Патологическое заживление переломов. Ложный сустав - псевдоартроз
Добавил пользователь Евгений Кузнецов Обновлено: 07.01.2026
Патологическое заживление переломов. Ложный сустав - псевдоартроз
Неправильно сросшийся перелом — следствие неправильных сопоставления и срастания концов отломков, в результате чего резко нарушаются анатомические формы костного органа, нередко — утрата органом выполняемых функций.
Нередко возникает при обширных повреждениях кости с одновременным размозженном мягких тканей, при нейродистрофических процессах, остеомиелитах и др.
Посттравматические синостозы — спаивание вместе 4 и более отломков.
Фиброзное срастание концов отломков — сравнительно редкое патологическое состояние, при котором смежные концы отломков полностью соприкасаются и соответствуют друг другу, составляют функциональное единство и сохраняют способность костного органа выполнять свои функции. Однако между концами отломков существует очень узкая необызвествленная прослойка фиброзной ткани, концы костных отломков обычно рентгенологически уплотнены, склерозированы, но не имеют замыкающих пластинок. Подвижности отломков, как правило, нет, вследствие чего это состояние не дает клинических проявлений и может быть обнаружено лишь рентгенологически.
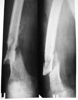
Ложный сустав, или псевдоартроз,— характеризуется нарушением единства кости с обособлением костных отломков в самостоятельные «органы», покрытые своей замыкательной пластинкой. Возникает преимущественно в тех случаях, когда вследствие нарушения целости сосудов прерывается кровоснабжение концов отломков и на месте перелома наступает некроз костей. Основным и наиболее достоверным рентгенологическим симптомом псевдоартроза является закрытие конца костно-мозгового канала пластинкой компактного вещества — продуктом эндостальной мозоли.
Различают анатомические формы ложных суставов: фиброзный, неоартроз и дефект части кости.

1. При фиброзном ложном суставе костные отломки соединяются между собой рубцовой волокнистой тканью, но не соприкасаются. Концы отломков могут свободно н независимо друг от друга перемещаться в мягких тканях. Признаков их атрофии не возникает. Напротив, иногда в концах отломков определяют умеренный остеосклероз.
2. Неоартроз — патологическое состояние, при котором на концах несоприкасающихся отломков формируется волокнистый хрящ, а в окружности отломков — волокнистые структуры, напоминающие суставную капсулу. На концах отломков иногда отрабатываются округлые суставные поверхности, полностью пли частично покрытые волокнистым хрящом. Каждый отломок имеет свою замыкающую пластинку. На концах отломков обычно выражен остеосклероз.
При длительном существовании неоартроза одна из новообразованных суставных поверхностей превращается в своеобразную суставную головку, а другая — в суставную впадину. Вокруг пеоартроза нередко определяются параартикулярные оссификаты вследствие раздражения и активизации остеобластической функции надкостницы.
3. Дефект части кости — патологическое состояние, при котором концы ее бывших отломков располагаются на более или менее значительном расстоянии и могут независимо друг от друга перемещаться в различных направлениях.
Клинически обычно развивается декомпенсация опорно-двигательной функции пораженного органа. Постепенно нарастают его атрофия и остеопороз. При наличии парного костного органа в нем обнаруживается резкая рабочая гипертрофия.
Показатель срыва компенсаторно-аккомодационных возможностей костных органов, содержащих ложные суставы,— асептические некрозы концов костных отломков, возникновение в них зон кистевидной перестройки.
Информация на сайте подлежит консультации лечащим врачом и не заменяет очной консультации с ним.
См. подробнее в пользовательском соглашении.
Ложный сустав (псевдоартроз)

Ложным суставом или псевдоартрозом фактически является образованный после травмы в результате некорректного сращивания обломков участок кости с несвойственной ей непрерывностью, который характеризуется появлением в данном отделе патологической подвижности. Ложный сустав после перелома диагностируется примерно в трех процентах клинических случаев. Реже псевдоартроз носит врожденный характер.
Наиболее часто травматологам приходится иметь дело с псевдоартротическими формированиями на лучевой, большой берцовой или локтевой костях. Иногда в клинической практике встречается и ложный сустав бедра (шейки бедра), ложный сустав ребра, других трубчатых костей. Если такое патологическое соединение не поддавать коррекции, со временем оно будет трансформироваться в более сложные патологии и рано или поздно станет причиной инвалидизации человека.
Причины образования ложных суставов
Образование ложного сустава при переломе связано с нарушением процесса нормального сращивания кости, когда дефект между ее обломками замещается соединительной тканью с измененной структурой. Среди наиболее частых причин такого патологического состояния специалисты выделяют:
отдаленность костных обломков друг от друга, что препятствует их нормальному сращиванию;
попадание между двумя сломанными концами кости костных щепок;
оказание на кость в процессе образования костной мозоли нагрузок повышенной интенсивности;
нагноение в месте перелома кости или нарушение циркуляции крови.
Частыми причинами псевдоартрозов при консервативном лечении переломов являются решения о преждевременном снятии гипсовой повязки. Иногда причиной формирования псевдоартроза выступает повреждение нервов, заболевания органов эндокринной сферы, ухудшение всасывания кальция, проблемы с метаболизмом, выраженная кровопотеря при переломе или шоковые состояния.
Врожденные ложные суставы
Псевдоартроз может возникать еще на этапе внутриутробного развития плода. В таких случаях при рождении ребенка врачи констатируют наличие у него врожденных ложных суставов. В основе патологии лежит сложный процесс нарушения костеобразования, связанный с влиянием на организм матери токсических факторов, некоторых агрессивных медикаментов, сильного стресса. Кроме этого, врожденные ложные суставы могут передаваться по наследственности.
Признаки ложного сустава
Все виды ложных суставов характеризуются наличием общего признака патологии – несвойственной подвижности на определенном участке кости. Симптоматика при приобретенной форме заболевания является слабо выраженной или вообще может отсутствовать, пока ложный сустав кости не обрастет последствиями.
Помимо патологической подвижности, образование ложного сустава при переломе сопровождается появлением болезненности при осевых нагрузках на поврежденную кость. Врожденный вариант псевдоартроза дает о себе знать, как только ребенок начинает ходить. Это патологическое состояние препятствует нормальному развитию малыша и имеет более выраженную клиническую картину, нежели посттравматическое нарушение.
Диагностика
При постановке диагноза врач ориентируется на данные клинического осмотра пациента и наличие у него основных симптомов псевдоартроза или осложнений ложного сустава. Подтвердить патологию позволяет рентгенологическое обследование, в ходе которого определяют:
отсутствие костной мозоли, которая должна соединять костные обломки;
заращение костномозговой полости;
сглаживание концов костных обломков.
В сомнительных клинических случаях специалист может предложить пациенту сделать компьютерную томографию в месте предполагаемого развития ложного сустава.
Лечение псевдоартроза в Набережных Челнах
Лечением ложного сустава должен заниматься исключительно опытный и квалифицированный специалист после проведения грамотной диагностики патологического состояния. Поэтому при подозрении на появление проблемы в месте бывшего перелома необходимо обращаться к грамотному травматологу-ортопеду, способному распознать псевдоартроз и назначить пациенту необходимые обследования для подтверждения диагноза.
Сегодня для эффективного лечения ложных суставов костей применяются оперативные методики с использованием аппаратов Илизарова для интенсивного остеосинтеза поврежденного участка. Если подобная методика не принесет ожидаемого результата, тогда врачи прибегают к костной пластике, как более сложному методу лечения псевдоартроза.
В случае врожденного дефекта малышам назначается оперативная его коррекция или комплекс физиотерапевтических процедур. Более подробную информацию о физиотерапевтическом лечении ложных суставов можно узнать здесь .
Реабилитация
Реабилитацию после оперативного лечения ложных суставов рекомендуют начинать уже через несколько дней после хирургической коррекции. Для предупреждения образования контрактур пациенту назначают индивидуальный комплекс лечебной физкультуры с применением наиболее эффективных в данном случае упражнений. Неплохо влияет на процесс нормального сращивания дефекта и восстановления структуры кости магнитотерапия, УВЧ и другие физиотерапевтические процедуры.
В клинике восстановительной медицины в Набережных Челнах работают профессиональные врачи, которые способны оказать действительно эффективный комплекс услуг, позволяющих устранить нарушения при ложных суставах костей. Наши специалисты известны своим внимательным отношением к пациентам, большим опытом работы в сфере травматологии и реабилитации, применением исключительно современных и действенных методик.

Повреждения связок представляют собой одну из наиболее частых причин ограничения физической активности человека и его способности к свободному перемещению, что существенно снижает качество жизни больного. Такие нарушения возникают преимущественно в результате травмы или при занятиях спортом.

Ложным суставом или псевдоартрозом фактически является образованный после травмы в результате некорректного сращивания обломков участок кости с несвойственной ей непрерывностью, который характеризуется появлением в данном отделе патологической подвижности. Ложный сустав после перелома диагностируется примерно в трех процентах клинических случаев. Реже псевдоартроз носит врожденный характер.
2017 — 2022 ©«Центр Восстановительной Медицины» Все права защищены. Полное или частичное копирование материала без разрешения запрещено!
Лицензия №: ЛО-16-01-006209 от 24.08.2017 г. на осуществление медицинской деятельности ООО "Бальзам +".
Ложный сустав (псевдоартроз)
Ложный сустав, довольно неприятная патология, способная доставить немало проблем как взрослому человеку, так и ребенку. С течением времени отломки становятся гладкими, покрываются хрящевой тканью и капсулой, напоминающей суставную. Подобная патология в медицине носит название псевдоартроз или ложный сустав
Опубликован: 02.09.2021
Ложный сустав (псевдоартроз) – причины возникновения, диагностика, лечение, реабилитация, профилактика
Обзор материалов из открытых источников
Ложный сустав (псевдоартроз) – несросшийся перелом, нарушение непрерывности трубчатой кости. Роль суставных поверхностей выполняют свободные концы фрагментов поврежденной кости, а капсулы – образовавшееся соединительно-тканное покрытие. В 96% патология является приобретенной. Признаки ложного сустава включают боль при надавливании, подвижность кости в нетипичном месте.
Причины возникновения ложного сустава
В норме после перелома кость срастается с образованием мозоли, вначале она рыхлая и непрочная, но потом (в норме) перестраивается в нормальную костную ткань. Чтобы процесс шел, как положено, применяются различные методики консервативного и оперативного лечения, основная задача которых сопоставить и фиксировать костные отломки. Однако порой, по той или иной причине, процессы восстановления нарушаются, в этом случае образуется ложный сустав в месте перелома.
К формированию патологии приводят местные причины:
- неудачные ортопедические операции
- попадание мягких тканей между отломками
- непрочная фиксация костных отломков
- сокращение сроков иммобилизации при консервативном лечении
- раннее удаление фиксаторов
- несоблюдение пациентом рекомендаций травматолога — ранняя, неадекватная нагрузка на конечность
- неполноценная гипсовая иммобилизация
- ошибки консервативной терапии
- перерастяжение отломков при скелетном вытяжении (или аппаратами внешней фиксации)
- гнойные осложнения (при открытых переломах или попадание инфекции при хирургическом вмешательстве)
Причиной развития врожденных ложных суставов является нарушение питания и иннервации соответствующего сегмента конечности во внутриутробном периоде.
Псевдоартроз может быть следствием заболеваний:
- синдрома Элерса-Данлоса
- несовершенного остеогенеза
- фиброзной дисплазии
- метастатического рака
- нарушений кальциевого обмена, остеопороза у пожилих
- охроноза (алкаптонурия) и других заболеваний, связанных с нарушением обмена веществ
Ложный сустав, довольно неприятная патология, способная доставить немало проблем как взрослому человеку, так и ребенку. С течением времени отломки становятся гладкими, покрываются хрящевой тканью и капсулой, напоминающей суставную. Подобная патология в медицине носит название псевдоартроз или ложный сустав.
При приобретенных ложных суставах щель между костными фрагментами заполнена соединительной тканью. Структура длительно существующих ложных суставов постепенно меняется. Концы отломков покрываются хрящом, становятся более подвижными. В области щели образуется покрытая капсулой и заполненная синовиальной жидкостью суставная полость. При врожденной патологии пораженная область заполнена не до конца сформированной костной тканью, которая не может выдержать нагрузку на конечность.
Схема фиброзно-синовиального ложного сустава (1 - псевдосуставные поверхности; 2 - фиброзно-синовиальная оболочка; 3 – отломки трубчатой кости)
Посттравматические (приобретенные) ложные суставы развиваются после 2-3% переломов, чаще всего образуются на большеберцовой, лучевой и локтевой кости, реже – на плечевой, бедренной и ключице. Врожденный ложный сустав (в основном) локализуется на костях голени, составляет 0,5% всех врожденных аномалий опорно-двигательного аппарата.
Симптомы ложного сустава
У большинства пациентов в анамнезе имеет место травма (в редких случаях псевдоартроз может быть врожденной патологией).
Основные симптомы ложного сустава:
- патологическая подвижность в месте перелома, которая сохраняется после сроков сращения;
- интенсивная боль в месте перелома;
- деформация поврежденной области;
- ограничение опоры на конечность;
- затрудненное движение суставов;
- заметное снижение мышечной силы;
- нарушение кровообращения в области травмы.
Несмотря на проводимое лечение перелома присутствует боль, которая сохраняется по прошествии нормальных сроков, необходимых для формирования полноценной костной мозоли.
Клиника зависит от локализации и типа псевдоартроза.
Ложный сустав ключицы проявляется:
- болью, отеком тканей
- видимым опущением плеча на стороне поражения
- ограничением движений — больному трудно поднять верхнюю конечность
Заподозрить ложный сустав после перелома плечевой кости можно по хрусту, деформации, ощущению разболтанности плеча. Движения в сочленении нарушены, болезненны. Рука может быть неуправляемой из-за болтающихся отломков плечевой кости на мышцах, из-за чего пациент вынужден придерживать конечность.
Ложный сустав шейки бедра чаще диагностируют у пожилых. Конечность деформируется, укорачивается, невозможна опорная функция. Попытка встать на ноги сопровождается острой болью. Мышцы конечности атрофированы.
Если псевдоартроз формируется на одной из двух костей сегмента конечности (большеберцовая - малоберцовая, локтевая - лучевая), проявления отсутствуют или не вызывают беспокойства. Боль возникает при значительной нагрузке.
Классификация ложных суставов
по происхождению — врожденный, приобретенный, патологический (после перелома шейки бедра у возрастного пациента).
- формирующийся на фоне замедленной консолидации с учетом среднего срока, необходимого для сращения перелома
- тугой — диагностируют в сроки, в два раза превышающие обычные
- некротический — возникает после огнестрельных травм на фоне нарушения кровоснабжения кости и при переломах с тенденцией к образованию асептического некроза
- костного регенерата — причина — перерастяжение сегмента кости аппаратом внешней фиксации
- истинный (неоартроз, фиброзно-синовиальный) — формируется преимущественно в области плечевой или бедренной кости. Отломки покрывает рубцовая ткань с участками хрящевой, визуализируется полость, содержащая жидкость, капсула сочленения
В зависимости от объема костного вещества, особенностей кровотока в зоне перелома выделяют:
- гипертрофический – костные наросты разрастаются на концах,
- нормотрофический – срастание костей при переломе отсутствует, края фрагментов имеют неизмененный вид,
- атрофический – подразумевает отсутствие костной мозоли, сопровождается нарушением кровообращения.
Время формировании ложного сустава зависит от многих факторов: возраста, обмена веществ, локализации и метода лечения (оперативное или консервативное) оно совпадает по времени срастания в норме данного вида перелома. Ложный сустав после перелома шейки бедра, например, а также после перелома шейки плеча образуется за 5-6 месяцев. При травме ребра или позвоночника требуется около 4 месяцев. Ложный сустав голени или колена формируется быстрее.
Также быстро нарастает хрящевая ткань при переломе пястной кости, повреждении нижней челюсти.
У детей процесс заживления занимает меньше времени, и в случае несращения или явного замедления сращения, которые можно увидеть на рентгене, тревогу бьют раньше. Ложный сустав на раннем этапе сложно обнаружить, а вот фиброзное сочленение уже выявляется на рентгене.
Диагностика псевдоартроза (замедленного сращения, несращения, ложного сустава)
Для оценки патологического процесса могут быть использованы рентгенография, КТ и МРТ. У детей может быть использована УЗД.
Рентгенологические признаки ложного сустава представлены:
- визуализацией линии незаращения из-за замедленной консолидации
- склерозом концов отломков
- костными наростами в области несращения (при гипертрофическом типе псевдоартроза)
- искривлением оси конечности
- смещением фрагментов
- остеопорозом (разрежением костной ткани)
- асептическими некрозами концов костных отломков, возникновение в последних зон деградации
- обнаружением всех элементов сочленеия в нетипичном месте - суставной впадины, головки кости, синовия, остеофитов при неоартрозе и др.
Лечение псевдоартроза
Методы лечения ложного сустава подбираются в индивидуальном порядке. Объем мероприятий больному назначается, исходя из сложности травмы, возраста пациента и срока давности перелома, сопутствующих заболеваний, которые могли стать причиной псевдоартроза.
В подавляющем большинстве случаем, можно сказать во всех случаях диагностики ложного сустава, лечение оперативное.
Основная цель лечения направлена на восстановление непрерывности сломанной кости. После этого принимаются меры по устранению деформаций и укорочений (если это возможно) вызывающих нарушение пораженной конечности.
Хирургическое лечение псевдоартроза направлено на достижение:
- устойчивого остеосинтеза – для проведения операции, цель которой – сблизить и зафиксировать отломки, используются металлические элементы. В месте повреждения делается надрез, отломки костей стягивают и соединяют при помощи пластины, стержня, аппарата внешней фиксации или аппарата Илизарова. Непрочное соединение (нестабильный остеосинтез) после хирургического вмешательства – одна из причин ложного сустава, поэтому при выполнении повторной операции уделяют повышенное внимание фиксации;
- костная пластика – показана при атрофических нарушениях, а также до проведения устойчивого остеосинтеза при отсутствии фрагментов костной ткани. Операция реконструктивного характера, в ходе которой удаляются поврежденные ткани, а на их место внедряются имплантаты. В качестве «заменителя» могут выступать собственные ткани пациента, донорские материалы или синтетические аналоги. Операцию не проводят при воспалении и гнойных процессах.
- компрессионно-дистракционного остеосинтеза – операция, которая направлена на сближение и прижатие фрагментов, рекомендована при травмах плечевой кости и костей голени. С помощью аппаратного сращения удается удлинить кость за счет постепенного отведения отломков по мере образования костной ткани. К аппаратной помощи прибегают в тех случаях, когда конечность деформирована или укорочена. Среди распространенных аппаратов для фиксации отломков – Илизарова, Калнберза.
- В некоторых случаях прибегают к резекции (удалению) концов костных обломков с последующим удлинением фрагментов.
К пластике и компрессионно-дистракционному остеосинтезу прибегают при травмах лучевой кости. В случае повреждения бедра проводят интрамедуллярный остеосинтез стержнями. Из-за гнойной инфекции лечение откладывают, в таком случае эффективность терапии не снижается, однако больному придется некоторое время терпеть неудобства, вызванные ложным суставом.
Совместно с оперативным лечением проводится медикаментозная терапия как местная, так и общая. Она направлена на купирование болевых ощущений, снятие отека и воспаления, лечение гнойной инфекции (при наличии таковой), улучшения обмена веществ.
Широко применяются физиотерапевтические методы: электрофорез, лазер и др. (под контролем ортопеда – травматолога и физиотерапевта при отсутствии противопоказаний).
Особое внимание последнее время уделяют применению ударно-волновой терапии, которая помогает стимулировать регенеративные процессы в месте перелома и способствует быстрому сращению.
Отдельно хотелось бы отметить особенности лечения псевдоартроза тазобедренного состава (шейки бедренной кости) – единственный метод лечения (особенно у пациентов старшей возрастной группы) это эндопротезирование тазобедренного сустава.
Реабилитация
Рекомендовано реабилитацию начинать непосредственно в стационаре в раннем послеоперационном периоде. На 3-5 сутки после операции (при стихании послеоперационного болевого синдрома) пациентам целесообразно посещать групповые и индивидуальные занятия лечебной физкультуры с методистами с целью предотвращения развития контрактур суставов пораженного сегмента, ранней активизации и восстановлении физиологического объема движений в суставах пораженной конечности.
Профилактика псевдоартроза
Своевременная диагностика переломов и контроль сращения во время лечения помогут предотвратить развитие псевдоартроза. Профилактика несращений и ложных суставов костей заключается в устранении факторов, приводящих к их развитию. Профилактика псевдоартроза во многом зависит от рационального и адекватного лечения травматических повреждений костей. Ранняя диагностика и лечение нарушения обмена веществ, связанных с кальциевым и белковым обменом, также поможет предотвратить развитие псевдоартроза. Особое значение в профилактике развития псевдоартроза и замедленной консолидации играет правильная реабилитация со своевременными и адекватными нагрузками на поврежденную конечность.
Осложнения
При любых способах лечения ложного сустава чаще всего встречаются следующие осложнения:
Ложный сустав или псевдоартроз: симптомы, причины, лечение?
Травматологи настаивают: лечение переломов и травм должно проходить постепенно. Если гипс снять слишком рано, несросшиеся концы кости могут образовывать ложный сустав . Он доставляет массу неприятностей, вызывает боль, неправильное распределение нагрузки на опорно-двигательный аппарат и портит эстетику.
Может ли срастись ложный сустав? Обычно с таким вопросом обращаются пациенты в Ладистен , которые столкнулись с проблемой псевдоартроза.
Что такое ложный сустав?

Ложный сустав или псевдоартроз – это патология врожденного и приобретенного характера, при которой нарушается непрерывность трубчатой кости, возникает подвижность в несвойственных ей отделах.
Патология может локализоваться в разных местах. Ложный сустав голеностопа , как правило, носит врожденную природу. Остальные «дополнительные суставы» формируются после травмы.
Ложный сустав (МКБ-10) обозначается кодом:
- М84.0 (Плохое сращивание перелома);
- М84.1 (псевдоартроз);
- М84.2 (Замедленное сращение перелома).
Патология образуется не сразу. Чтобы кости срослись неправильно, должен пройти определенный срок. Food and Drug Administration (FDA) описывает диагноз «несрастание», если после перелома прошло не менее 9 месяцев и на рентгене за последние 3 месяца не видно динамики образования костной мозоли¹.
Причины возникновения патологии ложного сустава
Врожденный ложный сустав формируется по таким причинам:
- интоксикация;
- рахит;
- опухоли;
- эндокринные нарушения.
Среди всех случаев псевдоартроза врожденные патологии занимают до 4%. Остальные 96% выпадают на долю приобретенных. Их основные причины:
- ошибки при операции на костях – неправильная фиксация, резекция обломков;
- неправильная краткосрочная реабилитация – раннее снятие аппарата фиксации, чрезмерная нагрузка в период восстановления;
- нагноение и инфекция.
В центре современной медицины и травмотологии Ладистен проводят тщательную диагностику и исправляют последствия хирургических ошибок.
Симптомы
— Болит ли ложный сустав? – часто интересуются пациенты, которые перенесли операцию после перелома и не чувствуют облегчения. Ответ очевиден: болит.
Но кроме боли, добавляются другие симптомы. Основные признаки неправильного сращивания трубчатых костей:
- конечность деформируется, ложное образование выпирает наружу. Оно похоже на шишку в месте перелома;
- деформированная область начинает двигаться, кость будто бы сгибается пополам;
- в результате псевдоартроза ног нарушается опорная способность. Человеку трудно «удержаться на ногах», ходить;
- снижается мышечная сила. Мышцы постепенно атрофируются и движение в нормальных суставах ограничивается;
- в конечности нарушается кровообращение, она может неметь.
Если вы заподозрили неладное после лечения травмы или перелома, обратитесь к врачу для своевременной диагностики. При раннем выявлении формирования ложного сустава, прогноз благоприятен.
Диагностика ложного сустава
Чтобы определить точно диагноз ложный сустав, клинические рекомендации называют рентген главным методом. Снимки нужно делать в прямой и боковой проекциях.
Основной признак: на рентгене отсутствует костная мозоль. Концы костных фрагментов сглажены и закруглены, полость на уровне костномозгового канала закрыта.
При диагностике используют классификацию 1976 года по Weber-Cech.
Классификация ложных суставов²:
- гипертрофический. Концы фрагментов кости утолщены;
- атрофический. Концы фрагментов имеют коническую форму;
- истинный. Конец отломков разной формы. Один выпуклый, другой – вогнутый.
Лечение ложного сустава
Когда возник ложный сустав, лечение без операции невозможно. Хирургическим путем порожденное место фиксирую заново для образования костной мозоли, окостенения³.
С этой целью проводят остеосинтез по Илизарову. Для операции используется аппарат внешней фиксации, который пациент носит около 6 месяцев.
Медицинский центр Ладистен проводит хирургические вмешательства малоинвазивным путем. Способ доказал свою эффективность 30-летней практикой. Новая применяемая конструкция – аппарат Веклича имеет патент.
Аппарат доктора Веклича – надежный прибор для сращивания кости, аппарат достаточно лёгкий и имеет улучшенную эргономику. Он не предусматривает использование травмоопасных спиц, тем самым снижая риск инфицирования и сроки реабилитации.

Профилактика: как предотвратить образование ложного сустава
Ранняя диагностика и лечение переломов – первый шаг профилактики.
К основным мерам профилактики относятся:
- проведение операций травмированных конечностей вместо гипса, если пациент имеет низкую резистентность;
- увеличение времени операции для нормальной фиксации фрагментов;
- избежание раннего снятия аппарата фиксации, гипса, спиц;
- избежание нагрузки на поврежденную конечность в течение полугода после операции.
При соблюдении рекомендаций врача, риск развития патологии снижается.
Источники
¹Velle D.L. Delayed union and nonunion of fractures / David La Velle // Campbelle’s Operative Orthopaedics. – 1999. – Vol. 3. – P. 2579-2583
²СКЕЛЕТНО-М’ЯЗОВА РАДІОЛОГІЯ Шармазанова Е.П., Моселиани Х. Харьковская медицинская академия последипломного образования, г. Харьков. РЕНТГЕНОДИАГНОСТИКА ЛОЖНОГО СУСТАВА ПРИ ПЕРЕЛОМАХ БОЛЬШЕБЕРЦОВОЙ КОСТИ. УДК 616.073.75-+616.718.55/.65
³МИНИСТЕРСТВО ОХРАНЫ ЗДОРОВЬЯ УКРАИНЫ. ХАРЬКОВСКИЙ НАЦИОНАЛЬНЫЙ МЕДИЦИНСКИЙ УНИВЕРСИТЕТ. БЕЛОСТОЦКИЙ АНТОН ИГОРЕВИЧ. КЛИНИКО-БИОМЕХАНИЧЕСКОЕ ОБОСНОВАНИЕ ВЫБОРА ТАКТИКИ ХИРУРГИЧЕСКОГО ЛЕЧЕНИЯ ПАЦИЕНТОВ С НАРУШЕНИЯМИ КОНСОЛИДАЦИИ ПЕРЕЛОМОВ ДИСТАЛЬНОГО ОТДЕЛА БЕДРЕННОЙ КОСТИ. 14.01.21 – травматология и ортопедия. Диссертация на соискание ученой степени кандидата медицинских наук.
Ложный сустав
Ложный сустав (псевдоартроз) – это патологическое состояние, при котором нарушается целостность длинной трубчатой кости с образованием подвижного сочленения между отломками.
Подобная проблема может возникнуть в любом возрасте, и наиболее часто носит посттравматический характер. Травматологи ортопеды детской клиники «СМ-Доктор» занимаются диагностикой врожденных и приобретенных ложных суставов у детей любого возраста, а также помогают определиться с тактикой хирургической коррекции патологии. Хирургическое лечение ложных суставов у детей в «СМ-Доктор» не проводится.


Классификация
Ложные суставы подразделяются на виды в зависимости от причины развития патологии. Выделяют врожденные и приобретенные формы заболевания. Особенности строения патологического участка позволяют выделить следующие типы псевдоартроза:
- фиброзные: костное вещество сохраняется в полном объеме;
- с костным дефектом: наблюдается дефицит кости;
- истинные: концы костей покрыты хрящом.
Причины развития ложных суставов у детей
Точные причины развития врожденной формы заболевания неизвестны. Предположительно, она связана с повреждением кости во время внутриутробного развития. Приобретенный псевдоартроз формируется на фоне перелома кости и ее неправильного срастания. Подобная ситуация возникает при различных обстоятельствах:
- неправильная фиксация костных отломков;
- преждевременное снятие гипса или аппарата для фиксации.
- ошибки в тактике лечения;
- преждевременная нагрузка на пострадавшую конечность;
- развитие гнойных осложнений.
Также причиной псевдоартроза может служить:
- метастазы злокачественных опухолей;
- несовершенный остеогенез (повышенная хрупкость костей);
- нарушения обмена кальция, в том числе на фоне рахита;
- синдром Элерса-Данлоса и другие патологии.
Симптомы псевдоартроза у детей
Врожденный псевдоартроз выявляется, как правило, после того как ребенок встает на ножки и пытается ходить. В большинстве случаев поражаются кости нижних конечностей: бедренная или большеберцовая. Приобретенная форма диагностируется после снятия гипса и повышения нагрузки на конечность.
Классическими симптомами ложного сустава у детей являются:
- деформация в области перелома, напоминающая шишку;
- патологическая подвижность;
- нарушение функции конечности;
- ощущение онемения в пострадавшей руке или ноге.
При несвоевременном лечении патологии мышцы начинают атрофироваться.
Диагностика ложного сустава у детей
Диагностикой псевдоартроза занимается детский травматолог-ортопед. Он начинает со сбора жалоб и анамнеза, затем проводит осмотр конечности. Как правило, этого достаточно для постановки предварительного диагноза, который затем подтверждается с помощью рентгенографии.


Лечение ложного сустава у детей
Консервативное лечение ложного сустава невозможно. Дефект устраняется хирургическим путем: врачи иссекают рубцовую ткань, участки хряща и вручную сопоставляют концы костей. Затем, как правило, устанавливается аппарат Илизарова, который надежно фиксирует конечность правильном положении на длительный срок. Альтернативой может служить скрепление костей с помощью пластин.
Хирургическое лечение ложных суставов у детей в «СМ-Доктор» не проводится, наши специалисты проводят диагностику и дают рекомендации по дальнейшему лечению, которое проводится в специализированных детских клиниках.
Профилактика
Основной метод профилактики приобретенных ложных суставов – своевременная диагностика и полноценное лечение переломов. При этом необходимо выполнять все рекомендации врача, в том числе касающиеся нагрузки на конечность, лечебной физкультуры и т.п. Также необходимо обеспечить ребенку полноценное питание с достаточным количеством витаминов и микроэлементов.
Ложный сустав – это относительно редкая патология, требующая длительного лечения. Если Вашему ребенку пришлось столкнуться с этой проблемой, врачи клиники «СМ-Доктор» проведут полноценную диагностику и направят малыша на лечение в специализированное отделение.











© 2002-2022 ООО «СМ-Клиника»
Все материалы данного сайта являются объектами авторского права (в том числе дизайн). Запрещается копирование, распространение (в том числе путем копирования на другие сайты и ресурсы в Интернете) или любое иное использование информации и объектов без предварительного письменного согласия правообладателя. Указание ссылки на источник информации является обязательным.
Лицензия № ЛО-77-01-018779 от 19 сентября 2019 г.
Читайте также:
