает 12% трудоспособного населения только европейской части Российской Федерации, причем в последние годы вызванная им нетрудоспособность выросла в 2 раза. [1]
Артрит и артроз: в чём разница
Различий нет, и то и другое название корректное. В зарубежных руководствах болезнь называют остеоартритом (ОА).
Причины артроза
Как и у любого заболевания, у остеоартроза также имеются факторы риска его развития, которые и сегодня активно изучаются, и список ежегодно расширяется. [5]
Основными факторами риска артроза принято считать:
- нарушения обмена веществ;
- повышенный вес тела;
- неполноценное и нерегулярное питание;
- артрит (воспалительный процесс в суставе);
- очаги хронической инфекции или воспаления (например, хронический тонзиллит).
- варикозное расширение вен нижних конечностей.
Артроз у детей
У детей заболевание встречается редко. В основном оно возникает при тяжёлых остеохондропатиях, например при болезни Пертеса, и протекает с сильной болью. Тактика лечения такая же, как у взрослых, но с акцентом на органосохраняющую хирургию.
При обнаружении схожих симптомов проконсультируйтесь у врача. Не занимайтесь самолечением - это опасно для вашего здоровья!
Симптомы остеоартроза
Общие симптомы артроза включают:
- боль во время нагрузок;
- ограничение движений в суставе;
- чувство скованности по утрам, чувство «хруста»;
- боль после долгого отдыха (так называемая «стартовая»).
Суставные боли при артрозе редко бывают острыми, чаще ноющего или тупого характера, как правило, прекращающиеся во время покоя. Симптомы часто носят волнообразный характер, могут возникать и прекращаться без попыток лечения. Они могут быть незначительными, умеренными или тяжелыми. Жалобы при остеоартрозе могут оставаться примерно одинаковыми в течение многих лет, но со временем прогрессируют, и состояние ухудшается. Незначительные и умеренные симптомы возможно контролировать на одном уровне, а вот тяжелое течение заболевания может привести к хронической боли, неспособности выполнять ежедневные бытовые действия, что влечет за собой и потерю трудоспособности, вплоть до инвалидизации.
Патогенез остеоартроза
Основной питательной средой сустава является синовиальная жидкость. Она же выполняет и роль смазывающего агента между суставными поверхностями. Огромную и главную роль в развитии остеоартроза отводят метаболическим процессам в суставе и в его структурах. На начальной стадии, когда развиваются биохимические нарушения в синовиальной жидкости, ее свойства снижаются, что запускает механизм разрушения. Первой под удар попадает синовиальная оболочка сустава, которая выполняет важную роль мембраны и является подобием фильтра для самого главного питательного вещества хряща — гиалуроновой кислоты, не давая ей покинуть ее основное место работы — полость сустава. Насыщенность свойств суставной жидкости определяет ее циркуляция, чего без регулярного движения самого сустава быть не может. Отсюда и известная фраза «движение — это жизнь». Постоянная циркуляция синовиальной жидкости в полости сустава — залог полноценного обмена веществ в нем. При недостатке питательных веществ хрящ истончается, образование новых клеток останавливается, суставная поверхность становится неровной, грубой, с участками дефектов. Известна взаимосвязь между заболеваниями вен нижних конечностей (например, варикоз) и развитием нарушений обмена веществ в суставах, преимущественно коленных. [6] Костная структура, находящаяся под хрящевой, отвечает на процесс компенсаторным механизмом — она утолщается, становится грубее и расширяет зону покрытия, в результате чего образуются экзостозы и остеофиты, что и является основной причиной ограничений и деформаций сустава. Синовиальная жидкость насыщается клетками воспаления и элементами распада, суставная капсула в ответ на это утолщается, становится грубой и теряет эластичность, мягкие ткани буквально становятся сухими (происходит их дегидратация), отсюда и жалобы на утреннюю скованность, «стартовые боли». Патологический процесс в последних стадиях провоцирует организм включить последний компенсаторный механизм — обездвиживание. В состоянии покоя и так называемом физиологическом положении болезненность минимальна, связочный аппарат максимально расправлен. В таком положении сустав стремится зафиксироваться, и ему это удается быстрым образованием более грубых экзостозов, которые «фиксируют» сустав, а пациент при этом теряет способность полноценно двигать им. Мышцы такой конечности гипотрофируются, становятся слабее и меньше. Такие изменения уже считаются необратимыми.
Классификация и стадии развития остеоартроза
Разделяют заболевание на 2 большие группы: первичный (или идиопатический) и вторичный.
Первичная и вторичная форма артроза
Первая группа развивается в результате либо неясной причины, либо в результате возрастных изменений. Вторая характеризуется четкими причинами и развивается в результате их патологического процесса (например, на фоне туберкулеза, рассекающего остеохондрита, субхондрального некроза и т.д.)
Стадии артроза
Независимо от причин, которые явились фактором развития остеоартроза, различаются 4 стадии его развития:

1 стадия: твердые структуры сустава в процесс разрушения не вовлекаются, имеются начальные изменения в его мягких структурах и в составе суставной жидкости (которая является питательной средой и снижающей трение сустава), происходит нарушение питания сустава.
2 стадия: сопровождается «запуском» механизма разрушения твердых структур сустава, образуются краевые твердые образования (экзостозы, остеофиты). Умеренные жалобы на изменения в объеме движений.
3 стадия: сопровождается сужением суставного просвета, выраженным разрушением нагружаемой поверхности с образованием костно-хрящевых дефектов, выраженным ограничением движений, постоянным чувством «хруста» при движении, начальными изменениями оси конечности.
4 стадия: тяжелая, при которой движения выраженно ограничены в суставе вплоть до полного его отсутствия (анкилоз), выраженным воспалительным процессом, его деформацией, образованием костных дефектов (в результате полного отсутствия хрящевого покрова).
Классификация артроза по локализации
Выделяют следующие виды артроза:
- пателлофеморальный артроз (поражение надколеннико-бедренного сочленения );
- артроз голеностопного сустава и суставов стопы; ; ;
- артроз челюстно-лицевого сустава;
- остеоартроз акромиально-ключичного сочленения;
- артроз локтевого сустава;
- остеоартроз кистей;
- дегенеративные изменения суставов позвоночника (вертебральный артроз).
Все перечисленные виды артроза проявляются болью и нарушением функции сустава. Специфических симптомов для каждой локализации нет.
Осложнения остеоартроза
Без лечения любое заболевание дает осложнения, и артроз не исключение. Если это первичная форма, то к основным осложнениям относятся:
- повреждения мягких структур сустава (дегенеративные разрывы менисков, разрывы связок и т. д.);
- хронический воспалительный процесс;
- анкилоз (полное отсутствие движений в суставе);
- деформация сустава.
Если это вторичная форма, то осложнения зависят от процесса, вызвавшего развитие артроза. Например, это может привести к остеопорозу, хроническому заболеванию, которое характеризуется прогрессирующим нарушением обмена веществ в костной ткани. Вследствие этого кости становятся хрупкими, нарушается их питание, в итоге остеоартроз осложняется угрозой внутрисуставных переломов. Поэтому так важно обратиться к врачу своевременно. Как писал выдающийся русский хирург Н.И.Пирогов: «Будущее принадлежит медицине профилактической».
Диагностика остеоартроза
Диагностика артроза часто начинается с врача (как правило, это травматолог-ортопед) медицинской помощи первого звена (поликлиники), где выполняется клинический осмотр и интерпретируются данные обследования (КТ, МРТ, рентгенограммы и т.п.), чтобы определить степень и тип остеоартроза. Диагностика и постановка диагноза обычно не вызывают затруднений. Если диагноз неясен или врач предполагает вторичное развитие заболевания, то для уточнения пациент направляется к врачам других специальностей (например, ревматологу). Поставить степень артроза без результатов обследования очень затруднительно. Важным для постановки диагноза и определения тактики лечения является также история заболевания, способы и попытки лечения, так как перед врачом часто стоит сложная задача дифференциальной диагностики (например, симптомы артроза и артрита часто совпадают).
Анализы и другие виды обследований
Ревмопробы, общий и биохимический анализы крови назначают для дифференциальной диагностики. Чтобы выявить артроз, достаточно КТ, МРТ и рентгенограммы.
Лечение остеоартроза
На начальных стадиях остеоартроз поддается консервативному лечению при условии комплексного подхода. Лечение требует длительного времени и преследует основную цель: либо остановить процесс разрушения на той стадии, на которой начато лечение, либо этот процесс замедлить. Комплекс включает в себя медикаментозное и немедикаментозное лечение.
Медикаментозная терапия
Для лечения артроза применятся противовоспалительная терапия (либо прием внутрь, либо местно в виде гелей или крема), хондропротективная терапия (приём препаратов на основе хондроитина сульфата и глюкозамина) и внутрисуставные инъекции (это могут быть как гомеопатические препараты, так и препараты гиалуроновой кислоты). Хондропротекторы до сих пор применяются врачами-травматологами-ортопедами на территории РФ и СНГ, их назначают курсами внутрь, однако результаты последних научных исследований западных стран опровергают положительное действие в сравнении с эффектом плацебо. [2]
Физиотерапия
При лечении артроза чаще всего применяется фонофорез и магнитотерапия.
Упражнения при артрозе
Полезна любая активность, не вызывающая боль. Особенно эффективны плавание, ЛФК, пилатес, тайчи, цигун, йога и изометрические упражнения.
Массаж при артрозе
Массаж может быть полезен, так как улучшает лимфодренаж. Однако во многих руководствах по лечению артроза такого пункта нет.
Нужно ли соблюдать диету при артрозе
Специальная диета при артрозе не требуется. Достаточно отказаться от продуктов, которые приводят к набору лишнего веса.
Наколенники при артрозе
При выборе наколенников нужно определить, какая нестабильность в суставе. Чем она больше, тем жёстче должен быть фиксатор.
Народные средства лечения артроза
Эффективность лечения артроза народными методами научно не доказана. Без адекватной терапии заболевание может привести к осложнениям: разрыву менисков и связок, хроническому воспалению, остеопорозу, деформации и полному отсутствию движений в суставе.
Хирургическое лечение артроза
При выраженных симптомах и тяжелых стадиях консервативное лечение становится неэффективным, что ставит на первое место лечение оперативное. Учитывая показания, это может быть как малоинвазивное лечение — артроскопия, так и эндопротезирование. При артроскопии (эндоскопии сустава) выполняется его санация под контролем видео-оптики, производится удаление экзостозов (при возможности) и повреждения мягких структур, что при таких стадиях наблюдается достаточно часто. Однако в последнее время пользу от такого вида вмешательства при остеоартрозе все чаще стали ставить под сомнение, так как оно не имеет должного эффекта при хронической боли, [3] а в ряде случаев и может нанести значительный вред при некачественном выполнении. [4]
Эндопротезирование – технически сложная и тяжелая операция, цель которой — создать искусственный, полностью новый сустав. Требует четких показаний и определения рисков при наличии противопоказаний. Сегодня успешно используются эндопротезы для коленного, тазобедренного и плечевого суставов. Дальнейшее амбулаторное наблюдение врачом снижает риски и сроки реабилитации, улучшает качество и эффективность выполненной операции.
Прогноз. Профилактика
Прогнозирование зависит от своевременного обращения к врачу-травматологу-ортопеду и начала комплекса лечения. В плане ликвидации морфологических изменений при остеоартрозе прогноз неблагоприятный, так как полностью восстановить хрящевую структуру сустава невозможно. В пожилом возрасте течение заболевания более тяжелое, чем в молодом. Однако при своевременном обращении к врачу и соблюдении всех рекомендаций можно добиться устранения всех жалоб и восстановить полноценную двигательную функцию сустава.
- Регулярная двигательная активность. Ошибочно мнение, что физическая активность способна «изнашивать» сустав. [7] Повышенная – да, но не регулярная и умеренная. По последним данным, любая активность, направленная на укрепление и поддержание мышечной массы, на улучшение координации, поддерживает двигательную функцию суставов и их кровоснабжение. Любая двигательная активность позволяет добиться регулярной циркуляции суставной жидкости, которая является основным источником питания для сустава и его структур. Известно, что люди, ежедневно пользующиеся общественным транспортом и имеющие пешие нагрузки, реже подвержены развитию остеоартроза.
- Контроль веса тела и адекватное его снижение. Повышенная масса увеличивает нагрузку на суставы нижних конечностей и позвоночника. Поэтому в любой протокол реабилитации и консервативного лечения остеоартроза включен курс ЛФТ (лечебной физкультуры и гимнастики).
- Коррекция и устранение врожденных деформаций. Важную роль отводят плоскостопию, с годами приводящему к нарушению оси ног, что за собой влечет повышенную непропорциональную нагрузку на отдельные участки суставов и позвоночника, деформируя их.
- Полноценное питание. Оно позволяет создать условия для полноценного обогащения сустава питательными веществами. Поэтому отказ от большого ряда продуктов, частые диеты, нерегулярное питание бедной веществами пищей (фастфуд и т.п.) может стать «пусковым механизмом» для развития остеоартроза.
- Своевременное устранение сопутствующих заболеваний. Ныне забытые диспансеризации, которые во времена СССР были обязательными, позволяли своевременно выявить и устранить заболевания еще на начальной стадии. Сопутствующие заболевания могут быть весомой причиной развития и прогрессирования артроза (например, заболевания эндокринной системы, органов ЖКТ, хронические очаги инфекций или воспаления).
Дают ли при артрозе инвалидность
Чтобы получать пенсию и социальные выплаты по инвалидности, необходимо пройти медико-социальную экспертизу (МСЭ). Инвалидность при артрозе положена, если на обследовании выявлены заметные ограничения в подвижности сустава и больной не может себя обслужить в быту.
За дополнение статьи благодарим Никиту Геращенко — травматолога, ортопеда, научного редактора портала « ПроБолезни » .
Читайте также:
