Остеосаркома основания черепа - лучевая диагностика
Добавил пользователь Владимир З. Обновлено: 09.01.2026
Остеосаркома (или остеогенная саркома), которую еще иногда не совсем правильно называют раком кости, — самая распространенная злокачественная опухоль костной системы.
Некоторые цифры и факты:
- В большинстве случаев остеосаркому диагностируют в молодом возрасте — от 10 до 30 лет.
- Наиболее высока распространенность заболевания среди подростков, но это не означает, что не могут заболеть люди другого возраста.
- Каждый десятый случай остеогенной саркомы встречается у людей старше 60 лет.
- Среди прочих онкологических заболеваний остеосаркома встречается редко. У детей она составляет 2% от всех видов рака, у взрослых — еще меньше.
Чаще всего остеосаркома встречается там, где находятся зоны роста — ближе к концам длинных трубчатых костей. Излюбленные места локализации опухоли: область колена (нижний конец бедренной и верхний конец большеберцовой кости), верхняя часть плечевой кости. Намного реже встречаются поражения других костей: таза, челюстей и др. Редкие локализации в большинстве случаев обнаруживают у людей старшего возраста.
Почему возникает остеосаркома?
Точные причины возникновения опухоли не известны. Но существуют некоторые факторы риска:
- Возраст. В группе максимально высокого риска подростки и молодые люди, у которых кости интенсивно растут.
- Рост. Обычно люди, у которых возникает саркома, имеют рост выше среднего.
- Облучение костей. Риски повышены у людей, которые перенесли курс лучевой терапии высокими дозами, особенно если это было в детстве. Влияние рентгенографии и компьютерной томографии не доказано.
- Некоторые заболевания костей: болезнь Педжета, множественная наследственная остеохондрома.
- Некоторые наследственные патологии: наследственная ретинобластома, синдром Ли-Фраумени, синдром Ротмунда-Томсона, синдром Блума, синдром Вернера.
Среди факторов риска для многих онкозаболеваний большое значение имеют особенности образа жизни: масса тела, вредные привычки, характер питания, физическая активность. Можно сказать, что остеосаркома — в данном случае исключение. Для того чтобы образ жизни внёс свою лепту в возникновение злокачественной опухоли, должны пройти десятилетия, а рак костей, как мы уже знаем, наиболее распространен среди молодых людей.
Симптомы остеосаркомы
Чаще всего встречается остеогенная саркома бедренной и большой берцовой кости — в области коленного сустава. Типичный симптом заболевания — упорные боли в суставе, кости. Иногда они постоянные, а иногда то стихают, то нарастают. Болевые ощущения могут усиливаться по ночам, во время физической активности (при ходьбе, беге, занятиях спортом). Если поражена нога, человек начинает хромать.

В области опухоли можно обнаружить отек или нащупать «шишку», уплотнение. Несмотря на то что опухолевая ткань ослабляет кость, переломы случаются не так часто.
Дети, особенно маленькие, физически активны, они часто падают, ударяются, поэтому у них первые симптомы остеосаркомы легко спутать с травмой. У взрослого человека, особенно если он не занимается спортом и тяжелым физическим трудом, подобные проявления сразу должны насторожить и стать причиной для визита к врачу.
Остеосаркома челюсти чаще всего встречается в возрасте 20–40 лет, то есть в среднем на 10 лет позже, чем «обычные» остеосаркомы. Проявляется в виде болей, припухлости, деформации зубов. Иногда опухоль затрудняет глотание, дыхание.
Какие выделяют стадии остеосаркомы?
Существуют разные классификации, чаще всего врачи определяют стадию остеосаркомы в соответствии с системой MSTS. Учитывают три показателя:
- G — степень озлокачествления. Может быть низкой (G1), когда ткань опухоли похожа на нормальную, и более агрессивной высокой (G2), в которой клетки практически полностью утратили первоначальные черты.
- T — степень распространения опухоли. Она может находиться в пределах кости (T1) или прорастать в соседние ткани (T2).
- M — наличие метастазов. M0 — метастазов нет, M1 — есть.
Другая классификация — AJCC, она учитывает распространение первичной опухоли (T), метастазы в ближайших лимфатических узлах (N), метастазы в других частях тела (M) и степень озлокачествления (G).
Методы диагностики
По симптомам можно только заподозрить рак кости или другое заболевание. Для того чтобы получить точный диагноз, врач назначит обследование, которое может включать:
- Рентгенографию. Быстрый и простой метод диагностики, в некоторых случаях помогает сразу констатировать опухоль. Если есть подозрение на метастазы в легких, проводят рентген грудной клетки.
- Магнитно-резонансная томография (МРТ) и компьютерная томография (КТ) помогают более детально рассмотреть опухоль, обнаружить прорастание в соседние ткани.
- Позитронно-эмиссионная томография. В организм вводят слабое радиоактивное вещество в безопасных дозах, которое сильнее всего накапливается в опухолевых клетках. Затем делают снимки. Это позволяет не только рассмотреть основную опухоль, но и обнаружить метастазы в разных частях тела.
- Общий и биохимический анализы крови. Применяют как дополнительный метод диагностики, чтобы оценить общее состояние человека. Также они могут косвенно указывать на степень агрессивности опухоли.
- Биопсия. Самый точный метод диагностики. Её применяют всегда, даже если другие исследования уже убедительно показывают, что у пациента есть рак кости. Биопсия помогает установить окончательный диагноз, отличить остеосаркому от других опухолей, определить степень озлокачествления. Врач может взять образец ткани при помощи иглы или через разрез.

Как проводят лечение остеосаркомы?
Лечение остеосаркомы состоит из трех этапов.
Начинают с курса предоперационной, или неоадъювантной, химиотерапии. В среднем он продолжается 10 недель. Назначают комбинацию нескольких препаратов — это помогает усилить эффект. Задачи неоадъювантной химиотерапии: уменьшить размер остеосаркомы и уничтожить метастазы. Благодаря предоперационной химиотерапии и современным химиопрепаратам, выживаемость при остеосаркоме в последние годы значительно улучшилась.

Затем следует хирургическое лечение. В прошлом единственным выходом была ампутация пораженной руки или ноги. Современные хирурги чаще всего могут обойтись удалением части кости или сустава. Их можно заменить на специальный протез и практически полностью восстановить функцию конечности. Операции при остеосаркоме стали более щадящими.
Послеоперационный курс химиотерапии (адъювантная) нужен для того, чтобы удалить раковые клетки, которые могли остаться в организме после хирургического вмешательства. В среднем он продолжается 18 недель, иногда дольше.
Как лечить рецидив остеогенной саркомы? В целом схема лечения примерно та же — операция, курс химиотерапии. После рецидива прогноз намного хуже, но все еще есть шанс на выздоровление.
Прогноз при остеосаркоме
Прогнозы для онкобольных выстраивают на основе особого показателя — пятилетней выживаемости. Он обозначает процент пациентов, которые остались живы в течение пяти лет с момента установления диагноза. Конечно, многие живут и дольше. Пять лет — условный рубеж, после которого можно с достаточно высокой вероятностью предполагать, что человек выздоровел.

Наиболее благоприятен прогноз в случаях, когда опухоль локализованная — то есть не успела распространиться по организму и может быть полностью удалена во время операции. Пятилетняя выживаемость составляет 60–80%, а если опухоль чувствительна к современным таргетным препаратам — до 90%.
Если есть метастазы остеосаркомы, прогноз сильно ухудшается. Пятилетняя выживаемость падает до 15–30%. Но она может быть выше, в пределах 40%, если:
- рак успел распространиться только в легкие;
- все метастазы можно обнаружить и удалить.
Метастазы остеосаркомы чаще всего обнаруживают в легких, реже в костях, головном мозге и других местах.
Зачастую прогноз ухудшается из-за того, что человек не обратил внимания на первые симптомы и не посетил вовремя врача. Если есть хотя бы малейшее подозрение на рак, если возникли любые необычные симптомы — лучше сразу перестраховаться и пройти обследование. Иногда от этого зависит жизнь. Запишитесь на прием к врачу-онкологу, звоните:
Остеосаркома
Остеосаркома — это злокачественная опухоль, произрастающая из клеток костной ткани. Это очень редкий вид новообразования, большинство видов которого характеризуется быстрым ростом и агрессивным течением. Остеосаркому не надо путать с метастазами в кости, поскольку те являются результатом распространения новообразований, первично развившихся в других органах.
Главной особенностью остеосаркомы является то, что ее клетки способны производить костную ткань, но она является незрелой. Из нее не может образовываться основное костное вещество, и в ней не происходит кальцинирования. Эта черта отличает остеосаркомы от других злокачественных и доброкачественных опухолей костей.
Что касается эпидемиологии, то частота заболеваемости составляет 10-26 случаев на 1 млн человек в год. Чаще страдает мужское население. Соотношение мужчин и женщин 1,36/1. Имеется два пика подъема заболеваемости. Первый приходится на возраст 10-14 лет, а второй на возраст старше 40 лет. Очень редко новообразование регистрируется у детей младше 5 лет.
Остеосаркома может поражать абсолютно любые кости, но чаще всего опухоль диагностируют в длинных трубчатых костях конечностей в местах так называемой «ростовой пластики» — метафизе.
Остеосаркомы плоских костей чаще наблюдаются у людей старшей возрастной группы. При этом, в основном страдает кость нижней челюсти и кости таза. Могут поражаться и позвонки.
Причины возникновения
Причины возникновения саркомы костей пока изучены недостаточно. Раньше считалось, что спровоцировать развитие опухоли могут травмы, но на сегодняшний день многие врачи склоняются к мнению, что травма только способствует скорейшему росту уже образованной остеосаркомы, но не ее возникновению.
Возможными предрасполагающими факторами являются:
- Воздействие ионизирующего излучения. Например, прохождение лучевой терапии. В этом случае остеосаркомы могут развиваться через несколько лет от момента завершения терапии.
- Наличие инородных тел в кости — импланты, ортопедические конструкции.
- Есть данные, что риски развития остеосаркомы выше у детей, у которых масса тела при рождении превышала 4046г, а также у людей с ростом выше среднего.
- Наличие генетических синдромов — врожденная ретинобластома, синдром Ротмунда-Томпсона, синдром Ли-Фраумени и др.
- Наличие доброкачественных новообразований костей — фиброзная дисплазия, костные кисты.
Однако чаще всего опухоль возникает de novo, без каких-либо предрасполагающих факторов.
Симптомы
Нарастание симптоматики при саркоме происходит постепенно. Сначала пациенты отмечают боль в области локализации опухоли. Она может быть сходна с болью при артритах, миозитах и миалгиях, усиливается по ночам или после физических нагрузок. Но в отличие от вышеперечисленных заболеваний, она со временем не ослабевает, а наоборот, усиливается.
Постепенно размеры новообразования увеличиваются, и в процесс вовлекаются мягкие ткани. Над местом поражения возникает припухлость. Кожа в этой области может быть покрасневшей, с усиленным венозным рисунком. В запущенных стадиях на ней образуются изъязвления.

При возрастании объема поражения, развиваются ограничения объема движения в пораженном сегменте скелета. Кроме того, может образовываться внутрисуставной выпот, патологические переломы (которые возникают без существенных нагрузок). На последних стадиях заболевания присоединяется потеря массы тела, вплоть до кахексии.
Диагностика
Для диагностики остеосаркомы используются следующие методы обследования:
- Клинический осмотр и сбор анамнеза.
- Рентгенологические исследования.
- Лабораторные исследования.
Во время осмотра доктор обращает внимание на локализацию боли, на изменения конфигурации пораженного сегмента, кожной гиперемии и венозного рисунка. Также отмечают наличие или отсутствие ограничений движения в пораженных конечностях.
Далее пациента направляют на рентгенологическое исследование. Это может быть простой рентген или компьютерная томография. В пользу остеосаркомы говорят следующие признаки:
- Очаг костной деструкции.
- Опухоль со смазанными границами, в которой может обнаруживаться облаковидный паттерн из-за неравномерной оссификации.
- Периостальные реакции, которые на снимках выглядят как козырек или отслоение надкостницы.
- Игольчатый периостит — тонкие костные образования (их называют спикулами), которые идут перпендикулярно к кости, создавая картину «солнечных лучей».
С помощью компьютерной томографии более точно оценивают размеры новообразования, место его локализации и вовлеченность соседних мягких тканей (мышц, сухожилий, синовиальных оболочек). Также с ее помощью можно обнаружить скип-метастазы — близкорасположенные или прыгающие метастазы. С помощью МРТ оценивается вовлеченность в процесс костного мозга.
Для окончательной постановки диагноза и определения вида остеосаркомы, необходимо провести морфологическое исследование. Для этого с помощью биопсии берут небольшой фрагмент новообразования и направляют его в лабораторию для специального исследования.
Также в рамках диагностики осуществляют поиск отдаленных метастазов. Как правило, ограничиваются костями, легкими и головным мозгом, поскольку изолированное метастазирвание в другие органы встречается крайне редко. Для обследования легких и головного мозга проводят спиральную КТ. Для поиска метастазов в других костях скелета применяют сцинтиграфию или ПЭТ.
Лечение
Как правило, остеосаркома требует комплексного подхода в лечении, и с этой целью применяется хирургия, химиотерапия и лучевая терапия. Хирургия, как самостоятельный метод лечения, применяется только при низкозлокачественных остеосаркомах, например, при хондросаркоме. Если же опухоль высокозлокачественная, помимо операции потребуется длительный курс химиотерапии, чтобы уничтожить возможные метастазы и предотвратить их возникновение.
Хирургическое лечение
Как мы уже говорили, операция является краеугольным камнем в лечении большинства видов остеосарком. Стандартом является радикальное иссечение опухоли в пределах здоровых тканей. С этой целью проводят вмешательства в следующих объемах:
- Ампутации — полное удаление пораженной конечности или фрагмента скелета.
- Экзартикуляция — вычленение пораженного сегмента по линии суставной щели. При этом опиливание костей не производится.
- Органосохраняющие вмешательства.
На сегодняшний день, по возможности, стараются провести органосохраняющее лечение, например, удаление пораженного фрагмента кости с последующей костной пластикой или эндопротезированием сустава. В качестве костной пластики используются либо синтетические материалы, либо собственные костные ткани пациента, взятые из другого отдела скелета. При лечении детей используют растущие эндопротезы.
К сожалению, органосохраняющее лечение удается провести не всегда. Противопоказанием к нему служат:
- Наличие патологических переломов с сильным болевым синдромом.
- Обширное вовлечение в процесс мягких тканей, в частности мышц.
- Распад опухоли.
- Вовлечение в процесс кровеносных сосудов и нервных стволов на большом протяжении.
- Кровотечение из вовлеченных кровеносных сосудов.
- Наличие инфекционных осложнений со стороны опухоли.
- Наличие массивного обсеменения злокачественными клетками костных тканей.
- Выраженные симптомы интоксикации.
При обнаружении одиночных метастазов, также проводят их хирургическое удаление. Если имеются одиночные очаги в легких, проводят торакотомию, однако во время операции требуется тщательная пальпация обоих легких, поскольку есть высокая вероятность обнаружения большего количества метастазов, чем те, которые были выявлены лучевыми методами диагностики.
Лучевая терапия
Некоторые остеосаркомы (саркома Юинга) являются радиочувствительными. При их лечении можно избежать операции и ограничиться облучением и химиотерапией. Но большинство костных опухолей резистентны к лучевому воздействию, поэтому данное лечение применяется только на распространенных стадиях для уменьшения болевого синдрома.
Химиотерапия
Химиотерапия имеет большое значение при лечении высокозлокачественных остеосарком. Ее назначают в неоадъювантных и адъювантных режимах, и у большинства пациентов продолжительность лечения может достигать 12 месяцев.

Неоадъювантная химиотерапия проводится в течение нескольких недель перед операцией. Ее целью является уменьшение размеров опухоли, создание условий для радикальной операции и определение индивидуальной химиочувствительности остеосаркомы. Последний момент является очень важным для определения прогноза заболевания.
Послеоперационная химиотерапия проводится в течение нескольких месяцев после удаления опухоли. Используются полихимиотерапевтические схемы, включающие в себя адриамицин, метотрексат в высоких дозах совместно с фолиевой кислотой, цисплатин и фосфамид. При выборе схемы послеоперационной ХТ основываются на ответе опухоли на неоадъювантную химиотерапию. Если ответ был неудовлетворительным, используют особые схемы лечения, которые называют постоперационной терапией спасения.
Осложнения
Остеосаркома может привести к развитию следующих осложнений:
- Патологические переломы — это переломы, которые возникают без воздействия травмирующего фактора. Дело в том, что остеосаркома приводит к нарушению остеогенеза, в месте локализации опухоли костная ткань не является достаточно прочной и не может выдержать обычную нагрузку, что приводит к образованию перелома от малейшего воздействия.
- При поражении ростовой пластинки трубчатых костей может нарушаться синхронный рост конечностей.
- При лечении заболевания может потребоваться обширная операция или ампутация конечностей, что приводит к инвалидизации пациента.
Прогноз при остеосаркомах
Прогноз заболевания будет зависеть от многих факторов, например:
- Место локализации опухоли. Наиболее неблагоприятно протекает остеосаркома, локализующаяся в области метафиза трубчатых костей, а, например, остеосаркома, которая располагается в области свода черепа, отличается более медленным течением и редко дает метастазы, даже если это высокозлокачественный тип опухоли.
- Размер первичного очага. Чем больше новообразование, тем хуже прогноз.
- Возраст и общее состояние пациента. Более благоприятно протекает остеосаркома у детей. Хуже обстоят дела у людей пожилого и старческого возраста ввиду изначально ослабленного здоровья и ограничений в проведении агрессивных курсов химиотерапии.
- Чувствительность новообразования к проводимому химиотерапевтическому лечению.
- Возможность проведения радикальной операции.
Раньше остеосаркома считалась агрессивной опухолью, и результаты ее лечения были неудовлетворительными даже после проведения обширных радикальных операций. Пятилетний рубеж переживало около 10% больных. На сегодняшний день с введением новых химиотерапевтических схем результаты лечения стали намного лучше. Пятилетняя выживаемость при локализованной опухоли составляет более 70%, а при хорошей химиочувствительности — 80%.
Профилактика
На сегодняшний день эффективных методов профилактики остеосаркомы нет, тем не менее может быть рекомендовано соблюдение общих принципов здорового питания и физической активности, борьба с вредными привычками.
Остеосаркома основания черепа - лучевая диагностика
КТ, МРТ при остеосаркоме основания черепа
а) Определение:
• Новообразование из злокачественных веретеновидных клеток, вырабатывающих остеоид или незрелую костную ткань
б) Визуализация:
1. Общая характеристика:
• Лучший диагностический критерий:
о Агрессивное нечетко отграниченное объемное образование, развивающееся из кости и содержащее мягкую ткань и остеоидный матрикс
• Локализация:
о В основании черепа встречается редко: скат затылочной кости, клиновидная кость - турецкое седло, большое крыло клиновидной кости, передний отдел основания черепа
2. Рекомендации по визуализации:
• Лучший метод визуализации:
о Мультипланарная МРТ с КУ: наилучший метод исследования костномозгового канала и оценки поражения мягких тканей
о КТ в костном окне: лучше определяется содержащийся в ткани опухоли остеоидный матрикс и периостальная реакция

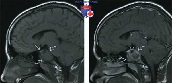
(Слева) При МРТ Т1ВИ в сагиттальной проекции визуализируется распространенная остеосаркома ската затылочной кости, дающая сигнал средней интенсивности. В верхней части опухоли видна неизмененная паренхима гипофиза, что позволяет исключить из дифференциального диагноза инвазивную аденому гипофиза.
(Справа) При МРТ Т1ВИ с КУ в сагиттальной проекции у этого же пациента наблюдается неоднородное контрастирование всей опухоли. Обратите внимание на распространение опухоли в клиновидную пазуху. Неконтрастируемые гипоинтенсивные очаги могут представлять собой зоны остеоида.
3. КТ при остеосаркоме основания черепа:
• КТ в костном окне:
о Экспансивное объемное образование, бывает литическим или бластным
о Может наблюдаться формирование опухолевой костной ткани или злокачественной периостальной реакции
4. МРТ при остеосаркоме основания черепа:
• Т1 ВИ:
о Неоднородный сигнал, от слабого до средней интенсивности
• Т2 ВИ:
о Неоднородный Т2-сигнал от средней интенсивности до интенсивного; плотно окостеневшие компоненты дают ослабленный сигнал
• Т1 ВИ FS с КУ:
о Наблюдается контрастирование костного мозга/мягкотканных компонентов

(Слева) При МРТ Т2ВИ в аксиальной проекции у этого же пациента регистрируется неоднородный средней интенсивности сигнал (опухоли) с участками более интенсивного сигнала, которые могут являться очагами некроза. Криволинейная низкоинтенсивная зона, вероятно, представляет собой участок кальциноза опухолевой ткани.
(Справа) При аксиальной КТ в костном окне у этого же пациента видно, что перед нами преимущественно литическая остеосаркома. Отмечается некоторое расширение ската затылочной кости, позади него определяется обширная зона деструкции кости. Остеоидного матрикса в ткани опухоли не наблюдается.
в) Дифференциальная диагностика остеосаркомы основания черепа:
1. Хордома:
• Срединное объемное образование ската затылочной кости
• Гиперинтенсивное при МРТ Т2ВИ
2. Хондросаркома:
• Экспансивное объемное образование каменисто-затылочной щели, вызывающее эрозивные или деструктивные изменения костной ткани ската затылочной кости и верхушки пирамиды височной кости
• В 50% случаев определяются классические рентгенологические признаки хондроидного матрикса, содержащего кольцевидные и дугообразные кальцинаты
3. Метастазы основания черепа:
• У пациента ранее диагностирована первичная злокачественная опухоль
• Зачастую выявляются множественные новообразования
4. Плазмоцитома:
• Солитарная или множественная (на фоне миеломной болезни)
• Гомогенная, четко отграниченная, вызывает литические изменения
5. Инвазивная макроаденома:
• Может прорастать большую или значительную часть ската затылочной кости
• В ткани опухоли невозможно различить обособленный гипофиз
г) Патология:
1. Общая характеристика:
• Этиология:
о Этиология первичной опухоли неизвестна
о Может развиваться вторично после перенесенного лучевого воздействия
• Сопутствующие аномалии:
о Бывает связана с болезнью Педжета, фиброзной дисплазией, гигантоклеточной опухолью, солитарной или множественной остеохондромой, энхондромой, болезнью Олье
2. Стадии, классификация остеосаркомы основания черепа:
• Классификация основана на гистологическом строении: остеобластный, хондробластный, фибробластный, телеангиэктатический и юкстакортикальный типы
• Степени злокачественности (низкая, средняя, высокая) определяются степенью атипии клеток и наблюдаемой тканевой архитектоникой
3. Микроскопия:
• Атипичные опухолевые остеобласты продуцируют остеоид
д) Клинические особенности:
1. Проявления:
• Типичные признаки/симптомы:
о Отек, наличие объемного образования, боли
• Другие признаки/симптомы:
о Поражение ЧН
2. Демография:
• Возраст:
о 3-4 десяток лет жизни
• Пол:
о М=Ж
• Эпидемиология:
о Наиболее часто встречающаяся злокачественная опухоль кости, но лишь в 6-10% случаев она локализуется в области головы и шеи
3. Течение и прогноз:
• Общая выживаемость низкая
4. Лечение:
• Максимально экономная хирургическая резекция с адъювантной лучевой терапией
КТ, МРТ при хондросаркоме основания черепа
а) Определение:
• Хондросаркома основания черепа: злокачественное хондроидное новообразование основания черепа
1. Общая характеристика:
• Лучший диагностический критерий:
о Солитарное контрастируемое остеолитическое мягкотканное объемное образование; центр опухоли локализуется в каменисто-затылочной щели ± хондроидный матрикс
• Локализация:
о Вне срединной линии, в каменисто-затылочной щели (2/3)
о Передняя часть тела клиновидной кости (1/3)
• Размеры:
о Вариабельны, обычно на момент постановки диагноза >3 см
• Морфология:
о Четко отграниченная, с дольчатыми краями

(Слева) При аксиальной КТ в костном окне в ткани крупной хондросаркомы определяются округлый и дугообразный очаги кальциноза. Центр опухоли лежит в каменисто-затылочной щели. Почти в 50% хондросарком выявляется кальциноз матрикса. Обратите внимание на небольшое сужение левого видиевого канала.
(Справа) При КТ в костном окне в аксиальной проекции у пациента с небольшой хондросаркомой верхушки пирамиды левой височной кости определяется плохо различимая деарукция кости с эрозией кортикального слоя. Обызвествленного матрикса не наблюдается. При МРТ определяется Т2-гиперинтенсивное контрастное объ емное образование той же локализации.
2. КТ при хондросаркоме основания черепа:
• КТ без КУ:
о Относительно плотный мягкотканный компонент
• КТ с КУ:
о Вариабельное неоднородное контрастирование
• КТ в костном окне:
о Экспансивное объемное образование каменисто-затылочной щели, вызывающее деструктивные или эрозивные изменения ската затылочной кости и верхушки височной кости
о В 50% будет определяться классическая рентгенологическая картина -хондроидный матрикс с кальцинатами типа «дуг и колец»
о Выраженная узкая несклеротическая переходная зона между опухолью и неизмененной костью
3. МРТ при хондросаркоме основания черепа:
• Т1 ВИ:
о По сравнению с серым веществом головного мозга интенсивность сигнала низкая или промежуточная:
- Низкоинтенсивные очаги в ткани опухоли могут представлять собой зоны грубой минерализации матрикса или фиброзно-хрящевые элементы
• Т2 ВИ:
о Вариабельный, обычно интенсивный сигнал
о Гипоинтенсивные очаги (кальцинаты) заметны хуже, чем на КТ
• Т1 ВИ с КУ:
о Неоднородное контрастирование
4. Ангиография:
• Бессосудистое или гиповаскулярное объемное образование
• Смещение внутренней сонной артерии ± опухоль окружает артерию
5. Рекомендации по визуализации:
• Лучший метод визуализации:
о Комбинация мультипланарной МРТ с гадолиниевым усилением и КТ в костном окне высокого разрешения
• Рекомендации по протоколу исследования:
о КТ в костном окне высокого разрешения, аксиальная проекция, для исследования хондроидного матрикса и характера деструкции кости
о МРТ основания черепа должно включать в себя режимы Т2ВИ и мультипланарную Т1 ВИ, с последующей Т1 ВИ с КУ и подавлением сигнала от жира в тех же плоскостях для непосредственного сравнения результатов
о МР-артериография и МР-венография или КТ-ангиография информативны при предоперационной оценке поражения сосудов

(Слева) При МРТ Т2 в аксиальной проекции определяется гиперинтенсивная хондросаркома верхушки пирамиды правой височной кости, paспpoстpaняющаяся в цистерну правого мостомозжечкового угла. Каменистый сегмент внутренней сонной артерии смещен кпереди.
(Справа) При МРТ Т1 FS с КУ в аксиальной проекции наблюдается интенсивное контрастирование хондросаркомы. Обратите внимание на поражение верхушки пирамиды височной кости и цистерны мостомозжечкового угла. Большинство хондросарком основания черепа возникают в каменисто-затылочной щели. Однако когда опухоль достигает крупных размеров, бывает трудно установить место ее возникновения.
в) Дифференциальная диагностика хондросаркомы основания черепа:
1. Хордома:
• Деструктивное новообразование ската затылочной кости; костные фрагменты в матриксе опухоли
• Срединная > латеральная локализация
• Слабый Т1 -сигнал и высокоинтенсивный Т2-сигнал; контрастное объемное образование
• Хондроидные хордомы более агрессивны, прогноз более тяжелый
2. Метастаз в основание черепа:
• КТ в костном окне: деструктивное объемное образование любой части основания черепа
• МРТ: часто множественные контрастные инвазивные новообразования
• Как правило, слабый или средней интенсивности Т2-сигнал
• Диагностированная первичная опухоль
3. Плазмоцитома и миеломная болезнь:
• Обычно более срединное поражение в пределах ската затылочной кости
• Слабый или средней интенсивности Т2-сигнал
• Более чем у 50% больных имеется сопутствующая миеломная болезнь
4. Карцинома носоглотки:
• Первичная опухоль слизистой носоглотки
• Опухоль прорастает вверх в скат затылочной кости, рваное отверстие и каменисто-затылочную щель
5. Менингиома:
• Кальциноз ткани менингиомы может симулировать хондроидный матрикс
• Возможно развитие гиперостоза; при отсутствии инвазии, как правило, не вызывает деструкции
• При МРТ Т2-сигнал слабый или средней интенсивности; контрастируется, наблюдаются «дуральные хвосты»
6. Неходжкинская лимфома:
• Лимфопролиферативное новообразование, вызывающее очаговое или мультифокальное поражение костей и/или внекостных структур основания черепа
• Т2-сигнал слабый или средней интенсивности, при диффузно-взвешенной МРТ может наблюдаться ограничение диффузии
7. Неопухолевые новообразования верхушки пирамиды височной кости:
• Включают в себя доброкачественные экспансивные новообразования: холестеатому, мукоцеле, холестериновую гранулему:
о Не контрастируются, ровные контуры, не содержат обызвествленного матрикса
• Интенсивный сигнал асимметрично измененной верхушки пирамиды височной кости может симулировать контрастную опухоль
8. Хондромиксоидная фиброма:
• Редкое экспансивное неинфильтрирующее объемное образование основания черепа
• Могут определяться участки плотности «матового стекла»
• Симптоматика может частично совпадать с изменениями при хондросаркоме основания черепа

(Слева) При МРТ Т2 в аксиальной проекции определяется гиперинтенсивная правосторонняя параселлярная хондросаркома, прорастающая в предмостовую цистерну и клиновидную пазуху. Обратите внимание на смещенные опухолью внутреннюю сонную и базилярную артерию.
(Справа) При MPT Т1 FS с КУ в аксиальной проекции наблюдается умеренное контрастирование правосторонней параселлярной хондросаркомы. Пациент обратился за медицинской помощью по поводу некупируемой головной боли, носовых кровотечений и диплопии. Опухоль прорастает предмостовую цистерну и клиновидную пазуху, частично окружает правую внутреннюю сонную артерию и смещает базилярную артерию.
1. Общая характеристика:
• Этиология:
о Развивается из остатков эмбрионального хряща, эндохондральной кости или из примитивных мезенхимальных клеток оболочек головного мозга:
- Может развиваться вследствие метаплазии фибробластов оболочек мозга
• Генетика:
о Может осложнять болезнь Олье и синдром Маффуччи
2. Стадии, классификация хондросаркомы основания черепа:
• Классификация:
о Классическая хондросаркома: гиалиновая (7%), миксоидная (30%) или смешанная (63%)
о Прозрачноклеточная
о Мезенхимальная
о Дедифференцированная
• Степень злокачественности от низко- до высокозлокачественной:
о Определяется в зависимости от клеточной плотности, плеоморфизма клеток, количества митозов и многоядерных клеток
3. Микроскопия:
• Гиперцеллюлярная опухоль, состоящая из хондроцитов с гиперхроматическими плеоморфными ядрами и выраженными ядрышками:
о Большое количество дву- или многоядерных клеток
• Обызвествленный гиалиновый матрикс может формировать «колечки»:
о В ткани опухолей гиалинового типа определяется плотный межклеточный матрикс, в отличие от муцинозного/желатинозного матрикса опухолей миксоидного или смешанного типов
• Гистологическая картина может частично совпадать или симулировать хордому:
о Особенно часто вводит в заблуждение картина хондроидной хордомы и миксоидной хондросаркомы
о Дифференцировке опухолей помогает иммуногистохимическое окрашивание
1. Проявления:
• Типичные признаки/симптомы:
о Парез отводящего нерва (ЧН VI) вследствие близости канала Дорелло
о Головные боли
о Средняя длительность симптомов на момент постановки диагноза-27 месяцев
• Другие признаки/симптомы:
о Парезы других ЧН (III, V, VII и VIII)
• Клинический профиль:
о Пациент среднего возраста с внезапно развившимися головными болями и парезами ЧН
2. Демография:
• Возраст:
о От 10 до 80 лет:
- Средний возраст: 40 лет
• Эпидемиология:
о 6% всех опухолей основания черепа
о 75% всех хондросарком черепа развивается в основании черепа
3. Течение и прогноз:
• Прогноз определяется распространенностью опухоли на момент диагностики, степенью злокачественности по результатам гистологического строения и полноты хирургической резекции:
о Недавно сообщалось, что опухолеспецифическая десятилетняя выживаемость достигает 99%
о Большинство хондросарком центрального отдела основания черепа относятся к высоко или умеренно дифференцированным
о Высокозлокачественные хондросаркомы чаще метастазируют в легкие и в кости
• Классическая хондросаркома характеризуется вялым развитием:
о У большинства из этих опухолей медленный рост сопровождается местной инвазией, но метастазируют они редко
• Мезенхимальная и дедифференцированная формы опухоли: агрессивное поведение; прогноз неблагоприятный
4. Лечение:
• Агрессивная резекция чревата тяжелыми осложнениями и характеризуется низкой частотой полного удаления опухоли
• Чаще всего выполняется радикальная резекция в комбинации с постоперационной высокодозовой фракционированной высокоточной конформной лучевой терапией:
о Лучевая терапия заряженными частицами (протонами или ионами углерода) как монотерапия или в комбинации с субтотальной резекцией
е) Диагностическая памятка:
1. Следует учесть:
• Новообразование локализуется по средней линии (хордома) или вне ее (хондросаркома)?
• Кальциноз приводит к формированию в ткани опухоли кальцинатов в виде дуг или завитков (хондросаркома) или обызвествляется фрагментированная разрушенная кость (хордома)?
• Была ли у пациента ранее диагностирована первичная злокачественная опухоль (метастаз), миелома (плазмоцитома) или объемное образование носоглотки (карцинома носоглотки)?
2. Советы по интерпретации изображений:
• Классическая картина: неравномерно контрастируемая опухоль, локализующаяся в каменисто-затылочной щели, дающая гиперинтенсивный сигнал при МРТ Т2:
о При КТ определяется минерализация хондроида и деструкция кости
• Если матрикс опухоли не выявлен, хондросаркому трудно дифференцировать от плазмоцитомы, локального метастаза или хондромиксоидной фибромы
Остеосаркома ( Остеогенная саркома )
Остеосаркома – это злокачественная опухоль, происходящая из костной ткани. Отличается склонностью к бурному течению и раннему метастазированию. На начальных стадиях проявляется локальной болью, похожей на боли при ревматизме. В дальнейшем появляется припухлость, ограничение движений в расположенном поблизости суставе. Боли становятся резкими, невыносимыми. Возникают метастазы. Патология диагностируется на основании анамнеза, результатов осмотра, рентгенографии, КТ, МРТ и других исследований. Лечение включает в себя операцию по удалению опухоли в сочетании с предоперационной и послеоперационной химиотерапией.
МКБ-10

Общие сведения
Остеосаркома (от лат. osteon кость, греч. sarkos мясо, плоть + oma опухоль) – злокачественное новообразование, возникающее из элементов кости. Для этой опухоли характерно ранее метастазирование и бурное течение. Ранее прогноз при этом заболевании был очень неблагоприятным. Пятилетняя выживаемость наблюдалась менее чем в 10% случаев. В настоящее время, в связи с появлением новых методов лечения, шансы пациентов существенно увеличились. Сегодня 5 лет после постановки диагноза переживает более 70% пациентов с локализованной остеосаркомой и 80-90% с чувствительной к химиотерапии опухолью.
По данным специалистов в сфере клинической онкологии, остеосаркома чаще наблюдается у молодых пациентов. Более двух третей всех случаев заболевания приходится на возраст 10-40 лет. При этом мужчины страдают вдвое чаще женщин. Пик заболеваемости приходится на период быстрого роста: 10-14 лет у девочек и 15-19 лет у мальчиков. После 50 лет такая опухоль встречается крайне редко.
Причины остеосаркомы
Причины развития заболевания пока не выяснены. Однако существует ряд обстоятельств, при которых риск ее возникновения увеличивается. К их числу относится лучевая терапия и химиотерапия, проводимая ранее по поводу другого онкологического заболевания. Сама по себе травма (ушиб или перелом) никак не влияет на вероятность возникновения опухоли. Тем не менее, в ряде случаев именно достаточно серьезное травматическое повреждение (патологический перелом) или необычные, сохраняющиеся в течение длительного времени после ушиба боли в пораженной области становятся причиной обращения к врачу-травматологу и последующего обнаружения остеосаркомы. В отдельных случаях остеосаркома развивается на фоне хронического остеомиелита. Риск образования опухоли также увеличивается при болезни Педжета (деформирующем остеите).
Патанатомия
Обычно заболевание поражает длинные трубчатые кости. Доля коротких и плоских костей составляет не более 20% от общего числа всех остеосарком. Нижние конечности поражаются в 5-6 раз чаще верхних. При этом около 80% от всего количества остеогенных сарком развивается в области дистального конца бедренной кости. Далее в порядке убывания по частоте располагаются большеберцовые, плечевые, тазовые и малоберцовые кости. Затем – кости плечевого пояса и локтевая кость. Кости черепа страдают редко, в основном – у детей или у пожилых людей.
Типичной локализацией остеосаркомы является область метафиза (часть кости, расположенная между суставным концом и диафизом). Тем не менее, около 10% от общего числа остеосарком бедра обнаруживаются в его диафизарной части, а метафиз при этом остается нетронутым. Кроме того у остеосаркомы существуют «излюбленные» места расположения в каждой отдельной кости. Так, у бедра обычно поражается дистальный конец, у большеберцовой кости – внутренний мыщелок, у плечевой – область, где расположена шероховатость дельтовидной мышцы.
Классификация
При постановке диагноза остеосаркома проводится стадирование – оценка распространенности процесса. С учетом распространенности все остеосаркомы делятся на две большие группы:
- Локализованные саркомы. Клетки опухоли есть только в месте ее первоначальной локализации или окружающих тканях.
- Метастатические саркомы. Выявляется метастатическое поражение других органов.
Предполагается, что у 80% больных существуют микрометастазы, которые настолько малы, что не обнаруживаются при проведении дополнительных исследований. Кроме того, выделяют мультифокальную саркому, при которой опухоли одновременно возникают в нескольких (двух или более) костях.
Остеосаркома, как и другие злокачественные опухоли, в ряде случаев возвращается после лечения. Новая опухоль может возникнуть как в месте локализации предыдущей, так и в другой части тела (в области метастазов). Такое состояние называется рецидивом. Рецидив при остеосаркоме чаще всего развивается через 2-3 года после лечения и обнаруживается в легких. В дальнейшем рецидивы тоже возможны, но вероятность их развития уменьшается.
Болезнь начинается исподволь, постепенно. Вначале пациента беспокоят тупые неясные боли, возникающие вблизи сустава. По своему характеру они могут напоминать болевой синдром при ревматических миалгиях, артралгиях, миозитах или периартритах. При этом выпот (жидкость) в суставе отсутствует. Опухоль постепенно растет, в процесс вовлекаются расположенные рядом ткани, и боли усиливаются. Пораженный отдел кости увеличивается в объеме, мягкие ткани над ним становятся припухшими, на коже возникают флебэктазии (сеть мелких расширенных вен). Формируется контрактура в расположенном рядом суставе. При локализации остеосаркомы на костях нижней конечности развивается хромота. Пальпация пораженной области резко болезненна.
Через некоторое время боли становятся нестерпимыми, лишающими сна. Они появляются как при нагрузке, так и в покое и не снимаются обычными анальгетиками. Остеосаркома продолжает стремительно расти, распространяясь на соседние ткани, прорастая мышцы и заполняя костномозговой канал. Клетки опухоли разносятся с током крови, «оседая» в различных органах и образуя метастазы. При этом чаще всего поражается головной мозг и легкие.
Диагноз остеосаркома выставляется на основании клинических данных, результатов инструментальных и лабораторных исследований. Врач-онколог расспрашивает пациента, обращая внимание на постепенное начало и неясные боли вблизи сустава, а также на усиление этих болей с течением времени. Припухлость в области поражения на начальных стадиях определяется всего у 25% пациентов. Флебэктазии возникают на поздних стадиях и также наблюдаются не у всех больных. Поэтому отсутствие данных симптомов не может являться поводом для исключения злокачественного новообразования.
Окончательный диагноз устанавливается на основании результатов дополнительных исследований: рентгенографии, сканировании кости и биопсии ткани, взятой из пораженного участка. Для выявления метастазов в других органах выполняется компьютерная томография и рентгенография.
В начальной стадии на рентгенограммах определяется остеопороз и смазанность контуров опухоли. В последующем выявляется дефект костной ткани. Нередко наблюдается характерная картина отслоения надкостницы с образованием «козырька». У детей часто обнаруживается игольчатый периостит – тонкие костные образования (спикулы), расположенные перпендикулярно по отношению к кости. На рентгеновском снимке такие образования создают типичную картину «солнечных лучей».
При исследовании биоптата выявляются клетки сарокоматозной соединительной ткани, часть которых образует остеоидные и атипичные костные клетки. Обнаруживаются серьезные нарушения структуры кости. Во многих случаях остеогенез (образование кости) слабо выражен и наблюдается только на периферии остеосаркомы. Остеосаркому дифференцируют с остеобластокластомой, хрящевыми экзостозами, эозинофильной гранулемой и хондросаркомой.
Лечение остеосаркомы
Тактика лечения выбирается с учетом места расположения остеосаркомы, стадии заболевания, возраста пациента, его общего состояния, наличия рецидивов и т. д. Лечение остеосаркомы проводится в отделении онкологии и включает в себя три этапа:
- Предоперационную химиотерапию для уменьшения первичной опухоли и подавления мелких метастазов. Используется ифосфамид, метотрексат, этопозид, а также препараты платины (цисплатин, карбоплатин).
- Хирургическое лечение для удаления опухоли. В прошлом при остеосаркомах выполняли ампутации и экзартикуляции. В настоящее время в большинстве случаев проводят щадящую органосохраняющую операцию – сегментарную резекцию пораженного участка с его заменой имплантатом из металла, пластика, собственной кости пациента или трупной кости. Ампутация необходима только при большом размере остеосаркомы, патологическом переломе, прорастании мягких тканей или сосудисто-нервного пучка. Хирургическим путем может удаляться не только первичная опухоль, но и крупные метастазы в легких. При поражении лимфатических узлов также выполняется их оперативное удаление (лимфоаденэктомия).
- Послеоперационную химиотерапию для окончательного подавления злокачественных клеток, которые могли остаться в области метастазов или месте расположения первичной опухоли.
Лучевая терапия при остеосаркоме малоэффективна и проводится только при наличии абсолютных противопоказаний к операции.
Прогноз и профилактика
Прогноз при остеосаркоме зависит от определенных факторов как до, так и после лечения. Факторы, влияющие на прогноз до начала лечения остеосаркомы:
- Размер и место расположения опухоли.
- Стадия остеосаркомы (локализованная опухоль, наличие метастазов в других органах).
- Возраст и общее состояние здоровья пациента.
После лечения прогноз определяется эффективностью химиотерапии и результатом операции. Более оптимистичный прогноз – при значительном уменьшении местастазов и первичного очага после химиотерапии, а также при полном удалении опухоли.
В прошлом остеосаркома относилась к числу злокачественных опухолей с наиболее неблагоприятным прогнозом. Даже при том, что в ходе лечения проводились тяжелые калечащие операции – ампутации и экзартикуляции конечностей, пятилетняя выживаемость не превышала 5-10%. В настоящее время, в связи появлением новых методов лечения и применением эффективных органосохраняющих операций, шансы пациентов на благополучный исход существенно увеличились даже при наличии метастазов в легких. Пятилетняя выживаемость при локализованной остеосаркоме в наши дни составляет более 70%, а в группе с остеогенными саркомами, чувствительными к химиотерапии, этот показатель еще выше – 80-90%.
2. Ортопедия. Руководство для практикующих врачей/ Корнилов Н.В., Грязнухин Э.Г., Осташко В.И., Редько К.Г. - 2001
Читайте также:
- Рентгенограмма, КТ при аденоматоидной одонтогенной опухоли челюсти
- Окклюзия центральной вены сетчатки и ветвей центральной вены сетчатки
- Показания к применению калийсберегающих диуретиков. Эплеренон, антагонисты альдостерона, осмотические диуретики
- Клиника отравления амантадином и ее диагностика
- Лучевая диагностика повреждения селезенки
