Острый миелоидный лейкоз
Добавил пользователь Владимир З. Обновлено: 07.01.2026
Под ред.: Киргизова К.И., Заместителя директора (НИИ ДОиГ ФГБУ "НМИЦ онкологии им. Н.Н. Блохина" Минздрава России) по научной и образовательной работе, врач-детский онколог, ведущий научный сотрудник, к.м.н.
Острый миелоидный лейкоз (ОМЛ) у детей занимает 2-е место среди всех детских лейкемий. Что представляет собой и как проявляется миелобластный лейкоз? Как он лечится и какие могут быть прогнозы? Разбираемся подробно.
Что такое ОМЛ?
ОМЛ – это рак крови, злокачественная трансформация миелоидного ростка крови, которая ведет к быстрому размножению измененных белых кровяных клеток. ОМЛ у детей составляет около 20 % всех случаев острых лейкозов и около 6 % всех детских онкологических заболеваний.
Этиология и патогенез (механизмы возникновения и развития) миелоидного лейкоза связаны с многоэтапными мутациями так называемых гемопоэтических клеток-предшественниц. Это клетки системы кроветворения, из которых потом получаются все остальные виды клеток крови – в том числе, эритроциты, тромбоциты и лейкоциты.
При ОМЛ мутировавшие клетки быстро размножаются и вытесняют собой здоровые, вызывая симптомы миелоидной лейкемии.
Формы ОМЛ
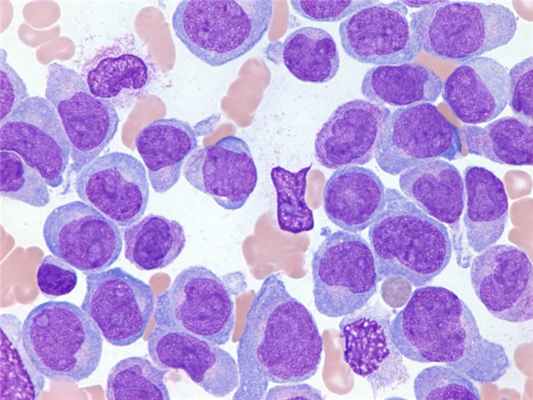
Диагноз «миелобластный лейкоз» у детей устанавливается при обнаружении в костном мозге или в периферической крови более 20 % бластных (незрелых) клеток. Существует несколько разновидностей классификации ОМЛ – в зависимости от типов нарушений, генетических мутаций или степени созревания миелобластов.
- ОМЛ с устойчиво выявляемыми генетическими аномалиями;
- ОМЛ с изменениями, связанными с миелодисплазией;
- Миелоидные неоплазии, связанные с предшествующей химиотерапией;
- ОМЛ, по-другому не специфицированные (NOS);
- Миелоидная саркома (экстрамедуллярная миелоидная опухоль; гранулоцитарная);
- Саркома, хлорома;
- Миелоидные опухоли, связанные с синдромом Дауна;
- Опухоль из плазмацитоидных дендритных клеток;
- Острые лейкозы неопределенной линии дифференцировки.
- C92.0 ОМЛ.
- C92.3 Миелоидная саркома (хлорома, гранулоцитарная саркома).
- C92.4 Острый промиелоцитарный лейкоз.
- C92.5 Острый миеломоноцитарный лейкоз.
- С92.6 Острый миелоидный лейкоз с 11q23-аномалией.
- C92.7 Другой миелоидный лейкоз.
- С92.8 Острая миелоидная лейкемия с мультилинейной дисплазией.
- C92.9 Миелоидный лейкоз неуточненный.
- С93.0 Острый моноцитарный лейкоз.
- C94.0 Острая эритремия и эритролейкоз.
- C94.2 Острый мегакариобластный лейкоз.
Симптомы ОМЛ у детей
Клинические проявления миелогенной лейкемии достаточно неспецифичны, их можно спутать с рядом других болезней. Поэтому очень важно проводить дифференциальную диагностику ОМЛ с заболеваниями кроветворной и иммунной систем, другими видами лейкоза.
- анемия (частая/постоянная усталость, вялость, бледность);
- кожный геморрагический синдром («беспричинные» синяки, лопнувшие капилляры и т. д.);
- регулярно возникающая интоксикация и лихорадка, частые инфекционные заболевания;
- увеличение печени, селезенки и лимфатических узлов.
Факторы риска для ОМЛ
Точные причины возникновения и развития ОМЛ до сих пор не установлены, однако можно дать осторожный прогноз относительно того, какие дети находятся в зоне риска:
- врожденная агаммаглобулинемия (болезнь Брутона);
- атаксия-телеангиоэктазия (синдром Луи-Бар);
- анемия Даймонда–Блекфана;
- анемия Фанкони;
- синдром Дауна;
- синдром Ли-Фраумени;
- синдромы репарации неспаренных оснований;
- нейрофиброматоз 1-го типа;
- синдром Нунан;
- синдром Блума;
- синдром Швахмана–Даймонда.
Диагностика ОМЛ
Непосредственно диагноз ОМЛ устанавливается и подтверждается с помощью различных исследований лейкемических клеток крови и других методов диагностики. Далее мы расскажем о них подробнее.
Обследование при ОМЛ
- признаки анемии;
- наличие жара и лихорадки;
- проявления геморрагического синдрома на коже и слизистых;
- лейкемическую инфильтрацию (уплотнения) кожи;
- неврологический статус.
Анализы крови при ОМЛ
Одним из базовых исследований, необходимых для диагностики ОМЛа, является общий клинический анализ крови. При его выполнении необходимо исследовать уровень гемоглобина, количество эритроцитов, тромбоцитов и лейкоцитов. Лейкоцитарная формула при таком анализе обязательно должна быть подсчитана вручную, автоматического подсчета недостаточно.
Дополнительно могут быть назначены биохимический анализ крови и коагулограмма. Показатели этих анализов крови позволят оценить степень распространения ОМЛ, сопутствующие патологии и тактику лечения.
Аспирация (пункция) костного мозга
Забор пункции костного мозга – это рутинная процедура, без которой невозможно представить полную диагностику ОМЛ. Она производится, как правило, под общей анестезией и позволяет получить достаточное количество препаратов (образцов) костного мозга.
На основе данных после аспирации костного мозга будет проводиться большинство дальнейших исследований.
Цитологическое исследование
Миелограмма или цитологическое исследование мазка костного мозга – это лабораторное исследование, при котором оценивают морфологическую структуру клеточных элементов. Именно на этом этапе подсчитывают количество бластных (незрелых) клеток в мазке. Если их более 20 %, то ставят диагноз ОМЛ.
Также выполняются цитологическое и цитохимическое исследования костного мозга. Цитохимия позволяет подтвердить факт ОМЛ и определить его клеточную дифференцировку (подтип).
Иммунофенотипирование
Это исследование позволяет определить принадлежность бластных клеток и, соответственно, подтвердить диагноз ОМЛ. Оно также выполняется на клетках костного мозга с помощью специальной системы флуоресцентных меток, присоединенных к антигенам клеток.
Цитогенетическое и молекулярно-генетическое исследования
Они выполняются при первичной диагностике ОМЛ, а также при подтвержденном рецидиве заболевания.
Цитогенетическое (кариотип) и молекулярно-генетическое исследования позволяют выявить хромосомные аномалии и уточнить подгруппу ОМЛ.
Это особенно важно, так как ученые доказали прямую связь между количеством и типом хромосомных аномалий и прогнозом выживаемости у пациентов с ОМЛ.
Существует также молекулярно-цитогенетическое (FISH-метод) исследование, которое дает возможность подтвердить эту информацию и подобрать максимально точную терапию. В ряде случаев на основе этих исследований может быть подобран препарат для таргетной терапии.
Спинномозговая пункция
Спинномозговая (люмбальная) пункция – это забор спинномозговой жидкости, который осуществляется путем прокола оболочки спинного мозга специальной иглой в области поясницы.
Анализ этой жидкости позволяет оценить степень вовлечения центральной нервной системы – диагностировать нейролекемию или ее отсутствие.
В целом при ОМЛ центральная нервная система оказывается затронутой менее чем в 5 % случаев. Однако в клинических рекомендациях данная процедура является обязательной в том случае, если ее позволяет осуществить уровень тромбоцитов и лейкоцитов у пациента.
Компьютерная томография, магнитно-резонансная томография и ультразвуковое исследование
Данные процедуры выполняются как до начала терапии, так и в ходе лечения. Компьютерная и магнитно-резонансная томографии головного мозга и грудной клетки позволяют определить изменения в структурах мозга, легочной ткани и расположенных рядом органах. Ультразвуковое исследование органов брюшной полости, малого таза, а также яичек (у мальчиков) помогает оценить размеры соответствующих органов, печени, селезенки и лимфатических узлов.
Лечение ОМЛ
В основе лечения ОМЛ у детей лежит метод интенсивной полихимиотерапии – комбинированное сочетание различных препаратов. При необходимости химиотерапию дополняют трансплантацией гемопоэтических стволовых клеток. Ниже мы раскроем суть этих методов.
Химиотерапия при ОМЛ
Эффективность химиотерапии при лечении ОМЛ зависит от 2 важнейших факторов: специфичности (точности подбора) препаратов и адекватности сопроводительного лечения.
Обычно при ОМЛ применяется комбинация цитостатических препаратов, которые вводятся внутривенно или интратекально (в спинномозговой канал).
Действие цитостатиков направлено на подавление роста, развития и распространения злокачественных клеток крови. Для лечения ОМЛ эффективно применяется сравнительно небольшое количество препаратов, поэтому в настоящее время в медицине идут активные поиски средств для таргетной терапии.
Таргетная терапия
В целом суть таргетной терапии заключается в прицельном воздействии на раковые клетки. В отличие от традиционной химиотерапии, которая «бьет» широким кругом по всем клеткам крови, таргетная терапия здоровые клетки не затрагивает. Она действует точечно, разрушая именно лейкозные клетки конкретного типа и подгруппы.
В случае с ОМЛ таргетная терапия пока носит скорее экспериментальный характер, и в широкой практике для большинства типов ОМЛ не применяется. Однако именно с этим методом и его дальнейшим развитием специалисты связывают большие надежды на критическое улучшение средних прогнозов выживаемости при ОМЛ.
Трансплантация гемопоэтических стволовых клеток
Трансплантация гемопоэтических клеток (ТГСК), также известная как трансплантация костного мозга, это замена злокачественных лейкозных клеток пациента здоровыми кроветворными клетками донора. Она проводится для пациентов группы высокого риска при достижении первой ремиссии. Для такой трансплантации подходят HLA-совместимые родственные или неродственные доноры.
Пациентам из группы промежуточного риска ТГСК назначают в индивидуальном порядке, обычно при наличии HLA-геноидентичного сиблинга (брата или сестры с нужными параметрами генов)
Также ТГСК показана детям с рецидивами ОМЛ и рефрактерным (не отвечающим на химиотерапию) течением болезни.
Лучевая терапия
При лечении ОМЛ у детей к лучевой терапии прибегают достаточно редко. Согласно российским клиническим рекомендациям краниальную лучевую терапию (т. е., облучение головного мозга) назначают детям старше 3 лет, у которых диагностировано первичное поражение центральной нервной системы, не отвечающее на лечение с помощью химических препаратов.
Этапы лечения ОМЛ
Базовые этапы лечения ОМЛ включают в себя 2 основные фазы: индукцию и консолидацию.
Индукция
Курс индукции заключается в применении базовой комбинации препаратов, эффективных в отношении ОМЛ. Он направлен на достижение ремиссии и восстановление гемопоэза – процесса нормального образования, развития и созревания здоровых клеток крови.
Дозировка препаратов и продолжительность курса подбираются индивидуально при соблюдении основного принципа лечения острых лейкозов: максимум эффективности при минимуме токсичности.
Консолидация
Консолидирующая терапия – это короткая (не более 3 курсов) фаза, в ходе которой специалисты стремятся уничтожить оставшиеся после этапа индукции раковые клетки. Это необходимо для достижения стойкой ремиссии и уменьшения рисков возникновения рецидива. Как раз после завершения фазы консолидации при необходимости проводят ТГСК.
Поддерживающая терапия
Необходимость этого этапа при лечении ОМЛ в данный момент является предметом дискуссий в медицинской среде. В настоящее время назначение поддерживающей терапии при ОМЛ обсуждают в каждом случае индивидуально, взвешивая пользу и риски для конкретного пациента.
Прогноз при ОМЛ у детей
Важно понимать, что в онкологии понятие «прогноз» отличается от привычного для обычной аудитории понятия «продолжительность жизни». Задача медицины – не отвечать на вопрос «Сколько живут люди с данным диагнозом?», а давать прогностические риски, от которых будут зависеть, в том числе, выбор терапии и тактика ведения пациента.
Так, в зависимости от результатов исследования кариотипа и установления точных хромосомных аномалий всех детей с ОМЛ делят на 3 основные группы: благоприятного, промежуточного и неблагоприятного прогноза. От того, в какую группу попадет пациент, зависит тактика лечения, подбор дозировок химиотерапии, возможность применения таргетной терапии и необходимость проведения ТГСК.
Выживаемость детей с острым промиелоцитарным лейкозом доходит до 80–90 %. При этом ученые проводят клинические исследования и разрабатывают новые методы лечения ОМЛ.
Вероятность рецидива ОМЛ
Под рецидивом ОМЛ понимают нахождение не менее 10 % лейкемических бластов в костном мозге или любые новообразования в области спинного мозга не менее чем через 1 месяц после установления первой полной ремиссии. К сожалению, рецидив ОМЛ случается у 40 % пациентов.
При терапии рецидивов прибегают к интенсивной высокодозной полихимиотерапии и ТГСК. Прогностические риски рассчитываются для каждого пациента индивидуально.Методов профилактики рецидива ОМЛ также не существует. Однако каждому пациенту, достигшему ремиссии, рекомендовано регулярное диспансерное наблюдение для контроля состояния и, в том числе, для ранней диагностики возможного рецидива болезни.
Последствия ОМЛ
- рецидив ОМЛ;
- рак, возникший в результате лечения ОМЛ;
- заболевания костей и желудочно-кишечного тракта;
- нарушения в работе сердечно-сосудистой и легочной систем;
- эндокринные заболевания;
- психологические и неврологические проблемы, включая нарушения сна, депрессию, сложности с планированием своих действий и др.
Читайте реальные истории детей, родителей и врачей, ведущих борьбу с лейкозом.
Источники
1. Национальное общество детских гематологов и онкологов. Клинические рекомендации «Острые миелоидные лейкозы», 2020.
Программа La Fondation La Roche-Posay (Ля Фондейшн Ля Рош Позэ) и CCI (Международная Ассоциация по борьбе с детским раком) прилагают все усилия, чтобы гарантировать, что предоставленная информация является точной и актуальной на момент публикации. Мы не несем ответственность за информацию, предоставленную третьими лицами, в т.ч. теми, на которых ссылаемся или выделили в данной публикации. Информацию в данной публикации следует использовать как дополнение к соответствующим профессиональным консультациям в ваших конкретных обстоятельствах.
Острый миелоидный лейкоз
Лейкоз, или лейкемия — заболевание костного мозга, в обиходе иногда называемое «раком крови». При лейкозе нарушено нормальное кроветворение: производится избыточное количество аномальных незрелых клеток крови, обычно предшественников лейкоцитов. Эти бластные клетки, размножаясь и накапливаясь в костном мозге, мешают выработке и функционированию нормальных клеток крови, что и обуславливает основные симптомы заболевания.
Как известно, различные клетки крови развиваются по-разному и имеют разных предшественников — то есть относятся к различным линиям кроветворения (см. схему в статье «Кроветворение»). Линия кроветворения, приводящая к появлению лимфоцитов, называется лимфоидной; остальные же лейкоциты и другие клетки крови относятся к миелоидной линии. Соответственно, различают лейкозы из клеток-предшественников лимфоцитов (такие лейкозы называют лимфобластными, лимфоцитарными или просто лимфолейкозами) и из предшественников других клеток (такие лейкозы называют миелобластными, миелоидными или просто миелолейкозами).
Острый миелоидный лейкоз (ОМЛ, острый миелобластный лейкоз, острый миелолейкоз, острый нелимфобластный лейкоз) — заболевание, сравнительно редко встречающееся у детей, однако с возрастом частота его возрастает. Термин «острый» означает быстрое развитие болезни, в противоположность хроническому лейкозу. Термин «миелоидный» (см. выше) означает, что незрелые клетки, составляющие основу болезни, принадлежат к так называемой миелоидной линии кроветворения. Эти клетки — как правило, миелобласты и их потомки, но возможно и присутствие других видов бластных клеток.
В рамках франко-американско-британской морфологической классификации (ФАБ, FAB) выделяют 8 основных вариантов ОМЛ.
Некоторые очень редкие варианты ОМЛ не включены в этот список. Варианты ОМЛ с М3 по М7, имеющие собственные названия и некоторые специфические особенности, более подробно рассмотрены в отдельных разделах нашего справочника.
Частота встречаемости, факторы риска
ОМЛ составляет у детей около 15% всех случаев онкологических заболеваний кроветворной системы, то есть встречается у них заметно реже, чем острый лимфобластный лейкоз. Среди детей до 14 лет частота ОМЛ составляет приблизительно 0.6-0.8 случаев на 100 тысяч человек в год, однако в возрасте после 40-45 лет происходит резкий подъем заболеваемости. Большинство больных ОМЛ — пожилые люди. В отличие от острого лимфобластного лейкоза, где пик заболеваемости наблюдается в детском возрасте, при ОМЛ дети составляют всего 10% больных.
В большинстве случаев ОМЛ невозможно назвать непосредственную причину заболевания. Однако некоторые факторы повышают вероятность возникновения ОМЛ: воздействие ряда химических препаратов, ионизирующей радиации (в том числе в ходе предшествующего лечения других онкозаболеваний). Иногда наблюдаются и случаи заболевания ОМЛ среди близких родственников, что говорит об определенной роли генетической предрасположенности. Но конкретные генетические особенности, повышающие риск развития лейкоза, во многих случаях пока не удается выделить, хотя исследования постоянно ведутся.
Развитию ОМЛ могут предшествовать некоторые заболевания кроветворной системы, такие как миелодиспластический синдром. Тогда говорят о вторичном лейкозе. Наконец, риск ОМЛ повышен при определенных генетически обусловленных аномалиях, включая синдром Дауна, анемию Фанкони и др.
Признаки и симптомы
ОМЛ характеризуется множеством различных признаков и у разных больных может проявляться по-разному. Ведущими, как правило, являются признаки анемии: утомляемость, бледность, одышка, снижение аппетита. Недостаток тромбоцитов проявляется повышенной кровоточивостью при порезах и ушибах, носовыми кровотечениями, «беспричинным» появлением синяков и кровоподтеков. Нередко встречаются устойчивые к лечению инфекции, так как у больного для борьбы с ними слишком мало «нормальных» (зрелых) лейкоцитов. Может возникнуть поражение слизистых оболочек рта и желудочно-кишечного тракта, припухлость десен. Нередко повышена температура тела, ощущаются боли в костях. Иногда возникают опухоли из лейкемических клеток вне костного мозга — миелосаркома.
Так как большинство симптомов может быть связаны и с другими заболеваниями и не специфично для ОМЛ, перед началом лечения необходимо уточнение диагноза на основании лабораторных методов, которое в срочном порядке производится в больничных условиях.
Диагностика
При ОМЛ возникают изменения в обычном клиническом анализе крови: недостаток эритроцитов и тромбоцитов, нередко избыток лейкоцитов, причем многие из них представлены незрелыми формами. Но надежно поставить диагноз можно только при исследовании образца костного мозга. Согласно критериям Всемирной организации здравоохранения, диагноз ОМЛ ставится, если содержание миелобластов в костном мозге не менее 20% (согласно франко-американо-британской классифиции FAB, пороговым значением является 30%).
Для лечения и оценки прогноза заболевания важно не только подтвердить диагноз «лейкоз», но и различить острый лимфобластный лейкоз и ОМЛ, разграничить лейкоз и миелодиспластический синдром, а также определить конкретный вариант ОМЛ (см. выше). Для этой цели применяется не только морфологическое исследование клеток (микроскопическое исследование специальным образом окрашенных препаратов), но и цитохимический анализ, а также иммунофенотипирование (изучение белков-антигенов на поверхности клеток). Цитогенетические исследования применяются для обнаружения хромосомных перестроек — в первую очередь транслокаций, имеющих большое значение для определения варианта болезни и прогноза. Возрастающую роль играют и молекулярно-генетические анализы.
Точная диагностика ОМЛ и его вариантов иногда представляет собой сложную задачу, требующую участия высококвалифицированных гематологов и гемопатологов в диагностическом процессе.
Как и при остром лимфобластном лейкозе, результаты диагностических исследований при ОМЛ используются для отнесения пациента к той или иной группе риска. Это необходимо для того, чтобы определить тактику лечения, оценить как вероятность ответа на химиотерапию, так и риск последующего рецидива. У пациентов, принадлежащим к группе низкого риска, больше шансов достичь долговременной ремиссии при стандартном химиотерапевтическом лечении, а при высоком риске для успеха терапии будет планироваться трансплантация костного мозга.
Группу риска определяют многие факторы. Перечислим некоторые из них:
Возраст: у больных среднего и пожилого возраста прогноз в среднем хуже, чем у детей и молодых людей.
Хромосомные изменения в лейкемических клетках. Так, транслокации t(15;17) или t(8;21) определяют у больных более низкий риск. В то же время, например, определенные цитогенетические изменения изменения связаны с ухудшением прогноза.
Вариант лейкоза. Некоторые варианты ОМЛ (такие как М0, М6, М7) связаны с высоким риском, а некоторые, напротив, сравнительно хорошо поддаются современной терапии (ОМЛ М3).
С более высоким риском связан вторичный лейкоз, возникший на фоне другого гематологического заболевания — такого как миелодиспластический синдром или анемия Фанкони, — или после прохождения лечения (химиотерапия, облучение) по поводу какой-либо злокачественной опухоли. Риск также повышается при рецидиве лейкоза.
Лечение
Главным методом лечения ОМЛ является химиотерапия. Как в случае острого лимфобластного лейкоза, лечение включает фазы индукции ремиссии и консолидации; иногда применяется также поддерживающая терапия.
Индукция ремиссии — интенсивная терапия, направленная на достижение ремиссии лейкоза. При большинстве вариантов ОМЛ индукция ремиссии производится при помощи интенсивной химиотерапии с использованием цитарабина (цитозара) и лекарств антрациклинового ряда (даунорубицин, идарубицин), иногда с добавлением других препаратов — например, этопозида или митоксантрона.
Специфической особенностью терапии при остром промиелоцитарном лейкозе (ОМЛ М3) является использование лекарства ATRA (полностью транс-ретиноевая кислота) или других лекарств с похожим действием (триоксид мышьяка).
Если в результате терапии индукции оказывается, что в костном мозге стало менее 5% бластных клеток (на фоне восстановления кроветворения) и у пациента нет других проявлений болезни, то констатируется достижение ремиссии.
В результате курсов индукции удается достичь ремиссии у большинства пациентов. Однако достигнутая ремиссия не может быть стойкой без терапии консолидации, то есть закрепления ремиссии. В фазе консолидации уничтожаются остаточные количества аномальных бластных клеток во избежание рецидива заболевания. Важнейшим препаратом в фазе консолидации при лечении ОМЛ является цитарабин, в том числе высокодозный; к нему часто добавляются другие препараты в разных сочетаниях.
При лечении рецидивов ОМЛ часто используются режимы химиотерапии, включающие в себя флударабин.
На этапах индукции и консолидации внутривенное введение химиотерапевтических препаратов производится в условиях больничного стационара.
Поддерживающая терапия используется далеко не во всех случаях (в отличие от острого лимфобластного лейкоза), однако при варианте ОМЛ М3 она важна. Эта терапия менее интенсивна, чем терапия индукции и консолидации, и не требует пребывания в больнице.
Иногда при ОМЛ к терапии добавляются современные таргетные препараты. Конкретные лекарства зависят от генетических особенностей опухолевых клеток. Например, при определенной генетической поломке эффективен препарат сорафениб.
Нейролейкемия менее характерна для ОМЛ, чем для острого лимфобластного лейкоза. Но иногда она встречается, чаще у детей при вариантах ОМЛ М3, М4 и М5. Для ее лечения и профилактики могут использоваться цитарабин, метотрексат и глюкокортикостероиды, вводимые интратекально, посредством люмбальной пункции спинномозгового канала.
Для снижения вероятности рецидива части пациентов показана трансплантация костного мозга. При ОМЛ она используется чаще, чем при остром лимфобластном лейкозе. Показаниями к трансплантации могут служить, например,
вариант болезни, связанный с более высоким риском (см. выше),
цитогенетические изменения в лейкемических клетках, связанные с высоким риском,
вторичный ОМЛ, развившийся на фоне миелодиспластического синдрома или другой болезни крови, или же после предшествующего лечения злокачественных опухолей.
Вероятность успеха трансплантации максимальна, если проводить ее после достижения первой ремиссии. У детей трансплантации производятся чаще, чем у взрослых, и в среднем более успешны. Постоянно ведется работа над совершенствованием режимов трансплантации.
В ходе интенсивной химиотерапии ОМЛ практически всегда в той или иной мере подавляется нормальное кроветворение. Поэтому многим больным ОМЛ необходимы переливания компонентов крови: тромбоцитов во избежание кровотечений и эритроцитов для лечения анемии.
Поскольку и лейкоз сам по себе, и используемая при его лечении химиотерапия резко снижают сопротивляемость организма различным инфекциям, то больным во время лечения часто необходимы эффективные антибактериальные, противогрибковые и противовирусные лекарства для профилактики и терапии инфекционных осложнений. Опасность представляют как обычные, так и оппортунистические инфекции.
Лечение ОМЛ накладывает ограничения на образ жизни больного. В ходе интенсивной химиотерапии необходимо соблюдать диету и строгие правила гигиены, а также минимизировать контакты с внешним миром во избежание инфекций. Врачи и медсестры сообщают каждому больному, что ему можно и что нельзя на текущем этапе лечения.
Общая продолжительность лечения при различных формах ОМЛ составляет от нескольких месяцев до (в случае варианта М3) 2-3 лет.
Постоянно появляются новые таргетные лекарства, которые помогают излечивать больных со сложными случаями ОМЛ. Так, некоторым пациентам помогает венетоклакс («Венклекста») и/или даратумумаб («Дарзалекс»). Иногда используется конъюгированный препарат гемтузумаб озогамицин («Милотарг»). Кроме того, совершенствуются протоколы трансплантации костного мозга.
Прогноз
Без лечения ОМЛ, как правило, приводит к гибели больного в течение нескольких месяцев, иногда даже нескольких недель. Однако при современном лечении многих можно спасти. Прогноз зависит от конкретного варианта лейкоза, хромосомных особенностей лейкемических клеток, возраста, общего состояния больного и других факторов.
В настоящее время медицина в развитых странах способна излечить более 65% детей, заболевших ОМЛ. В частности, постоянно улучшаются результаты трансплантации костного мозга. В среднем и пожилом возрасте, к сожалению, вероятность излечения существенно ниже.
Следует отметить, что большинство пациентов с ОМЛ — это именно пожилые больные. По сравнению с молодыми они тяжелее переносят лечение и хуже на него отвечают. Лишь у меньшинства пациентов старше 60 лет удается достичь длительной ремиссии. Для остальных зачастую основным становится поддерживающее лечение (борьба с инфекциями, переливания компонентов крови, обезболивание) для продления жизни и улучшения ее качества.
Миелоидный лейкоз
Миелоидный лейкоз – это заболевание костного мозга, при котором наблюдается быстрое размножение измененных белых кровяных клеток. Другие названия этого заболевания – ОМЛ, острый нелимфобластный лейкоз и острый миелогенный лейкоз. В народе этот недуг называют рак крови.
При лейкозе нарушается нормальное кровообращение, вследствие чего организм начинает производить избыточное количество аномальных клеток крови. Эти клетки с течением времени размножаются и накапливаются в костном мозге, а затем начинают мешать выработке и функционированию нормальных клеток, что и приводит к развитию рака крови.
В случае острого миелоидного лейкоза разрастание опухолевой ткани происходит прежде всего в той области, где локализуется костный мозг, и с развитием заболевания происходит постепенное замещение опухолевой тканью нормальных кроветворных ростков.
Чаще всего болеют люди среднего возраста, мужчины и женщины: пик заболеваемости миелоидным лейкозом приходится на возраст 30-60 лет, примерно 25-30% составляют пациенты старше 60 лет. У детей острый миелоидный лейкоз встречается относительно редко и составляет не более 2-5% от числа всех случаев заболевания раком крови.
Причины развития миелоидного лейкоза
На сегодняшний день точная причина развития миелоидного лейкоза пока неизвестна. Согласно одной из гипотез, это заболевание возникает вследствие неконтролируемого обмена генетическим материалом между разными хромосомами, которые на определенной стадии существования размещены в непосредственной близости друг от друга. Также изучается влияние на заболеваемость лейкозом гербицидов, инсектицидов и слабого электромагнитного излучения. Уже доказано увеличение риска развития рака крови у лиц, в прошлом подвергшихся воздействию ионизирующей радиации.
Хронический миелоидный лейкоз
Хронический миелоидный лейкоз (ХМЛ) на сегодняшний день занимает третье место среди всех видов лейкозов. На его долю приходится примерно 20% случаев рака крови.
Различают три стадии хронического миелолейкоза:
- Первая, хроническая стадия. Во время ее протекания больной ощущает общее недомогание, слабость, повышенную потливость, снижение работоспособности, снижение веса, отсутствие аппетита. Также наблюдается бледность и общий нездоровый вид, иногда ощущаются периодические боли в левом подреберье. Однако к врачам на этой стадии обращаются далеко не все.
- Прогрессирование заболевания под названием «акселерация» или «ускоренная стадия». К вышеописанным симптомам добавляются резкая боль в костях, лихорадка. Медицинские исследования свидетельствуют об увеличении печени и селезенки.
- Третья стадия хронического миелоидного лейкоза называется бластным кризом. На этом этапе лихорадка и боли значительно усиливаются, развивается геморрагический синдром, при этом печень продолжает увеличиваться и происходит ее патологическое разрастание.
Лечение миелоидного лейкоза
Наиболее эффективным лечение бывает в том случае, когда рак крови выявляется в первой, хронической стадии. В этом случае стойкое улучшение состояния наблюдается примерно у 85% заболевших. Но и при последующих стадиях заболевания не надо опускать руки, а стоит прислушаться к советам врачей и пройти курсы лечения.
Лечение хронического миелоидного лейкоза, которое проводится в Международном медицинском центре ОН КЛИНИК, в основном состоит из химиотерапии, которая делится на два этапа: индукция и постремиссонное (консолидационное) лечение. Точную схему подбирает лечащий врач.
Острый миелобластный лейкоз

Острым миелобластным лейкозом (наиболее часто используемая аббревиатура — ОМЛ) называют злокачественную патологию крови и костного мозга, характеризующуюся бесконтрольным продуцированием незрелых (бластных) миелоцитарных клеток — эритроцитов, гранулоцитов, нейтрофильных лейкоцитов, тромбоцитов. Заболевание диагностируется в случаях, когда в миелограмме обнаруживается свыше 20% незрелых клеток. Его характерной особенностью является быстрое течение: в течение нескольких месяцев незрелые клетки начинают преобладать в составе крови, из-за чего она перестаёт выполнять свои основные функции. Состояние больного резко ухудшается, и при отсутствии лечения прогноз крайне неблагоприятен.

Онкогематологи различают несколько десятков разновидностей острого миелоидного лейкоза, которые группируются по сходным признакам:
- с типичными генетическими мутациями;
- с дисплазией, обусловившей изменение клеток;
- возникшие в результате лечения других заболеваний;
- с разрастанием миелоидного ростка на фоне синдрома Дауна;
- миелоидные саркомы;
- дендритноклеточные плазмацитоидные опухоли.
В зависимости от формы заболевания врач выбирает тактику лечения, так как продолжительность ремиссий и общий прогноз для разных видов имеют серьёзные отличия.
Симптомы
В начальной стадии острого миелобластного лейкоза симптомы практически отсутствуют, с развитием болезни у пациента развиваются:
- бледность кожи и другие признаки анемии;
- кровотечения из носа и дёсен, многочисленные кровоподтёки на коже;
- повышенная температура в пределах 37-38 градусов (субфебрильная);
- обильное выделение пота по ночам;
- сыпь на коже в виде мелких красноватых пятнышек;
- одышка даже после небольших нагрузок;
- постоянные боли в костях и суставах;
- частые простудные и другие инфекции;
- увеличенные лимфоузлы;
- резкое снижение веса без видимых причин.
Причины и факторы риска
В настоящее время неизвестно, какие именно воздействия побуждают ростки крови к злокачественным мутациям, однако онкологи хорошо изучили факторы, способствующие развитию острого миелобластного лейкоза.
- Воздействие канцерогенов. Некоторые химические соединения могут побуждать клетки к изменению. Это ряд продуктов, образующихся во время курения табака и неполного окисления жиров, многие виды промышленных выбросов, некоторые лекарственные препараты и т. д.
- Излучение. Рентгеновские лучи и другие радиоактивные, ионизирующие излучения изменяют наследственный аппарат живых клеток.
- Генетический фактор. Риск заболевания повышается в несколько раз для людей, у которых близкие родственники болели лейкозом.
- Заболевания. Некоторые болезни увеличивают вероятность рака крови. Это синдром Дауна, врождённая анемия и тромбоцитопения, нейрофиброматоз и т. д.
Диагностика
Лабораторные анализы крови и образцов костного мозга являются основными способами диагностики острого миелобластного лейкоза. Это:
- общий анализ периферической крови;
- миелограмма;
- цитохимический анализ незрелых клеток;
- иммунофенотипирование;
- цитогенетический анализ;
- молекулярно-генетический анализ;
- HLA-типирование;
- биохимический анализ крови;
- проба Реберга;
- коагулограмма.
Кроме того, пациенту назначают инструментальные исследования внутренних органов для оценки их состояния: УЗИ брюшной полости, ЭКГ, рентген грудной клетки. Впоследствии могут быть назначены другие анализы и исследования.
Лечение
Основным методом лечения острого миелобластного лейкоза является химиотерапия, которая проводится в два этапа:
- индукция — снижение количества незрелых клеток для достижения ремиссии;
- консолидация — максимальное продление ремиссии, предотвращение рецидивов, устранение остаточных явлений.
Интенсивная терапия, применяемая на этапе индукции, позволяет достигнуть ремиссии примерно в 70% клинических случаев. Но заканчивать на этом лечение категорически не следует, так как без программы консолидации у пациентов практически всегда спустя некоторое время наступает рецидив.
Консолидационный этап, в зависимости от состояния больного, включает до пяти курсов химиотерапии. Если риск рецидива достаточно высок, проводится пересадка костного мозга и/или стволовых клеток кроветворения. Лучшими донорами считаются родные братья и сёстры, особенно однояйцевые близнецы.
Кроме того, пациентам часто назначают введение эритроцитарной массы, трансфузионную терапию (переливания крови и её препаратов). Тактика лечения обычно выбирается в соответствии с возрастом пациента. Ремиссия считается достигнутой, если количество миелобластных клеток в костном мозге удаётся снизить до 20% и менее.
Прогнозы
При остром миелоидном лейкозе прогноз жизни зависит от возраста больного — после 60 лет шансы на выздоровление составляют 20-25%, тогда как у более молодых пациентов они достигают 70, а в некоторых клиниках и 90%. Ухудшают перспективы выздоровления генетические заболевания (болезнь Дауна и др.). В случае, если рак крови носит вторичный характер, возможно только паллиативное лечение.
Профилактика
Специфических способов предупреждения острого миелоцитарного лейкоза не существует. Чтобы вовремя начать лечение, необходимо регулярно проходить профилактические обследования, сдавать анализы. Пациентам, завершившим курс лечения, не рекомендуется менять климатическую зону постоянного проживания. Кроме того, им следует отказаться от физиотерапевтических процедур.
Реабилитация
Химиотерапия и особенно пересадка костного мозга создают огромную нагрузку на организм, поэтому пациент должен строго соблюдать все клинические рекомендации при остром миелобластном лейкозе, чтобы достигнуть выздоровления. Они включают процедуры выведения токсинов из крови, строгое соблюдение правил антисептики, меры по повышению иммунитета и восстановлению микрофлоры кишечника. Большое значение придаётся антистрессовой терапии и профилактике депрессии, улучшению качества сна.
Диагностика и лечение острого миелобластного лейкоза в Москве
Клиника Института ядерной медицины проводит диагностические исследования для выявления острого миелобластного лейкоза. В случае подтверждения диагноза вы можете пройти лечение у квалифицированных онкогематологов, врачей высшей категории. Регулярное участие в международных конференциях и семинарах, стажировки в зарубежных клиниках позволяют нашим специалистам овладевать самыми передовыми медицинскими методиками для успешного лечения пациентов.
Вопросы и ответы
Почему при лечении острого миелобластного лейкоза возникают побочные эффекты?
Воздействие химиопрепаратов убивает не только бластные онкоклетки, но и здоровые клетки крови, что приводит к развитию интоксикации организма, проявляющейся в тошноте, слабости, повышенной подверженности инфекциям. Чтобы минимизировать этот эффект, используют различные поддерживающие меры — переливание препаратов крови, лейкаферез и другие процедуры.
Сколько живут с острым миелобластным лейкозом?
Возможность прожить более пяти лет у пациентов с острым миелоидным лейкозом зависит от формы заболевания и возраста. В некоторых случаях выживаемость составляет менее 20%, при других формах болезни превышает 70%. Шансы на выздоровление существуют всегда, а повысить их можно, обратившись в хорошую клинику с современным медицинским оборудованием и опытными онкогематологами.
Когда проводят трансплантацию при остром миелобластном лейкозе?
Оптимальный период для трансплантации — после достижения первой ремиссии. Она показана при высоком риске рецидива, при обнаружении цитогенетических изменений в поражённых клетках, а также при наличии других заболеваний крови. Как правило, в случае успешного восстановления после пересадки рецидивов болезни не происходит.
Лечение острого миелоидного лейкоза
Острый миелоидный лейкоз: диагностика и лечение в Рамбам
Лечение острого миелоидного лейкоза в Израиле проводится с применением цитостатических препаратов, трансплантации костного мозга или кроветворных стволовых клеток. В отделении онкогематологии клиники «Рамбам» применяют пересадку с использованием стволовых клеток донора (аллогенная трансплантация) , а также собственных здоровых клеток (аутологичная пересадка).
Для острого миелоидного лейкоза характерно острое, а порой и внезапное начало развития заболевания, увеличение бластных лейкозных клеток в течение короткого промежутка времени, иногда измеряемого неделями, при отсутствии лечения приводит к фатальному исходу.
Острый миелобластный лейкоз (острый миелоидный лейкоз, острый миелоцитарный лейкоз, острый нелимфоцитарный (нелимфобластный) лейкоз, миелобластоз, ОМЛ) - болезнь, связанная с нарушением миелопоэза, когда миелоидные стволовые клетки превращаются в миелобласты (милоидные бласты).
Клетки крови образуются и созревают в костном мозге, этот процесс упорядочен, при лейкемии он выходит из-под контроля, что приводит к формированию аномальных незрелых белых клеток крови. При ОМЛ большое количество ранних миелоидных клеток циркулирует по кровеносной системе организма.
Симптомы острого миелоидного лейкоза
Большинство симптомов острой миелоидной лейкемии обусловлены воздействием лейкозных клеток на костный мозг, который не в состоянии производить достаточное количество нормальных клеток крови.
Основными симптомами являются:
- Чувство слабости, усталость, отдышка, бледность кожных покровов вызванные анемией, развившейся в связи с недостатком красных кровяных клеток.
- Кровотечения, кровоточивость десен, обильные менструации, петехии на коже, возникающие вследствие недостатка тромбоцитов.
- Склонность к инфекционным заболеваниям, связаное с недостатком здоровых лейкоцитов.
- Боли в костях, суставах за счет прессинга патологической опухоли.
- Повышенная температура, потливость
Иногда у пациента не наблюдается ни один из вышеперечисленных симптомов, и заболевание обнаруживают во время рутинных анализов крови.
При остром миелоидном лейкозе костный мозг приобретает зеленоватый оттенок, за счёт чего получил название пиоидный (то есть гноевидный). Угрозу жизни пациентов представляют возможные кровоизлияния в головной мозг, желудочно-кишечные кровотечения, инфекционные заболевания.
Причины острого миелоидного лейкоза
Причины ОМЛ в большинстве случаев неизвестны. Как и другие онкологические заболевания, лейкоз не заразен. Выявлен ряд факторов, которые могут увеличить риск развития данного заболевания.
- Воздействие излучения
- Курение
- Воздействие бензола
- Лечение рака с применением химиотерапии и/или радиотерапии (вторичная лейкемия)
- Болезни крови ( миелодисплазия или миелопролиферативные заболевания)
- Генетические нарушения (синдром Дауна и синдром Фанкони)
Диагностика острого миелоидного лейкоза в Израиле
Если результаты клинического анализа крови имеют отклонения от нормативных показателей, пациента направляют к врачу-гематологу ( специалист по лечению заболеваний крови).
Врач проведет сбор анамнеза, пальпацию селезенки, печени, лимфатических узлов, направит на повторное исследование крови.
Анализ крови
Если в результатах клинического анализа крови, обнаружено пониженное количество эритроцитов и тромбоцитов и большое количество миелобластов или белых кровяных клеток, которые не трансформируются в обычные лейкоциты, а в раковые клетки, вытесняющие все остальные виды кровяных телец, то назначается биопсия костного мозга.
Биопсия костного мозга
Это важный тест, позволяющий поставить точный диагноз, и предоставляющий информацию, необходимую для планирования лечения. Небольшое количество костного мозга или кусочек костной ткани забираются для анализа из задней части тазовой кости или из грудины под местной анестезией. Затем проводится иммунофенотипирование и цитохроматическое окрашивание специальными красителями клеток опухоли, полученных при пункции костного мозга, которые исследуются под микроскопом. Биопсия позволяет точно определить вид лейкемии.
Дополнительные исследования
Для подтверждения диагноза и контроля состояния внутренних органов (легких, сердца, печени, почек) могут быть назначены другие инструментально- диагностические исследования, такие как рентген грудной клетки, УЗИ, дополнительные анализы крови, электрокардиограмма и эхокардиография.
Лечение рака крови в Израиле проводится с использованием цитотоксических препаратов с целью уничтожения патологических клеток.
Лечение острого миелоидного лейкоза
Лечение ОМЛ состоит в основном из химиотерапии и делится на два этапа: индукция и консолидация. Целью индукционной терапии является достижение полной ремиссии за счет сокращения лейкозных клеток до не обнаруживаемого уровня. Задача консолидирующей терапии заключается в ликвидации остаточных поврежденных клеток и излечение.
Индукционная химиотерапия
Индукционная химиотерапия проводится с применением цитостатических препаратов. С помощью данных лекарственных средств достигается ремиссия, сопровождающаяся восстановлением нормального кроветворения.
Консолидационная химиотерапия
Консолидационная химиотерапия обеспечивает ликвидацию, оставшихся аномальных клеток, проводя профилактику рецидива.
Если существует высокая вероятность рецидива лейкоза, пациенту могут предложить высокодозную химиотерапию или химиотерапию в сочетании с радиотерапией, а затем пересадку с использованием стволовых клеток донора (аллогенная трансплантация), или собственных здоровых клеток (аутологичных пересадку). Также возможной опцией лечения является трансплантация костного мозга. Стволовые клетки содержат здоровые иммунные клетки, которые атакуют лейкозные клетки любого типа, что значительно повышает шансы пациента на выздоровление.
Читайте также:
