Пальпация коленного сустава сзади
Добавил пользователь Евгений Кузнецов Обновлено: 29.01.2026
Коленный сустав – это сложное образование, в частности, это амортизация и комфортное безболезненное движение. Жировые тела Гоффа существуют для амортизации и стабилизации сустава.
Болезнь Гоффа (липоартрит) – это болезнь, при которой жировые тела в суставе начинают воспаляться и отекать. Носит хронический характер. Болезнь могут вызвать травмы или хронические перегрузки. Суть болезни заключается в повреждении и перерождении жировой ткани жировых тел сустава.
Болезнь Гоффа может появиться у детей и взрослых. Часто ее можно спутать с повреждением мениска. Если запустить болезнь и вовремя не заняться ее лечением, есть риск появления артроза и постоянного выраженного болевого синдрома.
Симптомы
В острый период возможны следующие симптомы:
- боли в суставе
- отек
- невозможность разогнуть колено полностью
- щелчки в суставе
Симптомы запущенной стадии
- приступы боли по ночам
- снижение работоспособности мышц бедра
- хруст и трение в суставе при пальпации
- заклинивание сустава, которое не дает полностью опереться на конечность
Причины
Есть несколько основных причин возникновения болезни Гоффа:
- травмы коленных суставов
- хронические поражения, которые проявляются из-за больших физических нагрузок (чаще всего встречаются у спортсменов)
Диагностика
Установить точный диагноз болезни Гоффа сложно, но при диагностике врачи руководствуются такими признаками:
- внимательный расспрос пациента
- клиническая картина
- рентгенография, УЗИ, МРТ сустава
Лечение
Основное лечение заболевания происходит с помощью ограничения нагрузки и движений в поврежденном суставе (использование ортезов), также пациенту может быть назначены:
- физиотерапия
- массаж
- медикаментозная противовоспалительная терапия
Редко в запущенных случаях выполняется артроскопия пораженного сустава.
Программа лечения данного заболевания в «Костной клинике» может включать в себя:
Ударно-волновая терапия

Подробнее
PRP-терапия

Подробнее
Акупунктурное введение озона

Подробнее
Тераквантовая терапия

Подробнее
Интерференционная терапия

Подробнее
Эхотермотерапия

Подробнее
Начните жить без боли уже сейчас!
Консультация по телефону
Администратор расскажет Вам, к какому врачу необходимо обратиться с Вашей проблемой, предоставит Вам информацию об услугах Клиники и их стоимости и запишет Вас на первичный прием.
Прием специалиста
Доктор осмотрит и опросит Вас, назначит необходимую диагностику, по результатам которой поставит диагноз и подберет индивидуальную лечебную программу.
Курс лечения
Администратор вместе с Вами составит удобный для Вас график посещения лечебных процедур. Оплатить курс лечения Вы можете полностью в день назначения или частично по факту оказанной услуги.
Пальпация коленного сустава сзади
Пальпация коленного сустава сзади
а) Костная структура. В коленном суставе нет костных структур, которые лучше бы пальпировались сзади.

Рисунок 1. Пальпация двуглавой мышцы бедра.
б) Пальпация двуглавой мышцы бедра. Пациент лежит на животе, коленный сустав согнут. В этом положении двуглавая мышца бедра хорошо выражена и легко пальпируется проксимальнее места прикрепления на головке малоберцовой кости. Выраженность этой мышцы увеличивается при оказании Вами сопротивления сгибанию коленного сустава (рис. 1).

Рисунок 2. Пальпация икроножной мышцы.
в) Пальпация икроножной мышцы. Икроножная мышца пальпируется по задним поверхностям медиального и латерального мыщелков бедренной кости в положении пациента лежа на животе с разогнутым коленным суставом. Выраженность этой мышцы увеличивается при оказании Вами сопротивления либо сгибанию коленного сустава, либо подошвенному сгибанию голеностопного сустава. Брюшко мышцы расположено над средней третью задней поверхности большеберцовой кости.
Болезненность при пальпации может указывать на растяжение мышцы. Локальная болезненность и выпот могут свидетельствовать о тромбозе глубоких вен (рис. 2).

Рисунок 3. Подколенная ямка.
г) Пальпация подколенной ямки. Сверху и латерально подколенная ямка ограничена двуглавой мышцей бедра, а сверху и медиально — сухожилиями полуперепончатой и полусухожильной мышц. Нижняя граница ямки образована двумя головками икроножной мышцы (рис. 3).
д) Пальпация подколенной вены, артерии и нерва. Подколенный нерв является наиболее поверхностной структурой, расположенной в полости подколенной ямки. В норме нерв не пальпируется. Глубже по отношению к нерву расположена подколенная вена, которая также в норме не пальпируется. Подколенная артерия является самой глубокой структурой подколенной ямки, тем не менее, ее можно пропальпировать при глубоком, интенсивном давлении через поверхностную фасцию.
Пульс на подколенной артерии гораздо легче пальпируется, когда коленный сустав согнут на 60-90°, что обеспечивает расслабление мышц.
Чтобы исключить сдавливание сосудов, следует сравнить пульс на стопе и задней поверхности большеберцовой кости. Если на подколенной артерии пальпируется вздутие, это может свидетельствовать об аневризме этого сосуда.
е) Пальпация полуперепончатой мышцы. Основным местом прикрепления сухожилия полуперепончатой мышцы является заднемедиальная поверхность большеберцовой кости, на 1 см дистальнее суставной щели. Сухожилие окружено большой синовиальной оболочкой, его диаметр составляет около 6 мм. Из-за близкого расположения к суставной щели, воспаление сухожилия и/или его оболочки может быть неправильно интерпретировано как боль в области медиальной половины суставной щели. Воспаление полуперепончатой мышцы может быть результатом частого и чрезмерного растяжения мышцы.

Рисунок 4. Киста Бекера.
ж) Пальпация сумки икроножной и полусухожильной мышц. Сумка икроножной и полусухожильной мышц расположена в подколенной ямке. В норме она не пальпируется, однако становится доступна пальпации при воспалении. Это состояние известно как киста Бекера. Кисту можно легко увидеть и пропальпировать, если коленный сустав разогнут. Она подвижна и обычно безболезненна (рис. 4). Киста Бекера может образовываться при любом объеме выпота в коленном суставе.
Препателлярный бурсит и другие бурситы колена
Препателлярный бурсит - заболевание опорно-двигательного аппарата, обусловленное воспалением препателлярной сумки. Заболевание проявляется отеком передней поверхности коленного сустава – над надколенником, болезненностью при разгибании и сгибании в коленном суставе, при опоре на коленный сустав.


ПРИЧИНЫ РАЗВИТИЯ ПРЕПАТЕЛЛЯРНОГО БУРСИТА
Причины воспаления могут быть разными: от банальной травмы до инфекции. По классификации выделяют септические (инфекционные) и асептические (воспалительные) бурситы. Для препателлярной сумки характерными являются оба вида бурситов.
В некоторых случаях препателлярная сумка может повредиться в результате прямого механизма травмы, например, удара или падения на колено. Травма вызывает надрывы тканей препателлярной сумки и кровоизлияние в полость сумки. В некоторых случаях кровь может полностью заполнить полость препателлярной бурсы и бурса может раздуться, в результате чего коленный сустав принимает характерную форму.
Считается, что скопившаяся в полости препателлярной сумки кровь запускает воспалительную реакцию. В результате воспаления стенки препателлярной сумки утолщаются, становятся не такими эластичными, и их скользящие свойства исчезают. В результате чего развивается препателлярный бурсит.
Препателлярный бурсит может возникнуть из-за постоянного давления на надколенник. Некоторые рабочие выполняют работу в положении, когда опираются коленями о твердую поверхность. Если колено постоянно травмируется - это приводит к развитию воспаления и развивается препателлярный бурсит.
Препателлярный бурсит может быть вызван инфекцией. Небольшая царапина или укол в область препателлярной сумки может привести к её инфицированию. Или же после травмы инфекция может попасть в поврежденные ткани препателлярной сумки с кровотоком из очага хронической инфекции в организме, например, кариозного зуба. Инфекция приводит к скоплению гноя в полости препателлярной сумки. Последствия инфекционного препателлярного бурсита могут быть достаточно серьёзными.
СИМПТОМЫ ПРЕПАТЕЛЛЯРНОГО БУРСИТА
Препателлярный бурсит проявляется болью и припухлостью над надколенником. При осмотре во время пальпации (ощупывании) препателлярная сумка обычно болезненна. При данном состоянии больно встать коленом на твёрдую поверхность. Если препателлярный бурсит долго не проходит, то воспаление переходит в хроническое. Может появиться чувство, что в препателлярной сумке в воспалительной жидкости появились комочки. Это говорит о том, что препателлярная сумка в ответ на хроническое воспаление стала ещё толще и сформировались складки. Эти складки и ощущаются как комочки.
Препателлярная сумка может увеличиваться в размерах в несколько раз. Это происходит за счёт утолщения стенок препателлярной сумки и наполнения препателлярной сумки воспалительной жидкостью. Количество воспалительной жидкости, как правило, связано с фазой воспаления. Если воспаление в активной фазе, то количество воспалительной жидкости увеличивается, и сумка увеличивается в размерах. При больших размерах препателлярной сумки коленный сустав при взгляде сбоку принимает характерный вид.
Если возникает инфекция препателлярной сумки, то колено становится опухшим, очень болезненным и теплым на ощупь. В данном случае помимо местных признаков воспаления (боли, покраснения, повышения местной температуры, отёка), развиваются общие – повышение температуры, озноб, изменения в анализе крови. Требуется экстренное хирургическое вмешательство – вскрытие и дренирование препателлярной сумки. Если не обращаться к врачу и не выполнить вскрытие препателлярной сумки, то гной может самостоятельно прорваться, и при этом могут возникнуть системные осложнения.
ДИАГНОСТИКА ПРЕПАТЕЛЛЯРНОГО БУРСИТА
Дифференциальный диагноз бурсита препателлярной сумки проводится с такими заболеваниями, как подагра, ревматоидный артрит, септический артрит коленного сустава.
Диагноз бурсита препателлярной сумки становится очевидным после осмотра пациента, не требуется использование специальных методов обследования. Если все же нужно дообследование, то УЗИ позволяет быстро и уверенно подтвердить диагноз препателлярного бурсита.
Если для врача не ясно, является бурсит воспалительным или инфекционным, то выполняется пункция препателлярной сумки и полученный образец жидкости отправляется на исследование в лабораторию. Выполняются посевы жидкости на выявление микрофлоры и определения её чувствительности к антибактериальным препаратам. Таким образом врач получает ответ на два вопроса: является бурсит инфекционным или воспалительным и, если бурсит инфекционный, то каким антибиотиком его нужно лечить.
ЛЕЧЕНИЕ ПРЕПАТЕЛЛЯРНОГО БУРСИТА
Травматический бурсит препателлярной сумки можно лечить консервативно. Если в результате травмы скопилось значительное количество крови, то выполняется пункция толстой иглой или выполняется небольшой надрез для удаления всей скопившейся крови из полости препателлярной сумки. Вопрос о целесообразности пункции решается врачом.
Существует небольшой риск инфицирования препателлярной сумки во время выполнения данных манипуляций, поэтому пункция выполняется в перевязочном кабинете с соблюдением всех правил асептики и антисептики. После выполнения пункции накладывается стерильная повязка.
Хронический бурсит препателлярной сумки является проблемой, которая может снизить трудоспособность и ухудшить качество жизни. Отек и боль – главные проявления. Обычные повседневные действия могут доставлять дискомфорт. Лечение обычно начинается с попытки снять воспалительный синдром. Мероприятиями по снятию воспаления являются покой в коленном суставе и использование противовоспалительных средств. Такие препараты, как диклофенак и ибупрофен используются, чтобы снять воспаление и отек.
Если в сумке имеется воспалительная жидкость, то может быть выполнена пункция с целью удаления жидкости и дальнейшего её лабораторного исследования. Во время пункции ( при условии, что нет признаков инфекции в полости препателлярной сумки и отсутствии других противопоказаний) может быть введено небольшое количество стероидного средства, такого, как соли бетаметазона. Стероидные препараты являются сильными противовоспалительными средствами. Его противовоспалительного эффекта может хватить на несколько недель.
Необходима консультация с врачом-физиотерапевтом, который поможет подобрать физиотерапевтические процедуры, учитывая все особенности и противопоказания.
Использование тепла, холода, ультразвука или УВЧ обычно помогает уменьшить боль и отек. Использование холода или тепловых процедур помогут улучшить состояние в домашних условиях. Холод обычно показан сразу после травмы, тепловые процедуры – во время хронического воспаления; в любом случае применение любых методов воздействия следует обсудить с врачом.
Если бурсит является инфекционным, то локтевая сумка должна быть полностью дренирована, то есть удалена вся воспалительная жидкость или гной. Обязательным условием является обеспечение покоя коленному суставу и назначение антибактериальных препаратов. Пациенты с инфекционным бурситом наблюдаются врачом до полного исчезновения воспаления.
Дренирование препателлярной сумки.
Если развивается острая инфекция, либо в результате исследования полученной из препателлярной сумки жидкости высеялись микроорганизмы, то необходимо дренирование препателлярной сумки. Препателлярная сумка вскрывается хирургическим путем, то есть выполняется небольшой разрез, через который отделяемое может полностью дренироваться. Иногда для улучшения оттока целесообразно использование трубки или полутрубки. После того, как обеспечен отток отделяемого, пациент наблюдается до полного заживления раны. Обычно улучшение наступает в течение нескольких дней. При инфекционном бурсите обязательно назначаются антибактериальные препараты.
Удаление бурсы (бурсэктомия).
При хроническом бурсите стенки сумки утолщаются, сумка увеличивается в размерах, появляются складки сумки. При консервативном лечении удаётся снять воспаление, но через какое-то время воспалительный процесс снова обостряется. Выполнять работу и повседневные действия становится затруднительно. В данном случае стоит подумать о хирургическом лечении – удалении препателлярной сумки.
Делается разрез в проекции препателлярной сумки. Сумка иссекается. Определение границ сумки обычно не вызывает затруднений, так как стенки её значительно утолщены. После этого рану зашивают послойно. После проведения операции целесообразно на несколько дней поместить ногу в тутор для обеспечения покоя и лучшего заживления послеоперационной раны, после чего можно начинать реабилитационные мероприятия.
Так как в данном участке необходимо обеспечить скольжение кожи над надколенником, в организме образуется новая сумка из соединительной ткани. Это происходит в процессе реабилитации через некоторое время после операции. Для того, чтобы данный процесс прошёл без осложнений целесообразно пройти предписанную программу реабилитации.
РЕАБИЛИТАЦИЯ ПОСЛЕ ЛЕЧЕНИЯ ПРЕПАТЕЛЛЯРНОГО БУРСИТА
Во время консервативного лечения какой-либо специальной реабилитации как правило не требуется. Необходимо ограничить двигательную активность в коленном суставе на период развития воспаления. После того как воспаление начинает разрешаться, допускается увеличение нагрузки и амплитуды движений в коленном суставе. Некоторым не доставляет беспокойства увеличенная в размерах препателлярная сумка. Препателярный бурсит, который не связан с инфекционным процессом, может проходить самостоятельно без какого-либо лечения.
После операции для лучшего заживления раны коленный сустав фиксируют тутором. Если заживления раны проходит без осложнений, то тутор снимают на 3-5 сутки и начинают процесс реабилитации. Первые несколько занятий проводятся с инструктором по лечебной физкультуре, который помогает выполнять необходимые упражнения.
Обычно реабилитация не вызывает проблем и пациенты после нескольких занятий могут заниматься дома без контроля инструктора. Восстановление проходит достаточно быстро. Если работа не связана с постоянными движениями в коленном суставе и опорой на колено, то вернуться к повседневной деятельности возможно уже через 3-4 недели. Если необходима опора на колено, то реабилитация может занять 2-3 месяца. В течение этого времени необходимо полностью избегать опоры на колено.
Что за шишки возникают под коленями?
Мы решили, что надо рассказать об основной патологии, вызывающей такие жалобы, поподробнее.
Киста Беккера – под этим термином подразумевается скопление воспалительной жидкости (не гноя) в слизистой сумке, расположенной на задней поверхности голени, чуть ниже подколенной ямки. У 50% людей эта сумка находится между сухожилиями мышц (икроножной и полуперепончатой), она сообщается с коленным суставом с помощью небольших отверстий и является вариантом нормального развития сустава.
В случае, если в коленном суставе протекает длительный воспалительный процесс, жидкость, которая образуется в результате, и скапливается в этой межсухожильной сумке и приобретает название этого заболевания. Физически, киста представляет собой припухлость с обратной стороны колена. При воспалении, в колене скапливается жидкость, которая может просочиться в эту “сумку”, тем самым увеличивая ее в размерах. Чаще всего болезнь развивается из-за обменно-дистрофических или воспалительных процессов, которые протекают в коленном суставе. Кисту Беккера вызывают патологии вроде остеоартрита, артроза, ревматоидного артрита, но возможны и другие варианты. Кроме того встречаются сложные кисты Бейкера — сросшиеся (синехии), с перегородками внутри (септы), с мелкими дочерними кисточками внутри основной.
Основные причины развития кисты Беккера:
Чрезмерные физические нагрузки.
Патологические изменения менисков.
Воспалительные процессы в коленном суставе.
Механические повреждения колена.
Проблемы с хрящами, их постепенное разрушение.
Независимо от того, что именно послужило причиной запуска патологического процесса, из-за этого начнется усиленная выработка синовиальной жидкости, которая заполняет сухожильную сумку, из-за чего и формируется киста. По статистическим данным эта болезнь чаще возникает у пожилых людей, спортсменов, грузчиков, но может встретиться и у детей.
Небольшая киста коленного сустава, как правило, себя не проявляет, заболевание протекает без явных признаков. Кожа над новообразованием не гиперемирована, не горячая, ее структура не имеет изменений. Это свидетельствует об отсутствии воспаления над кистой. Визуально — небольшое кистозное образование, выступающее под коленом, при прощупывании болезненности нет. В процессе двигательной активности незначительные боли могут проявляться. При этом киста подвижна и изменчива, может исчезнуть без лечения.
В начале развития кисты Бейкера больной начинает ощущать только некоторый дискомфорт в коленном суставе, но если она продолжает увеличиваться, появляются характерные признаки болезни:
️Выраженная, подвижная с четкими краями опухоль под коленом; ️
При пальпации болезненные ощущения;
️Постоянные ноющие боли в коленном суставе; ️
С увеличением кисты болезненность распространяется на мышцы голени, усиливается под действием нагрузок, может отдавать в бедро или голень.
️Появляется и нарастает чувство распирания и дискомфорта от инородного образования, связанное с его ростом. ️ Во время движения и нагрузок в суставе появляется скованность;
️Значительно снижается подвижность коленного сустава, развивается онемение конечности; ️
Отмечается отечность всего органа движения; ️
Становится проблематичным сгибание в колене, сложным подъем по ступеням вверх и приседания, при этом усиливается боль; ️Возможно наступление полной неподвижности коленного сустава.
Диагностика кисты Беккера
Осмотр специалиста выявит изменения, характерные для данной патологии.
Рентгологическое исследование, к сожалению, не может выявить кисту, поэтому.
Основным, самым доступным методом является ультразвуковая диагностика сустава и/или мягких тканей сустава. Она позволяет уточнить размеры и структуру кисты.
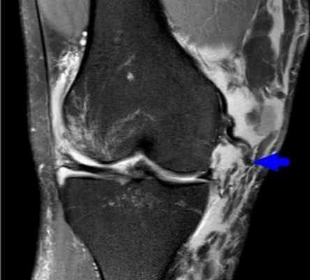
Также кисту можно выявить при проведении МРТ коленных суставов. ️
Течение и лечение заболевания могут быть длительными. При этом наблюдается отечность колена и голени, покраснение под коленом и в области икроножных мышц, острые боли в суставе, повышенная температура тела. Увеличивающаяся киста давит на вены голени, в которых развиваются застойные явления и воспаляются стенки сосудов.
При очень крупных киста могут возникать тромбофлебиты, варикозы и тромбозы (о риске осложнения которых мы Представим Вам отдельную статью). Сдавливание лимфатических сосудов приводит к отечности конечности. Давление на нервы вызывает онемение ноги.
Также могут нарушаться обменные процессы, которые провоцируют развитие некрозов и трофических язв. Нагноение кисты может вызвать воспаление сустава — артрит.
Заболевание начинают лечить после постановки диагноза, учитывают общее состояние здоровья больного, наличие хронических болезней, возраст, образ жизни, профессию. Оно направлено, прежде всего, на устранение причины, вызвавшей появление этой патологии.
Больному рекомендуют покой и отсутствие нагрузок на пораженную ногу. Боль и отечность уменьшают прикладыванием холода на колено периодически в период до двух дней. Но это временный эффект. Фиксация органа движения эластичным или простым бинтом помогает снизить отечность. Повязка должна быть плотной, но не нарушающей кровоснабжение, что может усугубить заболевание. При этом нога должна находиться в приподнятом состоянии, что способствует улучшению кровотока и снижению отечности.
Если нет необходимости в стационарном лечении, врач может назначить противовоспалительные средства с обезболивающим эффектом - нестероидные препараты(ибупрофен, нимесулид, парацетамол или другие). Можно использовать НПВС и местной, в виде мащей. Но необходимо помнить, что использование мази — это только дополнительный метод лечения. Также важно их правильное использование и соблюдение дозировок. Повышение температуры при кисте Бейкера обычно вызывает нагноение, ее разрыв или обострение основной болезни. В этом случае применяют нестероидные противовоспалительные препараты и могут подключать к лечению антибиотики. Также определяют и назначают этиотропное лечение, которое направлено на угнетение причин, вызвавших патологический процесс.
Если образование кисты Бейкера связано с аутоиммунными заболеваниями соединительной ткани — ревматоидный артрит, красная волчанка, то в лечение включают кортикостероидные гормональные препараты (Дексаметазон, Преднизолон, Гидрокортизон). Лекарства прекращают воздействие клеток иммунной системы больного на клетки соединительной ткани организма.
При наличии псориатического артрита назначают кортикостероиды, антигистаминные — для снятия зуда и иммуномодулирующие лекарства с целью улучшения работы иммунной системы. Для снижения количества образования и ускорения выведения из организма мочевой кислоты, которая вызывает воспаление и способствует выработке суставной жидкости, прописывают при подагрическом артрите — аллопуринол и т.п.
Если диагностировано, что киста вызвана остеоартритом, врач может применить способ инъекционного введения кортикостероидных препаратов в полость кисты. При этом хорошо снимается воспаление и отечность в области новообразования. Часто специалисты принимают решение о лечении кисты методом дренирования. С помощью толстой иглы проникают в ее полость, и большим шприцом отсасывают жидкое содержимое. После этого вводят гормональные противовоспалительные лекарства. Процедуру можно повторять. Ее положительное действие наступает быстро. Уходит боль, уменьшается отечность, восстанавливаются двигательные функции сустава.
В консервативном лечении используют также современные физиотерапевтические методы.
Если медикаменты и дополнительные методы не дают положительного результата, отмечается рецидив заболевания, киста достигает больших размеров, заболевание продолжает развиваться, проявляются симптомы осложнений, прибегают к оперативному лечению. В ходе хирургического вмешательства патологическое образование рассекается и удаляется. Современный метод оперативного лечения кисты с помощью артроскопа через два точечных разреза на колене. Эта операция с минимальной травматичностью и возможностью инфицирования раны. ️
Заболевания мягких тканей в области коленного сустава

Боль в коленном суставе (боль в колене) может быть вызвана не только артрозами и артритами, но и поражением мягких тканей, которые необходимо вовремя диагностировать. Своевременное лечение этих состояний полностью избавляет от проблемы боли в коленном суставе.
Бурсит гусиной лапки
Представляет собой воспаление сухожилий полусухожильной, портняжной и стройной мышц, расположенных в области прикрепления к большеберцовой кости. Это место находится на 3-4 см ниже проекции щели коленного сустава по медиальной его поверхности. Воспаление этой области очень часто развивается у тучных женщин, страдающих артрозом коленных суставов. Обычно он не сопровождается значительной припухлостью, но вызывает боли при нагрузке и локальную болезненность при пальпации в зоне поражения. Заболевание возникает вследствие бытовой, профессиональной или спортивной микротравматизации колена.
Препателлярный бурсит

Препателлярный бурсит — воспалительный процесс в синовиальной сумке, которая расположена между надколенником и покрывающей его кожей. Чаще всего это самостоятельное заболевание, развивающееся у лиц, профессия которых связана с частым стоянием на коленях (паркетчики, шахтеры и др.). При развитии бурсита спереди надколенника появляется малоболезненная большая опухоль с четкими границами.
Инфрапателлярный бурсит
Инфрапателлярный бурсит — воспаление поднадколенниковой сумки. При развитии бурсита ниже надколенника появляется отек и припухание.
Подколенный бурсит

Подколенный бурсит (киста Бейкера). Особенностью подколенной серозной сумки является то, что в половине случаев она соединяется с полостью коленного сустава, поэтому в большинстве случаев гонартрит и подколенный бурсит развиваются одновременно. Причинами первичного подколенного бурсита являются травмы, микротравмы, перегрузка коленного сустава (в частности при нарушении статики), вторичного— ревматоидный артрит, гонартроз с реактивным синовитом и другие заболевания коленного сустава.
Киста Бейкера проявляется умеренными болями в подколенной ямке, усиливающимися при разгибании голени, иногда слабостью и онемением конечности (сдавление проходящего здесь большеберцового нерва). Подколенная ямка заполнена округлой эластичной опухолью, исчезающей при сгибании голени. Разгибание коленного сустава болезненно и ограничено. Иногда опухоль распространяется на верхнюю часть икроножной мышцы. При пункции кисты получают прозрачную жидкость, напоминающую синовиальную. Часто одновременно наблюдаются признаки артрита коленного сустава.
Энтезопатии боковой поверхности надколенника
Нижнебоковая поверхность надколенника с латеральной или медиальной стороны (сопутствует гонартрозу). Диагноз устанавливают путем прощупывания (пальпации), отмечая , что пациент больше всего реагирует на давление в вышеуказанных точках. Их может быть несколько по обеим сторонам надколенника.
У вас болят колени? Приходите, мы Вам поможем!
Записаться к ревматологу на прием и лечебную блокаду в Самаре, можно позвонив по телефону на странице контакты.
Читайте также:
