Спленомегалия
Добавил пользователь Владимир З. Обновлено: 27.01.2026
Увеличение селезенки (спленомегалия), которое есть вторичным заболеванием, признаком основного, более серьезного заболевания.
Спленомегалия: причины
Как уже было сказано выше, спленомегалия не является отдельным заболеванием, а является одним из симптомов другого заболевания.
Среди основных причин выделяют:
- инфекции: тиф, паратиф, сепсис, туберкулез, бруцеллез, сифилис, инфекционный мононуклеоз, эндокардит, инфекционный гепатит;
- цирроз: спленомегалия не так ярко выражена, боли больше присутствуют в правом подреберье;
- микозы или грибковые заболевания, — бластомикоз, гистоплазмоз;
- гельминтозах;
- анемии: гемолитическая (когда эритроциты разрушаются внутри кровеносного сосуда), идиопатическая и тромботическая тромбоцитопеническая пурпура, пернициозная (недостаток витамина В12 в связи с проблемами желудочно-кишечного тракта, что приводит к анемии);
- тромбоцитопения – спленомегалия является причиной снижения уровня тромбоцитов, вследствие чего будет снижение иммунитета
- заболевания кроветворных органов: лимфомы, которые имеют свойства быстро расти и прогрессировать, острые и хронические лейкозы;
- заболевания соединительной ткани – системная красная волчанка, синдром Фелти;
- киста, абсцесс селезенки;
- болезни накопления – амилоидоз, саркоидоз, липидные и нелипидные;
- заболевания крови – сепсис (заражение крови), гемоглобинопатии, сфероцитоз врожденный;
- cпленомегалия поджелудочной железы – возникает при опухолях поджелудочной, когда та перекрывает селезеночную вену, которая является единственным путем оттока крови из селезенки;
- cпленомегалия почек – возникает при нарушении процессов фильтрации, реабсорбции и секреции почек, при которых возникают гемодинамические изменения в крови, что приводит к увеличению селезенки.
- воспалительная – возникает при воспалительных процессах и характеризуется воспалением ткани селезенки.
- невоспалительная – характеризуется нарушением функции селезенки, без воспалительного процесса.
- выраженная — спленомегалия, проявляющаяся остро, с выраженной симптоматикой.
- Умеренная – с невыраженной клинической картиной.
Спленомегалия при беременности
Проявляется как гемолитическая анемия, так же как и спленомегалия у новорожденных, возникает по той же причине – врожденной гемолитической анемии новорожденных. В первые месяцы жизни младенца из -за нарушения обмена железа возникает цирроз печени, что приводит к гепатомегалии, спленомегалии и к мышечной слабости, задержке в развитии, которое нужно заранее выявить.
Спленомегалия: симптомы
Поскольку данная болезнь является в большинстве случаев симптомом, поэтому и признаки спленомегалии будут разные, в зависимости от основного диагноза.
Признаки воспалительной спленомегалии
- высокая температура тела – больше 39*С;
- резкая, режущая и острая боль в левом подреберье;
- редко проявляющаяся тошнота, рвота, диспепсия (нарушения пищеварения);
- при пальпации (прощупывании) в проекции селезенки будут выражены болезненные ощущения.
Признаки невоспалительной спленомегалии
- субфебрилитет (температура тела будет не выше 37,7*С), который проявляется редко, в большинстве случаев эта форма протекает с нормальной температурой;
- слабая, ноющая, невыраженная боль в левом подреберье;
- невыраженная боль при пальпации.
Признаки умеренной спленомегалии похожи на невоспалительную, с подобным проявлением симптомов. Выраженная имеет острое, тяжелое протекание, как при воспалительной.
Общими симптомами являются:
- увеличение селезенки (считается, что от 1 г снижения гемоглобина в крови селезенка увеличивается на 2 сантиметра ниже реберной дуги);
- при увеличении размеров печени (гепатомегалия) спленомегалия выражена не так ярко, так как проблемы с печенью выражены более ярко, а проблемы селезенки определяются при общем осмотре и при клинико -лабораторных исследованиях.
- изменения показателей крови, которые зависят от основного заболевания;
- боли в левом подреберье.
Спленомегалия: диагностирование
Начинается со сбора анамнеза болезни, анамнеза жизни (были ли раньше такие состояния, какие имел инфекционные болезни, были ли посещения экзотических стран, имеет ли вредные привычки), выяснения причины когда, как и при каких обстоятельствах появилась боль в правом подреберье, общая слабость, повышенная температура. Дальше проводят общий осмотр пациента, при этом пальпируют в проекции селезенки для определения размеров и наличие боли.
Проводятся консультации других специалистов для выяснения причины спленомегалии.
И напоследок комплекс лабораторных и инструментальных исследований:
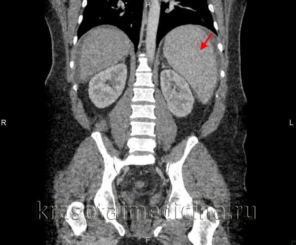
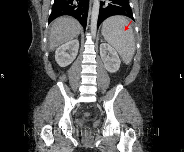
- УЗД органов брюшной полости, определяется состояние печени, желчного пузыря, поджелудочной железы. Определяются размеры селезенки.
- КТ органов брюшной полости — для выявления опухолей, кист, как на селезенке, так и на других органах
- стернальная пункция – при подозрении на рак крови, сепсис.
- общий анализ крови – определяют наличие анемий, повышенное количество лейкоцитов.
- биохимический анализ крови – показывает состояние печени, а также состояние поджелудочной железы.
- общий анализ мочи — для определения, как работают почки, мочевыводящие пути, состояние репродуктивной системы.
- анализ кала на наличие гельминтов.
Спленомегалия: лечение
Начинают с лечения тех проблем, которые являются истинной причиной увеличения селезенки:
- назначают антибактериальные препараты при бактериальных причинах;
- удаление и лечение злокачественных новообразований при помощи хирургического вмешательства и применения противоопухолевых препаратов;
- препараты железа и витамины при анемиях;
- гормональные препараты, как противовоспалительные средства терапии.
Если состояние пациента тяжелое, а размеры селезенки критические, на грани разрыва, врачи приходят к экстренному методу – удалению селезенки, для того, чтобы предупредить риск ее разрыва и последующих осложнений.
Профилактика спленомегалии
Поскольку единой причины не существует, то и профилактики как таковой и нет. Нужно помнить о вреде курения и алкоголя, отказываться от них, следить за свои состоянием, своим здоровьем и проводить профилактические осмотры у врачей.
Возможные причины спленомегалии у детей и взрослых. Симптомы, лечение
Спленомегалия. Причины, признаки, лечение увеличенной селезенки
Спленомегалия – что это такое, как лечится, опасно ли это?. Эти вопросы задают пациенты, которым врачи озвучили такой диагноз. Спленомегалией называют любое увеличение селезенки, которое может возникнуть вследствие самых разнообразных заболеваний со стороны многих органов и тканей. Реже такое состояние провоцируют изменения в самом органе.
Причины возникновения спленомегалии
Почему может быть увеличена селезенка у взрослого? К возникновению спленомегалии способны привести такие состояния и заболевания:
- бактериальный процесс. Чаще всего это тиф, паратиф, септическое поражение организма, туберкулез и сифилис;
- вирусное поражение. Спленомегалия может возникать при таких заболеваниях, как краснуха, корь, вирусный гепатит, и других;
- протозойная инфекция – при внедрении в организм возбудителей малярии, лейшманиоза и токсоплазмоза;
- микозы – поражение патогенными грибами;
- гельминтозы – наличие в организме червей;
- различные вариации анемий (малокровия);
- системные хронические болезни органов кроветворения – в первую очередь это лейкозы;
- системные аутоиммунные патологии;
- эндокринологические нарушения – врожденные и приобретенные.
Возможные причины спленомегалии у детей и провокаторы увеличения селезенки у взрослых могут несколько отличаться. Так, спленомегалия у маленьких пациентов:
- может быть вариантом нормы (при незначительном увеличении);
- возникает из-за нарушений во время внутриутробного развития этого органа;
- возникает при увеличенной печени.
Прежде чем задаваться вопросом, как лечить увеличенную селезенку, необходимо верифицировать точные причины спленомегалии – зачастую после их ликвидации в случае отсутствия осложнений селезенка возвращается к своим нормальным размерам.
Признаки спленомегалии
Для диагностики спленомегалии выясняют жалобы пациента и проводят объективное исследование (с помощью физикальных, инструментальных и лабораторных методов диагностики)
Симптомы увеличения селезенки у взрослых зависят от того, какая причина спровоцировала увеличение селезенки. При инфекционных и воспалительных формах поражения в основном проявляются следующие признаки:
- боли в животе слева под реберной дугой;
- тошнота, сопровождающаяся рвотой;
- гипертермия (повышение температуры тела).
Если селезенка увеличена незначительно, ее можно прощупать только при глубокой пальпации живота. При больших размерах селезенка может выпирать из-под левой реберной дуги, и ее можно увидеть невооруженным глазом. Пальпаторно наблюдается болезненность в левом подреберье разной степени выраженности.
Невоспалительные поражения характеризуются той же, но менее выраженной симптоматикой. Так как она в целом неспецифична (может проявляться и при других болезнях), для уточнения диагноза прибегают к дополнительным методам обследования.
Один из наиболее информативных методов диагностики спленомегалии – УЗИ. Признаками спленомегалии на УЗИ является:
- увеличение размеров селезенки;
- при значительной спленомегалии – смещение соседних органов;
- при заболеваниях самой селезенки, спровоцировавших ее увеличение, наблюдаются ее неоднородная структура, изменения сосудов и так далее.
Также информативными являются:
- стернальная пункция (прокол грудины с извлечением порции костного мозга и последующим его анализом под микроскопом);
- компьютерная томография (Т);
- мультисрезовая компьютерная томография (МСКТ);
- магниторезонансная томография (МРТ).
Нередко обычная обзорная рентгеноскопия и рентгенография органов брюшной полости помогут выявить увеличение селезенки.
Так как причинами увеличенной селезенки у ребенка до года могут быть нарушения во время утробного развития, прибегают к генетическому анализу.
Из лабораторных методов информативными являются:
- общий анализ крови;
- биохимический анализ крови (для дифференциальной диагностики различных заболеваний, способных стать причиной спленомегалии);
- анализ кала для выявления гельминтов;
- всевозможные бактериологические посевы с последующим изучением колоний и определением возбудителя;
- исследование крови на наличие специфических маркеров – биохимических и аутоиммунных.
Как лечить увеличенную селезенку
Терапия при увеличенной селезенке зависит от того, какое заболевание спровоцировало спленомегалию. Часто необходим консилиум разных специалистов – гастроэнтеролога, инфекциониста, иммунолога.
Что делать при умеренной спленомегалии? Не заниматься самолечением и обратиться в авторитетную клинику за помощью к высококвалифицированному специалисту, так как даже незначительное увеличение селезенки может сигнализировать о серьезных заболеваниях. В основном при спленомегалии могут быть использованы:
- антибактериальные, антивирусные, антипротозойные средства (в зависимости от возбудителя);
- гормональные медицинские препараты;
- витаминотерапия.
Если селезенка увеличилась до огромных размеров или ее поразила опухоль – прибегают к оперативному удалению органа.
Если ребенку месяц, увеличена селезенка, но других признаков болезней нет, все равно необходима незамедлительная консультация врача. Своевременно назначенное лечение избавит малыша и его родителей от многих проблем.
Спленомегалия, симптомы и лечение спленомегалии
Спленомегалия - увеличение селезенки в результате вовлечения ее в патологический процесс. Механизмы увеличения селезенки различны. Так, в основе патогенеза спленомегалии могут быть миелоидная метаплазия, застойные явления, накопление продуктов обмена веществ (например, гемосидерина), гранулематозные, воспалительные или опухолевые процессы и др. У здорового человека селезенка располагается между IX—XI ребрами слева и не пальпируется. Увеличение селезенки определяют с помощью перкуссии и пальпации; при этом размеры органа ориентировочно устанавливают относительно реберной дуги: при небольшом увеличении ее нижний край определяется приблизительно на 5 см ниже реберной дуги, при значительном — на 20 см ниже реберного края; в ряде случаев селезенка может достигать малого таза и даже занимать 2/3 брюшной полости. Увеличенная селезенка обычно подвижна и смещается в косом (снаружи кнутри) направлении. Это позволяет отличить ее от увеличенной левой доли печени, смещающейся вертикально, или опухоли этой области, которая бывает, как правило, неподвижна. Подтверждением того, что пальпируемое образование является селезенкой, может служить обнаружение выемки. При определении размеров селезенки следует иметь в виду, что увеличение органа может проявляться смещением его верхнего полюса, которое с помощью пальпации выявить невозможно. Поэтому даже небольшое увеличение селезенки необходимо подтвердить с помощью рентгенологического, ультразвукового или других методов исследования. Кроме того, пальпируемое в левом подреберье образование может оказаться конгломератом лимфатических узлов, опухолью левой почки толстой кишки, кистой или опухолью поджелудочной железы или забрюшинного пространства, что также делает необходимым проведение дополнительного исследования. Лечение спленомегалии Поскольку спленомегалия – лишь проявление какого-либо другого заболевания, лечение должно быть направлено на первичную причину. Удаление селезенки показано в редких случаях; иногда оно производится при заболеваниях, связанных с повышенным разрушением в ней эритроцитов или тромбоцитов, в частности при гемолитической желтухе, тромбоцитопенической пурпуре, синдроме Банти, но и тогда улучшения показателей крови можно ожидать лишь в 30–60% случаев.
Вопрос - ответ

Добрый вечер! Подскажите хотела сдать анализы на инфекции передающие половым путём, какая цена?
Сколько стоит УЗИ брюшной полости?
Задать вопрос
Программы центра
Лицензии центра
Терминал оплаты
В нашем медицинском центре Вы можете оплатить услуги с помощью пластиковой кредитной карты через терминал не используя наличность.
На заметку!
В медицинском центре «Семейный Доктор» ведет консультативные приемы новый специалист - Землянухин Святослав Павлович-сосудистый хирург, флеболог.
| УЗИ сердца с доплером |
УЗИ сердца при помощи доплера является одной из разновидностей ультразвукового исследования, в основе которого лежит э |
| [ Читать полностью >> ] |



