Лучевая диагностика повреждения селезенки
Добавил пользователь Евгений Кузнецов Обновлено: 10.01.2026
Информацию из данного раздела нельзя использовать для самодиагностики и самолечения. В случае боли или иного обострения заболевания диагностические исследования должен назначать только лечащий врач. Для постановки диагноза и правильного назначения лечения следует обращаться к Вашему лечащему врачу.
Новообразования селезенки: причины появления, симптомы, диагностика и способы лечения.
Селезенка — непарный орган, в основном состоящий из лимфоидной ткани, отвечает в организме человека за кроветворение, иммунитет и кровоснабжение. Новообразования селезенки представляют собой очаговые разрастания морфологически измененной опухолевой ткани в паренхиме селезенки.
Наиболее частой патологией селезенки являются кисты – полости, заполненные жидкостью и отделенные от окружающих тканей капсулой. К доброкачественным опухолям селезенки относятся гемангиомы (опухоли сосудистого происхождения), лимфангиомы, лимфомы (опухоли лимфоидной ткани), эндотелиомы, гамартомы, фибромы.

Систематизация опухолей селезенки осуществляется с учетом их морфологического строения, степени агрессивности, расположения основного очага. При развитии опухоли из лиенальных тканей (тканей селезенки), отсутствии системного поражения лимфоидных образований и костного мозга говорят о первичных селезеночных новообразованиях. Первичные опухолевые поражения органа в большинстве случаев выявляют у женщин в молодом и среднем возрасте. Распространенность первичных опухолей в популяции очень низкая и не превышает 0,003%. Масса опухолевой ткани колеблется в диапазоне от 20 г до 5 кг.
Вторичные процессы встречаются чаще, специфические изменения в паренхиме органа определяются у 90% больных лимфомой Ходжкина, в селезенку могут метастазировать до 10% злокачественных объемных образований. Вторичные опухоли являются следствием заболеваний других органов и систем, в том числе болезней крови, иммунных патологий, опухолей, системных заболеваний или повреждений (травм) селезенки. К ним относятся: инфаркт селезенки, перекрут ножки селезенки, абсцесс селезенки, разрыв селезенки, киста селезенки, доброкачественные и злокачественные образования селезенки.

Причины появления опухолей селезенки
Причины первичной опухолевой трансформации тканей селезенки окончательно не установлены. При вторичных новообразованиях процесс провоцируется системным поражением лимфоидной ткани или метастатическим распространением клеток. Точных доказательств, подтверждающих наследственный характер неоплазии, нет. По мнению специалистов, возможными этиологическими факторами первичных и вторичных селезеночных новообразований являются:
Воздействие повреждающих факторов. Патологическое разрастание тканей селезенки может происходить под воздействием ионизирующего излучения, инфекционных агентов, вирусов с онкогенным действием. Помимо этого, развитие неоплазии иногда связывают с влиянием полиароматических углеводородов и никотина, обладающих канцерогенным потенциалом. Иногда заболевание возникает на фоне ишемии или прямого повреждения паренхимы селезенки при травмах, а также вследствие паразитарного поражения органа.
Наличие внеселезеночных опухолей. Вторичное опухолевое изменение характерно для злокачественных лимфопролиферативных процессов — лимфогранулематоза, ретикулосарком, лимфолейкоза. В некоторых случаях поражение селезенки является единственным проявлением этих онкологических заболеваний. Метастазы в селезенку наблюдаются редко.
Классификация заболеваний
Существующие классификации кист селезенки являются модификацией классификации R. Fowle (1940), которая дает представление о разнообразии происхождения кист селезенки:
- врожденные,
- неопластические (гемангиома, эпидермоидные, лимфангиома, дермоидные).
- травматические,
- дегенеративные,
- воспалительные.
I. Опухолеподобные изменения:
а) непаразитарная киста,
б) гамартома.
II. Васкулярные опухоли:
- гемангиома,
- лимфангиома,
- гемангиоэндотелиома,
- гемангиоперицитома;
- гемангиосаркома,
- лимфангиосаркома,
- гемангиоэндотелиальная саркома,
- злокачественная гемангиоперицитома.
а) болезнь Hodgkin,
б) неходжкинская лимфома,
в) плазмоцитома,
г) лимфоподобные заболевания:
- макрофолликулярная псевлолимфа (опухоль Castleman),
- локализованная реактивная лимфоидная гиперплазия,
- воспалительная псевдоопухоль.
а) липома, ангиолипома, миелолипома,
б) злокачественная фиброзная гистиоцитома,
в) фибросаркома,
г) лейомиосаркома,
д) злокачественная тератома,
е) саркома Kaposi.
Симптомы новообразований селезенки
При малых размерах опухолей заболевание длительное время протекает бессимптомно с минимальной выраженностью клинических проявлений. У пациента наблюдается синдром «малых признаков»: утомляемость, слабость, ухудшение работоспособности, потеря аппетита, депрессия, снижение массы тела. По мере прогрессирования опухоли (вплоть до разрыва селезенки) пациента начинают беспокоить боли постоянного характера, возникает тяжесть в области левого подреберья, чувство распирания, асимметрия и увеличение живота, длительная субфебрильная температура, болезненные ощущения в левых отделах брюшной полости. Иногда боль иррадиирует в левое надплечье и плечо. При значительном увеличении размеров селезенки и вовлечении в процесс соседних органов могут наблюдаться расстройства мочеиспускания, не поддающаяся медикаментозной терапии артериальная гипертензия, отеки нижних конечностей.
Диагностика новообразований селезенки
Диагностирование опухолей селезенки в большинстве случаев затруднено, что связано со скудной клинической симптоматикой данного заболевания. Новообразования чаще всего обнаруживаются случайно во время профилактических осмотров. План обследования пациента с подозрением на опухоль селезенки включает следующие инструментальные и лабораторные методы:
- Ультразвуковое исследование органов брюшной полости позволяет визуализировать структуру паренхимы, оценить размеры и топографию органа. Иногда дополнительно назначают ультразвуковую допплерографию селезенки, по результатам которой можно судить о кровоснабжении подозрительных узлов, скорости кровотока в селезеночных артериях, венах.
- Компьютерная томография брюшной полости с болюсным внутривенным введением контрастного вещества помогает отграничить неизмененную паренхиму от опухолевых очагов, которые не накапливают контраст. Компьютерная томография имеет высокую информативность и обеспечивает обнаружение опухолей в 95% случаев.
Взятие биоматериала оплачивается отдельно. Согласно требованиям п. 17 Правил проведения патолого-анатомических исследований, утв. Приказом Минздрава Росс.
Диагностикой и лечением опухолей селезенки занимаются врачи-терапевты, онкологи , хирурги , врачи ультразвуковой диагностики , врачи лучевой диагностики.
Лечение новообразований селезенки
Если нет серьезных противопоказаний к проведению операции, то опухоль селезенки удаляется посредством хирургического вмешательства. При выборе хирургической тактики учитывают морфологическое строение неоплазии, ее размеры, расположение, взаимоотношение с окружающими органами.
Если опухоль селезенки имеет вторичный характер и возникла на фоне какого-либо онкологического процесса в других органах и тканях также потребуется проведение терапии основного заболевания. Объем операции и метод хирургического вмешательства зависит от размеров, расположения (центральная, периферическая), от тяжести состояния пациента по сопутствующей терапевтической патологии. Для лечения опухолей выполняют резекцию органа, спленэктомию, при злокачественных поражениях в послеоперационном периоде проводят химиотерапию.
Рекомендованными видами вмешательств являются:
- Резекция селезенки. Органосохраняющие операции производят только для удаления небольших доброкачественных опухолей.
- Спленэктомия. Удаление селезенки необходимо при массивных доброкачественных неоплазиях, поразивших большую часть пульпы, злокачественных процессах. Предпочтителен менее травматичный лапароскопический метод операции. Пациентам со злокачественными образованиями после операции назначают химиотерапию.
- Лечение опухолей, возникших в рамках лимфопролиферативных процессов или метастатического поражения селезенки, производится по соответствующим медицинским протоколам и предполагает назначение лучевой, таргетной, химиотерапии.
- Вопрос об удалении селезенки в каждом случае решается индивидуально, у некоторых пациентов спленэктомия оказывает положительный эффект на течение основного заболевания.
При росте опухолей в организме изменяется ряд биохимических показателей. Накопление продуктов азотистого обмена может вызывать почечную недостаточность, сочетание гипокальциемии и гипокалиемии провоцирует замедление сердечного ритма вплоть до асистолии. Наиболее тяжелым осложнением опухолей селезенки является распространение малигнизированных клеток лимфогенным, гематогенным, контактным путем с образованием метастазов в других органах. Зачастую при злокачественных неоплазиях наблюдаются геморрагический плеврит, асцит, кахексия (крайнее истощение организма). Заболевание может осложняться разрывом селезенки с профузным внутренним кровотечением, опасным для жизни больного и требующим неотложной хирургической помощи.
Профилактика новообразований селезенки
Способы специфической профилактики пока не разработаны, однако при появлении первых симптомов следует обратиться к специалисту. При доброкачественных процессах удаление опухоли обычно позволяет добиться полного излечения пациента. Своевременная диагностика и адекватное комбинированное лечение злокачественных новообразований селезенки на ранних стадиях существенно увеличивает благоприятный прогноз и шансы на выздоровление.
В ходе некоторых исследований была обнаружена связь между хроническим гепатитом C и B-клеточной неходжкинской лимфомой. Принятие мер по предотвращению гепатита С может помочь пациентам снизить риск этого заболевания.
- Абдоминальная хирургия: Практическое пособие в двух томах/ Григорян Р.А. - 2006.
- Хирургические болезни/ под редакцией Кузина М.И. - 2002.
- Пучков К.В., Пучков Д.К. Результаты выполнения лапароскопических операций на селезенке // VI Конгресс Московских хирургов «Неотложная и специализированная хирургическая помощь». Материалы конгресса. 10—11 июня 2015 г. Москва. – М.: Изд-во « Альт Консул». – 2015. – С. 74–75.
- Протокол совместного заседания секции абдоминальной радиологии Московского общества медицинских радиологов и секции лучевой диагностики в педиатрии от 21 декабря 2011 г. Лучевая диагностика очаговых образований селезенки. Ю.А. Степанова, Г.Г. Кармазановский, Д.А. Ионкин, А.Б. Шуракова, А.И. Щёголев, Е.А. Дубова. ФГБУ «Институт хирургии им. А.В. Вишневского. Минздравсоцразвития России, Москва.
Лучевая диагностика повреждения селезенки
Лучевая диагностика спленоза
а) Терминология:
• Диссеминированная эктопия ткани селезенки в результате ее травматического или ятрогенного повреждения
б) Визуализация спленоза:
• Ткань селезенки может обнаруживаться практически повсюду:
о Чаще всего в животе или в тазу (65% случаев)
о Обычно при диссеминации в брюшной полости ткань селезенки обнаруживается в большом сальнике, серозной оболочке кишечника, париетальной брюшине, на брюшной поверхности диафрагмы
о Реже - обычно в случаях разрыва диафрагмы-ткань селезенки попадает в грудную полость или подкожные мягкие ткани
• МСКТ: множественные узелки или объемные образования во всех отделах живота и таза, обычно в брюшной полости:
о Выглядят аналогично селезенке во всех фазах контрастного усиления
о На КТ без контрастного усиления выглядят слегка менее плотными (на 5-10 ед. Хаунфилда) по сравнению с паренхимой печени, в артериальную фазу неравномерно накапливают контраст, в венозную и отсроченную фазы контрастное усиление становится однородным
• МРТ: эктопическая ткань селезенки имеет такой же вид во всех последовательностях и так же накапливает контраст, как и основная селезенка
• Сцинтиграфия с денатурированными нагреванием эритроцитами, мечеными Tc-99m: ↑ чувствительность и специфичность:
о В эктопической ткани ↑ накопление радиофармпрепарата
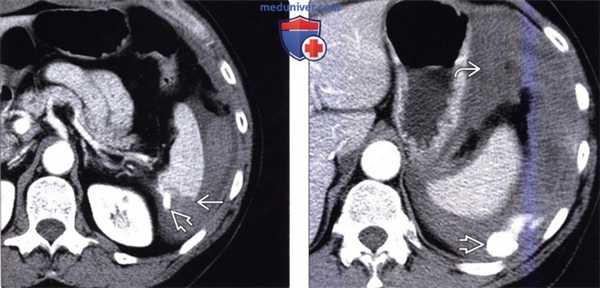
(Слева) На аксиальной КТ с контрастным усилением, выполненной пациенту после спленэктомии по поводу травмы, селезенка не визуализируется; определяются небольшие узелки, накапливающие контраст, в верхних отделах слева. Изменения, обусловленные спленозом, часто обнаруживаются в непосредственной близости к ложу селезенки.
(Справа) На аксиальной КТ с контрастным усилением у этого же пациента определяются еще несколько участков ткани селезенки, располагающиеся на серозной поверхности нисходящей ободочной кишки и у заднего края правой доли печени. Ткань селезенки при спленозе обычно располагается в брюшной полости; экстраперитонеальный спленоз встречается намного реже. (Слева) На аксиальной КТ с контрастным усилением у пациента с давней травмой живота в анамнезе определяются многочисленные мягкотканные узелки (спленоз) на поверхности органов, покрытых брюшиной, которые можно ошибочно принять за канцероматоз.
(Справа) На аксиальной КТ с контрастным усилением в области левого кардио-диафрагмального угла визуализируется мягкотканный узелок, накапливающий контраст. В анамнезе у пациента имеются данные о давней тупой травме живота с травматическим разрывом диафрагмы, что является наиболее распространенной причиной внутригрудного спленоза, намного реже встречающегося по сравнению со спленозом внутрибрюшной или тазовой локализации.
в) Дифференциальная диагностика:
• Канцероматоз брюшины
• Добавочная селезенка
• Полиспления
• Новообразование внутреннего органа, в т. ч. злокачественное
• Эндометриоз брюшины
г) Клинические особенности:
• Спленоз может имитировать канцероматоз брюшины или первичную злокачественную опухоль на КТ и ПЭТ
• В большинстве случаев не имеет иного клинического значения
• У большинства пациентов не наблюдается никакой клинической симптоматики, однако (редко) могут появляться симптомы, обусловленные кровоизлиянием, разрывом, скручиванием, инфарктом эктопической селезенки или обструкцией кишечника
а) Терминология:
• Повреждение паренхимы селезенки, возможно, в сочетании с разрывом капсулы
б) Визуализация:
• Жидкость в брюшной полости плотностью больше +30 ед. Хаунсфилда либо сгусток крови у края селезенки (больше +45 ед. Хаунсфилда):
о Гематома, прилежащая к краю селезенки, означает поврежде ние или разрыв ее капсулы
о Интрапаренхиматозная гематома имеет чаще всего округлую или неправильную форму
о Подкапсульная гематома из-за давления капсулы селезенки принимает форму «полумесяца»
• Симптом «сторожевого сгустка»: плотный сгусток крови, прилежащий к селезенке либо к иному поврежденному участку:
о Является признаком повреждения селезенки даже при отсутствии визуализации ее разрыва
• Разрыв паренхимы: гиподенсный участок, не накапливающий контраст, в виде неправильной линии, «ветви» или «звезды»
• Глубокий разрыв селезенки: разрыв, проходящий от наружной капсулы до ворот селезенки
• Сегментарный или тотальный инфаркт селезенки редко наблюдается при ее повреждении (менее чем в 2% случаев)
• Активная артериальная экстравазация: участок высокой плотности, равный плотности крови в аорте, находящийся в центре скопления геморрагической жидкости либо сгустка крови:
о Дифференциальная диагностика псевдоаневризмы и активной экстравазации осуществляется на основании данных, полученных в отсроченную фазу контрастного усиления
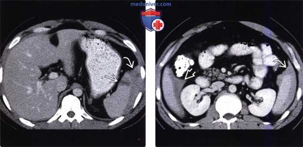
(Слева) На аксиальной КТ с контрастным усилением у женщины 87 лет, получившей травму при падении в доме престарелых, определяется разрыв паренхимы селезенки, а также кровь в брюшной полости наряду с более плотным скоплением жидкости линзовидной формы, неоднородной структуры, сглаживающим выбухающий в норме наружный край селезенки (подкапсульная гематома).
(Справа) На аксиальной КТ с контрастом у мужчины 23 лет, получившего травму в ДТП, визуализируется разорванная селезенка с наличием сторожевого сгустка возле ее края в сочетании с большим количеством крови в брюшной полости. (Слева) На аксиальной КТ с контрастным усилением у юноши 19 лет, пострадавшего в ДТП, во время которого он находился на пассажирском месте и не был пристегнут ремнем безопасности, определяется выраженный гемоперитонеум в верхних отделах брюшной полости, разрыв селезенки с наличием внутри нее псевдоаневризм высокой плотности, а также активная артериальная экстравазация в брюшной полости снаружи от селезенки.
(Справа) На аксиальной КТ с контрастным усилением у этого же пациента определяется активная артериальная экстравазация с распространением крови в левый латеральный канал; «свежая» кровь окружена менее плотной геморрагической жидкостью.
в) Клинические особенности:
• Селезенка из всех паренхиматозных органов чаще всего повреждается при тупой травме живота, ее повреждение чаще всего требует оперативного вмешательства
• При повреждении селезенки имеется склонность к отсроченному кровоизлиянию, однако при своевременном вмешательстве (операции или эмболизации) прогноз крайне благоприятный
• Выявление активной артериальной экстравазации или псевдоаневризмы - наиболее достоверный фактор, свидетельствующий о неэффективности консервативного лечения и необходимости операции
Лучевые методы обследования селезенки
а) Эмбриогенез, анатомия и физиология. Селезенка развивается из дорсального мезогастрия и обычно совершает поворот влево, удерживаясь в поддиафрагмальной области связками брюшины, прикрепляющими ее к диафрагме, брюшной стенке, желудку (желудочно-селезеночная связка), и почке (селезеночно-почечная связка). Селезенка чаще всего представляет собой единичный орган, хотя могут встречаться и другие варианты.
Добавочная селезенка (одна или большее количество) обнаруживается в общей популяции с частотой до 30%; она обычно представляет собой небольшое шаровидное образование, расположенное около ворот селезенки. Добавочная селезенка может увеличиваться в размерах, особенно после спленэктомии, имитируя новообразование либо обусловливая рецидив заболевания крови.
Селезенка может отсутствовать при рождении (аспления) либо состоять из нескольких не связанных между собой фрагментов (полиспления). Существует множество вариантов развития селезенки, сочетающихся с аномалиями развития сердечно-сосудистой системы, интерпозицией внутренних органов и другими патологическими изменениями, часто весьма серьезными и угрожающими жизни.
В редких случаях при избыточной длине брыжейки селезенка может располагаться в любых отделах брюшной полости, в т.ч. и в тазу («блуждающая» селезенка), что обусловливает риск ее повреждения либо перекрута брыжейки с развитием инфаркта.
Селезенка является наиболее крупным органом лимфатической системы, размер которого у разных людей (и даже у одного и того же человека при различном кровенаполнении, питании и гидратации) варьирует. Обычно объем селезенки составляет 100-250 см 3 при среднем значении 1 50 куб. см. Значение вычисляемого индекса селезенки (длина, умноженная на ширину и толщину) свыше 480 см 3 означает спленомегалию. В среднем длина селезенки может доходить до 12 см, а ширина и толщина до 7 см и 4 см соответственно.
б) Вопросы лучевой диагностики. Селезенка имеет уникальную тканевую структуру и состоит из красной и белой пульпы, что обусловливает ее характерный вид при лучевых исследованиях. Белая пульпа образована лимфоидной тканью, а красная - сосудами и селезеночными тяжами (скоплениями клеток, разделенными синусоидами). В связи с большим количеством кровеносных сосудов красная пульпа быстро накапливает контраст, из-за чего структура селезенки становится неоднородной в артериальную фазу КТ- либо МР-исследования. Эту особенность можно ошибочно принять за патологические изменения, однако данный феномен не определяется при исследованиях без контрастного усиления либо в отсроченную фазу.
КТ является методом выбора для оценки изменений со стороны селезенки при острых состояниях (травме, выраженной болевой симптоматике). Для оценки объемных образований селезенки и при некоторых метаболических заболеваниях (например, гемохроматозе) дополнительно может использоваться МРТ. Селезенка характеризуется относительно длинным временем релаксации Т1 и Т2, вследствие чего выглядит гипоинтенсивной по отношению к паренхиме печени на Т1 ВИ и гиперинтенсивной на Т2 ВИ. При накоплении в ткани селезенки железа интенсивность сигнала от нее может в значительной степени снижаться.
(Слева) На аксиальной КТ в артериальную фазу контрастного усиления определяется выраженная неоднородность структуры селезенки в результате быстрого накопления контраста в сосудистых синусоидах (красной пульпе), что не должно ошибочно приниматься за патологический процесс.
(Слева) На аксиальной КТ с контрастом в венозную фазу селезенка выглядит однородной. (Слева) На аксиальной Т1 ВИ МР томограмме (А) визуализируется неизмененная селезенка, несколько гипоинтенсивная по отношению к паренхиме печени. На Т2 ВИ МР томограмме (В) сигнал от селезенки в норме слегка более интенсивен, чем от печени.
(Справа) На аксиальной КТ с контрастным усилением визуализируется «объемное образование» в хвосте поджелудочной железы, имеющее одинаковую плотность с селезенкой (добавочная селезенка), которое можно ошибочно принять за первичную (например, нейроэндокринную) опухоль поджелудочной железы. Медиальная поверхность селезенки, а также аксиальные срезы на трех различных уровнях. Селезенка может иметь различный размер и форму даже у одного и того же человека в зависимости от гидратации и питания. С медиальной стороны селезенки часто имеется участок, выбухающий в промежуток между желудком и почкой. Селезеночная артерия и вена, располагающиеся в селезеночно-почечной связке, проходят параллельно телу поджелудочной железы. Хвост поджелудочной железы также проникает в ворота селезенки через селезеночно-почечную связку. В желудочно-селезеночной связке находятся короткие артерии желудка и левая желудочно-сальниковая артерия, кровоснабжающие желудок и верхнюю часть селезенки.
в) Патологические изменения селезенки. Спленомегалия - очень распространенное состояние, которое может быть обусловлено множеством различных причин, традиционно делящихся на пять основных групп в зависимости от этиологии: изменения застойного характера, заболевания крови, воспалительные и инфекционные заболевания, опухоли и инфильтративные изменения.
Поскольку селезенка выполняет функцию «фильтра» крови, в ней часто обнаруживаются метастазы при посмертном исследовании пациентов, погибших от рака. Тем не менее, при лучевых исследованиях метастазы в селезенке выявляются редко, за исключением лейкоза и лимфомы.
Многочисленные новообразования селезенки представляют собой в т. ч. доброкачественные опухоли (гемангиомы, лимфангиомы), однако из-за схожих лучевых признаков редко появляется возможность их специфической диагностики.
Киста селезенки является одной из чаще всего встречающихся находок; тем не менее, на основании методов лучевой диагностики невозможно отличить первичную врожденную кисту (имеющую эпителиальную выстилку) от приобретенной кисты, обусловленной инфарктом, инфекцией или травмой. При этом кисты редко имеют клиническое значение.
Множественные очаги в селезенке обычно являются проявлением гранулематоза, как инфекционного характера (гистоплазмоз или туберкулез), так и неинфекционного (саркоидоз). В гранулемах селезенки часто обнаруживаются обызвествления.
Хвост поджелудочной железы часто пролабирует в ворота селезенки через селезеночно-почечную связку. При этом инфекционный или опухолевый процесс в области хвоста поджелудочной железы легко может распространяться в паренхиму селезенки, что приводит, например, к формированию внутриселезеночной псевдокисты. И, наоборот, опухоль или добавочная селезенка могут имитировать образование хвоста поджелудочной железы.
Относительно частой причиной острой боли в верхних отделах живота слева является инфаркт селезенки. Зона инфаркта выглядит как четко ограниченный участок, часто клиновидной формы, вплотную прилежащий к капсуле селезенки, практически не усиливающийся после введения контраста. В группе риска инфаркта селезенки находятся пациенты с серповидноклеточной анемией и сердечно-сосудистой патологией, например, фибрилляцией предсердий. Пациенты с левожелудочковым устройством вспомогательного кровообращения особенно подвержены инфарктам в результате эмболии.
Селезенка часто повреждается при тупой травме и проникающих ранениях, при у этом у большей части детей и взрослых пациентов с разрывами селезенки восстановление происходит без хирургического вмешательства; однако при наличии признаков экстравазации контраста на КТ либо при нестабильности состояния может потребоваться операция или чрескатетерная эмболизация.
Спленоз - состояние, характеризующееся диссеминацией ткани селезенки по брюшной полости, например, в результате ее травматического разрыва, - можно спутать с полиспленией либо вторичным поражением брюшины (канцероматозом). Тем не менее, наличие факта травмы в анамнезе, отсутствие нормальной селезенки и контрастное усиление фрагментов, идентичное ткани селезенки, позволяет сделать точное заключение.
(Слева) На аксиальной КТ с контрастным усилением у пациента с неходжкинской лимфомой визуализируются многочисленные увеличенные верхние внутрибрюшные лимфатические узлы. Спленомегалия часто является результатом застойных изменений, заболеваний крови, воспалительных (инфекционных) заболеваний, опухолевых или инфильтративных процессов.
(Справа) На аксиальной КТ с контрастом у другого пациента определяется спленомегалия, обусловленная застойными явлениями в результате цирроза (печени) и портальной гипертензии; визуализируется также пупочная вена с признаками реканализации. (Слева) На аксиальной КТ с контрастным усилением в селезенке определяются два очага, больший из которых имеет плотность, близкую к плотности воды, а также тонкую четкую стенку, что типично для простой кисты. Меньший очаг имеет бугристые края и содержимое более высокой плотности, что позволяет заподозрить лимфангиому селезенки.
(Справа) На КТ у пациента с неходжкинской лимфомой определяется выраженное увеличение селезенки, в структуре которой визуализируется гетерогенный, гиподенсный, дискретный неопластический очаг. Определяется также лимфоидная инфильтрация надпочечника и лимфатических узлов во всех отделах брюшной полости. (Слева) На аксиальной КТ с контрастным усилением у пациента с сердечной недостаточностью и жалобами на боль в животе визуализируется устройство вспомогательного желудочкового кровообращения; определяются также клиновидные участки в паренхиме селезенки, вплотную примыкающие к ее капсуле, не накапливающие контраст - изменения, типичные для инфаркта селезенки.
(Справа) На аксиальной КТ с контрастным усилением у пациента после ДТП визуализируется «сторожевой» сгусток около селезенки, а также большое количество геморрагического содержимого в брюшной полости. Обратите внимание на активную экстравазацию крови с плотностью, аналогичной крови в сосудистом русле.
г) Дифференциальная диагностика патологии селезенки:
1. Спленомегалия:
Частые:
• Цирроз (печени) и портальная гипертензия
• Застойная сердечная недостаточность
• СПИД
• Гемоглобинопатии
• Лейкоз
• Саркоидоз
• Мононуклеоз
• Миелопролиферативные заболевания
• Травма селезенки
Менее частые:
• Первичные опухоли селезенки
• Системные инфекции, абсцесс
• Окклюзия селезеночной вены
• Инфаркт селезенки
• Малярия
• Сосудистые коллагеновые заболевания: ревматоидный артрит, склеродермия, дерматомиозит, узелковый периартериит
• Болезни накопления: амилоидоз, гликогеноз
• Пелиоз
2. Множественные кальцинаты селезенки:
Частые:
• Гистоплазмоз
• Туберкулез
• Обызвествление стенки аорты и аневризмы
• Pneumocystis jiroveci
• Инфаркт селезенки
• Киста селезенки
Менее частые:
• Эхинококковая (гидатидная) киста
• Излеченный абсцесс
3. Солидное образование (образования) селезенки:
Частые:
• Травма селезенки
• Инфаркт селезенки
• Метастазы в селезенке и лимфома
• Артефакт перфузии
Менее частые:
• Саркоидоз
• Инфаркт и абсцесс селезенки
• Опухоли селезенки
• Пелиоз
4. Кистозные образования селезенки:
Частые:
• Приобретенная или врожденная киста селезенки
• Травма селезенки
• Инфаркт селезенки
Менее частые:
• Метастазы в селезенке и лимфома
• Инфицирование селезенки и абсцесс
• Опухоли селезенки
• Псевдокиста поджелудочной железы
5. Диффузное повышение плотности селезенки:
Частые:
• Гемохроматоз
• Инфаркт селезенки: серповидноклеточная анемия
Менее частые:
• Оппортунистические инфекции
• Использование торотраста
Редактор: Искандер Милевски. Дата публикации: 17.2.2020
Информация на сайте подлежит консультации лечащим врачом и не заменяет очной консультации с ним.
См. подробнее в пользовательском соглашении.
а) Терминология:
1. Синоним:
• Разрыв селезенки
2. Определение:
• Повреждение паренхимы селезенки, возможно, в сочетании с разрывом капсулы
б) Визуализация:
1. Общая характеристика:
• Лучший диагностический критерий:
о Разрыв селезенки в виде гиподенсного участка с наличием активного кровотечения (высокой плотности)
2. Рентгенологические данные:
• Рентгенография:
о Рентгенография органов брюшной полости:
- Мягкотканное образование в верхних отделах живота слева
- Признаки наличия жидкости в брюшной полости, увеличение расстояния между боковой стенкой живота и нисходящей ободочной кишкой
- Жидкость в полости таза с наличием выбухающих «собачьих ушек»
о Рентгенография органов грудной клетки для выявления сочетанных травм:
- Ателектаз нижней доли левого легкого и (или) консолидация
- Перелом ребер слева, пневмоторакс, жидкость в грудной полости

(Слева) На аксиальной КТ с контрастным усилением у женщины 39 лет, получившей множественные травмы в ДТП, в селезенке определяются многочисленные участки вытянутой и неправильной формы, не накапливающие контраст.
(Справа) На аксиальной КТ с контрастом у этой же пациентки (типичный случай разрыва селезенки) также определяются участки пониженного накопления контраста в селезенке, визуализируется небольшая гематома возле ее края.
3. КТ при повреждении селезенки:
• КТ без контрастного усиления:
о Скопление жидкости в брюшной полости плотностью больше +30 ед. Хаунсфилда или сгусток крови у края селезенки плотностью больше +45 ед. Хаунсфилда:
- Гематома возле края селезенки, в ее паренхиме либо под капсулой:
Гематома возле края селезенки: вплотную прилежит к селезенке и означает нарушение целостности или разрыв ее капсулы
Интрапаренхиматозная гематома: обычно имеет округлую, овоидную или неправильную форму
Подкапсульная гематома: из-за давления, оказываемого капсулой, принимает форму «полумесяца» и поджимает селезенку сбоку
о Симптом «сторожевого сгустка»: плотный сгусток крови, близко прилежащий к селезенке (или любому другому поврежденному участку):
- Является признаком повреждения селезенки даже при отсутствии видимого разрыва
о Периодически возобновляющееся кровотечение приводит к формированию сгустка крови, имеющего слоистую структуру
• КТ с контрастным усилением:
о Разрыв паренхимы: гиподенсный участок в паренхиме селезенки, не накапливающий контраст, имеющий неправильную вытянутую, ветвистую или лучистую форму:
- Может распространяться до капсулы селезенки, обусловливая ее разрыв
- При контрольных исследованиях разрыв должен становиться менее заметным
о Глубокий разрыв селезенки: глубокое повреждение (от капсулы до ворот селезенки)
о Инфаркт селезенки редко (менее чем в 2% случаев) возникает в условиях травмы:
- Может быть сегментарным или тотальным
- Зона инфаркта имеет низкую плотность и клиновидную форму
- Обусловлен тромбозом артериального сосуда в результате повреждения его интимы
- При инфаркте существует вероятность отсроченного разрыва селезенки или формирования абсцесса
о Для активной артериальной экстравазации характерно наличие участка высокой плотности (как в аорте), окруженного геморрагической жидкостью (или сгустками крови) меньшей плотности:
- Участок кровоизлияния может иметь вытянутую форму (струя крови, вытекающая из поврежденного сосуда) либо округлую форму (псевдоаневризма): дифференциальная диагностика осуществляется на основании изображений, полученных в отсроченную фазу:
При активной экстравазации (в отличие от псевдоаневризимы) участок кровоизлияния будет различаться по размеру и форме при изначальном и отсроченном исследовании
Отсроченная фаза обычно не включается в большинство протоколов для травмы, однако может использоваться при обнаружении подозрительного участка в портально-венозную фазу
4. УЗИ при повреждении селезенки:
• Возможен пропуск небольших разрывов, поскольку чувствительность ультразвука при выявлении паренхиматозных повреждений низкая:
о Разрыв выглядит гипо- или изоэхогенным по сравнению с паренхимой селезенки и крайне тяжело обнаруживается посредством УЗИ
• Свободная жидкость в брюшной полости с наличием низкоуровневых эхогенных включений (гемоперитонеум и сгустки крови поблизости от селезенки)
5. Ангиография:
• Разрыв паренхимы (аваскулярный участок) и экстравазация крови (аморфная зона в паренхиме селезенки)
• Уплощение наружного края селезенки, обусловленное подкапсульной гематомой
• Скопления контраста округлой формы (псевдоаневризмы)
6. Рекомендации по визуализации:
• Лучший метод диагностики:
о КТ с контрастным усилением
• Протокол исследования:
о Изображения, полученные в артериальную фазу контрастного усиления, больше подходят для обнаружения активной экстравазации либо псевдоаневризмы
о Для диагностики повреждений паренхимы (например, разрывов) большей чувствительностью обладают изображения, полученные в портально-венозную фазу
о Отсроченное сканирование необходимо для дифференциальной диагностики активной артериальной экстравазации и псевдоаневризмы

(Слева) На аксиальной КТ с контрастным усилением определяется глубокий разрыв селезенки и активная экстравазация. Обратите внимание на разрыв нижнего полюса селезенки, где обнаруживается участок высокой плотности, свидетельствующий об артериальной экстравазации.
(Справа) На аксиальной КТ с контрастом у этой же пациентки определяется большая гематома около селезенки, а также признаки интенсивной артериальной экстравазации.
в) Дифференциальная диагностика повреждения селезенки:
1. Дольчатая селезенка:
• Вариант нормы, при котором селезенка разделена на несколько долей тонкой гиподенсной бороздкой
• Чаще всего борозда обнаруживается в области нижнего или верхнего полюса селезенки
• Отсутствует гематома у края селезенки, свободная жидкость или помутнение жировой клетчатки
2. Абсцесс селезенки:
• Скопление гиподенсной жидкости округлой или неправильной формы в паренхиме селезенки
• Клинические симптомы воспаления: повышение температуры тела, лейкоцитоз, левосторонний экссудативный плеврит
• Отсутствие факта травмы в анамнезе, отсутствие гемоперитонеума
3. Инфаркт селезенки:
• Клиновидный участок низкой плотности, который обычно располагается в периферических отделах селезенки
• Инфаркт сочетается со спленомегалией, возникает на фоне системной эмболии (например, при эндокардите), может также быть обусловлен большим количеством иных причин
• Свободная жидкость или кровь обычно отсутствуют (если инфаркт не осложнен разрывом селезенки)
• Возможно формирование постинфарктного абсцесса
4. Киста селезенки:
• Кистозное образование округлой формы, не накапливающее контраст, имеющее стенку, возможно, также с периферическими обызвествлениями

(Слева) На аксиальной КТ с контрастным усилением у молодого мужчины, пострадавшего в ДТП, определяется разрыв паренхимы селезенки с наличием сгустка крови высокой плотности, прилежащего к ее краю.
(Справа) На аксиальной КТ с контрастным усилением у этого же пациента также определяется сгусток крови, прилежащий к краю селезенки (типичный «сторожевой сгусток»), наряду со скоплением геморрагической жидкости меньшей плотности, более однородной структуры, во всех отделах брюшной полости. Заживление произошло самостоятельно, без хирургического вмешательства.
г) Патология:
1. Общая характеристика:
• Этиология:
о Преимущественно тупая травма верхних отделов живота слева:
- Чаще всего - ДТП
о Проникающие ранения селезенки происходят не так часто
о В редких случаях возможно ятрогенное повреждение селезенки во время операции (особенно на толстой кишке)
о У пациентов со спленомегалией риск повреждения селезенки (обусловленный любой причиной) выше
• Сочетанные патологические изменения:
о Повреждение грудной клетки, хвоста поджелудочной железы, левой доли печени и (или) брыжейки
2. Стадирование, градация и классификация повреждения селезенки:
• Даже «минимальное» повреждение селезенки может привести к выраженному кровотечению или ее разрыву в отдаленный период
• В основе градации, принятой AAST (Американской ассоциацией хирургии травмы), лежит выраженность изменений, обнаруживаемых при лапаротомии; она также применима к изменениям, выявленным на КТ:
о Не учитывает активную экстравазацию и формирование аневризм
о I: подкапсульная гематома (занимающая меньше 10% поверхности селезенки) или разрыв протяженностью меньше 1 см
о II: подкапсульная гематома (занимающая 10-50% поверхности селезенки) или разрыв протяженностью 1-3 см
о III: подкапсульная гематома (больше 50% поверхности селезенки), гематома в паренхиме селезенки протяженностью больше 5 см либо протяженный разрыв длиной больше 3 см, либо повреждение трабекулярных сосудов, подкапсульная или паренхиматозная гематома с разрывом
о IV: разрыв с повреждением сегментарных сосудов либо сосудов в воротах селезенки с деваскуляризацией или инфарктом как минимум 25% объема селезенки
о V: множественные разрывы селезенки, повреждение сосудов в воротах селезенки с ее тотальной деваскуляризацией/ин-фарктом
• Градация повреждений селезенки на основе данных МСКТ (по Marmery):
о I: подкапсульная гематома менее 1 см толщиной, разрыв глубиной меньше 1 см или паренхиматозная гематома меньше 1 см в поперечнике
о II: подкапсульная гематома толщиной 1-3 см, разрыв глубиной 1 -3 см или паренхиматозная гематома 1-3 см в поперечнике
о III: подкапсульная гематома больше 3 см толщиной, разрыв глубиной больше 3 см или паренхиматозная гематома больше 3 см в поперечнике; разрыв капсулы селезенки
о IVА: активная экстравазация в паренхиматозной или подкапсульной гематоме, псевдоаневризма или артериовенозная фистула, множественные разрывы селезенки
о IVВ: активное кровотечение в брюшную полость
д) Клинические особенности:
1. Проявления повреждения селезенки:
• Наиболее частые признаки/симптомы:
о Тупая травма живота, боль в верхних отделах живота слева, гипотония:
- Часто может сочетаться с болью в левой половине грудной клетки, обусловленной переломами ребер, консолидацией нижней доли левого легкого либо левосторонним гемотораксом
- Повреждения других органов брюшной полости в 36,5% случаев
- В 80% случаев повреждения селезенки сочетаются с травмой органов вне брюшной полости
2. Демография:
• Эпидемиология:
о При тупой травме живота из всех паренхиматозных органов чаще всего происходит повреждение селезенки
о При повреждении селезенки чаще всего требуется оперативное вмешательство
3. Течение и прогноз:
• При повреждении селезенки высока вероятность возникновения отсроченного кровотечения; однако при раннем вмешательстве (операции или эмболизации) прогноз крайне благоприятный
• Обнаружение активной артериальной экстравазации или псевдоаневризмы является наиболее информативным признаком неэффективности консервативного лечения и необходимости операции
4. Лечение повреждения селезенки:
• Пациенты с повреждениями селезенки и нестабильной гемодинамикой нуждаются в оперативном лечении, если получены положительные результаты ургентного УЗИ (FAST) или диагностического перитонеального лаважа (ДПЛ):
о У 29% взрослых пациентов и 40% детей при отсутствии крови в брюшной полости возможен ложноотрицательный результат FAST УЗИ или ДПЛ
• Пациенты с повреждениями селезенки I-III степени по шкале AAST и со стабильной гемодинамикой при отсутствии других повреждений лечатся консервативно (им показано наблюдение либо эмболизация):
о Консервативное лечение показано вплоть до 70% случаев
о Позволяет избежать рисков, связанных с операцией, а также сепсиса, обусловленного спленэктомией
о Спленэктомия показана при тяжелых повреждениях, при нестабильности гемодинамики либо неэффективности консервативной терапии (при отсроченном разрыве селезенки)
• Консервативные методы терапии особенно показаны детям
е) Диагностическая памятка. Следует учесть:
• Наличие борозды, разделяющей селезенку на несколько долей, при отсутствии гематомы по краю селезенки или свободной жидкости, позволяет предположить скорее врожденный вариант развития селезенки (дольчатость), чем ее разрыв
• Даже незначительные повреждения селезенки могут обусловливать отсроченное кровотечение, опасное для жизни, особенно при нарушении свертываемости крови либо при приеме антикоагулянтов
Читайте также:
