Перелом головки лучевой кости
Добавил пользователь Евгений Кузнецов Обновлено: 23.11.2025
Фрактура головки лучевой кости — это повреждение участка, который находится вблизи локтевого сустава. Данная травма является одной из наиболее часто встречающихся патологий локтевого сустава у взрослых. Перелом происходит, когда пациент падает на вытянутую, слегка согнутую руку. Реже фрактура головки лучевой кости случается во время прямого падения либо удара локтя.
Травмы головки лучевой кости могут привести к:
- простым
- смещенным либо
- оскольчатым переломам
- неправильному срастанию
Вслучае сложных переломов ортопед должен рассчитывать на появление сопутствующих травм суставной капсулы и связок, что в свою очередь оказывает влияние на дальнейшее лечение и сроки выздоровления пациента.
Привычными симптомами данной патологии являются боли в локте, а также отеки на внешней стороне локтя. Кроме того, ограничена подвижность локтевого сустава.
Головка лучевой кости — это важный элемент локтевого сустава. Её вращение вокруг своей оси обеспечивает пронацию и супинацию предплечья.
При плохом заживлении риск артроза и продолжительной боли
Перед тем как назначить лечение, необходимо учитывать особенности фрактуры и сопутствующие повреждения связочных элементов сустава. Таким образом наши специалисты смогут предотвратить осложнения и негативные последствия, которые могут появиться после неудачного заживления. Неправильно зажившие фрактуры могут надолго ограничить подвижность пациента и привести к нестабильности локтевого сустава. Тугоподвижность локтевого сустава, преждевременный износ (артроз) либо отмирание (некроз) являются возможными вариантами неправильно сросшегося перелома.
Травмы подобного характера необходимо лечить в специализированной клинике у специалистов по лечению заболеваний локтевого сустава. Лишь тогда Вам удастся избежать серьёзных последствий. Врачи ортопедического медицинского цента Геленк-Клиник с удовольствием ответят на все интересующие Вас вопросы.
Причины перелома головки лучевой кости

Типичная травма с переломом головки лучевой кости: падение на вытянутую, слегка согнутую руку на ладонь. © Halfpoint, Adobe Stock
Зачастую данная травма случается во время падений с вытянутой рукой в слегка согнутом положении, если пострадавший пытается опереться ладонью о пол. Предплечье при этом немного повернуто внутрь.
Так на локтевой сустав через кисть и вытянутую руку оказываются резкие массивные усилия. Головка лучевой кости сталкивается с массивным окончанием плеча, что и приводит к перелому. В данном случае травма случается посредством косвенных силовых воздействий.
Чем сильнее растянут локтевой сустав при падении, тем выше вероятность повреждения головки лучевой кости. Травма может произойти в любой возрастной категории независимо от пола, хотя средний возраст пациентов с данной патологией составляет 40 лет. Люди, которые активно занимаются спортом страдают этим чаще.
Какие симптомы характерны для перелома головки лучевой кости?
- Давящая боль в поврежденном участке локтя
- Боли с внешней стороны локтя, отдающие в кисть
- Покраснения, отеки и гематомы
- Ограниченная подвижность локтевого сустава, боли при вращении и разгибании предплечья
Давление на поврежденную головку лучевой кости вызывает сильные локальные боли. Вращающие движения предплечья внутрь и наружу, а также сгибание локтя возможны лишь вслучае готовности переносить болевые ощущения. Если при переломе появляются отеки и гематомы у Вас могут быть травмы суставных капсул и связок.
Нередко такие травмы связаны с кровоизлияниями в суставах, что дополнительно ограничивает их подвижность. Смещенные переломы (дислокация) могут и вовсе приостановить подвижность локтевого сустава. Вследствие падения могут быть повреждены и другие костные структуры - плечевая и локтевая кость.
Травмы нервных окончаний наблюдаются очень редко - даже в самых сложных случаях. Повреждения лучевого нерва вызывают нарушения чувствительности в области руки. Кроме этого, могут нарушиться исходные функции предплечья.
Какие травмы связаны с переломами головки лучевой кости?
При переломах головки лучевой кости примерно у каждого третьего пациента замечают дополнительные повреждения связочного аппарата либо костных структур.
- Зачастую повреждена внешняя связка, укрепляющая суставную капсулу локтя
- Вероятность травм других боковых связок - кольцевая связка и суставная капсула
- Пострадать может и прочная, соединительнотканная мембрана, соединяющая локтевую и лучевую кости
- Кости запястья могут сломаться при ударе
Перелом головки лучевой кости — это не чисто костная травма. Очень часто у пациента наблюдаются еще и повреждения связок, на которые необходимо обратить внимание во время первичной диагностики и дальнейшей терапии.
Каким образом может сломаться головка лучевой кости?
Фрактуры головки лучевой кости классифицируют по формуле Мейсона. Существуют четыре вида переломов. В классификации учтены количество отломков, а также степень их смещения (дислокация). Опираясь на эти критерии, врачи устанавливают степень повреждения локтевого сустава.
Классификация переломов по формуле Мэйсона. Тип 1: не смещенные, смещенные не более чем на 2 мм. Тип.2: Костный обломок смещен на более, чем 2 см. Тип 3: Оскольчатый. Тип 4: Перелом и вывихи локтевого сустава. © Gelenk Klinik
Какие осложнения могут появиться после перелома головки лучевой кости?
Позднее либо неправильное лечение данной патологии может повлечь за собой определённые осложнения, которые будут оказывать негативное влияние на повседневную жизнь и качество жизни пациента.
Осложнения после перелома головки лучевой кости:
- Ограниченная подвижность: данный элемент локтевого сустава имеет важное значение во время поворотных движений предплечья. Неправильно сросшиеся фрактуры образуют ступени в суставе, чем делают невозможной безупречную подвижность. Костные, а также хрящевые фрагменты могут застрять в суставной щели и таким образом полностью заблокировать внутренние и наружные вращения предплечья.
- Тугоподвижность локтевого сустава: Срастания и шрамы в рамках процесса выздоровления и утолщенная суставная капсула ограничивают функции локтевого сустава. Более продолжительная иммобилизация локтевого сустава в согнутом положении при помощи гипса может ограничить функции разгибания руки в локте.
- Хроническая нестабильность локтевого сустава: если связки и сухожилия заживают неправильно, в суставе возникает нестабильность. Причиной хронического эпикондилита (теннисный локоть) иногда становятся нестабильные связки после предыдущих травм.
- Артроз локтевого сустава: Неоптимально сросшиеся переломы ускоряют процесс износа хряща в локтевом суставе. Таким образом начинается преждевременный износ, нередко спустя несколько лет после травмы.
- Некроз головки лучевой кости из-за нарушений кровообращения: особенно после оскольчатых переломов могут повредиться кровеносные сосуды, которые питают кость. Зачастую это может спровоцировать отмирание, т.е. некроз головки лучевой кости.
- Травмы, связанные с неизвестными сопутствующими повреждениями: Причины травмы плечевой и лучевой костей либо перелом запястья иногда остаются нераскрытыми.
Лечение: как проводит лечение перелома специалист Геленк Клиники в Германии?
Наш долголетний опыт в области лечения подобных патологий позволяет проводить терапию, соответствующую стадии заболевания. При этом мы в обязательном порядке учитываем индивидуальные требования пациента, а также характер основного повреждения, включая возможные сопутствующие болезни и таким образом, ожидаемые прогнозы консервативного и хирургического лечения. Специалисты по лечению заболеваний локтевого сустава проведут оптимальную консультацию и составят индивидуальный план лечения.
Хирургическое лечение
При многооскольчатых, смещенных и неправильно сросшихся переломах необходимо хирургическое вмешательство. Объем хирургических манипуляций зависит от степени деформации. Специалисты-ортопеды Геленк Клиники в г. Гунделфинген могут восстановить исходное положение сустава во время операции.
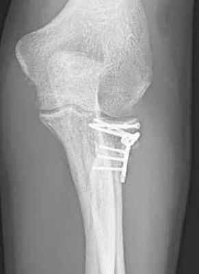
1. Реконструкция при помощи специальных винтов и пластин

Остеосинтез пластиной и винтами: Лечение перелома головки лучевой кости. © Gelenk Klinik
Фрактуры со смещением более 2мм (Тип 2 по формуле Мэйсона) лечатся как правило при помощи специальных винтов и микропластин. Данное вмешательство называется остеосинтез и является малоинвазивным.
Смещенный костный обломок возвращается в свое изначальное положение, где проводится его фиксация. Так хирург предотвращает образование ступеней на суставной поверхности. Используемые винты и пластины удалять необязательно. Их можно использовать для лечения сопутствующих повреждений связок.
2. Реконструкция головки лучевой кости и пластинами с угловой стабильностью

Лечение пациента с многооскольчатым переломом (Тип 3) после падения с горного велосипеда: Комбинированный остеосинтез с применением пластин с угловой стабильностью. Рентген показывает состояние сустава после заживления. © Gelenk Klinik
Даже сложные переломы с несколькими отломками и вывихами можно вылечить при помощи остеосинтеза. Для этого в Геленк Клинике используются специальные пластины с угловой стабильностью, которые надежно фиксируют отдельные фрагменты сустава
3. Непоправимые переломы: установка эндопротеза

Осложнения протеза лучевой кости, закрепленного снаружи: лучевая кость с протезом оказалась длиннее, чем была раньше. © Gelenk Klinik
При многооскольчатых переломах головки лучевой кости ее реконструкция невозможна. В таком случае стоит задумать об имплантации протеза.
С медицинской точки зрения данное вмешательство является довольно сложным. Диаметр протеза должен соответствовать изначальному размеру головки лучевой кости. Также протез не должен заметно выступать по отношению к области сустава. Такой феномен называется “Overstuffing” и его следует избегать во что бы то не стало. Только так пациент сможет избежать болей, сопровождающихся ограниченной подвижностью и усиленного износа суставного хряща в локте.
При наличии стабильного связочного аппарата с внутренней стороны сустава удаление головки лучевой кости может быть произведено без необходимости протеза. В таком случае организм вырабатывает хрящевую рубцовую замену на шейке лучевой кости. Данное вмешательство является скорее исключением.
Перелом головки лучевой кости
В последнее время значительно увеличивается число травм с переломовывихами костей предплечья. Одной из причин такого роста является увеличение количества пострадавших в дорожно-транспортных происшествиях, увеличение числа кататравм и других высокоэнергетических повреждений (например, у спортсменов). По данным литературы, переломовывихи костей предплечья составляют примерно 1-2% среди всех повреждений предплечья. Перелом головки лучевой кости в свою очередь составляет до 20% от всех повреждений области локтевого сустава, и в половине случаев сочетается с повреждением других структур локтевого сустава. Около 10% случаев переломов этой зоны сопровождают вывихи костей предплечья в локтевом суставе.
Механогенез повреждения
Перелом головки лучевой кости (по МКБ-10: S52.1 Перелом верхнего конца лучевой кости) - высокоэнергетическая травма, чаще встречается у мужчин. Такой перелом чаще возникает в результате падения на вытянутую верхнюю конечность при пронации предплечья. Осевая нагрузка прилагается на лучеплечевое сочленение, происходит «соударение» головки лучевой кости с плечевой костью, что приводит к перелому.
Клинический случай
Возможности современного лечения пациентов с многооскольчатым переломом головки лучевой кости
Пациентка И., 39 лет, получила травму локтевого сустава, катаясь на роликах, упав на вытянутую руку. Самостоятельно обратилась в приемное отделение городской больницы 40. При поступлении выполнено рентгенологическое обследование (рис. 1).

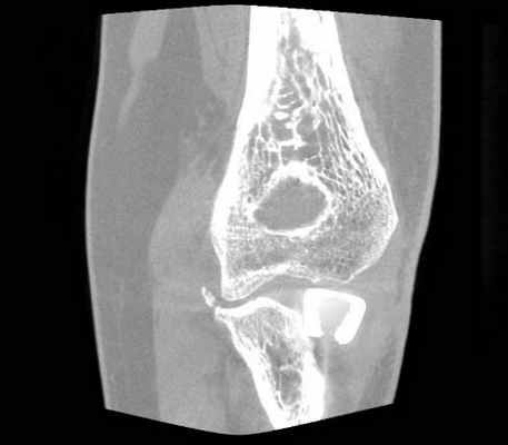
Выполнена гипсовая иммобилизация в функциональном положении. Для уточнения диагноза и предоперационного планирования пациентке выполнено КТ-исследование (рис. 2).

Данный перелом можно классифицировать по классификации Mason как тип 3, по классификации АО - 21C3. Учитывая молодой, трудоспособный возраст пациентки, высокие функциональные требования, и сложность перелома - методом лечения выбрано эндопротезирование головки лучевой кости.
Во время операции выявлен многооскольчатый перелом головки лучевой кости (рис. 3, рис. 4).
![]() | ![]() |
Во время операции подобран компонент максимально точно повторяющий размеры собственной головки лучевой кости (рис. 5, рис. 6).
![]() | ![]() |
На контрольных рентгенограммах положение компонентов эндопротеза удовлетворительное (рис. 7).

На следующий день после операции пациентке разрешены пассивные движения в локтевом суставе. Достигнут полный объем движений. После снятия швов пациентка приступила к обычной, повседневной деятельности, вышла на работу.
Таким образом, рациональное обследование, тщательное планирование, использование современных методик позволило в максимально ранние сроки добиться полного восстановления функции сустава и вернуть пациента к его повседневной жизнедеятельности без ограничений, что является основным критерием лечения любой патологии.
Помимо приема в больнице (каждый рабочий день с 15:00 до 16:00), у нейрохирургов теперь появилась возможность принимать пациентов в поликлинике №34 по средам с 17:00 до 19:00, каб. №402 (4 этаж), по адресу: ул. Зверинская д.15 (ст. метро Спортивная).
Консультации в травматологическом отделении осуществляются с понедельника по пятницу с 16:00 до 17:00. Для получения консультации по направлению из поликлиники (травмпункта) необходимо зарегистрировать направление в амбулаторно-консультативном отделении, находящемся в поликлинике 68 (131 кабинет).
«Чёрная речка» автобус №211 до ул. Борисова,
автобус №211Э до ул. Борисова
«Старая деревня» автобус №216А до ул. Борисова
«Проспект Просвещения» маршрутное такси №к827 до ул. Борисова
«Парнас» маршрутное такси №к600 до ул. Борисова
«Беговая» автобусы №211, №211Э, №216А до ул. Борисова
Перелом головки лучевой кости локтевого сустава

Локтевой сустав является одной из наиболее уязвимых зон руки. При его травмировании довольно часто возникает перелом верхней части лучевой кости, особенно вследствие падения на вытянутую руку. В травматологии данная патология встречается почти у трети пациентов и нередко сопровождается иными осложнениями, в частности, повреждением мягких тканей структуры сустава. Данный вид перелома не несет угрозы для жизни, однако заметно снижает ее качество. При отсутствии лечения человек может потерять чувствительность в руке без возможности вернуть полноценную работоспособность.
Информацию из данного раздела нельзя использовать для самодиагностики и самолечения. В случае боли или иного обострения заболевания диагностические исследования должен назначать только лечащий врач. Для постановки диагноза и правильного назначения лечения следует обратиться к профильному специалисту.

Симптомы травмы
Как и при других видах перелома костей, главным признаком выступает боль, в данном случае острая, нарастающая, усиливающаяся при малейшем движении рукой. Вследствие отека, довольно быстро верхняя конечность становится малоподвижной, особенно в локтевом суставе. Если перелом головки лучевой кости сочетается с вывихом предплечья, заметна видимая деформация руки, изменяется ее чувствительность вследствие нарушения целостности кровеносных сосудов и нервных окончаний. Иными симптомами являются:
- усиление боли при пальпации;
- припухлость сустава;
- гематомы;
- хруст в локте;
- повреждение кожных покровов.
В большинстве случаев данная травма является изолированной, при своевременной диагностике лечение проходит быстро и без осложнений. Однако в некоторых ситуациях возникают сопутствующие повреждения, например:
- разрыв межкостной мембраны;
- перелом венечного отростка;
- разрыв коллатеральной связки.
Чем обширнее травма, тем больше времени требуется на восстановление нормального функционирования верхней конечности. Поскольку самостоятельно невозможно определить степень тяжести недуга, при возникновении повреждений подобного рода нужно незамедлительно обращаться за медицинской помощью.

Причины перелома головки лучевой кости
Большинство переломов человек получает либо вследствие прямой травмы, либо непрямой. Головка лучевой кости в подавляющем большинстве случаев ломается именно из-за косвенного воздействия. Например, это может быть неудачным падением на руку в вытянутом положении с немного согнутым локтем. При травме головка луча ударяется о плечевую кость, что и провоцирует ее перелом. Подобные повреждения получают:
- в быту;
- во время занятия спортом;
- вследствие ДТП;
- на производстве;
- при ведении активного образа жизни.
Катание на коньках, лыжах может спровоцировать травму, если не придерживаться правил безопасности того или иного рода занятий. Особую группу риска представляют женщины в климаксе и некоторые профессии. Так, спортсмены-легкоатлеты часто страдают от данной патологии. При отсутствии своевременного лечения возможны такие осложнения, как инфекционное поражение, ноющие боли, сохраняющаяся видимая деформация, сосудистые, неврологические нарушения, асептический некроз головки луча и др.
К какому врачу обратиться?
При подозрении на перелом головки лучевой кости нужно как можно раньше обратиться за медицинской консультацией. Квалифицированную помощь оказывает врач:
Перелом головки лучевой кости
Переломы головки лучевой кости часто происходят при падении на вытянутую руку, и их может быть трудно выявить на рентгенограмме.
Головка лучевой кости пальпируется с латеральной стороны локтевого сустава как образование, которое ротируется при пронации и супинации, и нежестко прикреплено к латеральному надмыщелку. Латеральный надмыщелок и головка лучевой кости обычно образуют с локтевым отростком равнобедренный треугольник. В этом треугольнике может пальпироваться выпот в сустав (часто сопровождающий переломы головки лучевой кости).
Переломы головки лучевой кости более распространены у взрослых, чем у детей.
Симптомы и признаки переломов головки лучевой кости
При переломе головки лучевой кости боль в головке усиливается во время ее супинации, и пальпация головки лучевой кости болезненная. Обычно имеется отек вследствие гемартроза. Пассивные движения в локтевом суставе могут быть ограничены. Может произойти одновременный перелом плечевой кости.
Диагностика переломов головки лучевой кости
В передне-задней, боковой и косой проекциях. Но при рентгенографии могут быть выявлены только косвенные признаки перелома, поэтому диагностика в значительной мере основана на данных осмотра.
На стандартных рентгенограммах в передне-задней и боковой проекциях перелом часто не выявляется, но, как правило, виден выпот в полость сустава, на который указывает наличие аномальных жировых подушек. Смещение передней жировой подушки может указывать на выпот в полость сустава, но не является специфичным; выявление задней жировой подушке на правильно полученной рентгенограмме в боковой проекции специфично для выпота в полость сустава, но не очень чувствительно. При болезненности в области головки лучевой кости и наличии выпота необходимо выполнить рентгенограмму в косой проекции (более чувствительна), или начать лечение ex juvantibus.
Радиокапителлярная линия Передняя плечевая и радиокапителлярная линии на боковой рентгенограмме локтевого сустава проходит через диафиз лучевой кости. Как правило, эта линия разделяет головку плечевой кости посредине. Иногда у детей единственным признаком перелома на рентгенограмме оказывается смещение этой линии.
Здравый смысл и предостережения
Если головка лучевой кости болезненна при пальпации, и имеются клинические или рентгенографические свидетельства выпота в локтевой сустав, проводят лечение предположительного перелома головки лучевой кости, даже если рентгенологически перелом не выявлен.
Может быть проведен артроцентез Пункция сустава Некоторые скелетно-мышечные нарушения влияют в первую очередь суставы, являясь причиной артрита. При других нарушениях страдают в первую очередь кости (например, переломы, болезнь кости Педжета. Прочитайте дополнительные сведения , чтобы удалить кровь из сустава, с целью дифференцировать механическую блокировку пассивного движения в суставе от его ограничения из-за боли и мышечного спазма. Затем вводят местный анестетик, чтобы облегчить боль.
Стабильность проверяют, прикладывая усилие на локтевой сустав медиально и латерально, а затем проверяют нестабильность или повышенный объем движений. Если сустав после приложения силы не двигается, перелом стабилен, и связанные с суставом связки, вероятно, не повреждены.
Передняя плечевая и радиокапителлярная линии
Как правило, передняя плечевая линия, которая на боковой рентгенограмме проводится по передней границе плечевой кости, разделяет плечевую кость посредине. Если линия не пересекает, или пересекает только переднюю часть плечевой кости, можно заподозрить перелом дистального отдела плечевой кости со смещением кзади.
Радиокапителлярная линия, которая проходит через диафиза лучевой кости, как правило, пересекает плечевую кость. Если это не так, следует заподозрить оккультный перелом.
Перелом головки и шейки лучевой кости
Этот вид травм составляет около 2% от всех переломов костей. Чаще всего такая травма возникает по причине падения на вытянутую руку, в следствие чего может повреждаться хрящ головчатого возвышения плечевой кости.
Изолированные переломы шейки обычно характерны для детей от восьми до двенадцати лет, а вот раздробление головки лучевой кости у них встречается крайне редко.
Симптомы:
В основном при таком переломе наблюдаются следующие симптомы:
- боль в локтевом суставе,
- травмированная рука согнута в локтевом суставе, предплечье в положении пронации (поворотное движение верхних или нижних конечностей внутрь )
Из анамнеза ясно, что травме предшествовало падение на вытянутую руку.
Ограничение возможности сгибать и разгибать локоть. Однако, наблюдается полная невозможность вращать локтем, это движение вызывает острую боль. В области перелома наблюдается отек и припухлость.
При осмотре и пальпации самая острая боль локализуется ниже бокового мыщелка плечевой кости, с наружной стороны сухожилия двуглавой мышцы.

При вывихах головки она пальпируется по передне-боковой поверхности локтевого сустава.
Нетложная помощь
При получении травмы прежде всего, до приезда скорой помощи или до обращения в травмпункт необходимо зафиксировать поврежденный сустав и принять обезболивающие.
Обезболивание проводится нестероидными, противовоспалительными препаратами. Руку необходимо зафиксировать подручными средствами (шиной или повязкой) в том положении, в котором она оказалась непосредственно после получения травмы.
Лечение:
Лечение такого перелома будет разным в зависимости от степени поражения. В случае, если перелом лучевой кости, ее шейки или головки произошел без смещения обломков - то после обезболивания места перелома, накладывается повязка из гипса от фаланговых суставов пальцев до чуть выше середины плеча, причем рука при этом сгибается в локте на 90 градусов, а кисть повернута ладонью к телу. Двигать пальцами обычно разрешается через несколько дней после наложения гипсовой лонгеты, или после того как исчезнут симптомы перелома лучевой кости.
В случае перелома со смещением шейки лучевой кости необходимо также произвести вправление (репозицию) отломков кости. В положении разгибания доктор осуществляет тягу по оси предплечья, надавливая при этом на головку кости (внутрь и назад), при этом предплечье согнуто на 90 градусов, и фиксируют гипсовой шиной на 3-6 недель. Если контрольная рентгенограмма показала, что отломки сместились, то их могут зафиксировать спицей на 2-3 недели.
При раздробленном или краевом переломе, при смещении отломков кости, проводится оперативное лечение. Проводят резекцию головки кости, используя задненаружный доступ. Головку удаляют полностью даже при краевых переломах, оставляя при этом кольцевую связку. После операции проводят иммобилизацию руки гипсовыми повязками на 3-4 недели. Детям головку лучевой кости не удаляют, чтобы не удалить и зону роста. Молодым людям одновременно с резекцией проводят и эндопротезирование, после чего фиксируют с помощью гипса на 1 месяц.
После снятие гипсовых повязок назначается физиотерапевтическое лечение, специальная физкультура, массаж и различные тепловые процедуры.
Читайте также:




