Патологии, связанные с зубными имплантатами
Добавил пользователь Дмитрий К. Обновлено: 28.11.2025
Р. Т. Буляков
д. м. н., доцент, заведующий кафедрой стоматологии общей практики ИПО БГМУ, главный внештатный стоматолог Министерства здравоохранения Республики Башкортостан, заслуженный врач Республики Башкортостан, главный врач АУЗ «Республиканская стоматологическая поликлиника» (Уфа)
О. А. Гуляева
к. м. н., ассистент кафедры стоматологии общей практики ИПО БГМУ, врач- пародонтолог АУЗ «РСП» (Уфа)
Д. Н. Тухватуллина
к. м. н., доцент кафедры стоматологии общей практики ИПО БГМУ, заместитель главврача по лечебной части АУЗ «РСП» (Уфа)
В настоящее время дентальная имплантация занимает одно из ведущих мест в комплексе реабилитации пациентов с полным или частичным отсутствием зубов [2]. В России имплантология стала развиваться сравнительно недавно, но оказалась крайне востребованной областью стоматологии. Сегодня практически каждая клиника (частная и государственная) предлагает данный вид стоматологической помощи, так как имплантация является незаменимой альтернативой во многих клинических ситуациях.
Анализ рынка стоматологических услуг свидетельствует о том, что ежегодно в мире устанавливается более 2 млн имплантатов, уже в 90-е годы прошлого столетия общее число таких пациентов достигло 30 миллионов человек. Количество устанавливаемых имплантатов с каждым годом растет во всех экономически развитых странах. В США, например, за последние 20 лет произошло увеличение этого показателя в 10 раз [5].
Научные наблюдения и исследования клиницистов демонстрируют хорошие результаты имплантации, позволяющей достичь полноценного восстановления жевательной эффективности, речеобразования и эстетики зубного ряда. Несмотря на то что имплантация в последние годы отличается высоким уровнем успеха в раннем послеоперационном периоде, в научной литературе появляется все больше сведений о риске отдаленных осложнений.
Ежегодно в мире устанавливается более двух миллионов имплантатов, уже в 1990-е годы прошлого столетия общее число таких пациентов достигло 30 миллионов человек
Воспаление тканей, окружающих остеоинтегрированный имплантат, является одной из основных проблем имплантологии [6, 7]. Исследования последних лет свидетельствуют о том, что от 50 до 70 % пациентов с дентальными имплантатами страдают заболеваниями пародонта, что в отдаленном послеоперационном периоде может являться причиной потери зубов и имплантатов. Поэтому пациенты с ортопедическими конструкциями на дентальных имплантатах нуждаются в регулярном наблюдении не только хирурга-имплантолога, но и пародонтолога для предотвращения развития таких нежелательных воспалительных осложнений, как периимплатационный мукозит и периимплантит [3]. Дифференциальная диагностика между этими патологическими процессами осуществляется на основе клинических и рентгенологических исследований.
Мукозит в области имплантата — это воспаление окружающей слизистой оболочки в области шейки имплантата, выражающееся явлениями отека и гиперемии, высокой контактной кровоточивостью при зондировании периимплантатных карманов, без нарушения остеоинтеграции.
Согласно определению, данному в 1993 г. Европейской федерацией пародонтологов, периимплантит — это прогрессирующая резорбция окружающей имплантат костной ткани, вызванная воспалительным процессом в мягких тканях (слизистой оболочке), окружающих имплантат, сопровождающаяся образованием костных карманов и замещением резорбированных участков грануляционной тканью в зоне воспаления [9]. Диагноз периимплантита устанавливают на основании рентгенологически выявленных изменений кости в виде кратерообразной деструкции в окружности шейки и даже верхней трети имплантата.
Современные данные свидетельствуют о том, что мукозит может возникать у 60—80 % лиц, имеющих дентальные имплантаты, а развитие периимплантита описано у 10—56 % обследованных лиц [3, 13]. В нашей клинической практике подобные явления встречаются с частотой, соответствующей большинству данных научной литературы.
Патологические изменения вокруг имплантатов могут возникать как в ближайшие сроки после протезирования, так и по прошествии нескольких месяцев и даже лет. Основными факторами развития осложнений в ближайшем послеоперационном периоде могут являться ошибки при выполнении хирургических процедур и проведении протезирования, тогда как основной причиной развития воспалительного процесса периимплантатных тканей в отдаленном послеоперационном периоде является несоблюдение пациентом графика регулярных посещений пародонтолога (гигиениста) или их отсутствие.
Главными факторами риска в развитии периимплантита являются отсутствие рациональной регулярной гигиены естественных зубов и ортопедических конструкций в полости рта и наличие в анамнезе пародонтита. Имеется достаточно свидетельств, подтверждающих связь между повышенным риском развития периимплантита и воспалительными заболеваниями пародонта [11].
Многочисленные микробиологические исследования демонстрируют, что функционирование имплантатов сопровождается развитием биопленок на внекостных поверхностях имплантата и протеза, а микробиота этой поддесневой биопленки сходна с таковой в пародонтальных карманах при пародонтите [3], при этом биопленка в трансмукозной (пришеечной) области супраконструкций имплантатов способна вызывать хроническое продуктивное воспаление в периимплантатных тканях и привести к периимплантационному мукозиту и периимплантиту [4]. Развившийся периимплантит, клиническая и микробиологическая картина которого сравнима с таковой при пародонтите, приводит к сокращению срока службы всей имплантационной конструкции.
Мукозит может возникать у 60—80 процентов лиц, имеющих дентальные имплантаты, а развитие периимплантита описано у 10—56 процентов обследованных лиц
Ключевая роль в развитии периимплантита принадлежит микрофлоре биопленки, представляющей собой сообщество микроорганизмов, сгруппированных в микроколонии, защищенных вырабатываемым ими адгезивным матриксом. Причинно-следственная связь между накоплением микробной биопленки и развитием воспаления в тканях, окружающих имплантат, подтверждена в экспериментальных и клинических исследованиях [8]. Подтверждена даже возможность инфицирования тканей в области имплантата путем заноса периодонтопатогенной инфекции из активных пародонтальных карманов.
Наряду с этим в последние годы все большее внимание уделяется проблемам использования имплантатов у пациентов с заболеваниями пародонта. Пародонтит у пациентов с частичной адентией раньше нередко являлся причиной отказа от протезирования с использованием внутрикостных дентальных имплантатов, а в настоящее время появился опыт успешного проведения дентальной имплантации у пациентов с заболеваниями пародонта при условии правильной пародонтологической подготовки, постоянного контроля мотивации пациента, поддерживающей пародонтальной терапии [1].
Практически все авторы, в той или иной степени затрагивающие вопросы гигиенического ухода за полостью рта при имплантации, сходятся во мнении, что индивидуальная гигиена зубов, имплантатов и супраконструкций оказывает существенное влияние на стабильность искусственных опор, а от ее качества зависит срок службы имплантата и вероятность развития воспаления вокруг него [4, 11]. Программа ухода за полостью рта после протезирования на внутричелюстных имплантатах базируется на основе индивидуальных особенностей ортопедической конструкции, строения челюстей и расположения зубов.
Обязательно обучение применению таких дополнительных средств гигиены, как суперфлоссы, интердентальные ершики, монопучковые зубные щетки, ирригаторы. Гигиенические мероприятия, являющиеся неотъемлемой составляющей санации полости рта, при дентальной имплантации приобретают еще большее значение в связи с тем, что способствуют снижению риска осложнений и гарантируют долгосрочность успеха имплантации.
Пародонтит у пациентов с частичной адентией раньше нередко являлся причиной отказа от протезирования с использованием внутрикостных дентальных имплантатов
Имплантаты имеют тенденцию накапливать больше бактериального налета и плотных отложений, чем зубы. Вместе с тем для проведения профессиональной гигиены в области имплантатов нет возможности использовать многие из традиционных доступных методов, в частности, нельзя применять обычные металлические ручные и ультразвуковые инструменты, нельзя полировать с использованием абразивных паст и циркулярных щеток и воздушно-абразивных методик с классическим порошком бикарбоната натрия, так как это может повредить структуру поверхности и повысить вероятность ретенции микробного налета.
По данным [12], применение технологии Perio Flow (воздушно-абразивная над- и поддесневая обработка порошком глицина диметром частиц 25 мкм) (EMS, Швейцария) позволяет удалить 99,9 % биопленки, не повреждая поверхности имплантата, и нами для лечения пациентов с пародонтитом и воспалением в области имплантатов был выбран именно этот метод.
Целью нашей работы стала оценка клинической эффективности метода Perio Flow в комплексном лечении периимплантита и периимплантатного мукозита у пациентов с сопутствующей патологией пародонта по сравнению с традиционными методами.
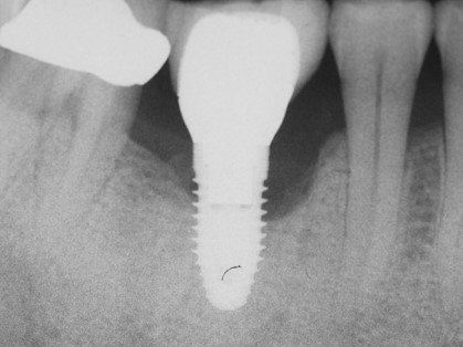
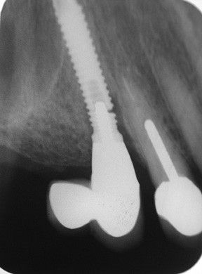
Для этого нами были изучены непосредственные и отдаленные результаты лечения периимплантита у 17 пациентов пародонтологического кабинета хирургического отделения АУЗ «РСП» в возрасте 24—56 лет (9 мужчин и 8 женщин) — основная группа — и 5 пациентов контрольной группы. Срок пользования имплантатами от 1 года до 7 лет, имплантаты как во фронтальных участках, так и в области премоляров и жевательных зубов (всего 24 имплантата). Не все пациенты обратились с жалобами (кровоточивость, отделяемое из десны, дискомфорт), у 5 пациентов (29,4±0,7 %) периимплантит был диагностирован во время осмотра. Диагноз периимплататный мукозит — у 2 пациентов, у остальных периимплантит, подтвержденный рентгенологически (рис. 1, 2) .
Рис. 1. Рентгенологическая картина периимплантита.
Рис. 2. Рентгенологическая картина периимплантита.
Сопутствующим стоматологическим заболеванием у 6 пациентов (35,29 %) был хронический генерализованный пародонтит в стадии обострения — легкой степени (ХГПЛС), у 11 (64,71 %) — средней степени тяжести (ХГПСС). Контрольную группу составили 5 человек (3 ХГПЛС, 2 ХГПСС), этим пациентам проводилось стандартное лечение (профессиональная гигиена пьезоэлектрическим аппаратом в области имплантатов инструментом с пластиковым покрытием (рис. 3) , удаление налета неабразивными пастами механическим методом.
Многоразовый автоклавируемый инструмент, которым проводилась очистка имплантатов от зубных отложений, имеет полиэфиркетонкетоновое покрытие, безопасное для поверхности имплантатов и керамики, работает с пьезоэлектрическим наконечником посредством присоединения через эндочак на 120 0 (рис. 4) .
Рис. 3. Инструмент PI для профессиональной гигиены имплантатов ультразвуковым методом и его работа в полости рта.
Рис. 4. Инструмент PI для профессиональной гигиены имплантатов ультразвуковым методом и его работа в полости рта.
В основной группе, помимо стандартной профессиональной гигиены, проводилось удаление биопленки методом поддесневой воздушной полировки Perio Flow на 2-й день (2-е посещение), через 6 недель (5-е посещение). В комплекс лечения в обеих группах включались мотивация рациональной гигиены полости рта (ГПР), обучение пациентов особенностям гигиены при наличии дентальных имплантатов с индивидуальным подбором основных и дополнительных средств гигиены, местная и (по показаниям) общая противомикробная и противовоспалительная терапия, витаминотерапия, местная иммунокоррекция, физиотерапия.
Эффективность лечения, проводимого в каждой группе, оценивалась с помощью общепризнанных клинических методов — оценки глубины зондирования вокруг имплантата или периимплантатного кармана (ПИК), цвета периимплантатной десны, консистенции, наличия или отсутствия экссудата из периимплантатной бороздки (кармана), величины периимплантатной маргинальной костной резорбции, упрощенного индекса гигиены полости рта (ГПР) OHI-S (J. C. Green, J. K. Vermillion, 1963), индекса для количественного определения налета в придесневой области Silness-Loe (S-L) (Silness J., Loe, H., 1964), индекса PMA (papillar-marginal-alveolar) (I. Schour, M. Massler, 1947, в модификации С. Parma, 1960).
По показаниям проводилась прицельная рентгенография. Оценку клинических параметров и индексную оценку проводили в каждое из посещений пациента (на 1, 2, 5-й и на 10-й день, через 6 недель, через 3 и 6 месяцев) — всего 7 посещений.
Полученные результаты анализировались при помощи стандартных статистических методов.
Результаты проводимого исследования показали, что клинический статус пациентов до лечения во всех группах был примерно одинаков. Высокие показатели индекса Silness-Loe (2,35±0,2 в основной и 2,28±0,1 в контроле) и OHI-S (2,81±0,22 и в основной и 2,65±0,51 в контроле) указывали на то, что практически у всех пациентов была неудовлетворительная ГПР. Индекс PMA составил в среднем 58,5±2,8 % в основной и 57,3±2,4 % в контрольной группах.
Применение технологии Perio Flow позволяет удалить 99,9 % биопленки, не повреждая поверхности имплантата
Согласно проведенным исследованиям, уровень ГПР (по значениям индекса OHI-S), изначально незначительно различавшийся в обеих группах пациентов, на 5-й день от момента начала лечения в основной группе достиг 0,38±0,33 и держался на этом уровне и к 5-му посещению (через 6 недель), в контрольной же группе уровень гигиены был хуже и, снизившись к 4-му посещению (через 10 дней) до 0,48±0,27, через 6 недель составлял 0,53±0,23 (p<0,001).
В результате исследования установлено, что в процессе лечения состояние тканей десны вокруг имплантатов, характеризующееся индексом PMA, улучшилось в обеих группах, оставаясь практически весь период лечения стабильным в основной группе: 12,1±0,8 — 11,7±0,6 — 11,9±0,9 в 5, 6 и 7-е посещения соответственно. В контрольной группе к 6-му и 7-му посещению ухудшилось по сравнению с результатом через 6 недель 13,6±1,7 — 16,9±1,3 — 17,8±2,1.
В результате проведенного лечения было зафиксировано уменьшение глубины ПИК в обеих группах. Причем в основной группе отмечена большая редукция глубины ПИК и через 6 недель, и через 3 месяца, и через 6 месяцев (p<0,01) по сравнению с контролем (табл. № 1) .
Таблица № 1. Средние значения глубины периимплантатного кармана у пациентов с периимплантитом, мм
| Время | Группы | |
| Основная | Контрольная | |
| До лечения | 5,43±0,32 | 5,34±0,42 |
| Через 6 недель | 4,21±0,28 | 5,03±0,45 |
| Через 3 месяца | 4,12±0,38 | 4,84±0,25 |
| Через 6 месяцев | 3,75±0,41 | 4,75±0,51 |
По данным клинического исследования нами установлено, что уже на 5-й день после начала лечения значения индекса придесневого налета, упрощенного индекса гигиены, пародонтального индекса снизились. При этом различия между значениями изучаемых индексов до лечения и через 5 дней после его начала были статистически достоверными при анализе терапии с Perio Flow по сравнению с традиционным методом.
Клиническими исследованиями подтверждалось уменьшение воспалительной инфильтрации в тканях десны около имплантатов. В основной группе с применением метода Perio Flow отмечалось более заметное и быстрое улучшение по ряду клинических показателей. В контрольной группе через 3 месяца и через 6 месяцев у некоторых пациентов наблюдался рецидив воспаления и ухудшение гигиенических показателей, что отражено в индексах. Пациентам провели снятие образовавшегося налета и были даны дополнительные инструкции по гигиене полости рта.
Сравнительный анализ двух методов по показателям редукции глубины ПИК выявил статистически достоверную наибольшую эффективность исследовательского метода по сравнению с контролем (p<0,01). Через 3 месяца и 6 месяцев от начала лечения исследовательский метод привел к более значительному уменьшению глубины ПИК по сравнению с методом, используемым в контрольной группе.
В нормальных условиях за первый год после имплантации потеря кости должна быть в пределах 1—1,5 мм, а затем замедлиться и составлять 0,2 мм каждый последующий год
Рекомендуемый намиграфик динамического наблюдения пациентов с дентальными имплантатами и сопутствующей патологией пародонта: через месяц после имплантации, далее каждые 3—4 месяца, при стойкой ремиссии — не реже 2—3 раз в год. При осмотре оценивается цвет, структура и консистенция десны, наличие гиперемии, отека и экссудата. При необходимости проводится легкое зондирование, оценивается подвижность, фиксация протеза, наличие зубных отложений (индексы гигиены и при необходимости пародонтальные индексы: индекс кровоточивости, индекс распространенности воспалительного процесса).
Рентгенография проводится, если есть патология, и повторяется через каждые 12 месяцев, чтобы проверить уровень кости. После имплантации атрофия кости неизбежна, ее первичная потеря вокруг имплантата связана не с бактериями, по сути, является тканевым ответом на стоматологическое вмешательство, также может быть связана с излишней или недостаточной нагрузкой на еще не созревшую, полностью не минерализовавшуюся кость. В норме за первый год после операции потеря кости должна быть в пределах 1—1,5 мм, а затем замедлиться и составлять 0,2 мм каждый последующий год.
Применение метода Perio Flow в комплексном лечении периимплантита у пациентов с сопутствующим заболеванием — пародонтит повышает клиническую эффективность традиционной терапии. Учитывая этиопатогенетические аспекты периимплантита и свойства метода, наиболее перспективным звеном в комплексном лечении и профилактике периимплантита у пациентов с пародонтитом является применение безопасного для имплантатов метода удаления биопленки. Наряду с особенностями профессиональной гигиены необходимы соблюдение пациентом графика регулярных посещений пародонтолога в рамках поддерживающей пародонтальной терапии и постоянный контроль качества индивидуальной гигиены.
Имплантация при сопутствующих болезнях: как снизить риски

Дентальная имплантация на сегодняшний день — самая передовая методика лечения адентии, то есть отсутствия зубов. Ее методы постоянно совершенствуются. И сегодня у пациентов не стоит вопрос о том, можно или нет восстановить один или несколько утраченных зубов, а лишь как это сделать лучшим образом. Стоматологам удалось значительно сократить число противопоказаний. И если раньше некоторые болезни были абсолютным противопоказанием, то сегодня лечение проводится, лишь используются «особые» материалы и методики, а такие пациенты требуют более пристального внимания. Последние исследования и передовые технологии позволяют сократить число осложнений после имплантации и успешно бороться с бактериями. Подробнее о новых исследованиях и возможностях современных стоматологов, расскажет MedAboutMe.
Противопоказания к имплантации: список болезней

Внедрение искусственного корня требует определенных условий. Стоматолог должен быть уверен, что имплант приживется и не будут действовать факторы, способствующие его отторжению. Если рассматривать мировую статистику, то успех дентальной имплантации, то есть приживления импланта, колеблется между 98% и 99,7%. Это действительно очень высокие показатели, даже в группе пациентов с отягощенным анамнезом.
Известно, что многие болезни находят отражение в полости рта и работе всего организма и именно эти обстоятельства так или иначе могут повлиять на успех дентальной имплантации. Особенно опасаются пациенты и врачи отторжения импланта, чему могут поспособствовать некоторые болезни.
К числу предрасполагающих факторов можно отнести:
Это патология затрагивающая работу иммунной защиты. У пациентов с таким диагнозом регистрируются упорные стоматиты, воспаление десен, а болезнетворные бактерии в полости рта чувствуют себя вольготно и активнее размножаются. К слову, буквально десяток лет назад, диабет был противопоказанием к имплантации зубов.
Речь идет о серьезных патологиях, существенно меняющих работу пищеварительного тракта. При некоторых болезнях за счет распространения болезнетворных бактерий создаются повышенные риски периимплантита — одной из причин отторжения имплантов. Болезни пищеварительного тракта не являлись и не являются противопоказанием для дентальной имплантации, но такие пациенты требуют особого внимания со стороны стоматологов.
- Болезни, затрагивающие работы иммунной защиты
Обширная группа заболеваний, увеличивающая риски осложнений и отторжение имплантов в их числе.
Речь идет о множественной форме кариеса, некоторых болезнях десен, слюнных желез. Это лишь временные противопоказания к имплантации, таким образом стоматологи стремятся убрать очаги хронической инфекции и тем самым увеличить шансы на успех имплантации.
Если говорить в общем, то все предрасполагающие факторы и риски связаны с деятельностью бактерий и их способностью образовывать микробные пленки. Известно, что бактерии могут провоцировать ряд осложнений при дентальной имплантации, причем некоторые из которых заканчиваются фатально, то есть отторжением импланта. Но это всего лишь провоцирующие факторы, которые стоматолог вычисляет на этапе обследования пациента и составления плана лечения. Даже в самых сложных клинических случаях, врачи могут предложить несколько вариантов лечения.
Деятельность бактерий
Бактерии в полости рта могут существовать в «планктонном» состоянии, то есть сами по себе, живя отдельно, они «не дружат» с другими представителями микробного пейзажа. В другом своем состоянии они образуют сообщества — то, что стоматологи называют биопленкой.
Для стоматологов биопленки — головная боль, с которой необходимо бороться. Биопленки представляют угрозу не только когда речь идет об имплантации, но и, например, при лечении периодонтитов, пульпитов. Практика показывает, что лечение сложное, ведь в некоторых случаях отмечается устойчивость бактерий к антибиотикам.
Коварство биопленки и осложнений, которые она может спровоцировать, способствовало началу многочисленных исследований. В итоге ученые из Бельгии представили миру стоматологов зубной имлант с антимикробным покрытием и специальным резервуаром для растворов.
Конструкция призвана не только увеличить процент приживления и скорейшее сцепление кости и искусственного корня, но и защитить имплант и кость от инфицирования и последующего отторжения.
Новое слово в имплантации

Пионеры дентальной имплантации, стоящие у самых истоков этого направления в стоматологии, дают на свои импланты пожизненную гарантию. Важно, что речь идет именно об импланте, а не методе его установки. Каат де Кремер (Kaat de Kremer) и его команда пошли дальше. Их исследования и широкое внедрение специального покрытия для имплантов позволяют давать пожизненные гарантии на имплантацию, в общем понимании этого слова, причем у пациентов с отягощенным анамнезом, то есть с сопутствующими болезнями.
Исследователи отмечают, что производители используют шероховатые поверхности в имплантах, это обстоятельство обеспечивает лучшее сцепление между костью и искусственным корнем, но это же обстоятельство повышает риски разрастания биопленок и формирования осложнений.
Исследователи предлагают внедрять в импланты специальные резервуары, заполненные антисептическим раствором или даже антибиотиком, который будет медленно высвобождаться из поверхности, препятствуя образованию биопленки.
Созданный имплант был подвержен различным лабораторным испытаниям, в ходе которых удалось установить: наполненный хлоргексидином резервуар (раствор, используемый стоматологами для обработки кариозных полостей, корневых каналов) остановил образование и разрастание микробных колоний и их распространение по полости рта.
Мнение стоматологов
При прослушивании доклада ученых стоматологи отметили, что внедрение таких имплантов откроет новые возможности. Сегодня одним из временных противопоказаний для внедрения искусственного корня является неудовлетворительная гигиена полости рта, когда пациент не может или не хочет полноценно и правильно чистить зубы. Такое противопоказание обоснованно именно рисками образования биопленок и последующего отторжения. Внедрение имплантов с медленным высвобождением антисептического раствора позволит сократить число имеющихся противопоказаний, а также не опасаться возможных осложнений.
Примечательно, что само исследование подразумевает индивидуальный подбор препарата, направленно действующего на биопленки.
Несмотря на то, что дентальная имплантация на сегодняшний день является совершенной методикой восстановления утраченных зубов, все же имеются недостатки и некоторые нюансы, которые, тем не менее, успешно решаются. Как говорится, нет предела совершенству, и, возможно, в скором времени, имплантация, которую мы знаем сегодня, существенно изменится и заиграет новыми красками.

Тест, разработанный Американской академией периодонтологии поможет вам выяснить, насколько у Вас велик риск возникновения пародонтита.
Осложнения дентальной имплантации: причины и новые исследования

Имплантация зубов — серьезная операция по восстановлению прикуса, которая связана с длительным периодом подготовки и лечения. Но, несмотря на знания стоматологов и наличие высокотехнологического оборудования, осложнения дентальной имплантации все же могут возникать. Что это за осложнения и каковы их причины? Об этом расскажет MedAboutMe.
На каких этапах дентальной имплантации могут формироваться осложнения?

Имплантация проходит в несколько этапов и практически на каждом из них могут возникать те или иные осложнения. Стоматологи выделяют следующие этапы имплантации:
- непосредственно при установке имланта;
- во время ремплантации, когда имплант приживается;
- при установке абаптена (штырь, на который устанавливается коронка зуба);
- уже после имплантации.
Осложнения во время установки импланта
Первые осложнения могут формироваться еще в процессе оперативного лечения. И чаще всего они связаны с особенностями организма, например, аллергические реакции, кровотечение. Во время оперативного вмешательства не исключен и человеческий фактор.
При препарировании бором может развиваться перегрев костных тканей. Такие осложнения могут стать причиной некроза костной ткани и ухудшения качества имплантации. Современные технологии и визуальный контроль на каждом этапе выполнения операции помогут избежать осложнений и сведут их риски к нулю.
Кровотечение — также нередкое осложнение, которое возникает при имплантации. Причины могут быть различными:
- повреждение кровеносных сосудов при подготовке операционного ложа, когда случайно задеваются мягкие ткани лица и лицевой артерии;
- нарушения свертываемости крови. Поэтому перед началом лечения и в период подготовки к имплантации, докторами проводится полный спектр исследования для выяснения свертывающей и противосвертывающей системы крови и наличия болезней, влияющих на эти процессы.
Перфорация костной ткани может заканчиваться тем, что имплант может проникать в полости гайморовой пазухи. Во избежание этих последствий перед имплантацией следует длительный период подготовки и полноценного исследования: КТ черепа, выяснение высоты альвеолярного отростка, и состояние костной ткани. При недостаточном количестве костной ткани могут проводиться дополнительные операции по восстановлению костной ткани.
Также перед операцией докторами изучается анатомия тройничного нерва, при имплантации в некоторые области может происходить затрагивание его ветвей, с соответствующими симптомами: невралгия, боль, онемение, нарушение проводимости и движений.
Воспаление и другие осложнения при приживлении импланта

На этапе приживления имплантов, дентальная имплантация может осложниться. Осложнения, которые заслуживают особого внимания — отторжение или воспаление тканей после протезирования.
Воспаление вокруг тканей импланта, к сожалению, может встречаться довольно часто. Оно может формироваться по нескольким причинам. Опытные доктора только по месту кровотечения понимают его причину.
Если воспаление сформировалось над заглушкой импланта, то причина чаще всего скрывается в причине образования кровяного сгустка. При имплантации воспаление может перейти в гнойные формы.
Воспаление развивается и по другим причинам, например, при несоблюдении правил септики и антисептики или при нарушении техники зашивания операционной раны.
Для того чтобы свести все риски отторжения и воспаления к минимуму, перед операцией необходимо проведение подготовительных мероприятий. В первую очередь, санирование полости рта: залечиваются все кариозные зубы, лечится воспаление десен — все очаги хронической инфекции в организме должны быть излечены.
Осложнения имплантации после операции
Осложнения дентальной имплантации иногда возникают буквально сразу после операции или же спустя несколько лет после. Причины осложнений имплантации могут развиваться по разным причинам: технические огрехи или же несоблюдение правил и всех рекомендаций доктора.
Самыми распространенными осложнениями после дентальной имплантации являются боль, кровоизлияние и воспаление в месте имплантации. После имплантации, если появились вышеперечисленные симптомы, необходимо незамедлительно обратиться за помощью к специалистам, чтобы своевременно устранить осложнения.
Любое из перечисленных осложнений, на любом этапе нередко становится причиной удаления импланта.
Как храп влияет на имплантацию?

В 2017 году было опубликовано исследование, показывающее, что у лиц с синдромом обструктивного апноэ сна (храп) выше шансы развития осложнений дентальной имплантации.
Существует множество исследований, доказывающих научным путем связь храпа с кратковременным полным или частичным отсутствием дыхания во сне или бруксизмом.
Доказана тесная взаимосвязь храпа и дентальной имплантации. В исследование было вовлечено 67 пациентов, у 16 были диагностированы осложнения дентальной имплантации и, что самое интересное, у 13 был диагностирован храп.
По мнению большинства стоматологов, храп имеет взаимосвязь с некоторыми стоматологическими заболеваниями, особенно часто осложнения проявляются при протезировании, в том числе, на имплантах.
Пациенты должны понимать, что сегодня дентальная имплантация находится на новом уровне. Осложнения, даже самые незначительные, встречаются крайне редко. Тем более, при соблюдении всех правил постановки имплантов. Отторжение имплантов — так и вовсе нонсенс.
Возраст – противопоказание к имплантации зубов?

Дентальная имплантация — одна из самых передовых и современных технологий восстановления утраченных зубов. Это единственный метод, который связан с минимальными рисками для здоровья пациента, а также лучшим образом восстанавливает жевательную функцию зубов. За последние несколько лет стоматологам удалось существенно сократить количество противопоказаний к ее проведению — возраст не исключение. В мире стоматологов известны успешные случаи имплантации у пациентов, возраст которых преодолел 80-тилетний порог. Самому пожилому пациенту, который перенес успешную дентальную имплантацию, было 93 года.
Особенности возраста

По мере взросления, мы приобретаем не только жизненный опыт и мудрость, но и некоторые болезни. Наука рассматривает возраст, как предрасполагающий фактор для развития множества заболеваний, например, многочисленных болезней внутренних органов, физиологических изменений, таких как климакс у женщин. С возрастом повышаются риски развития патологий сердца и сосудов.
Но, несмотря на это, возраст не является противопоказанием для проведения дентальной имплантации. Самое главное, чтобы у пациента не было общих противопоказаний.
Конечно, за последние несколько десятков лет стоматологам удалось сократить число противопоказаний, но все же они остались:
- декомпенсированная форма сахарного диабета;
- ВИЧ и СПИД;
- психические заболевания, особенно деменция.
Если пациент не сможет обеспечить полноценный уход за полостью рта, выполнить все рекомендации стоматолога после имплантации, существуют довольно высокие риски отторжения имплантов и наступление осложнений. А это не только выброшенные деньги на ветер, но и стресс для организма, который может спровоцировать обострение хронических заболеваний или даже ухудшение их состояния.
Особенности имплантации
Дентальная имплантация — процесс сложный, требующий подготовки со стороны пациента. Стоматолог должен не только продумать ход операции, подобрать импланты, которые будут отвечать всем требованиям и обеспечат наибольший процент приживляемости, но также вычислить факторы, которые могут спровоцировать осложнения и нежелательные последствия.
Поэтому стоматологи привлекают к этому процессу сторонних специалистов: эндокринологов, кардиологов, гастроэнтерологов и других. Стоматолог назначает более тщательное исследование, которое будет затрагивать не только челюстно-лицевую область, но и работу внутренних органов.
Пациенты должны понимать, что такое исследование может занять некоторое время. Особое значение будет иметь диагностика стоматологических патологий, которые будут представлять угрозу для нормальной имплантации:
- пародонтит и пародонтоз. Эти две патологии не являются противопоказаниями для проведения имплантации, но будут требовать предварительной подготовки и даже проведения некоторых дополнительных манипуляций;
- понимание того, по какой причине произошла потеря зубов: болезни зубов или десен.
Рекомендации стоматологов

Успех дентальной имплантации зависит от выбранной методики. Стоматологи могут предложить разные методики:
- одномоментную, когда вживление и протезирование на имплантах проходит в одно посещение, то есть, зайдя в кабинет стоматолога без зубов, домой пациент возвращается с сияющей улыбкой;
- двухмоментную, она же отсроченная — классика имплантации. Наиболее приемлемый вариант протезирования у пациентов в возрасте.
Каждый из этих методик имеет свои особенности, их выбор будет зависеть от многочисленных факторов.
Одномоментная имплантация
К этой методике можно отнести нашумевшие методики: «все-на-4», «все-на-6», «трифол». Такой метод имплантации показан пациентам с полностью беззубыми челюстями и позволяет получить улыбку за один день.
Кроме того, за счет возможности выбора места внедрения искусственного корня, имеется возможность отказаться от предварительной операции: наращивания костной ткани. Стоматолог вживляет имплант глубоко в кость, где отсутствуют дистрофические процессы.
Конечно, сложно не отметить весомые преимущества такого вида имплантации и для пациента, и для врача. Но если говорить о пациентах в возрасте, то, чем старше пациент, тем авантюрнее она кажется. Несмотря на «пренебрежительное» отношение к объему костной ткани, для проведения такого метода имплантации, должен соблюдаться ряд условий, иначе риски отторжения и осложнений довольно высоки.
Двухмоментная имплантация

Двухмоментные методики подразумевают внедрение импланта, даже с одновременным проведением костной пластики, а уже после, когда произойдет полное приживление импланта, стоматолог проведет протезирование выбранной ортопедической конструкции.
Это классика протезирования, тот метод, который больше всего подходит пациентам в возрасте, учитывая все сопутствующие и предрасполагающие факторы для развития осложнений.
Сама имплантация и последующая реабилитация будет требовать от пациента сил на восстановление, а наличие болезней внутренних органов, физиологические изменения в работе организма могут несколько мешать.
Именно поэтому стоматологи чаще всего советуют пациентам в возрасте двухмоментную имплантацию.
Особенности реабилитации
Возраст — не противопоказание для проведения имплантации, но он накладывает некоторые особенности на выбор самих имплантов, методики их внедрения и даже протезирования. Процесс подготовки должен осуществляться более тщательно, под пристальным вниманием целой бригады врачей. Ведь никто не застрахован от осложнений.
Свои особенности будут и в процессе реабилитации. Известно, что успех дентальной имплантации складывается из нескольких факторов: выбранных имплантов, квалификации врача, а также строгого соблюдения всех рекомендаций специалистов. Даже после установки имплантов пациенты в возрасте будут нуждаться в пристальном внимании со стороны стоматологов, ведь пока еще никто не отменял отдаленные осложнения.
Возраст — не повод не уделять своему здоровью внимание, а «вставная челюсть» — далеко не единственный вариант протезирования, который может предложить современная стоматология. У каждого пациента есть выбор, а стоматологи помогут сделать мечту реальностью.
Периимплантный мукозит - симптомы и лечение
Что такое периимплантный мукозит? Причины возникновения, диагностику и методы лечения разберем в статье доктора Ханиева Анзора Анатольевича, стоматолога-хирурга со стажем в 8 лет.
Над статьей доктора Ханиева Анзора Анатольевича работали литературный редактор Юлия Липовская , научный редактор Пётр Козлов и шеф-редактор Маргарита Тихонова

Определение болезни. Причины заболевания
Периимплантный мукозит (рeri-implant mucositis) — это обратимое воспаление мягких тканей вокруг установленного имплантата, не повреждающее кость челюсти [1] .

Мукозит может появиться в любое время после установки имплантата, но чаще развивается в первые три месяца после имплантации [16] . Средняя распространённость периимплантного мукозита составляет 43 % [1] .
Причины периимплантного мукозита
Причиной мукозита после имплантации являются бактерии, которые создают на имплантате микробный налёт. На ранней стадии на имплантате скапливаются стрептококки и актиномицеты. Из-за биоплёнок, которые они образуют, мягкие ткани не могут герметично прикрепиться к шейке имплантата. Также биоплёнки создают благоприятные бескислородные условия для роста патогенных микроорганизмов: P. gingivalis, A. actinomycetemcomitans, F. nucleatum и др. Эти бактерии очень агрессивны, в дальнейшем они могут вызвать воспаление и резорбцию (разрушение) кости [6] [8] [11] .
![Формирование биоплёнки на имплантате [22]](/pimg3/patologii-svyazannie-zubnimi-0909AE.jpeg)
Факторы, которые мешают поддерживать адекватную гигиену или способствуют более быстрому скоплению налёта:
- Неправильная или нерегулярная чистка зубов.
- Недостаточная ширина десны, которая должна плотно прилегать к имплантату — способствует быстрому накоплению налёта, в том числе из-за застревания пищи.
- Слишком близкое расположение имплантатов между собой или к соседним зубам — не позволяет хорошо очистить их от налёта [9][11][13] . Толщина кости вокруг имплантата должна быть не менее 1 мм. Иначе высок риск, что кость будет разрушаться, поверхность имплантата обнажится и на ней быстро сформируется микробный налёт. — ухудшает общее состояние зубов и полости рта, а также замедляет кровообращение и снижает уровень кислорода в крови, что ухудшает заживление ран. Кроме того, у курильщиков имплантаты хуже приживаются, из-за этого повышается риск их потери [2][5][11][12] .
- Ортопедические факторы: нависающие края коронки, которая установлена на имплантат [8] ; плохое прилегание абатмента; неточная установка протеза с цементной фиксацией или попадание остатков цемента под десну [1][3][9][11][13] .

При обнаружении схожих симптомов проконсультируйтесь у врача. Не занимайтесь самолечением - это опасно для вашего здоровья!
Симптомы периимплантного мукозита
Основным признаком периимплантного мукозита является воспаление слизистой оболочки в области имплантатов. Воспаление проявляется болью, покраснением и кровоточивостью десны при зондировании. В покое дёсны обычно не кровоточат. Иногда при мукозите появляется нагноение под десной [1] [3] .

Патогенез периимплантного мукозита
Из-за плохой гигиены полости рта на имплантате образуется микробный налёт. Когда бактерий в области имплантата становится слишком много, иммунная система запускает процесс воспаления, чтобы их уничтожить. При этом в мягких тканях полости рта повышается уровень провоспалительных цитокинов (например, ИЛ-1β), которые стимулируют развитие воспаления. В то же время уровень противовоспалительных цитокинов, которые подавляют воспаление, снижается [11] [12] [13] [16] .
Если уровень ИЛ-1β повышается умеренно, то воспаление из острой фазы переходит в хроническую. При воспалении, которое быстро прогрессирует сразу после установки имплантата или в течении года, отмечается максимальное значение ИЛ-1β [9] [10] .
Всё это говорит о том, что в основе патогенеза мукозита лежит дисбаланс провоспалительных и противовоспалительных цитокинов [1] [3] [14] .
Классификация и стадии развития периимплантного мукозита
Стадии развития воспалительных заболеваний челюсти после имплантации:
- здоровые ткани полости рта — состояние до образования бактериальных биоплёнок на имплантате;
- мукозит — воспаление десны без потери кости; — помимо воспаления десны происходит убыль кости;
- потеря мягких и твёрдых тканей в области имплантатов, что сопровождается подвижностью имплантата и гноетечением.
Классификация мукозита по типу выделяемой жидкости:
- серозный — сопровождается скоплением в десне прозрачной воспалительной жидкости;
- гнойный — сопровождается скоплением мутной вязкой жидкости зеленоватого цвета, возникает при присоединении патогенной микрофлор ы.
Классификация воспаления по протяженности:
- локализованный — мукозит возник в одном месте;
- генерализованный — процесс распространился на все имплантаты [10][13] .
Классификация по тяжести процесса:
- лёгкая степень — сопровождается покраснением;
- средняя степень — сопровождается покраснением и кровоточивостью;
- тяжёлая степень — сопровождается покраснением, кровоточивостью и болью.
Типы мукозита в зависимости от причины:
- неспецифический (полиэтиологический) — воспаление вызвано сразу несколькими возбудителями;
- специфический (туберкулёзный, сифилитический и др.) — воспаление вызвано конкретными инфекциями, например возбудителем туберкулёза, сифилиса и др.
Типы воспаления в зависимости от реактивности организма, т. е. его способности реагировать на внешние факторы:
- нормергическое — умеренная ответная реакция;
- гипоэргическое — слабая ответная реакция, наблюдается, когда ослабленный организм не может адекватно отвечать на вредный фактор;
- гиперэргическое — чрезмерно сильная ответная реакция, протекает бурно, с выраженным покраснением, повышением температуры, болезненностью и увеличением воспалительного отёка [10][13] .
Осложнения периимплантного мукозита
Если мукозит не лечить, развивается периимплантит. Это состояние сопровождается не только воспалением мягких тканей вокруг имплантата, но и потерей кости.

Периимплантит, в свою очередь, может привести к другим осложнениям:
- Опущению десны. Если десна опустится, станет видно резьбу имплантата, что может вызвать эстетический дискомфорт. Кроме этого, убыль десны сопровождается другими симптомами: появляется щель между десной и коронкой, куда забиваются остатки пищи и скапливается налёт, всё это грозит отторжением имплантата [6][10][13] .
![Опущение десны [23]](/pimg3/patologii-svyazannie-zubnimi-CE036E.jpeg)
- Перелому имплантата. Потеря кости приводит к тому, что имплантат начинает двигаться, нагрузка становится неравномерной и может произойти перелом [5] .
![Перелом имплантата [24]](/pimg3/patologii-svyazannie-zubnimi-CCEB.jpeg)
- Потере имплантата. Из-за убывания кости вокруг имплантата он становится подвижным, в этой области усиливается боль, человеку становится трудно жевать и говорить. В этом случае имплантат нужно удалить [5][11][12] .
Диагностика периимплантного мукозита
План диагностики периимплантного мукозита:
- Сбор жалоб, анамнеза жизни и заболевания.
- Клинический осмотр:
- внешний (общий);
- осмотр полости рта.
- Зондирование пародонтологическим зондом.
- Дополнительные методы обследования:
- прицельный рентгеновский снимок;
- ортопантомограмма (ОПТГ), т. е. панорамный снимок;
- конусно-лучевая компьютерная томография (КЛКТ);
- лабораторная диагностика: иммуноферментный анализ (ИФА) и полимеразная цепная реакция (ПЦР).
- Оценка зоны имплантации, тяжести и распространённости заболевания с помощью сравнения рентгенограмм и фотоснимков [2] .
Сбор жалоб и анамнеза
На приёме пациент обычно жалуется на болезненность, покраснение и отёк в области установленного импланта.
Клинический осмотр и зондирование
При осмотре и зондировании врач может выявить:
- мягкий микробный налёт на имплантате, пищевые остатки и зубной камень;
- кровоточивость десны вокруг имплантата;
- незначительную болезненность и отёчность прилегающей десны;
- неподвижность имплантата;
- отсутствие кармана вокруг имплантата.
Дополнительные методы обследования
Рентгенография. Позволяет отличить периимплантный мукозит от периимплантита: при мукозите на рентгенограмме нет патологических изменений вокруг имплантата; при периимплантите видно убыль кости. Также рентген помогает определить глубину зондирования и увидеть плохое прилегание элементов протеза [14] .
![Периимплантит на рентгенограмме [18]](/pimg3/patologii-svyazannie-zubnimi-032E.jpeg)
ОПТГ или КЛКТ. Проводятся для более детального исследования. Их используют в сложных или сомнительных случаях.
Лабораторные исследования (ИФА и ПЦР). Их выполняют, чтобы определить вид и количество патогенной микрофлоры. В дальнейшем это помогает правильно подобрать антибактериальный препарат, если он необходим.
Оценка зоны имплантации
Целесообразно сравнить рентгеновские снимки, сделанные при установке коронки на имплантат и при обращении пациента с мукозитом, чтобы оценить изменения десны и костного края.
Если у пациента есть фотографии до и после установки имплантатов и ортопедических конструкций, их также нужно проанализировать [2] [13] [14] .
Лечение периимплантного мукозита
Терапия мукозита в области зубных имплантатов представляет собой профилактику периимплантита [11] [12] . Основная цель лечения мукозита — устранить воспаление тканей вокруг имплантата. Для этого нужно уничтожить бактерии, которые стали причиной воспалительного процесса [2] [5] [8] [12] [13] .
Схема лечения:
1. Профессиональная гигиена. Позволяет удалить микробную плёнку с поверхности коронки или формирователя десны. Она может проводится двумя способами:
- механическая чистка поверхности имплантата с помощью кюреток;
- чистка с использованием воздушно-абразивных систем (например, Air Flow).

2. Обработка антисептиками. Проводится, чтобы уничтожить бактерии, и включает:
- Промывание мягких тканей раствором Хлоргексидина (0,2 %) или раствором, который сочетает Хлоргексидин (0,12 %) и Цетилпиридиния хлорид (0,05 %). Цетилпиридиния хлорид — противомикробное средство, которое используется в безрецептурных ополаскивателях для улучшения здоровья дёсен [2][5] . Считается, что препарат эффективен против зубного налёта при гингивите, пародонтите и мукозите [11][13] .
3. Использование специальных мазей, дентальных повязок и бальзамов. Может включать:
- Поддесневая инъекция местных антибиотиков: 25%-го геля Метронидазола или 8,5%-го геля Доксициклина (эти инъекции нужно делать в течении 7–10 дней) [21] .
Все процедуры проводит хирург-стоматолог или хирург-пародонтолог в чистых хирургических условиях с соблюдением правил антисептики и асептики [17] .
Если врач назначит, то пациент может дома самостоятельно полоскать рот антисептиками (Мирамистин, Хлоргексидин, Ротокан, Стоматофит и др.) и делать аппликации противовоспалительными средствами (Метрогил дента, Мараславин, Солкосерил, Холисал, Камистад и т. д.) [18] [25] .
Прогноз. Профилактика
Периимплантный м укозит — обратимое заболевание. При правильном лечении все симптомы проходят. Без лечения могут развиваться осложнения, которые приведут к потере имплантата.
Профилактика п ериимплантного мукозита
Учитывая стремительное внедрение в стоматологическую отрасль новых материалов и методов, нужно разумно и сдержанно относиться к рекламе, которая заявляет, что «имплантаты лучше зубов», и обещает, что «они останутся на всю жизнь» [1] [4] [12] . При имплантации всегда есть риск развития осложнений, особенно если не соблюдать рекомендации, связанные с гигиеной полости рта. Пациентам нужно сказать об этом заранее. Хуже всего пациенты относятся к неожиданным осложнениям, которые не обсуждались при планировании лечения.
В основе профилактики периимплантного мукозита — удаление микробного налёта. Поэтому после имплантации пациентам необходимо:
- устранить факторы, которые мешают тщательно удалять налёт с зубов и коронок имплантата: например, если у коронки нависают края, её нужно заменить;
- чистить зубы два раза в день;
- использовать зубные щётки средней жесткости и ирригаторы с антисептиками [3] ;
- не использовать ополаскиватели, не посоветовавшись с врачом, так как они могут вызвать раздражение;
- не употреблять хрустящие продукты, например чипсы, а также газированные напитки, алкоголь, острую, кислую и слишком горячую пищу;
- отказаться от курения;
- один раз в полгода делать профессиональную чистку зубов и коронок на имплантатах у врача-гигиениста [26] .
Кроме этого, раз в три года нужно посещать хирурга-стоматолога, чтобы контролировать состояние имплантата и десны вокруг него [8] .
Читайте также:
